
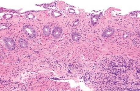
Figure 4.50 Ischemic colitis pattern. This example shows small and withered crypts near the surface. The surface epithelium has sloughed off in some areas, and lamina propria hemorrhage and hyalinization are present.

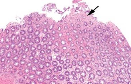
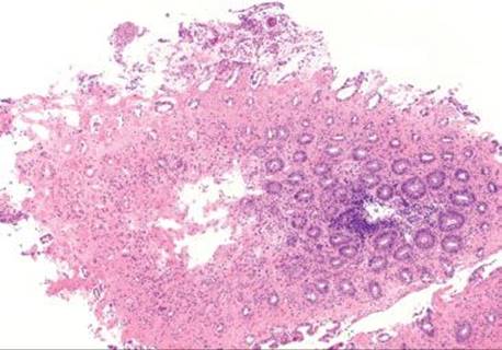
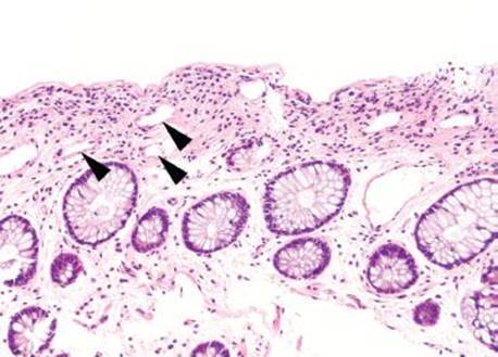
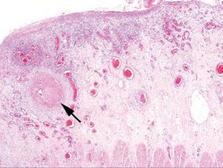
Figure 4.51 Ischemic colitis pattern. The striking finding at low magnification is the presence of “microcrypts” (arrow). Note the collapse of the hyalinized lamina propria in this area, causing a condensation of these crypts. Look at the left portion of this image for contrast to relatively normal crypts and lamina propria.
Mucosal ischemia causes a highly characteristic pattern of injury, including features of surface injury, loss of mucin, lamina propria hemorrhage and hyalinization, withered crypts, atrophic microcrypts, and lamina propria collapse (Fig. 4.50). The architectural pattern of withered crypts and microcrypts is distinctive at low magnification, and one might even refer to this pattern of injury as the “microcrypt pattern” (Fig. 4.51). Although ischemic injury is top among the differential diagnoses, other considerations include vascular injury (such as that seen in radiation colitis, amyloidosis, or vasculitis), infection (particularly Escherichia coli 0157:H7 and Clostridium difficile), and medications (NSAIDs, Kayexalate, and sevelamer).
CHECKLIST: Etiologic Considerations for the Ischemic Colitis Pattern
Ischemia
Infection (E. coli, C difficile)
Medication (NSAIDs, Kayexalate, sevelamer, ipilimumab, others)
ISCHEMIA
Decreased blood flow and lack of oxygen to the GI tract result in necrosis or tissue damage, causing ischemia. There are several weak points in the colonic blood supply, known as watershed areas, which result from incomplete anastomosis of the marginal arteries and lack of sufficient collateral circulation. These watershed areas are more vulnerable to ischemic injury than other parts of the colon and include the splenic flexure (or Griffith’s point), the rectosigmoid region at Sudeck’s point, and the ileocecal region. Among the older population, ischemic disease is typically attributable to atherosclerotic mesenteric vascular disease, but the causes of colonic ischemia are many (Table 4.2). The histologic findings are dependent on the timing of the ischemic event (Figs. 4.52–4.63). Early and minimal injury, for example, occurs first as degeneration and sloughing of superficial epithelial cells, edema, and vascular congestion. Later, the epithelial cells become markedly attenuated and the crypts appear compressed and atrophic (“microcrypts”) as the lamina propria swells and hemorrhages. Within 5 hours of total acute vascular occlusion, almost the entire intestinal wall appears necrotic. These changes are devoid of acute inflammation until reperfusion occurs. Paradoxically, reperfusion further injures the tissues by introducing oxygen free radical formation,16 the severity of which is dependent on the duration of the preceding hypoxia.
TABLE 4.2: Causes of Colonic Ischemia


Figure 4.52 Ischemic colitis pattern, early. Early ischemic changes may show only lamina propria hemorrhage and edema with early sloughing of the superficial epithelium.

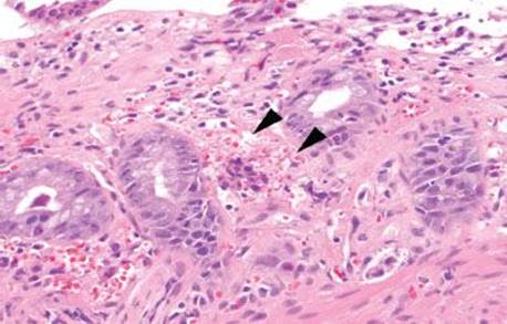
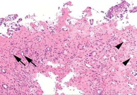
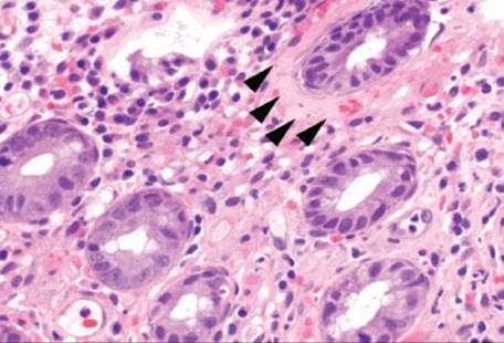
Figure 4.53 Ischemic colitis pattern, early. Lamina propria hemorrhage (arrowheads) is present.

Figure 4.54 Ischemic colitis pattern, withered crypts. Crypt epithelium becomes damaged and sloughs, giving a “withered” appearance to the crypts (arrowheads). Compare these withered crypts to the right side of the photo, which are better preserved.

Figure 4.55 Ischemic colitis pattern. This low magnification image emphasizes the microcrypt pattern. Small, withered crypts are present (arrow) along with lamina propria hyalinization. Note the homogenous pink appearance of the lamina propria in the area of the arrow. By comparison, the lamina propria at the base of the field is still preserved.

Figure 4.56 Ischemic colitis pattern. Note the microcrypt pattern of injury at scanning magnification. There is a gradient of crypt withering and dissolution that worsens as the surface epithelium is approached. Also, note the relatively homogeneous pink appearance of the hyalinized lamina propria.

Figure 4.57 Ischemic colitis pattern, microcrypts. Microcrypts with residual withered epithelium can be seen at the left (arrows), while crypts that have completely lost their epithelium are seen on the right (arrowheads). Again, note the quality of the lamina propria, which appears densely pink, rather than the typical colorless (or white) appearance.

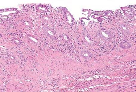
Figure 4.58 Ischemic colitis pattern, early withering crypts. The surface epithelium in this example shows early sloughing. The crypt epithelium shows loss of cytoplasmic mucin.

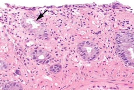
Figure 4.59 Ischemic colitis pattern, early withering crypts. The surface epithelium shows attenuated epithelial cells with loss of cytoplasmic mucin. The crypt epithelium shows an early “withered’ appearance with undulation of the crypt luminal surface (arrow).

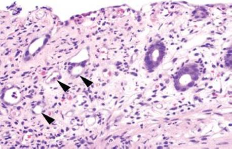
Figure 4.60 Ischemic colitis pattern, early lamina propria hyalinization. This early ischemic injury shows background lamina propria hemorrhage and minimal crypt damage; however, note the presence of lamina propria hyalinization surrounding the top right crypt (arrowheads).This homogenous pink material eventually replaces the lamina propria.

Figure 4.61 Ischemic colitis pattern, early lamina propria hyalinization. Similar to the previous example, these crypts show only early signs of cytoplasmic mucin loss; however, note the focal hyaline deposits (arrowheads) in the lamina propria.

Figure 4.62 Ischemic colitis pattern, early reperfusion injury. Notable in the Figures 4.52–4.61 is the near-complete absence of acute inflammation. Neutrophils are drawn to the site of injury only after reperfusion occurs, and therefore are not seen in early or acute ischemia. This example shows early reperfusion injury with an early neutrophilic infiltrate (arrowhead).

Figure 4.63 Ischemic colitis pattern, early reperfusion injury. Higher magnification of the previous figure shows crypt destruction due to a neutrophilic infiltrate.
KEY FEATURES of Ischemia:
• Ischemia can be caused by vascular occlusion, low flow states, or mechanical obstruction.
• The most common cause of ischemia among the elderly is atherosclerosis of the mesenteric arteries.
• Watershed areas prone to ischemia due to lack of sufficient collateral circulation:
• The splenic flexure (or Griffith’s point)
• The rectosigmoid region (Sudeck’s point)
• The ileocecal region
• Early histologic findings include sloughing of superficial epithelial cells, edema, and vascular congestion.
• Later stages include lamina propria hemorrhage, hyalinization, and microcrypt formation, followed by coagulative necrosis
• Acute inflammation is absent unless reperfusion occurs.
• Underlying vasculitis and radiation injury can cause ischemic mucosal changes (Figs. 4.64–4.66).
• Beware not to overcall crush artifact from biopsy forceps as ischemic change.
• Pseudomembranes may be seen.

Figure 4.64 Ischemic colitis pattern, radiation injury. Withered microcrypts (arrowheads) can be seen in radiation injury. This patient had radiation proctitis secondary to radiation treatment for bladder cancer.

Figure 4.65 Ischemic colitis pattern, radiation injury. Higher magnification of the previous image reveals the presence of abundant apoptoses (arrowheads), a red flag to radiation-induced injury.

Figure 4.66 Cellular atypia of radiation injury. Large, atypical cells (arrow) are seen following radiation injury. Their presence can raise concern for recurrent malignancy, but note the abundant cytoplasm, which conserves the nuclear-to-cytoplasmic (N:C) ratio. Another clue is the prominent vesicular appearance of these atypical cells.
PEARLS & PITFALLS
Crush Artifact from Biopsy Forceps Can Mimic Ischemic Injury
Cautery effect and crush injury due to biopsy forceps (“squeeze artifact”) may strip epithelial cells from the surface and crush glands that can be mistaken for atrophic microcrypts (Fig. 4.67–4.68). To contrast, true ischemic injury will show lamina propria hemorrhage and degenerative cellular changes, such as loss of the apical brush border and ghostlike nuclei. There is no tissue response to biopsy forceps squeeze artifact.

Figure 4.67 Crush (“squeeze”) artifact mimicking ischemic colitis pattern. Crush artifact from biopsy forceps can dislodge crypt epithelium, leaving behind an empty space that mimics the microcrypts of ischemia. Avoid this pitfall by noting the absence of other ischemic features, such as lamina propria hemorrhage, loss of cytoplasmic mucin, and lamina propria hyalinization.

Figure 4.68 Cautery artifact mimicking ischemic colitis pattern. Cautery causes thermal injury and distorts the colonic crypts. In this example, one might consider the possibility of ischemic injury, due to the loss of surface epithelium and presence of smaller crypts (arrows). Note, however, the absence of lamina propria hemorrhage or hyalinization.
PEARLS & PITFALLS
Evaluation for Underlying Vasculitis Can be Tricky in Biopsy Material
Which came first, the chicken or the egg? Although underlying vasculitis can certainly cause mucosal ischemia, vascular thrombi and inflammatory changes can be secondary to ischemic-reperfusion injury. As a result, primary vascular injury should be evaluated in areas not directly subjacent to ischemia or ulceration, and close clinical, radiologic, and serologic correlation should be performed in cases suspected of primary vasculitis (Fig. 4.69–4.72).

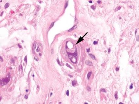
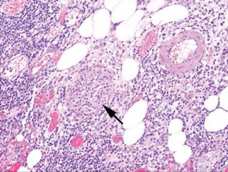
Figure 4.69 Ischemic colitis pattern, venulitis in Behçet disease. One should always consider vasculitis as a cause of ischemia or ulceration, but take care to look in areas away from ulcers. This example shows a striking lymphocytic venulitis (arrow) that has obliterated the small vein. It is easier to search for small muscular arteries (pictured top right) and then look in the proximity for the paired vein.

Figure 4.70 Ischemic colitis pattern, venulitis in Behçet disease. Note how the markedly damaged and inflamed vein (arrow) blends into the background. By contrast, the pristine and unaffected artery is easily identified.

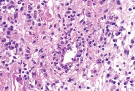
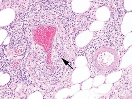
Figure 4.71 Ischemic colitis pattern, systemic lupus erythematosus (SLE). This segment of colon was resected for ischemia. Note the extensive surface ulceration. An underlying vessel shows a large fibrin thrombus (arrow). However, due to the proximity to the ulcer, it is unclear whether the vascular change is causative or the result of the ulcer. One must search for vascular changes away from the ulcer bed.

Figure 4.72 Ischemic colitis pattern, leukocytoclastic vasculitis in systemic lupus erythematosus (SLE). Sure enough, further examination in the previous case revealed karyorrhectic debris (arrowheads) of small vessel necrotizing vasculitis, consistent with the patient’s history of SLE.
INFECTION (Escherichia coli 0157:H7 and Clostridium difficile)
Certain infectious agents also produce an ischemic pattern of injury, namely enterohemorrhagic E. coli (E. coli 0157:H7) and C. difficile (Fig. 4.73–4.75). The histologic distinction between ischemia and infection can be nearly impossible, but observers cite the presence of lamina propria hyalinization as a feature of ischemia that is absent in infectious colitis (Fig. 4.76).17 Another clue is the distribution of disease, as infection diffusely involves the colon, whereas ischemia preferentially involves the watershed areas. Undoubtedly, stool studies remain the gold standard for diagnosis.
KEY FEATURES of Infection:
• Infection by E. coli 0157:H7 or C. difficile can be histologically identical to ischemia.
• Hyalinized lamina propria and withered crypts are not typical of C. difficile colitis.
• C. difficile colitis is more diffusely distributed in the colon compared to ischemic colitis.
• Fibrin thrombi are seen in association with E. coli 0157:H7 infection, but are not specific.
• Pseudomembranes are a feature of infectious colitis, but can also be seen in ischemic colitis.

Figure 4.73 Ischemic colitis pattern, Escherichia coli infection. Infection can cause ischemic-like features. This example of E. coli infection shows withered and atrophic crypts with partial surface denudation and loss of cytoplasmic mucin. The findings are nearly indistinguishable from those of true ischemic injury.

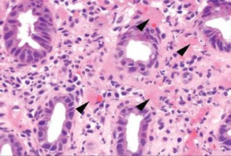
Figure 4.74 Ischemic colitis pattern, enterohemorrhagic Escherichia coli infection. A clue to enterohemorrhagic E. coli infection (strain O157:H7) is the presence of fibrin thrombi (arrowheads) within small capillary vessels. Focal residual crypt bases remain (arrows).

Figure 4.75 Ischemic colitis pattern, Clostridium difficile infection. The archetypal feature of C. difficile colitis is the presence of pseudomembranes; however, early C. difficile colitis shows ischemic pattern features, such as the microcrypt pattern seen here. An early pseudomembrane is pictured, but these are not always present.

Figure 4.76 Ischemic colitis pattern, lamina propria hyaline. Although significant histologic overlap exists between infectious and ischemic etiologies, the presence of lamina propria hyalinization is cited as a distinctive feature of ischemia. A homogenous pink hyaline material replaces the lamina propria and its cellular constituents.
TABLE 4.3: Mechanism of Medications Causing Ischemic Colitis

MEDICATION INJURY
A number of medications cause ischemic injury by a variety of mechanisms (Table 4.3). Also known as polystyrene sulfonate, Kayexalate is a cation exchange resin used to treat hyperkalemia and is commonly found among the medication regimens of renal failure patients. The resin can be found anywhere along the GI tract, as it is administered via nasogastric tube, orally, or via rectal enema. Kayexalate was introduced in 1958 with the notable absence of any randomized clinical trial regarding its efficacy and safety. In the early use of Kayexalate, complications included bowel concretions and medication bezoars within the bowel. As a result, the original water-based suspension was replaced by a sorbitol suspension that caused an intentional osmotic diarrhea, thereby reducing bowel impactions. However, not long after, reports of colonic necrosis and resulting death surfaced, with evidence that sorbitol was the responsible agent.18 In a more recent systematic review of 58 cases, Kayexalate (with and without sorbitol) was linked to ischemic colitis, colonic necrosis, perforation and bleeding, with a notable mortality rate of 33% among patients manifesting GI injury.19 See also Resins, Pigments, Esophagus Chapter.
Key Characteristic Morphologic Features of Kayexalate:
• Purple on H&E.
• Hot pink on PAS/AB.
• Narrow, rectangular “fish-scales” or a “mosaic” appearance due to cracking lines at regular intervals. These “fish-scales” are seen in both small and large crystal fragments (Figs. 4.77 and4.78).
• Can be differentiated from sevelamer crystals (a phosphate lowering agent with possible injurious potential), which show broad, curved, irregularly spaced “fish-scales” with a variably eosinophilic to rusty brown color on H&E stain, and a violet color on PAS/D.20

Figure 4.77 Ischemic colitis pattern, Kayexalate (sodium polystyrene sulfonate). This segment of colon was almost entirely necrotic. Embedded in the luminal debris were numerous purple resin crystals.

Figure 4.78 Ischemic colitis pattern, Kayexalate. Higher magnification of the previous case shows a “fish-scale” or mosaic pattern of cracking lines within the irregular resin crystals. The ischemic colitis pattern and significant morbidity are associated with this finding.
PEARLS & PITFALLS
Always Check the Luminal Contents
In the setting of colonic ischemia, ulceration, and necrosis, take a moment to check the luminal contents for particulate matter or embedded crystalline material that might indicate pill fragments. Correlation with the patient’s medication history (and history of hyperkalemia or renal failure) may also be helpful. Given the high mortality rate associated with Kayexalate-induced GI injury, a pathologist should advise the clinical team to discontinue the medication and keep the patient under close observation.