Fundamentals
Other Demyelinating Diseases Multiple Sclerosis of Unknown Pathogenesis
Fundamentals
The common feature of all diseases affecting myelin is a pathological abnormality or total destruction of myelin sheaths, primarily in the central nervous system. Deficient myelin formation is caused by congenital enzyme defects in a small subgroup of these diseases (the leukodystrophies, p. 121), but, in most of them, myelin is lost later in life, for reasons that are currently not well understood. Immunological (autoimmune) processes and metabolic disturbances appear to play important roles. The most common demyelinating disease is multiple sclerosis.
The myelin sheath enables the axon to conduct impulses more rapidly (see p. 4); thus, loss of myelin lowers conduction velocity, producing clinical manifestations of neuronal dysfunction. The myelination of the central nervous system reaches its final extent in the first few years of postnatal life. Each layer of a myelin sheath is 7.5 microns thick and is composed of two lipoid and two proteinaceous monomolecular layers. In the genetic myelinopathies, the primary development of myelin is deficient; in the metabolic and autoimmune demyelinating diseases, originally intact myelin is attacked and destroyed. The most common demyelinating disease, multiple sclerosis, is described in further detail below.
Myelin
Most axons are surrounded by a myelin sheath. The myelin sheaths of the central nervous system are composed of the cell membrane of oligodendroglia, which is wrapped around the axon to form a multilaminar structure, as seen in the illustration on p. 2.
Multiple Sclerosis
Multiple sclerosis (MS) is a chronic disease of the central nervous system. It usually presents with episodic neurological deficits, which, later on in the course of the disease, tend not to reverse fully, leaving increasingly severe residual deficits whose summation causes progressively severe disability. The clinical manifestations are very diverse because widely separated areas of the CNS are affected and the temporal course of the disease is variable.
“Disseminated encephalomyelitis” is a synonym for multiple sclerosis. In French, the disease is called “sclérose en plaques,” as it was named by Charcot; related terms are used in the other Romance languages.
Epidemiology. The incidence in temperate zones is four to six new cases per 100 000 persons per year and the prevalence is greater than 100 per 100 000. MS is particularly common in northern Europe, Switzerland, Russia, the northern U.S.A., southern Canada, New Zealand, and southwest Australia. Women are affected about four times as commonly as men. The initial attack usually occurs in the second or third decade, only rarely in a child or older adult.
After ischemic stroke, multiple sclerosis ranks second among all neurological diseases as a cause of chronic disability.
Pathological anatomy. There are disseminated foci of demyelination in the central nervous system (brain and spinal cord), sometimes with destruction of axons as well. Local, reactive gliosis is found at the sites of older foci. Thus, “sclerosis” develops at “multiple” locations, giving the disease its English name.
Pathogenesis. The pathogenetic mechanisms underlying MS are still poorly understood. The most promising hypothesis at present is that an infection of neurons and glia occurs in childhood, after which the genome of the pathogenic organism remains in the nervous system. The pathogenic genome is then reactivated on multiple occasions through influences of various kinds; this reactivation, in turn, impairs the functioning of the oligodendroglia, producing episodes of demyelination. According to this hypothesis, CNS demyelination and the generation of antibodies against myelin are merely secondary consequences of the disease process, rather than the cause of MS. An effect of the primary infection outside the central nervous system might explain the lymphocyte abnormalities that are also observed in MS.
Another hypothesis is that an infection induces a (cell-mediated) autoimmune reaction against normal or virally infected components of the nervous system.
In any case, multiple sclerosis clearly involves a reactive process that can be set in motion by more than one precipitating factor. This explains why foci can arise in such diverse locations in the central nervous system and why the temporal course of the disease is so variable.
Many different exogenous factors have been proposed as putative causes of MS, but no clear causal relationship has yet been demonstrated for any of them.
Course. The temporal course of multiple sclerosis Fig. 8.1 can be characterized:
by the episodic appearance of new neurological deficits (relapsing type), which can then:
remit completely or almost completely,
leave residual deficits of greater or lesser severity, or
(rarely) fail to regress at all;
by episodic worsening at first, followed by steady progression (secondary progressive type);
by steady progression from the beginning (primary progressive type), as is most commonly seen in older patients with paraparesis; or
by steady progression with interspersed episodes of acute worsening (progressive relapsing type).
Clinical manifestations and neurological findings. The general clinical features of MS are summarized in Table. 8.1. The neurological deficits present in each individual patient depend on the number and location of the demyelinating foci. The following are among the more characteristic disease manifestations and physical findings:
Retrobulbar neuritis is usually unilateral. Over the course of a few days, the patient develops an impairment of color vision, followed by a marked impairment of visual acuity (finger counting is barely possible). Orbital pain is often present and the patient may see flashes of light on movement of the globe. These problems begin to improve in one or two weeks and usually resolve completely. The temporal side of the optic disc becomes pale three or four weeks after the onset of symptoms. Retrobulbar neuritis rarely affects both eyes, either at the same time or in rapid succession. Recurrences are rare. If retrobulbar neuritis is an isolated event in a patient otherwise free of neurological disease, the probability that other clinical signs of multiple sclerosis will appear in the future is roughly 50%. This probability is greater if pathological changes are seen in the CSF (see below) or on an MRI scan (cf. Fig. 8.3, p. 159).
Disturbances of ocular motility. Diplopia, particularly due to abducens palsy, is a common early symptom but nearly always resolves spontaneously. Later, typical findings are nystagmus (often dissociated) and internuclear ophthalmoplegia (p. 188), often without any subjective correlate. Internuclear ophthalmoplegia in a young patient is relatively specific for multiple sclerosis.

Fig. 8.1 The temporal course of multiple sclerosis: four major types.
Table 8.1 Clinical features of multiple sclerosis
|
Symptoms and signs |
Remarks |
|
Repeated attacks |
– separated in time after each attack |
|
– either complete recovery or residual deficit |
|
|
Diverse sites in CNS affected |
– multiple, distinct sites may be involved in a single attack |
|
– different sites are usually involved in different attacks |
|
|
– rarely, successive attacks may have similar clinical manifestations (particularly when the lesions are in the spinal cord) |
|
|
Progressive neurological impairment |
– cumulative progression, with worse residual deficits after each attack |
|
– steady progression independent of attacks (particularly in late-onset disease) |
Lhermitte sign (positive neck-flexion sign). Active or passive forward flexion of the neck induces an “electric” paresthesia running down the spine and/or into the limbs.
Retrobulbar neuritis, disturbances of ocular motility, sensory deficits, and Lhermitte sign are common early findings in multiple sclerosis.
Pyramidal tract signs and exaggerated intrinsic muscle reflexes may be present early in the course of the disease. The abdominal cutaneous reflexes are absent. Later on, in almost all patients, spastic paraparesis or quadriparesisdevelops.
Cerebellar signs are practically always present in advanced MS, including impaired coordination, ataxia, and, frequently, a very characteristic intention tremor (Fig. 3.20 [p. 28], Fig. 8.2).
Gait impairment often becomes severe early in the course of the disease. Typically, the combination of spastic paraparesis and ataxia results in a spastic–ataxic, uneven, uncoordinated, and stiff gait (p. 14, Fig. 3.2).
Sensory deficits are found early in the course of the disease in about half of all patients. Vibration sense in the lower limbs is nearly always impaired. Pain is not uncommon; sometimes there is even a dissociated sensory deficit
Bladder dysfunction is present in about three-quarters of all patients (generally in association with spasticity); disturbances of defecation are much rarer. Bladder dysfunction is sometimes an early manifestation of the disease. Urge incontinence is highly characteristic, i.e., a sudden, almost uncontrollable need to urinate, perhaps leading to “accidents” and bedwetting. Patients often do not mention bladder dysfunction until they are directly asked about it.
phenomena of various types are not uncommon. It is still debated whether MS causes epileptic seizures. About 1.5 % of persons with MS suffer from trigeminal neuralgia, which may alternate from one side to the other. Acute dizzy spells can occur, as can paroxysmal dystonia, dysarthria, or ataxia. The characteristic so-called tonic brainstem seizures consist of paroxysmal, often painful, tonic stiffness of the muscles on one side of the body. The lower limb is hyperextended, the upper limb flexed (Wernicke–Mann posture). The patient remains fully conscious. Tonic brainstem seizures are often provoked by a change of position; they last less than one minute and are followed by a refractory period of a half hour or more in which no further seizures can occur. Tonic brainstem seizures and most other MS-associated ictal phenomena respond to treatment with carbamazepine or other antiepileptic drugs.
Mental disturbances are not severe early in the course of the disease. Later on, however, many patients develop psycho-organic changes and psychoreactive and depressive disturbances. Psychosis is very rare.
The typical clinical findings in multiple sclerosis are shown schematically in Fig. 8.2.
Diagnostic evaluation. The typical physical findings(see above) reveal the involvement of multiple areas of the nervous system by lesions separated in space and time. The following ancillary tests are also useful:
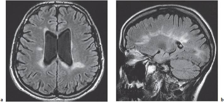
Neuroimaging studies, particularly MRI, typically reveal abnormal white matter signal in the periventricular regions and the corpus callosum. Active MS plaques take up contrast medium Fig. 8.3.
Cerebrospinal fluid examination reveals a mild elevation of the total protein concentration, mild lymphocytic and plasma cell pleocytosis, and, in 90% of patients, oligoclonal banding (demonstrable by isoelectric focusing, Fig. 8.4).
Electrophysiological testing: delayed latency of the visual evoked potentials is typical.
Treatment. Individual acute episodes (relapses) are treated with high-dose steroids, e.g., methylprednisolone 500 mg i. v. per day for five days, followed by oral prednisone, initially 100mg per day and then in tapering doses, for two weeks. Patients with frequent relapses are treated over the long term with the immune modulator β-interferon, at a dose of (for example) 8 × 106 IU s.c. q.i.d. for three or four days every week. This lowers the number of relapses per year by about 30%. Copolymer-1, a synthetic mixture of amino acids, has a comparable effect when injected subcutaneously every day. β-Interferon is also thought to be an effective treatment for the secondary progressive forms of MS. In general, these drugs can slow the progression of the disease, but they cannot stop it. Thus, general treatment measuresremain very important: patient education, symptomatic treatments (antispasmodic drugs, treatment of bladder infections, etc.), psychological and rehabilitative treatment (especially physical therapy).

Fig. 8.2 Common physical findings in multiple sclerosis (diagram).

Fig. 8.3 MRI of the brain in multiple sclerosis. a Asymmetrically scattered foci of abnormal signal, affecting only the white matter, are seen in the periventricular regions and at the anterior and posterior ends of the lateral ventricles. There is mild internal hydrocephalus. b There are typical signal abnormalities in the corpus callosum, extending into the white matter of the hemispheres.
Differential diagnosis. Generally speaking, when a patient presents with an isolated neurological deficit that would be typical of MS, the differential diagnosis must include all other conditions that could produce that deficit. Even recurrent and relapsing neurological deficits referable to more than one part of the nervous system (the typical clinical picture of MS) do not by themselves establish the diagnosis. The most important elements of the differential diagnosis are listed in Table. 8.2.
Prognosis. Patient survival 10 years after the onset of MS is nearly the same as that of a normal control population, and the total life span is reduced by no more than a few years. Advanced age at the onset of disease confers a worse prognosis, but only the disease takes a primary or secondary progressive course. Further unfavorable prognostic factors include cerebellar and brainstem signs, rapid initial progression, and a brief interval between the onset of disease and the first relapse. The patient's condition five years after onset is closely correlated with their condition 10 and 15 years after onset, particularly with respect to cerebellar and pyramidal tract signs. About one-third of patients have no major disability 10 years after onset and a few percent still have none 25 years later.

Fig. 8.4 Oligoclonal bands in the serum (a) and CSF (b) of a patient with multiple sclerosis; compare with the serum (c) and CSF (d) of a normal control subject.
Multiple sclerosis sometimes takes a “benign” course.
Table 8.2 Differential diagnosis of multiple sclerosis
|
Clinical manifestation |
Possible alternative diagnoses |
Useful criteria for differential diagnosis |
|
Lhermitte sign |
status post traumatic brain injury, status post radiotherapy; pathological process in the thoracic spinal cord, the dorsal cervical spinal cord, or the junction of the spinal cord and medulla; vitamin B12 deficiency |
accompanying history and physical findings |
|
Intermittent visual loss |
amaurosis fugax in carotid stenosis; amblyopic attacks in papilledema |
age of the patient, signs of intracranial hypertension, duration of episodes, cervical bruits |
|
Optic disc pallor |
optic nerve compression by a mass |
slowly progressive visual impairment; mass on CT |
|
Paresis of extraocular muscles |
diabetic mononeuritis; compression of one or more cranial nerves by a mass, e.g., at the skull base or in the region of the cavernous sinus |
diabetes, pain; tumor or aneurysm on CT or MRI |
|
Nystagmus |
disease affecting the cerebellum |
other cerebellar signs |
|
Progressive spastic paraparesis |
|
|
|
|
|
|
|
|
|
|
|
|
|
|
|
Intermittent paraparesis |
|
|
|
|
|
|
|
Symptoms and signs arising from multiple foci in the CNS, all at once or with relapses and recurrences |
multiple vascular lesions in the CNS |
simultaneous involvement of other organs (e.g., coronary artery disease, occlusive peripheral vascular disease) vascular risk factors |
Other Demyelinating Diseases of Unknown Pathogenesis
In addition to the genetic, immune-mediated, and metabolic myelinopathies, there are a number of other demyelinating diseases whose causes remain unknown. These diseases are briefly listed and characterized in Table. 8.3.
Table 8.3 Rarer demyelinating diseases
|
Disease |
Clinical manifestations |
Special features |
|
Concentric sclerosis (Baló sclerosis, periaxial encephalitis) |
onset at any age, slow progression, associated with dementia |
concentric bands of demyelination |
|
Acute disseminated encephalomyelitis(ADEM) |
acute multiple sclerosis; simultaneous appearance of symptomatic foci in the brain and spinal cord; acute onset, with fever; peripheral nervous system also involved |
MRI shows foci that arose simultaneously; histopathological examination shows axonal injury as well; dramatic course; responds to cortisone and immunosuppressive drugs |
|
Neuromyelitis optica (Devic disease) |
simultaneous appearance of symptomatic foci in the optic nerve and spinal cord; mainly affects young women |
elevated CSF protein; no oligoclonal bands in CSF; inflammatory axonal damage |
|
Subacute myelo-optic neuropathy(SMON) |
ascending paresthesiae and weakness of the lower limbs, appearing days or weeks after a gastrointestinal illness; the optic nerve is also involved in one-third of patients |
most common in Japan; many patients have a prior history of oxyquinoline |