SNEAKY ADENOCARCINOMA

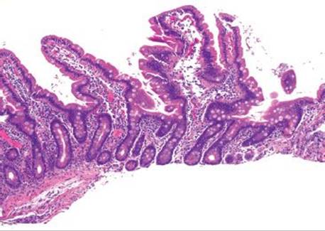
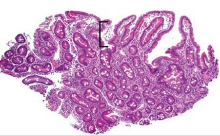
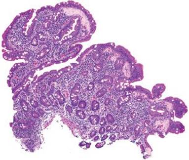
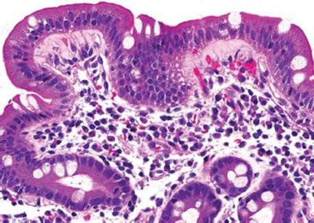
Figure 3.313 Acute duodenitis with gastric foveolar metaplasia and reactive epithelial change. The clinical impression of a mass lesion inspired deeper sections on this busy-appearing biopsy, although no histologic features of malignancy are readily apparent on this first level.
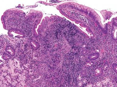
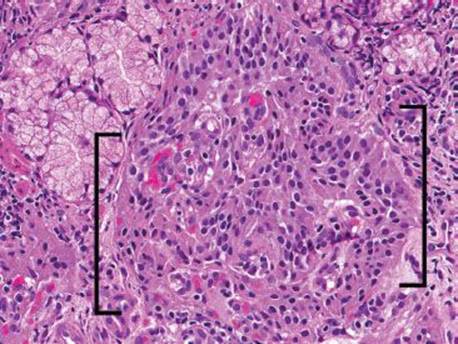
This case was received as “prominent ampulla, concerning for malignancy” (Fig. 3.313). The initial sections show duodenal mucosa with acute and chronic inflammation, gastric foveolar metaplasia, and marked reactive epithelial change (Fig. 3.313). Although these histologic features can account for a nodular clinical impression, deeper sections were pursued based on the clinical suspicion for malignancy. The first set of deeper sections were similarly concerning, but definitive malignancy was not seen. Deeper sections were repeated. And repeated. And repeated. In this case, the tissue block was exhausted and on the 38th level (!!!), clear lymphovascular invasion and infiltrating adenocarcinoma were seen (Figs. 3.314 and 3.315). When the histology does not fit the clinical scenario, consider deeper sections. When the deeper sections are not conclusive, consider repeat deeper sections or recommend rebiopsy (in this case, the patient was too unstable for a subsequent biopsy).

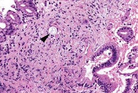
Figure 3.314 Infiltrating poorly-differentiated adenocarcinoma and lymphovascular space invasion. Deeper sections were performed until the block was exhausted. This photomicrograph represents the 38th (and final) section, which shows desmoplasia, infiltrating adenocarcinoma (arrowheads), and lymphovascular space invasion (asterisk). These deeper sections show an entirely different biopsy compared to the initial sections and were sufficient for chemotherapy initiation.

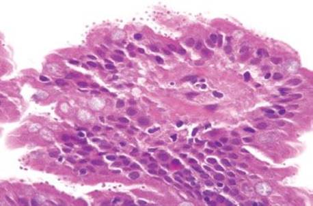
Figure 3.315 Sneaky adenocarcinoma involving the duodenal mucosa. Under oil immersion, note the nuclear irregularities, abundant pink cytoplasm, and cytoplasmic mucin droplet (arrowhead) characteristic of pancreatobiliary adenocarcinoma. Unfortunately, sometimes 38 levels are required for the ultimate diagnosis and sometimes only a few malignant cells are present! When the clinical scenario and the histology are not aligned, deeper sections (and deeper sections and deeper sections and deeper sections) are often required.
ISOSPORA

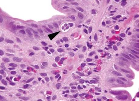
Figure 3.316 Isosporiasis. This intermediate power view shows how easy it is to miss Isospora. At low power, only gastric foveolar metaplasia and perhaps a slight increase in lamina propria eosinophils is seen. Other fields of this same case were essentially normal, emphasizing that every biopsy needs a few high power fields of attention for such extremely subtle diagnoses.

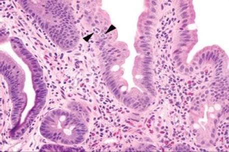
Figure 3.317 Isosporiasis. On higher power, a slight prominence of lamina propria eosinophils serves as a red flag to the diagnosis. Arrowheads highlight the Isospora organisms, which are obligate intracellular parasites and are found in the paranuclear or subnuclear cytoplasm.

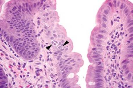
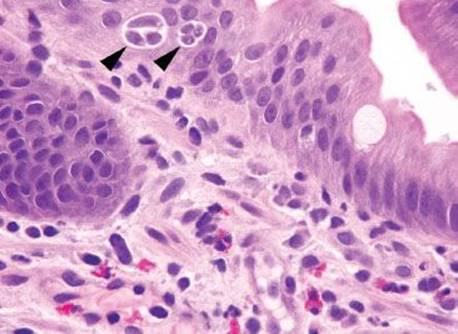
Figure 3.318 Isosporiasis. On higher power, the Isospora organisms (arrowheads) are seen embedded within the epithelium. Unless the epithelial compartment is diligently inspected in every biopsy, these organisms would almost certainly be missed.
Isosporiasis is among the more common protozoan causes of severe diarrhea in AIDS patients (Figs. 3.316–3.318).190 The Isospora belli organisms are spread via contaminated water or fecal–oral contamination. They localize to the small bowel surface and are exceedingly easy to miss owing to sometimes unremarkable background mucosa and sparsely distributed organisms (Figs. 3.316–3.321). Diagnostic confirmation is facilitated through identification of the oocysts in stool samples or duodenal aspirates.191 Standard therapy consists of trimethoprim–sulfamethoxazole, which is often long term in severely immunocompromised patients.
Cryptosporidia and microsporidia infections can manifest with similar clinical symptoms and are frequent differential considerations, especially on board examinations! Cryptosporidia are small (2 to 5 μm), rounded basophilic structures that attach to the small bowel and pancreatobiliary epithelium (Figs. 3.322–3.326). The organisms can be all too easy to miss on H&E and are best highlighted by Giemsa, silver, or PAS special stains. Microsporidium was recently reclassified from a parasite to a fungus. It is an obligate intracellular organism that is best seen with electron microscopy.

Figure 3.319 Isosporiasis (arrowhead). Oil magnification.

Figure 3.320 Isosporiasis. The Isospora organisms are nested within the duodenal epithelium and have a peripheral clearing (arrowheads) or halo that represents a parasitophorous vacuole only seen during some stages of development.

Figure 3.321 Isosporiasis. The large size of Isospora can help distinguish it from other intracellular protozoa, such as Cyclospora. This Isospora organism is larger than the nucleus of the neighboring enterocyte. Note that the peripheral clearing or halo is still present. Chart review revealed the patient was from Cameroon and presented with diarrhea. He was ultimately determined to have AIDS.

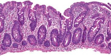
Figure 3.322 Cryptosporidiosis. Cryptosporidiosis is not an infrequent cause of diarrhea in the immunocompromised patient. At low power, the biopsy shows mild villous blunting and crypt hyperplasia. There is neither architectural distortion nor inflammatory injury.

Figure 3.323 Cryptosporidiosis. The histologic “chatter” artifact makes this biopsy difficult, replicating the “real life” issues practicing pathologists routinely face.

Figure 3.324 Cryptosporidiosis. At high power, the characteristic 2 to 5 μm, rounded basophilic structures are seen attached to the small bowel epithelium.

Figure 3.325 Cryptosporidiosis. The organisms are best appreciated at high power, underscoring the difficulty in diagnosis unless “the layers” are diligently inspected in all cases. Although Cryptosporidia are obligate intracellular organisms, they are extracytoplasmic and live within the microvilli of the enterocyte, hence their characteristic surface location.

Figure 3.326 Cryptosporidiosis. The organisms are seen “dancing” on the superficial epithelium. In difficult cases, the organisms can be highlighted by Giemsa, silver, or PAS special stains.
GIARDIA DUODENALIS (GIARDIA LAMBLIA OR GIARDIA INTESTINALIS)

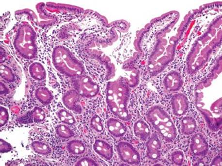
Figure 3.327 Giardiasis. At low power, the duodenal mucosa looks fairly unremarkable, except for the haphazardly arranged luminal debris characteristic of giardiasis. This patient was clinically thought to have an occult malignancy based on the profound weight loss, but all symptoms resolved with Giardiaeradication.
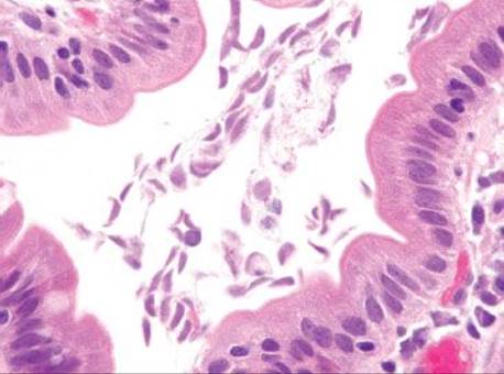
Giardia is the most common intestinal protozoan causing diarrhea in humans (Fig. 3.327).192 Part of the protozoan’s success stems from its ability to infect both the immunocompromised and immunocompetent and its ability to be perpetuated in silent carriers (or asymptomatic patients). This awareness of asymptomatic Giardia infections is important such that one is not misled by a lack of diarrhea&emdash;it happens! Nevertheless, treatment of these asymptomatic cases is critical for prevention of onward spread. The cyst is transmitted via contaminated water or via fecal–oral route, and the flagellated trophozoite adheres to the intestinal epithelium. On duodenal mucosa biopsies, the organisms haphazardly swirl close to the mucosal surface. They can bear such a haphazard arrangement that they can be mistaken for luminal debris to the untrained eye. On closer examination, the trophozoites have been described as clown-faced or pear-shaped based on their peculiar binucleate structure (Figs. 3.328–3.332). Diagnosis can be confirmed with stool smears for the trophozoites or cysts, stool antigen assays, or serologic studies. The only FDA approved treatment is furazolidone (Furoxone),190 although metronidazole is the most common first-line therapy. In the unusual case of recurrent or medically nonresponsive giardiasis, consider the following immunodeficiencies:

Figure 3.328 Giardiasis. On higher power, the Giardia organisms are better visualized (arrowheads). Note that the background mucosa is essentially normal and provides no clues to the infection, making routine inspection for giardiasis critical in every small bowel biopsy. This patient was an avid hiker and likely contracted the organisms by drinking contaminated water or through inadequate hygiene practices.

Figure 3.329 Giardiasis. On highest power, the trophozoites are best seen. Note how the cup-shaped organisms swirl near the duodenal epithelium.

Figure 3.330 Giardiasis. On a busy day, this low power view might seem less than interesting but it underscores that examination of the luminal contents is essential for every biopsy! A bracket highlights the focal collection of Giardia organisms, which are often best appreciated at intermediate power.

Figure 3.331 Giardiasis. This patient had recurrent giardiasis that failed medical management and consequently immunodeficiencies were considered. Although plasma cells were identified, he was ultimately diagnosed with CVID based on abnormal serum immunoglobulin levels. When considering immunodeficiencies related to recurrent giardiasis, it is important to assess for goblet cells and Paneth cells (either can be lost with AIE), plasma cells (up to 67% of those with CVID show a loss of plasma cells), and increased apoptotic bodies (which are a nonspecific feature of various immune-mediated processes).

Figure 3.332 Giardiasis. Higher power shows the cup-shaped forms characteristic of giardiasis.
CHECKLIST: Immunodeficiencies Associated with Giardiasis
IgA Deficiencies
Common Variable Immunodeficiency (CVID)
Autoimmune Enteropathy
IPEX Syndrome (Immunodysregulation, Polyendocrinopathy, Enteropathy, X-Linked Inheritance)
APECED Syndrome (Autoimmune phenomena, Polyendocrinopathy, Candidiasis, and Ectodermal Dystrophy)
X-Linked Agammaglobulinemia
COMMON VARIABLE IMMUNODEFICIENCY

Figure 3.333 Common variable immunodeficiency (CVID). This biopsy originated from a 7-year-old boy with a history of chronic diarrhea. It would be easy to entertain Celiac disease in this case based on the villous blunting, crypt hyperplasia, and intraepithelial lymphocytosis (not appreciated at this power).

Figure 3.334 Common variable immunodeficiency (CVID). Higher power of previous image. At this power, a complete lack of plasma cells is seen. In other fields, prominent apoptotic bodies were also seen, further supporting a pathologic suspicion of CVID. Titration of serum immunoglobulins was diagnostic of CVID and the patient clinically responded to intravenous immunoglobulin administration. Importantly, goblet cells and Paneth cells are seen, making concomitant AIE less likely.
CVID is characterized by hypogammaglobulinemia, a lack of functional plasma cells, impaired response to vaccinations, and chronic infections (including Giardia and bacterial infections) (Figs. 3.333 and 3.334). A lack of plasma cells is helpful, but only seen in two-thirds of cases; identification of plasma cells cannot exclude CVID.144 Therefore, clinicopathologic correlation is essential with titration of serum immunoglobulins serving as an essential component to the diagnosis.
COLLAGENOUS ENTERITIS

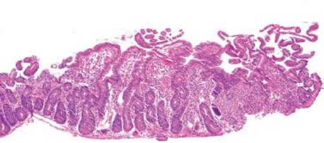
Figure 3.335 Collagenous enteritis in a patient with celiac disease. At low power, mild villous blunting and prominent subepithelial collagen are seen. The most common diagnoses linked to collagenous enteritis include collagenous colitis, lymphocytic colitis, and celiac disease. In this case, collagenous enteritis was a manifestation of clinically confirmed celiac disease. The clinical symptoms and histologic changes abated with adherence to a GFD.
Collagenous enteritis can be easily missed at low magnification, particularly since the architectural pattern often remains intact (Fig. 3.335). Remember to spend a moment at higher magnification to routinely inspect all the layers of the small bowel. Doing so may reveal an altered collagen table or otherwise easily missed diagnoses (Figs. 3.336–3.340).

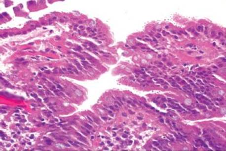
Figure 3.336 Collagenous enteritis in a patient with celiac disease. At higher power, the prominent subepithelial collagen shows an irregular border and contains entrapped capillaries. In addition, moderate villous blunting and a mild prominence of IELs are seen.

Figure 3.337 Collagenous enteritis in a patient with celiac disease.

Figure 3.338 Collagenous enteritis in a patient with collagenous colitis. This case of collagenous enteritis originated from a patient with a history of collagenous colitis and shows a prominent, irregular subepithelial collagen table with entrapped capillaries.

Figure 3.339 Collagenous enteritis in a patient with collagenous colitis.

Figure 3.340 Collagenous enteritis in a patient with collagenous colitis. Prominent entrapped capillaries are seen within the expanded subepithelial collagen table. Note that intraepithelial lymphocytosis can be patchy in collagenous enteritis and is not seen in this field.
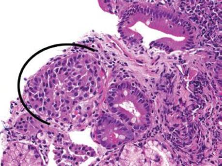
SNEAKY NEUROENDOCRINE TUMOR

Figure 3.341 Sneaky neuroendocrine tumor. This biopsy was submitted as a duodenal polyp. At low power, gastric foveolar metaplasia and Brunner gland hyperplasia are seen, findings that could account for the impression of a polyp; however every biopsy deserves closer inspection.
Small bowel biopsies can be treacherous because of all the potential hiding places for sneaky diagnoses (Fig. 3.341). Microscopic neuroendocrine tumors, for example, can be easily obscured by a busy and “abused” small bowel biopsy (Figs. 3.341–3.345) and yet diligent inspection is critical as even microscopic neuroendocrine tumors can behave aggressively. When dealing with a challenging case of crushed and cauterized tissue, consider a chromogranin and synaptophysin immunostain, deeper sections, or ask for a repeat biopsy.

Figure 3.342 Sneaky neuroendocrine tumor. At higher power, the gastric foveolar metaplasia and crushed lymphoid aggregates are better appreciated.

Figure 3.343 Sneaky neuroendocrine tumor. At this power, note the Brunner glands are pushed apart by an expansile process, an alarming finding that deserves close inspection. Brackets highlight pockets of neoplastic cells arranged in nests, suggestive of a neuroendocrine neoplasm. The diagnosis of this sneaky neuroendocrine tumor is particularly challenging in such a busy background.

Figure 3.344 Sneaky neuroendocrine tumor. Higher power. The neoplastic cells (brackets) are poorly preserved, crushed, and could easily be mistaken for crushed lymphocytes if not carefully inspected at higher power.

Figure 3.345 Sneaky neuroendocrine tumor (arc). Alternative field.
References
1. Holmes R, Hourihane DO, Booth CC. The mucosa of the small intestine. Postgrad Med J. 1961;37:717–724.
2. Dobbins WO 3rd. The intestinal mucosal lymphatic in man. A light and electron microscopic study. Gastroenterology. 1966;51(6):994–1003.
3. Rubin W. The epithelial “membrane” of the small intestine. Am J Clin Nutr. 1971;24(1):45–64.
4. Robertson HE. The pathology of Brunner’s glands. Arch Pathol Lab Med. 1941;31:112–130.
5. Ugwu BT, Legbo JN, Dakum NK, et al. Childhood intussusception: A 9-year review. Ann Trop Paediatr. 2000;20(2):131–135.
6. Ekenze SO, Mgbor SO, Okwesili OR. Routine surgical intervention for childhood intussusception in a developing country. Ann Afr Med. 2010;9(1):27–30.
7. Batts KP, Ketover S, Kakar S, et al. Appropriate use of special stains for identifying Helicobacter pylori: Recommendations from the Rodger C. Haggitt Gastrointestinal Pathology Society. Am J Surg Pathol. 2013;37(11):e12–e22.
8. Graham DY, Opekun AR, Willingham FF, et al. Visible small-intestinal mucosal injury in chronic NSAID users. Clin Gastroenterol Hepatol. 2005;3(1):55–59.
9. Dilauro S, Crum-Cianflone NF. Ileitis: When it is not Crohn’s disease. Curr Gastroenterol Rep. 2010;12(4):249–258.
10. Klein M, Linnemann D, Rosenberg J. Non-steroidal anti-inflammatory drug-induced colopathy. BMJ Case Rep. 2011;2011.
11. Aftab AR, Donnellan F, Zeb F, et al. NSAID-induced colopathy. A case series. J Gastrointestin Liver Dis. 2010;19(1):89–91.
12. Haskell H, Andrews CW Jr, Reddy SI, et al. Pathologic features and clinical significance of “backwash” ileitis in ulcerative colitis. Am J Surg Pathol. 2005;29(11):1472–1481.
13. Zuhlsdorf M, von Eiff M, Thomas M, et al. Decrease in arterial oxygen partial pressure within the first 24 h of rhGM-CSF administration in AML patients. Eur J Haematol. 1997;59(5):293–298.
14. Wright CL, Riddell RH. Histology of the stomach and duodenum in Crohn’s disease. Am J Surg Pathol. 1998;22(4):383–390.
15. Lin J, McKenna BJ, Appelman HD. Morphologic findings in upper gastrointestinal biopsies of patients with ulcerative colitis: A controlled study. Am J Surg Pathol. 2010;34(11):1672–1677.
16. Michaelsson G, Kraaz W, Gerden B, et al. Increased lymphocyte infiltration in duodenal mucosa from patients with psoriasis and serum IgA antibodies to gliadin. Br J Dermatol. 1995;133(6):896–904.
17. Michaelsson G, Kraaz W, Hagforsen E, et al. Psoriasis patients have highly increased numbers of tryptase-positive mast cells in the duodenal stroma. Br J Dermatol. 1997;136(6):866–870.
18. Michaelsson G, Kraaz W, Hagforsen E, et al. The skin and the gut in psoriasis: The number of mast cells and CD3+ lymphocytes is increased in non-involved skin and correlated to the number of intraepithelial lymphocytes and mast cells in the duodenum. Acta Derm Venereol. 1997;77(5):343–346.
19. Higgens CS, Allan RN. Crohn’s disease of the distal ileum. Gut. 1980;21(11):933–940.
20. Okada M, Yao T, Fuchigami T, et al. Anatomical involvement and clinical features in 91 Japanese patients with Crohn’s disease. J Clin Gastroenterol. 1987;9(2):165–171.
21. Pescatori M, Interisano A, Basso L, et al. Management of perianal Crohn’s disease. Results of a multicenter study in Italy. Dis Colon Rectum. 1995;38(2):121–124.
22. McKee RF, Keenan RA. Perianal Crohn’s disease–is it all bad news? Dis Colon Rectum. 1996;39(2):136–142.
23. Jones GW Jr, Dooley MR, Schoenfield LJ. Regional enteritis with involvement of the duodenum. Gastroenterology. 1966;51(6):1018–1022.
24. Yamamoto T. Factors affecting recurrence after surgery for Crohn’s disease. World J Gastroenterol. 2005;11(26):3971–3979.
25. Penner RM, Madsen KL, Fedorak RN. Postoperative Crohn’s disease. Inflamm Bowel Dis. 2005;11(8):765–777.
26. De Petris G, Lopez JI. Histopathology of diaphragm disease of the small intestine: A study of 10 cases from a single institution. Am J Clin Pathol. 2008;130(4):518–525.
27. McKinsey JF, Gewertz BL. Acute mesenteric ischemia. Surg Clin North Am. 1997;77(2):307–318.
28. Reinus JF, Brandt LJ, Boley SJ. Ischemic diseases of the bowel. Gastroenterol Clin North Am. 1990;19(2):319–343.
29. Cappell MS. Intestinal (mesenteric) vasculopathy. I. Acute superior mesenteric arteriopathy and venopathy. Gastroenterol Clin North Am. 1998;27(4):783–825, vi.
30. Thomas DP, Roberts HR. Hypercoagulability in venous and arterial thrombosis. Ann Intern Med. 1997;126(8):638–644.
31. Martinelli I, Mannucci PM, De Stefano V, et al. Different risks of thrombosis in four coagulation defects associated with inherited thrombophilia: A study of 150 families. Blood. 1998; 92(7):2353–2358.
32. Acosta S, Alhadad A, Svensson P, et al. Epidemiology, risk and prognostic factors in mesenteric venous thrombosis. Br J Surg. 2008;95(10):1245–1251.
33. Wilcox MG, Howard TJ, Plaskon LA, et al. Current theories of pathogenesis and treatment of nonocclusive mesenteric ischemia. Dig Dis Sci. 1995;40(4):709–716.
34. Sudhakar CB, Al-Hakeem M, MacArthur JD, et al. Mesenteric ischemia secondary to cocaine abuse: Case reports and literature review. Am J Gastroenterol. 1997;92(6):1053–1054.
35. Endress C, Gray DG, Wollschlaeger G. Bowel ischemia and perforation after cocaine use. AJR Am J Roentgenol. 1992;159(1):73–75.
36. Granger DN, Hollwarth ME, Parks DA. Ischemia-reperfusion injury: Role of oxygen-derived free radicals. Acta Physiol Scand Suppl. 1986;548:47–63.
37. Hahn T, McCarthy PL Jr, Zhang MJ, et al. Risk factors for acute graft-versus-host disease after human leukocyte antigen-identical sibling transplants for adults with leukemia. J Clin Oncol.2008;26(35):5728–5734.
38. Gale RP, Bortin MM, van Bekkum DW, et al. Risk factors for acute graft-versus-host disease. Br J Haematol. 1987;67(4):397–406.
39. Flowers ME, Inamoto Y, Carpenter PA, et al. Comparative analysis of risk factors for acute graft-versus-host disease and for chronic graft-versus-host disease according to National Institutes of Health consensus criteria. Blood.2011;117(11):3214–3219.
40. Lerner KG, Kao GF, Storb R, et al. Histopathology of graft-vs.-host reaction (GvHR) in human recipients of marrow from HL-A-matched sibling donors. Transplant Proc. 1974;6(4):367–371.
41. Epstein RJ, McDonald GB, Sale GE, et al. The diagnostic accuracy of the rectal biopsy in acute graft-versus-host disease: A prospective study of thirteen patients. Gastroenterology. 1980;78(4):764–771.
42. Snover DC. Mucosal damage simulating acute graft-versus-host reaction in cytomegalovirus colitis. Transplantation. 1985;39(6):669–670.
43. Lumadue JA, Manabe YC, Moore RD, et al. A clinicopathologic analysis of AIDS-related cryptosporidiosis. Aids. 1998;12(18):2459–2466.
44. Papadimitriou JC, Drachenberg CB, Beskow CO, et al. Graft-versus-host disease-like features in mycophenolate mofetil-related colitis. Transplant Proc. 2001;33(3):2237–2238.
45. Shulman HM, Kleiner D, Lee SJ, et al. Histopathologic diagnosis of chronic graft-versus-host disease: National Institutes of Health Consensus Development Project on criteria for clinical trials in chronic graft-versus-host disease: II. Pathology Working Group Report. Biol Blood Marrow Transplant. 2006;12(1):31–47.
46. Washington K, Jagasia M. Pathology of graft-versus-host disease in the gastrointestinal tract. Hum Pathol. 2009;40(7):909–917.
47. Sale GE, Shulman HM, McDonald GB, et al. Gastrointestinal graft-versus-host disease in man. A clinicopathologic study of the rectal biopsy. Am J Surg Pathol. 1979;3(4):291–299.
48. Selbst MK, Ahrens WA, Robert ME, et al. Spectrum of histologic changes in colonic biopsies in patients treated with mycophenolate mofetil. Mod Pathol. 2009;22(6):737–743.
49. Al-Absi AI, Cooke CR, Wall BM, et al. Patterns of injury in mycophenolate mofetil-related colitis. Transplant Proc. 2010;42(9):3591–3593.
50. Lee S, de Boer WB, Subramaniam K, et al. Pointers and pitfalls of mycophenolate-associated colitis. J Clin Pathol. 2013;66(1):8–11.
51. Papadimitriou JC, Cangro CB, Lustberg A, et al. Histologic features of mycophenolate mofetil-related colitis: A graft-versus-host disease-like pattern. Int J Surg Pathol. 2003;11(4):295–302.
52. Wu T, Abu-Elmagd K, Bond G, et al. A schema for histologic grading of small intestine allograft acute rejection. Transplantation. 2003;75(8):1241–1248.
53. Wu T, Bond G, Martin D, et al. Histopathologic characteristics of human intestine allograft acute rejection in patients pretreated with thymoglobulin or alemtuzumab. Am J Gastroenterol.2006;101(7):1617–1624.
54. White FV, Reyes J, Jaffe R, et al. Pathology of intestinal transplantation in children. Am J Surg Pathol. 1995;19(6):687–698.
55. Lee RG, Nakamura K, Tsamandas AC, et al. Pathology of human intestinal transplantation. Gastroenterology. 1996;110(6):1820–1834.
56. Berthrong M, Fajardo LF. Radiation injury in surgical pathology. Part II. Alimentary tract. Am J Surg Pathol. 1981;5(2):153–178.
57. Panis Y, Poupard B, Nemeth J, et al. Ileal pouch/anal anastomosis for Crohn’s disease. Lancet. 1996;347(9005):854–857.
58. Colombel JF, Ricart E, Loftus EV Jr, et al. Management of Crohn’s disease of the ileoanal pouch with infliximab. Am J Gastroenterol. 2003;98(10):2239–2244.
59. Hartley JE, Fazio VW, Remzi FH, et al. Analysis of the outcome of ileal pouch-anal anastomosis in patients with Crohn’s disease. Dis Colon Rectum. 2004;47(11):1808–1815.
60. Fonkalsrud EW. Endorectal ileoanal anastomosis with isoperistaltic ileal reservoir after colectomy and mucosal proctectomy. Ann Surg. 1984;199(2):151–157.
61. Lohmuller JL, Pemberton JH, Dozois RR, et al. Pouchitis and extraintestinal manifestations of inflammatory bowel disease after ileal pouch-anal anastomosis. Ann Surg. 1990;211(5):622–627; discussion 7–9.
62. Mignon M, Stettler C, Phillips SF. Pouchitis–a poorly understood entity. Dis Colon Rectum. 1995;38(1):100–103.
63. Romanos J, Samarasekera DN, Stebbing JF, et al. Outcome of 200 restorative proctocolectomy operations: The John Radcliffe Hospital experience. Br J Surg. 1997;84(6):814–818.
64. Stahlberg D, Gullberg K, Liljeqvist L, et al. Pouchitis following pelvic pouch operation for ulcerative colitis. Incidence, cumulative risk, and risk factors. Dis Colon Rectum. 1996;39(9):1012–1018.
65. Becker JM, Stucchi AF. Treatment of choice for acute severe steroid-refractory ulcerative colitis is colectomy. Inflamm Bowel Dis. 2009;15(1):146–149.
66. Hahnloser D, Pemberton JH, Wolff BG, et al. Results at up to 20 years after ileal pouch-anal anastomosis for chronic ulcerative colitis. Br J Surg. 2007;94(3):333–340.
67. Merrett MN, Mortensen N, Kettlewell M, et al. Smoking may prevent pouchitis in patients with restorative proctocolectomy for ulcerative colitis. Gut. 1996;38(3):362–364.
68. Penna C, Dozois R, Tremaine W, et al. Pouchitis after ileal pouch-anal anastomosis for ulcerative colitis occurs with increased frequency in patients with associated primary sclerosing cholangitis. Gut.1996;38(2):234–239.
69. Yantiss RK, Sapp HL, Farraye FA, et al. Histologic predictors of pouchitis in patients with chronic ulcerative colitis. Am J Surg Pathol. 2004;28(8):999–1006.
70. de Silva HJ, Millard PR, Soper N, et al. Effects of the faecal stream and stasis on the ileal pouch mucosa. Gut. 1991;32(10):1166–1169.
71. Nasmyth DG, Johnston D, Godwin PG, et al. Factors influencing bowel function after ileal pouch-anal anastomosis. Br J Surg. 1986;73(6):469–473.
72. Coukos JA, Howard LA, Weinberg JM, et al. ASCA IgG and CBir antibodies are associated with the development of Crohn’s disease and fistulae following ileal pouch-anal anastomosis. Dig Dis Sci.2012;57(6):1544–1553.
73. de Silva HJ, Millard PR, Kettlewell M, et al. Mucosal characteristics of pelvic ileal pouches. Gut. 1991;32(1):61–65.
74. Shepherd NA, Healey CJ, Warren BF, et al. Distribution of mucosal pathology and an assessment of colonic phenotypic change in the pelvic ileal reservoir. Gut. 1993;34(1):101–105.
75. McLaughlin SD, Clark SK, Bell AJ, et al. Incidence and short-term implications of prepouch ileitis following restorative proctocolectomy with ileal pouch-anal anastomosis for ulcerative colitis. Dis Colon Rectum.2009;52(5):879–883.
76. McLaughlin SD, Clark SK, Bell AJ, et al. An open study of antibiotics for the treatment of pre-pouch ileitis following restorative proctocolectomy with ileal pouch-anal anastomosis. Aliment Pharmacol Ther. 2009;29(1):69–74.
77. Agarwal S, Stucchi AF, Dendrinos K, et al. Is pyloric gland metaplasia in ileal pouch biopsies a marker for Crohn’s disease?Dig Dis Sci. 2013;58(10):2918–2925.
78. Kalach N, Huvenne H, Gosset P, et al. Eosinophil counts in upper digestive mucosa of Western European children: Variations with age, organs, symptoms, Helicobacter pylori status, and pathological findings. J Pediatr Gastroenterol Nutr. 2011;52(2):175–182.
79. Lowichik A, Weinberg AG. A quantitative evaluation of mucosal eosinophils in the pediatric gastrointestinal tract. Mod Pathol. 1996;9(2):110–114.
80. Challacombe DN, Wheeler EE, Campbell PE. Morphometric studies and eosinophil cell counts in the duodenal mucosa of children with chronic nonspecific diarrhoea and cow’s milk allergy. J Pediatr Gastroenterol Nutr.1986;5(6):887–891.
81. Gonsalves N. Food allergies and eosinophilic gastrointestinal illness. Gastroenterol Clin North Am. 2007;36(1):75–91, vi.
82. Maluenda C, Phillips AD, Briddon A, et al. Quantitative analysis of small intestinal mucosa in cow’s milk-sensitive enteropathy. J Pediatr Gastroenterol Nutr. 1984;3(3):349–356.
83. Pratt CA, Demain JG, Rathkopf MM. Food allergy and eosinophilic gastrointestinal disorders: Guiding our diagnosis and treatment. Curr Probl Pediatr Adolesc Health Care. 2008;38(6):170–188.
84. Walker MM, Salehian SS, Murray CE, et al. Implications of eosinophilia in the normal duodenal biopsy - an association with allergy and functional dyspepsia. Aliment Pharmacol Ther. 2010;31(11):1229–1236.
85. Goldstein NS. Non-gluten sensitivity-related small bowel villous flattening with increased intraepithelial lymphocytes: Not all that flattens is celiac sprue. Am J Clin Pathol. 2004; 121(4):546–550.
86. Biagi F, Luinetti O, Campanella J, et al. Intraepithelial lymphocytes in the villous tip: Do they indicate potential coeliac disease? J Clin Pathol. 2004;57(8):835–839.
87. Jarvinen TT, Collin P, Rasmussen M, et al. Villous tip intraepithelial lymphocytes as markers of early-stage coeliac disease. Scand J Gastroenterol. 2004;39(5):428–433.
88. Veress B, Franzen L, Bodin L, et al. Duodenal intraepithelial lymphocyte-count revisited. Scand J Gastroenterol. 2004;39(2):138–144.
89. Oberhuber G, Granditsch G, Vogelsang H. The histopathology of coeliac disease: Time for a standardized report scheme for pathologists. Eur J Gastroenterol Hepatol. 1999;11(10):1185–1194.
90. Goldstein JL, Eisen GM, Lewis B, et al. Video capsule endoscopy to prospectively assess small bowel injury with celecoxib, naproxen plus omeprazole, and placebo. Clin Gastroenterol Hepatol.2005;3(2):133–141.
91. Rubio-Tapia A, Herman ML, Ludvigsson JF, et al. Severe spruelike enteropathy associated with olmesartan. Mayo Clin Proc. 2012;87(8):732–738.
92. Genta RM, Kinsey RS, Singhal A, et al. Gastric foveolar metaplasia and gastric heterotopia in the duodenum: No evidence of an etiologic role for Helicobacter pylori. Hum Pathol. 2010;41(11):1593–1600.
93. Lappinga PJ, Abraham SC, Murray JA, et al. Small intestinal bacterial overgrowth: Histopathologic features and clinical correlates in an underrecognized entity. Arch Pathol Lab Med. 2010;134(2):264–270.
94. Haboubi NY, Lee GS, Montgomery RD. Duodenal mucosal morphometry of elderly patients with small intestinal bacterial overgrowth: Response to antibiotic treatment. Age Ageing. 1991;20(1):29–32.
95. Dukowicz AC, Lacy BE, Levine GM. Small intestinal bacterial overgrowth: A comprehensive review. Gastroenterol Hepatol (N Y). 2007;3(2):112–122.
96. Fasano A, Berti I, Gerarduzzi T, et al. Prevalence of celiac disease in at-risk and not-at-risk groups in the United States: A large multicenter study. Arch Intern Med. 2003;163(3):286–292.
97. Dube C, Rostom A, Sy R, et al. The prevalence of celiac disease in average-risk and at-risk Western European populations: A systematic review. Gastroenterology. 2005;128(4 suppl 1):S57–S67.
98. Freeman HJ. PEARLS & PITFALLS in the diagnosis of adult celiac disease. Can J Gastroenterol. 2008;22(3):273–280.
99. Murray JA, Watson T, Clearman B, et al. Effect of a gluten-free diet on gastrointestinal symptoms in celiac disease. Am J Clin Nutr. 2004;79(4):669–673.
100. Rostom A, Murray JA, Kagnoff MF. American Gastroenterological Association (AGA) Institute technical review on the diagnosis and management of celiac disease. Gastroenterology.2006;131(6):1981–2002.
101. Rubio-Tapia A, Hill ID, Kelly CP, et al. ACG clinical guidelines: Diagnosis and management of celiac disease. Am J Gastroenterol. 2013;108(5):656–676.
102. Burgin-Wolff A, Gaze H, Hadziselimovic F, et al. Antigliadin and antiendomysium antibody determination for coeliac disease. Arch Dis Child. 1991;66(8):941–947.
103. Chorzelski TP, Beutner EH, Sulej J, et al. IgA anti-endomysium antibody. A new immunological marker of dermatitis herpetiformis and coeliac disease. Br J Dermatol. 1984;111(4):395–402.
104. Ferreira M, Davies SL, Butler M, et al. Endomysial antibody: Is it the best screening test for coeliac disease? Gut. 1992;33(12):1633–1637.
105. Grodzinsky E, Hed J, Skogh T. IgA antiendomysium antibodies have a high positive predictive value for celiac disease in asymptomatic patients. Allergy. 1994;49(8):593–597.
106. Kumar V, Lerner A, Valeski JE, et al. Endomysial antibodies in the diagnosis of celiac disease and the effect of gluten on antibody titers. Immunol Invest. 1989;18(1-4):533–544.
107. Sulkanen S, Halttunen T, Laurila K, et al. Tissue transglutaminase autoantibody enzyme-linked immunosorbent assay in detecting celiac disease. Gastroenterology. 1998;115(6):1322–1328.
108. Husby S, Koletzko S, Korponay-Szabo IR, et al. European Society for Pediatric Gastroenterology, Hepatology, and Nutrition guidelines for the diagnosis of coeliac disease. J Pediatr Gastroenterol Nutr.2012;54(1):136–160.
109. Conrad K, Roggenbuck D, Ittenson A, et al. A new dot immunoassay for simultaneous detection of celiac specific antibodies and IgA-deficiency. Clin Chem Lab Med. 2012;50(2):337–343.
110. McGowan KE, Lyon ME, Loken SD, et al. Celiac disease: Are endomysial antibody test results being used appropriately? Clin Chem. 2007;53(10):1775–1781.
111. Kim CY, Quarsten H, Bergseng E, et al. Structural basis for HLA-DQ2-mediated presentation of gluten epitopes in celiac disease. Proc Natl Acad Sci U S A. 2004;101(12):4175–4179.
112. Lundin KE, Gjertsen HA, Scott H, et al. Function of DQ2 and DQ8 as HLA susceptibility molecules in celiac disease. Hum Immunol. 1994;41(1):24–27.
113. Paulsen G, Lundin KE, Gjertsen HA, et al. HLA-DQ2-restricted T-cell recognition of gluten-derived peptides in celiac disease. Influence of amino acid substitutions in the membrane distal domain of DQ beta 1*0201. Hum Immunol. 1995;42(2):145–153.
114. Sollid LM, Markussen G, Ek J, et al. Evidence for a primary association of celiac disease to a particular HLA-DQ alpha/beta heterodimer. J Exp Med. 1989;169(1):345–350.
115. Sollid LM, Thorsby E. The primary association of celiac disease to a given HLA-DQ alpha/beta heterodimer explains the divergent HLA-DR associations observed in various Caucasian populations. Tissue Antigens.1990;36(3):136–137.
116. Hadithi M, von Blomberg BM, Crusius JB, et al. Accuracy of serologic tests and HLA-DQ typing for diagnosing celiac disease. Ann Intern Med. 2007;147(5):294–302.
117. Lebwohl B, Kapel RC, Neugut AI, et al. Adherence to biopsy guidelines increases celiac disease diagnosis. Gastrointest Endosc. 2011;74(1):103–109.
118. Bonamico M, Thanasi E, Mariani P, et al. Duodenal bulb biopsies in celiac disease: A multicenter study. J Pediatr Gastroenterol Nutr. 2008;47(5):618–622.
119. Evans KE, Aziz I, Cross SS, et al. A prospective study of duodenal bulb biopsy in newly diagnosed and established adult celiac disease. Am J Gastroenterol. 2011;106(10):1837–1742.
120. Gonzalez S, Gupta A, Cheng J, et al. Prospective study of the role of duodenal bulb biopsies in the diagnosis of celiac disease. Gastrointest Endosc. 2010;72(4):758–765.
121. Harris LA, Park JY, Voltaggio L, et al. Celiac disease: Clinical, endoscopic, and histopathologic review. Gastrointest Endosc. 2012;76(3):625–640.
122. Shah VH, Rotterdam H, Kotler DP, et al. All that scallops is not celiac disease. Gastrointest Endosc. 2000;51(6):717–720.
123. Cellier C, Delabesse E, Helmer C, et al. Refractory sprue, coeliac disease, and enteropathy-associated T-cell lymphoma. French Coeliac Disease Study Group. Lancet. 2000;356(9225):203–208.
124. Malamut G, Afchain P, Verkarre V, et al. Presentation and long-term follow-up of refractory celiac disease: Comparison of type I with type II. Gastroenterology. 2009;136(1):81–90.
125. Sieniawski M, Angamuthu N, Boyd K, et al. Evaluation of enteropathy-associated T-cell lymphoma comparing standard therapies with a novel regimen including autologous stem cell transplantation. Blood. 2010;115(18):3664–3670.
126. Chandesris MO, Malamut G, Verkarre V, et al. Enteropathy-associated T-cell lymphoma: A review on clinical presentation, diagnosis, therapeutic strategies and perspectives. Gastroenterol Clin Biol.2010;34(11):590–605.
127. Corazza GR, Villanacci V, Zambelli C, et al. Comparison of the interobserver reproducibility with different histologic criteria used in celiac disease. Clin Gastroenterol Hepatol. 2007;5(7):838–843.
128. Goldstein NS, Underhill J. Morphologic features suggestive of gluten sensitivity in architecturally normal duodenal biopsy specimens. Am J Clin Pathol. 2001;116(1):63–71.
129. Green PH, Rostami K, Marsh MN. Diagnosis of coeliac disease. Best Pract Res Clin Gastroenterol. 2005;19(3):389–400.
130. Pellegrino S, Villanacci V, Sansotta N, et al. Redefining the intraepithelial lymphocytes threshold to diagnose gluten sensitivity in patients with architecturally normal duodenal histology. Aliment Pharmacol Ther.2011;33(6):697–706.
131. Mino M, Lauwers GY. Role of lymphocytic immunophenotyping in the diagnosis of gluten-sensitive enteropathy with preserved villous architecture. Am J Surg Pathol. 2003;27(9):1237–1242.
132. Moran CJ, Kolman OK, Russell GJ, et al. Neutrophilic infiltration in gluten-sensitive enteropathy is neither uncommon nor insignificant: Assessment of duodenal biopsies from 267 pediatric and adult patients. Am J Surg Pathol. 2012;36(9):1339–1345.
133. Hudacko R, Kathy Zhou X, Yantiss RK. Immunohistochemical stains for CD3 and CD8 do not improve detection of gluten-sensitive enteropathy in duodenal biopsies. Mod Pathol. 2013;26(9):1241–1245.
134. Rujner J, Socha J, Romanczuk W, et al. [Individual sensitivity of jejunal mucosa to small doses of gluten in coeliac disease]. Wiad Lek. 2002;55(9-10):554–560.
135. Ansaldi N, Tavassoli K, Faussone D, et al. [Clinico-histological behavior of celiac patients after gluten load following the definitive diagnosis]. Pediatr Med Chir. 1988;10(1):3–6.
136. Leffler D, Schuppan D, Pallav K, et al. Kinetics of the histological, serological and symptomatic responses to gluten challenge in adults with coeliac disease. Gut. 2013;62(7):996–1004.
137. Parker SL, Leznoff A, Sussman GL, et al. Characteristics of patients with food-related complaints. J Allergy Clin Immunol. 1990;86(4 pt 1):503–511.
138. Walker-Smith J. Cow’s milk allergy: A new understanding from immunology. Ann Allergy Asthma Immunol. 2003;90(6 suppl 3):81–83.
139. Phillips AD, Rice SJ, France NE, et al. Small intestinal intraepithelial lymphocyte levels in cow’s milk protein intolerance. Gut. 1979;20(6):509–512.
140. Cook GC. Aetiology and pathogenesis of postinfective tropical malabsorption (tropical sprue). Lancet. 1984;1(8379):721–723.
141. Tomkins AM, Drasar BS, James WP. Bacterial colonisation of jejunal mucosa in acute tropical sprue. Lancet. 1975;1(7898):59–62.
142. Walker MM. What is tropical sprue? J Gastroenterol Hepatol. 2003;18(8):887–890.
143. Washington K, Stenzel TT, Buckley RH, et al. Gastrointestinal pathology in patients with common variable immunodeficiency and X-linked agammaglobulinemia. Am J Surg Pathol. 1996;20(10):1240–1252.
144. Daniels JA, Lederman HM, Maitra A, et al. Gastrointestinal tract pathology in patients with common variable immunodeficiency (CVID): A clinicopathologic study and review. Am J Surg Pathol.2007;31(12):1800–1812.
145. Gentile NM, Murray JA, Pardi DS. Autoimmune enteropathy: A review and update of clinical management. Curr Gastroenterol Rep. 2012;14(5):380–385.
146. Akram S, Murray JA, Pardi DS, et al. Adult autoimmune enteropathy: Mayo clinic rochester experience. Clin Gastroenterol Hepatol. 2007;5(11):1282–1290; quiz 45.
147. Montalto M, D’Onofrio F, Santoro L, et al. Autoimmune enteropathy in children and adults. Scand J Gastroenterol. 2009;44(9):1029–1036.
148. Moes N, Rieux-Laucat F, Begue B, et al. Reduced expression of FOXP3 and regulatory T-cell function in severe forms of early-onset autoimmune enteropathy. Gastroenterology. 2010;139(3):770–778.
149. Gopal P, McKenna BJ. The collagenous gastroenteritides: Similarities and differences. Arch Pathol Lab Med. 2010;134(10):1485–1489.
150. Maguire AA, Greenson JK, Lauwers GY, et al. Collagenous sprue: A clinicopathologic study of 12 cases. Am J Surg Pathol. 2009;33(10):1440–1449.
151. Maiwald M, Schuhmacher F, Ditton HJ, et al. Environmental occurrence of the Whipple’s disease bacterium (Tropheryma whippelii). Appl Environ Microbiol. 1998;64(2):760–762.
152. Gross M, Jung C, Zoller WG. Detection of Tropheryma whippelii DNA (Whipple’s disease) in faeces. Ital J Gastroenterol Hepatol. 1999;31(1):70–72.
153. Schöniger-Hekele M, Petermann D, Weber B, et al. Tropheryma whipplei in the environment: Survey of sewage plant influxes and sewage plant workers. Appl Environ Microbiol. 2007;73(6):2033–2035.
154. Arnold CA, Moreira RK, Lam-Himlin D, et al. Whipple disease a century after the initial description: Increased recognition of unusual presentations, autoimmune comorbidities, and therapy effects. Am J Surg Pathol.2012;36(7):1066–1073.
155. Maizel H, Ruffin JM, Dobbins WO 3rd. Whipple’s disease: A review of 19 patients from one hospital and a review of the literature since 1950. Medicine (Baltimore). 1970;49(3):175–205.
156. von Herbay A, Ditton HJ, Maiwald M. Diagnostic application of a polymerase chain reaction assay for the Whipple’s disease bacterium to intestinal biopsies. Gastroenterology. 1996;110(6):1735–1743.
157. von Herbay A, Maiwald M, Ditton HJ, et al. Histology of intestinal Whipple’s disease revisited. A study of 48 patients. Virchows Arch. 1996;429(6):335–343.
158. Waldmann TA, Steinfeld JL, Dutcher TF, et al. The role of the gastrointestinal system in “idiopathic hypoproteinemia.” Gastroenterology. 1961;41:197–207.
159. Vignes S, Bellanger J. Primary intestinal lymphangiectasia (Waldmann’s disease). Orphanet J Rare Dis. 2008;3:5.
160. Jeffries GH, Chapman A, Sleisenger MH. Low-fat diet in intestinal lymphangiectasia. Its effect on albumin metabolism. N Engl J Med. 1964;270:761–766.
161. Freeman HJ, Nimmo M. Intestinal lymphangiectasia in adults. World J Gastrointest Oncol. 2011;3(2):19–23.
162. Kim JH, Bak YT, Kim JS, et al. Clinical significance of duodenal lymphangiectasia incidentally found during routine upper gastrointestinal endoscopy. Endoscopy. 2009;41(6):510–515.
163. Wolff M. Heterotopic gastric epithelium in the rectum: A report of three new cases with a review of 87 cases of gastric heterotopia in the alimentary canal. Am J Clin Pathol. 1971;55(5):604–616.
164. Hoedemaeker PJ. Heterotopic gastric mucosa in the duodenum. Digestion. 1970;3(3):165–173.
165. Lessells AM, Martin DF. Heterotopic gastric mucosa in the duodenum. J Clin Pathol. 1982;35(6):591–595.
166. Conlon N, Logan E, Veerappan S, et al. Duodenal gastric heterotopia: Further evidence of an association with fundic gland polyps. Hum Pathol. 2013;44(4):636–642.
167. De Castro Barbosa JJ, Dockerty MB, Waugh JM. Pancreatic heterotopia; review of the literature and report of 41 authenticated surgical cases, of which 25 were clinically significant. Surg Gynecol Obstet.1946;82:527–542.
168. Trifan A, Târcoveanu E, Danciu M, et al. Gastric heterotopic pancreas: An unusual case and review of the literature. J Gastrointestin Liver Dis. 2012;21(2):209–212.
169. Jiang LX, Xu J, Wang XW, et al. Gastric outlet obstruction caused by heterotopic pancreas: A case report and a quick review. World J Gastroenterol. 2008;14(43):6757–6759.
170. Gaspar Fuentes A, Campos Tarrech JM, Fernández Burgui JL, et al. [Pancreatic ectopias]. Rev Esp Enferm Apar Dig. 1973;39(3):255–268.
171. Emerson L, Layfield LJ, Rohr LR, et al. Adenocarcinoma arising in association with gastric heterotopic pancreas: A case report and review of the literature. J Surg Oncol. 2004;87(1):53–57.
172. Yan ML, Wang YD, Tian YF, et al. Adenocarcinoma arising from intrahepatic heterotopic pancreas: A case report and literature review. World J Gastroenterol. 2012;18(22):2881–2884.
173. Plaut AG. Trefoil peptides in the defense of the gastrointestinal tract. N Engl J Med. 1997; 336(7):506–507.
174. Wright NA, Pike CM, Elia G. Ulceration induces a novel epidermal growth factor-secreting cell lineage in human gastrointestinal mucosa. Digestion. 1990;46(suppl 2):125–133.
175. Koukoulis GK, Ke Y, Henley JD, et al. Detection of pyloric metaplasia may improve the biopsy diagnosis of Crohn’s ileitis. J Clin Gastroenterol. 2002;34(2):141–143.
176. Rashid OM, Ku JK, Nagahashi M, et al. Inverted Meckel’s diverticulum as a cause of occult lower gastrointestinal hemorrhage. World J Gastroenterol. 2012;18(42):6155–6159.
177. Soderlund S. Meckel’s diverticulum in children; a report of 115 cases. Acta Chir Scand. 1956;110(4):261–274.
178. Park JJ, Wolff BG, Tollefson MK, et al. Meckel diverticulum: The Mayo clinic experience with 1476 patients (1950–2002). Ann Surg. 2005;241(3):529–533.
179. Shepherd NA, Crocker PR, Smith AP, et al. Exogenous pigment in Peyer’s patches. Hum Pathol. 1987;18(1):50–54.
180. Sauntry JP, Knudtson KP. A technique for marking the mucosa of the gastrointestinal tract after polypectomy. Cancer. 1958;11(3):607–610.
181. Trakarnsanga A, Akaraviputh T. Endoscopic tattooing of colorectal lesions: Is it a risk-free procedure? World J Gastrointest Endosc. 2011;3(12):256–260.
182. Bisordi WM, Kleinman MS. Melanosis duodeni. Gastrointest Endosc. 1976;23(1):37–38.
183. Cantu JA, Adler DG. Pseudomelanosis duodeni. Endoscopy. 2005;37(8):789.
184. Rex DK, Jersild RA. Further characterization of the pigment in pseudomelanosis duodeni in three patients. Gastroenterology. 1988;95(1):177–182.
185. Fernando SS. Pseudomelanosis duodeni: A case report with electron-probe X-ray analysis. Pathology. 1990;22(3):169–172.
186. Giusto D, Jakate S. Pseudomelanosis duodeni: Associated with multiple clinical conditions and unpredictable iron stainability - a case series. Endoscopy. 2008;40(2):165–167.
187. de Magalhães Costa MH, Fernandes Pegado Mda G, Vargas C, et al. Pseudomelanosis duodeni associated with chronic renal failure. World J Gastroenterol. 2012;18(12):1414–1416.
188. Holmes EJ. Remarks on further properties of formalin pigment. Arch Dermatol. 1971;103(5):565–566.
189. Zhou C, Gilbert JD, Yool A, et al. Basal epithelial formalin pigment deposition in the kidneys–a useful marker for ketoacidosis at autopsy. J Forensic Leg Med. 2013;20(4):305–307.
190. Nissapatorn V, Sawangjaroen N. Parasitic infections in HIV infected individuals: Diagnostic & therapeutic challenges. Indian J Med Res. 2011;134(6):878–897.
191. Bhaijee F, Subramony C, Tang SJ, et al. Human immunodeficiency virus-associated gastrointestinal disease: Common endoscopic biopsy diagnoses. Patholog Res Int. 2011;2011:247923.
192. Prasertbun R, Sukthana Y, Popruk S. Real-time PCR: Benefits for detection of mild and asymptomatic giardia infections. Trop Med Health. 2012;40(2):31–35.