
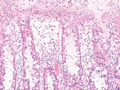
Figure 4.79 Pseudomembranous pattern. This fibrin cap along the surface of the colonic mucosa is the hallmark of pseudomembranous pattern.
A pseudomembrane is yellow-white exudate on the colonic mucosa that histologically corresponds to a superficial fibroinflammatory exudate (Fig. 4.79). The pseudomembrane is composed of fibrin, mucin, and neutrophils, and may have a laminated or layered appearance. Some regard “pseudomembranous colitis” as synonymous with C. difficile colitis, but this is not accurate. In practice, pseudomembranes are also found in ischemia and with other enterotoxic infections (Shigella, Salmonella, and enterohemorrhagic E. coli), and histologic distinction between these entities is not possible. Some observers cite the presence of lamina propria hyalinization as a feature favoring ischemia.17Another indicator is the distribution of disease as infection diffusely involves the colon, whereas ischemia preferentially involves the watershed areas (Fig. 4.80). Undoubtedly, stool studies remain the gold standard for diagnosis.
CHECKLIST: Etiologic Considerations for Pseudomembranous Pattern
Ischemia
Clostridium difficile Colitis
Salmonella
Shigella
Enterohemorrhagic Escherichia coli

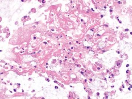
Figure 4.80 Pseudomembranous pattern, C. difficile. Histologically, distinguishing ischemic pseudomembranes from C. difficile pseudomembranes can be impossible. However, the gross distribution of disease in C. difficile colitis is diffuse (pictured here), whereas ischemic colitis is typically segmental.
KEY FEATURES of Clostridium difficile Colitis:
• Some physicians use “pseudomembranous colitis” synonymously with C. difficile colitis, but pseudomembranes are not specific for this infection.
• Potent toxins are produced by the bacteria (Toxin A and toxin B).
• Oral antibiotic use causes a shift in the normal protective gut flora, resulting in C. difficile infection.
• Clostridium difficile is the most common nosocomial GI pathogen.
• Patients present with watery to bloody diarrhea, fever, leukocytosis, and abdominal pain.
• Complications include toxic megacolon, perforation, and reactive polyarthritis.
• Treatment is supportive care and antibiotics, but fulminant cases may require surgery.
• Histologic features are primarily an acute colitis with pseudomembrane formation. Ballooned and exploding crypts with volcanic exudate may be seen (Figs. 4.81–4.87)
• Severe disease may feature full-thickness mucosal necrosis.
• The differential diagnosis includes ischemia, Salmonella, Shigella, and enterohemorrhagic E. coli.

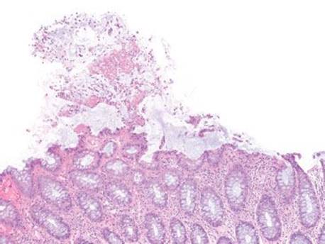
Figure 4.81 Pseudomembranous pattern, early. At scanning magnification, the early pseudomembranes (arrows) are visible as eruptive fibroinflammatory debris along the colonic surface.

Figure 4.82 Pseudomembranous pattern, early. Higher magnification of the previous case shows the fibrin (arrowhead) erupting from the colonic surface amidst numerous neutrophils.

Figure 4.83 Pseudomembranous pattern, early. The eruptive pseudomembrane is hard to miss, even at low magnification. Interestingly, the background mucosa sometimes shows little to no change, as seen here.

Figure 4.84 Pseudomembranous pattern, marked. Severe cases of pseudomembranous colitis may require colectomy, as in this case. There is extensive tissue necrosis and only rare residual crypts (arrowheads) remain.

Figure 4.85 Pseudomembranous pattern. The crypt epithelium begins to slough and the lamina propria is edematous. The surface shows abundant fibrin and acute inflammatory cells.

Figure 4.86 Pseudomembranous pattern. The pseudomembrane is composed of fibrin, acute inflammatory cells, and other cellular debris.

Figure 4.87 Pseudomembranous pattern. A dramatic (and beautiful) example of an eruptive pseudomembrane. The extensive fibroinflammatory debris appears to erupt from a single crypt (arrowhead).