Paula C. Brady1
(1)
Department of Obstetrics, Gynecology and Reproductive Biology, Brigham and Women’s Hospital, Boston, MA, USA
Paula C. Brady
Email: Pbrady2@partners.org
Keywords
Pelvic inflammatory diseaseTubo-ovarian abscessSexually transmitted infectionInfertilityInterventional radiology
Definitions
Pelvic Inflammatory Disease (PID)
Inflammation of the upper genital tract, including inflammation of the endometrium (endometritis), fallopian tube(s) (salpingitis), and pelvic peritoneum (peritonitis) [1]. Risk factors include multiple sexual partners, young age at coitarche, non-use of barrier contraception, smoking, illicit drug use, infection with Neisseria gonorrhoeae and Chlamydia trachomatis, or prior episodes of PID [2, 3]. Approximately 50 % of cases of PID are associated with N. gonorrhoeae and/or C. trachomatis infection; other bacteria associated with PID include anaerobes, Gardnerella vaginalis, Streptococcus agalactiae, Haemophilus influenzae, and enteric gram-negative rods [4, 5].
Patients may present with abdominal pain, chills, abnormal vaginal bleeding, dyspareunia, and/or vaginal discharge, while others may be asymptomatic [6]. Patients can also develop perihepatitis, also called Fitz-Hugh–Curtis syndrome, which may be associated with right upper quadrant pain and elevated liver enzymes [7].
Long-term sequelae of PID include chronic pelvic pain and infertility due to obstructed fallopian tubes [8]. Each episode of PID doubles the rate of infertility; following one, two, or three or more PID episodes, rates of infertility have been reported at 8.0 %, 19.5 %, and 40 %, respectively [9, 10].
Tubo-Ovarian Abscess
An abscess of the adnexa, involving the fallopian tube and/or ovary. Tubo-ovarian abscesses are commonly considered a complication of PID, occurring in approximately one-third of cases [11]. Less commonly, TOAs may instead result from spread of infection from the bowel (such as diverticulitis) or postoperative infection in the pelvis. Risk factors for TOA and PID are similar. Immunosuppression, such an infection with human immunodeficiency virus (HIV), may expose women to higher risk of TOA [12]. The abscesses are usually polymicrobial, comprised of the same bacteria involved in PID [7]. Patients present with symptoms similar to those with PID, and up to 30 % may be afebrile [13]. Patients may also present with high fever and signs of sepsis, including hemodynamic instability, particularly in patients with ruptured TOA. Patients with hemodynamic instability and ruptured TOA require emergent surgical exploration.
When You Get the Call
Ask for a full set of vital signs, to ensure hemodynamic stability. Consider requesting pelvic imaging in patients with fever, pain, prior TOA, immunosuppression, or other risk factors for pelvic abscess.
When You Arrive
Review the full vital sign flow sheet for evidence of septic physiology, including tachycardia or hypotension. For diagnosis and management of sepsis, please refer to Chap. 1, Acute Pelvic Pain. Patients with TOA, hemodynamic instability and sepsis who do not respond immediately to resuscitation require emergent surgical exploration.
History
Ask the patient to describe her symptoms, including onset and severity. Review whether the patient has had symptoms of fever, pain, or vaginal bleeding or discharge. Review whether the patient has been diagnosed with sexually transmitted infections or PID in the past, and review the risk factors for PID. Ask whether she is sexually active and uses barrier contraception. The patient’s medical history should be reviewed, including sources of immunosuppression, as well as her surgical history.
Physical Examination
Perform an abdominal examination, noting the presence of peritoneal signs, including rebound (pain with abdominal pressure is quickly withdrawn) or involuntary guarding. A speculum exam should be performed to assess for mucopurulent cervicitis and to allow for collection of a swab for nucleic acid amplification testing (NAAT) for N. gonorrhoeae and C. trachomatis. In patients complaining of vaginal discharge, a vaginal culture can be collected, as well as a wet prep (a slide of vaginal discharge prepared with normal saline and potassium hydroxide, separately) to assess for Trichomonas vaginalis, bacterial vaginosis, and candida. Note the presence or absence of white blood cells on the wet prep. A bimanual exam should be performed to assess for tenderness of the gynecologic organs, including the cervix (cervical motion tenderness), uterus, and ovaries.
Diagnosis
Obtain a pregnancy test in all reproductive age women. A complete blood count with differential may be helpful, to assess for leukocytosis. To rule out other common etiologies of pelvic pain, check a urinalysis for infection.
With either PID or TOA, patients may be febrile with leukocytosis; these findings are not universal, however, as patients may also be afebrile, and only 44 % of patients with PID and 77 % of patients with TOA have elevated white blood cell (WBC) counts [7, 13].
PID
The diagnosis of PID is primarily made by physical examination. Given the potential morbidity of PID for the reproductive health of young women, the threshold for diagnosis is relatively low, shown in Table 6.1 [6]. Of note, in patients with normal vaginal discharge without leukocytes on wet mount, the diagnosis of PID is unlikely, with a negative predictive value of 94.5 % [14]. At laparoscopy, salpingitis will appear as tubal erythema or edema, potentially with peritubal adhesions, and with purulent drainage from the fimbriated end of the fallopian tube (Fig. 6.1) [7]. Laparoscopic evaluation for diagnosis is increasingly uncommon, given the cost and potential morbidity.
Table 6.1
Diagnostic criteria for pelvic inflammatory disease (PID)
|
Minimum diagnostic criteria |
|
The absence of a more likely etiology of pain and |
|
Cervical motion tenderness or |
|
Uterine tenderness or |
|
Adnexal tenderness |
|
Increased specificity |
|
Temperature greater than 101 F (38.3 C) |
|
Mucopurulent cervical or vaginal discharge |
|
Presence of WBC on wet mount examination of vaginal discharge |
|
Elevated erythrocyte sedimentation rate |
|
Elevated C-reactive protein |
|
Positive cultures for N. gonorrhoeae or C. trachomatis |
|
Highest specificity |
|
Imaging (transvaginal ultrasound or magnetic resonance imaging) revealing thickened fallopian tubes filled with fluid or a tubo-ovarian abscess |
|
Evidence of endometritis by histopathologic analysis of endometrial biopsy |
|
Evidence of salpingitis by laparoscopy |
Centers for Disease Control and Prevention [6]

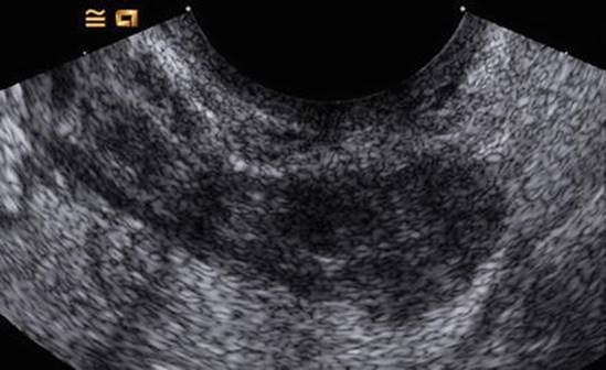
Fig. 6.1
Acute salpingitis by ultrasound, verified by laparoscopy. The sausage-shaped solid structure corresponds to the inflamed tube (Reprinted from Romosan et al. [27], by permission of Oxford University Press and The European Society of Human Reproduction and Embryology)
Imaging is not required for the diagnosis of PID, and most patients will have normal imaging. Transvaginal ultrasound in patients with PID may reveal thickened fallopian tubes [15]. Less commonly, the “cogwheel” sign may be seen, which refers to a sonolucent cogwheel structure visible on cross section of an inflamed fallopian tube, representing the swollen walls and mucosal folds projecting into the lumen (Fig. 6.2) [16, 17].

Fig. 6.2
Ultrasound image illustrating the cogwheel sign (Reprinted from Romosan and Valentin [16], Figure 3, with kind permission from Springer Science and Business Media)
TOA
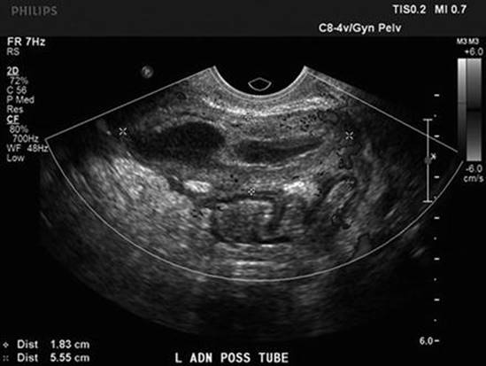
Tubo-ovarian abscesses are usually diagnosed by imaging, in a patient with the symptoms and physical exam findings of PID. A patient with TOA may also have a palpable pelvic mass or adnexal fullness on physical exam. Transvaginal ultrasound and/or computed tomography (CT) scan is often obtained for the diagnosis of TOA. The sensitivity and specificity of transvaginal ultrasound for tubo-ovarian abscesses are greater than 90 % [18]. TOAs will appear as complex, loculated cystic masses with thickened irregular walls; internal debris may be seen (Fig. 6.3).

Fig. 6.3
Ultrasound image of pyosalpinx (Reprinted from Chappell and Wiesenfeld [19], with permission)
When the diagnosis of TOA is not clear following a pelvic ultrasound, a CT scan is recommended. CT scans can also detect gastrointestinal causes of pelvic abscess, such as diverticulitis or appendicitis, and bowel or gynecologic malignancy, which may also present as complex pelvic masses [19]. By CT scan, a TOA appears as a thick-walled, uniformly enhancing abscess, which may be multilocular [20]. The mesosalpinx and uterosacral ligaments may also appear thickened, and pyosalpinx is noted in 50 % of patients (Fig. 6.4).

Fig. 6.4
Computed tomographic image of pyosalpinx and tubo-ovarian abscess (Reprinted from Chappell and Wiesenfeld [19], with permission)
MRI is not routinely used for the diagnosis of TOA, but may similarly show a complex adnexal mass with surrounding inflammation; TOAs will commonly have a low signal intensity on T1-weighted images and high signal intensity in T2-weighted images [18, 21]. Gas bubbles within the suspected TOA are highly specific for abscess [22].
Management
While PID and TOAs are commonly managed medically or minimally invasively, a ruptured TOA can represent a life-threatening emergency. Hemodynamically unstable patients with sepsis attributed to a ruptured TOA require emergent surgical exploration.
In stable patients eligible for medical management, intrauterine devices (IUDs) can be left in situ during PID treatment, though removal should be considered in patients without clinical improvement after 48 h of antibiotic treatment. IUDs should be removed in patients diagnosed with TOAs [6].
In general, patients who have tested positive for gonorrhea or chlamydia should be retested in 3 months given the high rate of reinfection [6, 23]. Partner treatment should be arranged for patients who tested positive for these sexually transmitted infections. Patients should abstain from intercourse with their partners until both have completed treatment.
PID
In managing PID, the decision must be made whether to admit the patient. In patients with stable vital signs and discomfort controlled with oral medications, outpatient management may be reasonable. Inpatient treatment should be pursued in patients with (1) tubo-ovarian abscess; (2) possible surgical emergencies as the cause of their presentation, including appendicitis or ruptured pelvic abscess; (3) high fever, severe nausea, vomiting, or evidence of systemic illness or sepsis; (4) pregnancy; (5) inability to tolerate or complete the outpatient regimen; or (6) lack of clinical response to outpatient therapy [6].
Hemodynamically stable patients with PID who do not meet criteria for admission may be treated as outpatients. The recommended regimen for outpatient PID treatment consists of ceftriaxone (250 mg IM in a single dose) plus doxycycline (100 mg PO every 12 h for 14 days) with or without metronidazole (500 mg PO every 12 h for 14 days) [6]. Third-generation cephalosporins, such as ceftizoxime or cefotaxime, are acceptable alternatives to ceftriaxone. An alternative regimen is cefoxitin (2 g IM in a single dose) with probenecid (1 g orally at the same time as the cefoxitin) plus doxycycline (100 mg PO every 12 h for 14 days) with or without metronidazole (500 mg PO every 12 h for 14 days) [6]. Patients treated for PID as an outpatient should be examined within 3 days to ensure improvement of their symptoms; lack of improvement may necessitate reassessment of the diagnosis and/or admission for intravenous antibiotics [7].
In patients meeting the criteria for admission, the recommended regimen includes intravenous antibiotics, continued until the patient is afebrile for at least 24 h. This regimen includes doxycycline (100 mg PO or IV every 12 h) plus either (1) cefoxitin (2 g IV every 6 h) or (2) cefotetan (2 g IV every 12 h) [6]. Alternative regimens include (1) clindamycin (900 mg IV every 8 h) plus gentamicin (2 mg/kg load, followed by 1.5 mg/kg every 8 h) or (2) ampicillin-sulbactam (3 g IV every 6 h) plus doxycycline (100 mg PO or IV every 12 h) [6].
The patient can be transitioned to oral medications once she is afebrile for at least 24 h while receiving parenteral antibiotics. Per CDC guidelines, a patient initially treated with parenteral cephalosporins can be transitioned to doxycycline (100 mg PO every 12 h) for 14 days. If clindamycin and gentamicin were used, the patient can be transitioned to clindamycin (450 mg PO every 6 h) or doxycycline (100 mg every 12 h) for 14 days.
TOA
Patients with TOA must be admitted for inpatient management. In the past, management of tubo-ovarian abscesses was primarily surgical, which often required removal of the uterus and ovaries due to the extent of infection [7]. In current practice, TOAs are managed with intravenous antibiotics, with or without percutaneous drainage by interventional radiology.
The role of surgical management is far more limited in current practice, though women who are hemodynamically unstable with a diagnosis of TOA require emergent surgical exploration, often by laparotomy given the clinical acuity and need for abdominal visualization. Furthermore, women who remain persistently febrile or are not improving despite intravenous antibiotics and percutaneous drainage may require surgical exploration. Finally, up to half of postmenopausal women with TOA may have underlying malignancy, and some clinicians argue for more aggressive surgical management in these patients to allow for removal of adnexal masses and possible staging [19, 24].
Intravenous antibiotics should be administered until the patient has been afebrile for 24–48 h, followed by 14 days of oral antibiotics. Parenteral antibiotic regimens are the same as those for inpatient management of PID. Once a patient has improved clinically, including being afebrile for at least 24 h, oral antibiotics can be started. Recommended antibiotics include doxycycline (100 mg PO every 12 h) plus either clindamycin (450 mg PO every 6 h) or metronidazole (500 mg PO every 12 h); doxycycline should not be continued alone [6]. Twenty-four hours of inpatient observation of the patient’s clinical status following transition to oral antibiotics is recommended.
In addition to parenteral antibiotics, TOAs are now commonly drained, often by interventional radiologists, as drainage has been shown to improve treatment success and shorten hospital stay [25]. The approach is most commonly percutaneous and less commonly transvaginal. Tubo-ovarian abscesses greater than 8 cm in diameter generally require drainage in addition to treatment with parenteral antibiotics, though wider availability of interventional radiology has led to earlier drainage of smaller abscesses [26]. Patients who remain febrile or with significant pain after 48 h of intravenous antibiotics alone, regardless of abscess size, may require drainage. The abscess contents should be sent for culture, to guide antibiotic therapy.
References
1.
Wiesenfeld HC, Sweet RL, Ness RB, Krohn MA, Amortegui AJ, Hillier SL. Comparison of acute and subclinical pelvic inflammatory disease. Sex Transm Dis. 2005;32:400–5.CrossRefPubMed
2.
Mitchell C, Prabhu M. Pelvic inflammatory disease: current concepts in pathogenesis, diagnosis and treatment. Infect Dis Clin North Am. 2013;27:793–809.CrossRefPubMed
3.
Jossens MO, Eskenazi B, Schachter J, Sweet RL, et al. Risk factors for pelvic inflammatory disease. A case control study. Sex Transm Dis. 1996;23:239–47.CrossRefPubMed
4.
Burnett AM, Anderson CP, Zwank MD. Laboratory-confirmed gonorrhea and/or chlamydia rates in clinically diagnosed pelvic inflammatory disease and cervicitis. Am J Emerg Med. 2012;30:1114–7.CrossRefPubMed
5.
Ness RB, Kip KE, Hillier SL, Soper DE, Stamm CA, Sweet RL, et al. A cluster analysis of bacterial vaginosis-associated microflora and pelvic inflammatory disease. Am J Epidemiol. 2005;162:585–90.CrossRefPubMed
6.
Pelvic Inflammatory Disease. Centers for Disease Control and Prevention website. http://www.cdc.gov/std/tg2015/pid.htm. Updated June 4, 2015. Accessed 7 July 2015.
7.
Lareau SM, Beigi RH. Pelvic inflammatory disease and tubo-ovarian abscess. Infect Dis Clin North Am. 2008;22:693–708.CrossRefPubMed
8.
Sweet RL. Treatment of acute pelvic inflammatory disease. Infect Dis Obstet Gynecol. 2011;2011:561909.CrossRefPubMedPubMedCentral
9.
Weström L, Joesoef R, Reynolds G, Hagdu A, Thompson SE. Pelvic inflammatory disease and fertility. A cohort study of 1,844 women with laparoscopically verified disease and 657 control women with normal laparoscopic results. Sex Transm Dis. 1992;19:185–92.CrossRefPubMed
10.
Weström L. Effect of acute pelvic inflammatory disease on fertility. Am J Obstet Gynecol. 1975;121:707–13.CrossRefPubMed
11.
McNeeley SG, Hendrex SL, Mazzoni MM, Kmak DC, Ransom SB. Medically sound, cost-effective treatment for pelvic inflammatory disease and tuboovarian abscess. Am J Obstet Gynecol. 1998;178:1272–8.CrossRefPubMed
12.
Kamenga MC, De Cock KMS, Louis ME, Touré CK, Zakaria S, N’gbichi JM, et al. The impact of human immunodeficiency virus infection on pelvic inflammatory disease: a case-control study in Abidjan, Ivory Coast. Am J Obstet Gynecol. 1995;172:919–25.CrossRefPubMed
13.
Landers DV, Sweet RL. Tubo-ovarian abscess: contemporary approach to management. Rev Infect Dis. 1983;5:876–84.CrossRefPubMed
14.
Yudin MH, Hillier SL, Wiesenfeld HC, Krohn MA, Amortegui AA, Sweet RL. Vaginal polymorphonuclear leukocytes and bacterial vaginosis as markers for histologic endometritis among women without symptoms of pelvic inflammatory disease. Am J Obstet Gynecol. 2003;188:318–23.CrossRefPubMed
15.
Bulas DI, Ahlstrom PA, Sivit CJ, Blask AR, O’Donnell RM. Pelvic inflammatory disease in the adolescent: comparison of transabdominal and transvaginal sonographic evaluation. Radiology. 1992;183:435–9.CrossRefPubMed
16.
Romosan G, Valentin L. The sensitivity and specificity of transvaginal ultrasound with regard to acute pelvic inflammatory disease: a review of the literature. Arch Gynecol Obstet. 2014;289:705–14.CrossRefPubMed
17.
Timor-Tritsch IE, Lerner JP, Monteagudo A, Murphy KE, Heller DS. Transvaginal sonographic markers of tubal inflammatory disease. Ultrasound Obstet Gynecol. 1998;12:56–66.CrossRefPubMed
18.
Granberg S, Gjelland K, Ekerhovd E. The management of pelvic abscess. Best Pract Res Clin Obstet Gynaecol. 2009;23:667–78.CrossRefPubMed
19.
Chappell CA, Wiesenfeld HC. Pathogenesis, diagnosis, and management of severe pelvic inflammatory disease and tuboovarian abscess. Clin Obstet Gynecol. 2012;55:893–903.CrossRefPubMed
20.
Hiller N, Sella T, Lev-Sagi A, Fields S, Lieberman S. Computed tomographic features of tuboovarian abscess. J Reprod Med. 2005;50:203–8.PubMed
21.
Dohke M, Watanabe Y, Okumura A, Amoh Y, Hayashi T, Yoshizako T, et al. Comprehensive MR imaging of acute gynecologic diseases. Radiographics. 2000;20:1551–66.CrossRefPubMed
22.
Noone TC, Semelka RC, Worawattanakul S, Marcos HB. Intraperitoneal abscesses: diagnostic accuracy of and appearances at MR imaging. Radiology. 1998;208:525–8.CrossRefPubMed
23.
Hosenfeld CB, Workowski KA, Berman S, Zaidi A, Dyson J, Mosure D, et al. Repeat infection with chlamydia and gonorrhea among females: a systematic review of the literature. Sex Transm Dis. 2009;36:478–89.CrossRefPubMed
24.
Protopapas AG, Diakomanolis ES, Milingos SD, Rodolakis AJ, Markaki SN, Vlachos GD, et al. Tubo-ovarian abscesses in postmenopausal women: gynecological malignancy until proven otherwise? Eur J Obstet Gynecol Reprod Biol. 2004;114:203–9.CrossRefPubMed
25.
Perez-Medina T, Huertas MA, Bajo JM. Early ultrasound-guided transvaginal drainage of tubo-ovarian abscesses: a randomized study. Ultrasound Obstet Gynecol. 1996;7:435–8.CrossRefPubMed
26.
Dewitt J, Reining A, Allsworth JE, Peipert JF. Tuboovarian abscesses: is size associated with duration of hospitalization & complications? Obstet Gynecol Int. 2010;2010:847041.PubMedPubMedCentral
27.
Romosan G, Bjartling C, Skoog L, Valentin L. Ultrasound for diagnosing acute salpingitis: a prospective observational diagnostic study. Hum Reprod. 2013;28:1569–79.CrossRefPubMed