ENDOMETRIOSIS

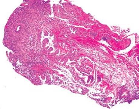
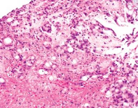
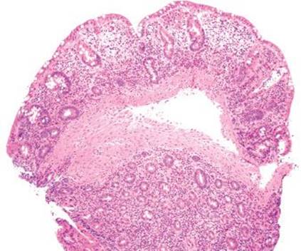
Figure 4.271 Endometriosis. This consultation case originated from a 25-year-old woman with a bleeding rectal mass. It was clinically ominous appearing, leading the surgeon to inform the patient that the lesion was most likely malignant. Based on the patient’s young age, the family asked for the case to be externally reviewed.

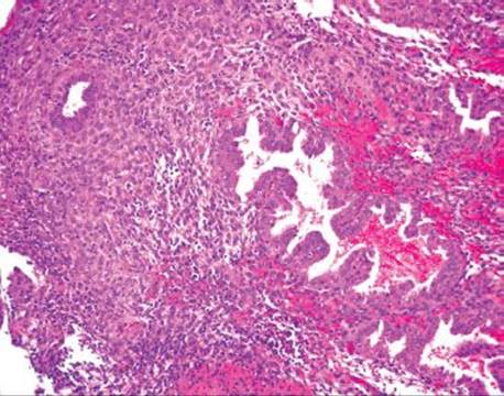
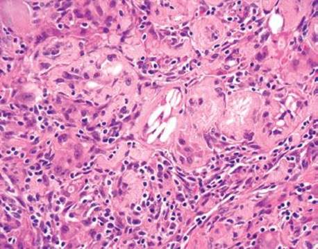
Figure 4.272 Endometriosis. Higher power shows convoluted glands surrounded by a cuff of stroma cells and intermixed lymphoid cells.

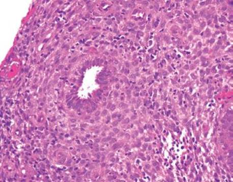
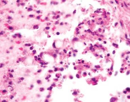
Figure 4.273 Endometriosis. Higher power of previous image. Cilia are not definitively identified in this suboptimal specimen. Biopsies of the lesion had raised concerns for an infiltrating adenocarcinoma because the glandular elements were not recognized as endometrial, the overlying reactive changes were interpreted as dysplasia, and numerous mitotic figures were seen.
Endometriosis is the presence of at least two of the three following features outside of the uterus: endometrial glands, stroma, and hemorrhage (Figs. 4.271–4.273). Up to 37% of women with endometriosis have intestinal involvement, and any layer of the bowel can be involved. The clinicopathologic presentation is diverse and presentations can overlap with appendicitis, IBD, diverticular disease, infectious colitis, a surgical acute abdomen, malignancy.125–128 Endometriosis involving the rectum commonly presents as bloody diarrhea. Associated pathologic findings can include strictures, ulceration, fissures, ischemia, and intussusception.125 The lesions can appear as polyps or bleeding mass lesions, raising clinical concerns for malignancy. The overlying colonic epithelium can be markedly reactive and mimic dysplasia, leading to the misdiagnosis of colonic adenocarcinoma. Occasionally, only the stromal component is seen and a diagnosis of sarcoma is entertained. In these cases, usually the endometrial glands can be identified on deeper sections. Confirmatory immunohistochemical stains include ER and PR to highlight the glandular components and CD10 to highlight the endometrial stroma.

Figure 4.274 Endometriosis (ER immunostain). An ER immunostain shows diffuse nuclear reactivity in the indicated cells and a CD10 highlighted the stromal component (not shown), supporting the revised diagnosis of endometriosis. We have seen similar cases raise concerns for spindle cell sarcomas when the glandular elements were not present. Deeper sections and ancillary ER, PR, and CD10 are helpful diagnostic tools in challenging cases. Always consider endometriosis in a reproductive aged woman with a rectal mass.
PEARLS & PITFALLS
Always consider endometriosis (a benign etiology) before malignancy in a reproductive aged woman with a rectal mass (Fig. 4.274).
BENIGN SIGNET RING CELL CHANGE

Figure 4.275 Signet ring cell change. This consultation case was received with a concern for infiltrating signet ring cell carcinoma in a background of C. difficile pseudomembranous colitis. This focus shows ulcer debris surrounding islands of detached colonic epithelium.

Figure 4.276 Signet ring cell change. Higher power shows the detached colonic epithelium display a signet ringlike morphology with a crescentic, peripheral nucleus compressed by abundant cytoplasmic mucin. Great caution must be exercised when evaluating ulcer debris because degenerating and dislodged normal epithelium can appear markedly atypical.

Figure 4.277 Signet ring cell change. Under oil immersion the degenerating and dislodged goblet cells show signet ringlike morphology. These changes were interpreted as benign and reactive because the atypia was in proportion to the background ulcerative and inflammatory changes, and the adjoining intact mucosa was negative for dysplasia and malignancy.

Figure 4.278 Signet ring cell change. Note the poor preservation of the material and the background degenerative changes in the neutrophils. Based on the background, the central signet ringlike cell was interpreted as a benign, degenerating and dislodged goblet cell. While no additional special stains or immunohistochemical stains were performed in this case, in difficult cases additional studies can be of use. Benign signet ring cell change displays intact E-cadherin, a low Ki-67 proliferation index, and p53 is nonreactive. If the clinical concern for malignancy remains, repeat biopsy with generous sampling of the interface of the ulcer and adjacent intact mucosa may be worthwhile.
Signet ring cell change is a benign finding that can mimic signet ring cell carcinoma (Fig. 4.275–4.278). The indicated cells have a crescentic, peripheral nucleus and contain abundant cytoplasmic mucin. This peculiar pattern has been reported in the stomach, colon, gallbladder, a Peutz–Jeghers polyp, and is particularly common in the setting of pseudomembranous colitis pattern.129–133 Although signet ring cell change can be seen anywhere along the GIT, the background mucosal is often markedly injured, suggesting this change is reparative in nature or due to mechanical or ischemic insult. Cytologic diagnostic clues include a lack of nuclear hyperchromasia, atypia, and prominent nucleoli. Architecturally, benign signet ring cell change lacks an infiltrative growth pattern and desmoplasia. In challenging cases, a reticulin or laminin special stain can be useful by demonstrating the signet ring-like cells are completely confined within the basement membranes. The indicated cells display intact E-cadherin, a low Ki-67 proliferation index, and are p53 nonreactive.133 Of note, the mitotic activity can be elevated in signet ring cell change, particularly if the background mucosa shows an increased mitotic rate. Atypical mitoses are not seen.
PULSE GRANULOMATA

Figure 4.279 Pulse granuloma. This specimen was designated mesenteric mass and was clinically concerning for malignancy. Note the nodular architecture. Eosinophilic ribbons and foreign material are easily seen at this power. Although the case was submitted in consultation as sclerosing mesenteritis, the eosinophilic ribbons are characteristic of pulse granulomata. Pulse granuloma are benign lesions that result from entrapped “pulse” or food forced into privileged sites (i.e., bowel wall or mesentery) via significant trauma or mucosal injury.

Figure 4.280 Pulse granuloma. Higher power of the previous image shows the characteristic features of pulse granulomata: eosinophilic ribbons of hyaline material intermixed with abundant histiocytes, foreign body giant cells, and interspersed foreign material. Although the eosinophilic material looks like amyloid, Congo red special stains for amyloid are always negative. This patient had a history of perforated diverticular disease, which likely introduced food and fecal material into the abdominal cavity, providing a nidus for the pulse granulomata.
Pulse granulomata are curious, benign lesions best characterized in the oral pathology literature in association with dental caries and dentures (Figs. 4.279 and 4.280).134 These are also common findings in the tubular GIT, particularly in the background of bowel injury such as diverticular disease, IBD, neoplasia, perforation, fistula, or prior surgery.135–138 The prevailing theory of origin is entrapped, impacted “pulse” or food introduced through mucosal trauma (Figs. 4.281 and 4.282). An alternative theory suggests the eosinophilic ribbons (or “hyaline rings”) represent vascular damage.139 The nodules can range up to 10 cm, raising clinical concerns for malignancy; thorough sampling of the tissue and familiarity with the morphology can be reassuring. The histologic features include nodular collections of eosinophilic ribbons of hyaline material intermixed with abundant histiocytes, circumferential stellate fibrosis in larger lesions, foreign material, and variable amounts of granulation tissue with microabscesses (Figs. 4.283–4.285). Most cases are nodular and multifocal. The hyaline ribbons often raise concerns for amyloid, but the material is presumed food degradation material and is consistently Congo red negative. The most common mimic is sclerosing mesenteritis, particularly in mass lesions involving the mesentery. Helpful clues to the diagnosis of pulse granulomata, however, include a history of bowel injury and the core histologic features of eosinophilic ribbons of hyaline material intermixed with abundant histiocytes, circumferential stellate fibrosis in larger lesions, foreign material, and variable amounts of granulation tissue with microabscesses. Photomicrographs courtesy of Dr. Nicholas Nowacki, The Ohio State University Wexner Medical Center.

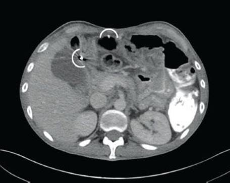
Figure 4.281 Pulse granuloma, abdominal computed tomography. This patient had a long-history of swallowing foreign bodies and self-inflicted stab wounds through the abdomen. The patient presented with abdominal pain; the abdominal study shows metallic objects (arcs).

Figure 4.282 Pulse granuloma, endoscopic image. This endoscopic image shows numerous swallowed metal hooks and pens in the stomach.

Figure 4.283 Pulse granuloma. As a result of numerous self-inflicted abdomen wounds, this patient eventually developed an enterocutaneous fistula. A representative section shows classic features of pulse granulomata. At low power, a nodular architecture and circumferential stellate fibrosis are seen.

Figure 4.284 Pulse granuloma. Higher power shows the characteristic features of pulse granulomata with eosinophilic ribbons of hyaline material intermixed with abundant histiocytes, foreign body giant cells, and interspersed foreign material (arcs). Pulse granulomata are benign lesions that result from entrapped “pulse” or food introduced through mucosal trauma. They can sometimes present as mass lesions and, therefore, they can be clinically concerning for malignancy.

Figure 4.285 Pulse granuloma. Higher power of previous case. Pulse granulomata are most commonly seen involving the external surface of the bowel wall in patients with a history of bowel related trauma.
APOPTOTIC COLOPATHY

Figure 4.286 Apoptotic colopathy, mycophenolate mofetil (MMF). This rectal biopsy originates from a patient with a history of renal transplant who presented with watery diarrhea. Low power shows increased lamina propria chronic inflammation, including increased eosinophils.

Figure 4.287 Apoptotic colopathy, MMF. Higher power shows increased lamina propria eosinophils and a crypt abscess with focally attenuated epithelium and increased eosinophils.

Figure 4.288 Apoptotic colopathy, MMF. Apoptotic bodies appear as fragmented, irregular cellular “bits” or debris. The onset of diarrhea coincided with a recent increase in MMF dose, all pertinent stool cultures were negative, a CMV immunostain was nonreactive, and no other medication changes were noted. All symptoms and histologic abnormalities resolved with MMF cessation. The diarrhea was attributed to MMF.
Apoptotic bodies are easy to overlook because they often require high power and a bit of time to identify (Figs. 4.286–4.288). To the trainee, apoptotic bodies can be easily confused with IELs. Apoptotic bodies, however, appear as variably sized bits of cellular debris or degenerating dust, while lymphocytes show a uniform size and are more clearly recognized as intact cells. As a general rule, finding greater than one to two apoptotic bodies per tissue fragment qualifies as abnormally increased. Increased apoptotic bodies can be helpful clues to the underlying diagnosis with differential considerations including the following:
• Infection (i.e., CMV)
• Medication (i.e., Mycophenolate Mofetil [MMF]/CellCept)
• Graft versus Host Disease (GVHD)
• Autoimmune diseases/immunodeficiencies (i.e., CVID)
The featured case is an example of mycophenolate mofetil (MMF/CellCept)-associated colitis in a patient with a history of renal transplantation. MMF is an immunosuppressive medication whose mechanism of action is inhibition of an enzyme in the de novo pathway of purine synthesis. Since lymphocytes are exquisitely dependent on this pathway, they are inhibited. However, GIT epithelium is also dependent on the de novo pathway (albeit to a lesser extent than lymphocytes) and thus this medication damages GIT epithelium.140 Mycophenolate is used most commonly to prevent acute cellular rejection of transplanted solid organs but is also used in the treatment of autoimmune and inflammatory diseases, such as psoriasis, lupus nephritis, myasthenia gravis, among others. Common symptoms include watery diarrhea, nausea, vomiting, and abdominal pain. Its administration is associated with increased apoptotic bodies throughout the GIT and drug cessation reverses the pathology and symptoms. Clinicians are sufficiently familiar with the association of MMF and GIT side-effects that they often empirically lower or stop MMF without an endoscopic biopsy.
Importantly, MMF is also used in the setting of stem cell transplant to treat GVHD. Based on considerable clinicopathologic overlap, distinguishing MMF injury from GVHD can be challenging. Appropriate diagnosis is critical since MMF is treated with drug cessation and GVHD is treated with immunosuppression. Recent case control studies report that features favoring MMF include a triad of eosinophils >15 per 10 HPF, an absence of endocrine cell aggregates, and an absence of apoptotic microabscesses (degenerating crypts with luminal necrotic and apoptotic debris).141 Features favoring GVHD including apoptotic microabscesses, endocrine cell aggregates, hypereosinophilic degenerating crypts, architectural distortion, and a lack of eosinophilia. Others have reported similar findings.142,143 Clinical correlation is essential with particular attention to history and date of transplantation: GVHD is not a diagnostic consideration in the absence of a transplant history, for example. Type of transplantation is also important to discern: GVHD is infinitely more common with stem cell transplant than solid organ transplant. Correlation with the physical examination and laboratory studies is usually of use. Patients with apoptotic colopathy and concomitant cutaneous and or liver GVHD would be at considerable risk for GIT-GVHD and would benefit from increased immunosuppression. Lastly, reconciliation with the medication list is necessary since MMF is not a consideration if the patient lacks a history of MMF. In summary, red flags for the pathologist to consider MMF colitis include a history of transplant or autoimmune diseases, culture negative watery diarrhea, and increased apoptotic bodies. CMV immunostains are recommended in all cases of apoptotic prominence. See also, GVHD, Lymphocytic Pattern, Esophagus Chapter.
SPIROCHETOSIS

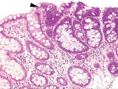
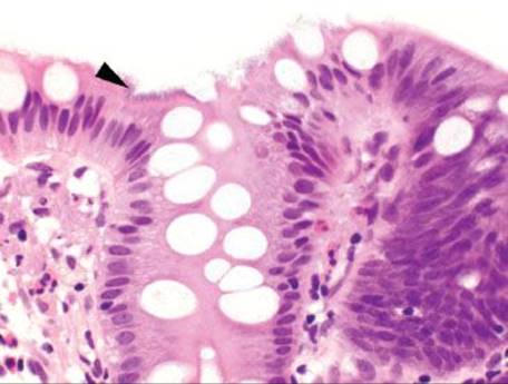
Figure 4.289 Intestinal spirochetosis in a tubular adenoma. An abrupt transition (arrowhead) to nuclear crowding and stratification identified this colonic polyp as a tubular adenoma. At low magnification, it would be easy to move on to the next case and miss the second diagnosis in this biopsy.
KEY FEATURES of Intestinal Spirochetosis:
• Intestinal spirochetosis is caused by an infection by spirochetes Brachyspira aalborgi and B. pilosicoli
• The bacteria attach to the apical cell membrane of colonic epithelial cells.144
• The prevalence in Western nations is 2% to 16%, and there is a common association with homosexual men and HIV/AIDS, although the clinical significance remains strongly debated.
• The infection is also found in otherwise healthy children, and other associations include diverticular disease, chronic idiopathic inflammatory bowel disease, hyperplastic polyps, and adenomas (Figs. 4.290 and4.291).145
• Fecal-oral route is the proposed mechanism of transmission.146
• Most cases are asymptomatic and found incidentally.147 Other patients experience chronic watery diarrhea, abdominal pain, and anal discharge.
• Symptomatic patients may benefit from antimicrobial and antidiarrheal therapy.

Figure 4.290 Higher magnification of the previous case. A fine “fuzzy” blue border (arrowhead) is present on the surface of the epithelial cells, indicating that intestinal spirochetosis is involving this tubular adenoma.

Figure 4.291 Intestinal spirochetosis. With an oil immersion objective, one can one appreciate the filamentous appearance of the spirochetes (arrowheads) attached to colonic epithelial cells.

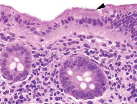
Figure 4.292 Intestinal spirochetosis. Easily missed at low magnification, a mid- to hipower review of colonic biopsies is required to note the presence of this “fuzzy” blue border.

Figure 4.293 Intestinal spirochetosis. This diagnosis is challenging due to its subtle findings and patchy nature. In this example, note how challenging it is to find the spirochetosis on the surface epithelium. Careful examination along the crypt epithelium reveals a more obvious fuzzy blue border.

Figure 4.294 Intestinal spirochetosis. The spirochetes (arrowhead) attach to the surface epithelium, rarely invading the mucosa.

Figure 4.295 Intestinal spirochetosis.
• Histologic findings may be patchy or involve multiple colonic segments.
• The spirochetes appear as a characteristic “fuzzy” basophilic border along the luminal surface of the colonic epithelium (Figs. 4.292–4.295)
• No inflammation or crypt architectural changes are present, making this an easily missed diagnosis unless one actively looks for it.
• The organisms stain with silver impregnation stains (Warthin-Starry, Dieterle, Steiner) (Figs. 4.296–4.298). Tissue Gram stain will not stain the organisms.
FAQ: Does intestinal spirochetosis in an otherwise healthy child imply sexual abuse?
Answer: NO!
Otherwise healthy children may have incidental colonization with these organisms, and the finding does not imply sexual abuse. Sexual transmission was initially proposed as a method of transmission due to the higher prevalence in homosexual men, but this remains unproven. Fecal oral transmission via contaminated water sources and colonized feces is far more likely.

Figure 4.296 Intestinal spirochetosis (Warthin–Starry silver stain). A silver stain, such as the Warthin–Starry pictured here, highlights the fuzzy blue border as a thick black line.

Figure 4.297 Intestinal spirochetosis (Warthin–Starry silver stain). Higher magnification of the previous case shows the filamentous spirochetes.

Figure 4.298 Intestinal spirochetosis (Warthin–Starry silver stain). The spirochetes create a black border with silver impregnation stain. Individual spirochetes are visible using the oil immersion objective.
References
1. Eidelman S, Lagunoff D. The morphology of the normal human rectal biopsy. Hum Pathol. 1972;3(3):389–401.
2. Bejarano PA, Aranda-Michel J, Fenoglio-Preiser C. Histochemical and immunohistochemical characterization of foamy histiocytes (muciphages and xanthelasma) of the rectum. Am J Surg Pathol.2000;24(7):1009–1015.
3. Greenson JK, Stern RA, Carpenter SL, et al. The clinical significance of focal active colitis. Hum Pathol. 1997;28(6):729–733.
4. Nostrant TT, Kumar NB, Appelman HD. Histopathology differentiates acute self-limited colitis from ulcerative colitis. Gastroenterology. 1987;92(2):318–328.
5. Edwards BH. Salmonella and Shigella species. Clin Lab Med. 1999;19(3):469–487, v.
6. Kraus MD, Amatya B, Kimula Y. Histopathology of typhoid enteritis: Morphologic and immunophenotypic findings. Mod Pathol. 1999;12(10):949–955.
7. McGovern VJ, Slavutin LJ. Pathology of salmonella colitis. Am J Surg Pathol. 1979;3(6):483–490.
8. Boyd JF. Pathology of the alimentary tract in Salmonella typhimurium food poisoning. Gut. 1985;26(9):935–944.
9. Islam MM, Azad AK, Bardhan PK, et al. Pathology of shigellosis and its complications. Histopathology. 1994;24(1):65–71.
10. Kelber M, Ament ME. Shigella dysenteriae I: A forgotten cause of pseudomembranous colitis. J Pediatr. 1976;89(4):595–596.
11. Mathan MM, Mathan VI. Morphology of rectal mucosa of patients with shigellosis. Rev Infect Dis. 1991;13(suppl 4):S314–S318.
12. Blaser MJ, Berkowitz ID, LaForce FM, et al. Campylobacter enteritis: Clinical and epidemiologic features. Ann Intern Med. 1979;91(2):179–185.
13. Fields PI, Swerdlow DL. Campylobacter jejuni. Clin Lab Med. 1999;19(3):489–504, v.
14. Lambert ME, Schofield PF, Ironside AG, et al. Campylobacter colitis. Br Med J. 1979;1(6167):857–859.
15. Price AB, Jewkes J, Sanderson PJ. Acute diarrhoea: Campylobacter colitis and the role of rectal biopsy. J Clin Pathol. 1979;32(10):990–997.
16. Granger DN, Hollwarth ME, Parks DA. Ischemia-reperfusion injury: Role of oxygen-derived free radicals. Acta Physiol Scand Suppl. 1986;548:47–63.
17. Dignan CR, Greenson JK. Can ischemic colitis be differentiated from C. difficile colitis in biopsy specimens? Am J Surg Pathol. 1997;21(6):706–710.
18. Lillemoe KD, Romolo JL, Hamilton SR, et al. Intestinal necrosis due to sodium polystyrene (Kayexalate) in sorbitol enemas: Clinical and experimental support for the hypothesis. Surgery.1987;101(3):267–272.
19. Harel Z, Harel S, Shah PS, et al. Gastrointestinal adverse events with sodium polystyrene sulfonate (Kayexalate) use: A systematic review. Am J Med. 2013;126(3):264e9–e24.
20. Swanson BJ, Limketkai BN, Liu TC, et al. Sevelamer crystals in the gastrointestinal tract (GIT): A new entity associated with mucosal injury. Am J Surg Pathol. 2013;37(11):1686–1693.
21. Meucci G, Bortoli A, Riccioli FA, et al. Frequency and clinical evolution of indeterminate colitis: A retrospective multi-centre study in northern Italy. GSMII (Gruppo di Studio per le Malattie Infiammatorie Intestinali). Eur J Gastroenterol Hepatol. 1999;11(8):909–913.
22. Ordás I, Eckmann L, Talamini M, et al. Ulcerative colitis. Lancet. 2012;380(9853):1606–1619.
23. Soucy G, Wang HH, Farraye FA, et al. Clinical and pathological analysis of colonic Crohn’s disease, including a subgroup with ulcerative colitis-like features. Mod Pathol. 2012;25(2):295–307.
24. Greenstein AJ, Sachar DB, Gibas A, et al. Outcome of toxic dilatation in ulcerative and Crohn’s colitis. J Clin Gastroenterol. 1985;7(2):137–143.
25. Ausch C, Madoff RD, Gnant M, et al. Aetiology and surgical management of toxic megacolon. Colorectal Dis. 2006;8(3):195–201.
26. Autenrieth DM, Baumgart DC. Toxic megacolon. Inflamm Bowel Dis. 2012;18(3):584–591.
27. Odze R, Antonioli D, Peppercorn M, et al. Effect of topical 5-aminosalicylic acid (5-ASA) therapy on rectal mucosal biopsy morphology in chronic ulcerative colitis. Am J Surg Pathol. 1993;17(9):869–875.
28. Glickman JN, Bousvaros A, Farraye FA, et al. Pediatric patients with untreated ulcerative colitis may present initially with unusual morphologic findings. Am J Surg Pathol. 2004;28(2):190–197.
29. Kleer CG, Appelman HD. Ulcerative colitis: Patterns of involvement in colorectal biopsies and changes with time. Am J Surg Pathol. 1998;22(8):983–989.
30. Mutinga ML, Odze RD, Wang HH, et al. The clinical significance of right-sided colonic inflammation in patients with left-sided chronic ulcerative colitis. Inflamm Bowel Dis. 2004;10(3):215–219.
31. D’Haens G, Geboes K, Peeters M, et al. Patchy cecal inflammation associated with distal ulcerative colitis: A prospective endoscopic study. Am J Gastroenterol. 1997;92(8):1275–1279.
32. Yang SK, Jung HY, Kang GH, et al. Appendiceal orifice inflammation as a skip lesion in ulcerative colitis: An analysis in relation to medical therapy and disease extent. Gastrointest Endosc.1999;49(6):743–747.
33. Groisman GM, George J, Harpaz N. Ulcerative appendicitis in universal and nonuniversal ulcerative colitis. Mod Pathol. 1994;7(3):322–325.
34. Haskell H, Andrews CW Jr, Reddy SI, et al. Pathologic features and clinical significance of “backwash” ileitis in ulcerative colitis. Am J Surg Pathol. 2005;29(11):1472–1481.
35. Lin J, McKenna BJ, Appelman HD. Morphologic findings in upper gastrointestinal biopsies of patients with ulcerative colitis: A controlled study. Am J Surg Pathol. 2010;34(11):1672–1677.
36. Yantiss RK, Odze RD. Diagnostic difficulties in inflammatory bowel disease pathology. Histopathology. 2006;48(2):116–132.
37. Yantiss RK, Farraye FA, O’Brien MJ, et al. Prognostic significance of superficial fissuring ulceration in patients with severe “indeterminate” colitis. Am J Surg Pathol. 2006;30(2):165–170.
38. Machicado GA, Jensen DM. Acute and chronic management of lower gastrointestinal bleeding: Cost-effective approaches. Gastroenterologist. 1997;5(3):189–201.
39. Morson BC. Pathology of diverticular disease of the colon. Clin Gastroenterol. 1975;4(1):37–52.
40. Whiteway J, Morson BC. Elastosis in diverticular disease of the sigmoid colon. Gut. 1985; 26(3):258–266.
41. Bode MK, Karttunen TJ, Mäkelä J, et al. Type I and III collagens in human colon cancer and diverticulosis. Scand J Gastroenterol. 2000;35(7):747–752.
42. Peppercorn MA. Drug-responsive chronic segmental colitis associated with diverticula: A clinical syndrome in the elderly. Am J Gastroenterol. 1992;87(5):609–612.
43. Makapugay LM, Dean PJ. Diverticular disease-associated chronic colitis. Am J Surg Pathol. 1996;20(1):94–102.
44. Ludeman L, Shepherd NA. What is diverticular colitis?Pathology. 2002;34(6):568–572.
45. Lamps LW, Knapple WL. Diverticular disease-associated segmental colitis. Clin Gastroenterol Hepatol. 2007;5(1):27–31.
46. Klein S, Mayer L, Present DH, et al. Extraintestinal manifestations in patients with diverticulitis. Ann Intern Med. 1988;108(5):700–702.
47. Hinchey EJ, Schaal PG, Richards GK. Treatment of perforated diverticular disease of the colon. Adv Surg. 1978;12:85–109.
48. Son DN, Choi DJ, Woo SU, et al. Relationship between diversion colitis and quality of life in rectal cancer. World J Gastroenterol. 2013;19(4):542–549.
49. Ferguson CM, Siegel RJ. A prospective evaluation of diversion colitis. Am Surg. 1991;57(1):46–49.
50. Edwards CM, George B, Warren BF. Diversion colitis: New light through old windows. Histopathology. 1999;35(1):86–87.
51. Glotzer DJ, Glick ME, Goldman H. Proctitis and colitis following diversion of the fecal stream. Gastroenterology. 1981;80(3):438–441.
52. Scheppach W. Treatment of distal ulcerative colitis with short-chain fatty acid enemas. A placebo-controlled trial. German-Austrian SCFA Study Group. Dig Dis Sci. 1996;41(11):2254–2259.
53. Kaya E, Gür ES, Ozgüç H, et al. L-glutamine enemas attenuate mucosal injury in experimental colitis. Dis Colon Rectum. 1999;42(9):1209–1215.
54. Scheppach W, Sommer H, Kirchner T, et al. Effect of butyrate enemas on the colonic mucosa in distal ulcerative colitis. Gastroenterology. 1992;103(1):51–56.
55. Oliveira AJ, Pinto Júnior FE, Formiga MC, et al. Comparison of prophylactic and therapeutic use of short-chain fatty acid enemas in diversion colitis: A study in Wistar rats. Clinics (Sao Paulo).2010;65(12):1351–1356.
56. Pacheco RG, Esposito CC, Müller LC, et al. Use of butyrate or glutamine in enema solution reduces inflammation and fibrosis in experimental diversion colitis. World J Gastroenterol. 2012;18(32):4278–4287.
57. Harig JM, Soergel KH, Komorowski RA, et al. Treatment of diversion colitis with short-chain-fatty acid irrigation. N Engl J Med. 1989;320(1):23–28.
58. Arnold CA, Limketkai BN, Illei PB, et al. Syphilitic and lymphogranuloma venereum (LGV) proctocolitis: Clues to a frequently missed diagnosis. Am J Surg Pathol. 2013;37(1):38–46.
59. Herrera AF, Soriano G, Bellizzi AM, et al. Cord colitis syndrome in cord-blood stem-cell transplantation. N Engl J Med. 2011;365(9):815–824.
60. Bhatt AS, Freeman SS, Herrera AF, et al. Sequence-based discovery of Bradyrhizobium enterica in cord colitis syndrome. N Engl J Med. 2013;369(6):517–528.
61. Gupta NK, Masia R. Cord colitis syndrome: A cause of granulomatous inflammation in the upper and lower gastrointestinal tract. Am J Surg Pathol. 2013;37(7):1109–1113.
62. Hodi FS, O’Day SJ, McDermott DF, et al. Improved survival with ipilimumab in patients with metastatic melanoma. N Engl J Med. 2010;363(8):711–723.
63. Graziani G, Tentori L, Navarra P. Ipilimumab: A novel immunostimulatory monoclonal antibody for the treatment of cancer. Pharmacol Res. 2012;65(1):9–22.
64. Ku GY, Yuan J, Page DB, et al. Single-institution experience with ipilimumab in advanced melanoma patients in the compassionate use setting: Lymphocyte count after 2 doses correlates with survival. Cancer.2010;116(7):1767–1775.
65. Beck KE, Blansfield JA, Tran KQ, et al. Enterocolitis in patients with cancer after antibody blockade of cytotoxic T-lymphocyte-associated antigen 4. J Clin Oncol. 2006;24(15):2283–2289.
66. Lazenby AJ. Collagenous and lymphocytic colitis. Semin Diagn Pathol. 2005;22(4):295–300.
67. Olesen M, Eriksson S, Bohr J, et al. Lymphocytic colitis: A retrospective clinical study of 199 Swedish patients. Gut. 2004;53(4):536–541.
68. Pardi DS, Ramnath VR, Loftus EV Jr, et al. Lymphocytic colitis: Clinical features, treatment, and outcomes. Am J Gastroenterol. 2002;97(11):2829–2833.
69. Robert ME. Microscopic colitis: Pathologic considerations, changing dogma. J Clin Gastroenterol. 2004;38(5 suppl 1):S18–S26.
70. Wang N, Dumot JA, Achkar E, et al. Colonic epithelial lymphocytosis without a thickened subepithelial collagen table: A clinicopathologic study of 40 cases supporting a heterogeneous entity. Am J Surg Pathol.1999;23(9):1068–1074.
71. DuBois RN, Lazenby AJ, Yardley JH, et al. Lymphocytic enterocolitis in patients with ‘refractory sprue’. Jama. 1989;262(7):935–937.
72. Lindstrom CG. ‘Collagenous colitis’ with watery diarrhoea–a new entity? Pathol Eur. 1976;11(1):87–89.
73. Yardley JH, Lazenby AJ, Giardiello FM, et al. Collagenous, “microscopic,” lymphocytic, and other gentler and more subtle forms of colitis. Hum Pathol. 1990;21(11):1089–1091.
74. Greenson JK, Giardiello FM, Lazenby AJ, et al. Antireticulin antibodies in collagenous and lymphocytic (microscopic) colitis. Mod Pathol. 1990;3(3):259–260.
75. Giardiello FM, Hansen FC 3rd, Lazenby AJ, et al. Collagenous colitis in setting of nonsteroidal antiinflammatory drugs and antibiotics. Dig Dis Sci. 1990;35(2):257–260.
76. Jessurun J, Yardley JH, Giardiello FM, et al. Chronic colitis with thickening of the subepithelial collagen layer (collagenous colitis): Histopathologic findings in 15 patients. Hum Pathol. 1987;18(8):839–848.
77. Lazenby AJ, Yardley JH, Giardiello FM, et al. Pitfalls in the diagnosis of collagenous colitis: Experience with 75 cases from a registry of collagenous colitis at the Johns Hopkins Hospital. Hum Pathol.1990;21(9):905–910.
78. Storr MA. Microscopic colitis: Epidemiology, pathophysiology, diagnosis and current management-an update 2013. ISRN Gastroenterol. 2013;2013:352718.
79. Carpenter HA, Talley NJ. The importance of clinicopathological correlation in the diagnosis of inflammatory conditions of the colon: Histological patterns with clinical implications. Am J Gastroenterol.2000;95(4):878–896.
80. Kirby JA, Bone M, Robertson H, et al. The number of intraepithelial T cells decreases from ascending colon to rectum. J Clin Pathol. 2003;56(2):158.
81. DeBrosse CW, Case JW, Putnam PE, et al. Quantity and distribution of eosinophils in the gastrointestinal tract of children. Pediatr Dev Pathol. 2006;9(3):210–218.
82. Lowichik A, Weinberg AG. A quantitative evaluation of mucosal eosinophils in the pediatric gastrointestinal tract. Mod Pathol. 1996;9(2):110–114.
83. Casella G, Villanacci V, Fisogni S, et al. Colonic left-side increase of eosinophils: A clue to drug-related colitis in adults. Aliment Pharmacol Ther. 2009;29(5):535–541.
84. Gonsalves N. Food allergies and eosinophilic gastrointestinal illness. Gastroenterol Clin North Am. 2007;36(1):75–91, vi.
85. Pascal RR, Gramlich TL, Parker KM, et al. Geographic variations in eosinophil concentration in normal colonic mucosa. Mod Pathol. 1997;10(4):363–365.
86. Polydorides AD, Banner BF, Hannaway PJ, et al. Evaluation of site-specific and seasonal variation in colonic mucosal eosinophils. Hum Pathol. 2008;39(6):832–836.
87. Hurrell JM, Genta RM, Melton SD. Histopathologic diagnosis of eosinophilic conditions in the gastrointestinal tract. Adv Anat Pathol. 2011;18(5):335–348.
88. Jawairia M, Shahzad G, Mustacchia P. Eosinophilic gastrointestinal diseases: Review and update. ISRN Gastroenterol. 2012;2012:463689.
89. Bischoff SC, Wedemeyer J, Herrmann A, et al. Quantitative assessment of intestinal eosinophils and mast cells in inflammatory bowel disease. Histopathology. 1996;28(1):1–13.
90. Carvalho AT, Elia CC, de Souza HS, et al. Immunohistochemical study of intestinal eosinophils in inflammatory bowel disease. J Clin Gastroenterol. 2003;36(2):120–125.
91. Pratt CA, Demain JG, Rathkopf MM. Food allergy and eosinophilic gastrointestinal disorders: Guiding our diagnosis and treatment. Curr Probl Pediatr Adolesc Health Care. 2008;38(6):170–188.
92. Anttila VJ, Valtonen M. Carbamazepine-induced eosinophilic colitis. Epilepsia. 1992;33(1):119–121.
93. Barak N, Hart J, Sitrin MD. Enalapril-induced eosinophilic gastroenteritis. J Clin Gastroenterol. 2001;33(2):157–158.
94. Bridges AJ, Marshall JB, Diaz-Arias AA. Acute eosinophilic colitis and hypersensitivity reaction associated with naproxen therapy. Am J Med. 1990;89(4):526–527.
95. Friedberg JW, Frankenburg FR, Burk J, et al. Clozapine-caused eosinophilic colitis. Ann Clin Psychiatry. 1995;7(2):97–98.
96. Jimenez-Saenz M, Gonzalez-Campora R, Linares-Santiago E, et al. Bleeding colonic ulcer and eosinophilic colitis: A rare complication of nonsteroidal anti-inflammatory drugs. J Clin Gastroenterol.2006;40(1):84–85.
97. Lange P, Oun H, Fuller S, et al. Eosinophilic colitis due to rifampicin. Lancet. 1994;344(8932):1296–1297.
98. Martin DM, Goldman JA, Gilliam J, et al. Gold-induced eosinophilic enterocolitis: Response to oral cromolyn sodium. Gastroenterology. 1981;80(6):1567–1570.
99. Price AB. Pathology of drug-associated gastrointestinal disease. Br J Clin Pharmacol. 2003; 56(5):477–482.
100. Saeed SA, Integlia MJ, Pleskow RG, et al. Tacrolimus-associated eosinophilic gastroenterocolitis in pediatric liver transplant recipients: Role of potential food allergies in pathogenesis. Pediatr Transplant. 2006;10(6):730–735.
101. Baldini C, Talarico R, Della Rossa A, et al. Clinical manifestations and treatment of Churg-Strauss syndrome. Rheum Dis Clin North Am. 2010;36(3):527–543.
102. Oh HE, Chetty R. Eosinophilic gastroenteritis: A review. J Gastroenterol. 2008;43(10):741–750.
103. Blackshaw AJ, Levison DA. Eosinophilic infiltrates of the gastrointestinal tract. J Clin Pathol. 1986;39(1):1–7.
104. Burroughs SH, Bowrey DJ, Morris-Stiff GJ, et al. Granulomatous inflammation in sigmoid diverticulitis: Two diseases or one?Histopathology. 1998;33(4):349–353.
105. Sprague R, Harper P, McClain S, et al. Disseminated gastrointestinal sarcoidosis. Case report and review of the literature.Gastroenterology. 1984;87(2):421–425.
106. Ushiki A, Koizumi T, Kubo K, et al. Colonic sarcoidosis presenting multiple submucosal tumor-like lesions. Intern Med. 2009;48(20):1813–1816.
107. Daniels JA, Lederman HM, Maitra A, et al. Gastrointestinal tract pathology in patients with common variable immunodeficiency (CVID): A clinicopathologic study and review. Am J Surg Pathol.2007;31(12):1800–1812.
108. Alimchandani M, Lai JP, Aung PP, et al. Gastrointestinal histopathology in chronic granulomatous disease: A study of 87 patients. Am J Surg Pathol. 2013;37(9):1365–1372.
109. Loo EY, Medeiros LJ, Aladily TN, et al. Classical Hodgkin lymphoma arising in the setting of iatrogenic immunodeficiency: A clinicopathologic study of 10 cases. Am J Surg Pathol. 2013; 37(8):1290–1297.
110. Suarez V, Chesner IM, Price AB, et al. Pneumatosis cystoides intestinalis. Histological mucosal changes mimicking inflammatory bowel disease. Arch Pathol Lab Med. 1989;113(8):898–901.
111. Benavides SH, Morgante PE, Monserrat AJ, et al. The pigment of melanosis coli: A lectin histochemical study. Gastrointest Endosc. 1997;46(2):131–138.
112. van Gorkom BA, de Vries EG, Karrenbeld A, et al. Review article: Anthranoid laxatives and their potential carcinogenic effects. Aliment Pharmacol Ther. 1999;13(4):443–452.
113. Morgenstern L, Shemen L, Allen W, et al. Melanosis coli. Changes in appearance when associated with colonic neoplasia. Arch Surg. 1983;118(1):62–64.
114. Koskela E, Kulju T, Collan Y. Melanosis coli. Prevalence, distribution, and histologic features in 200 consecutive autopsies at Kuopio University Central Hospital. Dis Colon Rectum. 1989;32(3):235–239.
115. Badiali D, Marcheggiano A, Pallone F, et al. Melanosis of the rectum in patients with chronic constipation. Dis Colon Rectum. 1985;28(4):241–245.
116. Wittoesch JH, Jackman RJ, McDonald JR. Melanosis coli: General review and a study of 887 cases. Dis Colon Rectum. 1958;1(3):172–180.
117. Speare GS. Melanosis coll; experimental observations on its production and elimination in twenty-three cases. Am J Surg. 1951;82(5):631–637.
118. Senna and pseudomelanosis coli. Pharmacology. 1992;44 (suppl 1):33–35.
119. Siegers CP, von Hertzberg-Lottin E, Otte M, et al. Anthranoid laxative abuse–a risk for colorectal cancer? Gut. 1993;34(8):1099–1101.
120. Mori H, Sugie S, Niwa K, et al. Carcinogenicity of chrysazin in large intestine and liver of mice. Jpn J Cancer Res. 1986;77(9):871–876.
121. Nusko G, Schneider B, Schneider I, et al. Anthranoid laxative use is not a risk factor for colorectal neoplasia: Results of a prospective case control study. Gut. 2000;46(5):651–655.
122. Morales MA, Hernández D, Bustamante S, et al. Is senna laxative use associated to cathartic colon, genotoxicity, or carcinogenicity? J Toxicol. 2009;2009:287247.
123. Arikanoglu Z, Aygen E, Camci C, et al. Pneumatosis cystoides intestinalis: A single center experience. World J Gastroenterol. 2012;18(5):453–457.
124. Azzopardi JG, Evans DJ. Mucoprotein-containing histiocytes (muciphages) in the rectum. J Clin Pathol. 1966;19(4):368–374.
125. Yantiss RK, Clement PB, Young RH. Endometriosis of the intestinal tract: A study of 44 cases of a disease that may cause diverse challenges in clinical and pathologic evaluation. Am J Surg Pathol.2001;25(4):445–454.
126. Cho YJ, Jeen YT, Kim YS, et al. Rectal endometriosis mimicking a large polypoid rectal cancer. Endoscopy. 2006;38(suppl 2):E48–E49.
127. Langlois NE, Park KG, Keenan RA. Mucosal changes in the large bowel with endometriosis: A possible cause of misdiagnosis of colitis? Hum Pathol. 1994;25(10):1030–1034.
128. Rowland R, Langman JM. Endometriosis of the large bowel: A report of 11 cases. Pathology. 1989;21(4):259–265.
129. Boncher J, Bronner M, Goldblum JR, et al. Reticulin staining clarifies florid benign signet ring cell change with mitotic activity in a penetrating gastric ulcer. Am J Surg Pathol. 2011;35(5):762–766.
130. Michal M, Chlumska A, Mukensnabl P. Signet-ring cell aggregates simulating carcinoma in colon and gallbladder mucosa. Pathol Res Pract. 1998;194(3):197–200.
131. Ragazzi M, Carbonara C, Rosai J. Nonneoplastic signet-ring cells in the gallbladder and uterine cervix. A potential source of overdiagnosis. Hum Pathol. 2009;40(3):326–331.
132. Suri VS, Sakhuja P, Malhotra V, et al. Benign signet ring cell change with multilayering in the gallbladder mucosa–a case report. Pathol Res Pract. 2001;197(11):785–788.
133. Wang K, Weinrach D, Lal A, et al. Signet-ring cell change versus signet-ring cell carcinoma: A comparative analysis. Am J Surg Pathol. 2003;27(11):1429–1433.
134. Philipsen HP, Reichart PA. Pulse or hyaline ring granuloma. Review of the literature on etiopathogenesis of oral and extraoral lesions. Clin Oral Investig. 2010;14(2):121–128.
135. Tschen JA. Pulse granuloma in a rectocutaneous fistula. J Cutan Pathol. 2008;35(3):343–345.
136. Rhee DD, Wu ML. Pulse granulomas detected in gallbladder, fallopian tube, and skin. Arch Pathol Lab Med. 2006;130(12):1839–1842.
137. Zhai J, Maluf HM. Peridiverticular colonic hyaline rings (pulse granulomas): Report of two cases associated with perforated diverticula. Ann Diagn Pathol. 2004;8(6):375–379.
138. Stewart CJ, Hillery S. Peridiverticular colonic hyaline rings (pulse granulomas). Ann Diagn Pathol. 2005;9(5):305–306.
139. Dunlap CL, Barker BF. Giant-cell hyalin angiopathy. Oral Surg Oral Med Oral Pathol. 1977; 44(4):587–591.
140. Seminerio J, McGrath K, Arnold CA, et al. Medication-associated lesions of the GI tract. Gastrointest Endosc. 2014;79(1):140–150.
141. Star KV, Ho VT, Wang HH, et al. Histologic features in colon biopsies can discriminate mycophenolate from GVHD-induced colitis. Am J Surg Pathol. 2013;37(9):1319–1328.
142. Selbst MK, Ahrens WA, Robert ME, et al. Spectrum of histologic changes in colonic biopsies in patients treated with mycophenolate mofetil. Mod Pathol. 2009;22(6):737–743.
143. Lee S, de Boer WB, Subramaniam K, et al. Pointers and pitfalls of mycophenolate-associated colitis. J Clin Pathol. 2013;66(1):8–11.
144. Koteish A, Kannangai R, Abraham SC, et al. Colonic spirochetosis in children and adults. Am J Clin Pathol. 2003;120(6):828–832.
145. Palejwala AA, Evans R, Campbell F. Spirochaetes can colonize colorectal adenomatous epithelium. Histopathology. 2000;37(3):284–285.
146. Calderaro A, Gorrini C, Peruzzi S, et al. Occurrence of human intestinal spirochetosis in comparison with infections by other enteropathogenic agents in an area of the Northern Italy. Diagn Microbiol Infect Dis.2007;59(2):157–163.
147. Carr NJ, Mahajan H, Tan KL, et al. The histological features of intestinal spirochetosis in a series of 113 patients. Int J Surg Pathol. 2010;18(2):144–148.
**Thankfully, it is not necessary to count pyloric and Paneth cells for the diagnosis of pyloric gland metaplasia or Paneth cell metaplasia, respectively.
**If sexually transmitted infectious proctocolitis is a clinical consideration, clinical studies provide the best means to establish this diagnosis (syphilis: serum RPR, RPR titer, and a treponemal specific serology such as fluorescent treponemal antibody; lymphogranuloma venereum (LGV): rectal swab collected in the absence of lubricant for Chlamydia trachomatis nucleic acid probe test or culture and LGV PCR).
***If no history is provided, see general chronic colitis sample note (IBD subsection, this chapter).
***If no history is provided, see general chronic colitis sample note (IBD subsection, this chapter).
***If no history is provided, see general chronic colitis sample note (IBD subsection, this chapter).
***If no history is provided, see general chronic colitis sample note (IBD subsection, this chapter).
***If no history is provided, see general chronic colitis sample note (IBD subsection, this chapter).
***If no history is provided, see general chronic colitis sample note (IBD subsection, this chapter).