
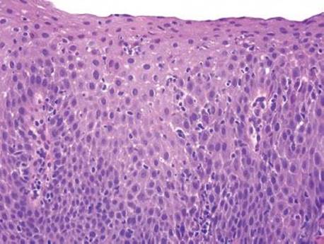
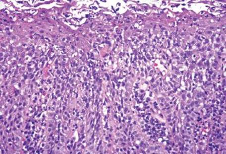
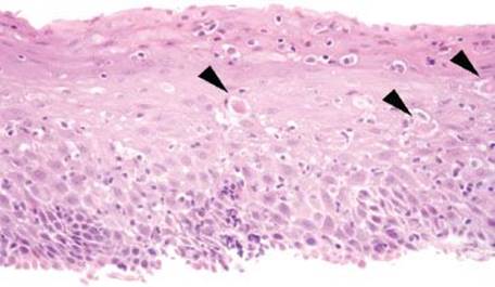
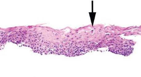
Figure 1.162 Lymphocytic esophagitis pattern. Lymphocytic esophagitis pattern features a prominence of peripapillary intraepithelial lymphocytes and marked spongiosis.

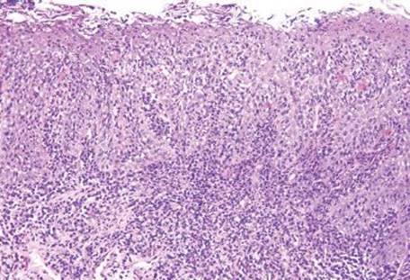
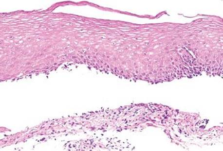
Figure 1.163 Lymphocytic esophagitis pattern, GERD. The biopsy shows intraepithelial lymphocytosis in a patient with a long-standing history of GERD.
While the normal esophageal biopsy may contain occasional intraepithelial lymphocytes, “lymphocytic esophagitis pattern” refers to a relative prominence of peripapillary intraepithelial lymphocytes and marked spongiosis (Fig. 1.162).48–50 In one recent large study, this pattern was reported in up to 0.1% of material and was most often encountered in elderly female patients with dysphagia, odynophagia, and motility disorders.50 Endoscopically, features typically associated with EoE have been reported, including esophageal felinization, rings, furrows, and plaques. Consequently, up to one-third of these cases were submitted with the clinical impression of EoE.50 These patients can show improvement with PPIs, but it is unclear if this is due to direct treatment of the lymphocytic esophagitis or indirect treatment of the background GERD.49 Importantly, this histologic pattern of intraepithelial lymphocytosis can be patchy. Since there is no minimum numerical requirement for the diagnosis of lymphocytic esophagitis, providing numerical values in reports is not required (thankfully). The literature on lymphocytic esophagitis is evolving and no particular underlying etiology has yet emerged. This pattern of injury has been associated most commonly in the following settings.
CHECKLIST: Lymphocytic Esophagitis Pattern
Gastroesophageal Reflux Disease
Crohn Disease
Contact Mucositis (Nonspecific Allergy: Seasonal, Food, Medication)
Lichen Planus/“Lichenoid” Pattern
Common Variable Immunodeficiency
Graft Versus Host Disease
Infection (candidiasis, Helicobacter)
Other (dysmotility disorders, gastroduodenitis, celiac disease, malignancy, hiatal hernia, Hashimoto thyroiditis, gastric ulcer/asthma/hypertension, cirrhosis/diabetes)
GASTROESOPHAGEAL REFLUX DISEASE (GERD)
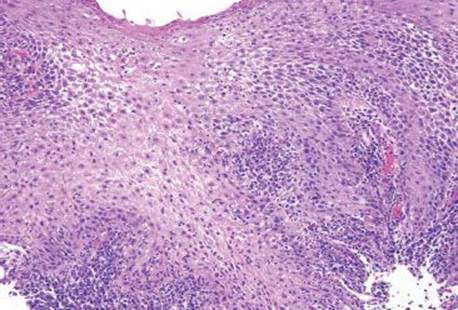
Lymphocytic esophagitis pattern is commonly seen in the setting of GERD. It is unclear if this association is merely coincidental simply because GERD is one of the most common esophageal diagnoses (and so would be common in any unrelated scenario), or if lymphocytic esophagitis could be a direct manifestation of GERD (Fig. 1.163).

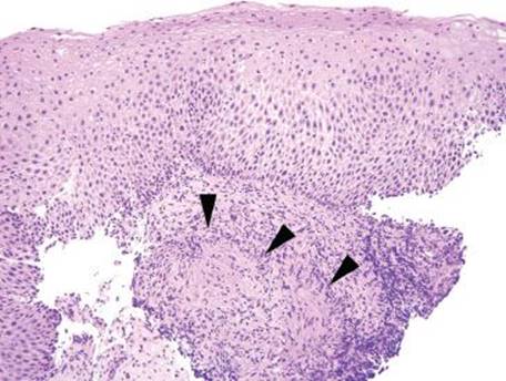
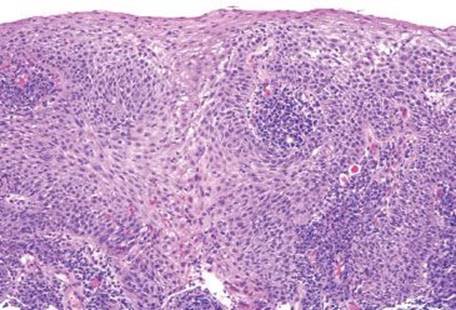
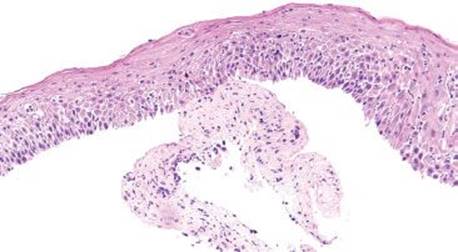
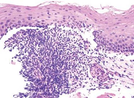
Figure 1.164 Lymphocytic esophagitis pattern, Crohn disease. Squamous mucosa with intraepithelial lymphocytosis and lamina propria granulomata (arrowheads) in a patient with established upper tract Crohn disease. AFB and GMS special stains for microorganisms were negative.

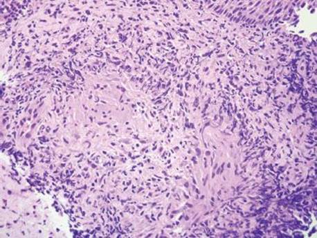
Figure 1.165 Lymphocytic esophagitis pattern, Crohn disease. Higher power of the previous figure. The granulomata in Crohn disease are often poorly formed and sometimes challenging to identify.
CROHN DISEASE
The relationship between lymphocytic esophagitis and Crohn disease is controversial and may be population specific. In Rubio’s initial report, 40% of the pediatric lymphocytic esophagitis cases were associated with Crohn disease,48 a finding which has not been reproduced in other studies of adult patients (Figs. 1.164 and 1.165).49–51
PEARLS & PITFALLS
Careful inspection of the lamina propria will occasionally uncover poorly formed granulomata, a finding highly suggestive of Crohn disease.
FAQ: How are AFB/GMS special stains utilized in Crohn disease cases with granulomata?
Answer: Routine AFB/GMS special stains are not necessary on all Crohn cases with granulomata. Select examples where careful evaluation of AFB/GMS stains are recommended include the following.
• Newly diagnosed Crohn disease cases with granulomata
• Necrotizing granulomata
• Established cases with refractory symptoms
• Cases with a strong clinical suspicion for an infectious component (fevers, etc.)
“CONTACT MUCOSITIS”
Similarities have been noted between the histologic appearance of lymphocytic esophagitis and contact dermatitis.51 As such, lymphocytic esophagitis may be a generalized response to mucosal injury, for example, an unspecified allergy (drug or nondrug) or a related mucosal injury. Select medications implicated in lymphocytic esophagitis include gold, antimalarials, and thiazides, although the literature on this topic is very limited.
LICHEN PLANUS/“LICHENOID” PATTERN
Lichen planus/“lichenoid” pattern is a chronic and relapsing inflammatory condition that most typically afflicts the middle-aged to elderly women. These patients present with dysphagia, have proximal esophageal strictures, and generally benefit from immunosuppressive therapy. However, a subset of patients poorly tolerate the immunosuppressive therapy, and these patients instead opt for periodic dilatations of their esophageal strictures. Endoscopic images show white plaques or streaks (similar endoscopic findings can be seen with candidiasis, glycogenic acanthosis, and leukoplakia). Similar to cutaneous sites, the common histologic features of esophageal lichen planus/“lichenoid” pattern include a band-like lymphocytic infiltrate involving the interface of the basal epithelium and the lamina propria (T lymphocytes predominate), parakeratosis, intraepithelial lymphocytosis, acanthosis, and single dyskeratotic keratinocytes (“Civatte bodies”) (Figs. 1.166–1.181). Importantly, squamous dysplasia and carcinoma have been described in association with lichen planus/“lichenoid” pattern and, consequently, periodic surveillance may be of value.52–58 At this time, no evidence-based surveillance guidelines have been established. The histologic features of lichen planus/“lichenoid” pattern are characteristic but nonspecific and, consequently, some advocate usage of the term “lichenoid” pattern to describe this histologic injury pattern and reserve “lichen planus” for those cases with the appropriate clinical history, endoscopic impressions, and histologic findings.

Figure 1.166 Lichen planus. Endoscopically, lichen planus often appears as white plaques or streaks.

Figure 1.167 Lichen planus. Lichen planus is associated with squamous dysplasia and carcinoma and can have a dramatic endoscopic appearance as shown here with a marked granulonodular appearance, polypoid lesions, white papules, and erosive changes.

Figure 1.168 Lichen planus. Lichen planus of the esophagus form another patient, revealing a granulonodular appearance, polypoid lesions, and white papules on endoscopy.

Figure 1.169 Lichenoid pattern of lymphocytic esophagitis. This biopsy shows a band-like lymphocytic infiltrate involving the interface of the basal epithelium and the lamina propria, parakeratosis, intraepithelial lymphocytosis, acanthosis, and single dyskeratotic keratinocytes (“Civatte bodies”). In addition, the surface shows acute inflammation and necrotic debris, features attributed to the superimposed candidiasis. No dysplasia is seen.

Figure 1.170 Lichenoid pattern of lymphocytic esophagitis. Higher power of previous figure. Correlation with clinical information is necessary for a diagnosis of esophageal lichen planus, else “lichenoid pattern” is the preferred terminology because this nonspecific injury pattern can be caused by varying etiologies.

Figure 1.171 Lichenoid pattern of lymphocytic esophagitis. These histologic images show the characteristic but nonspecific features of lichen planus/“lichenoid” pattern and also squamous dysplasia.

Figure 1.172 Lichenoid pattern of lymphocytic esophagitis.

Figure 1.173 Lichenoid pattern of lymphocytic esophagitis.

Figure 1.174 Lichen planus. Not all cases showing a lichenoid pattern are straightforward, especially those cases lacking lamina propria because they preclude evaluation of the epithelial–lamina propria interface. While this case of lichen planus lacks lamina propria, prominent intraepithelial lymphocytes and dyskeratotic keratocytes (“Civatte” bodies) are seen (arrowheads). The patient had a long-standing history of oral lichen planus and proximal esophageal strictures.

Figure 1.175 Treated lichen planus with sloughing. This biopsy comes from a patient with a known clinical history of esophageal involvement by lichen planus. During endoscopic manipulation, the esophageal epithelium of patients with lichen planus may slough. The tissue split in lichen planus is typically at the junction of the epithelium and lamina propria, as compared to esophagitis dissecans superficialis (“sloughing esophagitis”) in which the split is intraepithelial. The lack of a prominent lichenoid infiltrate in this case is likely the result of steroid treatment.

Figure 1.176 Sloughing epithelium in lymphocytic esophagitis. This biopsy was sent with an endoscopic impression of “sloughing” epithelium. Further clinical history was not available, but histologic sections showed a junctional split between squamous epithelium and lamina propria, excluding esophagitis dissecans superficialis. Also notable in this biopsy is the intraepithelial lymphocytes, or lymphocytic esophagitis pattern.

Figure 1.177 Lichenoid pattern of lymphocytic esophagitis. Same patient as previous. Additional biopsies of the previous showed a lichenoid pattern of low-lying lymphocytes.

Figure 1.178 Lichenoid pattern of lymphocytic esophagitis. Same patient as previous. Other areas showed a lichenoid infiltrate of lymphocytes and single hypereosinophilic dyskeratotic cells, similar to Civatte bodies (arrow). While the histologic findings are compatible with lichen planus, in the absence of clinical information, the findings are nonspecific. This case was signed out with a differential diagnosis of lichen planus, viral infection, contact injury, and drug reaction.

Figure 1.179 Lichenoid pattern of lymphocytic esophagitis in ulcerative colitis. This esophageal biopsy comes from a patient with a known history of ulcerative colitis (UC). Upper tract involvement by UC is rare, but can manifest as a lymphocytic esophagitis. This case shows an intense low-lying infiltrate of lymphocytes at the basal layer, emphasizing the nonspecific nature of lymphocytic esophagitis, even when a lichenoid pattern is present.

Figure 1.180 Lichenoid pattern of lymphocytic esophagitis. Esophageal biopsies from a man with recurrent oral mucosal lesions and esophageal stricture. The esophageal sections show an intense low-lying lymphocytic infiltrate with a single hypereosinophilic dyskeratotic cell (center left).

Figure 1.181 Lichenoid pattern of lymphocytic esophagitis. Same patient as previous. Additional biopsies of the esophagus show similar features of an intense lichenoid infiltrate. Tissue from the oral biopsies was sent for immunofluorescence studies, which excluded specific dermatoses (bullous pemphigoid, dermatitis herpetiformis, pemphigus, lupus erythematosus, etc.). The findings alone are nonspecific, but would support a clinical impression of esophageal involvement by lichen planus.
KEY FEATURES of Lichen Planus/“Lichenoid” Pattern:
• Most common in the proximal esophagus of middle-aged and elderly women
• Endoscopic images show white plaques or streaks
• Histologic features include a band-like lymphocytic infiltrate, parakeratosis, intraepithelial lymphocytosis, acanthosis, and Civatte bodies
Associations with Esophageal Lichen Planus/“Lichenoid” Pattern
• Esophageal manifestation of oral/cutaneous lichen planus (examination for oral, cutaneous, or vulvar lesions recommended).
• Medication effect (including antimalarial drugs, gold, nonsteroidal anti-inflammatory drugs, thiazides, and amalgam).
• Viral infections (viral hepatitis, human immunodeficiency virus).
• Upper tract Crohn disease.
• Mucosa physically damaged by nearby “pill esophagitis.”
SAMPLE NOTE: LICHEN PLANUS/“LICHENOID” PATTERN
Proximal Esophagus, Biopsy:
• Squamous mucosa with lichenoid injury pattern (prominent band-like lymphocytic infiltrate) involving the interface of the basal epithelium and the lamina propria, parakeratosis, intraepithelial lymphocytosis, acanthosis, and dyskeratotic keratinocytes (“Civatte bodies”).
• Negative for dysplasia and viral cytopathic effect.
Note: The biopsies show a “lichenoid” pattern of injury. This is an etiologically nonspecific finding that can be seen as an esophageal manifestation of lichen planus, or association with medications (antimalarial drugs, nonsteroidal anti-inflammatory drugs, antihypertensive agents, and dental materials such as amalgam), viral infections (especially viral hepatitis and human immunodeficiency virus), Crohn disease, or “pill esophagitis.” Careful correlation with the patient’s medication history and clinical examination with particular attention to any cutaneous, oral, or genital lesions is advised. If lichen planus is a consideration, some patients improve with immunosuppressive therapy, while others opt for periodic esophageal dilatations if strictures are present. Importantly, some authors have reported an association with squamous cell dysplasia and carcinoma, suggesting periodic surveillance may be of value. CMV, HSV, and EBV immunostains are nonreactive. No dysplasia or carcinoma is seen.
References
Abraham SC, Ravich WJ, Anhalt GJ, et al. Esophageal lichen planus: Case report and review of the literature. Am J Surg Pathol. 2000;24:1678–1682.
Chandan VS, Murray JA, Abraham SC. Esophageal lichen planus. Arch Pathol Lab Med. 2008;132:1026–1029.
Salaria SN, Abu Alfa AK, Cruise MW, et al. Lichenoid esophagitis: Clinicopathologic overlap with established esophageal lichen planus. Am J Surg Pathol. 2013;37(12):1889–1894.

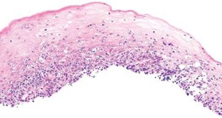
Figure 1.182 Lymphocytic esophagitis pattern, common variable immunodeficiency (CVID). Squamous mucosa with a mild prominence of intraepithelial lymphocytes overlying a lymphoid aggregate. Plasma cells are absent. CVID was clinically confirmed through documentation of low levels of serum immunoglobulins. A CMV immunostain was nonreactive.
COMMON VARIABLE IMMUNODEFICIENCY
Common variable immunodeficiency (CVID) is another (uncommon) etiologic consideration when a lymphocytosis is seen in the esophageal squamous epithelium. CVID is clinically characterized by hypogammaglobulinemia, a lack of functional plasma cells, impaired response to vaccinations, and chronic infections (including Giardia lamblia and bacterial infections). A lack of plasma cells is a helpful clue to the diagnosis (Fig. 1.182), but this finding is seen in only one-half to two-thirds of cases.59 Clinicopathologic correlation is essential for the diagnosis, particularly if plasma cells are present. Additional ancillary testing includes titration of serum immunoglobulins. CVID is a widely heterogeneous disease that can appear normal or can mimic the following entities.
• Graft Versus Host Disease
• Lymphocytic Gastritis Pattern
• Malabsorption Pattern
• Lymphocytic Colitis Pattern
• Collagenous Colitis Pattern
• Granulomatous Pattern
• Inflammatory Bowel Disease (IBD)
GRAFT VERSUS HOST DISEASE
Although intraepithelial lymphocytes are not a diagnostic criteria for Graft Versus Host Disease (GVHD), this injury pattern can be a red flag to consider GVHD, in the appropriate clinical setting. GVHD is an attack on host tissues by donor T lymphocytes, seen most commonly in stem cell transplants but also rarely seen in solid organ transplants (particularly liver) and blood transfusions.60,61 The tubular GIT is a common site of GVHD involvement, as is the hepatobiliary system, skin, and lung. GVHD is critical to recognize because it is linked to significant morbidity and mortality in the transplant setting, and patients often benefit from immunosuppressive therapy. Patients with GI GVHD commonly present with a skin rash and GI-related complaints, such as nausea, vomiting, and watery diarrhea. The endoscopic findings in GVHD are nonspecific and insensitive; biopsies from up to 65.8% of unremarkable endoscopic examinations fulfill the histologic criteria for GVHD.62–64 Nonspecific endoscopic abnormalities include loss of vascular pattern, erythema, edema, erosions, ulcerations, and exudates. More recently, experts have found severe endoscopic findings correlate better with severe GVHD (grade III and IV).64 The optimal site of tissue biopsy has been debated. In a recent study of 112 patients, rectosigmoid biopsies were shown to have the highest sensitivity, specificity, and positive and negative predicative values for diagnosing GI GVHD, when compared to biopsies of the stomach and duodenum.65 Others have reported the stomach as the optimal biopsy site for evaluation of GVHD.66,67 As a result, some advise a two-step approach: An initial rectal biopsy is preferred based on ease of access, followed by an upper tract biopsy if the clinical concern for GVHD is high and the rectal biopsy is unremarkable.68 The most common histologic grading scheme for GVHD was developed by Lerner et al.69 and is detailed below (Table 1.2). More recently, the National Institutes of Health (NIH) defined the minimal criteria for active GIT GVHD as at least one crypt apoptotic bodies per tissue fragment (Fig. 1.183–1.185).70 While not a part of the NIH grading scheme, other histologic features enriched in the GVHD setting include eosinophilia, lymphocytic infiltration, glandular or crypt destruction, crypt abscess filled with apoptotic debris, focally enhanced gastritis, and endocrine cell nests.68,70,71 Moreover, features that can be seen with any chronic injury (features not specific for chronic GVHD) include glandular destruction, ulceration, or submucosal fibrosis.70 The NIH working group recommends the following standard comments to simplify the diagnostic process; these comments can be used for any tissue site (Table 1.3).70
TABLE 1.2: GVHD Histologic Grading

Adapted from Lerner KG, Kao GF, Storb R, et al. Histopathology of graft-vs.-host reaction (GvHR) in human recipients of marrow from HL-A-matched sibling donors. Transplant Proc. 1974;6(4):367–371.

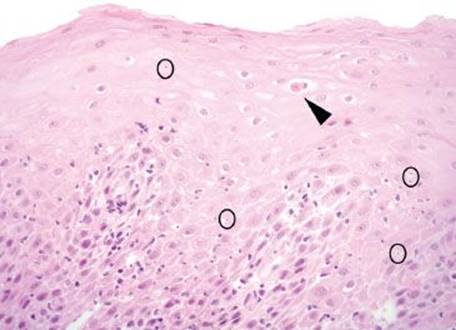
Figure 1.183 Lymphocytic esophagitis pattern, mild GVHD (grade I). This biopsy shows conspicuous intraepithelial lymphocytes, rare dyskeratotic keratinocytes (arrowhead), and scattered apoptotic bodies (circles). A CMV immunostain was nonreactive.

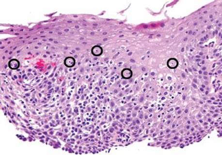
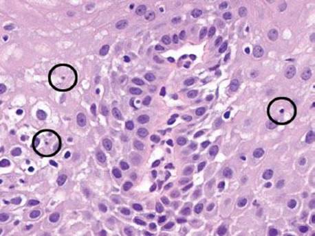
Figure 1.184 Lymphocytic esophagitis pattern, moderate GVHD (grade II). Prominent intraepithelial lymphocytes and apoptotic bodies (circles) are seen. A CMV immunostain was nonreactive.

Figure 1.185 Lymphocytic esophagitis pattern, moderate GVHD (grade II). Higher power of previous figure. Prominent intraepithelial lymphocytes and apoptotic bodies (circles) are seen. A CMV immunostain was nonreactive.
PEARLS & PITFALLS
Application of the NIH and Lerner GVHD histologic grading scheme relies on counting crypt apoptotic bodies (at least one apoptotic body per tissue fragment qualifies as abnormal).70 Importantly, apoptotic bodies in the superficial colonic mucosa may be secondary to bowel preparation and should be disregarded in the evaluation of apoptotic body prominence.68 Because apoptotic bodies can be patchy, the current recommendation is to examine at least eight serial sections for complete evaluation.70 There is no role for immunostains in the counting of apoptotic bodies at this time.
PEARLS & PITFALLS
Unfortunately, the characteristic findings of GVHD can also be seen with medication injury (particularly CellCept/mycophenolate mofetil [MMF]) and infections, making clinicopathologic correlation imperative. We recommend a low threshold for CMV immunostains in biopsies from transplant patients, particularly in the following settings: Acute and/or chronic inflammatory injury, increased apoptotic bodies, or upon clinical request.
TABLE 1.3: Recommended Standard Reporting of GVHD

Adapted from Shulman HM, Kleiner D, Lee SJ, et al. Histopathologic diagnosis of chronic graft-versus-host disease: National Institutes of Health Consensus Development Project on criteria for clinical trials in chronic graft-versus-host disease: II. Pathology Working Group Report. Biol Blood Marrow Transplant. 2006;12(1):31–47.
FAQ: What is the distinction between acute versus chronic GVHD?
Answer: Historically, acute and chronic GVHD were histologically indistinguishable and were separable only by the time interval from transplant: Acute GVHD occurring before 100 days, and chronic GVHD occurring after 100 days. Both are essential to recognize because of their association with morbidity and mortality in the transplant setting.72–74 Chronic GVHD is seen in 6% to 80% of transplant patients and is enriched in those who have had acute GVHD. In 2005, the NIH released consensus guidelines for the classification of chronic GVHD for clinical trials.73 In their report, a new scoring system was developed that defines chronic GVHD based on a more global clinical assessment, regardless of the interval time since transplant. This algorithm assesses number of organs and degree of functional impairment to arrive at the diagnosis of chronic GVHD. Diagnostic features of chronic GVHD in the GIT include esophageal web, stricture, or concentric rings in the middle third of the esophagus as documented on endoscopy or barium contrast radiograph. Other clinical associations indicate but are not diagnostic of chronic GVHD, include pancreatic exocrine insufficiency. Nonspecific features that can be seen in (acute and chronic) GVHD, infection, and medication injury include anorexia, nausea, vomiting, diarrhea, weight loss, and failure to thrive.
The working group further defined grading of chronic GVHD as mild, moderate, and severe. Mild chronic GVHD involves one or two organs with no significant impairment; treatment is local therapies alone. Moderate chronic GVHD involves at least one organ with significant impairment OR three or more organs involved with no significant impairment; treatment may include systemic immunosuppression. Severe chronic GVHD involves major impairment; recommendations are to intensify immunosuppression in those already on immunosuppressive therapy with infection prevention measures initiated. A recent reprisal of chronic GVHD grading schemes found no statistically significant association with survival, regardless of the presence or absence of either NIH criteria or historically defined criteria for chronic GVHD.72 The utility of the NIH grading scheme in the routine clinical practice has not been fully established.