John K. DiBaise, MD
What major clinical features help predict which patients who present with gastrointestinal bleeding can be managed without admission to the hospital?
Absence of hypotension, melena, or hematemesis and age less than 60 years.
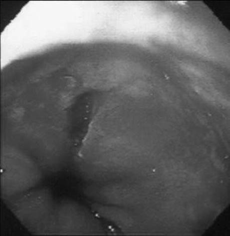
A 37-year-old man with a history of alcohol abuse is transferred to your hospital with a history of hematemesis and melena the day before. He has numerous spider telangiectasias on his upper body and mild asterixis. What lesion is being demonstrated on upper endoscopy?

Figure 1-1
Esophageal varices in the distal esophagus that have undergone band ligation.
What is the advantage, if any, of esophageal variceal band ligation compared with sclerotherapy?
Fewer complications with banding.
What is the presently accepted efficacy rate (of stopping hemorrhage) for sclerotherapy or banding of esophageal varices?
85%–90%.
Approximately what percentage of patients with esophageal varices that have never bled will experience a variceal hemorrhage in the 1 to 2 years following their diagnosis?
Approximately one-third.
What endoscopic features of esophageal varices predict a high probability of hemorrhage?
Large size (ie, grade 3 and 4) and red wale markings.
What is the hepatic wedge pressure gradient below which bleeding from esophageal varices rarely occurs?
12 mmHg.
True/False: An arteriovenous malformation (angiodysplasia) in a patient who shows no evidence of gastrointestinal blood loss should be cauterized to prevent bleeding.
False. The vast majority of angiodysplasia discovered at endoscopy are incidental findings and require no treatment.
When considering all the diagnoses found in a large number of patients who present with upper gastrointestinal hemorrhage, approximately what percentage has some form of acid-peptic disease?
85%.
The national mortality rate from gastrointestinal bleeding has remained stable since 1945 and is approximately what percentage?
10%.
True/False: Oral iron therapy produces a false positive fecal occult blood test.
False. It may, however, cause visual interpretation errors.
What is the average amount of blood/day lost in the stool of a healthy individual on no medication as determined by the chromate-tagged red cell test?
0.5 to 1.5 mL/day.
In experimental animals (and presumably in humans), at what rate must blood be lost into the gut lumen before arteriography is capable of demonstrating a bleeding site?
0.5 to 1.5 mL/min. The corresponding rate for a nuclear medicine red blood cell scan is 0.1 to 0.4 mL/min.
Approximately what percentage of patients with a gastrointestinal hemorrhage will have no identifiable source despite careful evaluation including small bowel enteroscopy?
10%.
True/False: Intense inhibition of acid secretion slows or stops acute upper gastrointestinal bleeding.
False. However, intense inhibition of acid secretion may prevent early rebleeding from peptic ulcer disease.
A 35-year-old man presents with massive hematemesis and anemia following an episode of protracted retching. What does the figure show?

Figure 1-2 See also color plate.
Mallory–Weiss tear.
What percentage of acute hemorrhages due to Mallory–Weiss tears stop spontaneously?
80%–90%.
Considering all nonvariceal causes of upper gastrointestinal hemorrhage, what is the rebleeding rate (with or without endoscopy)?
20%.
What is the therapeutic efficacy (range) of a Sengstaken–Blakemore tube in controlling bleeding from esophageal varices?
65%–85%.
True/False: Varices may return after eradication.
True. By 2 years, there appears to be a return of varices in 40% of patients.
What are the two major complications of the Sengstaken–Blakemore tube for tamponade of bleeding esophageal varices?
Aspiration pneumonia and perforation of the esophagus by erroneously inflating the gastric balloon in the esophagus.
What is the primary indication for angiographic infusion of vasopressors or embolization in the treatment of bleeding peptic ulcer disease?
Failure of therapeutic endoscopy to control bleeding or rebleeding not controlled by a second therapeutic endoscopy in a patient who is of poor operative risk.
True/False: It is accepted as true that cure of Helicobacter pylori infection in a patient with a bleeding ulcer will prevent future bleeding episodes.
True—although not in everyone. The nonsteroidal anti-inflammatory drug (NSAID)-status of the patient and location of the ulcer (ie, gastric or duodenal) may play a role in those cases of recurrent ulcer bleeding.
In a patient with melena but a normal hematocrit, the lesion below was found on upper endoscopy. Based on its appearance, what is the approximate risk of rebleeding from this lesion?

Figure 1-3 See also color plate.
The risk of rebleeding in an ulcer with a flat pigmented spot is about 10%.
True/False: It is the national standard of care that endoscopy be repeated in order to prove healing of a duodenal ulcer that has previously bled.
False. In contrast, it is generally advised that endoscopy be repeated for gastric ulcers given the risk of neoplasm.
In a patient with a third episode of bleeding from proven duodenal ulcer disease in the second portion of the duodenum, what diagnosis must be considered?
Zollinger–Ellison syndrome (gastrinoma).
What is the single most common risk factor for ulcer formation in patients who use NSAIDs regularly?
Age greater than 65 or 70 years.
Upper gastrointestinal hemorrhage is an important clinical problem in critically ill patients and after extensive surgery, especially neurosurgery and cardiac procedures. What, if anything, can be done to reduce the frequency of such bleeding episodes?
Intravenous or oral acid suppression. Sucralfate may also be useful in this setting.
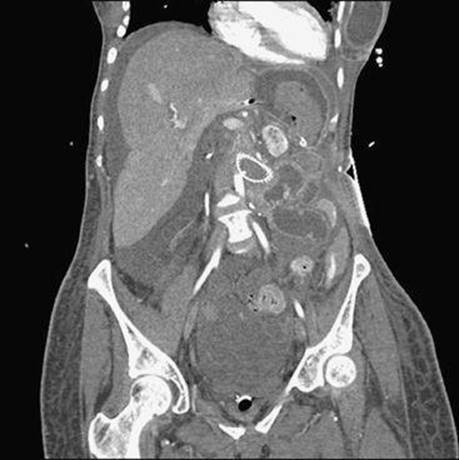
A 63-year-old “vasculopath” presents with massive GI bleeding about 6 weeks after another episode of bleeding during which an esophagogastroduodenoscopy (EGD) and colonoscopy were normal. An emergent CT scan is obtained. What is the diagnosis?

Figure 1-4
An aorto-enteric fistula. The so-called “herald bleeding episode,” in which significant bleeding that spontaneously ceases occurs, is characteristic of this condition. Although CT scan is more sensitive than endoscopy to diagnose this condition, the sensitivity of CT is still relatively low. This diagnosis, therefore, requires a high index of clinical suspicion. Endoscopy is often necessary to exclude a peptic process as a cause of the bleed but should be done in conjunction with surgery.
What is the eventual outcome of ischemic colitis in the vast majority of patients?
Spontaneous cessation of bleeding, usually without requiring blood transfusion and with no complications. Acute perforation (within 3 days) and late stricture formation are uncommon.
A 58-year-old woman with multiple medical problems presents with the sudden onset of severe lower abdominal cramping, an urge to defecate, and passage of a fairly normal stool followed shortly by passage of gross blood. Flexible sigmoidoscopy reveals the following finding. What is the most likely diagnosis?

Figure 1-5 See also color plate.
Ischemic colitis.
True/False: Colonic biopsy can differentiate ischemic colitis from Clostridium difficile colitis.
False.
True/False: Diverticular hemorrhage can be controlled by endoscopic means.
True. If the bleeding site can be identified (uncommonly), injection around the orifice of the diverticulum or the endoscopic placement of clips may be helpful.
What is the most common cause of significant upper gastrointestinal bleeding in patients of child-bearing age?
Duodenal ulcer disease.
If a patient with bleeding esophageal varices continues to bleed following two attempts at variceal banding or sclerotherapy, what is the recommended next therapeutic maneuver?
Emergency portosystemic shunt, usually by surgery or by transjugular intrahepatic portosystemic shunt (TIPS), depending on the cause of portal hypertension, severity of the liver disease, and availability. A Sengstaken–Blakemore tube may be necessary in the interim.
True/False: Endotracheal intubation should be considered before endoscopy in patients presenting with hematemesis and hemodynamic instability.
True.
A previously healthy, asymptomatic patient over the age of 60 years presents with the sudden passage of voluminous gross blood with little or no abdominal discomfort. Colonoscopy is performed. What is the most likely diagnosis?

Figure 1-6 See also color plate.
Diverticular bleeding from the colon.
What is the most common complication of upper gastrointestinal endoscopy in a patient with active upper gastrointestinal hemorrhage?
Aspiration pneumonia.
In an acutely bleeding patient, what is the first step in management?
Support the intravascular volume (ie, fluid resuscitation). Once hemodynamically stable, further evaluation can safely be performed.
In a patient who is vigorously bleeding from esophageal varices despite pharmacotherapy and banding of varices and who is waiting for a surgical suite to become available for portosystemic shunt, what therapeutic maneuver is available that may control the hemorrhage?
Sengstaken–Blakemore or Minnesota tube for tamponade.
A 26-year-old man presents with hematemesis, fever, and severe pleuritic left chest pain a few hours after a severe vomiting episode. What is the most likely diagnosis?
Boerhaave’s syndrome.
A 38-year-old man with a history of chronic pancreatitis complicated by pseudocysts in the past presents with a history of hematemesis the evening before. The following picture of the stomach was obtained on upper endoscopy. What is being demonstrated?

Figure 1-7 See also color plate.
Gastric varices.
In the previous case, the patient was found to have isolated gastric varices. What is the most likely underlying cause of the varices?
Splenic vein thrombosis.
True/False: Use of intravenous erythromycin prior to endoscopy in patients presenting with hematemesis may be beneficial in reducing the need for a second-look endoscopy.
True. Randomized controlled studies have suggested that a single dose of intravenous erythromycin given 20 to 120 minutes before endoscopy can significantly improve visibility, shorten endoscopy time, and reduce the need for a second-look endoscopy.
True/False: Melena can only occur as a result of upper gastrointestinal hemorrhage.
False. It may also occur due to a colonic lesion with slow transit.
True/False: Bleeding from gastric cancer is difficult to control.
True. In general, bleeding from tumors of any type is difficult to manage nonsurgically.
True/False: The incidence of recurrent ulcer hemorrhage is markedly reduced if Helicobacter pylori is eradicated.
True.
A 53-year-old woman presents with intermittent painless hematochezia, always following defecation of a normal colored stool, and often with several drops of blood dripping into the commode. There is usually blood on the toilet tissue after defecation. What is the lesion shown below?

Figure 1-8 See also color plate.
Internal hemorrhoids. An anal fissure should be considered in those who present with hematochezia and painful defecation.
True/False: A clean ulcer base has a very low incidence of rebleeding and requires no endoscopic therapy.
True. The incidence of rebleeding is less than 5%.
What are some clinical predictors of ulcer rebleeding?
Shock (hemodynamic instability), anemia, hematemesis, and persistent bloody lavage.
What information can be obtained from a bloody nasogastric aspirate associated with hematochezia?
The patient is bleeding rapidly from the stomach or duodenum and has an increased risk of morbidity and mortality.
True/False: A negative nasogastric aspirate implies that a patient could not have bled from the stomach or duodenum.
False. It is possible that a gastric or duodenal ulcer may not have bled for some time and there is no longer blood in the stomach.
True/False: Older patients have increased morbidity and mortality related to ulcer hemorrhage.
True. This is generally due to the presence of comorbidities. Comorbid illnesses increase the risk of death from ulcer hemorrhage and also increase the risk of rebleeding.
A 55-year-old woman presents with massive hematemesis. Shown below is the endoscopic view. What is your diagnosis and given the finding, what is the likelihood that she will bleed again within the next few days?

Figure 1-9 See also color plate.
Gastric ulcer in an NSAID user. With a visible vessel, the likelihood of rebleeding within the next 72 hours is 40%–60%.
A 55-year-old man with long-standing untreated gastroesophageal reflux disease (GERD) presents with hematemesis and a normal hematocrit. Upper endoscopy is performed. What is the lesion in the esophagus?

Figure 1-10 See also color plate.
Severe reflux esophagitis.
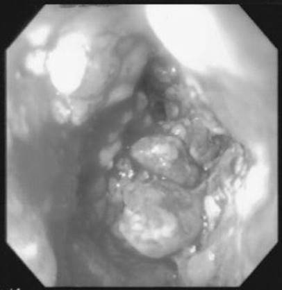
A 60-year-old man presents with scant hematemesis, iron deficiency anemia, and a 15-pound weight loss. An endoscopic view just below the cardioesophageal junction is shown below. What is the most likely diagnosis?

Figure 1-11
Adenocarcinoma of the stomach.
A 45-year-old man presents with massive hematemesis. Shown below is the endoscopic view of the gastric fundus. What is your diagnosis?

Figure 1-12
Gastrointestinal stromal tumor (GIST).
A hemodynamically stable 50-year-old, otherwise healthy, woman with melena was initially treated with nasogastric suction, blood transfusion, and an intravenous proton pump inhibitor. The following day, upper endoscopy was performed and showed the lesions below. What is your diagnosis?

Figure 1-13
Suction trauma due to constant nasogastric suction. Clearly, this was not the cause of the melena.
Which ulcer sites are at higher risk of rebleeding?
Ulcers located high on the lesser curvature and posteriorly in the duodenal bulb are at higher risk due to their proximity to large arteries (left gastric, pancreatico-duodenal).
What size vessel can be coagulated by monopolar electrocautery?
Electrocautery can obliterate vessels up to 1 mm in diameter. Coaptive coagulation is needed for vessels larger than 1 mm and can be used for vessels up to 2 mm.
How is blood flow related to the size of the artery?
The blood flow is related to the fourth power of the radius of the vessel.
Describe the mechanism whereby arteries bleed in ulcer-related hemorrhage.
There is fibrinoid necrosis of the vessel wall. The vessel bleeds from both sides and does not contract because it is not completely severed.
True/False: Endoscopic therapy should be utilized whenever a nonbleeding visible vessel is found.
True. The high risk of rebleeding in this situation mandates endoscopic treatment.
What specific causes of gastrointestinal bleeding are associated with increased mortality?
Esophageal varices and gastric cancer.
A 71-year-old man presents with recurrent hematemesis of uncertain etiology despite several prior upper endoscopies. Another EGD is performed. A retroflexed view in the stomach is shown.What is the most likely cause of the bleeding?

Figure 1-14 See also color plate.
A Dieulafoy lesion, which is a ‘caliber-persistent’ artery that protrudes from the mucosa with little or no surrounding ulceration. This lesion is usually treated with combination therapy using injection plus thermal therapy. Endoscopic band ligation and clipping may also be effective.
What is the overall rate of rebleeding for ulcers?
About 15%–20%.
What is the rate of rebleeding after endoscopic treatment of an ulcer?
About 10%–30%.
True/False: According to a consensus statement from the National Institutes of Health, heater probe, bipolar electrocautery, injection therapy, and clipping are about equal in the ability to control ulcer hemorrhage.
True—in experienced hands.
A 42-year-old man presents with melena. On examination, he is found to have pigmented spots on the buccal mucosa. What syndrome may he have?
Peutz–Jegher’s syndrome.
A 47-year-old woman presents with melena and is found to have increased lunulae (Terry’s nails). What may be the cause of her bleeding?
Variceal hemorrhage or severe portal hypertensive gastropathy due to chronic liver disease.
A 70-year-old woman presents with hematemesis. At endoscopy, erythematous linear streaks are noted in the antrum giving a watermelon appearance. What are the most likely diagnosis and treatment of choice?

Figure 1-15 See also color plate.
Gastric antral vascular ectasia (GAVE), which is most commonly treated using thermal ablative techniques. Successful treatment using band ligation has also been described in small case series.
A 23-year-old woman presents with right lower quadrant pain and hematochezia. Upper and lower gastrointestinal endoscopy are negative and the bleeding seems to have stopped. Which nuclear medicine scan might be useful at this point?
The patient could be bleeding from a Meckel diverticulum, which could be identified by such a scan.
What methods are available for the prevention of a first esophageal variceal hemorrhage?
Therapy with nonselective beta blockers and long-acting nitrates has been shown to be effective. Prophylactic band ligation has also been shown to be effective.
A patient presents with melena and is noted to have telangiectatic lesions on the lips, oral cavity, and nailbeds. What diagnosis should be considered?
Osler–Weber–Rendu syndrome (ie, hereditary hemorrhagic telangiectasia syndrome).
Why does angiodysplasia occur mainly in the right colon?
The increased wall tension of the right colon is due to the larger diameter. The veins become partially obstructed and over years become dilated and tortuous forming the angiodysplasia.
How common are angiodysplasia?
More than 25% of asymptomatic individuals over age 60 have been found to have angiodysplasia.
A 40-year-old man, who receives hemodialysis for renal failure, bleeds intermittently but significantly. On colonoscopy, the following lesion is seen. What is it? How is it treated?

Figure 1-16 See also color plate.
Cecal angiodysplasia, commonly called arteriovenous malformation (AVM). Several endoscopic, angiographic, and surgical methods are available to obliterate these lesions. Noncontact treatments such as argon plasma coagulation seem to be the most popular method currently.
True/False: Angiodysplasia can present as occult intestinal bleeding.
True.
Where in the colon is the most common site of diverticular hemorrhage?
The left side of the colon. Diverticula in the proximal half of the colon are more likely to bleed; however, diverticula isolated to the left side of the colon are far more common.
True/False: If a patient on home fecal occult blood testing has one of six fecal occult blood test windows positive, this is a significant finding requiring colonoscopy.
True.
A 31-year-old man presents with abdominal distention and hematemesis. Upper endoscopy reveals blood coming from beyond the second portion of the duodenum. What is the most likely diagnosis?
A jejunal volvulus with partial obstruction and ischemic necrosis.
A 51-year-old man presents with fever, right upper quadrant pain, and hematemesis. Endoscopy reveals blood in the second part of the duodenum without any lesion noted. What is one possible cause of this scenario?
Acute cholecystitis with a cystic artery aneurysm that has bled into the bile duct.
A 31-year-old man presents with a 3-month history of progressively worsening bloody diarrhea, abdominal cramping, and tenesmus. He also describes painful erythematous nodules on his lower legs. Flexible sigmoidoscopy reveals the finding below. What is the most likely diagnosis?

Figure 1-17 See also color plate.
Ulcerative colitis.
An 81-year-old man presents with chronic unexplained iron-deficiency anemia. Colonoscopy is normal and upper endoscopy demonstrates a large hiatal hernia as shown below. What is the most likely cause of the iron-deficiency anemia?

Figure 1-18 See also color plate.
Chronic occult bleeding from Cameron erosions at the diaphragmatic hiatus.
A 63-year-old man appears in the emergency room stating that he passed “a lot” of gross blood the day before without any other symptoms. His hematocrit is 22%. Following a bowel preparation, colonoscopy is performed. No blood is seen and the only abnormality identified is shown in the figure below. Is it the source of his bleeding?

Figure 1-19
In the absence of any other demonstrable lesions, diverticulosis must be assumed to be the cause of the hemorrhage.
What is the role of enteroscopy in the evaluation and management of occult gastrointestinal intestinal bleeding?
Enteroscopy may be useful after a negative colonoscopy and upper endosocopy. If a telangiectasia is found, it can be coagulated using thermal techniques.
• • • SUGGESTED READINGS • • •
Barkun AN, Bardou M, Kuipers EJ, et al; International Consensus Upper Gastrointestinal Bleeding Conference Group. International consensus recommendations on the management of patients with nonvariceal upper gastrointestinal bleeding. Ann Intern Med. 2010;152(2):101.
Davila RE, Rajan E, Adler DG, et al. Standards of Practice Committee. ASGE Guideline: the role of endoscopy in the patient with lower-GI bleeding. Gastrointest Endosc. 2005;62(5):656.
Garcia-Tsao G, Sanyal AJ, Grace ND, Carey W; Practice Guidelines Committee of the American Association for the Study of Liver Diseases; Practice Parameters Committee of the American College of Gastroenterology. Prevention and management of gastroesophageal varices and variceal hemorrhage in cirrhosis. Hepatology. 2007;46(3):922.
Raju GS, Gerson L, Das A, Lewis B; American Gastroenterological Association. American Gastroenterological Association (AGA) Institute medical position statement on obscure gastrointestinal bleeding. Gastroenterology. 2007;133(5):1694.