
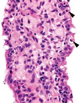
Figure 3.51 Acute ileitis pattern. Acute ileitis refers to acute inflammation in the epithelium of the ileum (arrowheads). It is most commonly caused by medication, infection, and inflammatory bowel disease.
Similar to that in the acute duodenitis pattern, acute inflammation in the epithelium of the ileum can qualitatively be scored “mild,” “moderate,” or “marked” based on the relative prominence of acute inflammation in the epithelium (Figs. 3.51–3.55). Comparatively, the acute ileitis pattern is associated with a slightly modified differential diagnostic list of etiologic considerations. In this section, the discussion emphasizes etiologic considerations particularly important to the ileum.

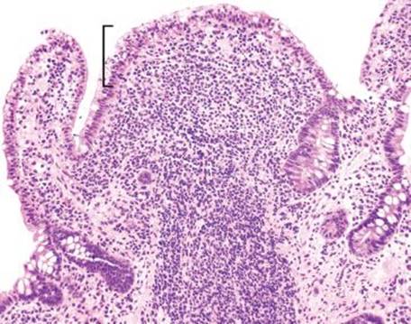
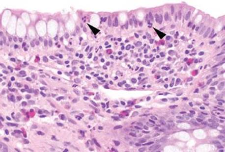
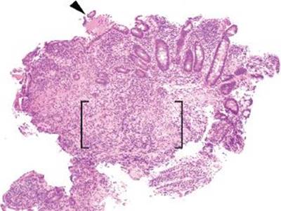
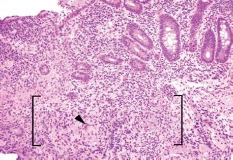
Figure 3.52 Acute ileitis pattern, aphthoid lesion. The diagnosis of acute ileitis implies the absence of chronic injury, as seen in this figure). Although the lymphoid aggregate is gently pushing apart the crypts, there is no chronic injury of the epithelium (note the epithelium could be theoretically peeled off the lymphoid aggregate since the epithelium is not tethered to the lymphoid aggregate by destructive inflammatory injury).

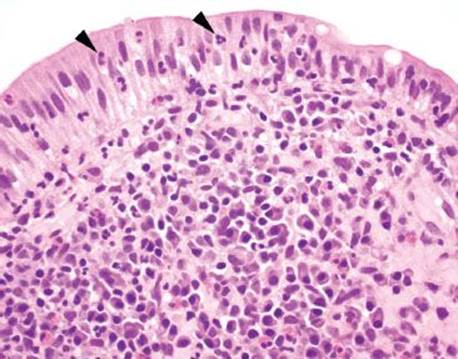
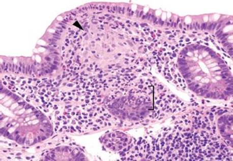
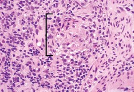
Figure 3.53 Acute ileitis pattern, aphthoid lesion. Higher power of previous case. An aphthoid lesion/ulcer refers to acute inflammation in the epithelium overlying a lymphoid aggregate. In the appropriate clinicopathologic context, an aphthoid lesion can lend support to the diagnosis of Crohn disease.

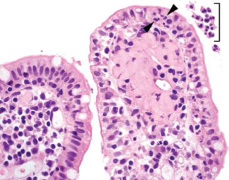
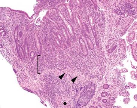
Figure 3.54 Acute ileitis pattern. A pocket of luminal neutrophils is seen (bracket) along with acute inflammation in the epithelium (arrowheads).

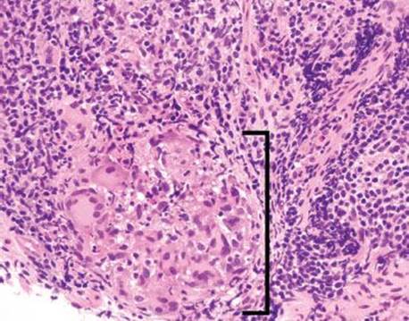
Figure 3.55 Acute ileitis pattern, prominent ulceration. Acute ileitis refers to a fairly wide range of mucosal injury patterns ranging from scattered neutrophils in the epithelium to deep penetrating ulcerations and fissures. In this example, a prominent ulceration is featured (arrowhead), while the background mucosa is essentially unremarkable at this power. The terminal ileum findings were attributed to the established history of excessive NSAID usage.
CHECKLIST: Etiologic Considerations for the Acute Ileitis Pattern
Medications (i.e., NSAIDs, ipilimumab, other chemotherapeutic agents)
Infection (CMV, Adenovirus, and Typical Stool Pathogens, including Yersinia, Salmonella, others)
Inflammatory Bowel Disease
Infiltrative Processes (i.e., Amyloidosis or Malignancy)
Radiation Injury
Ischemia
Vasculitis
MEDICATIONS
Medication-related injury constitutes the most common cause of the acute ileitis pattern of injury, particularly in adults. In an endoscopic study of long-term NSAID users, up to 71% showed distal small bowel mucosal injury compared to only 10% of non-NSAID users (p < 0.001).8 NSAIDs mediate injury via nonselective inhibition of cyclooxygenase isoenzymes resulting in decreased production of mucosal protectant products, such as prostaglandins, mucin, and bicarbonate, and dampened microcirculation. The injury pattern can range from mild acute ileitis to erosions, deep-penetrating ulcerations, perforations, and necrosis (Fig. 3.55). The so-called diaphragm disease is a rare but clinically significant consequence seen in up to 2% of patients with chronic NSAID usage and is presumed to be pathognomonic for NSAID-related injury. See also Diaphragm Disease, Chronic Ileitis, this chapter. Although NSAID-related injury can occur at any point along the tubular GI tract, the terminal ileum is particularly vulnerable because of the increased popularity of extended release formulations that delay release of NSAIDs (and the associated mucosal damage) from the stomach to distal bowel segments, including the terminal ileum9 and even the colon.10,11 Other proposed factors include the geographic specific constraints of the terminal ileum; the prominent lymphoid aggregates and narrowed ileocecal valve may result in increased tablet-mucosal contact and related physical and or chemical injury.9
INFLAMMATORY BOWEL DISEASE
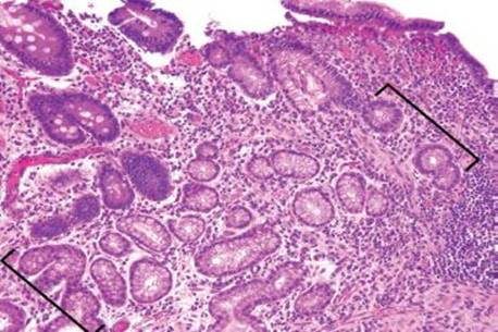
The acute ileitis pattern can also herald inflammatory bowel disease (IBD). Although IBD is discussed at length in Inflammatory Bowel Disease, Chronic Colitis, Colon Chapter, a few comments pertaining to the terminal ileum are warranted. Importantly, terminal ileal injury is not restricted to Crohn disease. Up to 17% of ulcerative colitis cases are associated with acute ileitis via a process termed “backwash ileitis.”12 “Backwash ileitis” occurs in a background of marked pancolitis whereby the inflammatory rich luminal contents in the colon are refluxed into the contiguous terminal ileum segment, causing associated inflammatory and reactive changes. The degree of terminal ileum injury is usually mild, or no greater than that in the cecum, and features of chronic mucosal injury are uncommon (Figs. 3.56 and 3.57).12 If terminal ileum restricted injury is present and the adjoining colon shows unremarkable mucosa, medication injury, infection, or Crohn disease would figure a more likely etiology.
When assessing the acute ileitis pattern, it is worthwhile to carefully scrutinize the background mucosa for any additional diagnostic clues that might help refine the diagnosis. For example, aphthoid lesions/ulcers consist of acute inflammation in the epithelium overlying lymphoid aggregates and their presence can lend support to a clinicopathologic diagnosis of Crohn disease (Figs. 3.52–3.54). Although granulomata can be difficult to detect in the normally busy-appearing terminal ileum biopsies, their presence can also be helpful when considering the possibility of Crohn disease, infection, sarcoidosis, or medication injury (Figs. 3.58–3.65). Features of chronic mucosal injury are also important to identify, such as pyloric gland metaplasia and architectural distortion, although these features can be seen with chronic injury of any sort, such as chronic NSAID-associated injury or chronic infections (Figs. 3.58–3.73). Histologic features of chronic mucosal injury are extensively discussed in Chronic Colitis, Colon Chapter. Based on the overlapping features between IBD, chronic medication injury, and chronic infection, IBD is remains a clinicopathologic diagnosis that must encompass all available clinicopathologic features (clinical symptomatology, disease course, disease distribution pattern, pertinent microbiologic studies, and family history, etc.).13
KEY FEATURES of the Acute Ileitis Pattern:
• Medication-related injury constitutes the most common etiology, followed by infection and IBD (Crohn disease > ulcerative colitis).
• This injury pattern ranges from mild acute ileitis to erosions, deep-penetrating ulcerations, perforations, and necrosis.
• Diaphragm disease is a rare consequence of chronic NSAID usage and refers to mucosal strictures that concentrically involve the bowel wall, narrowing the lumen to a pinhole size, resulting in obstruction.
• Assess the background mucosa for clues such as aphthoid lesions, granulomata, features of chronic mucosal injury, radiation injury, amyloidosis, and neoplasia, in attempts to uncover the etiology.

Figure 3.56 Acute ileitis pattern, backwash ileitis, ulcerative colitis. This ileal biopsy was taken from a patient with well-established ulcerative colitis.

Figure 3.57 Acute ileitis pattern, backwash ileitis, ulcerative colitis. Higher magnification of the previous figure reveals mild focal acute inflammation (arrowheads) that should not be mistaken for Crohn disease.

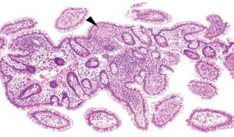
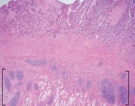
Figure 3.58 Granulomatous pattern (brackets), terminal ileum, sarcoidosis. This terminal ileum resection originated from a 58-year-old woman with an extensive history of sarcoidosis who presented with a small bowel obstruction. The background mucosa was unremarkable. AFB and GMS special stains were negative.

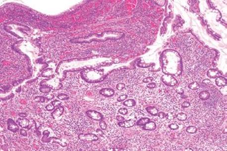
Figure 3.59 Acute ileitis pattern, granuloma, Crohn disease. This sneaky granuloma is almost miss-able on low power (arrowhead). This biopsy originated from a patient with a history of Crohn disease and scattered mucosal granulomata were seen throughout representative upper and lower gastrointestinal tract biopsies.

Figure 3.60 Acute ileitis pattern, granuloma, Crohn disease. On higher power, the granuloma is more easily spotted (arrowhead) as is the focal acute inflammation in the adjoining epithelium (bracket). AFB and GMS special stains were negative.

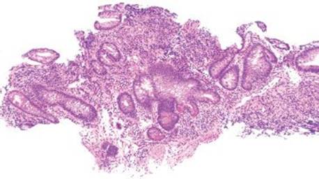
Figure 3.61 Acute ileitis pattern, erosive active chronic granulomatous ileitis, Crohn disease. Active chronic inflammation refers to acute injury (i.e., acute inflammation in the epithelium or crypt lumens, erosions, and or ulcerations) and chronic injury. In this case, an erosion is seen (arrowhead) along with an expansion of the lamina propria by a lymphohistiocytic inflammation (brackets).

Figure 3.62 Acute ileitis pattern, erosive active chronic granulomatous ileitis, Crohn disease. On intermediate power, a foreign body giant cell is more easily seen (arrowhead) in addition to vague granulomatous inflammation (brackets). Granulomata in Crohn disease are often poorly formed, as in this case.

Figure 3.63 Acute ileitis pattern, erosive active chronic granulomatous ileitis, Crohn disease. On highest power, the epithelioid morphology characteristic of granulomatous inflammation is seen (bracket). AFB and GMS special stains were negative.

Figure 3.64 Acute ileitis pattern, active chronic granulomatous ileitis, Crohn disease. At low power, crypt shortfall with basal lymphoplasmacytosis is seen: note that the crypts fall short of the muscularis mucosae (arrowheads) because of a basal layer of lymphoplasmacytic inflammation (bracket). Granulomata in Crohn disease (asterisk) can be notoriously difficult to appreciate in intensely inflamed specimens, as in this case. In contrast to normal terminal ileum architecture, note that it would be impossible to strip off the overlying epithelium in this case since the epithelium is inseparably melded to the associated active chronic inflammatory injury. Contrast this image with normal architecture (Figs. 3.20–3.25).

Figure 3.65 Acute ileitis pattern, active chronic granulomatous ileitis, Crohn disease. On higher power a granuloma with foreign body giant cells is more easily appreciated (bracket). AFB and GMS special stains were negative.

Figure 3.66 Acute ileitis pattern, active chronic ileitis, Crohn disease. Active chronic injury implies both acute and chronic inflammatory injury. Although acute inflammation is not apparent at this magnification, features of established chronic injury (chronicity) include pyloric gland metaplasia (best appreciated at higher power) and architectural distortion (note the variably sized crypts with variable intervening lamina propria). Also note the transmural fibrosis and chronic inflammation, and subserosal lymphoid aggregates (brackets), features compatible with the history of established Crohn disease.

Figure 3.67 Acute ileitis pattern, ulcerative active chronic ileitis, Crohn disease. This resection is from a patient with a history of terminal ileum-restricted Crohn disease. The image features both acute injury (ulceration (arrowhead) and acute inflammation in the epithelium (not shown)) and chronic injury (gastric foveolar metaplasia [brackets], pyloric gland metaplasia [asterisks], and slight architectural distortion with variably sized crypts, variable intervening lamina propria, minimal crypt shortfall, and basal lymphoplasmacytosis [arrows]).

Figure 3.68 Acute ileitis pattern, ulcerative active chronic ileitis, Crohn disease. Alternate field. Luminal ulcer debris is seen along with features of chronic mucosal injury (gastric foveolar metaplasia and architectural distortion).

Figure 3.69 Acute ileitis pattern, active chronic ileitis, Crohn disease. Alternate field. Architectural distortion is often best seen at low power: note the variably sized crypts with variable intervening lamina propria.

Figure 3.70 Acute ileitis pattern, active chronic ileitis, Crohn disease. Architectural distortion can also be appreciated on small bits of biopsy material, as this case. Note the central bizarrely shaped crypt with greater than seven branches, and the variable amount of intervening lamina propria throughout, both features of chronic mucosal injury. Acute ileitis was also seen (not shown).

Figure 3.71 Acute ileitis pattern, active (arrow) chronic (arrowheads) ileitis, Crohn disease.

Figure 3.72 Acute ileitis pattern, active chronic ileitis, Crohn disease. Pyloric gland metaplasia is evidence of chronic mucosal injury (brackets). Pyloric gland metaplasia of the ileum is histologically identical to the pyloric-type glands of the gastric cardia and antrum and to Brunner glands of the duodenum. These glands are composed of mucus secreting cells with abundant clear foamy cytoplasm and basally located nuclei. A PAS/AB special stain would highlight eosinophilic neutral mucin (not shown).

Figure 3.73 Acute ileitis pattern, active chronic ileitis, Crohn disease. Higher power of previous case.