
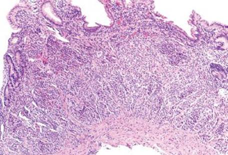
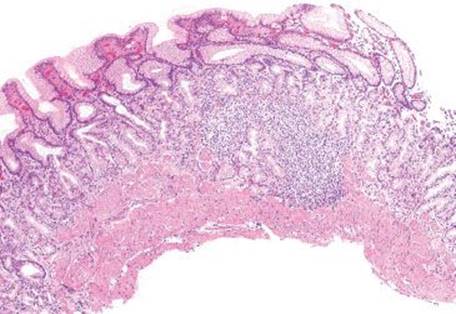
Figure 2.79 Chronic gastritis pattern. Chronic gastritis refers to a heterogeneous group of diseases characterized by chronic inflammation of the gastric mucosa. This is a completely nonspecific injury pattern that relies on clinicopathologic red flags to uncover the underlying etiology.
Gastritis refers to a heterogeneous group of diseases characterized by inflammation of the gastric mucosa (Fig. 2.79). “Chronic gastritis” is arguably one of the more common diagnoses but, unfortunately, also is among the most meaningless. The role of the pathologist is to not only confirm the presence of chronic inflammation but also determine the etiology such that directed therapeutic measures can be taken. As such, “chronic gastritis” may be accurate, but of limited value to clinician and patient. Instead, recognizing different patterns of “chronic gastritis” can provide clues to the pathogenesis and, in doing so, provide useful information that can impact patient management. In this section, the discussion will center on the injury patterns important for determination of the two most common causes of chronic gastritis: autoimmune metaplastic atrophic gastritis (AMAG) and environmental metaplastic atrophic gastritis (EMAG).11,12,16,54–88
AUTOIMMUNE METAPLASTIC ATROPHIC GASTRITIS (AMAG)
An Overview
AMAG is also commonly referred to as “autoimmune gastritis (AIG),” “autoimmune atrophic gastritis,” “type A gastritis,” or “diffuse corporal atrophic gastritis (DCAG).”4,11,12,89 AMAG is critical to recognize because these patients are at an increased risk for dysplasia, a threefold increased risk of gastric carcinomas, and at 13-fold increased risk of gastric neuroendocrine tumors (formerly “carcinoids”) as well as at risk for pernicious anemia. Physiologically, AMAG is the immune-mediated destruction of gastric parietal cells and the late clinical result is vitamin B12 deficiency (clinically pernicious anemia). Briefly, antibody mediated loss of parietal cells and chief cells results in decreased parietal cellular products, such as decreased intrinsic factor (IF) and decreased acid production (increased pH). In an attempt to replenish these cellular products, antral G cells increase gastrin secretion and ECL cells increase histamine secretion (Figs. 2.80–2.82). Over many years to decades, reduced vitamin B12 absorption will eventually lead to pernicious (megaloblastic) anemia. In addition, over long periods of time, persistent ECL cell hyperplasia can lead to neuroendocrine tumors (formerly “carcinoids”) (Figs. 2.83 and 2.84).
AMAG characteristically shows body/fundus-predominant injury and demonstrates a combination of the following morphologic features (Figs. 2.85–2.89).
• Basal Lymphocytic Infiltrate of Oxyntic Mucosa
• Atrophy of Oxyntic Mucosa (Patchy or Complete)
• Intestinal and Pyloric Metaplasia of Oxyntic Mucosa
• Lymphoid Aggregates in Oxyntic Mucosa

Figure 2.80 Normal physiology of the parietal cell. The parietal cell is stimulated by gastrin that is produced by the G cells found exclusively in the gastric antrum, and by histamine produced by ECL cells found preferentially in oxyntic mucosa. The parietal cell secretes intrinsic factor, which plays a critical role in the transport of vitamin B12 in the small bowel. In addition, the parietal cell is responsible for secretion of acid, resulting in feedback inhibition of the G cell.

Figure 2.81 Physiology of autoimmune metaplastic atrophic gastritis (AMAG). Autoantibodies attack parietal cells resulting in decreased acid and loss of feedback inhibition of the antral G cells. The increased gastrin secretion causes elevated serum gastrin as well as hyperplasia of ECL cells. Furthermore, the lack of intrinsic factor results in the inability to absorb dietary vitamin B12.

Figure 2.82 Normal gastric cell populations compared to autoimmune metaplastic atrophic gastritis (AMAG). The normal gastric body and fundus is composed of oxyntic mucosa containing abundant parietal cells with scattered ECL cells. The acid secreted by the parietal cells serves as feedback inhibition to turn off gastrin secretion by the antral G cells. By comparison, the autoimmune-mediated loss of parietal cells in AMAG results in loss of feedback inhibition of the G cells. The resulting unchecked gastrin secretion causes ECL cell hyperplasia in a background of oxyntic gland atrophy.

Figure 2.83 Chronic gastritis pattern, well-differentiated neuroendocrine (carcinoid) tumor (type I). Prolonged and unchecked gastrin stimulation of the ECL cells can lead to transformation of ECL cell hyperplasia into neuroendocrine tumors (type I, when in the setting of AMAG). One should always carefully evaluate of the background gastric mucosa in all cases of gastric neuroendocrine tumors to aid in classification, treatment, and prognosis.

Figure 2.84 Chronic gastritis pattern, well differentiated neuroendocrine (carcinoid) tumor (type I) (chromogranin immunostain). Previous case (Fig. 2.83). The distinction between reversible nodular ECL cell hyperplasia and neuroendocrine neoplasm is somewhat arbitrary. The College of American Pathologists suggests a size threshold of ≥0.5 mm for neuroendocrine tumors, whereas smaller nodules are considered ECL cell hyperplasia (or “dysplasia”).

Figure 2.85 Chronic gastritis pattern, antral histology of autoimmune metaplastic atrophic gastritis (AMAG). The gastric antrum has minimal histologic change, with mild reactive gastritis/gastropathy (tortuosity of antral pits, foveolar hyperplasia, loss of apical mucin, minimal background chronic inflammation, and smooth muscle streaming in the lamina propria).

Figure 2.86 Chronic gastritis pattern, body/fundus histology of well-developed autoimmune metaplastic atrophic gastritis (AMAG). The autoimmune destruction of parietal cells results in total loss of oxyntic glands in the late stages of AMAG. Characteristic features of intestinal metaplasia, pyloric metaplasia (arrowhead), and low-lying lymphoid aggregates (arrow) are seen in this gastric biopsy. In the complete absence of oxyntic mucosa, it would be easy to mistake this biopsy for antral mucosa with intestinal metaplasia and chronic inflammation.

Figure 2.87 Chronic gastritis pattern, comparison of G cell location autoimmune metaplastic atrophic gastritis (AMAG) (gastrin immunostain). Utilization of a gastrin stain can aid in identifying the gastric compartment (body/fundus vs. antrum) from which tissue fragments were obtained. Gastrin stains G cells which are found exclusively in the antrum (right), whereas tissue fragments obtained from the body/fundus contain no G cells (left). This immunostain can be useful when there is total atrophy of the oxyntic glands and the compartment of origin is uncertain, such as in the previous figure. Photograph courtesy of Dr. Lysandra Voltaggio, Johns Hopkins.

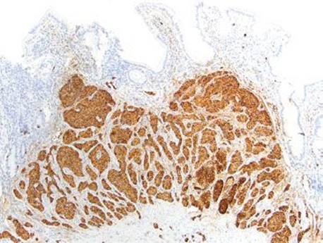
Figure 2.88 Chronic gastritis pattern, linear ECL cell hyperplasia (chromogranin immunostain). The uninhibited gastrin secretion in autoimmune metaplastic atrophic gastritis (AMAG) results in ECL cell hyperplasia (≥5 ECL cells arranged together). This example shows a linear configuration (arrow) of ECL cell hyperplasia&emdash;at least five ECL-consecutive cells arranged in a row.

Figure 2.89 Chronic gastritis pattern, nodular ECL cell hyperplasia (chromogranin immunostain). ECL cell hyperplasia can progress to nodular form (≥5 or more ECL cells arranged in a nodule). At low magnification, the small nodular aggregates of ECL cells are evident (arrowheads). ECL cell hyperplasia, by definition, is reversible with the interruption of gastrin stimulation.
FAQ: What constitutes ECL cell hyperplasia?
Answer: By definition, ECL cell hyperplasia refers to five or more ECL cells arranged in a back-to-back configuration, either grouped in a row (linear ECL cell hyperplasia) (Fig. 2.88) or in a cluster (nodular ECL cell hyperplasia) (Fig. 2.89). ECL cell hyperplasia is seen in 33% to 100% of patients with AMAG and is best visualized with a chromogranin immunostain.
FAQ: What are the size criteria for neuroendocrine tumors? When does ECL cell hyperplasia become a neuroendocrine tumor?
Answer: The practical answer is that if the endoscopist can see a “bump,” it should be considered an endoscopically resectable lesion, and therefore a neuroendocrine tumor. The technical answer is that both terminology and size criteria for neuroendocrine tumors vary depending on which standards are followed:

PEARLS & PITFALLS
It is important to identify the background gastric changes whenever a neuroendocrine tumor is encountered in the stomach. Like tumors that arise in the setting of Zollinger–Ellison syndrome (type II) but in contrast to those sporadically (type III), those that arise in the setting of AMAG (type I) have excellent prognoses and low rates of metastatic disease. For patients with extensive neuroendocrine tumors, antrectomy to remove the stimulatory G cells has been successful.
ENVIRONMENTAL METAPLASTIC ATROPHIC GASTRITIS (EMAG)
An Overview
EMAG is also commonly referred to as “multifocal atrophic gastritis (MAG),” or “type B gastritis.” EMAG characteristically shows antral-predominant injury and demonstrates a combination of:
• Superficial Plasmacytic Infiltrate
• Atrophy of Antral Mucosa (Early) and Oxyntic Mucosa (Late)
• Intestinal Metaplasia of Antrum (Early) and Oxyntic Mucosa (Late)
• Lymphoid Aggregates of Antrum (Early) and Oxyntic Mucosa (Late)
The term EMAG refers to environmental insult, but necessarily implicates Helicobacter, which is discussed in greater detail in the acute gastritis section. When the previously mentioned subpatterns are seen in combination, the findings are fairly specific for Helicobacter; however, antral-predominant disease that includes only one of these subpatterns of injury may be the result of other “environmental” or chemical etiologies, such as bile reflux, NSAIDs, and other direct toxins (i.e., smoking, alcohol); therefore, it is helpful to look for additional patterns of injury in the background. For example, the presence of intestinal metaplasia limited to the gastric antrum could be the result of any of the previously listed environmental factors, but the additional presence of a superficial plasmacytic infiltrate suggests Helicobacter. In comparison, if the antral-predominant intestinal metaplasia is paired with a hyperplastic or reactive gastropathy pattern, a chemical injury (bile reflux, NSAIDs) is more likely.
A PATTERNS-BASED APPROACH TO CHRONIC GASTRITIS
CHECKLIST: The Five Major Chronic Gastritis Subpatterns
Superficial Plasmacytic Infiltrate
Basal Lymphocytic Infiltrate
Atrophic
Metaplastic
Lymphoid Aggregates
This section discusses five key injury patterns; all can be identified at scanning magnification. Proper awareness and understanding of these features can be used to construe the etiology of the chronic gastritis, thereby providing useful information for clinicians and patients. Using the framework prescribed herein, the majority of cases can be ascribed an etiology of either autoimmune metaplastic atrophic gastritis (AMAG) or environmental metaplastic atrophic gastritis (EMAG). As one can discern from the AMAG and EMAG overview discussions earlier, the compartment in which the predominant injury pattern is found (i.e., antral vs. oxyntic mucosa) is a critical factor in distinguishing these entities. For example, AMAG is a body/fundus predominant disease, with the immune-mediated loss of parietal cells (Fig. 2.90), whereas EMAG is antral-predominant in its early stages, and more diffuse and multifocal in the late stages (Fig. 2.91). As such, the discussion that follows will include a section on compartments for each injury pattern, to further underscore the importance of compartment/location in determining the etiology of the chronic gastritis. In addition, it is necessary to evaluate tissue from both antral and oxyntic mucosa to fully assess the etiology of the gastritis. Recommended biopsy protocols exist, the most widely accepted of which is the Sydney System protocol (Fig. 2.92) which includes five samples: two each from greater and lesser curvatures (to include both antrum and body) and one from incisura (transition zone). It must be noted that, unfortunately, not all cases of chronic gastritis can be neatly stratified into AMAG or EMAG. Despite the pathologist’s best efforts, there will remain a number of cases that retain a nonspecific diagnosis of “chronic gastritis” for which an etiology cannot be determined. This could be attributed to limited tissue sampling, nonspecific etiologies, or as-yet uncharacterized forms of gastritis.

Figure 2.90 Chronic gastritis pattern, compartment of injury in autoimmune metaplastic atrophic gastritis (AMAG). The autoimmune destruction of parietal cells in AMAG results in injury limited to the body and fundus, with sparing of the gastric antrum. Note how this pattern of compartmental injury is reversed in EMAG (see Fig. 2.91).

Figure 2.91 Chronic gastritis pattern, compartment of injury in environmental metaplastic atrophic gastritis (EMAG). The preference of Helicobacter for the antral mucosa in EMAG results in injury limited to the antrum during the early stages. There is relative sparing of the gastric body until late in the disease. By comparison, AMAG is limited to the gastric body/fundus.

Figure 2.92 Biopsies of the gastric mucosa, Sydney protocol. Evaluation of both the antrum and body/fundus are necessary to appreciate the extent of disease and whether the changes are limited to a particular compartment. The Sydney protocol is widely accepted and requires five biopsies: two each from the greater and lesser curvature (to include both body and antrum) and one from the incisura (stars).
SUPERFICIAL PLASMACYTIC INFILTRATE SUBPATTERN
This subpattern of chronic gastritis is defined as an expansion of the lamina propria just below the surface epithelium by an inflammatory infiltrate composed predominantly of plasma cells, and produces a characteristic “band-like” quality at scanning magnification. (Figs. 2.93–2.96). Examination at higher power shows that other inflammatory cells, such as lymphocytes and eosinophils, are often admixed, but the dominant cell type is plasma cells. This subpattern of injury is frequently a dominant pattern, and is so highly characteristic of EMAG’s Helicobacter infection, that Helicobacter gastritis can essentially be diagnosed on a 2× objective, much to the amazement of novice trainees. In the absence of demonstrable organisms on higher power or special stains, this subpattern of injury should still be considered Helicobacter infection until excluded clinically with additional testing (i.e., serum antibody, urease breath test, stool antigen). Of note, superficial plasmacytic infiltrates are not commonly seen in AMAG.

Figure 2.93 Chronic gastritis pattern, superficial plasmacytic infiltrate subpattern. At scanning magnification, this oxyntic mucosa shows a single dominant subpattern, with a band-like infiltrate expanding the lamina propria between the surface epithelium and the superficial glands. Even at this magnification, the main differential diagnosis is Helicobacter gastritis.

Figure 2.94 Chronic gastritis pattern, superficial plasmacytic infiltrate subpattern. Higher magnification of previous figure. At higher magnification, one can appreciate that the superficial band is composed of a mixture of chronic inflammatory cells, but the predominant cell type is plasma cells.

Figure 2.95 Chronic gastritis pattern, Helicobacter pylori gastritis. The superficial plasmacytic infiltrate subpattern of injury is highly associated with Helicobacter pylori infection. These spiral organisms (arrowheads) can be found in the mucin of gastric pits.

Figure 2.96 Chronic gastritis pattern, Helicobacter pylori (Warthin–Starry special stain). This silver-based Warthin-Starry stain coats the Helicobacter organisms, and enhances their morphologic features, including their short, tight spirals, and curved appearance.
Compartment, Superficial Plasmacytic Infiltrate Subpattern
The superficial plasmacytic infiltrate subpattern is most commonly seen in the gastric antrum, the preferential site of residence for Helicobacter organisms. Importantly, this pattern can also be seen in the gastric body, particularly in the setting of proton pump inhibitor (PPIs) use, which decrease the gastric acidity and, thereby, foster a more hospitable local environment for Helicobacter.
PEARLS & PITFALLS
In addition to facilitating proximal migration of Helicobacter organisms, PPIs or concurrent antibiotics can decrease Helicobacter bacterial load so that organisms may not be visible or may acquire an altered morphology to a more coccoid form, and facilitate the survival of non-Helicobacter bacteria, making diagnosis challenging. As such, if the pattern of injury is characteristic, but there are no demonstrable organisms, additional clinical workup (i.e., serum antibody, breath test, and stool antigen testing) can be worthwhile.
BASAL LYMPHOCYTIC INFILTRATE SUBPATTERN
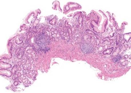
This subpattern of chronic gastritis is defined by a low-lying lymphocytic infiltrate that expands the lamina propria between the base of the gastric glands and the muscularis mucosae. The prototypical case shows a “band-like” infiltrate hugging the muscularis mucosae at scanning magnification. High-power examination shows admixed plasma cells and occasional eosinophils, but the dominant cell type is lymphocytes (Figs. 2.79, 2.97 and 2.98).
Compartment, Basal Lymphocytic Infiltrate Subpattern
Recognizing the compartment in which this pattern arises can aid in determining the etiology of the chronic gastritis. For example, when found isolated to the gastric body/fundus, the changes are more likely related to AMAG, and further identification of additional AMAG patterns of injury can be helpful. In contrast, involvement limited to the antrum (or mixed antral and oxyntic involvement) suggests the etiology may be related to EMAG; however, identification of other concurrent patterns of injury is necessary.

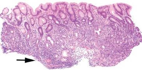
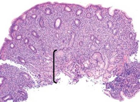
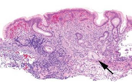
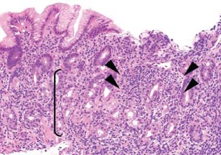
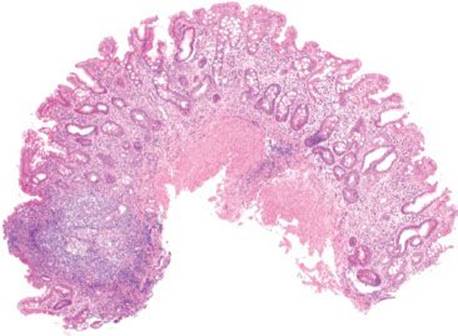
Figure 2.97 Chronic gastritis pattern, basal lymphocytic infiltrate subpattern, early AMAG. The dominant pattern of injury in this tissue fragment is a low-lying lymphocytic infiltrate that hugs the muscularis mucosae and expands the lamina propria below the base of the glands (arrow). The oxyntic glands (bracket) indicate that the compartment of injury is body/fundus. Further investigation reveals an area of oxyntic gland atrophy (arrowheads), suggesting early AMAG.

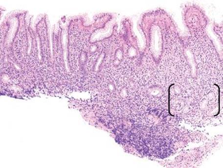
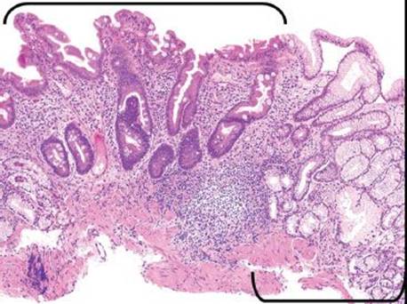
Figure 2.98 Chronic gastritis pattern, basal lymphocytic infiltrate subpattern, AMAG. At scanning magnification, this tissue fragment shows a chronic inflammatory infiltrate that is bottom-heavy (arrow). Whereas this pattern in the body/fundus suggests AMAG, this finding in the antrum suggests EMAG. Awareness of the compartment is critical for determining the underlying etiology of the chronic gastritis pattern.
PEARLS & PITFALLS
Beware the monomorphic lymphocytic infiltrate that is gland-destructive or that traverses the muscularis mucosae. These two features should raise suspicion for a malignant lymphocytic infiltrate and further immunohistochemical workup would be prudent.
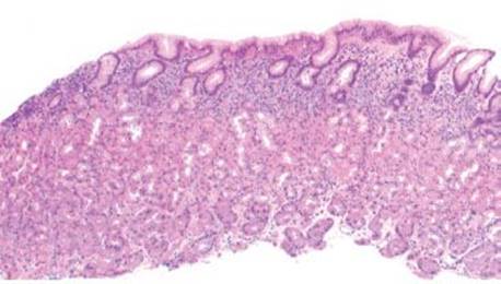
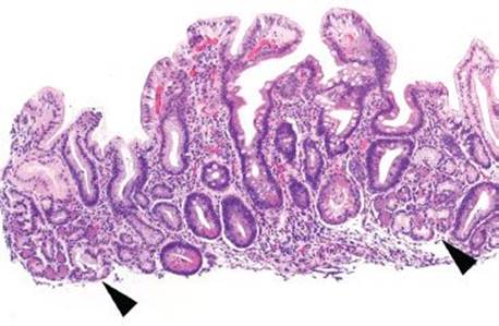
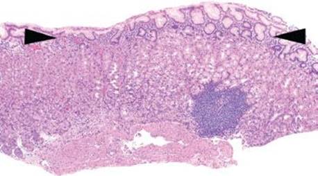
ATROPHIC
The definition of “atrophy” is the loss of appropriate glands, and atrophy can be scored according to the degree of severity as mild, moderate, or marked (Figs. 2.99–2.105). Atrophy can be divided into antral/pyloric gland atrophy, and oxyntic gland atrophy. By definition, both AMAG and EMAG have glandular atrophy, but in differing compartments.

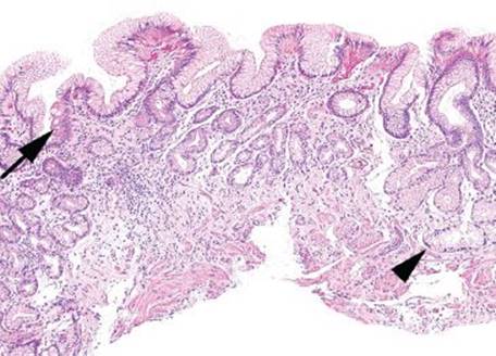
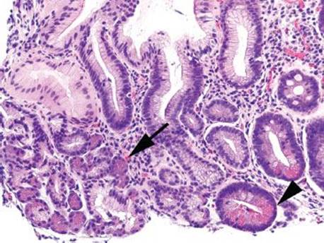
Figure 2.99 Chronic gastritis pattern, antral pyloric gland atrophy, EMAG. Antral atrophy has poor interobserver concordance and can be difficult to evaluate; however, this example shows a marked reduction in the pyloric glands (bracket) as compared to the full thickness of the biopsy. Isolated antral atrophy is commonly associated with Helicobacter. Not the top-heavy superficial plasmacytic infiltrate in this case.

Figure 2.100 Chronic gastritis pattern, antral pyloric gland atrophy, EMAG. This example shows atrophy of pyloric glands (residual pyloric glands in brackets). The findings of atrophy and lymphoid aggregates in this antral biopsy suggest EMAG or Helicobacter infection.

Figure 2.101 Chronic gastritis pattern, antral pyloric gland atrophy, EMAG. This biopsy shows atrophic mucosa with lymphoid aggregates. A few residual pyloric glands are present (arrow).

Figure 2.102 Chronic gastritis pattern, antral pyloric gland atrophy, EMAG (gastrin immunostain). The gastrin immunostain from the previous case (Fig. 2.101) highlights a residual band of G cells, thereby confirming this as antral mucosa.

Figure 2.103 Chronic gastritis pattern, partial oxyntic gland atrophy, early AMAG. This inflamed mucosa can appear quite “busy”, but careful examination reveals areas of oxyntic gland loss/atrophy (arrowheads; residual oxyntic glands in bracket). Patchy atrophy of oxyntic glands such as this should raise suspicion for early AMAG.

Figure 2.104 Chronic gastritis pattern, total atrophy of gastric glands, AMAG. This biopsy shows marked atrophy. In addition, the background mucosa also shows a subpattern of a bottom-heavy basal lymphocytic infiltrate. Correctly identifying the compartment (antral vs. body) of this biopsy is critical in the distinction of AMAG versus. EMAG. A gastrin immunohistochemical stain is necessary (see next figure).

Figure 2.105 Chronic gastritis pattern, total atrophy of gastric glands (gastrin immunostain), AMAG. A negative gastrin immunostain from the previous case (Fig. 2.105) indicates that the tissue originates from the gastric body/fundus. In this compartment, the findings suggest AMAG. This case underscores the importance of compartment awareness for arriving at the correct underlying etiology.
Compartment, Atrophic Subpattern
Since AMAG is the result of oxyntic gland atrophy from antibodies against parietal cells, this disease process is, necessarily, limited to oxyntic mucosa. In contrast, EMAG is an antral-predominant disease process and results in antral atrophy before extending multifocally into the gastric body and fundus. Late stage disease for both entities provides some challenges, since total atrophy of oxyntic glands in late AMAG can deceive one into accepting the tissue as antrum. Alternatively, the late stage of EMAG can also show atrophy of oxyntic glands, misleading one into thinking there is an autoimmune process. Immunostaining for gastrin is a quick, and sometimes necessary, method to identify the site of origin for a biopsy fragment (the gastric antrum displays a band of G cells, and the gastric body/fundus lacks G cells). Identification of other compartment-restricted patterns of injury is necessary to establish a diagnosis.
METAPLASIA
The two most common types of metaplasia seen in the stomach include intestinal metaplasia (IM) and pyloric metaplasia (Figs. 2.106–2.109). Both are the result of chronic gastritis, and consequently both are more frequently encountered in elderly individuals. A third, less common form of metaplasia is pancreatic metaplasia (Figs. 2.110–2.113).

Figure 2.106 Chronic gastritis pattern, intestinal metaplasia, complete, with villiform change, AMAG. This biopsy was removed from the gastric body of a patient with well-developed AMAG. The intestinal metaplasia includes intensely pink Paneth cells at the bases of the pits (arrowhead), indicating complete intestinal metaplasia. Further evidence of advanced intestinal metaplasia can be seen in the villiform architecture of the pits and glands.

Figure 2.107 Chronic gastritis pattern, intestinal and pyloric metaplasia, AMAG. This biopsy from the gastric body shows both intestinal metaplasia (arrow) and pyloric metaplasia (arrowhead). In the setting of total oxyntic atrophy, such as this, a gastrin stain can confirm that this tissue as body/fundus in origin.

Figure 2.108 Chronic gastritis pattern, intestinal and pyloric metaplasia, AMAG (gastrin immunostain). This negative gastrin immunostain from the previous case (Fig. 2.107) verifies the absence of G cells and confirms gastric body/fundus origin, further substantiating an interpretation of AMAG.

Figure 2.109 Chronic gastritis pattern, linear and nodular enterochromaffin cell (ECL) cell hyperplasia, AMAG (chromogranin immunostain). This chromogranin immunostain of the previous figure highlights both linear (arrowhead) and nodular (arrow) ECL cell hyperplasia. The finding of either linear or nodular ECL cell hyperplasia confirms the diagnosis of AMAG.

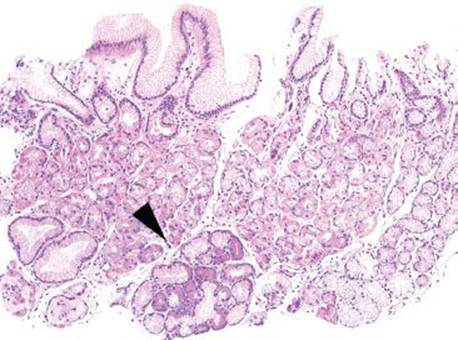
Figure 2.110 Chronic gastritis pattern, pancreatic metaplasia/heterotopia. Pancreatic differentiation (arrowhead) is seen as a lobule of pancreatic acinar cells and is etiologically nonspecific. The background in this example is unremarkable oxyntic mucosa. In normal stomachs, this finding is probably heterotopic rather than metaplastic whereas in stomachs with autoimmune gastritis, pancreatic type tissue is probably metaplasic.

Figure 2.111 Chronic gastritis pattern, pancreatic metaplasia. Higher magnification of previous case (Fig. 2.110). This focus shows pancreatic acinar cells (arrow) which are wider at the base than at the luminal apex. Brightly eosinophilic, coarse zymogen granules fill the cytoplasm and the cells have basally located small, uniform nuclei. By comparison, parietal cells (arrowhead) are polygonal with finely granular eosinophilic cytoplasm. The nuclei may be centrally or basally located, and are larger by comparison. A trypsin stain may be useful in difficult cases (pancreatic cells would display trypsin reactivity and oxyntic cells would be trypsin nonreactive).

Figure 2.112 Chronic gastritis pattern, pancreatic metaplasia, AMAG. Lobules of pancreatic metaplasia (arrowheads) are present in this gastric body biopsy of a patient with AMAG. Intestinal metaplasia and total atrophy of oxyntic glands are present in a background of a chronic inflammatory infiltrate. Based on the presence of damaged background mucosa, this pancreatic tissue is best regarded as metaplastic.

Figure 2.113 Chronic gastritis pattern, pancreatic metaplasia, AMAG. Higher magnification of previous case (Fig. 2.112). The pancreatic acinar cell (arrow) is seen in the same field as Paneth cells (arrowhead) in the background of complete intestinal metaplasia. By comparison, the Paneth cells have coarser and more brightly eosinophilic zymogen granules.
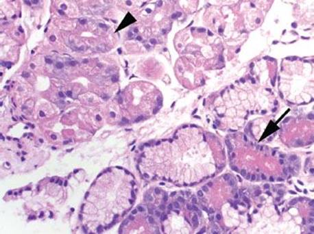
Pyloric metaplasia is the replacement of the oxyntic mucosa with pyloric glands. Although this finding is highly characteristic of AMAG, it is not always a dominant pattern of injury. More often, adjoining intestinal metaplasia (IM) is far more prominent, particularly at low power. With IM, the cells of the surface and pit epithelium change such that they morphologically and histochemically resemble the small or large bowel, a finding that can be categorized as complete (type I) or incomplete (type II). Complete IM resembles normal small bowel epithelium with fully developed goblet cells, enterocytes with a brush border, and Paneth cells. In advanced cases, the contour of the mucosa develops villiform architecture and crypts. In contrast, incomplete IM (type II) has a mixture of goblet cells and normal gastric epithelium, and it lacks a brush border, Paneth cells, and absorptive cells. IM (complete or incomplete) may be seen in both AMAG and EMAG. Finally, the less common pancreatic acinar metaplasia is found in over 20% of AMAG cases and is frequently seen in conjunction with pyloric or intestinal metaplasia. These nested or lobulated collections of pancreatic acinar cells stain with amylase (75%).
Compartment, Metaplasia Subpattern
In AMAG, IM is a prominent finding in the gastric body/fundus in combination with oxyntic gland atrophy, pyloric metaplasia, and pancreatic metaplasia. By comparison, in EMAG, IM is a prominent finding in the gastric antrum and does not extend to the body/fundus until late in the disease. When IM is limited to the antral mucosa, diagnostic considerations include EMAG (Helicobacter, bile reflux, nonsteroidal anti-inflammatory medication injury, and other direct mucosal toxins [i.e., smoking, alcohol]). Inspection for other concomitant patterns or subpatterns of injury may help suggest the etiology; for example, the presence of antral-based IM with acute gastritis is likely Helicobacter, whereas antral-based IM with reactive/chemical gastropathy is more likely related to bile reflux or other chemical agents.
LYMPHOID AGGREGATES
Lymphoid aggregates subpattern is defined as the presence of benign lymphoid aggregates or lymphoid follicles involving the mucosa (Figs. 2.114–2.119). This subpattern is perhaps the least specific of the chronic gastritis subpatterns, but one of the most common, and most easily identifiable at low power. Lymphoid aggregates can be seen in any form of chronic gastritis, regardless of etiology, and are commonly associated with EMAG’s Helicobacterinfection and treated Helicobacter. These aggregates can be antral predominant, or extend into the gastric body and fundus in EMAG.
Compartment, Lymphoid Aggregates Subpattern
Because of the nonspecific nature of lymphoid aggregates, the compartment in which this finding is seen is not particularly helpful. Rather, one should carefully examine for other features of AMAG and EMAG (Tables 2.1 and 2.2).

Figure 2.114 Chronic gastritis pattern, lymphoid aggregate subpattern, late EMAG. At scanning magnification, the prominent lymphoid aggregate is eye catching. Lymphoid aggregates are not always helpful in differentiating AMAG from EMAG. For example, this lymphoid aggregate is seen in the body compartment, but the superficial band-like inflammatory infiltrate (arrowheads) indicates this is most likely Helicobacter related (late EMAG).

Figure 2.115 Chronic gastritis pattern, lymphoid aggregate, treated H. pylori gastritis. In cases of eradicated Helicobacter infection, such as this, lymphoid aggregates may persist for up to a year. The persistent lymphoid aggregate is not a sign of active infection.

Figure 2.116 Chronic gastritis pattern, lymphoid aggregate subpattern, AMAG. At scanning magnification, a prominent lymphoid aggregate is present in this body biopsy. Given the location of injury and the combination of background intestinal metaplasia and the total lack of oxyntic glands, the etiology is likely AMAG.

Figure 2.117 Chronic gastritis pattern, lymphoid aggregate, AMAG. Another example of prominent lymphoid aggregates at scanning magnification. Although this biopsy is labeled “body”, no oxyntic glands are present.

Figure 2.118 Chronic gastritis pattern, lymphoid aggregate, AMAG (gastrin immunostain). A gastrin immunostain of the previous figure is devoid of G cells, confirming the tissue originated from the gastric body.

Figure 2.119 Chronic gastritis pattern, lymphoid aggregate, AMAG. Higher magnification of previous figure reveals intestinal metaplasia (top bracket), pyloric metaplasia (lower bracket), and total atrophy of oxyntic glands. The findings are strongly suggestive of AMAG.
FAQ: If lymphoid aggregates and follicles persist following Helicobacter treatment, does this mean treatment failed?
Answer: No.
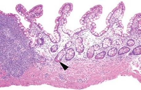
In cases of treated Helicobacter, the gastric mucosa shows various degrees of chronic gastritis, possibly with some lymphoid follicles, but no active inflammation. These chronic changes can persist for months following eradication of the organism.
FAQ: Are lymphoid aggregates ever normal in the stomach?
Answer: Yes.
Although MALT is limited to the oropharynx, terminal ileum and appendix of the alimentary tract, isolated lymphoid aggregates can be present in the otherwise normal gastric mucosa of both pediatric and adult patients.90
TABLE 2.1: Comparison of Early and Late AMAG and EMAG by Compartment and Potential Neoplasia

TABLE 2.2: Comparison of AMAG versus EMAG by Patterns of Injury

KEY FEATURES of Autoimmune Metaplastic Atrophic Gastritis (AMAG):
• AMAG is also known as autoimmune gastritis (AIG), type A gastritis, autoimmune atrophic gastritis, diffuse corporal atrophic gastritis (DCAG).
• Auto-antibodies cause loss of oxyntic glands and intrinsic factor.
• Histologically, this is a body-predominant disease characterized by intestinal metaplasia, pyloric metaplasia, oxyntic gland atrophy, and ECL cell hyperplasia.
• Long term clinical sequelae include pernicious anemia, elevated serum gastrin, achlorhydria, and neuroendocrine tumors (type I).
• Antrectomy to remove the stimulatory G cells has proven useful in treatment of neuroendocrine tumors.
KEY FEATURES of Environmental Metaplastic Atrophic Gastritis (EMAG):
• EMAG is also known as: multifocal atrophic gastritis (MAG) or type B gastritis.
• The most common etiologic cause is Helicobacter. Other associations included dietary factors (high-salt smoked foods, nitrates, lack of intake of fruit and vegetables).
• Histologically, this is an antral-predominant disease with variable histologic appearances.
• Long term clinical sequelae may include mucosa associated lymphoid tissue (MALT) lymphoma, glandular dysplasia, and adenocarcinoma.
• Most patients respond to treatment of their associated condition