
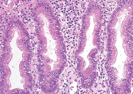
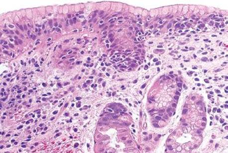
Figure 2.120 Lymphocytic gastritis pattern. This pattern of injury characteristically includes a mononuclear infiltrate in the lamina propria, but it differs from other types of chronic gastritis by the presence of increased intraepithelial lymphocytes (IELs), defined as >25 IELs per 100 epithelial cells.
CHECKLIST: Etiologic Considerations for the Lymphocytic Gastritis Pattern
Infectious: Helicobacter, HIV
Celiac Disease
Other Immune-Mediated Disorders: CVID, Crohn Disease, Lymphocytic Enterocolitis
Medications: Ticlopidine, Olmesartan (Benicar)
Neoplasia: Lymphoma
Lymphocytic gastritis differs from chronic gastritis by the presence of increased intraepithelial lymphocytes (IELs), defined as more than 25 intraepithelial lymphocytes per 100 epithelial cells (Figs. 2.120–2.126).38,91–97 The term “lymphocytic gastritis” was originally used to describe the histologic counterpart to “varioliform” gastritis (i.e., thickened rugal folds and erosions), but subsequent studies have shown this association in only 3.9% to 30% of cases. More commonly, the endoscopic image shows erythema but up to 50% of patients have a normal endoscopic appearance. Although the etiology of the inflammation remains unknown in up to 20% of cases, common associations include infection (e.g., Helicobacter, HIV), celiac disease and other immune-mediated disorders (common variable immunodeficiency, Crohn disease, lymphocytic enterocolitis), medications, and neoplasia (Figs. 2.127–2.142).98 As a result, recognition of the lymphocytic gastritis pattern can serve as an important red flag to the underlying diagnosis and, consequently, lead to effective therapy with resolution of symptoms. The changes affect the entire stomach, but intraepithelial lymphocytes are most evident in the oxyntic mucosa, and are more prominent in the superficial epithelium than the glands. Most cases show expansion of the lamina propria with a mixed lymphoplasmacytic inflammatory infiltrate, in addition to the intraepithelial lymphocytosis (Fig. 2.121). Regenerative and hyperplastic changes in the surface epithelium may be present, analogous to the surface changes seen with intraepithelial lymphocytosis of the small and large bowel. Immunolabeling identifies these as CD3+ T cells, with about 80% showing a cytotoxic/suppressor CD8+ phenotype. Most patients respond to treatment of their associated condition, when a known etiology is present (i.e., successful eradication of Helicobacter usually leads to reduced symptoms and decreased inflammation in biopsies, and adherence to a gluten-free diet typically results in clinical and histologic improvement in patients with celiac disease). Others advocate empiric Helicobacter eradiation, even in Helicobacter-negative patients. In general, immunosuppressive medications are reserved for those who fail gluten withdrawal and whose intraepithelial lymphocytosis involves the stomach, small, and large bowel. Untreated lymphocytic gastritis may persist for years, although spontaneous remission has been reported.

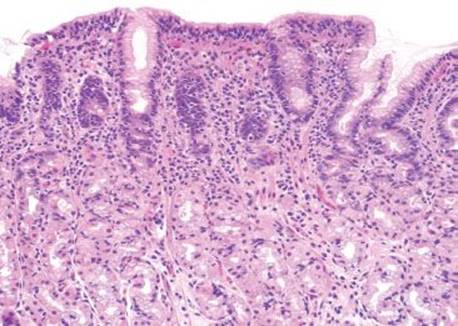
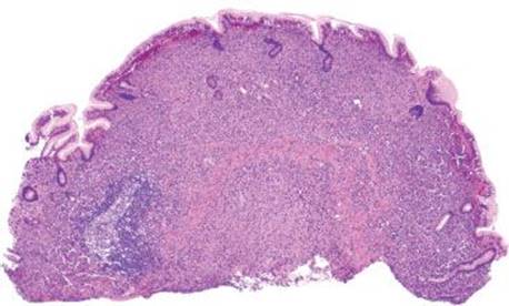
Figure 2.121 Lymphocytic gastritis pattern. The changes of lymphocytic gastritis are often prominent enough that they can be identified at scanning magnification, obviating the need for intraepithelial lymphocyte counts. The IELs usually affect the entire stomach but are more evident in the oxyntic mucosa and are more prominent in the superficial epithelium as compared to the deeper glands. Note the diffuse mixed inflammatory infiltrate in the lamina propria.

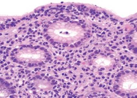
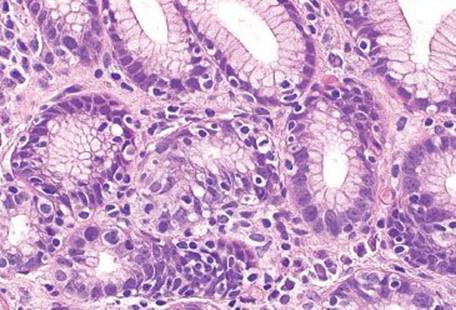
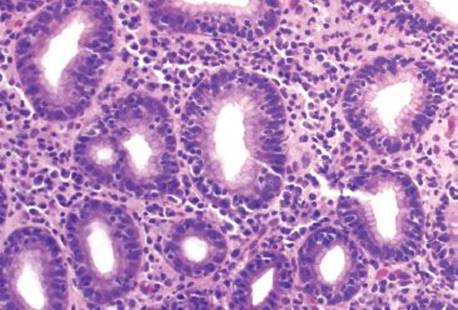
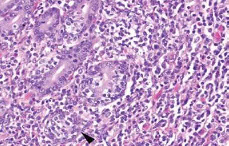
Figure 2.122 Lymphocytic gastritis pattern. There is a prominence of IELs in the surface epithelium, with expansion of the lamina propria by a mixed chronic inflammatory infiltrate that is plasma cell rich. This case had no demonstrable Helicobacter organisms, but additional clinical testing was suggested based on histologic findings.

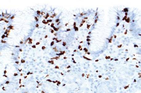
Figure 2.123 Lymphocytic gastritis pattern (CD3 immunostain). The corresponding CD3 immunostain from the previous case (Fig. 2.122) confirms that the intraepithelial lymphocytes are predominantly CD3+ T-cells. Immunophenotyping the IELs is not required for diagnosis.

Figure 2.124 Lymphocytic gastritis pattern (CD4 immunostain). The corresponding CD4 immunostain highlights a small population of CD4+ T-cells.

Figure 2.125 Lymphocytic gastritis pattern (CD8 immunostain). The corresponding CD8 immunostain highlights shows that the majority of the IELS are CD8+ T-cells.

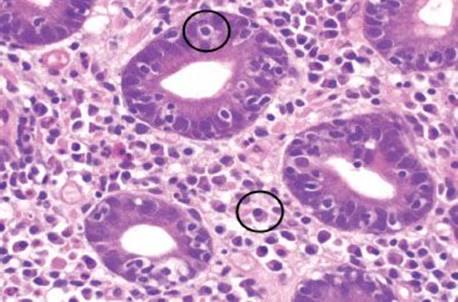
Figure 2.126 Intraepithelial lymphocytes of lymphocytic gastritis. High-power examination of the IELs shows that each lymphocyte has a clear halo surrounding it, likely a processing artifact. The IEL cell sizes are generally uniform and similar to those of the neighboring lymphocytes and plasma cells in the lamina propria (circles). These findings are useful if one is considering apoptotic injury in the differential diagnosis, which would show greater variability in the nuclear fragments.

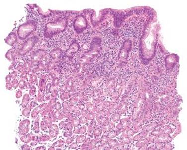
Figure 2.127 Lymphocytic gastritis pattern, Helicobacter. In addition, in this case, scanning magnification shows a superficial band-like infiltrate in gastric oxyntic mucosa. Whereas lymphocytic gastritis is most commonly associated with celiac disease, the superficial band-like infiltrate should indicate Helicobacter infection until proven otherwise, and should prompt higher power investigation for the organisms.

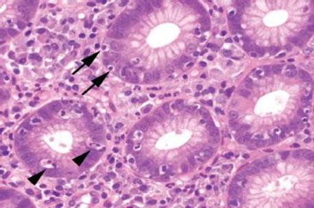
Figure 2.128 Lymphocytic gastritis pattern, Helicobacter. Higher power of previous case. There are intraepithelial lymphocytes present (arrows), and the lamina propria is expanded by a plasma cell predominant mixed chronic inflammatory infiltrate. Careful examination also reveals focal active inflammation (arrowheads). This combination of patterns are most suggestive of Helicobacter infection.

Figure 2.129 Lymphocytic gastritis pattern, Helicobacter (Helicobacter immunostain). The Helicobacter immunostain highlights numerous spiral organisms within a gastric gland, confirming the H&E impression. Note, the organisms are most easily found in the superficial foveolar epithelium, in mucin rich foci.

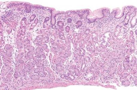
Figure 2.130 Lymphocytic gastritis pattern, Helicobacter. This oxyntic mucosa shows a superficial band-like chronic inflammatory infiltrate, suggesting Helicobacter. At this magnification, the surface epithelium appears “busy”, requiring high-power examination.

Figure 2.131 Lymphocytic gastritis pattern, Helicobacter. Higher power of previous figure. The surface foveolar epithelium shows abundant IELs, and the inflammatory cells found in the lamina propria are plasma cell predominant. This combination of lymphocytic gastritis pattern and superficial plasmacytic infiltrate is highly suggestive of Helicobacter.

Figure 2.132 Lymphocytic gastritis pattern, celiac disease. This patient has an established history of celiac disease with poor adherence to a gluten-free diet. The IELs seen in the gastric mucosa are believed to result from the same immunologic process as seen in the duodenum. Some studies have correlated more severe small bowel disease in patients who demonstrate lymphocytic gastritis.

Figure 2.133 Small-bowel biopsy correlating with previous figure. The patient’s small bowel biopsy shows marked intraepithelial lymphocytosis and mild villous blunting, in keeping with partially treated celiac disease.

Figure 2.134 Lymphocytic gastritis pattern, common variable immunodeficiency (CVID). Lymphocytic gastritis is associated with a number of immune mediated disorders. In this example, the gastric biopsy is from a patient with CVID. Mild intraepithelial lymphocytosis and intestinal metaplasia are seen (bracket). Careful examination of the lamina propria reveals a marked paucity of plasma cells, consistent with the established diagnosis of CVID.

Figure 2.135 Lymphocytic gastritis pattern, Crohn disease. Upper tract involvement of Crohn disease is not uncommon. This gastric biopsy from a patient with established Crohn disease features intraepithelial lymphocytosis.

Figure 2.136 Lymphocytic gastritis pattern, lymphocytic gastroenteritis. This gastric biopsy shows numerous IELs, and tandem biopsies of the lower gastrointestinal tract showed similar findings. Although etiologically nonspecific, this case highlights that intraepithelial lymphocytosis can diffusely involve the luminal gastrointestinal tract.

Figure 2.137 Lymphocytic colitis, tandem colon biopsy correlation of previous figure. Colon biopsies also show abundant IELs. The diffuse gastric and colonic nature of this process is unusual.

Figure 2.138 Lymphocytic/collagenous gastritis pattern, olmesartan. The superficial epithelium in this antral biopsy shows increased IELs and the subepithelial collagen layer is prominent. This patient had reported watery diarrhea while on olmesartan (Benicar), an angiotensin two receptor inhibitor.

Figure 2.139 Lymphocytic/collagenous gastritis pattern, olmesartan. Biopsies of the gastric oxyntic mucosa corresponding to previous figure show a similar pattern of injury. There are increased IELs, a mixed chronic inflammatory infiltrate in the lamina propria, and a prominent subepithelial collagen table.

Figure 2.140 Lymphocytic/collagenous gastritis pattern, olmesartan (Masson’s trichrome). A Masson’s trichome stain confirms that the subepithelial band is composed of abnormal collagen deposition and not simply edema. Note the entrapped inflammatory cells and small vessels within the collagen. Discontinuation of olmesartan resulted in clinical improvement of symptoms.

Figure 2.141 Lymphocytic gastritis pattern, lymphoepithelial lesion, mucosa associated lymphoid tissue (MALT) lymphoma. These gastric glands have been damaged by intraepithelial lymphocytes. This pattern of injury is termed lymphoepithelial lesion (LEL), composed of three or more lymphocytes within the gland epithelium. Note the smaller gland that has been almost entirely obliterated by these LELs (arrowhead), and the background intense lymphocytic infiltrate in the lamina propria. By comparison, lymphocytic gastritis is composed of a mixed inflammatory infiltrate in the lamina propria and single, scattered intraepithelial lymphocytes.

Figure 2.142 Lymphocytic gastritis pattern, mucosa-associated lymphoid tissue (MALT) lymphoma. The low power appearance shows a prominent expansion of the lamina propria by a monomorphic population of cells that has overrun the glandular architecture and has infiltrated through the muscularis mucosae. Intraepithelial lymphocytes are hard to appreciate at this power, and although a benign-appearing lymphoid follicle is present, the overall findings suggest lymphoma.
FAQ: How many intraepithelial lymphocytes are too many? Am I supposed to count the lymphocytes?
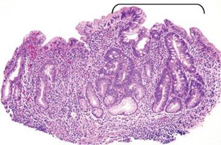
Answer: More than 25 intraepithelial lymphocytes per 100 epithelial cells are considered abnormal, but counting is rarely necessary. Most cases contain sufficient numbers of intraepithelial lymphocytes such that the pattern of lymphocytic gastritis can be identified at scanning magnification, obviating the need for intraepithelial lymphocyte counts.
KEY FEATURES of the Lymphocytic Gastritis Pattern:
• The endoscopic appearance most commonly shows erythema.
• The two most common associations are Helicobacter infection and celiac disease.
• IELs are most prominent in the superficial epithelium of the oxyntic mucosa.
• The intraepithelial lymphocytes are most commonly CD8+ cytotoxic/suppressor T cells.
• Most patients respond to treatment of their associated condition.
PEARLS & PITFALLS
Be aware that medications can be an important cause of both lymphocytic gastritis and celiac disease-like changes of the small bowel (Figs. 2.138–2.140).99,100 For example, ticlopidine, a platelet aggregation inhibitor, and olmesartan, an angiotensin II receptor antagonist, have been implicated in intraepithelial lymphocytosis. In particular, olmesartan has been shown to cause a severe sprue-like small bowel enteropathy in some patients, who present with chronic diarrhea and weight loss, and whose biopsies show villous blunting and prominent intraepithelial lymphocytosis. Histologically, a subset (32%) of these patients additionally shows a lymphocytic or collagenous pattern gastritis. Clinical or histologic improvement occurs in all patients following discontinuation of the medication. See also Malabsorption pattern, Duodenum Chapter.
FAQ: How frequently is lymphocytic gastritis associated with H. pylori infection?
Answer: Up to 85% of patients with lymphocytic gastritis have positive IgG antibodies against Helicobacter, but only 27% of these have identifiable organisms on mucosal biopsy.38,92,96,101–104 Thus, the absence of demonstrable organisms does not entirely exclude Helicobacter infection. Additional clinical testing is recommended in this situation, such as serology for Helicobacter IgG antibody, urea breath test, and stool antigen testing, each of which has relatively high sensitivity and specificity (ranging from 89% to 100% and 76% to 100%, respectively).
FAQ: How frequently is lymphocytic gastritis associated with celiac disease?
Answer: Up to one third of adult patients and 60% to 100% of pediatric patients have underlying celiac disease (Figs. 2.132 and 2.133).91,102,105–108 Presumably, the mechanism of gastric intraepithelial lymphocytosis in patients with celiac disease is similar to the immune response seen in the small bowel whereby lymphocytes develop gluten sensitivity. Increased severity of small intestinal disease has been observed in patients with lymphocytic gastritis. Treatment with gluten withdrawal frequently results in improvement of clinical symptoms and resolution of histologic lesions.
SAMPLE NOTE: LYMPHOCYTIC GASTRITIS PATTERN, NOS
Stomach, Antrum and Body, Biopsy:
• Gastric antral and oxyntic mucosa with lymphocytic gastritis pattern.
• A Helicobacter immunostain is nonreactive.
Note: The lymphocytic gastritis pattern is etiologically nonspecific. It is an uncommon injury pattern that has been associated with various conditions, most notably celiac disease and Helicobacter infection. Other less common associations include other infections, other immune mediated disorders (lymphocytic enterocolitis, Crohn disease, common variable immunodeficiency), and medication effect (ticlopidine and olmesartan). Approximately 20% of cases are idiopathic. Although a Helicobacter immunostain is nonreactive, in this case it would be worthwhile to correlate with Helicobacter serologies, breath test, or stool antigen study, in addition to consideration of celiac disease.