
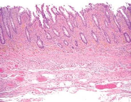
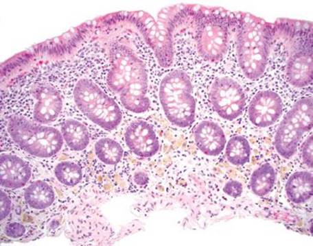
Figure 4.230 Melanosis coli. A variety of colorful entities can be seen in the colon. This is a striking example of melanosis coli, a finding linked to chronic laxative usage.
CHECKLIST: Etiologic Considerations for Pigments and Extras (Fig. 4.230)
Melanosis Coli
Tattoo Pigment
Air Artifact
Pneumatosis Cystoides Intestinalis
Muciphages
Resins
MELANOSIS COLI (ALSO REFERRED TO AS PSEUDOMELANOSIS COLI)
Melanosis coli refers to coarse, brown-black pigment in the cytoplasm of the colon’s resident macrophages. Despite the name, ultrastructural studies demonstrated the pigment is lipofuscin, not melanin (this particular factoid is a favorite among those who write test questions!).111 The pigment is derived from stimulant laxatives containing senna, aloe-emodin, chrysophanol, cascara, frangula, and rhein.112 The purgative effects of such preparations stem from their ability to increase colonic motility and decrease colonic absorption, resulting in decreased transit time and softer stools. The endoscopic images in patients with melanosis coli can be impressive (Fig. 4.231). Any region of the colon can be affected with no consistent regional pattern of involvement: some claim the distal colon is most affected, while others found the changes most pronounced proximally.113,114 Melanosis coli is seen in up to 73% of patients with chronic laxative usage and in up to 6% of biopsy and autopsy cases.115,116 Such findings have been documented within 4 months of regular laxative usage and the findings reverse 6 to 11 months following cessation (Figs. 4.232–4.238).117,118 Early literature suggested anthracoid laxatives were a risk factor for colonic neoplasia based on provocative animal and human studies showing an increased association of melanosis coli in patients with adenomas and carcinomas.119,120 Today, this theory has been abandoned.121,122

Figure 4.231 Melanosis coli, endoscopic image. This endoscopic image shows striking mucosal pigment deposition. This patient had a 10-year history of senna intake for chronic constipation.

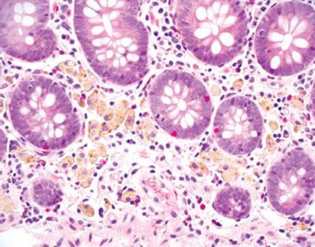
Figure 4.232 Melanosis coli. The characteristic brown-black pigment is within the cytoplasm of macrophages. The pigment is lipofuscin, not melanin.

Figure 4.233 Melanosis coli. Under oil immersion, note the bland cytologic features of the macrophages with perfectly round nuclei, delicate nucleoli, and abundant cytoplasm. The background shows scattered neutrophils secondary to an unrelated self-limited infection.

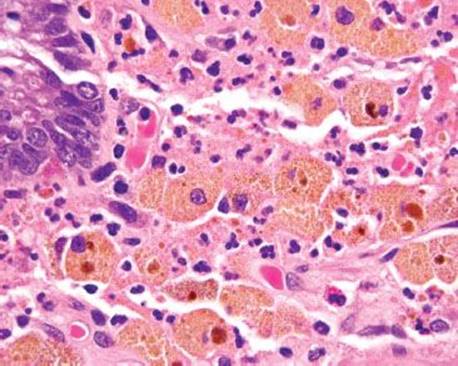
Figure 4.234 Melanosis coli. An alternate field shows coarse clumps of cytoplasmic pigment.

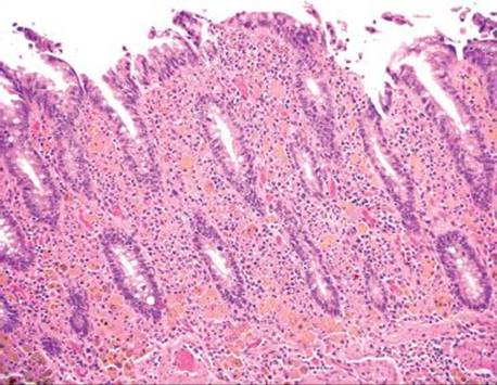
Figure 4.235 Melanosis coli. This example features a more typical (less subtle) case of melanosis coli.

Figure 4.236 Melanosis coli. Higher power of previous case.

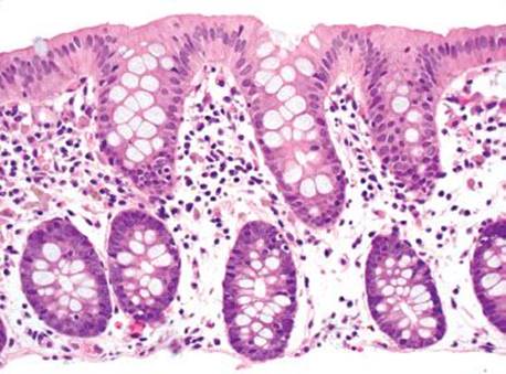
Figure 4.237 Melanosis coli. This is another subtle case that would be easy to miss on scanning magnification.

Figure 4.238 Melanosis coli. The lipofuscin is highlighted by a Fontana Masson special stain (this stain also highlights melanin pigment).
TATTOO PIGMENT
Since tattoo pigment is applied to localize clinically suspicious lesions, its identification should prompt careful scrutiny for sneaky neoplasms (Figs. 4.239–4.243). See also, Tattoo Pigment, Pigments and Extras, Small Bowel Chapter.
AIR ARTIFACT
Endoscopy relies on air insufflation to expand the bowel for proper visualization. Through this process, increased intraluminal pressure can force air into the bowel wall. Cases without a concomitant foreign body tissue response are classified as air artifacts. Air artifacts are so extraordinarily common that our eyes often glide right over this finding. When the foci are small and the tissue is of nonpolypoid or flat mucosa, it is easy to dismiss these peculiar foci as air artifacts. Difficulties arise in the case of subtle polyps for which the diagnostic dilemma is air artifact versus lipoma. Deeper sections and endoscopic correlation can often clarify the issue. Lipomas display a characteristic “pillow” sign when compressed (Figs. 4.244 and 4.245). Histologic clues can be a bit subjective and frustrating. In contrast to a lipoma, air artifact gently pushes apart the neighboring cellular constituents so that inflammatory and stromal cells as well as vascular and neural structures are seen coursing between the empty spaces. Additional helpful clues include a lack of nuclei within the empty spaces (in contrast to an adipocyte with a bona fide nucleus) and that the sizes and shapes of the empty spaces can be unnaturally large and bizarre (Figs. 4.246–4.252). In contrast, lipomas have minimal intervening cellular components, clearly discernible nuclei, and the cytoplasm is more predictably uniform in size and shape (Figs. 4.253 and 4.254). Note, well-differentiated liposarcomas violate these general tips, but they would present as large mass lesions for which air artifact would not enter in the differential diagnosis. In challenging cases, well-differentiated liposarcomas display MDM2 and CDK4 immunoreactivity (Fig. 4.255). Some cases of entrapped air form cyst-like spaces and illicit a tissue response. These findings are classified as pneumatosis cystoides intestinalis, see next subsection.

Figure 4.239 Tattoo. Preoperative application of tattoo pigment helps to endoscopically monitor suspicious lesions, locate the lesion at time of surgery, and is associated with improved local lymph node dissections. Tattoo pigment, unlike melanosis coli, is dramatic since its sole purpose is for gross visibility with the naked eye.

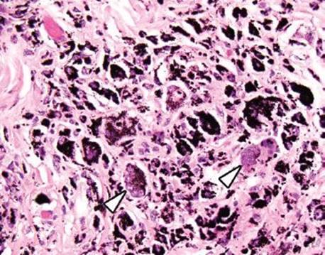
Figure 4.240 Tattoo. India ink remains the most widely employed tattoo agent. Note the black, coarse cytoplasmic globules within the macrophages. This exuberant case has elicited a foreign body giant cell reaction (arrowheads).

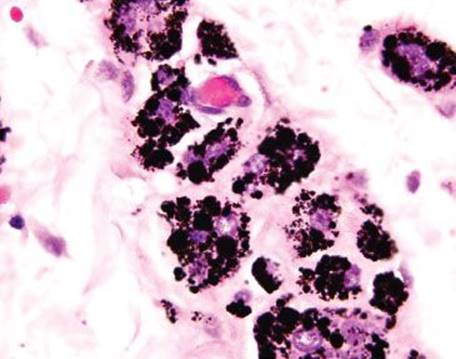
Figure 4.241 Tattoo. Under oil immersion, the coarse, globular nature of the black tattoo pigment is apparent. Note the bland nuclear features of the host macrophages that display perfectly round nuclei and delicate nucleoli.

Figure 4.242 Tattoo. This case features tattoo pigment free-floating in the submucosa. The segmental resection occurred a few hours after the tattoo was applied (before a tissue response could be mounted).

Figure 4.243 Tattoo. This case is a more typical (subtle) example. Tattoo application was applied 2 weeks before this segmental resection. Unlike the skin counterpart, tattooing of the colon is not performed for cosmetic or artistic expression. Colon tattoos are to localize clinically suspicious lesions, and identification of the pigment should always prompt a thorough evaluation for sneaky malignancies.

Figure 4.244 Lipoma, endoscopic image. This endoscopic appearance of a lipoma is fairly unrevealing.

Figure 4.245 Lipoma, endoscopic image. However, upon compression, the “pillow sign” is seen. In this analogy, the instrument is a head and the polyp is its pillow. Note, how the “head” indents or displaces portions of the “pillow.” This endoscopic finding is highly suggestive of a lipoma.

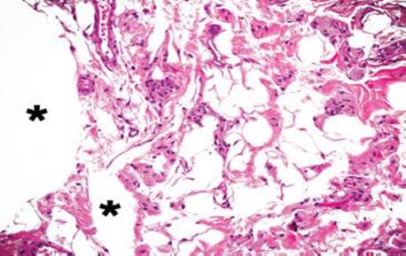
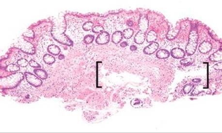
Figure 4.246 Air artifact. This resection case originated from a patient with bowel perforation. Note the large, billowing, cloudlike air pockets coursing through the submucosa. Although subtle cases of air artifact often raise the possibility of a lipoma, these particular air pockets are far too large, bizarre, and convoluted to be anything other than entrapped air.

Figure 4.247 Air artifact. Higher power shows the air pockets are pushing apart the normal cellular constituents (note the lymphoid aggregate in the upper left, vessels in the middle, and ganglion cells in the upper right). In addition, the air pockets have no endothelial lining (to suggest a lymphovascular space) or nuclei (to suggest an adipocyte), both helpful clues to the diagnosis of air artifact. Also, note there is no tissue response (there are no foreign body giant cells reacting to the displaced gas). This emergent bowel resection occurred almost immediately after the perforation, before the tissue had sufficient time to react to the infiltrating gas.

Figure 4.248 Air artifact. An alternative field shows large, bizarre air pockets (asterisks), which dissect the resident tissue. Lipomas do not tend to percolate around native structures such as ganglion cell clusters, nerves, fibrous tissue, and blood vessels, as seen in this example of an air artifact. Also, there is no epithelial lining and no nuclei to suggest a lymphovascular space or adipocytic lesion, respectively.

Figure 4.249 Air artifact. Air artifacts often inspire the most consideration around lymphoid aggregates in tissue submitted as a polyp: could the polyp represent a lymphoid aggregate with nearby air artifact or is the polyp a small lipoma?

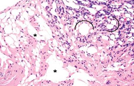
Figure 4.250 Air artifact. On higher power, large, irregular air pockets seem to dissect the tissue (asterisks). Air artifacts are most problematic around lymphoid aggregates, where the air spaces can compress neighboring lymphoid cells and appear as if the air spaces have nuclei (arcs). In these scenarios, look carefully for definitive air pockets (asterisks). If definitive air pockets and adjoining lymphoid aggregates are seen, the indicated focus is most likely an air artifact. Deeper sections can be reassuring in ambiguous cases.

Figure 4.251 Air artifact. The assigned resident interpreted this polyp as a lipoma (brackets).

Figure 4.252 Air artifact. Higher magnification shows that the empty spaces lack the diagnostic features of a lipoma: there are no nuclei lining these spaces. Instead, this focus represents air artifact. Note the irregular, gaping nature of the empty space. Deeper sections revealed a tubular adenoma, accounting for the clinical impression of the polyp.

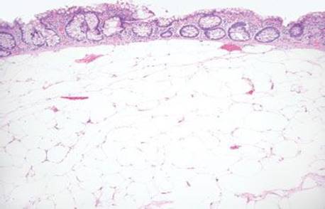
Figure 4.253 Lipoma. In contrast to air artifacts, lipomas show cohesion of the lesional cells. There are few intervening stromal cells or inflammatory cells present, helpful distinguishing features of a lipoma.

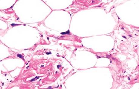
Figure 4.254 Lipoma. High power shows that each lipocyte has its own small, peripheral nucleus. Also the (benign) neoplastic cells have a uniform architecture with few intervening nonlipocytic elements. These key features of a lipoma contrast with findings in air artifacts.

Figure 4.255 Well-differentiated liposarcoma involving the colonic serosa. In contrast to a benign lipoma, this adipocytic lesion shows high-grade nuclear features. Note the hyperchromatic, pleomorphic nuclei of the adipocytes. This patient had a 50 cm retroperitoneal well-differentiated liposarcoma that focally involved the colon. MDM2 and CDK4 were diffusely positive in the lesional cells.
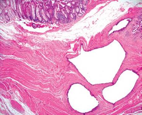
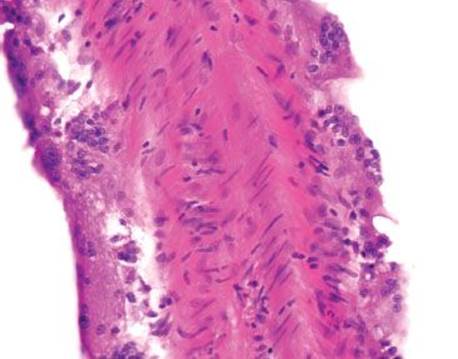
PNEUMATOSIS CYSTOIDES INTESTINALIS
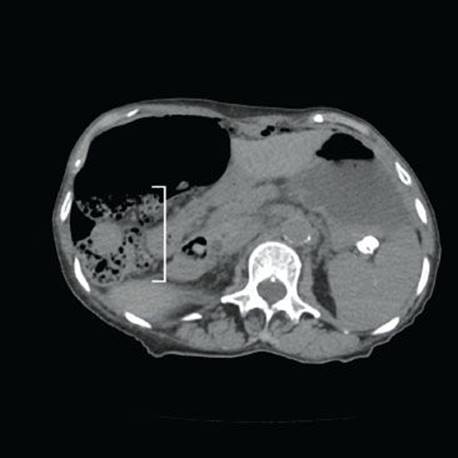
Pneumatosis cystoides intestinalis (PCI) refers to cyst-like structures impregnated with gas and lined by macrophages and foreign body giant cells. These structures are within the bowel wall and can be visualized endoscopically and radiographically (Figs. 4.256–4.262). Up to 85% of PCI cases are secondary to an iatrogenic procedure, mechanical, bacterial, metabolic, or pulmonary dysfunction.123 An association with collagen tissue disorders, AIDS, and glucorticoids has also been reported. While numerous theories of origin exist, the prevailing view is that increased intraluminal pressures force gas through damaged mucosa, and a subsequent tissue response manifests as a foreign body giant cell reaction. PCI can be seen anywhere along the tubular GIT, but most cases involve the bowel (colon = 78%, small bowel = 57%).123 Patients are usually asymptomatic. When pneumatosis is identified, it is important to assure that there is not other pathology in the resection that may have initiated the rather eye-catching pneumatosis&emdash;a classic example is scleroderma (which results in sclerosis of the muscularis propria and obstruction). CMV infection is also detected in some cases. Complications include obstruction, volvulus, intussception, ischemia, and perforation. Treatment is aimed at correcting the underlying disease or conservative medical therapy, where possible. See also, Pearls & Pitfalls, Granulomatous Pattern, this chapter.

Figure 4.256 Pneumatosis cystoides intestinalis (PCI). This patient had a longstanding history of chronic obstructive pulmonary disease (COPD) and presented with abdominal pain. The imaging study shows numerous air pockets within the bowel wall. The bowel wall has a spongelike or swiss-cheese-like foamy appearance on imaging (bracket). COPD causes PCI secondary to increased intraabdominal pressure, which forces gas into the bowel wall.

Figure 4.257 PCI, endoscopic image. Corresponding endoscopic images of the bowel wall show numerous convoluted mucosal folds that appear almost cerebriform.

Figure 4.258 PCI, endoscopic image. An alternate view of the same case shows similar features. The bowel wall is distended with large air pockets.

Figure 4.259 PCI. Histologic sections show multiple cyst-like spaces in the muscularis propria.

Figure 4.260 PCI. Alternate image, same patient.

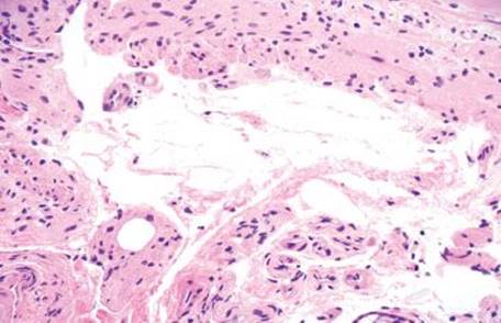
Figure 4.261 PCI. Higher power shows that the cyst-like spaces are lined by histiocytes and foreign body giant cells.

Figure 4.262 PCI. Highest power shows the bland features of the foreign body giant cells lining the empty spaces.
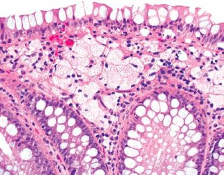
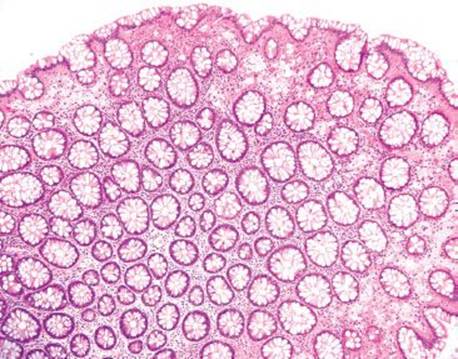
MUCIPHAGES
Azzopardi described muciphages as mucoprotein-containing macrophages in the rectum in 1966.124 The incidence was as high as 50% of rectal biopsies and no correlation with sex, age, or underlying disease was found. Academic interest in muciphages was likely borne out of the 1960s burgeoning understanding of Whipple disease, and a concern that muciphages represented Whipple disease involving the rectum. Today we know muciphages are extraordinarily common with essentially no relation to Whipple disease. A more recent study describes the muciphages as superficially located in the lamina propria and found that up to 19% present as nodules or polyps.2 These experts found a backdrop of increased chronic inflammation and mild fibrosis and suggest muciphages represent nonspecific, resolving injury. Their mucin presumably originates from “clean up” of epithelial damage or turnover (Figs. 4.263–4.269). Detailed studies show the mucin contains neutral, weakly acidic, or strongly acidic mucin with predominantly sialomucin but also a smaller component of sulfated mucin.2 The clinical importance of muciphages is simply to be aware of their benign and nonspecific nature. AFB and GMS special stains are not required upon identification because muciphages are not granulomata and have no association with infections.

Figure 4.263 Muciphages. Muciphages are benign oddities, most commonly seen in the rectum. They can be spotted at low power, as in this case.

Figure 4.264 Muciphages are mucoprotein-containing macrophages that accumulate secondary to prior rectal injury.

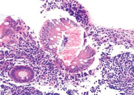
Figure 4.265 Muciphages. Under oil magnification, the bland nuclear features are seen. Dislodged muciphages can occasionally raise concerns for signet ring cell carcinoma. Helpful clues to the diagnosis of benign muciphages include the bland cytology and lack of background dysplasia and desmoplasia. In difficult cases, CD68 will confirm their histiocytic origin. Muciphages are cytokeratin nonreactive.

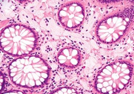
Figure 4.266 Muciphages. This low-power image shows the characteristic distribution of muciphages as they decorate the superficial lamina propria.
PEARLS & PITFALLS
To those unfamiliar with muciphages, they can appear alarming at first. An interesting consultation case featured a prostate biopsy accompanied by bystander rectal tissue with prominent muciphages. The muciphages had become dislodged and “squished” and raised concerns for signet ring cell carcinoma. Helpful diagnostic clues include that the muciphages display bland cytologic features, immunolabel with the histiocytic marker CD68, and are cytokeratin nonreactive.

Figure 4.267 Muciphages. Higher power of previous image. Muciphages are histologically identical to foamy macrophages of any other site.

Figure 4.268 Muciphages.

Figure 4.269 Muciphages. Higher power of previous case shows the muciphages streaming through the superficial lamina propria.
MEDICATION RESINS
Medication crystals can be seen anywhere along the tubular GIT, but are particularly common in the colon (Fig. 4.270). See also Resins, Pigments, Esophagus Chapter.

Figure 4.270 Medication resin, sevelamer. Sevelamer resins show broad, irregular “fish-scales” with curvilinear points of intersection and a two-tone coloration on H&E, as in this example.