Fundamentals
Imaging Studies
Electrophysiological Studies
Ultrasonography
Other Ancillary Studies
Fundamentals
Neurological conditions can often be correctly diagnosed from the history and physical examination alone, but ancillary tests of various kinds are nonetheless vitally important, in many patients, to confirm the diagnosis and identify the etiology precisely. In this section, we will discuss imaging studies including conventional radiographs, CT and MRI, electrophysiological tests (including EEG, EMG, electroneurography, and evoked potentials), and ultrasonography, as well as the laboratory testing of bodily fluids (blood, CSF) and the histopathological or cytological study of biopsy specimens.
Whenever an ancillary diagnostic test is proposed, the specific indication for the test should be considered carefully and critically:
Only after thorough and meticulous clinical history taking and neurological examination.
Only after the formulation of a clinical differential diagnosis, in which all of the competing diagnoses are ranked by probability.
The study that should be performed is the one whose result is most likely to be important for further diagnostic and therapeutic management,
but only if this will be of clear benefit to the patient,
and only if the risks of performing the study do not outweigh any potential benefit that its findings might bring.
Multiple studies providing the same diagnostic information should not be performed merely for repeated confirmation of the findings.
A study should not be performed if, regardless of its result, another study will have to be performed that is likely to yield at least as much information.
Only very rarely should studies be performed to confirm a diagnosis that is already practically certain.
If a genetic study is contemplated, the potential consequences should be discussed thoroughly with the patient and his or her family before the study is performed.
The costs must not be forgotten.
Because of the high expense of some diagnostic tests—in particular, certain types of imaging study and some of the newer molecular biological studies—the physician is obliged to be cost conscious and order them only when necessary. It is understood, however, that an essential test should not be left out just because of the expense.
Imaging Studies
Conventional Skeletal Radiographs
Even though newer techniques are available, conventional radiograph images can still be of diagnostic use, with or without tomographic (sectional) views. Plain radiograph views of the skull and spine are occasionally indicated for neurological diagnosis.
Skull radiographs are performed for very few purposes nowadays and are hardly ever indicated. (They cannot be used as a substitute for CT in head trauma; if a CT is indicated, but unavailable for some reason, then the patient should probably be transported to a center where a CT can be performed.) Plain films of the skull enable visualization of:
fractures (though much less well than on CT, see Fig. 4.1),
congenital malformations of the bony skull, and
various developmental disorders.
Skull radiographs are useless in the diagnostic evaluation of headache or intracranial processes.
Plain radiographs of the spine are sometimes useful for the demonstration of:
fractures,
bony tumors (which, however, are more easily seen by CT or MRI—cf. Fig. 4.2),
degenerative diseases and slippage (olisthesis) of the spine,
infections involving bone,
axial skeletal deformities,
dynamic abnormalities (abnormal mobility or instability of individual spinal segments; their demonstration requires special radiological techniques, socalled “functional studies”).
Most findings of these types, with the notable exception of dynamic spinal abnormalities, can be more readily seen in a CT or MRI scan.

Fig. 4.1 Skull fracture seen in a plain skull radiograph. The a–p (a) and p–a (b) images both reveal a fracture line medial to the lambdoid suture on the right (arrow).

Fig. 4.2 Chordoma of the T7 vertebral body in a 48-year-old woman. a The spinal cord is posteriorly displaced and compressed. b An image in the frontal plane after the administration of contrast medium shows the tumor compressing the spinal cord from both sides, c At the level of the tumor, the subarachnoid space is completely obliterated by tumor.
Computed Tomography (CT)
Technique. CT yields horizontal (axial) sectional images in which the bone and soft tissues are well seen. The images can also be digitally reconstructed in other planes if desired. The technique of CT involves a rotating roentgen ray beam that penetrates the tissue from many different directions. In older CT machines, each plane of section was scanned individually by the rotating beam; in the current generation of scanners, multiple beams travel in a continuous spiral. The beam is attenuated to different degrees by tissues of different radiodensities and its amplitude after attenuation is measured by a circular array of detectors and amplifiers. From the resulting pattern of attenuation, the radiodensity at each location in the interior of the brain can be calculated (for example, at each of 512 × 512 pixels; this requires highly specialized computer software). Finally, a visual image is created in which the radiodensity at each location in the tissue is depicted on an analogue gray scale. Different types of tissue have different radiodensities and therefore appear distinct in the CT image (Fig. 4.3). Blood vessels, too, can be visualized.

Fig. 4.3 Normal CT scan of the head. a Note the symmetrical, normal-sized frontal and occipital horns of the lateral ventricles. The cerebral cortex and deep white matter can be distinguished from each other, and the falx cerebri can be seen in both the frontal and occipital regions. A number of blood vessels can be seen. Also note the bilateral calcifications of the choroid plexus of the lateral ventricles. b Some of the blood vessels around the base of the brain (arrows) are well seen after the administration of contrast medium.
Spiral CT. As mentioned above, the latest generation of scanners uses one or more roentgen ray beams rotating in a spiral, i. e., the roentgen ray tube(s) swivels around the patient's head while the table is slowly advanced, at constant velocity. The resulting spiral data set is numerically converted into axial sections. This technique shortens the time required for each scan and thereby reduces the radiation loadto the patient. It also enables threedimensional reconstruction of bony structures, as shown in Fig. 4.4. The administration of intravenous contrast medium increases the sensitivity and specificity of CT scanning: penetration of contrast medium into brain tissue (contrast enhancement) indicates disruption of the blood–tissue barrier or the blood–CSF barrier. Blood vessels can also be selectively imaged (CT angiography).
Each CT examination is associated with a radiation load to the patient roughly equaling that of a conventional chest radiograph. CT is less expensive than MRI. The comparative indications and advantages of these two techniques are presented in Table 4.1.
Table 4.1 Comparative indications of CT and MRI of the head
|
Location and type of pathology |
CT |
MRI |
|
Brain atrophy |
+++ |
+++ |
|
Acute infarct |
++ |
+++ |
|
Older infarct |
++ |
+++ |
|
Lacunar state |
+++ |
+++ |
|
Intraparenchymal hemorrhage |
++ |
+++ |
|
Subarachnoid hemorrhage |
+++ |
+ |
|
Aneurysm |
+ |
++ |
|
Venous thrombosis |
+ |
+++ |
|
Brain tumor (cerebral hemispheres) |
++ |
+++ |
|
Pituitary tumor |
+ |
+++ |
|
Brain metastases |
+++ |
+++ |
|
Carcinomatous meningitis |
− |
++ |
|
Hydrocephalus |
+++ |
+++ |
|
Traumatic brain injury |
+++ |
++ |
|
Acute subdural or epidural hematoma |
+++ |
+ |
|
Meningoencephalitis |
++ |
+++ |
|
Abscess |
++ |
+++ |
|
Parasitic cyst(s) |
+ |
+++ |
|
Arachnoid cyst |
++ |
+++ |
|
Posterior fossa |
+ |
+++ |
|
Pathology of the white matter |
+ |
+++ |
|
Multiple sclerosis |
− |
+++ |
|
Atlanto-occipital joint |
+ |
+++ |
|
Skull lesions |
+++ |
+ |

Fig. 4.4 Three-dimensional reconstruction of the cervical spine by spiral CT (gyroscan; courtesy of PD Dr. H. Spiess, Neuroradiological Institute, Talstrasse, Zurich, Switzerland).
Magnetic Resonance Imaging (MRI)
MRI is a cross-sectional imaging technique that does not rely on the use of ionizing radiation.
Technique. The underlying physical principles of MRI are as follows: the most common atomic nuclei in all tissues of the body are hydrogen nuclei (protons). They are positively charged and possess an intrinsic magnetic property known as “spin,” which can be imagined as a rotation of the proton around its own axis. Each proton thus has its own, small magnetic field. A proton to which an external magnetic field is applied orients itself in the field like a compass needle (Fig. 4.5). When the protons in a particularly bodily tissue are oriented in this way, and then excited with a radiofrequency pulse at a particular frequency (the resonance or Larmor frequency), they will take on energy and reorient themselves opposite the field. Once the exciting pulse is switched off, the protons release the energy that they previously absorbed as they return to their original orientation. The released energy can be detected with a radio antenna or coil and is the magnetic resonance signal. The signals from different points in a slab of tissue are distinguished from one another by means of gradient fields, i.e., smaller magnetic fields overlying the main field. The MR image is a gray-scale map of the different intensities of MR signal coming from the tissue (Fig. 4.6) and can be computed in any desired plane of section. Gadolinium–DTPA can be given intravenously as a contrast medium for MRI.

Fig. 4.5 Physical principles of magnetic resonance imaging (after Edelmann and Warach). a The magnetic axes of the protons are randomly distributed over space, b If a magnetic field B0 is applied to the protons, they align themselves either parallel or antiparallel to the field. A proton aligned parallel to B0 has a lower energy than one aligned antiparallel to it; therefore, most protons have a parallel alignment at first. If radio waves of a specific frequency (the Larmor frequency) are now applied, protons can absorb the energy they need to “flip” from the lower-energy to the higher-energy state, thereby becoming antiparallel to the field B0. The flipped protons then gradually return to the parallel, lowerenergy state (relaxation). The speed of relaxation is determined by two tissue-specific constants called T1 and T2. c After the 90° excitatory pulse is delivered, the protons precess in the transverse plane. They are in phase at first, and therefore give off a maximally intense signal. Very small inhomogeneities of the magnetic field make the protons precess at slightly different speeds, resulting in “dephasing” and loss of signal intensity. This process, which takes only a few milliseconds, is called T2 relaxation. The MR signal is usually measured during T2 relaxation. The restoration of magnetization parallel to B0 is a somewhat slower process, called T1 relaxation. A number of techniques (e.g., gradient echo, spin echo) are used to generate the largest possible MR signal.


Fig. 4.6 a–h Normal MRI of the brain in 5 mm sections from the base of the brain to the vertex.
The MR signal intensity of tissue is a function of its local physical and chemical properties, which determine, for example, the length of time that the hydrogen nuclei need to return to their initial orientation (T1 and T2 relaxation times). The signal intensity is further influenced by the technical parameters of the scanner (e.g., the strength of the applied magnetic field and the frequency of the emitted impulses). The MRI signal characteristics of various normal and pathological tissues in the brain are listed in Table 4.2.
MR angiography. When the spin-echo technique is used in MRI scanning, flowing blood gives rise to a signal only if it is excited by two radio wave pulses arriving one after the other at the same location. If the blood rapidly passes through the imaging plane, the bit of blood that received the first excitatory pulse has already flowed away by the time the second pulse arrives and no signal is generated—the vessel appears dark (there is a “flow void”). However, if the blood flows slowly enough to receive both pulses in the imaging plane, the vessel appears bright. When gradient-echo sequences are used, flowing blood always appears bright, while stationary tissue appears dark. Computer algorithms can combine the individual sectional images, processing them to generate a projectional image resembling a conventional angiogram; this is a magnetic resonance angiogram (Fig. 4.7). With MR angiography, an occluded carotid artery, for example, can be diagnosed noninvasively. Contrast-enhanced MR angiography is currently being performed increasingly often. In this technique, the signal is produced not by the flowing of the blood per se, but by the contrast medium in the bloodstream.
Table 4.2 MRI signal intensities of normal and abnormal structures (after Edelmann)1
|
Tissue |
T1-weighted image |
T2-weighted image |
|
Cerebrospinal fluid |
Dark |
Very bright |
|
Brain |
||
|
White matter |
Bright |
Slightly dark |
|
Gray matter |
Slightly dark |
Slightly bright |
|
MS plaque |
Intermediate to dark |
Bright |
|
Bland infarct |
Dark |
Bright |
|
Tumor/metastasis |
Dark |
Bright |
|
Meningioma |
Intermediate |
Intermediate |
|
Abscess |
Dark |
bright |
|
Edema |
Dark |
Bright |
|
Calcification |
Intermediate or bright |
Intermediate or dark |
|
Fat |
Very bright |
Intermediate to dark |
|
Cyst |
||
|
Containing mostly water |
Dark |
Very bright |
|
Containing proteinaceous fluid |
Intermediate to bright |
Very bright |
|
Containing lipids |
Very bright |
Intermediate to dark |
|
Bone |
||
|
Cortical bone |
Very dark |
Very dark |
|
Yellow bone marrow |
||
|
Red bone marrow |
Intermediate |
Slightly dark |
|
Bone metastasis |
||
|
Lytic |
Dark |
Intermediate to bright |
|
Sclerotic |
Dark |
Dark |
|
Cartilage |
||
|
Fibrous |
Very dark |
Very dark |
|
Hyaline |
Intermediate |
Intermediate |
|
Intervertebral disk |
||
|
Normal |
Intermediate |
Bright |
|
Degenerated |
Intermediate to dark |
Dark |
|
Muscle |
Dark |
Dark |
|
Tendons and ligaments |
||
|
Normal |
Very dark |
Very dark |
|
Inflamed |
Intermediate |
Intermediate |
|
Torn |
Intermediate |
Bright |
|
Contrast enhancement with gadolinium-DTPA |
||
|
Low concentration |
Very bright |
Bright |
|
High concentration |
Intermediate to dark |
Very dark |
|
Hematoma |
||
|
Hyperacute |
Intermediate |
Intermediate to bright |
|
Acute |
Intermediate to dark |
Dark to very dark |
|
Subacute |
Bright rim, intermediate |
Bright rim, dark center, later all bright |
|
Chronic |
Dark rim, bright center, later all dark |
Dark rim, bright center, later all dark |
1 Bright = hyperintense, dark = hypointense, intermediate = isointense in comparison to brain tissue
The indications for MRI and CT scanning of the brain and spinal cord are listed and compared with each other in Table 4.1.
Angiography with Radiological Contrast Media
Diagnostic imaging of the cerebral blood vessels is indicated when a vascular stenosis, occlusion, or malformation is suspected as the cause of a neurological illness.
Methods. Conventional arteriography, also known as angiography with radiological contrast media, is indicated for certain special purposes, e. g., the preoperative visualization of intracranial aneurysms or arteriovenous malformations. This type of study involves the introduction of an intra-arterial catheter by way of the femoral a. along a guide wire all the way up to the great vessels supplying the brain. Contrast medium is injected into these vessels while fluoroscopic images are simultaneously obtained. The image changes from one second to the next, as the contrast medium distributes itself in the vascular system of the brain. All of the images are digitized and an image obtained before any contrast medium was injected is subtracted from each to generate a digital subtraction angiogram, which shows nothing but the blood vessels supplying the head and brain (both extra- and intracranial). Contrast medium can be injected into the carotid a. to display the anterior circulation (Fig. 4.8), or into the vertebral a. to display the posterior circulation (Fig. 4.9).
The blood vessels of the spinal cord can also be studied angiographically, e.g., for the diagnosis and treatment of spinal arteriovenous malformations or fistulae.
Intravenous angiography has largely been abandoned.
The potential complications of angiography include hemorrhage or dissection at the femoral puncture site, the detachment of atherosclerotic plaques from arterial walls by the tip of the catheter, and the induction of vasospasm with consequent cerebral ischemia, possibly leading to stroke. The contrast media that are used can also have side effects.

Fig.4.7 MR angiography of the intracranial vessels. a Coronal and b axial projections. The arteries in this study are normal except for hypoplasia of the main stem of the right anterior cerebral a. (arrow).

Fig. 4.8 Normal digital subtraction angiogram of the intracranial anterior circulation (carotid distribution). a Anteroposterior projection, b Lateral projection, c Venous phase, lateral projection, a and b: 1 MCA = middle cerebral a., 2 ICA = internal carotid a., 3 ACA = anterior cerebral a., 4pericallosal a. c: 1 Superior cerebral vv. (rolandic and Trolard), 2 superior sagittal sinus, 3 inferior sagittal sinus, 4 septal v., 5 thalamostriate v., 6 internal cerebral v., 7 straight sinus, 8 v. of Labbé = inferior anastomotic v., 9 basal v. of Rosenthal, 10 cavernous sinus, 11 inferior petrosal sinus, 12 lateral sinus, 13 jugular v.

Fig. 4.9 Selective angiography of the left vertebral a. a Arterial phase, anteroposterior projection, b Arterial phase, lateral projection.
1 posterior cerebral a.
2 superior cerebellar a.
3 anterior inferior cerebellar a. (AICA)
4 left vertebral a.
5 basilar a.
6 posterior inferior cerebellar a. (PICA)
The general rule, when a diagnostic study of the blood vessels is desired, is to choose the type of study that is expected to yield sufficient information for effective diagnosis and treatment while putting the patient at the lowest risk. MR angiography (Fig. 4.10) and Doppler ultrasonography (Fig. 5.61) now suffice for most purposes.
The indications of cerebral angiography are listed in Table 4.3.
Table 4.3 Indications for angiography of the intracranial vessels
|
Visualization of saccular aneurysms |
|
Visualization of arteriovenous malformations and fistulae |
|
Detailed representation of saccular aneurysms (after diagnosis by |
|
Detailed representation of arteriovenous malformations (after diagnosis by MRI, as an aid to treatment by neurosurgical or interventional neuroradiological methods) Visualization of other vascular anomalies: |
|
|
|
|
|
|
|
|

Fig. 4.10 Arteriovenous malformation on the surface of the cervical spinal cord. The malformation is visible in this T2-weighted MR image as a void in the midst of the bright CSF signal of the subarachnoid space.
Myelography and Radiculography
Technique. Radiculomyelography (the visualization of intraspinal structures with contrast medium) is generally performed after the injection of 10–15 ml of water–soluble contrast medium into the subarachnoid space via lumbar puncture—or, rarely, via suboccipital puncture. The passage of contrast medium through the subarachnoid space, including the nerve root sleeves, can then be followed on the radiologic image and any obstructions to the flow of contrast medium can be identified (e.g., spinal tumors). The nerve roots appear as filling voids within the nerve root sleeves. The bony spine is seen on the myelographic images as well and can be evaluated at the same time.
The indications for myelography and radiculography are listed inTable 4.4 together with those of other, competing types of study. CT and MRI have now replaced radiculomyelography for many of its earlier indications.
Findings. Some of the more common myelographic findings are depicted schematically in Fig. 4.11. Further myelographic images can be found elsewhere in this book: lumbar intervertebral disk herniation, Fig. 12.7, p. 212; cervical myelopathy, Fig. 7.8, p. 148; spinal cord tumors, Figs. 7.4–7.7, p. 147.
Diagnostic Techniques of Nuclear Medicine
CSF Scintigraphy/lsotope Cisternography
Technique. The subarachnoid space is entered with a fine needle in the suboccipital or lumbar region and a radiolabeled substance, e.g., human albumin labeled with 131I, is injected into the cerebrospinal fluid. The radioactive contrast medium should be detectable one to two hours later in the basal cisterns, four to six hours later over the cerebral convexity, and 24 hours later in the superior sagittal sinus. In normal individuals, it is never detected in the lateral ventricles.
The indications for this type of study are, for example, the localization of a fistula through which CSF is leaking from the subarachnoid space into the nasal cavity (where it can be detected on a nasal tampon), or the demonstration of malresorptive hydrocephalus, in which contrast medium can be seen to enter the lateral ventricles (Fig. 4.12).


Fig. 4.11 Typical findings in contrast myelography (schematic diagram).

Fig. 4.12 CSF scintigram in a patient with malresorptive hydrocephalus. After injection of iodine-131-labeled human albumin into the cisterna magna, the radioactive contrast medium refluxes into the lateral ventricles, because of slow CSF flow.

Fig. 4.13 SPECT studies. a Normal study. b SPECT in a patient with Alzheimer disease. Hypoperfusion is seen bilaterally in the parietal and temporal lobes, particularly on the right. Cf. normal finding in a. c This SPECT study in a patient with medically intractable complex partial seizures, performed after the intravenous administration of 180 MBq of 133l-iomazenil, reveals diminished binding to benzodiazepine receptors in the left temporal region.
SPECT
Technique. Single photon emission computed tomography uses either a 99m-technetium compound or 133I-am-phetamine as a tracer. The purpose of this type of study is to measure regional cerebral blood flow.
Indications. SPECT can be performed to demonstrate reduced perfusion of the brain, e.g., in stroke or in Alzheimer disease, which is associated with reduced activity in the temporoparietal region (Fig. 4.13a, b). It can also be used to detect focal pathological processes of other kinds, e.g., epileptogenic foci (Fig.4.13c).
PET
Technique. Positron emission tomography uses the short-lived positron-emitting radionuclides 11C, 14O, or 18F. This type of study can therefore only be performed near a cyclotron in which these isotopes are produced. PET can be used to produce quantitative tomographic images of regional cerebral blood flow (rCBF), cerebral blood volume (CBV), oxygen consumption (the cerebral metabolic rate for oxygen = CMRO2), and glucose consumption (CMR-Glu).
Indications. With PET, physicians can perform biochemical studies in vivo. The radioactive labeling of substances metabolized in the human brain makes it possible to measure their concentration and kinetics in specific brain areas. Thus, for example, the localization and concentration of injected DOPA can be studied in patients with suspected Parkinson disease.
Electrophysiological Studies
Fundamentals
Electrophysiological processes are an intrinsic part of all cellular activity (p. 4). Differences in electrical potential and changes in these differences over time can be amplified, displayed on an oscilloscope, and recorded on paper or in digitized form. Electroencephalography records the activity of cortical neurons and neuronal populations and electromyography that of muscle cells. The conduction of spontaneous or induced impulses in peripheral nerves is assessed by electroneurography. Repeated stimulation of the receptors of a particular sensory system (e.g., the retina, by visual stimuli) and simultaneous measurement of the resulting cortical activity enables determination of the conduction velocity within the sensory system in question (evoked potential studies). The complex electrophysiological phenomena that occur during sleep are registered by somnography (sleep studies). These electrophysiological diagnostic techniques offer a practically riskfree means of assessing the functional state of the nervous system, though some of them are rather unpleasant for the patient. Despite the absence of risk, they should only be performed for strict indications, in accordance with the general principles outlined above on p. 45.
The techniques discussed in this chapter are in widespread use and belong to the diagnostic armamentarium of any clinical neurophysiologist.
Electroencephalography (EEC)
Principle. The surface EEG registers fluctuations in electrical potential that are generated by the cerebral cortex. These represent the sum of the excitatory and inhibitory synaptic potentials.

Fig. 4.14 Placement of EEG electrodes according to the 10–20 system (a–c from Masuhr K.F., Neumann M.: Neurologie, Hippo-krates, Stuttgart 1992; d from Künkel H.: Das EEG in der neurologischen Diagnostik, in Schliack H., Hopf H.C.: Diagnostikin der Neurologie,Thieme, Stuttgart 1988). a Lateral view. The electrodes are placed at fixed percentage intervals between the nasion and the inion. b Frontal view. The preauricular points serve as reference points for the placement of the central transverse row of electrodes. C2 is the intersection of the central transverse and longitudinal rows, c Superior view, dNames of the electrodes in the 10–20 system.

Fig. 4.15 Normal EEC a Monopolar recording, b bipolar recording.
Technique. Electrodes are placed on the scalp according to the internationally standardized 10–20 system (Fig. 4.14). The potential fluctuations at each electrode are recorded, either in bipolar mode (i. e., differences in potential between adjacent electrodes) or in unipolar mode (i. e., differences in potential between each electrode and a reference electrode). Their magnitude at the scalp is 10–100 μV. They are amplified and recorded on paper in 12 parallel channels. Fluctuations in electrical potential are classified by frequency. Certain maneuvers, e. g., opening and closing the eyes, hyperventilation, and rhythmic photic stimulation, affect the EEG tracing in characteristic ways and may induce pathological waves in patients with epilepsy.
Evaluation. A mainly occipital alpha rhythm is the major component of the EEG tracing in a normal, awake individual. There is a progressive slowing of frequencies during sleep, depending on the sleep stage (depth of sleep). The following EEG changes indicate a pathological process in the brain:
General changes. Slowing of the background rhythm in the awake patient is abnormal, as is acceleration of background activity (e. g., in the form of a beta rhythm). The latter is often due to medication use.
Focal findings. Slowing of background activity (e. g., in the form of theta or delta waves) limited to a circumscribed area of the brain reflects focal cortical disfunction. Findings of this type are often due to structural lesions of the brain (e.g., tumors).
Sharp waves and spikes. These characteristically shaped abnormal potentials are seen in persons with epilepsy. During a seizure, characteristic seizure-related potentials appear (spikes with a prolonged following wave–the “spike and wave” pattern). Pathological EEG changes are not necessarily demonstrable between seizures; thus, a normal interictal EEG does not rule out epilepsy.
An example of a normal EEG is shown in Fig. 4.15 and the most important graphoelements of the EEG are shown schematically in Fig. 4.16.
Indications. The main indications for EEG are summarized in Table 4.5. EEG changes are also seen in many other processes affecting the brain. The most important pathological EEG rhythms are shown in Fig. 4.16.
Polysomnography
Technique. Polysomnography is a special application of EEG in which the EEG is recorded simultaneously with a number of other electrophysiological parameters. It is used to assess sleep and sleep disturbances. The EEG changes that normally occur during sleep are related to the progression of the individual through various sleep stages, including deep or REM sleep (REM = “rapid eye movement”). The recorded parameters include eye movements (by electro-oculography), respiratory excursion, airflow in the nostrils, muscle activity (by surface EMG), cardiac activity (by ECG), and the partial pressure of oxygen (by transcutaneous pulse oximetry) (Fig. 4.17). These are displayed together with the EEG in a polygraph recording (polysomnogram).
Table 4.5 The main indications for electroencephalography
|
Confirmation of the diagnosis of epilepsy |
|
Determination of the type of epilepsy that is present |
|
Brief, episodic impairment of consciousness of unknown etiology |
|
Longer-lasting disturbances of consciousness, delirium |
|
Metabolic disturbances |
|
Creutzfeldt-Jakob disease |
|
Sleep studies (e.g., in suspected narcolepsy) |

Fig. 4.16 The most important graphoelements in EEC: designations, morphology, and definitions (from Schliack H., Hopf H.C.: Diagnostik in der Neurologie, Thieme, Stuttgart 1988).
Indications. The most important indication for a sleep study is a clinical suspicion of sleep apnea syndrome (p. 171) on the basis of a characteristic history obtained from the patient or bed partner, together with related physical findings and a low partial pressure of oxygen measured during sleep by pulse oximetry. The typical polysomnographic finding in such patients is shown in Fig. 4.18. Polysomnography is also indicated for the diagnosis of narcolepsy, as well as for the assessment of excessive fatigue and daytime somnolence.
Evoked potentials
General principles. Evoked potentials are used to assess the integrity of individual functional systems (visual, auditory, somatosensory, or motor). The system under study is activated with a repeatedly delivered stimulus. The resulting fluctuations of electrical potential in the brain can be detected by summation of the potentials that are recorded when the excitatory stimulus has been delivered a large number of times. Evoked potentials provide evidence of whether impulse conduction in the system in question is intact from the site of stimulation all the way to the cerebral cortex. Sometimes a partial or total conduction block can be localized precisely between two relay stations for neural transmission within a particular system. In addition, evoked potentials may reveal subclinical lesions. The most important types of evoked potential for clinical practice are outlined in the following paragraphs.
Visual evoked potentials (VEP). The patient fixates on a video screen displaying a checkerboard pattern in which the white and black fields are regularly and periodically inverted, while electrical potentials are recorded through a needle electrode in the scalp at the occiput. Evoked potentials are obtained by summation; the largest fluctuation is a positive wave that appears 100 milliseconds after the stimulus. Delay of this wave is found early in the course of optic neuritis and persists thereafter (Fig. 4.19).
Auditory evoked potentials (AEP). A click stimulus delivered periodically to one ear induces the generation of neural impulses that travel along the auditory nerve to the brainstem, the thalamus, and finally the cerebral cortex. The electrophysiological response is measured from the vertex of the head in relation to a reference electrode on the earlobe. The normal AEP contains five different waves, each of which is generated by a different structure along the chain of impulse transmission.
Fig. 4.17 Recording scheme for polysomnography.

Fig. 4.18 Hypnogram. Polysomnography in a patient with REM-sleep-associated obstructive sleep apnea syndrome. 1 EEG frequency analysis. 2 Rapid eye movement (REM) sleep. 3 Submental muscle activity measured through a surface electrode. 4 Sleep stages. AWK = awake, REM = REM sleep, 1–4 = sleep stages 1–4. 5 Time axis. 6 Nasal/oral air flow and count (cnt) of apneic and hypopneic episodes per minute. 7 Transcutaneously measured oxygen saturation (upper curve) and frequency of desaturations by 4% or more (lower curve). 8 ECG (bpm = beats per minute) and number of tachycardias, bradycardias, or extrasystoles. 9 Surface EMG from the masseter m. 10 Surface EMG from the right tibialis m. 11 Surface EMG from the left tibialis m. 12 Body position.


Fig. 4.19 Visual evoked potentials (VEP). A 38-year-old woman with multiple sclerosis and right optic neuritis. The cortical response on the right side is significantly delayed compared to the normal left side.
Somatosensory evoked potentials (SSEP). When a repetitive electrical stimulus is applied to the skin, impulses are generated at the terminal sensory branch of a peripheral nerve and conducted centrally via the peripheral nerve, nerve root, posterior columns/spinothalamic tract, medial lemniscus, and thalamocortical connections. A lesion at any point along this pathway can alter the evoked potentials, which are recorded first over Erb point (for the median n.) or the lumbar spine (for the tibial n.), and then through a scalp electrode in the parietal region on the side opposite the stimulation. An example of delayed conduction in the central somatosensory pathway is shown in Fig. 4.20.
Motor evoked potentials (MEP). In this technique, a rapidly alternating magnetic field produced by a ringshaped magnetic impulse generator induces a stimulating electrical current in the motor cortex. Action potentials are then generated in the cortex and travel down the pyramidal pathway to the muscles. Surface electrodes placed on an arm or leg muscle are used to record the summed motor potentials. These potentials are larger and easier to record when the subject lightly contracts the corresponding muscle beforehand. An abnormality of the MEP implies a lesion in the peripheral or central portion of the motor pathway (see Fig. 4.21). Epilepsy, cardiac pacemakers, and ferromagnetic intracranial implants are contraindications for transcranial magnetic stimulation for any purpose, including MEP.
Electromyography
Principle. Electrical activity is recorded from a muscle through bipolar needle electrodes, first at rest, and then with light and maximal voluntary muscle contraction. The recorded potentials are displayed visually on an oscilloscope and also converted into audible signals from a loudspeaker. When the muscle is lightly contracted, the potentials arising from individual motor units can be observed. (A motor unit is the set of muscle fibers innervated by a single motor anterior horn cell by way of its multiple axon collaterals.) When the muscle is strongly or maximally contracted, a large number of motor unit potentials come together to form an interference pattern.
Insertional activity and spontaneous activity. The resting muscle is normally electrically silent; when the needle is inserted, there are normally only a few positive sharp waves or fibrillations. Pathological spontaneous activity of a muscle is manifested as prolonged insertional activity as well as pathological fibrillation potentials and positive sharp waves (Fig. 4.22). This spontaneous activity reflects denervation of the muscle. Fasciculations and complex repetitive discharges are further forms of pathological spontaneous activity, as are myotonic repetitive discharges.

Fig. 4.20 Somatosensory evoked potentials of the tibial n. A 44-year-old woman with multiple sclerosis. Normal lumbar N22 potential on both sides. The cortical P40 potential appears at a normal latency of 29.2 ms on the right, but is significantly delayed on the left, with a latency of 58.4 ms, and also abnormally small. These findings indicate impaired conduction in the spinothalamic pathways.

Fig. 4.21 Motor evoked potentials in a 61-year-old man with cervical syringomyelia. Recording of motor potentials from the abductor digiti minimi m. after electrical stimulation of the ulnar n. at the wrist, the forearm, and the C8 root (tracings a–c). After cortical stimulation (d), the recorded motor evoked potential is reduced in amplitude and somewhat delayed. The calculated central motor conduction time (CMCT) of 9.2 ms is prolonged in comparison to the normal value of 8.7 ms. These findings suggest impaired conduction in the pyramidal tract in the cervical spinal cord.

Fig. 4.22 Different types of potentials in an electromyogram. a Normal motor unit potential. b Fibrillation potential in denervation. c Positive sharp waves in denervation. d Fragmented polyphasic low-amplitude potential, as seen in reinnervation. e Abnormally prolonged and high-amplitude motor unit potential (“giant potential”) in chronic anterior horn cell disease.
Electrical activity with voluntary contraction. Muscle action potentials are observed when the muscle is voluntarily contracted. The amplitude and duration of individual motor unit potentials are proportional to the size of the motor unit, i. e., the number of muscle fibers it contains. The more strongly a muscle is contracted, the more motor units will be recruited. When a large number of motor units are active, their potentials can no longer be seen individually. Instead, they summate to form a (complete) interference pattern (Fig. 4.23a).
The size and shape of electromyographic potentials are altered by many different types of neuromuscular disease. Myopathy is characterized by a diffuse loss of individual muscle fibers throughout the affected muscle(s). Each motor unit potential is therefore of lower amplitude and shorter duration (Fig. 4.23d). In principle, all of the motor units are still present, but they contain fewer muscle fibers than before; thus, on maximal voluntary contraction of the muscle, the interference pattern is full, but of lower than normal amplitude. In contrast, in a neuropathic process (chronic denervation of a muscle), the motor units are larger than normal because of repeated denervation and reinnervation. When the nerve fiber to a particular motor unit degenerates, axon collaterals sprouting from the nerves of adjacent motor units take over the muscle fibers of the denervated unit, so that the surviving motor units actually contain more muscle fibers than before. Their motor unit potentials are usually polyphasic and of increased amplitude and duration (Fig. 4.23b). Because of the reduced number of motor units, maximal voluntary contraction of a denervated muscle yields a markedly attenuated interference pattern, in which the individual action potentials of the remaining motor units appear as large oscillations.

Fig. 4.23 Various EMG findings. a Normal electromyogram with full interference pattern. b Individual oscillations in the reinnervation stage after a peripheral nerve injury. c Total denervation. Fibrillation potentials and positive sharp waves are seen. d Myopathy. Despite muscle weakness, there is a complete interference pattern. The individual potentials making up the interference pattern are of low amplitude; some of them are polyphasic and fragmented.
Electrical activity at the motor end plate. Abnormalities of the motor end plate affecting neuromuscular transmission are also revealed by EMG. On repetitive electrical stimulation of a peripheral motor nerve, the recorded muscle action potential becomes smaller with each stimulus (decrement phenomenon, Fig. 4.12, p. 53).
Indications. In disorders affecting muscle, EMG can be used to determine whether the underlying pathological process is located in the muscle itself (myopathic process), in the nerve innervating it (neuropathic process), or at the neuromuscular junction. It can also be used to grade the severity of muscle denervation and the extent of reinnervation. In combination with electroneurography (see below), EMG is a very important type of ancillary study for the diagnosis of neuromuscular diseases. The indications for these two methods are listed side by side in Table 4.6.
Electroneurography
Principle. Electroneurography is a method of measuring the motor and sensory conduction velocities of peripheral nerves. The result of measurement is always the conduction velocity of the most rapidly conducting fibers in the nerve being studied. The technique involves stimulating and recording electrodes placed at some distance from each other along the course of a peripheral nerve. The measured conduction velocity is then the temporal interval between the delivery of the stimulus and the beginning of the recorded response, divided by the distance between the electrodes. Normal values in the arms are 50–70 m/s, in the legs 40–60 m/s. The amplitude and duration of the recorded response are a function of the number of functioning axons and the degree of dispersion of their conduction velocities. A case illustrating the usefulness of ENG is presented in Fig. 4.24 (localized compression of the common peroneal n. at the head of the fibula).

F wave. When a peripheral motor nerve is stimulated, the resulting impulses travel not only orthodromically (in the normal direction of transmission, i. e., distally, toward the muscle), but also antidromically (toward the spinal cord). The antidromic impulse reaches the ganglion cells of the anterior horn and is then sent back to the periphery in the manner of an echo. This echo is the so-called “F wave.” Thus, twoorthodromic impulse waves go down the peripheral nerve, the original wave due to the stimulus and the F wave; compared with the original wave, the F wave is later and smaller in amplitude. Sometimes it is not seen at all. If the F wave is delayed by a longer interval than usual, this may indicate slowed conduction in the plexus or nerve roots.
Other Electrophysiological Studies
Other types of electrophysiological study are used less commonly in neurological diagnosis. We will only briefly mention a few of them here.

Fig. 4.24 Electroneurography of the right common peroneal n. in pressure palsy at the fibular head. The farther the stimulating electrode is from the recording electrode (in the peroneal muscles), the longer the latency until the summed muscle potential appears. When the stimulus is delivered in the popliteal fossa, the amplitude of the summed potential collapses. This implies that conduction is blocked in all axons between the popliteal fossa and the stimulation site distal to the fibular head. The finding is typical in pressure palsy.
Oculography is a study of the electrical potentials accompanying eye movements. It can be used for objective documentation of gaze saccades and pathological eye movements. When oculography is used to study vestibular disturbances, it is called electronystagmography. Retinography is mainly used to determine whether the lesion causing a visual disturbance is in the retina or in the optic nerve.
Ultrasonography
There are two main types of ultrasound study: Doppler sonography and duplex sonography.
Principle. The 19th-century Austrian physicist Christian Doppler discovered that the frequency of a wave changes when its source and receiver are in relative motion. Thus, when ultrasound pulses are directed at erythrocytes in flowing blood, the ultrasonic waves reflected back from the erythrocytes are altered in frequency to a degree that depends on the flow velocity. In fact, the Doppler shift is directly proportional to the flow velocity.
Technique. The ultrasound probe contains both a transmitter and a receiver of ultrasonic waves. The angle of insonation should be as steep as possible to minimize angle-dependent variations in the measured values and thus keep the results as consistent as possible from study to study. There are two types of Doppler system: continuouswave (CW) systems detect all moving wave reflectors within the cone of insonation, while pulsedwave (PW) systems detect only those at a particular depth, which can be chosen by the examiner. In CW Doppler studies, the signals of different vessels may overlie one another.
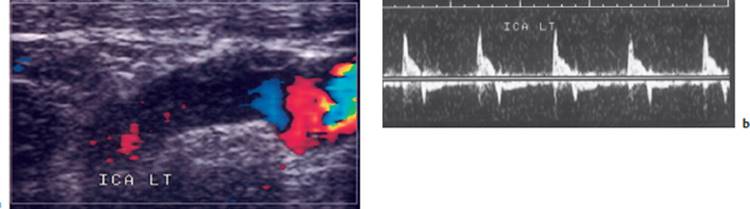
The Doppler signal can be represented graphically as a frequency spectrum that changes over time (Fig. 4.25). It can also be transduced into an audible signal. Ultrasound waves are reflected to varying extents by different types of tissue with different acoustic resistance; thus, the profile of reflected echo intensities can be used to construct a two-dimensional sectional image of the insonated tissue. The so-called B image (“brightness mode”) or echotomogramis a grayscale representation of the tissue (Fig. 4.25a). The combination of Doppler flow measurement with B imaging is called duplex ultrasonography. The velocity of blood flow can be color-coded and displayed as an overlay on the B image; this is called color duplex ultrasonography (Fig. 4.26).

Fig. 4.25 Doppler study of a normal carotid bifurcation. a Two-dimensional sectional image (B image) of the carotid bifurcation. b–c Doppler frequency-time spectra in the common carotid (b), internal carotid (c), and external carotid arteries (d).

Fig. 4.26 Color-coded duplex ultrasonography of carotid stenosis. a Duplex ultrasonography of the carotid bifurcation. Rapid flow is coded as bright, slow flow as dark. Flow is abnormally rapid in the internal carotid a. (ICA) because the lumen is narrowed. Atherosclerosis can be seen in the thickened vessel wall (arrow). b Flow spectrum of the internal carotid a. showing elevated maximal systolic and end-diastolic velocities (from the laboratory of the Neurological and Neurosurgical Clinics, University of Berne, Switzerland). ECA = external carotid a., CCA = common carotid a.

Fig. 4.27 Color-coded duplex ultrasonography of an occlusion of the left internal carotid a. 3 cm above the carotid bifurcation. a Blood flow can be seen up to the bifurcation. In the internal carotid a. (ICALT), there is only minimal movement of the blood column. b Doppler ultrasonography reveals no more than a brief forward flow in early systole at greatly reduced maximal speed; backward flow is already seen in early diastole.

Fig. 4.27 c MR angiography reveals occlusion of the internal carotid artery.
Indications. The velocity and flow profile (laminar or turbulent) of the blood flowing within a particular vessel depend, among other things, on the vessel's caliber and on the nature of its wall. Ultrasound studies aid in the detection of vascular stenosis and occlusion, vessel wall irregularities, abnormalities of the speed and direction of blood flow, and turbulent flow. Insonation of the extra- and intracranial vessels (e.g., of the middle cerebral a. through the thin bone of the “temporal window,” or of the basilar a. through the foramen magnum) yields an informative picture of the current state of blood flow in the brain (Fig. 4.27). This diagnostic technique is inexpensive, non-invasive, and free of risk.
Other Ancillary Studies
Cerebrospinal Fluid Studies
Technique. Cerebrospinal fluid is usually obtained by lumbar puncture (LP) below the level of the conus medullaris, i. e., at L4–5 (occasionally at L3–4 or L5–S1). Suboccipital puncture is fraught with a much higher rate of complications and is performed only when meningitis is suspected and no fluid can be obtained by lumbar puncture (“dry tap”), or when LP is contraindicated because of a known purulent process in the lumbar region. LP is performed with sterile technique on a patient in the lateral decubitus position (or, occasionally, sitting up). The recommended positioning is shown in Fig. 4.28. The physician performing the puncture measures the CSF pressure with a manometer and visually assesses the color of the fluid. The laboratory tests to be performed include cell count, glucose and protein content, and others (esp. cultures), depending on the clinical situation. The most important CSF tests are listed in Table 4.7.
Normal CSF values are listed inTable 4.8 together with the corresponding serum values.
Indications. Lumbar puncture is useful in the diagnosis of diseases affecting the meninges, the brain and spinal cord, and the nerve roots, which can manifest themselves with changes in the biochemical or cellular properties of the cerebrospinal fluid. The most important abnormal CSF findings are listed in Table 4.9.

Fig. 4.28 Patient position for lumbar puncture.
Table 4.7 Clinically relevant CSF studies
|
Routinely performed tests |
|
pressure |
|
color (turbidity? xanthochromia? bloody tinge?) |
|
cell count and differential |
|
protein |
|
glucose |
|
Tests to be performed under special circumstances |
|
immunoglobulins |
|
IgG-albumin index |
|
oligoclonal bands |
|
measurement of specific IgG, IgA, and IgM against Borrelia, parasites, and viruses |
|
cultures: bacterial, fungal, viral, mycobacterial |
|
gram and Ziehl-Neelsen staining, touch prep |
|
VDRL and FTA tests for syphilis |
|
cytological examination for malignant cells |
|
DNA amplification (polymerase chain reaction) in suspected |
|
tuberculosis or viral diseases |
|
cystatin C in amyloid angiopathy |
|
antineuronal antibodies in suspected paraneoplastic syndromes |
Contraindications. Intracranial hypertension is the most important contraindication to lumbar puncture. Before any LP is performed, the patient's optic discs should be inspected with an ophthalmoscope to rule out papilledema. Nor should an LP ever be performed if the platelet count is below 5000/μl. It should only rarely be performed, for strict indications and with extreme caution, in anticoagulated patients or when the platelet count is below 20 000/μl.
Complications of lumbar puncture are rare overall. If the patient harbors an intracranial mass causing elevated intracranial pressure, CSF removal may be followed by herniation of parts of the brain into the tentorial notch or the foramen magnum, potentially resulting in death. If an intraspinal mass is present, preexisting paraparesis may worsen after LP. After the procedure is performed, persistent leakage of CSF out of the subarachnoid space through the puncture hole(s) in the dura mater may result in symptomatic intracranial hypotension with orthostatic headache. Other possible complications include iatrogenic infection and epidural hematoma, potentially causing cauda equina syndrome.
Table 4.8 Normal CSF values and corresponding serum values in adults1
|
CSF |
Serum |
|
|
Pressure |
5–18 cm H2O |
|
|
Volume |
100–160 ml |
|
|
Osmolarity |
292–297 mosm/l |
285–295 mosm/l |
|
Electrolytes |
||
|
Na |
137–145 mmol/l |
136–145 mmol/l |
|
K |
2.7–3.9 mmol/l |
3.5–5.0 mmol/l |
|
Ca |
1.0–1.5 mmol/l |
2.2–2.6 mmol/l |
|
Cl |
116–122 mmol/l |
98–106 mmol/l |
|
pH |
7.31–7.34 |
7.38–7.44 |
|
Glucose |
2.2–3.9 mmol/l |
4.2–6.4 mmol/l |
|
CSF/serum glucose |
>0.5–0.6 |
|
|
ratio1 |
||
|
Lactate |
1–2 mmol/l |
0.6–1.7 mmol/l |
|
Total protein |
0.2–0.5 g/l |
55–80 g/l |
|
Albumin |
56–75% |
50–60% |
|
IgG |
0.010–0.014g/l |
8–15 g/l |
|
IgG index2 |
<0.65 |
|
|
Leukocytes |
< 4/μ |
|
|
Lymphocytes |
60–70% |
1 Because there is normally an equilibrium between CSF and serum, it is advisable to measure CSF and serum values at the same time.
2 IgG index = [CSF IgG (mg/l) × serum albumin (g/l)]/[serum IgG(mg/l) × CSF albumin (mg/l)]
Tissue Biopsies
Muscle biopsy is justified in patients with neuromuscular disease when the clinical history, physical examination, and electromyographic, chemical, and/or genetic studies fail to yield a sufficiently precise diagnosis. The biopsy should be performed under local anesthesia in a muscle that is known to be affected by the disease process, but is not so atrophic as to reduce the chance of a diagnosis. In many cases, a needle biopsy alone suffices. Depending on the clinical situation, histochemical and/or electron-microscopic study of the tissue specimen may be indicated in addition to conventional histological staining.
Nerve biopsy is performed under local anesthesia. A relatively unimportant sensory nerve is chosen for biopsy, usually the sural n. The ensuing sensory deficit on the lateral edge of the foot is generally an acceptable price to pay for a firm diagnosis, but the patient must be informed of it before granting his or her consent to the procedure. Part of the specimen is used to make a teased preparation in which nerve fibers and their myelin sheaths can be seen over a certain length of nerve. More importantly, very thin cross-sections of the nerve are prepared, which can be microscopically examined for various abnormalities, including disordered myelination or inflammatory changes of the vasa nervorum.
Brain biopsy is performed by a neurosurgeon, usually with stereotactic technique, for very strict indications. Its purpose is the histological diagnosis of (potentially treatable) structural alterations of the brain whose presence has been revealed by imaging studies, but whose precise nature is nonetheless unclear. Examples are brain tumors and inflammatory processes.

Perimetry
Perimetry is used to detect visual field defects (p. 181).
Goldmann perimetry is a dynamic method in which moving spots of light of variable size and intensity are presented in the patient's visual field, starting in the periphery and moving toward the center. The findings associated with different types of visual field defect are illustrated in Fig. 3.6, p. 19.
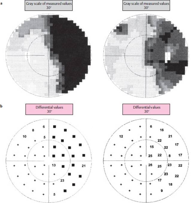
Static computed perimetry is performed with the so-called Octopus apparatus. The brightness of a stationary light source is increased until the patient can see it. The measured brightness thresholds at all tested points in the visual field can be displayed visually as raw numbers, on a gray scale, or as a pseudo-three-dimensional visual field “landscape.” Illustrative findings in a case of homonymous quadrantanopsia are shown in Fig. 4.29.

Fig. 4.29 Automatic (Octopus) perimetry in right homonymous hemianopsia. a Gray-scale representation of the visual field defect. b Differential value chart representing the loss of light sensitivity at each point in the visual field, measured in decibels (dB), as compared to the average local sensitivity in a normal control population. There is no measurable loss at the points marked with solid black squares. See also (Fig. 3.6)