Paula J. Adams Hillard

• The causes of abnormal bleeding vary by age, with anovulatory bleeding most likely in adolescents and perimenopausal women.
• Pelvic masses in adolescents are most commonly functional or benign neoplastic ovarian masses, whereas the risks of malignant ovarian tumors increase with age.
• Although pelvic ultrasonography is an excellent technique for imaging pelvic masses and ultrasonographic characteristics may suggest reassuring characteristics of an ovarian mass, the possibility of malignancy must be kept in mind.
• Vulvovaginal symptoms of any sort in a young child should prompt the consideration of possible sexual abuse.
• Most uterine leiomyomas are asymptomatic, although bleeding, pressure symptoms, or pain may necessitate medical or surgical management.
Benign gynecologic conditions can present with a variety of signs and symptoms that vary by age. In this chapter, the most likely causes of specific signs and symptoms, as well as diagnosis and management, are described for each age group: prepubertal, adolescent, reproductive age, and postmenopausal women. The common gynecologic problems include those that cause pain, bleeding, pelvic masses (which may be symptomatic or asymptomatic), as well as vulvar and vaginal symptoms. Benign conditions of the female genital tract include anatomic lesions of the uterine corpus and cervix, ovaries, fallopian tubes, vagina, and vulva. A classification of benign lesions of the vulva, vagina, and cervix appears in Table 14.1. Leiomyoma, polyps, and hyperplasia are the most common benign conditions of the uterus in adult women. Benign uterine leiomyoma (uterine fibroids) are presented in Chapter 15. Benign tumors of the ovaries are listed in Table 14.2. Malignant diseases are presented in Chapters 35–40.
Prepubertal Age Group
Prepubertal Bleeding
Prior to menarche, which normally does not occur before nine years of age, any bleeding requires evaluation. To appropriately evaluate a young girl with vaginal bleeding, a practitioner should understand the events of puberty (1–4). The hormonal changes that control the cyclic functioning of the hypothalamic–pituitary–ovarian axis are described in Chapter 7. An understanding of the normal sequence and timing of these events is critical to an appropriate assessment of a girl at the onset of bleeding (see Chapter 29). Menarche typically occurs when an adolescent has reached Tanner stage 3 or 4 of breast development (Fig. 14.1). Bleeding in the absence of breast development must be evaluated.
Table 14.1 Classification of Benign Conditions of the Vulva, Vagina, and Cervix
|
Vulva |
|
Skin conditions |
|
Pigmented lesions |
|
Tumors and cysts |
|
Ulcers |
|
Nonneoplastic epithelial disorders |
|
Vagina |
|
Embryonic origin |
|
Mesonephric, paramesonephric, and urogenital sinus cysts |
|
Adenosis (related to in utero diethylstilbestrol exposure) |
|
Vaginal septa or duplications |
|
Pelvic organ prolapse/Disorders of pelvic support |
|
Anterior vaginal prolapse |
|
Cystourethrocele |
|
Cystocele |
|
Apical vaginal prolapse |
|
Uterovaginal |
|
Vaginal vault |
|
Posterior vaginal prolapse |
|
Enterocele |
|
Rectocele |
|
Other |
|
Condyloma |
|
Urethral diverticula |
|
Fibroepithelial polyp |
|
Vaginal endometriosis |
|
Cervix |
|
Infectious |
|
Condyloma |
|
Herpes simplex virus ulceration |
|
Chlamydial cervicitis |
|
Other cervicitis |
|
Other |
|
Endocervical polyps |
|
Nabothian cysts |
|
Columnar epithelium eversion |
Table 14.2 Benign Ovarian Tumors
|
Functional |
|
Follicular |
|
Corpus luteum |
|
Theca lutein |
|
Inflammatory |
|
Tubo-ovarian abscess or complex |
|
Neoplastic |
|
Germ cell |
|
Benign cystic teratoma |
|
Other and mixed |
|
Epithelial |
|
Serous cystadenoma |
|
Mucinous cystadenoma |
|
Fibroma |
|
Cystadenofibroma |
|
Brenner tumor |
|
Mixed tumor |
|
Other |
|
Endometrioma |
Figure 14.1 Tanner breast stage at menarche.

Differential Diagnosis of Prepubertal Vaginal Bleeding
Slight vaginal bleeding can occur within the first few days of life because of withdrawal from exposure to high levels of maternal estrogen. New mothers of female infants should be informed of this possibility to preclude unnecessary anxiety. After the neonatal period, a number of causes of bleeding should be considered in the prepubertal age group (Table 14.3). Menses rarely occur before breast budding (5,6). Vaginal bleeding in the absence of secondary sexual characteristics should be evaluated carefully.
The causes of bleeding in this age group range from the medically mundane to malignancies that may be life threatening. The source of the bleeding is sometimes difficult to identify, and parents who observe blood in a child’s diapers or panties may be unsure of the source—whether from the urinary tract, the vagina, or the rectum. Pediatricians usually look for urinary causes of bleeding, and gastrointestinal factors such as constipation and or anal fissure or inflammatory bowel disease should be considered. The possibility of abuse should always be considered in girls with any vulvovaginal symptoms, particularly if bleeding is present. Failure to diagnose sexual abuse may leave a child in significant danger.
Vulvar Lesions
Vulvar irritation can lead to pruritus with excoriation, maceration of the vulvar skin, or fissures that can bleed. Other visible external causes of bleeding in this age group include urethral prolapse, condylomas, lichen sclerosus, or molluscum contagiosum. Urethral prolapse can present acutely with a tender mass that may be friable or bleed slightly; it is most common in African American girls and may be confused with a vaginal mass (Fig. 14.2). The classic presentation is a mass symmetrically surrounding the urethra. This condition can be managed medically with the topical application of estrogens (7). The presence of condyloma should prompt questioning about abuse, although it was suggested that condyloma that appears during the first 2 to 3 years of life may be acquired perinatally from maternal infection with human papillomavirus (Fig. 14.3) (8,9). Excoriation and subepithelial hemorrhage (“blood blisters”) into the skin can cause external bleeding in the presence of prepubertal lichen sclerosus; this finding may mistakenly be identified as abuse, and the conditions are not mutually exclusive (Fig. 14.4) (10). Although most gynecologists recognize the appearance of lichen sclerosus in postmenopausal women, the condition can occur in prepubertal girls and may not be recognized by clinicians who are unfamiliar with this condition. As with adults, the cause of lichen sclerosus remains uncertain; a familial incidence was identified (11).
Table 14.3 Causes of Vaginal Bleeding in Prepubertal Girls
|
Vulvar and external |
|
Vulvitis with excoriation |
|
Trauma (e.g., accidental injury [straddle injury] or sexual abuse) |
|
Lichen sclerosus |
|
Condylomas |
|
Molluscum contagiosum |
|
Urethral prolapse |
|
Vaginal |
|
Vaginitis |
|
Vaginal foreign body |
|
Trauma (abuse, penetration) |
|
Vaginal tumor |
|
Uterine |
|
Precocious puberty |
|
Ovarian tumor |
|
Granulosa cell tumor |
|
Germ cell tumor |
|
Exogenous estrogens |
|
Topical |
|
Enteral |
|
Other |
|
McCune-Albright syndrome |
Figure 14.2 Urethral prolapse in prepubertal girl.

Foreign Body
A foreign body in the vagina is a common cause of vaginal discharge, which may appear purulent or bloody. Young children explore all orifices and may place all varieties of small objects inside their vaginas (Fig. 14.5). An object, such as a small plastic toy, can sometimes be palpated on rectal examination, and occasionally “milked” toward the vaginal introitus to allow removal. The most common foreign bodies found in the vagina are small pieces of toilet paper (12). Although it was suggested that the presence of vaginal foreign bodies might be a marker for sexual abuse, this is not always the case; but the possibility of abuse should always be considered.
Precocious Puberty
Vaginal bleeding in the absence of other secondary sexual characteristics may result from precocious puberty (see Chapter 29), although as with normal puberty, the onset of breast budding or pubic hair growth are more likely to occur before vaginal bleeding. A large observational study suggested that the onset of pubertal changes—breast budding and pubic hair—might occur earlier than previously thought (2). Evaluation for precocious puberty was recommended for girls with pubertal development younger than age 8 years. Guidelines proposed evaluation of white girls younger than age 7 years and African American girls younger than age 6 years who have either breast development or pubic hair, rather than the traditional age of 8 (13). An expert panel concluded that there is reasonable evidence that pubertal milestones are occurring at a younger age in girls (3).
Figure 14.3 Perianal condyloma in prepubertal girl.

Figure 14.4 Prepubertal lichen sclerosus.

Figure 14.5 Foreign body (plastic toy) in the vagina of an 8-year-old girl.

Figure 14.6 Straddle injury—vulvar hematoma in a 13-year-old girl.

Trauma
Trauma can be a cause of genital bleeding. A careful history should be obtained from one or both parents or caretakers and the child herself, because trauma caused by sexual abuse often is not recognized. Trauma can be characterized as accidental or nonaccidental, which is described as child abuse. Physical findings that are inconsistent with the description of the alleged accident should prompt consideration of abuse and appropriate consultation or referral to an experienced social worker or sexual abuse team. All states impose a mandatory legal obligation to report suspected child physical abuse; most states specifically require reporting child sexual abuse, but even in those that do not, the laws are broad enough to encompass sexual abuse implicitly (14,15). Notification is required even with the suspicion of sexual abuse. In general, a straddle injury occurring with accidental trauma affects the anterior and lateral vulvar area, whereas penetrating injuries with lesions of the fourchette or lesions that extend through the hymenal ring are less likely to occur as a result of accidental trauma (Fig. 14.6) (16).
Abuse
The medical evaluation of suspected child sexual abuse is best managed by individuals who have experience in assessing the physical findings, laboratory results, and the children’s statements and behaviors. Genital findings are categorized as follows (17):
1. Normal, normal variants, and other conditions
2. Nonspecific findings that may be the result of abuse, depending on the timing of the examination, but that may be due to other causes
3. Concerning for abuse or trauma, including findings that were noted with documented abuse and that may be concerning for abuse, but for which insufficient data exist to determine that abuse is the only cause
4. Clear evidence of blunt force or penetrating trauma.
The overall classification of the likelihood for abuse can be categorized as follows (17):
1. No evidence of abuse
2. Possible abuse
3. Probable abuse
4. Definitive evidence of abuse or sexual contact.
Most cases of child sexual abuse do not come to light with an acute injury and instead are associated with normal or nonspecific genital findings (17,18). Forms of abuse such as fondling or digital penetration may not result in visible genital lesions.
Other Causes
Other serious but rare causes of vaginal bleeding include vaginal tumors. The most common tumor in the prepubertal age group is a rhabdomyosarcoma (sarcoma botryoides), which is associated with bleeding and a grapelike clustered mass (see Chapter 36). Other forms of vaginal tumor are rare but should be ruled out with a thorough examination under anesthesia with vaginoscopy if no other obvious external source of bleeding is found.
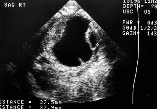
Figure 14.7 Pelvic ultrasound (transabdominal) of a premenarchal 10-year-old girl.

Hormonally active ovarian tumors can cause endometrial proliferation and bleeding. Likewise, exogenously administered estrogens can result in bleeding. Rarely, bleeding can result from the prolonged use of topical estrogens prescribed as therapy for vulvovaginitis or labial adhesions or from accidental ingestion of prescription estrogens.
Diagnosis of Prepubertal Bleeding
Examination
A careful examination is indicated when a child has genital symptoms. The technique of examining the prepubertal child is described in Chapter 1. If no obvious cause of bleeding is visible externally or within the distal vagina, an examination can be performed using anesthesia with vaginoscopy to completely visualize the vagina and cervix. This examination should be performed by a clinician who has experience in pediatric and adolescent gynecology.
Imaging
If an ovarian or vaginal mass is suspected, a transabdominal pelvic ultrasonographic examination can provide useful information. The appearance of the ovaries (normal prepubertal size and volume, follicular development, cystic, or solid) can be noted, as well as the size and configuration of the uterus. The prepubertal uterus has a distinctive appearance, with equal proportions of cervix and fundus and a size of approximately 2 to 3.5 cm in length and 0.5 to 1 cm in width (Fig. 14.7). The uterine fundus enlarges with estrogen stimulation, resulting in the postmenarchal appearance in which the uterine fundus is larger than the cervix (19). An ultrasonographic examination should be the first imaging study performed; more sophisticated imaging techniques, such as magnetic resonance imaging (MRI) or computed tomography (CT) scanning, are rarely indicated as initial diagnostic modalities, and they add unnecessary expense and radiation exposure with CT.
Table 14.4 Causes of Pelvic Mass by Approximate Frequency and Age

Management of Prepubertal Vaginal Bleeding
The management of bleeding in prepubertal-age girls is directed toward the cause of bleeding. If bloody discharge believed to result from nonspecific vulvovaginitis persists despite therapy, further evaluation may be necessary to rule out the presence of a foreign body. Skin lesions (chronic irritation) and lichen sclerosus may be difficult to manage but can be treated with a course of topical steroids; lichen sclerosus often requires the use of ultrahigh-potency topical steroids and ongoing maintenance therapy. Vaginal and ovarian tumors should be managed in consultation with a gynecologic oncologist.
Prepubertal Pelvic Masses
Presentation of Prepubertal Pelvic Masses
The probable causes of a pelvic mass found on physical examination or through radiologic studies are vastly different in prepubertal children than they are in adolescents or postmenopausal women (Table 14.4). A pelvic mass may be gynecologic in origin, or it may arise from the urinary tract or bowel. The gynecologic causes of a pelvic mass may be uterine, adnexal, or more specifically ovarian. Because of the small pelvic capacity of a prepubertal child, a pelvic mass very quickly becomes abdominal in location as it enlarges and may be palpable on abdominal examination. Ovarian masses in this age group may be asymptomatic, associated with chronic pressure-related bowel or bladder symptoms, or may present with acute pain caused by rupture or torsion. Abdominal or pelvic pain is one of the most frequent initial symptoms. The diagnosis of ovarian masses in prepubertal girls is difficult because the condition is rare in this age group and, consequently, there is a low index of suspicion. Many symptoms are nonspecific, and acute symptoms are more likely to be attributed to more common entities such as appendicitis. Abdominal palpation and bimanual rectoabdominal examination are important in any child who has nonspecific abdominal or pelvic symptoms. An ovarian mass that is abdominal in location can be confused with other abdominal masses occurring in children, such as Wilms' tumor or neuroblastoma. Acute pain is often associated with torsion. The ovarian ligament becomes elongated as a result of the abdominal location of ovarian tumors, thus creating a predisposition to torsion. Adnexal torsion is more likely to occur with an ovarian mass than with a normal size ovary. While torsion of a normal ovary is rare in adolescents and adults, it is more likely to occur in prepubertal girls.
Diagnosis of Prepubertal Pelvic Masses
Ultrasonography is the most valuable tool for diagnosing ovarian masses. The characteristics of a pelvic mass can be determined. Whereas both unilocular and multilocular cysts frequently resolve with observation, the finding of a solid component mandates surgical assessment because of the high risk of a germ cell tumor (20). Additional imaging studies, such as CT scanning, MRI, or Doppler flow studies, may be helpful in establishing the diagnosis (21).
Figure 14.8 Management of pelvic masses in premenarchal and adolescent girls.

Differential Diagnosis
Fewer than 2% of ovarian malignancies occur in children and adolescents (22). Ovarian tumors account for approximately 1% of all malignant tumors in these age groups. Germ cell tumors make up one-half to two-thirds of ovarian neoplasms in individuals younger than 20 years of age. A review of studies conducted from 1940 until 1975 concluded that 35% of all ovarian neoplasms occurring during childhood and adolescence were malignant (23). In girls younger than 9 years of age, approximately 80% of the ovarian neoplasms were malignant. Germ cell tumors account for approximately 60% of ovarian neoplasms in children and adolescents compared with 20% of these tumors in adults (23). Epithelial neoplasms are rare in the prepubertal age group; thus, data usually are reported from referral centers. Some reports include only neoplastic masses, whereas others include nonneoplastic masses; some series combine data from prepubertal and adolescent girls. One community survey of ovarian masses revealed that the frequency of malignancy was much lower than previously reported; of all ovarian masses confirmed surgically in childhood and adolescence, only 6% of patients with ovarian enlargement had malignant neoplasms, and only 10% of neoplasms were malignant (24). Surgical decision making influences the statistics on incidence; the surgical excision of functional masses that would resolve in time inflates the percentage of benign masses. In one series, nonneoplastic masses in young women and girls younger than 20 years of age constituted two-thirds of the total (25). Even in girls younger than 10 years of age, 60% of the masses were nonneoplastic, and two-thirds of the neoplastic masses were benign. Authors of older case series were less aware of the benign and functional masses that are now found incidentally with routine sonographic images. Functional, follicular cysts can occur in fetuses, newborns, and prepubertal children (26). Rarely, they may be associated with sexual precocity.
Management of Prepubertal Pelvic Masses
A plan for the management of pelvic masses in prepubertal age girls is shown in Figure 14.8. Unilocular cysts are virtually always benign, even in this age group, and will regress in 3 to 6 months; thus, they do not require surgical management with oophorectomy or oophorocystectomy. Close observation is recommended, and there is a risk of ovarian torsion that must be discussed with the child’s parents (27). Recurrence rates after cyst aspiration (either ultrasonographically guided or with laparoscopy) may be as high as 50%. Attention should be directed to long-term effects on endocrine function and future fertility; preservation of ovarian tissue is a priority for patients with benign tumors. Oophorectomy should be avoided if at all possible for benign masses (28). Premature surgical therapy for a functional ovarian mass can result in ovarian and tubal adhesions that can adversely affect future fertility. Solid masses, those larger than approximately 8 cm, and enlarging masses require surgical intervention, as the likelihood of neoplasm is high.
Prepubertal Vulvar Conditions
Neonatal Vulvar Conditions
Various developmental and congenital vulvovaginal abnormalities occur in the neonatal age group. Whereas an extensive discussion of these abnormalities is beyond the scope of this text, obstetrician-gynecologists will recognize that they must be prepared to deal with the parents and family when an infant is born with ambiguous genitalia. The etiology of these problems, and intersex disorders (now termed disorder of sex development [DSD]) that may be discovered in an older child can be complex (29). Chromosomal abnormalities, enzyme deficiencies (including 17- or 21-hydroxylase deficiency as causes of congenital adrenal hyperplasia), or prenatal masculinization of a female fetus resulting from maternal androgen-secreting ovarian tumors or, rarely, drug exposure can all result in genital abnormalities that are noted at birth. These abnormalities are described in Chapter 31
Ambiguous genitalia represent a social and potential medical urgency that is best handled by a team of specialists, which may include urologists, neonatologists, endocrinologists, and pediatric gynecologists (30). The first question parents ask after a baby is born “is it a boy or a girl?” In the case of ambiguous genitalia, the parents should be informed that the baby’s genitals are not fully developed and, therefore, a simple examination of the external genitalia cannot determine the actual sex. The parents should be told that data will be collected but that it may take several days or longer to determine the baby’s intended sex. In some situations, it may be best to state simply that the baby has some serious medical complications. The issues of sex assignment and appropriateness or timing of surgical therapy are controversial and should be managed by clinicians with extensive experience in this area (29,30).
Other genital abnormalities may be noted at birth, although few obstetricians or pediatricians carefully examine the external genitalia of female neonates. It is argued that careful inspection of the external genitalia of all female infants should be performed, with gentle probing of the introitus and anus to determine the patency of the hymen or a possible imperforate anus. If patency is in doubt, a rectal thermometer may be used to gently test the patency. It is suggested that this examination should be performed on all female infants in the delivery room (31,32). Various types of hymenal configurations in the newborn are described, ranging from imperforate to microperforate, to cribriform, to hymenal bands, and to hymens with central anterior, posterior, or eccentric orifices (33). An examination during the neonatal period would prevent the discovery of an imperforate hymen or vaginal septum after a young woman experiences periodic pelvic and abdominal pain with the development of a large hematometra or hematocolpos (34).
Congenital vulvar tumors may include strawberry hemangiomas, which are relatively superficial vascular lesions, and large cavernous hemangiomas. Treatment is controversial; many lesions will spontaneously regress. Some clinicians have used interferon-α therapy (35,36).
Childhood Vulvar Conditions
Vulvar and vaginal symptoms, such as burning, dysuria, itching, or a rash, are common initial symptoms among children that are reported to gynecologists. It may be difficult for a young child to describe vulvar sensations. Parents may notice the child crying during urination, scratching herself repeatedly, or complaining of vague symptoms. Often, the child’s pediatrician will have evaluated the child for urinary tract infection. Evaluation for pinworms is warranted, because pinworms can cause severe itching in the vulvar as well as perianal area. Vulvovaginitis is the most common gynecologic problem of childhood. Prepubertally, the vulva, vestibule, and vagina are anatomically and histologically vulnerable to bacterial infection, with the bacteria typically present in the perianal area. The physical proximity of the vagina and vestibule to the anus can result in overgrowth of bacteria that can cause primary vulvitis and secondary vaginitis. Yeast infections are rare in prepubertal children who are toilet trained and out of diapers (37).
Figure 14.9 A: Labial adhesions B: Cotton-tipped applicator placed inside the labial adhesions shown in (A).

Figure 14.10 Vulvar aphthosis in prepubertal girl.

The clinician should be familiar with normal prepubertal genital anatomy and hymenal configuration (38,39). The unestrogenized vulvar vestibule is mildly erythematous and can be confused with infection. In addition, smegma around and beneath the prepuce may resemble patches of candida vulvitis. In prepubertal girls, the vulvar area is quite susceptible to chemical irritants.
Chronic skin conditions such as lichen sclerosus, psoriasis, seborrheic dermatitis, and atopic vulvitis may occur in children (40). Lichen sclerosus, the cause of which is not well established, has a characteristic “cigarette paper” appearance in a keyhole distribution (around the vulva and anus) (Fig. 14.4). Lichen sclerosus should be treated in pediatric patients as it is in adults; there is some evidence that the condition may regress as the child progresses through adrenarche and menarche, although this appears to be infrequent. The use of ultrapotent steroids topically has been successful in children and adults (41).
Labial agglutination or adhesions may occur as a result of chronic vulvar inflammation from any cause (Fig. 14.9A). The treatment of labial adhesions consists of a brief course (2 to 6 weeks) of externally applied estrogen cream. The area of agglutination (adhesion) will become thin as a result, and separation can usually be performed in the office with the use of a topical anesthetic (e.g., lidocaine jelly) (Fig. 14.9B). Manual separation in the office without pretreatment with topical estrogen and without anesthesia is discouraged, as this practice may be so traumatic to the child that she will not allow subsequent examination. In the absence of a previously traumatic examination or previous surgical separation with recurrence, surgical separation frequently is not required (42). Treatment with a topical emollient (such as petrolatum) is indicated after lysis to prevent recurrent adhesions. Urethral prolapse may cause acute pain or bleeding, or the presence of a mass may be noted (Fig. 14.2).
Vulvovaginal symptoms of any sort in a young child should prompt the consideration of possible sexual abuse. Sexually transmitted infections may occur in prepubertal children (43). Although vulvar condyloma presenting before age 2 to 3 years can be transmitted during vaginal delivery from the mother or from warts on caretakers' hands, the possibility of abuse should be considered in all children with genital warts (44,45). Condyloma in older girls may be spread in a nonsexual manner, but was classified as “indeterminant” in classification findings that may be associated with sexual abuse (44). Sensitive, but direct, questioning of the parent or caretaker and the child should be a part of the evaluation; if sexual abuse is suspected, the incident must be reported to the appropriate social services agency.
Nonsexually transmitted vulvar ulcers can occur in peripubertal and adolescent girls, often in association with systemic symptoms suggestive of a viral illness (46). Herpes simplex virus, syphilis, and Behçet’s disease can cause vulvar ulcers, and they may occur as a form of genital aphthosis (Fig. 14.10).
Figure 14.11 Catheter technique for obtaining vaginal culture and irrigation.

Prepubertal Vaginal Conditions
Vaginal Discharge in Prepubertal Girls
The symptom of vaginal discharge in the prepubertal age group is almost always caused by inflammation and irritation. In prepubertal girls, the primary site typically is the vulva, with vaginitis following secondarily, whereas in adolescents and adults, vaginitis typically is the primary finding with vulvitis occurring secondarily. Sexual abuse should always be considered in prepubertal children with vaginal discharge or a foreign body (47). Although the routine use of cultures to detect sexually transmitted diseases (STDs) in girls with a history of sexual abuse was questioned, vaginal culture for gonorrhea and chlamydia should be performed in girls who have symptoms that include vaginal discharge (48). In prepubertal girls, vulvovaginitis is usually caused by multiple organisms that are present in the perineal area, although a single organism such as Streptococcus, or even rarely Shigella, may be causative (49). When the cause is related to poor perineal hygiene, cultures often reveal a mixture of bacterial organisms. In this situation, the typical history is intermittent symptoms of irritation, itching, discharge, and odor over many months to years. Treatment should be initiated with a focus on hygiene and cleansing measures (40). A short-term (less than 4 weeks) course of treatment with topical estrogens and broad-spectrum antibiotics may be necessary. The problem is frequently recurrent. In girls who have a relatively acute onset of vaginal discharge and vulvovaginal symptoms, a single bacterial organism is more likely to be the cause of their symptoms.
Pokorny and Stormer described a technique for obtaining vaginal cultures and for performing vaginal irrigation (50). A catheter within a catheter can be fashioned using the tubing from an intravenous butterfly setup within a sterile urethral catheter. Nonbacteriostatic saline (1–3 mL) can be injected, aspirated, and sent for culture (Fig. 14.11). Cultures taken in this manner are almost always better tolerated than cultures obtained using a cotton-tipped applicator. A larger quantity of saline can be used to irrigate the vagina while the catheter is still within the vagina. Small foreign bodies can often be flushed from the vagina in this manner. The most common foreign body is a small piece of toilet paper, although children will place other objects (toys, beans, coins) within their vaginas (Fig. 14.5). A persistent vaginal discharge after treatment or a discharge that is bloody or brown in color without other obvious external lesions should prompt vaginal irrigation or vaginoscopy to rule out a foreign body (12).
Table 14.5 Parameters for Normal Menstrual Cycles in Adolescents
|
Normal |
|
|
Menstrual Cycle Frequency |
21–45 days |
|
Cycle Variation from cycle to cycle |
Less than in adults |
|
Duration of flow |
4–8 days |
|
Volume of flow |
4–80 mL |
|
From Hillard PJ. Menstruation in young girls: a clinical perspective. Obstet Gynecol 2002;99:655–662. |
|
Adolescent Age Group
The adolescent’s experience and expression of illness and pain should be viewed within the context of her life experiences. Most adolescents have limited life experiences with problems such as pain, discomfort, or bleeding. An adolescent may state that she is experiencing the “worst pain of her life” and yet may appear to be reasonably comfortable. She may well be stating the truth about this experience, which the clinician must still interpret differently from the symptoms of an adult woman who, for instance, may be in active labor. It should be remembered that an individual’s response to illness and pain is to some extent a learned behavior.
Adolescent Abnormal Bleeding
Normal Menses in Adolescents
To assess vaginal bleeding during adolescence, it is necessary to understand the range of normal menstrual cycles (see Chapter 7). During the first 2 to 5 years after menarche, most cycles are anovulatory. Despite this, they are somewhat regular, within a range of approximately 21 to 45 days, in contrast to adult women, whose cycles typically range between 21 and 38 days (51–55). In more than one-fourth of girls, a pattern of plus or minus 10 days and a cycle length of 21 to approximately 45 days are established within the first three cycles; in one-half of girls, the pattern is established by the seventh cycle; and in two-thirds of girls, such a pattern is established within 2 years of menarche (53) (Table 14.5).
The mean duration of menses is 4.7 days; 89% of cycles last 7 days. The average blood loss per cycle is 35 mL, and the major component of menstrual discharge is endometrial tissue (56). An 80 mL/cycle is used as a definition of heavy menstrual bleeding and recurrent bleeding in excess of 80 mL/cycle results in anemia, although the clinical utility of the 80 mL/cycle is questioned (57,58).
The common clinical practice of asking how many pads or tampons are soaked on a heavy day or per cycle can give a rough approximation of blood loss (three to five pads per day is typical). Individual variations in fastidiousness, lack of familiarity with the volume of blood loss other than one’s own, and errors in estimation or recollection result in inaccuracies in estimations of menstrual volume. One study found that one-third of individuals who estimated their cycles to be moderate or light had bleeding in excess of 80 mL/cycle, whereas nearly one-half of those who described the bleeding as heavy had flow less than 80 mL/cycle (59). In addition, the amount of menstrual blood contained in each tampon or pad may vary both within brands as well as from one brand to another (57). However, changing a pad hourly, clots larger than “50 pence size,” and requiring a change overnight are associated with a measured volume of greater than 80 mL (58).
The transition from anovulatory to ovulatory cycles during adolescence takes place during the first several years after menarche. It results from the so-called maturation of the hypothalamic–pituitary–ovarian axis, characterized by positive feedback mechanisms in which a rising estrogen level triggers a surge of luteinizing hormone and ovulation. Most adolescents have ovulatory cycles by the end of their second year of menstruation, although most cycles (even anovulatory ones) remain within a rather narrow range of approximately 21 to 42 days.
Table 14.6 Conditions Associated with Anovulation and Abnormal Bleeding
|
Eating disorders |
|
Anorexia nervosa |
|
Bulimia nervosa |
|
Excessive physical exercise |
|
Chronic illness |
|
Primary ovarian insufficiency—POI (previously termed premature ovarian failure [POF]) |
|
Alcohol and other drug abuse |
|
Stress |
|
Thyroid disease |
|
Hypothyroidism |
|
Hyperthyroidism |
|
Diabetes mellitus |
|
Androgen excess syndromes (e.g., polycystic ovary syndrome [PCOS]) |
Differential Diagnosis of Adolescent Abnormal Bleeding
Cycles that are longer than 42 days, bleeding that occurs more frequently than 21 days, and bleeding that lasts more than 7 days should be considered abnormal, particularly after the first 2 years from the onset of menarche. Bleeding occurring less frequently than an internal of 90 days is abnormal, even in the first gynecologic year after menarche (51). The variability in cycle length is greater during adolescence than adulthood; thus, greater irregularity is acceptable if neither significant anemia nor hemorrhage is present. However, consideration should be given to an evaluation of possible causes of abnormal menses (particularly underlying causes of anovulation such as androgen excess syndromes or causes of oligomenorrhea such as eating disorders) for girls whose cycles are consistently outside normal ranges or whose cycles were previously regular and become irregular (60,61). Conditions that are associated with abnormal bleeding are listed in Table 14.6 and more fully discussed in Chapters 29–31.
Anovulation
Anovulatory bleeding can be too frequent, prolonged, or heavy, particularly after a long interval of amenorrhea. The physiology of this phenomenon relates to a failure of the feedback mechanism in which rising estrogen levels result in a decline in follicle-stimulating hormone (FSH) with subsequent decline of estrogen levels. In anovulatory cycles, estrogen secretion continues, resulting in endometrial proliferation with subsequent unstable growth and incomplete shedding. The clinical result is irregular, prolonged, and heavy bleeding.
Studies of adolescent menses show differences in rates of ovulation based on the number of months or years postmenarche. The younger the age at menarche, the sooner regular ovulation is established.In one study, the time from menarche until 50% of the cycles were ovulatory was 1 year for girls whose menarche occurred when they were younger than 12 years of age, 3 years for girls whose menarche occurred between 12 and 12.9 years of age, and 4.5 years for girls whose menarche occurred at 13 years of age or older (62).
Table 14.7 Causes of Bleeding by Approximate Frequency and Age Group

Pregnancy-Related Bleeding
The possibility of pregnancy must be considered when an adolescent seeks treatment for abnormal bleeding (Table 14.7). Bleeding in pregnancy can be associated with a spontaneous abortion, ectopic pregnancy, or other pregnancy-related complications, such as a molar pregnancy. In the United States, 30% of 15- to 17-year-old adolescent girls have had sexual intercourse, as have 70.6% of those 18 to 19 years old (63). Issues of confidentiality for adolescent health care are critical to an adolescent’s willingness to seek appropriate reproductive health care (see Chapter 1).
Exogenous Hormones
The cause of abnormal bleeding that is experienced while an individual is taking exogenous hormones usually is very different from bleeding that occurs without hormonal manipulation (64). Oral contraceptive use is associated with breakthrough bleeding, which occurs in as many as 30% to 40% of individuals during the first cycle of combination pill use. In addition, irregular bleeding can result from missed pills (65,66). Strict compliance with correct and consistent pill taking is difficult for many individuals who take oral contraceptives; one study reported that only 40% of women took a pill every day (67). Other studies suggest that adolescents have an even more difficult time taking oral contraceptives than do adults, missing an average of three pills per month (68). A study of urban teens reported approximately two episodes of three or more consecutive missed pills occurring during each 3-month interval (69). With this many missed pills, it is not surprising that some individuals experience irregular bleeding. The solution is to emphasize consistent pill taking; if the individual is unable to comply with daily pill use, an alternative contraceptive method may be preferable.
All forms of hormonal contraception, from combination and progestin-only minipills, to contraceptive patches, rings, intrauterine devices, and injectable and implantable contraception, can be associated with abnormal bleeding, although studies assessing bleeding have not used uniform methodologies and thus comparisons are difficult (70–72). Irregular bleeding occurs frequently in users of depomedroxyprogesterone acetate (DMPA), although at the end of 1 year, more than 50% of users will be amenorrheic (73,74). The mechanism of bleeding associated with these hormonal methods is not well established; an atrophic endometrium or factors related to angiogenesis may be involved, suggesting options for therapy (64,75). It should not be assumed that any bleeding occurring while an individual is using a hormonal method of contraception is caused by that method. Other local causes of bleeding, such as cervicitis or endometritis, can occur during use of hormone therapy and may be particularly important to consider in adolescents who are at risk for STDs (76,77).
Hematologic Abnormalities
In the adolescent age group, the possibility of a hematologic cause of abnormal bleeding must be considered. One classic study reviewed all visits by adolescent patients to an emergency room with the symptom of excessive or abnormal bleeding (75,78). The most common coagulation abnormality diagnosed was idiopathic thrombocytopenic purpura, followed by von Willebrand disease. Subsequent studies confirmed this association, particularly with excessive bleeding at the time of menarche. Von Willebrand’s disease occurs in approximately 1% of women in the United States and, in its mildest form, menorrhagia may be the only symptom (79–81). Adolescents who have severe menorrhagia, especially at menarche, should be screened for coagulation abnormalities, including von Willebrand disease.
Infections
Irregular or postcoital bleeding can be associated with chlamydial cervicitis. Adolescents have the highest rates of chlamydial infections of any age group, and sexually active teens should be screened routinely for chlamydia(82). Menorrhagia can be the initial sign in patients infected with sexually transmissible organisms. Adolescents have the highest rates of pelvic inflammatory disease (PID) of any age group of sexually experienced individuals (see Chapter 18) (83).
Other Endocrine or Systemic Problems
Abnormal bleeding can be associated with thyroid dysfunction. Signs and symptoms of thyroid disease can be somewhat subtle in teens (see Chapter 31). Hepatic dysfunction should be considered because it can lead to abnormalities in clotting factor production. Hyperprolactinemia can cause amenorrhea or irregular bleeding.
Figure 14.12 Uterus didelphys.

Polycystic ovary syndrome (PCOS) can occur during adolescence, and manifestations of excess androgen (hirsutism, acne) should prompt evaluation, although the diagnostic criteria for PCOS during adolescence are not well established (84). Androgen disorders occur in about 5% to 10% of adult women, making them the most common endocrine disorders in women (see Chapter 31). Classic PCOS, functional ovarian hyperandrogenism, or partial late-onset congenital adrenal hyperplasia can occur in adolescence. These disorders often are overlooked, unrecognized, or untreated.Women with even mild disorders are candidates for intervention, including lifestyle interventions to normalize weight, and pharmacologic interventions to manage abnormal bleeding or hirsutism. These disorders may be a harbinger of type 2 diabetes, endometrial cancer, and cerebrovascular disease. Acne, hirsutism, and menstrual irregularities are often dismissed as normal during adolescence but may be manifestations of hyperandrogenism (52,85). Androgen abnormality can persist beyond adolescence. Obesity, hirsutism, and acne should be evaluated to minimize the significant psychosocial costs. Androgenic changes are partially reversible if detected early and managed appropriately. Behavioral changes in lifestyle (diet and exercise) should be strongly encouraged but are often difficult to achieve. Signs of insulin resistance (acanthosis nigricans) should be evaluated and managed appropriately (86).
Anatomic Causes
Obstructive or partially obstructive genital anomalies typically present during adolescence. Complex müllerian abnormalities, such as obstructing longitudinal vaginal septa or uterus didelphys, can cause hematocolpos or hematometra (Fig. 14.12). If these obstructing anomalies have or develop a small outlet, persistent dark-brownish discharge (old blood) may appear instead of or in addition to a pelvic mass. Many varieties of uterine and vaginal anomalies exist, and clinicians who have expertise with these anomalies should be involved in their management. Figure 14.13 illustrates situations in which abnormal bleeding can result from partially obstructing septa.
Figure 14.13 The types of obstructive or partially obstructive genital anomalies that can occur during adolescence.

Table 14.8 When Should a Gynecologist Suspect a Bleeding Disorder
|
Heavy menstrual bleeding since menarche |
|
Family history of bleeding disorder |
|
Personal history of any of the following: |
|
Epistaxis in the last year |
|
Bruising without injury >2 cm diameter |
|
Minor wound bleeding |
|
Oral or gastrointestinal bleeding without anatomic lesion |
|
Prolonged or heavy bleeding after dental extraction |
|
Unexpected postoperative bleeding |
|
Hemorrhage from ovarian cyst |
|
Hemorrhage requiring blood transfusion |
|
Postpartum hemorrhage, especially delayed >24 h |
|
Failure to respond to conventional management of menorrhagia |
|
From James AH, Kouides PA, Abdul-Kadir R, et al. Von Willebrand disease and other bleeding disorders in women: consensus on diagnosis and management from an international expert panel. Am J Obstet Gynecol2009;201:12e1–e8. |
Diagnosis of Adolescent Abnormal Bleeding
Examination
A careful general physical examination can reveal signs of androgen excess such as acanthosis nigricans or facial, chest or periareolar, or abdominal terminal hair growth. Because body hair is felt by many to be culturally unacceptable in women and girls, sensitive questioning about specific hair removal techniques (bleaching, waxing, use of depilatories, shaving, plucking, threading) is warranted during an examination. A complete pelvic examination is appropriate in patients who are sexually active, are having severe pain, or may have an anatomic anomaly. Testing for gonorrhea and Chlamydia trachomatisinfection is appropriate during a speculum examination if the patient is sexually active. Some young teens who have a history that is classic for anovulation, who deny sexual activity, and who agree to return for follow-up evaluation may be managed with a limited gynecologic examination supplemented with pelvic ultrasonography.
Laboratory Testing
Any adolescent with abnormal bleeding should undergo sensitive pregnancy testing, regardless of whether she states that she has had intercourse. The medical consequences of failing to diagnose a pregnancy are too severe to risk missing the diagnosis. Complications of pregnancy should be managed accordingly. In addition to a pregnancy test, laboratory testing should include a complete blood count with platelet count and screening tests for coagulopathies and platelet dysfunction. An international expert panel made recommendations about when a gynecologist should suspect a bleeding disorder and pursue a diagnosis (Table 14.8). The consensus report recommends measurement of complete blood cell count (CBC), platelet count and function, prothrombin time (PT), activated partial thromboplastin time (PTT), von Willebrand factor (VWF) (measured with ristocetin cofactor activity and antigen, factor VIII), and fibrinogen to be assessed in collaboration with a hematologist (81).
Thyroid studies may be relevant. Testing for STDs may be performed as warranted on either a cervical or a urine specimen using DNA amplification techniques. Cervical cytology testing is generally not appropriate for adolescents, particularly at an emergency or urgent visit for excessive bleeding (87).
Imaging Studies
If the pregnancy test results are positive, pelvic imaging using ultrasonography may be necessary to confirm a viable intrauterine pregnancy and rule out a spontaneous abortion or ectopic pregnancy. If a pelvic mass is suspected on examination, or if the examination is inadequate (more likely to be the case in an adolescent than an older woman) and additional information is required, pelvic ultrasonography may be helpful. Although transvaginal ultrasonographic examination can be more helpful than transabdominal ultrasonography in ascertaining details of pelvic anatomy, the use of the vaginal probe may not be possible in a young girl or one who has not used tampons or had intercourse. Direct communication between the clinician and the radiologist can be helpful in identifying patients who are appropriate candidates for transvaginal ultrasonographic examination, such as those who are sexually active, rather than a blanket prohibition against transvaginal ultrasound examination in adolescents.
Other imaging studies are not indicated as initial testing but may be helpful in selected instances. If a pelvic ultrasonographic examination does not lead to clarification of the anatomy when vaginal septa, uterine septa, uterine duplication, or vaginal agenesis is suspected, MRI can be helpful in delineating anatomic abnormalities (88). This imaging technique is useful in the evaluation of uterine and vaginal developmental anomalies, although laparoscopy can still play a role in the clarification of abnormal anatomy (89). CT scanning may be helpful in detecting nongenital intra-abdominal abnormalities.
Management of Abnormal Bleeding
Management of bleeding abnormalities related to pregnancy, thyroid dysfunction, hepatic abnormalities, hematologic abnormalities, or androgen excess syndromes should be directed to treating the underlying condition. Oral contraceptives can be extremely helpful in managing androgen excess syndromes, inherited bleeding disorders, and anovulation, although an appropriate evaluation should be performed prior to initiation of hormonal contraception (90–92).
Treatment with mefenamic acid and other nonsteroidal anti-inflammatory agents (NSAIDs) results in decreased menstrual bleeding when compared with placebo (93). Tranexamic acid, an antifibrinolytic agent, is more effective in decreasing heavy menstrual bleeding, and was approved by the U.S. Food and Drug Administration (FDA) for this indication in late 2009 (93a). After specific diagnoses are ruled out by appropriate laboratory testing, this condition can be managed either expectantly or with hormone therapy, depending on the clinical presentation and other factors, such as the need for contraception.
Anovulation: Mild Bleeding
Adolescents who have mildly abnormal bleeding, as defined by adequate hemoglobin levels and minimal disruption of daily activities, are best managed with prospective menstrual charting, frequent reassurance, close follow-up, and supplemental iron. If the patient is bleeding heavily or for a prolonged interval, an apparent decrease in the bleeding does not necessarily mean that therapy is not required. Intermittent bleeding characterizes anovulatory bleeding and is likely to continue in the absence of therapy.
A patient who is mildly anemic will benefit from hormone therapy. If the patient is not bleeding at the time of evaluation and has no contraindications to the use of estrogen, a combination low-dose oral contraceptive can be prescribed for use in the manner in which it is used for contraception. If the patient is not sexually active, she should be reevaluated after three to six cycles to determine whether she desires to continue this regimen. Parents may sometimes object to the use of oral contraceptives if their daughter is not sexually active (or if they believe her not to be or even if they would like her not to be). These objections are frequently based on misconceptions about the potential risks of the pill and can be overcome by careful explanation of the pill’s role as medical therapy. Objections may be based on concerns that hormonal therapy for medical indications is likely to hasten the onset of coitarche or sexual debut, although no data support this fear. If the medication is discontinued when the young woman is not sexually active and she subsequently becomes sexually active and requires contraception, it may be difficult to explain the reinstitution of oral contraceptives to the parents. If there is no significant medical or family history that would preclude their use, combination oral contraceptives are especially appropriate for the management of abnormal bleeding in adolescents for a number of reasons:
1. Approximately 50% of high schools juniors in the United States are sexually experienced (63).
2. Adolescents typically wait many months after initiating sexual activity to seek medical contraception.
3. At least 80% of adolescent pregnancies are unintended (94).
4. Approximately one-quarter of adolescent pregnancies end in abortion (95).
5. Approximately one in three young women will experience a pregnancy before age 20 (96).
Thus, consideration should certainly be given to continuing the oral contraception use, and parents should be reassured that the medical risks are small in otherwise healthy adolescents and that there are no significant risks associated with prolonged use. Individuals may choose to continue oral contraceptives for contraception or their noncontraceptive benefits (improvement of acne, decreased dysmenorrhea, and lighter, more regular menstrual flow, protective effect for endometrial and ovarian cancer).
Sometimes, providing parents with accurate information about the safety of oral contraceptives, emphasizing that currently available oral contraceptive preparations contain lower doses of estrogens and progestins than those used in the 1960s and 1970s, and emphasizing the hormonal rather than contraceptive function may not be persuasive. In such cases, cyclic progestins are an alternative. A systematic review of the use of combination hormonal therapy versus progestins alone for the treatment of anovulatory bleeding found a paucity of evidence supporting the efficacy of one management regimen over another (97). Medroxyprogesterone acetate, 5 to 10 mg/day for 10 to 13 days every 1 to 2 months, prevents excessive endometrial buildup and irregular shedding caused by unopposed estrogen stimulation. This therapy should be reevaluated regularly and accompanied by oral administration of iron. Eventual maturation of the hypothalamic–pituitary–ovarian axis usually will result in the establishment of regular menses unless there are underlying conditions such as hyperandrogenism.
Acute Bleeding
Moderate
Patients who are bleeding acutely but in a stable condition and do not require hospital admission will require doses of hormones that are higher than those in oral contraceptives to effectively stop anovulatory bleeding. An effective regimen is the use of combination monophasic oral contraceptives (every 6 hours for 4 to 7 days). After that time, the dose should be tapered or stopped to allow shedding of the dyssynchronous endometrium and withdrawal bleeding. With this therapy, the patient and her parents should be given specific written and oral instructions warning them about the potential side effects of high-dose hormone therapy—nausea, breast tenderness, and breakthrough bleeding. The patient should be instructed to call with any concerns rather than discontinue the pills, and she must understand that stopping the prescribed regimen may result in a recurrence of heavy bleeding. Both the patient and her mother should be warned to expect heavy withdrawal flow for the first period. It will be controlled by the institution of combination low-dose oral contraceptive therapy, given once daily and continued for three to six cycles, to allow regular withdrawal flow. If the patient is not sexually active, the pill may be discontinued after the recommended course of therapy and the menstrual cycles may be reassessed.
Emergency Management
The decision to hospitalize a patient depends on the rate of current bleeding and the severity of any existing anemia. The actual acute blood loss may not be reflected adequately in the initial blood count but will be revealed with serial hemoglobin assessments. The cause of acute menorrhagia may be a primary coagulation disorder; thus, measurements of coagulation and hemostasis, including screening for coagulopathy, should be performed for any adolescent patients with acute menorrhagia, as noted above in the recommendations of an international panel (81). Von Willebrand disease, platelet disorders, or hematologic malignancies can cause menorrhagia. Depending on the patient’s level of hemodynamic stability or compromise, a blood sample can be analyzed for type and screen. The decision to transfuse must be considered carefully, and the benefits and risks should be discussed with the adolescent and her parents. Generally, there is no need for transfusion unless the patient is hemodynamically unstable.
In patients who, by exclusion, are diagnosed as having anovulatory bleeding, hormone therapy usually makes it possible to avoid surgical intervention (dilation and curettage [D&C], operative hysteroscopy, or laparoscopy). A patient who is hospitalized for severe bleeding requires aggressive management as follows:
1. After stabilization, when appropriate laboratory assessment and an examination established a working diagnosis of anovulation, hormonal management will usually control bleeding.
2. Estrogen-progestin therapy in the form of combined oral contraceptives given as one or two pills twice a day for 5 to 7 days is typically effective within 12 to 24 hours. Alternatively, conjugated estrogens, either 25 to 40 mg given intravenously every 6 hours or 2.5 mg given orally every 6 hours, will usually be effective (98).
3. If this hormonal therapy is not effective, the patient should be reevaluated and the diagnosis should be reassessed. The failure of hormonal management suggests that a local cause of bleeding is more likely. In this event, consideration should be given to a pelvic ultrasonographic examination to determine any anatomic causes of bleeding (such as uterine leiomyomas, endometrial polyps, or endometrial hyperplasia) and to assess the presence of intrauterine clots that may impair uterine contractility and prolong the bleeding episode. Although anatomic causes of heavy menstrual bleeding are rare in adolescents, they become increasingly common in women of reproductive age.
4. If intrauterine clots are detected, evacuation of the clots (suction curettage or D&C) is indicated. Although a D&C will provide effective immediate control of the bleeding, it is unusual to reach this step in adolescents.
More drastic forms of treatment other than a D&C (such as ablation of the endometrium by laser or cryotherapy) are considered inappropriate for adolescents because of concerns about future fertility.
If intravenous or oral administration of hormonal therapy controls the bleeding, oral progestin therapy should be instituted and continued for several days to stabilize the endometrium. This therapy can be accomplished by using a combination oral contraceptive, usually one with 30 to 35 mg of estrogen, or by using the tapering regimen previously described. The medication can be tapered and ultimately must be stopped to allow withdrawal bleeding, which may be heavy, given an excessively built-up endometrium. Low-dose combination oral contraception once daily should be continued for three to six cycles, or longer if desired, to provide normal menstrual cycles. Manipulation of the regimen by increasing or decreasing the dose of oral contraceptives to twice a day or three times a day after the initial high dose therapy should be discouraged.
In general, the prognosis for regular ovulatory cycles and subsequent normal fertility in young women who experience an episode of abnormal bleeding is good, particularly for patients who develop abnormal bleeding as a result of anovulation within the first years after menarche and in whom there are no signs of other specific conditions. Some girls, including those in whom there is an underlying medical cause, such as PCOS, will continue to have abnormal bleeding into middle and late adolescence and adulthood and will benefit from the ongoing use of oral contraceptives to manage hirsutism, acne, and irregular periods. Ovulation induction may ultimately be necessary to achieve fertility in these individuals, although teens should be advised that they should not assume that they are infertile. Individuals with coagulopathies may benefit from ongoing oral contraceptive use, use of tranexamic acid, or intranasal desmopressin (99).
A progestin-releasing intrauterine device (IUD) can be effective in managing heavy bleeding, and may be appropriate for adolescent use (100,101). The levonorgestrel IUD is approved by the FDA for treatment of heavy menstrual bleeding in women requiring contraception and is recommended as first-line medical therapy for this group of women (102).
Long-Term Menstrual Suppression
For patients with underlying medical conditions, such as coagulopathies, a malignancy requiring chemotherapy, or developmental disabilities, long-term therapeutic amenorrhea with menstrual suppression using the following regimens may be necessary or helpful (103):
1. Progestins such as oral norethindrone, norethindrone acetate, or medroxyprogesterone acetate on a continuous daily basis (104).
2. Continuous (noncyclic) combination regimens of oral estrogen and progestins (birth control pills) or other forms of combination estrogen/progestins (transdermal patch, vaginal ring) that do not include a withdrawal bleeding–placebo week (105,106).
3. Depot formulations of progestins (DMPA), with or without concurrent estrogens (104).
4. Gonadotropin-releasing hormone (GnRH) analogues with or without estrogen add-back therapy (105).
5. Levonorgestrel intrauterine system (IUS) (107).
The choice of regimen depends on the presence of any contraindications (such as active liver disease precluding the use of estrogens) and the clinician’s experience. Although the goal of these long-term suppressive therapies is amenorrhea, all of these regimens may be accompanied by breakthrough bleeding. At 1 year, rates of amenorrhea approach 90% with extended cycle combination oral contraceptives, 50% with DMPA, and 50% with the levonorgestrel IUS (73,108,109). Because both DMPA and GnRH analogues are associated with disadvantageous effects on bone mineral density, the potential risks must be weighed against their medical benefits. Regular follow-up visits and continued patient encouragement are required with all of these options. Episodes of spotting and breakthrough bleeding that do not result in a lowered hemoglobin level may be managed expectantly. When breakthrough bleeding affects the hemoglobin level, it should be evaluated with respect to the underlying disease. For example, in a patient with underlying platelet dysfunction, breakthrough bleeding may reflect a lowered platelet count. Bleeding in a patient with hepatic disease may reflect worsening hepatic function. NSAIDs and supplemental low-dose hormonal therapy can be helpful in the management of excessive breakthrough bleeding that has no specific cause other than the hormone therapy (110).
Adolescent Pelvic Masses
Presentation
Adolescents with pelvic masses may be asymptomatic or may have chronic or acute symptoms. An ovarian mass may be discovered incidentally when an ultrasonographic examination is performed to evaluate the urinary system or when imaging is performed to evaluate pelvic pain. The mere presence of a mass on imaging studies does not always indicate that the mass is the cause of pelvic pain. A “ruptured ovarian cyst” is a classic diagnosis when an adolescent presents with pelvic pain, even if ultrasonography findings suggest only a simple cystic follicle and a physiologic amount of pelvic fluid that are unlikely to cause pain. Alternatively, ovarian masses can cause severe acute or intermittent symptoms caused by torsion, intraperitoneal rupture, or bleeding into the ovarian tissue (Fig. 14.14). These conditions can represent a true surgical emergency or urgency, and their diagnoses can be challenging. The pressure of an enlarging ovarian mass can cause bowel-related symptoms such as constipation, vague discomfort, and early satiety; urinary frequency; or even ureteral or bladder neck obstruction.
Figure 14.14 Adnexal mass with torsion.

Diagnosis
The history and pelvic examination are critical in the diagnosis of a pelvic mass. Considerations in adolescents include the anxiety associated with a first pelvic examination, as well as issues of confidentiality related to questions about sexual activity. Techniques for history taking and the performance of the first examination are discussed in Chapter 1.
Laboratory studies should always include a pregnancy test (regardless of stated sexual activity), and a complete blood count may be helpful in diagnosing inflammatory masses. Tumor markers, including α-fetoprotein and human chorionic gonadotropin (hCG), may be elaborated by germ cell tumors and can be useful in preoperative diagnosis and follow-up (see Chapter 37).
As in all other age groups, the primary diagnostic technique for evaluating pelvic masses in adolescents is ultrasonography. Although transvaginal ultrasonographic examinations may provide more detail than transabdominal ultrasonography, particularly with inflammatory masses, a transvaginal examination may not be well tolerated by adolescents (111). Ultrasonography usually is the most helpful imaging technique for assessing ovarian masses. For cases in which the suspected diagnosis is appendicitis or another nongynecologic condition, or if the results of the ultrasonographic examination are inconclusive, CT or MRI may be helpful. An accurate preoperative assessment of anatomy is critical, particularly in cases of uterovaginal malformations. MRI can be useful for evaluating this group of rare anomalies (88). Adolescents who present with abdominal pain should be evaluated with some type of imaging procedure because an unexpected finding of a complex uterine or vaginal anomaly requires careful surgical planning and management.
Differential Diagnosis of Adolescent Pelvic Masses
Ovarian Masses in Adolescents
Many studies of ovarian tumors in the pediatric and adolescent age group do not distinguish between prepubertal or premenarchal girls and menarchal adolescents. The findings of some reports are based on age group, although this is less helpful than a distinction by pubertal development. In evaluating a pelvic or abdominal mass, the clinician must take into consideration the patient’s pubertal status because the likelihood of functional masses increases after menarche (Table 14.4). The risk of malignant neoplasms is lower among adolescents than among younger children. Germ cell tumors are the most common tumors of the first decade of life but occur less frequently during adolescence (see Chapter 37). Mature cystic teratoma is the most frequent neoplastic tumor of children and adolescents, accounting for more than one-half of ovarian neoplasms in women younger than 20 years of age (112). Epithelial neoplasms occur with increasing frequency beyond adolescence.
It is well established that neoplasia can arise in dysgenetic gonads. The risk of malignant tumors in dysgenetic gonads of patients with a Y chromosome depends on the nature of the disorder of sex development, the presence of the gonadoblastoma region of the Y chromosome, and other factors—both established and as yet unknown (113). A number of genes involved in gonadal differentiation were described. In the past, it was stated that the risk of malignant tumors is approximately 25%, and thus gonadectomy was recommended (114). Other perspectives suggest that a gonadal biopsy may allow the estimation of individual risk and permit a more conservative approach to gonadectomy. A multidisciplinary approach to diagnosis of disorders of sex development with attention to biological, genetic, and psychological factors is advocated (115). Functional ovarian cysts occur frequently in adolescence. They may be an incidental finding on examination or may be associated with pain caused by torsion, leakage, or rupture. Paratubal cysts represent embryologic remnants that may be confused with an ovarian mass; they are typically asymptomatic, but can be associated with adnexal torsion (Fig. 14.14). Adnexal or ovarian torsion is a challenging diagnosis to make in prepubertal girls or adolescents; torsion of a mass is more likely to occur than is torsion of normal adnexa, although this can occur. Doppler ultrasound examination may not predict the presence of torsion, although discrepancy in ovarian volume and large volume of the torsed adnexa may be helpful in making the diagnosis (116,117). Management should consist of detorsion rather than oophorectomy, even if the mass appears to have no blood flow, as recovery of ovarian function is likely (118).
Endometriosis is less common during adolescence than in adulthood, although it can occur during adolescence. In one study of adolescents referred with chronic pain, 50% to 65% had endometriosis (119). Although endometriosis can occur in young women with obstructive genital anomalies (presumably as a result of retrograde menstruation), most adolescents with endometriosis do not have associated obstructive anomalies. In young women, endometriosis may have an atypical appearance characterized by nonpigmented or vesicular lesions, peritoneal windows, and puckering (120).
Uterine Masses in Adolescents
Other causes of pelvic masses, such as uterine abnormalities, are rare in adolescence. Uterine leiomyomas are not often seen in this age group. Obstructive uterovaginal anomalies occur during adolescence, at the time of menarche, or shortly thereafter. Frequently, the correct diagnosis either is not suspected or is delayed (121). A wide range of anomalies can occur, from imperforate hymen to transverse vaginal septa; from vaginal agenesis with a normal uterus and functional endometrium to vaginal duplications with obstructing longitudinal septa, and obstructed uterine horns (Fig. 14.13). Patients may seek treatment for cyclic pain, amenorrhea, vaginal discharge, or an abdominal, pelvic, or vaginal mass. A hematocolpos, hematometra, or both frequently will be present, and the resulting mass can be quite large (34).
Inflammatory Masses in Adolescents
Of all age groups of sexually active women, adolescents have the highest rates of PID (83). Thus, an adolescent who has pelvic pain may have an inflammatory mass. Such masses may consist of a tubo-ovarian complex (a mass of matted bowel, tube, and ovary), tubo-ovarian abscess (a mass consisting primarily of an abscess cavity within an anatomically defined structure such as the ovary), pyosalpinx, or, chronically, hydrosalpinx.
The diagnosis of PID is primarily a clinical one based on the presence of lower abdominal, pelvic, and adnexal tenderness; cervical motion tenderness; a mucopurulent discharge; and elevated temperature, white blood cell count, or sedimentation rate (see Chapter 18). The risk of PID is clearly associated with that of acquiring STDs, and methods of contraception may either decrease the risk (male latex condoms) or increase it (the intrauterine device in the interval immediately after insertion) (122,123).
Figure 14.15 A: Paratubal cyst. B: Paratubal cyst, incised.

Pregnancy
In adolescents, pregnancy should always be considered as a cause of a pelvic mass. In the United States, nearly half of adolescent women have experienced sexual intercourse (124). Most pregnancies in adolescents are unintended; 100% of pregnancies in adolescents younger than age 15, 87% in women aged 15 to 17, and 79% in women aged 18 to 19 are unintended (94). Adolescents may be more likely than adults to deny the possibility of pregnancy because of wishful thinking, anxiety about discovery by parents or peers, or unfamiliarity with menstrual cycles and information about fertility. Ectopic pregnancies may cause pelvic pain and an adnexal mass. The increasing incidence of ectopic pregnancies in the United States is strongly associated with rising rates of PID. With the availability of quantitative measurements of β-hCG, more ectopic pregnancies are being discovered before rupture, allowing conservative management with laparoscopic surgery or medical therapy (see Chapter 20). The risk of ectopic pregnancy varies by method of contraception; users of no contraception have the highest risk, whereas oral contraceptive users have the lowest risk (125). As with older patients, paraovarian cysts and nongynecologic masses can appear as a pelvic or abdominal mass in adolescents (Fig. 14.15).
Management of Pelvic Masses in Adolescents
The management of masses in adolescents depends on the suspected diagnosis and the initial symptom. Figure 14.8 outlines a plan of management for pelvic masses in adolescents. Asymptomatic unilocular cystic masses are best managed conservatively because the likelihood of malignancy is low. If surgical management is required based on symptoms or uncertainty of diagnosis, attention should be directed to minimizing the risks of subsequent infertility resulting from pelvic adhesions. In addition, every effort should be made to conserve ovarian tissue. In the presence of a malignant unilateral ovarian mass, management may include unilateral oophorectomy rather than more radical surgery, even if the ovarian tumor metastasized (see Chapter 37). Analysis of frozen sections may not be reliable. In general, conservative surgery is appropriate; further surgery can be performed, if necessary, after an adequate histologic evaluation of the ovarian tumor.
When symptoms persist in a patient with the clinical diagnosis of PID or tubo-ovarian abscess, laparoscopy should be considered to confirm the diagnosis. A clinical diagnosis may be incorrect in as many as one-third of patients (118). The surgical management of inflammatory masses is rarely necessary in adolescents, except to treat rupture of tubo-ovarian abscess or failure of medical management with broad-spectrum antibiotics (see Chapter 18). Some surgeons advocated laparoscopy to perform irrigation, lysis of adhesions, drainage of unilateral or bilateral pyosalpinx or tubo-ovarian abscess, or extirpation of significant disease (126). If surgical management is required because of failed medical therapy, conservative, unilateral adnexectomy usually can be performed in these situations, rather than a pelvic clean-out, thereby maintaining reproductive potential. Percutaneous drainage, transvaginal ultrasonographic drainage, and laparoscopic management of tubo-ovarian abscesses are being done more often, although evidence supporting this approach is sparse. As with the laparoscopic management of ovarian masses, the surgeon’s skill and experience with this procedure are critical, and prospective studies on its effectiveness are lacking (127). Laparoscopic management is associated with a risk of major complications, including bowel obstruction and bowel or vessel injury (128).
Figure 14.16 Hymenal band.

Adolescent Vulvar Conditions
Disorders of sex development may cause genital ambiguity, typically noted at birth, although virilization may occur at puberty (29). Adolescents with gonadal dysgenesis or androgen insensitivity may have abnormal pubertal development and primary amenorrhea (see Chapters 29 and 30). Various developmental anomalies—vaginal agenesis, imperforate hymen, transverse and longitudinal vaginal septa, vaginal and uterine duplications, hymenal bands, and septa—most frequently are diagnosed in early adolescents with amenorrhea (for the obstructing abnormalities) or with concerns such as inability to use tampons (for hymenal and vaginal bands and septa). These developmental abnormalities must be evaluated carefully to determine both external and internal anatomy.
A tight hymenal ring may be discovered when the patient seeks care because of concerns about the inability to use tampons or have intercourse. Both manual dilation and small relaxing incisions at 6 o'clock and 8 o'clock in the hymenal ring can be effective. This procedure can sometimes be done in the office using local anesthesia but may require conduction or general anesthesia in the operating room. Hymenal bands are not rare and lead to difficulty in using tampons; they usually can be incised in the office using local anesthetic (Fig. 14.16). Hypertrophy of the labia minora may be considered a variant of normal, and reassurance rather than a cosmetic surgical reduction is appropriate as the primary therapy. Surgical management is described, although the procedure could be considered to be esthetic rather than medically mandated. Genital ulcerations may occur in girls with leukemia or other cancers requiring chemotherapy (129,130). Vulvar ulcerations in the absence of sexual activity or infectious etiology are described as vulvar aphthosis (46) (Fig. 14.10). The possibility of sexual abuse, incest, or involuntary intercourse should be considered for young adolescents with vulvovaginal symptoms, STDs, or pregnancy.
Figure 14.17 Candidal vulvitis.

Figure 14.18 Extensive vulvar condyloma.

The presence of vulvar symptoms such as itching or burning may prompt a patient to seek care; however, this anatomic site is not one that is easily inspected by the patient. Thus, vulvar lesions may be found on examination that were not noticed by the patient. Vulvar self-examination should be encouraged and could potentially result in the earlier diagnosis of vulvar lesions such as melanoma. Adolescents presenting with vulvar itching may have lichen sclerosus; this condition can be relatively asymptomatic, even when an examination reveals loss of anatomic structures and scarring (11) (Fig. 14.4).
Adolescents and adults often incorrectly self-diagnose vulvovaginal candidiasis; in one study, only one-third of women with self-diagnosed yeast vaginitis were found to have this infection (131) (see Chapter 18). A clinical examination and appropriate testing can be performed even on young adolescents using a clinician or self-obtained cotton swab to obtain vaginal secretions for pH testing and microscopic examination (Fig. 14.17).
Vulvar condyloma is an extremely common cause of vulvar lesions in adolescents (see Chapter 18). Genital warts can affect the vulva, perineum, and perianal skin, and the vagina, urethra, and anus (Fig. 14.18). Condyloma in adolescents typically is sexually transmitted. It may be asymptomatic or cause symptoms of itching, irritation, or bleeding. Symptomatic, enlarging, or extensive vulvar condyloma can be managed with topical medication applied by the patient or clinician. The choice of treatment should be guided by patient preference, available resources, and the clinician’s experience; no one treatment is superior to the others (132). The availability of a quadrivalent human papillomavirus (HPV) vaccine that includes HPV types 6 and 11 potentially will have a beneficial impact on the incidence of vulvar condyloma and HPV-related vulvar intraepithelial neoplasia (VIN) (133).
Adolescent Vaginal Conditions
Vulvovaginal symptoms in adolescents may be caused by a variety of conditions, ranging from vulvar lichen sclerosus to urinary tract infection to C. trachomatis to non-STD-related vaginitis. Urinary or vaginal symptoms do not differentiate well between urinary tract infections (UTIs) and vaginitis. Adolescent girls who are screened for both C. trachomatis and UTI have high rates of concurrent disease (134). Because clinical diagnosis based on symptoms is imprecise, female adolescents with vaginal or urinary symptoms should be tested for both C. trachomatis and UTI. Testing with DNA-based procedures may be performed on samples obtained from the cervix, from swabs of vaginal secretions (either clinician or patient obtained), and from urine specimens. Testing that does not involve a speculum examination may be particularly helpful for adolescents; a rigorous review concluded that noninvasive chlamydia testing was comparable to cervical or urethral screening, although this was not the case with testing for gonorrhea (126,135).
Discharge is one of the most common vaginal symptoms. Conditions ranging from vaginal candidiasis to chlamydia cervicitis to bacterial vaginosis may cause vaginal discharge in adolescents. Infectious vaginal conditions are described in more detail in Chapter 18. The risks of self-diagnosis of vaginal discharge in adolescents may be greater than in adult women, as infection with STDs—including Neisseria gonorrhoea, Trichomonas vaginalis, C. trachomatis, herpes simplex, and Condyloma acuminata—are common in adolescents and may be less likely recognized.
Use of tampons is associated with both microscopic and macroscopic ulcerations. Healing of the macroscopic ulcerations occurs within several weeks without specific therapy if tampon use is suspended. A follow-up examination to demonstrate healing is appropriate, with biopsy of any persistent ulcerations to rule out other lesions.
Toxic shock syndrome (TSS) is associated with tampon use and vaginal exotoxins produced by Staphylococcus aureus. This syndrome consists of fever, hypotension, a diffuse erythroderma with desquamation of the palms and soles, plus involvement of at least three major organ systems (136). Vaginal involvement includes mucous membrane inflammation. The frequency of TSS appears to be declining, and an increasing percentage of cases are not associated with menses. Approximately one-half of all cases of TSS are menstrual related (137). Epidemiologic studies suggest that adolescents are at greater risk of menstrual TSS than older women; however, this finding does not appear to be explained by differences in the detection of antibodies to the TSST-1 toxin-producing strain of S. aureus or in S. aureus vaginal colonization rates (138).
Abscesses of Bartholin and Skene’s glands are related to both aerobic and anaerobic organisms, with mixed infections accounting for approximately 60% of these and other vulvar and labial abscesses, although the possibility of methicillin-resistant S. aureus (MRSA) infections must be kept in mind (139,140). Therapy consists of surgical drainage, with use of antibiotics as a secondary measure. In younger adolescents, incision and drainage with insertion of a Word indwelling catheter may require general anesthesia (140).
Reproductive-Age Group
Reproductive-Age Abnormal Bleeding
Normal Menses
After adolescence, menstrual cycles generally conform to a cycle length of 21 to 38 days, with menstrual flow duration of fewer than 7 days (Table 14.9). As a woman approaches menopause, cycle length becomes more irregular as fewer cycles are ovulatory (51,141). The most frequent cause of irregular bleeding in the reproductive age group is hormonal, although other causes such as pregnancy-related bleeding (spontaneous abortion, ectopic pregnancy) should always be considered (Table 14.4). A variety of terms are used to describe abnormal menses; it is strongly recommended by an international panel of experts that the confusing terms noted in Table 14.10 be abandoned in favor of a much simpler system with description of cycle regularity (irregular, regular, or absent), frequency (frequent, normal, or infrequent), duration (prolonged, normal, or shortened), and heaviness of bleeding episodes (heavy, normal, or light) (Table 14.11) (141). Prospective charting of bleeding can be helpful in characterizing abnormal bleeding. The mean duration of menses is 4.7 days; 89% of cycles last 7 days or longer. The average blood loss per cycle is 35 mL (56). Menses is a suspension of blood- and tissue-derived solids within a mixture of serum and cervicovaginal fluid; the blood content of menses varies over the days of bleeding, but on average is close to 50% (142). Recurrent bleeding in excess of 80 mL/cycle results in anemia.
Table 14.9 Parameters for Normal Menstrual Cycles in Women of Reproductive Age
|
Normal |
|
|
Menstrual cycle frequency |
24–38 |
|
Cycle variation from cycle to cycle |
2–20 days |
|
Duration of flow |
4–8 days |
|
Volume of flow |
4–80 mL |
|
Data from Fraser IS, Critchley HO, Munro MG. Abnormal uterine bleeding: getting our terminology straight. Curr Opin Obstet Gynecol 2007;19:591–595. |
|
Table 14.10 Abnormal Menses—Terminology

Differential Diagnosis of Abnormal Bleeding in Reproductive-Age Women
Dysfunctional Uterine Bleeding
The term dysfunctional uterine bleeding (DUB) is used to describe abnormal bleeding for which no specific cause was found. It is used as a diagnosis rather than a symptom; although there is no agreement about a simpler term to replace the phrase, idiopathic heavy, regular bleeding, idiopathic heavy, irregular bleeding, and idiopathic prolonged, irregular bleeding were suggested (141). DUB is often used as a diagnosis of exclusion, which is probably more confusing than enlightening. Other terms that are commonly used to describe bleeding abnormalities include anovulatory uterine bleeding and abnormal uterine bleeding (143).
Most anovulatory bleeding results from what is termed estrogen breakthrough. In the absence of ovulation and the production of progesterone, the endometrium responds to estrogen stimulation with proliferation. This endometrial growth without periodic shedding results in eventual breakdown of the fragile endometrial tissue. Healing within the endometrium is irregular and dyssynchronous. Relatively low levels of estrogen stimulation will result in irregular and prolonged bleeding, whereas higher sustained levels result in episodes of amenorrhea followed by acute, heavy bleeding.
Table 14.11 Menstrual Terminology

Pregnancy-Related Bleeding
Spontaneous abortion can be associated with excessive or prolonged bleeding. A woman may be unaware that she conceived and may seek care because of abnormal bleeding. In the United States, more than 50% of pregnancies are unintended, and about 7% of women are at risk for unintended pregnancy but use no method of contraception (94,144). These women may be at particular risk for bleeding related to an unsuspected pregnancy. About one-half of unintended pregnancies result from nonuse of contraception; the other one-half result from contraceptive failures (145). Unintended pregnancies are most likely to occur among adolescents and women older than 40 years of age (see Chapter 10). If an ectopic pregnancy is ruled out, the management of spontaneous abortion may include either observation, if the bleeding is not excessive; medical or pharmacologic uterine evacuation (with misoprostol); or surgical management with suction curettage or D&C, depending on the clinician’s judgment and the patient’s preference (146–148). Surgical management appears to be the most likely technique to result in complete evacuation; lower rates of success are seen with both medical and expectant management, although the type of miscarriage and gestational age affect these rates (149) (see Chapter 20).
Exogenous Hormones
Irregular bleeding that occurs while a woman is using contraceptive hormones should be considered in a different context than bleeding that occurs in the absence of exogenous hormone use. Breakthrough bleeding during the first 1 to 3 months of oral contraceptive use occurs in as many as 30% to 40% of users; it should almost always be managed expectantly with reassurance because the frequency of breakthrough bleeding decreases with each subsequent month of use (66). Irregular bleeding can result from inconsistent use (150–152). Other estrogen-progestin delivery systems, including the contraceptive patch, vaginal ring, and intramuscular regimens, are associated with irregular breakthrough bleeding. These nondaily contraceptive regimens may promote successful use, making irregular bleeding a less important factor for some women in assessing the balance of risks versus benefits (see Chapter 10).
Use of progestin-only methods—including DMPA, progestin-only pills, the contraceptive implant, and the levonorgestrel IUS—is associated with relatively high rates of initial irregular and unpredictable bleeding; rates of amenorrhea vary over time and by method (142,153). Because irregular bleeding is so often present with these methods of contraception, counseling before their use is imperative. Women who do not believe that they can cope with irregular, unpredictable bleeding may not be good candidates for these methods. Hormonal implants and IUDs releasing progestins do offer significant benefits of high efficacy and ease of use (154). The management of irregular bleeding with hormonal contraceptive use can range from reassurance and initial expectant management to recommendations for a change in the hormonal delivery system or regimen. The use of additional oral estrogen improves bleeding with both DMPA and the subdermal levonorgestrel. The use of NSAIDs results in decreased breakthrough bleeding. The development of a better understanding of the mechanisms causing irregular bleeding will likely result in more effective and acceptable management strategies (153).
Not all bleeding that occurs while an individual is using hormonal contraception is a consequence of hormonal factors. In one study, women who experienced irregular bleeding while taking oral contraceptives had a higher frequency of C. trachomatis infection (76). Thus, screening should be considered in women presenting with irregular bleeding while using hormonal contraception.
Endocrine Causes
Both hypothyroidism and hyperthyroidism can be associated with abnormal bleeding. With hypothyroidism, menstrual abnormalities, including menorrhagia, are common (see Chapter 31). The most common cause of thyroid hyperfunctioning in premenopausal women is Graves disease, which occurs four to five times more often in women than men. Hyperthyroidism can result in oligomenorrhea or amenorrhea, and it can lead to elevated levels of plasma estrogen (155). Other causes of anovulation include hypothalamic dysfunction, hyperprolactinemia, premature ovarian failure, and primary pituitary disease (Table 14.6) (143). These conditions often are considered causes of amenorrhea, and they may cause irregular bleeding (see Chapter 30). The rare and unusual causes of abnormal bleeding should not be overlooked. Women with primary ovarian insufficiency (POI; previously termed premature ovarian failure [POF]) frequently see several clinicians with symptoms of oligomenorrhea or amenorrhea prior to receiving a diagnosis; the diagnosis of POI is often delayed during waning ovarian function and insufficiency (156,157). POI is thought to occur in approximately 1 of 100 women by age 40, 1 of 1,000 women by age 30, and 1 of 10,000 women by age 20. Women should be encouraged to track their menstrual cyclicity and to consider that the menstrual cycle can be a “vital sign” that reflects overall health (61).
Diabetes mellitus can be associated with anovulation, obesity, insulin resistance, and androgen excess. Androgen disorders are very common among women of reproductive age and should be evaluated and managed accordingly. PCOS is present in 5% to 8% of adult women and undiagnosed in many of them (158). Because androgen disorders are associated with significant cardiovascular disease, the condition should be diagnosed promptly and treated. This condition becomes of more immediate concern in older women of reproductive age. Management of bleeding disorders associated with androgen excess consists of an appropriate diagnostic evaluation followed by the use of oral contraceptives (in the absence of significant contraindications or the desire for conception) or the use of insulin-sensitizing agents, coupled with dietary and exercise modification (159–161).
Anatomic Causes
Anatomic causes of abnormal bleeding occur more frequently in women of reproductive age than in women in other age groups. Uterine leiomyomas and endometrial polyps are common conditions that most often are asymptomatic; however, they remain important causes of abnormal bleeding (162). Uterine leiomyomas occur in as many as one-half of all women older than age 35 years and are the most common tumors of the genital tract (151,152,162). The incidence varies from 30% to 70%, depending on criteria for study, whether clinical symptoms, ultrasound, or histologic assessment (163). One study of a randomly selected population estimated a cumulative prevalence of greater than 80% in black women and nearly 70% in white women (164). Abnormal bleeding is the most common symptom for women with leiomyomas. Although the number and size of uterine leiomyomas do not appear to influence the occurrence of abnormal bleeding, submucosal myomas are the most likely to cause bleeding. The mechanism of abnormal bleeding related to leiomyomas is not well established (see Chapter 15 for further discussion of uterine fibroids).
Endometrial polyps are a cause of intermenstrual bleeding, heavy menstrual bleeding, irregular bleeding, and postmenopausal bleeding and are associated with the use of tamoxifen and with dysmenorrhea and infertility. As with leiomyomas, most endometrial polyps are asymptomatic. The incidence of endometrial polyps increases with age throughout the reproductive years (162). The diagnosis may be suspected on the basis of endometrial thickening on transvaginal pelvic ultrasound, and patterns of feeder blood vessels may aid in distinguishing endometrial polyps from intracavity fibroids and from endometrial malignancy (162,165,166). Visualization with hysteroscopy or sonohysterography or the microscopic assessment of tissue obtained by a biopsy done in the office or a curettage specimen is required for confirmation. Whether and when to recommend removal is not well established, particularly if a polyp is asymptomatic and is found incidentally. One study of randomly selected Danish women using transvaginal ultrasound and sonohysterography found polyps in 5.8% of asymptomatic premenopausal women and 11.8% of asymptomatic postmenopausal women, In this study abnormal bleeding was present in 38% of those without polyps versus 13% with polyps (167). Endometrial polyps can regress spontaneously, although it is not clear how frequently this occurs. In one study of asymptomatic women, the 1-year regression rate was 27% (168). Smaller polyps are more likely to resolve, and larger polyps may be more likely to result in abnormal bleeding (169). Whereas polyps may resolve spontaneously over time, a clinically important question is whether they are likely to undergo malignant transformation. Because even asymptomatic polyps usually are removed at the time of identification, this question is difficult to answer. The chance of malignancy or premalignant changes in endometrial polyps appears to be quite low in premenopausal women and higher among postmenopausal women, with bleeding reports range from premalignant change in 0.2% to 24% and malignancy in 0% to 13% (170).
Abnormal bleeding, either intermenstrual or postcoital, can be caused by cervical lesions. Bleeding can result from endocervical polyps and infectious cervical lesions, such as condylomata, herpes simplex virus ulcerations, chlamydial cervicitis, or cervicitis caused by other organisms. Other benign cervical lesions, such as wide eversion of endocervical columnar epithelium or nabothian cysts, may be detected on examination but rarely cause bleeding.
Coagulopathies and Other Hematologic Causes of Abnormal in Reproductive-Age Women
As with adolescents, hematologic causes of abnormal bleeding should be considered in women with heavy menstrual bleeding, particularly in those who had abnormal bleeding since menarche. Of all women with menorrhagia, 5% to 20% have a previously undiagnosed bleeding disorder, primarily von Willebrand’s disease (171). Table 14.8 presents guidelines for a gynecologist’s suspicion of a bleeding disorder and pursuit of a diagnosis (81). Abnormal liver function, which can be seen with alcoholism or other chronic liver diseases, results in inadequate production of clotting factors and can lead to excessive menstrual bleeding.
Infections Causes
As in adolescents, menorrhagia can be the first sign of endometritis in women infected with sexually transmissible organisms. Women with cervicitis, particularly chlamydial cervicitis, can experience irregular bleeding and postcoital spotting (see Chapter 18). Therefore, cervical testing for C. trachomatis should be considered, especially for adolescents, women in their 20s, and women who are not in a monogamous relationship. Endometritis can cause excessive menstrual flow. Thus, a woman who seeks treatment for menorrhagia and increased menstrual pain and has a history of light-to-moderate previous menstrual flow may have an upper genital tract infection or PID (endometritis, salpingitis, oophoritis). Occasionally, chronic endometritis will be diagnosed when an endometrial biopsy is obtained for evaluation of abnormal bleeding in a patient without specific risk factors for PID.
Neoplasia
Abnormal bleeding is the most frequent symptom of women with invasive cervical cancer. A visible cervical lesion should be evaluated by biopsy rather than awaiting the results of cervical cytology testing, because the results of cervical cytology testing may be falsely negative with invasive lesions as a result of tumor necrosis. Unopposed estrogen is associated with a variety of abnormalities of the endometrium, from cystic hyperplasia to adenomatous hyperplasia, hyperplasia with cytologic atypia, and invasive carcinoma. Although vaginal neoplasia is uncommon, the vagina should be evaluated carefully when abnormal bleeding is present. Attention should be directed to all surfaces of the vagina, including anterior and posterior areas that may be obscured by the vaginal speculum on examination.
Diagnosis of Abnormal Bleeding in Reproductive-Age Women
For all women, the evaluation of excessive and abnormal menses includes a thorough medical and gynecologic history, the exclusion of pregnancy, the consideration of possible malignancy, and a careful gynecologic examination. For women of normal weight between the ages of approximately 20 and 35 years who do not have clear risk factors for STDs, who have no signs of androgen excess, who are not using exogenous hormones, and who have no other findings on examination, management may be based on a clinical diagnosis. Additional laboratory or imaging studies may be indicated if the diagnosis is not apparent on the basis of examination and history.
Laboratory Studies
In any patient with heavy menstrual bleeding, an objective measurement of hematologic status should be performed with a complete blood count to detect anemia or thrombocytopenia. A pregnancy test should be performed to rule out pregnancy-related problems. In addition, because of the possibility of a primary coagulation problem, screening coagulation studies should be considered (Table 14.8). The consensus report of an international expert panel recommends measurement of CBC, platelet count and function, PT, activated PTT, VWF (measured with ristocetin cofactor activity and antigen, factor VIII) and fibrinogen to be assessed in collaboration with a hematologist (81).
Imaging Studies
Women with abnormal bleeding who have a history consistent with chronic anovulation, who are obese, or who are older than 35 to 40 years of age require further evaluation. A pelvic ultrasonographic examination may be helpful in delineating anatomic abnormalities if the examination results are suboptimal or if an ovarian mass is suspected. A pelvic ultrasonographic examination is the best initial technique for evaluating the uterine contour, endometrial thickness, and ovarian structure (172,173). The use of a vaginal probe transducer allows assessment of endometrial and ovarian disorders, particularly in women who are obese. Because of variation in endometrial thickness with the menstrual cycle, measurements of endometrial stripe thickness are significantly less useful in premenopausal than postmenopausal women (174). Sonohysterography is especially helpful in visualizing intrauterine problems such as polyps or submucous leiomyoma. Although these sonographic techniques are helpful in visualizing intrauterine pathology, histologic evaluation is required to rule out malignancy. Other techniques, such as CT scanning and MRI, are not as helpful in the initial evaluation of causes of abnormal bleeding and should be reserved for specific indications, such as exploring the possibility of other intra-abdominal pathology or adenopathy. MRI can be a secondary step in evaluating location of uterine fibroids with relationship to the endometrial cavity, staging and preoperative evaluation of endometrial cancer, detecting adenomyosis, and delineating adnexal and ovarian pathology (175).
Figure 14.19 Devices used for sampling endometrium. Top: Kevorkian Curette. Bottom: Pipelle.

Endometrial Sampling
Endometrial sampling should be performed to evaluate abnormal bleeding in women who are at risk for endometrial pathology, including polyps, hyperplasia, or carcinoma. Such sampling is mandatory in the evaluation of anovulatory bleeding in women older than 35 to 40 years of age, in younger women who are obese, and in those who do not respond to medical therapy or those with a history of prolonged anovulation(143). The technique of D&C, which was used extensively for the evaluation of abnormal bleeding, was largely replaced by endometrial biopsy in the office. The classic study in which a D&C was performed before hysterectomy with the conclusion that less than one-half of the endometrium was sampled in more than one-half of the patients led to questioning the use of D&C for endometrial diagnosis (176,177). Hysteroscopy, either diagnostic or operative, with endometrial sampling, can be performed either in the office or operating room (178).
A number of devices are designed for endometrial sampling, including a commonly used, inexpensive, disposable flexible plastic sheath with an internal plunger that allows tissue aspiration; disposable plastic cannulae of varying diameters that attach to a manually locking syringe that allows the establishment of a vacuum; and cannulae (both rigid metal and plastic) with tissue traps that attach to an electric vacuum pump (Fig. 14.19). Several studies comparing the adequacy of sampling using these devices with D&C showed a comparable ability to detect abnormalities. It should be noted that these devices are designed to obtain a tissue sample rather than a cytologic washing. The diagnostic accuracy of endometrial biopsy for endometrial malignancy and hyperplasia is good, although persistent bleeding should prompt further testing (179,180).
Management
Attention should be directed to establishing a cause of abnormal bleeding. In most cases, medical therapy is effective in managing abnormal bleeding and should be attempted before surgical management. Medical management with either oral contraceptives or progestogens is the preferred therapy of anovulatory bleeding in women of reproductive age (143). Progestin-releasing IUDs are effective in treating heavy menstrual bleeding and demonstrate comparable benefits for quality of life (181). It is argued that the IUD should be offered prior to consideration of hysterectomy, as there are comparable benefits on heavy menstrual bleeding and clear cost benefits (182). When medical therapy fails in women with anovulatory uterine bleeding and without the desire for future childbearing, the surgical options of endometrial ablation or hysterectomy can be considered. Endometrial ablation is an efficient and cost-effective alternative to hysterectomy, although this therapy may not be definitive, with increasing rates of repeat ablation and hysterectomy over time (143). In women with leiomyomas, hysterectomy provides a definitive cure. A variety of surgical alternatives to hysterectomy are available to women with symptomatic uterine leiomyomas.
Nonsurgical Management
Most bleeding problems, including anovulatory bleeding, can be managed nonsurgically. Treatment with NSAIDs, such as ibuprofen and mefenamic acid, decreases menstrual flow by 30% to 50%, but is less effective than tranexamic acid, danazol, or levonorgestrel IUD (93). Antifibrinolytics such as tranexamic acid were effective in reducing menstrual blood loss, and this indication was approved by the FDA in late 2008 (183).
Hormonal management of abnormal bleeding frequently can control excessive or irregular bleeding. The treatment of choice for anovulatory bleeding is medical therapy with oral contraceptives (143). Oral contraceptives are used clinically to decrease menstrual flow, although supporting data from prospective clinical trials are sparse (184). Low-dose oral contraceptives may be used by reproductive-age women without medical contraindications and during the perimenopausal years in healthy nonsmoking women who have no major cardiovascular risk factors. The benefits of menstrual regulation in such women often override the potential risks. The medical treatment of acute abnormal bleeding in reproductive-age women is the same as that described for adolescents.
For patients in whom estrogen use is contraindicated, progestins, both oral and parenteral, can be used to control excessive bleeding. Cyclic oral medroxyprogesterone acetate, administered from day 15 or 19 to day 26 of the cycle, reduces menstrual flow and offers no advantages over other medical therapies such as NSAIDs, tranexamic acid, danazol, or the levonorgestrel IUD; progestogen therapy for 21 days of the cycle reduces menstrual flow, although women found the treatment less acceptable than the levonorgestrel IUD (97). The benefits of progestins to the patient with oligomenorrhea and anovulation include a regular flow and the prevention of long intervals of amenorrhea, which may end in unpredictable, profuse bleeding. This therapy reduces the risk of hyperplasia resulting from persistent, unopposed estrogen stimulation of the endometrium. Depot formulations of medroxyprogesterone acetate are used to establish amenorrhea in women at risk of excessive bleeding. Oral, parenteral, or intrauterine delivery of progestins are used in selected women with endometrial hyperplasia or early endometrial cancer who wish to maintain their fertility (185). Continued monitoring is indicated. Danazol is effective in decreasing bleeding and inducing amenorrhea; it is used rarely for ongoing management of abnormal bleeding because of its androgenic side effects, including weight gain, hirsutism, alopecia, and irreversible voice changes. GnRH analogues are used for short-term treatment of abnormal bleeding, either alone or with add-back therapy consisting of combined estrogen/progestogen or progestogen alone (186).
Surgical Therapy
The surgical management of abnormal bleeding should be reserved for situations in which medical therapy is unsuccessful or is contraindicated. Although sometimes appropriate as a diagnostic technique, D&C is questionable as a therapeutic modality. One study reported a measured reduction in menstrual blood loss for the first menstrual period only (187). Other studies suggest a longer-lasting benefit (188).
The surgical options range from a variety of techniques for endometrial ablation or resection to hysterectomy to a variety of conservative surgical techniques for management of uterine leiomyoma, including hysteroscopy with resection of submucous leiomyomas, laparoscopic techniques of myomectomy, uterine artery embolization, and magnetic resonance–guided focused ultrasonography ablation (see Chapters 23 and 24) (143,189). The choice of procedure depends on the cause of the bleeding, the patient’s preferences, the physician’s experience and skills, the availability of newer technologies, and a careful assessment of risks versus benefits based on the patient’s medical condition, concomitant gynecologic symptoms or conditions, and desire for future fertility. The assessment of the relative advantages, risks, benefits, complications, and indications of these procedures is a subject of ongoing clinical research. Various techniques of endometrial ablation were compared with the gold standard of endometrial resection, and the evidence suggests comparable success rates and complication profiles (190). The advantages of techniques other than hysterectomy include a shorter recovery time and less early morbidity. However, symptoms can recur or persist; repeat procedures or subsequent hysterectomy may be required if conservative options are chosen. Additional studies that include quality-of-life outcomes will be helpful. Collaborative decision making, taking into account individual patient preferences, should follow a thorough discussion of options, risks, and benefits (191). Much is written about the psychologic sequelae of hysterectomy, and some of the aforementioned surgical techniques were developed in an effort to provide less drastic management options. Most well-controlled studies suggest that, in the absence of preexisting psychopathology, indicated but elective surgical procedures for hysterectomy have few, if any, significant psychologic sequelae (including depression) (see Chapter 12 and 24) (192,193).
Table 14.12 Conditions Diagnosed as a Pelvic Mass in Women of Reproductive Age
|
Full urinary bladder |
|
Urachal cyst |
|
Sharply anteflexed or retroflexed uterus |
|
Pregnancy (with or without concomitant leiomyomas) |
|
Intrauterine |
|
Tubal |
|
Abdominal |
|
Ovarian or adnexal masses |
|
Functional cysts |
|
Inflammatory masses |
|
Tubo-ovarian complex |
|
Diverticular abscess |
|
Appendiceal abscess |
|
Matted bowel and omentum |
|
Peritoneal cyst |
|
Stool in sigmoid |
|
Neoplastic tumors |
|
Benign |
|
Malignant |
|
Paraovarian or paratubal cysts |
|
Intraligamentous myomas |
|
Less common conditions that must be excluded: |
|
Pelvic kidney |
|
Carcinoma of the colon, rectum, appendix |
|
Carcinoma of the fallopian tube |
|
Retroperitoneal tumors (anterior sacral meningocele) |
|
Uterine sarcoma or other malignant tumors |
Reproductive-Age Pelvic Masses
Conditions diagnosed as a pelvic mass in women of reproductive age are presented in Table 14.12.
Differential Diagnosis
It is difficult to determine the frequency of diagnoses of pelvic mass in women of reproductive age because many pelvic masses are not treated with surgery. Nonovarian or nongynecologic conditions may be confused with an ovarian or uterine mass (Table 14.12). The frequency of masses found at laparotomy was studied, although the percentages are affected by varying indications for surgery, indications for referral, type of practice (gynecologic oncology vs. general gynecology), and patient populations (a higher percentage of African Americans with uterine leiomyomas, for example). Benign masses, such as functional ovarian cysts or asymptomatic uterine leiomyoma, typically do not require or warrant surgery (Table 14.4).
Age is an important determinant of the likelihood of malignancy. In one study of women who underwent laparotomy for pelvic mass, malignancy was seen in only 10% of those younger than 30 years of age, and most of these tumors had low malignancy potential (194). The most common tumors found during laparotomy for pelvic mass are mature cystic teratomas or dermoids (seen in one-third of women younger than 30 years of age) and endometriomas (approximately one-fourth of women 31 to 49 years of age) (194,195).
Uterine Masses
Uterine leiomyomas, commonly termed uterine fibroids, are by far the most common benign uterine tumors and are usually asymptomatic (195). Other benign uterine growths, such as uterine vascular tumors, are rare. See Chapter 15 for discussion of diagnosis, types and locations of fibroids, incidence, symptoms, causes, natural history, pathology, and management.
Ovarian Masses
During the reproductive years, the most common ovarian masses are benign. Ovarian masses can be functional or neoplastic, and neoplastic tumors can be benign or malignant. Functional ovarian masses include follicular and corpus luteal cysts. About two-thirds of ovarian tumors are encountered during the reproductive years. Most ovarian tumors (80% to 85%) are benign, and two-thirds of these occur in women between 20 and 44 years of age. The chance that a primary ovarian tumor is malignant in a patient younger than 45 years of age is less than 1 in 15. Most tumors produce few or only mild, nonspecific symptoms. The most common symptoms include abdominal distension, abdominal pain or discomfort, lower abdominal pressure sensation, and urinary or gastrointestinal symptoms. If the tumor is hormonally active, symptoms of hormonal imbalance, such as vaginal bleeding related to estrogen production, may be present. Acute pain may occur with adnexal torsion, cyst rupture, or bleeding into a cyst. Pelvic findings in patients with benign and malignant tumors may differ. Masses that are unilateral, cystic, mobile, and smooth are most likely to be benign, whereas those that are bilateral, solid, fixed, irregular, and associated with ascites, cul-de-sac nodules, and a rapid rate of growth are more likely to be malignant (196).
In assessing ovarian masses, the distribution of primary ovarian neoplasms by decade of life can be helpful (197). Ovarian masses in women of reproductive age are most likely benign, but the possibility of malignancy must be considered (Fig. 14.20) (196).
Nonneoplastic Ovarian Masses
Functional ovarian cysts include follicular cysts, corpus luteum cysts, and theca lutein cysts. All are benign and usually do not cause symptoms or require surgical management. Cigarette and marijuana smoking are associated with an increased risk of functional cysts, although the increased risk may be attenuated in overweight or obese women (198). Oral contraceptive use is associated with a decreased risk of developing ovarian cysts, although low-dose pills may have a smaller benefit, and oral contraceptives do not hasten the resolution of ovarian cysts (199,200). The annual rate of hospitalization for functional ovarian cysts is estimated to be as high as 500 per 100,000 woman-years in the United States, although little is known about the epidemiology of the condition. The most common functional cyst is the follicular cyst, which rarely is larger than 8 cm. A cystic follicle can be defined as a follicular cyst when its diameter is greater than 3 cm. These cysts usually are found incidental to pelvic examination, although they may rupture or torse, causing pain and peritoneal signs. They can resolve in 4 to 8 weeks with expectant management (201).
Figure 14.20 Preoperative evaluation of the patient with an adnexal mass.

Corpus luteum cysts are less common than follicular cysts. Corpus luteum cysts may rupture, leading to a hemoperitoneum and requiring surgical management. Patients taking anticoagulant therapy or with bleeding diatheses are at particular risk for hemorrhage and rupture. Rupture of these cysts occurs more often on the right side and may occur during intercourse. Most ruptures occur on cycle days 20 to 26(202). Unruptured corpus luteum cysts can cause pain, presumably because of bleeding into the enclosed ovarian cyst cavity. They can produce symptoms that can be difficult to discern from adnexal torsion.
Theca lutein cysts are the least common of functional ovarian cysts. They are usually bilateral and occur with pregnancy, including molar pregnancies. They may be associated with multiple gestations, molar pregnancies, choriocarcinoma, diabetes, Rh sensitization, clomiphene citrate use, human menopausal gonadotropin–human chorionic gonadotropin ovulation induction, and the use of GnRH analogues. Theca lutein cysts may be quite large (up to 30 cm), are multicystic, and regress spontaneously (203).
Combination monophasic oral contraceptive therapy is reported to reduce the risk of functional ovarian cysts (204). It appears that, in comparison with previously available higher-dose pills, the effect of cyst suppression with low-dose oral contraceptives is attenuated (205,206). The use of triphasic oral contraceptives is not associated with an appreciable increased risk of functional ovarian cysts (207).
Other Benign Masses
Women with endometriosis may develop ovarian endometriomas (“chocolate” cysts), which can enlarge to 6 to 8 cm in size. A mass that does not resolve with observation may be an endometrioma (see Chapter 17). Excision is preferable to ablative techniques with regard to resolution of pain, achievement of spontaneous pregnancy, and risk of recurrence (208).
Figure 14.21 Mature cystic teratoma (dermoid cyst) of the ovary.

Although enlarged, polycystic ovaries were originally considered the sine qua non of PCOS, and are included among the Rotterdam diagnostic criteria, they are not always present with other features of the syndrome (209). An enlarged ovarian volume is suggested as an alternative diagnostic criterion, although whether the threshold should be 10 cm3 or 7 cm3 is debated (210). The prevalence of PCOS among the general population depends on the diagnostic criteria used. In one study, 257 volunteers were examined with ultrasonography; 22% were found to have polycystic ovaries (211). The finding of generously sized ovaries on examination or polycystic ovaries on ultrasonographic examination should prompt evaluation for the full-blown syndrome, which includes hyperandrogenism, chronic anovulation, and polycystic ovaries (159). Therapy for PCOS is medical and generally not surgical, with lifestyle modification and weight loss playing a potentially important role (212).
Neoplastic Masses
Most benign cystic teratomas (dermoid cysts) occur during the reproductive years, although dermoid cysts have a wider age distribution than other ovarian germ cell tumors; in some case series, up to 25% of dermoids occur in postmenopausal women, and they can occur in newborns (213). Histologically, benign cystic teratomas have an admixture of elements (Fig. 14.21). In one study of ovarian masses that were surgically excised, dermoid cysts represented 62% of all ovarian neoplasms in women younger than 40 years of age (197). Malignant transformation occurs in less than 2% of dermoid cysts in women of all ages; most cases occur in women older than 40 years of age. The risk of torsion with dermoid cysts is approximately 15%, and it occurs more frequently than with ovarian tumors, perhaps because of the high fat content of most dermoid cysts, allowing them to float within the abdominal and pelvic cavity. As a result of this fat content, on pelvic examination a dermoid cyst frequently is described as anterior in location. They are bilateral in approximately 10% of cases, although many have advanced the argument against bivalving a normal-appearing contralateral ovary because of the risk of adhesions, which may result in infertility. An ovarian cystectomy is almost always possible, even if it appears that only a small amount of ovarian tissue remains. Preserving a small amount of ovarian cortex in a young patient with a benign lesion is preferable to the loss of the entire ovary (214). Laparoscopic cystectomy often is possible, and intraoperative spill of tumor contents is rarely a cause of complications, although granulomatous peritonitis was reported (215–217). Laparoscopic removal may be associated with a higher risk of recurrence (216).
Figure 14.22 Serous cystadenoma.

The risk of epithelial tumors increases with age. Although serous cystadenomas are often considered the more common benign neoplasm, in one study, benign cystic teratomas represented 66% of benign tumors in women younger than 50 years of age; serous tumors accounted for only 20% (197). Serous tumors are generally benign; 5% to 10% have borderline malignant potential, and 20% to 25% are malignant. Serous cystadenomas are often multilocular, sometimes with papillary components (Fig. 14.22). The surface epithelial cells secrete serous fluid, resulting in a watery cyst content. Psammoma bodies, which are areas of fine calcific granulation, may be scattered within the tumor and are visible on radiograph. A frozen section is necessary to distinguish between benign, borderline, and malignant serous tumors because this distinction cannot be made on gross examination alone. Mucinous ovarian tumors may grow to large dimensions. Benign mucinous tumors typically have a lobulated, smooth surface, are multilocular, and may be bilateral in up to 10% of cases. Mucoid material is present within the cystic loculations. Five to 10% of mucinous ovarian tumors are malignant. They may be difficult to distinguish histologically from metastatic gastrointestinal malignancies. Other benign ovarian tumors include fibromas (a focus of stromal cells), Brenner tumors (which appear grossly similar to fibromas and are frequently found incidentally), and mixed forms of tumors, such as the cystadenofibroma.
Uterine, gastric, breast, and colorectal malignancies can metastasize to the ovaries and should be considered, although as with many malignancies, these tumors are more common in postmenopausal-aged women.
Other Adnexal Masses
Masses that include the fallopian tube are related primarily to inflammatory causes in the reproductive age group. A tubo-ovarian abscess can be present in association with PID (see Chapter 18). In addition, a complex inflammatory mass consisting of bowel, tube, and ovary may be present without a large abscess cavity. Ectopic pregnancies can occur in the reproductive age group and must be excluded when a patient presents with pain, a positive pregnancy test, and an adnexal mass (see Chapter 20). Paraovarian cysts may be noted either on examination or on imaging studies. In many instances, a normal ipsilateral ovary can be visualized using ultrasonography. The frequency of malignancy in paraovarian tumors is quite low and may be more common in paraovarian masses larger than 5 cm (218).
Diagnosis
A complete pelvic examination, including rectovaginal examination and Papanicolaou (Pap) test, should be performed. Estimations of the size of a mass should be presented in centimeters rather than in comparison to common objects or fruit (e.g., orange, grapefruit, tennis ball, golf ball). After pregnancy is excluded, one simple office technique that can help determine whether a mass is uterine or adnexal includes sounding and measuring the depth of the uterine cavity. Pelvic imaging can confirm the characteristics of the adnexal mass—whether solid or cystic or mixed echogenicity. Diagnosis of uterine leiomyomas usually is based on the characteristic finding of an irregularly enlarged uterus. The size and location of the usually multiple leiomyomas can be confirmed and documented with pelvic ultrasonography (Fig. 14.23). If the examination is adequate to confirm uterine leiomyoma and symptoms are absent, ultrasonography is not always necessary unless an ovarian mass cannot be excluded.
Figure 14.23 Transvaginal pelvic ultrasound demonstrating multiple uterine leiomyomas.

Other Studies
Endometrial sampling with an endometrial biopsy or hysteroscopy is mandatory when both pelvic mass and abnormal bleeding are present. An endometrial lesion—carcinoma or hyperplasia—may coexist with a benign mass such as a leiomyoma. In a woman with leiomyomas, abnormal bleeding cannot be assumed to be caused solely by the fibroids. Clinicians differ in recommendations about the need for endometrial biopsy when the diagnosis is leiomyomas with regular menses.
If urinary symptoms are prominent, studies of the urinary tract may be necessary, including urodynamic testing, if incontinence or symptoms of pelvic pressure are present. Cystoscopy may be necessary or appropriate to rule out intrinsic bladder lesions.
Laboratory Studies
Laboratory studies that are indicated for women of reproductive age with a pelvic mass include pregnancy test, cervical cytology, and complete blood count. The value of tumor markers, such as CA125 in distinguishing malignant from benign adnexal masses in premenopausal women with a pelvic mass, is questioned. A number of benign conditions, including uterine leiomyomas, PID, pregnancy, and endometriosis can cause elevated CA125 levels in premenopausal women; thus, measurement of CA125 levels is not useful in premenopausal women with adnexal masses, because it may lead to unnecessary surgical intervention. Ultrasonographic characteristics are more helpful than CA125 in suggesting risks of malignancy in premenopausal women (219).
Imaging Studies
Other studies may be necessary or appropriate. The most commonly indicated study is pelvic ultrasonography, which will help document the origin of the mass to determine whether it is uterine, adnexal, bowel, or gastrointestinal. The ultrasonographic examination provides information about the size of the mass and its consistency—unilocular cyst, mixed echogenicity, multiloculated cyst, or solid mass—which can help determine management (Figs. 14.24and 14.25). Solid components, mural nodules, papillary excrescences, and ascites increase the suspicion of malignancy (220). A number of different ultrasound scoring systems were developed in an effort to quantify risks of malignancy.
Figure 14.24 Transvaginal ultrasound of a unilocular ovarian cyst.

Figure 14.25 Transvaginal ultrasonogram of a complex, predominantly solid mass.

Transvaginal and transabdominal ultrasonography are complementary in the diagnosis of pelvic masses, particularly those that have an abdominal component. Transvaginal ultrasonography has the advantage of providing additional information about the internal architecture or anatomy of the mass. Heterogeneous pelvic masses, described as tubo-ovarian abscesses on transabdominal ultrasonography, can be differentiated as pyosalpinx, hydrosalpinx, tubo-ovarian complex, and tubo-ovarian abscess with transvaginal ultrasonography (Fig. 14.26).
The diagnostic accuracy of transvaginal ultrasonography in diagnosing endometrioma can be quite high (Fig. 14.27). Endometriomas can have a variety of ultrasonographic appearances, from purely cystic to varying degrees of complexity with septation or debris to a solid appearance. A variety of scoring systems were developed with the intent of predicting benign versus malignant adnexal masses using ultrasound; the ultrasonographic morphologic characteristics used in many types of scoring systems are listed in Table 14.13 (220). Color flow Doppler was added to other sonographic characteristics to predict risk of malignancy; ultrasound techniques are comparable to CT and MRI in differentiating benign from malignant masses (221,222). Although an analysis of such features may be helpful, histologic confirmation of surgically removed persistent masses remains the standard of care.
Figure 14.26 Transvaginal ultrasonogram of bilateral tubo-ovarian abscesses.

Figure 14.27 Transvaginal ultrasonogram of an endometrioma of the ovary.

CT seldom is indicated as a primary diagnostic procedure, although it may be helpful in planning treatment when a malignancy is strongly suspected or when a nongynecologic disorder may be present. Abdominal flat-plate radiography is not a primary diagnostic procedure, although if used for other indications, it may reveal calcifications that can assist in the discovery or diagnosis of a mass. Pelvic calcifications (teeth) consistent with a benign cystic teratoma, a calcified uterine fibroid, or scattered calcifications consistent with psammoma bodies of a papillary serous cystadenoma can be seen with abdominal radiography (Fig. 14.28).
Table 14.13 Ultrasonographic Characteristics of Adnexal Masses That May Be Useful in Predicting Malignancy
|
Unilocular cyst vs. multilocular vs. solid components |
|
Regular contour vs. irregular border |
|
Smooth walls vs. nodular vs. irregular |
|
Presence or absence of ascites |
|
Unilateral vs. bilateral |
|
Wall thickness |
|
Internal echogenicity and septations (including thickness) |
|
Presence of other intra-abdominal pathology (liver, etc.) |
|
Vascular characteristics and color flow Doppler pattern |
Figure 14.28 Benign cystic teratoma (dermoid cyst) of the ovary with teeth seen on abdominal radiograph.

Ultrasonography or CT imaging may be appropriate to demonstrate ureteral deviation, compression, or dilation in the presence of moderately large and laterally located fibroids or other pelvic mass. Such findings rarely provide an indication for surgical intervention for otherwise asymptomatic leiomyomas.
Hysteroscopy provides direct evidence of intrauterine pathology or submucous leiomyomas that distort the uterine cavity (see Chapter 23). Hysterosalpingography will demonstrate indirectly the contour of the endometrial cavity and any distortion or obstruction of the uterotubal junction secondary to leiomyomas, an extrinsic mass, or peritubal adhesions. The techniques combining hysterosalpingography, in which fluid is instilled into the uterine cavity, with transvaginal ultrasonography are helpful in the diagnosis of intrauterine pathology. Hysterosalpingography or sonohysterography may be indicated in women with infertility and uterine leiomyoma (193).
MRI may be most useful in the diagnosis of uterine anomalies, although its value rarely justifies the increased cost of the procedure over ultrasonography for the diagnosis of other pelvic masses (88).
Management of Pelvic Mass in Reproductive-Age Women
The management of a pelvic mass is based on an accurate diagnosis. An explanation of this diagnosis should be conveyed to the patient, along with a discussion of the likely course of the disease (e.g., growth of uterine leiomyomas, regression of fibroids at menopause, regression of a follicular cyst, the uncertain malignant potential of an ovarian mass). All options for management should be presented and discussed, although it is appropriate for the physician to state a recommended approach with an explanation of the reasons for the recommendation. Management should be based on the primary symptoms and may include observation with close follow-up, temporizing surgical therapies, medical management, or definitive surgical procedures.
Leiomyomas
The management of uterine leiomyomas is dependent on the patient’s age and proximity to anticipated menopause, symptoms, patient preference, and the experience and skills of the clinician. Variability in reporting data regarding severity of symptoms, uterine anatomy, and response to therapy makes it difficult to compare different types of therapies, which include observation, medical, surgical, and radiologic-based techniques (see Chapter 15 for discussion of uterine fibroids).
Ovarian Masses
The now-routine application of ultrasound technology to gynecologic examinations led to the more frequent detection of ovarian cysts, sometimes as an incidental finding. Ultrasonography is a relatively easy diagnostic study to perform, but this ease led to the labeling of physiologic ovarian morphology and cystic follicles, as pathologic and the subsequent referral of patients for therapies, including surgery, without indications. Treatment of ovarian masses that are suspected to be functional tumors is expectant (Fig. 14.24). A number of randomized prospective studies showed no acceleration of the resolution of functional ovarian cysts (some of which were associated with the use of clomiphene citrate or human menopausal gonadotropins) with oral contraceptives compared with observation alone(200). Oral contraceptives are effective in reducing the risk of subsequent ovarian cysts and may be appropriate for women who desire both contraception and their noncontraceptive benefits.
Symptomatic cysts should be evaluated promptly, although mildly symptomatic masses suspected to be functional should be managed with analgesics rather than surgery to avoid the risk of surgical complications, including the development of adhesions that may impair subsequent fertility. Surgical intervention is warranted in the presence of severe pain or the suspicion of malignancy or torsion. On ultrasonography, large cysts and those that have multiloculations, solid components, septa, papillae, and increased blood flow should be suspected of neoplasia (219) (Fig. 24.25). If a malignant mass is suspected at any age, surgical evaluation should be performed promptly.
Ovarian or adnexal torsion is suspected on the basis of peritoneal signs and the acuity of onset. Doppler flow studies suggesting abnormal flow are predictive of torsion, although torsion can be seen with normal flow (223). The absence of internal ovarian flow is not specific to torsion and may be seen with cystic lesions, although in these situations peripheral flow usually can be visualized.
The management of suspected ovarian torsion, which can occur at any age from prepubertal to postmenopausal, is surgical. When torsion is confirmed by laparoscopy, untwisting of the mass and ovarian preservation rather than extirpation are generally indicated (224,225). The value of oophoropexy in preventing recurrent torsion is not well established.
Ultrasonographic or CT-directed aspiration procedures of ovarian masses should not be used in women in whom there is a suspicion of malignancy. In the past, laparoscopic surgery for ovarian masses was reserved for diagnostic or therapeutic purposes in patients at very low risk for malignancy. Although it is feasible to perform laparoscopic surgical staging and treatment of ovarian low-malignant-potential tumors and early-stage ovarian cancer safely, the role of laparoscopy versus laparotomy in a woman with ovarian cancer is debated (226). Concerns related to laparoscopy in managing gynecologic malignancy include the accuracy of intraoperative diagnosis, inadequate resection, significance of tumor spillage, inaccurate or delayed surgical staging, delay in therapy, and the possibility of port-site metastasis. In laparoscopic oophorectomy for presumed benign disease, there is a possibility of a missed diagnosis of malignancy, even with frozen section, which would necessitate reexploration. Whether laparoscopic management results in long-term compromise of outcome or significant benefits remains unclear and, consequently, so does the role of laparoscopic management of complex masses that may be malignant (227,228).
Figure 14.29 Laparoscopic appearance of benign ovarian mass (dermoid cyst).

The management of presumed benign ovarian masses with operative laparoscopy is now routine, although complication rates may be higher with complicated operative laparoscopic procedures such as those required for extensive endometriosis (Fig. 14.29) (229). The choice of surgical approach (laparotomy or laparoscopy) should be based on the surgical indications, the patient’s condition, the surgeon’s expertise and training, informed patient preference, and the most recent data supporting the chosen approach. The advantage of this technique is the shorter hospital stay, shorter recovery time, and lessened postoperative pain. A Cochrane review concluded that these findings should be interpreted with caution, given the small numbers of high-quality studies that provide comparisons (230).
The role of laparoscopy is even more controversial in the removal of dermoid cysts than with other benign masses. Concern focuses on preventing the spill of the cyst contents. Randomized clinical trials reported variable findings regarding spill; some studies suggest that cyst contents are more likely to spill with laparoscopy, whereas others do not find a difference or note no increase in morbidity when spillage occurred. Culdotomy and the use of an endoscopic specimen bag are associated with lower rates of tumor spillage (217).
Reproductive-Age Vulvar Conditions
In postmenarchal individuals, vulvar symptoms are most often related to a primary vaginitis and a secondary vulvitis. The mere presence of vaginal discharge can lead to vulvar irritative symptoms, or candidal vulvitis may be present (Fig. 14.17). The causes of vaginitis and cervicitis are covered in Chapter 18. Adult women describe vulvar symptoms using a variety of terms (itching, pain, discharge, discomfort, burning, external dysuria, soreness, pain with intercourse or sexual activity). Burning with urination from noninfectious causes may be difficult to distinguish from a urinary tract infection, although some women can distinguish pain when the urine hits the vulvar area (an external dysuria) from burning pain (often suprapubic in location) during urination. Itching is a very common vulvar symptom. A variety of vulvar conditions and lesions can present with pruritus. As in adolescents, vulvovaginal symptoms may be caused by STDs, nonsexually transmitted vaginitis, or UTIs. The distinction between symptoms related to a UTI and those of vaginitis is difficult, and consideration should be given to testing for both C. trachomatis and obtaining a urine culture, particularly in young reproductive-age women (134).
Table 14.14 Subacute and Chronic Skin Recurrent Conditions of the Vulva
|
Noninfectious |
Infectious |
|
Acanthosis nigricans |
Cellulitis |
|
Atopic dermatitis |
Folliculitis |
|
Behçet’s disease |
Furuncle/carbuncle |
|
Contact dermatitis |
Insect bites (e.g., chiggers, fleas) |
|
Crohn’s disease |
Necrotizing fasciitis |
|
Diabetic vulvitisa |
Pubic lice |
|
Hidradenitis suppurativaa |
Scabies |
|
Tinea |
|
|
Lichen sclerosus |
Condyloma |
|
Paget’s disease |
Vulvar candidiasis |
|
“Razor bumps”—folliculitis or pseudofolliculitis |
HSV |
|
Psoriasis |
|
|
Seborrheic dermatitis |
|
|
Vulvar aphthous ulcer |
|
|
Vulvar intraepithelial neoplasia |
|
|
aEtiology unknown, often secondarily infected. |
|
A number of skin conditions that occur on other areas of the body may occur on the vulvar area. Table 14.14 contains a list of these conditions classified by either infectious or noninfectious causes. Whereas the diagnosis of some of these conditions is apparent from inspection alone (e.g., a skin tag), any lesions that appear atypical or in which the diagnosis is not clear should be analyzed by biopsy, because the risks of malignant lesions increases with age (Fig. 14.30).
Figure 14.30 Large benign skin tag from left labium majus.

Figure 14.31 Pigmented vulvar lesion.

Pigmented vulvar lesions include benign nevi, lentigines, melanosis, seborrheic keratosis, condyloma, and some VINs, especially multifocal VIN-3 (Fig. 14.31). Suspicious pigmented vulvar lesions in particular should warrant biopsy to rule out VIN or malignant melanoma (231). Approximately 10% of white women have a pigmented vulvar lesion; some of these lesions may be malignant (see Chapter 38) or have the potential for progression (VIN) (see Chapter 19). There is an increase in rates of VIN in women younger than age 50, along with increasing rates of vulvar squamous cell carcinoma in situ, possibly related to increasing rates of HPV infection. Heightened awareness among clinicians may play a role in the increasing frequency of diagnosis; suspicious lesions warrant vulvar biopsy. Pigmented lesions include common nevi, lentigines, melanomas, dysplastic nevi, blue nevi, and a lesion termed atypical melanocytic nevi of the genital type (AMNGT) (232). AMNGTs have some histologic features that may overlap with those of melanoma, but with a benign prognosis.
Vulvar Biopsy
A vulvar biopsy is essential in distinguishing benign from premalignant or malignant vulvar lesions, especially because many types of lesions may have a somewhat similar appearance. Vulvar biopsies should be performed liberally in women of reproductive age to ensure that these lesions are diagnosed and treated appropriately. A prospective study of vulvar lesions evaluated by biopsy in a gynecologic clinic found lesions occurring in the following order of frequency: epidermal inclusion cyst, lentigo, Bartholin duct obstruction, carcinoma in situ, melanocytic nevi, acrochordon, mucous cyst, hemangiomas, postinflammatory hyperpigmentation, seborrheic keratoses, varicosities, hidradenomas, verruca, basal cell carcinoma, and unusual tumors such as neurofibromas, ectopic tissue, syringomas, and abscesses (233). Clearly, the frequency with which a lesion would be reported after a tissue biopsy is related to the frequency with which all lesions of a given pathology are evaluated in this manner. Thus, this listing probably underrepresents such common lesions as condylomata (Fig. 14.18).
Biopsy is easily performed in the office using a local anesthetic. Typically, 1% lidocaine is infiltrated beneath the lesion using a small (25- to 27-gauge) needle. Disposable punch biopsy instruments come in a variety of sizes from 2 to 6 mm in diameter. These skin biopsy instruments, along with fine forceps, scissors, and a scalpel, should be available in all outpatient gynecologic settings. For smaller biopsies, it is usually not necessary to place a suture. Topical silver nitrate can be used for hemostasis. Multiple tissue samples may be appropriate to obtain representative areas of a lesion if the lesion has a variable appearance or is multifocal. Although the vulvar biopsy procedure involves minimal discomfort, the biopsy sites will be painful for several days after the procedure. The prescription of a topical anesthetic such as 2% lidocaine jelly, to be applied periodically and before urinating, is appreciated by patients who require this procedure. Infection of the site can occur, and patients should be cautioned to report excessive erythema or purulent drainage.
Figure 14.32 Acathosis nigricans of the neck.

Other Vulvar Conditions
Classification and description of intraepithelial lesions of the vulva are presented in Chapter 19.
Pseudofolliculitis or Mechanical Folliculitis
This is similar to what is described as pseudofolliculitis barbae (razor bumps) and may occur in women who follow the popular practice of shaving pubic hair (234). Pseudofolliculitis consists of an inflammatory reaction surrounding an ingrown hair and occurs most commonly among individuals with curly hair, particularly African Americans.
Infectious Folliculitis
Shaving may be associated with an infectious folliculitis, commonly caused by Staphylococcus aureus and Streptococcus pyogenes. Shaving and other methods of pubic hair removal are associated with razor burn, contact dermatitis, and the transmission of other infectious agents such as Molluscum contagiosum, HPV, and herpes simplex along with other bacteria including Pseudomonas aeruginosa (234).
Fox-Fordyce Disease
This condition is characterized by a chronic, pruritic eruption of small papules or cysts formed by keratin-plugged apocrine glands. It is commonly present over the lower abdomen, mons pubis, labia majora, and inner portions of the thighs. Hidradenitis suppurativa is a chronic condition involving the apocrine glands with the formation of multiple deep nodules, scars, pits, and sinuses that occur in the axilla, vulva, and perineum. Hyperpigmentation and secondary infection are often seen. Hidradenitis suppurativa can be extremely painful and debilitating. In the past, it was treated with antibiotics, isotretinoin, or steroids; surgical therapy with wide local excision may be necessary. Tumor necrosis factor-α inhibitors show promise in treatment (235).
Acanthosis Nigricans
This disease involves widespread velvety pigmentation in skin folds, particularly the axillae, neck, thighs, submammary area, and vulva and surrounding skin (Fig. 14.32). It is of particular interest to gynecologists because of its association with hyperandrogenism and PCOS; as such, it is associated with obesity, chronic anovulation, acne, glucose intolerance, insulin resistance, and cardiovascular disease (159,236). Topical and oral retinoids are used to treat the acanthosis nigricans, along with management of the underlying conditions including obesity and insulin resistance or diabetes (237).
Table 14.15 Types of Vulvar Tumors
|
1. Cystic lesions |
3. Anatomic |
|
Bartholin duct cyst |
Hernia |
|
Cyst in the canal of Nuck (hydrocele) |
Urethral diverticulum |
|
Epithelial inclusion cyst |
Varicosities |
|
Skene duct cyst |
4. Infections |
|
2. Solid tumors |
Abscess—Bartholin, Skene, periclitoral,other |
|
Acrochordon (skin tag) |
Condyloma lata |
|
Angiokeratoma |
Molluscum contagiosum |
|
Bartholin gland adenoma |
Pyogenic granuloma |
|
Cherry angioma |
5. Ectopic |
|
Fibroma |
Endometriosis |
|
Hemangioma |
Ectopic breast tissue |
|
Hidradenoma |
|
|
Lipoma |
|
|
Granular cell myoblastoma |
|
|
Neurofibroma |
|
|
Papillomatosis |
Extramammary Paget’s Disease
This is an intraepithelial neoplasia containing vacuolated Paget’s cells (see Chapter 19). Clinically, the appearance of Paget’s disease is variable, and it may have an appearance varying from moist, oozing ulcerations to an eczematoid lesion with scaling and crusting to a grayish lesion (238). It may be confused with candidiasis, psoriasis, seborrheic dermatitis, contact dermatitis, and VIN. A biopsy to confirm the diagnosis is mandatory.
Vulvar Intraepithelial Neoplasia
VIN is associated with HPV infection and is increasing in frequency, particularly among young women (see Chapter 19). Diagnosis requires biopsy of any suspicious vulvar lesions, particularly those that are pigmented or discolored. The increasing frequency of this entity dictates a careful vulvar inspection during annual gynecologic examinations.
Vulvar Tumors, Cysts, and Masses
Condylomata Acuminata
These are very common vulvar lesions and are usually easily recognized and treated with topical therapies such as trichloroacetic and bichloracetic acid. Other sexually transmitted organisms, such as the virus responsible for molluscum contagiosum and the lesions of syphilis and condylomata lata, may occasionally be mistaken for vulvar condylomata acuminata caused by HPV (see Chapter 18). A summary of benign vulvar tumors is listed in Table 14.15. There is argument regarding whether sebaceous cysts exist on the vulva or whether these lesions are histopathologically epidermal or epidermal inclusion cysts (238). So-called sebaceous cysts are clinically indistinguishable from epidermal inclusion cysts that may result from the burial of fragments of skin after the trauma of childbirth or episiotomy or that arise from occluded pilosebaceous ducts. These cysts are seldom symptomatic, although if infection develops, incision and drainage may be required acutely, and ultimately complete excision is indicated.
Figure 14.33 Skene’s gland cyst.

Bartholin Duct Cysts
These are common vulvar lesions in reproductive-age women. They result from occlusion of the duct with accumulation of mucus and may be asymptomatic. Infection of the gland can result in the accumulation of purulent material, with the formation of a rapidly enlarging, painful, inflammatory mass (a Bartholin abscess). An inflatable bulb-tipped catheter was described by Word and is quite easy to use (239). The small catheter is inserted through a small stab wound into the abscess after infiltration of the skin with local anesthesia; the balloon of the catheter is inflated with 2 to 3 mL of saline and the catheter remains in place for 4 to 6 weeks, allowing epithelialization of a tract and the creation of a permanent gland opening.
Skene’s Duct Cysts
These are cystic dilations of the Skene glands, typically located adjacent to the urethral meatus within the vulvar vestibule. Although most are small and often asymptomatic, they may enlarge and cause urinary obstruction, requiring excision (Fig 14.33).
Painful Intercourse
Painful intercourse (dyspareunia) may be caused by many different vulvovaginal conditions, including common vaginal infections and vaginismus (see Chapters 11 and 18). A careful sexual history is essential, as is a careful examination of the vulvar area and vagina. Vulvodynia is the term used to describe unexplained vulvar pain, sexual dysfunction, and the resultant psychological disability (240,241). The term vulvar vestibulitis was previously used to describe a situation in which there is pain during intercourse or when attempting to insert an object into the vagina; pain on pressure to the vestibule on examination and vestibular erythema (known as Friedrich’s triad); this entity is now described as localized provoked vulvodynia in the International Society for the Study of Vulvovaginal Disease (ISSVD) (240–243) (see Chapter 16). A number of recent studies failed to demonstrate a consistent relationship with any genital infectious organism, including C. trachomatis,gonorrhea, Trichomonas, mycoplasma, Ureaplasma, Gardnerella, candida, or HPV, and the condition has been characterized as multifactorial, with both inflammatory, neuropathic, and functional components. Although the symptoms of dyspareunia with insertion can be disabling, no curative therapies were found. Both medical and behavioral therapies are of some benefit, and some authors encourage surgery, but the role of this treatment and newer therapies such as the injection of botulinum toxin A is not well established (241).
Vulvar Ulcers
A number of STDs can cause vulvar ulcers, including herpes simplex virus, syphilis, lymphogranuloma venereum, and granuloma inguinale (see Chapter 18). Crohn’s disease can include vulvar involvement with abscesses, fistulae, sinus tracts, fenestrations, and other scarring. Although medical treatment, with systemic steroids and other systemic agents, is the standard therapy, surgical therapy for both intestinal and vulvar disease may be required.
Behçet’s Disease
This systemic condition is characterized by genital and oral ulcerations with ocular inflammation and many other manifestations (244). The cause and the most effective therapy are not well established, although anti-inflammatory and immunosuppressive therapies may be effective (245).
Lichen Planus
This condition causes oral and genital ulcerations. Typically, there is desquamative vaginitis with erosion of the vestibule. Treatment is based on the use of both topical and systemic steroids. Plasma cell mucositis appears as erosions in the vulvar area, particularly the vestibule. Biopsy is essential in establishing the diagnosis.
Reproductive-Age Vaginal Conditions
Vaginal discharge is one of the most common vaginal symptoms. Conditions ranging from vaginal candidiasis to chlamydia cervicitis to bacterial vaginosis to cervical carcinoma may cause vaginal discharge. Infectious vaginal conditions are addressed more completely in Chapter 18. Vaginal lesions may occasionally be palpable to a woman. More commonly, vaginal lesions are discovered on examination by a clinician. They may contribute to symptoms (such as bleeding or discharge) or they may be entirely asymptomatic. Vaginitis, cervicitis, and vaginal or cervical lesions (including malignancies) can be causes of vaginal discharge. Other noninfectious causes of discharge are as follows:
1. Retained foreign body—tampon, pessary
2. Ulcerations—tampon-induced, lichen planus, herpes simplex infection
3. Malignancy—cervical, vaginal
Some vaginal lesions are asymptomatic and are noted incidentally on examination. Fibroepithelial polyps consist of polypoid folds of connective tissue, capillaries, and stroma covered by vaginal epithelium. Although they can be excised easily in the office, their vascularity can be troublesome, and excision is not necessary unless the diagnosis is in question. Cysts of embryonic origin can arise from mesonephric, paramesonephric, and urogenital sinus epithelium. Gartner’s duct cysts are of mesonephric origin and are usually present on the lateral vaginal wall. They rarely cause symptoms and, therefore, do not require treatment. Other embryonic cysts can arise anterior to the vagina and beneath the bladder. Cysts that arise from the urogenital sinus epithelium are located in the area of the vulvar vestibule. Vaginal adenosis, the presence of epithelial-lined glands within the vagina, is associated with in utero exposure to diethylstilbestrol. No therapy is necessary other than close observation and periodic palpation to detect nodules that may need to be evaluated by biopsy to rule out vaginal clear cell adenocarcinoma (see Chapter 36).
Women will sometimes describe a bulging lesion of the vagina and vulvar area, variably associated with symptoms of pressure or discomfort. The most common cause of such a lesion is one of the disorders of vaginal support. Management of these conditions is discussed in Chapter 27. Other genital lesions, such as urethral diverticula or embryonic cysts, may cause similar symptoms.
Postmenopausal Age Group
Postmenopausal Abnormal Bleeding
Differential Diagnosis
The causes of postmenopausal bleeding and the percentage of patients who seek treatment for different conditions are presented in Table 14.16.
Table 14.16 Etiology of Postmenopausal Bleeding
|
Factor |
Approximate Percentage |
|
Exogenous estrogens |
30 |
|
Atrophic endometritis/vaginitis |
30 |
|
Endometrial cancer |
15 |
|
Endometrial or cervical polyps |
10 |
|
Endometrial hyperplasia |
5 |
|
Miscellaneous (e.g., cervical cancer, uterine sarcoma, urethral caruncle, trauma) |
10 |
|
From Hacker NF, Moore JG. Essentials of obstetrics and gynecology, 3rd ed. Philadelphia: WB Saunders, 1998:635, with permission. |
|
Benign Disorders
Hormone therapy may be used to manage troublesome menopausal symptoms; it is recommended to treat with the lowest effective dose with the risks versus benefits regularly reviewed by a woman and her doctor (246). Women who are taking hormone therapy during menopause may be using a variety of hormonal regimens that can result in bleeding (see Chapter 34). Because unopposed estrogen therapy can result in endometrial hyperplasia, various regimens of progestins are typically added to the estrogen regimen; they are given in a continuous fashion, although they may be given in a sequential fashion for women within 1 year of menopause (246). Endometrial sampling is indicated for any unexpected bleeding that occurs with hormonal therapy. A significant change in withdrawal bleeding or breakthrough bleeding (e.g., absence of withdrawal bleeding for several months followed by resumption of bleeding or a marked increase in the amount of bleeding) should prompt endometrial sampling.
Patient adherence to hormonal regimens is a significant issue with hormone therapy, with the challenges of oral therapy mitigated by nonoral routes of administration (247). Missed doses of oral medication and failure to take the medication in the prescribed fashion can lead to irregular bleeding or spotting that is benign in origin but that can result in patient dissatisfaction (248).
The problems that women most often report with hormone therapy include vaginal bleeding and weight gain. The use of a continuous low-dose combined regimen has the advantage that for many women, bleeding will ultimately cease after several months, during which irregular and unpredictable bleeding may occur (248,249). Some women are unable to tolerate these initial months of irregular bleeding. The risk of endometrial hyperplasia or neoplasia with this regimen is low.
Other benign causes of bleeding include atrophic vaginitis and endometrial and cervical polyps, which may become apparent as postcoital bleeding or spotting. Women who experience bleeding after menopause may attempt to minimize the extent of the problem; they may describe it as “spotting” or “pink or brownish discharge.” However, any indication of bleeding or spotting should be evaluated. In the absence of hormone therapy, any bleeding after menopause (classically defined as absence of menses for 1 year) should prompt evaluation with endometrial sampling. Studies of transvaginal ultrasonography revealing an endometrial thickness 4 mm or less correlate with a low risk of endometrial malignancy, and thus endometrial sampling is not required (250). Endometrial polyps and other abnormalities can be seen in women who are taking tamoxifen. These polyps are more likely to involve cystic dilation of glands, stromal condensation around the glands, and squamous metaplasia of the overlying epithelium (251). These polyps can be benign, although they must be distinguished from endometrial malignancies, which may occur when taking tamoxifen. The incidence of endometrial polyps not associated with tamoxifen increases with age during the reproductive years; it is not clear whether the incidence subsequently peaks or decreases during the postmenopausal years (162). Endometrial polyps are more likely to be malignant in postmenopausal women, and hypertension is associated with an increased risk of malignancy (252).
Neoplasia
Endometrial, cervical, and ovarian malignancies must be ruled out in the presence of postmenopausal bleeding. One series found a malignancy (endometrial or cervical) in approximately 10% of women with postmenopausal bleeding (253). A Pap test is essential when postmenopausal bleeding is noted, although the Pap test is an insensitive diagnostic test for detecting endometrial cancer. The Pap test results are negative in some cases of invasive cervical carcinoma because of tumor necrosis.
Cervical malignancy is diagnosed by cervical biopsy of grossly visible lesions and colposcopically directed biopsy for women with abnormal Pap test results (see Chapter 19). Functional ovarian tumors may produce estrogen and lead to endometrial hyperplasia or carcinoma, which may cause bleeding.
Diagnosis of Postmenopausal Abnormal Bleeding
Pelvic examination to detect local lesions and a Pap test to assess cytology are essential first steps in finding the cause of postmenopausal bleeding. Pelvic ultrasonographic examination and, in particular, transvaginal ultrasonography or sonohysterography can suggest the cause of bleeding (250,254). Endometrial sampling, through office biopsy, hysteroscopy, or D&C, is usually considered essential. An endometrial thickness of less than 5 mm measured by transvaginal ultrasonography is unlikely to indicate endometrial cancer, although some authors suggest that the diagnostic accuracy is overestimated and recommend a cutoff of 3 mm (250,255).
Management of Postmenopausal Abnormal Bleeding
Benign Disorders
The management of bleeding caused by atrophic vaginitis includes topical (vaginal) or systemic use of estrogens after other causes of abnormal bleeding are excluded. Such therapy can provide significant benefits in terms of quality of life, but must be weighed with each individual, considering contraindications and patient preferences (256,257). Serum levels appear to be lower with vaginal administration using creams, tablets, or rings (258). Cervical polyps can easily be removed in the office.
Endometrial Hyperplasia
The terminology used to describe endometrial hyperplasia is confusing, and the clinician must consult with the pathologist to ensure an understanding of the diagnosis. The World Health Organization (WHO) system classifies endometrial hyperplasia as simple hyperplasia, complex hyperplasia, simple atypical hyperplasia, and complex atypical hyperplasia (259). Approximately 40% to 50% of women with atypical hyperplasia have concurrent carcinoma. The management of endometrial hyperplasia is based on an understanding of the natural history of the lesion involved. The risk of progression of hyperplasia without atypia is low but is approximately 30% among those with atypical hyperplasia (259). Hysterectomy is recommended for treatment of atypical endometrial hyperplasia in postmenopausal women. Management of endometrial cancer with surgical staging and multidisciplinary review of pathology and treatment planning is addressed in Chapter 35.
Progestin therapy (oral, parenteral, or intrauterine device delivery) may be used in women with atypical endometrial hyperplasia who are poor operative candidates. These women should have an endometrial biopsy every 3 months to check for recurrence, with recurrence risks approaching 50% (185). A suggested scheme of management is outlined in Figure 14.34. This treatment is discussed in more detail in Chapter 35.
Figure 14.34 Management of endometrial hyperplasia. (Reproduced with permission from Berek & Hacker's Gynecologic Oncology, 5th edition, Lippincott Williams & Wilkins, 2010, p 410.)

Postmenopausal Pelvic Mass
Differential Diagnosis
Ovarian Masses
During the postmenopausal years, the ovaries become smaller. Ovarian volume is related to age, menopausal status, weight, height, and use of exogenous hormones (260). A large body habitus and uterine size make it more difficult to palpate and assess ovarian size, particularly among postmenopausal women, and transvaginal ultrasonography is significantly more accurate than clinical examination. Transvaginal ultrasonography is suggested in addition to annual pelvic examination among overweight postmenopausal women (261). Although ovarian cancer is notoriously difficult to diagnose at any early stage, the concept that it is frequently asymptomatic is challenged. Symptoms may include back pain, fatigue, bloating, constipation, abdominal pain, and urinary symptoms; these symptoms are of greater severity and more recent onset in women with ovarian malignancy (262). Thus it is argued that among primary clinicians, the possibility of an ovarian mass (either benign or malignant) in women with these symptoms warrants further diagnostic investigation. However, the positive predictive value of these symptoms is not high for the prediction of early-stage disease, and the use of symptoms to trigger an evaluation for ovarian cancer is noted to result in diagnosis of the disease in only 1 in 100 women in the general population with such symptoms (263). Ovarian cancer is predominantly a disease of postmenopausal women; the incidence increases with age, and the average patient age is about 56 to 60 years (see Chapter 37).
With increased use of pelvic ultrasonographic evaluation, a new problem arose in postmenopausal women: the discovery of a small ovarian cyst. This is particularly troublesome in a woman who is entirely asymptomatic and whose ultrasonographic examination was performed for indications unrelated to pelvic pathology. It is suggested that when the cyst is asymptomatic, small (<5–10 cm in diameter), unilocular, and thin walled, with a normal CA125 level, the risk of malignancy is extremely low and these masses can be followed conservatively, without surgery (220,264,265). Surgery may be indicated in some women with a strong family history of ovarian, breast, endometrial, or colon cancer, or with a mass that appears to be enlarging (see Chapter 37). The addition of color flow Doppler examination and other ultrasonographic characteristics may be helpful in distinguishing benign from malignant masses, although the role of Doppler ultrasonography remains somewhat controversial (Tables 14.4 and 14.13) (220).
Uterine and Other Masses
Many postmenopausal women have not had regular gynecologic care, and the discovery of a pelvic mass may reflect the persistence of a uterine leiomyoma that previously was not discovered. The possibility of transient ovarian cysts is noted above, and it may be difficult to distinguish an ovarian from a uterine mass. Some women may not remember having been told they had a pelvic mass. Thus, a review of medical records may be helpful in determining the preexistence of a benign pelvic mass. Uterine leiomyomas are hormonally responsive and typically decrease in size or resolve after menopause (see Chapter 15).
Diagnosis
A personal and family medical history is helpful in detecting individuals at increased risk for the development of ovarian cancer. Several hereditary family cancer syndromes involve ovarian neoplasms (see Chapter 37). However, patients with hereditary forms of epithelial ovarian cancer account for only a small percentage of all cases; 90% to 95% of cases of ovarian cancer are sporadic and without identifiable heritable risk.
In postmenopausal women with a pelvic mass, a CA125 measurement may be helpful in predicting a higher likelihood of a malignancy, which may guide decisions regarding management, consultation, or referral. A high index of suspicion by both women and their clinicians represents the best way to detect early ovarian cancer. Persistent symptoms such as an increase in abdominal size, bloating, fatigue, abdominal pain, indigestion, inability to eat normally, urinary frequency, pelvic pain, constipation, back pain, new onset of urinary incontinence, or unexplained weight loss require evaluation and consideration of the possibility of ovarian cancer. A physical examination, transvaginal ultrasonography, and CA125 measurement are appropriate. A normal CA125 level does not rule out ovarian cancer; up to 50% of early-stage ovarian malignancies and 20% to 25% of advanced cancers have normal values of CA125 (266).
Management
The use of improved imaging techniques may allow the nonoperative management of ovarian masses that are probably benign (Table 14.13). A suspicious or persistent complex mass requires surgical evaluation. A physician trained to appropriately stage and debulk ovarian cancer, such as a gynecologic oncologist, should perform the surgery in a hospital with the necessary support and consultative services to optimize the patient’s outcome(266). When a malignant ovarian mass is discovered and the appropriate surgical staging and debulking procedure cannot be performed by the generalist obstetrician-gynecologist, a gynecologic oncologist should be consulted. Comprehensive surgical staging facilitates appropriate therapy and optimizes prognosis.
Postmenopausal Vulvar Conditions
Anatomic changes that occur in postmenopausal women include atrophy of the labia majora and increasing prominence of the labia minora. The epithelium of the hymen and vestibule become thin; there is a shift in vaginal cellular maturation in response to estrogen deprivation, with resultant thinning. Although these changes lead to minimal symptoms in most women, external dysuria, pruritus, tenderness, dyspareunia, and bleeding can result from fissuring and excoriations. Because of the risk of VIN and malignancy, suspicious lesions require vulvar biopsy.
Vulvar Dermatoses
Several vulvar conditions occur most commonly in postmenopausal women. Symptoms are primarily itching and vulvar soreness, in addition to dyspareunia.
In the past, numerous terms were used to describe disorders of vulvar epithelial growth that produce a number of nonspecific gross changes. These terms included leukoplakia, lichen sclerosus and atrophicus, atrophic and hyperplastic vulvitis, and kraurosis vulvae. The ISSVD in 2006 recommended a classification of vulvar dermatoses based on histologic patterns, listed with the likely clinical diagnoses, rather than on the basis of clinical morphology as in the previous categorization (see Chapter 19) (267). This classification system excludes neoplastic and infectious conditions. Vulvar conditions that are described in this classification system include atopic, allergic, and irritant contact dermatitis, psoriasis, lichen simplex chronicus, lichen sclerosus, lichen planus, pemphigoid, aphthous ulcers, Behçet’s disease, and Crohn’s disease.
Lichen Sclerosus
Lichen sclerosus is the most common white lesion of the vulva. Lichen sclerosus can occur at any age, although it is most common among postmenopausal women and prepubertal girls (Fig. 14.4). The symptoms are pruritus, dyspareunia, and burning. Lichen sclerosus characteristically is associated with decreased subcutaneous fat to the extent that the vulva is atrophic, with small or absent labia minora, obliteration of the anatomic landmarks, thin labia majora, and sometimes phimosis of the prepuce. The surface is pale with a shiny, crinkled pattern (described as having characteristics like “cigarette paper”), often with fissures and excoriation. The lesion tends to be symmetric and often extends to the perineal and perianal areas. The diagnosis is confirmed by biopsy. Invasive cancer is associated with lichen sclerosus, although the significance of this association is unclear in terms of causation (289).
Treatment is with an ultrapotent topical steroid such as 0.05% clobetasol. Approximately 93% of patients respond satisfactorily (269). Maintenance therapy is frequently required, and a graduated reduction from ultrapotent to medium- and low-potency topical steroids can help to maintain remission of symptoms (269–271). The topical calcineurin inhibitors pimecrolimus and tacrolimus were effective in individuals not responding to topical steroids, although the FDA approved a warning suggesting possible risk of cancer from this class of drugs and caution is thus advised with long-term use avoided (272).
Premalignant Vulvar Lesions
Squamous vulvar intraepithelial neoplasia is seen most often in postmenopausal women but may occur during the reproductive years. Pruritus is the most common symptom, although “lumps” may be described and are sometimes confused with condyloma (268). Current terminology describes two types of VINs: VIN, usual type, that is typically HPV-related and encompassing former VIN-2 and -3 with warty, basaloid, and mixed types; and VIN, differentiated type (273). The lesion appears thickened and hyperkeratotic, and there may be excoriation. Lesions may be discrete but may be symmetric and multiple. About one-third of women will have a history of HPV related cervical disease or condyloma (268). Most women with VIN are smokers. Biopsy is necessary to confirm the diagnosis and to exclude malignancy. See Chapter 19 for management of VIN.
Urethral Lesions
The urethra and vagina have a common embryonic origin and are steroid-dependent tissues. Urethral caruncles and prolapse of the urethral mucosa are examples of vulvar lesions that may be seen in other age groups but that occur more commonly among older women. Both conditions can be treated with topical or systemic estrogen preparations. Various vulvar skin lesions, including seborrheic keratoses and cherry hemangiomas (senile hemangiomas), occur more commonly on aging skin.
Postmenopausal Vaginal Conditions
Up to 50% of postmenopausal women have symptoms of atrophic vaginitis (257). Symptoms include an external dysuria, pruritus, tenderness, dyspareunia, and bleeding from fissuring or ulcerations. In addition to the clinical findings of a shiny, flat, thin-appearing vaginal mucosa without rugae, microscopic examination of vaginal secretions reveals an increased number of white blood cells. Treatment with local or systemic estrogens effectively manages the symptoms and restores normal pH levels with ongoing therapy (274,275). Systemic absorption does occur with topical estrogen therapy, and rates of absorption differ depending on the degree of atrophy. Topical emollients may be helpful if estrogens are not desired or are contraindicated. Vaginal lubricants are universally useful in minimizing symptoms of dyspareunia for postmenopausal women (275).
References
1. Biro FM, Lucky AW, Simbartl LA, et al. Pubertal maturation in girls and the relationship to anthropometric changes: pathways through puberty. J Pediatr 2003;142:643–646.
2. Herman-Giddens ME, Slora EJ, Wasserman RC, et al. Secondary sexual characteristics and menses in young girls seen in office practice: a study from the Pediatric Research in Office Settings network. Pediatrics 1997;99:505–512.
3. Euling SY, Herman-Giddens ME, Lee PA, et al. Examination of US puberty-timing data from 1940 to 1994 for secular trends: panel findings. Pediatrics. 2008;121(Suppl 3):S172–S191.
4. Apter D, Hermanson E. Update on female pubertal development. Curr Opin Obstet Gynecol 2002;14:475–481.
5. Marshall WA, Tanner JM. Variations in pattern of pubertal changes in girls. Arch Dis Child 1969;44:291–303.
6. Harlan WR, Harlan EA, Grillo GP. Secondary sex characteristics of girls 12 to 17 years of age: the U.S. Health Examination Survey. J Pediatr 1980;96:1074–1078.
7. Anveden-Hertzberg L, Gauderer MW, Elder JS. Urethral prolapse: an often misdiagnosed cause of urogenital bleeding in girls. Pediatr Emerg Care 1995;11:212–214.
8. Allen AL, Siegfried EC. The natural history of condyloma in children. J Am Acad Dermatol 1998;39:951–955.
9. Siegfried E, Rasnick-Conley J, Cook S, et al. Human papillomavirus screening in pediatric victims of sexual abuse. Pediatrics 1998;101(Pt 1):43–47.
10. Powell J, Wojnarowska F. Childhood vulval lichen sclerosus and sexual abuse are not mutually exclusive diagnoses. BMJ 2000; 320:311.
11. Powell J, Wojnarowska F. Childhood vulvar lichen sclerosus: an increasingly common problem. J Am Acad Dermatol 2001;44:803–806.
12. Smith YR, Berman DR, Quint EH. Premenarchal vaginal discharge: findings of procedures to rule out foreign bodies. J Pediatr Adolesc Gynecol 2002;15:227–230.
13. Kaplowitz PB, Oberfield SE. Reexamination of the age limit for defining when puberty is precocious in girls in the United States: implications for evaluation and treatment. Drug and Therapeutics and Executive Committees of the Lawson Wilkins Pediatric Endocrine Society. Pediatrics 1999;104(Pt 1):936–941.
14. Flinn S. Child sexual abuse I: an overview. Advocates for Youth 1995 available at http://www.advocatesforyouth.org/index.php?option=com_content&task=view&id=410&Itemid=336.
15. Anonymous. American Medical Association Diagnostic and Treat- ment Guidelines on Child Sexual Abuse. Arch Fam Med 1993;2:19–27.
16. Iqbal CW, Jrebi NY, Zielinski MD et al. Patterns of accidental genital trauma in young girls and indications for operative management. J Pediatr Surg 2010;45:930–933.
17. Adams JA. Evolution of a classification scale: medical evaluation of suspected child sexual abuse. Child Maltreat 2001;6:31–36.
18. Sapp MV, Vandeven AM. Update on childhood sexual abuse. Curr Opin Pediatr 2005;17:258–264.
19. Holm K, Laursen EM, Brocks V, et al. Pubertal maturation of the internal genitalia: an ultrasound evaluation of 166 healthy girls. Ultrasound Obstet Gynecol 1995;6:175–181.
20. Oltmann SC, Garcia N, Barber R, et al. Can we preoperatively risk stratify ovarian masses for malignancy? J Pediatr Surg 2010;45:130–134.
21. Servaes S, Victoria T, Lovrenski J, et al. Contemporary pediatric gynecologic imaging. Semin Ultrasound CT MR 2010;31:116–140.
22. Stepanian M, Cohn DE. Gynecologic malignancies in adolescents. Adolesc Med Clin 2004;15:549–568.
23. Breen JL, Maxson WS. Ovarian tumors in children and adolescents. Clin Obstet Gynecol 1977;20:607–623.
24. Diamond MP, Baxter JW, Peerman CG Jr, et al. Occurrence of ovarian malignancy in childhood and adolescence: a community-wide evaluation. Obstet Gynecol 1988;71(Pt 1):858–860.
25. van Winter JT, Simmons PS, Podratz KC. Surgically treated adnexal masses in infancy, childhood, and adolescence. Am J Obstet Gynecol 1994;170:1780–1789.
26. Helmrath MA, Shin CE, Warner BW. Ovarian cysts in the pediatric population. Semin Pediatr Surg 1998;7:19–28.
27. Warner BW, Kuhn JC, Barr LL. Conservative management of large ovarian cysts in children: the value of serial pelvic ultrasonography. Surgery 1992;112:749–755.
28. Hernon M, McKenna J, Busby G, et al. The histology and management of ovarian cysts found in children and adolescents presenting to a children’s hospital from 1991 to 2007: a call for more paediatric gynaecologists. BJOG 2010;117:181–184.
29. Lee PA, Houk CP, Ahmed SF, et al. Consensus statement on management of intersex disorders. International Consensus Conference on Intersex. Pediatrics 2006;118:e488–e500.
30. Consortium on the Management of Disorders of Sex Development. Clinical guidelines for the management of disorders of sex development in childhood. Intersex Society of North America. Available at http://dsdguidelines.org/files/clinical.pdf.
31. Muram D, Buxton BH. The importance of the gynecologic examination in the newborn. J Tenn Med Assoc 1983;76:239.
32. Posner JC, Spandorfer PR. Early detection of imperforate hymen prevents morbidity from delays in diagnosis. Pediatrics 2005;115: 1008–1012.
33. Berenson AB. A longitudinal study of hymenal morphology in the first 3 years of life. Pediatrics 1995;95:490–496.
34. Hillard PJ. Imperforate hymen. eMedicine 2010. Available online at: http://emedicine.medscape.com/article/269050-overview
35. Garmendia G, Miranda N, Borroso S, et al. Regression of infancy hemangiomas with recombinant IFN-alpha 2b. J Interferon Cytokine Res 2001;21:31–38.
36. Bouchard S, Yazbeck S, Lallier M. Perineal hemangioma, anorectal malformation, and genital anomaly: a new association? J Pediatr Surg 1999;34:1133–1135.
37. Stricker T, Navratil F, Sennhauser FH. Vulvovaginitis in prepubertal girls. Arch Dis Child 2003;88:324–326.
38. Pokorny SF. The genital examination of the infant through adolescence. Curr Opin Obstet Gynecol 1993;5:753–757.
39. Emans SJ. Office Evaluation of the Child and Adolescent in Emans, SJ, Laufer MR, Goldstein DP, eds. Pediatric and adolescent gynecology. 5th ed. Philadelphia: Lippincott Williams & Wilkins, 2005: 1--50
40. Van Eyk N, Allen L, Giesbrecht E, et al. Pediatric vulvovaginal disorders: a diagnostic approach and review of the literature. J Obstet Gynaecol Can 2009;31:850–862.
41. Garzon MC, Paller AS. Ultrapotent topical corticosteroid treatment of childhood genital lichen sclerosus. Arch Dermatol 1999;135:525–528.
42. Muram D. Treatment of prepubertal girls with labial adhesions. J Pediatr Adolesc Gynecol 1999;12:67–70.
43. Shapiro RA, Makoroff KL. Sexually transmitted diseases in sexually abused girls and adolescents. Curr Opin Obstet Gynecol 2006;18:492–497.
44. Adams JA. Medical evaluation of suspected child sexual abuse. J Pediatr Adolesc Gynecol 2004;17:191–197.
45. Sinal SH, Woods CR. Human papillomavirus infections of the genital and respiratory tracts in young children. Semin Pediatr Infect Dis 2005;16:306–316.
46. Huppert JS, Gerber MA, Deitch HR, et al. Vulvar ulcers in young females: a manifestation of aphthosis. J Pediatr Adolesc Gynecol 2006;19:195–204.
47. Herman-Giddens ME. Vaginal foreign bodies and child sexual abuse. Arch Pediatr Adolesc Med 1994;148:195–200.
48. Siegel RM, Schubert CJ, Myers PA, et al. The prevalence of sexually transmitted diseases in children and adolescents evaluated for sexual abuse in Cincinnati: rationale for limited STD testing in prepubertal girls. Pediatrics 1995;96:1090–1094.
49. Herbst R. Perineal streptococcal dermatitis/disease: recognition and management. Am J Clin Dermatol 2003;4:555–560.
50. Pokorny SF, Stormer J. Atraumatic removal of secretions from the prepubertal vagina. Am J Obstet Gynecol 1987;156:581–582.
51. Treloar AE, Boynton RE, Behn BG, et al. Variation of the human menstrual cycle through reproductive life. Int J Fertil 1967;12(Pt 2): 77–126.
52. Hillard PJ. Menstruation in young girls: a clinical perspective. Obstet Gynecol 2002;99:655–662.
53. Flug D, Largo RH, Prader A. Menstrual patterns in adolescent Swiss girls: a longitudinal study. Ann Hum Biol 1984;11:495–508.
54. World Health Organization Task Force on Adolescent Reproductive Health. Longitudinal study of menstrual patterns in the early postmenarcheal period. Duration of bleeding episodes and menstrual cycles. J Adolesc Health Care 1986;7:236–244.
55. Fraser IS, Critchley HO, Munro MG, et al. A process designed to lead to international agreement on terminologies and definitions used to describe abnormalities of menstrual bleeding. Fertil Steril 2007;87:466–476.
56. Fraser IS, McCarron G, Markham R, et al. Blood and total fluid content of menstrual discharge. Obstet Gynecol 1985;65:194–198.
57. Warner PE, Critchley, HO, Lumsden, MA, et al. Menorrhagia II: is the 80-mL blood loss criterion useful in management of complaint of menorrhagia? Am J Obstet Gynecol 2004;190:1224–1229.
58. Warner PE, Critchley HO, Lumsden MA, et al. Menorrhagia I: measured blood loss, clinical features, and outcome in women with heavy periods: a survey with follow-up data. Am J Obstet Gynecol 2004;190:1216–1223.
59. Fraser IS, McCarron G, Markham R. A preliminary study of factors influencing perception of menstrual blood loss volume. Am J Obstet Gynecol 1984;149:788–793.
60. Venturoli S, Porcu E, Fabbri R, et al. Menstrual irregularities in adolescents: hormonal pattern and ovarian morphology. Horm Res 1986;24:269–279.
61. ACOG Committee Opinion No. 349. Menstruation in girls and adolescents: using the menstrual cycle as a vital sign. Obstet Gynecol 2006;108:1323–1328.
62. Apter D, Vihko R. Early menarche, a risk factor for breast cancer, indicates early onset of ovulatory cycles. J Clin Endocrinol Metab 1983;57:82–86.
63. Gavin L, MacKay AP, Brown K, et al. Sexual and reproductive health of persons aged 10–24 years—United States, 2002–2007. MMWR Surveill Summ 2009;58:1–58.
64. Fraser IS, Hickey M, Song JY. A comparison of mechanisms underlying disturbances of bleeding caused by spontaneous dysfunctional uterine bleeding or hormonal contraception. Hum Reprod 1996;11(Suppl 2):165–178.
65. Rosenberg MJ, Burnhill MS, Waugh MS, et al. Compliance and oral contraceptives: a review. Contraception 1995;52:137–141.
66. Rosenberg MJ, Long SC. Oral contraceptives and cycle control: a critical review of the literature. Adv Contracept 1992;8(Suppl 1): 35–45.
67. Oakley D, Sereika S, Bogue EL. Oral contraceptive pill use after an initial visit to a family planning clinic. Fam Plann Perspect 1991;23:150–154.
68. Balassone ML. Risk of contraceptive discontinuation among adolescents. J Adolesc Health Care 1989;10:527–533.
69. Woods JL, Shew ML, Tu W, et al. Patterns of oral contraceptive pill-taking and condom use among adolescent contraceptive pill users. J Adolesc Health 2006;39:381–387.
70. Mishell DR Jr, Guillebaud J, Westhoff C, et al. Combined hormonal contraceptive trials: variable data collection and bleeding assessment methodologies influence study outcomes and physician perception. Contraception 2007;75:4–10.
71. Fraser IS. Bleeding arising from the use of exogenous steroids. Baillieres Best Pract Res Clin Obstet Gynaecol 1999;13:203–222.
72. Abdel-Aleem H, d'Arcangues C, Vogelsong KM, et al. Treatment of vaginal bleeding irregularities induced by progestin only contraceptives. Cochrane Database Syst Rev 2007;4:CD003449.
73. Kaunitz AM. Long-acting injectable contraception with depot medroxyprogesterone acetate. Am J Obstet Gynecol 1994;170(Pt 2): 1543–1549.
74. Kaunitz AM. Current concepts regarding use of DMPA. J Reprod Med 2002;47(Suppl):785–789.
75. Lockwood CJ, Schatz F, Krikun G. Angiogenic factors and the endometrium following long term progestin only contraception. Histol Histopathol 2004;19:167–172.
76. Krettek JE, Arkin SI, Chaisilwattana P, et al. Chlamydia trachomatis in patients who used oral contraceptives and had intermenstrual spotting. Obstet Gynecol 1993;81(Pt 1):728–731.
77. Ferenczy A. Pathophysiology of endometrial bleeding. Maturitas 2003;45:1–14.
78. Claessens EA, Cowell CA. Acute adolescent menorrhagia. Am J Obstet Gynecol 1981;139:277–280.
79. Philipp CS, Faiz A, Dowling N, et al. Age and the prevalence of bleeding disorders in women with menorrhagia. Obstet Gynecol 2005;105:61–66.
80. James AH. Bleeding disorders in adolescents. Obstet Gynecol Clin North Am 2009;36:153–162.
81. James AH, Kouides PA, Abdul-Kadir R, et al. Von Willebrand disease and other bleeding disorders in women: consensus on diagnosis and management from an international expert panel. Am J Obstet Gynecol 2009;201:12e1–e8.
82. Workowski KA, Berman SM. Sexually transmitted diseases treatment guidelines, 2006. MMWR Recomm Rep 2006;55(RR11):1–94.
83. Gray-Swain MR, Peipert JF. Pelvic inflammatory disease in adolescents. Curr Opin Obstet Gynecol 2006;18:503–510.
84. Carmina E, Oberfield SE, Lobo RA. The diagnosis of polycystic ovary syndrome in adolescents. Am J Obstet Gynecol 2010;203:201e1–e5.
85. Rosenfield RL, Lucky AW. Acne, hirsutism, and alopecia in adolescent girls. Clinical expressions of androgen excess. Endocrinol Metab Clin North Am 1993;22:507–532.
86. Legro RS. Detection of insulin resistance and its treatment in adolescents with polycystic ovary syndrome. J Pediatr Endocrinol Metab 2002;15(Suppl 5):1367–1378.
87. ACOG Practice Bulletin No. 109. Cervical cytology screening. Obstet Gynecol 2009;114:1409–1420.
88. Church DG, Vancil JM, Vasanawala SS. Magnetic resonance imaging for uterine and vaginal anomalies. Curr Opin Obstet Gynecol 2009;21:379–389.
89. Economy KE, Barnewolt C, Laufer MR. A comparison of MRI and laparoscopy in detecting pelvic structures in cases of vaginal agenesis. J Pediatr Adolesc Gynecol 2002;15:101–104.
90. Warren-Ulanch J, Arslanian S. Treatment of PCOS in adolescence. Best Pract Res Clin Endocrinol Metab 2006;20:311–330.
91. Demers C, Derzko C, David M, et al. Gynaecological and obstetric management of women with inherited bleeding disorders. Int J Gynaecol Obstet 2006;95:75–87.
92. Parker MA, Sneddon AE, Arbon P. The menstrual disorder of teenagers (MDOT) study: determining typical menstrual patterns and menstrual disturbance in a large population-based study of Australian teenagers. BJOG 2010;117:185–192.
93. Lethaby A, Augood C, Duckitt K, et al. Nonsteroidal anti-inflammatory drugs for heavy menstrual bleeding. Cochrane Database Syst Rev 2007;4:CD000400.
93a. U.S. Food and Drug Adminstration. FDA approves lysteda to treat heavy menstrual bleeding. http://www.fda.gov/AboutFDA/StayInformed/RSSFeeds/ucm144575.htm
94. Finer LB, Henshaw SK. Disparities in rates of unintended pregnancy in the United States, 1994 and 2001. Perspect Sex Reprod Health 2006;38:90–96.
95. Anonymous. Facts on American teens' sexual and reproductive health. New York: Guttmacher Institute, 2010.
96. Anonymous. How is the 3 in 10 statistic calculated? Fact Sheet, The National Campaign to Prevent Teen Pregnancy. Pregnancy. Washington, DC: 2008. Available at http://www.thenationalcampaign.org/resources/pdf/FastFacts_3in10.pdf
97. Lethaby A, Irvine G, Cameron I. Cyclical progestogens for heavy menstrual bleeding. Cochrane Database Syst Rev 2008;1: CD001016.
98. Speroff L, Fritz MA. Dysfunctional uterine bleeding. In Clinical gynecologic endocrinology and infertility. New York: Lippincott Williams & Wilkins, 2005:558–559.
99. Fraser IS, Porte RJ, Kouides PA, et al. A benefit-risk review of systemic haemostatic agents: part 2: in excessive or heavy menstrual bleeding. Drug Saf 2008;31:275–282.
100. Lethaby AE, Cooke I, Rees M. Progesterone or progestogen-releasing intrauterine systems for heavy menstrual bleeding. Cochrane Database Syst Rev 2005;4:CD002126.
101. Yen S, Saah T, Hillard PJ. IUDs and adolescents—an under-utilized opportunity for pregnancy prevention. J Pediatr Adolesc Gynecol 2010;23:123–128.
102. Nelson AL. Levonorgestrel intrauterine system: a first-line medical treatment for heavy menstrual bleeding. Womens Health (Lond) 2010;6:347–356.
103. ACOG Committee Opinion No. 448. Menstrual manipulation for adolescents with disabilities. Obstet Gynecol 2009;114:1428–1431.
104. Kucuk T, Ertan K. Continuous oral or intramuscular medroxyprogesterone acetate versus the levonorgestrel releasing intrauterine system in the treatment of perimenopausal menorrhagia: a randomized, prospective, controlled clinical trial in female smokers. Clin Exp Obstet Gynecol 2008;35:57–60.
105. Martin-Johnston MK, Okoji OY, Armstrong A. Therapeutic amenorrhea in patients at risk for thrombocytopenia. Obstet Gynecol Surv 2008;63:395–402; quiz 405.
106. Legro RS, Pauli LG, Kunselman AR, et al. Effects of continuous versus cyclical oral contraception: a randomized controlled trial. J Clin Endocrinol Metab 2008;93:420–429.
107. Pillai M, O'Brien K, Hill E. The levonorgestrel intrauterine system (Mirena) for the treatment of menstrual problems in adolescents with medical disorders, or physical or learning disabilities. BJOG 2010;117:216–221.
108. Miller L, Hughes JP. Continuous combination oral contraceptive pills to eliminate withdrawal bleeding: a randomized trial. Obstet Gynecol 2003;101:653–661.
109. Baldaszti E, Wimmer-Puchinger B, Loschke K. Acceptability of the long-term contraceptive levonorgestrel-releasing intrauterine system (Mirena): a 3-year follow-up study. Contraception 2003;67:87–91.
110. Diaz S, Croxatto HB, Pavez M, et al. Clinical assessment of treatments for prolonged bleeding in users of Norplant implants. Contraception 1990;42:97–109.
111. Bulas DI, Ahlstrom PA, Sivit CJ, et al. Pelvic inflammatory disease in the adolescent: comparison of transabdominal and transvaginal sonographic evaluation. Radiology 1992;183:435–439.
112. Kozlowski KJ. Ovarian masses. Adolesc Med 1999;10:337–350, vii.
113. Looijenga LH, Hersmus R, de Leeuw BH, et al. Gonadal tumours and DSD. Best Pract Res Clin Endocrinol Metab 2010;24: 291–310.
114. Schellhas HF. Malignant potential of the dysgenetic gonad. Part 1. Obstet Gynecol 1974;44:298–309.
115. Cools M, Looijenga LH, Wolfenbuttel KP, et al. Disorders of sex development: update on the genetic background, terminology and risk for the development of germ cell tumors. World J Pediatr 2009;5:93–102.
116. Linam LE, Darolia R, Nafaa LN, et al. US findings of adnexal torsion in children and adolescents: size really does matter. Pediatr Radiol 2007;37:1013–1019.
117. Servaes S, Zurakowski D, Laufer MR, et al. Sonographic findings of ovarian torsion in children. Pediatr Radiol 2007;37:446–451.
118. Breech LL, Hillard PJ. Adnexal torsion in pediatric and adolescent girls. Curr Opin Obstet Gynecol 2005;17:483–489.
119. Laufer MR, Goltein L, Bush M, et al. Prevalence of endometriosis in adolescent girls with chronic pelvic pain not responding to conventional therapy. J Pediatr Adolesc Gynecol 1997;10:199–202.
120. Laufer MR, Sanfilippo J, Rose G. Adolescent endometriosis: diagnosis and treatment approaches. J Pediatr Adolesc Gynecol 2003;16(Suppl):S3–S11.
121. Capito C, Echaleb A, Lortat-Jacob S, et al. Pitfalls in the diagnosis and management of obstructive uterovaginal duplication: a series of 32 cases. Pediatrics 2008;122:e891–e897.
122. Martinez F, Lopez-Arregui E. Infection risk and intrauterine devices. Acta Obstet Gynecol Scand 2009;88:246–250.
123. Baeten JM, Nyange PM, Richardson BA, et al. Hormonal contraception and risk of sexually transmitted disease acquisition: results from a prospective study. Am J Obstet Gynecol 2001;185:380–385.
124. Eaton DK, Kann L, Kinchen S, et al. Youth risk behavior surveillance—United States, 2009. MMWR Surveill Summ 2010;59: 1–142.
125. Mol BW, Ankum WM, Bossuyt PM, et al. Contraception and the risk of ectopic pregnancy: a meta-analysis. Contraception 1995;52: 337–341.
126. Molander P, Cacciatore B, Sjoberg J, et al. Laparoscopic management of suspected acute pelvic inflammatory disease. J Am Assoc Gynecol Laparosc 2000;7:107–110.
127. Aboulghar MA, Mansour RT, Serour GI. Ultrasonographically guided transvaginal aspiration of tuboovarian abscesses and pyosalpinges: an optional treatment for acute pelvic inflammatory disease. Am J Obstet Gynecol 1995;172:1501–1503.
128. Buchweitz O, Malik E, Kressin P, et al. Laparoscopic management of tubo-ovarian abscesses: retrospective analysis of 60 cases. Surg Endosc 2000;14:948–950.
129. Muram D, Gold SS. Vulvar ulcerations in girls with myelocytic leukemia. South Med J 1993;86:293–294.
130. Reddy J, Laufer MR. Hypertrophic labia minora. J Pediatr Adolesc Gynecol 2010;23:3–6.
131. Ferris DG, Nyirjesy P, Sobel JD, et al. Over-the-counter antifungal drug misuse associated with patient-diagnosed vulvovaginal candidiasis. Obstet Gynecol 2002;99:419–425.
132. Workowski KA, Berman S. Sexually transmitted diseases Treatment guidelines 2010. MMWR Recomm Rep 2010;59(RR12):1–110.
133. Majewski S, et al. The impact of a quadrivalent human papillomavirus (types 6, 11, 16, 18) virus-like particle vaccine in European women aged 16 to 24. J Eur Acad Dermatol Venereol 2009;23:1147–1155.
134. Huppert JS, Biro FM, Mehrabi J, et al. Urinary tract infection and chlamydia infection in adolescent females. J Pediatr Adolesc Gynecol 2003;16:133–137.
135. Cook RL, Hutchison SL, Ostergaard L, et al. Systematic review: noninvasive testing for Chlamydia trachomatis and Neisseria gonorrhoeae. Ann Intern Med 2005;142:914–925.
136. Schuchat A, Broome CV. Toxic shock syndrome and tampons. Epidemiol Rev 1991;13:99–112.
137. Hajjeh RA, Reingold A, Weil A, et al. Toxic shock syndrome in the United States: surveillance update, 1979–1996. Emerg Infect Dis 1999;5:807–810.
138. Hochwalt A, Parsonnet J, Modern P. Vaginal S. aureus and TSST-1 antibody prevalence among teens. Poster presentation at North American Society for Pediatric and Adolescent Gynecology, 2005. New Orleans, LA.
139. Reichman O, Sobel JD. MRSA infection of buttocks, vulva, and genital tract in women. Curr Infect Dis Rep 2009;11:465–470.
140. Brook I. Microbiology and management of polymicrobial female genital tract infections in adolescents. J Pediatr Adolesc Gynecol 2002;15:217–226.
141. Fraser IS, Critchley HO, Munro MG. Abnormal uterine bleeding: getting our terminology straight. Curr Opin Obstet Gynecol 2007;19:591–595.
142. Fraser IS, Warner P, Marantos PA. Estimating menstrual blood loss in women with normal and excessive menstrual fluid volume. Obstet Gynecol 2001;98(Pt 1):806–814.
143. ACOG Practice Bulletin. Management of anovulatory bleeding. Int J Gynaecol Obstet 2001;72:263–271.
144. Mosher WD, Jones J. Use of contraception in the United States: 1982–2008. Vital Health Stat 2010;23:1–44.
145. Henshaw SK. Unintended pregnancy in the United States. Fam Plann Perspect 1998;30:24–29, 46.
146. Moodliar S, Bagratee JS, Moodley J. Medical vs. surgical evacuation of first-trimester spontaneous abortion. Int J Gynaecol Obstet 2005;91:21–26.
147. Ballagh SA, Harris HA, Demasio K. Is curettage needed for uncomplicated incomplete spontaneous abortion? Am J Obstet Gynecol 1998;179:1279–1282.
148. Fontanarosa M, Galiberti S, Fontanarosa N. Fertility after non-surgical management of the symptomatic first-trimester spontaneous abortion. Minerva Ginecol 2007;59:591–594.
149. Sotiriadis A, Makrydimas G, Papatheodorou S, et al. Expectant, medical, or surgical management of first-trimester miscarriage: a meta-analysis. Obstet Gynecol 2005;105(Pt 1):1104–1113.
150. Stubblefield PG. Menstrual impact of contraception. Am J Obstet Gynecol 1994;170(Pt 2):1513–1522.
151. Rosenberg MJ, Waugh MS, Burnhill MS. Compliance, counseling and satisfaction with oral contraceptives: a prospective evaluation. Fam Plann Perspect 1998;30:89–92, 104.
152. Rosenberg MJ, Waugh MS, Meehan TE. Use and misuse of oral contraceptives: risk indicators for poor pill taking and discontinuation. Contraception 1995;51:283–288.
153. Bachmann G, Korner P. Bleeding patterns associated with non-oral hormonal contraceptives: a review of the literature. Contraception 2009;79:247–258.
154. ACOG Committee Opinion No. 450. Increasing use of contraceptive implants and intrauterine devices to reduce unintended pregnancy. Obstet Gynecol 2009;114:1434–1438.
155. Krassas GE. Thyroid disease and female reproduction. Fertil Steril 2000;74:1063–1070.
156. Rebar RW. Premature ovarian failure. Obstet Gynecol 2009;113: 1355–1363.
157. Nelson LM. Clinical practice. Primary ovarian insufficiency. N Engl J Med 2009;360:606–614.
158. Azziz R, Woods KS, Reyna R, et al. The prevalence and features of the polycystic ovary syndrome in an unselected population. J Clin Endocrinol Metab 2004;89:2745–1749.
159. Guzick DS. Polycystic ovary syndrome. Obstet Gynecol 2004;103: 181–193.
160. Palomba S, Falbo A, Russo T, et al. Systemic and local effects of metformin administration in patients with polycystic ovary syndrome (PCOS): relationship to the ovulatory response. Hum Reprod 2010;25:1005–1013.
161. Cibula D, Fanta M, Vrbikova J, et al. The effect of combination therapy with metformin and combined oral contraceptives (COC) versus COC alone on insulin sensitivity, hyperandrogenaemia, SHBG and lipids in PCOS patients. Hum Reprod 2005;20:180–184.
162. Ryan GL, Syrop CH, Van Voorhis BJ. Role, epidemiology, and natural history of benign uterine mass lesions. Clin Obstet Gynecol 2005;48:312–324.
163. Okolo S. Incidence, aetiology and epidemiology of uterine fibroids. Best Pract Res Clin Obstet Gynaecol 2008;22:571–588.
164. Day Baird D, Dunson DB, Hill MC, et al. High cumulative incidence of uterine leiomyoma in black and white women: ultrasound evidence. Am J Obstet Gynecol 2003;188:100–107.
165. Tamura-Sadamori R, Emoto M, Naganuma Y, et al. The sonohysterographic difference in submucosal uterine fibroids and endometrial polyps treated by hysteroscopic surgery. J Ultrasound Med 2007;26:941–948.
166. Lieng M, Qvigstad E, Dahl GF, et al. Flow differences between endometrial polyps and cancer: a prospective study using intravenous contrast-enhanced transvaginal color flow Doppler and three-dimensional power Doppler ultrasound. Ultrasound Obstet Gynecol2008;32:935–940.
167. Dreisler E, Stampe Sorenson S, Ibsen PH, et al. Prevalence of endometrial polyps and abnormal uterine bleeding in a Danish population aged 20–74 years. Ultrasound Obstet Gynecol 2009;33:102–108.
168. Lieng M, Istre O, Sandvik L, et al. Prevalence, 1-year regression rate, and clinical significance of asymptomatic endometrial polyps: cross-sectional study. J Minim Invasive Gynecol 2009;16:465–471.
169. DeWaay DJ, Syrop CH, Nygaard IE, et al. Natural history of uterine polyps and leiomyomata. Obstet Gynecol 2002;100:3–7.
170. Lieng M, Istre O, Qvigstad E. Treatment of endometrial polyps: a systematic review. Acta Obstet Gynecol Scand 2010;89:992–1002.
171. James AH, Manco-Johnson MJ, Yawn BP, et al. Von Willebrand disease: key points from the 2008 National Heart, Lung, and Blood Institute guidelines. Obstet Gynecol 2009;114:674–678.
172. Dubinsky TJ. Value of sonography in the diagnosis of abnormal vaginal bleeding. J Clin Ultrasound 2004;32:348–353.
173. Bignardi T, Van den Bosch T, Condous G. Abnormal uterine and post-menopausal bleeding in the acute gynaecology unit. Best Pract Res Clin Obstet Gynaecol 2009;23:595–607.
174. Breitkopf DM, Frederickson RA, Snyder RR. Detection of benign endometrial masses by endometrial stripe measurement in premenopausal women. Obstet Gynecol 2004;104:120–125.
175. Lane BF, Wong-You-Cheong JJ. Imaging of endometrial pathology. Clin Obstet Gynecol 2009;52:57–72.
176. Stock RJ, Kanbour A. Prehysterectomy curettage. Obstet Gynecol 1975;45:537–541.
177. Grimes DA. Diagnostic dilation and curettage: a reappraisal. Am J Obstet Gynecol 1982;142:1–6.
178. van Dongen H, de Kroon CD, Jacobi CE, et al. Diagnostic hysteroscopy in abnormal uterine bleeding: a systematic review and meta-analysis. BJOG 2007;114:664–675.
179. Clark TJ, Mann CH, Shah N, et al. Accuracy of outpatient endometrial biopsy in the diagnosis of endometrial cancer: a systematic quantitative review. BJOG 2002;109:313–321.
180. Clark TJ, Mann CH, Shah N, et al. Accuracy of outpatient endometrial biopsy in the diagnosis of endometrial hyperplasia. Acta Obstet Gynecol Scand 2001;80:784–793.
181. Heliovaara-Peippo S, Halmesmaki K, Hurskainen R, et al. The effect of hysterectomy or levonorgestrel-releasing intrauterine system on lower abdominal pain and back pain among women treated for menorrhagia: a five-year randomized controlled trial. Acta Obstet Gynecol Scand 2009;88:1389–1396.
182. Dueholm M. Levonorgestrel-IUD should be offered before hysterectomy for abnormal uterine bleeding without uterine structural abnormalities: there are no more excuses! Acta Obstet Gynecol Scand 2009;88:1302–1304.
183. ACOG Practice Bulletin. Alternatives to hysterectomy in the management of leiomyomas. Obstet Gynecol 2008;112(Pt 1):387–400.
184. Farquhar C, Brown J. Oral contraceptive pill for heavy menstrual bleeding. Cochrane Database Syst Rev 2009;4:CD000154.
185. ACOG Practice Bulletin. Clinical management guidelines for obstetrician-gynecologists, management of endometrial cancer. Obstet Gynecol 2005106: 413–425.
186. Cetin NN, Karabacak O, Korucuoglu U, et al. Gonadotropin-releasing hormone analog combined with a low-dose oral contraceptive to treat heavy menstrual bleeding. Int J Gynaecol Obstet 2009;104:236–239.
187. Haynes PJ, Hodgson H, Anderson AB, et al. Measurement of menstrual blood loss in patients complaining of menorrhagia. BJOG 1977;84:763–788.
188. Nickelsen C. Diagnostic and curative value of uterine curettage. Acta Obstet Gynecol Scand 1986;65:693–697.
189. Banu NS, Manyonda IT. Alternative medical and surgical options to hysterectomy. Best Pract Res Clin Obstet Gynaecol 2005;19:431–449.
190. Lethaby A, Shepperd S, Cooke I, et al. Endometrial resection / ablation techniques for heavy menstrual bleeding. Cochrane Database Syst Rev 2009;4:CD001501.
191. Kuppermann M, Learman LA, Schembri M, et al. Predictors of hysterectomy use and satisfaction. Obstet Gynecol 2010;115:543–551.
192. Persson P, Brynhildsen J, Kjolhede P. Short-term recovery after subtotal and total abdominal hysterectomy—a randomised clinical trial. BJOG 2010;117:469–478.
193. Yen JY, Chen YH, Long CY, et al. Risk factors for major depressive disorder and the psychological impact of hysterectomy: a prospective investigation. Psychosomatics 2008;49:137–142.
194. Hernandez E, Miyazawa K. The pelvic mass. Patients' ages and pathologic findings. J Reprod Med 1988;33:361–364.
195. Wallach EE, Vlahos NF. Uterine myomas: an overview of development, clinical features, and management. Obstet Gynecol 2004; 104:393–406.
196. Cannistra SA. Cancer of the ovary. N Engl J Med 2004;351:2519–2529.
197. Koonings PP, Campbell K, Mishell DR Jr, et al. Relative frequency of primary ovarian neoplasms: a 10-year review. Obstet Gynecol 1989;74:921–926.
198. Holt VL, Cushing-Haugen KL, Daling JR. Risk of functional ovarian cyst: effects of smoking and marijuana use according to body mass index. Am J Epidemiol 2005;161:520–525.
199. Christensen JT, Boldsen JL, Westergaard JG. Functional ovarian cysts in premenopausal and gynecologically healthy women. Contraception 2002;66:153–157.
200. Cochrane Update. Oral contraceptives for functional ovarian cysts. Obstet Gynecol 2009;114:679–680.
201. Grimes DA, Hughes JM. Use of multiphasic oral contraceptives and hospitalizations of women with functional ovarian cysts in the United States. Obstet Gynecol 1989;73: 1037–1039.
202. Hallatt JG, Steele CH Jr, Snyder M. Ruptured corpus luteum with hemoperitoneum: a study of 173 surgical cases. Am J Obstet Gynecol 1984;149:5–9.
203. Joshi R, Dunaif A. Ovarian disorders of pregnancy. Endocrinol Metab Clin North Am 1995;24:153–169.
204. Vessey M, Metcalfe A, Wells C, et al. Ovarian neoplasms, functional ovarian cysts, and oral contraceptives. Br Med J (Clin Res Ed) 1987;294:1518–1520.
205. Holt VL, Daling JR, McKnight B, et al. Functional ovarian cysts in relation to the use of monophasic and triphasic oral contraceptives. Obstet Gynecol 1992;79:529–533.
206. Lanes SF, Birmann B, Walker AM, et al. Oral contraceptive type and functional ovarian cysts. Am J Obstet Gynecol 1992;166:956–961.
207. Grimes DA, Godwin AJ, Rubin A, et al. Ovulation and follicular development associated with three low-dose oral contraceptives: a randomized controlled trial. Obstet Gynecol 1994;83:29–34.
208. Hart RJ, Hickey M, Maouris P, et al. Excisional surgery versus ablative surgery for ovarian endometriomata. Cochrane Database Syst Rev 2008;2:CD004992.
209. Anonymous. Revised 2003 consensus on diagnostic criteria and long-term health risks related to polycystic ovary syndrome. Fertil Steril 2004;81:19–25.
210. Jonard S, Robert Y, Dewailly D. Revisiting the ovarian volume as a diagnostic criterion for polycystic ovaries. Hum Reprod 2005;20:2893–2898.
211. Polson DW, Adams J, Wadsworth J, et al. Polycystic ovaries—a common finding in normal women. Lancet 1988;1:870–872.
212. Karimzadeh MA, Javedani M. An assessment of lifestyle modification versus medical treatment with clomiphene citrate, metformin, and clomiphene citrate-metformin in patients with polycystic ovary syndrome. Fertil Steril 2010;94:216–220.
213. Kurman R, ed. Blaustein’s pathology of the female genital track. Vol. 5. New York: Springer, 2005.
214. Templeman CL, Fallat ME, Lam AM, et al. Managing mature cystic teratomas of the ovary. Obstet Gynecol Surv 2000;55: 738–745.
215. Milingos S, Protopapas A, Drakakis P, et al. Laparoscopic treatment of ovarian dermoid cysts: eleven years' experience. J Am Assoc Gynecol Laparosc 2004;11:478–485.
216. Laberge PY, Levesque S. Short-term morbidity and long-term recurrence rate of ovarian dermoid cysts treated by laparoscopy versus laparotomy. J Obstet Gynaecol Can 2006;28:789–793.
217. Kondo W, Bourdel N, Cotte B, et al. Does prevention of intraperitoneal spillage when removing a dermoid cyst prevent granulomatous peritonitis? BJOG 2010;117:1027–1030.
218. Stein AL, Koonings PP, Schlaerth JB, et al. Relative frequency of malignant parovarian tumors: should parovarian tumors be aspirated? Obstet Gynecol 1990;75:1029–1031.
219. Van Calster B, Timmerman D, Bourne T, et al. Discrimination between benign and malignant adnexal masses by specialist ultrasound examination versus serum CA-125. J Natl Cancer Inst 2007;99:1706–1714.
220. ACOG Practice Bulletin. Management of adnexal masses. Obstet Gynecol 2007;110:201–214.
221. Liu J, Xu Y, Wang J. Ultrasonography, computed tomography and magnetic resonance imaging for diagnosis of ovarian carcinoma. Eur J Radiol 2007;62:328–334.
222. Medeiros LR, Rosa DD, da Rosa MI, et al. Accuracy of ultrasonography with color Doppler in ovarian tumor: a systematic quantitative review. Int J Gynecol Cancer 2009;19:1214–1220.
223. Huchon C, Staraci S, Fauconnier A. Adnexal torsion: a predictive score for pre-operative diagnosis. Hum Reprod 2010;25:2276– 2280.
224. Huchon C, Fauconnier A. Adnexal torsion: a literature review. Eur J Obstet Gynecol Reprod Biol 2010;150:8–12.
225. Bottomley C, Bourne T. Diagnosis and management of ovarian cyst accidents. Best Pract Res Clin Obstet Gynaecol 2009;23:711–724.
226. Vaisbuch E, Dgani R, Ben-Arie A, et al. The role of laparoscopy in ovarian tumors of low malignant potential and early-stage ovarian cancer. Obstet Gynecol Surv 2005;60:326–330.
227. Cho JE, Liu C, Gossner G, et al. Laparoscopy and gynecologic oncology. Clin Obstet Gynecol 2009;52:313–326.
228. Mettler L, Meinhold-Heerlein I. The value of laparoscopic surgery to stage gynecological cancers: present and future. Minerva Ginecol 2009;61:319–337.
229. Minelli L, Ceccaroni M, Ruffo G, et al. Laparoscopic conservative surgery for stage IV symptomatic endometriosis: short-term surgical complications. Fertil Steril 2010;94:1218–1222.
230. Medeiros LR, Rosa DD, Bozzetti MC, et al. Laparoscopy versus laparotomy for benign ovarian tumour. Cochrane Database Syst Rev 2009;2:CD004751.
231. Ragnarsson-Olding BK, Kanter-Lewensohn LR, Lagerlof B, et al. Malignant melanoma of the vulva in a nationwide, 25-year study of 219 Swedish females: clinical observations and histopathologic features. Cancer 1999;86:1273–1284.
232. Ribe A. Melanocytic lesions of the genital area with attention given to atypical genital nevi. J Cutan Pathol 2008;35(Suppl 2):24–27.
233. Hood AF, Lumadue J. Benign vulvar tumors. Dermatol Clin 1992; 10:371–385.
234. Trager JD. Pubic hair removal—pearls and pitfalls. J Pediatr Adolesc Gynecol 2006;19:117–123.
235. Alikhan A, Lynch PJ, Eisen DB. Hidradenitis suppurativa: a comprehensive review. J Am Acad Dermatol 2009;60:539–563.
236. Hermanns-Le T, Scheen A, Pierard GE. Acanthosis nigricans associated with insulin resistance: pathophysiology and management. Am J Clin Dermatol 2004;5:199–203.
237. Higgins SP, Freemark M, Prose NS. Acanthosis nigricans: a practical approach to evaluation and management. Dermatol Online J 2008;14:2.
238. Kaufman R, Faro S, Brown D, eds. Cystic tumors in Benign diseases of the vulva and vagina. 5 ed. Philadelphia: Elsevier Mosby, 2005:449.
239. Word B. Office treatment of cysts and abscess of Bartholin’s gland duct. South Med J 1968;61(5): 514-8.
240. Farage MA, Galask RP. Vulvar vestibulitis syndrome: a review. Eur J Obstet Gynecol Reprod Biol 2005;123:9–16.
241. Petersen CD, Lundvall L, Kristensen E, et al. Vulvodynia. Definition, diagnosis and treatment. Acta Obstet Gynecol Scand 2008; 87:893–901.
242. Moyal-Barracco M, Lynch PJ. 2003 ISSVD terminology and classification of vulvodynia: a historical perspective. J Reprod Med 2004;49:772–777.
243. Friedrich EG Jr. Vulvar vestibulitis syndrome. J Reprod Med 1987;32:110–114.
244. Sakane T, Takeno M, Suzuki N, et al. Behçet’s disease. N Engl J Med 1999;341:1284–1291.
245. Gul A. Standard and novel therapeutic approaches to Behçet’s disease. Drugs 2007;67:2013–2022.
246. Furness S, Roberts H, Marjoribanks J, et al. Hormone therapy in postmenopausal women and risk of endometrial hyperplasia. Cochrane Database Syst Rev 2009;2:CD000402.
247. Sitruk-Ware R. New hormonal therapies and regimens in the postmenopause: routes of administration and timing of initiation. Climacteric 2007;10:358–370.
248. Kenemans P, van Unnik GA, Mijatovic V, et al. Perspectives in hormone replacement therapy. Maturitas 2001;38(Suppl 1):S41–S48.
249. Shoupe D. HRT dosing regimens: continuous versus cyclic-pros and cons. Int J Fertil Womens Med 2001;46:7–15.
250. ACOG Committee Opinion No. 426. The role of transvaginal ultrasonography in the evaluation of postmenopausal bleeding. Obstet Gynecol 2009;113(Pt 1):462–464.
251. Hann LE, Kim CM, Gonen M, et al. Sonohysterography compared with endometrial biopsy for evaluation of the endometrium in tamoxifen-treated women. J Ultrasound Med 2003;22:1173– 1179.
252. Savelli L, De Iaco P, Santini D, et al. Histopathologic features and risk factors for benignity, hyperplasia, and cancer in endometrial polyps. Am J Obstet Gynecol 2003;188:927–931.
253. Karlsson B, Granberg S, Wikland M, et al. Transvaginal ultrasonography of the endometrium in women with postmenopausal bleeding—a Nordic multicenter study. Am J Obstet Gynecol 1995; 172:1488–1494.
254. Epstein E, Valentin L. Managing women with post-menopausal bleeding. Best Pract Res Clin Obstet Gynaecol 2004;18:125–143.
255. Timmermans A, Opmeer BC, Khan KS, et al. Endometrial thickness measurement for detecting endometrial cancer in women with postmenopausal bleeding: a systematic review and meta-analysis. Obstet Gynecol 2010;116:160–167.
256. Castelo-Branco C, Cancelo MJ, Villero J, et al. Management of post-menopausal vaginal atrophy and atrophic vaginitis. Maturitas 2005;52(Suppl 1):S46–S52.
257. Santoro N, Komi J. Prevalence and impact of vaginal symptoms among postmenopausal women. J Sex Med 2009;6:2133–2142.
258. Dorr MB, Nelson AL, Mayer PR, et al. Plasma estrogen concentrations after oral and vaginal estrogen administration in women with atrophic vaginitis. Fertil Steril 2010;94:2365–2368.
259. Lacey JV Jr, Chia VM. Endometrial hyperplasia and the risk of progression to carcinoma. Maturitas 2009;63:39–44.
260. Pavlik EJ, DePriest PD, Gallion HH, et al. Ovarian volume related to age. Gynecol Oncol 2000;77:410–412.
261. Ueland FR, DePriest PD, Desimone CP, et al. The accuracy of examination under anesthesia and transvaginal sonography in evaluating ovarian size. Gynecol Oncol 2005;99:400–403.
262. Goff BA, Mandel LS, Melancon CH, et al. Frequency of symptoms of ovarian cancer in women presenting to primary care clinics. JAMA 2004;291:2705–2712.
263. Rossing MA, Wicklund KG, Cushing-Haugen KL, et al. Predictive value of symptoms for early detection of ovarian cancer. J Natl Cancer Inst 2010;102:222–229.
264. Greenlee RT, Kessel B, Williams CR, et al. Prevalence, incidence, and natural history of simple ovarian cysts among women >55 years old in a large cancer screening trial. Am J Obstet Gynecol 2010;202:373e1–e9.
265. Modesitt SC, Pavlik EJ, Ueland FR, et al. Risk of malignancy in unilocular ovarian cystic tumors less than 10 centimeters in diameter. Obstet Gynecol 2003;102:594–599.
266. ACOG Committee Opinion No. 280. The role of the generalist obstetrician-gynecologist in the early detection of ovarian cancer. Obstet Gynecol 2002;100:1413–1416.
267. Lynch PJ, Moyal-Barracco M, Bogliatto F, et al. 2006 ISSVD classification of vulvar dermatoses: pathologic subsets and their clinical correlates. J Reprod Med 2007;52:3–9.
268. Maclean AB, Jones RW, Scurry J, et al. Vulvar cancer and the need for awareness of precursor lesions. J Low Genit Tract Dis 2009;13:115–117.
269. Ayhan A, Guven ES, Guven S, et al. Testosterone versus clobetasol for maintenance of vulvar lichen sclerosus associated with variable degrees of squamous cell hyperplasia. Acta Obstet Gynecol Scand 2007;86:715–719.
270. Sinha P, Sorinola O, Luesley DM. Lichen sclerosus of the vulva. Long-term steroid maintenance therapy. J Reprod Med 1999;44:621–624.
271. Bradford J, Fischer G. Long-term management of vulval lichen sclerosus in adult women. Aust N Z J Obstet Gynaecol 2010;50:148–152.
272. Yesudian PD. The role of calcineurin inhibitors in the management of lichen sclerosus. Am J Clin Dermatol 2009;10:313–318.
273. Sideri M, Jones RW, Wilkinson EJ, et al. Squamous vulvar intraepithelial neoplasia: 2004 modified terminology, ISSVD Vulvar Oncology Subcommittee. J Reprod Med 2005;50:807–810.
274. Ballagh SA. Vaginal hormone therapy for urogenital and menopausal symptoms. Semin Reprod Med 2005;23:126–140.
275. Palacios S. Managing urogenital atrophy. Maturitas 2009;63:315–318.