Andrew C. Peterson1
(1)
Division of Urology, Duke University Medical Center, DUMC 3146, Rm 1113, Green Zone, Davison Bldg, Durham, NC 27710, USA
Andrew C. Peterson
Email: drew.peterson@duke.edu
Abstract
Urinary incontinence (UI), the complaint of any involuntary leakage of urine, may be the result of congenital anomalies, injury, genitourinary surgery, and other conditions. The most common etiology of UI in men is radical prostatectomy (RP), with the primary mechanism being failure to store urine secondary to inadequate function of the outlet-sphincter. Despite improvements in surgical technique that have reduced the rate of post-prostatectomy UI, the burden of disease in the United States remains high and is expected to rise because of increasing numbers of RP performed annually. UI significantly compromises heath-related quality of life in men and can be improved by surgical treatment using transurethral bulking agents, bulbar urethral slings, and the artificial urinary sphincter. Although bulking agents have been used in the past as a first-line treatment for male UI, the severity of incontinence and postsurgical scarring in the vesicourethral region after prostatectomy have made surgical correction the first-line treatment for the majority of cases.
Urinary incontinence (UI), the complaint of any involuntary leakage of urine [1], may be the result of congenital anomalies, injury, genitourinary surgery, and other conditions. The most common etiology of UI in men is radical prostatectomy (RP), with the primary mechanism being failure to store urine secondary to inadequate function of the outlet-sphincter. Despite improvements in surgical technique that have reduced the rate of post-prostatectomy UI, the burden of disease in the United States remains high and is expected to rise because of increasing numbers of RP performed annually [2].
UI significantly compromises heath-related quality of life in men [3] and can be improved by surgical treatment using bulbar urethral slings, and the artificial urinary sphincter (AUS). Although bulking agents have been used in the past as a first-line treatment for male UI, the severity of incontinence and postsurgical scarring in the vesicourethral region after prostatectomy have made surgical correction the first-line treatment for the majority of cases.
The AUS is one of the best available treatments for UI in males. It has proven long-term durability and effectiveness across the spectrum of moderate and severe degrees of urinary loss. Despite this, several other treatments such as the urethral slings, including the transobturator bulbar sling and the perineal bone-anchored sling have emerged as viable treatment options for the male with UI. Herein, we discuss the possible complications that these treatments may pose and their evaluation and management in men with UI after surgical treatment.
Evaluation and Diagnosis of Problems After Initial Surgical Treatments for Male UI
Because of the wide range of possible complications from these types of surgical interventions for UI (the various types of the male sling and the AUS) patients may present after surgery with a wide range of problems including difficulty with urination, pain, hematuria, infection, erosion, and damage to other structures such as the rectum, ureters, and bladder. Therefore, the evaluation of all men with problems after initial surgery for UI requires a detailed history, physical examination, and urinalysis. Many cases will also require cystoscopy and pressure flow urodynamics.
For those presenting with continued loss of urine after surgical intervention, it is imperative to clearly differentiate between stress and urge incontinence. For this, the 72-h voiding diary and the 24-h pad test are inexpensive, simple tools that are invaluable in the assessment prior to proceeding with any invasive testing [4]. The voiding diary reliably and objectively assesses the complaint and may uncover significant urgency and urge incontinence that may not be related to the incontinence surgery [5]. Self-reported daily pad usage varies considerably with only moderate concordance with urinary incontinence volume [6]. Thus the 24-h pad weight test, which objectively measures the volume of the incontinence, may be helpful in comparing the patient’s preoperative urine loss volume to the postoperative urine loss thereby aiding in the direction of appropriate therapy.
Laboratory
Urine analysis and culture when the UA is suggestial of infection are required prior to the initial surgical correction of male UI as well as prior to any revision surgeries. They are also extremely important when evaluating any patient with any problem after surgery. The presence of blood, white blood cells, and any evidence of infection may indicate erosion of mesh or material such as the urethral cuff into the urethra.
Cystoscopy
Because unrecognized urethral pathology can significantly complicate all of the surgical options for UI, endoscopic evaluation is recommended prior to any intervention for problems after initial surgical management of urinary incontinence [7–9]. Furthermore, in patients with recurrent incontinence after AUS implantation, cystoscopy may aid in differentiating mechanical failure from other causes such as urethral atrophy. Finally, when an AUS or sling [10] has been removed due to infection or erosion, repeat evaluation of the urethra prior to reimplantation is essential to rule out urethral stricture, diverticulum, fistula, and other urethral complications that may hinder replacement of a new cuff at a later time.
Urodynamics
Although a careful history and voiding diary may be sufficient to confirm the adequacy of bladder function in patients with problems after initial management of UI, formal pressure flow urodynamics may permit an accurate assessment of the bladder function and incontinence type and severity. Detrusor overactivity, while not a contraindication to surgery for UI if discovered initially, requires realistic counseling regarding the likelihood of persistence or exacerbation after treatment of incontinence. Likewise, reduced bladder compliance presents a more serious concern, because prolonged storage at high pressures may lead to deteriorating renal function and continued leakage. Therefore, urodynamics may be indicated in patients with continued or recurrent incontinence after appropriate initial surgical management.
Artificial Urinary Sphincter
The AUS is still one of the most well-established devices for the treatment of male UI. The AUS (AMS 800) is a complex mechanical device consisting of a fluid-filled cuff placed around the bladder neck or bulbar urethra, a control pump placed in the scrotum or labia in the female, and a pressure-regulating balloon (PRB) placed in a preperitoneal location. The tubing is connected by quick connect devices supplied from the company. Fluid transfer from the cuff to the PRB is accomplished by active “pumping” while refilling occurs passively by a pressure gradient from the reservoir that traverses a resistor implanted in the pump. Therefore, one can see that there are many aspects to the device that may lead to malfunction, failure, erosion, and infection.
Long-term durability of the AUS is well established, although this device still has a revision rate of 16 and 28 % at 2 and 5 years, respectively [11]. In addition, these mechanical devices will all ultimately fail and need revision approximately 7–10 years after placement with 72 % of the original sphincters functioning in place at a mean follow-up of 69 months [12].
Artificial Urinary Sphincter Cuff
The AUS cuff is most commonly placed around the bulbar urethra via a perineal incision, although a transscrotal approach has been popularized by Wilson and associates [13] (see below). The aim is to place the cuff as proximal on the bulbar urethra as possible. This is the area with the largest diameter of corpus spongiosum and provides protection of the cuff from activation while sitting because it is protected by the split corporal bodies. When circumferentially mobilizing the urethra at the cuff location, blunt spreading dissection is discouraged in this area because it risks injury to the urethra, especially in reoperative cases. Rarely, when an injury is made to the urethra during this dissection, it can be closed with interrupted fine absorbable suture and a new site more distally can be chosen without needing to abort the case. However, in complicated or severe cases of injury (lacerations greater than 1 cm) we find it is the better part of valor to abort the case relegating the patient to catheter drainage for 2–3 weeks with a re-attempt at placement after complete healing.
The circumference of the urethra is measured around the corpus spongiosum to guide selection of cuff size, some authors advocate selecting a cuff size 0.5–1 cm smaller than the measured circumference of the urethra in order to compensate for compression of the spongiosum. If a cuff is selected and placed around the urethra but is obviously incorrect (too large or too small), the best option is to discard that cuff and replace with the appropriate size.
Pressure-Regulating Balloon
The placement of the pressure-regulating balloon (PRB) may be achieved through a scrotal, perineal, or abdominal incision, depending on prior surgical incisions, body habitus, and surgeon preference. The PRB is filled with 20–23 mL of sterile normal saline or contrast material, unless a bladder neck cuff is used, which requires additional fluid volume. In order to provide an isotonic solution, contrast solutions should always be diluted with sterile water. Failure to fill the device with isotonic solution may result in fluid leach from the system and therefore malfunction.
It is important to note that precise placement of the PRB behind the abdominal wall in the preperitoneal space is paramount to its correct functioning. In morbidly obese patients when the PRB is placed in the subcutaneous fat, we have found that it does not transmit adequate rises in intra-abdominal pressures to the cuff therefore contributing to significant urinary leakage with stress. In these cases, the PRB should be moved to a preperitoneal space with a revision operation. We prefer to use a second incision in the right lower quadrant to place the balloon in all cases as we found that placement through the inguinal canal may predispose it to herniation and malfunction requiring a revision surgery in the future.
Control Pump
The pump assembly is placed into the anterior scrotum from the inguinal, scrotal, or perineal incision. Care must be taken to avoid leaving excessive tubing in the scrotum as this may result in malpositioning of the pump making it difficult to manipulate.
Connections are typically made in the abdominal incision. This allows exploration at a later date if needed for revision by placing all the connections in one easily accessible spot. The quick connectors supplied by the manufacturer provide secure, connections for newly implanted devices. In these cases when the entire device is not being replaced, it is recommended to use the hand-tied connectors that are provided by the company in the accessory kit utilizing, securing the connections with 3-0 Prolene suture.
Tandem Cuff AUS
Despite improvements in AMS 800 design and implantation techniques, as many as 11 % of patients may have significant incontinence after single-cuff AUS placement [14]. In cases of persistent UI from incomplete urethral occlusion despite the use of the smallest cuff (3.5 cm), the addition of a second cuff around the bulbar urethra can yield satisfactory continence [15–17]. However, the indiscriminate use of the tandem cuff approach as first-line surgical treatment is to be discouraged because of higher rates of erosion associated with the distal cuff [18].
Placement of the second cuff is performed via the perineal incision. After circumferential dissection around the bulbar urethra, at least 1.5–2 cm distal to the primary cuff, a new cuff is placed. Connection to the existing device requires division of the existing cuff tubing and use of a Y-connector, securing it with either the quick connector clamps provided by the company or a hand-tied connection with 3-0 Prolene suture as indicated. When adding a new cuff to an existing system, as described above an additional 3 mL of fluid should be added to the system to fill the second cuff without depleting the fluid in the PRB. Doing so may significantly change the pressure that is generated by the PRB and placed on the urethral cuff.
Transcorporal AUS Cuff
The transcorporal placement of the AUS provides another option when dealing with difficult initial or revision surgery [19]. Rather than dissecting between the corpus spongiosum and the ventral cavernosa, parallel longitudinal incisions in the tunica albuginea of the corpora cavernosa allow the plane of dissection to pass through the septum of the corpora from one side to the other. This technique leaves the ventral tunica albuginea attached to the dorsum of the spongiosum. The lateral edges of the tunica albuginea are then closed dorsal to the cuff to help with postoperative bleeding. Advantages of the transcorporal approach include reduced risk of urethral injury during reoperation after prior erosion or urethra injury; better cuff fit because of the increased bulk of the urethra; and potential reduction in erosion risk. The technique is particularly useful when proximal cuff atrophy occurs in cases where the smallest cuff has been already used. Transcorporal placement 2–3 cm distally, leaving an intervening segment of normal urethra, may yield AUS continence results similar to those in non-revision placement surgeries. Webster and associates reported a cure and improvement rate of 84 % without intraoperative urethral injuries or postoperative urethral erosions at a mean follow-up of 17 months [19].
Transscrotal AUS
Wilson described this technique in which all components of the AUS are placed through a transverse scrotal incision. Originally developed for reoperative surgery due to urethral atrophy, it allowed placement of a more distal cuff in tandem or with the transcorporal technique. Although the initial report was favorable in terms of continence outcomes, several later reports suggest that the transscrotal technique yields inferior continence results [20, 21]. One possible explanation is that it does not allow equivalent placement of the cuff around the proximal, larger diameter bulbar urethra when compared to the perineal approach. Because of this, we prefer to use the perineal approach in all cases to decrease the possible risk of intermittent unintended activations of the device due to the distally located cuff.
Complications of the AUS
Urinary Retention
We do not routinely leave catheters in after placement of an AUS, leaving the device deactivated and the patient simply incontinent. If the patient develops urinary retention in the immediate postoperative period, this should be managed by transurethral bladder drainage with a small (10 or 12 Fr) catheter for 24–48 h. Cuff deactivation must be confirmed before catheterization. If the patient fails a voiding trial at 48–72 h, suprapubic drainage is recommended to reduce the risk of urethral erosion. It is important to limit the time an indwelling urethral catheter is left in place because even very small ones may result in erosion of the cuff secondary to abrasion from the sawing motion of the catheter along with compression. Therefore, one must be extremely cautious in patients with an AUS and catheter in place and not be falsely assured that erosion will not happen simply because the catheter is small. When placing a suprapubic tube, ultrasound or fluoroscopic guidance is recommended to prevent puncture or potential contamination of the PRB and tubing that may lie in the area.
Very rarely, retention that lasts several weeks implies under sizing of the cuff; in such cases reoperation and cuff replacement may be required. Correlation with preoperative urodynamic findings is advised to establish preoperative function of the bladder, another reason that preoperative urodynamics evaluation in all patients undergoing surgical treatment for UI is important. Late-onset urinary retention that occurs more than 2–4 weeks after surgery mandates endoscopic and urodynamic evaluation to rule out proximal urethral obstruction, erosion, or detrusor failure.
AUS Infection
Device infection remains a serious and possibly devastating complication of any implant surgery. The rate of infection with initial AUS surgery is 1–3 % [14, 22–24] but may be as high as 10 % in reoperative cases and when placed into those who have had pelvic radiation and multiple reoperations [25]. Skin pathogens are the most commonly cultured organism, usually Staphylococcus epidermidis and S. aureus[26]. The introduction of InhibiZone©, a coating consisting of rifampin and minocycline hydrochloride, has led to a reduction in the infection rates in implant surgery [27]. Late infections (>4 months) may represent indolent organisms introduced at the time of operation or by hematogenous spread.
The first initial presentation of an early postoperative AUS infection is usually scrotal pain at the pump, although erythema, edema, and frank purulence will commonly accompany this symptom (Fig. 9.1). Often, these infections may be smoldering and take time to declare themselves. These cases often are seen as chronic pain after AUS implantation often without overt evidence of infection such as induration, swelling, and fever. In these cases we will place the patient on antibiotics that cover gram-positive organisms (oral cephalexin) in addition to an antibiotic that has good penetration of the biofilm layer (rifampin) [28]. Because implant infections are most often not amenable to antibiotic therapy, AUS infection will almost always require explantation. Traditional management includes device removal followed by a waiting period of several months with delayed reimplantation.

Fig. 9.1
Erythema, edema, and frank purulence will commonly accompany scrotal pain on early postoperative AUS infection
Immediate salvage of the infected non-eroded AUS may be accomplished with complete device removal, antiseptic irrigation, and immediate reimplantation [18, 29, 30]. This procedure includes an irrigation regimen used in penile prosthesis salvage protocols [30, 31]. Mulcahy and associates used this approach to salvage 7 of 8 patients with infected non-eroded AUS in a total of 9 operations [30]. In all cases the entire AUS was removed and the wounds were copiously irrigated according to a seven-solution protocol just prior to but during the same operation in that a new system is implanted. This procedure consists of irrigating sequentially with bacitracin and gentamicin in 0.9 % normal saline, half strength hydrogen peroxide, half strength povidine-iodine, pressure irrigation with 1 g vancomycin and 80 mg gentamicin in 5 L of normal saline, half strength povidine-iodine, half strength hydrogen peroxide, bacitracin and gentamicin in 0.9 % normal saline. They also recommend a stepwise approach to the procedure first removing all prosthetic parts and foreign material, irrigating with the seven antiseptic solutions as listed above, changing gowns, gloves, surgical drapes and instruments, inserting the new prosthesis, then closing the wounds with no drains or catheters and treating with oral antibiotics for 1 month. Contraindications to prosthesis salvage include sepsis, ketoacidosis, necrotizing infection, immunosuppression, and the finding of gross purulent material at the time of explantation.
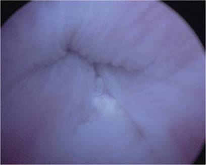
Urethral Erosion
Urethral erosion is reported in up to 5 % of AUS implantations [14, 22–24, 32]. In an analysis of their 13-year experience in patients with urethral erosions, Webster and associates determined that patients with hypertension, coronary artery disease, prior radiation therapy, and prior AUS revisions were more than twice as likely to suffer secondary urethral erosions [33]. Furlow introduced the concept of postoperative deactivation during the healing process to decrease pressure-induced ischemia and necrosis [34]. While Motley and Barrett did see a decrease in secondary urethral erosion from 18 to 1.3 % with this technique [35] we have not found this procedure particularly useful in our practice.
Cystoscopy is the diagnostic procedure of choice in evaluating men with suspected AUS erosion. It is indicated in any cases of recurrent urinary tract infections, hematuria, new onset urinary retention, pain with voiding, pain at the AUS pump, and sometimes in cases of prolonged catheterization. Erosion may be subtle with little external manifestations when the AUS has not yet become infected so sometimes one must have a very high index of suspicion whenever there is the possibility of AUS problems. Careful and systematic cystourethroscopy must be performed as some erosions can be very subtle. We perform urethroscopy up to the closed AUS cuff and cycle the cuff under direct vision with full flow of the irrigation in order to aid in the complete evaluation of the site (Fig. 9.2).

Fig. 9.2
(a) Eroded closed AUS. (b) Eroded open AUS
Immediate removal of all the components of the AUS is imperative in cases of erosion, because they are assumed to be infected. There is currently a debate on how to appropriately manage the urethra in cases of eroded sphincter cuff. Some authors advocate a formal primary anastomotic urethroplasty if the tissues are amenable. There is some evidence that simple catheter placement, time, and/or suprapubic cystostomy allows healing without subsequent significant stricture formation [18, 36]. Because these erosions are often large and complex (Fig. 9.3), we prefer to primarily close the capsule with interrupted fine absorbable suture, leaving a Foley catheter in for 3 weeks with removal after a pericatheter urethrogram shows no extravasation of contrast. Perineal wounds are considered infected and loosely approximated or allowed to close by secondary intention. Reimplantation is considered only after urethral healing is confirmed by urethrography and a delay of 3–6 months is observed.

Fig. 9.3
For large and complex erosions, a Foley catheter is left in for 3 weeks with removal after a pericatheter urethrogram shows no extravasation of contrast
In preparation for reimplantation, urethral patency is confirmed by cystoscopy or retrograde urethrogram (Fig. 9.4) [31, 35, 37]. A new cuff should be placed in a new location either proximal or distal to the previous site because scarring as well as a compromised vascular supply makes replacement of the cuff at the erosion site difficult and risky [35]. Frank et al. [37] reported a successful outcome in 87 % of reimplantation after erosion or infection, with recurrent urethral erosion in 8.7 %. More recently, in a series of 46 patients with prior AUS erosion who underwent reimplantation, 35 % suffered another erosion within an average of 6.7 months [33]. Use of the transcorporal approach in such cases may reduce the risk of urethral injury during the secondary surgery as well as potentially provide greater protection against subsequent erosion [19, 38].

Fig. 9.4
Retrograde urethrogram confirms urethral patency in preparation for reimplantation
Urethral Atrophy
Urethral atrophy results from the chronic compression of the spongy tissue under the occlusive cuff. This is the most common reason for revision of the AUS [39]. The evaluation for this must include a combination of the voiding diary, pad test, radiographic evaluation of the cuff in the closed and cycled state and cystourethroscopy to rule out erosion and cuff malfunction. Treatment options include cuff downsizing, movement of the cuff to a more proximal or distal location where the urethra may be thicker, or placement of a second cuff in tandem. In our practice, the simple replacement of the PRB with a higher-pressure reservoir to overcome urethral atrophy is no longer recommended due to risk of erosion [39].
Our approach is to downsize the cuff in the same location when possible. If the existing cuff is already 3.5 cm, we place the cuff more proximally, when feasible, or distally using the transcorporal technique if necessary. Because there are a finite number of locations for the artificial sphincter cuff we attempt to use the same location whenever possible for downsizing. We advance to the smallest size cuff available (3.5 cm) prior to moving to new location or considering the use of a tandem system. Once a single site has been used and abandoned it is no longer safe to replace a cuff at a later time in that same spot.
Saffarian et al. reported a significant improvement in daily pad usage from 3.9 to 0.5 in 17 patients with urethral atrophy [40]. In a large series of secondary AUS surgery, the cuff was replaced in 142 cases of which 33 % of cuffs were placed distal to the original location, 11 % were placed proximal and 52 % were placed at the original cuff location [39]. The cuffs were downsized in 56 % of cases, unchanged in 30 % and upsized in 13 %, reflecting the new locations. In cases of urethral atrophy, several prominent centers have successfully added a second cuff in tandem to salvage continence [15, 16].
Mechanical Failure
The rate of mechanical failure has diminished substantially after introduction of the narrow-backed cuff. Because of the inherent design of the device, when they fail they do so in the open position resulting in recurrent incontinence and rarely urinary retention. Elliott and Barrett [12] reviewed the long-term durability of the AMS 800 in 323 patients that were implanted at the Mayo clinic between 1983 and 1994. The change in design resulted in a decrease in nonmechanical failure from 17 to 9 %. This was thought to be primarily due to a reduction in urethral atrophy. A decrease in mechanical failure from 21 to 7.6 % was primarily thought to be due to a reduction in cuff leak along with improvements in the synthetic material, which lessened the risk of fracture or kinking of the device. In the absence of infection or erosion, replacement of an isolated malfunctioning component of the AUS (pump, cuff, balloon) may be feasible if the revision occurs within 3 years of implantation. However, a slow leak from the PRB may be difficult to diagnose intraoperatively, and if in doubt total device replacement is always recommended. When older than 3 years the entire device should be replaced completely.
Troubleshooting the device in the operating room can be challenging because leaks may often be small and invisible to the naked eye! We have found that in cases where the entire device is not planned to be replaced, the use of an ohmmeter as described by Webster is extremely useful [41]. While described over 20 years ago this technique still proves exceedingly useful especially in cases where the device is less than 3 years old and only the damaged component needs to be replaced in order to minimize morbidity, contain costs, and improve patients’ return of functionality. To utilize this technique, the abdominal wound is opened and all connections are exposed. Both sides of each connection are clamped with a rubber shod clamp and the connectors are removed. Sequentially, each component is tested individually. We prefer to start with the pump placing one end of the ohmmeter sensor inside of the tubing leading to the pump so it’s in contact with the fluid inside the system. If there is a break in the system, touching the second, grounding probe to the patient’s body will elicit a circuit. Any reading on the ohmmeter indicates a leak is present in the system. Each component is sequentially tested in the same manner. One must understand that if a device has leaked all of its fluid that the component may need to be filled with saline in order to produce a circuit.
Special Circumstances
The management of urethral and vesicourethral anastomotic stricture encountered after AUS implantation proposes a unique challenge. Stricture at the site of the AUS cuff may result from compression or ischemia and may indicate impending urethral erosion. These may be managed with periodic filiform and follower dilation [42]. However, strictures proximal to an AUS may need to be addressed with balloon dilation [43] or holmium laser incision through a flexible ureteroscope [44].
In the event significant endoscopic manipulation is required, such as transurethral resection proximal to the cuff site; our practice is to surgically uncouple the cuff for the duration of the endoscopic procedure. In this procedure an incision is made over the perineal wound and the urethral cuff is identified and dissected free. After copious irrigation, it is uncoupled allowing unhindered endoscopic access to the urethral pathology proximal to the AUS cuff. During the transurethral portion of the procedure, the perineal wound is packed with an antibiotic-soaked gauze sponge. At the termination procedure, the cuff is reattached ensuring that it is securely fashioned and left deactivated as required. Because of the need to manipulate the device, we prefer to give preoperative antibiotics consisting of vancomycin and gentamycin in these cases.
Component Extrusion
Rarely, a component of the device may erode through the skin, exposing itself. These events are usually associated with a preexisting infection, leading to skin edema and inflammation. Rarely, eroded components may appear relatively benign (Fig. 9.5). In all cases, we recommend immediate removal of all components of the device. Because of the tubing that connects the system as one, it is assumed that once one part of the device is exposed and infected, the entire system is at risk.

Fig. 9.5
Rarely, a component of the device, such as a pump, may erode through the skin, exposing itself
Male Slings for Incontinence
Male sling procedures represent a significant addition to the surgical armamentarium for UI by providing an alternative to the AUS [45]. These two procedures; the bone-anchored sling and transobturator sling may be considered in cases with mild incontinence [36].
Bone Anchor Bulbourethral Sling
The bone-anchored sling is performed through a single perineal incision that results in short operative times and low erosion rates [46, 47]. Titanium screws provide fixation of the sling to the inferior pubic ramus. A 4 by 7-cm piece of mesh or organic material is secured to the bone-anchored sutures and then tied down. Sling tension is increased until a retrograde leak pressure of 60 cmH2O is achieved by checking backflow pressures. While the results of this technique have been generally positive, long-term follow-up has revealed that this procedure is not without problems.
Transobturator Bulbourethral Sling
The transobturator sling has been shown to be effective in short-term follow-up of multiple well-preformed series [48]. In selected populations approximately 75 % of patients are cured or significantly improved, with results durable up to a year. Bulbar urethral slings can be used as an alternative in those that refuse the AUS from fear of infection, erosion, or mechanical failure as well as those with limited physical or cognitive capacity [49]. The trade-off between risk and efficacy must be considered, with most authors recommending the AUS for more severe UI but for mild UI the bulbar sling procedure is a viable alternative.
In contrast to the bone-anchored approach, the transobturator sling is designed to reposition and lengthen the membranous urethra [48]. After exposing the corpus spongiosum in a manner identical to the AUS described above, the space between the corpus spongiosum and corpora cavernosa is developed on each side. Using the provided trocars, the sling is brought through the obturator foramen as close as possible to the superior aspect of the triangle formed by the corpus spongiosum and the pubic ramus. With tensioning, the proximal bulbar urethra should move approximately 3–4 cm cephalad [48]. The tail ends of the sling are trimmed and buried under the skin.
Sling Complications
With the two types of slings now available (the transobturator bulbar urethral sling and the bone-anchored sling) the complication profile for these slings has become slightly more clear. The infection/erosion rate for both types of slings ranges from 2 to 15 % and the need for revision have been previously reported to range 2–4.2 %. While effective as discussed above, both slings have slightly different problems associated with them.
Complications of the Bone-Anchored Sling
The most common complications of the bone-anchored male slings include perineal pain, urinary retention, infection, anchoring complications from bone anchors, and mesh erosion. Styn et al. reported their experience with 119 men who underwent 140 bone-anchored sling for the treatment of male stress incontinence [50]. In this series, the overall complication rate was 58.8 and 26.9 % required reoperation. While the authors did not report any significant intraoperative complications, they do note that recurrent stress incontinence may be as high as 25.2 %, and up to 17.6 % will develop new urge incontinence. Wound infections (16 %) were the most commonly reported immediate postoperative complications. Many patients in this study required reoperation for various reasons including dislodgment of bone screws (5.9 %), revision for recurrent stress incontinence (5 %), and the need to place bulking agents for recurrent stress incontinence (5.9 %).
Perineal pain is reported in up to 74 % of patients [51] after bone-anchored slings with the majority of cases resolving within 3 months [52]. Chronic perineal and scrotal pain has been a significant concern of this type of sling reported in 2–5 % of patients. Conservative management of the pain consists of aggressive use of anti-inflammatories, narcotic pain medications, rest, and time. Some patients may require use of transdermal lidocaine patches and others have had success with steroid and local anesthetic injection therapy. Should the pain last for prolonged periods, greater than 90 days we recommend cross-sectional imaging to rule out infection or phlegmon. Some cases may require surgical exploration and explantation of the mesh for treatment of this problem.
The bone screws used with this system offer their own specific set of problems. As discussed prior, up to 5.9 % of patients will need reoperation because of problems associated with the screws. Dislodgment, bone infection, and pain have all been reported with this type of anchoring system. While these tend to be reported sporadically, this has been a significant issue. Most often these may result in recurrent incontinence [53] and osteitis pubis. Patients should be counseled that when considering the bone-anchored sling that bone infection (osteitis pubis) may require removal of the entire sling along with the involved bone. Cultures of the infected bone should be sent as some patients will require long-term intravenous antibiotics after removal of the hardware.
Wound infections have been reported to occur in 7.9–16 % of cases. These may range from superficial inflammatory conditions to severe deep wound infections needing sling explantation with extensive debridement and wound care. If not treated rapidly, these may lead to erosion into the urethra with significant urethral damage.
Acute urinary retention after surgery occurs in up to 15 % of patients undergoing these slings. In most series these cases resolve with the improvement of postoperative edema on an average of 10–14 days. Isolated cases have required release of the sling.
Transobturator Male Sling
Gaining approval in 2006 and just recently achieving wide scale acceptance, the complications resulting from this device had not previously been well described. In 2009, Bauer and her group reviewed their experience with over 230 patients who underwent placement of the transobturator male sling [54]. After a median follow-up of 17 months, the complication rate was 23.9 %. Interestingly, there were no intraoperative complications such as rectal perforation, bleeding, or urethral and bladder injuries. Postoperative urinary retention was described in 49 patients (21.3 %). Wound infection (0.4 %), urinary tract infections (0.4 %), and persistent perineal pain (0.4 %) were also described. Two patients (0.9 %) had to undergo sling explantation for various reasons including incorrect placement (the authors attributed this to either an erosion into the urethra or an intraoperative urethral injury at the time of placement) and symphisitis thought to be from preexisting Guillain–Barre syndrome.
Others have reported sporadic cases of erosion of the sling into the urethra (Fig. 9.6) [10]. In some cases sling removal with a combined reconstructive procedure such as urethroplasty may be required. While erosion is a theoretically possible event, many of these cases may actually be unrecognized injury at the time of placement of the sling. Therefore, careful systematic cystoscopy with urethroscopy at the time of sling placement is imperative to rule out intraoperative injuries and prevent these cases of erosion.

Fig. 9.6
Eroded mesh sling
Of the 49 patients (21.3 %) who presented with acute urinary retention, all except one resolved within 12 weeks (mean 27 days). The one patient who did not begin voiding spontaneously underwent transection of the sling after 4 months which resulted in the ability to void. Because of the high rates of short-term urinary retention that we have observed immediately after surgery, we currently send all patients home with a catheter in place from the anesthesia recovery unit teaching them how to remove it themselves. After initiating this procedure, we have not had any patients returning with urinary retention greater than 24 h after surgery.
The authors did note that they could find no risk factors for postoperative retention when looking at preoperative evaluation. They also note in the discussion that of the 230 patients, only three required reoperation (1.3 %) requiring sling explantation or transection. These results were also verified by Cornu et al. who looked at the results of 102 patients finding similar rates of complications [55]. Overall, these rates are significantly less than those seen with the artificial sphincter or the other urethral compressive slings such as the bone-anchored slings. The patient who presented with a wound infection and febrile urinary tract infection were treated successfully with antibiotics with no further problems or symptoms.
References
1.
Abrams P, Cardozo L, Fall M, et al. The standardisation of terminology of lower urinary tract function: report from the Standardisation Sub-committee of the International Continence Society. Neurourol Urodyn. 2002;21(2):167–78.PubMedCrossRef
2.
Stanford J, Steophenson R, Coyle L, et al. Prostate Cancer Trends 1973–1995, SEER Program, National Cancer Institute. NIH Pub 99-4543; 1999.
3.
Coyne KS, Zhou Z, Thompson C, Versi E. The impact on health-related quality of life of stress, urge and mixed urinary incontinence. BJU Int. 2003;92(7):731–5.PubMedCrossRef
4.
Flynn BJ, Webster GD. Evaluation and surgical management of intrinsic sphincter deficiency after radical prostatectomy. Rev Urol. 2004;6(4):180–6.PubMedCentralPubMed
5.
Groutz A, Blaivas JG, Chaikin DC, et al. Noninvasive outcome measures of urinary incontinence and lower urinary tract symptoms: a multicenter study of micturition diary and pad tests. J Urol. 2000;164(3 Pt 1):698–701.PubMedCrossRef
6.
Dylewski DA, Jamison MG, Borawski KM, Sherman ND, Amundsen CL, Webster GD. A statistical comparison of pad numbers versus pad weights in the quantification of urinary incontinence. Neurourol Urodyn. 2007;26(1):3–7.PubMedCrossRef
7.
Erickson BA, Meeks JJ, Roehl KA, Gonzalez CM, Catalona WJ. Bladder neck contracture after retropubic radical prostatectomy: incidence and risk factors from a large single-surgeon experience. BJU Int. 2009;104(11):1615–1619.
8.
Krambeck AE, DiMarco DS, Rangel LJ, et al. Radical prostatectomy for prostatic adenocarcinoma: a matched comparison of open retropubic and robot-assisted techniques. BJU Int. 2009;103(4):448–53.PubMedCrossRef
9.
Wasson JH, Reda DJ, Bruskewitz RC, Elinson J, Keller AM, Henderson WG. A comparison of transurethral surgery with watchful waiting for moderate symptoms of benign prostatic hyperplasia. The Veterans Affairs Cooperative Study Group on Transurethral Resection of the Prostate. N Engl J Med. 1995;332(2):75–9.PubMedCrossRef
10.
Harris SE, Guralnick ML, O’Connor RC. Urethral erosion of transobturator male sling. Urology. 2009;73(2):443.e19–20.CrossRef
11.
Dalkin BL, Wessells H, Cui H. A national survey of urinary and health related quality of life outcomes in men with an artificial urinary sphincter for post-radical prostatectomy incontinence. J Urol. 2003;169(1):237–9.PubMedCrossRef
12.
Elliott DS, Barrett DM. Mayo Clinic long-term analysis of the functional durability of the AMS 800 artificial urinary sphincter: a review of 323 cases. J Urol. 1998;159(4):1206–8.PubMedCrossRef
13.
Wilson SK, Delk JR, Henry GD, Siegel AL. New surgical technique for sphincter urinary control system using upper transverse scrotal incision. J Urol. 2003;169(1):261–4.PubMedCrossRef
14.
Montague DK, Angermeier KW. Postprostatectomy urinary incontinence: the case for artificial urinary sphincter implantation. Urology. 2000;55(1):2–4.PubMedCrossRef
15.
Brito CG, Mulcahy JJ, Mitchell ME, Adams MC. Use of a double cuff AMS800 urinary sphincter for severe stress incontinence. J Urol. 1993;149(2):283–5.PubMed
16.
DiMarco DS, Elliott DS. Tandem cuff artificial urinary sphincter as a salvage procedure following failed primary sphincter placement for the treatment of post-prostatectomy incontinence. J Urol. 2003;170(4 Pt 1):1252–4.PubMedCrossRef
17.
O’Connor RC, Gerber GS, Avila D, Chen AA, Bales GT. Comparison of outcomes after single or DOUBLE-CUFF artificial urinary sphincter insertion. Urology. 2003;62(4):723–6.PubMedCrossRef
18.
Kowalczyk JJ, Spicer DL, Mulcahy JJ. Erosion rate of the double cuff AMS800 artificial urinary sphincter: long-term followup. J Urol. 1996;156(4):1300–1.PubMedCrossRef
19.
Guralnick ML, Miller E, Toh KL, Webster GD. Transcorporal artificial urinary sphincter cuff placement in cases requiring revision for erosion and urethral atrophy. J Urol. 2002;167(5):2075–8.PubMedCrossRef
20.
Stone AR, Nguyen M, Tse V. Re: new surgical technique for sphincter urinary control system using upper transverse scrotal incision. J Urol. 2003;170(2 Pt 1):550–1.PubMedCrossRef
21.
Henry GD, Graham SM, Cleves MA, Simmons CJ, Flynn B. Perineal approach for artificial urinary sphincter implantation appears to control male stress incontinence better than the transscrotal approach. J Urol. 2008;179(4):1475–9.PubMedCrossRef
22.
Gundian JC, Barrett DM, Parulkar BG. Mayo Clinic experience with use of the AMS800 artificial urinary sphincter for urinary incontinence following radical prostatectomy. J Urol. 1989;142(6):1459–61.PubMed
23.
Marks JL, Light JK. Management of urinary incontinence after prostatectomy with the artificial urinary sphincter. J Urol. 1989;142(2 Pt 1):302–4.PubMed
24.
Litwiller SE, Kim KB, Fone PD, White RW, Stone AR. Post-prostatectomy incontinence and the artificial urinary sphincter: a long-term study of patient satisfaction and criteria for success. J Urol. 1996;156(6):1975–80.PubMedCrossRef
25.
Montague DK. The artificial urinary sphincter (AS 800): experience in 166 consecutive patients. J Urol. 1992;147(2):380–2.PubMed
26.
Licht MR, Montague DK, Angermeier KW, Lakin MM. Cultures from genitourinary prostheses at reoperation: questioning the role of Staphylococcus epidermidis in periprosthetic infection. J Urol. 1995;154(2 Pt 1):387–90.PubMed
27.
Carson III CC, Mulcahy JJ, Harsch MR. Long-term infection outcomes after original antibiotic impregnated inflatable penile prosthesis implants: up to 7.7 years of followup. J Urol. 2011;185(2):614–8.PubMedCrossRef
28.
Choong S, Whitfield H. Biofilms and their role in infections in urology. BJU Int. 2000;86(8):935–41.PubMedCrossRef
29.
Bell BB, Mulcahy JJ. Management of cuff erosion of the double cuff artificial urinary sphincter. J Urol. 2000;163(1):85–6.PubMedCrossRef
30.
Bryan DE, Mulcahy JJ, Simmons GR. Salvage procedure for infected noneroded artificial urinary sphincters. J Urol. 2002;168(6):2464–6.PubMedCrossRef
31.
Kowalczyk JJ, Nelson R, Mulcahy JJ. Successful reinsertion of the artificial urinary sphincter after removal for erosion or infection. Urology. 1996;48(6):906–8.PubMedCrossRef
32.
Singh G, Thomas DG. Artificial urinary sphincter for post-prostatectomy incontinence. Br J Urol. 1996;77(2):248–51.PubMedCrossRef
33.
Raj GV, Peterson AC, Webster GD. Outcomes following erosions of the artificial urinary sphincter. J Urol. 2006;175(6):2186–90.PubMedCrossRef
34.
Furlow WL, Barrett DM. Recurrent or persistent urinary incontinence in patients with the artificial urinary sphincter: diagnostic considerations and management. J Urol. 1985;133(5):792–5.PubMed
35.
Motley RC, Barrett DM. Artificial urinary sphincter cuff erosion. Experience with reimplantation in 38 patients. Urology. 1990;35(3):215–8.PubMedCrossRef
36.
Flynn BJ, Webster GD. Evaluation and surgical management of intrinsic sphincter deficiency after radical prostatectomy. Rev Urol. 2004;6(4):180–6.PubMedCentralPubMed
37.
Frank I, Elliott DS, Barrett DM. Success of de novo reimplantation of the artificial genitourinary sphincter. J Urol. 2000;163(6):1702–3.PubMedCrossRef
38.
Aaronson DS, Elliott SP, McAninch JW. Transcorporal artificial urinary sphincter placement for incontinence in high-risk patients after treatment of prostate cancer. Urology. 2008;72(4):825–7.PubMedCrossRef
39.
Raj GV, Peterson AC, Toh KL, Webster GD. Outcomes following revisions and secondary implantation of the artificial urinary sphincter. J Urol. 2005;173(4):1242–5.PubMedCrossRef
40.
Saffarian A, Walsh K, Walsh IK, Stone AR. Urethral atrophy after artificial urinary sphincter placement: is cuff downsizing effective? J Urol. 2003;169(2):567–9.PubMedCrossRef
41.
Webster GD, Sihelnik SA. Troubleshooting the malfunctioning Scott artificial urinary sphincter. J Urol. 1984;131(2):269–72.PubMed
42.
Debell M, Wessells H. Recurrent bulbar urethral stricture in the region of an artificial urinary sphincter. J Urol. 2001;166(3):1006–7.PubMedCrossRef
43.
Westney OL, Del Terzo MA, McGuire EJ. Balloon dilation of posterior urethral stricture secondary to radiation and cryotherapy in a patient with a functional artificial urethral sphincter. J Endourol. 1999;13(8):585–6.PubMedCrossRef
44.
Anger JT, Raj GV, Delvecchio FC, Webster GD. Anastomotic contracture and incontinence after radical prostatectomy: a graded approach to management. J Urol. 2005;173(4):1143–6.PubMedCrossRef
45.
Comiter CV. Surgery Insight: surgical management of postprostatectomy incontinence—the artificial urinary sphincter and male sling. Nat Clin Pract Urol. 2007;4(11):615–24.PubMedCrossRef
46.
Comiter CV. The male sling for stress urinary incontinence: a prospective study. J Urol. 2002;167(2 Pt 1):597–601.PubMed
47.
Madjar S, Jacoby K, Giberti C, et al. Bone anchored sling for the treatment of post-prostatectomy incontinence. J Urol. 2001;165(1):72–6.PubMedCrossRef
48.
Rehder P, Gozzi C. Transobturator sling suspension for male urinary incontinence including post-radical prostatectomy. Eur Urol. 2007;52(3):860–6.PubMedCrossRef
49.
Kumar A, Litt ER, Ballert KN, Nitti VW. Artificial urinary sphincter versus male sling for post-prostatectomy incontinence—what do patients choose? J Urol. 2009;181(3):1231–5.PubMedCrossRef
50.
Styn NR, McGuire EJ, Latini JM. Bone-anchored sling for male stress urinary incontinence: assessment of complications. Urology. 2011;77(2):469–73.PubMedCrossRef
51.
Giberti C, Gallo F, Schenone M, Cortese P, Ninotta G. The bone anchor suburethral synthetic sling for iatrogenic male incontinence: critical evaluation at a mean 3-year followup. J Urol. 2009;181(5):2204–8.PubMedCrossRef
52.
Comiter CV. The male perineal sling: intermediate-term results. Neurourol Urodyn. 2005;24(7):648–53.PubMedCrossRef
53.
Mahdy A, Elmissiry M, Ghoniem G. Recurrent stress urinary incontinence after dislodged screws in patient with bone-anchored suburethral sling. Urology. 2008;72(5):1185.e11–3.CrossRef
54.
Bauer RM, Mayer ME, May F, et al. Complications of the advance transobturator male sling in the treatment of male stress urinary incontinence. Urology. 2010;75(6):1494–8.PubMedCrossRef
55.
Cornu JN, Sebe P, Ciofu C, et al. The advance transobturator male sling for postprostatectomy incontinence: clinical results of a prospective evaluation after a minimum follow-up of 6 months. Eur Urol. 2009;56(6):923–7.PubMedCrossRef