
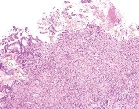
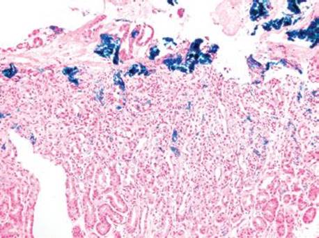
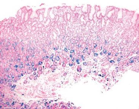
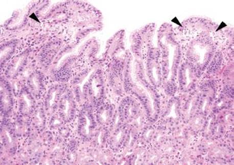
Figure 2.228 Iron pattern B/“iron pill gastritis”. Pigment in the stomach can herald a variety of etiologies and consumables. In this example, the golden pigment of iron is seen embedded in the superficial mucosa and within the luminal debris. This case was submitted as “rule-out carcinoma” based on the ominous endoscopic impression.
CHECKLIST: Etiologic Considerations for Pigments and Extras
Iron
Gastric pseudomelanosis
Calcinosis
Resins
90Yttrium (90Y)-labeled microspheres
IRON
Gastric iron deposition is seen in up to 3.8% of upper tract biopsies (Fig. 2.228).23,24,183–185 In a study of 500 gastric biopsies, the deposition was demonstrated in three generalized patterns. Pattern A (also referred to as “nonspecific gastric siderosis”) was the most common subpattern and involved 2.2% of specimens (Figs. 2.229 and 2.230). This subpattern was associated with prior mucosal microhemorrhages, and the subtle depositions were predominantly identified within macrophages and stromal cells of the lamina propria. Pattern B (also referred to as “iron pill gastritis”) was seen in 0.8% of the biopsies and was consistently associated with ferrous sulfate therapy. This deposition was coarse and crystalline and predominantly identified in the extracellular and most superficial aspect of the biopsy (Figs. 2.231–2.234). In this subpattern, the background mucosa had a reactive gastritis/gastropathy pattern with erosions, ulcerations, and fibrino-inflammatory exudate common. In a separate study of 1,300 gastric biopsies, a similar “iron pill gastritis” injury pattern was detailed.184 This latter group reproduced the identical iron deposits in the laboratory by oxidizing ferrous sulfate tablets, providing clear evidence for the iron origin of these deposits. The mechanism of injury is a bit unclear in this subpattern. Some speculate that the iron pill has a direct caustic effect on the adjacent mucosa, whereas others suggest that the iron deposits may simply colonize previously injured mucosa. Pattern C (also referred to as “gastric glandular siderosis”) was the least common pattern, involving 0.6% of the specimens. This subpattern was associated with iron overload settings, such as hereditary hemochromatosis and multiple blood transfusions. The characteristic deposits were subtle, uniform, and identified in the deep antral and oxyntic glands (Figs. 2.235–2.239). The iron deposits can be highlighted blue with a Prussian blue iron special stain. Recognition is important to help prevent further injury and potential stricture formation (pattern B), to suggest pertinent iron overload evaluation (pattern C), and to avoid overdiagnosing the marked reactive epithelial change as dysplasia.

Figure 2.229 Iron pattern A/“nonspecific gastric siderosis”. This is the most common iron pattern of injury, and it can be easy to miss on low power. Scattered pigment laden macrophages and stromal cells are seen (arrowheads), characteristic of the iron pattern A/nonspecific gastric siderosis pattern. Prior mucosal damage and microhemorrhages account for these findings.

Figure 2.230 Iron pattern A/“nonspecific gastric siderosis” (Prussian Blue). The iron is blue on a Prussian Blue special stain, supporting the previously mentioned diagnosis.

Figure 2.231 Iron pattern B/“iron pill gastritis”. In this dramatic case, coarse crystalline iron deposits are seen on the mucosa and within the luminal debris (arrowheads). A prominent reactive gastritis/gastropathy pattern is also seen in the background.

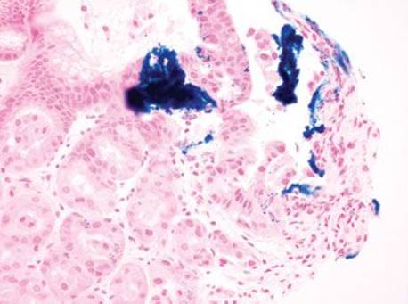
Figure 2.232 Iron pattern B/“iron pill gastritis” (Prussian blue). A Prussian blue highlights the iron. As characteristic for pattern B, the iron is predominantly extracellular, embedded in the superficial mucosa, and within the luminal space.

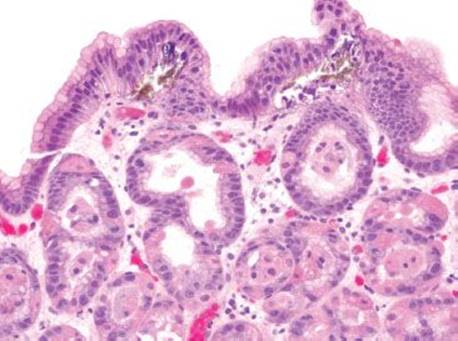
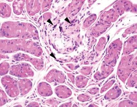
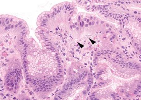
Figure 2.233 Iron pattern B/“iron pill gastritis”. Iron is seen encrusted in the superficial foveolar epithelium.

Figure 2.234 Iron pattern B/“iron pill gastritis” (Prussian blue). A Prussian blue highlights the iron.

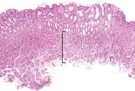
Figure 2.235 Iron pattern C/“gastric glandular siderosis”. This iron pattern can be one of the more difficult to recognize because of the subtle and uniform findings that are not very apparent at low power (bracket). Nonetheless, it can be critical to appreciate since it indicates iron overload and may prompt genetic testing for hereditary hemochromatosis, in the appropriate clinical setting. The more common setting, however, is a transfusion dependent patient, as in this case. This patient had a history of lymphoma, bone marrow transplant, and was known to have iron overload syndrome based on the history of extensive blood transfusions.

Figure 2.236 Iron pattern C/“gastric glandular siderosis” (Prussian blue). The iron is highlighted by the Prussian blue stain. In this pattern, the characteristic deposits are uniform and generally restricted to the deep gastric glands and occasional deep stromal cells.

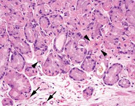
Figure 2.237 Iron pattern C/“gastric glandular siderosis”. On high power, it is easier to appreciate the fine golden pigment uniformly distributed in the deep gastric glands (arrowhead) and occasional stromal cells (arrows).

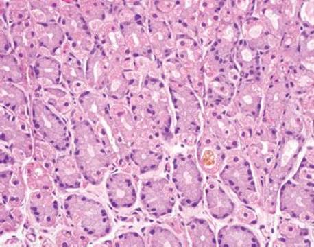
Figure 2.238 Iron pattern C/“gastric glandular siderosis”.

Figure 2.239 Iron pattern C/“gastric glandular siderosis” (Prussian blue). The iron stain highlights the uniform iron deposits restricted to the deep gastric glands and rare stromal cells.
KEY FEATURES of Iron Pigment Deposition:
• Gastric iron deposition is seen in up to 3.8% of upper tract biopsies.
• Pattern A/“nonspecific gastric siderosis” is associated with prior mucosal microhemorrhages; the depositions are in the lamina propria macrophages and stromal cells.
• Pattern B/“iron pill gastritis” features coarse, crystalline deposits in the extracellular space and most superficial aspects of the biopsy.
• Pattern C/“gastric glandular siderosis” is associated with iron overload; the deposits are subtle, uniform, and identified in the deep antral and oxyntic glands.
PEARLS & PITFALLS
Anecdotally, iron pill gastritis is not an uncommon specimen rushed for a clinical concern for carcinoma. The endoscopic and histologic features can appear equally ominous, making it easy to misdiagnosis malignancy if the associated iron pill injury pattern is not recognized. In general, before diagnosing malignancy, always scrutinize the tissue and surrounding luminal debris for any benign excuse that might account for the horrendous atypia. When in doubt, a Prussian blue iron special stain can be reassuring.
GASTRIC PSEUDOMELANOSIS
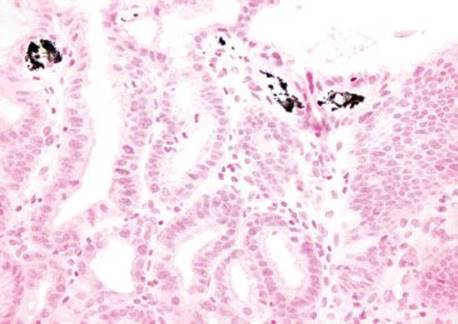
Gastric pseudomelanosis is a rare entity described in only a handful of case reports, but its identification tends to elicit a bit of anxiety from both the clinician and pathologist.186–188 The endoscopic appearance is a patchy dark mucosal pigmentation and the corresponding requisitions are sometimes accompanied by “rule-out melanoma” (Fig. 2.240). The histologic sections show patchy, coarse dark pigmentation within the cytoplasm of scattered macrophages in the superficial lamina propria, similar to that seen with pseudomelanosis intestinalis or that seen with tattoo ink (Figs. 2.241–2.243). The lack of cytologic atypia is reassuring that this is a benign process, and a CD68 will confirm the histiocytic nature of the indicated cells. Some cases show reactivity with the Prussian blue special stain for iron, but most do not. Although no consistent etiology has been identified, it may be an ingestant, or perhaps as part of a reparative response to local hemorrhage or injury. Regardless, it is thought to be a benign, self-limited finding requiring no specific surveillance or treatment. See also Pigments and Extras, Small Bowel Chapter.

Figure 2.240 Gastric pseudomelanosis. This case originated from a 42-year-old woman with an extensive psychiatric disorder. Following a suicide attempt with a toxic ingestant, the patient developed abdominal pain. Black mucosal pigmentation was seen in the stomach (arrowheads), and the requisition detailed “rule-out melanoma”.

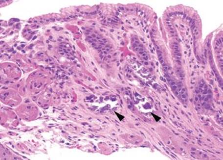
Figure 2.241 Gastric pseudomelanosis. The corresponding biopsy is almost normal at first glance. Careful scrutiny of the lamina propria reveals a few rare pigment laden-macrophages (arrowheads). Certainly, this finding would have been miss-able had the clinician not detailed her clinical impression of mucosal pigmentation.

Figure 2.242 Gastric pseudomelanosis. Elsewhere, more obvious pigmentation was seen. Note the fine black pigment in the cytoplasm of the macrophages (arrowheads). Importantly, also note the benign cytology of the host nuclei- no pleomorphism, hyperchromasia, or mitotic figures are seen to suggest a malignant process.

Figure 2.243 Gastric pseudomelanosis. No special stains are required for this diagnosis. Some have found the pigment can occasionally react with iron special stains. In our experience, it appears most similar to tattoo pigment.
CALCINOSIS
Mucosal calcium deposition is classified as metastatic, dystrophic, or idiopathic.189–192 Metastatic calcinosis is the most common subtype and refers to calcium deposition in normal tissues in the setting of calcium dysregulation. Other reported associations include hyperphosphatemia associated tumor lysis syndrome, atrophic gastritis, hypervitaminosis A, organ transplantation, gastric neoplasia, uremia with eucalcemia/euphosphatemia, and the use of aluminum-containing antacids, citrate-containing blood products, isotretinoin, and sucralfate.191,192 Dystrophic calcification refers to calcium deposition in damaged tissues in the setting of a normal serum biochemical environment. The incidence of mucosal calcinosis is unknown, but it is seen with some regularity in patients with renal failure or parathyroid dysregulation. Endoscopically, mucosal calcinosis appears as small white flecks, plaques, or nodules (Fig. 2.244). Histologically, the coarse black pigmentation is usually superficial and extracellular (Figs. 2.245–2.248). On histologic grounds alone, the calcium pigment can be difficult to distinguish from iron pill pigment since both can have brown-black tinctorial properties, and they both show a predilection for the superficial extracellular compartment. In difficult cases, a von Kossa special stain for calcium (calcium appears black) and a Prussian blue special stain for iron (iron appears blue) can be helpful. Not surprisingly, in this age of polypharmacy and an aging baby-boom population, some patients are found to have a conglomerate of both calcium and iron, making it worthwhile to perform both special stains when in doubt. Recognition of this deposit is important because “metastatic calcinosis” can indicate the patient is at risk for cardiac calcium deposits, which can be fatal. In addition, this diagnosis should prompt the clinician to search for causes of calcium dysregulation which can sometimes be obvious (as in the case of renal failure) but can occasionally be sneaky (as in the case of an occult parathyroid neoplasm or surreptitious antacid abuse).

Figure 2.244 Mucosal calcinosis, endoscopic image. Mucosal calcinosis can appear as small white flecks (arrowheads), plaques, or nodules.

Figure 2.245 Mucosal calcinosis. This case originated from a 79-year-old diabetic patient with renal failure and abdominal pain. Focal calcium deposition is seen (arrowheads); they appear chunky and deeply purple. Occasionally, the calcifications present a problem for the histology technicians: the tissue blocks can be especially difficult to cut and, consequently, “tissue holes” result from calcifications lost during processing. A confirmatory von Kossa special stain was positive, supporting the previously mentioned diagnosis.

Figure 2.246 Mucosal calcinosis. This is a more typical case of mucosal calcinosis with the faint purple mineralization difficult to appreciate on low power. The “tissue hole” artifacts help to hide the mineral in the background tissue (arrowheads).

Figure 2.247 Mucosal calcinosis. On higher power, the faint purple mineralization is seen hugging the base of the foveolar epithelium (arrowheads).

Figure 2.248 Mucosal calcinosis (von Kossa). A confirmatory von Kossa special stain was positive in the indicated focus from the previous case (Fig. 2.247). Note the calcium appears black on a von Kossa special stain.
KEY FEATURES of Calcinosis:
• Mucosal calcium deposition is classified as metastatic, dystrophic, or idiopathic.
• Metastatic calcinosis is the most common subtype and refers to calcium deposition in normal tissues in the setting of calcium dysregulation.
• Dystrophic calcification refers to calcium deposition in damaged tissues with normal serum calcium levels.
• Endoscopically, mucosal calcinosis appears as small white flecks, plaques, or nodules.
• Histologically, the variably purple-to-black- pigmentation on H&E is usually superficial and extracellular.
• A von Kossa special stain confirms the calcium deposition (calcium appears black).
RESINS
Resins are colorful crystals not uncommonly encountered in the gastrointestinal tract (Figs. 2.249 and 2.250). For a thorough discussion, see also Resins Subsection, Acute esophagitis, Esophagus Chapter.

Figure 2.249 Kayexalate. Kayexalate is used in renal failure patients to reduce potassium levels. Importantly, the osmotic effects of the diluent can result in ulcerations and ischemia to the background tissue. The resin is purple on H&E with a characteristic “fish-scale” or “mosaic” appearance due to intersecting “cracking lines”.

Figure 2.250 Cholestyramine. Cholestyramine is a bile acid sequestrant and it is used in hyperlipidemic patients to lower lipid levels. In contrast to Kayexalate, these resins are not seen in association with mucosal injury. Cholestyramine is bright orange on H&E and typically appears smooth with no “cracking lines” in the small crystals (arrowheads), although some irregular wave-like lines can be seen in the larger fragments (arrow).
90YTTRIUM-LABELED MICROSPHERES
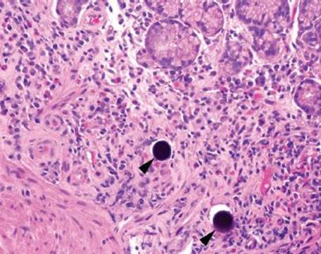
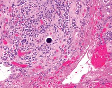
90Yttrium-labeled microspheres are used in the targeted treatment of unresectable primary and metastatic hepatic malignancies, a process termed “selective internal radiation therapy.” The microspheres are delivered via catheter into the hepatic artery to preferentially target the neoplastic cells since the neoplastic cells derive most of their blood supply from the hepatic artery and the nonneoplastic hepatocytes derive the majority of their blood supply from the portal vein. This targeted nature of delivery allows for a higher dosage of radiation than that which would be tolerable under systemic radiation therapy, and theoretically minimizes the toxic effects of the radiation to uninvolved organs; however, when the 90yttrium-labeled microspheres inadvertently enter the arteries supplying the stomach, duodenum, or pancreas, they can cause unintended radiation damage to nontargeted organs at relatively high doses of radiation. Recall, radiation injury consists of lamina propria hyalinization, atypical stromal, endothelial, and epithelial cells, and prominence of ectatic, damaged vessels. See also Radiation Gastritis Pattern, Vascular and or Hemorrhagic Pattern in this chapter (Figs. 2.224–2.227). 90Yttrium-labeled microsphere-related esophagitis, gastritis, duodenitis, pancreatitis, and cholecystitis have been reported.181,182,193,194 The microspheres are 30 to 40 μm in diameter with a maximum penetration of 11 mm, a half-life of 2.5 days, and emissions can occur as far out as 14 days postdelivery (Figs. 2.251–2.254).193,194

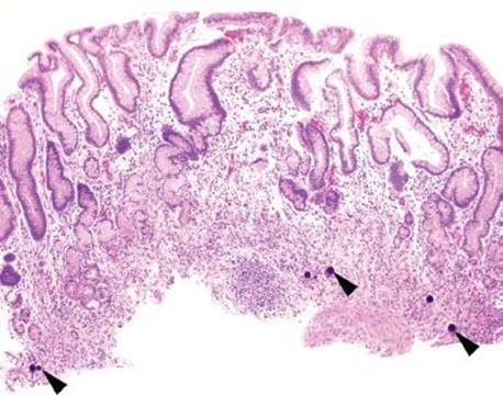
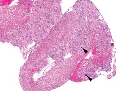
Figure 2.251 90Yttrium-labeled microsphere gastritis. At scanning magnification, this biopsy features foveolar hyperplasia, patchy chronic inflammation, and scattered 90yttrium-labeled microspheres deep in the mucosa (arrowheads). The microspheres are perfectly round, uniformly opaque, and deep dark purple.

Figure 2.252 90Yttrium-labeled microsphere gastritis. On higher power, these microspheres can look like little else, they are so characteristic. Of course, they have raised concerns for Schistosomiasis, psammoma bodies in association with neuroendocrine tumors, dystrophic calcifications, and embolization material. In this example, the microspheres (arrowheads) are surrounded by a pool of brisk chronic inflammation.

Figure 2.253 90Yttrium-labeled microsphere gastritis. In this example, prominent ulceration and granulation tissue are seen. Careful drudging through the necroinflammatory debris reveals the etiology of the findings: 90Yttrium-labeled microspheres are seen embedded within the ulcer debris (arrowheads).

Figure 2.254 90Yttrium-labeled microsphere gastritis.
PEARLS & PITFALLS
90Yttrium-labeled microspheres are usually seen in association with an alarming endoscopic appearance (Fig. 2.224), radiation injury pattern, and horrendous epithelial change. These changes can be so concerning that dysplasia or carcinoma are often diagnostic considerations. In these cases, recognition of the background radiation injury pattern and the characteristic microspheres are essential to arriving at the correct diagnosis. In addition, a CMV immunostain is worthwhile in all cases, as the diagnostic CMV-infected cells can be easily obscured by the radiation injury.
PEARLS & PITFALLS
Anecdotally, 90yttrium-labeled microspheres can be confused for Schistosomiasis, psammoma bodies in association with neuroendocrine tumors, dystrophic calcifications, and embolization material. In these types of cases, careful attention to the background radiation injury pattern serves as important red flags for the correct diagnosis.
KEY FEATURES of 90Yttrium-Labeled Microspheres:
• Used in the targeted treatment of unresectable primary and metastatic hepatic malignancies.
• Seen in association with radiation injury: lamina propria hyalinization, atypical stromal, endothelial, and epithelial cells, and prominence of ectatic, damaged vessels.
• Inadvertent delivery to nontarget organs can result in 90yttrium-labeled microsphere-related esophagitis, gastritis, duodenitis, pancreatitis, and cholecystitis.
• The characteristic microspheres are 30 to 40 um in diameter, are uniformly opaque, deep purple and perfectly round, and emissions occur as far out as 14 days postdelivery.
• CMV immunostains are recommended in all cases.