Endoscopically, the unremarkable small bowel shows a homogeneous pink mucosa with permanent circular folds (plicae circulares) and a dense carpet of villi. These plicae are an architectural adaptation to augment the absorptive surface area in the small bowel, and correspond histologically to reduplication of the mucosa, which is held together by a submucosa core (Fig. 3.1).
The layers of the small bowel are divided into the mucosa, submucosa, muscularis propria, and serosa (Fig. 3.2). Designed for absorption of ingested nutrients, the mucosa is composed of an epithelial component, lamina propria, and muscularis mucosae. The surface epithelium and lamina propria form intraluminal projections called villi; these microscopic fingerlike and leaflike projections cover the entire luminal surface of the small bowel and further enhance surface area for absorption.1 Each villus is covered by a single layer of epithelial cells of varying types (see below), under which sits the epithelial basement membrane and lamina propria. This lamina propria core contains a blind-ended lymphatic channel (lacteal), capillary network, and migratory inflammatory cells.2. Although the villi are extensions above the surface architecture, the crypts (of Lieberkühn) are depressions below that extend from the lumen to the muscularis mucosae. The ratio of crypt height to villous length in the normal small bowel varies from 1:3 to 1:5 (Figs. 3.3–3.5).3
The villous epithelium is lined by tall columnar absorptive epithelial cells, each of which contains an apical brush border composed of microvilli (Figs. 3.6–3.8). These minute projections further augment the surface area of the small bowel. Interspersed between the absorptive cells are goblet cells, which secrete both neutral and acid mucins. These sialomucins stain blue-purple on a combined Alcian blue-PAS stain. Scattered endocrine cells are present within the villous epithelium, but they are more abundant within the crypts. Intraepithelial lymphocytes (IELs) are normally present as one per five epithelial cells. The deep crypts additionally contain abundant Paneth cells (Fig. 3.9). The lamina propria rests on the muscularis mucosae, surrounds the crypts, and extends upward into the core of the intestinal villi. It serves as an immunologic organ and contains plasma cells, lymphocytes, eosinophils, histiocytes, and mast cells. Plasma cells are the most abundant cellular lamina propria constituent. Most contain IgA but some contain IgM; in contrast to their abundance in extraintestinal sites, IgG secreting plasma cells are scarce. Lymphocytes of both B- and T-lineage are common. The only granulocytes normally found in the lamina propria are eosinophils and mast cells. The muscularis mucosae is composed of a thin layer of smooth muscle cells separating the mucosa from the underlying submucosa. Tufts of smooth muscle radiate from the muscularis mucosae into the lamina propria and extend into the villi (Figs. 3.10–3.12).

Figure 3.1 Normal small bowel, endoscopic findings in the normal duodenum. A fine carpet of villi lines the duodenal lumen. The circular folds (plicae) of the small bowel have smooth borders.

Figure 3.2 Normal small bowel, layers of the small intestine. This resection specimen illustrates the four main layers of the small bowel: mucosa, submucosa, muscularis propria, and serosa. The mucosa consists of epithelium (E), lamina propria (L), and muscularis mucosae (MM). The submucosa sits between the muscularis mucosae and the muscularis propria (MP) and it consists of loose fibroconnective tissue and lymphovascular channels. The MP consists of two muscle layers: an inner circular and outer longitudinal. The outermost layer is the serosa. Note the plicae circulares are composed of a reduplication of mucosa held together by a submucosa core.

Figure 3.3 Normal small bowel. The crypt to villous ratio in the normal small bowel ranges from 1:3 to 1:5. The epithelial cells lining the villi are tall columnar absorptive cells and are intermittently punctuated by goblet cells. The base of the crypts contains visible bright pink Paneth cells with scattered endocrine cells (unperceivable at this magnification).

Figure 3.4 Normal small bowel, lacteals. The core of the villi are composed of lamina propria containing migratory chronic inflammatory cells, blood vessels, lymphatic channels, and smooth muscle cells. This example shows dilated lacteals in the tips of the villi, a finding that indicates lymphatic blockage of lymphatic flow of unclear significance.

Figure 3.5 Normal small bowel, cross section of villous projection. Higher magnification of a villous core highlights a dilated lymphatic space containing pale eosinophilic serum. Separate capillary vessels contain red blood cells, and scattered chronic inflammatory cells are present in the supporting substance.

Figure 3.6 Normal small bowel, villous tip. The villous tip is lined by columnar cells with an absorptive brush border composed of microvilli. On H&E stain, this can be visualized as an eosinophilic “fuzzy” border. These absorptive columnar cells are punctuated by goblet cells (arrowhead), and small numbers of lymphocytes (arrows) may be seen traversing between them.

Figure 3.7 Normal small bowel, villous tips (PAS special stain). The microvillous brush border is crisp and deeply eosinophilic on a PAS special stain, which also highlights the goblet cells. Defective, broken, or smudgy brush borders should prompt consideration of microvillous inclusion disease, especially in infants. The cytoplasm of the columnar cells appears pale and homogeneous.

Figure 3.8 Normal small bowel, lipid “hang-up” (PAS special stain). This PAS stain of a villous tip reveals vacuolated cytoplasm of the absorptive columnar cells (compare to previous figure). This finding indicates lipid within the cytoplasm of the epithelial cells and is commonly seen among patients who have ingested food or drink prior to endoscopy. When severe, diffuse, or present in the pediatric population, it is worthwhile to consider a lipid transport disorder.

Figure 3.9 Normal small bowel, crypt base. Paneth cells (arrowheads) contain abundant brightly eosinophilic coarse granules that face the gland lumen. By comparison, enteroendocrine cells (arrows) have deeper red and smaller granules that face the basement membrane.

Figure 3.10 Normal small bowel, smooth muscle within villous core. Delicate tufts of smooth muscle (arrows) extend from the muscularis mucosae along the core of the villi. When cut in cross section (arrowheads), these can be mistaken for histiocytes, signet ring cell carcinoma, or infectious diseases (such as Mycobacterium avium intracellulare).

Figure 3.11 Normal small bowel, normal variant morphology in small intestine. Remember that the slide is a two-dimensional representation of three-dimensional tissues. Villi may be truncated if they extend out of the plane of section, as seen here. The adjoining long, slender villi reassure observers that there is not true villous atrophy.

Figure 3.12 Normal small bowel, normal variant morphology in small intestine. Villi may vary from slender and fingerlike to broad and leaflike depending on geographic region or specific diets. Other variations, such as bridging villi (seen here) may also be seen in healthy patients.
The submucosa of the duodenum contains ganglion cells of Meissner’s plexus, lymphatic and vascular structures, and is one of only two sites in the gastrointestinal tract that contains submucosal glands (the other being the esophagus). These Brunner glands are lobular collections of tubuloalveolar glands that are limited to the submucosa of the duodenum; however, up to one third of them can reside within the deep mucosa in the absence of pathology (Fig. 3.13).4 These glands are most concentrated at the gastro–duodenal junction and gradually decrease in number distally (Figs. 3.14 and 3.15). The glands are lined by cells (Fig. 3.16) that contain PAS positive and diastase-resistant neutral mucins, and scattered endocrine cells that secrete somatostatin, gastrin, and peptide YY. Secretions empty into the luminal crypt spaces by way of small ducts. Distally, the jejunum and ileum lack Brunner glands.

Figure 3.13 Normal small bowel, proximal duodenum with Brunner glands. Brunner glands are found exclusively in the proximal duodenum. Although their bulk lies in the submucosa, extension above the muscularis mucosae is not uncommon, even under normal conditions, as seen here.

Figure 3.14 Normal small bowel, Brunner glands. Brunner glands are lined by cuboidal to columnar cells with pale, uniform cytoplasm and oval, basally located nuclei.

Figure 3.15 Normal small bowel, crushed Brunner glands. Crushed Brunner glands may sometimes take on a neural appearance, raising the differential diagnosis of a neural tumor.

Figure 3.16 Normal small bowel, Brunner glands (PAS special stain). Brunner glands contain PAS positive and diastase-resistant cytoplasmic mucin. This staining pattern can be helpful in differentiating crushed Brunner glands from a neural tumor.
The muscularis propria surrounds the submucosa and is composed of an inner circular and outer longitudinal layer of smooth muscle. Between these layers lies the myenteric plexus of Auerbach, a major neural plexus of the enteric nervous system. Externally, the bowel is enveloped by subserosal connective tissue and the mesothelial-derived serosa.
PEARLS & PITFALLS
Distinctive Differences Among Regions of Small Bowel
|
Duodenum: |
Contains submucosal Brunner glands, more abundant proximally |
|
Jejunum: |
Prominent, tall plicae circulares |
|
Ileum: |
Submucosal adipose tissue may be present, especially near the ileocecal valve |

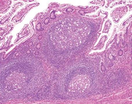
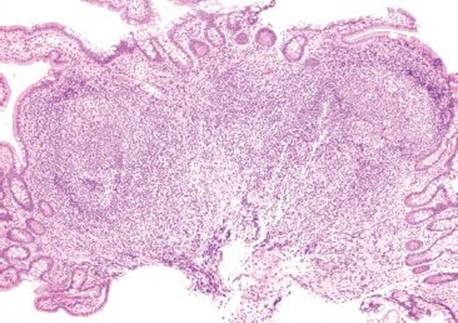
Figure 3.17 Normal small bowel, terminal ileum. Unencapsulated organized lymphoid nodules are found within the mucosa and submucosa of the terminal ileum. These Peyer patches are found exclusively in the ileum, which functions as an immunologic organ.
FAQ: My terminal ileum biopsy shows prominent lymphoid aggregates. How can I be sure I am not missing a sneaky hematolymphoid malignancy?
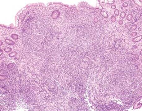
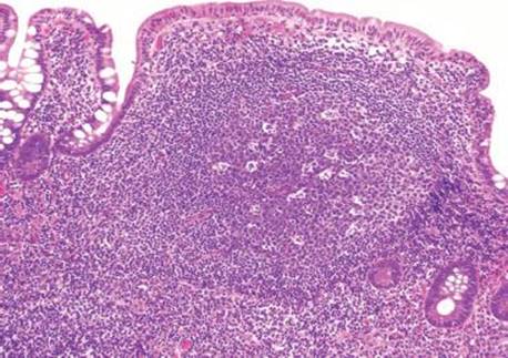
Answer: You are not alone! Prominent lymphoid aggregates can be especially alarming in the terminal ileum and, thus, are a common source of consultation. The small bowel serves as an essential component of the immune system through its perpetual surveillance of the passing luminal contents. Diligent immunosurveillance is facilitated through specialized epithelial cells (M-cells) that transport luminal antigens to the lymphoid aggregates (designated “Peyer patches” when seen in the terminal ileum). Hyperplastic lymphoid aggregates can be sufficiently large as to be visualized endoscopically and can also serve as intussusception lead points, especially in young children.5,6 The epicenter of lymphoid aggregates is in the mucosa but especially prominent cases can feature extension into the submucosa, raising concerns for a hematolymphoid malignancy. Histologic features reassuring for a benign, reactive process include the presence of germinal centers, tingible body macrophages, and a polymorphous constituent lymphoid population (i.e., a variety of cell sizes represented); however if the focus in question seems at all concerning, a quick immunohistochemical panel may be worthwhile (Figs. 3.19–3.37) (Table 3.1).
PEARLS & PITFALLS
CD43 also highlights plasma cells.
Lymphomas treated with Rituximab (anti-CD20) can be CD20 negative (use PAX5 to confirm B lymphocytes in these cases).
PEARLS & PITFALLS
For those of us who do not routinely evaluate hematopathology specimens, it can be difficult to remember the significance of several of the similarly sounding hematopathology markers, particularly BCL-2, BCL-6, and CD10. If you relate to these challenges, consider this dartboard analogy as a handy learning tool (Figs. 3.18 and 3.19). In the game of darts, a player is awarded more points for landing a dart at the prized center bull’s eye due to the challenging nature of this difficult shot, and fewer points for landing a dart in the periphery of the dart board. In this analogy, imagine the center bull’s eye as a germinal center with the highest points awarded (BCL-6 and CD10). In contrast, the peripheral location outside of the germinal center is awarded fewer points (BCL-2). Importantly, this analogy only works for normal lymphoid aggregates! Follicular lymphoma, for example, is characterized by BCL-2 reactive germinal centers due to the t(14;18) rearrangement of BCL-2 and the immunoglobin heavy chain (IgH). See also Table 3.1.
TABLE 3.1: Quick and Dirty Immunohistochemical Panel for Prominent Lymphoid Aggregates versus Select Hematolymphoid Malignancies


Figure 3.18 Dart game analogy. If it is difficult to remember the significance of BCL-2, BCL-6, and CD10 as they relate to normal lymphoid aggregate architecture, consider this dartboard analogy. In the game of darts, a player is awarded more points for landing a dart at the center bull’s eye as compared to the periphery of the dartboard. In this analogy, imagine the bull’s eye as a germinal center with the highest points awarded (BCL-6 and CD10). In contrast, the peripheral location is outside of the germinal center and fewer points are awarded for these less challenging shots (BCL-2).

Figure 3.19 Normal lymphoid aggregate, illustration. In a normal lymphoid aggregate, the germinal center is highlighted by BCL-6 and CD10 (analogous to a dartboard’s prized bull’s eye) and is negative for BCL-2. Recall, normal B lymphocytes in the mantle zone surrounding the germinal center and normal T lymphocytes express BCL-2 (analogous to a dartboard’s periphery). Therefore, interpretation of BCL-2 always requires concomitant interpretation of CD20 B lymphocyte marker and CD3 T lymphocyte marker.

Figure 3.20 Normal terminal ileum. The overlying villi of the terminal ileum are characteristically shorter than those seen in the duodenum and jejunum (Figs. 3.3 and 3.13). At low power, the prominent lymphoid aggregate is seen confined within the mucosa (arrowheads highlight the narrow wisp of muscularis mucosae). Although the crypts are not identical copies of each other (the crypts are variably sized with varying amounts of intervening lamina propria), these slight differences are due to the prominent lymphoid aggregate and are entirely within the spectrum of normal terminal ileum histology. The lymphoid aggregate gently pushes the crypts apart; there is neither acute inflammation actively destroying the epithelium nor features of chronic injury (such as pyloric gland metaplasia). As a result, the superficial epithelium could be theoretically pulled off the lymphoid aggregate since there is no destructive inflammatory injury tethering the epithelium to the lymphoid aggregate. See figures 3.64, 3.66–3.70 to contrast this normal architecture with features of established active chronic injury.

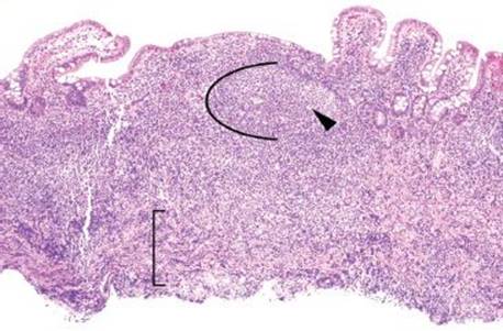
Figure 3.21 Normal terminal ileum. As this case illustrates, large lymphoid aggregates can occasionally extend below the muscularis mucosae (bracket) into the submucosa. Features in support of a benign process include variably sized lymphoid aggregates, germinal centers (arcs), tingible body macrophages (macrophages containing apoptotic debris in the cytoplasm, arrowheads), and a polymorphous lymphoid population (variably sized lymphocytes, best seen at high-power, Figures 3.29–3.30).

Figure 3.22 Normal terminal ileum. Note how the overlying epithelium could be theoretically “peeled” off the lymphoid aggregates since the large lymphoid aggregates are seen gently pushing aside the epithelium and not associated with active chronic inflammatory injury. Note the features of benignity: variably-sized lymphoid aggregates, germinal centers, and tingible body macrophages.

Figure 3.23 Normal terminal ileum. With such large prominent aggregates, the ever so slight scattered appearance to the crypts is entirely within the spectrum of normal terminal ileum architecture. Note that the overlying epithelium could be theoretically “peeled” off the lymphoid aggregates since there is no active chronic inflammatory injury linking the lymphoid aggregates to the epithelium.

Figure 3.24 Normal terminal ileum with variably sized lymphoid aggregates, germinal centers, and tingible body macrophages.

Figure 3.25 Normal terminal ileum. Crushed lymphoid tissue traversing the muscularis mucosae can raise concerns for a malignant hematolymphoid process (bracket). In this case, however, the intact lymphoid aggregate shows germinal centers (arc), tingible body macrophages (arrowheads), and a polymorphous lymphoid population, all features of a benign lymphoid process.

Figure 3.26 Normal terminal ileum. On higher power, a germinal center with tingible body macrophages is seen. Note that increased IELs are a normal finding in epithelium overlying lymphoid aggregates (brackets).

Figure 3.27 Normal terminal ileum. On higher power, the increased IELs are better appreciated (brackets). Recall, increased IELs are a normal finding in epithelium overlying lymphoid aggregates.

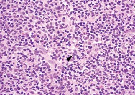
Figure 3.28 Normal terminal ileum. This high power view features a reactive germinal center with numerous tingible body macrophages (arrowheads). Tingible body macrophages harbor engulfed apoptotic debris, accounting for their characteristic cytoplasmic morphology.

Figure 3.29 Normal terminal ileum. This focus illustrates important features of a benign lymphoid aggregate: a germinal center (arc), tingible body macrophages (arrowheads), and variably sized lymphocytes (small, medium, and large lymphocytes).

Figure 3.30 Normal terminal ileum. The polymorphous nature of this benign lymphoid aggregate is best seen at high power (note the various sized and shaped lymphocytes). A rare mitotic body is seen (arrowhead), a feature not unusual for reactive lymphoid aggregates.

Figure 3.31 Normal terminal ileum. Prominent lymphoid aggregates can be alarming and, consequently, are a common source of consultation. Most typically, recognition of the key H&E features of benignity is sufficient to render a diagnosis of an unremarkable lymphoid aggregate: as in this case, germinal centers, tingible body macrophages, and variably sized lymphocytes are seen. Sometimes, however, a quick immunostain panel approach can be reassuring.

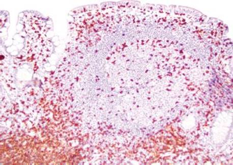
Figure 3.32 Normal terminal ileum (CD23 immunostain). A CD23 highlights the follicular dendritic cell meshwork surrounding the germinal centers, a feature of intact (normal) lymphoid aggregate architecture.

Figure 3.33 Normal terminal ileum (CD3 immunostain). A CD3 highlights T lymphocytes, which are predominantly seen surrounding the germinal center. On H&E, these lymphocytes were uniform and small, no atypical cytologic features were seen.

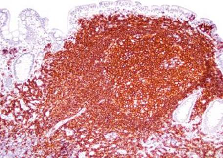
Figure 3.34 Normal terminal ileum (CD20 immunostain). A CD20 highlights B lymphocytes, which are the majority of the lymphoid constituents.

Figure 3.35 Normal terminal ileum (BCL-6 immunostain). Various artifacts occasionally make germinal centers difficult to discern. In such cases, BCL-6 and CD10 are equally helpful markers that highlight germinal centers.

Figure 3.36 Normal terminal ileum (CD10 immunostain). Like BCL-6, CD10 also highlights germinal centers. Of note, CD10 also highlights a crisp/intact brush border characteristic of normal small bowel mucosa (bracket). Defective, broken, or smudgy brush borders should prompt consideration of microvillous inclusion disease, especially in infants.

Figure 3.37 Normal terminal ileum (BCL-2 immunostain). Normal germinal centers are BCL-2 negative. If the germinal center is BCL-2 reactive, consider follicular lymphoma, which is characterized by the t(14;18) rearrangement of BCL-2 and the immunoglobin heavy chain (IgH). Importantly, recall that normal B lymphocytes in the mantle zone surrounding the germinal center and normal T lymphocytes express BCL-2. Therefore, interpretation of BCL-2 always requires concomitant interpretation of CD20 B lymphocyte marker, CD3 T lymphocyte marker, and a germinal center marker (BCL-6 or CD10).