A.1 Dilating Drops
MYDRIATIC AND CYCLOPLEGIC AGENTS

The usual regimen for a dilated examination is:
• Adults: Phenylephrine, 2.5% and tropicamide, 1%. Repeat these drops in 15 to 30 minutes if the eye is not dilated.
• Children (>1-year-old) and full-term infants (consider any two- agent combination from the following): Phenylephrine, 2.5%; tropicamide, 1%; and cyclopentolate, 1% to 2%. Consider repeating the drops in 30 minutes if the eye is not dilated.
• Preterm infants and neonates (consider any two-agent combination from the following): Phenylephrine, 1%; tropicamide, 1%; and cyclopentolate, 0.2 % to 0.5%. Consider repeating the drops in 30 to 45 minutes if the eye is not dilated.
NOTE:
1. Dilating drops are contraindicated in most types of angle-closure laucoma and in eyes with severely narrow anterior chamber angles.
2. Dilating drops tend to be less effective at the same concentration in darkly pigmented eyes.
A.2 Tetanus Prophylaxis

*Dose of tetanus toxoid is 0.5 mL intramuscularly.
aUnless wound is >24 hours old.
bUnless >10 years since the last dose.
cUnless >5 years since the last dose.
A.3 Cover/Uncover and Alternate Cover Tests
COVER/UNCOVER TEST
The primary purpose is to detect a tropia (a deviation when both eyes are open) and/or a phoria (a latent deviation that manifests when binocular fusion is disrupted). Ideally performed with best correction, as the patient must have adequate vision to fixate on a target.
Requirements
Full range of ocular motility, vision adequate to see the target of fixation, foveal fixation in each eye, and patient cooperation. This test should be performed before the alternate cover test (see below).
Method
1. Ask the patient to fixate on a nonaccommodative target at a distance (e.g., a letter on the vision chart).
2. Cover one of the patient’s eyes while observing the uncovered eye. A refixation movement of the uncovered eye indicates the presence of a manifest deviation (tropia). Repeat the procedure, covering the opposite eye. A shift in fixation may not occur if the uncovered eye is the preferred or fixating eye. Prisms may be used to quantify the observed deviation.
3. If there is no movement of either eye, the eyes are aligned with both eyes open (no tropia).
4. Ask the patient to fixate on an accommodative target nearby. Both eyes are tested at a near distance in the manner described previously.
NOTE: An esodeviation is detected by a refixation movement temporally (the eye being observed turns away from the nose). An exodeviation is detected by a refixation movement nasally (the eye being observed turns toward the nose). A hyperdeviation is detected by a refixation movement inferiorly.
ALTERNATE COVER TEST
In the absence of a tropia, the alternate cover test may be used to reveal any latent deviation that occurs with the interruption or suspension of binocular fusion (phoria). When it has been determined by the cover/uncover test that a tropia exists, the alternate cover test may be used to dissociate the two eyes and further quantify the total deviation (manifest tropia and latent phoria combined). The alternate cover test does not distinguish manifest from latent deviations.
Requirements
Same as for the cover/uncover test above.
Method
1. Ask the patient to fixate on a nonaccommodative target at a distance. To make certain that he or she is fixing on the target, ask that the letters be read or the picture described.
2. Repeatedly cover one eye and then quickly move the cover to the other eye. The eye being uncovered may be noted to swing into a position to refixate on the target, indicating the presence of a deviation. Then repeat the test at a near distance.
ALTERNATE COVER TEST WITH PRISM
Measures the size of the total deviation, regardless of whether a phoria or tropia is present.
Method
1. To measure a deviation, prisms are placed in front of one eye with the prism base placed in the direction of the eye’s refixation movement. While continuing to alternately cover, as described above, increase the prism strength until eye movement ceases. The strength of the weakest prism that eliminates eye movement during alternate cover is the amount of deviation.
2. Measurements may be done for any direction of gaze by turning the patient's head away from the target while asking him or her to maintain fixation on it (e.g., the right gaze is measured by turning the patient's head toward his or her left shoulder and asking the patient to look at the target).
3. In general, measurements are taken in the straight-ahead position (both at a distance and nearby), in right gaze, left gaze, downgaze (the head is tilted up while the patient focuses on the target), upgaze (the head is tilted down while the patient focuses on the target), and with the patient's head tilted toward either shoulder.
Measurements are often taken both with and without glasses in the straight-ahead position.
A.4 Amsler Grid
Used to test macular function or to detect a central or paracentral scotoma.

FIGURE A.4.1 Amsler grid.
1. Have the patient wear his or her glasses and occlude the left eye while an Amsler grid is held approximately 12 inches in front of the right eye (see Figure A.4.1).
2. The patient is asked what is in the center of the page. Failure to see the central dot may indicate a central scotoma.
3. Have the patient fixate on the central dot (or the center of the page if he or she cannot see the dot). Ask if all four corners of the diagram are visible and if any of the boxes are missing.
4. Again, while staring at the central dot, ask the patient if all of the lines are straight and continuous or if some are distorted and broken.
5. The patient is asked to outline any missing or distorted areas on the grid with a pencil.
6. Repeat the procedure, covering the right eye and testing the left.
NOTE:
1. It is very important to monitor the patient’s eye for any movement away from the central dot.
2. A red Amsler grid may define more subtle defects.
A.5 Seidel Test to Detect a Wound Leak
Concentrated fluorescein dye (from a moistened fluorescein strip) is applied directly on the potential site of perforation while observing the site with the slit lamp (see Figure A.5.1). If a perforation and leak exist, the fluorescein dye is diluted by the aqueous and appears as a green (dilute) stream within the dark orange (concentrated) dye. The stream of aqueous is best seen with the cobalt blue light of the slit lamp.

FIGURE A.5.1 Seidel test.
A.6 Forced Duction Test and Active Force
Generation Test
Forced Duction Test
(See Figure A.6.1.)

FIGURE A.6.1 Forced duction test.
This test distinguishes restrictive causes of decreased ocular motility from other motility disorders. One technique is the following:
1. Place a drop of topical anesthetic (e.g., proparacaine) into the eye.
2. Apply viscous lidocaine to further anesthetize the eye.
3. Use toothed forceps (e.g., Graefe fixation forceps) to firmly grasp Tenon’s close to the limbus at both locations perpendicular to the desired direction of movement. Doing so helps prevent corneal abrasions should the forceps slip. Rotate the eye in the “paretic” direction. If there is a resistance to the passive rotation of the eye, a restrictive disorder is diagnosed. This test does not require the patient to be conscious.
Active Force Generation Test
The patient is asked to look in the “paretic" direction while a sterile cotton swab is held just beneath the limbus on that same side. The amount of force generated by the “paretic" muscle is compared with that generated in the normal contralateral eye. The test can only be used in a cooperative, alert patient.
A.7 Technique for Diagnostic Probing and Irrigation of the Lacrimal System

FIGURE A.7.1 Probing and irrigation: After anesthetizing the eye, dilate the punctum with a punctum dilator. Insert the dilator 2 mm vertically. Pull the eyelid laterally. Rotate the dilator 90 degrees and continue to advance it horizontally.
Using a similar insertion technique, advance the irrigation cannula.
1. Anesthetize the eye with a drop of topical anesthetic (e.g., proparacaine) and consider holding a cotton-tipped applicator soaked in the topical anesthetic or applying viscous lidocaine on the involved punctum for several minutes for additional comfort.
2. Dilate the punctum with a punctum dilator (see Figure A.7.1).
3. Gently insert a #00 Bowman probe into the punctum 2 mm vertically, and then 8 mm horizontally, toward the nose. Avoid using smaller probes, as they can create a false passage. Pull the involved eyelid laterally while slowly moving the probe horizontally to facilitate the procedure and to avoid creating a false passageway.
4. In the presence of an eyelid laceration, a torn canaliculus may be diagnosed by the appearance of the probe in the site of the eyelid laceration. See 3.8, Eyelid Laceration.
5. Irrigation of the lacrimal system is performed after removing the probe and inserting an irrigation cannula in the same manner in which the probe was inserted. Warn the patient before irrigation to expect a gag reflex. Saline (2 to 3 mL) is gently pushed into the system. Leakage through a torn eyelid also diagnoses a severed canaliculus. Resistance to the injection of the saline, ballooning of the lacrimal sac, or leakage of the saline out of either punctum may be the result of a lacrimal system obstruction. If soft-tissue edema occurs during irrigation, stop immediately—a false passage may have been created. A patent lacrimal system usually drains into the throat quite readily, and the arrival of saline may be noted by the patient. Stop irrigating as soon as the patient tastes the fluid.
NOTE: If only evaluating the patency of the lacrimal system, and not ruling out a laceration, the system can be irrigated immediately after punctum dilation.
A.8 Corneal Culture Procedure
Indications
Small (<1 mm) infiltrates may be treated empirically with intensive commercially available broad-spectrum antibiotics without prior scraping. We routinely culture infiltrates larger than 1 to 2 mm, in the visual axis, unresponsive to initial treatment, or if we suspect an unusual organism based on history or examination. See 4.11, Bacterial Keratitis.
Equipment
Slit lamp; sterile Kimura spatula, knife blade, or moistened calcium alginate swab (e.g., with nonpreserved sterile saline, or thioglycolate or trypticase soy broth); culture media; microscopy slides; and an alcohol lamp.
Procedure
1. Anesthetize the cornea with topical drops. Proparacaine is best because it appears to be less bactericidal than others.
2. At the slit lamp, scrape the ulcer base (unless significant corneal thinning has occurred) and the leading edge of the infiltrate firmly with the spatula, blade, or swab. Place the specimens on the slides first and then on the culture media. Sterilize the spatula over the flame of the alcohol lamp between each separate culture or slide. Be certain that the spatula tip temperature has returned to normal before touching the cornea again.
Media
Routine
1. Blood agar (most bacteria).
2. Sabouraud dextrose agar without cycloheximide; place at room temperature (fungi).
3. Thioglycolate broth (aerobic and anaerobic bacteria).
4. Chocolate agar; lab will place into a CO2 jar (Haemophilus species, Neisseria gonorrhoeae).
Optional
1. Lowenstein-Jensen medium (mycobacteria, Nocardia species) should be included in patients with a history of LASIK or an atypical ulcer appearance.
2. Nonnutrient agar with Escherichia coli overlay if available (Acanthamoeba).
Slides
Routine
1. Gram stain (bacteria and fungi).
2. Calcofluor white; a fluorescent microscope is needed (fungi and Acanthamoeba).
Optional
1. Giemsa stain (bacteria, fungi, and Acanthamoeba).
2. Acid-fast stain (Mycobacterium species and Nocardia species).
3. Gomori methenamine silver stain and periodic acid-Schiff (PAS) stain (fungi and Acanthamoeba).
4. KOH wet mount (fungi, Nocardia species, and Acanthamoeba).
5. Extra slide to send to pathology at a local institution.
NOTE: When a fungal infection is suspected, deep scrapings into the base of the ulcer are essential. Sometimes a corneal biopsy is necessary to obtain diagnostic information for fungal, atypical mycobacterial, and Acanthamoeba infections.
A.9 Fortified Topical Antibiotics/Antifungals
NOTE: Additional and updated information is available in the online e-book. To access, use your code from the back of the front cover at http://solution.lww.com/access
Fortified Bacitracin (10,000 U/mL)
Add enough sterile water (without preservative) to 50,000 U bacitracin dry powder to form 5 mL of solution. This provides a concentration of 10,000 U/mL. Refrigerate. Expires after 7 days.
Fortified Cefazolin (50 mg/mL)
Add enough sterile water (without preservative) to 500 mg of cefazolin dry powder to form 10 mL of solution. This provides a strength of 50 mg/mL. Refrigerate. Expires after 7 days.
Fortified Ceftazidime (50 mg/mL)
Add 10 mL of sterile water to 1 g of ceftazidime. Draw up 7.5 mL of this solution and add it to a sterile dropper bottle. Then add 7.5 mL of sterile water to the dropper bottle to produce a concentration of 50 mg/mL. Refrigerate. Expires after 7 days.
Fortified Tobramycin (or Gentamicin) (15 mg/mL)
With a syringe, inject 2 mL of tobramycin, 40 mg/mL, directly into a 5mL bottle of tobramycin, 0.3%, ophthalmic solution. This gives a 7-mL solution of fortified tobramycin (approximately 15 mg/mL). Refrigerate. Expires after 14 days.
Fortified Vancomycin (25 mg/mL)
Add enough sterile water (without preservative) to 500 mg of vancomycin dry powder to form 10 mL of solution. This provides a strength of 50 mg/mL. To achieve a 25-mg/mL concentration, take 5 mL of 50-mg/mL solution and add 5 mL sterile water. Refrigerate. Expires after 7 days.
Fortified Voriconazole (0.5 mg/mL)
Dilute 1 mL of IV voriconazole (10 mg/mL) with 19 mL of sterile water. This provides a strength of 0.5 mg/mL. Refrigerate. Expires after 7 days. Filter the solution prior to topical administration.
A.10 Technique for
Retrobulbar/Subtenon/Subconjunctival Injections
Retrobulbar Injection
1. Clean the skin of the lower eyelid and upper cheek around the area of the inferior orbital rim with an alcohol swab.
2. With the patient in primary gaze, use a 1.25-inch 25- or 27-gauge needle (preferably a short-beveled blunt retrobulbar needle) to penetrate the skin just superior to the inferior orbital rim in line with the lateral limbus.
3. Advance the needle parallel to the orbital floor. After passing parallel to the equator of the globe, redirect the needle superonasally into the muscle cone.
4. Lateral motions of the needle are made to ensure that the needle has not penetrated the sclera (at which point, the lateral motion would be inhibited).
5. Pull back on the syringe to ensure no vascular structures have been penetrated. If no aspiration occurs, slowly inject the contents of the syringe. In a successful injection, the globe may move anteriorly due to the retrobulbar pressure.
6. Withdraw the needle along the same contour as insertion. May perform orbital compression for at least 2 minutes.
Subtenon Injection
1. Apply topical anesthesia to the area to be injected (e.g., topical proparacaine or a cotton-tipped applicator soaked in proparacaine, or both, held on the area for 1 to 2 minutes). Place a drop of topical 5% povidone-iodine on the surface of the eye. If subtenon steroids are to be injected, 0.1 mL of lidocaine may be injected in the same manner as described next, several minutes before the steroids. The inferotemporal quadrant is usually the easiest location for injection.
2. With the aperture of a 25-gauge, 5/8-inch needle facing the sclera, the bulbar conjunctiva is penetrated 2 to 3 mm from the fornix, avoiding conjunctival blood vessels.
3. As the needle is inserted, lateral motions of the needle are made to ensure that the needle has not penetrated the sclera (at which point, the lateral motion would be inhibited).
4. The curvature of the eyeball is followed, attempting to place the aperture of the needle near the posterior sclera.
5. When the needle has been pushed in to the hilt, the stopper of the syringe is withdrawn to ensure that the needle is not intravascular.
6. The contents of the syringe are injected, and the needle is removed.
Subconjunctival Injection
1. Apply topical anesthesia and antiseptic as above.
2. Forceps are used to tent the conjunctiva, allowing the tip of a 25- gauge, 5/8-inch needle to penetrate the subconjunctival space. The needle is placed several millimeters below the limbus at the 4- or 8-o’clock position, with the aperture facing the sclera and the needle pointed inferiorly toward the fornix.
3. When the entire tip of the needle is beneath the conjunctiva, the stopper of the syringe is withdrawn to ensure that the needle is not intravascular.
4. The contents of the syringe are injected, and the needle is removed.
NOTE: An eyelid speculum may be helpful in keeping the eyelids open during subtenon and subconjunctival injections.
A.11 Intravitreal Tap and Inject
Supplies Needed
1. Ophthalmic proparacaine or tetracaine.
2. 5% povidone-iodine.
3. Eyelid speculum.
4. 1% or 2% lidocaine without epinephrine.
5. Alcohol wipes.
6. Cotton tip applicators as needed.
7. 1 or 3 mL syringe with an 18-gauge needle to fill a syringe with lidocaine and a 30-gauge needle (1/2 to 5/8-inch length) for subconjunctival lidocaine injection.
8. 25 or 27-gauge needle (1/2 to 5/8-inch length) on a 3 mL syringe for vitreous tap. If the patient has had a pars plana vitrectomy, a 30-gauge needle may be used.
9. 30-gauge needle (1/2 to 5/8-inch length) on a 1 mL syringe for anterior chamber tap.
10. 1 mL syringe or caliper to mark the injection site.
11. 30-gauge needle (1/2 to 5/8-inch length) on a 1 mL syringe with indicated intravitreal injection(s).
12. Specimen cap.
Procedure Steps
1. Anesthetize the eye with topical proparacaine or tetracaine.
2. Apply 1 to 2 drops of 5% povidone-iodine.
3. Insert speculum.
a. Tips: A wire or plate speculum may be used. Plate speculum can provide more comfort if the eye is painful.
4. Using a 1 mL syringe with a 30-gauge needle, inject ~ 0.5 mL of lidocaine subconjunctivally (As mentioned in the video, we suggest waiting at least 5 minutes after the subconj lido before proceeding with the tap and inject. Longer may be better in very inflamed eyes. The eyelid speculum can be removed while waiting and then reinserted before the subsequent steps.). The injection should be placed in the area of the anticipated vitreous tap and injection.
a. Tips:
i. To optimize ocular anesthesia, wait for at least five minutes after lidocaine injection.
ii. Subconjunctival lidocaine may not yield complete ocular anesthesia with the tap, especially in very inflamed eyes. Both the physician and patient should be prepared for possible patient movement if there is any discomfort during the procedure.
5. Mark the injection site by pressing the tip of a 1 mL syringe on the surface of the eye to create an imprint. Place one edge of the syringe tip at the inferotemporal limbus. The outer edge of the tip will mark 4 mm from the limbus.
a. Tips:
i. The entry point of injection should be 4 mm from the limbus in phakic patients and 3.5 mm in pseudophakic patients.
ii. Alternatively, a caliper may be used to measure the exact distance.
6. Apply another 1 to 2 drops of 5% povidone-iodine.
7. Using a 25- or 27-gauge needle on a 3-mL syringe, enter the eye at your marked site, aiming posteriorly toward the optic nerve.
a. Tips:
i. In phakic patients, it is crucial to remain perpendicular to the entry plane as to avoid hitting the lens.
8. Carefully pull back on the plunger to create a vacuum. The sample volume should be between 0.1 and 0.3 mL.
a. Tips:
i. Sample may not immediately be obtained. Several techniques can be used to optimize yield:
1. Aspirate in one location first. If there is no return of fluid, release the suction and slowly pivot the needle to a slightly different location and then try to aspirate again.
Or
2. Carefully move the needle slowly in and out after insertion into the vitreous cavity to find a pocket of liquid vitreous.
9. If the vitreous tap is unsuccessful, convert to an anterior chamber tap. Using a 30-gauge needle on a 1-mL syringe, insert the needle and bevel up, through the clear cornea in the inferotemporal quadrant, over the iris. Gently pull back on the plunger to obtain a 0.1- to 0.2-mL sample.
a. Tips:
i. If the patient is phakic, it is crucial to keep the needle in the horizontal plane over the iris to avoid hitting the lens capsule. If the patient is pseudophakic, you may enter at the limbus and aim the needle more centrally while still taking care to avoid contact with the iris, intraocular lens, or corneal endothelium. A sterile cotton swab may be used to stabilize the globe by placing the tip of the swab on the nasal side of the globe to provide countertraction.
10. Place specimen cap on the syringe.
11. Prepare for intravitreal injection by applying 1 to 2 drops of 5% povidone-iodine to the surface of the eye.
12. Inject intravitreal agent(s) at the previous injection site using a 30- gauge needle on a 1-mL syringe.
13. Remove speculum.
A.12 Intravitreal Antibiotics
NOTE: Additional and updated information is available in the online e-book. To access, use your code from the back of the front cover at http://solution.lww.com/access
Intravitreal Cefazolin (2.25 mg/0.1 mL)
Reconstitute a 500-mg vial of cefazolin with 2 mL of sterile water. Draw 1 mL of the solution into a Tb syringe and inject into an empty 30-mL vial. Add 9 mL of sterile water. Mix. Withdraw 0.2 mL of the solution from the 30-mL vial into a Tb syringe. Remove the Tb syringe needle and replace it with a 30-gauge needle. Expel 0.1 mL to leave 0.1 mL of 2.25-mg/0.1-mL cefazolin solution.
Intravitreal Vancomycin (1 mg/0.1 mL)
Reconstitute a 500-mg vial of vancomycin with 10 mL of sterile water. Withdraw 1 mL of the solution and inject it into a sterile 10-mL vial. Add 4 mL of sterile water to the 10-mL vial. Mix. Withdraw 0.2 mL of vancomycin solution with a Tb syringe. Remove the Tb syringe needle and replace it with a 30-gauge needle. Expel 0.1 mL to leave 0.1 mL of 1-mg/0.1-mL vancomycin solution.
Intravitreal Amikacin (400 mcg/0.1 mL)
Withdraw 0.8 mL (40 mg) of amikacin from a 100-mg/2-mL amikacin vial. Inject into a sterile 10-mL vial. Add 9.2 mL of nonpreserved sodium chloride and mix. Withdraw 0.3 mL into a sterile Tb syringe and replace the needle with a 30-gauge needle. Expel 0.2 mL to leave 0.1 mL of 400-mcg/0.1-mL amikacin solution.
Intravitreal Ceftazidime (2 mg/0.1 mL)
Add 9.4 mL of sterile water to 1 g of ceftazidime injection (in a vial). After dissolving, vent the vial. From the ceftazidime vial, transfer 2 mL to a 10-mL sterile vial. To this sterile vial, add 8 mL of sodium chloride 0.9% nonpreserved. Withdraw 0.3 mL of the solution into a sterile Tb syringe and replace the needle with a 30-gauge needle. Expel 0.2 mL to leave 0.1 mL of a 2-mg/0.1-mL ceftazidime solution.
A.13 Anterior Chamber Paracentesis
1. Place a drop of topical anesthetic (e.g., proparacaine) on the surface of the eye.
2. Retract the eyelids with a sterile speculum.
3. Place a drop of topical 5% povidone-iodine on the surface of the eye and allow it to sit on the globe for at least 30 to 60 seconds.
4. If available, use an operating microscope or slit lamp.
5. In an eye with normal or elevated intraocular pressure, fixation forceps are not needed.
6. In eyes with intraocular pressure <8 mm Hg, fixation forceps may be necessary. Anesthetize the base of the lateral rectus muscle by holding a cotton-tipped applicator dipped in the topical anesthetic against the muscle for 1 minute. Grasp the base of the lateral rectus muscle with fixation forceps at the anesthetized site.

FIGURE A.13.1 Anterior chamber paracentesis.
NOTE: To best provide countertraction and minimize globe rotation, the eye is fixated at the same side of needle insertion.
7. Use a 30-gauge short needle on a syringe and remove the plunger.
8. Enter the eye at an area with a sufficiently formed anterior chamber. Keep the bevel of the needle pointing anteriorly (toward the epithelium) and away from the lens. Keep the tip of the needle over the iris (not the lens) when entering the anterior chamber (see Figure A.13.1).
NOTE: Make sure the plane of the needle is parallel to the plane of the iris.
9. Leave the tip of the needle in the anterior chamber for about 2 to 3 seconds. Aqueous will passively egress into the plungerless syringe.
NOTE: In some instances (e.g., when an aqueous specimen is necessary), it may be necessary to withdraw aqueous. This greatly increases the risk of complication and is to be avoided if possible.
10. Withdraw the needle and place a drop of antibiotic on the eye (e.g., gatifloxacin or moxifloxacin). Consider topical antibiotics q.i.d. for 4 to 7 days.
A.14 Angle Classification
Proper evaluation of the configuration of the anterior chamber requires the use of at least three descriptors: the point at which the peripheral iris is adherent to the cornea or uvea, the depth of the anterior chamber, and the curvature of the peripheral iris. The Spaeth grading system of the anterior chamber angle takes into account all the three attributes.
Spaeth Grading System
(See Figure A.14.1.)

FIGURE A.14.1 Spaeth angle classification.
Iris Insertion
A =Anterior to the Schwalbe line (SL)
B =Between SL and scleral spur
C =Scleral spur visible (common in blacks and Asians)
D =Deep: ciliary body visible (common in whites)
E =Extremely deep: >1 mm of the ciliary body is visible
Indentation gonioscopy may be necessary to differentiate false opposition of the iris against the structures in the iridocorneal angle from the true iris insertion. First, make note of the most posterior portion of the inner wall of the eye that can be seen without indentation. The iris is then displaced posteriorly by compressing the cornea. This allows for the determination of the true iris insertion. When the true iris insertion is different from the preindentation appearance, the preindentation appearance is placed in parentheses. For example, a (B)D grade means that without indentation, it is not possible to see any of the scleral spur or ciliary body, but with indentation, the ciliary body can be seen.
Angle of the Anterior Chamber
The angular width that is measured is the angle between a line parallel to the corneal endothelium at the Schwalbe line and a line parallel to the anterior surface of the iris.
Curvature of Iris
b = bowing anteriorly
p = plateau configuration
f = flat
c = concave posterior bowing
Pigmentation of the Posterior Trabecular Meshwork (PTM)
Viewing at 12 o’clock in the angle with the mirror at 6 o'clock position, pigmentation graded on a scale of 0 (no PTM pigment seen) to 4 + (intense PTM pigment).
General Guidelines
1. Occludable angles would include the following:
• Any angle narrower than 10 degrees.
• Any p angle configuration.
2. Potentially occludable angles include:
• Any angle narrower than 20 degrees.
• Any B insertion.
3. Abnormal iris insertions include:
• Any A insertion.
• Any B insertion.
• C attachment in certain populations.
4. Iris bow >1+ usually indicates pupillary block.
5. Pigmentation >2+ is usually pathologic though can occur naturally in patients with heavy skin pigmentation.
Examples of the Spaeth Grading System
1. C15b 2+ ptm = Open but narrow occludable angle.
2. A40f = closed angle.
3. (B)D30p 0 ptm = open, atypical narrow angle, occludable with dilation.
4. D40c 4+ ptm = open-angle characteristic of patients with myopia or iris pigment dispersion syndrome.
Shaffer Classification
(See Figure A.14.2.)

FIGURE A.14.2 Shaffer angle classification.
Grade 0: The angle is closed.
Grade 1: Extremely narrow angle (10 degrees). Only the Schwalbe line, and perhaps also the top of the trabecula, can be visualized. Angle closure is probable.
Grade 2: Moderately narrow angle (20 degrees). Only the trabecular meshwork can be seen. Angle closure is possible.
Grade 3: Moderately open angle (20 to 35 degrees). The scleral spur can be seen. Angle closure is not possible.
Grade 4: Angle wide open (35 to 45 degrees). The ciliary body can be visualized with ease. Angle closure is not possible.
Van Herick Angle Depth Estimation
NOTE: The Van Herick slit-lamp method of evaluation only allows an estimation of the anterior chamber depth and is not a substitute for formal gonioscopy. For Van Herick grading, bring the temporal aspect of the cornea into focus using a thin, bright slit beam that is offset approximately 60 degrees temporal to the oculars. The thickness of the cornea is compared to the depth of the peripheral anterior chamber.
Grade 1: Chamber depth <1/4 corneal thickness. Suggests narrow angle at increased risk for closure.
Grade 2: Chamber depth 1/4 corneal thickness. Suggests angle closure is possible.
Grade 3: Chamber depth 1/4 to 1/2 corneal thickness.
Suggests low probability of angle closure.
Grade 4: Chamber depth > corneal thickness. Suggests open angle without the risk of closure.
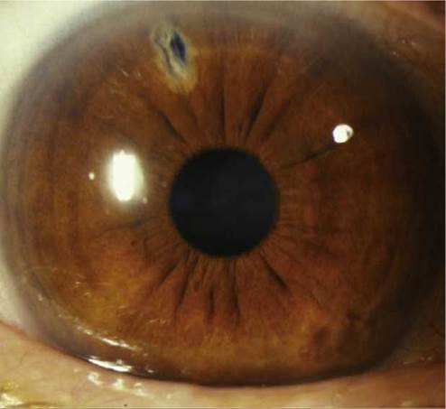
A.15 YAG Laser Peripheral Iridotomy
Also see 9.4, Acute Angle Closure Glaucoma.
1. Perform prelaser peripheral iridotomy (LPI) gonioscopy to assess the baseline angle.
2. Inform the patient that they may experience ghost imaging after LPI due to the newly created iris defect. Preference for creation of the LPI at 3 and 9 o’clock to avoid the eyelid margin and prismatic tear film effect theorized to cause ghost images. Superior LPI discouraged even if completely covered by upper eyelid due to high rate of postoperative dysphotopsias.
3. Pretreat the eye with one drop each of apraclonidine 1% and pilocarpine (1% for lightly pigmented irides and 2% for darkly pigmented). As an alternative to pilocarpine, some ophthalmologists prefer to shine a bright light into the fellow eye immediately before engaging the laser or to employ bright ambient light. This allows for physiologic constriction of the operative pupil.
4. Recommended laser settings:
• Power: 4 to 7 mJ (usually for a total of 12 to 21 mJ).
• Spot size: 10 to 70 mm.
• Shots/pulse: 3.
NOTE: Darker irides usually require more total power. Always start with a lower power and titrate up as needed for each individual patient. Pretreatment with an argon laser prior to YAG laser therapy is an option for patients with darker, thicker irides or concern for intraoperative bleeding. The argon laser coagulates the tissue to reduce bleeding and thins the iris, thus encouraging easier YAG laser penetration with less applied energy. Utilize spot size 50 um with an escalating power beginning at 300 mJ, 50 laser applications to 600 mJ, 50 laser applications, and finally 900 mJ, 50 laser applications with YAG laser to follow (as below).
5. Anesthetize the eye (e.g., proparacaine).
6. Place an Abraham YAG iridotomy contact lens cushioned with 2.5% hydroxypropyl methyl cellulose or lidocaine gel, positioning the magnification button above the anticipated site of iris penetration.

FIGURE A.15.1 Laser peripheral iridotomy.
NOTE: Keep the lens perpendicular to the YAG beam to ensure good focus and laser concentration.
7. Focus the YAG beam on the predetermined iris location (see #2, above). Focus within an iris crypt if possible (see Figure A.15.1).
8. Engage the laser. There will be a gush of posterior iris pigment when the iris is completely penetrated. If not penetrated, advance the YAG beam to refocus on the newly created crater. Re-engage the laser until the iris is completely penetrated.
9. Administer one drop of prednisolone 1% and apraclonidine 1% after laser treatment.
10. Check post-LPI intraocular pressure.
11. Treat inflammation with prednisolone 1% q.i.d. for 4 to 7 days. If the LPI required a significant amount of power (e.g., more than six triple shots), taper the steroids before discontinuation to prevent rebound inflammation.
12. Have the patient return within 1 to 2 weeks for IOP measurement, iridotomy evaluation, and gonioscopy.