Alexander McMillan1, 2
(1)
Department of Genitourinary Medicine, NHS Lothian, Edinburgh Royal Infirmary, Edinburgh, Uk
(2)
University of Edinburgh, Edinburgh, Uk
Alexander McMillanFormerly, Consultant Physician, part-time Senior Lecturer
Email: a.amcmm@btinternet.com
Abstract
Richard, who had been married for 2 years, attends a Sexual Health clinic. For the preceding 2 days he has noticed pain on passing urine and a yellow discharge from the tip of his penis. He has no other symptoms.
Richard, who had been married for 2 years, attends a Sexual Health clinic. For the preceding 2 days he has noticed pain on passing urine and a yellow discharge from the tip of his penis. He has no other symptoms.
7.1 How Would You Manage His Case?
A careful sexual history should be taken as detailed in Case 1.
For the past 3 months Richard has been working in Eastern Europe, and he returned home 1 week previously. He had unprotected vaginal and oral–genital intercourse with a friend, Maria, 3 days after his return to London, and he had sexual intercourse with his wife 2 days later. As they wish to start a family, he does not use condoms. He has had no other sexual contacts since he married 7 years previously.
The history is that of urethritis and the short interval between sexual intercourse and the onset of symptoms strongly suggests that he has urethral gonorrhoea. There is, however, considerable overlap between the pre-patent periods of gonorrhoea and non-gonococcal urethritis (see Case 5). Physical examination with the taking of the appropriate microbiological tests for gonococcal and chlamydial infections is essential. In addition, he should be offered testing for syphilis and HIV infection, with repeat testing 3 months later if these tests are negative.
When you examine him you note a copious yellow urethral discharge ( Fig.7.1 ), but there are no other abnormal signs.

FIGURE 7.1.
Mucopurulent urethral discharge.
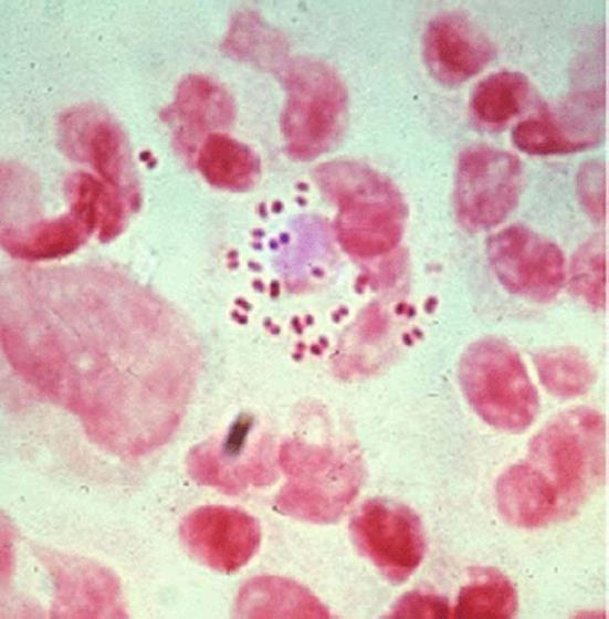
A Gram-stained smear of urethral material, taken as described in Case 5, is examined microscopically (Fig. 7.2).

FIGURE 7.2.
Gram-stained smear of urethral exudate.
7.2 What Do You See, and What Is the Most Likely Diagnosis?
There are polymorphonuclear leucocytes in this microscopical field, and within the cytoplasm of two of them are Gram-negative diplococci (kidney bean-shaped organisms). The most likely diagnosis then is gonorrhoea, but as other species of Neisseriae, for example, N. meningitidis, can colonize the genital tract and are indistinguishable microscopically, culture with the appropriate confirmation of the identity of the isolate is essential.
7.3 What Do You Do Next?
Richard is given the presumptive diagnosis of gonorrhoea and consideration is given to the choice of appropriate antimicrobial therapy. Before treatment, however, a throat swab should be taken for culture for N. gonorrhoeae. (Pharyngeal gonorrhoea is usually symptomless and it is more difficult to cure than anogenital infection. It is therefore important to identify infection at this anatomical site so that tests can be undertaken to ensure cure. Otherwise the individual may infect or re-infect a sexual partner, and, him/herself be at risk, albeit rarely, of disseminated gonococcal infection).
In choosing the antimicrobial, consideration should be given to the following:
Does he have a history of drug hypersensitivity, and if so, to what agents.
The geographical region where infection was likely to have been acquired, and whether his partner was a local inhabitant or had been visiting from another country.
In Richard’s case, he has no known drug allergies. His friend is Philippine and had traveled the week previously from the Philippines to attend a conference in London.
7.4 How Does This Knowledge Influence Your Management?
Ideally the treatment used should be based on the results of antibiotic susceptibility tests. These tests, however, take some days to complete and it would be unjustified to withhold treatment until they are available. The choice of drug therefore is dictated by knowledge of the pattern of the sensitivity to antimicrobial agents observed among the strains of the organism in the population of the place of residence of the infecting partner. In this case it has been considered likely that his infection has been acquired from his Philippine friend. In the Far East, including the Philippines, the prevalence of resistance to penicillins, tetracyclines, and the quinolones such as ciprofloxacin is high.
A course of treatment with almost any antimicrobial drug to which the organism is sensitive will cure the majority of patients with gonorrhoea. Patient adherence, however, is often unsatisfactory and tablets may be inadvisably shared with a partner. Strains of organisms with increased resistance to antimicrobials may emerge when courses of treatment prescribed are not completed. For these reasons a single large dose of antibiotic, given under supervision either orally or parenterally, is preferred as treatment of uncomplicated infection. In most cases blood and tissue concentrations of drug reach a high level and are maintained for sufficient time to eradicate the organism. Oral administration of antibiotic is preferred to intramuscular injections, which are not only painful but more liable to cause hypersensitivity reactions. Table 7.1 shows some of the more common regimens of treatment of uncomplicated gonorrhoea. With the exception of spectinomycin, these regimens are usually successful in the treatment of pharyngeal infection.
Table 7.1.
Regimens currently recommended for the treatment for uncomplicated anogenital gonorrhoea.
|
Ceftriaxone 250 mg as a single intramuscular injection OR Cefixime 400 mg as a single oral dose OR Cefotaxime 500 mg as a single intramuscular injection OR Spectinomycin 2 g as a single intramuscular injection |
Alternative regimens that can be used when the sensitivity of the infecting organism is known or when the infection has been acquired in a geographical region where the prevalence of resistance is <5% are shown in Table 7.2.
Table 7.2.
Alternative regimens for the treatment of uncomplicated gonorrhoea.
|
Amoxicillin 3 g as a single oral dose, plus probenecid 1 g as a single oral dose OR Ciprofloxacin 500 mg as a single oral dose OR Ofloxacin 400 mg as a single oral dose |
The treatment of choice in Richard’s case would be a third-generation cephalosporin, and indeed he was given a single oral dose of cefixime.
7.5 What Other Treatment Would You Consider?
About 30% of men with gonorrhoea have concomitant infection with C. trachomatis. As the cephalosporins are ineffective in the treatment of chlamydiae, concurrent therapy (azithromycin 1 g as a single oral dose) is given to Richard. (Although a first-voided specimen of urine is obtained from Richard for the detection of chlamydiae, the results are not immediately available, and empirical therapy reduces the frequency of follow-up clinic attendances).
7.6 What Else Would You Do?
Verbal and written information about gonorrhoea should be provided. Richard should be advised to avoid unprotected sexual contact until he and his partners have completed treatment. Partner notification (contact tracing) is essential in the control of sexually transmitted infections. Consideration should also be given to testing for hepatitis B infection, with the offer of vaccination against this infection if he is not already immune1 (see Case 3).
A Health Adviser within the clinic interviews Richard. Details are obtained about his recent sexual contacts, and he is encouraged to persuade both his wife and Maria to attend for screening for infection and treatment.
Richard has little difficulty in arranging to contact Maria who is still in the United Kingdom. However, he is guilt-ridden that he may have transmitted an infection to his wife, and he is fearful about the future of his marriage should she learn that he has had extramarital sex. He is therefore reluctant to ask his wife to attend the clinic, but asks about the possibility of being given antibiotics to treat his wife surreptitiously.
7.7 What Advice Do You Give, and How Would You Persuade Him to Get His Wife to Attend the Clinic?
It is not routine clinical practice in the management of gonorrhoeae to give antibiotics to a patient about whom you have no knowledge.2 For example, does she have hypersensitivity to any of the antimicrobial agents that might be prescribed? Is she pregnant? It would also be important to identify complications that often require more prolonged therapy. You therefore decline to prescribe antibiotics for his wife.
When you talk with Richard, you emphasize that confidentiality is paramount in the practice of genitourinary medicine and that the staff will not divulge any information about his infection or about his sexual contact. You do, however, make it clear that should infection be identified in his wife she has the right to know the nature of that infection. It would be entirely wrong for staff to withhold such information.
The symptomless nature of uncomplicated gonorrhoea and chlamydial infection in women is discussed, and the serious sequelae of untreated infection, including pelvic inflammatory disease and disseminated infection, are stressed.
7.8 What Is Your Next Course of Action?
It is wise to review Richard 1 week after treatment. At this time
· he should be asked if he has symptoms;
· it should be ascertained whether or not he had had any adverse reaction to the medication;
· importantly, any risk of re-infection should be identified;
· it should be confirmed that partner notification has been completed.
At the follow-up attendance, Richard is now symptomless, he has not had sexual contact, and he has informed his wife and Maria about the need to attend the clinic. Neisseria gonorrhoeae had been isolated from the urethra but not from the pharynx. The tests for the other STIs yielded negative results.
7.9 Is a Test of Cure Indicated?
As he is symptomless, as Richard is at follow-up, there is no indication to undertake a test of cure. This, however, should be undertaken if there has been a risk of re-infection, or if pharyngeal gonorrhoea had been identified (in Richard’s case, gonococcal infection was not detected in the pharynx). When a test of cure is indicated, this should be performed about a week after completion of therapy, if culture is the diagnostic test, but at least 2 weeks later if a nucleic acid amplification assay is used.
7.10 What Are the Complications of Untreated Urethral Gonorrhoea in a Man?
· Local complications include abscess formation of the
· parafrenal glands (Fig. 7.3);
· median raphe;
· paraurethral tissues; and rarely,
· bulbo-urethral (Cowper’s) glands, seminal vesicles, and prostate.
· Acute epididymitis.
· Disseminated infection (see Case 24).
· Acute conjunctivitis from auto-inoculation from the genital tract.

FIGURE 7.3.
Gonococcal parafrenal abscess.
The management of Maria and Richard’s wife is discussed in Case 8.
Footnotes
1
The prevalence of hepatitis B infection is high (>5% of the population) in South-East Asia, including the Philippines.
2
An exception may be the treatment of sexual contacts of person with chlamydial infection who can not be persuaded to attend a sexual health clinic (see Case 6).