Madhuri Patil1
(1)
Department of Reproductive Medicine, Dr. Patil’s Fertility and Endoscopy Clinic, No. 1 Uma Admiralty, First Floor, Bannerghatta Road, Bangalore, Karnataka, 560029, India
Madhuri Patil
Email: drmadhuripatil59@gmail.com
Abstract
In the normal ovulatory cycle, the recruited cohort of antral follicles can be identified by cycle day 5–7, the dominant follicle emerges by day 8–12, grows approximately 1–3 mm per day thereafter (most rapidly over the 1–2 days immediately preceding ovulation), and measures approximately 20–24 mm in mean diameter when the luteinizing hormone (LH) surge occurs; lesser follicles rarely exceed approximately 14 mm in diameter. In 5–10 % of spontaneous cycles, two preovulatory follicles may develop. The ultrasound examination enables the follicle diameter and endometrial thickness to be measured, which evaluates the fecundity function by using blood-flow assessment and the combined three dimensional (3D) and blood-flow investigation.
Ovarian ultrasonography defines the size and number of follicles contributing to the measured estradiol (E2) level. Thus, in an ovulation induction cycle, ultrasound can tell us about the ovarian reserve and adequately monitor the process of downregulation, follicular and endometrial development, and timely administration of human chorionic hormone (hCG), with an increase in the overall pregnancy rates and decrease in the incidence of ovarian hyperstimulation syndrome (OHSS) and multiple pregnancy rate.
Baseline follicular stimulating hormone (FSH), antiMullerian hormone (AMH), and inhibin B levels on day 2 or 3 on menstrual cycle and dynamic tests can give information about the ovarian reserve. Monitoring LH, E2, and progesterone during ovulation induction can determine the follicular growth and its competency, predict poor and hyper-response, and diagnose premature LH surge, premature luteinization and luteal phase adequacy.
Keywords
Ovarian stimulationControlled ovarian stimulationTransvaginal ultrasound monitoringHormonal monitoringFollicular growthEndometrial thickness
Abbreviations
2 D
2 Dimensional
3 D
3 Dimensional
4 D
4 Dimensional
AFC
Antral follicle count
AMH
Antimullerian hormone
ART
Assisted reproductive technology
B
Blood flow
BMI
Body mass index
CC
Clomiphene citrate
CCCT
Clomiphene citrate challenge test
CL
Corpus luteum
COS
Controlled ovarian stimulation
E2
Estradiol
EFORT
Exogenous FSH ovarian reserve test
EP
Ectopic pregnancy
ET
Embryo transfer
FET
Frozen embryo transfer
FI
Flow index
FSH
Follicular stimulating hormone
FVQ
Flow vessel quotient
GnRH
Gonadotropin-releasing hormone
GT
Gonadotropins
hCG
Human chorionic hormone
HRT
Hormone replacement treatment
ICSI
Intracytoplasmic sperm injection
IM
Intramuscular
IR
Implantation rate
IUI
Intrauterine insemination
IUP
Intrauterine pregnancy
IVF
In vitro fertilization
LH
Luteinizing hormone
LPD
Luteal phase deficiency
LUF
Luteinized unruptured follicle
MTX
Methotrexate
NNT
Numbers needed to treat
NPV
Negative predictive value
OHSS
Ovarian hyperstimulation syndrome
OI
Ovulation induction
ORT
Ovarian reserve test
P4
Progesterone
PCOS
Polycystic ovarian syndrome
PD
Power Doppler
PDA
Power Doppler angiography
PE
Elevated progesterone
PFBF
Perifollicular blood flow
PG
Prostaglandin
PI
Pulsatility index
POD
Pouch of Douglas
PPV
Positive predictive value
PSV
Peak systolic velocity
PUL
Pregnancy of unknown location
RI
Resistance index
SC
Subcutaneous
TAS
Transabdominal scan
TVS
Transvaginal ultrasound scan
USG
Ultrasonography
VEGF
Vascular endothelial growth factor
VFI
Vascularization flow index
VI
Vascularization index
Introduction
The aim of ovulation induction (OI) is to induce follicular growth. Pharmacological agents initiate, augment, or modulate the hormonal and gametogenic response of the ovary to overcome the natural follicular selection process to increase the number of oocytes available for fertilization. The OI protocol is different for a non-assisted reproductive technology (ART) cycle, which aims at mono-follicular development as compared to an ART cycle where we desire multifollicular development. It is the ART cycle, which requires more specific protocols and stringent monitoring. It is also important for the clinician to know, whether OI is being performed for anovulation or for superovulation in a normal cycle.
Why Monitor OI Cycles?
The monitoring process is intended to enable the physician to choose the most suitable protocol to obtain best possible outcome, and to try to avoid complications. It is done in three stages.
1.
2.
3.
How Do We Monitor the OI Cycle?
When we consider the monitoring process, we have to take into account the patient’s comfort by simplifying treatment protocols and reducing the time and cost of monitoring. Before we embark on any OI therapy, it is important to assess the ovarian reserve. The monitoring involves transvaginal ultrasound for antral follicle count (AFC) and ovarian volume and hormone evaluation, which includes FSH, LH, estradiol, progesterone, and beta hCG.
Assessment of Ovarian Reserve
Ovarian reserve testing is required to identify women of relatively young age with diminished reserve and those around the mean age (41 years) at which natural fertility on average is lost but still have adequate ovarian reserve.
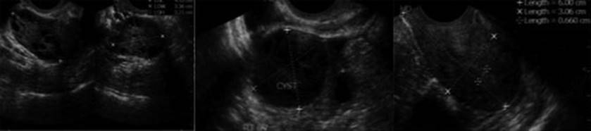
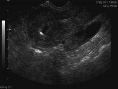
Assessment of ovarian reserve by ultrasound is done by measuring the AFC (Fig. 2.1), ovarian volume (Fig. 2.2), and stromal blood flow (Fig. 2.3), which will help us in predicting the ovarian response to controlled ovarian stimulation (COS). The number of antral follicles correlates well with the woman’s age, ovarian reserve, and ovarian response to gonadotropin stimulation. As the ovary ages and the ovarian reserve decreases, there is a noticeable reduction in the ovarian volume and the number of antral follicles. An AFC of less than 5 and/or ovarian volume of less than 3 cm3 is a good marker to predict poor ovarian response to COS in assisted reproduction programs (ART). There could be some intercycle variability in the AFC. Seventy-one percent of variation is due to intra subject examination and only 29 % is due to individual cycle variation.

Fig. 2.1
Antral follicle count

Fig. 2.2
Ovarian volume

Fig. 2.3
(a, b) Stromal blood flow
The AFC can be evaluated either using the 2-dimensional (2D), 3-dimensional (3D), or 4-dimensional (4D) ultrasonography (USG) (Sono AVC – hypoechoic aspect of the ultrasound display is inverted to demonstrate fluid-filled areas within the 3D dataset). Sono AVC (Fig. 2.4) is the best model for predicting the number of oocytes retrieved with a retrieval rate of 60 %. AFC is a good predictor of response but not of pregnancy. The optimum cut-off value of AFC for poor response is ≤10 but the post-test probability was reported to be the highest at cut-off levels of <8 [1].

Fig. 2.4
Sono AVC
The optimum cut-off value for hyper-response of AFC is ≥14 with a sensitivity of 82 % and specificity 89 % to predict ovarian hyperstimulation syndrome (OHSS). The ovarian volume also correlates with the number of growing follicles, but not with the number of oocytes retrieved [2]. It was also observed that women with small ovaries with a volume of less than 3 cm3 have a very high cancellation rate of in vitro fertilization (IVF) [3]. 3-dimensional ultrasound allows more precise calculation of ovarian and stromal volumes (Fig. 2.2). However, yet again, the predictive value for pregnancy by measuring the ovarian and stromal volume is limited (1.0–1.4) [4, 5].
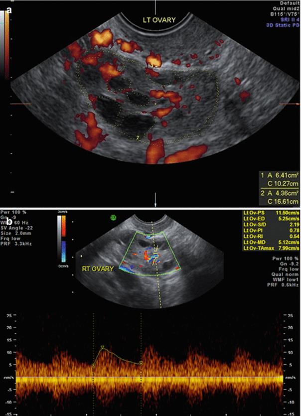
Stromal Blood Flow (Fig. 2.3a, b)
· Stromal Flow Index (FI) [6]
· <11 low responder
· 11–14 Normal responders
· >15 risk of OHSS
· Stromal Peak Systolic Velocity (PSV)
· Low stromal PSV in the early follicular phase predicts poor responders
· Increased stromal PSV with unchanged resistance predicts increased risk of OHSS
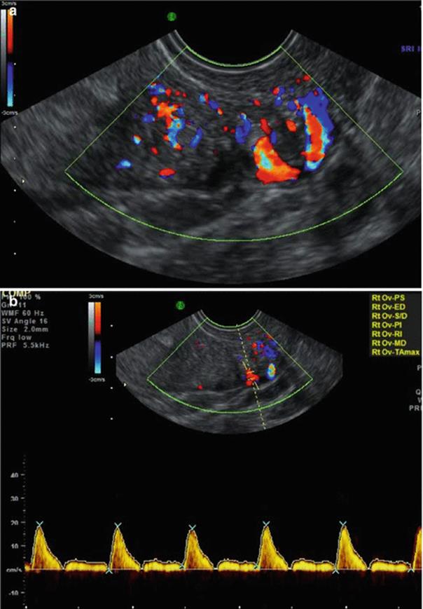
· Uterine Artery Blood Flow (Fig. 2.5)

Fig. 2.5
(a, b) Uterine artery and venous blood flow
· Lower uterine artery resistance index (RI) and higher PSV has a high incidence of OHSS.
· Uterine artery RI >0.79 is indicative of poor response and higher requirement of gonadotropin dose.
Ovarian reserve can also be assessed by performing hormonal tests like day 2 serum FSH, estradiol (E2), antiMüllerian hormone (AMH), and inhibin B levels.
Determination of ovarian reserve can predict response to tailor the correct stimulation regimens for adequate response so as to prevent complications and improve pregnancy outcomes. It also helps in improving the efficacy, safety, and cost-effectiveness of treatment.
Ovarian reserve testing allows us to choose individualized COS protocols, based on the age, AFC, and AMH. The dose can be further amended according to the body mass index (BMI).
Monitoring the Ovulation Induction Cycle
Follicular monitoring is today a pivotal investigation in both infertility evaluation and treatment. It is the gold standard to document ovulation, follicular development and growth, corpus luteum integrity, and endometrial growth and character.
Ovulation induction involves administration of either oral ovulogens or gonadotropins to enhance fertility. These drugs cause a supraphysiological increase in serum FSH, either indirectly as with oral ovulogens or directly as with gonadotropins, leading to the recruitment of a larger cohort of follicles. To time the intercourse, intrauterine insemination (IUI) or oocyte retrieval, we need to trigger ovulation at a particular diameter of the growing follicle for an optimal outcome. Moreover, ovulation induction can be associated with multiple gestation, OHSS, and torsion of ovary. Monitoring ovarian function, especially when women are administered ovulation induction drugs, becomes mandatory. The monitoring can be done either by ultrasound or by hormone bioassays.
Ultrasound Monitoring
Ultrasound provides information on uterine and adnexal pathology, ovarian morphology, ovarian reserve and blood flow, endometrial thickness, morphology, and blood flow, follicular growth and timing to trigger ovulation, and feasibility of oocyte retrieval.
Color Doppler provides qualitative information, while the power Doppler (PD) signal can provide quantitative information [7]. In combination with 3D ultrasound, PD offers a tool with which one may not only demonstrate but also quantify total endometrial and regional uterine blood flow [8, 9].
Monitoring Ovarian Response to Ovulation Induction Agents
Ultrasound assessment of follicular growth was first introduced in 1978 when Hackelöer and Robinson [10] described a linear relationship between follicle size and circulating E2 levels. Since then, transvaginal ultrasound scan (TVS) has been used routinely to monitor follicular growth in natural cycles in ovulation induction programs, and during controlled ovarian hyperstimulation (COH) for ART cycles. TVS is the method of choice because of better visualization and accuracy though at times a transabdominal scan (TAS) may be required in special situations, especially if the ovary is placed high in the pelvis and not visualized on a TVS.
The monitoring is different for a timed intercourse, IUI, and ART cycle and also for a natural, COS, and oral ovulation induction cycle [10].
During the natural cycle, a cohort of small antral follicles (2–5 mm in diameter) appears in the ovary early in the proliferative phase, which are selected 80–90 days prior from the primordial follicular pool. As FSH levels rise in the early follicular phase, further growth of the follicles occur. Decline of FSH in the late follicular phase, which is physiological, allows the selection of the single most sensitive follicle to continue to develop. The follicle, which will be selected to become dominant, will depend on the FSH and LH receptor content of the granulosa cells. The follicle, which has developed maximum receptors for FSH and LH in response to FSH will continue to grow, while the other follicles will undergo apoptosis and atresia. Once the leading follicle reaches a diameter of approximately 14 mm, the daily growth rate is between 1.5 and 2.0 mm until a diameter of 22–25 mm is reached, when ovulation occurs (Fig. 2.6).

Fig. 2.6
Monitoring a natural cycle
Thus, in a natural cycle, monitoring provides information on whether the menstrual cycles is ovulatory or anovulatory. It can also identify delayed ovulation despite normal cycle length (28–30 days), short luteal phase as well as to assess hormonal (progesterone – P4) competence and support. It also provides information about the endometrial growth and morphology. It can also diagnose luteal phase abnormalities like luteinized unruptured follicle.
In natural cycles, serum E2 levels correlate with the follicle size, while the contribution of small atretic follicles to the steroidal milieu is negligible.
In a natural cycle, the first scan can be done either on day 9 or 10 of the menstrual cycle after the baseline scan on day 2 or 3. The scans can be repeated every 48 h till the follicles reach 14 mm, but once dominance is established and the follicle is 14 mm, the scan is repeated every 24 h. This is essential to determine the exact time of ovulation as the follicle can rupture at any time once the follicle becomes more than 16 mm. In these patients, pregnancies have been reported if IUI is done once follicular rupture is documented, hence, the importance of daily monitoring.
Characteristic ultrasound appearance at the time of ovulation includes diminution in the follicle size or sudden collapse of the follicle, blurring of the follicle borders, which become crenated, and appearance of intrafollicular echoes, which are more isoechogenic with respect to surrounding ovary (Fig. 2.7) and presence of a small amount of free fluid in the pouch of Douglas (POD) (Fig. 2.8). Thereafter, an irregular, slightly cystic structure representing the corpus luteum shrinks throughout the luteal phase of the cycle until luteolysis occurs before menses.

Fig. 2.7
Corpus luteum with increased peripheral blood flow

Fig. 2.8
Free fluid in the POD
The role of ovulation-inducing agents for IVF is to disturb this normal relationship by increasing the amounts of FSH available to follicles other than the dominant follicles and thus, to increase the total number of follicles that reach the preovulatory stage. When oral ovulation agents are used, we have fewer dominant follicles as compared to gonadotropin cycles.
Baseline scan on day 2 or 3 is essential before initiation of any ovulation induction therapy to (Fig. 2.9):

Fig. 2.9
Baseline scan before ovulation induction, to rule out (OI TRO) pathology
· identify the morphology of the ovary and adnexal abnormalities – ovarian cyst and hydrosalpinx
· assess the ovarian reserve
· identify uterine abnormalities – myomas, adenomyosis, polyps, intrauterine adhesions, endometrial abnormalities, and congenital anomalies
· decide the stimulation protocol for adequate response
As selection of dominant follicle occurs early in the follicular phase, OI drugs are initiated within 3 days of the menstrual cycle if (Fig. 2.10) the follicular size is <10 mm, there are no ovarian cysts, endometrial thickness is <6 mm, estradiol levels are less than 50 pg/mL, and progesterone level is less than 1.5 ng/mL. The dose of drugs used should be tailored to each individual.

Fig. 2.10
Criteria for initiation of ovulation induction drugs
Ultrasound scanning is useful in monitoring the response to oral ovulation agents like Clomiphene citrate, Tamoxifen, and aromatase inhibitors in anovulatory women. TVS is usually performed 4–5 days after the last dose of the oral ovulation agent and then, every other day till the follicle is 14 mm, and then daily until a follicle of approximately 20 mm in diameter is seen. Ovulation trigger is given with either recombinant-hCG, 250 μg subcutaneous (SC) or urinary hCG, 5000 IU intramuscular (IM) or GnRH agonist, 1 mg SC (Fig. 2.11).

Fig. 2.11
Monitoring a TI or IUI cycle
Ovulation induction with gonadotropins overcomes the normal feedback mechanism that allows for physiological unifollicular ovulation, causing growth of a cohort of follicles at various stages of development. For an IUI cycle, only a maximum of two or three follicles are required to prevent OHSS and multiple pregnancies. To prevent these complications, gonadotropin use requires close monitoring with ultrasound and E2 levels. In ovulation induction cycles, a baseline ultrasound scan is performed to exclude functional ovarian cysts, as well as other pelvic pathologies. Monitoring is usually carried out using TVS on day 4 of treatment and then on day 7 and then depending on the follicular diameter, the scans are repeated either daily or on alternate days. The dose of exogenous gonadotropins is adjusted according to the response. If two leading follicles (>18–20 mm) are seen, human chorionic gonadotropin (hCG) should be administered. IUI is done 36 h after the hCG injection.
When gonadotropins are used for COS in ART (Fig. 2.12), the monitoring is more stringent due to multifollicular development. When measuring large number of follicles, the interobserver variation in measurement is larger than the intra-observer variation and therefore, follicular tracking is more accurate when each scan is performed by the same clinician [11].

Fig. 2.12
Monitoring an ART cycle
The gonadotropins are initiated after a baseline scan on day 2 or 3 is normal, and the first scan after initiation of gonadotropins is done on the 4th day. Further adjustment of the gonadotropin dose depends on serial USG findings and E2 levels as follows.
Change in the dose depending on the USG follicular tracking:
If on Day 4
· Number of follicles <4, dose increased by 37.5/75 IU
· Number of follicles >8 dose reduced by 37.5/75 IU
If on Day 7
· Rate of growth <2–3 mm/day and <4 follicles, which are <12 mm in size dose increased by 37.5/75 IU
· Rate of growth >2–3 mm/day and number of follicles >10, which are > 12 mm in size the dose is decreased by 37.5/75 IU
Once dominance is achieved, the follicular growth is approximately 2–3 mm per day. Hence, we continue the same dose if follicular growth is 2–3 mm/day. Thereafter, the dose is increased or decreased depending on the rate of growth and number of dominant follicles along with E2 levels.
Monitoring preovulatory follicles with follicle diameters (Fig. 2.13) has limitations to predict oocyte quality. Although the follicle growth pattern may be a predictive indicator of the oocyte quality [12], it is difficult to identify individual follicle changes in multiple ovarian follicle growth induced by gonadotropin stimulation.

Fig. 2.13
Preovulatory follicle
Transvaginal sonography, performed by an experienced operator, and the daily measurements of serum E2 concentrations may have limited value in predicting the success of the cycle or the risk of OHSS. Probably, hormonal monitoring along with ultrasound is required only in cases where there is a poor response or hyper-response. It is also required in those cases who are undergoing frozen embryo transfer (FET) in a natural cycle. Usually, the serum E2 concentrations are proportional to the amount of LH in the gonadotropin preparation used; it is lower in only FSH cycles as compared to those where human menopausal gonadotropin (hMG) is administered.
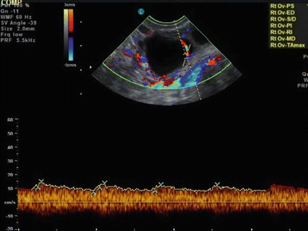
Color Doppler Studies of Ovarian Circulation
Using color Doppler, one can detect the vascularity of the ovarian stroma, follicular surface, and corpus luteum. PD analysis is an indirect indication of “health” of the follicle and possibly developmental competence of the corresponding oocyte. We know that initiation and maintenance of follicular growth depends on the development of perifollicular microvascular network and intrafollicular hypoxia can have an effect on mitochondrial function and chromosomal organization in oocytes and early embryos [13].
Thus, quantitative and qualitative assessments of perifollicular flow allow more accurate assessment of follicular competence (Fig. 2.14). Follicles that have more than 75 % of their surface perfused, ovarian stromal PSV of more than 10 cm/s, and RI of less than 0.4–0.48 contain mature oocytes of satisfactory quality and result in better grade of embryos.

Fig. 2.14
Perifollicular blood flow
Perifollicular Blood Flow (PFBF) Grading
· Grade 1: Blood flow (BF) <25 % of the follicle’s circumference
· Grade 2: BF ≥25 % but <50 %
· Grade 3: BF ≥50 % but <75 %
· Grade 4: BF ≥75 %
The perifollicular blood flow characteristics, measured by color Doppler images, are related to the intrafollicular oxygen content and vascular endothelial growth factor (VEGF) concentration, and oocytes from severely hypoxic follicles were associated with high frequencies of abnormalities in the organization of the chromosomes on the metaphase spindle [14].The best predictors of IVF outcome are the ovarian flow index (FI) using 3D ultrasound and power Doppler angiography (PDA) on the hCG day and the transfer of grade 1 embryos [14].
Follicles having a perifollicular blood flow of >50 % have increased oocyte retrieval rate with more number of mature oocytes with high fertilization rate and lower triploidy rates.
Rising PSV with steady low RI suggests that the follicle is close to rupture (follicular PSV goes as high as 45 cm/s an hour before ovulation), whereas steady or decreasing PSV with rising RI suggests that the follicle is proceeding towards LUF. It was also observed that fertilization of a follicle with PSV of less than 10 cm/s has high chances of the embryo being chromosomally abnormal.
Doppler in the secretory phase gives an idea about the function of corpus luteum (CL). Usually, the RI of the corpus luteum (Fig. 2.15) is between 0.35 and 0.50. In luteal phase deficiency (LPD), RI is 0.58 ±0.04, PI is 0.70–0.80, and PSV is between 10 and 15.

Fig. 2.15
Doppler of corpus luteum
Luteal Phase Doppler
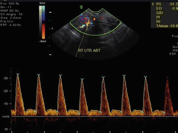
In the mid-luteal phase, the spiral artery RI is 0.48–0.52, uterine artery PI is 2.0–2.5, and uterine artery PSV is 15–20 (Fig. 2.16). Increased resistance to uterine blood flow in the mid-luteal phase is an important contributing factor in some cases of infertility. When pulsatility index (PI) is used as the measure of impedance, it was found that a PI of <3.0 [15] or <3.34 [16] was more favorable for pregnancy. No difference was found in uterine or ovarian artery PI between pregnant and non-pregnant women, but there was a non-significant increase in uterine receptivity when the uterine artery PI was in the range of 2.0–2.99 on the day of embryo transfer [17]. It was also seen that RI was found to be significantly lower at the time of oocyte collection in women who achieved a pregnancy [15]. In a recent study, Ng and colleagues [18] performed 3D ultrasound power Doppler 1 day after the LH surge in women undergoing frozen embryo transfer in natural or Clomiphene-induced cycles. These investigators found that endometrial thickness, endometrial volume, endometrial pattern, uterine PI, uterine RI, and endometrial and subendometrial 3D power Doppler flow indices were similar between the non-pregnant and pregnant groups [18]. They concluded that measurement of uterine artery blood flow should not be part of routine IVF practice. It was also emphasized in this study that the age of women was the only predictive factor for pregnancy. Early secretory transformation of endometrium is a feature of LPD [18].

Fig. 2.16
Luteal phase uterine artery blood flow
Effect of Ovarian Stimulation Drugs on PFBF
(a)
(b)
(c)
PFBF and ART Results
High grade ovarian PFBF in the early follicular phase during IVF is associated with both high grade PFBF in the late follicular phase and a higher clinical pregnancy rate. In an oocyte donation cycle, women who received embryos originating from oocytes developed in well-vascularized follicles had a statistically higher pregnancy rate (34 % vs. 13.7 %) than women who received embryos derived from oocytes grown in more poorly vascularized follicles [21]. It was also observed that poor responders had significantly higher uterine and perifollicular Doppler flow resistances. Moreover, it was noted that the pregnancy rate per cycle was significantly higher in normoresponders (26 %) than poor responders (6 %).
Ultrasound Assessment of the Endometrium
Synchronization between endometrial and embryo development is an essential prerequisite for successful implantation and therefore, monitoring endometrial changes during ovulation induction is important. Monitoring endometrial changes when tracking follicular growth is a reliable bioassay of the patient’s estrogenic status. The changes correlate with plasma E2 and P4 levels. The endometrium undergoes cyclic morphological as well as histological changes throughout the menstrual cycle. During menstruation, the endometrium appears as a thin echo that gradually thickens throughout the proliferative phase to reach the typical periovulatory trilaminar appearance. After ovulation, the rise in circulating progesterone induces stromal edema and growth of spiral arterioles, resulting in increased echogenicity of the thick secretory endometrium.
Various ultrasonographic indicators have been investigated for the evaluation of endometrial receptivity in spontaneous and stimulated cycles, including endometrial thickness, endometrial pattern, uterine artery, and endometrial blood flow.
The morphology of the endometrium in the different phases of menstrual cycle is illustrated below (Fig. 2.17).

Fig. 2.17
Morphology of endometrium in the different phases of menstrual cycle. (a) Preovulatory, (b) at ovulation, (c) post ovulation
· Early proliferative phase – translucent and thin on either side of mid-line echo
· Late proliferative phase – increase in thickness with a hyporeflective area in the center
· Following ovulation – shrinks in thickness, becomes dense echogenic on either side of mid-line echo
Endometrial Receptivity Markers
Conventional Markers
· Thickness
· Morphology
· Uterine artery flow
· Peristalsis
Newer Markers
· 3D Endometrial volume
· 3D Endometrial configuration
· 3D Endometrial vascularity quantification
Many clinicians have reported no difference in endometrial thickness between pregnant and non-pregnant women [22, 23], while others have observed a positive correlation between endometrial thickness and pregnancy outcome [24, 25]. Zhang and coauthors [26] found that increased endometrial thickness was associated with improved treatment outcome, but the association was dependent on patient age, duration of ovarian stimulation, and embryo quality [26]. On the contrary, Richter and colleagues [27] found that the higher clinical pregnancy and live birth rates associated with increasing endometrial thickness were independent of the effects of patient age and embryo quality [27]. A meta-analysis demonstrated that endometrial thickness is a better negative than positive predictor of implantation [28]. Different studies have proposed different endometrial thickness cut-off levels for successful implantation to occur: ≥6 mm [22], ≥10 mm [25], and ≥13 mm [29]. There have been no reports of adverse effects of a thickened endometrium on implantation, pregnancy, or miscarriage rates in IVF [30].
An association has also been noted between the ultrasound endometrial texture, echogenic patterns, and serum hormonal (estradiol and progesterone) levels. In IVF cycles, a preovulatory, echogenic, and homogeneous pattern has been associated with premature rise in progesterone levels, probably due to high LH levels in the early proliferative phase or premature secretion of LH, especially in the antagonist flexible protocol. This is due to the presence of high estradiol levels, which are related to multifollicular development. Endometrial hyperechogenicity prior to ovulation is a poor prognostic factor for pregnancy (Fig. 2.18a). On the other hand, women with a triple line pattern on the day of oocyte retrieval conceived in 80.0 % of the cases (Fig. 2.18b).

Fig. 2.18
(a) Hyperechogenic endometrium, (b) triple-line pattern
The endometrial pattern with an outer hyperechogenic and inner hypoechogenic layer on the day of oocyte retrieval had predictive value of IVF treatment [31]. Homogenous and hyperechogenic sonographic endometrial pattern had a predictive value of 100 % for a nonconceptional cycle, whereas multilayered endometrium was visualized in conception cycles [32].
The endometrial thickness and pattern also provide useful information in FET or oocyte donation cycles in which the endometrium is supplemented with estrogen and progesterone [15]. A minimal endometrial thickness of 6 mm is required before embryo replacement for pregnancy to be achieved [33, 34]. In a study published by El-Toukhy et al. [35] an endometrial thickness of 9–14 mm on the day of progesterone supplementation in an FET cycle was found to be associated with higher implantation and pregnancy rates compared with an endometrial thickness of 7–8 mm [35]. They reported lowest pregnancy rates when the endometrial thickness was either less than 7 mm or more than 14 mm.
Endometrial Volume (Fig. 2.19)

Fig. 2.19
Endometrial volume evaluation
The minimum endometrial volume, which is associated with pregnancy, is 1.59 mL when calculated by 3D ultrasound, but most pregnancies occur in volumes of 2–13 mL. The calculation of endometrial volume is particularly useful in cases of synechiae, adenomyosis, and uterine anomalies to predict the outcome of treatment.
Endometrial and subendometrial volume increase rapidly during the follicular phase and then remain almost unchanged during the luteal phase [36].
Ultrasound Parameters, which Indicate a Good Receptive Endometrium Include:
· Endometrial morphology, which shows a “triple line” pattern.
· Endometrial thickness of 8–14 mm.
· Uterine vascularity – mean uterine artery PI between 2 and 3 and uterine artery PSV 15–20 cm/s.
· Presence of subendometrial and endometrial flow.
· Higher subendometrial vascularization index (VI), FI, and vascularization flow index (VFI) were observed on the day of hCG in the conception group.
· Endometrial volume of > 2 mL yields a significantly higher pregnancy rates.
The persisting presence of endometrial fundo-cervical waves after hCG administration results in lower pregnancy rates. Normally, these are seen till administration of hCG and later, the wave direction switch occurs to cervico-fundal. With this pattern of endometrial wave switch, there is a higher likelihood of pregnancy. Less than three peristaltic contractions of the subendometrial myometrium at every 2 min interval on the day of hCG administration is associated with a poor implantation rate (IR). High estradiol levels in COS cycles are associated with higher peristalsis, which negatively correlates with implantation.
Number and Type of Waveform During the Menstrual Cycle
· Follicular phase: 4–5 uterine contractions per minute – retrograde
· Luteo-follicular transition: 2–3 uterine contractions per minute – antegrade
· Luteal phase: <2.5 uterine contractions per minute
The presence of high frequency uterine contractions on the day of embryo transfer negatively affects IVF–ET outcome. If frequency of contractions is less or falls, the clinical pregnancy rate rises [37].
Recently, pulsed Doppler and three-dimensional color and power Doppler studies have been applied to evaluate endometrial receptivity by the uterine and endometrial blood flow status.
Endometrial and Subendometrial Vascularity
Endometrial and subendometrial vascularity indices (Fig. 2.20) are high throughout the follicular phase; peak value is reached for 3 days before ovulation and reduces to a nadir 5 days after ovulation and then increases again during the luteal phase [38]. Relative endometrial hypoxia during the implantation phase aids blastocyst implantation. Patients who get pregnant have a lower RI (0.53 vs. 0.64) and it was observed that the hyperechoic endometrium had a higher incidence of absent subendometrial blood flow [39] and in these cases, no pregnancy was reported [40].

Fig. 2.20
(a, b) Subendometrial blood flow
Endometrial Vascularity Zones by Applebaum (Fig. 2.21)

Fig. 2.21
Endometrial vascularity zones
· Zone I – Myometrium surrounding the endometrium
· Zone II – Hyperechoic endometrial edge
· Zone III – Internal endometrial hypoechoic zone
· Zone IV – Endometrial cavity
Conception rates are very low when vascularity is not seen in Zone III–IV.
Endometrial Blood Flow Quantification
Endometrial blood flow quantification is done using the 3D power Doppler (Fig. 2.22) with VOCAL™ (Virtual Organ Computer-aided Analysis). It is shell imaging, which is used to define and quantify the power Doppler signal within the endometrial and subendometrial regions, producing indices of their relative vascularity.

Fig. 2.22
Endometrial blood flow quantification
Endometrial Vascularization Using 3D Power Doppler (Fig. 2.23)

Fig. 2.23
Endometrial vascularization using 3D power Doppler
Endometrial vascularization is calculated by measuring the vascular index, flow index, vascular flow index, and flow vessel quotient.
· Vascularization index (VI) reflects number of vessels in volume of tissue and is calculated by dividing the number of color voxels by total number of voxels.
· Flow index (FI) reflects the amount of blood flow and is calculated by dividing the sum of color intensities by number of color voxels.
· Vascularization flow index (VFI) reflects vessel presence and blood flow and is calculated by dividing the sum of color intensities by total voxels.
· Flow vessel quotient (FVQ) is calculated by dividing flow index by vascular index (FI/VI)
We can use these indices in predicting the occurrence of pregnancy.
· No pregnancy if VI <1.0
· No pregnancy if FI <31
· No pregnancy if VFI <0.25
Endometrial and subendometrial vascularity (VI/FI/VFI) is significantly less (P ≤ 0.003) in patients with low volume endometrium, but not in those with thin endometrium [41]. It is also significantly lower in stimulated cycles than that in the natural cycle [42]. CC reduces endometrial vascularity as compared to Letrozole. In COS cycles, endometrial blood flow was negatively affected by E2 concentration [43] and hyper-responders tended to have low VI/VFI 2 days after hCG administration and also had a higher incidence of absent endometrial and subendometrial blood flow. Luteal phase vascularity was also altered in high responders [42].
Endometrial Vascularity in Special Situations
Fibroids:
Endometrial and subendometrial 3D power Doppler flow indices were similar in patients with and without small intramural fibroids [44].
Hydrosalpinx:
Patients in the hydrosalpinx group had significantly lower endometrial and subendometrial VI and VFI.
Unexplained infertility:
Endometrial and subendometrial vascularities are significantly less during mid to late follicular phase irrespective of E2 or P concentrations and endometrial morphometry [38].
Repeated miscarriage:
Patients with live births had significantly higher endometrial VI and VFI and subendometrial VI, FI, and VFI, when compared with those who had a miscarriage. Of all the vascular indices, only endometrial VI was significantly associated with the chance of live birth with an odds ratio of 1.384 [95 % confidence interval (CI) 1.025–1.869, P = 0.034]. In FET cycles, patients with live births had significantly higher endometrium VFI, subendometrial VI, and VFI than those with miscarriages. Hence, one can conclude that endometrial and subendometrial vascularity was significantly higher in pregnant patients with live births following stimulated IVF and FET treatment than in those who suffered a miscarriage [45].
Correlation of Endometrial and Subendometrial Blood Flow to Pregnancy Rate in ART
Endometrial and subendometrial blood flow on the days of hCG and on the day of embryo transfer and the percentage change in endometrial and subendometrial blood flows between these 2 days were not predictive of pregnancy in ART cycles [41]. It is just prognostic and not a predictive index in ART cycles.
Maintenance of Records During Monitoring of an Ovulation Induction Cycle
For optimal outcome of infertility treatment, monitoring of the ovarian response in COH cycles should be plotted in a chart. Follicular growth, recorded on these specially designed charts (Fig. 2.24) allows us to see all the relevant characteristics of the cycle at a glance.

Fig. 2.24
Follicular monitoring chart
These include
· Date and day of cycle
· Number of developing follicles in each ovary
· Dynamics of follicular growth
· Endometrial thickness
· Type of ovulation regimen
· Quantity of medication used
· Baseline hormone levels
· E2, if required, in the proliferative phase
· E2 and P4 on the day of hCG
· Any change in the dose and hormonal evaluation done must also noted
· Date and time of administration of hCG
Follicles can occasionally be confused with other pelvic structures, but they can be differentiated by rotating the transducer 90°. If the structure is a vessel, it will then elongate, acquiring a tubular shape. The internal iliac artery can easily be identified by its arterial pulsations, while a hydrosalpinx generally has a less regular shape.
Ultrasound, after oocyte retrieval and before embryo transfer, can also identify fluid in the endometrial cavity (Fig. 2.25) and is usually associated with a poor prognosis. It could be present due to excessive cervical mucus that ascends into the endometrial cavity, fluid reflux from a hydrosalpinx, subclinical uterine infection, and abnormal endometrial development.

Fig. 2.25
Fluid uterine cavity
The presence of persistent fluid accumulation at the time of embryo transfer warrants freezing of all embryos and transfer in a subsequent cycle.
Uterine Artery Blood Flow
There have been conflicting reports in the literature regarding the usefulness of the application of color Doppler ultrasound for monitoring and predicting pregnancy outcome of IVF cycles. It was observed that uterine blood flow is a poor reflector of subendometrial blood flow during stimulated and natural cycles, and its measurement cannot reflect endometrial blood flow during stimulated cycles [18].
Several studies used the pulsatility index (PI) as the measure of impedance and determined that a PI of <3.0 [46] or <3.34 [22] was more favorable for pregnancy. More recently, Steer and coauthors [16] found similar results in women undergoing FET in a downregulated hormonally prepared cycle [16]. In contrast, other researchers found that uterine artery PI did not significantly change until the mid-luteal phase. No difference was found in uterine or ovarian artery PI between pregnant and non-pregnant women, but there was a non-significant increase in uterine receptivity when the uterine artery PI was in the range of 2.0–2.99 on the day of embryo transfer [17]. Other investigators used resistance index (RI) and found that it was significantly lower at the time of oocyte collection in women who achieved a pregnancy [15]. In a recent study, Ng and colleagues [18] performed 3D ultrasound power Doppler 1 day after the LH surge in women undergoing FET in natural or Clomiphene-induced cycles. The age of women was the only predictive factor for pregnancy. Endometrial thickness, endometrial volume, endometrial pattern, uterine PI, uterine RI, and endometrial and subendometrial 3D power Doppler flow indices were similar between the non-pregnant and pregnant groups [18]. Currently, measurement of uterine artery blood flow should not be part of routine IVF practice.
Uterine arterial blood flow was lower in CC–stimulated cycles during the periovulatory period than those in the spontaneous menstrual cycles [47], and also demonstrated that uterine vascular impedance on the day of ovulation was lower in the conception cycles, while there were no differences between conception and non-conception cycles in the luteal phase [48].
Tridimensional Automated USG for Monitoring Controlled Ovarian Stimulation Cycles
Two-dimensional USG is difficult and less reliable in the presence of numerous follicles of different sizes during COS and is also relatively arbitrary. Accurate assessment of follicular size is required for timing and oocyte collection as significantly less mature oocytes are recovered from follicles with a mean diameter of <15 mm. Three-dimensional ultrasonography-based automated volume count (SonoAVC) can individually identify and quantify the size of any hypoechoic region within the 3D data sets (Fig. 2.26), providing an automatic estimation of their absolute dimension and volume. It estimates the volume of follicle to within ±0.5 cm3. This enables the quantification of an unlimited number of volumes that arise in a COS cycle, as it eliminates the possibility of measuring the same follicle more than once. Thus, Sono AVC is a quicker and more reliable method of measuring follicles in a COS cycle, but its effect on the pregnancy rate has not yet been studied. The number of the mature oocytes, fertilized oocytes, and clinical the pregnancy rates (42 % vs. 43 %) were similar with both 2D ultrasound and Sono AVC methods [49].

Fig. 2.26
(a, b) SonoAVC for follicular monitoring
Three-dimensional ultrasound with Sono AVC significantly improves the interobserver reliability of antral follicle counts and allows quicker assessment of follicle size and number, making it an important tool in the assessment of ovarian reserve.
It however, has the following disadvantages:
· Increases time of ultrasound as a lot of time may be spent postprocessing.
· If two or three follicles are close by, it measures them as one, and it is the operator who needs to identify and separately count these follicles using the snipping tools.
· At times, certain follicles may not be measured at all and the operator needs to scan the ovary in X-, Y-, and Z-axis to identify the left out follicles.
· The clinical outcome of assisted reproduction treatment also did not show any improvement with the use of SonoAVC, and so we need to determine whether it is cost-effective to be used routinely in all IVF cycles [50].
Monitoring Abnormal Response (Figs. 2.27, 2.28, and 2.29)

Fig. 2.27
Abnormal response to ovarian stimulation. (a) Premature luteinization, (b) LUF, (c) Poor response, (d) Hyper-response

Fig. 2.28
Ovarian hyperstimulation syndrome

Fig. 2.29
Functional and retention cyst
Ultrasound is also useful in monitoring abnormal response to ovulation induction, which includes premature luteinization, LUF, endogenous LH surge, poor response, hyperstimulation, presence of retention or functional cysts, and ovarian torsion.
Premature Luteinization (Fig. 2.27a)
Follicles <15 mm with echoes are seen and these correlate with high P4 levels in the follicular phase. A premature and suboptimal LH surge results in progesterone production but no ovulation, and oocyte maturation without follicular rupture. It is associated with poor quality oocytes and embryos with an out of phase endometrium thus, reducing the implantation rate.
Luteinized Unruptured Follicle (LUF) (Fig. 2.27b)
Luteinized unruptured follicle is diagnosed when the dominant follicle is still apparent 48 h after administration of hCG or LH surge. The size of the follicle may reach 34–36 mm and has thick walls and may have internal echoes. The endometrium is thick and echogenic with no fluid in the pouch of Douglas. It is due to insufficient strength of the LH surge to induce follicular rupture but sufficient to induce oocyte maturation.
Endogenous LH Surge
Endogenous LH surge is seen on ultrasound as a premature rupture of follicles at a diameter of less than 16–17 mm. It is associated with compromised oocytes and embryo quality as a result of exposure to inappropriate LH levels. This requires extensive endocrine monitoring and can be prevented with the use of GnRH agonists or antagonists.
Poor Response (Fig. 2.27c)
Poor response can be predicted by estimating the baseline AFC and ovarian volume (<3–4 AFCs and volume <3 mL). At times, the AFC may be normal but the women may not respond to gonadotropins for various reasons, so the presence of less than two to three follicles on ultrasound on day 7 of ovulation induction with gonadotropins also suggests poor response.
Ovarian Hyperstimulation Syndrome (OHSS) (Figs. 2.27d and 2.28)
Ultrasound is essential for the prevention, diagnosis, and monitoring of OHSS. Judicial use of TVS for follicular monitoring while inducing ovulation with gonadotropins remains critical for the prevention of OHSS. TVS is also used to monitor the ovarian volume, keep record of number of follicles and corpus luteum and their size, diagnose ascites and pleural effusion when monitoring for the progress of OHSS. Ultrasound can also be used to guide paracentesis of the ascites or pleural effusion in cases, which develop severe respiratory distress to avoid trauma to ovaries or other abdominal structures.
Functional Cyst (Fig. 2.29)
Functional cyst is diagnosed by the presence of cyst at prestimulation baseline scan on day 2 or 3 of the menstrual cycles following GnRH agonist stimulation for downregulation. It is characterized by sharp edges and anechogenic contents and is due to the initial FSH surge, which occurs after commencement of GnRH agonist in a long downregulation cycle. The presence of a functional cyst requires either cancellation of cycle or an ultrasound-guided aspiration of the cyst before commencing ovulation induction.
Persistent/Retention Cyst (Fig. 2.29)
The presence of cyst at baseline scan suggests a follicle from previous cycle or a persistent corpus luteum. It may result due to growth of the smaller follicles following the hCG trigger. No drugs are administered for ovulation induction in the presence of a retention cyst. It is followed ultrasonographically and if persistent may require medical or surgical treatment.
Hormonal Monitoring
Fertility is associated with marked daily changes in hormone output, especially estradiol, LH, and progesterone. Any pattern that shows no changes from day to day denotes infertility, and estimation of these hormones during ovulation induction may prove useful. Evaluation of hormonal values can predict both ovarian reserve as well as ovarian response.
Prediction of Response
Accurate prediction of ovarian response enables the clinician to choose the right protocol optimizing the outcome and preventing complications like OHSS and multiple pregnancies. At one extreme of the response spectrum, we can identify women who are at risk of OHSS and can adjust our stimulation strategy to incorporate GnRH antagonists [51]. We thereby minimize the risk of this potentially fatal complication, but potentially even more importantly, we have the ability to completely eliminate it by adopting a GnRH agonist trigger before oocyte retrieval [52]. For potential poor responders, we currently use a flare strategy because of its reduced treatment burden and ability to capitalize on endogenous LH activity, in accordance with recent studies supporting a beneficial role of LH in older women [53].
Achieving an appropriate ovarian response without cycle cancellation or adverse events related to under- or overstimulation to anti-estrogens or exogenous gonadotropins is important. To predict ovarian response to ovarian stimulation and to individualize the starting dose of exogenous gonadotropins or the need for exogenous luteinizing hormone, various hormonal tests have been suggested. These include FSH, AMH, and estradiol levels. The standard first-line investigation to assess ovarian function is measuring FSH though it has a much lower correlation with primordial follicle counts and follicular recruitment rates and has limited ability to diagnose ovarian dysfunction, including PCOS. Today AMH is considered to be the best marker for the prediction of ovarian response with a strong linear relationship of AMH with AFC in predicting ovarian reserve.
The ROC regression analysis demonstrated a high accuracy for AMH and for AFC in predicting poor response, but only a moderate accuracy for FSH. In predicting pregnancy after IVF, all three ovarian reserve tests (ORT) had only a very small or no predictive effect.
Basal FSH
Basal FSH is an indirect measure of the size of follicle cohort [54]. Basal serum FSH concentrations increase on day 2, 3, or 4 of the menstrual cycle with advancing reproductive age. FSH is commonly used as a measure of ovarian reserve, and high values have been associated with, but do not necessarily predict both poor ovarian stimulation and the failure to conceive. Its role is limited in the evaluation of young healthy women [55].
Multiple cut-off values above 10 IU/L (10–20 IU/l) demonstrate high specificity (83–100 % range) but poor sensitivity (10–80 %) for predicting poor response to stimulation (<2–3 follicles or <4 retrieved oocytes) [56]. Using similar cut-off values, the sensitivity for predicting pregnancy is very low. High FSH levels have not been associated with an increased risk of aneuploidy in pregnancies resulting from IVF [57, 58]. Although FSH rises with increasing reproductive age, it remains unknown whether high FSH levels in women of reproductive age predict an earlier onset of menopause [59]. Elevated day 3 FSH is a heterogeneous group, which could be either due to true reduced ovarian reserve, presence of heterophylic antibodies or FSH receptor polymorphism in patients with otherwise normal ovaries [60]. Pregnancy rates are significantly higher (P < 0.05) in women with normal FSH in those aged <36 years compared to those aged ≥36 years [61]. Consistently elevated FSH concentrations confer a poor prognosis [62], a single elevated FSH value in women <40 years of age may not predict a poor response to stimulation or failure to achieve pregnancy [63]. It does not diagnose poor ovarian reserve until high thresholds are reached [62].
Limited evidence suggests that women with fluctuating FSH levels should not wait for the “ideal” cycle, wherein the FSH concentration is normal, to undergo IVF stimulation [64, 65]. Thus, a basal FSH level has limited utility as a screening test [56, 62, 64–66]. A single FSH value has very limited reliability because of inter- and intra-cycle variability (particularly, if it is not elevated). Elevated day 3 FSH/LH ratio due to low LH concentrations predicts reduced ovarian response and is associated with an inferior outcome in IVF treatment cycles and may be used as an additional predictor for decreased ovarian response.
Estradiol
As a test of ovarian reserve, basal estradiol on day 2, 3, or 4 of the menstrual cycle has poor inter- and intra-cycle reliability [67]. Very low predictive accuracy, both for poor response or excessive response and therefore, basal estradiol alone should not be used to screen for ovarian reserve. The test has value only as an aid to correct interpretation of a “normal” basal serum FSH value. Elevated day 2 estradiol values (>75–80 pg/mL) indicate an inappropriately advanced stage of follicular development, consistent with ovarian aging or simply reflect the presence of functional ovarian cysts. No relationship has also been found between serum E2 levels and pregnancy rates [68]. Thus, the use of day 2 estradiol value for the prediction of ovarian reserve is still debatable [69].
Inhibin B
Normal day 3 inhibin B value is > 45 pg/mL. Using 45 pg/mL as the threshold for low ovarian reserve, has specificity between 64 and 90 % and sensitivity between 40 and 80 %. The positive predictive value (PPV) of inhibin B is generally low (19–22 %), and the negative predictive value (NPV) is high (95–97 %) in general IVF populations [70–72]. In populations at high risk for decreased ovarian reserve, PPV can be as high as 83 % [72]. The odds ratio for a clinical pregnancy (basal serum inhibin >45 pg/mL versus <45 pg/mL) was 6.8 (CI 1.8–25.6). It is a better predictor for cycle cancellation than ovarian response and is influenced by the amount of fat in an individual, with lower levels in obese women [73].
AntiMullerian Hormone (AMH)
Serum concentrations of AMH, produced by granulosa cells of early follicles, are gonadotropin-independent and therefore, remain relatively consistent within and between menstrual cycles in both normal young ovulating women and in women with infertility [67, 74–76]. The true individual cycle fluctuation of AMH is about 11 %.
For hyper-response, the optimal cut-off value of 3.36 ng/mL has a sensitivity of 90.5 % (95 % CI 69.6–98.5) and specificity of 81.3 % (95 % CI 75.8–86.0) [77]. Sensitivity and specificity of AFC and AMH for the prediction of high ovarian response were 89 % and 92 % for small AFCs and 93 % and 78 % for AMH at the cut-off values of ≥16 and ≥34.5 pmoL/L, (4.86 ng/mL), respectively. On the other hand, for prediction of poor response, the optimum cut-off value for AMH is 0.99 ng/mL and the post-test probability was highest at cut-off levels of 0.59 ng/mL [1].
Dynamic Tests: Clomiphene Citrate Challenge Test (CCCT) and Exogenous FSH Ovarian Reserve Test (EFORT)
Inhibin B increment in the EFORT has best discriminative potential for hyper-response (ROC-AUC 0.92). E2 increment in EFORT, CCCT, and bFSH, at different cut-off levels, was of less clinical relevance compared with inhibin B increment in the EFORT at the cut-off level of 130 ng/L for the prediction of hyper-response [78].
CCCT appeared to have the best discriminative potential for poor response, as expressed by the largest ROC-AUC (0.88) followed by inhibin increment in EFFORT. E2 and inhibin B increment in EFORT and bFSH at different cut-off levels were of less clinical relevance compared with CCCT at the cut-off level of 18 IU/l, which has a 85 % positive predictive value [78].
Hormonal Monitoring in an Ovulation Induction Cycle
Ovulation induction without the use of gonadotropins (GT) and GnRH analogs is easy and occasionally requires measurement of E2 levels depending on the response, endometrial thickness, and number and size of follicles. Estimation of LH in these cycles allows us to precisely identify the time of ovulation and therefore, is used in natural cycles and oral ovulation-inducing cycles. However, with the use of GT and GnRH analogs in ART cycles, both E2 and LH are monitored more often. We very well know that premature LH surge can impair the development of the oocyte and affect its fertilizing ability and it needs to be detected. A premature LH surge can occur with high levels of E2 in the mid-follicular phase. This could be due to the use of estrogen in the early part of follicular cycle and development of large number of follicles resulting in high E2, especially in cycles where GnRH analogs are not used.
Serum LH
The relationship between follicle size and the serum E2 level is not sufficiently strong to predict the LH surge confidently on the basis of only one variable, but it has been observed that LH surge is unlikely to occur before the follicle diameter has reached 15 mm and/or the serum E2 level has reached 164 pg/mL. LH levels should be measured daily once the follicle reaches 15–16 mm to determine the LH surge and the exact time of ovulation. The mean peak value of LH is 97 U/L/24 h with a standard deviation =/−78 U/L. The LH surges that result in ovulation are extremely variable in configuration, amplitude, and duration.
LH Surge Can Be Detected by Measuring
1.
2.
A study by Lloyd et al. showed that when LH kits alone were used to time IUI
· 36 % of inseminations were timed incorrectly
· 15 % of women had already ovulated
Serum Estradiol Levels
By day 5–8 of the menstrual cycle, aromatase activity begins in granulosa cells of follicles larger than 6–8 mm, with the dominant follicle producing more estradiol-17b than other follicles in the cohort [79–83].
To best reflect the ovarian response to stimulation and provide for an efficient flow of information, gonadotropins are generally administered in the evening, typically between 5:00 p.m. and 8:00 p.m., and serum estradiol measurements are obtained early in the morning. Results are usually available for review by mid-day, and change in the dose and duration of gonadotropins can be made. Follicles less than approximately 10 mm in mean diameter produce relatively little measurable estrogen and larger follicles secrete progressively more as they grow and approach maturity. Usually, estradiol levels rise at a constant exponential pace, doubling approximately every 2–3 days over the days before peak follicular development is achieved. A shallower or steeper slope of increase suggests the need to increase or decrease the level of stimulation. In contrast to a natural cycle, the linear relationship between follicle size and E2 measurements is lost due to the presence of many developing follicles that contribute to the circulating E2. In the natural ovulatory cycle, estradiol levels peak between 200 and 400 pg/mL, just before the LH surge. Comparable levels of estradiol should be expected in gonadotropin-stimulated cycles, for each mature follicle observed. In a COS cycle, one must also consider the number and size of smaller follicles and their lesser but collective contributions to the serum estradiol concentration apart from the large follicles when measuring estradiol levels. Cycle fecundability increases with serum estradiol levels; unfortunately, so do the risks of multiple pregnancy and ovarian hyperstimulation and this is due to multifollicular development, making more oocytes available for fertilization. With existing COS regimens, best results are generally obtained when estradiol concentrations peak between 500 and 1500 pg/mL; pregnancies are uncommon at levels below 200 pg/mL.
Normal follicular growth correlates with E2 measurements and therefore, it can be measured to modulate the dose of gonadotropins in the following manner.
The initial dose changed after 4–5 days depending on the E2 levels
· If a rise >100 % is observed, then the dose is reduced by 75 IU.
· If a rise <50 % is observed, the dose is increased by 75 IU.
· If a rise between 50 and 100 % is observed, same dose is maintained.
Plateauing or decreasing levels require cancellation of the cycle.
Progesterone
Progesterone levels are estimated on day 2 of the menstrual cycle before COS is initiated and on the day of hCG. Elevated progesterone (PE) is associated with endometrial asynchrony and subsequently, low pregnancy rates though the pathophysiology of pre-hCG progesterone rise and its impact on pregnancy outcomes remains inconclusive as no randomized controlled trials (RCTs) are available. But Chu-Chun Huang et al. [84] studied 1784 IVF/ICSI cycles and concluded that the clinical pregnancy rate was significantly decreased in women with longer durations of serum P elevation, independent of the protocol used and the ovarian response [84].
Despite the use of GnRH analogs, a subtle preovulatory rise in the serum P4 concentration before the administration of hCG for final oocyte maturation still occurred in 5–30 % of COS cycles [85–87].
An inverse correlation was observed between the clinical pregnancy rate and the duration of preovulatory progesterone elevation and not the absolute progesterone value on the day of hCG administration. It was also noticed that these patients tend to be younger with better reserves and have lower baseline FSH levels [84].
PE on the day of hCG administration is associated with a significantly decreased probability of pregnancy after fresh embryo transfer in women undergoing ovarian stimulation using gonadotropins and GnRH analogs for IVF but not after transfer of frozen–thawed embryos originating from that cycle. The corresponding numbers needed to treat (NNT) is ~10, which means that for every ten patients with PE, three instead of four pregnancies should be expected [88].
It was also observed that E2 levels on the day of hCG appear to be increased in the presence of PE. In addition, there was some evidence that PE is associated with an increase in the total amount of FSH used for ovarian stimulation but not the length of stimulation. Freezing embryos and transferring them in a subsequent frozen–thawed cycle (the “freeze-all” strategy) has been proposed as a way to bypass impaired endometrial receptivity [89, 90], and it is also considered to be the most frequently used method for managing PE [91].
It was also observed that prolongation of follicular phase is associated with a higher incidence of premature secretory changes on the day of oocyte retrieval in cycles stimulated with recombinant FSH (r-FSH) and GnRH antagonists [92].
Cancellation of Ovarian Stimulation Cycles
The definite indication for cancellation of cycle is poor follicular growth and E2 levels of less than 100 pg/mL on day 5–6 of COS. The possible indication for cycle cancellation may be the presence of an adnexal cyst secondary to GnRH agonist used in A long protocol, risk of OHSS, occurrence of an endogenous LH surge, or a steady decline in E2 levels and poor ovarian response.
Monitoring the Luteal Phase
What women want to know after treatment with ovulation induction medication taken either for a timed intercourse, IUI or ART cycle is whether there is a pregnancy, whether it is in the right place, is it normal, and is it going to continue normally.
The most important hormones monitored for this in the luteal phase are progesterone and beta human chorionic gonadotropin (β-hCG).
Luteal Phase
During the luteal phase, the increased values of progesterone and E2 play an important role in the maintenance of the low FSH and LH levels. During the luteal phase, the frequency of GnRH pulses decrease, while the amplitude increases [93] due to the high progesterone and E2 concentrations [94, 95]. Gonadotropin secretion is also suppressed by E2 and progesterone, and this action is possibly mediated via an increase in β-endorphin activity in the hypothalamus [96].
What we measure normally in the luteal phase is day 21 progesterone levels in a 28-day menstrual cycle, which will detect ovulation and adequacy of the luteal phase. In irregular cycles, the test may be performed later in the cycle and repeated weekly until the next menstruation. Progesterone has a pulsatile release; thus, a single level may not be useful unless elevated. Values of 10 ng/mL or more are suggestive of normal progesterone production.
The capacity of the CL to produce progesterone is closely related to the extent of its vascular network [97–100]. CL angiogenesis is controlled by local secretion of growth factors [101], namely, vascular endothelial growth factor (VEGF) [102–104].
The relation of blood flow indices in the corpus luteum, measured by transvaginal color Doppler ultrasonography and hormone profiles were studied; the velocity and the impedance indices of the blood flow were both associated with the P4/E2 ratio in spontaneous and CC cycles, while the blood flow indices and the P4/E2 ratio were not correlated in COH cycles [105].
Progesterone is responsible for endometrial decidualization, decrease in smooth muscle contractility, decrease in prostaglandin (PG) formation and immune responses (inhibits T‐lymphocyte‐mediated tissue rejection).
Luteal-Follicular Transition
During the passage from the luteal to the next follicular phase, an increase, or “intercycle rise,” in serum FSH concentrations occurs. FSH starts to increase 2–3 days before the onset of the menstrual period [106], remains elevated during the early follicular phase, and returns to the basal value in the mid-follicular phase [107, 108].
In the absence of a pregnancy, there is a gradual but significant decline in the levels of inhibin A, E2, and progesterone [109, 110], which is responsible for the intercycle rise of FSH that starts in late luteal phase.
The controlled ovarian stimulation cycle, which aims to mature several FSH-sensitive antral follicles during IVF/ICSI (intracytoplasmic sperm injection) treatment using gonadotropins in a GnRH agonist or antagonist protocol results in multi-folliculogenesis. After the hCG trigger, all these follicles are converted into corpora lutea after the release of oocytes in a timed intercourse or IUI cycle or after oocyte retrieval in an ART cycle. Several corpora lutea created produce large amounts of progesterone and E2. If there is a pregnancy, the hCG produced by the chorionic villi will rescue the corpus luteum to support early pregnancy.
Luteoplacental shift occurs at the 7–8 pregnancy week (Fig. 2.30). The dominant ovary volume and vascularization decrease throughout the first trimester placenta and the gestational sac grows continuously [111].

Fig. 2.30
Luteal–placental shift
It was seen that the luteal activity significantly increased for the first weeks of pregnancy in a COS cycle. It was also observed that the placental development may be delayed/disturbed after COH and probably, this is the cause for the adverse outcome after fresh ET following a COS cycle. Therefore, today many clinicians are freezing all the embryos to be transferred in the subsequent natural or hormone replacement treatment (HRT) cycle to improve the outcome.
Monitoring Early Pregnancy After Ovulation Induction
Monitoring early pregnancy after ovulation induction can be done by measuring the progesterone and beta hCG levels along with transvaginal ultrasound. A single progesterone measurement in early pregnancy is a useful test for discriminating between viable and non-viable pregnancies. A low progesterone value early in the pregnancy, especially in the presence of a positive beta hCG in patients presenting with bleeding, pain, and inconclusive ultrasound results can rule out a viable pregnancy [112].
At times, despite a positive beta hCG, the pregnancy cannot be located on ultrasound. This could be because the ultrasound is either performed too early (before beta hCG is 1000 mIU/mL) or too late in cases where the pregnancy has failed or due to altered anatomy, it is too difficult to visualize the pelvic structures or the pregnancy is too bad to be seen.
In such cases, it is important to diagnose an ectopic pregnancy as early as possible in order to initiate treatment. A slow rise in beta hCG and steady decrease in the progesterone levels are suggestive of an ectopic pregnancy.
An absolute single serum hCG level had the lowest diagnostic value, while strategies using serum hCG ratios, either alone or incorporated in logistic regression models, showed reasonable diagnostic performance for EP.
In the presence of pregnancy of unknown location (PUL), one has to balance fears of mistakenly treating intrauterine pregnancy against missing a “life-threatening ectopic.” In such instances, it inevitably leads to overdiagnosis of ectopic pregnancy and employment of “preventative” management strategies. This may, at times, harm a normal intrauterine pregnancy.
The majority of women with PUL (50–70 %) have a spontaneously resolving pregnancy with serum hCG levels declining to undetectable levels. Such a pregnancy can either be a failed intrauterine pregnancy (IUP) or a resolved ectopic pregnancy (EP), as the location of the pregnancy remains undetermined. In some women, the pregnancy duration is simply too short to allow its visualization on the initial scan. Follow-up scans in combination with rising serum hCG levels will eventually demonstrate an intrauterine pregnancy (IUP). In 7–20 % of women with a PUL, an EP is eventually diagnosed and these women can be treated either with laparoscopic surgery or medical therapy with systemic methotrexate (MTX). Only a minority of women will have a persisting PUL, defined as an inconclusive TVS in combination with a rise or plateau in serial serum hCG levels. The optimal management for persisting PUL is not known. Systemic MTX as well as expectant management is reported to be successful [113].
We also need to differentiate patients with pathological pregnancy that will resolve spontaneously form those with pathological pregnancy necessitating active therapeutic intervention and those with an early normal intrauterine pregnancy.
Future research involving progesterone test to explore its relation with beta hCG may help in predicting outcomes and calculating post-test probabilities for the whole range of progesterone and beta-hCG values.
Discussion
To ensure safe clinical practice, and prevent OHSS and multiple pregnancies, it is important to monitor treatment response carefully by serial ultrasound scans and serum E2 levels. Evaluating serum progesterone may help in improving the success rate of ART treatment.
Baseline ovarian ultrasonography is prudent between consecutive cycles of stimulation with exogenous gonadotropins. In the absence of any significant residual ovarian cysts or gross enlargement, treatment can begin again immediately without the need for an intervening rest cycle. Higher cycle fecundability and cumulative pregnancy rates have been observed in consecutive treatment cycles than with alternating cycles of stimulation and no treatment [114, 115]. When baseline ultrasonography reveals one or more residual ovarian cysts, it is usually best to briefly postpone further treatment. Stimulation cycles in the presence of ovarian cysts are less often successful [116], possibly because newly emerging follicles can be difficult to distinguish from regressing cystic follicles, leading to errors in interpretation. Although many believe that suppressive therapy with a cycle of oral contraceptives helps in the regression of residual ovarian cysts, there is no evidence that such treatment is more successful than observation alone.
Studies of endometrial growth in exogenous gonadotropin-induced ovulatory cycles suggest that ultrasonographic measurement of endometrial thickness has great value. Cycle fecundity increases with endometrial thickness, which correlates with serum estradiol concentrations [117]. Few pregnancies result from cycles in which endometrial thickness is less than approximately 7 mm on the day of hCG when treated with ovulation induction drugs [118–120].
Previously, monitoring of ovarian function was based mainly on measuring serum estradiol concentrations, and results were interpreted in relation to the success rate and development of OHSS. Moreover, previously it was thought that complications were not dependent on monitoring but on the stimulation protocol [121]. Today, we know that monitoring as a whole cannot prevent the complications but helps us identify patients at risk of developing these complications and thus, modify our protocols. In ART cycles, the goal is to retrieve mature oocytes and this goal cannot be reached by measuring estrogen only, since the maturity of the oocyte is closely associated with the size of the follicle, a parameter, which can accurately be measured by ultrasound. In addition to the size of the follicles, it has been shown that the best marker for serum estrogen concentrations, and also a major factor in the implantation process is the endometrial thickness and its ultrasonographic texture, a parameter which, again, can adequately be measured by ultrasound. Thus, ultrasound can be used alone to accurately monitor. OI therapy for both in vivo and in vitro fertilization by successfully measuring endometrial thickness and size of ovarian follicles. Follicular growth, uterine measurements, and endometrial thickness correlated strongly with E2 concentrations (P < 0.0001). Endometrial thickness on the day of hCG administration was significantly higher (P < 0.01) in conception compared with non-conception cycles, whereas no significant differences were observed in serum E2 concentrations.
The chance of achieving a pregnancy, predicted by uterine artery Doppler and perifollicular blood flow in women whose PI values were higher than 3.26 and 1.08 was very low, with a sensitivity of 1.00 and specificity of 0.59 and 0.82, respectively. The data provided evidence for an association between utero-ovarian perfusion and reproductive outcome following IVF treatment [122]. The ovarian volume, follicular volume, vascularization index, flow index, and vascularization flow index were significantly greater in the pregnant group. 3D ultrasonography and power Doppler angiography allow for an easier ovarian assessment in IVF cycles [123].
Estradiol measurement may provide additional information in predicting OHSS or poor response, which requires cycle cancellation, though avoidance of estradiol and LH assay may simplify the IVF protocols. Monitoring by both ultrasound and estradiol levels is important in those women, who are at risk of developing OHSS. Evaluation of estradiol level during monitoring will help us in deciding between hCG and GnRH agonist for triggering ovulation.
Apart from the selection of the appropriate trigger, we could use certain preventive measures like coasting, intravenous albumin or hydroxyethyl starch solution (36 %), and cryopreservation of all embryos (33 %) with transfer in the subsequent cycle.
In ovulation induction cycles with gonadotropin, which do not use GnRH analogs, premature LH rise or luteinization may occur. These cycles require more stringent monitoring with ultrasound, serum LH, and progesterone along with estradiol in order to accurately time hCG administration or detect ovulation in a non-ART cycles.
In ovulation induction cycles, which use GnRH analogs, monitoring by ultrasound alone is sufficient and will simplify the treatment and its cost and also increase the patient’s convenience. Measuring serum estrogen levels will not add significantly to efficacy or safety of the treatment.
Summary
· Monitoring helps the physician to choose the most suitable protocol, to obtain best possible outcome, avoiding complications.
· Baseline USG provides valuable information on ovarian morphology and allows the most appropriate stimulation regimen to be chosen to prevent OHSS and multiple pregnancies and helps in predicting patients response to ovarian stimulation.
· AFC and AMH are equally accurate predictors of high ovarian response to COS and allow us to identify the patients who are at increased risk for OHSS.
· The relationship between AFC and AMH concentrations is more reliable than that observed with FSH, inhibin B, and estradiol on cycle day 3.
· Basal FSH should not be used as a screening tool but instead used to counsel patients appropriately regarding the realistic chance of conception and aiding in the determination of appropriate GT dose.
· Induction of ovulation and IVF protocols can be monitored successfully by measuring endometrial thickness and size of ovarian follicles.
· USG monitoring of follicular growth is the most important tool in the assessment of progress in ovarian stimulation and improves the chance of safe and effective treatment with various ovulation induction agents.
· USG also enables the diagnosis of disorders and complications of ovulation induction.
· Ultrasound can alone be used to accurately monitor OI therapy for both in vivo and in vitro fertilization by successfully measuring endometrial thickness and size of ovarian follicles and correlates strongly with serum estradiol concentrations.
· Estradiol measurement may provide additional information in predicting OHSS or poor response.
· Evaluation of estradiol along with ultrasound monitoring in women with a risk of developing OHSS helps in choosing the trigger for ovulation and luteal phase support.
· Monitoring the luteal phase helps confirm ovulation, luteal function, and pregnancy.
· Pregnancy can be documented by evaluation of beta hCG 15 days after ovulation or by ultrasound 20 days post-ovulation when beta hCG is 1000 mIU/mL, an end point desired by tracking ovulation.
· Monitoring ovulation induction cycles adds to the common pool of information, which increases our knowledge and understanding of human reproduction.
References
1.
Jayaprakasan K, Campbell B, Hopkisson J, Johnson I, Raine-Fenning N. A prospective, comparative analysis of anti-Müllerian hormone, inhibin-B, and three-dimensional ultrasound determinants of ovarian reserve in the prediction of poor response to controlled ovarian stimulation. Fertil Steril. 2010;93(3):855–64.PubMed
2.
Tomas C, Nuojua-Huttunen S, Martikainen H, et al. Pretreatment transvaginal ultrasound examination predicts ovarian responsiveness to gonadotrophins in in-vitro fertilization. Hum Reprod. 1997;12:220–3.PubMed
3.
Sharara FI, McClamrock HD. High E2 levels and high oocyte yield are not detrimental to in vitro fertilization outcome. Fertil Steril. 1999;72:401–5.PubMed
4.
Syrop CH, Wilhoite A, Van-Voorhis BJ. Ovarian volume: a novel outcome predictor for assisted reproduction. Fertil Steril. 1995;64:1167–71.PubMed
5.
Lass A, Skull J, McVeigh E, et al. Measurement of ovarian volume by transvaginal sonography prior to human menopausal gonadotrophin hyperstimulation can predict poor response of infertile patients in an IVF programme. Hum Reprod. 1997;12:294–7.PubMed
6.
Kupesic S, Kurjak A. Predictors of in vitro fertilization outcome by three-dimensional ultrasound. Hum Reprod. 2002;17(4):950–5.PubMed
7.
Jun SH, Ginsburg ES, Racowsky C, Wise LA, Hornstein MD. Uterine leiomyomas and their effect on in vitro fertilization outcome: a retrospective study. J Assist Reprod Genet. 2001;18:139–43.PubMedCentralPubMed
8.
Fleischer AC. New developments in the sonographic assessment of ovarian, uterine and breast vascularity. Semin Ultrasound CT MR. 2001;22:42–9.PubMed
9.
Raine-Fenning NJ, Campbell BK, Clewes JS, Kendall NR, Johnson IR. The reliability of virtual organ computer-aided analysis (VOCAL) for the semiquantification of ovarian, endometrial and subendometrial perfusion. Ultrasound Obstet Gynecol. 2003;22:633–9.PubMed
10.
Hackelöer BJ, Robinson HP. Ultrasound examination of the growing ovarian follicle and of the corpus luteum during the normal physiologie menstrual cycle. Geburtshilfe Frauenheilkd. 1978;38:163–8.PubMed
11.
Eissa MK, Hudson K, Docker MF, Sawers RS, Newton JR. Ultrasound follicle diameter measurement: an assessment of inter observer and intra observer variation. Fertil Steril. 1985;44:751–4.PubMed
12.
Nayudu PL. Relationship of constructed follicular growth patterns in stimulated cycles to outcome after IVF. Hum Reprod. 1991;6:465–71.PubMed
13.
Van Blerkom J, Antczak M, Schrader R. The developmental potential of the human oocyte is related to the dissolved oxygen content of follicular fluid: association with vascular endothelial growth factor levels and perifollicular blood flow characteristics. Hum Reprod. 1997;12:1047–55.PubMed
14.
Mercé LT, Bau S, Barco MJ, Troyano J, Gay R, Sotos F, Villa A. Assessment of the ovarian volume, number and volume of follicles and ovarian vascularity by three-dimensional ultrasonography and power Doppler angiography on the hCG day to predict the outcome in IVF/ICSI cycles. Hum Reprod. 2006;21:1218–26.PubMed
15.
Serafini P, Batzofin J, Nelson J, Olive D. Sonographic uterine predictors of pregnancy in women undergoing ovulation induction for assisted reproductive treatments. Fertil Steril. 1994;62:815–22.PubMed
16.
Steer CV, Tan SL, Dillon D, Mason BA, Campbell S. Vaginal color Doppler assessment of uterine artery impedance correlates with immunohistochemical markers of endometrial receptivity required for the implantation of an embryo. Fertil Steril. 1995;63:101–8.PubMed
17.
Tekay A, Martikainen H, Jouppila P. Blood flow changes in uterine and ovarian vasculature, and predictive value of transvaginal pulsed colour Doppler ultrasonography in an in-vitro fertilization programme. Hum Reprod. 1995;10:688–93.PubMed
18.
Ng EHU, Chan CCW, Tang OS, Yeung WSB, Ho PC. The role of endometrial and subendometrial vascularity measured by three- dimensional power Doppler ultrasound in the prediction of pregnancy during frozen-thawed embryo transfer cycles. Hum Reprod. 2006;21:1612–7.PubMed
19.
Palomba S, Russo T, Falbo A, Orio Jr F, Manguso F, Nelaj E, Tolino A, Colao A, Dale B, Zullo F. Clinical use of the perifollicular vascularity assessment in IVF cycles: a pilot study. Hum Reprod. 2006;21:1055–61.PubMed
20.
O’Leary AJ, Griffiths AN, Evans J, Pugh ND. Perifollicular blood flow and pregnancy in superovulated intrauterine insemination (IUI) cycles: an observational comparison of recombinant follicle-stimulating hormone (FSH) and urinary gonadotropins. Fertil Steril. 2009;92(4):1366–8.PubMed
21.
Borini A, Maccolini A, Tallarini A, Bonu MA, Sciajno R, Flamigni C. Perifollicular vascularity and its relationship with oocyte maturity and IVF outcome. Ann N Y Acad Sci. 2001;943:64–7.PubMed
22.
Coulam CB, Bustillo M, Soenksen DM, Britten S. Ultrasonographic predictors of implantation after assisted reproduction. Fertil Steril. 1994;62:1004–10.PubMed
23.
Ayustawati, Shibahara H, Obara H, et al. Influence of endometrial thickness and pattern on pregnancy rates in in vitro fertilization-embryo transfer. Reprod Med Biol. 2002;1:17–21.
24.
Gonen Y, Casper RF, Jacobson W, Blankier J. Endometrial thickness and growth during ovarian stimulation: a possible predictor of implantation in in-vitro fertilization. Fertil Steril. 1989;52:446–50.PubMed
25.
Check JH, Nowroozi K, Choe J, Lurie D, Dietterich C. The effect of endometrial thickness and echo pattern on in vitro fertilization outcome in donor oocyte-embryo transfer cycle. Fertil Steril. 1993;59:72–5.PubMed
26.
Zhang X, Chen CH, Confino E, Barnes R, Milad M, Kazer RR. Increased endometrial thickness is associated with improved treatment outcome for selected patients undergoing in vitro fertilization-embryo transfer. Fertil Steril. 2005;83:336–40.PubMed
27.
Richter KS, Bugge KR, Bromer JG, Levy MJ. Relationship between endometrial thickness and embryo implantation, based on 1,294 cycles of in vitro fertilization with transfer of two blastocyst-stage embryos. Fertil Steril. 2007;87:53–9.PubMed
28.
Friedler S, Schenker JG, Herman A, Lewin A. The role of ultrasonography in the evaluation of endometrial receptivity following assisted reproductive treatments: a critical review. Hum Reprod Update. 1996;2:323–35.PubMed
29.
Rabinowitz R, Laufer N, Lewin A, et al. The value of ultrasonographic endometrial measurement in the prediction of pregnancy following in vitro fertilization. Fertil Steril. 1986;45:824–8.PubMed
30.
Dietterich C, Check JH, Choe JK, Nazari A, Lurie D. Increased endometrial thickness on the day of human chorionic gonadotropin injection does not adversely affect pregnancy or implantation rates following in vitro fertilization-embryo transfer. Fertil Steril. 2002;77:781–6.PubMed
31.
Turnbull LW, Lesny P, Killick SR. Assessment of uterine receptivity prior to embryo transfer: a review of currently available imaging modalities. Hum Reprod Update. 1995;1:505–14.PubMed
32.
Ueno J, Oehninger S, Brzyski RG, Acoata AA, Philput CB, Muasher SJ. Ultrasonographic appearance of the endometrium in natural and stimulated in vitro fertilization cycles and its correlation with outcome. Hum Reprod. 1991;6:901–4.PubMed
33.
Abdalla HI, Brooks AA, Johnson MR, Kirkland A, Thomas A, Studd JWW. Endometrial thickness: a predictor of implantation in ovum recipients. Hum Reprod. 1994;9:363–5.PubMed
34.
Shapiro H, Cowell Casper RF. Use of vaginal ultrasound for monitoring endometrial preparation in a donor oocyte program. Fertil Steril. 1993;59:1055–8.PubMed
35.
El-Toukhy T, Coomarasamy A, Khairy M, et al. The relationship between endometrial thickness and outcome of medicated frozen embryo replacement cycles. Fertil Steril. 2008;89:832–9.PubMed
36.
Jokubkiene L, Sladkevicius P, Rovas L, Valentin L. Assessment of changes in volume and vascularity of the ovaries during the normal menstrual cycle using three-dimensional power Doppler ultrasound. Hum Reprod. 2006;21:2661–8.PubMed
37.
Fanchin R, Righini C, Olivennes F, Taylor S, de Ziegler D, Frydman R. Uterine contractions at the time of embryo transfer alter pregnancy rates after in-vitro fertilization. Hum Reprod. 1989;13(7):1968–74.
38.
RaineFenning NJ, Campbell BK, Kendall NR, Clewes JS, Johnson IR. Quantifying the changes in endometrial vascularity throughout the normal menstrual cycle with three-dimensional power Doppler angiography. Hum Reprod. 2004;19:330–8.
39.
Zaidi J, Campbell S, Pittrof R, Kyei-Mensah A, Shaker A, Jacobs HS, Tan SL. Contraception: ovarian stromal blood flow in women with polycystic ovaries—a possible new marker for diagnosis? Hum Reprod. 1995;10(8):1992–6.PubMed
40.
Applebaum M. The uterine biophysical profile. Ultrasound Obstet Gynecol. 1995;5(1):67–8.PubMed
41.
Ng EH, Yeung WS, Ho PC. Endometrial and sub endometrial vascularity are significantly lower in patients with endometrial volume 2.5 ml or less. Reprod Biomed Online. 2009;18:262–8.PubMed
42.
Ng EHY, Chan CCW, Tang OS, Yeung WSB, Ho PC. Comparison of endometrial and subendometrial blood flow measured by three-dimensional power Doppler ultrasound between stimulated and natural cycles in the same patients. Hum Reprod. 2004;19:2385–90.PubMed
43.
Ng EHY, Chan CCW, Tang OS, Yeung WSB, Ho PC. The role of endometrial and subendometrial blood flows measured by three-dimensional power Doppler ultrasound in the prediction of pregnancy during IVF treatment. Hum Reprod. 2006;21:164–70.PubMed
44.
Ng EH, Chan CC, Tang OS, Yeung WS, Ho PC. Endometrial and subendometrial blood flow measured by three-dimensional power Doppler ultrasound in patients with small intramural uterine fibroids during IVF treatment. Hum Reprod. 2005;20:501–6.PubMed
45.
Ng EHY, Chan CCW, Tang OS, Yeung WSB, Ho PC. Endometrial and subendometrial vascularity is higher in pregnant patients with livebirth following ART than in those who suffer a miscarriage. Hum Reprod. 2007;22(4):1134–41.PubMed
46.
Steer CV, Campbell S, Tan SL, et al. The use of transvaginal color flow imaging after in vitro fertilization to identify optimum uterine conditions before embryo transfer. Fertil Steril. 1992;57:372–6.PubMed
47.
Nakai A, Yokota A, Koshino T, Araki T. Assessment of endometrial perfusion with Doppler ultrasound in spontaneous and stimulated menstrual cycles. J Nippon Med Sch. 2002;69:328–32.PubMed
48.
Yokota A, Nakai A, Oya A, Koshino T, Araki T. Changes in uterine and ovarian arterial impedance during the periovulatory period in conception and nonconception cycles. J Obstet Gynaecol Res. 2000;26:435–40.PubMed
49.
Raine-Fenning N, Jayaprakasan K, Deb S, Clewes J, Joergner I, Bonaki SD, Johnson I. Automated follicle tracking improves measurement reliability in patients undergoing ovarian stimulation. Reprod Biomed Online. 2009;18(5):658–63.PubMed
50.
Deb S, Batcha M, Campbell BK, Jayaprakasan K, Clewes JS, Hopkisson JF, Raine-Fenning NJ. The predictive value of the automated quantification of the number and size of small antral follicles in women undergoing ART. Hum Reprod. 2009;24(9):2124–32.PubMed
51.
Al-Inany HG, Youssef MA, Aboulghar M, Broekmans F, Sterrenburg M, Smit J, et al. Gonadotrophin-releasing hormone antagonists for assisted re- productive technology. Cochrane Database Syst Rev. 2011;(5):CD001750.
52.
Devroey P, Polyzos NP, Blockeel C. An OHSS-free clinic by segmentation of IVF treatment. Hum Reprod. 2011;26:2593–7.PubMed
53.
Hill MJ, Levens ED, Levy G, Ryan ME, Csokmay JM, DeCherney AH, et al. The use of recombinant luteinizing hormone in patients undergoing assisted reproductive techniques with advanced reproductive age: a systematic review and meta-analysis. Fertil Steril. 2012;97:1108–14.e1.PubMed
54.
te Velde ER, Pearson PL. The variability of female reproductive aging. Hum Reprod Update. 2002;8:141–54.
55.
Thadhani R, Mutter WP, Wolf M, Levine RJ, Taylor RN, Sukhatme VP, Karumanchi SA. First trimester placental growth factor and soluble fms-like tyrosine kinase 1 and risk for preeclampsia. J Clin Endocrinol Metab. 2004;89(2):770–5.PubMed
56.
Esposito MA, Coutifaris C, Barnhart KT. A moderately elevated day 3 FSH concentration has limited predictive value, especially in younger women. Hum Reprod. 2002;17:118–23.PubMed
57.
Thum MY, Abdalla HI, Taylor D. Relationship between women’s age and basal follicle-stimulating hormone levels with aneuploidy risk in in vitro fertilization treatment. Fertil Steril. 2008;90:315–21.PubMed
58.
Massie JA, Burney RO, Milki AA, Westphal LM, Lathi RB. Basal follicle-stimulating hormone as a predictor of fetal aneuploidy. Fertil Steril. 2008;90:2351–5.PubMed
59.
Soules MR, Sherman S, Parrott E, Rebar R, Santoro N, Utian W, et al. Executive summary: stages of reproductive aging workshop (STRAW). Fertil Steril. 2001;76:874–8.PubMed
60.
Lambalk CB. Value of elevated basal follicle-stimulating hormone levels and the differential diagnosis during the diagnostic subfertility work-up. Fertil Steril. 2003;79:489–90.PubMed
61.
Galey-Fontaine J, Cédrin-Durnerin I, Chaïbi R, Massin N, Hugues JN. Age and ovarian reserve are distinct predictive factors of cycle outcome in low responders. Reprod Biomed Online. 2005;10(1):94–9.PubMed
62.
Bancsi LF, Broekmans FJ, Mol BW, Habbema JD, te Velde ER. Performance of basal follicle-stimulating hormone in the prediction of poor ovarian response and failure to become pregnant after in vitro fertilization: a meta-analysis. Fertil Steril. 2003;79:1091–100.PubMed
63.
Roberts JE, Spandorfer S, Fasouliotis SJ, Kashyap S, Rosenwaks Z. Taking a basal follicle-stimulating hormone history is essential before initiating in vitro fertilization. Fertil Steril. 2005;83:37–41.PubMed
64.
Jayaprakasan K, Campbell B, Hopkisson J, Clewes J, Johnson I, Raine-Fenning N. Establishing the intercycle variability of three-dimensional ultrasonographic predictors of ovarian reserve. Fertil Steril. 2008;90(6):2126–32.PubMed
65.
Abdalla H, Thum MY. Repeated testing of basal FSH levels has no predictive value for IVF outcome in women with elevated basal FSH. Hum Reprod. 2006;21:171–4.PubMed
66.
Jain T, Soules MR, Collins JA. Comparison of basal follicle-stimulating hormone versus the clomiphene citrate challenge test for ovarian reserve screening. Fertil Steril. 2004;82:180–5.PubMed
67.
Fanchin R, Taieb J, Lozano DH, Ducot B, Frydman R, Bouyer J. High reproducibility of serum anti-Mullerian hormone measurements suggests a multi-staged follicular secretion and strengthens its role in the assessment of ovarian follicular status. Hum Reprod. 2005;20:923–7.PubMed
68.
Scott RT, Toner JP, Muasher SJ, Oehninger S, Robinson S, Rosenwaks Z. Follicle-stimulating hormone levels on cycle day 3, are predictive of in vitro fertilization outcome. Fertil Steril. 1989;51:651–4.PubMed
69.
Bukulmez O, Arici A. Assessment of ovarian reserve. Curr Opin Obstet Gynecol. 2004;16(3):231–7.PubMed
70.
Muttukrishna S, McGarrigle H, Wakim R, Khadum I, Ranieri DM, Serhal P. Antral follicle count, anti-mullerian hormone and inhibin B: predictors of ovarian response in assisted reproductive technology? BJOG. 2005;112:1384–90.PubMed
71.
Seifer DB, MacLaughlin DT, Christian BP, Feng B, Shelden RM. Early follicular serum mullerian-inhibiting substance levels are associated with ovarian re- sponse during assisted reproductive technology cycles. Fertil Steril. 2002;77:468–71.PubMed
72.
McIlveen M, Skull JD, Ledger WL. Evaluation of the utility of multiple endocrine and ultrasound measures of ovarian reserve in the prediction of cycle cancellation in a high-risk IVF population. Hum Reprod. 2007;22:778–85.PubMed
73.
Tinkanen H, Bläuer M, Laippala P, Tuohimaa P, Kujansuu E. Correlation between serum inhibin B and other indicators of the ovarian function. Eur J Obstet Gynecol Reprod Biol. 2001;94(1):109–13.PubMed
74.
Tsepelidis S, Devreker F, Demeestere I, Flahaut A, Gervy C, Englert Y. Stable serum levels of anti-Mullerian hormone during the menstrual cycle: a prospective study in normo-ovulatory women. Hum Reprod. 2007;22:1837–40.PubMed
75.
La Marca A, Stabile G, Artenisio AC, Volpe A. Serum anti-Mullerian hormone throughout the human menstrual cycle. Hum Reprod. 2006;21:3103–7.PubMed
76.
Hehenkamp WJ, Looman CW, Themmen AP, de Jong FH, Te Velde ER, Broekmans FJ. Anti-Mullerian hormone levels in the spontaneous menstrual cycle do not show substantial fluctuation. J Clin Endocrinol Metab. 2006;91:4057–63.PubMed
77.
Lee TH, Liu CH, Huang CC, Wu YL, Shih YT, Ho HN, Lee MS. Serum anti-Müllerian hormone and estradiol levels as predictors of ovarian hyperstimulation syndrome in assisted reproduction technology cycles. Hum Reprod. 2008;23(1):160–7.PubMed
78.
Kwee J, Schats R, McDonnell J, Schoemaker J, Lambalk CB. The clomiphene citrate challenge test versus the exogenous follicle-stimulating hormone ovarian reserve test as a single test for identification of low responders and hyperresponders to in vitro fertilization. Fertil Steril. 2006;85(6):1714–22.PubMed
79.
Mikhail G. Sex steroids in blood. Clin Obstet Gynaecol. 1967;10:29–39.
80.
Baird D, Fraser IS. Concentration of oestrone and oestradiol in follicular fluid and ovarian venous blood of women. Clin Endocrinol. 1975;4:259–66.
81.
McNatty KP, Baird DT, Bolton A, Chambers P, Corker CS, Mclean H. Concentration of oestrogens and androgens in human ovarian venous plasma and follicular fluid throughout the menstrual cycle. J Endocrinol. 1976;71:77–85.PubMed
82.
Hillier SG, Reichert Jr LE, Van Hall EV. Control of preovulatory follicular estrogen biosynthesis in the human ovary. J Clin Endocrinol Metab. 1981;52:847–56.PubMed
83.
Chikazawa K, Araki S, Tamada T. Morphological and endocrinological studies on follicular development during the human menstrual cycle. J Clin Endocrinol Metab. 1986;62:305–13.PubMed
84.
Huang C-C, Lien Y-R, Chen H-F, Chen M-J, Shieh C-J, Yao Y-L, Chang C-H, Chen S-U, Yang Y-S. The duration of pre-ovulatory serum progesterone elevation before hCG administration affects the outcome of IVF/ICSI cycles. Hum Reprod. 2012;27(7):2036–45.PubMed
85.
Melo MA, Meseguer M, Garrido N, Bosch E, Pellicer A, Remohí J. The significance of premature luteinization in an oocyte-donation programme. Hum Reprod. 2006;21:1503–7.PubMed
86.
Segal S, Glatstein I, McShane P, Hotamisligil S, Ezcurra D, Carson R. Premature luteinization and in vitro fertilization outcome in gonadotropin/gonadotropin-releasing hormone antagonist cycles in women with polycystic ovary syndrome. Fertil Steril. 2009;91:1755–9.PubMed
87.
Elnashar AM. Progesterone rise on the day of HCG administration (premature luteinization) in IVF: an overdue update. J Assist Reprod Genet. 2010;27:149–55.PubMedCentralPubMed
88.
Venetis CA, Kolibianakis EM, Bosdou JK, Tarlatzis BC. Progesterone elevation and probability of pregnancy after IVF: a systematic review and meta-analysis of over 60 000 cycles. Hum Reprod Update. 2013;19(5):433–57.PubMed
89.
Aflatoonian A, Oskouian H, Ahmadi S, Oskouian L. Can fresh embryo transfers be replaced by cryopreserved-thawed embryo transfers in assisted reproductive cycles? A randomized controlled trial. J Assist Reprod Genet. 2010;27:357–63.PubMedCentralPubMed
90.
Shapiro BS, Daneshmand ST, Garner FC, Aguirre M, Hudson C, Thomas S. Evidence of impaired endometrial receptivity after ovarian stimulation for in vitro fertilization: a prospective randomized trial comparing fresh and frozen–thawed embryo transfer in normal responders. Fertil Steril. 2011;96:344–8.PubMed
91.
Shapiro BS, Daneshmand ST, Garner FC, Aguirre M, Hudson C, Thomas S. Embryo cryopreservation rescues cycles with premature luteinization. Fertil Steril. 2010;93:636–41.PubMed
92.
Kolibianakis EM, Bourgain C, Papanikolaou EG, Camus M, Tournaye H, Van Steirteghem AC, Devroey P. Prolongation of follicular phase by delaying hCG administration results in a higher incidence of endometrial advancement on the day of oocyte retrieval in GnRH antagonist cycles. Hum Reprod. 2005;20(9):2453–6.PubMed
93.
Filicori M, Santoro N, Merriam GR, Crowley Jr WF. Characterization of the physiological pattern of episodic gonadotropin secretion throughout the human menstrual cycle. J Clin Endocrinol Metab. 1986;62:1136–44.PubMed
94.
Soules MR, Steiner RA, Clifton DK, Cohen NL, Aksel S, Bremner WJ. Progesterone modulation of pulsatile luteinizing hormone secretion in normal women. J Clin Endocrinol Metab. 1984;58:378–83.PubMed
95.
Nippoldt TB, Reame NE, Kelch RP, Marshall JC. The roles of estradiol and progesterone in decreasing luteinizing hormone pulse frequency in the luteal phase of the menstrual cycle. J Clin Endocrinol Metab. 1989;69:67–76.PubMed
96.
Wehrenberg WB, Wardlaw SL, Frantz AG, Ferin M. Beta-Endorphin in hypophyseal portal blood: variations throughout the menstrual cycle. Endocrinology. 1982;111:879–81.PubMed
97.
Niswender GD, Reimers TJ, Diekman MA, Nett TM. Blood flow: a mediator of ovarian function. Biol Reprod. 1976;14:64–81.PubMed
98.
Miyazaki T, Tanaka M, Miyakoshi K, Minegishi K, Kasai K, Yoshimura Y. Power and colour Doppler ultrasonography for the evaluation of thevasculature of the human corpus luteum. Hum Reprod. 1998;13:2836–41.PubMed
99.
Niswender GD, Juengel JL, Silva PJ, Rollyson MK, McIntush EW. Mechanisms controlling the function and life span of the corpus luteum. Physiol Rev. 2000;80:1–29.PubMed
100.
Jarvela¨ IY, Niinima¨ki M, Martikainen H, Ruokonen A, Tapanainen JS. Ovarian response to the human chorionic gonadotrophin stimulation test in normal ovulatory women: the impact of regressing corpus luteum. Fertil Steril. 2007;87:1122–30.PubMed
101.
Hazzard TM, Stouffer RL. Angiogenesis in ovarian follicular and luteal development. Baillieres Best Pract Res Clin Obstet Gynaecol. 2000;14:883–900.PubMed
102.
Sugino N, Kashida S, Takiguchi S, Karube A, Kato H. Expression of vascular endothelial growth factor and its receptors in the human corpus luteum during the menstrual cycle and in early pregnancy. J Clin Endocrinol Metab. 2000;85:3919–24.PubMed
103.
Wulff C, Dickson SE, Duncan WC, Fraser HM. Angiogenesis in the human corpus luteum: simulated early pregnancy by HCG treatment is associated with both angiogenesis and vessel stabilization. Hum Reprod. 2001;16:2515–24.PubMed
104.
Wulff C, Wilson H, Rudge JS, Wiegand SJ, Lunn SF, Fraser HM. Luteal angiogenesis: prevention and intervention by treatment with vascular endothelial growth factor trap(A40). J Clin Endocrinol Metab. 2001;86:3377–86.PubMed
105.
XIE HN, Hata K, Manabe A, Ozaki T, Eda Y, Takahashi K, Miyazaki K. Associations between Doppler ultrasound-derived luteal blood flow indices and function hormonal profile in spontaneous and stimulated cycles. J Med Ultrason. 2001;28:139–46.
106.
Miro F, Aspinall LJ. The onset of the initial rise in follicle-stimulating hormone during the human menstrual cycle. Hum Reprod. 2005;20:96–100.PubMed
107.
Mais V, Cetel NS, Muse KN, Quigley ME, Reid RL, Yen SSC. Hormonal dynamics during luteal-follicular transition. J Clin Endocrinol Metab. 1987;64:1109–14.PubMed
108.
Messinis IE, Koutsoyiannis D, Milingos S, Tsahalina E, Seferiadis K, Lolis D, Templeton AA. Changes in pituitary response to GnRH during the luteal-follicular transition of the human menstrual cycle. Clin Endocrinol (Oxf). 1993;38:159–63.
109.
Roseff SJ, Bangah ML, Kettel LM, Vale W, Rivier J, Burger HG, Yen SSC. Dynamic changes in circulating inhibin levels during the luteal-follicular transition of the human menstrual cycle. J Clin Endocrinol Metab. 1989;69:1033–9.PubMed
110.
Groome NP, Illingworth PJ, O’Brien M, Pai R, Rodger FE, Mather JP, McNeilly AS. Measurement of dimeric inhibin B throughout the human menstrual cycle. J Clin Endocrinol Metab. 1996;81:1401–5.PubMed
111.
Järvelä IY, Ruokonen A, Tekay A. Effect of rising hCG levels on the human corpus luteum during early pregnancy. Hum Reprod. 2008;23(12):2775–81.PubMed
112.
Verhaegen J, Gallos ID, van Mello NM, Abdel-Aziz M, Takwoingi Y, Harb H, Coomarasamy A. Accuracy of single progesterone test to predict early pregnancy outcome in women with pain or bleeding: meta-analysis of cohort studies. BMJ Br Med J. 2012;345.
113.
Condous G, Okaro E, Bourne T. The conservative management of early pregnancy complications: a review of the literature. Ultrasound Obstet Gynecol. 2003;22:420–30.PubMed
114.
Diamond MP, DeCherney AH, Baretto P, Lunenfeld B. Multiple consecutive cycles of ovulation inductions with human menopausal gonadotropins. Gynecol Endocrinol. 1989;3:237.PubMed
115.
Silverberg KM, Klein NA, Burns WN, Schenken RS, Olive DL. Consecutive versus alternating cycles of ovarian stimulation using human menopausal gonadotrophins. Hum Reprod. 1992;7:940.PubMed
116.
Akin JW, Shepard MK. The effects of baseline ovarian cysts on cycle fecundity in controlled ovarian hyperstimulation. Fertil Steril. 1993;59:453.PubMed
117.
Shoham Z, Di Carlo C, Patel A, Conway GS, Jacobs HS. Is it possible to run a successful ovulation induction program based solely on ultrasound monitoring? The importance of endometrial measurements. Fertil Steril. 1991;56:836.PubMed
118.
Dickey RP, Olar TT, Taylor SN, Curole DN, Matulich EM. Relationship of endometrial thickness and pattern to fecundity in ovulation induction cycles: effect of clomiphene citrate alone and with human menopausal gonadotropin. Fertil Steril. 1993;59:756.PubMed
119.
Reuter KL, Cohen S, Furey L, Baker S. Sonographic appearance of the endometrium and ovaries during cycles stimulated with human menopausal gonadotropin. J Reprod Med. 1996;41:509.PubMed
120.
Isaacs Jr JD, Wells CS, Williams DB, Odem RR, Gast MJ, Strickler RC. Endometrial thickness is a valid monitoring parameter in cycles of ovulation induction with menotropins alone. Fertil Steril. 1996;65:262.PubMed
121.
Klopper A, Aiman J, Besser M. Ovarian steroidogenesis resulting from treatment with menopausal gonadotropin. Eur J Obstet Gynecol Reprod Biol. 1974;4:25–30.PubMed
122.
Ozturk O, Bhattacharya S, Saridogan E, Janiaux E, Templeton A. Role of utero-ovarian vascular impedance: predictor of ongoing pregnancy in an IVF-enbryo transfer programme. Reprod Biomed Online. 2004;9:299–305.PubMed
123.
Mendez Lozano DH, Fraydman N, Levaillant JM, Fay S, Fraydman R, Fanchin R. The 3D vascular status of the follicle after hCG administration is qualitatively rather than quantitatively associated with its reproductive competence. Hum Reprod. 2007;22:1095–9.