
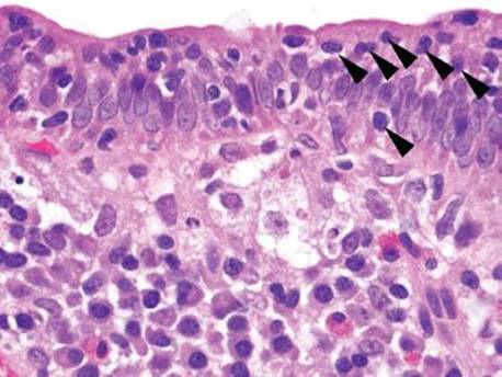
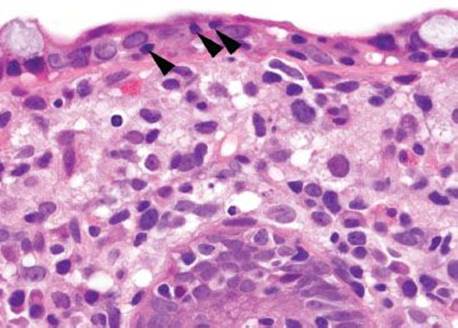
Figure 4.178 Lymphocytic pattern, lymphocytic colitis. Numerous intraepithelial lymphocytes (arrowheads) are identifiable at high magnification.
The lymphocytic colitis pattern is characterized as the presence of normal crypt architecture with increased surface intraepithelial lymphocytes (IELs), which is further defined as >15 to 20 IELs per 100 surface epithelial cells (normal range is <5 to 10 IELs/100 epithelial cells) (Fig. 4.178). As with all numerically defined inflammatory disorders of the GI tract, the threshold for disease is widely ranging (in this case, 10 to 60 IELs, with a median of 20 to 39).66–69 The main differential diagnosis includes microscopic colitis, an entity that encompasses both lymphocytic colitis and collagenous colitis. Injury from medications and viral infection are also considerations in the differential diagnosis.
CHECKLIST: Etiologic Considerations for the Lymphocytic Pattern
Lymphocytic Colitis
Collagenous Colitis
Medications
Viral Infection
LYMPHOCYTIC COLITIS
KEY FEATURES of Lymphocytic Colitis:
• This is a form of microscopic colitis having the following triad:
1. Chronic nonbloody diarrhea
2. Normal endoscopy findings
3. Colonic epithelial lymphocytosis without a thickened subepithelial collagen table.
• Increased IELs is generally defined as: >15 to 20 IELs per 100 surface epithelial cells.70
• This is a disease of middle-aged to elderly women (mean age 59 to 67 years), but can occur at any age70 and in men.
• Patients present with nonbloody watery diarrhea.
• Although numerous studies have described lymphocytic colitis causing a chronic diarrhea, more recent studies suggest that patients may have a single attack in 60% of cases.66
• Most cases are idiopathic, but infectious triggers have been implicated, including C. jejuni and E. coli.66,67
• Ten percent of patients have a positive family history of inflammatory intestinal disease, including ulcerative colitis, Crohn disease, collagenous colitis, and celiac disease.66,67
• Treatment includes removal of any known offending agents (see medications below) and medical therapy (loperamide, bismuth subsalicylate, mesalamine, budesonide).
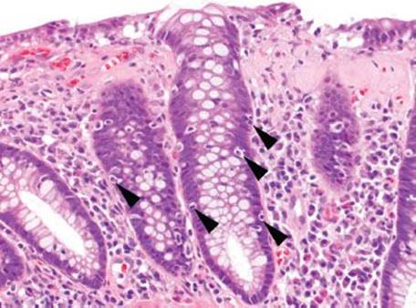
• In addition to IELs, there is increased lamina propria cellularity, mostly lymphocytes and plasma cells, and also eosinophils (Figs. 4.179–4.183)
• Changes are greater in the right colon than the left.

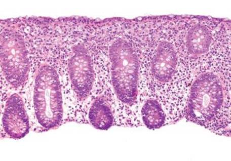
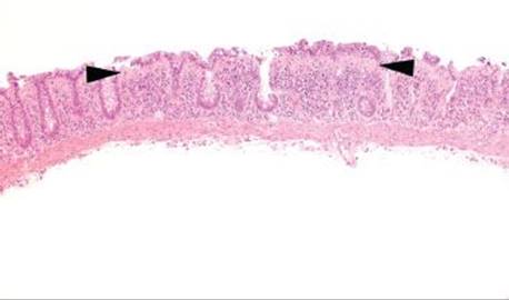
Figure 4.179 Lymphocytic pattern, lymphocytic colitis. At scanning magnification, the biopsy appears “busy.” There is increased mononuclear density of the lamina propria, but preserved crypt architecture.

Figure 4.180 Lymphocytic pattern, lymphocytic colitis. Higher magnification of the previous case shows increased cellularity of the intraepithelial lymphocytic component in addition to the lamina propria lymphocytosis.

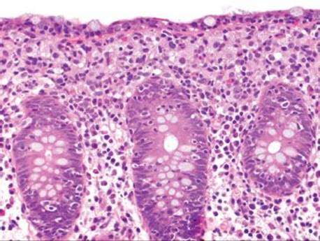
Figure 4.181 Lymphocytic pattern, lymphocytic colitis. The crypts remain evenly spaced and oriented perpendicular to the colonic surface. The lamina propria shows an increased density of mononuclear cells, while the crypt and surface epithelium contains increased intraepithelial lymphocytes.

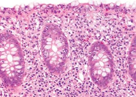
Figure 4.182 Lymphocytic pattern, lymphocytic colitis. Higher magnification of the previous case shows the presence of intraepithelial lymphocytes along the colonic surface epithelium. Also, note the attenuated appearance of the epithelial cells.

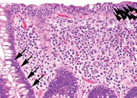
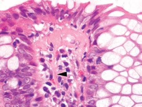
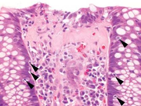
Figure 4.183 Lymphocytic pattern, lymphocytic colitis. Many observers specifically cite the presence of increased intraepithelial lymphocytes (IELs) along the surface epithelium. Although IELs are also present in the crypt epithelium (arrows), contrast the density of IELs that are present along the surface epithelium (arrowheads).
PEARLS & PITFALLS
When available, check the upper GI biopsies for IELs.
The presence of coexisting upper and lower GIT intraepithelial lymphocytosis (such as the finding of sprue-like changes in the small bowel AND lymphocytic colitis) could indicate a systemic process. Few data are available regarding this entity, although associations with autoimmune enteropathy and medication injury (i.e., olmesartan/Benicar) exist. This is best reported as “lymphocytic enterocolitis” and discussed in a note or directly with the clinician.71
FAQ: Do IELs overlying a lymphoid aggregate indicate lymphocytic colitis?
Answer: No.
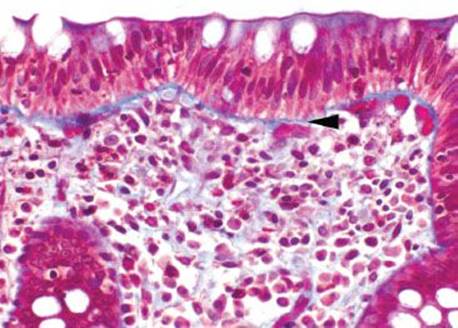
Recall: In the epithelium overlying lymphoid aggregates, IELs are frequent and they represent messengers of the immunologic cross-talk between the luminal antigens and the lymphoid follicles. Discount areas of increased IELs that directly overlie lymphoid aggregates (Figs. 4.184 and 4.185).

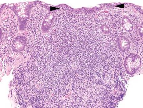
Figure 4.184 Lymphocytic pattern mimic, intraepithelial lymphocytes overlying a lymphoid aggregate. Under normal conditions, the epithelium overlying a lymphoid aggregate contains numerous IELs (arrowheads). This area should be discounted when evaluating for IELs.

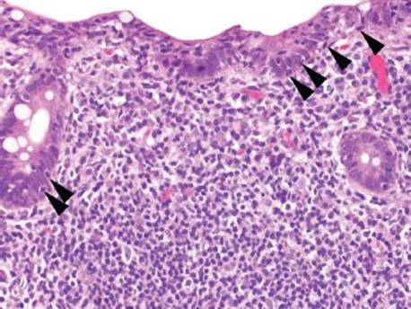
Figure 4.185 Lymphocytic pattern mimic, intraepithelial lymphocytes overlying a lymphoid aggregate. The epithelium overlying a lymphoid aggregate always shows IELs (arrowheads) as part of the normal immunologic crosstalk between the lymphoid organ and the luminal antigens.
COLLAGENOUS COLITIS
KEY FEATURES of Collagenous Colitis:
• This is a form of microscopic colitis having preserved crypt architecture, abnormal subepithelial collagen deposition, increased IELs, and a normal colonoscopic appearance.72,73
• This is a disease of middle-aged to elderly women (mean age 57 to 66 years), but can occur at any age. The female preponderance is striking compared to that for lymphocytic colitis.
• Patients present with nonbloody watery diarrhea, which may be nocturnal.
• Most cases are idiopathic, but infection has been implicated, including C. difficile and Yersinia.
• Proposed mechanisms of disease include abnormal immunologic response to environmental exposures and abnormal collagen metabolism.74
• Treatment includes removal of any known offending agents (see medications below) and medical therapy is generally effective (loperamide, bismuth subsalicylate, mesalamine, budesonide).75
• Histologic features include increased intraepithelial lymphocytosis with an abnormal subepithelial collagen table (Figs. 4.186–4.196). This is defined as thickening and irregularity of the basement membrane profile; from the lower border of the collagen table, strands of collagen extend into the lamina propria entrapping fibroblasts and small capillaries.76,77
FAQ: Do treatment protocols for lymphocytic and collagenous colitis differ?
Answer: No.
Lymphocytic and collagenous colitis respond to similar treatment protocols,78 and most centers treat both entities under a “microscopic colitis” umbrella protocol. Therefore, when struggling to determine whether a case is better classified as lymphocytic colitis versus collagenous colitis, rest reassured that the patient receives appropriate management regardless of this distinction. We handle equivocal cases by first reporting the presence of lymphocytic colitis, and then suggest that an early or evolving collagenous colitis cannot be entirely excluded based on the histologic findings.

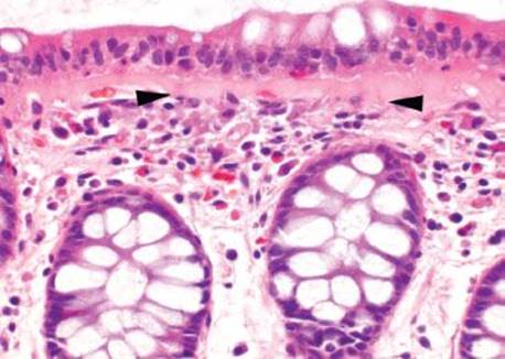
Figure 4.186 Lymphocytic pattern, collagenous colitis. Scanning magnification shows colonic mucosa with normal crypt architecture, but an abnormally thick basement membrane (arrow) and a subepithelial split (arrowhead).

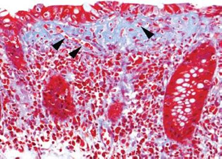
Figure 4.187 Lymphocytic pattern, collagenous colitis (trichrome stain). A trichrome stain highlights the abnormal collagen table in blue (arrowheads). Not only is the collagen table thickened, but it displays an irregular contour and contains entrapped small vessels (arrow).

Figure 4.188 Normal subepithelial collagen table (trichrome stain). By comparison, the collagen table (arrowhead) of the normal colon is thin. More importantly, however, the contour of the collagen table is smooth and not ragged.

Figure 4.189 Normal subepithelial collagen table. On routine H&E, the normal collagen table (arrowheads) may be prominent, but it retains a smooth, linear profile and does not contain entrapped cells or vessels.

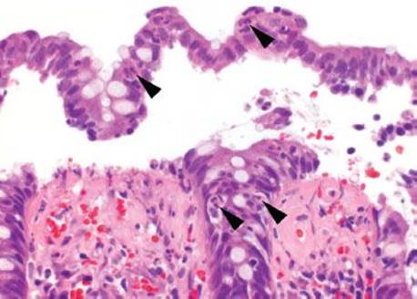
Figure 4.190 Lymphocytic pattern, collagenous colitis. Surface epithelium detaching from the irregular collagen table is a common feature of collagenous colitis. Although intraepithelial lymphocytes are standard, collagenous colitis may also show occasional neutrophils (arrowheads), a finding that does not necessarily signify infection.

Figure 4.191 Lymphocytic pattern, collagenous colitis (trichrome stain). A trichrome stain highlights the abnormally irregular subepithelial collagen table blue. Note the entrapped small vessels (arrowheads) and other nuclei.

Figure 4.192 Lymphocytic pattern, collagenous colitis. On routine H&E stain, this subepithelial collagen is extending downward into the lamina propria. This trickling down between the inflammatory cells (arrowhead) has been likened to “candle wax drippings” by some observers.

Figure 4.193 Lymphocytic pattern, collagenous colitis (trichrome stain). The thickened collagen table (arrowheads) is evident by trichrome stain, which also highlights the irregular lower border of the collagen layer. Note how the collagen entraps cells and also trickles downward between the inflammatory cells of the lamina propria.

Figure 4.194 Lymphocytic pattern, collagenous colitis. By definition, collagenous colitis contains numerous intraepithelial lymphocytes (arrowheads).

Figure 4.195 Lymphocytic pattern, collagenous colitis. At scanning magnification, this example shows a prominent subepithelial collagen table (arrowheads).

Figure 4.196 Lymphocytic pattern, collagenous colitis. Higher magnification of the previous case shows an irregular lower border of the collagen table (arrowheads), and collagen extending down into the lamina propria like “candle wax drippings” (arrow).

Figure 4.197 Lymphocytic pattern, collagenous colitis. Intraepithelial lymphocytes (arrowheads) are a normal component of collagenous colitis.
FAQ: Does collagenous colitis exist in the absence of IELs?
Answer: No.
The presence of an abnormal collagen table is sometimes found in isolation, and one might wonder if this represents collagenous colitis. As a technical definition, collagenous colitis is both “collagenous” and a “colitis,” meaning that an inflammatory component must be present (Fig. 4.197). Cases that show abnormal collagen in the absence of a colitis are best handled descriptively, as other differential diagnoses (healed erosion, solitary rectal ulcer syndrome, medication reaction, etc.) are possible.
MEDICATION
An expanding list of medications is implicated in lymphocytic pattern, as noted below. By far, NSAIDs are the most common culprit and may result in FAC in addition to increased IELs. Ischemic-like changes and lamina propria hyalinization may also be seen, particularly in areas containing erosions. While the pathologist may suggest the possibility of medication injury, this is confirmed only when the offending agent is discontinued and this action results in resolution of clinical symptoms.
Medications Implicated in the Lymphocytic Pattern
• NSAIDs
• Ticlopidine
• Flutamine
• Carbamazepine
• Cimetidine
• Ranitidine
• Iansoprazole
• Gold Salts
• Paroxetine
• Sertraline
• Olmesartan