
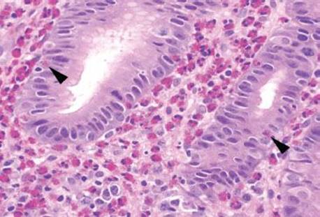
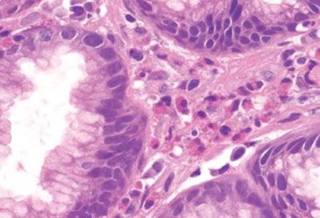
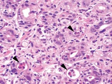
Figure 2.152 Gastric mucosal eosinophilia pattern. When eosinophils extend into the glandular or surface epithelium (arrowheads), the muscularis mucosae, or submucosa, this finding should be considered abnormal and reported; however, there is currently no standard accepted threshold for increased eosinophils of the gastric mucosa limited to the lamina propria.
CHECKLIST: Etiologic Considerations for the Gastric Eosinophilia Pattern
Idiopathic Eosinophilic Gastritis and Gastroenteritis
Medications
Allergy
Helicobacter
Parasites
Inflammatory Bowel Disease
Connective Tissue Disorders and Vasculitis
Neoplasia
“Eosinophilic gastritis” is a designation reserved for cases in which eosinophils infiltrate the surface or foveolar epithelium, the muscularis mucosae or submucosa, or cases in which other mucosal damage (e.g., foveolar hyperplasia, architectural distortion, significant chronic or active inflammation) is present (Figs. 2.152–2.156). By contrast, the presence of increased eosinophils limited to the lamina propria is referred to as “mucosal eosinophilia,” and has been associated with numerous etiologies. This section briefly discusses several major etiologic considerations of gastric eosinophilia pattern, including idiopathic eosinophilic gastritis, medication injury, allergy, parasitic infections, inflammatory bowel disease, connective tissue disorders and vasculitis, and neoplasia.16,101,113–119

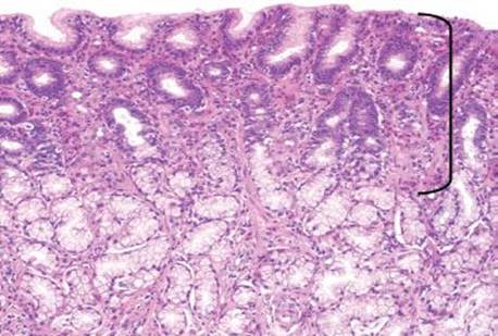
Figure 2.153 Gastric mucosal eosinophilia pattern, peripheral eosinophilia. At scanning magnification, one can appreciate the expanded lamina propria with an eosinophilic hue in this antral biopsy (bracket). This patient is known to have peripheral eosinophilia and increased eosinophils in the small bowel and colon, as well, with an established diagnosis of idiopathic eosinophilic gastroenteritis.

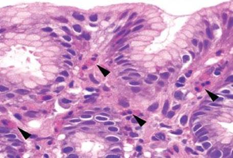
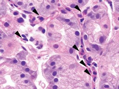
Figure 2.154 Gastric mucosal eosinophilia pattern, peripheral eosinophilia. Higher power of previous case (Fig. 2.153). Numerous eosinophils are present in the lamina propria (arrowheads), with clusters of eosinophils extending to the just below the surface epithelium. The exact etiology of this patient’s diffuse eosinophilic gastroenteritis is unknown.

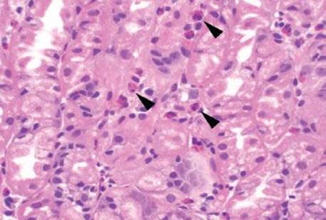
Figure 2.155 Gastric mucosal eosinophilia pattern, eosinophilic esophagitis (EoE). Numerous eosinophils (arrowheads) are percolating between the oxyntic glands of this gastric biopsy. This patient has an established diagnosis of EoE. Gastric mucosal eosinophilia in association with EoE has been reported, but is relatively uncommon. The association between these two entities is unclear.

Figure 2.156 Gastric mucosal eosinophilia pattern. Increased numbers of eosinophils are present in the lamina propria of this gastric biopsy. An etiology for this finding was not apparent, and a list of differential diagnoses was given to aid in clinical correlation.
FAQ: How many eosinophils are too many?
Answer: The normal number of eosinophils in the stomach continues to undergo modification and may be influenced by geographic location and seasonal variation, among other variables; however, studies on normal numbers of gastric eosinophils show concordance, despite different mechanisms for counting: Some have reported between 8 and 11 eosinophils per HPF, whereas others have reported 12 per HPF, averaged over five fields, and still others report <38 eosinophils per square millimeter. Despite the lack of a widely accepted methodology for reporting numbers of eosinophils in the stomach, the updated Sydney system suggests that the presence of intraepithelial eosinophils is always abnormal.
FAQ: Is there significance to eosinophil degranulation?
Answer: Yes.
Some experts believe that specific histopathologic findings are more suggestive of eosinophilic mediated pathology, such as
• Degranulated Eosinophils
• Increased Eosinophils
• Intraepithelial Eosinophils
• Eosinophil Gland/Crypt Abscesses
• Epithelial Degenerative and Regenerative Changes
• Foveolar/Crypt Hyperplasia
• Eosinophils in the Muscularis Mucosae or Submucosa
• Minimal Acute or Chronic Inflammation
IDIOPATHIC EOSINOPHILIC GASTRITIS AND GASTROENTERITIS
Isolated (idiopathic) eosinophilic gastritis is rare and poorly understood. This diagnosis presupposes that other causes of gastric eosinophilia have been excluded. Some authors suggest consideration of idiopathic eosinophilic gastritis when the following criteria are met113,115,120–122:
1. The gastric biopsies show an average density of ≥127 eosinophils/mm2 (or ≥30 eosinophilia per HPF on microscopes equipped with wide-lens oculars) in at least five separate HPFs.
2. Other potential causes of eosinophilia have been excluded (i.e., Helicobacter, Crohn disease, parasitic infections, and hematologic or lymphoid disorders).
SAMPLE NOTE: ISOLATED EOSINOPHILIC GASTRITIS GASTRIC EOSINOPHILIA, NOS
Stomach, Antrum and Body, Biopsy:
• Gastric antral and oxyntic mucosa with histologic eosinophilic gastritis.
• Negative for Helicobacter.
Note: The histologic sections show intraepithelial eosinophils in addition to increased lamina propria eosinophils (eosinophils per HPF, averaged over five fields). Eosinophils in the stomach are a nonspecific finding and have been associated with food allergy, medication injury, Helicobacter infection or treatment, parasitic infection, Crohn disease, hematologic or lymphoid disorders, and connective tissue disorders. Some cases remain idiopathic, and exclusion of involvement of other sites in the gastrointestinal tract (i.e., the small bowel and colon) may be of interest. Correlation with clinical and serologic information is suggested.
MEDICATIONS
Medication induced eosinophilia of the gastrointestinal tract has been described more fully in colonic mucosa (Figs. 2.157–2.160). See also Eosinophilia Pattern, Colon Chapter. A laundry list of medications has been implicated, including: aspirin, clozapine, carbamazepine, diclofenac, enalapril, gemfibrozil, ibuprofen, nimesulide, rifampicin, tacrolimus, ticlopidine, and therapeutic gold compounds.123–132 Note that a number of these are NSAIDs, a commonly implicated drug in various mucosal injuries of the gastrointestinal tract; however, documentation of medication injury in the stomach is limited to case reports. Practically speaking, an effort to review the patient’s medication list for known offenders and other pertinent clinical findings (such as concurrent dermatitis that might suggest medication injury) may be helpful to include in the note.

Figure 2.157 Gastric mucosal eosinophilia pattern, medication injury. This gastric biopsy shows numerous eosinophils (arrowheads). In the absence of clinical history, this finding would be entirely nonspecific; however, investigation into this patient’s chart showed that he had history significant for chronic lymphocytic leukemia and was experiencing abdominal distress, diarrhea, and dermatitis which were temporally related to the start of chemotherapy. The overall clinical findings in combination with the histology strongly suggest medication injury.

Figure 2.158 Small bowel eosinophilia pattern, medication injury. This small bowel biopsy corresponds to the previous case (Fig. 2.157). Note the increased eosinophils both in the lamina propria and within the glandular epithelium (arrowhead). The finding of eosinophilia in multiple GI sites suggests that the disease process is more diffuse or systemic in nature. The patient had concurrent dermatitis, in keeping with medication injury.

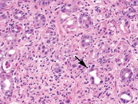
Figure 2.159 Gastric mucosal eosinophilia pattern, medication injury. This gastric biopsy was obtained as part of a graft versus host disease (GVHD) protocol in a patient who had received a bone marrow transplant. At low power, damaged glands (arrow) suggest an element of GVHD, but the eosinophilic gastritis seen in the background is uncharacteristic for GVHD. Investigation into the patient’s drug list revealed administration of mycophenolate mofetil, an immunosuppressant that has been associated with gastrointestinal mucosal eosinophilia.

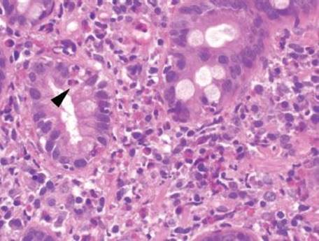
Figure 2.160 Gastric mucosal eosinophilia pattern, medication injury. Higher magnification of previous case (Fig. 2.159). Eosinophilic abscesses (arrowheads) are also present, an uncommon finding in eosinophilic gastritis.
SAMPLE NOTE: GASTRIC EOSINOPHILIA IN A PATIENT WITH CLINICAL FEATURES SUGGESTING MEDICATION INJURY
Stomach, Antrum and Body, Biopsy:
• Gastric antral and oxyntic mucosa with erosion and lamina propria eosinophils with focal clustering.
• Negative for Helicobacter.
Note: Noted is the patient’s history of chronic lymphocytic leukemia on chemotherapy with complaints of abdominal pain and dermatitis. The histologic sections of the gastric mucosa show scattered eosinophils in the lamina propria, and focal clustering of eosinophils. The prominence of eosinophils in this particular clinical setting raises the possibility of medication injury, particularly in light of the concurrent dermatitis. Parasitic infection is also a consideration in a patient who may be immunocompromised. Other etiologies of eosinophilia in the gastrointestinal tract include food allergies, idiopathic eosinophilic gastroenteritis, and connective tissue disorders, among others. Correlation with clinical information is recommended.
ALLERGY
The diagnosis of allergic eosinophilic gastritis remains clinical and the patients are often evaluated by an allergy specialist to identify specific food allergens.133,134 Eosinophilia may be seen in any of the gastric layers, including the muscularis propria and serosa. Mucosal involvement is the most common, reported to occur in 25% to 100% of cases. Patients typically present with nausea, vomiting, diarrhea, and abdominal pain. Some patients show occult blood loss, anemia, and protein-losing enteropathy. Involvement of the muscularis propria can be associated with gastric outlet obstruction or stricture, whereas patients with serosal involvement can present with bloating and ascites. Allergic eosinophilic gastrointestinal disorders can cause failure to thrive or food refusal in infants and toddlers. Peripheral eosinophilia occurs in 50% to 60% of cases and the sedimentation rate is elevated in approximately 25% of cases, both return to normal with effective diet modification. Other medical treatments include montelukast (a leukotriene receptor antagonist), cromolyn sodium (a mast cell stabilizer), and oral steroids such as budesonide.

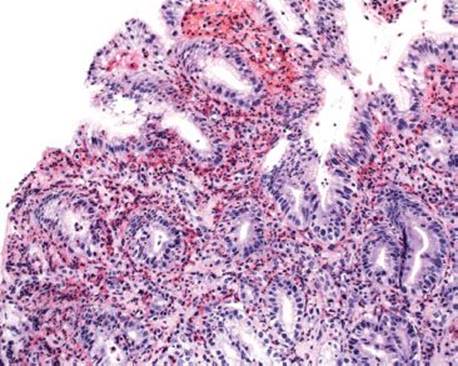
Figure 2.161 Gastric mucosal eosinophilia pattern, parasitic infection. This gastric biopsy shows an intense and striking diffuse eosinophilia. Note the background acute inflammation, as well. The presence of acute inflammation should prompt a search for infectious etiologies.

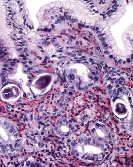
Figure 2.162 Gastric mucosal eosinophilia pattern, parasitic infection. Additional field of previous case (Fig. 2.161). Numerous cross sections of adult Strongyloides stercoralis are seen in association with an intense acute and eosinophilic inflammatory infiltrate. Photograph courtesy of Dr. Fabio Tavora, Argos Laboratories, Fortaleza, Brazil.
PARASITIC INFECTION
Eosinophilic infiltrates and peripheral eosinophilia are common signs of helminthic infection, particularly Anisakis spp. Larvae.135,136 Helminthic infection is most commonly seen in the small intestine, but can occasionally be seen in the stomach. Focal dense eosinophilic infiltrates can be found adjacent to worms, larvae, or eggs (Figs. 2.161 and 2.162). See also Eosinophilia Pattern, Small Bowel Chapter.
INFLAMMATORY BOWEL DISEASE
Eosinophils are characteristic in the inflammatory infiltrates of inflammatory bowel disease.115,137,138 Other characteristic histologic and clinical findings, however, are necessary to establish this diagnosis; for example, isolated mucosal eosinophilia in the absence of granulomata, established active chronic inflammatory injury, or lower gastrointestinal tract disease is purely nonspecific, but may be listed among the differential diagnoses of otherwise idiopathic gastric eosinophilia.
CONNECTIVE TISSUE DISORDER AND VASCULITIS
Although better described in the colon, the presence of eosinophils in the stomach should still raise the differential diagnosis of connective tissue disorders such as systemic lupus erythematosus, scleroderma, dermatomyositis, and polymyositis.139–142 The gastrointestinal findings in connective tissue disorders are nonspecific but may prompt a note suggesting ancillary studies for serum autoantibodies. By comparison, specific histologic features of vasculitis may be found in the submucosa, which contains abundant blood vessels and lymphatics; for example, Churg–Strauss syndrome shows systemic necrotizing vasculitis, and the gastrointestinal tract is affected in 30% of patients. Eosinophil-rich granulomas with necrosis involving medium to small sized vessels are characteristic findings. Another systemic necrotizing inflammatory disease of small and medium sized arteries is polyarteritis nodosa, and it affects the GI tract in up to 25% of cases. These lesions often involve bifurcations of arteries that lead to aneurysm, thrombosis or rupture of vessels. Although endoscopic biopsies provide limited submucosa, careful review of this layer when increased eosinophils are present should be performed.
NEOPLASIA
Systemic mastocytosis, Langerhans cell histiocytosis, inflammatory fibroid polyp, melanoma and Hodgkin lymphoma are a few examples of neoplastic processes that can induce an eosinophilic infiltrate. In general, careful consideration of neoplasia is worthwhile in cases of eosinophilia.
KEY FEATURES of the Gastric Eosinophilia Pattern:
• Eosinophilic gastritis refers to eosinophilia in conjunction with mucosal damage.
• Mucosal eosinophilia refers to eosinophilia in the absence of mucosal damage.
• Common etiologic considerations include idiopathic eosinophilic gastritis, medication injury, allergy, Helicobacter infection, parasitic infections, inflammatory bowel disease, connective tissue disorders and vasculitis, and neoplasia.
• The threshold for increased eosinophils is suggested at >30 eosinophils per HPF, averaged over five fields.