Last's Anatomy: Regional and Applied

Part fourteen. Orbit and eye

The eye (eyeball) is the organ of vision and the principal component of the visual apparatus. This is lodged in the orbit, together with the extraocular muscles which move the eye, nerves, vessels, the lacrimal gland, fascia and fat.

Orbit

The orbit is a bony cavity shaped like a four-sided pyramid lying on its side, with the apex at the back and the base forming the orbital margin on the front of the facial skeleton (Fig. 6.50). The orbital fascia is the periosteum of the orbit which, at the back, becomes continuous with the dura mater and the sheath of the optic nerve, which enters the orbit through the optic canal at the apex. The relations of the orbit are important. Above is the anterior cranial fossa, with the meninges and the frontal lobe of the cerebral hemisphere. Medially are the nasal cavity and ethmoid sinuses. Below lies the maxillary sinus. Posterolaterally are the infratemporal fossa and the middle cranial fossa.

B9780702033957000067/f06-50-9780702033957.jpg is missing

Figure 6.50

Bones of the left orbit, viewed along the orbital axis which is at 25° to the sagittal plane.

The roof of the orbit is the orbital part of the frontal bone, with the lesser wing of the sphenoid at the most posterior part. The frontal sinus frequently extends into its anteromedial part.

The medial wall, 5cm long, extends in front from the anterior lacrimal crest on the frontal process of the maxilla, backwards across the lacrimal bone and the paper-thin orbital plate of the ethmoid, to the body of the sphenoid. The posterior lacrimal crest is a vertical ridge on the lacrimal bone. Between the two crests is the fossa for the lacrimal sac, which leads down into the nasolacrimal canal. At the junction of medial wall and roof lie the anterior and posterior ethmoidal foramina, between the ethmoid and frontal bones; the anterior foramen is about 24mm behind the anterior lacrimal crest, the posterior foramen about 12mm behind this and the optic nerve emerges through the optic canal about 6mm further back. A knowledge of these mean measurements is of particular value during endoscopic surgical procedures on the ethmoid sinuses. The medial walls lie anteroposterior, parallel with each other. The very thin bone of the orbital plate separates the orbits from the ethmoidal air cells.

The lateral wall, 5cm long, is composed of the zygomatic bone (the thickest and strongest part of the orbit walls) and the greater wing of the sphenoid. Posteriorly there is a gap, the superior orbital fissure, between lateral wall and roof (greater and lesser wings of the sphenoid), leading into the middle cranial fossa (Fig. 6.50). Another gap, the inferior orbital fissure, diverges from the medial end of this fissure between lateral wall and floor (greater wing and maxilla); it leads into the pterygopalatine and infratemporal fossae. The lateral wall slopes at 45° to the sagittal plane; the two lateral walls are at right angles to each other, and, if prolonged backwards, would meet at a right angle in the pituitary fossa.

The floor, formed mainly by the orbital surface of the maxilla (grooved and canalized by the infraorbital nerve), is completed laterally by the zygomatic bone and posteriorly by the tiny orbital process of the palatine bone. Blunt force applied to the face may cause a ‘blow-out’ fracture of the thin bone of the orbital floor or medial wall. Fracture of the floor may lead to herniation of orbital fat into the maxillary sinus, entrapment of an extraocular muscle (causing diplopia) or injury to the infraorbital nerve.

The orbital margin has four curved sides. The supraorbital margin (frontal bone) is notched or canalized a third of the way from its medial end for the passage of the supraorbital nerve and artery. The lateral margin is formed by corresponding processes of the frontal and zygomatic bones, which meet at a palpable suture line. The infraorbital margin is formed by the zygomatic bone and maxilla. The infraorbital foramen lies about 1cm below the middle of this margin. The medial margin of the orbit is formed by the anterior lacrimal crest (maxilla) and the frontal bone.

Eyelids

The eyelids protect the eye from injury and assist in the distribution of tears over the anterior surface of the eyeball. They are covered in front with loose skin and behind with adherent conjunctiva. Their fibrous framework is the orbital septum, thickened at the margins of the lids to form the tarsal plates. The orbicularis oculi muscle lies in front of the septum. The eyelids meet at the medial and lateral angles (or canthi). The lateral canthus is in direct contact with the eyeball. The medial canthus is separated by a small triangular space, the lacus lacrimalis, in the centre of which is a small pink elevation, the caruncle. A semilunar conjunctival fold lies on the lateral side of the caruncle.

The orbital septum is attached to the margins of the orbit (Fig. 6.51). It has a wide ‘buttonhole’ in it: the palpebral fissure between the lids. It is greatly thickened above and below the buttonhole to form the crescent-shaped superiorand inferior tarsal plates. The plates are formed of dense fibrous tissue, not cartilage as might be imagined from their stiffness. From the medial end of the buttonhole a thick medial palpebral ligament anchors the tarsal plates to the anterior lacrimal crest. The corresponding, much thinner, lateral palpebral ligament is attached to the marginal tubercle (of Whitnall) on the zygomatic bone just inside the orbital margin (Fig. 6.50). The levator palpebrae superioris is attached to the superior tarsal plate (see p. 401). The tarsal (Meibomian) glands are modified sebaceous glands embedded within the substance of the tarsal plates. Their ducts discharge an oily secretion at the eyelid margin; this delays evaporation of tears and discourages spilling of excess tears.

B9780702033957000067/f06-51-9780702033957.jpg is missing

Figure 6.51

Left orbital septum and tarsal plates.

The thin skin of the eyelids is adherent to the margins of the palpebral fissure where it becomes continuous with the conjunctiva. The eyelashes are located here; they do not possess arrector pili muscles. Sebaceous glands open into each hair follicle. Ciliary glands (modified sweat glands) between the follicles open on to the eyelid margin. A hordeolum, or stye, is an infection of these glands.

Movements. The lower lid possesses very little mobility, the upper lid a great deal. The lids are closed gently by the palpebral fibres and forcibly when the orbital fibres of the orbicularis oculi join in (see p. 350). The lids are opened in the ordinary way by levator palpebrae superioris (see p. 401). The levators hold the lids open while the orbital fibres of orbicularis are contracting to lower the eyebrows as a pair of sun visors. The sun visors can be brought together by corrugator supercilii, causing (unwanted) vertical wrinkles between them. This small muscle arises medially from the frontal bone and passes laterally through orbicularis to skin above the middle of the supraorbital margin.

The conjunctiva is a transparent membrane attached to the sclera at the margins of the cornea, with which it blends. It is loosely attached elsewhere over the anterior part of the sclera and thence reflected to the inner surfaces of the eyelids. It is firmly attached to the tarsal plates and blends with the skin at the margins of the lids. The subtarsal sulcus is a shallow groove on the back of the lids, about 2mm from the margin, where foreign bodies tend to lodge. The conjunctival epithelium is stratified columnar, except near the eyelid margin and close to the corneoscleral junction, where it changes to non-keratinized stratified squamous. Mucus-secreting goblet cells are scattered in the conjunctival epithelium and small accessory lacrimal glands are scattered in the subconjunctival connective tissue.

The blood supply of the eyelids is from the medial palpebral branches of the ophthalmic artery and the lateral palpebral branches of the lacrimal artery (branch of ophthalmic), which form a pair of arcades in each lid. The palpebral (eyelid) conjunctiva is very vascular (hence the pink colour); the bulbar (ocular) is only slightly vascular and is transparent. The venous drainage of the lids is to ophthalmic and angular veins. Lymphatic drainage from the lateral two-thirds of the lids (and lacrimal gland) is to preauricular nodes, and from the medial third to submandibular nodes.

The skin of the upper lid receives nerve supply from the lacrimal, supraorbital, supratrochlear and infratrochlear nerves, and that of the lower lid from the infraorbital nerve. The same nerves supply the corresponding palpebral and bulbar conjunctiva. The cornea has a separate supply from the long and short ciliary nerves (see p. 403).

Lacrimal apparatus

The production of tears and the removal of excess tears is the function of the lacrimal apparatus, which consists of the lacrimal gland, lacrimal canaliculi, lacrimal sac and the nasolacrimal duct.

Lacrimal gland

This is a serous gland with a large orbital and a small palpebral part. The orbital part lies in the lacrimal fossa on the lateral part of the roof of the orbit, above the lateral part of the aponeurotic tendon of levator palpebrae superioris. The gland curls round the lateral margin of the tendon and the palpebral part is visible through the superior fornix of the conjunctiva. The gland drains by a dozen ducts that run from the palpebral part into the lateral extent of the superior fornix. Closure of the eyelids begins at the lateral side of the upper lid and moves medially, so spreading tears across the eye. Under normal conditions the lacrimal gland secretes just enough tears to replace those lost by evaporation. Secretomotor fibres from the superior salivary nucleus travel in the greater petrosal nerve and relay in the pterygopalatine ganglion. The postganglionic fibres run with the zygomatic branch of the maxillary nerve, and reach the gland via an anastomotic connection between its zygomaticotemporal branch and the lacrimal nerve.

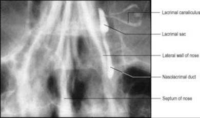
At the medial end of each lid margin is a low elevation, the lacrimal papilla, surmounted by a minute lacrimal punctum. This opens into a lacrimal canaliculus, a tiny canal which conveys excessive tears to the lacrimal sac (Fig. 6.52).

B9780702033957000067/f06-52-9780702033957.jpg is missing

Figure 6.52

Magnified view of a left dacrocystogram (lacrimal canaliculogram).

The lacrimal sac lies in the lacrimal groove formed by the maxilla and lacrimal bone, crossed in front by the medial palpebral ligament, and some deeper fibres of orbicularis oculi are inserted into the walls of the sac (see p. 350). When the palpebral and lacrimal parts of orbicularis oculi contract, the lids are closed and the puncta turned inwards to dip into the lacus lacrimalis. Simultaneously the sac is drawn widely open, so that tears are sucked in through the canaliculi.

The nasolacrimal duct, 2cm long, slopes downwards, backwards and laterally, in conformity with the pear-shaped nasal cavity, to open high up in the anterior part of the inferior meatus 2cm behind the nostril. The mucous membrane is raised into several variable folds which act as valves to prevent air being blown up the duct into the lacrimal sac. The duct and sac are lined by ciliated columnar epithelium.

Muscles of the orbit

The eyeball is moved by extrinsic or extraocular muscles: four rectus (superior and inferior, medial and lateral) and two oblique (superior and inferior). The orbit also contains the levator palpebrae superioris for moving the upper lid.

The two eyes face forwards and the long axes of the eyes lie in the sagittal plane, parallel with each other and with the medial walls of the orbits, but the lateral walls slope backwards and medially, making a right angle with each other. The optic nerve and ocular muscles come from the apex of the orbit, at the back of the medial wall, and pass forwards and laterally to their ocular attachments. The actions of the superior and inferior recti are therefore not ‘straight’, despite their names. Hence the need for two oblique muscles, to act in concert with these two recti and produce direct upward and downward movements of the eyes.

The superior orbital fissure is retort-shaped, with the broad end medially (Fig. 6.50). A common tendinous ring surrounds the ‘bulb of the retort’ and the optic canal (Fig. 6.53). It is attached to a small bony projection on the inferior margin of the fissure, and is adherent to the dural sheath of the optic nerve. From the ring the four recti arise; from the bone above the ring the levator palpebrae superioris and the superior oblique take origin. As these muscles pass forwards from the apex of the orbit they broaden out, to form a cone of muscles around the eye. Many nerves pass through the superior orbital fissure (Fig. 6.29). Three pass through the lateral part, outside the fibrous ring, and they remain outside the cone of muscles. They are the lacrimal, frontal and trochlear nerves. The rest of the lateral part of the fissure is closed by the fibrous layer of the dura mater of the middle cranial fossa. The nerves that pass through the tendinous ring and enter the cone of muscles are the oculomotor, abducens and nasociliary. Only the posterior and anterior ethmoidal and infratrochlear branches of the nasociliary nerve come out of the cone.

B9780702033957000067/f06-53-9780702033957.jpg is missing

Figure 6.53

Diagram of the tendinous ring muscle attachments, and of structures passing through the superior orbital fissure and optic canal.

Levator palpebrae superioris arises from the undersurface of the lesser wing of the sphenoid at the apex of the orbit. It is a flat muscle that broadens as it passes forwards (Fig. 6.54). The thick frontal nerve lies on its upper surface, dividing towards the front of the orbit into its supraorbital and supratrochlear branches. At the anterior end the muscle forms an aponeurotic tendon that is widened on each side up to a crescentic margin. This broad tendon penetrates the orbital septum and is inserted into the front of the superior tarsal plate (Fig. 6.55). Some fibres are attached to the skin of the upper lid. A thin sheet of smooth muscle lies beneath the main tendon and is inserted into the upper margin of the tarsal plate.

B9780702033957000067/f06-54-9780702033957.jpg is missing

Figure 6.54

Right orbit. Dissection from above after removal of the roof (part of the anterior cranial fossa).

B9780702033957000067/f06-55-9780702033957.jpg is missing

Figure 6.55

Sagittal section of the right orbit.

The superior division of the oculomotor nerve supplies the muscle. The branch either pierces the superior rectus or passes on its medial side to enter the lower surface of the levator. The nerve also carries postganglionic sympathetic fibres (from the superior cervical ganglion, via the internal carotid plexus) for the smooth muscle part.

The muscle opens the eye by elevating the upper lid. Complete oculomotor palsy causes complete ptosis (drooping of the upper lid); division of the cervical sympathetic chain causes partial ptosis.

The superior, medial, inferior and lateral rectus muscles arise from the common tendinous ring. The superior and medial recti also have origin from the dural sheath of the optic nerve. The superior, inferior and lateral muscles pass forwards and laterally, the medial directly forwards. They all pierce the fascial sheath of the eyeball and are inserted into the sclera anterior to the coronal equator of the eye.

The superior oblique arises from the body of the sphenoid, passes forward above the medial rectus (Fig. 6.54) and gives way to a slender tendon (Fig. 6.104), which passes through the trochlea (where it is lubricated by a synovial sheath). It then turns backwards and laterally to pierce the fascial sheath and pass under the superior rectus to be inserted into the posterosuperior lateral quadrant of the sclera (i.e. behind the coronal equator of the eye). The trochlea(pulley) is a loop of fibrocartilage attached to the trochlear fossa of the frontal bone just behind the orbital margin.

The inferior oblique arises from the maxilla on the floor of the orbit, near the anterior margin. The muscle passes obliquely backwards and laterally below inferior rectus (Fig. 6.56) and then curves upwards deep to lateral rectus to be attached to the posteroinferior lateral quadrant of the sclera (i.e. behind the coronal equator of the eye).

B9780702033957000067/f06-56-9780702033957.jpg is missing

Figure 6.56

Nerves of the right orbit and the ciliary ganglion: lateral aspect.

A mock ‘chemical formula’ is an aid to memorizing the nerve supplies of the eye muscles: LR6SO4. This signifies that the Lateral Rectus is supplied by the sixth (abducens) nerve, the Superior Oblique by the fourth (trochlear) nerve. All the other muscles (superior, medial and inferior rectus and inferior oblique) are supplied by the third (oculomotor) nerve. The nerves all enter the ocular surfaces of the respective muscles, except the trochlear which enters the superior surface of superior oblique. Because of the decussation of fibres in the midbrain (see p. 477), the trochlear nerve nucleus of one side supplies the superior oblique of the eye of the opposite side.

The actions of the muscles that move the eyes are considered below.

Fascial sheath of the eye

A thin fascial sheath of the eye (fascia bulbi or Tenon's capsule) closely surrounds the eyeball and separates it from orbital fat. Anteriorly the sheath is attached to the sclera just behind the corneoscleral junction. Posteriorly the sheath is pierced by ciliary vessels and nerves, and fuses with the sclera and the dura around the optic nerve at its attachment to the eye. The sheath is pierced by the tendons of the four recti and two obliques and is reflected as a sleeve proximally (i.e. away from the eye) around each tendon. Triangular expansions from the sleeves of the medial and lateral recti form the medial and lateral check ligaments, which are attached respectively to the lacrimal and zygomatic bones. The sleeve of the inferior rectus is thickened on its underside and blends with the sleeve of the inferior oblique as well as with the check ligaments, forming a hammock-like support for the eye, the suspensory ligament (of Lockwood). If the suspensory ligament remains intact when the floor of the orbit is fractured, or the maxilla removed surgically, the eye does not sag. Double vision (diplopia) following a blow-out fracture of the orbital floor is usually due to entrapment of the inferior rectus.

Nerves of the orbit

The optic nerve enters the orbit through the optic canal, accompanied by the ophthalmic artery below and lateral to the nerve. The nerve is really an extension of the white matter of the brain; it is covered by pia, arachnoid and dura mater as far as the back of the eye. Its length in the orbit is 25mm. It curves laterally and downwards as it passes forwards to meet the sclera 3mm medial to the posterior pole. The central artery and vein of the retina pierce the nerve about halfway along its course to the eye. After passing within the fibrous ring, the optic nerve is usually crossed above from lateral to medial by the ophthalmic artery, with the nasociliary nerve and the superior ophthalmic vein behind the artery. The ciliary ganglion (see below) lies on the lateral side of the optic nerve one-third of the way from optic canal to eye, and the anterior part of the nerve is closely surrounded by the short ciliary nerves and vessels.

The continuation of the subarachnoid space around the optic nerve accounts for the appearance of papilloedema in increased intracranial pressure.

The infraorbital nerve enters the orbit through the inferior orbital fissure accompanied by the zygomatic nerve and infraorbital artery. The infraorbital nerve and artery occupy the groove in the posterior part of the orbital floor. Both enter the infraorbital canal and proceed to the face, also supplying the maxillary sinus and some upper teeth (see p. 376).

The zygomatic nerve passes along the lateral wall and divides into its zygomaticotemporal and zygomaticofacial branches. The former gives a communicating branch to the lacrimal nerve, so providing the secretomotor fibres for the lacrimal gland, and traverses a canal in the zygomatic bone to enter the infratemporal fossa; the latter traverses a separate canal to emerge on the face.

The lacrimal, frontal and trochlear nerves enter the orbit through the superior orbital fissure, outside the tendinous ring (Figs 6.53 and 6.54).

The lacrimal nerve, the smallest of the three main branches of the ophthalmic, runs forward on the lateral wall of the orbit along the upper border of the lateral rectus muscle. It picks up a secretomotor branch from the zygomaticotemporal nerve which it gives off to the lacrimal gland. It pierces the orbital septum to supply both surfaces of the conjunctiva in the upper fornix and the skin of the outer part of the upper lid.

The frontal nerve is the large main branch of the ophthalmic nerve which runs straight forward above the levator muscle in contact with the periosteum of the orbital roof. It divides into the small supratrochlear and (laterally) the large supraorbital nerves which pass to the forehead.

The trochlear nerve (fourth cranial), lying medial to the frontal nerve, passes forward and sinks into the superior oblique muscle (Fig. 6.54).

The oculomotor nerve enters the tendinous ring in two divisions, superior and inferior, with the nasociliary nerve between them and the abducent nerve below all three (Figs 6.53 and 6.29).

The superior division of the oculomotor nerve (third cranial) runs forwards above the optic nerve and supplies the overlying superior rectus and levator palpebrae muscles. It carries sympathetic fibres from the internal carotid cavernous plexus to the smooth muscle part of the levator.

The inferior division of the oculomotor nerve is larger; it gives off the nerve to the inferior rectus and the nerve to the medial rectus, which passes below the optic nerve to reach that muscle. The rest of the inferior division continues as the nerve to the inferior oblique; it gives off the parasympathetic root to the ciliary ganglion (Fig. 6.56).

The abducens nerve (sixth cranial) simply passes forward, diverging away from the optic nerve, and enters the lateral rectus muscle (Fig. 6.29).

The nasociliary nerve, the third branch of the ophthalmic, runs forward and then crosses from lateral to medial above the optic nerve (Fig. 6.56) and behind the ophthalmic artery to approach the medial wall of the orbit. Here it becomes the anterior ethmoidal by entering the anterior ethmoidal foramen (Fig. 6.104), under the frontal bone and above the ethmoidal labyrinth; it then runs forward in a groove on the cribriform plate and enters the nose through a slit at the side of the crista galli. Before entering the foramen, the nasociliary gives off the infratrochlear nerve which passes forward on the medial wall of the orbit just below the trochlea, supplies the lacrimal sac and conjunctiva, and continues above the medial palpebral ligament to skin of the upper lid and bridge of the nose.

The nasociliary nerve gives off the posterior ethmoidal nerve, which leaves the orbit through the posterior ethmoidal foramen to supply the posterior ethmoidal and sphenoidal air sinuses.

The nasociliary nerve also gives off a sensory branch to the ciliary ganglion, and a pair of long ciliary nerves which pierce the sclera medial to the short ciliary nerves. The long ciliary nerves supply the ciliary body, iris and cornea, and carry postganglionic sympathetic fibres from the superior cervical ganglion (derived from the internal carotid plexus) for the dilator pupillae.

The ciliary ganglion is a minute body (2mm diameter) lying on the lateral side of the optic nerve (Fig. 6.56), between the nerve and the lateral rectus. Three roots enter its posterior end (see Fig. 1.15, p. 21). The sensory root is a branch of the nasociliary nerve and passes through the ganglion without relay to supply the eye, but not the conjunctiva. The sympathetic root is a branch from the internal carotid plexus, which enters through the fibrous ring and passes through the ganglion without relay, carrying vasoconstrictor fibres to the vessels of the eye. The parasympathetic root is from the nerve to the inferior oblique, the cell bodies being in the Edinger–Westphal nucleus (see p. 477); the fibres relay in the ganglion and supply the ciliary body (for accommodation) and the sphincter pupillae. The branches of the ganglion are the 8–10 short ciliary nerves, which contain fibres from all three roots of the ganglion. The nerves pierce the back of the sclera around the attachment of the optic nerve.

Vessels of the orbit

The ophthalmic artery is a branch of the internal carotid given off as the vessel emerges from the roof of the cavernous sinus. It passes through the optic canal, inferolateral to the optic nerve and within its dural sheath. In the orbit it pierces the dura and spirals around the lateral side of the optic nerve to pass forwards above the nerve, anterior to the nasociliary nerve. Its many branches accompany all the branches of the nasociliary, the frontal and the lacrimal nerves. Thus it supplies the ethmoidal air cells, nasal cavity, external nose, eyelids and forehead, in all of which places its branches anastomose with branches of the external carotid, establishing connections between internal and external carotid systems.

Within the orbit the ophthalmic artery supplies all the extraocular muscles, the lacrimal gland and the eye. This last is by two sets of vessels. The central artery supplies the optic nerve and retina, while the posterior ciliary arteriespierce the sclera to enter the choroid coat of the eye. Choroidal capillaries supply the outer layers of the retinae, but there is no anastomosis between the two sets of vessels; the central artery is an end artery. Anterior ciliary arteries, from the muscular branches to the recti, pierce the anterior part of the eye.

Two ophthalmic veins drain the orbit and receive tributaries that correspond in the main with the branches of the ophthalmic artery. The superior ophthalmic vein commences above the medial palpebral ligament and passes back above the optic nerve to drain into the cavernous sinus through the superior orbital fissure. It communicates at its commencement with the angular vein. The inferior ophthalmic vein commences at the front of the orbital floor and runs back to drain through the inferior orbital fissure into the pterygoid plexus and either directly into the cavernous sinus through the superior orbital fissure or by joining the superior ophthalmic vein.

There are no lymphatics in the eyeball. The lymphatics of the eyelids drain with those of the face.

Movement of the eyes

Normal binocular vision depends on the properly coordinated activity of the 12 muscles that move the two eyes. Three of the rectus muscles—medial, superior and inferior—are concerned with turning the eye in, and the lateral rectus and the two obliques turn it out.

The actions of the medial and lateral recti are simple. Each lies in a horizontal plane and turns the eye in or out respectively. There are no secondary movements.

The actions of the superior and inferior recti and obliques are more complex. Each is inserted in front of the coronal equator, and the line of pull passes medial to the axis of rotation of the eye. Thus the superior rectus turns the eye up and in, and the inferior oblique turns it up and out; combined they produce a vertical upward movement, for their medial and lateral components cancel each other out. Similarly the inferior rectus turns the eye down and in, the superior oblique down and out; combined they turn it vertically down. Pure up and down movement is thus produced by one rectus acting with its oppositely named oblique (superior rectus and inferior oblique, inferior rectus and superior oblique).

On account of the concurrent action of the superior and inferior recti, the elevating action of the inferior oblique and the depressing action of the superior oblique only become independently demonstrable when the eye is turned in; the more the eye is turned out, the less is their contribution to the up or down movement. Hence the function of the trochlear nerve (action of superior oblique) is tested by asking the subject to look downwards and inwards at the tip of the nose. Similarly the elevating and depressing actions of the superior and inferior recti are best demonstrated when the eye is turned out.

The obliquity of pull of the superior and inferior recti and obliques produces a certain amount of torsion or wheel rotation of the eye around an anteroposterior axis. Thus, as viewed by an observer from the front, 12 o'clock on the right cornea rotates to 1 o'clock (intorsion) by the action of superior rectus and oblique, or to 11 o'clock (extorsion) by the action of inferior rectus and oblique.

Control of conjugate gaze

Moving the eyes from side to side implies turning one eye in and the other out; this is conjugate horizontal gaze and, if looking to the left for example, depends essentially on the coordinated activity of the left lateral rectus and right medial rectus. The neural pathways (Fig. 6.57) involve fibres from the visual cortex to the frontal eye field in the middle frontal gyrus, from which fibres pass to a region of the reticular formation of the opposite side adjacent to the abducens nucleus in the pons, the pontine paramedian reticular formation. From here some fibres pass to the abducens nucleus of the same side, so activating the lateral rectus of that eye; other fibres cross the midline to join the medial longitudinal fasciculus and run to the part of the oculomotor nucleus that controls the medial rectus of the other eye.

B9780702033957000067/f06-57-9780702033957.jpg is missing

Figure 6.57

Pathway for conjugate gaze. The para-abducent nucleus (pontine paramedian reticular formation) projects to the abducens nucleus of the same side and the oculomotor nucleus of the opposite side.

Similar pathways for control of conjugate vertical gaze involve the oculomotor and trochlear nuclei and a rostral interstitial nucleus of the medial longitudinal fasciculus in the midbrain.

Ocular nerve paralyses

Each complete nerve lesion produces a characteristic pattern of strabismus (squint) and diplopia (Fig. 6.58). The simplest nerve lesion is that of the sixth nerve (abducens). The eye cannot look outwards due to paralysis of the lateral rectus (Fig. 6.58A) and, when trying to look straight ahead, it is turned in by the unopposed action of the medial, superior and inferior recti (oculomotor nerve).

B9780702033957000067/f06-58-9780702033957.jpg is missing

Figure 6.58

Position of the right eye in right ocular nerve paralyses, when attempting to look in the direction of the arrow in A and B, and looking forward in C. A Abducens nerve; B trochlear nerve; C oculomotor nerve.

With a fourth nerve paralysis (trochlear), the eye cannot look downwards as far as it should when the eye is turned in (Fig. 6.58B) because of the superior oblique paralysis, so that the patient complains of diplopia when reading or difficulty going down stairs. There is also some degree of extorsion, because the superior oblique which normally produces intorsion is not available to counteract the extorting effect of the inferior oblique. To compensate for the extorsion, the patient characteristically tilts the head towards the opposite shoulder, in order to bring (for example in a right fourth nerve palsy) the 11 o'clock position on the cornea up to 12 o'clock; at the same time the good eye (the left in this example) uses its intact control mechanisms to produce intorsion.

With a third nerve lesion (oculomotor), the most obvious feature is ptosis of the upper lid due to paralysis of the levator. When the lid is manually lifted up, the eye is seen to be looking down and out (Fig. 6.58C) due to the unopposed actions of the lateral rectus (sixth nerve) and superior oblique (fourth nerve). The eye cannot be turned up, in or further down due to paralysis of the superior, medial and inferior recti, but on looking outwards the diplopia will disappear because the lateral rectus (sixth nerve) is acting normally. The pupil is dilated and does not react to light or on accommodation, due to interruption of the parasympathetic fibres that run in the oculomotor nerve (see p. 407) though the consensual reflex in the opposite eye is preserved.

Structure of the eye

The eye contains the light-sensitive retina and, like a camera, it is provided with a lens system for focusing images (the cornea, lens and refractive media) and with means of controlling the amount of light admitted (the iris diaphragm). Like a camera, its inside is black to prevent internal reflections. The relatively large area behind the lens is occupied by the vitreous body. In front of the lens is the small area filled by aqueous humour and incompletely divided into anterior and posterior chambers by the iris. The space bounded by the inner margin of the iris is the pupil.

The wall of the eye, enclosing the refractive media, is made up of three coats. The outer coat is fibrous and consists of the sclera and cornea; a vascular coat (the choroid, ciliary body and iris) intervenes between this and the innermost nervous coat (the retina). The sclera can be regarded as a cup-like expansion of the dural sheath of the optic nerve. The choroid, similarly, is an expansion of the arachnoid and pia, the retina being an expansion of the white matter of the brain (optic nerve).

Fibrous coat

The sclera is the posterior five-sixths of the outer coat of the eyeball. The sclera is opaque (the ‘white’ of the eye) and consists of dense collagen fibres, interspersed with elastic fibres. It is thinnest at the coronal equator and where it is pierced by the recti. It is thickest at the back but weakest at the entrance of the optic nerve, whose perforating fibres give it a sieve-like appearance, the lamina cribrosa. If a sustained increase of intraocular pressure occurs (chronic glaucoma) the lamina cribrosa yields and bulges posteriorly (‘cupping’ of the disc).

The sheath of dura mater around the optic nerve blends with the sclera. The sclera receives the insertions of the ocular muscles. It is pierced by the ciliary nerves and arteries around the entrance of the optic nerve, and by the venae vorticosae (the choroid veins) just behind the coronal equator. The anterior ciliary arteries (from muscular branches to the recti) perforate the sclera near the corneoscleral junction.

The fascial sheath of the eye and the bulbar conjunctiva are connected to the sclera by loose connective tissue, which is vascular under the conjunctiva; engorgement of these vessels produces a circumcorneal injection indicative of inflammation within the eye. The rest of the sclera is almost avascular.

Just behind the corneoscleral junction, within the sclera is a circularly running canal, the sinus venosus sclerae (canal of Schlemm) (Fig. 6.59). Posterior to the canal is a triangular projection, the scleral spur, pointing forwards and inwards, to which the ciliary muscle is attached. The canal is lined with endothelium. Aqueous humour from the anterior chamber filters into the canal through trabecular tissue on its anterior wall. The canal is connected with anterior scleral veins, into which it drains.

B9780702033957000067/f06-59-9780702033957.jpg is missing

Figure 6.59

Section through the eye in the region of the corneoscleral junction.

Anteriorly the cornea is continuous with the sclera (Fig. 6.59), with the difference that its laminae of fibrous tissue are transparent instead of opaque white. It bulges forward from the sclera at the corneoscleral junction or limbus, being the segment of a smaller sphere. It occupies the anterior one-sixth of the eye and is completely avascular. At the limbus the conjunctival epithelium becomes continuous with the corneal epithelium, which is a very regular stratified squamous type of about five layers of cells. It is separated from the corneal stroma by the anterior limiting layer (Bowman's membrane), a homogeneous layer with scattered collagen fibrils and much ground substance.

The corneal stroma or substantia propria consists of over 200 lamellae of collagen fibrils, with scattered fibroblasts. The transparency is due to the precise lattice arrangement of its lamellae embedded in a ground substance. The normal lack of vascularity (and of lymph vessels) accounts for the success of corneal grafts, which are thus not invaded by T lymphocytes. The inner surface of the stroma lies against the posterior limiting layer (Descemet's membrane), which is the basement membrane of the innermost single layer of corneal endothelium.

The cornea is supplied by the short (mainly) and long ciliary nerves. The corneal reflex is elicited clinically by the gentlest touching of the cornea (not the conjunctiva) with a wisp of cotton wool; both eyes should shut. The pathway is via the trigeminal ganglion to the main sensory nucleus, whence impulses pass by way of the reticular formation to reach both facial nerve nuclei and so stimulate both orbicularis oculi to close the lids on both sides.

Vascular coat

The intermediate coat of the eye, frequently known as the uveal tract, consists of a continuum of vascular tissue which is made up of the choroid, the ciliary body and iris.

The choroid is a thin, pigmented layer lining the inner surface of the sclera, with the delicate connective tissue of the suprachoroid lamina intervening. Anteriorly it merges into the ciliary body (Fig. 6.59). Posteriorly it is perforated by the optic nerve, to which it is firmly attached. Its inner surface is firmly attached to the pigment layer of the retina, and the choroid capillaries provide nutrition for the rods and cones of the retina. The veins collect into four or five large venae vorticosae, which pass through the sclera just behind the coronal equator.

The ciliary body is continuous with the choroid behind, and the iris in front. It lies as a flat ring applied to the inner surface of the sclera. Being thicker in front and thinner behind, the ciliary body appears triangular in section. The two long sides of the triangle are in contact with the sclera externally and the vitreous body internally. The periphery of the iris is attached halfway along the short anterior base of the triangle. The scleral surface of the ciliary body contains the ciliary muscle. The vitreous surface of the ciliary body is lined by two layers of epithelium. The outer layer is pigmented and the inner layer non-pigmented; they respectively represent the pigmented layer and the nervous part of the retina. This surface appears smooth where it is continuous with the choroid at the ora serrata, but further forward this surface is projected into 70–80 small ciliary processes which lie in reciprocal grooves on the anterior surface of the vitreous body.

The ciliary muscle consists of smooth muscle; its function is to focus the lens for near vision. Its outermost fibres are longitudinal and pass back into the stroma of the choroid; the innermost are circular and run circumferentially near the periphery of the lens. Between the two are radial fibres which radiate in from the scleral spur. Contraction of the ciliary muscle relaxes the suspensory ligament, allowing the lens to bulge and focus near objects on the retina. The muscle is supplied from the Edinger–Westphal part of the oculomotor nucleus in the midbrain, by fibres which relay in the ciliary ganglion and enter the eye in the short ciliary nerves.

The iris is attached at its periphery to the middle of the anterior surface of the ciliary body; peripheral to this attachment the ciliary body itself and a narrow rim of sclera form the iridocorneal angle of the anterior chamber (Fig. 6.59). From its peripheral attachment the iris is pushed slightly forwards, in the form of a very low cone, by contact with the anterior convexity of the lens. The iris is perforated centrally by the pupil, the varying size of which controls the amount of light entering the eye.

The main bulk of the iris is made up of vascular connective tissue in which melanocytes are present. Behind the stroma are two epithelial layers. The cells of the anterior layer contain few melanin granules, while those of the posterior layer are packed with melanin granules. The colour of the iris is determined by the amount of pigment in the iris. When pigment is lacking, as at birth, the iris is blue. As the amount of pigment cells increase the iris colour becomes darker. The colour of the pigment, too, varies in different individuals.

The sphincter pupillae is a circular band of smooth muscle lying in the stroma of the iris at the margin of the pupil. It is supplied, like the ciliary muscle, from the Edinger–Westphal part of the oculomotor nucleus. The dilator pupillae is a thin sheet of radial fibres of smooth muscle at the back of the stroma of the iris, extending from the ciliary body to the sphincter pupillae. It is supplied by the cervical sympathetic. The preganglionic cells lie in T1 segment of the spinal cord. The stroma of the iris and the sphincter and dilator muscles are derived from the neural crest (see p. 23).

Control of the pupil and reflexes

The size of the pupil depends on the interplay between the sphincter innervated by parasympathetic fibres and the dilator which receives a sympathetic supply. When a light is shone into one eye, the pupil of that eye constricts; this is the direct pupillary light reflex. The pupil of the other eye also constricts; this is the indirect or consensual light reflex. The neural pathway is as follows (Fig. 6.60). Some fibres of the optic tract bypass the lateral geniculate body by running in the superior brachium to reach the midbrain at the level of the superior colliculus and enter the pretectal nucleus. From there the cell bodies send their axons to the Edinger–Westphal nucleus, from which fibres reach the ciliary ganglion via the oculomotor nerve and its branch to the inferior oblique. The short ciliary nerves from the ganglion supply the sphincter pupillae. Because the pretectal nucleus sends fibres to the Edinger–Westphal nucleus of both sides, both pupils will constrict. The partial crossing of the fibres of one optic nerve in the optic chiasma also ensures that both pretectal nuclei are stimulated.

B9780702033957000067/f06-60-9780702033957.jpg is missing

Figure 6.60

Pathway for pupillary light reflexes.

Pathological studies indicate that in the main oculomotor nerve trunk the pupillary fibres lie on the surface of the nerve and have a blood supply from vessels of the nerve sheath, not from those of the nerve trunk. Thus these fibres may be affected by pressure (e.g. from an aneurysm of the posterior communicating artery) but not by infarction of the nerve trunk (as in diabetes).

The eye automatically focuses and converges for near vision, and this change in lens curvature is accompanied by pupillary constriction to sharpen the focus. These three components—accommodation, convergence and pupillary constriction—constitute the accommodation– convergence reflex, or near reflex. The changes accompany conscious vision: they involve cortical as well as subcortical pathways. From the visual cortex efferent fibres pass to the pretectal area and thence to the oculomotor nucleus including the Edinger–Westphal part, which by ciliary ganglion relay activates the ciliary muscle and the sphincter pupillae. Contraction of the ciliary muscle releases tension on the suspensory ligament of the lens, so allowing the lens by its own elasticity to thicken and focus for near vision. Accompanying the accommodation changes, the medial rectus muscle of each eye contracts to provide the necessary convergence for near vision.

The sympathetic path to the pupil is very long (Fig. 6.61). From cells in the hypothalamus (whose cortical control is uncertain), fibres run down through the brainstem and spinal cord to lateral horn cells in T1 segment of the cord. Preganglionic fibres enter the sympathetic trunk via the white ramus communicans of T1 nerve and pass up to the superior cervical ganglion. From there postganglionic fibres accompany the internal carotid artery into the skull and cavernous sinus, leaving the artery to join the ophthalmic nerve and become distributed to the eye by the nasociliary and its long ciliary branches.

B9780702033957000067/f06-61-9780702033957.jpg is missing

Figure 6.61

Sympathetic pathway to the pupil.

Damage to any of the above fibres can interrupt this pathway. Thus such conditions as vascular or degenerative lesions of the brainstem or spinal cord, pressure on the T1 nerve root by a cervical rib, involvement of the sympathetic trunk by carcinoma of the lung, thyroid or oesophagus, or metastatic lymph nodes, may give rise to Horner's syndrome. The characteristic features include slight constriction of the pupil (due to unopposed parasympathetic activity and really a failure of dilatation) but which still reacts to light and accommodation, partial ptosis (due to paralysis of the smooth muscle part of levator palpebrae) and reduction of sweating on the forehead or a larger area of the head (unless the lesion is above the superior cervical ganglion, when there is no loss of sweating).

Nervous coat

The retina is the delicate innermost membrane of the eye. Its outer surface is attached to the choroid, and its inner surface is in contact with the vitreous body. The light-sensitive area ends abruptly, halfway between equator and corneoscleral junction, at a dentate line, the ora serrata. Forward of this a thin insensitive layer passes on in continuity as the epithelial layers of the ciliary body and iris. At the entrance of the optic nerve is a circular pale area, 1.5mm in diameter; this is the optic disc. It overlies the lamina cribrosa of the sclera. The optic disc is excavated to a variable degree, producing the physiological cup. There are no rods or cones in the optic disc, hence it is insensitive to light: the ‘blind spot’. The disc and whole surrounding area of the back of the eye as seen with the ophthalmoscope constitute the fundus of the eye.

At the posterior pole of the eye (3mm lateral to the optic disc) is a shallow depression; it is completely free of blood vessels and is yellowish, hence called the macula lutea. In the centre of the macula is a shallow pit, the fovea centralis, of comparable size to the disc. This is the thinnest part of the retina. There are no blood vessels and no rods here, but there is a high concentration of cones. It is the area of the most acute vision.

The outer layer of the retina consists of a single layer of pigmented epithelial cells firmly attached to the choroid. Next to this layer lie the light receptors (the rods and cones), forming a layer less firmly attached to the pigment cells, so that in detachment of the retina the pigment cells remain in position while the rods and cones, with the other layers of the retina, become displaced inwards from them.

The physiological arrangement of the nervous elements is very similar to that in any other sensory pathway (e.g. in the spinal cord). From the sense receptor, the first neuron has its cell body peripherally placed (in the retina this is the bipolar cell). It leads by synapse to the second neuron (in the retina this is the ganglion cell) whose axon passes to the thalamus (in this case the lateral geniculate body) whence, after relay, the third neuron leads through the retrolentiform part of the internal capsule to the visual cortex (see Fig. 7.9, p. 465).

The light receptors are of two kinds, rods and cones. Only the rods contain the photoreceptor protein rhodopsin, or visual purple. (Cones contain related photo-sensitive pigments with different absorption properties.) Rods do not register colour, but are sensitive to dim light (scotopic vision). The periphery of the retina contains rods only. Several rods by their bipolar cells share one ganglion cell (from which one axon passes to the lateral geniculate body). They are of low threshold; together they ‘whisper up the line’ to the thalamus and cortex. The cones have a higher threshold (photopicvision) and they register colour. Cones alone occupy the fovea centralis. Beyond this they share equally with the rods, but they fall short of the periphery of the retina. Each cone is connected to a separate ganglion cell; alone it ‘shouts up the line’ to the thalamus and cortex.

Customarily 10 retinal layers are distinguished from outside inwards; they are as follows:

1. Pigment epithelium

2. Rods and cones (processes)

3. External limiting lamina

4. Outer nuclear layer (rod and cone cell bodies with their nuclei)

5. Outer plexiform layer

6. Inner nuclear layer (bipolar cells)

7. Inner plexiform layer

8. Ganglion cell layer

9. Nerve fibre layer (axons of ganglion cells which pass into the optic nerve at the disc)

10. Inner limiting lamina.

The central artery of the retina passes through the lamina cribrosa within the optic nerve and in the optic disc divides into an upper and lower branch. Each gives off nasal and temporal branches. The upper and lower temporal branches curve up and down respectively to clear the macula lutea. The branches of the central artery are end arteries. They supply the neurons (bipolar and ganglion cells) of the retina. The light receptors (rods and cones and their nuclei in the outer nuclear layer) are supplied by diffusion from the capillaries of the choroid. The retinal veins run with the branches of the central artery. The central vein leaves via the optic disc and emerges from the optic nerve and its coverings to join the superior ophthalmic vein.

Development. The retina is developed from a hollow outgrowth, the optic vesicle, which protrudes from the cerebral vesicle. The optic vesicle becomes invaginated to form the optic cup, consisting of two layers of cells. The outer layer differentiates to form the pigment cell layer. The inner layer forms the remaining layers of the retina with the rods and cones outermost (next to the pigment cells). The ganglion cells and their axons are innermost; light has therefore to pass through them to activate the receptors.

Refracting media

Most of the refraction of light takes place at the junction of air and corneal epithelium. Beyond the cornea light passes through the aqueous humour, the lens and vitreous body to reach the retina.

The aqueous humour is a clear fluid that lies between the back of the cornea and the front of the lens. The space is divided by the iris into anterior and posterior chambers, which communicate with each other through the pupil (Fig. 6.62). The anterior chamber is 3mm deep centrally. Aqueous humour is produced by the ciliary processes by diffusion from the capillaries and transported by the ciliary epithelium into the posterior chamber; it passes through the pupil into the anterior chamber. At the margin of the anterior chamber is the iridocorneal angle (see p. 407) and here aqueous humour filters through trabecular tissue into the canal of Schlemm (see p. 405). Obliteration of the angle therefore prevents absorption of aqueous humour, with consequent rise of intraocular tension, leading to the condition of glaucoma. Aqueous humour is an avenue for nutrients and metabolic exchange for the avascular cornea and lens.

The posterior chamber is bounded in front by the iris and behind by the lens and its suspensory ligament. It is triangular in cross-section (pupil and lens in contact with each other forming the apex of the triangle). The base of this triangle is formed by the ciliary processes. Aqueous humour lies between the fibres of the suspensory ligament as far back as the anterior surface of the vitreous.

The lens is a transparent biconvex body enclosed in a transparent elastic capsule. It is 10mm in diameter and 4mm thick. Its posterior surface, resting on the vitreous, is more highly convex than the anterior. The latter surface is in contact with the pupillary margin of the iris. The lens capsule is an elastic membrane that envelops the whole lens. The capsular epithelium lies anteriorly, deep to the capsule. Centrally it is a single layer of cubical cells, but more peripherally the cells elongate to produce fibres which, by their accumulation, make up the lens substance.

The suspensory ligament of the lens, or zonule, is a series of delicate fibrils attached to the ciliary processes and, through the furrows between them, further back on the ciliary body. The fibres pass centrally to attach themselves to the lens, mostly in front of, but a few behind, the circumference. In the rest position they hold the lens flattened under tension; when relaxed by contraction of the ciliary muscle, elasticity of the lens causes its anterior surface to bulge, so thickening it (as in accommodation, see p. 407).

The vitreous body is a colourless, jelly-like mass which occupies the posterior four-fifths of the eyeball. It comprises about 99% water and a sparse cellular and fibrous content. It is indented in front by the posterior convexity of the lens and, beyond this, has radial furrows reciprocal with the ciliary processes. It is traversed from the front towards the optic disc by the tiny hyaloid canal, the site of the embryonic hyaloid artery. The vitreous body is attached to the optic disc and just in front of the ora serrata; elsewhere it lies free, in contact with the retina.



If you find an error or have any questions, please email us at admin@doctorlib.org. Thank you!