
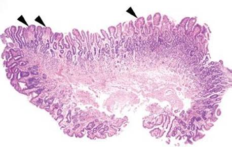
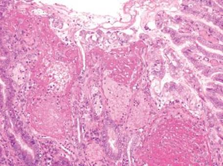
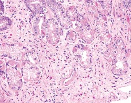
Figure 2.207 Vascular changes, portal hypertensive gastropathy (PHG). This example illustrates a vascular pattern of injury: a number of congested mucosal vessels are seen in a background of reactive gastritis/gastropathy. This patient was known to have cirrhosis and portal hypertension; these histologic findings support the clinicopathologic diagnosis of PHG.
A prominent vascular and or hemorrhagic pattern of gastric injury can be seen with a variety of entities (Fig. 2.207). In especially satisfying cases, the underlying etiology can be established such as the identification of amyloid deposits in systemic amyloidosis or 90Yttrium-labeled microspheres in radiation gastritis; however, more common is the scenario in which identification of this injury pattern prompts a careful examination of the background mucosa and chart review. Portal hypertensive gastropathy, for example, is a diagnosis seen with some regularity and yet the characteristic features can be subtle, requiring a careful chart review for the requisite history of portal hypertension. Similarly, the characteristic features of GAVE can be almost miss-able in mild cases, requiring correlation with the clinical history and the characteristic endoscopic image showing a striped watermelon-like pattern. This section discusses the most common causes of vascular and hemorrhagic pattern of gastric injury.
CHECKLIST: Etiologic Considerations for Vascular and or Hemorrhagic Pattern
Portal Hypertensive Gastropathy
Gastric Antral Vascular Ectasia
Amyloid
Radiation Gastritis Pattern
PORTAL HYPERTENSIVE GASTROPATHY
Portal hypertension is an increase in the pressure of the venous system, seen most commonly in cirrhotic patients. In healthy patients, the veins that drain the stomach, intestines, spleen, and pancreas merge into the portal vein, which then drains into the liver. In cirrhotic patients, the advanced liver fibrosis creates a high-resistance, high-pressure venous system, also termed “portal hypertension.” As a result, blood backs up into the low-resistance, low-pressure system of the collateral circulation, manifesting as esophageal varices (or collateral circulation through the esophageal veins), caput medusa (or collateral circulation through the periumbilical and abdominal wall veins), and hemorrhoids (or collateral circulation through the perirectal veins). These congested, engorged vessels are prone to significant clinical bleeding with up to 25% of cirrhotic patients succumbing to a fatal gastrointestinal hemorrhage.169 After variceal bleeding, portal hypertensive gastropathy (PHG) and peptic ulcer disease are the next commonest causes of gastrointestinal bleeding in cirrhotic patients.170,171 PHG is seen in 20% to 98% of cirrhotic patients.172–174 Endoscopically, PHG consists of a snake skin mosaic-like pattern (as seen in mild cases) or bulging red or brown marks (as seen in marked cases) that predominantly affects the body and fundus (Figs. 2.208 and 2.209).169,172 Histologically, variably prominent congested vessels are seen (Figs. 2.210–2.213). The findings can be very subtle and easy to miss, but careful attention to the requisition often uncovers the red flags of “esophageal varices” or “cirrhotic patient with upper gastrointestinal bleeding.” Treatment efforts are aimed at reducing the portal hypertension with medications, such as beta-blockers.

Figure 2.208 PHG, endoscopic appearance. PHG shows a snake skin, mosaic-like pattern on endoscopy.

Figure 2.209 Snake skin. This photograph of a snake’s skin shows smooth scales positioned in an almost perfect geometric configuration, features similar to those seen endoscopically in PHG.

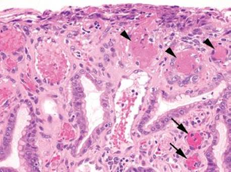
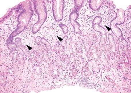
Figure 2.210 PHG. At low power, the predominant finding is that of reactive gastritis/gastropathy pattern of injury: gastric foveolar mucin cell depletion, a corkscrew-like appearance of the foveolar epithelium, lamina propria edema, and little to no inflammation. The reactive gastritis/gastropathy pattern can be a red flag to a variety of additional diagnoses. In this case, scattered congested vessels are seen (arrowheads).

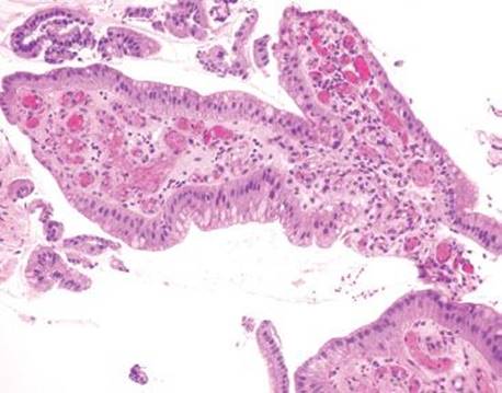
Figure 2.211 PHG. On higher power, the congested vessels are more easily seen. A chart review revealed a history of portal hypertension, and a diagnosis of portal hypertensive gastropathy was rendered. This case is an excellent example of pushing through the first obvious diagnosis (reactive gastritis/gastropathy pattern) and thoroughly searching for other important diagnoses (portal hypertensive gastropathy).

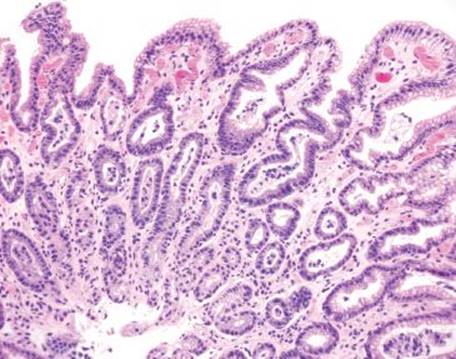
Figure 2.212 PHG.

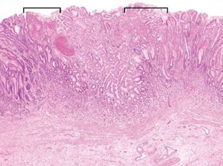
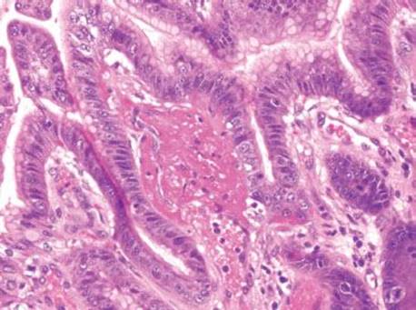
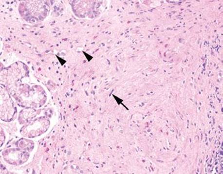
Figure 2.213 PHG. This case was submitted to us in consultation with a concern for dysplasia. The requisition detailed a history of portal hypertension and the biopsy shows reactive gastritis/gastropathy and congested mucosal vessels, supporting a diagnosis of portal hypertensive gastropathy. Although the epithelium in reactive gastritis/gastropathy can be atypical, it is important to interpret the changes in the context of the clinicopathologic setting. In this case, the reactive epithelial changes (a bit of hyperchromasia and nuclear enlargement) are diffuse, a finding that supports the diagnosis of a reactive change. In contrast, dysplasia has abrupt and discreet transitions. This case was signed out as “portal hypertensive gastropathy with reactive epithelial change, negative for dysplasia.”
KEY FEATURES of Portal Hypertensive Gastropathy:
• Clinical red flags include cirrhosis, portal hypertension, and esophageal varices.
• Endoscopically, a snake-skin mosaic-like pattern or red marks are seen.
• Histologically, the mucosa shows variably prominent congested vessels in the body and fundus.
• Treatment efforts are aimed at reducing portal hypertension with beta-blockers.
GASTRIC ANTRAL VASCULAR ECTASIA
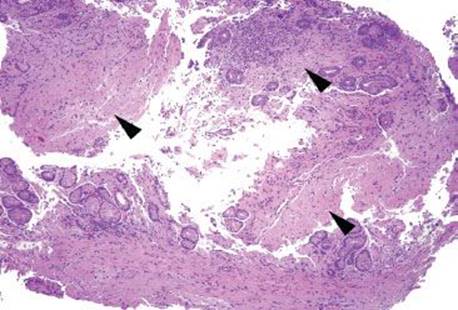
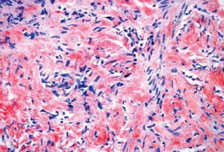
GAVE shares many important clinical features with PHG (Table 2.4). Both entities can occur in patients with background liver disease and chronic gastrointestinal bleeding, and whose gastric endoscopic images show red spots.175Distinction is important, however, since the treatments are unique: GAVE is treated with endoscopic techniques, whereas PHG is predominantly treated with medications to reduce the portal hypertension, such as beta-blockers. Distinguishing features of GAVE include that it is much less common, has a less stringent association with portal hypertension, and, instead, has associations with chronic renal failure, autoimmune connective tissue diseases, and bone marrow transplantation.176–178 In addition, GAVE is typically antral predominant, unlike PHG which is classically described as body/fundus predominant. Occasionally GAVE diffusely involves the stomach, in which case the preferred terminology is diffuse gastric vascular ectasia. Although both entities can have similar endoscopic images with gastric red spots, in GAVE, the red spots coalesce, imparting a striped watermelon-like appearance (Figs. 2.214and 2.215). Histologically, GAVE and PHG can both show a background of reactive gastritis/gastropathy and prominent ectatic, congested vessels. GAVE, however, also shows prominent mucosal thrombi (Figs. 2.216–2.220).179,180Endoscopic therapy remains the mainstay of GAVE treatment with argon plasma coagulation being the most common thermoablative based technique. Unfortunately, some GAVE cases are refractory to standard endoscopic intervention and, consequently, (partial) gastric resection is sometimes required.
TABLE 2.4: Gastric Antral Vascular Ectasia versus Portal Hypertensive Gastropathy

CRF, chronic renal failure; MCT, mixed connective tissue disease; BMT, bone marrow transplant.
KEY FEATURES of Gastric Antral Vascular Ectasia:
• Associations include patients with liver disease, chronic renal failure, autoimmune connective tissue diseases, and bone marrow transplantations.
• Endoscopic images include gastric red spots which can coalesce into a striped watermelon-like appearance.
• Histologically, a background of reactive gastritis/gastropathy, congested, ectatic vessels, and prominent mucosal vascular thrombi are characteristic and most typically seen in the antrum.
• Treatment includes endoscopic therapy such as argon plasma coagulation and surgical resection in cases refractory to endoscopic management.

Figure 2.214 Gastric Antral Vascular Ectasia (GAVE). This endoscopic image shows a stripped watermelon-like appearance characteristic of GAVE.

Figure 2.215 Watermelon. The watermelon’s alternating yellow and green stripes decorate the stem remnant, and mirror the mucosal changes seen in GAVE.

Figure 2.216 GAVE. In this remarkable case, a partial gastric resection was performed for GAVE refractory to endoscopic management. Numerous foci of hemorrhage and thrombi are seen at scanning magnification (brackets).

Figure 2.217 GAVE. On higher power, intravascular thrombi are seen along with pools of hemorrhage. The corresponding endoscopic image showed the characteristic striped watermelon-like appearance consistent with the clinicopathologic diagnosis of GAVE.

Figure 2.218 GAVE. This spectacular example of GAVE shows a number of intravascular thrombi (arrowheads). Note, fibrin is hot-pink with a homogenous appearance. In contrast, the nearby congested vessels are engorged with red blood cells (not thrombi) and appear a bolder shade of red (arrows).

Figure 2.219 GAVE. The diagnosis of GAVE can be easy to miss at low power, unless the mucosal vessels are diligently inspected in each stomach biopsy. Often times, the mucosal thrombi are best appreciated on higher power, as in this case (arrowhead).

Figure 2.220 GAVE. This case originated from a 55-year-old women with a mixed connective tissue disease, emphasizing the known association of GAVE with autoimmune diseases.

Figure 2.221 Amyloidosis. This stomach biopsy shows a prominent pink infiltrate that displaces the normal back-to-back pit pattern (arrowheads).

Figure 2.222 Amyloidosis. On higher power, the pink material is seen between stromal cells.

Figure 2.223 Amyloidosis (Congo Red). A Congo Red confirms the presence of amyloid, which is orange on direct light and bright green under polarized light (not shown). This patient was seen for workup of gastrointestinal bleeding and was found to have amyloidosis involving all GI biopsies (esophagus, stomach, and colon).
AMYLOID
A hemorrhagic gastritis pattern can also be seen in the setting of systemic amyloidosis. On mucosal biopsies, the deposition is most commonly seen within the lamina propria, muscularis mucosae, or vascular walls. Deposition within vascular walls compromises the vessel’s structural integrity and can result in hemorrhage and or ischemia to the downstream mucosa. Unfortunately, the deposition can be focal and subtle, and so requires diligent inspection. On H&E, amyloid appears glassy and amorphous with a characteristic cracking or “chatter” artifact (Figs. 2.221–2.223). The amyloid appears orange under direct light on a Congo red special stain and bright-apple green under polarized light.
RADIATION GASTRITIS PATTERN
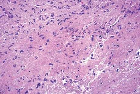
Radiation gastritis pattern is similar to radiation injury seen elsewhere in the gastrointestinal tract.181,182 Endoscopically, erythema, erosions, ulcerations, and friability can be seen (Fig. 2.224). Histologically, lamina propria hyalinization, atypical stromal, endothelial, and epithelial cells, and prominence of ectatic, and damaged vessels are seen (Figs. 2.225–2.227). Occasionally the radiation damage is seen in association with radiation microspheres, such as 90Yttrium-labeled microspheres. See also Pigments & Extras subsection, this chapter. Radiation gastritis has some overlap with CMV infections, making routine CMV immunostains worthwhile in these cases. The atypical stromal cells characteristic of radiation gastritis can also raise concern for infiltrating carcinoma. In such cases a cytokeratin and smooth muscle actin stain can be reassuring (the atypical stromal cells are cytokeratin negative and sometimes smooth muscle actin positive).

Figure 2.224 Radiation gastritis pattern. This patient had a history of radiation for esophageal adenocarcinoma. The endoscopic image is dramatic with erosive changes, erythema, superficial ulceration, mucosal sloughing, and friability.

Figure 2.225 Radiation gastritis pattern. The corresponding stomach biopsy has more subtle findings than the endoscopic image. The radiation gastritis pattern refers to the lamina propria hyalinization and scattered ectatic vessels that are parallel to the surface epithelium (arrowheads). Inactive chronic gastritis, including increased eosinophils, and glandular atrophy are also seen.

Figure 2.226 Radiation gastritis pattern. On higher power, scattered atypical stromal cells are seen that are hyperchromatic and a bit pleomorphic (arrow). The background shows scattered, thin walled ectatic vessels (arrowhead) and stromal hyalinization that appears pink. Occasionally stromal hyalinization raises concerns for amyloidosis, but amyloidosis would not have atypical stromal cells nor thin walled ectatic vessels (recall amyloidosis typically infiltrates the vessel walls, resulting in a thick, smudgy, vascular wall). In challenging cases, a Congo Red special stain to evaluate for amyloid is worthwhile. A CMV immunostain was negative.

Figure 2.227 Radiation gastritis pattern. This alternate field shows stromal hyalinization (or lamina propria expanded by pink material), scattered ectatic vessels which that parallel to the surface, and chronic inflammation, including increased eosinophils.
PEARLS & PITFALLS
Since radiation is administered to manage neoplasms, recognition of this injury pattern is an important red flag to look carefully for residual/recurrent neoplasms.