
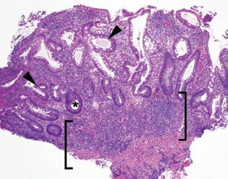
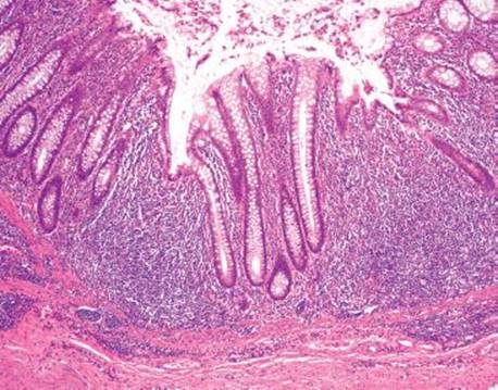
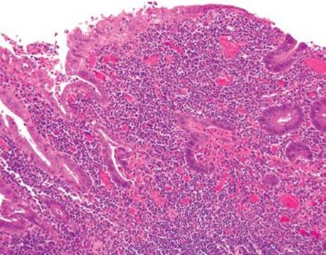
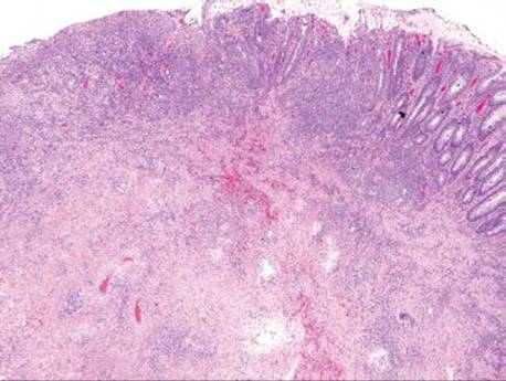
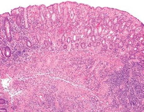
Figure 4.88 Chronic colitis pattern. This rectal biopsy represents marked active chronic colitis. The active injury is imparted by cryptitis and crypt abscesses (best seen at higher power) and the chronic component refers to increased lamina propria chronic inflammation, Paneth cell metaplasia, and architectural distortion [a villonodular surface, abnormal crypt configuration, crypt dropout, crypt shortfall, and basal lymphoplasmacytosis (brackets)]. This nonspecific pattern simply indicates active chronic mucosal injury. This identical pattern can be caused by IBD, infection, medication injury, among others. Ascribing this injury pattern to a specific etiology requires careful clinicopathologic correlation.
The term “chronic colitis” encompasses a wide spectrum of morphology and invokes a wide range of etiologic considerations (Fig. 4.88). IBD is only one of many potential causes of the chronic colitis pattern. Nearly identical histology can be seen in the setting of diverticular disease, ipilimumab colitis, syphilitic proctocolitis, chronic infections, medication injury, or radiation injury, among others; therefore, the chronic colitis pattern is pathognomic for neither IBD nor any other specific etiologic agent. Accordingly, ascribing this nonspecific injury pattern to a specific etiology can be challenging and always requires clinicopathologic correlation. Accurate diagnosis is absolutely essential to ensure appropriate clinical management: IBD is managed with immunosuppression and life-long surveillance, ipilimumab colitis is cured with drug cessation, and syphilitic proctocolitis is cured with antibiotics. This section will cover the major etiologic considerations of the chronic colitis pattern with emphasis on clinicopathologic “red flags” and clues to the underlying etiology.
CHECKLIST: Etiologic Considerations for the Chronic Colitis Pattern
Inflammatory Bowel Disease
Diverticular Disease
Diversion-Associated Colitis
Syphilitic and Lymphogranuloma Venereum Proctocolitis
Cord Colitis Syndrome
Ipilimumab Colitis
Resins

Figure 4.89 A pattern-based approach to colitis. Navigating the chronic colitis pattern can be treacherous since there are so many varied etiologic possibilities. We recommend a systematic, three-step pattern-based approach to colitis. This simple approach can provide a helpful framework for all colitis cases, regardless of the inherent complexities: Step 1: Classify the injury pattern as acute colitis vs. active chronic colitis vs inactive chronic colitis; step 2: Grade the colitis as mild, moderate, or marked; step 3: clinicopathologic correlation, “See note.”
A THREE-STEP APPROACH TO THE CHRONIC COLITIS PATTERN
Undoubtedly, navigating the chronic colitis pattern can be treacherous because there are so many varied etiologic possibilities. Adoption of a simplified, three-step pattern-based approach to colitis can provide a helpful framework for all colitis cases, despite their inherent complexities (Fig. 4.89).
STEP 1: CLASSIFY THE INJURY PATTERN AS ACUTE COLITIS VS. ACTIVE CHRONIC COLITIS VS INACTIVE CHRONIC COLITIS
Acute colitis
As discussed earlier, the acute colitis pattern lacks any features of chronic mucosal injury, by definition. Features of the acute colitis pattern can include cryptitis (acute inflammation in the crypt epithelium), crypt abscesses (acute inflammation in the lumen of the crypt), erosions, and ulcerations. Not all features are required simultaneously for the diagnosis of “acute colitis pattern”; one feature alone satisfies the diagnostic criteria. See also Acute Colitis, this chapter.
Chronic colitis
The “chronic colitis pattern” is a broad term that encompasses a laundry list of descriptors, provided later. Similar to the diagnosis of “acute colitis pattern,” not all features need be present at once to satisfy the diagnostic criteria of the “chronic colitis pattern.”
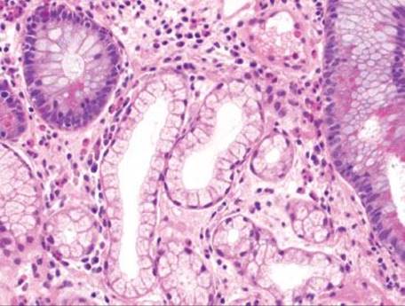
• Pyloric gland metaplasia
• Pyloric glands are always abnormal in the colon.
• Pyloric gland metaplasia is indistinguishable from pyloric glands at any other site (Figs. 4.90 and4.91).

Figure 4.90 Chronic colitis pattern, pyloric gland metaplasia. Pyloric-type glands are normally found in the stomach and proximal duodenum. Their presence in the colon indicates chronic mucosal injury.

Figure 4.91 Chronic colitis pattern, pyloric gland metaplasia. These pyloric glands have abundant foamy-to-clear cytoplasm and small, round or ovoid nuclei that may be flattened against the basement membrane.

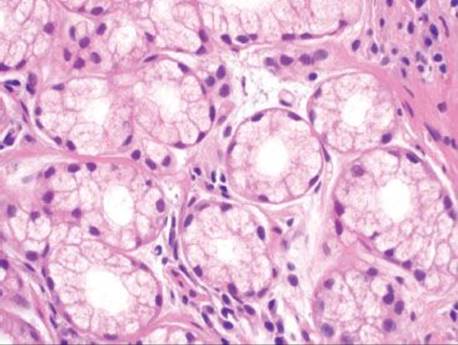
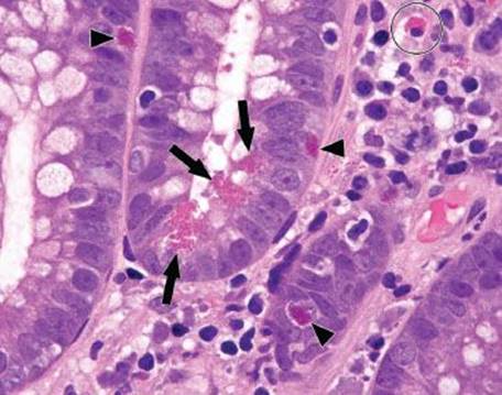
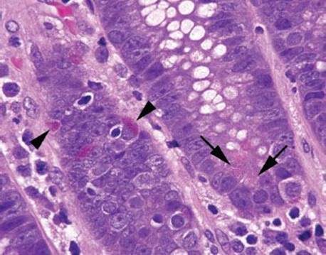
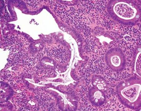
Figure 4.92 Chronic colitis pattern, Paneth cell metaplasia. Paneth cells are normally found in the small bowel, right colon, and transverse colon. Paneth cells in the descending colon, sigmoid, and rectum are abnormal and indicate chronic mucosal injury. To the junior trainee, Paneth cells can sometimes be confused with endocrine cells and eosinophils. Important points of distinction include that the granules of Paneth cells (arrows) are more lightly eosinophilic, large and coarse, and aggregate near the colonic lumen. In contrast, the granules of endocrine cells (arrowheads) are more deeply eosinophilic, finely granular, and aggregate toward the basement membrane. Eosinophils (circle) have brightly orange, coarse granules, which are usually easy to identify, especially accompanied by characteristic bilobed nuclei.

Figure 4.93 Chronic colitis pattern, Paneth cell metaplasia (arrows) versus endocrine cells (arrowheads). Endocrine cells are normally seen throughout the bowel; their presence does not signify chronic mucosal injury.
• Paneth cell metaplasia
• Although Paneth cells are normal constituents of the small bowel, right colon, and transverse colon, their presence in the descending colon, sigmoid, and rectum is always abnormal (Figs. 4.92–4.94).
• Increased lamina propria chronic inflammation
• Architectural distortion (Figs. 4.95–4.98), compare to normal colon architecture (Figs. 4.2, 4.3, 4.6, and 4.7)
• Villonodular surface
• Abnormal crypt configuration (Figs. 4.99–4.102)

Figure 4.94 Chronic colitis pattern, Paneth cell metaplasia (arrow) versus endocrine cells (arrowheads) versus degranulating eosinophil (circle).

Figure 4.95 Chronic colitis pattern, marked active chronic colitis, ulcerative colitis. This biopsy originates from a patient with long-standing ulcerative colitis. While the acute component is best seen at higher power, features of chronicity are easily seen at this magnification: villonodular surface, abnormal crypt configuration, crypt shortfall, and basal lymphoplasmacytosis (brackets). Note the varying sizes of the crypts ranging from slightly enlarged (asterisk) to large, complex, branching structures (arrowheads). Architectural distortion can be assessed on either longitudinally orientated specimens, as in this example, or tangentially embedded sections, as seen in Figure 4.96. Compare to a longitudinal profile of normal colon architecture (Figs. 4.2 and 4.3).

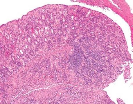
Figure 4.96 Chronic colitis pattern, marked active chronic colitis, diversion colitis. This biopsy originates from a patient with active chronic mucosal injury secondary to diversion colitis. Note that the architectural changes can be easily assessed on tangentially embedded tissue sections, as in this case. The nonuniform size and distribution of the crypts are features of architectural distortion. Asterisks highlight microcrypts and arrowheads highlight large, complex, branching crypts. Normally, crypts are uniformly distributed with uniform amounts of intervening lamina propria. This case features crypt dropout with large zones of increased acute and chronic inflammatory cells in the lamina propria and no intervening crypts (circles). Compare to tangential profiles of normal colon architecture (Figs. 4.6 and 4.7).

Figure 4.97 Chronic colitis pattern, marked active chronic colitis, sigmoid colon. Crypt abscesses are easily seen, as are features of chronic mucosal injury, such as a mildly villonodular surface, increased chronic inflammation in the lamina propria, and abnormal crypt configurations and distributions.

Figure 4.98 Chronic colitis pattern, marked active chronic colitis, left colon. Features of chronicity include a villonodular surface, increased lamina propria chronic inflammation, abnormal crypt configurations and distributions, and crypt dropout (asterisks).

Figure 4.99 Chronic colitis pattern, abnormal crypt configuration. Normally, crypts are uniform U- or tube-shaped structures when viewed in profile and uniform circular structures when viewed tangentially, similar to test tubes in a rack or a bed of flowers (Figs. 4.2, 4.3, 4.6 and 4.7). When the crypts depart from this normal expected configuration, architectural distortion is present. This central crypt resembles abstract art, perhaps a Picasso muse, a map of a winding river, or an ungraceful backbend. If similar wild imagery accurately describes the crypt configuration, then architectural distortion is present.

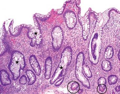
Figure 4.100 Chronic colitis pattern, abnormal crypt configuration, sigmoid, diverticular disease. The appearance of this sigmoid biopsy exemplifies chronic mucosal injury in the setting of diverticular disease. This image features bifid and branching crypts (asterisks) that are no longer superimposable because of varying sizes and distributions. Other features of chronicity include a villonodular surface, increased chronic inflammation in the lamina propria, and Paneth cell metaplasia (circles).
• Crypt dropout
• Crypt shortfall
• The basal crypts do not sit directly on the muscularis mucosae (Figs. 4.103 and 4.104).
• Crypt shortfall can occur in the presence or absence of basal lymphoplasmacytosis.
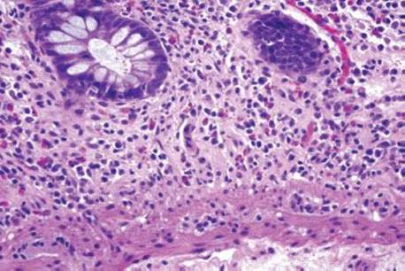
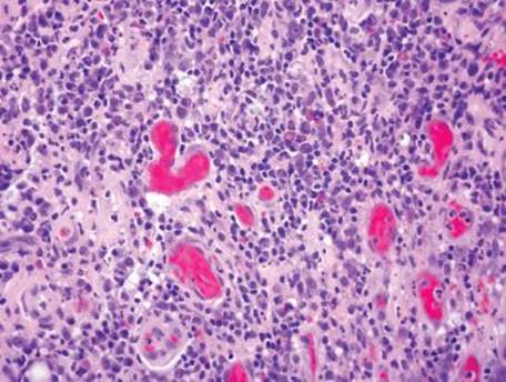
• Basal lymphoplasmacytosis
• A basal layer of lymphoplasmacytic inflammation prevents the basal crypts from sitting directly on the muscularis mucosae (Figs. 4.105–4.109).

Figure 4.101 Chronic colitis pattern, abnormal crypt configuration. Bifid crypts refer to two fused crypts and are a sign of chronic mucosal injury.

Figure 4.102 Chronic colitis pattern, abnormal crypt configuration. This striking example of abnormal crypt configuration resembles two people dancing. If crypts can invoke vivid imagery, then abnormal crypt configuration is present and chronic mucosal injury has occurred.

Figure 4.103 Chronic colitis pattern, crypt dropout and crypt shortfall. Crypt dropout: at low power, the expected uniform distribution of crypts is absent; some crypts appear “missing” (asterisks). Crypt shortfall: in addition, some crypts are floating in the lamina propria; these crypts are not anchored to the muscularis mucosae but, instead, “fall short” of the muscularis mucosae (brackets). Although both the crypt dropout and shortfall are focal and mild, they signify chronic mucosal injury.

Figure 4.104 Chronic colitis pattern, crypt shortfall. At higher power, we see the crypts “fall short” of the muscularis mucosae based on a sprinkling of lamina propria constituents. This example illustrates that not all cases of crypt shortfall are due to basal lymphoplasmacytosis. Sometimes, crypt shortfall is due to crypts simply floating above the muscularis mucosae.

Figure 4.105 Chronic colitis pattern, basal lymphoplasmacytosis and crypt shortfall. This case features a conspicuous example of basal lymphoplasmacytosis. Note the basal band of intense lymphoplasmacytic inflammation (brackets) that prevents the basal crypts from directing sitting on the muscularis mucosae (asterisks). This finding is always abnormal and is a feature of chronic mucosal injury.

Figure 4.106 Chronic colitis pattern, basal lymphoplasmacytosis. On higher power, the band of inflammatory cells consists predominantly of plasma cells, lymphocytes, eosinophils, and scattered histiocytes.

Figure 4.107 Chronic colitis pattern, basal lymphoplasmacytosis and crypt shortfall, Crohn disease. This biopsy is from a patient with Crohn disease. In addition to basal lymphoplasmacytosis and crypt shortfall (brackets) also note the bifid crypts (arrowheads).

Figure 4.108 Chronic colitis pattern, basal lymphoplasmacytosis. Basal lymphoplasmacytosis is often best appreciated on low power. An asterisk highlights the muscularis mucosae and brackets highlight the basal lymphoplasmacytosis and crypt shortfall.

Figure 4.109 Chronic colitis pattern, basal lymphoplasmacytosis and crypt shortfall (brackets). Asterisks highlight the muscularis mucosae.
Of all the histologic features of chronicity, the assessment of architectural distortion is perhaps the most subjective. Recall, the normal colon has a flat surface with uniform-sized crypts separated by uniform amounts of lamina propria, which rest directly on the muscularis mucosae (Figs. 4.2, 4.3, 4.6 and 4.7). Normal colon architecture is analogous to “test tubes in a rack” with each crypt (or test tube) nearly identical to and superimposable on its neighbor because of similar size, shape, and distribution. In contrast, architectural distortion may feature a villonodular surface with crypts of various widths, heights, and distribution. These haphazard crypt configurations are no longer superimposable because of dissimilar size, shape, and distribution (Figs. 4.99–4.102). The variable lamina propria can result in “crypt dropout,” or dissolution of the expected uniform crypt distribution. Although normal basal crypts have an orderly and neat arrangement directly above the muscularis mucosae, architectural distortion often features crypts that fall short of the muscularis mucosae (“crypt shortfall’) (Figs. 4.103 and 4.104). Crypt shortfall can occur in the presence or absence of basal lymphoplasmacytosis (a variably thickened band of lymphoplasmacytic inflammation that prohibits the basal crypts from having an orderly arrangement with the muscularis mucosae) (Figs. 4.105–4.109).

Figure 4.110 Chronic colitis pattern, mild active chronic colitis. Mild active chronic changes are subtle and often not unequivocally apparent at low power, as in this case. This rectal biopsy has acute injury in the form of focal cryptitis (not shown) and chronic injury (mildly increased lamina propria chronic inflammation and focal Paneth cell metaplasia, not shown).

Figure 4.111 Chronic colitis pattern, marked active chronic colitis. Marked changes would be universally recognized by most pathologists because the findings are prominently displayed. This rectal biopsy shows marked changes with a villonodular surface, chronic inflammation in the lamina propria, wildly abnormal crypt configurations, crypt dropout, crypt shortfall, and basal lymphoplasmacytosis.
Chronic colitis can be further classified as either active or inactive depending on the presence or absence of a concomitant acute component. Active chronic colitis includes histologic features of chronicity AND a concomitant acute component (ulceration, erosion, cryptitis, and or crypt abscess), whereas inactive chronic colitis refers to any of the histologic features of chronicity in the absence of an acute colitis component.
STEP 2: GRADE THE COLITIS AS MILD, MODERATE, OR MARKED
“Colitis” is a broad term that describes a spectrum of mucosal injury. It describes histologic features of injury whether seen in isolation or combination, and regardless of the prominence or extent of disease; for example, the term “chronic colitis” appropriately describes a sigmoid biopsy with five isolated Paneth cells as well as a sigmoid biopsy showing marked architectural distortion, crypt shortfall, basal lymphoplasmacytosis, and 55 Paneth cells.** As a result, additional descriptors allow for a more precise description of the pathology and can be helpful in monitoring the evolution of disease course and therapy response. Colitis can be qualified as mild, moderate, or marked depending on the overall intensity of the mucosal injury. Mild changes are quite subtle to the extent that not all pathologists would agree on officially recognizing, or findings that are not readily apparent at low power (Fig. 4.110). Marked changes encompass all features described above and in prominent proportions; these changes would be universally agreed on by most, if not all pathologists (Fig. 4.111). Moderate changes, literally, fall in between those of the mild and marked categories (Fig. 4.112).
STEP 3: CLINICOPATHOLOGIC CORRELATION, “SEE NOTE”
Steps 1 and 2 can be performed in a vacuum because pure morphology dictates colitis classification and grading. The far more interesting aspect of this three-step pattern-based approach is the final step. In step 3, the histologic findings are situated in the specific clinical setting. The entire clinicopathologic context is integrated to share the pathologist’s particular perspective on this particular mucosal injury pattern. This note cannot be “quick-texted” or “macro-ed” for mass reproduction because it is based on the unique clinicopathologic features of the unique case in question. The succeeding section will introduce and emphasize clinicopathologic “red flags” to quickly home in on the underlying etiology and to guide direct etiologic specific therapy. Sample notes are included to illustrate the utility of the three-step pattern-based approach to colitis.

Figure 4.112 Chronic colitis pattern, moderate active chronic colitis. Moderate changes are more conspicuous than those of the mild category and are identifiable at low power, as in this case. This rectal biopsy shows a villonodular surface, increased chronic inflammation in the lamina propria, abnormal crypt configurations with bifid and quadrafid glands, and crypt dropout.
FAQ: What time frame is required for the development of features of chronic mucosal injury?
Answer: Surprisingly, histologic features of chronic mucosal injury can be seen with as few as 72 hours of injury, any sort. This includes at least 3 days of diarrhea due to self-limited infections, medications, emerging IBD, among many others. As a result, features of chronicity merely confirm at least 72 hours of mucosal injury; they are pathognomic for no specific etiology. Adoption of the three-step pattern-based approach to colitis serves as simple, comprehensive guide to navigating this nonspecific injury pattern.
INFLAMMATORY BOWEL DISEASE
IBD is a chronic systemic inflammatory disease whose major disease manifestations impact the gastrointestinal tract (GIT). IBD can be further subclassified as Crohn disease, ulcerative colitis, and type-indeterminate. The type-indeterminate category is a provisional category reserved for those 5% to 10% of cases that cannot be definitively delineated into the Crohn or ulcerative colitis category because of conflicting or insufficient clinicopathologic evidence. Eighty percent of the type-indeterminates are eventually classified as either ulcerative colitis or Crohn disease within the subsequent 8 years based on evolving clinical, radiographic, and histologic evidence.21
Ulcerative colitis and Crohn disease constitute the majority of IBD and are seen in 4 to 20 per 100,000 persons in the United States. All subtypes are enriched in Caucasians and Ashkenazi Jews, with males more commonly affected in ulcerative colitis and a female bias seen in Crohn disease.22 In general, IBD displays a bimodal distribution of age at time of first presentation. The first wave of patients present between 15 and 30 years of age and the second peak occurs between 60 and 70 years. Most patients present with a history of bloody diarrhea and weight loss and the disease course is characterized by alternating periods of disease flares and remissions. Endoscopically, both ulcerative colitis and Crohn disease display variable loss of vascular pattern, erythema, friability, erosions, and ulcerations. Histologically, both are characterized by active chronic inflammatory injury. Although IBD primarily affects the intestinal tract, 10% to 15% of patients have extraintestinal manifestations, including ankylosing spondylitis, seronegative arthritis, primary sclerosing cholangitis, conjunctivitis, iritis, episcleritis, uveitis, anemia, pyoderma gangrenosum, and erythema nodosum. Patients with ulcerative colitis and HLA-B27 carry a particularly strong risk of ankylosing spondylitis and uveitis. Stomatitis and oral aphthous lesions/ulcerations are more common in Crohn disease. All IBD patients will eventually enter a surveillance program based on an increased risk of neoplasia. Surgical candidates include patients who develop neoplasia and those whose symptoms fail medical treatment.
FAQ: If the clinicopathologic diagnosis is IBD, why should we bother with further subclassification as ulcerative colitis or Crohn disease? Why does subclassification matter?
Answer: Correct IBD subclassification is critical to ensure appropriate surgical management. Ulcerative colitis may be managed with removal of the entire colorectum because the entire colorectum is at risk for the inflammatory disease–dysplasia–carcinoma sequence. In contrast, the standard of care in Crohn disease is conservative segmental resection to preserve as much of the bowel length (and quality of life) as possible because of the increased risk of subsequent GIT injuries and bowel-shortening surgeries. Another important surgical management consideration centers on the option of the ileal-pouch anal anastomosis (IPAA). IPAA is the preferred surgical option following a total proctocolectomy because it allows for GIT continuity and preservation of the anal sphincter (Figs. 4.113 and 4.114). Patients with ulcerative colitis are eligible for an IPAA but those with Crohn disease are not, in general, based on the increased risk of disease flares and pouch complications. Instead, Crohn disease patients are offered a permanent ostomy: the bowel is attached to the anterior abdominal wall and opens into an ostomy bag through which the fecal stream exits, necessitating additional hygiene and maintenance issues (Figs. 4.115–4.116). Correct IBD subclassification is critical to ensure optimal surgical management and requires awareness of the IBD “rules” (classic IBD presentations), the IBD “realities” (nonclassical IBD presentations), and IBD mimics, discussed subsequently.

Figure 4.113 Normal bowel anatomy features the colon draped over and framing the small bowel.

Figure 4.114 Ileal-pouch anal anastomosis (IPAA). Closure of a total proctocolectomy requires either an ostomy/stoma site or an IPAA (in this illustration the colon is “grayed out” to represent removal). IPAA is the preferred surgical approach because it maintains GIT continuity and avoids the need for a permanent ostomy bag (see Fig. 4.115). IPAA involves anastomosis of the ileum to the anus. A reservoir is created by stitching two loops of ileum together and removing the internal walls. The resulting reservoir is in the shape of a “J” and often termed a “J-pouch.” IPAA is the standard of care forulcerative colitis patients but is generally contraindicated in Crohn cases because of increased risks of disease flares. Instead, Crohn disease patients are offered a permanent ostomy (either an ileostomy or colostomy).

Figure 4.115 Ileostomy. In this illustration, the background colorectum is shaded gray to represent a prior total proctocolectomy. An ileostomy involves bringing the small bowel through the anterior abdominal wall to form a stoma site. The bowel is then attached to an ostomy bag through which the fecal stream exits.

Figure 4.116 Colostomy (with Hartmann pouch). A colostomy involves bringing the colon through the anterior abdominal wall to form the stoma site. The ostomy bag is then attached to the stoma, through which the fecal stream exits. An additional Hartmann pouch procedure is sometimes performed under emergent conditions or when there is insufficient healthy bowel for primary anastomosis. The Hartmann procedure involves sewing over the proximal rectum so that the rectum remains in situ as a blind pouch (Hartmann pouch). This pouch is excluded from the fecal stream and susceptible to diversion colitis.
Inflammatory Bowel Disease “Rules”: Classic Presentations
The IBD “rules” are among the first concepts introduced in medical school, emphasizing their fundamental clinical importance. The rules enumerate the discriminating features of ulcerative colitis and Crohn disease, allowing their reliable distinction. The rules summarize ulcerative colitis as a mucosa restricted process that starts at the rectum and progresses in a diffuse manner toward the proximal colon (Figs. 4.117–4.119). According to the rules, these changes are limited to the colorectum and pseudopolyps are restricted to ulcerative colitis. In contrast, the rules dictate that Crohn disease is a transmural disease with possible upper GIT involvement, rectal sparing, and a patchy progression pattern, resulting in “skip lesions.” As a result of transmural involvement, predictable transmural pathology is to be expected, including a stiff or “pipe”-like bowel wall, creeping fat, fissures, fistulas, strictures, sinus tracts, and transmural lymphoid aggregates and fibrosis (Figs. 4.120–4.124). In addition, according to the rules, mucosal “cobblestoning” is unique to Crohn disease and describes alternating linear ulcerations with edematous mucosa (Figs. 4.125–4.126). Of all of the rules, those that most consistently point to Crohn disease include epithelioid granulomata and transmural inflammation and lymphoid aggregates away from injured mucosa. Classic IBD presentations abide by the aforementioned rules and allow reliable subclassification as ulcerative colitis or Crohn disease (Fig. 4.127, Table 4.4).

Figure 4.117 IBD “rules,” ulcerative colitis, gross examination. Gross examination can reveal helpful diagnostic clues to the diagnosis of ulcerative colitis versus Crohn disease. First, note that this specimen is a total proctocolectomy, the standard of care for ulcerative colitis patients. Additional clues to the diagnosis of ulcerative colitis include rectal-based disease that progresses in a diffuse manner. Lastly, the wall is of average thickness and would feel floppy upon examination; both features suggest mucosa-restricted disease.

Figure 4.118 IBD “rules,” ulcerative colitis, gross examination. This specimen shows similar features ascribed to classic ulcerative colitis, including diffuse disease progression and a thin bowel wall secondary to mucosa-restricted disease.

Figure 4.119 Chronic colitis pattern, IBD “rules,” ulcerative colitis. This image represents histologic features ascribed to classic ulcerative colitis. The mucosa is almost entirely ulcerated, and increased mucosal acute and chronic inflammation are seen. Also note that the bowel wall is of average thickness secondary to mucosa-restricted disease.

Figure 4.120 IBD “rules,” Crohn disease, gross examination. The first gross clue to the diagnosis of Crohn disease is the segmental nature of the specimen. Segmental resections are the standard of care for Crohn disease patients based on the patchy disease distribution and propensity for future bowel shortening operations. Transmural disease manifests with transmural pathology: 1. An obstructing stricture was the indication for this resection (arrow); 2. The bowel wall is thick, fibrotic, and would feel “pipe-like” or heavy and inflexible on gross examination (arrowheads); 3. The edge of the specimen demonstrates “creeping fat” or irregular and scarred serosal fat from repeated bouts of transmural disease (bracket).

Figure 4.121 IBD “rules,” Crohn disease, gross examination. This case also features classic stigmata associated with typical Crohn disease, including patchy transmural disease: note the segmental nature of the resection), thick bowel wall, and fistula (forceps). An arc highlights pseudopolyps, a feature traditionally described in ulcerative colitis, according to the IBD “rules.”

Figure 4.122 IBD “rules,” Crohn disease, gross examination. This segmental resection displays numerous strictures (highlighted by toothpicks) in a patient with a long-standing history of Crohn disease. Each bowel resection leaves the patient with progressively less bowel and may result in increased diarrhea and further complications. As a result, segmental resections are the standard of care for patients with Crohn disease in an effort to preserve bowel length and quality of life.

Figure 4.123 Chronic colitis pattern, IBD “rules,” Crohn disease. This resection specimen demonstrates classic features typically ascribed to Crohn disease, including transmural lymphoid aggregates, granulomata, and fibrosis. The overlying mucosa shows active chronic injury as well, features best seen at higher power.

Figure 4.124 Chronic colitis pattern, IBD “rules,” Crohn disease. Higher power illustrates a number of large granulomata.

Figure 4.125 IBD “rules,” Crohn disease, gross examination. This image illustrates mucosal cobblestoning, a feature most commonly associated with Crohn disease. This pattern is a result of linear ulcerations and intervening mucosal edema and resembles cobblestoned streets.

Figure 4.126 IBD “rules,” Crohn disease, gross examination, mucosal cobblestoning.

Figure 4.127 Chronic colitis pattern, IBD “rules,” “macroscopic” examination. Helpful diagnostic clues to the diagnosis of ulcerative colitis versus Crohn disease can also be gathered by looking at the glass slides from across the room, without even using the microscope! Illustrated above are two unique total proctocolectomy resection specimens arranged in six parallel slides (from top to bottom: appendix, cecum, ascending colon, transverse colon, left colon, and, finally, rectum). The case on the left shows mucosal restricted disease that diffusely involve all slides, perhaps most severe in the rectum where the mucosa is entirely sheared off. The case on the right displays transmural disease, note the thick bowel wall. Also note the patchy disease distribution with diseased sections interrupted by uninvolved segments. Rectal sparring is present. Without using the microscope, we have gathered helpful clues that favor classic ulcerative colitis in the case on the left and classic Crohn disease in the case on the right.
SAMPLE NOTE: CLINICAL HISTORY OF A LONG-ESTABLISHED ULCERATIVE COLITIS HISTORY
Rectum, Biopsy:
• Marked active chronic proctitis.
Note: The history of ulcerative colitis is noted. The biopsy shows marked active chronic proctitis with cryptitis, crypt abscesses, architectural distortion, and increased chronic inflammation. These findings support the established history of ulcerative colitis. Negative for dysplasia, granulomata, and viral cytopathic effect.
TABLE 4.4: Inflammatory Bowel Disease “Rules”

SAMPLE NOTE: NO CLINICAL HISTORY PROVIDED; THIS SAMPLE NOTE IS REFERRED TO AS “GENERAL CHRONIC COLITIS” IN SUBSEQUENT SUBSECTIONS
Note: The earlier findings are etiologically nonspecific and can be seen in the following settings: diverticular disease, diversion-associated colitis, syphilitic and lymphogranuloma venereum proctocolitis,**chronic nonspecific infection, chronic medication injury, and inflammatory bowel disease, among others. Clinical correlation is required.
Reference:
Arnold CA, Limketkai BN, Illei PB, et al. Syphilitic and lymphogranuloma venereum (LGV) proctocolitis: Clues to a frequently missed diagnosis. Am J Surg Pathol. 2013;37(1):38–46.
FAQ: Is it reasonable to top-line a diagnosis as ulcerative colitis or Crohn disease and eliminate the note?
Answer: Top-lining a diagnosis of IBD would be discouraged based on the inherent complexities of the chronic colitis pattern. Recall, the chronic colitis pattern is etiologically nonspecific. There are no pathognomic features of IBD; there are no histologic features that can reliably distinguish IBD from diverticular disease, diversion-associated colitis, syphilitic or LGV proctocolitis, cord colitis syndrome, ipilimumab colitis, vasculitis, radiation injury, autoimmune diseases, among others; therefore, the three-step approach to colitis is suggested in all cases: classification (step 1), grade (step 2), and clinicopathologic correlation/ “see note” (step 3) (Fig. 4.89). This systematic approach can be universally applied to all cases of chronic colitis, regardless of the complexity. In this manner, the three-step approach allows for a detailed morphologic description and consideration of the relevant differential etiologies in the specific clinicopathologic setting.
Inflammatory Bowel Disease “Reality”: Nonclassic IBD Presentations
Table 4.4 captures the “rules” of IBD, whereas this section briefly discusses the “reality” of IBD, otherwise known as the nonclassic IBD presentations. The essential message is that every “rule of IBD” has a known exception. Awareness of the spectrum of nonclassical presentations allows for an appreciation of both the breadth and depth of IBD and is critical for accurate diagnosis and appropriate clinical management. The discussion below pairs the select “IBD rule” with its corresponding “reality” to emphasize the challenges of navigating the chronic colitis pattern. These inherent complexities further emphasize the utility of the descriptive three-step pattern-based approach to colitis.
Depth of Involvement “Rule”: Ulcerative colitis is mucosa restricted and Crohn disease is transmural.
Depth of Involvement “Reality”: Ulcerative colitis can be transmural and Crohn disease can be mucosal restricted.
In reality, Crohn disease is occasionally superficial or limited to the mucosa. These cases are referred to as “ulcerative colitis-like” Crohn disease or “superficial Crohn disease” in the literature.23 Likewise, severe ulcerative colitis disease flares can present with transmural disease, such as in the rare case of toxic megacolon (Fig. 4.128). Toxic megacolon is a life-threatening condition associated with a 16% mortality rate and seen in up to 10% of hospital admissions for ulcerative colitis.24,25 Criteria include colonic dilatation greater than 6 cm and systemic toxicity. Although 46% are associated with ulcerative colitis, toxic megacolon can also be seen in Crohn disease (2.3%), Behçet disease, infections (particularly C. difficile), ischemia, collagenous colitis, lymphoma, and medication injury.24–26 The pathogenesis may relate to a combination of acute and extensive transmural inflammatory damage, ischemia, and local increased nitric oxide levels leading to smooth muscle relaxation and dilatation.26 Emergent proctocolectomy is common and often accompanied by high-dose intravenous steroids (assuming infections have been excluded) and correction of underlying and associated abnormalities such as dehydration, electrolyte disturbances, and anemia.
Disease Progression “Rule”: Ulcerative colitis is rectal based and progresses in a diffuse manner, and Crohn disease spares the rectum and progresses in a patchy manner.
Disease Progression “Reality”: Ulcerative colitis can spare the rectum and show patchy disease distribution, and Crohn disease can involve the rectum and progress in a diffuse manner.

Figure 4.128 IBD “reality,” defying the depth of involvement “rule.” The depth of involvement rule is that ulcerative colitis is mucosal restricted and Crohn disease is transmural, but the reverse can be the reality. This image represents an emergent colectomy for toxic megacolon in a patient with severe ulcerative colitis. Note the diffusely edematous and bloody specimen. The corresponding histologic sections showed transmural active chronic colitis (not shown), emphasizing that ulcerative colitis can defy the “depth of involvement rule” in severe and acute cases.

Figure 4.129 IBD “reality,” defying the disease progression “rule.” The disease progression rule is that ulcerative colitis is rectal based and progresses in a diffuse manner and Crohn disease spares the rectum and progresses in a patchy manner. The reality is that ulcerative colitis can show rectal sparing and (therefore) show patchy disease distribution and Crohn disease can be mucosal restricted and diffusely involve the colorectum. This total proctocolectomy specimen originates from a patient with ulcerative colitis who developed flat, multifocal dysplasia, requiring definitive surgical management. Note the relative rectal-sparing (bracket). Rectal sparing in ulcerative colitis is most common in the setting of treatment effect, particularly in patients using rectal steroid enemas, and in the pediatric setting. Rectal sparing should not detract from the established diagnosis of ulcerative colitis.

Figure 4.130 IBD “reality,” defying the disease progression “rule.” The cecal red patch/periappendicial disease is another very important IBD exception seen in up to 86% of ulcerative colitis patients. This total proctocolectomy specimen originates from a patient with ulcerative colitis refractory to medical management. Note the diffuse disease process from the rectum (asterisk) through the transverse colon, a bit of right colon mucosal clearing (bracket), and a blush of erythema surrounding the appendiceal orifice (arc). The biopsy showed marked active chronic colitis similar to that seen in the rectum (not shown). Those not aware of this important IBD “reality” may misinterpret these findings as representing patchy disease and (erroneously) raise concerns for Crohn disease. Misclassification as Crohn disease would result in surgical mismanagement with a permanent ostomy performed for Crohn disease instead of the preferred IPAA performed for ulcerative colitis. The cecal red patch/periappendiceal disease is entirely consistent with this patient’s established history of ulcerative colitis.
The reality is treated or severe Crohn disease can exhibit rectal-based or confluent disease, manifesting as diffuse disease progression. Similarly, ulcerative colitis can defy the disease progression rule by showing patchy disease progression, findings most commonly seen in the setting of treatment effect or in children.27,28 Notorious diagnostic pitfalls in ulcerative colitis include rectal sparing, which occurs in up to 64% of ulcerative colitis patients at some point, and can be enhanced by medical therapy (Fig. 4.129).27,29 The cecal red patch, also known as periappendicial disease, is another important, under-recognized diagnostic pitfall in ulcerative colitis (Fig. 4.130). Briefly, this finding is typically seen with left-sided disease, a spared transverse colon, and a patch of active chronic disease around the appendiceal orifice. This finding is seen in up to 86% of ulcerative colitis cases and, consequently, is a notorious rule-breaker that can erroneously raise concerns for Crohn disease to those unfamiliar with this IBD “reality.”30–33 Awareness of this important exception is critical to avoid misclassifying a case of rectal involved Crohn disease as ulcerative colitis, resulting in the inappropriate surgical management (segmental resection with permanent ostomy for Crohn disease versus total proctocolectomy with IPAA in ulcerative colitis).
Upper-Tract Involvement “Rule”: Ulcerative colitis is colorectum restricted and Crohn disease can involve the entire GIT.
Upper-Tract Involvement “Reality”: Ulcerative colitis can involve the upper-tract and Crohn disease can be colorectum restricted.
The reality is that ulcerative colitis can extend beyond the colorectum in a variety of settings. Up to 17% of ulcerative colitis cases display “backwash ileitis.”34 This process most commonly occurs in the setting of severe pancolitis whereby the inflammatory milieu refluxes into the contiguous small bowel, resulting in local inflammatory and reactive changes in the adjoining 1 to 3 cm of the terminal ileum. The inflammatory changes in the small bowel are usually of the same severity as, if not less than, that of the contiguous colon and there is no association with IPAA pouch complications.34 A study of upper tract biopsies in patients with ulcerative colitis found 10% were associated with diffuse chronic duodenitis described as intense plasmacytosis, patchy cryptitis, variable villous blunting, and reactive changes.35 Forty per cent of these patients had pouch complications, raising the possibility that diffuse chronic duodenitis may serve as a surrogate marker for potential pouch complications. Crohn disease can also break the upper-tract involvement rule: the reality is that up to 20% of Crohn disease cases are restricted to the colorectum.36 Awareness of this upper tract involvement rule/reality is critical for proper IBD subclassification and surgical management.
Fissures and Transmural Lymphoid Aggregates and Inflammation” Rule”: These findings are unique to Crohn disease.
Fissures and Transmural Lymphoid Aggregates and Inflammation “Reality”: These findings can be seen in either ulcerative colitis or Crohn disease.
The reality is that up to 27% of ulcerative colitis resection cases show fissuring ulcers37 and these cases are more likely to have fulminant disease with transmural lymphoid aggregates and inflammation. Beware; fissures and transmural disease do not always signify Crohn disease, just as mucosa-restricted disease does not always signify ulcerative colitis. See also Depth of Involvement “Rule”/“Reality,” this chapter.
Pseudopolyps and Granulomata “Rule”: Pseudopolyps are unique to ulcerative colitis, and granulomata are unique to Crohn disease.
Pseudopolyps and Granulomata “Reality”: Pseudopolyps and granulomata can be seen in either ulcerative colitis or Crohn disease.
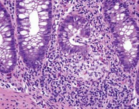
The reality is that neither pseudopolyps nor granulomata are pathognomonic for ulcerative colitis or Crohn disease. Granulomata and pseudopolyps can be seen in either setting (Figs. 4.131 and 4.132). Although, ulcerative colitis granulomata are most commonly associated with damaged crypts, Crohn disease granulomata are characteristically poorly-formed and unassociated with damaged crypts (Figs. 4.133 and 4.134).

Figure 4.131 IBD “reality,” defying the pseudopolyps “rule.” The IBD rules teach that pseudopolyps are unique to ulcerative colitis, but the reality is that they can be seen in either ulcerative colitis or Crohn disease. This segmental resection specimen is from a patient with long-standing Crohn disease and shows numerous pseudopolyps (arcs).

Figure 4.132 IBD “reality,” defying the pseudopolyps “rule.” The corresponding histologic section shows that the pseudopolyp is not a true polyp but, instead, consists of an island of semi-intact bowel flanked by severe ulcerations (asterisks), resulting in a polypoid appearance.

Figure 4.133 IBD “reality,” defying the granuloma “rule.” Although the IBD rules state that granulomata are unique to Crohn disease, the reality is they can be seen in either ulcerative colitis or Crohn disease. This example illustrates a crypt rupture granuloma, commonly seen in the setting of ulcerative colitis. Note that the macrophage collections are intimately associated with the damaged crypt.

Figure 4.134 Granuloma in Crohn disease. In contrast to the crypt rupture granulomata of ulcerative colitis, the granulomata seen in Crohn disease are often easy to miss, as in this example. An arc highlights this macrophage collection.
SAMPLE NOTE***: ESTABLISHED HISTORY OF LEFT-SIDED ULCERATIVE COLITIS AND NEW, FOCAL PERIAPPENDICEAL DISEASE
Rectum, biopsy:
• Marked active chronic proctitis.
Transverse, biopsy:
• Colonic mucosa with nondiagnostic findings.
Cecum, biopsy:
• Marked active chronic colitis.
Note: The history of ulcerative colitis is noted. The rectal and cecal biopsies show marked active chronic colitis with cryptitis, crypt abscesses, architectural distortion, and increased chronic inflammation. The transverse colon is unremarkable. The “cecal red patch”/periappendiceal involvement is seen in up to 86% of ulcerative colitis cases and is compatible with the established history. Negative for dysplasia, granulomata, and viral cytopathic effect.
References:
Mutinga ML, Odze RD, Wang HH, et al. The clinical significance of right-sided colonic inflammation in patients with left-sided chronic ulcerative colitis. Inflamm Bowel Dis. 2004;10(3):215–219.
D’Haens G, Geboes K, Peeters M, et al. Patchy cecal inflammation associated with distal ulcerative colitis: A prospective endoscopic study. Am J Gastroenterol. 1997;92(8):1275–1279.
Yang SK, Jung HY, Kang GH, et al. Appendiceal orifice inflammation as a skip lesion in ulcerative colitis: An analysis in relation to medical therapy and disease extent. Gastrointest Endosc. 1999;49(6):743–747.
Groisman GM, George J, Harpaz N. Ulcerative appendicitis in universal and nonuniversal ulcerative colitis. Mod Pathol. 1994;7(3):322–325.
CURABLE INFLAMMATORY BOWEL DISEASE MIMICS
As stated earlier, the chronic colitis pattern is challenging because nearly identical histology can be caused by diverse etiologies with differing management strategies. All IBD mimics discussed subsequently are 100% curable, assuming the etiology can be identified. Sorting through the differential diagnostic possibilities and arriving at the correct etiology requires thorough clinicopathologic correlation. This section will focus on common and emerging IBD mimics with emphasis on the clinicopathologic “red flags” to quickly uncover the causative etiology and the corresponding cure. Owing to the inherent challenges of the chronic colitis pattern, this subsection will illustrate the utility of the three-step pattern-based approach to colitis. Although this approach requires a bit of chart review, it is essential to ensure appropriate clinical management and to avoid the diagnostic pitfall of IBD. Remember, not all chronic colitis is caused by IBD.
CHECKLIST: Curable Inflammatory Bowel Disease Mimics
Diverticular Disease
Diversion-Associated Colitis
Syphilitic and Lymphogranuloma Venereum Proctocolitis
Cord Colitis Syndrome
Ipilimumab Colitis
Resins
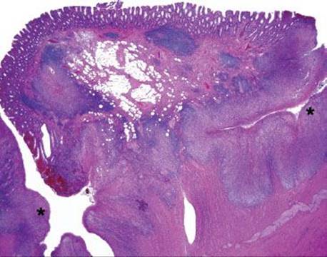
DIVERTICULAR DISEASE
In the United States, diverticular disease is extraordinarily common, seen in at least 70% of Westernized patients over 80 years of age and accounting for 23% of all patients who present with acute lower gastrointestinal bleeding.38The formation of colon diverticula is predominantly blamed on the “Western diet” and its low-fiber content. Low-fiber diets result in low-bulk feces with increased transit time, increased muscle bulk due to expanded elastin and collagen deposition,39–41 tenia shortening, luminal narrowing, and increased intraluminal pressures. As the tenia shorten, the mucosa becomes increasingly redundant and subject to prolapse, mechanical, and ischemic damage. Rising intraluminal pressures culminate in herniation of the delicate mucosa and submucosa through weaknesses in the bowel wall, resulting in diverticular formation (Figs. 4.135–4.140). Histologically, the active chronic colitis of diverticular disease is indistinguishable from IBD and any other cause of chronic colitis, further emphasizing the utility of the three-step pattern-based approach to colitis (Figs. 4.141–4.144). While a variety of mechanistic theories exist, some propose an immune component because some patients respond to immunosuppression and a small portion eventually progress to IBD (most commonly ulcerative colitis).42–44 It is unclear if the diverticular disease-IBD connection is merely coincidental or if diverticular disease can trigger IBD in genetically susceptible individuals. Important red flags to the diagnosis of diverticular disease include a history constipation, gross impression of diverticula, or tissue origin designated as sigmoid colon in an adult or elderly patient. The nomenclature surrounding colon diverticular disease can be a point of confusion. “Diverticular disease” is the broadest term that encompasses “diverticulosis,” “diverticulitis,” and “segmental colitis associated with diverticulosis” (SCAD syndrome) or “diverticular-associated segmental colitis” (DAC).
• “Diverticulosis” refers to diverticula lacking inflammation.
• Colon diverticula are most commonly false diverticula (acquired via increased intraluminal pressures and involve only the mucosa and submucosa).
• “Diverticulitis” refers to an epicenter of inflammatory damage within the diverticula with extension into the adjacent bowel wall.
• Diverticulitis is caused by impacted fecaliths.

Figure 4.135 Diverticular disease, endoscopic image. Diverticular orifices are readily apparent during endoscopic examination. They appear as variably sized mucosal outpouchings, as seen here.

Figure 4.136 Diverticular disease, resection specimen. This sigmoidectomy resection shows numerous mucosal outpouchings (arcs) or diverticula. The patient presented with the classic triad of diverticulitis: fever, abdominal pain, and leukocytosis. Imaging studies revealed a perforation (instrument), requiring emergent resection. Although uncomplicated cases can be treated with antibiotics, bowel rest, and pain control, complicated cases may require surgical resection. Common complications include stricture, abscess, fistula, obstruction, clinically significant bleeding, or perforation.

Figure 4.137 Diverticular disease, resection specimen. Longitudinal sections show the profiles of numerous diverticula (asterisks). Diverticula are most likely to occur at the weakest points of the bowel wall, between the taeniae and along the vasa recta penetration points. Based on this intimate association of the diverticula and vessels, diverticular related inflammatory damage can result in damage to the adjacent vessels and, consequently, gastrointestinal bleeding.

Figure 4.138 Diverticular disease, resection specimen. This example shows a diverticulum in association with an (evacuated) hemorrhagic abscess cavity (instrument). This image emphasizes that diverticular related inflammatory damage can erode into adjacent vessels, culminating in clinically significant bleeding. Also, note the thick bowel wall (bracket) from repeated bouts of transmural disease.
• SCAD syndrome or DAC refers to luminal inflammatory damage.
• In this pattern, the inflammatory changes are generally restricted to the luminal segment of colon involved by diverticular disease.
• SCAD syndrome has no requirement for overt features of “diverticulitis” or diverticula centered inflammatory damage; SCAD is not equivalent to “diverticulitis.”
• Some theorize SCAD syndrome stems from progressed diverticulitis.45

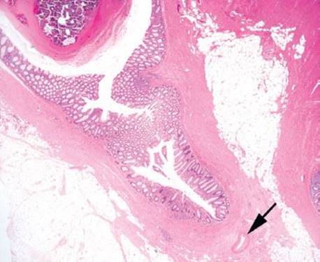
Figure 4.139 Chronic colitis pattern, diverticular disease. Diverticula are classified as true or false depending on the involved wall layers. “True diverticula” are congenital and involve all layers of the wall, including the mucosa, submucosa, muscularis propria, serosa, and adventitia. Meckel diverticulum is the most common type of true diverticulum seen in the tubular GIT. See also Metaplasia and Heterotopia, Small Bowel Chapter. “False diverticula” are acquired outpouchings and involve only the mucosa and submucosa, as seen in this example. Colon diverticula are by far the most common examples of false diverticula. Note that the diverticulum extends deeply through the bowel wall.

Figure 4.140 Chronic colitis pattern, diverticular disease. At low power, note the close association between the diverticulum and the nearby vessel (arrow). When diverticular disease–related inflammatory damage spills over into adjacent vessels, clinically significant bleeding can occur.

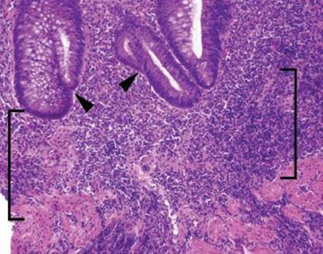
Figure 4.141 Chronic colitis pattern, diverticular disease. At this power, features of chronicity are easily seen: there is far too much lamina propria chronic inflammation for the sigmoid colon; variable amounts of lamina propria are seen splaying the crypts (mild architectural distortion). Cryptitis and Paneth cell metaplasia were also identified (not apparent at this power). It is critical to avoid a top line diagnosis of similar histology as IBD based on this nonspecific histology.

Figure 4.142 Chronic colitis pattern, diverticular disease. On lower power of the previous case, we see that the active chronic changes are confined within this tangential section of a diverticulum. The uninvolved colonic mucosa was unremarkable. Thus, the active chronic colitis is due to diverticular disease. Remember chronic colitis is not always IBD. Also note the close proximity of the diverticulum to nearby vessels (arcs).

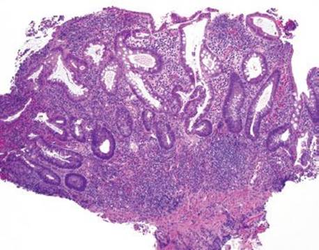
Figure 4.143 Chronic colitis pattern, diverticular disease. This intermediate power emphasizes a similar lesson. This left colon section shows active chronic colitis with cryptitis, crypt abscesses, a villiform mucosal surface, increased lamina propria chronic inflammation, and Paneth cell metaplasia.

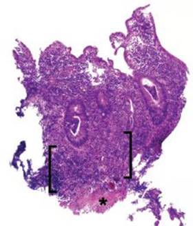
Figure 4.144 Chronic colitis pattern, diverticular disease. Low power shows that the active chronic changes are confined within a diverticulum. The background colonic mucosa was unremarkable; therefore, the active chronic injury was ascribed to diverticular disease. Although this diagnostic pitfall is easy to avoid on resection specimens when the diverticula are impossible to ignore, biopsies of diverticular orifices are notoriously treacherous, particularly when unlabelled, because the findings can be indistinguishable from those of IBD. Helpful red flags to the diagnosis of diverticular disease include a history of diverticulosis or tissue origin as sigmoid colon in an adult or elderly patient.
KEY FEATURES of Diverticular Disease:
• Diverticular disease is an extremely common IBD mimic.
• Cause: primarily the “Western” diet.
• Cure: sigmoidectomy and high-fiber diet.
• Red flags: history or gross impression of diverticular disease, tissue designated as sigmoid colon, and adult or elderly patient.
• Diverticular disease is a clinicopathologic diagnosis requiring both correlation with the appropriate clinical impression of diverticula and the histologic impression of active chronic colitis.
PEARLS & PITFALLS
Patients with diverticulitis can have striking clinical overlap with those with IBD. Extraintestinal manifestations such as arthropathies, ankylosing spondylitis, pyoderma gangrenosum, and erythema nodosum have been described in both settings.46
PEARLS & PITFALLS
The history or gross impression of diverticular disease and the designation of the tissue site as “sigmoid colon” are very important red flags. Remember, diverticular-associated colitis is far more common than IBD and its management is completely distinct. Always consider diverticular disease before IBD in biopsies of the left colon showing active chronic colitis.
PEARLS & PITFALLS
“Diverticulum” refers to a single mucosal outpouching and “diverticula” refers to more than one. When in doubt or pressed for time, use “diverticular disease” because this term covers both the singular and plural forms.
FAQ: What are the Hinchey criteria?
Answer: The Hinchey criteria were adapted by surgeons to describe the clinical extent of diverticulitis. They predict risk of adverse outcomes following a surgical procedure.47 Although pathologists do not include the Hinchey stage into formal reports, it is helpful to be aware of this terminology to appreciate the surgeon’s clinical impressions.
Stage I: Pericolic abscess or phlegmon; risk of death less than 5%
Stage II: Pelvic abscess; risk of death less than 10%
Stage III: Generalized purulent peritonitis: risk of death 5%
Stage IV: Generalized fecal peritonitis; risk of death 57%
FAQ: Where are colon diverticula most likely identified?
Answer: Diverticula are most likely to occur at the weakest point of the bowel wall, between the coalesced, linear muscle bundles (taeniae) and the vasa recti penetration points.
SAMPLE NOTE***: HISTORY OF DIVERTICULAR DISEASE PROVIDED
Diverticular Orifice, Biopsy:
• Marked active chronic colitis.
Note: The history of diverticular disease is noted. The aforementioned findings would support the clinicopathologic diagnosis of diverticular disease-associated colitis.
DIVERSION-ASSOCIATED COLITIS
Diversion-associated colitis is an important, curable IBD mimic and it is seen in patients with complicated surgical histories. It is an iatrogenic consequence of surgical detour of the fecal stream away from a segment of colorectum and deprivation of essential luminal elements in the excluded bowel segment. Surgical diversion of the bowel is performed when a diseased bowel segment is removed and the remaining bowel is not sufficiently long to reestablish continuity, the anal sphincter is removed, or the remaining bowel segment has excessive inflammation that precludes immediate anastomosis. Red flags in the chart may include a history of colonic resection for, as an example, diverticular disease, neoplasms, necrotizing enterocolitis, intra-abdominal trauma, IBD, and Hirschsprung disease (Fig. 4.145). At least 70% of diverted patients report classic stigmata of diversion-associated colitis, such as abdominal pain, tenesmus, rectal bleeding, and prominent rectal discharge.48,49 Endoscopic and intraoperative findings include mild to marked mucosal friability, erosions, ulcerations, aphthous lesions or ulcerations, and a nodular mucosa secondary to prominent lymphoid aggregates, restricted to the excluded bowel segment (Fig. 4.146).49 Corresponding histologic features include a mild to marked patchy or diffuse active chronic colitis with florid lymphoid aggregates, conspicuous germinal centers, and aphthoid lesions or ulcerations (Figs. 4.147–4.152). Diversion-associated colitis can occur as few as 3 months following ostomy formation, and its features can persist through the duration of the diversion (Figs. 4.153 and 4.154).50 Ostomy reversal is curative with resolution of symptoms seen as early as 2 months following reestablishment of continuity.51

Figure 4.145 Gunshot wound to the abdomen, radiograph. This radiograph is of a trauma patient who presented with a gunshot wound to the abdomen (an arrow highlights the main bullet fragment). His colon was perforated and required emergent resection. The patient was too unstable for immediate anastomosis and, consequently, the proximal colon was diverted through the anterior bowel wall to form a temporary colostomy site and the rectum was left as a blind pouch (Hartmann pouch). Any history of bowel resection is a red flag for consideration of diversion-associated colitis. See also Figure 4.116.

Figure 4.146 Diversion-associated colitis, resection specimen. Once the patient recovered 3 months later, he returned to the operating room to reestablish GIT continuity through colostomy reversal and anastomosis of the diverted colon to the rectum. The surgeons noted the rectal mucosa appeared nodular (arrows) and submitted a segment for histologic evaluation.

Figure 4.147 Chronic colitis pattern, diversion colitis. Corresponding whole mount sections of the rectum show florid lymphoid aggregates, conspicuous germinal centers, and aphthoid lesions (not seen at this power).

Figure 4.148 Chronic colitis pattern, diversion colitis. Higher power of previous case.
KEY FEATURES of Diversion-Associated Colitis:
• Diversion-associated colitis is an important IBD mimic.
• Cause: surgical detour of the fecal stream leads to a short chain fatty acid deficiency in the excluded bowel segment.
• Cure: reestablishment of bowel continuity.
• Red flags: prior bowel resection.
• Diversion-associated colitis is a clinicopathologic diagnosis requiring both correlation with the appropriate clinical history of diversion and the histologic impression of active chronic colitis with florid lymphoid aggregates and prominent germinal centers and aphthoid lesions/ulcerations.

Figure 4.149 Chronic colitis pattern, diversion colitis. This image shows marked active chronic colitis with cryptitis, crypt abscesses, increased chronic inflammation in the lamina propria, and architectural distortion. It would be crucial to avoid the diagnostic pitfall of IBD based on these nonspecific histologic findings. This example of active chronic colitis was due to diversion-associated colitis based on the detailed clinical history. The patient had an uneventful recovery following colostomy reversal. Subsequent rectal biopsies 1 year later were unremarkable.

Figure 4.150 Chronic colitis pattern, diversion colitis. This case of diversion-associated colitis features crypt rupture granulomata in a background of active chronic colitis. These findings supported the clinicopathologic diagnosis of diversion-associated colitis based on the history of diversion and the histologic findings of active chronic colitis.

Figure 4.151 Chronic colitis pattern, diversion colitis. This case of diversion-associated colitis shows less striking features. While there are no prominent lymphoid aggregates in this photomicrograph, the patient was 4 months status post diversion related to a large obstructing sigmoid tumor. This rectal biopsy shows the nonspecific pattern of moderate active chronic colitis: cryptitis, crypt abscess, a slightly villonodular surface, increased lamina propria chronic inflammation, and Paneth cell metaplasia (not shown).

Figure 4.152 Chronic colitis pattern, diversion colitis. Higher power shows cryptitis and crypt abscess with macrophage collections aggregating around the damaged crypts (arc). Diversion-associated colitis is due to a deficiency of short-chain fatty acids in the excluded bowel segment.

Figure 4.153 Chronic colitis pattern, diversion colitis. This resection specimen originated from a patient with a 20-year history of diversion. No residual colonic epithelium is present in this field. Note the transmural lymphoid aggregates and disorganized mesenchymal tissue.

Figure 4.154 Chronic colitis pattern, diversion colitis. Higher power of previous image.
FAQ: How does an absence of the fecal stream result in diversion-associated colitis?
Answer: Short-chain fatty acids are the primary energy resource of colonic enterocytes and originate from bacterial fermentation. Diversion deprives the excluded bowel segment from the fecal stream, bacteria, bacteria fermentation products, and important energy resources, resulting in this peculiar pattern of chronic colitis. In support of this theory, enemas rich in short-chain fatty acids (particularly butyrate and glutamine) can ameliorate or reverse diversion–associated colitis.52–57
SAMPLE NOTE***: HISTORY OF DIVERSION PROVIDED
Nodularity, Diverted Bowel Segment, Biopsy:
• Colonic mucosa with mild chronic active colitis, prominent lymphoid aggregates with conspicuous germinal centers, and aphthoid lesions/ulcerations.
Note: The aforementioned findings would support the clinicopathologic diagnosis of diversion-associated colitis.
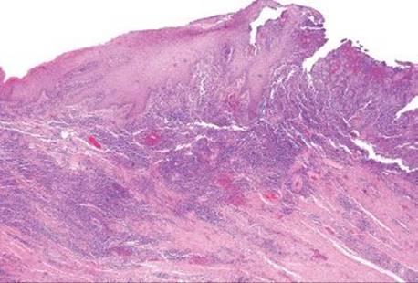
SYPHILITIC AND LYMPHOGRANULOMA VENEREUM PROCTOCOLITIS
Syphilitic and lymphogranuloma venereum (LGV) proctocolitis are both important emerging IBD mimics. A recent report details clinical red flags such as HIV-positive men who have sex with men (MSM) who usually present with rectal bleeding, anal pain, and tenesmus.58 Ulcerations are the most common endoscopic abnormality, but nodules, polyps, and mass lesions up to 4 cm have also been reported (Fig. 4.155). Overlapping histologic features with IBD included active chronic colitis, skip lesions, aphthoid lesions, granulomata, foreign body giant cells, fibrosis, Paneth cell metaplasia, and lymphoid aggregates. Based on the presentation of mass lesions and the striking histologic overlap with IBD, malignancy and IBD are common diagnostic pitfalls. Our experience shows features favoring infection include the presence of an intense infiltrate of submucosal plasma cells and a lack of the following features: architectural distortion, acute crypt centric damage, and eosinophilia (Figs. 4.156–4.168). Before diagnosing IBD, always consider the possibility of a curable infection, especially in the HIV setting. To underscore this crucial point, the previously referenced study showed all cases were clinically confirmed to have syphilitic and or LGV infections and all patients completely responded to antibiotics, even those with mass lesions and those scheduled for “IBD” segmental resections.58

Figure 4.155 Syphilitic proctocolitis, endoscopic image. This endoscopic image shows bleeding rectal ulcerations, the most common presentation of syphilitic and LGV proctocolitis. Other common endoscopic findings include nodules, polyps, and mass lesions. Red flags to this diagnosis include a history of HIV+ MSM behaviors, but such a history is rarely provided, underscoring the utility of the three-step pattern-based approach to chronic colitis.

Figure 4.156 Chronic colitis pattern, syphilitic proctocolitis. The active chronic colitis of syphilis (and or LGV) can be strikingly similar to that seen with IBD: overlapping histologic features include skip lesions, aphthoid lesions, granulomata, foreign body giant cells, fibrosis, Paneth cell metaplasia, and lymphoid aggregates. Note the intensity and vague nodularity of the deep mononuclear inflammation of this rectal biopsy. The architectural distortion and rare cryptitis is subtle.

Figure 4.157 Chronic colitis pattern, syphilitic proctocolitis. Higher power shows copious plasma cells in the deeper aspects of this biopsy. Eosinophils are not prominent. Intense plasma cells and a lack of eosinophilia are findings more suggestive of infection and less commonly seen in IBD. This patient was clinically diagnosed with syphilis and LGV studies were negative. The rectal bleeding and ulceration were cured by antibiotics. A CMV immunostain was negative.

Figure 4.158 Chronic colitis pattern, LGV proctocolitis. The active chronic colitis of LGV is indistinguishable from syphilis. This endoscopic mucosal resection of a rectal mass shows ulceration (left) with intense, deep mononuclear inflammation. The adjoining rectal mucosa is relatively well-preserved (right).

Figure 4.159 Chronic colitis pattern, LGV proctocolitis. Higher power shows copious plasma cells deep in the submucosa. This patient was clinically diagnosed with LGV based on positive nucleic acid amplification studies from a rectal swab, fever, and inguinal lymphadenopathy. The rectal pain and mass lesion were cured with antibiotics. Remember, the morphology of syphilitic and LGV proctocolitis is identical and patients can be co-infected. It is, therefore, imperative that clinicians consider the possibility of both infections when this morphology is seen in patients with a history of HIV+ MSM behaviors. A CMV immunostain was negative.

Figure 4.160 Chronic colitis pattern, syphilitic and LGV proctocolitis. This rectal biopsy was from a young man clinically thought to have rectal cancer based on his overall ill-appearance and the presence of a rectal mass. Biopsy of the rectal mass shows intense monocular inflammation and granulomata. No intact epithelium is seen. AFB and GMS special stains for microorganisms were negative. A CMV immunostain was negative.

Figure 4.161 Chronic colitis pattern, syphilitic and LGV proctocolitis. Higher power shows copious plasma cells deep in the submucosa. After suggesting the possibility of syphilis and or LGV, the patient was asked detailed questions about his sexual behavior. He revealed high-risk behaviors and subsequently tested positive for syphilis, LGV, and HIV. His clinical symptoms and mass lesions resolved with antibiotics and HAART therapy. Although the morphology and GIT findings can be cured by appropriate recognition of this IBD mimic, many of these patients have unrecognized HIV.

Figure 4.162 Chronic colitis pattern, syphilitic proctitis. Similar findings can be seen in syphilitic and or LGV involving anal mucosa. Note the intense mononuclear inflammation with a bandlike distribution at the interface between the squamous epithelium and lamina propria. This patient was clinically confirmed to have syphilis (LGV studies were negative) and the rectal mass was cured with antibiotics. A CMV immunostain was negative.
KEY FEATURES of Syphilitic or LGV Proctocolitis Pattern:
• Both are curable IBD mimics.
• Cause: Syphilitic and or LGV infections.
• Cure: Antibiotics.
• Red flags: HIV+ MSM.
• Syphilitic and LGV proctocolitis are a clinicopathologic diagnosis requiring both correlation with the appropriate clinical history and histologic findings.

Figure 4.163 Chronic colitis pattern, syphilitic proctitis. Higher power of the previous image shows copious plasma cells. This patient was ultimately determined to have HIV.

Figure 4.164 Chronic colitis pattern, syphilitic proctitis. This patient was scheduled for a proctectomy for presumed Crohn disease based on a history of bloody diarrhea and weight loss. The biopsy shows an intense bandlike pattern of chronic inflammation.

Figure 4.165 Chronic colitis pattern, syphilitic proctitis. An alternative field shows an ulcer on the left. The intense bandlike pattern of chronic inflammation is easy to appreciate at low power.

Figure 4.166 Chronic colitis pattern, syphilitic proctitis (Treponemal immunostain). The red chromogen distinguishes the treponemal organisms from the background melanocytes (arc). Unfortunately, this immunohistochemical stain is far too insensitive to be clinically useful. Correlation with pertinent clinical studies remains the most effective way to establish the diagnosis of syphilitic and or LGV proctocolitis.

Figure 4.167 Chronic colitis pattern, syphilitic proctitis. Under highest power, syphilitic and LGV proctocolitis show pools of plasma cells, particularly in the deeper aspects of the biopsy.

Figure 4.168 Chronic colitis pattern, IBD. In contrast to syphilitic and LGV proctocolitis, IBD more commonly shows a predominance of eosinophils, lymphocytes, and macrophages in the deeper aspects of the biopsy, as seen here.
FAQ: Are there any ancillary studies to confirm syphilitic and LGV infections?
Answer: With preapproval, the Centers for Disease Control and Prevention provides free syphilis and LGV immunostains and PCR-based testing on paraffin embedded tissues. (For more information, see the Specimen Submission Guidelines of the CDC’s Infectious Diseases Pathology Branch.) Silver stains and Treponemal immunostains are far too insensitive to confirm or exclude syphilitic infections, and there are no routine commercially available LGV studies available for the pathologist.58 Until sensitive diagnostic tools are routinely available to the pathologist, clinical serologies provide the best means to establish this diagnosis (detailed earlier). A CMV immunostain is recommended in all cases due to overlapping morphology.
FAQ: Would you consider syphilitic and LGV proctocolitis if the patient were presumed HIV negative? Or female?
Answer: Yes.
Presumed HIV negativity is sometimes equivalent to unrecognized HIV. Indeed, several of the study patients in the above referenced series were presumed HIV negative.58 After the diagnosis of syphilitic and LGV proctocolitis was suggested, a thorough sexual behavior history was elicited, high-risk sexual behaviors were revealed, and an HIV test was performed and determined to be positive. Recognition of this pattern of injury is critical to ensure proper clinical management, determine HIV status, resolve symptoms, and to prevent onward transmission of HIV, syphilis, and LGV. Although a suspicion for syphilitic and LGV proctocolitis is strengthened by a history of HIV positivity in man with anal receptive sexual contact, do not let a lack of stated history dissuade you.
SAMPLE NOTE***: SYPHILITIC OR LGV PROCTOCOLITIS (HIV+ MSM HISTORY PROVIDED)
Rectum, Biopsy:
• Rectal mucosa with marked active chronic proctitis with intense lymphohistiocytic infiltrate and copious submucosal plasma cells.
Note: The history of HIV and rectal ulceration is noted. The corresponding histologic sections show an intense lymphohistiocytic infiltrate and copious submucosa plasma cells. No significant architectural distortion, acute crypt centric damage, and eosinophilia are seen. These findings were recently reported in association with syphilitic and or LGV infections. Clinical serologies provide the best means to establish this diagnosis (syphilis: serum RPR, RPR titer, and a treponemal specific serology such as fluorescent treponemal antibody; Lymphogranuloma venereum: rectal swab collected in the absence of lubricant for Chlamydia trachomatis nucleic acid probe test or culture and LGV PCR). A CMV immunostain is nonreactive.
Reference:
Arnold CA, Limketkai BN, Illei PB, et al. Syphilitic and lymphogranuloma venereum (LGV) proctocolitis: Clues to a frequently missed diagnosis. Am J Surg Pathol. 2013;37(1):38–46.
CORD COLITIS SYNDROME
Cord Colitis Syndrome (CCS) is an emerging IBD mimic. Red flags include culture-negative, antibiotic-responsive watery diarrhea in patients with a history of umbilical cord transplantation. CCS is a diagnosis of exclusion, and should be considered after GVHD, viral or bacterial infection, and medication injury have been excluded. In the largest series, its incidence was 10.6% and the median time of diarrhea onset was 131 days from transplantation.59 Most patients were febrile, required hospitalization, and all responded to a 10 to 14 days of antibiotics, even those with recurrent diarrhea. Endoscopic and histologic features can be indistinguishable from IBD. Endoscopic images show edema, erythema, or ulcerations. Histologically, active chronic colitis is seen, which can be accompanied by granulomata, architectural distortion, and Paneth cell and pyloric metaplasia (Fig. 4.169). Apoptotic bodies are not prominent, a feature which helps distinguish CCS from GVHD. See also GVHD, Lymphocytic Pattern, Esophagus Chapter. More recently, Bradyrhizobium enterica was identified in biopsies from patients with CCS and organism levels declined with antibiotic therapy.60 CCS was not identified in 1,261 patients who underwent non–cord-blood transplantations, suggesting that the cord colitis syndrome represents a distinct clinicopathologic entity.59
KEY FEATURES of the Cord Colitis Syndrome:
• CCS represents another curable IBD mimic.
• Cause: Bradyrhizobium enterica.
• Cure: Antibiotics.
• Red flags: Umbilical cord transplantation.
• The cord colitis syndrome is a clinicopathologic diagnosis requiring both correlation with the appropriate clinical history (history of umbilical cord transplantation) and histologic findings (active chronic colitis).
PEARLS & PITFALLS
Although CCS findings are most commonly reported in the colon, beware additional potential sites of involvement include the stomach, duodenum, and liver.61

Figure 4.169 Chronic colitis pattern, cord colitis syndrome. This image shows active chronic colitis with a poorly formed granulomata (center, base). This histologic pattern is entirely etiologically nonspecific and can be indistinguishable from Crohn disease, or any other cause of active chronic colitis, emphasizing the importance of clinicopathologic correlation. Source: Photomicrograph courtesy of Dr. Andrew M. Bellizzi, University of Iowa Hospital & Clinics, Iowa City, Iowa.
SAMPLE NOTE***: HISTORY OF UMBILICAL CORD TRANSPLANTATION AND DIARRHEA
Colon (biopsy):
• Mild active chronic colitis with scattered granulomata and Paneth cell metaplasia.
Note: The history of umbilical cord transplantation, antibiotic responsive watery diarrhea, and negative infectious work-up is noted. The biopsy shows mild active chronic colitis with scattered granulomata and Paneth cell metaplasia. Such findings can be seen in the setting of CCS and these patients often respond to a 10 to 14 day course of metronidazole ± fluoroquinolone. Apoptotic bodies are not prominent. There are no histologic features of GVHD. A CMV immunostain and AFB/GMS special stains are negative.
References:
Gupta NK, Masia R. Cord colitis syndrome: A cause of granulomatous inflammation in the upper and lower gastrointestinal tract. Am J Surg Pathol. 2013;37(7):1109–1113.
Herrera AF, Soriano G, Bellizzi AM, et al. Cord colitis syndrome in cord-bloodstem-cell transplantation. N Engl J Med. 2011;365(9):815–824.
IPILIMUMAB COLITIS
Ipilimumab is one of an emerging field of chemotherapeutic agents whose mechanism is based on enhancing immune-mediated destruction of tumors.62 Specifically, ipilimumab targets the cytotoxic T-lymphocyte-associated antigen 4 (CTLA4) found on cytotoxic T-lymphocytes and regulatory T cells.63 CTLA4 normally functions to suppress T-cell activation. Consequently, ipilimumab binding of CTLA4 removes CTLA4’s suppressive effects and, instead, promotes cytoxic T-cell activation and cytotoxic T-cell mediated destruction of the neoplastic cells. As an unintended consequence of stimulating the immune system, up to 60% of patients report immune related adverse effects within 11 to 14 days from the first dose.62–64 The most common site of involvement is the GIT (stomach, small bowel, and colon), followed by the skin.65 The diarrhea is described as watery and culture-negative. Common endoscopic findings range from normal to marked ulcerations (Fig. 4.170). Histologic sections show active chronic injury with increased apoptotic bodies, granulomata, and eosinophilia (Figs. 4.171–4.176). Small bowel biopsies can also show villous blunting and prominent intraepithelial lymphocytosis, mimicking celiac disease. This IBD mimic is cured with drug cessation. Death and perforation attributed to immune-related adverse events are rare (1%) but are associated with delayed recognition, underscoring the importance of recognizing ipilimumab-associated injury.62,65 We have never encountered a case submitted with “ipilimumab” listed on the requisition. The most frequent red flag to this diagnosis is a history of melanoma.

Figure 4.170 Ipilimumab colitis, endoscopic image. The red flag to ipilimumab colitis is a history of melanoma. This novel drug works by stimulating the immune mediated destruction of the neoplasm, and GIT complaints are common. This endoscopic image shows a prominent rectal ulceration.

Figure 4.171 Chronic colitis pattern, ipilimumab colitis. Corresponding histologic sections show moderate active chronic colitis with cryptitis, crypt abscesses, increased chronic inflammation in the lamina propria, crypt dropout, crypt shortfall, and basal lymphoplasmacytosis. In the absence of a clinical history, ipilimumab colitis can be endoscopically and histologically indistinguishable from IBD, or any other cause of active chronic colitis.

Figure 4.172 Chronic colitis pattern, ipilimumab colitis. An alternative field shows similar features. Although this case was submitted in consultation to us as Crohn disease, this curable IBD mimic emphasizes that not all examples of active chronic colitis are due to IBD.

Figure 4.173 Chronic colitis pattern, ipilimumab colitis. Higher power of previous case. We noted “rule-out melanoma” on the requisition and confirmed ipilimumab therapy after examining the medication list.

Figure 4.174 Chronic colitis pattern, ipilimumab colitis. Ulcer debris, crypt abscesses, cryptitis, and increased chronic inflammation are shown.

Figure 4.175 Chronic colitis pattern, ipilimumab colitis. Higher power shows basal lymphoplasmacytosis and crypt shortfall (bracket): the basal layer of lymphocytes and plasma cells prevents the crypts from directly contacting the muscularis mucosae (asterisks).

Figure 4.176 Chronic colitis pattern, ipilimumab colitis. This case shows a mildly villonodular surface, increased lamina propria chronic inflammation, and scattered Paneth cell metaplasia. The patient’s symptoms and rectal pathology reversed with drug cessation.
KEY FEATURES of Ipilimumab-Associated Colitis:
• Ipilimumab colitis is an emerging IBD mimic.
• Cause: ipilimumab targets and inhibits CTLA4’s suppressive effects, resulting in enhanced cytotoxic T mediated destruction of the neoplasm.
• Cure: Drug cessation and or concomitant high-dose immunosuppressive therapy.
• Red flag: history of melanoma.
• Mortality is low but linked to delayed recognition.
• Ipilimumab-associated colitis is a clinicopathologic diagnosis requiring both correlation with the appropriate clinical history (ipilimumab administration) and histologic findings (active chronic colitis).
PEARLS & PITFALLS
Ipilimumab is undoubtedly a promising new chemotherapeutic agent for melanoma. It is also under active study for its potential role in treating other malignancies, such as prostate cancer, lung cancer, metastatic renal cancer, lymphoma, and pancreatic cancer. As a result, consider a chart review for ipilimumab therapy when a history of the above malignancies is encountered.
SAMPLE NOTE***: CLINICAL HISTORY OF A METASTATIC MELANOMA AND IPILIMUMAB THERAPY
Rectum, Biopsy:
• Marked active chronic proctitis.
Note: The history of metastatic melanoma and ipilimumab therapy is noted. Active chronic proctitis is a known side-effect of ipilimumab therapy. In such cases, symptomatology and histology normalize with ipilimumab cessation or high-dose immunosuppression. Correlation with microbiologic and infectious studies recommended. Negative for malignancy. A CMV immunostain is negative.
RESINS
Any chronic medication injury can result in histologically identical findings to those seen in IBD. Pay particular attention for medication resins, identification of which can provide etiologic specific clues to the background injury pattern. Medication resins can be easy to overlook in the histologically “busy” morphology of active chronic colitis but their recognition can save a patient’s life, as in the case of Kayexalate mediated injury (Fig. 4.177).

Figure 4.177 Chronic colitis pattern, Kayexalate. Kayexalate resin displays narrow, regular “fish-scales” and appears purple on H&E. Kayexalate is notorious for causing ulcerations and ischemia, features historically attributed to the hyperosmotic effects of its sorbitol diluent. GIT injury can be fatal and, therefore, it is important to alert the clinicians to this finding so that the medication list can be safely adjusted.