
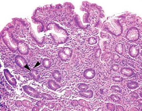
Figure 2.33 Acute gastritis example. An acute gastritis pattern refers to neutrophils in the gastric epithelium of the stomach (arrows). Acute gastritis pattern is an etiologically nonspecific pattern. This case features a single epithelial cell with nuclear and cytomegaly and smudged chromatin (arrowhead). A confirmatory CMV immunostain was reactive (not shown).
An acute gastritis pattern refers to neutrophils in the epithelium of the stomach (Fig. 2.33). This pattern can be accompanied by erosions, ulcerations, and marked reactive epithelial change. Although this injury pattern is etiologically nonspecific, it is most commonly seen in the setting of medication injury, infections (Helicobacter and CMV), and inflammatory bowel disease. This injury pattern can also be seen with iatrogenic injury (gastrotomy tube, postsurgical setting, chemoradiation), alcohol, and in association with polyps and infiltrating processes such as amyloidosis and neoplasms. This section will discuss the most common etiologies of the acute gastritis pattern and will present practical tips to sort out the individual etiologies.
CHECKLIST: Etiologic Considerations for the Acute Gastritis Pattern
Medications
Helicobacter
Cytomegalovirus
Focally Enhanced Gastritis
Inflammatory Bowel Disease
MEDICATIONS
Medication related gastritis is increasingly common as the population ages and our pharmaceutical repertoire expands. The resultant injury pattern is entirely nonspecific and can include a range of pathology, including the reactive gastritis/gastropathy, prominent apoptotic bodies, chronic gastritis with or without acute inflammation, mildly prominent eosinophils, intraepithelial lymphocytosis, granulomata, erosions, ulceration, and vascular degeneration with microthrombi and ischemic damage.23–27 In only a small percentage of cases will the medication be identified. The far more typical scenario is identification of a nonspecific injury pattern, although occasionally refractile or polarizable pill fragments of unclear significance can be seen (Figs. 2.34–2.36). The mechanism of injury may be related to the mechanical damage of the pill as it is “stuck” in the mucosa and causes local physical trauma, or through the resultant downstream chemical effects of the pill itself. Certainly, the most notorious medication culprits include the nonsteroidal anti-inflammatory drugs (NSAIDs) by way of their nonselective inhibition of the cyclooxygenase isoenzymes, resulting in decreased production of mucosal protectant products, such as prostaglandins, mucin, bicarbonate, and dampened microcirculation.28 More recently gastric (and esophageal) mucosal injuries secondary to doxycycline have been described.25–27 Characteristic presentations include severe chest pain shortly after tablet ingestion that is postulated to be related to underlying nerve or vascular ischemia. Endoscopic abnormalities include erosions, ulcerations, friability, and circumferential white “coated”, “hard-to-peel-off” lesions.27 Typical histologic findings include erosions, ulcerations, necrosis, reactive gastritis/gastropathy, and vasculitis with microthrombi. Some advocate referring to these constellation of findings as “toxic-ischemic pattern” (TIP)26 and others advocate the term perivascular “halos” or perivascular zones of edema, reactive myofibroblasts, and lymphoblasts.25 Other medications associated with acute gastritis include potassium chloride in heart failure patients, bisphosphonates in patients with pathologic bone reabsorption, iron, resins, and a variety of chemoradiation therapeutic agents. See also Pigments and Extras subsection, this chapter.

Figure 2.34 Nonspecific pill fragments. Pill fragments not otherwise specified can be easy to miss on H&E because of their transparent appearance (arrowheads).

Figure 2.35 Nonspecific pill fragments. When the substage condenser is flipped, the outline of the pill fragments is often better appreciated (arrowheads) due to increased light refraction. Occasionally, pill fragments are refractile.

Figure 2.36 Nonspecific pill fragments (PAS). Often, these pill fragments are bright pink on PAS staining, which sometimes raises concern for swallowed parasitic ova; however, parasitic ova are exceptionally uncommon, if not reportable. Moreover, parasitic ova are expected to be more uniform is size and shape, associated with a tissue reaction, and seen in the clinical setting of pertinent clinical symptoms.
CHECKLIST: Select Medications Commonly Associated with the Acute Gastritis Pattern:
Nonsteroidal Anti-Inflammatory Drugs
Doxycycline
Potassium Chloride
Bisphosphonates
Iron
Resins
Various Chemoradiation Therapeutic Agents
HELICOBACTER PYLORI
Helicobacter pylori is a gram-negative helical or curved bacillus known to colonize more than half of the human population,29 and is found in up to 20% of gastric biopsies in North America.30 Fecal–oral contamination is the major mode of transmission, although the organisms have also been cultivated from vomitus and saliva.29,31–34 Dyspepsia is the most common presenting symptom and endoscopic abnormalities can include gastric and or peptic ulcerations. Recognition of the organism is important for symptom resolution and to prevent infection related neoplasia, such as gastric mucosa-associated lymphoid tissue (MALT) lymphoma, glandular dysplasia, and adenocarcinoma.35–37 In addition, Helicobacter pylori infections have been associated with iron deficiency anemia, idiopathic thrombocytic purpura, and have an inverse relationship with asthma, allergy, atopic disease, and gastroesophageal reflux disease.32
In classic examples of Helicobacter pylori gastritis, the diagnosis can almost be made at scanning magnification owing to its characteristic histologic findings: a superficial lymphoplasmacytic inflammation that often appears band-like and snug beneath the surface foveolar epithelium, brisk acute inflammation, and prominent lymphoid aggregates (Figs. 2.37–2.39). Occasionally, a lymphocytic gastritis pattern can also be seen (Figs. 2.40–2.42).38,39 See Lymphocytic Gastritis Pattern in this chapter. The Helicobacter pylori organisms can be easily spotted on H&E without the use of ancillary stains.30 Efficient “bug hunts” target mucin-rich foci near the surface, particularly those that are acutely inflamed (Figs. 2.43–2.45). Characteristically, the organisms appear as curved rods (Figs. 2.46 and 2.47). Occasionally, normal oral and gastrointestinal flora can raise concerns for Helicobacter. Important points of distinction from oral and gastrointestinal flora include the following:

Figure 2.37 Acute gastritis pattern, Helicobacter pylori. This prototypic example of Helicobacter pylori gastritis shows prominent lymphoid aggregates with a germinal center and a superficial lymphoplasmacytosis that appears band-like and snug beneath the surface foveolar epithelium (bracket). These characteristic features are highly suggestive of Helicobacter gastritis at scanning magnification. Helicobacter pylori was identified on higher-power (not shown).

Figure 2.38 Acute gastritis pattern, Helicobacter pylori. This example shows features highly suggestive of Helicobacter gastritis at scanning magnification: prominent lymphoid aggregates and a band-like superficial lymphoplasmacytosis (bracket) are seen.

Figure 2.39 Acute gastritis pattern, Helicobacter pylori. On high power, a superficial lymphoplasmacytosis is seen along with scattered pockets of acutely inflamed pits (arrowheads). This histologic appearance is highly suggestive of Helicobacter, requiring a thorough “bug hunt” for the organism. Helicobacter pylori were identified on higher-power (not shown).

Figure 2.40 Lymphocytic gastritis pattern, Helicobacter pylori. A lymphocytic gastritis pattern can be an important red flag to the diagnosis of Helicobacter gastritis, as seen in this case. This case also features the usual characteristics of Helicobacter, namely a band-like superficial lymphoplasmacytosis and scattered pockets of acute inflammation (arrowheads). Intestinal metaplasia is seen at the far right (arrow).

Figure 2.41 Lymphocytic gastritis pattern, Helicobacter pylori. On higher power, the intraepithelial lymphocytosis is easily appreciated. Also seen are the superficial lymphoplasmacytosis and pockets of acute inflammation (arrowheads) characteristic of Helicobacter. Helicobacter pylori was identified on higher-power (not shown).

Figure 2.42 Lymphocytic gastritis pattern, Helicobacter pylori. This case originated from a patient with Celiac disease. A Helicobacter immunostain was negative.
1. Location: Helicobacter pylori prefer close association with the surface epithelium, unlike the normal oral and gastrointestinal flora, which are found farther from the surface epithelium and often admixed with luminal debris (Fig. 2.44 vs. Fig. 2.48). It is worthwhile to note that occasionally the Helicobacter organisms can be found in gastric pits and glands, a finding not typical of oral and gastrointestinal flora (Figs. 2.49 and 2.50).40

Figure 2.43 Acute gastritis pattern, Helicobacter pylori. Unfortunately, most of the time the diagnosis of Helicobacter requires usage of the dreaded 40× objective. Thankfully, only one organism is needed for the diagnosis, and efficient “bug hunts” can speed the diagnostic process by targeting acutely inflamed tissue fragments, particularly those cases that feature superficial, mucin-rich foci, as seen here (arrowheads). Characteristically, the bacilli are helical, slightly curved, or cinched in the midpoint.

Figure 2.44 Acute gastritis pattern, Helicobacter pylori. Note the close association of the Helicobacter pylori organisms to the foveolar epithelium (arrowheads) and their position within the gastric pit (arrow); these are important points of distinction from the normal gastrointestinal tract and oral flora to be discussed below.

Figure 2.45 Acute gastritis pattern, Helicobacter pylori (arrowheads).

Figure 2.46 Acute gastritis pattern, Helicobacter pylori (Warthin-Starry). The organisms appear a bit plumper on a Warthin-Starry since this process coats the organism with the silver compound.

Figure 2.47 Acute gastritis pattern, Helicobacter pylori (Diff–Quik). A Diff–Quik special stain can highlight the organisms (arrowheads).

Figure 2.48 Gastrointestinal tract and oral bacteria. Unlike H. pylori, the gastrointestinal tract and oral bacteria are not found in intimate association with the surface epithelium, and, instead, are more commonly found amidst luminal debris and mixed bacterial flora with rods and cocci, as seen here (arrowheads). Compare with Figure 2.44.

Figure 2.49 Acute gastritis pattern, Helicobacter pylori. Unlike the gastrointestinal tract and oral bacteria, Helicobacter pylori can be found within the gastric pits (arrowheads).

Figure 2.50 Acute gastritis pattern, Helicobacter pylori (Diff–Quik).
2. Associated bacteria: Helicobacter pylori clusters have nearly identical similarly shaped organisms, whereas the normal oral and gastrointestinal flora are found as mixed flora composed of a mixed population of rods and cocci (Figs. 2.43–2.45 vs. Fig. 2.48).
3. Background: Lastly, Helicobacter pylori is almost always found suspended within a background of active chronic inflammation, as outlined earlier. In contrast, the normal oral and gastrointestinal flora show no consistent relationship with mucosal injury since they are swallowed, endogenous flora. In challenging cases, the Helicobacter pylori immunostain can be helpful.
In general, Helicobacter organisms and their related pathology are most easily seen in the antrum; however, in cases of intestinal metaplasia or marked reactive gastritis/gastropathy involving the antrum, the resultant microenvironment changes are thought to cause the organisms to shift to the oxyntic mucosa or even cardia, underscoring the importance of looking at every stomach biopsy carefully for Helicobacter. Unfortunately, sometimes the Helicobacter organisms can be difficult to find, especially in treated cases that usually show small, rounded, and rare organisms (Figs. 2.51 and 2.52). In such cases, the Helicobacter immunostain is recommended.30

Figure 2.51 Acute gastritis pattern, partially treated Helicobacter pylori (Helicobacter pylori immunostain). In partially treated cases, the organisms can be exceedingly difficult to find because of their altered morphology. In this case, the organisms appear small and rounded, requiring the aid of the Helicobacter pylori immunohistochemical stain for confirmation.

Figure 2.52 Acute gastritis pattern, partially treated Helicobacter pylori (Helicobacter pylori immunostain). Note the coccoid morphology, which results from partial treatment effect. These organisms are usually rare and almost impossible to detect on H&E alone.
PEARLS & PITFALLS
Highlights from the 2013 Rodger C. Haggitt Gastrointestinal Pathology Society Recommendations for the Appropriate Use of Special Stains for Helicobacter Detection:30
• The Helicobacter immunostain is the recommended stain of choice based on its superior sensitivity in comparison to histologic stains, and its enhanced ability to detect Helicobacter with treatment effect (coccoid forms) and rare organisms present deep in the glands or intracellular locations
• Indications for the Helicobacter immunostain include the following, assuming no Helicobacter organisms are seen on H&E:
• Inflamed gastric biopsies, including cardiac mucosa and cases of reactive gastritis/gastropathy, although the yield is low (less than 10%) in the absence of moderate-marked acute and chronic inflammation
• Lymphocytic gastritis pattern
• Chronic inactive gastritis with concomitant positive Helicobacter serologies, gastroduodenal ulcers, gastric MALT-type lymphoma or adenocarcinoma, duodenal lymphocytosis, prior Helicobacter infection, and or high-risk demographics
• Inflamed or ulcerated duodenal biopsies with gastric foveolar metaplasia
• Contraindications to Helicobacter immunostains include the following:
• Cases with Helicobacter organisms present on H&E
• Background normal mucosa
• Reactive gastritis/gastropathy lacking inflammation
• Uninflamed gastric polyps
• A clinical request to “rule-out” Helicobacter; thorough histologic examination of the H&E slide is up to 95% sensitive for Helicobacter detection, particularly if greater than five high-power fields (HPFs) are examined
• The society argues against “up-front” Helicobacter immunostains on all esophageal, gastric, and small bowel biopsies, citing insufficient evidence for reduced turnaround time
• No current recommendations were provided for granulomatous gastritis and eosinophilic gastritis
PEARLS & PITFALLS
A lymphocytic gastritis pattern refers to an intraepithelial lymphocytosis that is most easily seen in the superficial foveolar epithelium (Figs. 2.40–2.42). Helicobacter infections and celiac disease are the most common association with this injury pattern.38,39 If Helicobacter is not identified on H&E, a Helicobacter immunostain is recommended.30 Biopsy material negative for Helicobacter should be accompanied by recommendations to exclude Helicobacter with pertinent clinical studies, such as serology, urease breath test, or stool antigen studies. Similarly, celiac disease should be considered when examining any tandem small bowel specimens. If a small bowel specimen is not provided, it is worthwhile to recommend exclusion of celiac disease with pertinent clinical serologies. See also Lymphocytic Gastritis Pattern in this chapter.
PEARLS & PITFALLS
One of the most challenging aspects of pathology is recognizing that a single biopsy can have more than one important diagnosis; for example, Helicobacter gastritis can have such striking histologic findings that other key diagnoses can be easily overlooked. Routine consideration of these select diagnoses will avoid such missteps.
CHECKLIST: Select Diagnoses Not To Miss on Busy Helicobacter Gastritis Cases:
Granulomata
Amyloid
Lymphocytic Gastritis Pattern
Intestinal Metaplasia
Glandular Dysplasia
Mucosa-Associated Lymphoid Tissue Lymphoma
Infiltrating Adenocarcinoma and Sneaky Signet-Ring Cells
FAQ: What is the best way to approach cases with morphologic features strongly suggestive of Helicobacter infection but in which no organisms are found?
Answer: In challenging cases, a recommendation to clinically exclude Helicobacter with pertinent clinical studies may be prudent (serology, urease breath test, or stool antigen studies). Helicobacter cases can be among the most satisfying because they provide an etiology for the histologic findings and clinical symptoms, and effective treatment can result in symptomatic relief and decreased incidence of gastric MALT lymphoma, glandular dysplasia, and adenocarcinoma. What could be better?! On the other hand, cases with morphology provocative for Helicobacter and no obvious organisms are among the most frustrating because an unrecognized infection can lead to persistent symptoms and increased risk for gastric MALT lymphoma, glandular dysplasia, and adenocarcinoma. What could be worse?! These cases are unavoidably time-consuming and require diligent inspection of multiple HPFs as well as usage of the Helicobacter pylori immunostain. When the classic features of Helicobacter are seen but the organisms are not apparent with the Helicobacter immunostain, a standard note to encourage additional clinical studies is of use. Note, this approach should not be applied to every “juicy” case of chronic gastritis, else it would be overused and its value would be lost. This note is recommended for cases with a minimum of brisk acute and chronic gastritis and superficial lymphoplasmacytic inflammation, with or without prominent lymphoid aggregates and lymphocytic gastritis pattern.
Sample Note: Active Chronic Gastritis Suspicious for Helicobacter
Stomach, Biopsy:
• Antral mucosa with marked active chronic gastritis and superficial lymphoplasmacytosis.
Note: The biopsy shows marked active chronic gastritis with superficial lymphoplasmacytic inflammation. These features are very suspicious for a Helicobacter infection. Although no organisms were identified on the Helicobacterimmunostain, clinical exclusion of a Helicobacter infection is recommended with pertinent clinical studies (serology, urease breath test, or stool antigen studies).
HELICOBACTER HEILMANNII
Not every Helicobacter gastritis case is caused by Helicobacter pylori. To date, phylogenetic studies have identified more than 50 species within the Helicobacter genus. The most familiar of these is Helicobacter heilmannii which itself refers to at least five different species, leading some experts to advocate for the more precise nomenclature of “Helicobacter heilmannii-like organisms”. Unfortunately, much less is known about Helicobacter heilmannii-like infections owing to their rarity. The available literature has shown important similarities with Helicobacter pylori, including shared symptomatology (abdominal pain, nausea, and vomiting), antral predominant active chronic inflammation with prominent lymphoid aggregates (Figs. 2.53–2.56), gastric and duodenal ulcerations, and suggest an increased risk for gastric MALT lymphoma and adenocarcinoma, underscoring their biologic importance.41–44Limited anecdotal evidence has shown Helicobacter heilmannii–like infections respond to the same treatment regime as Helicobacter pylori infections. Important points of distinction of Helicobacter heilmannii–like infections from Helicobacter pylori include the following:

Figure 2.53 Acute gastritis pattern, Helicobacter heilmannii. At low power, Helicobacter heilmannii and Helicobacter pylori gastritis look similar with antral predominant active chronic inflammation and prominent lymphoid aggregates. Helicobacter heilmannii was identified on higher power (not shown). Compare with Figure 2.37.

Figure 2.54 Acute gastritis pattern, Helicobacter heilmannii. This example originates from a 2-year-old boy, emphasizing that Helicobacter heilmannii is more common in children. This example features prominent superficial and deep lymphoid aggregates. Helicobacter heilmanniiwas identified on higher-power (not shown).

Figure 2.55 Acute gastritis pattern, Helicobacter heilmannii. In this example, the lymphoid aggregates are not quite as prominent, but nevertheless they are red flags to the underlying diagnosis. Helicobacter heilmannii was identified on higher power (not shown).

Figure 2.56 Acute gastritis pattern, Helicobacter heilmannii. This biopsy originated from a 1-year-old boy with food avoidance. The chronic inflammation was a useful red flag to the underlying Helicobacter heilmannii infection. This example also features atrophy (the normal back to back gastric gland architecture is absent). After treatment, the clinical symptoms resolved and the gastric mucosa reverted to normal.
1. Helicobacter heilmannii infections are relatively rare. In a study of 5,985 consecutive gastric biopsies in Korea, Helicobacter pylori was identified in 54.9% (n = 3,285) compared to only 0.17% (n = 10) cases of Helicobacter heilmannii.43
2. The mode of transmission for Helicobacter heilmannii is through direct contact with animals, particularly dogs, cats, rabbits, primates, cattle, and swine.
3. Children constitute the most common demographic.
4. The background mucosa shows less acute inflammation than for Helicobacter pylori (Figs. 2.57–2.59).
5. The organisms are elongated and spiraled, less numerous, and not typically adherent to the foveolar epithelium (Figs. 2.60–2.63).

Figure 2.57 Acute gastritis pattern, Helicobacter heilmannii. Typically, Helicobacter heilmannii gastritis feature less acute inflammation than Helicobacter pylori gastritis.

Figure 2.58 Acute gastritis pattern, Helicobacter heilmannii. Again, note the characteristic chronic inflammation prominence with minimal acute inflammation in this case of Helicobacter heilmannii gastritis. Helicobacter heilmannii was identified on higher power.

Figure 2.59 Acute gastritis pattern, Helicobacter heilmannii. This typical example of Helicobacter heilmannii gastritis involves transitional mucosa. A prominent lymphoid aggregate and brisk chronic inflammation is seen and acute inflammation is minimal. Helicobacter heilmannii was identified on higher power (not shown).

Figure 2.60 Acute gastritis pattern, Helicobacter heilmannii. In contrast to Helicobacter pylori, Helicobacter heilmannii organisms are more elongated, slender, and spiraled. As seen in this figure, Helicobacter heilmannii organisms are not typically adherent to the foveolar epithelium, unlike Helicobacter pylori. Compare to Figure 2.44.

Figure 2.61 Acute gastritis pattern, Helicobacter heilmannii (Diff–Quik). This exceptional example features numerous long, slender, and spiraled organisms diagnostic of Helicobacter heilmannii. In most cases, the organisms are far less numerous.

Figure 2.62 Acute gastritis pattern, Helicobacter heilmannii (Diff–Quik). This example is far more typical of Helicobacter heilmannii. Only occasional rare forms are seen in an isolated gastric gland (arrowhead). This diagnosis would have been nearly impossible without the Diff–Quik stain.

Figure 2.63 Acute gastritis pattern, Helicobacter heilmannii (Diff–Quik). In this spectacular example, note how the organisms almost stream over the foveolar surface. Their elongated, slender, spiraled forms are easily seen.
FAQ: Can the Helicobacter pylori immunostain detect Helicobacter heilmannii?
Answer: Yes.
Conveniently, the Helicobacter pylori immunostain cross reacts with the antigens of Helicobacter heilmannii, and is the preferred method of detecting organisms not apparent on H&E.30,45 In contrast, the Diff–Quik and Warthin–Starry special stains are special stains that nonspecifically highlight all bacteria including Helicobacter pylori, Helicobacter heilmannii, and the normal oral and gastrointestinal flora. As a result, these nonspecific special stains can highlight bacteria, in general, but the diagnosis of Helicobacter gastritis relies on familiarity with the characteristic shape and distribution.
CYTOMEGALOVIRUS INFECTION
Endoscopic images of cytomegalovirus infection (CMV) are variable and can include normal, erythema, erosions, or ulcerations (Fig. 2.64).46 Similar to that seen with CMV infections of other sites, the characteristic inflammatory backdrop shows a prominence of mononuclear cells (lymphocytes, macrophages, lymphocytes, and plasma cells), increased apoptotic bodies, erosions, ulcers, and acute inflammation (Figs. 2.65 and 2.66). The classic viral cytopathic effect includes nuclear enlargement, prominent nuclear inclusions (with an “owls’ eye” appearance), and nuclear and or cytoplasmic inclusions (Fig. 2.67). These changes are predominantly seen in stromal and endothelial cells; hence, biopsy of the ulcer base is critical for complete evaluation. Often times, viral cytopathic effect in the stomach is sneaky and may only include scattered enlarged cells with slightly smudged chromatin and prominent apoptotic bodies (Figs. 2.68 and 2.69). Unlike in other sites, CMV gastritis (and enteritis) can feature viral cytopathic effect in epithelial cells, although the key features are generally very subtle (Fig. 2.70). As these features can also be seen in regenerative atypia, a low threshold for a CMV immunostain is worthwhile. Importantly, sometimes the only clue to CMV gastritis is prominent foveolar hyperplasia reminiscent of a gastric hyperplastic polyp (Figs. 2.71–2.75).47,48This pattern is particularly common in immunocompromised individuals and can be seen with a complete lack of acute and chronic inflammation. See also Hyperplasia Pattern, this chapter.

Figure 2.64 Cytomegalovirus (CMV) ulceration, endoscopic image. This example of CMV gastritis shows a deep ulceration (arrowheads).

Figure 2.65 Acute gastritis pattern, CMV. Like that in any other site, the characteristic inflammatory backdrop of CMV infection includes a prominence of mononuclear inflammation, composed of lymphocytes, macrophages, lymphocytes, and plasma cells, in addition to acute inflammation. Whenever this pattern is seen, careful examination for CMV is required; a CMV immunostain is recommended if diagnostic cells are not apparent on H&E.

Figure 2.66 Acute gastritis pattern, CMV. Higher power of previous case (Fig. 2.65). CMV infected cells were detected with CMV immunostain (not shown).

Figure 2.67 Acute gastritis pattern, CMV. This case features a single cell diagnostic of CMV gastritis (arrowhead): cytomegaly, nuclear enlargement, a prominent nuclear inclusion (with an “owls’ eye” appearance), and bright-red, globular cytoplasmic inclusions. In addition, mononuclear inflammation and scattered apoptotic bodies (circles) are seen in the background. CMV immunostain was not necessary in this case.

Figure 2.68 Acute gastritis pattern, CMV. Gastric CMV viral cytopathic effect can be easy to miss and sometimes the only clue to the diagnosis is prominent mononuclear inflammation, scattered enlarged atypical cells with slightly smudged chromatin (arrowhead), or prominent apoptotic bodies (circles), as seen in this case of CMV gastritis. CMV infected cells were seen with a CMV immunostain.

Figure 2.69 Acute gastritis pattern, CMV. Note the striking mononuclear backdrop, scattered atypical stromal cells with prominent nucleoli (arrowheads), and prominent apoptotic bodies (circles) in this case of CMV gastritis. CMV infected cells were seen with CMV immunostain.

Figure 2.70 Acute gastritis pattern, CMV. In most other sites, CMV infection is predominantly seen in stromal cells and endothelial cells. Gastric (and small bowel) CMV infection is unique, however, in that epithelial cells can display CMV viral cytopathic effect. In this example, an epithelial cell displays equivocal features of CMV gastritis with slight nucleomegaly, a prominent nuclear inclusion, and quasi-chromatin smudging (arrowhead); however, the neighboring stromal cells show more classic features with unequivocal cytomegaly, nuclear enlargement, nuclear inclusions, smudged chromatin, and cytoplasmic inclusions (arrows). CMV infected cells were also seen with CMV immunostain.

Figure 2.71 CMV. Foveolar hyperplasia can sometimes be the only clue to a CMV infection, particularly in immunosuppressed patients. This biopsy of flat gastric mucosa originated from a bone marrow transplant patient with vomiting. Prominent foveolar hyperplasia is seen, reminiscent of a gastric hyperplastic polyp. A CMV immunostain was reactive, despite the complete absence of acute inflammation or ulceration.

Figure 2.72 CMV gastritis. This biopsy is from flat gastric mucosa in a patient status post chemoradiation for metastatic breast cancer. The biopsy shows foveolar hyperplasia with lamina propria chronic inflammation.

Figure 2.73 CMV gastritis. Higher power of the previous case (Fig. 2.72). The corresponding CMV immunostain was focally reactive. Foveolar hyperplasia in an immunosuppressed patient should raise consideration of CMV.

Figure 2.74 CMV. In this case, the only clue to the diagnosis of CMV gastritis was the prominent foveolar hyperplasia. This was a biopsy of flat mucosa (no polyp was endoscopically appreciated).

Figure 2.75 CMV (CMV immunostain). CMV immunostain from the previous case (Fig. 2.74). A single CMV immunostain reactive cell is seen.
FAQ: How are CMV immunostains utilized?
Answer: If the diagnosis can be made on H&E owing to classic viral cytopathic effect, a CMV immunostain is not required; however, a low threshold for ordering a CMV immunostain is recommended in immunocompromised patients because the histologic findings can be subtle, easily hidden by obscuring inflammation, or can be accompanied by a complete lack of acute inflammation. The CMV immunostain is recommended in the following settings:
CMV Immunostains Are Recommended in the Following Stomach Biopsies:
• Prominent Apoptotic Bodies
• Atypical Stromal, Endothelial, or Epithelial Cells
• Ulceration
• Prominent Foveolar Hyperplasia in Immunosuppressed Patients
• At the Request of the Clinician
FAQ: How should I approach a case with one equivocal CMV labeled cell?
Answer: Recommend correlation with pertinent clinical studies.
Like all ancillary stains, the CMV immunostain is imperfect and can suffer from high background artifacts, making interpretation challenging. Moreover, the immunostain cannot distinguish an active CMV infection from a latent infection and viral therapy is poorly tolerated in some patients. If equivocal or rare CMV labeling is seen, correlation with the clinical picture and CMV amplification based studies is recommended.
FOCALLY ENHANCED GASTRITIS
The term “focally enhanced gastritis” (FEG) was introduced in 1997 and refers to focally injured gastric glands surrounded by a cuff of inflammation (Figs. 2.76–2.78).49 Acute inflammation is not a requirement for this feature, although it is sometimes encountered; thus, FEG is included in the discussion of the acute gastritis pattern. In a recent study of 31 cases of pediatric FEG, 48% contained eosinophils, 30% contained neutrophils, 10% contained granulomas, and 44% cases were multifocal.50 The clinical significance of FEG has been controversial. Some have reported FEG as a nonspecific finding in adults, with only a 5.9% positive predictive value of inflammatory bowel disease.51 Interestingly, these same experts subsequently reported a significant association of FEG and inflammatory bowel disease in children (p ≤ 0.001).50 This association has been demonstrated by others with a positive predictive value of inflammatory bowel disease up to 94%.49 FEG is most common in Crohn disease (up to 76%), but also occurs in ulcerative colitis (up to 30%); therefore, it cannot reliably distinguish Crohn, ulcerative colitis, or type indeterminate.49–53 More recently, experts have found that FEG in the pediatric setting also correlates with active ileitis and granulomata formation.53

Figure 2.76 Acute gastritis pattern, focally enhanced gastritis (FEG). This stomach biopsy is from a 13-year-old girl with Crohn disease. The tissue fragments were fairly unremarkable except for a focally injured pit surrounded by lymphocytes, macrophages, eosinophils, and neutrophils (arrowhead).

Figure 2.77 Acute gastritis pattern, FEG. The scattered acute inflammation is more apparent on higher power. Although the significance of FEG in adults is not entirely clear, FEG in children is more commonly associated with inflammatory bowel disease (Crohn disease > ulcerative colitis). An Helicobacter pylori immunostain was negative.

Figure 2.78 Acute gastritis pattern, FEG. This example shows a gland encircled by lymphocytes and macrophages (arrowhead). NSAID injury was the likely culprit in this case originating from a 44-year-old athlete with an extensive history of NSAIDs. An Helicobacter pyloriimmunostain was negative.
FAQ: How is FEG incorporated into diagnostic reports?
Answer: The significance of FEG in adults is not entirely established,51 and reporting of such is for academic purposes; however, it may be worthwhile to report FEG in the pediatric population based on its more common association with inflammatory bowel disease.50,52,53 If acute inflammation is seen, a Helicobacter pylori immunostain is recommended, if the organisms are not obvious on H&E.
SAMPLE NOTE: FEG, PEDIATRIC SETTING
Stomach, Biopsy:
• Antral mucosa with focal enhanced gastritis.
• A Helicobacter immunostain is nonreactive.
Note: The history of bloody diarrhea is noted. The stomach biopsy shows focal enhanced gastritis. This finding has been associated with inflammatory bowel disease (Crohn disease > ulcerative colitis) in the pediatric setting. Correlation with biopsies of the terminal ileum, right colon, left colon, and rectum recommended, based on the clinical history of bloody diarrhea. A Helicobacter immunostain is nonreactive.
References:
Ushiku T, Moran CJ, Lauwers GY. Focally enhanced gastritis in newly diagnosed pediatric inflammatory bowel disease. Am J Surg Pathol. 2013;37(12):1882–1888.
McHugh JB, Gopal P, Greenson JK. The clinical significance of focally enhanced gastritis in children. Am J Surg Pathol. 2013;37(2):295–299.
Sharif F, McDermott M, Dillon M, et al. Focally enhanced gastritis in children with Crohn’s disease and ulcerative colitis. Am J Gastroenterol. 2002;97(6):1415–1420.