Vance L. Smith
Paul M. Maggio
Presentation
A 32-year-old woman, 28 weeks pregnant with her second child, with no significant past medical history presents to the emergency department with a 2-day history of right upper-quadrant (RUQ) abdominal pain and nausea. Her obstetrician-gynecologist, who had evaluated her earlier in the day, thought it was unlikely that her symptoms were related to her pregnancy. In the emergency department, she is afebrile and her vital signs are remarkable for mild tachycardia of 102. Her pain is episodic, lasting approximately 90 minutes after eating. On abdominal exam, the fundal height measures 29 weeks, consistent with her pregnancy. She has focal tenderness in the RUQ and reports that the pain radiates through to her back on the same side. She is anorexic but has been able to keep liquids down.
Differential Diagnosis
Symptomatic cholelithiasis is a common cause of RUQ abdominal pain and is second only to appendicitis as a cause of abdominal emergencies during pregnancy. Although gallstones have been reported in up to 10% of patients during pregnancy, the incidence of gallstone-related diseases causing complications during pregnancy is <1%. Contributing factors include hormonal changes associated with increased bile stone formation and altered gallbladder contractility.
Diagnosing symptomatic cholelithiasis during pregnancy can be a challenge for any physician particularly when compounded by efforts to limit radiologic exposure. The presenting signs and symptoms of symptomatic cholelithiasis may be nonspecific and difficult to distinguish from those associated with pregnancy itself, and the changing position of intra-abdominal contents during pregnancy may complicate the examination of the gravid abdomen. For example, the appendix is typically located at McBurney’s point early in pregnancy but is later displaced laterally and upward into the RUQ by the enlarging uterus (Figure 1). As a consequence, appendicitis may present as RUQ pain in the pregnant patient, especially in patients late in their pregnancy. Less common causes of RUQ pain during pregnancy include peptic ulcer disease, pancreatitis, pyelonephritis, HELLP syndrome (syndrome of hemolysis, elevated liver enzymes, and low platelets), acute fatty liver, and hepatitis.

FIGURE 1 • As the uterus grows, there is upward displacement of the appendix in counterclockwise fashion.
Workup
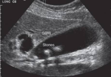
Laboratory evaluation including a complete blood count and liver function tests was obtained. The white blood cell count was mildly elevated at 13 × 103/μL. Liver and pancreatic enzymes were normal (total bilirubin 1.0 mg/dL, indirect bilirubin 0.5 mg/dL, alkaline phosphatase 90 U/L, lipase 35 U/L). A RUQ abdominal ultrasound was performed (Figure 2) and demonstrated a normal gallbladder wall with multiple hyperechoic shadowing consistent with gallstones. The common bile duct measured 0.7 cm.

FIGURE 2 • RUQ abdominal ultrasound revealing cholelithiasis.
Diagnosis and Treatment
The imaging modality of choice in diagnosing symptomatic cholelithiasis is ultrasonography. Transabdominal ultrasound is sensitive (>95% for gallstones), inexpensive, and safe without exposing the patient to radiation. For the diagnosis of acute cholecystitis, it yields a sensitivity of 88% and a specificity of 80%.
When choledocholithiasis is suspected (e.g., bilirubin or alkaline phosphatase is elevated), endoscopic retrograde cholangiopancreatography can be safely performed with minimal radiation exposure as long as proper shielding is used. Magnetic resonance cholangiopancreatography (MRCP) is an alternative, but it is only diagnostic and its safety in regard to the fetus has not been well established.
The timing of surgical intervention for symptomatic cholelithiasis in the pregnant patient remains controversial. Historical recommendations were to delay surgical intervention until the second trimester. In the intervening time, these patients were managed with intravenous fluids, bowel rest, narcotics, broad-spectrum antibiotics, and a fat-restricted diet. More recent evidence suggests that an operation can be performed safely during any trimester of pregnancy. In fact, some surgeons have argued that delaying surgery may have devastating consequences for the fetus. When managed nonoperatively, symptomatic cholelithiasis has a high recurrence rate and its associated complications, such as gallstone pancreatitis, can lead to spontaneous abortion and preterm labor. Recurrence rates for symptomatic patients have been reported to be as high as 92% in the first trimester, 64% in the second trimester, and 44% in the third trimester.
Once the decision to perform an operative intervention has been made, laparoscopic cholecystectomy is the preferred approach. It carries the same benefits of laparoscopy performed in the nonpregnant patient. Specifically, laparoscopic surgery results in a decreased requirement for narcotics, a lower rate of wound complications, shorter hospital stays, and a decreased risk of venous thromboembolism secondary to early ambulation. An obstetric consultation should be obtained for all cases involving a viable fetus (>24 weeks gestation) and will typically include preoperative and postoperative monitoring of fetal heart rate and uterine activity.
Surgical Approach for Laparoscopic Cholecystectomy
The patient is placed supine on the operating table. For the gravid patient, she can lie in the left lateral recumbent position to decrease compression of the vena cava. Access to the abdomen is obtained via an open Hasson, Veress needle, or optical trocar, depending on surgeon preference and level of experience. While there is no evidence that any of the above options is superior to others, many surgeons would opt to enter via an open Hasson technique. This allows direct visualization of the abdominal wall and intra-abdominal viscera prior to trocar insertion. Port location should be adjusted for fundal height, which should be measured before and after induction of general anesthesia. More recent advances such as single-port laparoscopy should be reserved for high-volume centers with surgeons experienced in this technique, and only in pregnant patients whose fundal height permits entry at the umbilicus.
Pneumoperitoneum can usually be achieved by CO2 insufflation of 10 to 15 mm Hg, although it is important to remember that some pregnant patients may demonstrate restrictive lung physiology due to elevation of their diaphragm. These patients are prone to arterial desaturation and may be better managed with insufflation pressures <12 mm Hg. In all cases, adequate visualization of the gallbladder and biliary anatomy must be maintained.
Once all ports are placed, the fundus of the gallbladder is retracted toward the abdominal wall and superiorly over the liver, and the peritoneum is dissected from the gallbladder neck. Dissection should be carried out from the gallbladder neck to the common bile duct in order to gain the critical view of safety (Figure 3). The critical view is achieved by clearing all fat and fibrous tissue in Calot’s triangle, after which the cystic structures can be clearly identified, occluded, and divided. This helps to avoid bile duct injuries and failure to successfully create this view is an indication for conversion to an open cholecystectomy.

FIGURE 3 • Critical view during laparoscopic cholecystectomy. Note the clear delineation of the junction of the cystic duct with the gallbladder as well as the clear space between the gallbladder and liver, devoid of any other structure other than the cystic artery.
The cystic duct and artery are then clipped and divided, and the gall bladder is removed from its fossa using electrocautery or the Harmonic scalpel. If there is spillage of bile from the gallbladder, the abdomen should be irrigated and the fluid aspirated. The ports are withdrawn under direct visualization and the abdomen desufflated. Each incision is closed (Table 1).
TABLE 1. Key Technical Steps and Potential Pitfalls to Laparoscopic Cholecystectomy in the Pregnant Patient

Surgical Approach for Open Cholecystectomy
For patients in whom laparoscopic cholecystectomy cannot be performed safely, an open cholecystectomy is indicated. This is accomplished through a right subcostal incision. After retractors are placed and the bowel and gravid uterus packed away from the surgical field, the gallbladder is grasped and dissection is performed via a top-down approach. The cystic duct and artery are identified, ligated, and divided. Once adequate hemostasis is obtained, the viscera are returned to their normal anatomic position and the incision is closed in two layers (Table 2).
TABLE 2. Key Technical Steps to Open Cholecystectomy in the Pregnant Patient

Postoperative Management
After undergoing laparoscopic cholecystectomy, patients are usually admitted overnight for observation. Fetal monitoring is required in cases that involve a viable fetus to evaluate fetal heart rate and uterine activity. An oral diet can be started on the day of surgery and oral pain medications shortly thereafter. Patients undergoing an open cholecystectomy typically require a 3- to 5-day hospital stay to achieve adequate pain control and sufficient oral intake.
Case Conclusion
Once diagnosed with symptomatic cholelithiasis, the patient is admitted to the Obstetrics Antepartum unit for preoperative pain control and fetal monitoring. That afternoon she undergoes a laparoscopic cholecystectomy and is admitted postoperatively for 24 hours of fetal monitoring. After an uneventful stay, she is discharged on postoperative day 1. Her follow-up visit reveals no further pain, and her pregnancy progressed uneventfully to term.
TAKE HOME POINTS
· The presenting signs and symptoms of symptomatic cholelithiasis may be nonspecific and difficult to distinguish from those associated with pregnancy.
· The changing position of intra-abdominal contents during pregnancy complicates the examination of the gravid abdomen.
· Asymptomatic cholelithiasis, even found during pregnancy, is not an indication for cholecystectomy.
· For symptomatic cholelithiasis, a cholecystectomy can be safely performed in all trimesters of pregnancy.
· Nonoperative management of symptomatic cholelithiasis exposes the patient to a high rate of recurrence and associated complications.
· Laparoscopic cholecystectomy is preferred to an open procedure and carries the same benefits as in the nonpregnant patient.
· An obstetric consultation should be obtained for all cases involving a viable fetus (>24 weeks gestation) and will typically include preoperative and postoperative fetal monitoring.
SUGGESTED READINGS
Basso L, McCollum PT, Darling MR, et al. A study of cholelithiasis during pregnancy and its relationship with age, parity, menarche, breast-feeding, dysmenorrhea, oral contraception and a maternal history of cholelithiasis. Surg Gynecol Obstet. 1992;175:41–46.
Date RS, Kaushal M, Ramesh A. A review of the management of gallstone disease and its complications in pregnancy. Am J Surg. 2008;196:599–608.
Ko CW. Risk factors for gallstone-related hospitalization during pregnancy and the postpartum. Am J Gastroenterol. 2006;101:2263–2268.
Oto A, Ernst RD, Ghulmiyyah LM, et al. MR imaging in the triage of pregnant patients with acute abdominal and pelvic pain. Abdom Imaging. 2009;34:243–250.
Shea JA, Berlin JA, Escarce JJ, et al. Revised estimates of diagnostic test sensitivity and specificity in suspected biliary tract disease. Arch Intern Med. 1994;154:2573–2581.