Albert & Jakobiec's Principles & Practice of Ophthalmology, 3rd Edition

CHAPTER 126 - Retinal and Choroidal Circulations

Constantin J. Pournaras,
Guy Donati

The knowledge of the mechanisms underlying the pathophysiology of the retinal microcirculation is of fundamental clinical importance, since ischemic microangiopathies of the inner retina[1-3] are the most common cause of blindness in developed countries.[4] Impairment of the choroidal and retinal circulations results in blood flow modifications, which in turn affects the delivery of oxygen and metabolic substrates, necessary for the maintenance of the energy generating processes to the retina tissue. The neuronal cells reach certain energy state through the formation of adenosine triphosphate (ATP), produced by means of two fundamental metabolic pathways, namely glycolysis and oxidative phosphorylation coupled to the citric acid cycle. In order to maintain an adequate ATP level in the cells, both its production and utilization rates have to be even. This requires not only control of the activity of the glycolytic and citric acid cycle enzymes, but also adequate oxygen and glucose delivery.

The mammalian retina possesses a high rate of glycolysis and lactate production[5-8] but also, like the brain an elevated rate of oxygen consumption.[9-12] The above are needed for the active neuronal transport processes, which maintain the ionic gradients necessary for electrical activity and visual transduction.[13] In addition to the impairment of the energy-dependent transport processes, the release of excitatory amino acids,[14,15] the rise of intracellular calcium, the disruption of calcium-modulated processes,[16] the reperfusion-reoxygenation, oxygen-derived free readicals release,[17,18] nitric oxide (NO) mediated neurotoxicity[19] and contribution to delayed cell death,[20] have been demonstrated as interrelated pathophysiologic pathways involved in the ischemic neuronal damage.

Developements in fluorescein and indocyanine green angiography, as techniques for non invasive measurements of the retinal and choroidal blood flow, and new experimental findings on the regulation of the retinal and choroidal vascular tone, improved our understanding of retinal and choroidal circulation in health as in diseased eyes.

ANATOMY OF THE RETINAL AND CHOROIDAL CIRCULATIONS

Metabolic substrate and oxygen delivery of the retina in higher mammals including humans and other primates is supported by the two separate vascular systems, the retinal and choroidal circulations. In some lower mammals, as rabbits and guinea pigs, the retina is almost completely dependant upon the choroid, since retinal vessels can be found only in a small area of the retina or can be totally lacking.[21]Both retinal and choroidal vessels derived from the ophthalmic artery, branch of the internal carotid, have distinctive morphological and functional behavior.

VASCULAR SUPPLY OF THE RETINA

The retinal circulation is end-arterial without any anastomoses; the central retinal artery appears at the optic disk where it divides into two major branches. These in turn divides in arterioles extending outward from the optic disk each supplying one quadrant of the retina. Retinal arteries and veins divide by dichotomous and site-arm branching, the terminal arterioles come off at almost right angles from the main stream. In ?25% of humans a cilioretinal artery hooks around the temporal margin of the optic disk and provides a portion of the macula with the arteriolar supply.[22]

The larger retinal vessels lie in the inner-most portion of the retina close to the inner limiting membrane; retinal glial cells, mainly astrocytes, extend over large areas in close spatial relationship with retinal vessels wall.[23] Astrocytes constrains the retinal vessels to the retina and maintains their integrity.[24] At the arteriovenous crossing sites, the deeper vessels may indent the retina down to the outer plexiform or outer nuclear layer.[21]

The venous system has a certain similarity to the arteriolar arrangement; the retinal venous blood is drained by the central retinal vein that leaves the eye through the optic nerve and drains into the cavernous sinus. Both the terminal vessels, namely precapillary arterioles, and the postcapillary venules are linked by the interposed capillary bed. Even though there are no arteriovenous shunts in the normal retina, at the periphery of the retina, the terminal arterioles and veins are linked by large capillary communications. Similar anastomotic capillaries connect the perifoveal terminal arterioles with the venules, leaving a capillary free zone of 400-500 ?m in diameter.

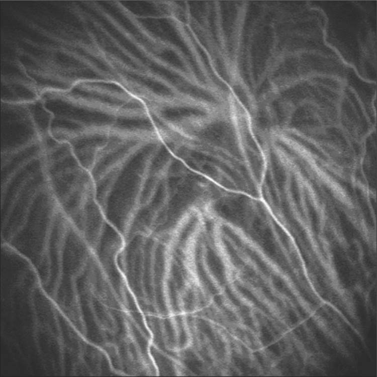
The retinal arterioles give rise to a plexus of capillaries each measuring ?5 ?m in diameter. These capillaries lie in an interconnecting network, which is arranged in a basic two-layered pattern. The first one resides in the nerve fiber and ganglion cell layer, and the second deeper one, lies in the inner nuclear layer. In the peripapillary area, an additional capillary network, lies in the superficial portion of the nerve fiber layer, which constitutes the radial peripapillary capillaries. It is distributed around the optic disk and along the temporal superior and inferior retinal vessels.[25] Toward the periphery, the deep net disappears leaving in this way a single layer of wide-mesh capillaries. At the extreme retinal periphery an area of ?1.5 mm width is avascular. A capillary free zone also surrounds the arterioles; it is probably due to local high oxygen tension during vascular remodelling occuring during maturation of the retinal vascular system.[26] The outer retinal layers, including the photoreceptors, are avascular and receive, as the peripheral avascular retinal area does, metabolic energy support from the choroid (Fig. 126.1).

Click to view full size figure

FIGURE 126.1 Distribution of the retinal capillaries in a monkey retina digest preparation. Note the broad capillary-free zone present around the artery, and the absence of sphincters (insert).

FINE STRUCTURE OF THE RETINAL VASCULATURE

All the branches of the main retinal arteries have the structure of small arteries. According to electron microscopic studies, these arteries are proved to have an arteriolar structure beyond the equator. The retinal arteries differ from those of the same size in other organs, in that of the unusually developed smooth muscle layer and that they lack an internal elastic lamina. Near the optic disk the arterial wall has five to seven layers of smooth muscle cells, which diminish to two or three layers at the equator and one to two at the periphery. The muscle cells are oriented both circularly and longitudinally, each being surrounded by a basement membrane that contains an increasing amount of collagen toward the adventitia.[27] Retinal arteriolar precapillary annuli were observed in a number of animals at the side-arm branches of retinal arteries, but not in humans (see Fig. 126.2). There is no evidence that annuli contain muscular or elastic tissue components, instead it is more likely that they are composed of basement membrane or immature collagen.[28]

Click to view full size figure

FIGURE 126.2 (a) Schematic representation of capillary distribution within the inner layers of the retina. The photoreceptor layer is avascular, receiving oxygen and metabolic substrate support from choroidal capillaries. ILM, internal limiting membrane; GL, ganglion cell layer; IPL, inner plexiform layer; OPL, outer plexiform layer; ONL, outer nuclear layer; RPE, retinal pigmentary epithelium. (b) Semithin section of a human retina.

The capillary wall is composed of three distinct elements: endothelial cells, intramural pericytes, and basement membrane. The endothelial cells are oriented along the axis of the capillaries; they present at their thickest areas a nucleus bulging into the lumen, and express cytoplasmic extensions which encircle the lumen. Tight junctional complexes with continuous fusion of the outer leaflets of the cell membranes are found along the opposing surfaces of adjacent endothelial cells.[29] Frequently the endothelial cell processes overlap, and a lip like protrusion often marks the junction of two cells. The continuous layer of endothelial cells is surrounded by a thick basement membrane within which there is a discontinuous layer of intramural pericytes in almost a one to one ratio with the endothelial cells. Clinical and experimental observations suggests that pericytes contribute to the regulation of microvascular growth and function.[30]

VASCULAR SUPPLY OF THE CHOROID

The choroid, a highly vascularized and pigmented layer, constitutes the posterior portion of the uvea. It is ?0.2 mm thick posteriorly, tapering to 0.1-0.15 mm thick in the periphery. The choroid is composed of the choriocapillaris layer, the medium vessels layer (Sattler's layer) and the outer layer of large vessels (Haller's layer). In primates, the medium layer contains large arteries measuring 40-90 ?m, large veins measuring 20-100 ?m, nerves, and lymphatics.[31,32]

The choriocapillaris and the medium-sized choroidal vessels are sandwiched between the apical retinal pigment epithelium (RPE) of neuroepithelial origin and the outer choroidal pigment of neural crest origin. Two collagenous structures, one on the inside (Bruch's membrane) and one on the outside (subcapillary fibrous tissue), are connected by the intercapillary pillars.[31] Most medium-sized vessels are external to the subcapillary fibrous tissue.[33] External to it, an anatomical cleavage plane referred to as intervascular space, may be found between the inner medium sized and outer large-vessel choroidal layers.[31]

Choroidal Arteries

The vascular supply to the choroid derives from the ophthalmic artery via branches of the anterior and posterior ciliary arteries. The ophtalmic artery gives off 2-3 main ciliary arteries that is the nasal, the temporal, and occasionally the paraoptic one, supplying the corresponding hemisphere of the choroid.[34,35]

These in turn, branch into 10-20 short posterior ciliary arteries, that enters into the globe at the posterior pole and assume a peripapillary and perimacular pattern, the papillomacular oval,[36] before branching peripherally in a wheel-shaped arrangement, and two long posterior ciliary arteries.[32,33] Secondary and tertiary branches of the short posterior ciliary arteries are subsequently divided into the major choroidal arteries.[34,35] The short posterior ciliary arteries also contribute paraoptic branches to the Zinn-Haller circle as well as pial branches. They provide segmental supply to the lamina cribrosa, retro and prelaminar optic nerve head (ONH).[35,37]

Some branches of these short posterior ciliary arteries are selectively directed to the macular region vessels, i.e., the very short posterior ciliary arteries.[38] Histological examination showed that they have a spiral shaped configuration, consistent with the vascular pattern of the arterial phase of ICG angiography. This pattern differs from short posterior ciliary arteries not directed to the macular area, in that it expands in a typical chevron configuration (Fig. 126.3).[39]

Click to view full size figure

FIGURE 126.3 After scleral penetration the short posterior ciliary arteries expand toward the periphery with a chevron configuration. Indocyanine green angiograms showing choroidal arterial filling with a chevron pattern.

The long posterior ciliary arteries follow long, oblique intrascleral courses and travel in the virtual suprachoroidal space, giving off recurrent branches to the macula and to the anterior choroid at the ora serrata. Recurrent branches supply choroidal areas at 3 and 9 o'clock meridians.[40]

The anterior ciliary arteries perforate the sclera at the insertion of the tendons of the muscles and pass through the suprachoroidal space to enter the ciliary body. These primarily supply the ciliary body and iris. Before joining the major arterial circle of the iris, anterior ciliary arteries are divided into 7-12 recurrent branches that supply the anterior choroid.[40,41]

Choriocapillaris

The functional unit of the choroidal circulation is the choriocapillary lobule. The lobules measure 0.6-1.0 mm and are supplied by precapillary arterioles and drained by postcapillary veinules.[42,43] Lobules subdivide the choroid into several functional islands. Each lobule consists of a capillary meshwork with radial and circumferential arrangement, that contains an arteriole in the middle and a venule at its periphery (Fig. 126.4).[44,45] Lobules in the equatorial part of the choriocapillaris are larger (200 ?m) than those located both at the posterior pole (100 ?m), and in the submacular area (30-50 ?m).[38] The structure of the choriocapillary resembles mostly a dense network of freely connected capillaries in the peripapillary and submacular area. This pattern changes to a lobule-like arrangement in the posterior pole and to a palm-like organization, more peripherically.[44]

Click to view full size figure

FIGURE 126.4 Artwork of the equatorial choroid of a 60-year-old man. Scleral view showing microarchitecture of the equatorial choroids, scleral view. Lobules are marked by broken lines. A, artery; v, vein; CH, choriocapillaris.

Choroidal Veins

Blood discharges the lobules of the choriocapillaris by collecting venules that join the afferent veins. At the posterior pole, the venule is located at the periphery of the lobule, stays on the same plane of the lobule, and possibly also drains adjacents lobules.[40] Small venular channels commonly connect the posterior aspect of the choriocapillaris with collecting venules. Intervenular channels between collecting venules and larger veins, direct arteriovenous anastomosis, and interdigitation between the choriocapillaris and venules were also reported in histological studies.[40,44] Postcapillary venules are closely arranged in the macular region. The meshwork of the venous plexus becomes less dense with increasing distance from the macula, the vessels become straighter, losing the tortuous aspect, which is characteristic of the macular region. Vessels of larger lumen form the subcapillary plexus and eventually flow into the vortex veins.[40]

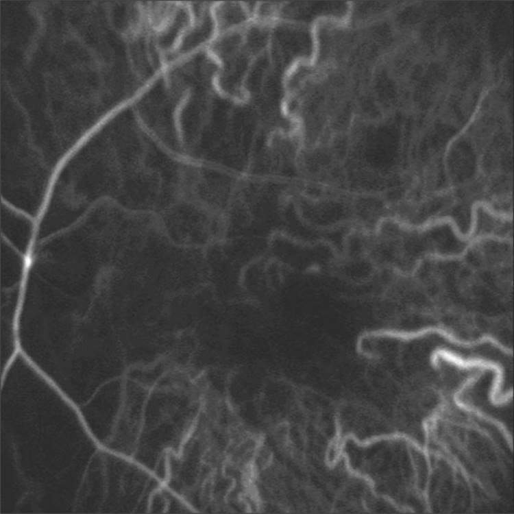
Four to six vortex veins receive the blood collected in the ampullae of the vortex veins by the afferent ones. The vortex veins are located 2.5-3 mm posterior to the equator, closer to the vertical meridian than to the horizontal one and drain into the superior and inferior orbital veins (Fig. 126.5).[46] Some drainage also occurs through the anterior ciliary veins of the ciliary body. Venous drainage sems to be segmentally organized into quadrants, with watersheds oriented horizontally through the disk and fovea and vertically through the papillomacular area (Fig. 126.6).[43,47]

Click to view full size figure

FIGURE 126.5 Intermediate-size veins. Indocyanine green angiogram showing a superior vortex vein.

Click to view full size figure

FIGURE 126.6 Indocyanine green angiogram of early (a) and late (b) choroidal arteriovenous phase. Note the subfoveal entry of short posterior macular arteries, the vertical arterial watershed area running through the papilla, and the venous watersheds oriented horizontally though the disk and fovea and vertically through the papillomacular region.

Fine Structure of the Choriocapillaris

The capillaries of the choriocapillaris usually have a diameter of 18-50 ?m. They are flat and often have a narrow segment.[48] The endothelial cells of the choriocapillaris are connected by a discontinuous row of 'zonulae occludens'. The part of the choriocapillaris that faces the RPE has large fenestrations covered by a thin membrane with a central thickening.[49,50] The fenestrations are larger and more numerous in the submacular area.[51] Experimental destruction of the RPE causes focal atrophy of the choriocapillaris, suggesting that the localization of the fenestrae toward the RPE could be the result of a modulating action of the RPE on the choriocapillaris.[52] These fenestrations have high permeability, and as the analysis of suprachoroidal fluids suggests, such permeability of the choriocapillaris is similar to that of an isoporous membrane with a pore diameter of 144 Å.[53] These high permeability probably accounts for the maintenance of an adequate concentration of glucose and other nutrients at the RPE level.[49]

Innervation of Retinal and Choroidal Vessels

Histologic studies and stimulation experiments have revealed a rich supply of autonomic vasoactive nerves to the choroidal vessels but not to the retina. Sympathetic nerves derived from the superior cervical sympathetic ganglion, innervate the choroidal vascular bed, as well as the central retinal artery up to the lamina cribrosa.[54,55] The choroidal vessels contain alpha-adrenergic vasoconstrictor receptors but no beta-adrenergic vasodilator receptors. Thus, alpha adrenergic agonists constrict the long posterior ciliary arteries in vitro and reduce blood flow through the choroid, while beta-adrenergic agonist isoproterenol has no effect.[56]

From this point on, although ?- and ?-adrenergic receptors[57] and receptors for angiotensin[58] are present, the retinal vessels are devoid of sympathetic fibers.[55] The parasympathetic system provides vasodilating fibers to the choroid through the facial nerve,[59] the neurotransmitter may be the vasoactive intestinal peptide (VIP).[60-62] A neuronal NO release has been identified in autonomic nerves in the choroid,[63] confirming the role of perivascular nerve fibers around choroidal vessels staining for NOS.[64]

STRUCTURE OF THE BLOOD-OCULAR BARRIERS

Inner Blood-Retinal Barrier

The retina is a part of the brain and, as a result, retinal capillaries have a similar structure to cerebral ones. As in the brain, adjacent endothelial cells are connected by a continuous network of membranous ridges (tight junctions).[65] Junctions between endothelial cells and pericytes also occur through fenestrations in basement membranes.[66] These types of capillaries, called nonfenestrated ones, only have two kinds of small pores, with a diameter of 9-24 to 70nm.[65,67] The permeability of such nonfenestrated capillaries has been estimated to be less than 1% of those in skeletal muscle and less than 0.1% of those in the mesentery.[68] In the retinal vessels, endothelial cells and astrocyte interactions,[23,24] are of fundamental importance for the efficient function of the inner blood-retinal barrier, as contact with glial neighboring cells is a prerequisite for the development of tight junctions.[69]

Thus, the permeability of the retinal capillaries is similar to that of cerebral vessels with no or at the most minimal leakage of fluorescein,[70] or small ions like sodium.[71] As in all vascular beds, retinal capillaries are highly permeable to lipid-soluble substances such as gases (O2, CO2). Water also diffuses rapidly through the endothelial cells. However, the inner blood-retinal barrier is largely impermeable not only to large molecules as albumin and others proteins[72] but also to small water-soluble substances, like glucose and amino-acids. This means that metabolic substrates have to be transported through the inner blood-retinal barrier by means of carrier-mediated transports systems.

Active transport takes place either through specific channels constituted of trans membranous proteins, i.e., intracellular and extracellular lactate to pyruvate ratios are in near equilibrium, which is established by monocarboxylate transporters,[73,74] or by pinocytosis through the cytoplasm of the endothelial cells.[75] The above has been demonstrated for glucose,[76] and amino-acids,[77] the main nutrients of neuronal cells.

Outer Blood Retinal Barrier

The retinal pigment epithelial (RPE) cells form the outer blood retinal barrier. RPE cells measure 16 ?m in height and 10-60 ?m in diameter. The apical zonulae occludens constitute the location of the blood-retinal barrier. The basal lamina of the RPE form the most inner layer of the Bruch's membrane. Inner collagen, elastic fibers, outer collagen, and basement membrane of the choriocapillaris constitute the remaining layers.[48] Active transport takes place also at the outer blood-retinal barrier as it has been demonstrated for glucose and amino-acids.[78]

Several ocular diseases and surgical trauma alter the permeability of the blood-ocular barriers. Disruption of the blood-retinal barrier has been demonstrated, using ocular fluorophotometry in diabetes and in systemic hypertension.[79,80] Proteins and other substances of high molecular weight can enter the interstitial space, due to the fenestrated nature of the choroidal capillaries. Retinal binding protein, vitamin A, and many other micronutrients and ions become available to the RPE for transport to the outer layers of the retina. The movement of metabolites takes place across both the RPE and Bruch's membrane. Both active and passive transport mechanisms facilitate the movement of selected nutrients and of waste products across the blood-retinal barrier in and out of the retina. Physiologically Bruch's membrane doesn't constitute a barrier to the movement of these molecules except in aging. Lipoprotein accumulation occurs in the Bruch's membrane from rod outer segment degradation in aging that may obstruct the movement of water and perhaps of waste products, from the RPE to the choroids.[81]

PHYSIOLOGY OF THE RETINAL AND CHOROIDAL CIRCULATION

TECHNIQUES OF BLOOD FLOW MEASUREMENTS (ANIMALS/HUMANS)

In the last decades, non invasive clinical methods as digital fluorescein and ICG angiography Laser Doppler Velocimetry (LDV) coupled to vessels diameter measurements,[82] blue field entoptic phenomenon[83] gave much information on the retinal blood flow modifications and regulation in normal and diseased eyes. In addition techniques has also been used in animal models in order to obtain quantitative information on retinal and choroidal blood flow including calorimetry[84] direct measurements from choroidal veins,[85] radioactive krypton desaturation,[86] labeled microspheres,[87,88] hydrogen clearance,[89] laser doppler flowmetry (LDF).[90-92] Among all these techniques, injection of radioactive labeled microsphere has been widely used to calculate tissue blood flow in animals.

As such techniques are not useful for humans, most of our knowledge about physiology of the retinal and choroidal circulations come from animal studies, confirmed by recent findings mainly using LDV and flowmetry. Computer-assisted analysis of fluorescein[93] and ICG[94] angiograms have been made to provide qualitative information about choroidal blood flow, but they do not measure flow rates.

RETINAL AND CHOROIDAL BLOOD FLOW

A 35-80 ?L/min retinal blood flow has been calculated using the LDV and monochromatic fundus photography in humans.[82-95]

Marked regional differences in blood flow through the choroid was found, as choroidal blood flow near the fovea and around the ONH is much higher than the blood flow in the periphery of the eye.[88]Choroidal blood flow is extremely high, ?10 times higher than the flow of the gray matter of the brain and four times the flow of kidney (Table 126.1).[96]


TABLE 126.1 -- Comparison between Retinal and Choroidal Circulation Blood Flow and Oxygen Extraction[[82,88,95,98,99]].

Retinal circulation

Low level of flow (15 - 34 mg/min)

High O2 extraction (40%)

Choroidal circulation

High level of flow (677 - 735 mg/min)

Low O2 extraction (4%)

Even though a corresponding difference in metabolic requirements does not exist, the large rate of blood flow in the capillary bed of the choroid is probably owing to the large caliber of the vascular lumen and the consequent low resistance to flow. Eighty-five percent of the total blood supply to the eye is distributed to the choroid and only 4% to the retina. From the remaining 11%, 10% is distributed to the ciliary body and 1% to the iris.[87,88,96] Consequently, the oxygen extraction from the uveal blood is very low, the arteriovenous difference for the choroidal blood is ?3%.[97] On the other hand, in humans[98]and pigs,[99] the oxygen content of the retinal venous blood is ?38% lower than the one in arterial blood. Despite the low oxygen extraction from the choroidal blood, in pigs, ?60% of oxygen and 75% of glucose are delivered by the choroidal circulation.[99]

The reason for the high volume of choroidal blood flow is not completely understood. A thermoregulating action by removal of heat generated during visual transduction has been advocated,[100] as exposition of the eye to a moderate-intensity light source causes a reflexive increase in choroidal blood flow in monkeys and humans.[101] Fluid removal from the outer retina by the high choroidal oncotic pressure, or subserving the metabolic needs of the retina has also been suggested.[11]

RETINAL AND CHOROIDAL OXYGEN DISTRIBUTION

In the retina direct measurements of tissue oxygen partial pressure (PO2) were performed in animals using oxygen sensitive microelectrodes.[102,103] The PO2 was found to be heterogenously distributed close to the vitreoretinal interface. Juxtaarteriolar preretinal or transretinal PO2 profiles indicates that O2 diffusion from the retinal arterioles affects the juxtaarteriolar preretinal and inner retinal layers PO2. In contrast, the preretinal and inner retinal (30% depth) PO2 far beyond the retinal vessels remains constant in all retinal areas.[104,105]

Transretinal intervascular PO2 profiles, indicated that the intraretinal PO2 gradually decreases from both the retinal surface and the choroid toward the mid-retina with the minimum value recorded at 50% of retinal depth.[105] Close to the pigment epithelium the PO2 is significantly higher than that at the inner limiting membrane level. This is probably due to much higher O2 delivery by the choroidal circulation than by the retinal one and the very low arteriovenous oxygen difference.[97] These PO2 profiles indicate that there is O2 diffusion from the inner retina and the choroid toward the middle of the retina (Fig. 126.7). The above comes in accordance with previous theoretical calculations,[106] and measurement obtained in other species.[12,107,108]

Click to view full size figure

FIGURE 126.7 (a) Intervascular transretinal PO2 profiles recorded in miniature pigs during normoxia (each point is the mean + SE, N = 13). Minimal PO2 value is reached at 50% retinal depth. ILM, inner limiting membrane; RPE, retinal pigment epithelium; (b) The drawing indicates the pathway of the microelectrode through the retina.

REGULATION OF THE RETINAL AND CHOROIDAL BLOOD FLOW

The general concept of the regulation of blood flow in a vascular bed is that systemic factors (circulating hormones and the autonomic nervous system) regulate the distribution of the cardiac output over the different vascular beds as a function of the hemodynamic situation of the whole body and that local factors (such as PO2, PCO2, pH, metabolic products) try to adapt flow to local needs.

The blood flow through the eye is directly related to the mean perfusion pressure (PPm), and inversely related to the vascular resistance (Rm) within the ocular vascular bed.

Rm further depends on blood viscosity (n), the length (L) and diameter (2r) of the blood vessels (cf. Law of Poiseuille: R = 8 nL/r4). Thus, the blood flow F = ? P?r4/8; nL, is related to the PPm and the diameter of the resistance vessel, and inversely related to the vascular blood viscocity and length of the vascular bed.

The PPm

Is determined as the local arterial blood pressure minus the venous pressure. As the venous pressure almost equals intraocular pressure, PPm is defined as the difference between the mean ophthalmic artery blood pressure (MOAP) minus the intraocular pressure (IOP).The MOAP, was assumed to be 2/3 of the mean arterial blood pressure (MABP), and was calculated as MABP = 2/3 [BPdiast + 1/3 (BPsyst? BPdiast)]. BPdiastand BPsystare the brachial artery blood pressures during diastole and systole, respectively.

The retinal blood flow is autoregulated (i.e., maintained à constant values) to a mean systemic blood pressure to 41% up to baseline values.[109] Similarly, autoregulation occurs during an increase of IOP up to 27-30 mmHg, which results in a mean retinal perfusion pressure decrease of less than 50%.[110] As a result, the inner retinal-tissue partial pressure of O2 (PO2) is maintained at constant values during moderate reductions of the perfusion pressure.[111,112] The Rm vascular resistance is related to (1) the blood viscosity, (2) length, and (3) the diameter of the blood vessel. Any change of each of those parameters influence retinal blood flow.

Viscosity

Blood viscosity varies as a function of the shear rate, being high at low shear rate. Blood viscosity diminishes and becomes almost constant at a high shear rate.[113] An increase in plasma viscosity (e.g., hyperglobulinemias, high Ht, leukemia, sickle cell anemia), substantially influences the flow through the retinal circulation. Slowdown of the retinal perfusion may lead to stasis in the retinal veins and ultimately to venous occlusion. Retinal perfusion could be normalized by correction of the hyperviscosity.[114]

Length of the Vascular Bed

Changes in the total length of the vascular bed can be modified by precapillary sphincters lying at the bifurcations of the arterioles, which causes the opening and closing of the capillary bed. Although such a sphincter is seen in many tissues, it is not found in choroidal or retinal arterioles[28]; in contrast to the capillaries in the pulmonary circulation, all of which can be mobilized or not, depending on the circulatory needs.

The Diameter of Vessels

Is determined by the contractile state of the arteriolar smooth muscle and the capillaries pericytes. Numerous factors influence the vascular resistance such as systemic factors including autonomic nerves, circulating substances and systemic PaO2 and PCO2, local metabolic factors including substances released by the vascular endotheliun and/or the neuroglial cells surrounding the vessels which get involved in the moment to moment regulation of the distribution of the cardiac output depending on the metabolic needs of the tissue.

Systemic factors

Innervation

The eye has a rich autonomic innervation only to the uvea and the extraocular parts of the retinal blood vessels. Sympathetic nerves reach the eye from the sympathetic cervical superior ganglion, while parasympathetic nerves reach the eye through the oculomotor nerve, the facial nerve and through the ophthalmic and maxillary division of the trigeminal nerve. The choroidal vessels contain alpha-adrenergic vasocon strictor receptors A considerable number of perivascular nerve fibers around choroidal vessels stain for NOS forming a dense network of choroidal ganglion cells; 64 such distibution is found only in humans and higher monkeys which have a fovea centralis. Thus the choroidal circulation appears to be under the influence of basal release of NO released either by the vascular endothelium or the nitrergic choroidal nerve terminals.

Arterial oxygen partial pressure (PaO2)

Hyperoxia (100% oxygen breathing) induces a marked vasoconstriction of the inner retinal arterioles in both normal humans,[115,116] and anesthetized animals.[104,117] By the autoregulatory vasoconstriction in the inner retina, PO2 is maintained at constant values during systemic hyperoxia.[104,105] The responses of the retinal circulation to changes in arterial O2 are similar to those of the cerebral circulation,[118]however, the retinal blood flow decrease in response to hyperoxia is quantitatively more important.[104,116]

In humans and anesthetized animals, hypoxia (decrease in PO2 in the arterial blood) induces vasodilation of retinal arterioles[117,119] which can be clearly measured only under an arterial PO2 (PaO2) of 65 mmHg. A similar observation was observed in cerebral blood-flow studies.[118,120]

Transretinal PO2, profiles made during variations in PaO2, by steps of 10 mmHg between 120 and 30 mmHg have shown that the PO2 values measured in the inner-retina up to half of its thickness remained rather stable during different steps of hypoxia. In contrast, the PO2, measured near the choroid and in the outer-retina decreased in a linear manner according to the variations of systemic PaO2.[121-123] A decrease in PO2 near the photoreceptor-pigment epithelium complex during systemic hypoxia is expected to lower the ATP supply to the rods and, thus, inhibit the Na+/K+ pump, and inducing a rapid alteration of light-induced response of the RPE.[124] Photoreceptors are apparently more vulnerable to steps of hypoxia, indicating that high oxygen delivery by the choroidal circulation, is necessary to maintain mitochondrial respiration in photoreceptors and, as a result, their normal function. The choroidal circulation is not influenced by hyperoxia possibly because of increased NO synthesis.[125]

Arterial PaCO2

Changes in the partial pressure of arteriolar CO2 (PaCO2) affect retinal blood flow. The sensitivity of the retina to variations of PaCO2 is such that a PaCO2 rise of 1 mmHg induces a 3% rise in blood flow.[126]There is a tight parallelism between changes of PaO2 and changes of interstitial pH in the inner retina; variations of systemic PaCO2 (?PaCO2 = 3 7.6 ± 6 mmHg) induce a decrease in pH in the retina of 0.158 + 0.025 units. Acidification of the blood by infusing HCl or by injecting lactate[127] affects neither interstitial pH nor retinal blood flow, suggesting that interstitial acidosis and not systemic acidosis might be a step in the induction of vasomotor response in hypercapnia,[128] a finding which confirms those reported in the cerebral cortex.[129]

Hypercapnia induces an increase in retinal blood flow through a mechanism involving either neuronal NO synthase (NOS-I)[130] or PGE2-mediated endothelial NO synthase (NOS-III) release.[131]

Metabolic acidosis induced by intravenous acetazolamide injection produces an increase of preretinal and optic disk PO2,[132] suggesting that acetazolamide increases retinal blood flow, as observed in the case of cerebral blood flow,[133] probably by increasing the PaCO2.[134] This PaCO2 increase is due to significant bicarbonate loss in the renal tubules, resulting in hyperchloremic metabolic acidosis. The CO2produced by the cells cannot be eliminated by carbonic anhydrase and so increases the PaCO2 by diffusing through the basement membrane.[135] The PaCO2 increase and pH decrease induced by acetazolamide are not affected either by hyperventilation or by bicarbonate intravenous infusion.[128]

Circulating substances

The influence of circulating molecules and hormones on the retinal and choroidal circulation is rather unclear.

High levels of angiotensin-converting enzyme[136] and receptors for angiotensin II[58] are found in retinal and choroidal blood vessels, suggesting that angiotensin II might play a role in the regulation of ocular circulation. Studies of the effect of angiotensin II on the ocular circulation, however, have yielded controversial results. In contrast to previous studies, more recent ones indicated no evidence that angiotensin II contract retinal arteries,[137] or choroidal and optic nerve blood flow.[138,139]

Similarly controversial results have been reported after administration of adrenergic drugs, a decrease, an increase or no effect on the retinal circulation has been described.[139]

Whatever the effects of these molecules on the ocular circulation, none seems to have a direct contribution to the adaptations of the choroidal and retinal circulation to the varying metabolic needs of the retina.

Local factors

These factors may be either ionic or molecular or related to gas modifications under physiological stimuli or pathological conditions. Interactions between substances released either by the vascular endothelial cells or by neuroglial or neuronal tissue surrounding the retinal arterioles i.e., relaxing factors as NO, prostacyclin (PGI2), lactate or contracting factors such as endothelin-1 (ET-1), Angiotensin II, cyclooxygenase (COX) products such as thromboxane-A2 (TXA2) and prostaglandin H2 (PGH2), should affect the arteriolar tone, thus regulating the retinal vasomotor responses.[140-142]

The endothelium located between the circulating blood and the vascular smooth muscle cells, regulates permeability, affect coagulation, platelet function, and fibrinolysis but it also exerts metabolic functions by activating and inactivating hormones. In addition, vasoactive substances that either inhibit (i.e., endothelium-derived relaxing factors: EDRF) or activate (i.e., endothelium-derived contracting factors: EDCF) the underlying smooth muscle cells can also be released by endothelial cells.

Role of NO

Since the initial observation indicating that acetylcholine-induced vasodilation is dependent on the presence or absence of the vascular endothelium,[143] from numerous experiments it became obvious that the endothelium produces a vasodilator, which was initially defined as EDRF. NO released by endothelial cells accounts for the biological properties of the EDRF.[143-147]

NO is a nonpolar gas soluble in tissues, freely diffusible across membranes, synthetized by the enzyme nitric oxide synthase (NOS) from the oxidation of L-arginine and formation of L-citrulline.[144,148-150]Previously the NO synthases were classified as inducible and constitutive, but recent experiments have demonstrated that all NOS isoforms are regulated dynamically. Three isoforms of NOS are classified as neuronal NOS (NOS1), endothelial NOS (NOS3), and NOS (NOS2).

The isoform NOS-I has been found in neurons of the central and peripheral nervous system,[151] and in the retina of mammals, in ganglion, amacrine, horizontal, Müller glial cells, and photoreceptors,[147,150-154] and human retina.[155] The NOS-III is mainly expressed by the vascular endothelium cells including the retinal,[156,157] and choroidal[157] vessels endothelial cells and the endothelial cells and pericytes of the retinal capillaries (Fig. 126.8).[158]

Click to view full size figure

FIGURE 126.8 Putative NO metabolic pathway in the retina. NO is constitutively released by both neuronal cells and endothelium in the retina and acts on the vascular smooth muscle.

NO is produced when NOS-I and NOS-III are activated via the calcium/calmodulin complex. Preretinal NO gradient from the vitreal surface of the retina toward the vitreous indicates a continuous release of NO by the retinal tissue (Fig. 126.9), and, since the NO gradient is also recorded far from visible arterioles, this confirms that cells in the retina, other than endothelial cells, may release NO.[159] Juxta-arteriolar vitreal microinjections of nitro-L-arginine (L-NA), a non specific inhibitor of NOS, inducing segmental vasoconstriction[159] suggest that a continuous production of NO is necessary in order to maintain a dilating arteriolar tone in the inner retina.

Click to view full size figure

FIGURE 126.9 Intervascular preretinal (NO) profile: (a) Continuous NO recording obtained as the NO microprobe was advanced toward the inner retinal surface (rising phase) and then retracted 200 ?m into the vitreous (falling phase). Current was maximal at the retinal surface, that portion of recording between the inner retinal surface (0 ?m) and 200 ?m out in the vitreous. (b) Values are means + SEM of nine recordings of the type shown in (a).[159]

Experimental evidence suggests that in the ocular circulation NO also plays a role, since relaxation of isolated ophthalmic and ciliary artery rings induced by acetylcholine is markedly reduced by the NO synthase inhibitor NG monomethyl-L-arginine (L-NMMA) nitro-L-arginine.[160,161] NO also induces ralaxation of the contracting tone of the retinal bovine pericytes via a cGMP dependnt mechanism.[162] In addition, endothelium-derived NO release under basal conditions or stimulated by bradykinin regulates the ophthalmic circulation of the perfused porcine eye.[163]

Finally, red blood cells (RBCs) provide a novel NO mediated vasodilator activity in which hemoglobin acts as an O2 sensor and O2-responsive NO signal transducer, thereby regulating both peripheral and pulmonary vascular tone. In blood, NO binds to cysteine-?-93 forming S-nitrosohemoglobin. Deoxygenation is accompanied by allosteric transition in S-nitrosohemoglobin that releases the NO group. The NO released from the Hb may be transferred directly to the vascular endothelium. In that way, S-nitrosohemoglobin contracts the blood vessels and decreases perfusion in tissues with high O2 affinity and relaxes the vessels to improve blood flow in structures with low O2 affinity.[164,165]

Role of prostaglandins

In the cerebral circulation, the effects of different subclasses of prostaglandins (PGs) have been largely studied under physiological and pathological conditions.[166-168]

Studies on isolated cerebral vessels,[169] isolated pericytes of retinal capillaries[170] and incubated rabbit retinas[171] have shown that some subclasses of PGs (PGE2, PGF2, PGI2) may be synthesized from their precursor, the arachidonic acid. PGI2 was shown to exert a vasodilating action on isolated bovine retinal arterioles,[172] and acts as a vasodilator in rabbit eyes.[173] Microinjections of PGE2 induced a segmental vasodilation[119] of the retinal arterioles.

Perfusion of the eye either through the sublingual artery or microinjections close to the retinal arterioles by inhibitors of PG synthase (indomethacin) produced a transitory reversible vasoconstricton of the retinal arterioles in normoxia/normocapnia as well as inhibition of the retinal vasodilation normally induced by hypercapnia,[119] in contrast did not affect the hypoxia nor lactate-induced vasodilation.[127] Thus, vasodilater PG release, as in the brain,[174] should be a possible mechanism maintaining either the arteriolar tone in normocapnia or of hypercapnia-induced arteriolar vasodilation, but the hypoxia and lactate induce vasodilation through a PG independent pathway. PGE2 and PGF2 are the predominant PGs produced by the retina and choroid and potentially plays a role during physiological adaptations, such as hypercapnia and autoregulation.[175,176]

Endothelins

Are a family of three 21-amino-acid peptides secreted by a variety of cells in the eye.[177] Three members of the ET family have been identified so far: ET-1, ET-2, and ET-3,[178] and two subtypes of receptors with different sensibilities to the three isoforms.

ETA receptor, which is expressed on vascular smooth muscle cells and pericytes,[179] is characterized by a very high affinity to ET-1. ET-1 is the most potent vasoconstricting substance known and has been shown to induce vasoconstriction after intravitreal injection in rabbit,[180] cat,[181] and rat retinal arterioles.[182] ET-1 affects smooth muscle cells and pericytes,[141] and contributes to induced retinal vasoconstriction in human retinal arterioles in normoxia and hyperoxia.[183,184]

Two types of ETB receptors have been identified. The ETB1 receptor, which is expressed in endothelial cells, has equal affinity for each ET isoform and mediates vasorelaxation through release of NO in the pulmonary circulation of lambs under physiological conditions[185] or under hypoxia.[186] The activation of ETB1 receptors elicits also the release of NO in the rat[187] and rabbit kidney.[188]

ETB receptors have been identified in cultured bovine retinal pericytes[179] and endothelial cells,[186,189] suggesting a similar vasodilating effect through NO release in the retina. ETB blockage induces a sustained hypertension in conscious nonhuman primates, which is mediated by ETA receptors. These data suggest that ETB1 receptors might influence arterial blood pressure homeostasis by reducing plasma ET-1 levels and minimizing ETA activation.[190] The ETB2receptor has a high affinity for ET-3 and mediates direct vasoconstriction.[191]

Role of lactate

The mammalian retina has been found to possess an unusually high rate of glycolysis: ?70% of the total glucose utilized by the retina is converted to lactate.[7] Lactate released by isolated Müller cells is metabolized by photoreceptors.[192] In addition, 70% of oxygen consumption in the retina is due to the oxidation of glucose to CO2.[6] Systemic hypoxia induces an increase in the retinal lactate release,[7]which potentially affects the arteriolar tone as preretinal microiniections (30-100nL) of L-lactate (0.5 mol, pH 7.4) close to the retinal arterioles locally dilate the arteriolar wall.[127]

Since retinal metabolism produces significant amounts of L-lactic acid which crosses cell membranes, it is not yet clear whether lactic acid microinjected into the preretinal vitreous exerts its effect on the endothelial cells or on the smooth muscle cells by interfering with the metabolism of cells surrounding the arterioles. Indeed, lactate could be transported from the vitreous side of the vascular wall by means of a specific transporter,[193] which affects endothelial cell metabolism, and thus induces endothelial release of vasoactive substances.

Intravenous administration of sodium lactate increases retinal bood flow.[194] Since intracellular and extracellular lactate to pyruvate ratios are in near equilibrium, which is established by monocarboxylate transporters,[73,74] intravenously injected lactate could be transported affecting the endothelial cell metabolism, inducing endothelial release of vasoactive substances (i.e., NO) or could exert its effect on the smooth muscle cells by interfering with the metabolism of cells surrounding the arterioles. Indeed, the increase of the lactate-to-pyruvate ratio leads to reduction of the NADH-to-NAD+ ratio which in turn increases the intracellular NADH concentration,[195] inducing an increase of retinal blood flow in stimulated retina.[196,197]

AUTOREGULATION OF THE RETINAL BLOOD FLOW

The autoregulation of the blood flow in a tissue vascular bed is defined as the ability of the tissue to maintain its blood flow relatively constant despite moderate variations of perfusion pressure.[198,199] This can be achieved to the some extent, by changing the vascular resistance. This occurs through changes of the contractile state of the arterioles and possibly of the capillary pericytes. Changes in vessel tone have been observed both as a physiologic adaptation and in pathologic conditions. As retinal vessels are not sympathetically innervated, the mechanism which underlies the autoregulation of retinal blood flow is the balanced result of a myogenic component and metabolic component i.e., interactions between factors release by the retinal metabolism and the vascular endothelium.

Myogenic Mechanism

By means of a myogenic mechanism, with the increase or decrease of the PPm, the arterioles constrict or dilate respectively, in order to regulate the blood flow to constant values (i.e., autoregulation). However, regulation becomes ineffective when the perfusion pressure rises or falls beyond certain limits.

The variation in the vascular transmural pressure difference serves as the stimulus for a myogenic mechanism. This happens by changing the vascular resistance during moderate modifications in perfusion pressure, a mechanism which resembles that of kidney and brain. Pacemakers cells in the arteriolar wall may modify the arteriolar tone and consequently, adapt the vascular resistance.[96]

Endothelium dependent regulation of ophthalmic arteries tone during quick strech[200-202] and a contracting endothelium-derived factor[203] released during increase in transmural pressure seems to be other components of the myogenic autoregulation. Ion channels in endothelial cells may act as mechanotransducers, accounting for the apparent capacity of the endothelium to sense mechanical forces and respond to them.[204] Indeed, L-type voltage-gated calcium channels are involved in transforming the stretch of the vascular smooth muscle cells induced by an increase of the intraluminal pressure into a contraction.[205] However, depolarization-independent mechanisms on the vascular smooth muscle seem to be involved, as after depolarization of the vascular smooth muscle by K+ (120 mM) a pressure-induced contraction is still observed.[206]

The Metabolic Control

The metabolic control of the retina is defined as the effect of factors released by tissue metabolism, which strives to optimize the blood flow according to the metabolic needs of the tissue. The retinal circulation adapts very well to changes in retinal metabolism. During flicker stimulation the increased metabolism of retinal tissue[207,208] is coupled to an increase in retinal and ONH perfusion.[209-211]

In cerebral[212] and ocular circulation, NO is in part responsible for the functional vasodilation. A role for NO was also established in neurovascular coupling in the eye as diffuse flicker light stimulation induces an increase of the retinal[213] and ONH blood flow, associated with a transient increase of NO.[214] The retinal blood flow flicker response is blunted by NOS inhibition.[215] In healthy young subjects, the contribution of basal NO release on retinal vascular tone, was investigated using Zeiss retinal vessel analyzer. L-NMMA significantly reduced arterial diameter (3 mg/kg: -2%) and venous diameter (3 mg/kg: -5%). In addition, the flicker induced vasodilation of the human retinal vasculature was significantly attenuated.[216]

In dogs, inhibition of NO release by intravenous perfusion of L-NMMA induces a 40% decrease in the choroidal blood flow without any significant modifications of the retinal blood flow.[217] Perfusion of the eye either through the sublingual artery by inhibitors of PG synthase (indomethacin) produced a transient reversible vasoconstricton of the retinal arterioles in normoxia/normocapnia[127] suggesting that in the retina, vasodilating substances release non affected by PGs inhibitors i.e., NO release, adapt the vascular tone, leading to regulation of retinal blood flow.

Interaction between the two mediators has been provided previously in other preparations[218-222] could be a possible mechanism affecting either the arteriolar tone in normocapnia or the hypercapnia-induced retinal arteriolar vasodilation.[223] In addition, endothelium-derived NO has been reported to be a vasodilating mediator in response to hypoxia in retinal vessels in cats.[224]

AUTOREGULATION OF THE CHOROIDAL BLOOD FLOW

Autonomic Regulation of the Choroidal Blood Flow

The choroidal vasculature is richly innervated by vasoactive nerves. Stimulation of the cervical sympathetic chain in monkeys had no effect on blood flow through either the retina or ONH,[225] in contrast to the marked reduction of the choroidal blood flow in monkeys and cats.[225,226] The choroidal vessels contain alpha-adrenergic vasoconstrictor receptors but no beta-adrenergic vasodilator receptors. Thus, alpha-adrenergic agonists constrict the long posterior ciliary arteries in vitro and reduce blood flow through the choroid, while beta-adrenergic agonist iso-proterenol has no effect.[56]

Choroidal blood flow changes very little during sudden increments in blood pressure, as an increased sympathetic activity and consequent vasoconstriction of the choroidal vessels maintain choroidal blood flow constant.[92,227] The choroidal blood flow seems to be regulated by the autonomic nervous system by alpha adrenergic receptors located at the choroidal vessels. This control represents a protective mechanism during the flight or fight response, as well as during moderate hypertension.[209,227] Loss of sympathetic innervation may cause an almost linear choroidal perfusion pressure-flow relationships[227]leading to accumulation of fluid in the retina and retinal edema. This is important in diseases such as diabetes and hypertension, in which autonomic control is altered.

Decreases in mean arterial pressure with the IOP are held constant, even if inducing a decrease in the perfusion pressure, do not affect choroidal blood flow, which is maintained by a myogenic mechanism at constant values.[228]

However, a lack of choroidal autoregulation and linear choroidal perfusion pressure-flow relationships have been obtained in studies where the perfusion pressure gradient was decreased by raising the venous pressure with ramp or step increases in intraocular pressure.[88,143,229] Due to lack of choroidal autoregulation, during increments of intraocular pressure, the PO2 in the choroid and the outer retina decreases.[112]

Electrical stimulation of the parasympathetic vasodilator fibers, provided to the choroid through the facial nerve, results in marked vasodilation in the uvea and increased blood flow.[230,231] In rabbits NO at low frequences[61] and VIP released at high frequences,[62] may be the transmmitters for the effect of the stimulation of the facial nerve. The physiological importance of the parasympathetic system in the regulation of the choroidal blood flow, though, is yet to be defined.

Role of NO

A neuronal NO release has been identified in autonomic nerves in the choroid,[63] confirming the role of perivascular nerve fibers around choroidal vessels staining for NOS.[64] Studies in rabbits[232] showed evidences for a continuous neuronal NO-induced vasodilator tone in the choroid.

Several animal experiments indicate that NO plays an important role in the maintenance of basal vascular tone in the choroid. Deussen and co-workers first established NO as a major determinant of uveal blood flow using intravenous infusion L-NMMA in dogs and the radioactive microsphere technique. Despite an increase in mean arterial pressure of 20 mmHg the authors observed a significant decrease in choroidal blood flow (-40%), ciliary body blood flow (-40%) and iris blood flow (-48%) and a slight reduction in retinal blood flow (-12%).[217] These experiments were confirmed in cats by using LDF, where L-NA reduced choroidal blood flow in a dose-dependent fashion despite an increase in systemic blood pressure.[233] The observation that NO is a major determinant of choroidal blood flow was confirmed in a variety of studies using the radioactive microsphere technique and LDF in various species.

In humans, L-NMMA induced a fundus pulsation amplitude (FPA) reduction, indicating that the choroid is particularly sensitive to changes in NO release. L-NMMA induced a slight increase in systemic blood pressure and reduced NO content in the exhaled air by ?50%[234] indicating that L-NMMA is capable of reducing endogenous NO production. Similar findings in humans where the choroidal perfusion was assessed with LDF, indicated a dose-dependent reduction of the choroidal blood flow parameter after administration of L-NMMA.[235] In addition, endothelium-derived NO has been reported to be a vasodilating mediator in response to marked hypoxia in the forearm resistant vessels in healthy humans,[236] in interaction with vasodilating PGs.[237,238] These results clearly indicate that NO is physiologically released in human choroidal vessels. However the reduction of endogenous NO production by the l-NMMA does not mean that NO production from NOS-1 and/or NOS-3 was inhibited by the same extent in the choroid. An interaction between NO and ET1in the choroid has been speculated, as ET-1 causes vasoconstriction of choroidal blood vessels when injected intravenously in cats only when the release of NO was inhibited.[239] In fact the effect of ET1 on a vascular bed apart from causing vasoconstriction, it can also release both the vasodilators PGI2and NO.[240]

PHYSIOPATHOLOGY OF THE RETINAL AND CHOROIDAL CIRCULATION

RETINAL CIRCULATION

Acute retinal ischemia following experimental occlusion of the retinal arterioles, induces drop of the inner retinal PO2 leading to anoxic damage of the inner retinal cells.[123,241,242] Retinal areas affected by acute branch vein occlusion (BRVO) reveal also a inner retinal tissue hypoxia,[132,243,244] as oxygen diffusing from the choroid does not reach the inner retina. Accordingly, a hypoxic damage of the neuronal cells of the inner retina. has been confirmed by histological data.[245,246] Tissue hypoxia is probably secondary to a decrease of blood flow in the affected retinal areas, secondary to myogenic vasoconstriction of the retinal arterioles or a decrease of NO release.[247]

During systemic hyperoxia, O2 diffusing from the choroid supplies also the inner ischemic retina affected by an acute BRVO.[123] A decrease of PO2 of the damaged inner retinal neuronal layers, enables oxygen to diffuse from the choroid and increases the inner retinal PO2. In contrast, 100% O2 breathing fails to produce an increase in PO2 in the center of fresh anoxic postarteriolar embolism foci.[248] Thus hyperoxia could be a useful way to prevent hypoxic inner retinal layers damage, in eyes with vein occlusion.

Carbogen breathing significantly increased preretinal PO2 in normal and in ischemic postexperimental BRVO areas of mini-pigs. The concomitant use of acetazolamide injection and carbogen breathing or hyperoxia could restore an appropriate oxygenation of BRVO areas. Acetazolamide induced an increase of the preretinal PO2 to a greater extent when it was associated with carbogen breathing than when it was combined with hyperoxia.[132,249]

However, this finding conflicts with previous data obtained in humans.[249,250] Indeed, the ischemic retina, even if adequately supplied with oxygen, still requires a supply of other metabolites, such as glucose, to maintain a normal function.

Ischemia-Induced Retinal Metabolic Changes

Glutamate uptake

Electrophysiological and pharmacological evidence support the notion that glutamate is the main excitatory neurotransmitter in various regions of the brain and the vertebrate retina.[251-255] In the retina, it can be electrogenically taken up by neuroglial Müller cells and astrocytes.[256-258] In astrocytes, glutamate is predominantly converted to glutamine through an ATP-requiring reaction catalyzed by the astrocytes specific glutamine synthase. Glutamine released by astrocytes is taken up by neurons to replenish the neurotransmitter pool of glutamate.[259] This uptake has physiological significance since there is no extracellular enzyme to degrade glutamate. Therefore, some cells have to take up glutamate in order to facilitate its clearance by diffusion from the synaptic clefts and to maintain synaptic function.

Glutamate transport into astrocytes triggers aerobic glycolysis in the glial cells, utilization of glucose and lactate production.[258,259] Glutamate-stimulated increase in glucose uptake and phosphorylation in the astrocytes is abolished in the absence of sodium in the extracellular medium, which is consistent with the necessity of an electrochemical gradient for the ion to drive glutamate uptake. The intracellular increase of sodium leads to the activation of the Na+/K+-ATPase which triggers aerobic glycolysis and lactate production. Once lactate is released, it can be transformed by neurons into pyruvate and enter the TCA cycle to serve as an energy fuel. One molecule of lactate entering the TCA cycle can yield in normoxic conditions 17 ATPs.[260]

Since glutamate uptake is electrogenic and strongly dependent on trans-membrane Na+ influx, ischemia, by causing a decrease in ATP concentration in the cell and, in turn, inhibition of the Na+ pump, or high extracellular K+ conditions, impairs the uptake of glutamate in Müller cells or astrocytes.[261] Intravitreal measurement demonstrates a significant glutamate increase in the rabbit vitreous following ischemia-reperfusion induced by large increases of the intraocular pressure.[262,263]

However, measurements done before and following experimental BRVO failed to demonstrate a glutamate increase following the occlusion (personal findings). We cannot exclude that artifacts induced by various amino-acid modifications in the vitreous after the occlusion (like the observed preretinal vitreous exudation from the occluded vein) were not responsible for altered measurements. Yet, measurement of glutamate release in the retina and the cerebral cortex by a microdialysis electrode perfused with L-glutamate oxidase, as well as the recording of the current evoked between two voltage-clamped electrodes, indicated differences between retina and cerebral cortex glutamate release following ischemia/reperfusion. More specifically, ischemia was reported to induce in the retina a decrease of preretinal glutamate release, in contrast to the increase induced in the cerebral cortex. Glutamate release changes were reversible following reperfusion.[264]

Thus, in vivo data are lacking with regard to the extracellular glutamate concentration and glutamate-mediated neurotoxicity in acute ischemia/hypoxia induced by BRVO. That knowledge would be crucial for the application of neuroprotective treatments.

Preretinal L-lactate measurements

Preretinal lactate release was measured, lactate-sensitive microelectrodes, following experimental BRVO. Following a steady state measurements, an experimental BRVO 30 min after the occlusion induced a significant decrease in preretinal lactate (83.4 ± 10.0%, n = 10, p <0.01) compared with the values measured before BRVO. One hour after BRVO, a 76.4 ± 12.9% decrease in preretinal lactate (n = 10, p < 0.01) was measured. Two hours later, this decrease was 58 ± 20.0% (n = 9, p <0.01). Four hours after BRVO, the preretinal lactate was not further decreased (58 ± 11.3%, n = 5, p < 0.01).[265] Those results suggest that acute BRVO increases the venous blood pressure upstream to the occlusion and strongly decreases the capillary blood flow and thus the flux of glucose from the plasma to Müller cells. Impaired glycolysis could lead to a decrease in preretinal lactate as measured in our experiments. Perturbation of glycolysis, worsened by hypoxia, could provoke retinal metabolism modifications leading to cellular dysfunction and death.

The role of NO

The role of NO in the pathophysiology of focal ischemia in the central nervous system is complex, since both modifications in constitutive and induced NO release are implicated. Previous studies showed that NO could protect brain tissue during focal ischemia[266] by acting on blood vessels and platelets,[149] whereas it could increase ischemic damage by mediating neurotoxicity[19] and by contributing to delayed cell death.[20]

Neurotoxicity has been reported to be associated with NO by excessive stimulation of the NMDA receptors.[267] Postsynaptic NMDA-receptor activation could lead to an intracellular increase in NO production, which in turn would cause nitrosylation of thiols (inhibition of GAPDH), DNA nitration, oxidation of intracellular protein sulfhydrils, and inhibition of mitochondrial respiration by binding to iron-sulfur complexes.[19] NO can also act as a second messenger on neighboring cells, leading to an excessive increase in cGMP, which is an intracellular effector regulating many vital cell functions, such as the transduction of light signals in retinal photoreceptor cells.[268]

NO can also elicit an indirect neurotoxicity via formation of peroxynitrite (ONOO?), which decomposes to another reactive oxygen species related to the hydroxy free radical (OH?) and to the radical nitrogen dioxide (NO2), which is a potent activator of lipid peroxidation. This form of toxicity is mainly related to late inflammatory reaction and/or reperfusion of an injured area.[19,269,270]

Because of the complex role played by NO and its potential implication in both neurotoxicity and free radicals toxicity, experiments aiming at suppressing or increase NO release have been conducted in the past years. It has been shown that selective inhibition of inducible NO synthase by aminoguanidine diminishes the cerebral ischemic damage in a rat model,[271] whereas supplementation of NO by the NO-donor nitroprusside can improve blood flow and reduce brain damage after focal ischemia.[272] Constitutive NO release is probably impaired in the first hours after the onset of ischemia in the mammalian brain; increasing local NO availability during the first hours following the onset of ischemia could improve blood flow and be neuroprotective.[273]

In the aorta and cerebral vessels from hypercholesterolemic rabbits with impaired endothelium-dependent relaxation, L-arginine restores the vasodilator response to achetylcholine.[274,275] In pulmonary arteries and cultured endothelial cells, depletion of L-arginine causes a loss of endothelium-dependent relaxation that is reversible with addition of extracellular L-arginine.[276] In humans, the effect of NOS inhibition by bolus infusion of 3 mg/kg of L-NMMA over 5 min on the renal vasculature can be reversed by simultaneous infusion of L-arginine (17 mg kg?1 min?1 over 30 min).[277]

In the long term evolution of ischemic microangiopathies, as retinal vein occlusion or diabetic microangiopathy, the hemodynamic modifications on the retinal vascular bed leads to the formation of ischemic areas, where the blood flow decreases, as it was measured by LDV in diabetic patients with PDR[278] and animals following experimental branch vein occlusion.[279] Preretinal tissue hypoxia was measured at the ischemic areas as probably the oxygen which diffuses from both the large retinal vessels and the choroid, does not reach the ischemic inner retinal territories.[280-282] Eyes with ischemic microangiopathy complicated by neovascularization have poor clinical prognosis as a result of the abnormal structure and function of the new vessels.[283-285] The clinical appearance and the fine structure of new vessels, in experimental ischemic microangiopathy,[281] are similar to those observed in human eyes with vasoproliferative microangiopathy. The new vessels are composed by continuous-type, endothelial cells, surrounded by a basal lamina and pericytes. The intercellular junctions of the endothelial cells were scarce, fusion plates are observed occasionally and exceptionally the endothelial cell fenestrations (Fig. 126.10).

Click to view full size figure

FIGURE 126.10 (a) Semithin section through the vitreoretinal interface over an ischemic retinal area (R) shows a new vessel lying on the modified vitreoretinal interface. L, vessel lumen; ILM, internal limiting membrane. (b) Electron microscopy shows an interendothelial junction of a new vessel with nonfenestrated endothelium that had grown intravitreally. E, endothelial cell. (c) Electon microscopy of a fenestrated (arrow) endothelial cell of a new vessel lying intravitreally in experimental vasoproliferative microangiopathy in miniature pigs. V, vitreous.

Neovascularization, that occurs in ischemic/hypoxic retinal areas support the hypothesis that it is tissue hypoxia that triggers neovascularization. Tissue hypoxia indirectly affects the new vessels growth by the release of growth modulators by the endothelial cells and modyfing the response of the endothelial cells to growth modulators (probably via receptor upregulation).

An increase in hypoxia-inducible factor-1 (HIF-1) expression has been shown to be correlated with vascular endothelial growth factor (VEGF) expression both during normal and pathologic retinal vascularization in mouse which confirms the essential role of hypoxia in the regulation of VEGF expression in the retina.[286]

In addition, in retinal or nonocular microvascular endothelial cells cultures, the release of factors as insulin growth factor-I (IGF-I),[287] platelet-derived growth factor (PDGF),[288] VEGF,[289] tissue plasminogen activator (t-PA) and its inhibitor PAI-I (factors which modulate extracellular matrix turnover),[290,291] increases under steps of hypoxia. Moreover basic fibroblast growth factor (bFGF), acts as a potent stimulator of endothelial cells in culture to form capillary-like tubules,[292] and induces cellular growth if added to hypoxic cultures of aortic capillary endothelial cells.[293]

The production of the VEGF, known to induce angiogenesis in ischemic regions of tumors,[289,294] was detected in retinas with ischemic microangiopathy[295-297] and in the vitreous of human eyes with proliferative diabetic retinopathy.[298-300] Hypoxia is considered a functional stimulus for VGEF expression in the ischemic regions of tumors and retina.[289,301,302] In ischemic retinas of adult primates, VEGF gene expression was reduced by systemic hyperoxia which reverses the retinal tissue hypoxia.[282]

CHOROIDAL CIRCULATION

Choroidal Pressure Gradients

Even though there is marked permeability of the choriocapillaris (as discussed earlier), very little fluid flows into or out from the extravascular space. Colloid osmotic pressure gradient across the choriocapillary is 8-9 mmHg toward the lumen of the vessels resulting in a tendency to absorb fluid into the choriocapillaris.[303] The hydrostatic pressure in the choriocapillaris is 7-8 mmHg above the intraocular pressure.[304] Thus the hydrostatic pressure gradient across the walls of the choriocapillaris is about the same as the colloid osmotic pressure, resulting in little or no net flow between the choroidal vascular bed and the extravascular space. Any change in the hydrostatic or colloid-osmotic pressures of the choroid would disturb the Starling equilibrium causing a net filtration or absorption of choroidal extravascular fluid. A marked increase in the hydrostatic pressure causing spontaneous choroidal detachment has been reported in patients with arteriovenous fistulas of the cavernous sinus.[305] A sudden reduction in IOP brings about the same effect, as transient choroidal detachments are common after intraocular surgery.[306]

Choroidal Blood Flow and Aging

It was proposed that reduced blood flow through sclerotic choroidal arteries would reduce perfusion mainly in the periphery (watershed area) of the area supplied by one short posterior ciliary artery. The submacular area is a meeting place for many such watershed zones, which could explain the tendency of the macula to undergo degenerative changes. There is evidence that when light is focused on the macula, it causes a much higher rise in temperature, whenever choroidal blood flow is reduced.[101] Dilated choroidal arteries in the submacular area were observed on choroidal angiography in about half the patients suffering of age related macular degeneration.[81] Although, degeneration of the RPE and Bruch's membrane alterations seems to be crucial alterations in age related macular degeneration, they are unlike to be due to reduced choroidal blood flow. Indeed, considering the enormous flow rate through the choroid, the nutrition of these tissues should not be at risk.

Choroidal Vascular Occlusions

The existence of anatomic connections between the lobules in the choriocapillaris (as discussed earlier) suggests that ischemic lesions caused by vascular occlusions are rare in the choroid. However, induced choroidal ischemia tends to have a segmental geographic pattern not consistent with alternative flow through rich anastomotic channels. Choroidal blood flow is functionally segmented, and the precapillary arterioles act as end-arterioles.[35,307,308] The occlusion of a single end arteriole in the choriocapillaries lobule leads to the development of small circumscribed pigmented lesions the so called Elschnig's spots. A number of systemic diseases as systemic hypertension, toxemia of pregnancy, disseminated intravascular coagulopathy, acute posterior multifocal placoid pigment epitheliopathy, giant cell arteritis, Goodpasture's syndrome, and sickle cell disease induces this pattern of choroidal lesions.[309]

Occlusion of larger choroidal arteries, such as short posterior ciliary ones, causes triangular areas of chorioretinal damages much smaller than expected.[307] Moreover, ischemic lesions of the choroid tend to resolve rapidly over several days, much faster than expected by recanalization of a single terminal arteriole.[310,311] Similar observations have been reported first by Amalric after large sectorial choroidal ischemia caused by temporal arteritis or carotid obstruction.[312] Thus, it seems that if the RPE and the outer retina can survive even under marked reductions in choroidal blood flow.

The anatomically observed anastomotic channels which connects the lobules together and do not seem to contribute to the pattern of blood flow in normal states, may play a role in the regulation of flow, when the blood flow or perfusion pressure is markedly reduced in adjacent lobules as this occurs during ischemia.[309,313] A partial late filling from episcleral and pial arteries, as retrograde filling from the vortex veins have also been advocated.[314,315] Complete abolition of choroidal blood supply would destroy both the RPE and the photoreceptors.[316,317] Occlusion of the vortex veins without arterial occlusion causes venous stasis, with a generalized breakdown of the blood aqueous barrier. Occlusion of two or more vortex veins results in hyphema, forward movement of the iris-lens diaphragm, and increased intraocular pressure.[47]

SUMMARY

The vascular tone of the resistant vessels (arterioles, capillaries) in the eye is modulated by the interaction of multiple mechanisms affecting the arteriolar smooth muscle and the vascular pericytes. The retinal blood flow is autoregulated by the interaction of myogenic and metabolic mechanisms through the release of vasoactive substances by the retinal tissue surrounding the arteriolar wall and/or the vascular endothelium. Mechanical stretch and increases in arteriolar transmural pressure evoke the release of contracting factors by the endothelial cells; NO or lactate, released during neuronal activity and energy-generating reactions of the retina, strive to optimize blood flow according to the metabolic needs of retinal tissue. A close interaction between PG and NO metabolic pathways indicates that, when one system is inhibited, the other could rapidly compensate for the deficient system, and maintain constant blood flow. The interaction of those metabolic pathways is probably implicated in the control of the vasomotion and autoregulation in the inner retina. Therefore, it appears that the impairment of structure and function of the retinal neuronal tissue and endothelium is the mechanism of retinal blood abnormal regulation observed during the evolution of ischemic microangiopathies.

REFERENCES

1. Group DRSR: Preliminary report of effects of photocoagulation therapy. Am J Ophthalmol 1976; 81:383-396.

2. Group DRSR: Photocoagulation treatment of proliferative diabetic retinopathy: clinical application of diabetic retinopathy study (DRS) findings. DRS report number 8. Ophtalmology 1981; 88:583-600.

3. Group BVOS: Argon laser scatter photocoagulation for prevention of neovascularization and vitreous hemorrhage in branch vein occlusion. Arch Ophthalmol 1986; 104:34-41.

4. Leibowitz HMK, Maunder DE, Milton LR, et al: The Framingham Eye Study monograph: an ophthalmological and epidemiological study of cataract, glaucoma, diabetic retinopathy, macular degeneration, and visual acuity in a general population of 2631 adults, 1973-1975. Surv Ophthalmol 1980; 24(Suppl):335-610.

5. Cohen LH, Noell WK: Glucose catabolism of rabbit retina before and after development of visual function. J Neurochem 1960; 5:253-276.

6. Winkler BS: Glycolytic and oxidative metabolism in relation to retinal function. J Gen Physiol 1981; 77:667-692.

7. Winkler BS: The intermediary metabolism of the retina: biochemical and functional aspects. Am Acad Ophtalmol 1983; 77:227-242.

8. Biochemistry of the retina. In: Graymore CN, ed. Biochemistry of the eye, London: Academic Press; 1970:645-735.

9. Kimble EA, Svoboda RA, Ostroy SE: Oxygen consumption and ATP changes of the vertebrate photoreceptor. Exp Eye Res 1980; 31:271-288.

10. Weiter JJ, Zuckerman R: The influence of the photoreceptor-RPE complex on the inner retina. An explanation for the beneficial effects of photocoagulation. Ophthalmology 1980; 87:1133-1139.

11. Tsacopoulos M: Physiopathology of the uveal circulation. J Fr Ophtalmol 1979; 2:134-142.

12. Linsenmeier RA: Effects of light and darkness on oxygen distribution and consumption in the cat retina. J Gen Physiol 1986; 88:521-542.

13. Penn RD, Hagins WA: Kinetics of the photocurrent of retinal rods. Biophys J 1972; 12:1073-1094.

14. Rothman SM, Olney JW: Glutamate and the pathophysiology of hypoxic-ischemic brain damage. Ann Neurol 1986; 19:105-111.

15. Choi DW: Cerebral hypoxia: some new approaches and unanswered questions. J Neurosci 1990; 10:2493-2501.

16. Stys PKR, Waxman BR, Davis SG, et al: Role of extracellular calcium in anoxic injury of mammalian central white matter. Proc Natl Acad Sci USA 1990; 87:4212-4216.

17. McCord JM: Oxygen-derived free radicals in postischemic tissue injury. N Engl J Med 1985; 312:159-163.

18. Traystman RJ, Kirsch JR, Koehler RC: Oxygen radical mechanisms of brain injury following ischemia and reperfusion. J Appl Physiol 1991; 71:1185-1195.

19. Dalkara TM: The complex role of nitric oxide in the pathophysiology of focal cerebral ischemia. Brain Pathol 1994; 4:49-57.

20. Dawson DTVL, London ED, Bredt DS, Snyder SH: Nitric oxide mediates glutamate neurotoxicity in primary cortical culture. Proc Natl Acad Sci USA 1991; 88:6368-6371.

21. Wise GN, Dollery CT, Henkind P: The retinal circulation, New York: Harper and Row; 1975:20-82.

22. Hayreh SS: The cilio-retinal arteries. Br J Ophthalmol 1963; 47:71-89.

23. Rungger-Brandle EM, Niemeyer JM, Eppenberger HMG: Confocal microscopy and computer-assisted image reconstruction of astrocytes in the mammalian retina. Eur J Neurosci 1993; 5:1093-1106.

24. Zhang Y, Stone J: Role of astrocytes in the control of developing retinal vessels. Invest Ophthalmol Vis Sci 1997; 38:1653-1666.

25. Henkind P, De Oliveira LF: New observations on the radial peripapillary capillaries. Invest Ophthalmol Vis Sci 1967; 6:103-108.

26. Henkind P, De Oliveira LF: Development of the retina vessels in the rat. Invest Ophthalmol Vis Sci 1967; 6:520-523.

27. Hogan MJ, Feeney L: The ultrastructure of the retinal blood vessels. I. The large vessels. J Ultrastruct Res 1963; 39:10-28.

28. Henkind P, De Oliveira LF: Retinal arteriolar annuli. Invest Ophthalmol 1968; 7:584-591.

29. Shakib M, Cunha-Vaz JG: Studies on the permeability of the blood-retinal barrier. IV. Junctional complexes of the retinal vessels and their role in the permeability of the blood-retinal barrier. Exp Eye Res 1966; 5:229-234.

30. Hirschi KK, D'Amore PA: Pericytes in the microvasculature. Cardiovasc Res 1996; 32:687-698.

31. Krebs W, Krebs IP: Quantitative morphology of the central fovea in the primate retina. Am J Anat 1989; 184:225-236.

32. Sattler H: Uber den feineren Bau der choroidea des Mensche. Beitragen zur pathologischen un vergleichenden Anatomie des Aderhaut. Von Graefe's Arch 1976.428-440.

33. Nuel IP: De la vascularisation de la choroide et de la nutrition de la rétine principalement au niveau de la fovea centralis. Arch Ophthalmol 1992.70-87.

34. Weiter JJEJT: Anatomy of the choroidal vasculature. Am J Ophthalmol 1974; 78:583-590.

35. Hayreh SS: Segmental nature of the choroidal vasculature. Br J Ophthalmol 1975; 59:631-648.

36. Shubert HD: Topographic anatomy of the central retina and segmental choroidal circulation. In: Yannuzzi LA, Slatker JS, ed. Indocyanine green angiography, St Louis: Mosby; 1997:18-23.

37. Hayreh SS: Physiological anatomy of the choroidal vascular bed. Int Ophthalmol 1983; 6:85-93.

38. Carella E, Carella G: Microangioarchitecture of the choroidal circulation using latex casts. In: Yannuzzi LA, Slatker JS, ed. Indocyanine green angiography, St Louis: Mosby; 1997:24-28.

39. Hayreh SS: Submacular choroidal vascular pattern. Experimental fluorescein fundus angiographic studies. Albrecht Von Graefes Arch Klin Exp Ophthalmol 1974; 192:181-196.

40. Hayreh SS: The long posterior ciliary arteries. An experimental study. Albrecht Von Graefes Arch Klin Exp Ophthalmol 1974; 192:197-213.

41. Heimann K: Development of blood vessels in the macular-choroidal zone. Klin Monatsbl Augenheilkd 1970; 157:636-642.

42. Torczynski E, Tso MO: The architecture of the choriocapillaris at the posterior pole. Am J Ophthalmol 1976; 81:428-440.

43. Fryczkowski AW, Sherman MD, Walker J: Observations on the lobular organization of the human choriocapillaris. Int Ophthalmol 1991; 15:109-120.

44. Hayreh SS: The choriocapillaris. Albrecht Von Graefes Arch Klin Exp Ophthalmol 1974; 192:165-179.

45. Fryczkowski AW: Topographic anatomy of the central retina and segmental choroidal circulation. In: Yannuzzi LA, Slatker JS, ed. Indocyanine green angiography, St Louis: Mosby; 1997:29-34.

46. Torczynski E: In: Duane TD, ed. Choroid and suprachoroid. Biomedical foundations of ophthalmology, Philadelphia: JB Lippincott; 1987.

47. Hayreh SS, Baines JA: Occlusion of the vortex veins. An experimental study. Br J Ophthalmol 1973; 57:217-238.

48. Hogan MJ, Alvarado JA, Weddel JE: Histology of the human eye, Philadelphia: Saunders Publishers; 1971:369.

49. Bill A, Tornquist P, Alm A: Permeability of the intraocular blood vessels. Trans Ophthalmol Soc UK 1980; 100:332-336.

50. Spitznas M, Reale E: Fracture faces of fenestrations and junctions of endothelial cells in human choroidal vessels. Invest Ophthalmol 1975; 14:98-107.

51. Sugita A, Hamasaki M, Higashi R: Regional difference in fenestration of choroidal capillaries in Japanese monkey eye. Jpn J Ophthalmol 1982; 26:47-52.

52. Korte GE, Reppucci V, Henkind P: RPE destruction causes choriocapillary atrophy. Invest Ophthalmol Vis Sci 1984; 25:1135-1145.

53. Chylack Jr LT, Bellows AR: Molecular sieving in suprachoroidal fluid formation in man. Invest Ophthalmol Vis Sci 1978; 17:420-427.

54. Ehinger B: Adrenergic nerves to the eye and to related structures in man and cynomolgus monkey. Invest Ophthalmol Vis Sci 1966; 5:42-52.

55. Laties AM: Central retinal artery innervation. Absence of adrenergic innervation to the intraocular branches. Arch Ophthalmol 1967; 77:405-409.

56. Dalske HF: Pharmacological reactivity of isolated ciliary arteries. Invest Ophthalmol 1974; 13:389-392.

57. Denis P: Elena PP: Retinal vascular beta-adrenergic receptors in man. Ophtalmologie 1989; 3:62-64.

58. Ferrari-Dileo GD, Anderson EBDR: Angiotensin binding sites in bovine and human retinal blood vessels. Invest Ophthalmol Vis Sci 1987; 28:1747-1751.

59. Ruskell GL: Facial parasympathetic innervation of the choroidal blood vessels in monkeys. Exp Eye Res 1971; 12:166-172.

60. Stone RAT, Tervo T, Tarkkanen K: A Vasoactive intestinal polypeptide-like immunoreactive nerves to the human eye. Acta Ophthalmol (Copenh) 1986; 64:12-18.

61. Nilsson : Nitric oxide as a mediator of parasympathetic vasodilation in ocular and extraocular tissues in the rabbit. Invest Ophthalmol Vis Sci 1996; 37:2110-2119.

62. Nilsson : Vasoactive intestinal paptide (VIP): effects on the eye and on the regional blood flow. Acta Physiol Scand 1984; 121:385-392.

63. Bredt DS, Hwang PM, Snyder SH: Localization of nitric oxide synthase indicating a neural role for nitric oxide. Nature 1990; 347:768-770.

64. Lötjen-Drecoll E: Funktionelle Morphologie der Aderhaut mit sberraschungen 1998; WS:

65. Büngard M: The three-dimensional organisation of tight jonctions in a capillary endothelium revealed by serial-section microscopy. J Ultrastruct Res 1984; 88:1-17.

66. Carlson EC: Fenestrated subendothelial basement membranes in human retinal capillaries. Invest Ophthalmol Vis Sci 1989; 30:1923-1932.

67. Grotte G: Passage of dextran molecules across the blood-lymph barrier. Acta Chir Scand 1956; 211:1-84.

68. Crone C: The Malpighi lecture. From 'Porositates carnis' to cellular microcirculation. Int J Microcirc Clin Exp 1987; 6:101-122.

69. Neuhaus J, Risau W, Wolburg H: Induction of blood-brain barrier characteristics in bovine brain endothelial cells by rat astroglial cells in transfilter coculture. Ann N Y Acad Sci 1991; 633:578-580.

70. Grayson MCLAM: Ocular localization of sodium fluorescein. Effects of administration in rabbit and monkey. Arch Ophthalmol 1971; 85:600-603.

71. Tornquist P, Alm A, Bill A: Studies on ocular blood flow and retinal capillary permeability to sodium in pigs. Acta Physiol Scand 1979; 106:343-350.

72. Pappenheimer JR: Passage of molecules through capillary walls. Physiol Rev 1953; 33:387-423.

73. Gerhart DZ, Leino RL: Distribution of monocarboxylate transporters MCT1 and MCT2 in rat. Retina 1999; 92:367-375.

74. Poole RC: Transport of lactate and other monocarboxylates across mammalian plasma membranes. Am J Physiol 1993; 264:761-782.

75. Palade GE, Simionescu M, Simionescu N: Structural aspects of the permeability of the microvascular endothelium. Acta Physiol Scand Suppl 1979; 463:11-32.

76. Alm A, Tornquist P: The uptake index method applied to studies on the blood-retinal barrier. I. A methodological study. Acta Physiol Scand 1981; 113:73-79.

77. Tornquist P, Alm A: Carrier-mediated transport of amino acids through the blood-retinal and the blood-brain barriers. Graefes Arch Clin Exp Ophthalmol 1986; 224:21-25.

78. Miller S, Steinberg RH: Transport of taurine, L-methionine and 3-o-methyl-D-glucose across frog retinal pigment epithelium. Exp Eye Res 1976; 23:177-189.

79. Krogsaa BL-A, Mehlsen H, Sestoft JL: Blood-retinal barrier permeability versus diabetes duration and retinal morphology in insulin dependent diabetic patients. Acta Ophthalmol (Copenh) 1987; 65:686-692.

80. Krogsaa BL-A, Parving H, Bjaeldager HHP: The blood-retinal barrier permeability in essential hypertension. Acta Ophthalmol (Copenh) 1983; 61:541-544.

81. Foulds WS: The choroidal circulation and retinal metabolism - an overview. Eye 1990; 4(Pt 2):243-248.

82. Riva CEG, Sinclair JE, Petrig SHBL: Blood velocity and volumetric flow rate in human retinal vessels. Invest Ophthalmol Vis Sci 1985; 26:1124-1132.

83. Riva CE, Petrig B: Blue field entoptic phenomenon and blood velocity in the retinal capillaries. J Opt Soc Am 1980; 70:1234-1238.

84. Bill A: Calorimetric procedures for the study of the blood flow through the ciliary region and the choroid in rabbits. Acta Ophthalmol (Copenh) 1962; 40:131-148.

85. Bill A: Intraocular pressure and blood flow through the uvea. Arch Ophthalmol 1962; 67:336-348.

86. Friedman EKH, Smith TR: Retinal and choroidal blood flow determined with krypton-85 in anesthetized animals. Invest Ophtalmol Vis Sci 1964; 3:539.

87. Alm A, Bill A: The oxygen supply to the retina. II. Effects of high intraocular pressure and of increased arterial carbon dioxide tension on uveal and retinal blood flow in cats. A study with radioactively labelled microspheres including flow determinations in brain and some other tissues. Acta Physiol Scand 1972; 84:306-319.

88. Alm A, Bill A: Ocular and optic nerve blood flow at normal and increased intraocular pressures in monkeys (Macaca irus): a study with radioactively labelled microspheres including flow determinations in brain and some other tissues. Exp Eye Res 1973; 15:15-29.

89. Yu DYA, Cringle VA, Brown SJMJ: Choroidal blood flow measured in the dog eye in vivo and in vitro by local hydrogen clearance polarography: validation of a technique and response to raised intraocular pressure. Exp Eye Res 1988; 46:289-303.

90. Gherezghiher T, Okubo H, Koss MC: Choroidal and ciliary body blood flow analysis: application of laser Doppler flowmetry in experimental animals. Exp Eye Res 1991; 53:151-156.

91. Riva CEC, Mann SD, Barnes RMGE: Local choroidal blood flow in the cat by laser Doppler flowmetry. Invest Ophthalmol Vis Sci 1994; 35:608-618.

92. Riva CET, Hero P, Movaffaghy M, et al: Choroidal blood flow during isometric exercises. Invest Ophthalmol Vis Sci 1997; 38:2338-2343.

93. Klein GJB, Flower RHRW: An image processing approach to characterizing choroidal blood flow. Invest Ophthalmol Vis Sci 1990; 31:629-637.

94. Flower RW: Extraction of choriocapillaris hemodynamic data from ICG fluorescence angiograms. Invest Ophthalmol Vis Sci 1993; 34:2720-2729.

95. Feke GTT, Deupree H, Goger DM, et al: Blood flow in the normal human retina. Invest Ophthalmol Vis Sci 1989; 30:58-65.

96. Alm A, Bill A: Ocular circulation. In: Moses RA, ed. Adler's physiology of the eye, St Louis: Mosby; 1987.

97. Alm A, Bill A: Blood flow and oxygen extraction in the cat uvea at normal and high intraocular pressures. Acta Physiol Scand 1970; 80:19-28.

98. Hickam JB, Frayser R, Ross JC: A study of retinal venous blood oxygen saturation in human subjects by photographic means. Circulation 1963; 27:375-385.

99. Tornquist P, Alm A: Retinal and choroidal contribution to retinal metabolism in vivo. A study in pigs. Acta Physiol Scand 1979; 106:351-357.

100. Parver LM: Temperature modulating action of choroidal blood flow. Eye 1991; 5(Pt 2):181-185.

101. Parver LM, Auker C, Carpenter DO: Choroidal blood flow as a heat dissipating mechanism in the macula. Am J Ophthalmol 1980; 89:641-646.

102. Tsacopoulos M, Lehmenkuhler A: A double-barrelled Pt-microelectrode for simultaneous measurement of PO2 and bioelectrical activity in excitable tissues. Experientia 1977; 33:1337-1338.

103. Tsacopoulos M, Poitry S, Borsellino A: Diffusion and consumption of oxygen in the superfused retina of the drone (Apis mellifera) in darkness. J Gen Physiol 1981; 77:601-628.

104. Riva CE, Pournaras CJ, Tsacopoulos M: Regulation of local oxygen tension and blood flow in the inner retina during hyperoxia. J Appl Physiol 1986; 61:592-598.

105. Pournaras CJR, Tsacopoulos CE, Strommer MK: Diffusion of O2 in the retina of anesthetized miniature pigs in normoxia and hyperoxia. Exp Eye Res 1989; 49:347-360.

106. Dollery CT, Bulpitt CJ, Kohner EM: Oxygen supply to the retina from the retinal and choroidal circulations at normal and increased arterial oxygen tensions. Invest Ophthalmol 1969; 8:588-594.

107. Alder VAC, Constable SJIJ: The retinal oxygen profile in cats. Invest Ophthalmol Vis Sci 1983; 24:30-36.

108. Ahmed JB, Dunn RD, Linsenmeier Jr RRA: Oxygen distribution in the macaque retina. Invest Ophthalmol Vis Sci 1993; 34:516-521.

109. Robinson FR, Grunwald CE, Petrig JE, et al: Retinal blood flow autoregulation in response to an acute increase in blood pressure. Invest Ophthalmol Vis Sci 1986; 27:722-726.

110. Riva CE, Sinclair SH, Grunwald JE: Autoregulation of retinal circulation in response to decrease of perfusion pressure. Invest Ophthalmol Vis Sci 1981; 21(1 Pt 1):34-38.

111. Alm A, Bill A: The oxygen supply to the retina. I. Effects of changes in intraocular and arterial blood pressures, and arterial P O2 and P CO2 on the oxygen tension in the vitreous body of the cat. Acta Physiol Scand 1972; 84:261-274.

112. Yancey CM, Linsenmeier RA: Oxygen distribution and consumption in the cat retina at increased intraocular pressure. Invest Ophthalmol Vis Sci 1989; 30:600-611.

113. Stoltz JFDM: New trends in clinical hemorheology: an introduction to the concept of the hemorheological profile. Schweiz Med Wochenschr 1991; 43(Suppl):41-49.

114. Knabben WSH, Remky A, et al: Retinal hemodynamics in patients with hyperviscosity syndrome. Klin Monatsbl Augenheilkd 1995; 206:152-156.

115. Hickam JB, Frayser R: Studies of the retinal circulation in man: observation on vessel diameter, arteriovenous oxygen difference and mean circulation time. Circulation 1966; 33:302-316.

116. Riva CE, Grunwald JE, Sinclair SH: Laser Doppler Velocimetry study of the effect of pure oxygen breathing on retinal blood flow. Invest Ophthalmol Vis Sci 1983; 24:47-51.

117. Eperon G, Johnson M, David NJ: The effect of arterial PO2 on relative retinal blood flow in monkeys. Invest Ophthalmol 1975; 14:342-352.

118. Kety SS, Schmidt CE: Effect of altered arterial tension of carbon dioxide and oxygen on cerebral blood flow on normal young man. J Clin Invest 1948; 27:484-492.

119. Pournaras C, Tsacopoulos M, Chapuis P: Studies on the role of prostaglandins in the regulation of retinal blood flow. Exp Eye Res 1978; 26:687-697.

120. Kogure KS, Reinmuth P, Fujishima OM, et al: Mechanisms of cerebral vasodilatation in hypoxia. J Appl Physiol 1970; 29:223-229.

121. Linsenmeier RA, Braun RD: Oxygen distribution and consumption in the cat retina during normoxia and hypoxemia. J Gen Physiol 1992; 99:177-197.

122. Moret PP, Munoz CJ, Brazitikos JL, et al: Profile of pO2. I. Profile of transretinal pO2 in hypoxia. Klin Monatsbl Augenheilkd 1992; 200:498-499.

123. Pournaras CJ, Ilic J, Gilodi N: The physiopathology of retinal circulation: consequences of acute retinal vascular occlusion. Klin Monatsbl Augenheilkd 1985; 186:471-476.

124. Linsenmeier RA, Steinberg RH: Effects of hypoxia on potassium homeostasis and pigment epithelial cells in the cat retina. J Gen Physiol 1984; 84:945-970.

125. Hardy PP, Lahaie KG, Isabelle V, et al: Increased nitric oxide synthesis and action preclude choroidal vasoconstriction to hyperoxia in newborn pigs. Circ Res 1996; 79:504-511.

126. Tsacopoulos M, David NJ: The effect of arterial PCO2 on relative retinal blood flow in monkeys. Invest Ophthalmol 1973; 12:335-347.

127. Brazitikos PDP, Munoz CJ, Tsacopoulos JLM: Microinjection of L-lactate in the preretinal vitreous induces segmental vasodilation in the inner retina of miniature pigs. Invest Ophthalmol Vis Sci 1993; 34:1744-1752.

128. Tsacopoulos M, Levy S: Intraretinal acid-base studies using pH glass microelectrodes: effect of respiratory and metabolic acidosis and alkalosis on inner-retinal pH. Exp Eye Res 1976; 23:495-504.

129. Harper AM: Physiology of cerebral blood flow. Br J Anaesth 1965; 37:225-325.

130. Sato E STNT, Mori F, et al: Role of nitric oxide in regulation of retinal blood flow during hypercapnia in cats. Invest Ophthalmol Vis Sci 2003; 44:4947-4953.

131. Checchin DHX, Hardy P, et al: PGE(2)-mediated eNOS induction in prolonged hypercapnia. Invest Ophthalmol Vis Sci 2002; 43:1558-1566.

132. Pournaras JAP, Munoz IK, Pournaras JLCJ: Experimental retinal vein occlusion: effect of acetazolamide and carbogen (95% O2/5% CO2) on preretinal PO2. Invest Ophthalmol Vis Sci 2004; 45:3669-3677.

133. Vorstrup SHI, Paulson OB: Effect of acetazolamide on cerebral blood flow and cerebral metabolic rate for oxygen. J Clin Invest 1984; 74:1634-1639.

134. Taki KKH, Endo S, et al: Cascade of acetazolamide-induced vasodilatation. Res Commun Mol Pathol Pharmacol 1999; 103:240-248.

135. Harlan JM: Diuretics agents. In: Katzung BG, ed. Basic and clinical pharmacology, 7th edn. Diuretics agents; 1998:246-249.

136. Ferrari-Dileo GRJ, Rockwood EJ, et al: Angiotensin-converting enzyme in bovine, feline, and human ocular tissues. Invest Ophthalmol Vis Sci 1988; 29:876-881.

137. Nyborg NCNP, Prieto D, Benedito S: Angiotensin II does not contract bovine retinal resistance arteries in vitro. Exp Eye Res 1990; 50:469-474.

138. Krejcy KWM, Kreuzer C, et al: Characterization of angiotensin-II effects on cerebral and ocular circulation by noninvasive methods. Br J Clin Pharmacol 1997; 43:501-508.

139. Alm A: Effects of norepinephrine, angiotensin, dihydroergotamine, papaverine, isoproterenol, histamine, nicotinic acid, and xanthinol nicotinate on retinal oxygen tension in cats. Acta Ophthalmol 1972; 50:707-719.

140. Haefliger IOB, Luscher JLTF: Endothelium-dependent vasoactive modulation in the ophthalmic circulation. Prog Retin Eye Res 2001; 20:209-225.

141. Haefliger IOM, Flammer P, Luscher JTF: The vascular endothelium as a regulator of the ocular circulation: a new concept in ophthalmology. Surv Ophthalmol 1994; 39:123-132.

142. Brown SM, Jampol LM: New concepts of regulation of retinal vessel tone. Arch Ophthalmol 1996; 114:199-204.

143. Furchgott RF, Zawadzki JV: The obligatory role of endothelial cells in the relaxation of arterial smooth muscle by acetylcholine. Nature 1980; 288:373-376.

144. Palmer RM, Ferrige AG, Moncada S: Nitric oxide release accounts for the biological activity of endothelium-derived relaxing factor. Nature 1987; 327:524-526.

145. Ignarro LJB, Wood GM, Byrns KS, et al: Endothelium-derived relaxing factor produced and released from artery and vein is nitric oxide. Proc Natl Acad Sci USA 1987; 84:9265-9269.

146. Feelisch MtP, Zamora M, Deussen R, et al: Understanding the controversy over the identity of EDRF. Nature 1994; 368:62-65.

147. Koch KWL, Haberecht HG, Redburn M, et al: Functional coupling of a Ca2+/calmodulin-dependent nitric oxide synthase and a soluble guanylyl cyclase in vertebrate photoreceptor cells. EMBO J 1994; 13:3312-3320.

148. Ignarro LJ: Biosynthesis and metabolism of endothelium-derived nitric oxide. Ann Rev Pharmacol Toxicol 1990; 30:535-560.

149. Moncada S, Palmer RM, Higgs EA: Nitric oxide: physiology, pathophysiology, and pharmacology. Pharmacol Rev 1991; 43:109-142.

150. Venturini CM, Knowles RG, Palmer RM, Moncada S: Synthesis of nitric oxide in the bovine retina. Biochem Biophys Res Commun 1991; 180:920-925.

151. Dawson TMB, Fotuhi DS, Hwang M, et al: Nitric oxide synthase and neuronal NADPH diaphorase are identical in brain and peripheral tissues. Proc Natl Acad Sci USA 1991; 88:7797-7801.

152. Goureau OH, Courtois D, De Kozak YY: Induction and regulation of nitric oxide synthase in retinal Muller glial cells. J Neurochem 1994; 63:310-317.

153. Yamamoto RB, Snyder DS, Stone SHRA: The localization of nitric oxide synthase in the rat eye and related cranial ganglia. Neuroscience 1993; 54:189-200.

154. Osborne NN, Barnett NL, Herrera AJ: NADPH diaphorase localization and nitric oxide synthetase activity in the retina and anterior uvea of the rabbit eye. Brain Res 1993; 610:194-198.

155. Park CSP, Gianotti K, Villegas C, et al: Human retina expresses both constitutive and inducible isoforms of nitric oxide synthase mRNA. Biochem Biophys Res Commun 1994; 205:85-91.

156. Knowles RGMS: Nitric oxide synthases in mammals. Biochem J 1994; 298:249-258.

157. Meyer PC, Schlotzer-Schrehardt C, Flammer U, et al: Localization of nitric oxide synthase isoforms in porcine ocular tissues. Curr Eye Res 1999; 18:375-380.

158. Chakravarthy US, McNally AW, Bailie J, et al: Nitric oxide synthase activity and expression in retinal capillary endothelial cells and pericytes. Curr Eye Res 1995; 14:285-294.

159. Donati GP, Munoz CJ, Poitry JL, et al: Nitric oxide controls arteriolar tone in the retina of the miniature pig. Invest Ophthalmol Vis Sci 1995; 36:2228-2237.

160. Haefliger IOF, Luscher JTF: Nitric oxide and endothelin-1 are important regulators of human ophthalmic artery. Invest Ophthalmol Vis Sci 1992; 33:2340-2343.

161. Haefliger IOF, Luscher J: Heterogeneity of endothelium-dependent regulation in ophthalmic and ciliary arteries. Invest Ophthalmol Vis Sci 1993; 34:1722-1730.

162. Haefliger IO, Zschauer A: Relaxation of retinal pericyte contractile tone through the nitric oxide-cyclic guanosine monophosphate pathway 1994; 35:991-997.

163. Meyer PF, Luscher J: Endothelium- dependent regulation of the ophthalmic microcirculation in the perfused porcine eye: role of nitric oxide and endothelins. Invest Ophthalmol Vis Sci 1993; 34:3614-3621.

164. Stamler JSJL, Eu JP, et al: Blood flow regulation by S-Nitrosohemoglobin in the Physiological Oxygen Gradient. Science 1997; 276:2034-2037.

165. Singel DJSJ: Chemical physiology of blood flow regulation by red blood cells: the role of nitric oxide and S-nitrosohemoglobin. Annu Rev Physiol 2005; 67:99-145.

166. Pickard JDM, MacKenzie LA, Harper ET: Response of the cerebral circulation in baboons to changing perfusion pressure after indomethacin. Circ Res 1977; 40:198-203.

167. Ellis EF, Wei EP, Kontos HA: Vasodilation of cat cerebral arterioles by prostaglandins D2, E2, G2, and I2. Am J Physiol 1979; 237:H381-H385.

168. Kontos HAW, Ellis EP, Dietrich EF, et al: Prostaglandins in physiological and in certain pathological responses of the cerebral circulation. Fed Proc 1981; 40:2326-2330.

169. Hagen AA, White RP, Robertson JT: Synthesis of prostaglandins and thromboxane B2 by cerebral arteries. Stroke 1979; 10:306-309.

170. Hudes GRL, Rockey WY, White JH: Prostacyclin is the major prostaglandin synthesized by bovine retinal capillary pericytes in culture. Invest Ophthalmol Vis Sci 1988; 29:1511-1516.

171. Preud'homme Y, Demolle D, Boeynaems JM: Metabolism of arachidonic acid in rabbit iris and retina. Invest Ophthalmol Vis Sci 1985; 26:1336-1342.

172. Nielsen PJ, Nyborg NC: Contractile and relaxing effects of arachidonic acid derivatives on isolated bovine retinal resistance arteries. Exp Eye Res 1990; 50:305-311.

173. Starr MS: Effects of prostaglandings on blood flow in the rabbit eye. Exp Eye Res 1990; 50:305-311.

174. Hsu P, Albuquerque ML, Leffler CW: Mechanisms of hypercapnia-stimulated PG production in piglet cerebral microvascular endothelial cells. Am J Physiol 1995; 268(2 Pt 2):H591-H603.

175. Chemtob SB, Rex K, Chatterjee J, et al: Ibuprofen enhances retinal and choroidal blood flow autoregulation in newborn piglets. Invest Ophthalmol Vis Sci 1991; 32:1799-1807.

176. Stiris TS, Hehre C, Goldberg D, et al: Effect of cyclooxygenase inhibition on retinal and choroidal blood flow during hypercarbia in newborn piglets. Pediatr Res 1992; 31:127-130.

177. Levin ER: Endothelins. N Engl J Med 1995; 333:356-363.

178. Inoue AY, Kimura M, Kasuya S, et al: The human endothelin family: three structurally and pharmacologically distinct isopeptides predicted by three separate genes. Proc Natl Acad Sci USA 1989; 86:2863-2867.

179. McDonald DMB, Archer JR, Chakravarthy DB: Characterization of endothelin A (ETA) and endothelin B (ETB) receptors in cultured bovine retinal pericytes. Invest Ophthalmol Vis Sci 1995; 36:1088-1094.

180. Takei KS, Nonoyama T, Miyauchi T, et al: A new model of transient complete obstruction of retinal vessels induced by endothelin-1 injection into the posterior vitreous body in rabbits. Graefes Arch Clin Exp Ophthalmol 1993; 231:476-481.

181. Granstam E, Wang Bill A: Ocular effects of endothelin-1 in the cat 1992; 11:325-332.

182. Bursell SEC, Oren AC, King BGL: The in vivo effect of endothelins on retinal circulation in nondiabetic and diabetic rats. Invest Ophthalmol Vis Sci 1995; 36:596-607.

183. Dallinger SD, Wenzel GT, Graselli R, et al: Endothelin-1 contributes to hyperoxia-induced vasoconstriction in the human retina. Invest Ophthalmol Vis Sci 2000; 41:864-869.

184. Polak KL, Frank A, Jandrasits B, et al: Regulation of human retinal blood flow by endothelin-1. Exp Eye Res 2003; 76:633-640.

185. Wong JVP, Fineman JR, et al: Endothelin-1 produces pulmonary vasodilation in the intact newborn lamb. Am J Physiol 1993; 265:H1318-H1325.

186. Eddahibi S, Monirul M, et al: Dilator effect of endothelins in pulmonary circulation: damages associated with chronic hypoxia. Am J Physiol 1993; 265:L571-L580.

187. Filep JG, Rousseau A, et al: Vascular response to endothelin-1 following inhibiton of nitric oxide synthesis in the conscious rat 1993; 110:1213-1221.

188. D'Orleans-Juste P, Telemaque S, et al: Block of endothelin-1-induced release of thromboxane A2 from the guinea pig lung and nitric oxide from the rabbit kidney by a selective ETB receptor antagonist, BQ-788. Br J Pharmacol 1994; 113:1257-1262.

189. Hirata Y, Eguchi S, et al: Endothelin receptor subtype B mediates synthesis of NO by cultured bovine endothelial cells. J Clin Invest 1993; 91:1367-1373.

190. Reihart GA, Burke SE, et al: Hypertension induced by blockade of ET(B) receptors in conscious nonhuman primates: role of ET(A) receptors. Am J Physiol Heart Circ Physiol 2002; 283:H1555-H1561.

191. Sokolvsky M, Galron R: A novel subtype of endothelin receptors. J Biol Chem 1992; 267:20551-20554.

192. Poitry-Yamate CL, Poitry S, Tsacopoulos M: Lactate released by Muller glial cells is metabolized by photoreceptors from mammalian retina. J Neurosci 1995; 15(7 Pt 2):5179-5191.

193. Oldendorf WH: Carrier-mediated blood-brain barrier transport of short-chain monocarboxylic organic acids. Am J Physiol 1973; 224:1450-1453.

194. Garhofer G, Resch H, et al: Effect of intravenous administration of sodium-lactate on retinal blood flow in healthy subjects. Invest Ophthalmol Vis Sci 2003; 44:3972.

195. Williamson DH, Krebs HA: The redox strate of free nicotinamide-adenine dinucleotide in the cytoplasm and mitochondria in the rat liver. Biochem J 1967; 103:514-527.

196. Ido Y, Chong K, Williamson JR: NADH augments blood flow in physiologically activated retina and visual cortex. Proc Natl Acad Sci USA 1967; 117:653-658.

197. Garhofer G, Huemer KH, et al: Flicker light-induced vasodilatation in the human retina: effect of lactate and changes in mean arterial pressure. Invest Ophthalmol Vis Sci 2003; 44:5309-5314.

198. Granger HJ, Shepperd AP: Intrinsic microvascular control of tissu oxygen delivery. Microvasc Res 1973; 5:49.

199. Johnson PC: The myogenic response. In: Bohr DF, Somlyo AP, Sparks HV, ed. Handbook of physiology. The cardiovascular system, 2. Baltimore: Waverly Press; 1980:772-776.

200. Yao KT, Flammer M, Luscher J: Endothelium-dependent regulation of vascular tone of the porcine ophthalmic artery. Invest Ophthalmol Vis Sci 1991; 32:1791-1798.

201. Harder DR: Pressure-induced myogenic activation of cat cerebral arteries is dependent on intact endothelium. Circ Res 1987; 60:102-107.

202. Harder DR: Pressure-dependent membrane depolarization in cat middle cerebral artery. Circ Res 1984; 55:197-202.

203. Harder DR, Kauser K, et al: Pressure releases a transferable endothelial contractile factor in cat cerebral arteries. Circ Res 1989; 65:193-198.

204. Lansman JB, Hallam TJ, Rink TJ: Single stretch-activated ion channels in vascular endothelial cells as mechanotransducers. Nature 1987; 325:811-813.

205. Jeppesen P, Aalkjoer C, Bek T: Bradykinin relaxation in small porcine retinal arterioles. Invest Ophthalmol Vis Sci 2002; 43:1891-1895.

206. Delaey C, Van de Voorde J: Pressure-induced myogenic responses in isolated bovine retinal arteries. Invest Ophthalmol Vis Sci 2000; 41:1871-1875.

207. Bill A: Aspects of oxygen and glucose consumption in the retina effects of high intraocular pressure and light. Graefes Arch Clin Exp Ophthalmol 1990; 228:124-127.

208. Wang L, Bill A: Glucose metabolism in cat outer retina. Effects of light and hyperoxia. Invest Ophthalmol Vis Sci 1997; 38:48-55.

209. Bill A: Control of retinal and choroidal blood flow. Eye 1990; 4:319-325.

210. Kondo M, Wang L, Bill A: The role of nitric oxide in hyperaemic response to flicker in the retina and optic nerve in cats. Acta Ophthalmol Scand 1997; 75:232-235.

211. Riva CE, Shonat RD, Petrig BL: Flicker evoked increase in optic nerve head blood flow in anesthetized cats. Neurosci Lett 1991; 128:291-296.

212. Iadecola C: Regulation of the cerebral microcirculation during neural activity: is nitric oxide the missing link? 1993; 16:206-214.

213. Scheiner AJR, Kazahaya CE, Petrig K: Effect of flicker on macular blood flow assessed by the blue field simulation technique. Invest Ophthalmol Vis Sci 1994; 35:3436-3441.

214. Buerk DG, Riva CE, Cranstoun SD: Nitric oxide has a vasodilatory role in cat optic nerve head during flicker stimuli. Microvasc Res 1996; 52:13-26.

215. Kondo M, Wang L, Bill A: The role of nitric oxide in hyperaemic response to flicker in the retina and optic nerve in cats. Acta Ophthalmologica Scandinavica 1997; 75:232-235.

216. Dorner GT, et al: Nitric oxide regulates retinal vascular tone in man. Am J Physiol Heart Circ Physiol 2003; 10:1152 L1 -Available at: \\Siro\public\Administration\ReferenceManager\PDFFiles\3953.pdf

217. Deussen A, Sonntag M, Vogel R: L-arginine-derived nitric oxide: a major determinant of uveal blood flow. Exp Eye Res 1993; 57:129-134.

218. Moncada S: Pharmacology and endogenous roles of prostaglandins endoperoxides. Thromboxane A2 and Prostacyclin 1979; 30:293-331.

219. Radomski MW, Moncada S: The antiaggregation properties of vascular endothelium: interactions between prostacyclin and nitric oxide. Br J Pharmacol 1987; 93:639-646.

220. de Nucci GG, Warner RJ, Vane TD: Receptor-mediated release of endothelium-derived relaxing factor and prostacyclin from bovine aortic endothelial cells is coupled. Proc Natl Acad Sci USA 1988; 85:2334-2338.

221. Doni MGW, Palmer BJ, Moncada RM: Actions of nitric oxide on the release of prostacyclin from bovine endothelial cells in culture. Eur J Pharmacol 1988; 151:19-25.

222. Shimokawa HF, Lorenz NA, Vanhoutte RR: Prostacyclin releases endothelium-derived relaxing factor and potentiates its action in coronary arteries of the pig. Br J Pharmacol 1988; 95:1197-1203.

223. Petropoulos IK, Munoz JL, Pournaras CJ: Effect of carbogen breathing and acetazolamide on optic disc PO2. Invest Ophthalmol Vis Sci 2005; 46:4139-4146.

224. Nagaoka T, Mori F, et al: The effect of nitric oxide on retinal blood flow during hypoxia in cats. Invest Ophthalmol Vis Sci 2002; 43:3037-3044.

225. Alm A: The effect of sympathetic stimulation on blood flow through the uvea, retina and optic nerve in monkeys (Macaca irus). Exp Eye Res 1977; 25:19-24.

226. Alm A, Bill A: The effect of stimulation of the cervical sympathetic chain on retinal oxygen tension and on uveal, retinal and cerebral blood flow in cats. Acta Physiol Scand 1973; 88:84-94.

227. Bill A, Linder M, Linder J: The protective role of ocular sympathetic vasomotor nerves in acute arterial hypertension. Bibl Anat 1977; 16(Pt 2):30-35.

228. Kiel JWS: Autoregulation of choroidal blood flow in the rabbit. Invest Ophthalmol Vis Sci 1992; 33:2399-2410.

229. Riva CET, Hero P, Petrig M: Effect of acute decreases of perfusion pressure on choroidal blood flow in humans. Invest. Ophthalmol Vis Sci 1997; 38:1752-1760.

230. Nilsson Bill A: Characteristicss of uvea vasodilation produced by facial nerve stimulation in monkeys, cats, and rabbits. Exp Eye Res 1985; 40:841-852.

231. Nilsson SFE: Studies on ocular blood flow and acqueous humour dynamics. Acta Universitatis Upsaliensis 1986; 43:1-38.

232. Seligsohn EE, Bill A: Effects of NG-nitro-L-arginine methyl ester on the cardiovascular system of the anaesthetized rabbit and on the cardiovascular response to thyrotropin-releasing hormone. Br J Pharmacol 1993; 109:1219-1225.

233. Mann RM, et al: Nitric oxide and choroidal blood flow regulation. Invest Ophthalmol Vis Sci 1995; 36:925-930.

234. Schmetterer L, et al: The effect of systemic nitric oxide-synthase inhibition on ocular fundus pulsations in man. Exp Eye Res 1997; 64:305-312.

235. Luksch A, et al: Effects of systemic NO synthase inhibition on choroidal and optic nerve head blood flow in healthy subjects. Invest Ophthalmol Vis Sci 2000; 41:3080-3084.

236. Blitzer MLLS, Creager MA: Endothelium-derived nitric oxide mediates hypoxic vasodilation of resistance vessels in human. Am J Physiol 1996; 271:H1182-H1185.

237. Hardy PN, Abran AM, St-Louis D, et al: Nitric oxide in retinal and choroidal blood flow autoregulation in newborn pigs: interactions with prostaglandins. Pediatr Res 1996; 39:487-493.

238. Van-Bel F, Roman C, Rudolph AM: Perinatal regulation of the cerebral circulation: role of nitric oxide and prostaglandins. Pediatr Res 1997; 42:299-304.

239. Granstam E, Wang L, Bill A: Vascular effects of endothelin-1 in the cat; modification by indomethacin and L-NAME. Acta Physiol Scand 1993; 148:165-176.

240. MacCumber MW, Jampel HD, Snyder SH: Ocular effects of the endothelins. Abundant peptides in the eye. Arch Ophthalmol 1991; 109:705-709.

241. Alder VAB-N, Cringle J: PO2 profiles and oxygen consumption in cat retina with an occluded retinal circulation. Invest Ophthalmol Vis Sci 1990; 31:1029-1034.

242. Bardy M, Tsacopoulos M: Metabolic changes in the retina after experimental microembolism in the miniature pig (author's transl). Klin Monatsbl Augenheilkd 1978; 172:451-460.

243. Pournaras CJR, Munoz A, Abdesselem JL: Experimental venous branch occlusion change in the preretinal oxygen pressure pO2 by dexamethasone. Klin Monatsbl Augenheilkd 1990; 196:475-480.

244. Pournaras CJT, Bovet M, Roth J: Diffusion of O2 in the normal and the ischemic retina of miniature pigs. Ophtalmologie 1990; 4:17-19.

245. Kohner EMD, Shakib CT, Henkind M, et al: Experimental retinal branch vein occlusion. Am J Ophthalmol 1970; 69:778-825.

246. Hockley DJ, Tripathi RC, Ashton N: Experimental retinal branch vein occlusion in rhesus monkeys. III. Histopathological and electron microscopical studies. Br J Ophthalmol 1979; 63:393-411.

247. Donati G, Pournaras Pizzolato CJ, et al: Decreased nitric oxide production accounts for secondary arteriolar constriction after retinal branch vein occlusion. Invest Ophthalmol Vis Sci 1997; 38:1450-1457.

248. Tsacopoulos M: Role of metabolic factors in the regulation of retinal blood minute volume. Adv Ophthalmol 1979; 39:233-273.

249. Bietti G: Effects of experimentally decreased or increased oxygen supply in some ophthalmic diseases; practical value for diagnosis, prognosis, and treatment. AMA Arch Ophthalmol 1953; 49:491-513.

250. Anderson Jr B: Ocular effects of changes in oxygen and carbon dioxide tension. Trans Am Ophthalmol Soc 1968; 66:423-474.

251. Watkins JCEH: Excitatory amino acid transmitters. Annu Rev Pharmacol Toxicol 1981; 21:165-204.

252. Rothman SM: Glutamate and the patho-physiology of hypoxic-ischemic brain damage 1986; 19:105-111.

253. Rothman SM: Excitotoxicity and the NMDA receptor. Trends Neurosci 1987; 10:299-302.

254. Rothman SM: Synaptic release of excitatory amino acids neurotransmitter mediates anoxic neuronal death. J Neurosci 1984; 4:884-891.

255. Andine P, Ellren K, et al: The excitatory amino acid antagonist kynurenic acid administered after hypoxic-ischemia in neonatal rats offers neuroprotection. Neurosci Lett 1988; 90:208-212.

256. Barbour B, Attwell D: Electrogenic uptake of glutamate and aspartate into glial cells isolated from the salamander (Ambystoma) retina. J Physiol 1991; 436:169-193.

257. Brew H: Electrogenic glutamate uptake is a major current carrier in the membrane of axolotl retinal glial cells. Nature 1987; 327:707-709.

258. Tsacopoulos M: Metabolic coupling between glia and neurons. J Neurosci 1996; 16:877-885.

259. Pellerin L: Glutamate uptake into astrocytes stimulates aerobic glycolysis: a mechanism coupling neuronal activity to glucose utilization. Proc Natl Acad Sci USA 1994; 91:10625-10629.

260. Magistretti PJ: Astrocytes couple synaptic activity to glucose utilization in the brain. News Physiol Sci 1999; 14:177-182.

261. Napper GA, Kalloniatis M: Reduced glutamate uptake by retinal glial cells under ischemic/hypoxic conditions. Vis Neurosci 1999; 16:149-158.

262. Adachi K, Masai H, et al: Mechanism of the pathogenesis of glutamate neurotoxicity in retinal ischemia. Graefes Arch Clin Exp Ophthalmol 1998; 236:766-774.

263. Kageyama T, Tamail M: Glutamate elevation in rabbit vitreous during transient ischemia-reperfusion. Jpn J Ophthalmol 2000; 44:110-114.

264. Iijima T, Iwao Y, Sankawa H: Differences in glutamate release between retina and cerebral cortex following ischemia. Neurochem Int 2000; 36:221-224.

265. Pournaras CJ, Poitry S, Donati G: Preretinal lactate measurements after experimental branch retinal vein occlusion. Invest Ophthalmol Vis Sci 2001; 42:239.

266. Morikawa E, Huang Z, Moskowitz MA: L-arginine decreases infarct size caused by middle cerebral arterial occlusion in SHR. Am J Physiol 1992; 263(5 Pt 2):H1632-H1635.

267. Garthwaite J, Palmer RMJ, Moncada S: NMDA receptor activation induces nitric odixe synthesis from arginine in rat brain slices. Eur J Pharmacol 1989; 172:413-416.

268. Garthwaite J: Nitric oxide and cell-cell signaling in the nervous system 1991; 14:60-88.

269. Beckman JS, et al: Apparent hydroxyl radical production by peroxynitrite: implications for endothelial injury from nitric oxide and superoxide. Proc Natl Acad Sci USA 1990; 87:1620-1624.

270. Beckman JS: The double-edged role of nitric oxide in brain function and superoxide-mediated injury. J Dev Physiol 1991; 15:53-59.

271. Iadecola C, Zhang F, Xu X: Inhibition of inducible nitric oxide synthase ameliorates cerebral ischemic damage. Am J Physiol 1995; 268:R286-R292.

272. Zhang FIC: Nitroprusside improves blood flow and reduces brain damage after focal ischemia. Neuroreport 1993; 4:559-562.

273. Carreau A, Duval D, Poignet H, et al: Neuroprotective efficacy of N omega-nitro-L-arginine after focal cerebral ischemia in the mouse and inhibition of cortical nitric oxide synthase. Eur J Pharmacol 1994; 256:241-249.

274. Cooke JP, Girerd XJ, et al: Arginine restores cholinegic relaxation of hypercholesterolemic rabbit thoracic aorta. Circulation 1991; 83:1057-1062.

275. Rossitch E, Black McLP, Cooke JP: L-arginine normalizes endothelial function in cerebral vessels from hypecholesterolemic rabbits. J Clin Invest 1991; 87:1295-1299.

276. Carville C, Eddahibi S, et al: Loss of endothelium-dependent relaxation in proximal pulmonary arteries from rats exposed to chronic hypoxia: effects of in vivo and in vitro supplementation with-Arginine. J Cardiov Pharmac 1993; 22:889-896.

277. Wolzt M, Schmetter L, Ferver W, et al: Effect of nitric oxide synthase inhibition on renal hemodynamics in humans: reversal by L-arginine, The American Physiological Society; 1997:F178-F182.

278. Grunwald JEB, Grunwald AJ, Riva SE: Retinal hemodynamics in proliferative diabetic retinopathy. a laser Doppler velocimetry study. Invest Ophthalmol Vis Sci 1993; 34:66-71.

279. Rosen DAM, Kohner J, Hamilton EM, et al: Experimental retinal branch vein occlusion in rhesus monkeys. II. Retinal blood flow studies. Br J Ophthalmol 1979; 63:388-392.

280. Pournaras CJT, Strommer M, Gilodi K, et al: Experimental retinal branch vein occlusion in miniature pigs induces local tissue hypoxia and vasoproliferative microangiopathy. Ophthalmology 1990; 97:1321-1328.

281. Pournaras CJ: Retinal oxygen distribution. Its role in the physiopathology of vasoproliferative microangiopathies. Retina 1995; 15:332-347.

282. Pournaras CJM, Gragoudas JW, Husain ES, et al: Systemic hyperoxia decreases vascular endothelial growth factor gene expression in ischemic primate retina. Arch Ophthalmol 1997; 115:1553-1558.

283. Wallow IH, Geldner PS: Endothelial fenestrae in proliferative diabetic retinopathy. Invest Ophthalmol Vis Sci 1980; 19:1176-1183.

284. Hamilton CWC, Klintworth D, Machemer GK: A transmission and scanning electron microscopic study of surgically excised preretinal membrane proliferations in diabetes mellitus. Am J Ophthalmol 1982; 94:473-488.

285. Miller HM, Zonis B: Diabetic neovascularization: permeability and ultrastructure. Invest Ophthalmol Vis Sci 1984; 25:1338-1342.

286. Ozaki HY, Della AY, Ozaki N, et al: Hypoxia inducible factor-1alpha is increased in ischemic retina: temporal and spatial correlation with VEGF expression. Invest Ophthalmol Vis Sci 1999; 40:182-189.

287. Boulton MP, Khaliq B, Moriarty A, et al: Modulators and milieu in preretinal neovascularisation. Eye 1992; 6(Pt 6):560-565.

288. Bounelis PM, King W, et al: Hypoxia stimulates platelet derived growth factor gene expression by pulmonary artery endothelial cells. Clin Res 1988; 36:503A.

289. Shweiki DI, Soffer A, Keshet D: Vascular endothelial growth factor induced by hypoxia may mediate hypoxia-initiated angiogenesis. Nature 1992; 359:843-845.

290. Wojta JJ, Jones RL, Binder RL, Hoover BR: Reduction in pO2 decreases the fibrinolytic potential of cultured bovine endothelial cells derived from pulmonary arteries and lung microvasculature. Blood 1988; 71:1703-1706.

291. Shatos MAD, Stump JM, Thompson DC, et al: Oxygen radicals generated during anoxia followed by reoxygenation reduce the synthesis of tissue-type plasminogen activator and plasminogen activator inhibitor-1 in human endothelial cell culture. J Biol Chem 1990; 265:20443-20448.

292. Montesano RV, Baird JD, Guillemin A, et al: Basic fibroblast growth factor induces angiogenesis in vitro. Proc Natl Acad Sci USA 1986; 83:7297-7301.

293. Shreeniwas RO, Cozzolino S, Torcia F, et al: Macrovascular and microvascular endothelium during long-term hypoxia: alterations in cell growth, monolayer permeability, and cell surface coagulant properties. J Cell Physiol 1991; 146:8-17.

294. Plate KHB, Weich G, Risau HA: Vascular endothelial growth factor is a potential tumour angiogenesis factor in human gliomas in vivo. Nature 1992; 359:845-848.

295. Miller JWA, Shima AP, D'Amore DT, et al: Vascular endothelial growth factor/vascular permeability factor is temporally and spatially correlated with ocular angiogenesis in a primate model. Am J Pathol 1994; 145:574-584.

296. Pierce EA, Avery RL, Smith LEH: Vascular endothelial growth factor/vascular permeability factor expression in a mouse model of retinal neovascularisation. Proc Natl Acad Sci 1995; 92:905-909.

297. Shima DTG, Miller A, Tolentino JW, et al: Cloning and mRNA expression of vascular endothelial growth factor in ischemic retinas of Macaca fascicularis. Invest Ophthalmol Vis Sci 1996; 37:1334-1340.

298. Adamis AP, Bernal M-T: Increased vascular endothelial growth factor levels in the vitreous of eyes with proliferative diabetic retinopathy. Am J Ophthalmol 1994; 118:445-450.

299. Aiello LPA, Arrigg RL, Keyt PG, et al: Vascular endothelial growth factor in ocular fluid of patients with diabetic retinopathy and other retinal disorders. N Engl J Med 1994; 331:1480-1487.

300. Malecaze FC, Simorre-Pinatel S, Mathis V, et al: Detection of vascular endothelial growth factor messenger RNA and vascular endothelial growth factor-like activity in proliferative diabetic retinopathy. Arch Ophthalmol 1994; 112:1476-1482.

301. Pe'er j AD, Itin A, Hemo J, et al: Hypoxia-induced expression of vascular endothelial growth factor by retinal cells is a common factor in neovascularizing ocular diseases. Lab Invest 1995; 72:638-645.

302. Shima DTA, Ferrara AP, Yeo N, et al: Hypoxic induction of endothelial cell growth factors in retinal cells: identification and characterization of vascular endothelial growth factor (VEGF) as the mitogen. Mol Med 1995; 1:182-193.

303. Bill A: Capillary permeability to and extravascular dynamics of myoglobin, albumin and gammaglobulin in the uvea. Acta Physiol Scand 1968; 73:204-219.

304. Mäepa O: Pressure in the anterior ciliary arteries, choroidal veins and choriocapillaris. Exp Eye Res 1992; 54:731-735.

305. Klein RM, Smith SM, Myers JL, et al: Abnormal chloroidal circulation: association with arteriovenous fistula in the cavernous sinus area. Arch Ophthalmol 1978; 96:1370-1373.

306. Brubaker RF, Pederson JE: Ciliochoroidal detachment. Surv Ophthalmol 1983; 27:281-289.

307. Shimizu K: Segmental nature of the angioarchitecture of the choroid. Proceedings of the XXIII international Congress in Ophthalmology. Kyoto 1978.

308. Hayreh SS: In vivo choroidal circulation and its watershed zones. Eye 1990; 4(Pt 2):273-289.

309. Gass JMD: Stereoscopic atlas of macular disease, St Louis: Mosby; 1997:187-197.

310. Collier RH: Experimental embolic ischemia of the choroid. Arch Ophthalmol 1967; 77:683-692.

311. Buettner HM, Charles R, Anderson S: Experimental deprivation of choroidal blood flow. Retinal morphology, early receptor potential, and electroretinography. Am J Ophthalmol 1973; 75:943-952.

312. Almaric P: Circulation choroidienne. Compte rendu du symposium international d'angiographie fluorescéinique, Albi 1969, Karger: Basel; 1971:193-203.

313. Bischoff PM, Flower RW: High blood pressure in choroidal arteries as a possible pathogenetic mechanism in senile macular degeneration. Am J Ophthalmol 1983; 96:398-399.

314. Condon PI, Serjeant GR, Ikeda H: Unusual chorioretinal degeneration in sickle cell disease. Possible sequelae of posterior ciliary vessel occlusion. Br J Ophthalmol 1973; 57:81-88.

315. Jampol LML, Albert M, Craft DM: Ocular clinical findings and basement membrane changes in Goodpasture's syndrome. Am J Ophthalmol 1975; 79:452-463.

316. Spolaore RG, Coscas A, de Margerie G: Acute sectorial choroidal ischemia. Am J Ophthalmol 1984; 98:707-716.

317. Gaudric A, Coscas G, Bird AC: Choroidal ischemia. Am J Ophthalmol 1982; 94:489-498.



If you find an error or have any questions, please email us at admin@doctorlib.org. Thank you!