Paula C. Brady1 and Daniel J. Kaser1
(1)
Department of Obstetrics, Gynecology and Reproductive Biology, Brigham and Women’s Hospital, Boston, MA, USA
Paula C. Brady (Corresponding author)
Email: Pbrady2@partners.org
Daniel J. Kaser
Email: dankaser@gmail.com
Keywords
Ovarian cystOvarian cancerPelvic massRuptured cystTransvaginal ultrasound
Definitions
Simple Cyst
Usually a functional cyst resulting from an unruptured Graafian follicle. These are the most common type of ovarian cysts in premenopausal women [1]. The risk of malignancy is less than 1 % [2].
Paraovarian or Paratubal Cyst
Simple-appearing cystic struc-tures separate from the ovary, arising from the broad ligament, fallopian tube, or surface of the ovary [3]. Like simple ovarian cysts, the risk of malignancy is very low, particularly in paraovarian or paratubal cysts measuring less than 5 centimeters (cm) [4].
Corpus Luteum
Following ovulation, the collapsed follicle becomes a functional endocrine gland known as a corpus luteum, which secretes estrogen and progesterone to prepare the endometrial lining for implantation [5]. These cysts are typically less than 3 cm and regress spontaneously in the absence of pregnancy.
Hemorrhagic Cyst
These common ovarian cysts result from bleeding into a follicular cyst or corpus luteum and can produce abrupt onset of pain [6].
Endometrioma
Also called “chocolate cysts,” endometriomas are growths of endometriosis—endometrial glands and stroma implanted outside of the uterus—on the ovary. Endometriosis is present in 6–10 % of reproductive age women [7]. Patients with endometriosis may be asymptomatic, though others report dysmenorrhea, dyspareunia, dysuria, dyschezia, and cyclic or acyclic abdominopelvic pain. Endometriomas may produce pelvic pain or pressure symptoms as they enlarge. Rarely, deep infiltrating endometriosis can lead to hydronephrosis or renal insufficiency due to ureteral involvement. Endometriosis may also be associated with elevation with cancer antigen 125 (CA-125), a serum biomarker commonly associated with epithelial ovarian cancer [8].
Mature Cystic Teratoma
Also called dermoids, mature cystic teratomas are the most common benign ovarian germ cell tumor in adolescence and during the reproductive years [1]. These tumors may contain elements from the three germ cell layers, including adipose tissue and hair, teeth, and thyroid tissue [9]. Rarely, these can be associated with paraneoplastic syndromes; for example, teratomas with monodermal differentiation can lead to symptoms of hyperthyroidism or anti-N-methyl D-aspartate (NMDA)-receptor-mediated encephalitis, which presents with psychiatric disturbances, seizure, or coma [10, 11].
Cystadenoma
Benign epithelial tumors of serous or mucinous subtypes. These are the most common benign ovarian neoplasm in postmenopausal women [1]. Patients commonly present with large masses (>10 cm), increased abdominal girth, pelvic pain, or pressure symptoms. These masses may also be detected incidentally [3].
Theca-Lutein Cyst
A rare type of functional ovarian cyst that is often bilateral and multilocular in appearance, these develop in the setting of elevated serum human chorionic gonadotropin (hCG) . These cysts develop most often in patients with gestational trophoblastic disease such as hydatidiform moles or choriocarcinomas, but can also be diagnosed in normal pregnancy (in particular, with multifetal gestation) [12, 13]. Theca-lutein cysts may be found incidentally or may present as pelvic pain or pressure due to their size [14]. Occasionally, ascites develops with these tumors. Patients may also develop signs of virilization [15].
Hydrosalpinx
Fluid accumulated in a fallopian tube that appears anechoic, serpiginous, and adjacent to the ovary on ultrasound. Hydrosalpinges may occur in up to 10 % of patients with pelvic inflammatory disease (PID) or endometriosis [3]. These also may result from adhesive disease from appendicitis or prior abdominal or pelvic surgery.
Tubo-Ovarian Abscess (TOA )
An abscess of the adnexa, involving the fallopian tube and/or ovary. TOAs occur in one-third of patients with PID and may also be secondary to appendicitis, diverticulitis, inflammatory bowel disease, or postoperative infection [16]. Patients may present with fever, abdominal pain, chills, abnormal vaginal bleeding, dyspareunia, and/or vaginal discharge, while some patients may be asymptomatic; over 30 % may be afebrile [17, 18]. Risk factors include multiple sexual partners, young age at coitarche, nonuse of barrier contraception, smoking, illicit drug use, infection with Neisseria gonorrhoeae and Chlamydia trachomatis, prior episodes PID, and potentially immunosuppression, such as chronic steroid use or infection with human immunodeficiency virus (HIV) [19–21]. Ruptured TOAs represent a surgical emergency and may present as sepsis and hemodynamic instability. Please see Chap. 6, Pelvic Inflammatory Disease and Tubo-Ovarian Abscesses, for more information on the diagnosis of management of TOA. Please see Chap. 16, Complications of Minimally Invasive Gynecologic Surgery, for the diagnosis and management of pelvic abscesses other than TOA, related to postoperative complications.
Ectopic Pregnancy
The implantation of an embryo outside of the uterus, occurring in 1–2 % of all pregnancies [22]. Ectopic pregnancies occur most commonly in the ampulla of the fallopian tube, though pregnancies can also implant in the cervix, ovary, myometrium, cesarean section scar, interstitial (intramuscular) portion of the fallopian tube, or abdominal cavity in 10 % of cases. Risk factors for ectopic pregnancy include age over 35 years, smoking, prior ectopic pregnancy, prior tubal surgery, prior pelvic infection, and pregnancy conceived by assisted reproduction [22–25]. Patients with ectopic pregnancies commonly present with pelvic pain and/or vaginal bleeding. All patients of reproductive age with abnormal vaginal bleeding, particularly in the presence of an adnexal mass, require a pregnancy test even if abstinent or on highly effective contraception. Please see Chap. 3, Pregnancy of Unknown Location and Ectopic Pregnancy, for more information on the diagnosis and management of ectopic pregnancy.
Polycystic Ovarian Syndrome (PCOS)
The diagnosis of PCOS requires at least two of the following: (1) oligo- or anovulation; (2) clinical or laboratory evidence of hyperandrogenism (such as hirsutism); or (3) polycystic ovaries by ultrasound, defined as one or both ovaries with increased ovarian volume (>10 mL) and/or containing 12 or more antral follicles each, measuring 2–9 mm [26]. This syndrome in itself does not cause pain, but an enlarged, polycystic ovary may torse, and these patients are at higher risk of ovarian hyperstimulation syndrome (OHSS) while undergoing infertility treatment [27].
Ovarian Hyperstimulation Syndrome (OHSS )
An iatrogenic condition resulting from excessive ovarian stimulation with exogenous gonadotropins [28]. Risk factors include age less than 33 years, low body weight, a history of PCOS or hypothalamic amenorrhea, high antral follicle count or anti-müllerian hormone levels (above 3.3 ng/mL), a large number of oocytes retrieved (>15), significantly elevated serum estradiol (>5,000–6,000 pg/mL), or prior episodes of OHSS [27, 29–32]. Symptoms of OHSS most often begin 48 h after administration of an hCG trigger injection to induce final oocyte maturation or ovulation during infertility treatment and peak in 7–10 days [33]. There is also a late phase of OHSS that can occur if the patient becomes pregnant, likewise driven by serum hCG. Patients may present with increased abdominal girth, pelvic pain, nausea, vomiting, shortness of breath, or chest pain; patients with severe OHSS may develop hypotension, tachycardia, oliguria, ascites, pleural and pericardial effusions, thromboembolism, and/or renal failure. Hyperstimulated ovaries are prone to torsion, so any infertility patient with pelvic pain requires an ultrasound for evaluation. Please see Chap. 20, Reproductive Endocrinology and Infertility, for more information on the diagnosis and management of OHSS.
Müllerian Anomalies
Congenital defects of uterine develop-ment, which may result in a variety of malformations, as shown in Fig. 4.1. These occur in approximately 5 % of all women and up to 25 % of patients with prior pregnancy loss and infertility; septate uterus is the most common malformation [34, 35]. Approximately 30 % of women with uterine anomalies will also have renal anomalies, such as renal agenesis, duplication, or a pelvic kidney [36]. By ultrasound, some anomalies—such as a rudimentary horn—may appear as a pelvic mass. These anomalies may cause pelvic pain due to endometriosis from retrograde menstruation or hematometra from obstructed menstrual egress or in the presence of pregnancy, which may result in spontaneous abortion or rupture of a rudimentary uterine horn [37].

Fig. 4.1
Müllerian anomalies. * Uterus may be normal or take a variety of abnormal forms. ** May have two distinct cervices (Reprinted by permission from the American Society for Reproductive Medicine (Fertility and Sterility [83]))
Leiomyomata
Also known as fibroids, these smooth muscle tumors are the most common neoplasm in reproductive age women and arise from monoclonal expansion of cells in the uterine myometrium. Fibroids may be asymptomatic or produce symptoms of pelvic pressure, menorrhagia, and/or infertility in 25 % of women [38]. Similar to some müllerian anomalies, pedunculated, broad ligament fibroids and those with cystic degeneration may be mistaken for complex adnexal masses by ultrasound and are better delineated using magnetic resonance imaging (MRI). Like endometriosis, fibroids can also cause elevated CA-125 values [39]. Fibroids generally do not cause pain unless torsing or degenerating; please see Chap. 1, Acute Pelvic Pain, for further information on the diagnosis and management of painful fibroids.
Peritoneal Inclusion Cysts
Pelvic adhesions distended with peritoneal fluid. Peritoneal inclusion cysts are most often diagnosed in patients with prior pelvic surgery, pelvic inflammatory disease, endometriosis, or inflammatory bowel disease [3, 40]. Peritoneal inclusion cysts are also more commonly diagnosed in reproductive-aged women as compared to postmenopausal women or men [40]. Often discovered incidentally, these cysts may produce pelvic pressure or pain if they enlarge.
Ovarian Malignancy
Primary ovarian malignancies occur in 1.3 % of women in their lifetimes [41]. Risk factors include nulliparity, advancing age, a family history of breast or ovarian cancer, and hereditary cancer syndromes, due to germline mutations in tumor suppressor genes (BRCA1, BRCA2) or mismatch repair genes (MLH1, MSH2, MSH6, or PMS2) [42, 43]. Epithelial ovarian cancers, the most common type, are diagnosed most often in postmenopausal women [6]. Germ cell tumors are often diagnosed in younger women, while sex-cord stromal tumors can present in any age group [6]. Non-epithelial ovarian cancers are generally associated with very favorable prognosis [6]. Patients with ovarian malignancies may present with abdominal distention, pain or pressure, changes in appetite (anorexia or early satiety), urinary symptoms, or gastrointestinal symptoms including bowel obstruction [44].
Of note, less than 10 % of malignant tumors of the ovary represent metastatic implants of nongynecologic primary tumors, most commonly of the gastrointestinal tract (colon or stomach) or breast [45, 46]. Metastases of appendiceal, pancreatic, thyroid, lung, and gallbladder cancers and melanoma, among others, may also occur [46]. Metastatic tumors on the ovary are most often bilateral [45]. As a result, reviewing a patient’s full medical history is crucial, and if surgery is performed, survey of the entire abdomen for other suspicious masses is prudent.
Ruptured Ovarian Cyst
Rupture of an ovarian cyst wall, leading to the spread of cyst contents and/or blood into the peritoneum. Ruptured ovarian cysts constitute the most common cause of spontaneous hemoperitoneum [47]. Many types of ovarian cysts can rupture, including simple cysts, cystadenomas, endometriomas, TOAs, and dermoids [48–50]. While unruptured ovarian cysts can result in dull pelvic pain due to stretching of the ovarian capsule and mass effect, ovarian cyst rupture often results in the acute onset of pain [51]. Patients may report that their pelvic pain began after physical activity or intercourse or, if specifically asked, may report rectal pressure if blood has pooled in the posterior cul-de-sac, which may be seen on speculum exam as a bulge in the posterior fornix.
Differential Diagnosis
Differential Diagnosis of an Adnexal Mass
· Simple (follicular) cyst
· Paraovarian or paratubal cyst
· Corpus luteum
· Hemorrhagic cyst
· Ectopic pregnancy
· Endometrioma
· Benign cystic teratoma (also referred to as a dermoid)
· Cystadenoma
· Theca-lutein cyst
· Hydrosalpinx (fluid-filled fallopian tube) or (fallopian tube filled with purulent material)
· Tubo-ovarian abscess or other pelvic abscess
· Polycystic ovaries
· Ovarian hyperstimulation syndrome
· Uterine anomaly
· Broad ligament or pedunculated fibroid
· Peritoneal inclusion cyst
· Other ovarian neoplasms (benign or malignant; germ cell, sex-cord or stromal, or epithelial)
· Metastatic gastrointestinal or breast cancer
· Nongynecologic causes such as diverticular abscess, appendicitis, nerve sheath tumor, and urologic pathology (pelvic kidney, ureteral or bladder diverticulum) [52].
When You Get the Call
Ask for a full set of vital signs to assess hemodynamic stability. Ensure that a pregnancy test and ultrasound have been performed, and the patient is located in a private room on bed or stretcher equipped for gynecologic exams (i.e., with stirrups).
When You Arrive
Review all available vital signs to assess for fever, hypotension, or tachycardia. Assess whether the patient is in distress due to pain. Quickly review any available clinical data, particularly an hCG level or ultrasound.
History
Review the patient’s onset of symptoms (gradual or acute) and any associated symptoms, including fever, nausea, vomiting, or diarrhea. Inquire whether she is on any hormonal medications which might suppress ovulation, such as combined oral contraceptive pills, Depo-Provera, or a gonadotropin-releasing hormone agonist. Review the patient’s last menstrual period and whether she is undergoing ovulation induction. Review whether she has a history of polycystic ovarian syndrome, PID, ovarian cysts, ovarian torsion, or a family history of breast or ovarian cancer. As always, review the patient’s full obstetrical, gynecologic, medical, and surgical history, including whether she is on anticoagulation medications or has a bleeding disorder.
Physical Examination
Before examining a patient with pain, always review when she last received narcotics, which may mask clinically significant findings. Examine the patient’s abdomen to assess for peritoneal signs—including rebound (pain on the abrupt release of abdominal palpation), involuntary abdominal guarding, or shake tenderness (pain with shaking the patient’s abdomen or bed)—which may indicate the presence of infection or intraperitoneal blood from an ovarian cyst rupture or ruptured ectopic pregnancy. On bimanual exam, make note of enlarged adnexae, cervical motion tenderness, and any nodularity of the uterosacral ligaments or immobility of the uterus.
Diagnosis
A complete blood count, serum human chorionic gonadotropin (hCG) and pelvic ultrasound should be obtained in patients suspected to have adnexal masses based on their symptoms or physical exam. Other imaging studies, such as a computed tomography (CT) scan, may have already been performed by the emergency department or primary team, but ultrasound should be requested for further characterization, as this is the modality of choice for evaluation of pelvic masses. In patients who may be pregnant or have peritoneal signs on abdominal exam, collection of a blood type and antibody screen is prudent. In patients taking anticoagulation with possible cyst rupture or possible need for operative management, obtain coagulation studies (prothrombin time (PT) and activated partial thromboplastin time (aPTT)).
Management
Overall, management of ovarian masses in the emergent setting is driven by the patient’s clinical stability and report of pain. Most noninfectious pelvic masses in hemodynamically stable patients with pain controlled on oral agents do not require intervention. Patients with presentations highly suspicious for ruptured ectopic pregnancy or adnexal torsion—which is more common for cysts over 5 cm—require diagnostic laparoscopy; please see Chap. 3, Pregnancy of Unknown Location and Ectopic Pregnancy, and Chap. 5, Adnexal Torsion, for more information [53]. For patients with suspected adnexal or pelvic abscess, antibiotics and potentially abscess drainage are indicated. Please see Chap. 6, Pelvic Inflammatory Disease and Tubo-Ovarian Abscesses, for more information on the diagnosis of management of TOA . Please see Chap. 16, Complications of Minimally Invasive Gynecologic Surgery, for the diagnosis and management of pelvic abscesses other than TOA, usually related to postoperative complications.
Simple Cyst
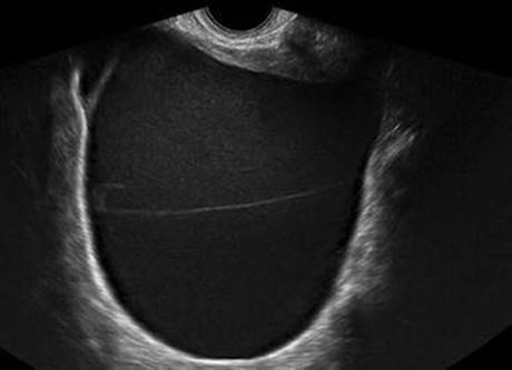
Transvaginal ultrasound is usually sufficient to characterize simple cysts , though cysts greater than 7 cm may be difficult to completely visualize, for which MRI may be useful [54]. Simple cysts are thin-walled, anechoic structures with no complex features, such as thick septations, mural nodularity, papillary excrescences, or hypervascularity (Fig. 4.2). In asymptomatic premenopausal women, simple cysts less than 5 cm are very low risk for malignancy and do not strictly require follow-up [54]. Simple cysts up to 1 cm can be seen in postmenopausal women and confer very low risk for malignancy; follow-up is not strictly necessary but is at the discretion of the clinician [54]. In premenopausal and postmenopausal women, larger simple cysts, measuring up to 10 cm, are generally followed with serial ultrasounds; a repeat ultrasound within 3 months is prudent, as two-thirds will resolve over time [2]. Stable cysts less than 10 cm can be followed with an annual repeat ultrasound, unless patients become symptomatic or sonographic features concerning for malignancy develop [54].

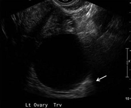
Fig. 4.2
Simple/follicular ovarian cyst. Transvaginal ultrasound demonstrates an anechoic 6-cm cyst with a thin wall and posterior acoustic enhancement (arrow) (Reprinted from Amirbekian and Hooley [51], with permission from Elsevier)
Paraovarian or Paratubal Cyst
Pelvic ultrasound is sufficient to characterize these cysts and allows for observation of cyst movement separate from the ovary to confirm the diagnosis. Simple paraovarian or paratubal cysts are benign in the vast majority of patients and can be followed like simple ovarian cysts [54]. Simple-appearing paraovarian or paratubal cysts only require intervention if greater than 10 cm or if patients have pain. The presence of papillary structures in a paraovarian or paratubal cyst is more concerning for borderline or malignant neoplasm; such cysts must be followed more closely and may require operative management to confirm pathology, though not emergently [4].
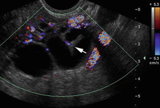
Corpus Luteum
Pelvic ultrasound reveals a small cyst, usually less than 3 cm, with thickened walls, internal echoes, crenulated (collapsing) margins, and peripheral color Doppler flow (Fig. 4.3) [6]. Follow-up for a corpus luteum measuring 3 cm or less is not required, as these most often resolve unless pregnancy occurs, at which point the corpus luteum is “rescued” to secrete progesterone that supports the pregnancy [55]. If the corpus luteum enlarges, hemorrhage into the cyst may occur, resulting in a hemorrhagic cyst (see below).

Fig. 4.3
Corpus luteum. (a) Transvaginal ultrasound reveals a 3-cm corpus luteum (calipers) with internal echoes; (b) peripheral flow is seen by color Doppler
Hemorrhagic Cyst
By ultrasound, hemorrhagic cysts may have fluid-fluid levels, internal echoes, and/or a mural thrombus; these cysts usually have circumferential flow without internal color Doppler flow (Fig. 4.4) [51, 54]. An internal reticular and lacy pattern due to fibrin may be noted, but do not cross the whole cyst, unlike septations [6]. The sonographic appearance of a hemorrhagic cyst may mimic that of an endometrioma, or vice versa. In premenopausal women, hemorrhagic cysts are expected to resolve and can be followed with a repeat ultrasound in 6–8 weeks to ensure resolution. Conversely, a cyst which appears hemorrhagic in a postmenopausal woman is potentially concerning for neoplasia and require close follow-up, as ovulation is no longer occurring in these women [54].

Fig. 4.4
Hemorrhagic ovarian cysts. (a) Transvaginal ultrasound demonstrates a thin-walled hypoechoic cyst with a “lacelike” pattern of internal low-level echoes representing fibrin formation from lysis of RBCs (arrow). (b, c) Transvaginal ultrasound demonstrating a later stage of hemorrhagic cysts, which contain retractile clot seen as heterogeneous iso-echoic to hypoechoic irregular-shaped mural foci (arrows) without Doppler flow (Reprinted from Amirbekian and Hooley [51], with permission from Elsevier)
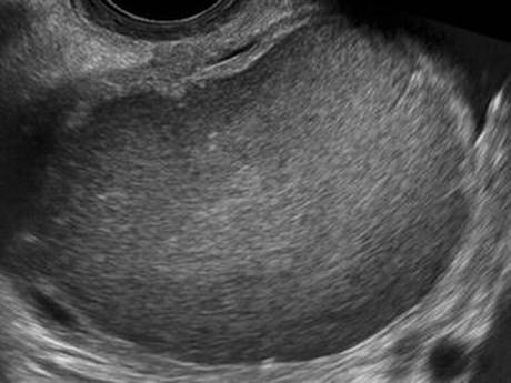
Endometrioma
Physical examination may reveal an adnexal mass; thickened or nodular uterosacral ligaments or rectovaginal septum and a fixed (non-mobile) uterus may also be appreciated, consistent with intraperitoneal scarring due to endometriosis. Transvaginal ultrasound will demonstrate a mass with homogenous “ground-glass” echoes, smooth walls and without internal color Doppler flow (Fig. 4.5); the sensitivity and specificity for the diagnosis of endometrioma by ultrasound is high (77–98 %), but occasionally these can be mistaken for hemorrhagic cysts [56]. Repeat ultrasound should be performed in 6–8 weeks to differentiate an endometrioma from a hemorrhagic cyst, as the latter should resolve [54]. Malignant transformation occurs in 1 % of endometriomas; malignant transformation is more common in endometriomas over 6 cm and in women over 45 years of age [57]. Urgent management is indicated only for evidence of torsion or, rarely, superinfection, which may occur following percutaneous drainage or oocyte retrieval for in vitro fertilization [58]. Please see Chap. 1, Acute Pelvic Pain, for more information on the management of endometriosis; see Chap. 20, Reproductive Endocrinology and Infertility, for management of superinfected endometriomas.

Fig. 4.5
Endometrioma by transvaginal ultrasound (Reprinted from Coccia et al. [74], Figure 3, with kind permission from Springer Science and Business Media)
Mature Cystic Teratoma
By ultrasound, mature teratomas often have cystic and solid components, along with acoustic shadowing, calcifications from bone or teeth, or thin bands (also known as “dermoid mesh”) from strands of hair (Figs. 4.6 and 4.7) [3, 9, 59]. Cyst contents may appear to float within the cyst. An echogenic “plug,” called a Rokitansky tubercule, is often seen projecting into the cyst cavity [3]. The sensitivity and specificity for the diagnosis of a teratoma by ultrasound is high (86–99 %) [56]. Peripheral color Doppler flow is often seen by ultrasound; central flow may be more concerning for malignancy [54]. Mature teratomas are also well-characterized by CT scan and MRI. The vast majority of these masses are benign; malignant transformation occurs in less than 1 % of cases [60]. In asymptomatic patients, mature teratomas can be followed by ultrasound, to monitor for an increase in diameter or characteristics concerning for malignancy; once the mass reaches 4–5 cm, surgical removal is advisable given the risk for torsion [54].

Fig. 4.6
Ovarian teratoma on transvaginal ultrasound. The cystic adnexal mass has a central dense echogenic nodule (the Rokitansky nodule) causing posterior acoustic shadowing (*). The Rokitansky nodule is composed of the fat, bone, and hair (Reprinted from Heilbrun et al. [3], with permission)

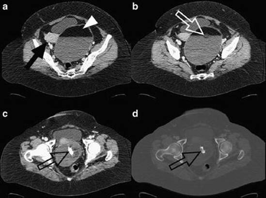
Fig. 4.7
Ovarian teratoma. Contrast-enhanced CT scan (a, b) shows well-defined ovarian tumor with fat-fluid level (white arrowhead), round mass of matted tuft of hair (white open arrow), and enhancing lobulated soft-tissue component (black arrow) in lateral wall. A toothlike calcification in inferior wall is visible (black open arrow) in (c, d) scans (Reprinted from Saba et al. [59], with permission from Elsevier)
Cystadenoma
By ultrasound, serous cystadenomas are simple and thin-walled in appearance, resembling simple cysts, although they are often much larger (10 cm or more) [3]. Mucinous cystadenomas are similarly large, but may have internal echoes, septations, or locules (Fig. 4.8) [61]. On MRI, cystadenomas typically have a low T1 signal and a high T2 signal. The T1 signal in a mucinous cystadenoma may be higher than in a serous cystadenoma, and correspondingly, the T2 signal may be comparatively lower and vary among locules [3]. These neoplasms will not resolve on serial ultrasounds. A variant of the cystadenoma, a cystadenofibroma, will have solid components, usually without vascularity [62]. Differentiating cystadenomas from low malignant potential or malignant tumors by imaging can be challenging, and as a result, surgical excision is often pursued, though not emergently in hemodynamically stable patients without signs of torsion.

Fig. 4.8
Mucinous cystadenoma by transvaginal ultrasound (Reprinted from Coccia et al. [74], Figure 9, with kind permission from Springer Science and Business Media)
Theca-Lutein Cyst
On examination, patients may have abdominal distention and pain. Patients may also have signs of virilization including hirsutism, though, if pregnant, patients can be advised that female fetuses are exceedingly rarely affected [63, 64]. On transvaginal ultrasound, theca-lutein cysts are usually bilateral and multilocular, measuring 6–12 cm in diameter [3]. These cysts have thin walls without nodularity, often with a classic “spoke-wheel” appearance (Fig. 4.9) [14]. Ascites may also be present. Theca-lutein cysts can resemble mucinous neoplasms but are distinguished by the uniform size of each locule [65]. The cysts will resolve with withdrawal of the hCG or gonadotropin source [64].

Fig. 4.9
Hyperreactio luteinalis by transvaginal ultrasound, with a spoke-wheel appearance (Reprinted from Amoah et al. [14], with permission from Elsevier and the American Society of Reproductive Medicine)
Hydrosalpinx
Patients with hydrosalpinges are often asymptomatic, and a mass is variably detectable by physical examination. The sensitivity and specificity for the diagnosis of a hydrosalpinx by ultrasound is high (86–98 %) [56]. By ultrasound, hydrosalpinges are anechoic and notable for the presence of incomplete septations, resulting from the fallopian tube folding on itself (Fig. 4.10) [66]. A hydrosalpinx must be differentiated from a tubo-ovarian abscess; the latter is distended with debris and echogenic material (Fig. 4.11) [66]. Unlike a woman with a hydrosalpinx, a patient with a pyosalpinx would likely have an elevated white blood cell count, fever, and cervical motion tenderness; infection should be carefully excluded in patients whose pain is attributed to their hydrosalpinges. Please see Chap. 6, Pelvic Inflammatory Disease and Tubo-Ovarian Abscess, for more information on the management of TOAs. Furthermore, as a hydrosalpinx is not expected to cause pain, tubal torsion should be considered; a torsed fallopian tube occurs rarely but has a pathognomonic ultrasound appearance of a midline, cystic mass sometimes with intraluminal debris [67]. Please see Chap. 5, Adnexal Torsion, for more information.

Fig. 4.10
Hydrosalpinx. Color Doppler coronal image shows a serpiginous anechoic tubular structure in the adnexa. Real-time imaging helps differentiate this tubular structure from complex adnexal cystic mass. Note the incomplete septation sign (arrow) (Reprinted from Chu et al. [66], with permission from Elsevier)

Fig. 4.11
Pyosalpinx. (a) Transvaginal ultrasound shows serpiginous tubular structure (arrow) in the adnexa with low-level internal echoes, consistent with pyosalpinx. (b) Color Doppler sagittal ultrasound image shows peripheral vascularity along the inflamed fallopian tube (arrow) (Reprinted from Chu et al. [66], with permission from Elsevier)
TOAs
Please see Chap. 6, Pelvic Inflammatory Disease and Tubo-Ovarian Abscess, for more information on the management of TOAs.
Ectopic Pregnancy
Please see Chap. 3, Pregnancy of Unknown Location and Ectopic Pregnancy, for more information on the management of ectopic pregnancies.
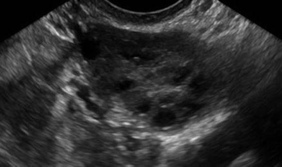
Polycystic Ovaries
Pelvic ultrasounds in patients with PCOS will reveal multiple peripheral follicles and an overall volume greater than 10 mL (Fig. 4.12); enlargement is usually bilateral, but can be unilateral [68]. The ovarian stroma may also be increased and echogenic, though use of oral contraceptive pills may normalize the appearance of the stroma [69]. Urgent intervention is not indicated, except in cases of suspected torsion; patients can be followed by gynecologists in the outpatient setting for management of oligo-ovulation and hirsutism, as needed.

Fig. 4.12
Polycystic ovarian syndrome. Transvaginal ultrasound of a 21-year-old patient with PCOS reveals several small, peripherally located follicles with a “string of pearls” appearance
OHSS
Please see Chap. 20, Reproductive Endocrinology and Infertility, for more information on the diagnosis and management of OHSS.
Müllerian Anomalies
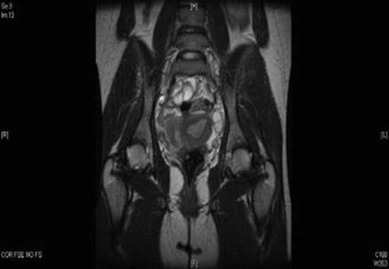
MRI is the recommended study to clarify the anatomy in patients with suspected müllerian anomalies (Fig. 4.13) [70]. For the management of pregnancy in a patient with a müllerian anomaly, please see Chap. 3, Pregnancies of Unknown Location and Ectopic pregnancy. For the management of müllerian anomalies resulting in obstructed menstrual flow, please see Chap. 10, Acute Pelvic Pain in Pediatric and Adolescent Patients.

Fig. 4.13
MRI indicating significant myometrial connection between unicornuate uterus and functional, noncommunicating uterine horn (Reprinted from Spitzer et al. [37], with permission from Elsevier and the North American Society for Pediatric and Adolescent Gynecology)
Leiomyoma
Please see Chap. 1, Acute Pelvic Pain, for further information on the diagnosis and management of painful fibroids.
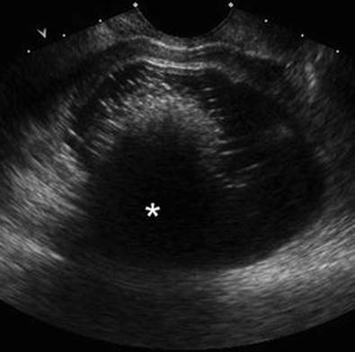
Peritoneal Inclusion Cysts
Peritoneal inclusion cysts can vary widely in size and appearance. By ultrasound, many septations are often noted. No solid components should be present, though the ovary may be involved in the mass and mistakenly identified as a nodule (Fig. 4.14); MRI can be useful in identifying the ovary within a peritoneal inclusion cyst [3]. Expectant management is acceptable in the absence of significant symptoms or imaging findings concerning for malignancy, such as solid areas or papillations [40]. Successful control through hormonal suppression with combined oral contraceptive pills or gonadotropin-releasing hormone agonist injections has been reported, though the cysts return once those medications are stopped [71, 72]. More than half of peritoneal inclusion cysts will recur if removed surgically or drained percutaneously [72, 73]. Successful resolution using sclerotherapy (draining and chemically ablating the cyst bed) has been reported [73].

Fig. 4.14
Peritoneal inclusion cyst by transvaginal ultrasound (Reprinted from Coccia et al. [74], Figure 6, with kind permission from Springer Science and Business Media)
Ovarian Malignancy
Features of malignant masses on transvaginal ultrasound include papillary projections , thick septations (>3 mm), and solid components with color Doppler flow (Fig. 4.15) [62, 74]. The presence of ascites is also highly concerning for malignancy, though ascites may also be identified in benign conditions as well, such as ovarian fibromas and OHSS [75]. CT scan may also be useful in characterizing pelvic masses concerning for malignancy by detecting metastatic disease and peritoneal carcinomatosis.

Fig. 4.15
Ovarian cancer. (a) A solid excrescence is present on the inner cyst wall of this complex ovarian cyst. (b) Doppler examination of the mass reveals multiple intermediate resistance vessels. A stage I-C epithelial ovarian cancer was found at laparotomy (Reprinted from Cohen [62], Figure. 4a, b, with kind permission from Springer Science and Business Media)
Serologic markers of ovarian cancers can be sent, usually for the purposes of follow-up and ongoing management in the outpatient setting; the most commonly used marker is CA-125, which may be elevated in epithelial ovarian cancer but can also be elevated in benign neoplasms, uterine fibroids, endometriosis, pregnancy, and other systemic illness [52]. Beta-hCG, lactate dehydrogenase (LDH), and alpha-fetoprotein (AFP) may be elevated in non-epithelial ovarian cancers.
In women with a pelvic mass , referral to a gynecologic oncologist for management is recommended in any woman who also has ascites, a mass that is fixed or nodular, evidence of abdominal or distant metastases by imaging or physical examination, or a family history of breast or ovarian cancer in a first-degree relative. Furthermore, premenopausal women with CA-125 levels greater than 200 units/mL or postmenopausal women with CA-125 levels above 35 units/mL should also be referred to a gynecologic oncologist [76]. Otherwise, few suspected ovarian malignancies require admission and/or immediate intervention, though patients with evidence of bowel obstruction, ureteral obstruction, sepsis, or intraabdominal hemorrhage, in conjunction with imaging suggestive of advanced gynecologic malignancy (such as a large pelvic mass and peritoneal carcinomatosis), require admission for stabilization.
Ruptured Ovarian Cyst
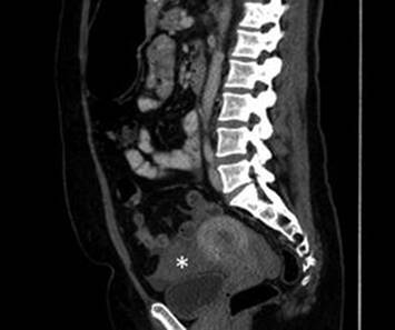
On physical examination, patients may have signs of peritoneal irritation due to free fluid in the abdomen, including rebound or cervical motion tenderness; patients are generally afebrile, without an elevated white blood cell count [50]. By transvaginal ultrasound, patients may have simple or complex free fluid in the pelvis, particularly the posterior cul-de-sac; the originating cyst is seldom visualized [47]. A CT scan will also reveal hemoperitoneum, but is often unnecessary with appropriate history, physical exam, and targeted ultrasound; if a CT is performed with intravenous contrast, active contrast extravasation from the ovary may rarely be visualized (Fig. 4.16).

Fig. 4.16
Ovarian cyst rupture. CT scan showing moderate complex free fluid, indicated with an asterisk (*), consistent with hemoperitoneum due to ovarian cyst rupture
A repeat hemoglobin value should be checked to ensure that the patient does not have ongoing bleeding. Overall, 80 % or more of patients with hemoperitoneum attributed to a ruptured ovarian cyst can be treated with analgesia and expectant management [77]. Patients should be counseled that their pain may take days to weeks to resolve, as the hemoperitoneum is gradually reabsorbed. Ovarian cyst suppression with combined oral contraceptive pills can be considered for patients presenting with ruptured functional ovarian cysts (simple cysts or corpora lutea) without contraindications to estrogen therapy, which include but are not limited to migraines with aura, smoking, prior deep vein thrombosis or pulmonary embolism, hypertension vascular disease, and history of breast cancer [78, 79].
Clinically significant hemorrhage resulting in hemodynamic instability is uncommon, but rarely patients may show signs of hemodynamic compromise (please see Chap. 1, Acute Pelvic Pain, Table 1.1, for the stages of hemodynamic shock). Severe hemorrhage is more common in patients on anticoagulation therapy or those with a bleeding diathesis [80, 81]. In patients who are hemodynamically unstable or with persistently declining hemoglobin (or those in whom torsion cannot be reliably eliminated as the cause of pelvic pain), surgical exploration is indicated. Laparoscopy or laparotomy are options and depend on the patient’s clinical stability and clinician preference. Please see Chap. 13, Preparing for Urgent or Emergent Surgery, for a discussion of reversing anticoagulant medications when indicated.
Intraoperatively, in patients bleeding from a ruptured ovarian cyst, fulguration or oversewing of the cyst rupture site, and/or ovarian cystectomy may be required. Rarely, oophorectomy may be required for hemostasis, though ovarian preservation in reproductive-aged women is an absolute priority.
Of note, in pregnant patients, ovarian cystectomy may result in removal of the corpus luteum, which secretes progesterone crucial for pregnancy maintenance for up to 9 weeks of gestation. At approximately 9 weeks’ gestation, the luteoplacental shift occurs, and the placenta becomes the dominant source of progesterone secretion for the remainder of pregnancy; thus, removal of the corpus luteum before 9 weeks of gestation can result in spontaneous abortion. Patients who undergo ovarian surgery which may compromise the corpus luteum before 9 weeks of gestation should receive progesterone replacement, such as intramuscular progesterone in oil (50 mg per day) or micronized vaginal progesterone (200 mg three times daily), until they reach 9 weeks of gestation [82].
References
1.
Koonings PP, Campbell K, Mishell Jr DR, Grimes DA. Relative frequency of primary ovarian neoplasms: a 10-year review. Obstet Gynecol. 1989;74:921–6.PubMed
2.
Modesitt SC, Pavlik EJ, Ueland FR, DePriest PD, Kryscio RJ, van Nagell Jr JR. Risk of malignancy in unilocular ovarian cystic tumors less than 10 centimeters in diameter. Obstet Gynecol. 2003;102:594–9.PubMed
3.
Heilbrun ME, Olpin J, Shaaban A. Imaging of benign adnexal masses: characteristic presentations on ultrasound computed tomography, and magnetic resonance imaging. Clin Obstet Gynecol. 2009;52:21–39.CrossRefPubMed
4.
Savelli L, Ghi T, De Iaco P, Ceccaroni M, Venturoli S, Cacciatore B. Paraovarian/paratubal cysts: comparison of transvaginal sonographic and pathological findings to establish diagnostic criteria. Ultrasound Obstet Gynecol. 2006;28:330–4.CrossRefPubMed
5.
Stocco C, Telleria C, Gibori G. The molecular control of corpus luteum formation, function, and regression. Endocr Rev. 2007;28:117–49.CrossRefPubMed
6.
Ackerman S, Irshad A, Lewis M, Anis M. Ovarian cystic lesions: a current approach to diagnosis and management. Radiol Clin North Am. 2013;51:1067–85.CrossRefPubMed
7.
Giudice LC. Clinical practice. Endometriosis. N Engl J Med. 2010;362:2389–98.CrossRefPubMedPubMedCentral
8.
He RH, Yao WM, Wu LY, Mao YY. Highly elevated serum CA-125 levels in patients with non-malignant gynecological diseases. Arch Gynecol Obstet. 2011;283 Suppl 1:107–10.CrossRefPubMed
9.
Outwater EK, Siegelman ES, Hunt JL. Ovarian teratomas: tumor types and imaging characteristics. Radiographics. 2001;21:475–90.CrossRefPubMed
10.
Lupi I, Fessehatsion R, Manca A, Cossu-Rocca P, Martino E, Macchia E. Hashimoto’s thyroiditis in a benign cystic teratoma of the ovary: case report and literature review. Gynecol Endocrinol. 2012;28:39–42.CrossRefPubMed
11.
Dalmau J, Gleichman AJ, Hughes EG, Rossi JE, Peng X, Lai M, Dessain SK, Rosenfeld MR, Balice-Gordon R, Lynch DR. Anti-NMDA-receptor encephalitis: case series and analysis of the effects of antibodies. Lancet Neurol. 2008;7:1091–8.CrossRefPubMedPubMedCentral
12.
Angioni S, Portoghese E, Milano F, Melis GB, Fulghesu AM. Hirsutism and hyperandrogenism associated with hyperreactio luteinalis in a singleton pregnancy: a case report. Gynecol Endocrinol. 2007;23:248–51.CrossRefPubMed
13.
Atis A, Cifci F, Aydin Y, Ozdemir G, Goker N. Hyperreactio luteinalis with preeclampsia. J Emerg Trauma Shock. 2010;3:298.PubMedPubMedCentral
14.
Amoah C, Yassin A, Cockayne E, Bird A. Hyperreactio luteinalis in pregnancy. Fertil Steril. 2011;95:2429.e1–3.CrossRef
15.
Bradshaw KD, Santos-Ramos R, Rawlins SC, MacDonald PC, Parker Jr CR. Endocrine studies in a pregnancy complicated by ovarian theca lutein cysts and hyperreactio luteinalis. Obstet Gynecol. 1986;67:66S–9.CrossRefPubMed
16.
McNeeley SG, Hendrex SL, Mazzoni MM, et al. Medically sound, cost-effective treatment for pelvic inflammatory disease and tuboovarian abscess. Am J Obstet Gynecol. 1998;178:1272–8.CrossRefPubMed
17.
Pelvic inflammatory disease. Centers for Disease Control and Prevention website. http://www.cdc.gov/std/tg2015/pid.htm. Updated 4 June 2015. Accessed 7 July 2015.
18.
Landers DV, Sweet RL. Tubo-ovarian abscess: contemporary approach to management. Rev Infect Dis. 1983;5:876–84.CrossRefPubMed
19.
Mitchell C, Prabhu M. Pelvic inflammatory disease: current concepts in pathogenesis, diagnosis and treatment. Infect Dis Clin North Am. 2013;27:793–809.CrossRefPubMed
20.
Jossens MO, Eskenazi B, Schachter J, et al. Risk factors for pelvic inflammatory disease. A case control study. Sex Transm Dis. 1996;23:239–47.CrossRefPubMed
21.
Kamenga MC, De Cock KM, St Louis ME, et al. The impact of human immunodeficiency virus infection on pelvic inflammatory disease: a case-control study in Abidjan, Ivory Coast. Am J Obstet Gynecol. 1995;172:919–25.CrossRefPubMed
22.
Practice Committee of the American Society for Reproductive Medicine. Medical treatment of ectopic pregnancy: a committee opinion. Fertil Steril. 2013;100:638–44.CrossRef
23.
Li C, Meng CX, Zhao WH, Lu HQ, Shi W, Zhang J. Risk factors for ectopic pregnancy in women with planned pregnancy: a case-control study. Eur J Obstet Gynecol Reprod Biol. 2014;181:176–82.CrossRefPubMed
24.
Cooper MD, Rapp J, Jeffery-Wiseman C, Barnes RC, Stephens DS. Chlamydia trachomatis infection of human fallopian tube organ cultures. J Gen Microbiol. 1990;136:1109–15.CrossRefPubMed
25.
Bouyer J, Coste J, Shojaei T, Pouly JL, Fernandez H, Gerbaud L, Job-Spira N. Risk factors for ectopic pregnancy: a comprehensive analysis based on a large case-control, population-based study in France. Am J Epidemiol. 2003;157:185–94.CrossRefPubMed
26.
Rotterdam ESHRE/ASRM-Sponsored PCOS Consensus Workshop Group. Revised 2003 consensus on diagnostic criteria and long-term health risks related to polycystic ovary syndrome (PCOS). Hum Reprod. 2004;19:41–7.CrossRef
27.
Asch RH, Li HP, Balmaceda JP, Weckstein LN, Stone SC. Severe ovarian hyperstimulation syndrome in assisted reproductive technology: definition of high risk groups. Hum Reprod. 1991;6:1395–9.PubMed
28.
Practice Committee of American Society for Reproductive Medicine. Ovarian hyperstimulation syndrome. Fertil Steril. 2008;90:S188–93.
29.
Papanikolaou EG, Pozzobon C, Kolibianakis EM, Camus M, Tournaye H, Fatemi HM, Van Steirteghem A, Devroey P. Incidence and prediction of ovarian hyperstimulation syndrome in women undergoing gonadotropin-releasing hormone antagonist in vitro fertilization cycles. Fertil Steril. 2006;85:112–20.CrossRefPubMed
30.
Ocal P, Sahmay S, Cetin M, Irez T, Guralp O, Cepni I. Serum anti-Müllerian hormone and antral follicle count as predictive markers of OHSS in ART cycles. J Assist Reprod Genet. 2011;28:1197–203.CrossRefPubMedPubMedCentral
31.
Lee TH, Liu CH, Huang CC, Wu YL, Shih YT, Ho HN, Yang YS, Lee MS. Serum anti-Müllerian hormone and estradiol levels as predictors of ovarian hyperstimulation syndrome in assisted reproduction technology cycles. Hum Reprod. 2008;23:160–7.CrossRefPubMed
32.
Enskog A, Henriksson M, Unander M, Nilsson L, Brännström M. Prospective study of the clinical and laboratory parameters of patients in whom ovarian hyperstimulation syndrome developed during controlled ovarian hyperstimulation for in vitro fertilization. Fertil Steril. 1999;71:808–14.CrossRefPubMed
33.
Delvigne A, Rozenberg S. Review of clinical course and treatment of ovarian hyperstimulation syndrome (OHSS). Hum Reprod Update. 2003;9:77–96.CrossRefPubMed
34.
Chan YY, Jayaprakasan K, Zamora J, Thornton JG, Raine-Fenning N, Coomarasamy A. The prevalence of congenital uterine anomalies in unselected and high-risk populations: a systematic review. Hum Reprod Update. 2011;17:761–71.CrossRefPubMedPubMedCentral
35.
Grimbizis GF, Camus M, Tarlatzis BC, Bontis JN, Devroey P. Clinical implications of uterine malformations and hysteroscopic treatment results. Hum Reprod Update. 2001;7:161–74.CrossRefPubMed
36.
Oppelt P, von Have M, Paulsen M, Strissel PL, Strick R, Brucker S, Wallwiener D, Beckmann MW. Female genital malformations and their associated abnormalities. Fertil Steril. 2007;87:335–42.CrossRefPubMed
37.
Spitzer RF, Kives S, Allen LM. Case series of laparoscopically resected noncommunicating functional uterine horns. J Pediatr Adolesc Gynecol. 2009;22:e23–8.CrossRefPubMed
38.
Stewart EA. Uterine fibroids. Lancet. 2001;357:293–8.CrossRefPubMed
39.
Ghaemmaghami F, Karimi Zarchi M, Hamedi B. High levels of CA125 (over 1,000 IU/ml) in patients with gynecologic disease and no malignant conditions: three cases and literature review. Arch Gynecol Obstet. 2007;276:559–61.CrossRefPubMed
40.
Vallerie AM, Lerner JP, Wright JD, Baxi LV. Peritoneal inclusion cysts: a review. Obstet Gynecol Surv. 2009;64:321–34.CrossRefPubMed
41.
Howlader N, Noone AM, Krapcho M, Garshell J, Miller D, Altekruse SF, et al., editors. SEER cancer statistics review, 1975-2012. Bethesda: National Cancer Institute. http://seer.cancer.gov/csr/1975_2012/, based on November 2014 SEER data submission, posted to the SEER web site, April 2015. Accessed 25 July 2015.
42.
Finch A, Beiner M, Lubinski J, Lynch HT, Moller P, Rosen B, et al. Salpingo-oophorectomy and the risk of ovarian, fallopian tube, and peritoneal cancers in women with a BRCA1or BRCA2 mutation. JAMA. 2006;296:185–92.CrossRefPubMed
43.
Toss A, Tomasello C, Razzaboni E, Contu G, Grandi G, Cagnacci A, et al. Hereditary ovarian cancer: not only BRCA 1 and 2 genes. Biomed Res Int. 2015;2015:341723.CrossRefPubMedPubMedCentral
44.
Goff BA, Mandel L, Muntz HG, Melancon CH. Ovarian carcinoma diagnosis. Cancer. 2000;89:2068–75.CrossRefPubMed
45.
Moore RG, Chung M, Granai CO, Gajewski W, Steinhoff MM. Incidence of metastasis to the ovaries from nongenital tract primary tumors. Gynecol Oncol. 2004;93:87–91.CrossRefPubMed
46.
Skírnisdóttir I, Garmo H, Holmberg L. Non-genital tract metastases to the ovaries presented as ovarian tumors in Sweden 1990-2003: occurrence, origin and survival compared to ovarian cancer. Gynecol Oncol. 2007;105:166–71.CrossRefPubMed
47.
Lucey BC, Varghese JC, Anderson SW, Soto JA. Spontaneous hemoperitoneum: a bloody mess. Emerg Radiol. 2007;14:65–75.CrossRefPubMed
48.
da Silva BB, dos Santos AR, Lopes-Costa PV, Sousa-Júnior EC, Correa-Lima MV, Pires CG. Ovarian dermoid cyst with malignant transformation and rupture of the capsule associated with chemical peritonitis: a case report and literature review. Eur J Gynaecol Oncol. 2009;30:226–8.PubMed
49.
Lee YR. CT imaging findings of ruptured ovarian endometriotic cysts: emphasis on the differential diagnosis with ruptured ovarian functional cysts. Korean J Radiol. 2011;12:59–65.CrossRefPubMedPubMedCentral
50.
Bottomley C, Bourne T. Diagnosis and management of ovarian cyst accidents. Best Pract Res Clin Obstet Gynaecol. 2009;23:711–24.CrossRefPubMed
51.
Amirbekian S, Hooley RJ. Ultrasound evaluation of pelvic pain. Radiol Clin North Am. 2014;52:1215–35.CrossRefPubMed
52.
American College of Obstetricians and Gynecologists. ACOG practice bulletin. Management of adnexal masses. Obstet Gynecol. 2007;110:201–14.CrossRef
53.
Huchon C, Staraci S, Fauconnier A. Adnexal torsion: a predictive score for pre-operative diagnosis. Hum Reprod. 2010;25:2276–80.CrossRefPubMed
54.
Levine D, Brown DL, Andreotti RF, Benacerraf B, Benson CB, Brewster WR, et al. Management of asymptomatic ovarian and other adnexal cysts imaged at US: Society of Radiologists in Ultrasound Consensus Conference Statement. Radiology. 2010;256:943–54.CrossRefPubMed
55.
Langer JE, Oliver ER, Lev-Toaff AS, Coleman BG. Imaging of the female pelvis through the life cycle. Radiographics. 2012;32:1575–97.CrossRefPubMed
56.
Sokalska A, Timmerman D, Testa AC, Van Holsbeke C, Lissoni AA, Leone FP, et al. Diagnostic accuracy of transvaginal ultrasound examination for assigning a specific diagnosis to adnexal masses. Ultrasound Obstet Gynecol. 2009;34:462–70.CrossRefPubMed
57.
Kawaguchi R, Tsuji Y, Haruta S, Kanayama S, Sakata M, Yamada Y, et al. Clinicopathologic features of ovarian cancer in patients with ovarian endometrioma. J Obstet Gynaecol Res. 2008;34:872–7.CrossRefPubMed
58.
Somigliana E, Benaglia L, Paffoni A, Busnelli A, Vigano P, Vercellini P. Risks of conservative management in women with ovarian endometriomas undergoing IVF. Hum Reprod Update. 2015;21:486–99.CrossRefPubMed
59.
Saba L, Guerriero S, Sulcis R, Virgilio B, Melis G, Mallarini G. Mature and immature ovarian teratomas: CT, US and MR imaging characteristics. Eur J Radiol. 2009;72:454–63.CrossRefPubMed
60.
Comerci Jr JT, Licciardi F, Bergh PA, Gregori C, Breen JL. Mature cystic teratoma: a clinicopathologic evaluation of 517 cases and review of the literature. Obstet Gynecol. 1994;84:22–8.PubMed
61.
Joshi M, Ganesan K, Munshi HN, Ganesan S, Lawande A. Ultrasound of adnexal masses. Semin Ultrasound CT MR. 2008;29:72–97.CrossRefPubMed
62.
Cohen L. Transvaginal ultrasound assessment of the premenopausal ovarian mass. J Assist Reprod Genet. 2007;24:507–12.CrossRefPubMedPubMedCentral
63.
Hensleigh PA, Carter RP, Grotjan Jr HE. Fetal protection against masculinization with hyperreactio luteinalis and virilization. J Clin Endocrinol Metab. 1975;40:816–23.CrossRefPubMed
64.
Simsek Y, Celen S, Ustun Y, Danisman N, Bayramoglu H. Severe preeclampsia and fetal virilization in a spontaneous singleton pregnancy complicated by hyperreactio luteinalis. Eur Rev Med Pharmacol Sci. 2012;16:118–21.PubMed
65.
Ghossain MA, Buy JN, Ruiz A, Jacob D, Sciot C, Hugol D, Vadrot D. Hyperreactio luteinalis in a normal pregnancy: sonographic and MRI findings. J Magn Reson Imaging. 1998;8:1203–6.CrossRefPubMed
66.
Chu LC, Coquia SF, Hamper UM. Ultrasonography evaluation of pelvic masses. Radiol Clin North Am. 2014;52:1237–52.CrossRefPubMed
67.
van der Zanden M, Nap A, van Kints M. Isolated torsion of the fallopian tube: a case report and review of the literature. Eur J Pediatr. 2011;170:1329–32.CrossRefPubMed
68.
Shah B, Parnell L, Milla S, Kessler M, David R. Endometrial thickness, uterine, and ovarian ultrasonographic features in adolescents with polycystic ovarian syndrome. J Pediatr Adolesc Gynecol. 2010;23:146–52.CrossRefPubMed
69.
Bucket WM, Bouzayen R, Watkin KL, Tulandi T, Tan SL. Ovarian stromal echogenicity in women with normal and polycystic ovaries. Hum Reprod. 2003;18:598–603.CrossRef
70.
Tsafrir A, Rojansky N, Sela HY, Gomori JM, Nadjari M. Rudimentary horn pregnancy: first-trimester prerupture sonographic diagnosis and confirmation by magnetic resonance imaging. J Ultrasound Med. 2005;24:219–23.PubMed
71.
Letterie GS, Yon JL. Use of a long-acting GnRH agonist for benign cystic mesothelioma. Obstet Gynecol. 1995;85:901–3.CrossRefPubMed
72.
Ross MJ, Welch WR, Scully RE. Multilocular peritoneal inclusions cysts (so-called cystic mesotheliomas). Cancer. 1989;64:1336–46.CrossRefPubMed
73.
Lipitz S, Seidman DS, Schiff E, Achiron R, Menczer J. Treatment of pelvic peritoneal cysts by drainage and ethanol instillation. Obstet Gynecol. 1995;86:297–9.CrossRefPubMed
74.
Coccia ME, Rizzello F, Romanelli C, Capezzuoli T. Adnexal masses: what is the role of ultrasonographic imaging? Arch Gynecol Obstet. 2014;290:843–54.CrossRefPubMed
75.
Shen-Gunther J, Mannel RS. Ascites as a predictor of ovarian malignancy. Gynecol Oncol. 2002;87:77–83.CrossRefPubMed
76.
Im SS, Gordon AN, Buttin BM, Leath 3rd CA, Gostout BS, Shah C, et al. Validation of referral guidelines for women with pelvic masses. Obstet Gynecol. 2005;105:35–41.CrossRefPubMed
77.
Kim JH, Lee SM, Lee JH, Jo YR, Moon MH, Shin J, et al. Successful conservative management of ruptured ovarian cysts with hemoperitoneum in healthy women. PLoS One. 2014;9:e91171.CrossRefPubMedPubMedCentral
78.
Centers for Disease Control and Prevention (CDC). U.S. medical eligibility criteria for contraceptive use, 2010. MMWR Recomm Rep. 2010;59:1–86.
79.
Payne JH, Maclean RM, Hampton KK, Baxter AJ, Makris M. Haemoperitoneum associated with ovulation in women with bleeding disorders: the case for conservative management and the role of the contraceptive pill. Haemophilia. 2007;13:93–7.CrossRefPubMed
80.
Teng SW, Tseng JY, Chang CK, Li CT, Chen YJ, Wang PH. Comparison of laparoscopy and laparotomy in managing hemodynamically stable patients with ruptured corpus luteum with hemoperitoneum. J Am Assoc Gynecol Laparosc. 2003;10:474–7.CrossRefPubMed
81.
Gupta N, Dadhwal V, Deka D, Jain SK, Mittal S. Corpus luteum hemorrhage: rare complication of congenital and acquired coagulation abnormalities. J Obstet Gynaecol Res. 2007;33:376–80.CrossRefPubMed
82.
Practice Committee of the American Society for Reproductive Medicine. Progesterone supplementation during the luteal phase and in early pregnancy in the treatment of infertility: an educational bulletin. Fertil Steril. 2008;89:789–92.CrossRef
83.
The American Fertility Society classifications of adnexal adhesions, distal tubal occlusion, tubal occlusion secondary to tubal ligation, tubal pregnancies, müllerian anomalies and intrauterine adhesions. Fertil Steril. 1988;49:944–55.