Cells are the smallest functional units of the body. They are grouped together to form tissues, each of which has a specialised function, e.g. blood, muscle, bone. Different tissues are grouped together to form organs, e.g. heart, stomach, brain. Organs are grouped together to form systems, each of which performs a particular function that maintains homeostasis and contributes to the health of the individual (see Fig. 1.2, p. 5). For example, the digestive system is responsible for taking in, digesting and absorbing food and involves a number of organs, including the stomach and intestines. The structure and functions of cells and types of tissue are explored in this chapter.
The terminology used to describe the anatomical relationships of body parts, the skeleton and the cavities within the body are then described.
The final section considers features of benign and malignant tumours, their causes and how they grow and may spread.
The cell: structure and functions
![]()
Learning outcomes
After studying this section you should be able to:
describe the structure of the plasma membrane
explain the functions of the principal organelles
outline the process of mitosis
compare and contrast active, passive and bulk transport of substances across cell membranes.
![]()
The human body develops from a single cell called the zygote, which results from the fusion of the ovum (female egg cell) and the spermatozoon (male sex cell). Cell division follows and, as the fetus grows, cells with different structural and functional specialisations develop, all with the same genetic make-up as the zygote. Individual cells are too small to be seen with the naked eye. However, they can be seen when thin slices of tissue are stained in the laboratory and magnified by a microscope.
A cell consists of a plasma membrane inside which are a number of organelles suspended in a watery fluid called cytoplasm (Fig. 3.1). Organelles, literally ‘small organs’, have individual and highly specialised functions, and are often enclosed in their own membrane within the cytoplasm. They include: the nucleus, mitochondria, ribosomes, endoplasmic reticulum, Golgi apparatus, lysosomes and the cytoskeleton.

Figure 3.1 The simple cell.
Plasma membrane
The plasma membrane (Fig. 3.2) consists of two layers of phospholipids (fatty substances, see p. 23) with protein and sugar molecules embedded in them. In addition to phospholipids, the lipid cholesterol is also present in the plasma membrane. Those proteins that extend all the way through the membrane may provide channels that allow the passage of, for example, electrolytes and non-lipid-soluble substances. Protein molecules on the surface of the plasma membrane are shown in Figure 3.2B.

Figure 3.2 The plasma membrane. A. Diagram showing structure. B. Coloured atomic force micrograph of the surface showing plasma proteins.
The phospholipid molecules have a head, which is electrically charged and hydrophilic (meaning ‘water loving’), and a tail which has no charge and is hydrophobic (meaning ‘water hating’, Fig. 3.2A). The phospholipid bilayer is arranged like a sandwich with the hydrophilic heads aligned on the outer surfaces of the membrane and the hydrophobic tails forming a central water-repelling layer. These differences influence the transfer of substances across the membrane.
The membrane proteins perform several functions:
• branched carbohydrate molecules attached to the outside of some membrane protein molecules give the cell its immunological identity
• they can act as specific receptors (recognition sites) for hormones and other chemical messengers
• some are enzymes (p. 24)
• some are involved in transport across the membrane.
Organelles ![]()
Nucleus
Every cell in the body has a nucleus, with the exception of mature erythrocytes (red blood cells). Skeletal muscle and some other cells contain several nuclei. The nucleus is the largest organelle and is contained within the nuclear envelope, a membrane similar to the plasma membrane but with tiny pores through which some substances can pass between it and the cytoplasm, i.e. the cell contents excluding the nucleus.
The nucleus contains the body’s genetic material, which directs all the metabolic activities of the cell. This consists of 46 chromosomes, which are made from deoxyribonucleic acid (DNA, p. 428). Except during cell division, the chromosomes resemble a fine network of threads called chromatin.
Within the nucleus is a roughly spherical structure called the nucleolus, which is involved in manufacture (synthesis) and assembly of the components of ribosomes.
Mitochondria
Mitochondria are membranous, sausage-shaped structures in the cytoplasm, sometimes described as the ‘power house’ of the cell (Fig. 3.3). They are involved in aerobic respiration, the processes by which chemical energy is made available in the cell. This is in the form of ATP, which releases energy when the cell breaks it down (see Fig. 2.10, p. 24). Synthesis of ATP is most efficient in the final stages of aerobic respiration, a process requiring oxygen (p. 308). The most active cell types have the greatest number of mitochondria, e.g. liver, muscle and spermatozoa.

Figure 3.3 Mitochondrion and rough endoplasmic reticulum. False colour transmission electron micrograph showing mitochondrion (orange) and rough endoplasmic reticulum (turquoise) studded with ribosomes (dots).
Ribosomes
These are tiny granules composed of RNA and protein. They synthesise proteins from amino acids, using RNA as the template (see Fig. 17.5, p. 430). When present in free units or in small clusters in the cytoplasm, the ribosomes make proteins for use within the cell. These include the enzymes required for metabolism. Metabolic pathways consist of a series of steps, each driven by a specific enzyme. Ribosomes are also found on the outer surface of the nuclear envelope and rough endoplasmic reticulum (see Fig. 3.3 and below) where they manufacture proteins for export from the cell.
Endoplasmic reticulum (ER)
Endoplasmic reticulum is an extensive series of interconnecting membranous canals in the cytoplasm (Fig. 3.3). There are two types: smooth and rough. Smooth ER synthesises lipids and steroid hormones, and is also associated with the detoxification of some drugs. Some of the lipids are used to replace and repair the plasma membrane and membranes of organelles. Rough ER is studded with ribosomes. These are the site of synthesis of proteins, some of which are ‘exported’ from cells, i.e. enzymes and hormones that leave the parent cell by exocytosis (p. 33) to be used by cells elsewhere.
Golgi apparatus
The Golgi apparatus consists of stacks of closely folded flattened membranous sacs (Fig. 3.4). It is present in all cells but is larger in those that synthesise and export proteins. The proteins move from the endoplasmic reticulum to the Golgi apparatus where they are ‘packaged’ into membrane-bound vesicles called secretory granules. The vesicles are stored and, when needed, they move to the plasma membrane and fuse with it. The contents then leave the cell by exocytosis (p. 33).

Figure 3.4 Coloured transmission electron micrograph showing the Golgi apparatus (green).
Lysosomes
Lysosomes are one type of secretory vesicle with membranous walls, which are formed by the Golgi apparatus. They contain a variety of enzymes involved in breaking down fragments of organelles and large molecules (e.g. RNA, DNA, carbohydrates, proteins) inside the cell into smaller particles that are either recycled, or extruded from the cell as waste material.
Lysosomes in white blood cells contain enzymes that digest foreign material such as microbes.
Cytoskeleton
This consists of an extensive network of tiny protein fibres (Fig. 3.5).

Figure 3.5 Fibroblasts. Fluorescent light micrograph showing their nuclei (purple) and cytoskeletons (yellow and blue).
Microfilaments
These are the smallest fibres. They provide structural support, maintain the characteristic shape of the cell and permit contraction, e.g. in muscle cells.
Microtubules
These are larger contractile protein fibres that are involved in movement of:
• organelles within the cell
• chromosomes during cell division
• cell extensions (see below).
Centrosome
This directs organisation of microtubules within the cell. It consists of a pair of centrioles (small clusters of microtubules) and plays an important role during cell division.
Cell extensions
These project from the plasma membrane in some types of cell and their main components are microtubules, which allow movement. They include:
• microvilli – tiny projections that contain microfilaments. They cover the surface of certain types of cell, e.g. absorptive cells that line the small intestine (see Fig. 3.6). By greatly increasing the surface area, microvilli make the structure of these cells ideal for their function – maximising absorption of nutrients from the small intestine.
• cilia – microscopic hair-like projections containing microtubules that lie along the free borders of some cells (see Fig. 10.12, p. 241). They beat in unison, moving substances along the surface, e.g. mucus upwards in the respiratory tract.
• flagella – single, long whip-like projections, containing microtubules, which form the ‘tails’ of spermatozoa (see Fig. 1.17, p. 14) that enable their movement along the female reproductive tract.

Figure 3.6 Coloured scanning electron micrograph of microvilli in small intestine.
The cell cycle
Many damaged, dead, and worn out cells can be replaced by growth and division of other similar cells. Most body cells have 46 chromosomes and divide by mitosis, a process that results in two new genetically identical daughter cells. The only exception to this is the formation of gametes (sex cells), i.e. ova and spermatozoa, which takes place by meiosis (p. 432).
The period between two cell divisions is known as the cell cycle, which has two phases that can be seen on light microscopy: mitosis (M phase) and interphase (Fig. 3.7).

Figure 3.7 The cell cycle.
Interphase
This is the longer phase and three separate stages are recognised:
• first gap phase (G1) – the cell grows in size and volume. This is usually the longest phase and most variable in length. Sometimes cells do not continue round the cell cycle but enter a resting phase instead (G0).
• synthesis of DNA (S phase) – the chromosomes replicate forming two identical copies of DNA (see p. 432). Therefore, following the S phase, the cell now has 92 chromosomes, i.e. enough DNA for two cells and is nearly ready to divide by mitosis.
• second gap phase – (G2) there is further growth and preparation for cell division.
Mitosis (Figs 3.8 and 3.9) ![]()
This is a continuous process involving four distinct stages seen by light microscopy.

Figure 3.8 The stages of mitosis.

Figure 3.9 Mitosis. Light micrograph showing cells at different stages of reproduction with chromatin/chromatids shown in pink.
Prophase
During this stage the replicated chromatin becomes tightly coiled and easier to see under the microscope. Each of the original 46 chromosomes (called a chromatid at this stage) is paired with its copy in a double chromosome unit. The two chromatids are joined to each other at the centromere (Fig. 3.8). The mitotic apparatus appears; this consists of two centrioles separated by the mitotic spindle, which is formed from microtubules. The centrioles migrate, one to each end of the cell, and the nuclear envelope disappears.
Metaphase
The chromatids align on the centre of the spindle, attached by their centromeres.
Anaphase
The centromeres separate, and one of each pair of sister chromatids (now called chromosomes again) migrates to each end of the spindle as the microtubules that form the mitotic spindle contract.
Telophase
The mitotic spindle disappears, the chromosomes uncoil and the nuclear envelope reforms.
Following telophase, cytokinesis occurs: the cytoplasm, intracellular organelles and plasma membrane split forming two identical daughter cells. The organelles of the daughter cells are incomplete at the end of cell division but they develop during interphase.
The frequency with which cell division occurs varies with different types of cell (p. 40).
Transport of substances across cell membranes
The structure of the plasma membrane provides it with the property of selective permeability, meaning that not all substances can cross it. Those that can, do so in different ways depending on their size and characteristics. ![]()
Passive transport
This occurs when substances can cross the semipermeable plasma and organelle membranes and move down the concentration gradient (downhill) without using energy. ![]()
Diffusion
This was described on page 25. Small molecules diffuse down the concentration gradient:
• lipid-soluble materials, e.g. oxygen, carbon dioxide, fatty acids and steroids, cross the membrane by dissolving in the lipid part of the membrane
• water-soluble materials, e.g. sodium, potassium and calcium, cross the membrane by passing through water-filled channels.
Facilitated diffusion
This passive process is used by some substances that are unable to diffuse through the semipermeable membrane unaided, e.g. glucose, amino acids. Specialised protein carrier molecules in the membrane have specific sites that attract and bind substances to be transferred, like a lock and key mechanism. The carrier then changes its shape and deposits the substance on the other side of the membrane (Fig. 3.10). The carrier sites are specific and can be used by only one substance. As there are a finite number of carriers, there is a limit to the amount of a substance which can be transported at any time. This is known as the transport maximum.

Figure 3.10 Specialised protein carrier molecules involved in facilitated diffusion and active transport.
Osmosis
Osmosis is passive movement of water down its concentration gradient towards equilibrium across a semipermeable membrane and is explained on page 25.
Active transport ![]()
This is the transport of substances up their concentration gradient (uphill), i.e. from a lower to a higher concentration. Chemical energy in the form of ATP (p. 24) drives specialised protein carrier molecules that transport substances across the membrane in either direction (see Fig. 3.10). The carrier sites are specific and can be used by only one substance; therefore the rate at which a substance is transferred depends on the number of sites available.
The sodium–potassium pump
This active transport mechanism maintains the unequal concentrations of sodium (Na+) and potassium (K+) ions on either side of the plasma membrane. It may use up to 30% of cellular ATP requirements.
Potassium levels are much higher inside the cell than outside – it is the principal intracellular cation. Sodium levels are much higher outside the cell than inside – it is the principal extracellular cation. These ions tend to diffuse down their concentration gradients, K+ outwards and Na+ into the cell. In order to maintain their concentration gradients, excess Na+ is constantly pumped out across the cell membrane in exchange for K+.
Bulk transport (Fig. 3.11)
Transfer of particles too large to cross cell membranes occurs by pinocytosis or phagocytosis. These particles are engulfed by extensions of the cytoplasm (see Fig. 15.1, p. 366) which enclose them, forming a membrane-bound vacuole. When the vacuole is small, pinocytosis occurs. In phagocytosis larger particles (e.g. cell fragments, foreign materials, microbes) are taken into the cell. Lysosomes then adhere to the vacuole membrane, releasing enzymes which digest the contents.

Figure 3.11 Bulk transport across plasma membranes: A–E. Phagocytosis. F. Exocytosis.
Export of waste material by the reverse process through the plasma membrane is called exocytosis. Secretory granules formed by the Golgi apparatus usually leave the cell in this way, as do any indigestible residues of phagocytosis.
Tissues
![]()
Learning outcomes
After studying this section you should be able to:
describe the structure and functions of epithelial, connective and muscle tissue
outline the structure and functions of membranes
compare and contrast the structure and functions of exocrine and endocrine glands.
![]()
The tissues of the body consist of large numbers of cells and they are classified according to the size, shape and functions of these cells. There are four main types of tissue that each have subdivisions. They are:
• epithelial tissue or epithelium
• connective tissue
• muscle tissue
• nervous tissue.
Epithelial tissue (Fig. 3.12)
This group of tissues is found covering the body and lining cavities, hollow organs and tubes. It is also found in glands. The structure of epithelium is closely related to its functions, which include:
• protection of underlying structures from, for example, dehydration, chemical and mechanical damage
• secretion
• absorption.

Figure 3.12 Simple epithelium. A. Squamous. B. Cuboidal. C. Columnar.
The cells are very closely packed and the intercellular substance, called the matrix, is minimal. The cells usually lie on a basement membrane, which is an inert connective tissue made by the epithelial cells themselves.
Epithelial tissue may be:
• simple: a single layer of cells
• stratified: several layers of cells.
Simple epithelium
Simple epithelium consists of a single layer of identical cells and is divided into three main types. It is usually found on absorptive or secretory surfaces, where the single layer enhances these processes, and not usually on surfaces subject to stress. The types are named according to the shape of the cells, which differs according to their functions. The more active the tissue, the taller the cells.
Squamous (pavement) epithelium
This is composed of a single layer of flattened cells (Fig. 3.12A). The cells fit closely together like flat stones, forming a thin and very smooth membrane across which diffusion easily occurs. It forms the lining of the following structures:
• heart – where it is known as endocardium
![]()
• alveoli of the lungs
• lining the collecting ducts of nephrons in the kidneys (see Fig. 13.9, p. 333).
Cuboidal epithelium
This consists of cube-shaped cells fitting closely together lying on a basement membrane (Fig. 3.12B). It forms the kidney tubules and is found in some glands. Cuboidal epithelium is actively involved in secretion, absorption and excretion.
Columnar epithelium
This is formed by a single layer of cells, rectangular in shape, on a basement membrane (Fig. 3.12C). It lines many organs and often has adaptations that make it well suited to a specific function. The lining of the stomach is formed from simple columnar epithelium without surface structures. The surface of the columnar epithelium lining the small intestine is covered with microvilli (Fig. 3.6). Microvilli provide a very large surface area for absorption of nutrients from the small intestine. In the trachea, columnar epithelium is ciliated (see Fig. 10.12, p. 241) and also contains goblet cells that secrete mucus (see Fig. 12.5, p. 282). This means that inhaled particles that stick to the mucus layer are moved towards the throat by cilia (p. 241) in the respiratory tract. In the uterine tubes, ova are propelled along by ciliary action towards the uterus.
Stratified epithelia
Stratified epithelia consist of several layers of cells of various shapes. Continual cell division in the lower (basal) layers pushes cells above nearer and nearer to the surface, where they are shed. Basement membranes are usually absent. The main function of stratified epithelium is to protect underlying structures from mechanical wear and tear. There are two main types: stratified squamous and transitional.
Stratified squamous epithelium (Fig. 3.13)
This is composed of a number of layers of cells. In the deepest layers the cells are mainly columnar and, as they grow towards the surface, they become flattened and are then shed.

Figure 3.13 Stratified epithelium.
Keratinised stratified epithelium
This is found on dry surfaces subjected to wear and tear, i.e. skin, hair and nails. The surface layer consists of dead epithelial cells that have lost their nuclei and contain the protein keratin. This forms a tough, relatively waterproof protective layer that prevents drying of the live cells underneath. The surface layer of skin is rubbed off and is replaced from below (see Ch. 14).
Non-keratinised stratified epithelium
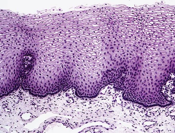
This protects moist surfaces subjected to wear and tear, and prevents them from drying out, e.g. the conjunctiva of the eyes, the lining of the mouth, the pharynx, the oesophagus and the vagina (Fig. 3.14).

Figure 3.14 Section of non-keratinised stratified squamous epithelial lining of the vagina (magnified × 100).
Transitional epithelium (Fig. 3.15)
This is composed of several layers of pear-shaped cells. It is found lining the urinary bladder and allows for stretching as the bladder fills.

Figure 3.15 Transitional epithelium: A. Relaxed. B. Stretched. C. Light micrograph of bladder wall showing transitional epithelium (pink) above smooth muscle and connective tissue layer (red).
Connective tissue
Connective tissue is the most abundant tissue in the body. The connective tissue cells are more widely separated from each other than in epithelial tissues, and intercellular substance (matrix) is present in considerably larger amounts. There are usually fibres present in the matrix, which may be of a semisolid jelly-like consistency or dense and rigid, depending upon the position and function of the tissue. The fibres form a supporting network for the cells to attach to. Most types of connective tissue have a good blood supply. Major functions of connective tissue are:
• binding and structural support
• protection
• transport
• insulation.
Cells in connective tissue
Connective tissue, excluding blood (see Ch. 4), is found in all organs supporting the specialised tissue. The different types of cell involved include: fibroblasts, fat cells, macrophages, leukocytes and mast cells.
Fibroblasts
Fibroblasts are large cells with irregular processes (Fig. 3.5). They produce collagen and elastic fibres and a matrix of extracellular material. Very fine collagen fibres, sometimes called reticulin fibres, are found in very active tissue, such as the liver and lymphoid tissue. Fibroblasts are particularly active in tissue repair (wound healing) where they may bind together the cut surfaces of wounds or form granulation tissue following tissue destruction (see p. 359). The collagen fibres formed during healing shrink as they grow old, sometimes interfering with the functions of the organ involved and with adjacent structures.
Fat cells
Also known as adipocytes, these cells occur singly or in groups in many types of connective tissue and are especially abundant in adipose tissue (see Fig. 3.17B). They vary in size and shape according to the amount of fat they contain.
Macrophages
These are irregular-shaped cells with granules in the cytoplasm. Some are fixed, i.e. attached to connective tissue fibres, and others are motile. They are an important part of the body’s defence mechanisms because they are actively phagocytic, engulfing and digesting cell debris, bacteria and other foreign bodies. Their activities are typical of those of the macrophage/monocyte defence system, e.g. monocytes in blood, phagocytes in the alveoli of the lungs, Kupffer cells in liver sinusoids, fibroblasts in lymph nodes and spleen, and microglial cells in the brain.
Leukocytes
White blood cells (p. 61) are normally found in small numbers in healthy connective tissue but neutrophils migrate in significant numbers during infection when they play an important part in tissue defence.
Plasma cells
These develop from B-lymphocytes, a type of white blood cell (see p. 61). They synthesise and secrete specific defensive antibodies into the blood and tissues (see Ch. 15).
Mast cells
These cells are similar to basophil leukocytes (see p. 62). They are found in loose connective tissue and under the fibrous capsule of some organs, e.g. liver and spleen, and in considerable numbers round blood vessels. They produce granules containing heparin, histamine and other substances, which are released when the cells are damaged by disease or injury. Histamine is involved in local and general inflammatory reactions, it stimulates the secretion of gastric juice and is associated with the development of allergies and hypersensitivity states (see p. 374). Heparin prevents coagulation of blood, which may aid the passage of protective substances from blood to affected tissues.
Loose (areolar) connective tissue (Fig. 3.16)
This is the most generalised type of connective tissue. The matrix is semisolid with many fibroblasts and some fat cells (adipocytes), mast cells and macrophages widely separated by elastic and collagen fibres. It is found in almost every part of the body, providing elasticity and tensile strength. It connects and supports other tissues, for example:
• under the skin (Fig. 3.16B)
• between muscles
• supporting blood vessels and nerves
• in the alimentary canal
• in glands supporting secretory cells.

Figure 3.16 Loose (areolar) connective tissue. A. Diagram of basic structure. B. Coloured scanning electron micrograph of fat cells surrounded by strands of connective tissue.
Adipose tissue (Fig. 3.17)
Adipose tissue consists of fat cells (adipocytes), containing large fat globules, in a matrix of areolar tissue (Fig. 3.16). There are two types: white and brown.

Figure 3.17 Adipose tissue. A. Diagram of basic structure. B. Coloured scanning electron micrograph of fat cells surrounded by strands of connective tissue.
White adipose tissue
This makes up 20 to 25% of body weight in well-nourished adults. The amount of adipose tissue in an individual is determined by the balance between energy intake and expenditure. It is found supporting the kidneys and the eyes, between muscle fibres and under the skin, where it acts as a thermal insulator and energy store.
Brown adipose tissue
This is present in the newborn. It has a more extensive capillary network than white adipose tissue. When brown tissue is metabolised, it produces less energy and considerably more heat than other fat, contributing to the maintenance of body temperature. In some adults it is present in small amounts.
Lymphoid tissue (Fig. 3.18)
This tissue, also known as reticular tissue, has a semisolid matrix with fine branching reticulin fibres. It contains reticular cells and white blood cells (monocytes and lymphocytes). Lymphoid tissue is found in lymph nodes and all organs of the lymphatic system (see Fig. 6.1, p. 128).

Figure 3.18 Lymphoid tissue.
Dense connective tissue
This contains more fibres and fewer cells than loose connective tissue.
Fibrous tissue (Fig. 3.19A)
This tissue is made up mainly of closely packed bundles of collagen fibres with very little matrix. Fibrocytes (old and inactive fibroblasts) are few in number and are found lying in rows between the bundles of fibres. Fibrous tissue is found:
• forming ligaments, which bind bones together
• as an outer protective covering for bone, called periosteum
• as an outer protective covering of some organs, e.g. the kidneys, lymph nodes and the brain
• forming muscle sheaths, called muscle fascia (see Fig. 16.52, p. 408), which extend beyond the muscle to become the tendon that attaches the muscle to bone.
Elastic tissue (Fig. 3.19B)
Elastic tissue is capable of considerable extension and recoil. There are few cells and the matrix consists mainly of masses of elastic fibres secreted by fibroblasts. It is found in organs where stretching or alteration of shape is required, e.g. in large blood vessel walls, the trachea and bronchi, and the lungs.

Figure 3.19 Dense connective tissue. A. Fibrous tissue. B. Elastic tissue.
Blood
This is a fluid connective tissue that is described in detail in Chapter 4.
Cartilage
Cartilage is firmer than other connective tissues; the cells are called chondrocytes and are less numerous. They are embedded in matrix reinforced by collagen and elastic fibres. There are three types: hyaline cartilage, fibrocartilage and elastic fibrocartilage.
Hyaline cartilage (Fig. 3.20A)
Hyaline cartilage is a smooth bluish-white tissue. The chondrocytes are in small groups within cell nests and the matrix is solid and smooth. Hyaline cartilage provides flexibility, support and smooth surfaces for movement at joints. It is found:
• on the ends of long bones that form joints
• forming the costal cartilages, which attach the ribs to the sternum
• forming part of the larynx, trachea and bronchi.

Figure 3.20 Cartilage. A. Hyaline cartilage. B. Fibrocartilage. C. Elastic fibrocartilage.
Fibrocartilage (Fig. 3.20B)
This consists of dense masses of white collagen fibres in a matrix similar to that of hyaline cartilage with the cells widely dispersed. It is a tough, slightly flexible, supporting tissue found:
• as pads between the bodies of the vertebrae, the intervertebral discs
• between the articulating surfaces of the bones of the knee joint, called semilunar cartilages
• on the rim of the bony sockets of the hip and shoulder joints, deepening the cavities without restricting movement
• as ligaments joining bones.
Elastic fibrocartilage (Fig. 3.20C)
This flexible tissue consists of yellow elastic fibres lying in a solid matrix. The chondrocytes lie between the fibres. It provides support and maintains shape of, e.g. the pinna or lobe of the ear, the epiglottis and part of the tunica media of blood vessel walls.
Bone
Bone cells (osteocytes) are surrounded by a matrix of collagen fibres strengthened by inorganic salts, especially calcium and phosphate. This provides bones with their characteristic strength and rigidity. Bone also has considerable capacity for growth in the first two decades of life, and for regeneration throughout life. Two types of bone can be identified by the naked eye:
• compact bone – solid or dense appearance
• spongy or cancellous bone – ‘spongy’ or fine honeycomb appearance.
These are described in detail in Chapter 16.
Muscle tissue
Muscle tissue is able to contract and relax, providing movement within the body and of the body itself. Muscle contraction requires an adequate blood supply to provide sufficient oxygen, calcium and nutrients and to remove waste products. There are three types of specialised contractile cells, also known as fibres: skeletal muscle, smooth muscle and cardiac muscle.
Skeletal muscle tissue (Fig. 3.21)
This type is described as skeletal because it forms those muscles that move the bones [of the skeleton], striated because striations (stripes) can be seen on microscopic examination and voluntary as it is under conscious control. In reality, movements can be finely coordinated, e.g. writing, but may also be controlled subconsciously. For example, maintaining an upright posture does not normally require thought unless a new locomotor skill is being learned, e.g. skating or cycling, and the diaphragm maintains breathing while asleep.

Figure 3.21 Skeletal muscle fibres. A. Diagram. B. Coloured scanning electron micrograph of skeletal muscle fibres and connective tissue fibres (bottom right).
Fibres are cylindrical, contain several nuclei and can be up to 35 cm long. Skeletal muscle contraction is stimulated by motor nerve impulses originating in the brain or spinal cord and ending at the neuromuscular junction (see p. 411). The properties and functions of skeletal muscle are explained in detail in Chapter 16.
Smooth muscle tissue (Fig. 3.22)
Smooth muscle may also be described as non-striated, visceral or involuntary. It does not have striations and is not under conscious control. Smooth muscle has the intrinsic ability to contract and relax. Additionally, autonomic nerve impulses, some hormones and local metabolites stimulate contraction. A degree of muscle tone is always present, meaning that smooth muscle is completely relaxed for only short periods. Contraction of smooth muscle is slower and more sustained than skeletal muscle. It is found in the walls of hollow organs:
• regulating the diameter of blood vessels and parts of the respiratory tract
• propelling contents of the ureters, ducts of glands and alimentary tract
• expelling contents of the urinary bladder and uterus.

Figure 3.22. Smooth muscle. A. Diagram. B. Fluorescent light micrograph showing actin, a contractile muscle protein (green), nuclei (blue) and capillaries (red).
When examined under a microscope, the cells are seen to be spindle shaped with only one central nucleus. Bundles of fibres form sheets of muscle, such as those found in the walls of the above structures.
Cardiac muscle tissue (Fig. 3.23)
This type of muscle tissue is found only in the heart wall. It is not under conscious control but, when viewed under a microscope, cross-stripes (striations) characteristic of skeletal muscle can be seen. Each fibre (cell) has a nucleus and one or more branches. The ends of the cells and their branches are in very close contact with the ends and branches of adjacent cells. Microscopically these ‘joints’, or intercalated discs, can be seen as lines that are thicker and darker than the ordinary cross-stripes. This arrangement gives cardiac muscle the appearance of a sheet of muscle rather than a very large number of individual fibres. The end-to-end continuity of cardiac muscle cells has significance in relation to the way the heart contracts. A wave of contraction spreads from cell to cell across the intercalated discs, which means that cells do not need to be stimulated individually.

Figure 3.23 Cardiac muscle fibres.
The heart has an intrinsic pacemaker system, which means that it beats in a coordinated manner without external nerve stimulation, although the rate at which it beats is influenced by autonomic nerve impulses, some hormones, local metabolites and other substances (see Ch. 5).
Nervous tissue
Two types of tissue are found in the nervous system:
• excitable cells – these are called neurones and they initiate, receive, conduct and transmit information
• non-excitable cells – also known as glial cells, these support the neurones.
These are described in detail in Chapter 7.
Tissue regeneration
The extent to which regeneration is possible depends on the normal rate of turnover of particular types of cell. Those with a rapid turnover regenerate most effectively. There are three general categories:
• tissues in which cell replication is a continuous process regenerate quickly – these include epithelial cells of, for example, the skin, mucous membrane, secretory glands, uterine lining and lymphoid tissue
• other tissues retain the ability to replicate, but do so infrequently; these include the liver, kidney, fibroblasts and smooth muscle cells. These tissues take longer to regenerate
• some tissues are normally unable to replicate including nerve cells (neurones) and skeletal and cardiac muscle cells. Extensively damaged tissue is usually replaced by fibrous tissue, meaning that the functions carried out by the original tissue are lost.
Membranes
Epithelial membranes
These membranes are sheets of epithelial tissue and supporting connective tissue that cover or line many internal structures or cavities. The main ones are mucous membrane, serous membrane and the skin (cutaneous membrane, see Ch. 14).
Mucous membrane ![]()
This is the moist lining of the alimentary, respiratory and genitourinary tracts which is sometimes referred to as the mucosa. The membrane surface consists of epithelial cells, some of which produce a secretion called mucus, a slimy tenacious fluid. As it accumulates the cells become distended and finally burst, discharging the mucus onto the free surface. As the cells fill up with mucus they have the appearance of a goblet or flask and are known as goblet cells (see Fig. 12.5, p. 282). Organs lined by mucous membrane have a moist slippery surface. Mucus protects the lining membrane from drying, and mechanical and chemical injury. In the respiratory tract it traps inhaled foreign particles, preventing them from entering the alveoli of the lungs.
Serous membrane ![]()
Serous membranes, or serosa, secrete serous watery fluid. They consist of a double layer of loose areolar connective tissue lined by simple squamous epithelium. The parietal layer lines a cavity and the visceral layer surrounds organs (the viscera) within the cavity. The two layers are separated by serous fluid secreted by the epithelium. There are three sites where serous membranes are found:
• the pleura lining the thoracic cavity and surrounding the lungs (p. 243)
• the pericardium lining the pericardial cavity and surrounding the heart (p. 79)
• the peritoneum lining the abdominal cavity and surrounding abdominal organs (p. 280).
The serous fluid between the visceral and parietal layers enables an organ to glide freely within the cavity without being damaged by friction between it and adjacent organs. For example, the heart changes its shape and size during each beat and friction damage is prevented by the arrangement of pericardium and its serous fluid.
Synovial membrane ![]()
This membrane lines the cavities of moveable joints and surrounds tendons that could be injured by rubbing against bones, e.g. over the wrist joint. It is not an epithelial membrane, but instead consists of areolar connective tissue and elastic fibres.
Synovial membrane secretes clear, sticky, oily synovial fluid, which lubricates and nourishes the joints (see Ch. 16).
Glands
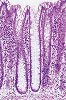
Glands are groups of epithelial cells that produce specialised secretions. Glands that discharge their secretion onto the epithelial surface of hollow organs, either directly or through a duct, are called exocrine glands. Exocrine glands vary considerably in size, shape and complexity as shown in Figure 3.24. Secretions of exocrine glands include mucus, saliva, digestive juices and earwax. Figure 3.25 shows simple tubular glands of the large intestine. Other glands discharge their secretions into blood and lymph. These are called endocrine glands (ductless glands) and their secretions are hormones (see Ch. 9).

Figure 3.24 Exocrine glands: A. Simple glands. B. Compound (branching) glands.

Figure 3.25 Simple tubular glands in the large intestine. A stained photograph (magnified × 50).
Organisation of the body
![]()
Learning outcomes
After studying this section you should be able to:
define common anatomical terms
identify the principal bones of the axial skeleton and the appendicular skeleton
state the boundaries of the four body cavities
list the contents of the body cavities.
![]()
This part of the chapter provides an overview of anatomical terms and the names and positions of bones. A more detailed account of the bones, muscles and joints is given in Chapter 16.
Anatomical terms
The anatomical position
This is the position assumed in all anatomical descriptions to ensure accuracy and consistency. The body is in the upright position with the head facing forward, the arms at the sides with the palms of the hands facing forward and the feet together.
Median plane
When the body, in the anatomical position, is divided longitudinally through the midline into right and left halves it has been divided in the median plane.
Directional terms
These paired terms are used to describe the location of body parts in relation to others, and are explained in Table 3.1.
Table 3.1 Paired directional terms used in anatomy
|
Directional term |
Meaning |
|
Medial |
Structure is nearer to the midline. The heart is medial to the humerus |
|
Lateral |
Structure is further from the midline or at the side of the body. The humerus is lateral to the heart |
|
Proximal |
Nearer to a point of attachment of a limb, or origin of a body part. The femur is proximal to the fibula |
|
Distal |
Further from a point of attachment of a limb, or origin of a body part. The fibula is distal to the femur |
|
Anterior or ventral |
Part of the body being described is nearer the front of the body. The sternum is anterior to the vertebrae |
|
Posterior or dorsal |
Part of the body being described is nearer the back of the body. The vertebrae are posterior to the sternum |
|
Superior |
Structure nearer the head. The skull is superior to the scapulae |
|
Inferior |
Structure further from the head. The scapulae are inferior to the skull |
Regional terms
These are used to describe parts of the body (Fig. 3.26).

Figure 3.26 Regional and directional terms.
The skeleton
The skeleton (Fig. 3.27) is the bony framework of the body. It forms the cavities and fossae (depressions or hollows) that protect some structures, forms the joints and gives attachment to muscles. A detailed description of the bones is given in Chapter 16. Table 16.1, page 385 lists the terminology related to the skeleton.

Figure 3.27 Anterior view of the skeleton: axial skeleton – gold, appendicular skeleton – brown.
The skeleton is described in two parts: axial and appendicular (the appendages attached to the axial skeleton).
Axial skeleton
The axial skeleton (axis of the body) consists of the skull, vertebral column, sternum (or breast bone) and the ribs.
Skull
The skull is described in two parts, the cranium, which contains the brain, and the face. It consists of a number of bones, which develop separately but fuse together as they mature. The only movable bone is the mandible or lower jaw. The names and positions of the individual bones of the skull can be seen in Figure 3.28.

Figure 3.28 The skull: bones of the cranium and face.
Functions of the skull
The various parts of the skull have specific and different functions (see p. 391) and are, in summary:
• protection of delicate structures including the brain, eyes and inner ears
• maintaining patency of the nasal passages enabling breathing
• eating – the teeth are embedded in the mandible and maxilla; and movement of the mandible, the only movable skull bone, allows chewing.
Vertebral column ![]()
This consists of 24 movable bones (vertebrae) plus the sacrum and coccyx. The bodies of the bones are separated from each other by intervertebral discs, consisting of cartilage. The vertebral column is described in five parts and the bones of each part are numbered from above downwards (Fig. 3.29):
• 7 cervical
• 12 thoracic
• 5 lumbar
• 1 sacrum (5 fused bones)
• 1 coccyx (4 fused bones).

Figure 3.29 The vertebral column – lateral view.
The first cervical vertebra, called the atlas, forms a joint (articulates) with the skull. Thereafter each vertebra forms a joint with the vertebrae immediately above and below. More movement is possible in the cervical and lumbar regions than in the thoracic region.
The sacrum consists of five vertebrae fused into one bone that articulates with the fifth lumbar vertebra above, the coccyx below and an innominate (pelvic or hip) bone at each side.
The coccyx consists of the four terminal vertebrae fused into a small triangular bone that articulates with the sacrum above.
Functions of the vertebral column
The vertebral column has several important functions:
• It protects the spinal cord. In each vertebra is a hole, the vertebral foramen, and collectively the foramina form a canal in which the spinal cord lies.
• Adjacent vertebrae form openings (intervertebral foramina), which protect the spinal nerves as they pass from the spinal cord (see Fig. 16.26, p. 394).
• In the thoracic region the ribs articulate with the vertebrae forming joints allowing movement of the ribcage during respiration.
Thoracic cage
The thoracic cage is formed by:
• 12 thoracic vertebrae
• 12 pairs of ribs
• 1 sternum or breast bone.
The arrangement of the bones is shown in Figure 3.30.

Figure 3.30 The structures forming the walls of the thoracic cage.
Functions of the thoracic cage
The functions of the thoracic cage are:
• It protects the thoracic organs including the heart, lungs and large blood vessels.
• It forms joints between the upper limbs and the axial skeleton. The upper part of the sternum, the manubrium, articulates with the clavicles forming the only joints between the upper limbs and the axial skeleton.
• It gives attachment to the muscles of respiration:
– intercostal muscles occupy the spaces between the ribs and when they contract the ribs move upwards and outwards, increasing the capacity of the thoracic cage, and inspiration occurs
– the diaphragm is a dome-shaped muscle which separates the thoracic and abdominal cavities. It is attached to the bones of the thorax and when it contracts it assists with inspiration.
• It enables breathing to take place.
Appendicular skeleton
The appendicular skeleton consists of the shoulder girdles and upper limbs, and the pelvic girdle and lower limbs (Fig. 3.27).
The shoulder girdles and upper limbs
Each shoulder girdle consists of a clavicle and a scapula. Each upper limb comprises:
• 1 humerus
• 1 radius
• 1 ulna
• 8 carpal bones
• 5 metacarpal bones
• 14 phalanges.
The pelvic girdle and lower limbs
The bones of the pelvic girdle are the two innominate bones and the sacrum. Each lower limb consists of:
• 1 femur
• 1 tibia
• 1 fibula
• 1 patella
• 7 tarsal bones
• 5 metatarsal bones
• 14 phalanges.
Functions of the appendicular skeleton
The appendicular skeleton has two main functions.
• Voluntary movement. The bones, muscles and joints of the limbs are involved in movement of the skeleton. This ranges from very fine finger movements needed for writing to the coordinated movement of all the limbs associated with running and jumping.
• Protection of delicate structures. Blood vessels and nerves lie along the length of bones of the limbs and are protected from injury by the associated muscles and skin. These structures are most vulnerable where they cross joints and where bones can be felt immediately below the skin.
Cavities of the body
The organs that make up the systems of the body are contained in four cavities: cranial, thoracic, abdominal and pelvic.
Cranial cavity
The cranial cavity contains the brain, and its boundaries are formed by the bones of the skull (Fig. 3.31):
Anteriorly – 1 frontal bone
Laterally – 2 temporal bones
Posteriorly – 1 occipital bone
Superiorly – 2 parietal bones
Inferiorly – 1 sphenoid and 1 ethmoid bone and parts of the frontal, temporal and occipital bones.

Figure 3.31 Bones forming the right half of the cranium and the face – viewed from the left.
Thoracic cavity
This cavity is situated in the upper part of the trunk. Its boundaries are formed by a bony framework and supporting muscles (Fig. 3.32):
Anteriorly – the sternum and costal cartilages of the ribs
Laterally – 12 pairs of ribs and the intercostal muscles
Posteriorly – the thoracic vertebrae
Superiorly – the structures forming the root of the neck
Inferiorly – the diaphragm, a dome-shaped muscle.

Figure 3.32 Structures forming the walls of the thoracic cavity and associated structures.
Contents
The main organs and structures contained in the thoracic cavity are shown in Figure 5.10, page 79. These include:
• the trachea, 2 bronchi, 2 lungs
• the heart, aorta, superior and inferior vena cava, numerous other blood vessels
• the oesophagus
• lymph vessels and lymph nodes
• some important nerves.
The mediastinum is the name given to the space between the lungs including the structures found there, such as the heart, oesophagus and blood vessels.
Abdominal cavity ![]()
This is the largest cavity in the body and is oval in shape (Figs 3.33 and 3.34). It is situated in the main part of the trunk and its boundaries are:
Superiorly – the diaphragm, which separates it from the thoracic cavity
Anteriorly – the muscles forming the anterior abdominal wall
Posteriorly – the lumbar vertebrae and muscles forming the posterior abdominal wall
Laterally – the lower ribs and parts of the muscles of the abdominal wall
Inferiorly – it is continuous with the pelvic cavity.

Figure 3.33 Organs occupying the anterior part of the abdominal cavity and the diaphragm (cut).

Figure 3.34 Organs occupying the posterior part of the abdominal and pelvic cavities. The broken line shows the position of the stomach.
By convention, the abdominal cavity is divided into the nine regions shown in Figure 3.35. This facilitates the description of the positions of the organs and structures it contains.

Figure 3.35 Regions of the abdominal cavity.
Contents
Most of the abdominal cavity is occupied by the organs and glands of the digestive system (Figs 3.33 and 3.34). These are:
• the stomach, small intestine and most of the large intestine
• the liver, gall bladder, bile ducts and pancreas.
Other structures include:
• the spleen
• 2 kidneys and the upper part of the ureters
• 2 adrenal (suprarenal) glands
• numerous blood vessels, lymph vessels, nerves
• lymph nodes.
Pelvic cavity
The pelvic cavity is roughly funnel shaped and extends from the lower end of the abdominal cavity (Figs 3.36 and 3.37). The boundaries are:
Superiorly – it is continuous with the abdominal cavity
Anteriorly – the pubic bones
Posteriorly – the sacrum and coccyx
Laterally – the innominate bones
Inferiorly – the muscles of the pelvic floor.

Figure 3.36 Female reproductive organs and other structures in the pelvic cavity.

Figure 3.37 The pelvic cavity and reproductive structures in the male.
Contents
The pelvic cavity contains the following structures:
• sigmoid colon, rectum and anus
• some loops of the small intestine
• urinary bladder, lower parts of the ureters and the urethra
• in the female, the organs of the reproductive system: the uterus, uterine tubes, ovaries and vagina (Fig. 3.36)
• in the male, some of the organs of the reproductive system: the prostate gland, seminal vesicles, spermatic cords, deferent ducts (vas deferens), ejaculatory ducts and the urethra (common to the reproductive and urinary systems) (Fig. 3.37).
Disorders of cells and tissues
![]()
Learning outcomes
After studying this section you should be able to:
outline the common causes of tumours
explain the terms ‘well differentiated’ and ‘poorly differentiated’
outline causes of death in malignant disease
compare and contrast the effects of benign and malignant tumours.
![]()
Neoplasms or tumours
A tumour or neoplasm (literally meaning ‘new growth’) is a mass of tissue that grows faster than normal in an uncoordinated manner, and continues to grow after the initial stimulus has ceased.
Tumours are classified as benign or malignant although a clear distinction is not always possible (see Table 3.2). Benign tumours only rarely change their character and become malignant. Tumours may be classified according to their tissue of origin. For example, an adenoma is a benign tumour of glandular tissue whereas an adenocarcinoma is a malignant tumour of glandular or secretory epithelial tissue. Malignant tumours are often named according to the tissue they arise from, for example a carcinoma originates in epithelial tissue whereas a sarcoma arises from connective tissue.
Table 3.2 Typical differences between benign and malignant tumours
|
Benign |
Malignant |
|
Slow growth |
Rapid growth |
|
Cells well differentiated (resemble tissue of origin) |
Cells poorly differentiated (may not resemble tissue of origin) |
|
Usually encapsulated |
Not encapsulated |
|
No distant spread (metastases) |
Spreads (metastasises): – by local infiltration – via lymph – via blood – via body cavities |
|
Recurrence is rare |
Recurrence is common |
Causes of neoplasms
Some factors are known to trigger neoplastic changes in cells but the reasons for the uncontrolled cell multiplication are not known. The process of change is carcinogenesis and the agents precipitating the change are carcinogens. Carcinogenesis may be of genetic and/or environmental origin and a clear-cut distinction is not always possible.
Carcinogens
Environmental agents known to cause malignant changes in cells do so by irreversibly damaging a cell’s DNA. It is impossible to specify a maximum ‘safe dose’ of a carcinogen. A small dose may initiate change but this may not be enough to cause malignancy unless there are repeated doses within a limited period of time that have a cumulative effect. In addition, there are widely varying latent periods between exposure and evidence of malignancy. There may also be other unknown factors. Environmental carcinogens include chemicals, irradiations and oncogenic viruses.
Chemical carcinogens
Some chemicals are carcinogens when absorbed; others are modified after absorption and become carcinogenic. Examples include:
• aniline dyes, which predispose to bladder cancer (p. 348)
• asbestos, which is associated with malignant pleural tumours (mesothelioma, p. 262)
• cigarette smoke, which is the main risk factor for lung cancer (p. 262).
Ionising radiation
Exposure to ionising radiation including X-rays, radioactive isotopes, environmental radiation and ultraviolet rays in sunlight may cause malignant changes in some cells and kill others. The cells are affected during mitosis so those normally undergoing continuous controlled division are most susceptible. These labile tissues include skin, mucous membrane, bone marrow, lymphoid tissue and gametes in the ovaries and testes.
Oncogenic viruses
Some viruses are known to cause malignant changes in animals and there are indications of similar involvement in humans. Viruses enter cells and incorporate their DNA or RNA into the host cell’s genetic material, which causes mutation. The mutant cells may be malignant. Examples include hepatitis B virus, which can cause liver cancer (p. 326) and human papilloma virus, which is associated with cervical cancer (p. 453).
Host factors
Individual characteristics can influence susceptibility to tumours. These include race, diet, age, obesity and inherited (genetic) factors. Tumours of individual tissues and organs are described in the appropriate chapters.
Growth of tumours
Normally cells divide in an orderly manner. Neoplastic cells have escaped from the normal controls and they multiply in a disorderly and uncontrolled manner forming a tumour. Blood vessels grow with the proliferating cells, but in some malignant tumours the blood supply does not keep pace with growth and ischaemia (lack of blood supply) leads to tumour cell death, called necrosis. If the tumour is near the surface, this may result in skin ulceration and infection. In deeper tissues there is fibrosis; e.g. retraction of the nipple in breast cancer is due to the shrinkage of fibrous tissue in a necrotic tumour. The mechanisms controlling the life span of tumour cells are poorly understood.
Cell differentiation
Differentiation of cells into specialised cell types with particular structural and functional characteristics occurs at an early stage in fetal development, e.g. epithelial cells develop different characteristics from lymphocytes. Later, when cell replacement occurs, daughter cells have the same appearance, functions and genetic make-up as the parent cell. In benign tumours the cells from which they originate are easily recognised, i.e. tumour cells are well differentiated. Tumours with well-differentiated cells are usually benign but some may be malignant. Malignant tumours grow beyond their normal boundaries and show varying levels of differentiation:
• mild dysplasia – the tumour cells retain most of their normal features and their parent cells can usually be identified
• anaplasia – the tumour cells have lost most of their normal features and their parent cells cannot be identified.
Encapsulation and spread of tumours
Most benign tumours are contained within a fibrous capsule derived partly from the surrounding tissues and partly from the tumour. They neither infiltrate local tissues nor spread to other parts of the body, even when they are not encapsulated.
Malignant tumours are not encapsulated. They spread locally by infiltration, and tumour fragments may spread to other parts of the body in blood or lymph. Some spreading cells may be phagocytosed but others lodge in tissues away from the primary site and grow into secondary tumours (metastases). Metastases are often multiple and Table 3.3 shows common sites of primary tumours and their metastases.
Table 3.3 Common sites of primary tumours and their metastases
|
Primary tumour |
Metastatic tumours |
|
Bronchi |
Adrenal glands, brain |
|
Alimentary tract |
Abdominal and pelvic structures, especially liver |
|
Prostate gland |
Pelvic bones, vertebrae |
|
Thyroid gland |
Pelvic bones, vertebrae |
|
Breast |
Vertebrae, brain, bone |
|
Many organs |
Lungs |
Local spread
Benign tumours enlarge and may cause pressure damage to local structures but they do not spread to other parts of the body.
Benign or malignant tumours may:
• damage nerves, causing pain and loss of nerve control of other tissues and organs supplied by the damaged nerves
• compress adjacent structures causing e.g. ischaemia (lack of blood), necrosis (death of tissue), blockage of ducts, organ dysfunction or displacement, or pain due to pressure on nerves.
Additionally malignant tumours grow into and infiltrate surrounding tissues and they may erode blood and lymph vessel walls, causing spread of tumour cells to other parts of the body.
Body cavities spread
This occurs when a tumour penetrates the wall of a cavity. The peritoneal cavity is most frequently involved. If, for example, a malignant tumour in an abdominal organ penetrates the visceral peritoneum, tumour cells may metastasise to folds of peritoneum or any abdominal or pelvic organ. Where there is less scope for the movement of fragments within a cavity the tumour tends to bind layers of tissue together, e.g. a pleural tumour binds the visceral and parietal layers together, limiting expansion of the lung.
Lymphatic spread
This occurs when malignant tumours grow into lymph vessels. Groups of tumour cells break off and are carried to lymph nodes where they lodge and may grow into secondary tumours. There may be further spread through the lymphatic system, and to blood because lymph drains into the subclavian veins.
Blood spread
This occurs when a malignant tumour erodes the walls of a blood vessel. A thrombus (blood clot) may form at the site and emboli consisting of fragments of tumour and blood clot enter the bloodstream. These emboli block small blood vessels, causing infarcts (areas of dead tissue) and development of metastatic tumours. Phagocytosis of tumour cells in the emboli is unlikely to occur because these are protected by the blood clot. Single tumour cells can also lodge in the capillaries of other body organs. Division and subsequent growth of secondary tumours, or metastases, may then occur. The sites of blood-spread metastases depend on the location of the original tumour and the anatomy of the circulatory system in the area. The most common sites of these metastases are bone, the lungs, the brain and the liver.
Effects of tumours
Pressure effects
Both benign and malignant tumours may compress and damage adjacent structures, especially if in a confined space. The effects depend on the site of the tumour but are most marked in areas where there is little space for expansion, e.g. inside the skull, under the periosteum of bones, in bony sinuses and respiratory passages. Compression of adjacent structures may cause ischaemia, necrosis, blockage of ducts, organ dysfunction or displacement, pain due to invasion of nerves or pressure on nerves.
Hormonal effects
Tumours of endocrine glands may secrete hormones, producing the effects of hypersecretion. The extent of cell dysplasia is an important factor. Well-differentiated benign tumours are more likely to secrete hormones than are markedly dysplastic malignant tumours. High levels of hormones are found in the bloodstream as secretion occurs in the absence of the normal stimulus and homeostatic control mechanism. Some malignant tumours produce uncharacteristic hormones, e.g. some lung tumours produce insulin. Endocrine glands may be destroyed by invading tumours, causing hormone deficiency.
Cachexia
This is the severe weight loss accompanied by progressive weakness, loss of appetite, wasting and anaemia that is usually associated with advanced metastatic cancer. The severity is usually indicative of the stage of development of the disease. The causes are not clear.
Causes of death in malignant disease
Infection
Acute infection is a common cause of death when superimposed on advanced malignancy. Predisposition to infection is increased by prolonged immobility or bedrest, and by depression of the immune system by cytotoxic drugs and irradiation by X-rays or radioactive isotopes used in treatment. The most commonly occurring infections are pneumonia, septicaemia, peritonitis and pyelonephritis.
Organ failure
A tumour may destroy so much tissue that an organ cannot function. Severe damage to vital organs, such as lungs, brain, liver and kidneys, are common causes of death.
Carcinomatosis
When there is widespread metastatic disease associated with cachexia, severe physiological and biochemical disruption follows causing death.
Haemorrhage
This may occur when a tumour grows into and ruptures the wall of a vein or artery. The most common sites are the gastrointestinal tract, brain, lungs and the peritoneal cavity.
![]()
For a range of self-assessment exercises on the topcs in this chapter, visitwww.rossandwilson.com.