Atlas of Transesophageal Echocardiography, 2nd Edition (2007)

Chapter 8.2. Transesophageal Sequential Analysis of Cardiovascular Segments in Diagnosis of Complex Congenital Heart Disease

Jesus Vargas-Barron

Clara Andrea Vazquez-Antona

Angel Romero-Cardenas

Francisco-Javier Roldan

Julio Erdmenger Orellana

Navin C. Nanda

Echocardiographic diagnosis of complex congenital heart disease requires a systematized study that is most logical if based on the sequential identification of the principal cardiovascular segments. It is advisable to begin the echocardiographic exploration with an evaluation of the atrial segments, followed by the ventricles and, finally, the great vessels. With the information obtained it is possible to define the types of intersegmental connections, that is, atrioventricular (A–V) and ventriculoarterial (V–A) connections.

When the atrial segment is examined, situs should be determined. Atrial situs indicates the morphology of the atria. When the atria have different morphologies, situs is solitus or inversus. The situation in which both atria have the same morphology is known as right or left atrial isomerism.

There are various methods of recognizing atrial situs, such as electrocardiography and, particularly, through bronchial morphology as observed in radiologic studies. Examination of other viscera, specifically the main lobe of the liver, is of no value, because in about half of the patients with complex congenital heart disease there is a discrepancy between atrial situs and visceral situs.

At present, the identification of atrial situs is considered reliable if it is based on a morphologic examination of the atrial appendages. Transesophageal echocardiography has facilitated the noninvasive diagnosis of atrial situs by permitting visualization of the appendages and of systemic and pulmonary venous return or other anatomic signs originating from embryonic remains.

There are four possible variants of atrial situs: (a) situs solitus, in which the morphologically right atrium is found on the right and the morphologically left atrium on the left; (b) situs inversus, in which the right atrium is located on the left and the left atrium on the right; and (c) right atrial isomerism or (d) left atrial isomerism, also known as situs ambiguous, in which both atria have a right or left morphology.

Once the atrial situs is determined, the ventricles must be identified to establish the A–V connection. Two well-developed ventricles can exist, or there may be one main ventricle and a rudimentary one, or, less frequently, a true single ventricle. When there are two well-developed ventricles, the tricuspid valve always accompanies the morphologically right ventricle and the mitral valve accompanies the morphologically left ventricle.

After the atrial and ventricular segments have been identified, the type of A–V connection can be established. The possible variations include the following: (a) concordant A–V connection, in which the right atrium is connected to the right ventricle and the left atrium to the left ventricle, regardless of their spatial relationships; (b) discordant A–V connection, in which the right atrium is connected to the left ventricle and vice versa; (c) ambiguous A–V connection, in which in the presence of right or left isomerism, the separate atrial cavities or a common atrial chamber connect with the two ventricles; (d) double ventricular inlet, in which the two atria are connected to the same ventricular cavity; and (e) absence of right or left A–V connection, in which a single A–V valve connects an atrium with the main ventricular cavity and the other atrium has no ventricular connection.

In addition to identifying the type of A–V connection, echocardiographic exploration helps define the mode of this connection. The connection between atria and ventricles can be made (a) by means of two perforate valves, (b) by one perforate valve and one imperforate valve, or (c) by an overriding and straddling A–V valve.

The next step is to identify the great vessels and establish the type of V–A connection. The identification of the great vessels can be achieved by examining their anatomy and trajectory as they emerge from the heart using two-dimensional imaging. The aorta continues cephalad, parallel to the sternum, until it reaches the aortic arch, from which the supra-aortic vessels originate. In contrast, the pulmonary artery has a short course, because it takes a posterior direction and rapidly bifurcates. The possible variations are as follows: (a) concordant V–A connection, in which the left ventricle is connected to the aorta and the right ventricle to the pulmonary artery; (b) discordant V–A connection, in which the left ventricle is connected to the pulmonary artery and the right ventricle to the aorta; (c) double ventricular outlet, in which both semilunar orifices are connected in >50% of their diameter with one ventricle, usually the morphologically right ventricle; and (d) univentricular outlet, in which a single artery emerges from the heart, as in the case of truncus arteriosus or pulmonary or aortic atresia.

Once the echocardiographic diagnosis of V–A connection has been established, the mode of connection—which can be with two perforate valves, with one perforate valve and one imperforate valve, with overriding valves, or with a common valve—should also be clarified.

The rest of this chapter discusses the use of transesophageal echocardiography in the study of congenital malformations of the heart, using sequential segmental diagnosis in the description.

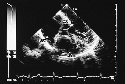
FIGURE 8.2.1. Situs solitus. Transverse plane image demonstrates the normal morphology of the right atrial appendage (RAA). AO, aorta; LA, left atrium; RV, right ventricle.

Atrial Situs

Situs Solitus

Transesophageal studies in transverse and longitudinal planes allow the identification of the cardiac structures and chambers.

The right atrial appendage has a triangular morphology with a large implantation base connecting it to the atrial cavity (1). (Fig. 8.2.1). In transverse plane images the crista terminalis of the right atrium can be seen as a prominence separating the appendage, with its pectineal musculature, from the smooth atrial portion (Fig. 8.2.1). The right atrium receives the systemic venous return, and the connection with the superior vena cava can be observed in progressive sections in the transverse plane (Fig. 8.2.2). It is possible to see the connections of both venae cavae with images in the longitudinal plane. Transgastric recordings show the connection of the suprahepatic veins to the inferior vena cava and its communication with the right atrium.

FIGURE 8.2.2. Situs solitus. In this transverse plane image the connection of the superior vena cava (SVC) to the right atrium can be observed. AO, aorta; LA, left atrium; RAA, right atrial appendage; RV, right ventricle.

FIGURE 8.2.3. Situs solitus. Transverse plane image of the four chambers with posterior angulation demonstrates the normal drainage of the coronary sinus (CS) into the right atrium (RA). LV, left ventricle; RV, right ventricle; TV, tricuspid valve.

Starting with a four-chamber image, posterior angulation of the probe allows visualization of the coronary sinus, which crosses from left to right and connects to the right atrium (2) (Fig. 8.2.3). The eustachian valve appears as a linear structure crossing the right atrial cavity. Injection of a solution in a peripheral vein opacifies the right-sided atrial cavity.

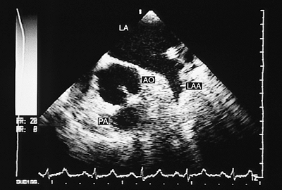
FIGURE 8.2.4. Situs solitus. Transverse plane view at the atrial level. The normal morphology of the left atrial appendage (LAA) can be identified. AO, aorta; LA, left atrium;PA, pulmonary artery.

FIGURE 8.2.5. Situs solitus. Atrial situs solitus, showing connection of the right pulmonary vein (RPV) with the left atrium (LA). The superior vena cava (SVC) drains into the right atrium. AO, aorta.

The left atrial appendage can be identified with recordings in transverse and longitudinal planes by its finger-shaped form with a narrow base (Fig. 8.2.4). This last finding may disappear with volume overload of the atrial cavity.

The pulmonary veins are connected to the atrium situated on the left. With color Doppler their flow is coded in red (Figs. 8.2.5 and 8.2.6) because the flow is directed posteriorly and forward in relation to the transducer.

FIGURE 8.2.6. Situs solitus. Transverse plane imaging with color Doppler demonstrates the left upper pulmonary vein (LUPV) behind the left atrial appendage (LAA) and its connection with the left atrium. AO, aorta; RVO, right ventricular outflow.

FIGURE 8.2.7. Atrial situs inversus. The anatomically left atrial appendage (LAA) is located on the right. LA, left atrium; LV, left ventricle; RA, right atrium; RV, right ventricle.

Situs Inversus

In situs inversus, the right-sided appendage has the characteristics of an anatomically left appendage (Fig. 8.2.7), whereas the left-sided appendage has the characteristics of an anatomically right appendage (Fig. 8.2.8). The atrial cavity on the right is connected to the pulmonary veins (Fig. 8.2.9), whereas the atrial cavity on the left is connected to the venae cavae and receives the coronary sinus. When contrast studies are performed, the atrial chamber situated on the left is opacified (Fig. 8.2.10). The eustachian valve can be recognized in the atrium situated on the left (Fig. 8.2.11). The connection of the suprahepatic veins to the inferior vena cava and its drainage into the atrium situated on the left can be observed in transgastric recordings (Fig. 8.2.12).

FIGURE 8.2.8. Atrial situs inversus. The presence of atrial situs inversus is demonstrated by the anatomically right atrial appendage (RA) located on the left. The pulmonary veins (PV) drain into the left atrium (LA) found on the right. RA, right atrium.

FIGURE 8.2.9. Atrial situs inversus. Transverse plane imaging with color-coded Doppler. The left pulmonary veins (PV) drain into the left atrium (LA), located on the right. LV, left ventricle; RAA, right atrial appendage; RV, right ventricle.

Findings provided for identifying atrial situs should complement the information obtained from conventional transthoracic and abdominal recordings. These findings can be completed with transgastric recordings; rotation of the transducer directing the beam posteriorly allows evaluation of the position of the inferior vena cava and aorta in relation to the spinal column. In situs solitus the inferior vena cava is found to the right of the column and the aorta to the left. The aorta can be recognized by its pulsations, and Doppler recordings show systolic flow. The flow in the inferior vena cava is both systolic and diastolic and of lower velocity.

FIGURE 8.2.10. Situs inversus and atrioventricular discordance. A contrast study shows the microbubbles first reaching the right atrium (RA) located on the left, then crossing an interatrial septal defect (D) into the left atrium (LA) and left ventricle (LV). RV, right ventricle.

FIGURE 8.2.11. Situs inversus. The right atrium (RA), situated on the left, is identified by the presence of the eustachian valve (EV)

Following the course of the inferior vena cava in longitudinal sections, its connection with the hepatic veins can be identified, as can its drainage into the right atrium.

In situs inversus a mirror image appears, with the inferior vena cava to the left of the spine and the aorta to the right.

FIGURE 8.2.12. Atrial situs inversus. Situs inversus with progressively superior imaging in the transverse plane. The connection of the hepatic veins (VH) to the left-sided inferior vena cava and right atrium (RA) can be demonstrated in this patient.

FIGURE 8.2.13. Right atrial isomerism. Transverse plane images. Both atrial appendages (2.13) have a right morphology. LA, left atrium; LV, left ventricle; RA, right atrium;RV, right ventricle.

Atrial Isomerism

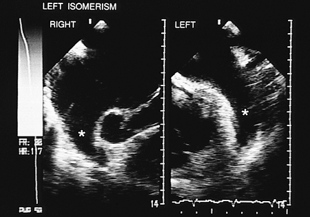
The term atrial isomerism refers to the absence of anatomic lateralization of the atria, which confers ambiguous characteristics on atrial situs. In right isomerism, transesophageal recordings show that both atrial appendages are of right morphology, that is, they are triangular with broad bases (Fig. 8.2.13). In left isomerism, both atrial appendages are elongated with narrow implantations into their atrial cavities (Fig. 8.2.14).

When atrial isomerism occurs, alterations of systemic and pulmonary venous return often coexist. Because of the important implications such anomalies may have for determining surgical approach, the patterns of venous connection to the heart must be defined before surgical correction.

FIGURE 8.2.14. Left atrial isomerism. Transverse plane images. Both atrial appendages (2.14) have a left morphology.

Although the alterations vary, when a patient presents with right isomerism, it is necessary to check for two superior venae cavae draining directly into both atrial cavities, abnormal connections of hepatic veins to the inferior vena cava, and abnormalities in the pulmonary venous connections, among other anomalies. When left isomerism is present, it is common to find an interrupted inferior vena cava with azygos or hemiazygos continuation, bilateral superior venae cavae, and pulmonary venous return with two veins connected to the atrium located on the right and two to the atrium on the left (2).

Because of the proximity of the transesophageal transducer to the sites of venous return and to the atrial chambers, this technique using the standard transverse axis scan planes may permit a more accurate evaluation of these cardiac structures than is obtained by the transthoracic approach.

The existence of a left persistent superior vena cava can be documented by high left atrial views; the course of the vessel running anterior to the left pulmonary artery and interposed between the left-sided pulmonary veins and left-sided atrial appendage and draining into the roof of the left-sided atrium or connected to the coronary sinus is demonstrated by combining cross-sectional imaging and color flow mapping (Fig. 8.2.15).

The azygos and hemiazygos veins can be demonstrated only in cases in which these vessels are dilated. An azygos vein is sought by combined two-dimensional images and color Doppler posterior and to the right of the right atrium and the right pulmonary artery. The hemiazygos vein is sought posterior to the left atrium and next to the descending aorta (2).

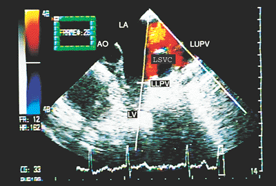
FIGURE 8.2.15. Left isomerism. Left persistent superior vena cava (LSVC) is demonstrated in transverse plane image. AO, aorta; LA, left atrium; LLPV, left lower pulmonary vein; LUPV, left upper pulmonary vein; LV, left ventricle.

Images similar to those observed with the transducer in subcostal position at the level of the tenth thoracic vertebra can be obtained with transgastric recordings. Right isomerism is diagnosed by visualizing the aorta and the inferior vena cava on the same side of the spine (aortocaval juxtaposition). In this condition, the inferior vena cava is anterolateral in relation to the aorta.

When levoisomerism is present, transesophageal recording makes it possible to document the interruption of the inferior vena cava, an abnormality that occurs in 85% of the cases. In addition, total anomalous connection of hepatic veins can be established and, as described earlier, the azygos and hemiazygos veins can be visualized.

Abnormalities of the right superior vena cava such as its absence or anomalous connection can also be demonstrated with transesophageal recordings. The use of the longitudinal plane in biplane imaging offers substantial additional value in the evaluation of systemic venous connections. However, it contributes little to the assessment of pulmonary venous connections, which are discussed in the section on shunts later in this chapter.

Juxtaposed Atrial Appendages

Juxtaposition is an uncommon malformation in which the two atrial appendages are located on the same side of the great vessels. Left juxtaposition is six times more frequent than the right-sided one and is usually associated with discordant V–A connection, which may be isolated or may be combined with the absence of right A–V connection. The identification of this malformation is important, particularly when a procedure such as a Rashkind septostomy or a Mustard, Senning, or Fontan-type surgery is planned.

FIGURE 8.2.16. Juxtaposition of atrial appendages. Transverse plane imaging shows both atrial appendages (LAA, RAA) located on the left side. LA, left atrium; LV, left ventricle; RA, right atrium; RV, right ventricle.

FIGURE 8.2.17. Juxtaposition of atrial appendages. The right atrial appendage (RAA) is imaged more anteriorly as compared to the left atrial appendage (LAA)

Recognition of juxtaposition with transthoracic echocardiography can be difficult in older children or patients with poor acoustic windows. Its angiographic identification requires an intense contrast in both atria and the juxtaposed atrial appendages. Transesophageal echocardiography is considered the technique of choice for identifying this anomaly. The transesophageal features of left juxtaposition of the atrial appendage include (a) right lateral deviation of the inferior and posterior portion of the atrial septum; (b) a more frontal orientation of the anterosuperior part of the atrial septum, forming the floor and the posterior wall of the junction of the right-sided atrial appendage with the venous component of the atrial cavity (Fig. 8.2.16); (c) the two atrial appendages, each with its own morphology, visualized on the same side, either in superior–inferior positions or side-to-side (Figs. 8.2.16 and 8.2.17); and (d) the association of one or various septal defects of the ostium secundum type, which may be difficult to recognize. The abnormal orientation of the atrial septum may give the false impression of an atrial septal defect located at the site of the junction of the atrial appendage with the venous cavity (3).

Right Atrial Embryonic Remnants

At the third month of embryonic life, the right valve of the sinus venosus divides the right atrium almost completely into two chambers. The sinus portion receives the vena cava and the coronary sinus, and the primitive atrial portion, which is muscular, is associated with the tricuspid valve and includes the right atrial appendage. The embryonic structure undergoes involution between the 9th and 15th weeks of gestation, and its remnants persist as the eustachian and thebesian valves, related to the orifices of the inferior vena cava and the coronary sinus. Persistence of the right valve of the sinus venosus can vary from a small atrial septation by a membranous remnant of the eustachian valve (Fig. 8.2.18), an area of interconnected trabeculae corresponding to the Chiari network (Fig. 8.2.19) or a complete septation of the right atrium, or cor triatriatum dexter (Fig. 8.2.20). The persistence of remnants of the right valve of the sinus venosus in adulthood has clinical relevance. It has been associated with catheter entrapment, supraventricular arrhythmias, and arterial embolic events.

FIGURE 8.2.18. The arrowhead points to a prominent eustachian valve seen as a linear echo in a patient with Amplatzer device closure of an atrial septal defect. LA, left atrium; RA, right atrium.

Noninvasive diagnosis of the persistence of the right valve of sinus venosus can have limitations when only chest wall images are used. Transesophageal echocardiography defines the characteristics of different embryonic remnants with precision and is useful in differentiating them from thrombi or intracardiac tumors (Fig. 8.2.21).

Ventricular Identification

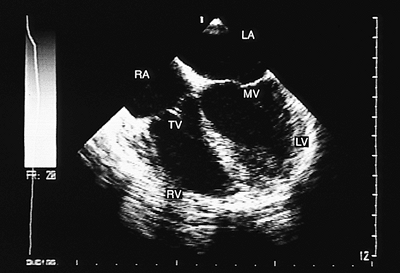
In transesophageal recordings the right ventricle is recognized by a number of features. A more apical insertion of the tricuspid septal leaflet in the interventricular septum than that of the mitral septal leaflet is present (Fig. 8.2.22). When a perimembranous ventricular septal defect with posterior extension is present, the two A–V valves are inserted at the same level. A muscular structure known as the moderator band can be observed in the inferior portion of the ventricular cavity. The tricuspid subvalvular apparatus has insertions into the interventricular septum (inlet septum) (Fig. 8.2.23). These three characteristics can be identified in the four-chamber transesophageal image.

In transverse transgastric images the two ventricles can be visualized, showing the left ventricle with two papillary muscles and a circular shape and the right ventricle with a crescent-moon shape and muscular trabeculations (Fig. 8.2.24). These recordings are also useful for identifying rudimentary chambers, which is not always possible with transesophageal imaging.

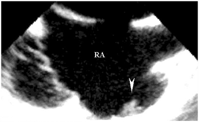
FIGURE 8.2.19. Transesophageal image showing a filamentous structure (arrowheads) extending into the right atrium (RA)

The presence of the infundibulum in the right ventricle and the fibrous continuity between the mitral valve (left ventricle) and the semilunar valve are other criteria in ventricular identification that can be seen with biplanar transesophageal recordings. Their discriminatory value is lost in congenital heart disease with bilateral infundibulum.

Atrioventricular Connection

After atrial situs and ventricular position have been identified, the type and mode of A–V connection should be clarified. In the past, injection of saline solution in a peripheral vein was used to demonstrate the type of A–V connection according to the opacification of the atria and ventricles; today intersegmental connection is established with transesophageal recordings using color Doppler.

Concordant Atrioventricular Connection

Once the atria and ventricles are identified, a Doppler study (spectral analysis or color) from a four-chamber transesophageal image shows that the right atrial flow passes through the tricuspid valve into the anatomically right ventricle and the left atrial flow crosses the mitral valve into the anatomically left ventricle.

Discordant Atrioventricular Connection

The diagnosis of discordant A–V connection can be established with transesophageal studies in both situs solitus and situs inversus, as well as in levocardia, mesocardia, and dextrocardia, on the basis of the findings discussed in the following paragraphs (4).

FIGURE 8.2.20. Cor triatriatum dexter. Transesophageal images in right atrial transverse (left) and longitudinal (right) planes show an echo-dense structure (arrows) dividing the right atrium (RA) into two chambers. AO, aorta; LA, left atrium; SVC, superior vena cava.

In patients with situs solitus, after ensuring that the anatomically right atrium is actually on the right, color Doppler is used to confirm that it connects with an anatomically left ventricle located on the right (Fig. 8.2.25). The moderator band and more apical insertion of the tricuspid septal leaflet in the interventricular septum observed in the four-chamber image as anatomic markers of the right ventricle are found in the ventricle located on the left (Fig. 8.2.26).

In the presence of a discordant A–V connection, most patients have a perimembranous ventricular septal defect with extension to the inlet portion, which causes the insertion of both A–V valves in the septum to occur at the same level.

FIGURE 8.2.21. Transesophageal image in a patient with atrial septal defect. The prominent structure (arrowhead) represents the crista terminalis. RA, right atrium.

The insertion of the tricuspid chordae tendineae in the interventricular septum is perhaps the most reliable sign for identifying the right ventricle located on the left. It is relatively easy to demonstrate this in the four-chamber transesophageal image.

In patients with discordant A–V connection, the V–A connection is also usually discordant—that is, the condition corresponds to the anomaly known as corrected transposition of the great vessels. Occasionally, the tricuspid valve is tethered to the ventricular wall, a finding known asleft-sided Ebstein anomaly, which is easily recognized in transesophageal recordings (Fig. 8.2.27).

FIGURE 8.2.22. Concordant atrioventricular connection. The insertion of the tricuspid septal leaflet (TV) into the interventricular septum is more apical than the insertion of the mitral septal leaflet (MV). This information is useful in identifying the ventricles. LA, left atrium; LV, left ventricle; RA, right atrium; RV, right ventricle.

FIGURE 8.2.23. Concordant atrioventricular connection. The anatomically right ventricle (RV) can be identified by demonstrating the insertion of the tricuspid subvalvular apparatus (TV) into the interventricular septum. LA, left atrium; LV, left ventricle; MV, mitral valve; RA, right atrium.

When situs inversus is present, the A–V discordance is demonstrated on observing that the left atrium situated on the right is connected to the anatomically right ventricle situated on the right, and the right atrium situated on the left is connected to the anatomically left ventricle situated on the left (Fig. 8.2.28).

FIGURE 8.2.24. Concordant atrioventricular connection. Transgastric study shows the right ventricle (RV) to have a crescent-moon shape and multiple trabeculae. The left ventricle (LV) has a circular shape and two papillary muscles.

FIGURE 8.2.25. Discordant atrioventricular connection. In a patient with atrioventricular and ventriculoarterial discordance, the anatomic left ventricle (LV) is located on the right and the anatomic right ventricle (RV) on the left.

Apart from the ventricular septal defect in patients with corrected transposition of the great vessels, subvalvular pulmonary obstruction is another commonly associated malformation. It is best identified by visualizing the left ventricular outlet using transesophageal longitudinal plane examination.

FIGURE 8.2.26. Discordant atrioventricular connection. Four-chamber study of a patient with situs solitus and atrioventricular discordance. The insertion of the tricuspid septal leaflet (TV) is more apical than the insertion of the mitral septal leaflet (MV). LA, left atrium; LV, left ventricle; RA, right atrium; RV, right ventricle.

FIGURE 8.2.27. Discordant atrioventricular connection. Situs solitus and atrioventricular discordance. Tethering of the tricuspid septal leaflet to the ventricular septum is present (arrows). LA, left atrium; LV, left ventricle; MV, mitral valve; RA, right atrium; RV, right ventricle; TV, tricuspid valve.

Ambiguous Atrioventricular Connection

In ambiguous A–V connection, transesophageal visualization of the atrial appendages shows that both have a right or left morphology, that is, there is right or left isomerism (Fig. 8.2.29). Color Doppler shows that each atrium is connected with a different ventricle. The term ambiguous A–V connection does not indicate the position of the ventricles. The criteria described in the preceding text are applied for identifying the position of the ventricles.

FIGURE 8.2.28. Discordant atrioventricular connection. Four-chamber image shows atrioventricular discordance and situs inversus. LA, left atrium; LV, left ventricle; MV, mitral valve; RA, right atrium; RV, right ventricle; TV, tricuspid valve.

FIGURE 8.2.29. Ambiguous atrioventricular connection. In the presence of left atrial isomerism, both atrial appendages (2.29) have anatomically left morphology. LA, left atrium; LAA, left atrial appendage; LV, left ventricle; RA, right atrium; RAA, right atrial appendage; RV, right ventricle.

The concordant, discordant, and ambiguous A–V connections are biventricular. Double inlet ventricle and absence of right or left A–V connection, discussed in the following paragraphs, correspond to univentricular A–V connection.

In contrast to biventricular A–V connection, in univentricular A–V connection the atrial segment is connected to a single ventricular chamber called the main ventricle. In most cases, another ventricle is present. It is, by definition, rudimentary and because it has no A–V connection it lacks the greater part of its inlet. The main ventricular chamber may have a left morphology with a rudimentary right ventricle, a right morphology with a rudimentary left ventricle, or indeterminate morphology with no rudimentary ventricle (true univentricular heart).

Ventricular morphology is identified by noting the position of the rudimentary ventricle in relation to the main ventricle. In cases of left ventricular main chamber, the trabecular septum has a forward deviation and does not reach the crux of the heart, so that the rudimentary right ventricle always has an anterosuperior position distant from the crux. When the main ventricle is of right ventricular morphology, the trabecular septum has a more posterior position than normal and extends to the crux of the heart. Consequently, the rudimentary left ventricle always is postero-inferior and is found close to the crux of the heart. The rudimentary ventricle can be located on the right or left of the main ventricle, depending on bulboventricular loop.

Double Inlet Ventricle

The double inlet most commonly corresponds to the anatomically left ventricle. The features discussed in the following paragraphs can be detected by echocardiography.

In the four-chamber transesophageal image, the two A–V valves open into the same ventricular cavity, and their septal leaflets approximate each other during diastole because of the lack of septal tissue between them. A common A–V valve may exist.

In transesophageal recordings the two A–V valves are visualized within a large ventricular cavity. Their anatomy is variable; often both have only two leaflets.

The rudimentary ventricular cavity can be identified with transgastric recordings in the transverse plane. Its position is anterior in relation to the main ventricular cavity. A ventricular septal defect of variable size communicating with the main ventricle and the rudimentary ventricle can also be identified. Occasionally one of the A–V valves can be seen in the four-chamber view; it may demonstrate a dome-shaped opening owing to its insertion into a single papillary muscle (parachute valve) (Figs. 8.2.30 and 8.2.31).

Overriding of the anterior A–V valve over the interventricular septum is not unusual. It is sometimes accompanied by insertion of its chordae tendineae in the rudimentary ventricle, and should be looked for with transesophageal echocardiography using biplane or multiplane imaging.

The trabecular septum is seen to deviate forward in different biplane sections. Portions of the atrial septum point toward the left ventricular cavity because of malalignment with the interventricular septum.

FIGURE 8.2.30. Double inlet left ventricle. Four-chamber view showing the connection of both the right atrium (RA) and left atrium (LA) to a single ventricular cavity that is the left ventricle (LV). The right ventricle (RV) is rudimentary. The left-sided valve is congenitally stenotic. The asterisk points to the ventricular septum.

FIGURE 8.2.31. Double inlet left ventricle. Transgastric transverse plane image shows both atrioventricular valves (marked by asterisks) in the posteriorly located left ventricle (LV)

Recordings with the different Doppler techniques allow the diagnosis of stenosis or regurgitation of the A–V valves (Fig. 8.2.32). They also help recognize defects of the interatrial septum or its absence (common atrium).

The echocardiographic characteristics of the double inlet of the right ventricle have a great deal in common with those of the double inlet of the left ventricle, with the difference that the two A–V valves, or the common A–V valve, are always visualized in a position anterior to the trabecular septum. The rudimentary ventricle is posterior in relation to the main ventricle. The posterior A–V valve often straddles the interventricular septum with insertions in the rudimentary ventricle.

FIGURE 8.2.32. Double inlet ventricle. Four-chamber imaging with color Doppler demonstrates mitral regurgitation (MR) in a patient with double inlet left ventricle (DILV). LA, left atrium; LV, left ventricle; MV, mitral valve; RA, right atrium; TV, tricuspid valve.

Absence of Atrioventricular Connection

Right-sided absence, or classic tricuspid atresia, is characterized by a lack of continuity between the right cavities. The floor of the right atrium is muscular and is separated from the right ventricle by fibrous tissue from the A–V sulcus. There are rare cases of true tricuspid atresia in which the right chambers have a potential connection through an imperforate valvular membrane.

In patients with the absence of right A–V connection (classic tricuspid atresia), the signs discussed in the following paragraphs can be observed with transesophageal echocardiography.

Absence of the movement of the tricuspid valve can be seen, with ample diastolic mobility of the mitral valve (Fig. 8.2.33). In the four-chamber image a line of dense echoes can be seen below the right atrial floor, which represents the fibrous tissue of the A–V sulcus (Fig. 8.2.34). The presence of a small right ventricle and a dilated and hypertrophied left ventricle is confirmed by biplanar transgastric and transesophageal recordings.

Because of the loss of alignment of the interatrial and interventricular septa resulting from anterior displacement of the interventricular septum, the right atrium can be seen to project to a greater or lesser degree on the left ventricle in four-chamber images (Fig. 8.2.35). Color-coded Doppler recordings show the obligatory atrial septal defect (Fig. 8.2.36). In cases in which one of the great vessels is connected to the rudimentary ventricle, a defect of the trabecular portion of the ventricular septum also can be identified. Doppler spectral analysis aids in detecting possible gradients through the septal defects when one of these is restrictive. Atrioseptostomy is indicated when an important gradient is generated through the atrial septal defect.

FIGURE 8.2.33. Absence of atrioventricular connection. Transgastric view in a patient with a large ventricular septal defect. Only one atrioventricular valve, the mitral valve (MV), exists. The anterior rudimentary chamber corresponds to the right ventricle (RV). LV, left ventricle.

FIGURE 8.2.34. Absence of atrioventricular connection. Transverse plane image. Dense echoes (arrows), which separate the right-sided cavities, are seen. Color Doppler identifies left ventricular filling. A large ventricular septal defect (D) can also be observed. LA, left atrium; LV, left ventricle; MV, mitral valve; RV, right ventricle; VS, ventricular septum.

The study of left ventricular function should be included to evaluate the feasibility of a Fontan-type procedure and to check for the presence of mitral regurgitation (Fig. 8.2.37).

FIGURE 8.2.35. Absence of atrioventricular connection. Four-chamber image reveals the absence of right atrioventricular connection. There is malalignment between the interatrial and interventricular septa, and a large ventricular septal defect is evident. LA, left atrium; LV, left ventricle; RV, right ventricle.

FIGURE 8.2.36. Absence of atrioventricular connection. Tricuspid atresia. Color-coded Doppler identifies the large secundum atrial septal defect with obligatory right-to-left shunting (arrow). LA, left atrium; LV, left ventricle; MV, mitral valve; RA, right atrium.

In the absence of left A–V connection, fibrous tissue from the A–V sulcus separates the left atrium from the left ventricle. The floor of the left atrium rests, to a variable degree, on the right ventricle because of the posterior deviation of the interventricular septum.

Another congenital malformation is mitral atresia with an imperforate membrane, which usually forms part of the hypoplastic left heart syndrome. This is also characterized by hypoplasia of the aortic root.

FIGURE 8.2.37. Absence of atrioventricular connection. In tricuspid atresia, color Doppler is useful in determining the severity of mitral regurgitation (MR). This is important in preoperative evaluation. LA, left atrium; LV, left ventricle; RV, right ventricle; VS, ventricular septum.

In patients with absence of left A–V connection there is absence of movement of the mitral valve with ample mobility of the tricuspid valve. In the four-chamber image, a line of hyper-reflectant echoes from the fibrous tissue of the A–V sulcus can be seen on the atrial floor. The left ventricle is seen to be rudimentary, and the right ventricle dilated and hypertrophied, in transthoracic and transesophageal biplanar images. In the four-chamber image the left atrium can be seen to rest, to a greater or lesser degree, on the right ventricle. This results from a posterior displacement of the interventricular septum, which leads to the loss of alignment of the interatrial and interventricular septa.

Color Doppler shows the left-to-right shunt at the atrial level and left ventricular filling through a ventricular septal defect. In addition, the absence of inflow to the left ventricle is confirmed.

Crossed Atrioventricular Connection

Crossed A–V connection is not a specific type of connection; it corresponds, rather, to an alteration in the spatial relation between the atria and ventricles. The atrium situated on the right is connected to a ventricle located on the left; the left-sided atrium is connected to a ventricle positioned on the right. The A–V connection may be concordant or discordant. It is not easy to establish the diagnosis with transesophageal echocardiography in the transverse plane using monoplanar transducers, because the normal parallel relationship of the inlet chambers of the two ventricles is lost; in general, the abnormal spatial orientation of the A–V valves makes it difficult to observe both in the same sector.

Color Doppler can be useful in demonstrating that the ventricular filling flows cross each other (Figs. 8.2.38 and 8.2.39). Transesophageal and transgastric images in the longitudinal plane are of greater utility for aligning along the long axes of both ventricular filling flows.

After the type of the A–V connection has been identified, echocardiographic exploration should include examination of the mode of connection. It is important to determine whether there are two perforate valves, if one is imperforate, if there is a common A–V valve, or if one of the valves straddles the interventricular septum.

Transesophageal Echocardiography and Fontan-type Surgery

In some complex congenital cardiac malformations, such as tricuspid atresia or left ventricular double inlet, the diverse Fontan-type surgical techniques, which are based on a redistribution of systemic venous return with increased pulmonary arterial flow, have improved the clinical condition of these patients. This type of surgery includes anterior or posterior connection of the right atrium directly to the pulmonary artery or through a valved conduit, connection of the right atrium and ventricle with valved or nonvalved conduit, or connection of the venae cavae to the pulmonary artery. A significant percentage of patients who undergo this type of surgery present residual lesions or develop lesions in the postoperative period that are not easily identified with transthoracic imaging, particularly in adolescents and adults.

FIGURE 8.2.38. Crossed atrioventricular connection. Two-dimensional and color Doppler study in a patient with criss-cross heart. The right portion of the common atrium (arrow) is connected to the anatomically right ventricle (RV) located on the left. CA, coronary artery; LV, left ventricle.

FIGURE 8.2.39. Crossed atrioventricular connection. When a crossed atrioventricular connection exists, the left portion of the common atrium (CA) connects (arrow) to the anatomically left ventricle (LV) located on the right. RV, right ventricle.

The transesophageal examination of these patients should follow a protocol, and ideally should be performed with biplanar or multiplanar transducers (5,6). Each study should include transgastric recordings to evaluate the connection of the hepatic veins to the inferior vena cava and the latter to the right atrium. As the transducer is withdrawn into the esophagus, progressive transverse sections permit exploration of the entire right atrium. When these recordings are complemented with longitudinal plane images, it is possible to evaluate the integrity of the interatrial septum as well as the intra-atrial patch used in total cavopulmonary connections (Figs. 8.2.40 and 8.2.41A). Likewise, the connection of the right atrium to the right ventricle or to the pulmonary arterial circulation can be directly visualized with multiple images in both planes.

When the connections are of a posterior type, transesophageal study allows their complete evaluation. However, if they are located in an anterior position their analysis is difficult, and precordial recordings can be more useful.

Images in longitudinal planes have diminished the difficulties involved in visualizing the pulmonary artery and the proximal portion of its branches. In transverse section the right branch is seen posterior to the superior vena cava and the left branch anterior to the descending aorta.

The presence of intracavitary thrombi or thrombosis involving prosthetic conduits should be looked for in various two-dimensional images (Fig. 8.2.41B). If a thrombus is present or if it is absent but spontaneous contrast echoes are noted, administration of thrombolytic agents should be considered.

FIGURE 8.2.40. Fontan-type surgery. Transverse plane image at the level of the atrial septum shows the integrity of the tunnel wall (T). Red and yellow represent a flow greater than expected through the obligatory atrial septal defect (arrow)

FIGURE 8.2.41. Fontan-type procedure. A. High short-axis view in a patient with total cavopulmonary deviation. There is a large defect, which permits a venoarterial shunt, in the wall of the intra-atrial patch or tunnel (T). B. Transesophageal echocardiogram in a patient with total cavopulmonary anastomosis and thrombosis of the atrial tunnel (T)

The echocardiographic study should include visualization of the sites of connection of the four pulmonary veins. Evaluation of function of both ventricles can usually be achieved with conventional precordial recordings; its analysis can be complemented with transverse plane transgastric recordings. Both conventional and color Doppler modalities are very useful and allow the identification of residual atrial shunts. The spectral curves obtained in the pulmonary arteries with Doppler vary according to the type of surgery. In cases of cavopulmonary deviation, the flow is continuous, of low velocity, and demonstrates marked respiratory variation. In the pulmonary arteries of patients who underwent atriopulmonary connection there is biphasic (systolic and diastolic) forward flow. Retrograde flow in the distal third of the pulmonary branches can be seen when arterial hypertension exists. In patients with A–V connection, the forward flow in the pulmonary artery is limited to systole; in these cases, retrograde diastolic flow seems to occur because during this phase of the cardiac cycle the ventricle functions as a reservoir without pulmonary valve closure.

The morphology of flow in the pulmonary veins is related to the pressures in the left cavities; Doppler study shows it to be biphasic regardless of the type of surgery performed.

When obstruction of a pulmonary arterial branch exists, the pulmonary veins on the same side show elevated peak retrograde velocity and diminished systolic and diastolic flow, reflecting to-and-fro flow in the pulmonary veins of the obstructed side.

Transesophageal echocardiography provides ample information in adult patients who have undergone one of the Fontan surgical techniques, and can be considered the most valuable adjunct in midterm and long-term follow up (7).

Identification of the Great Vessels

Once the A–V connection has been determined, the aorta and pulmonary artery must be identified to establish the V–A connection. With the transducer in the patient's esophagus, the pulmonary artery is usually recognized in transverse and longitudinal plane images by its bifurcation. In contrast, the aorta has a long course until it forms the aortic arch.

Visualization of the origin of the coronary arteries in a transverse section close to the level of the semilunar plane identifies the vessel as the aorta. In this plane the spatial relationship of the great arteries can also be recognized. The aorta is normally posterior and to the right of the pulmonary artery. The point at which the great vessels cross can be observed in biplanar transesophageal images (8).

Ventriculoarterial Connections

Concordant Ventriculoarterial Connection

In concordant V–A connections, each of the vessels is connected with its corresponding ventricle. The outlet of the right ventricle and the pulmonary arteries with their bifurcation surrounding the aorta can be observed with transesophageal echocardiography and biplanar recordings. The connection of the left ventricle with the aorta and the right ventricle with the pulmonary artery is confirmed using color Doppler.

Discordant Ventriculoarterial Connection

V–A discordance, or complete transposition of great vessels, is the condition in which the aorta is connected to the right ventricle and the pulmonary artery to the left ventricle, although the A–V connection is concordant. In this anomaly the aorta is located in front and to the right of the main pulmonary artery. However, this abnormal spatial relationship of the semilunar vessels is not constant; in approximately 20% of cases the aorta is found in different positions depending on the orientation of the infundibular septum.

The echocardiographic diagnosis of this malformation should include both morphologic and functional aspects. Following segmental sequence, situs and the type of A–V connection should be clarified. V–A discordance should be established, with conventional transthoracic recordings and transesophageal exploration used to aid in clarifying some specific alterations. Conditions discussed in the following paragraphs can be detected with this technique.

In images in the transverse plane at the level of the great arteries, the vessel that is anterior and to the right can be seen to correspond to the aorta and the posterior left vessel to the main pulmonary artery (Fig. 8.2.42). In these images, confirmation that the aorta is connected to the ventricle that receives systemic venous return is obtained by demonstrating that the anterior vessel opacifies when saline solution is injected into a peripheral vein. In progressively superior sections, the posterior vessel can be recognized as corresponding to the pulmonary artery because it bifurcates early. It is easy to demonstrate valvular or subvalvular pulmonary stenosis, or both, using color Doppler (Figs. 8.2.43 and 8.2.44).

FIGURE 8.2.42. Discordant ventriculoarterial connection. In the presence of transposition of the great arteries (TGA), transverse plane imaging makes it possible to recognize the connection of the right ventricle (RV) with the aorta (AO) and the left ventricle (LV) with the pulmonary artery (PA). An anomalous insertion of the mitral valve (MV) produces subvalvular pulmonary obstruction. The pulmonary valve opening is also restricted. LA, left atrium; RA, right atrium; VS, ventricular septum.

FIGURE 8.2.43. Discordant ventriculoarterial connection. Transposition of the great arteries (TGA) exists. The transverse plane image shows mitral-pulmonary continuity. A pulmonary subvalvular obstruction (arrow) is seen secondary to the anomalous insertion of the mitral subvalvular apparatus in the ventricular septum. Stenosis of the pulmonary valve coexists. D, ventricular septal defect; LA, left atrium; LV, left ventricle; MV, mitral valve; PA, pulmonary artery; RA, right atrium; RV, right ventricle.

In recordings in the longitudinal plane, the anterior vessel (aorta) can be seen to maintain a long anterior course without bifurcating. From this type of section, rotation of the transducer to the left shows the pulmonary artery, which runs parallel to the aorta in a posterior position (Fig. 8.2.45). In images of the right cavities in the longitudinal plane, the aortic valve is normally seen very close to the tricuspid valve. When transposition of the great vessels occurs, the aortic valve is found away from the tricuspid valve.

The mitral–pulmonary fibrous continuity can be recognized in transverse and longitudinal images. These views are also useful in recognizing abnormal systolic movement of the mitral valve toward the interventricular septum, which may result in dynamic subpulmonary obstruction.

Ventricular septal defect occurs in approximately 40% of cases. Because the location of the defect is predominantly subpulmonary (two out of three cases), transesophageal exploration of this area in biplanar or multiplanar recordings should be included in the study of every patient with transposition (Fig. 8.2.46). Likewise, evaluation of interatrial shunts, some of which are augmented by the Rashkind septostomy, should be included in the analysis of biplanar or multiplanar two-dimensional images with color Doppler.

FIGURE 8.2.44. Discordant ventriculoarterial connection. The connection of the left ventricle (LV) with the pulmonary artery (PA) is identified with transverse plane imaging and color-coded Doppler. Subvalvular pulmonary stenosis (arrow) is also seen, together with the dome-shaped opening of the pulmonary valve, which indicates the presence of the coexisting pulmonary valvular stenosis. LA, left atrium; MV, mitral valve; RA, right atrium; RV, right ventricle.

In view of the possibility of exploring the principal coronary arteries with transesophageal echocardiography, abnormalities of their origin and distribution should be investigated in these cases.

FIGURE 8.2.45. Discordant ventriculoarterial connection. Transposition of the great arteries (TGA) exists. The right ventricle (RV) is connected to the anterior vessel, which corresponds to the aorta (AO). This is identified in longitudinal plane imaging. LA, left atrium; PA, pulmonary artery; RA, right atrium; TV, tricuspid valve.

FIGURE 8.2.46. Discordant ventriculoarterial connection. Four-chamber image from a patient with transposition of the great arteries. A large ventricular septal defect (D) is noted. AO, aorta; IVC, inferior vena cava; LAA, left atrial appendage; LLPV, left lower pulmonary vein; LUPV, left upper pulmonary vein; LV, left ventricle; PA, pulmonary artery; PVA, pulmonary venous atrium, RA, right atrium; RLPV, right lower pulmonary vein; RUPV, right upper pulmonary vein; RV, right ventricle.

Study of Atrial Baffle Function After Mustard or Senning Procedures

The transesophageal approach allows the assessment of the entire systemic and pulmonary venous pathways after atrial corrective surgery (5). The relative shape and size of each baffle component are variable, according to the surgical technique used.

The proximal portions of the superior and inferior venae cavae, as well as their respective unions with the superior and inferior baffle limbs of the systemic venous atrium, are visualized using multiple short-axis scans with rotations and probe tip angulations. By advancing and rotating the probe, the individual sites of drainage of all four pulmonary veins and the entire pulmonary venous pathway are scanned (Fig. 8.2.47). A morphologic and hemodynamic evaluation of both venous atria is performed using two-dimensional imaging in combination with Doppler color flow mapping and pulsed wave spectral analysis. Flow patterns in both systemic and venous limbs, in the pulmonary venous pathway, and in each of the pulmonary veins are obtained.

Transesophageal exploration is definitely superior to precordial investigation of superior or inferior limb obstructions and midbaffle obstructions. With this technique individual pulmonary vein velocity profiles can be recognized, as can mid-pulmonary venous atrium obstruction. With color flow mapping, definite evidence of baffle leakage is also obtained (9).

FIGURE 8.2.47. Atrial switch procedure. Transesophageal interrogation with progressively higher sections (from C to A) allows imaging of the entire inferior limb of the systemic venous atrium (C), the pulmonary venous atrium (B), and the superior limb of the systemic venous atrium near the great arteries (A). The pulmonary veins appear in a posterior position. LA, left atrium; LV, left ventricle; MV, mitral valve; RA, right atrium; RV, right ventricle; TV, tricuspid valve.

The echocardiographic study should also include the search for late complications such as right ventricular dysfunction, tricuspid insufficiency, and progressive left ventricular outflow tract obstruction.

Congenitally Corrected Transposition

In congenitally corrected transposition, both the A–V and the V–A connections are discordant. Associated defects, especially ventricular septal defect, either isolated or with pulmonary valve stenosis, are common, occurring in 70% to 90% of cases. Cardiac malpositions also are commonly associated and can make it difficult to obtain satisfactory transthoracic recordings. The study of these patients should include transesophageal and transgastric recordings, and the main findings are discussed in the following paragraphs (4).

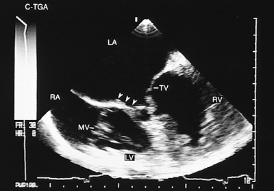
A–V discordance is established by identifying atrial situs and the position of the ventricles using the criteria discussed at the beginning of the chapter. The most reliable way of identifying the atria is through the morphology of the atrial appendages. The principal signs used for the identification of the ventricles are the different levels of implantation of the mitral and tricuspid septal leaflets (when ventricular septal defect is absent) and insertion of the tricuspid chordae tendineae in the interventricular septum. In addition, the ventricular morphology evident in the four-chamber image facilitates recognition—the right ventricular chamber has a triangular shape and the left ventricular chamber an ellipsoid form. These characteristics are independent of the ventricular spatial relationship.

In V–A discordance, identification of the great arteries is based on the bifurcation of the pulmonary artery. The parallel positions of the two vessels can be observed with monoplanar recordings taken at the level of the semilunar valves. When situs is solitus, the aorta is anterior and to the left and the main pulmonary artery posterior and to the right (Fig. 8.2.48). In situs inversus the aorta is anterior but to the right of the main pulmonary artery.

Direct visualization of the connection of the ventricles to the great vessels is facilitated by the use of biplanar transducers. In images in the longitudinal plane it is possible to visualize the connection of the posterior vessel (pulmonary artery) with the left ventricle, to corroborate mitral-pulmonary continuity and to demonstrate the connection between the anterior outflow tract (right ventricular) and the aorta.

It is possible to identify cardiac position from the transesophageal four-chamber image. The apex of the ventricles points to the left in levocardia, to the right in dextrocardia, and toward the midline in mesocardia. Moreover, the subpulmonary outflow tract of the left ventricle is deeply wedged between the mitral and tricuspid valves, which generates malalignment of the atrial and ventricular septum and prominent anterior recess in the morphologically left ventricle.

Transesophageal study is superior to the transthoracic study for visualizing the frequently associated ventricular septal defect. The defect is usually a wide perimembranous type in subpulmonary position. It can be visualized directly in transverse or longitudinal planes.

FIGURE 8.2.48. Ventriculoarterial discordance. Transverse plane image. The aorta (AO) is identified by the origin of the right coronary artery (CA). The pulmonary artery (PA) is located behind and to the right of the aorta, and its turbulent flow is secondary to the coexistence of subvalvular pulmonary stenosis. LA, left atrium; LAA, left atrial appendage; RA, right atrium.

Obstruction of left ventricular emptying can be determined with transesophageal recording. In most cases there is mixed pulmonary stenosis, both subvalvular and valvular. The capacity to explore the subvalvular pulmonary area is one of the principal advantages of the transesophageal technique. The various causes of subpulmonary obstruction, such as narrowing of the outflow tract, abnormal tissue tags, and discrete pulmonary membrane (rare), can be recognized in images in the longitudinal plane. It is also possible to recognize nonobstructive bulging of the membranous septum into the subpulmonary outflow tract.

Abnormalities of the A–V valves are not uncommon; the tricuspid valvular anomaly known as left-sided Ebstein anomaly is noteworthy. In patients with this anomaly, it is possible to recognize tethering of the septal leaflet to the interventricular septum in the transesophageal four-chamber image and to evaluate the severity of valvular regurgitation with color Doppler (Figs. 8.2.49 and 8.2.50).

Because of the prognostic implications and importance in making the surgical decision, an evaluation of right ventricular function should be included in the transesophageal study. Ventricular dysfunction is most common in patients with significant long-term tricuspid regurgitation (Fig. 8.2.51).

Right Ventricular Double Outlet

In the right ventricular double outlet both great arteries arise mainly or completely from the right ventricle. Any type of A–V connection can coexist. The position of the vessels is variable. When they are side-to-side or the aorta is anterior, the emergence of the vessels is parallel. When the aorta is posterior and right, the great arteries cross in space. Often the underlying anomaly is tetralogy of Fallot with aortic overriding of >50%.

FIGURE 8.2.49. Left-sided Ebstein anomaly. Four-chamber image in a patient with corrected transposition of the great arteries (C-TGA). Tethering of the tricuspid septal leaflet to the ventricular septum is present (arrows). The anterior tricuspid leaflet (TV) shows ample movement. LA, left atrium; LV, left ventricle; MV, mitral valve; RA, right atrium; RV, right ventricle.

FIGURE 8.2.50. Left-sided Ebstein anomaly. Corrected transposition of the great arteries is seen coexisting with an Ebstein-type anomaly of the tricuspid valve. Color Doppler shows the presence of tricuspid regurgitation (TR). LA, left atrium; LV, left ventricle; MV, mitral valve; RA, right atrium; RV, right ventricle; TV, tricuspid valve.

In the past, double infundibulum was considered a prerequisite for the diagnosis. However, it has been established that the presence of fibrous continuity between the posterior vessel and the mitral valve does not preclude the type of V–A connection being a double outlet.

FIGURE 8.2.51. Corrected transposition of the great arteries. Two-dimensional imaging with color Doppler demonstrates significant tricuspid regurgitation (TR). LA, left atrium; LV, left ventricle; RV, right ventricle; TV, tricuspid valve.

FIGURE 8.2.52. Double outlet right ventricle. Transgastric view shows aortic (AO) septal override. LV, left ventricle; RV, right ventricle.

The principal findings observed with transesophageal echocardiography are discussed in the following paragraphs.

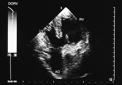
Overriding of >50% of the posterior vessel over the interventricular septum is evident in recordings of both transverse and longitudinal planes (Fig. 8.2.52). The connection of both vessels with the right ventricle can be observed in longitudinal images (Figs. 8.2.53 and 8.2.54). When only monoplanar recordings can be obtained, multiple sections at various levels should be visualized to demonstrate that the great arteries are located on the same side of the interventricular septum (Fig. 8.2.55).

FIGURE 8.2.53. Double outlet right ventricle and pulmonary stenosis. Longitudinal plane examination shows both semilunar valves arising from one chamber, which is the right ventricle. AO, aorta; LA, left atrium; PA, pulmonary artery; RA, right atrium.

FIGURE 8.2.54. Double outlet right ventricle. Images in the longitudinal plane show that the pulmonary artery (PA) and the aorta (AO) are connected to the right ventricle (RV). AV, aortic valve; LA, left atrium; PV, pulmonary valve; RA, right atrium.

The examination of the ventricular outflow tracts should include images in transverse and longitudinal planes to look for subpulmonary obstructions and to investigate the relationship between the ventricular septal defect and the great vessels.

Color Doppler study demonstrates that the flow that crosses the ventricular septal defect is directed preferentially toward the vessel with which the defect is associated. The defect can be subaortic or subpulmonary, can be related to both arteries, or can have no relation with either (Fig. 8.2.56).

FIGURE 8.2.55. Double outlet right ventricle. Transverse plane image. The great arteries, the aorta and the pulmonary artery (AO, PA) have a side-to-side relationship. LA, left atrium; RA, right atrium; SVC, superior vena cava.

FIGURE 8.2.56. Double outlet right ventricle. Color Doppler shows tricuspid valve (TV) regurgitation and a large ventricular septal (VS) defect. LA, left atrium; LV, left ventricle; MV, mitral valve; RA, right atrium; RV, right ventricle.

Truncus Arteriosus

When only one artery emerges from the heart, the V–A connection is defined as a single outlet. Three possibilities exist: truncus arteriosus, pulmonary atresia or aortic atresia. In truncus arteriosus, the vessel emerging from the heart originates the systemic, pulmonary, and coronary circulation. Images in the longitudinal plane obtained with a biplanar or multiplanar transducer show the truncus arteriosus straddling the interventricular septum (Fig. 8.2.57). The absence of right ventricular infundibulum is evident in transverse and longitudinal sections, and multiple images in both planes show the ventricular septal defect due to the absence of the infundibular septum. Transverse sections also show supernumerary truncal leaflets.

FIGURE 8.2.57. Truncus arteriosus. Images in the longitudinal plane confirm that the pulmonary artery (PA) originates from the posterior wall of the truncus arteriosus (TR). Dysplasia of the truncal valve can also be visualized. AO, aorta; LV, left ventricle.

FIGURE 8.2.58. Truncus arteriosus. Transverse plane image at the level of the common truncus arteriosus (TR) below the origin of the pulmonary circulation. LA, left atrium.

As the transducer is withdrawn to a plane slightly superior to the truncal valve, an attempt should be made to identify the emergence of the pulmonary artery or its branches from the posterior or lateral walls of the truncus arteriosus (Figs. 8.2.58 and 8.2.59).

FIGURE 8.2.59. Truncus arteriosus. The origin of the main pulmonary artery (MPA) and its branches, the right pulmonary artery and the left pulmonary artery (RPA, LPA), from the posterior portion of the common truncus arteriosus (TR) can be identified in images in the transverse plane.

FIGURE 8.2.60. Pulmonary atresia. Longitudinal plane view. Overriding of the aortic valve (AV) over the ventricular septum (VS) can be seen. AO, aorta; LA, left atrium; LV, left ventricle; RV, right ventricle.

Color Doppler aids in detecting stenosis or regurgitation of the truncal valve.

Pulmonary Atresia with Ventricular Septal Defect

The anatomic characteristic of pulmonary atresia with ventricular septal defect is complete obstruction of the right ventricular outflow tract. The obstruction can vary from an imperforate pulmonary valve with hypoplastic pulmonary artery to total atresia of the ventricular infundibulum and pulmonary artery. Echocardiographic findings help establish the diagnosis as described in the following paragraphs.

FIGURE 8.2.61. Pulmonary atresia. In a patient with pulmonary atresia, a single vessel (AO) that connects to both ventricles can be observed in longitudinal plane images. No connection exists between the pulmonary circulation and the right ventricle (RV). AV, aortic valve; LA, left atrium; LV, left ventricle; VS, ventricular septum.

Variable aortic overriding of the interventricular septum is seen (Fig. 8.2.60). Transverse and longitudinal sections at the aortic valve level show a normal or hypoplastic infundibulum that terminates blindly. In these recordings the proximal portion of the pulmonary artery at a variable distance from the atretic pulmonary valve can be seen (Fig. 8.2.61). An attempt should be made to measure the diameters of the pulmonary branches, but this may not be possible, particularly with the left branch.

Doppler demonstrates the absence of forward flow in the pulmonary artery. The characteristics of the ductus arteriosus should be investigated with a color-coded Doppler study. On rare occasions, a portion of the collateral circulation can be visualized.

References

1. Stümper OFW, Sreeram N, Elzenga NJ, et al. Diagnosis of atrial situs by transesophageal echocardiography. J Am Coll Cardiol 1990;16:442–446.

2. Stümper O, Vargas-Barron J, Rijlaarsdam M, et al. Assessment of anomalous systemic and pulmonary venous connections by transesophageal echocardiography in infants and children. Br Heart J 1991;66:411–418.

3. Stümper O, Rijlaarsdam M, Vargas-Barron J, et al. The assessment of juxtaposed atrial appendages by transesophageal echocardiography. Int Cardiol 1990;29:365–371.

4. Stümper O, Hess J, Godman MJ, et al. Transesophageal echocardiography in congenital heart disease. Cardiol Young 1993;3:3–12.

5. Stümper O, Sutherland GR, Geuskens R, et al. Transesophageal echo-cardiography in evaluation and management after a Fontan procedure. J Am Coll Cardiol 1991;17:1152–1160.

6. Fyfe DA, Kline ChH, Sade RM, et al. Transesophageal echo-cardiography detects thrombus formation not identified by transthoracic echocardiography after the Fontan operation. J Am Coll Cardiol 1991;18:1733–1737.

7. Lam J, Neirotti RA, Lubbers WJ, et al. Usefulness of biplane transesophageal echocardiography in neonates, infants and children with congenital heart disease. Am J Cardiol 1993;72:699–706.

8. Kaulitz R, Stümper OFW, Geuskens R, et al. Comparative values of the precordial and transesophageal approaches in the echocardiographic evaluation of atrial baffle function after an atrial correction procedure. J Am Coll Cardiol 1990;16:686–694.

9. Finch AD, Snell DRSanyal RS, et al. Transesophageal echocardiographic identification of a bicuspid pulmonary valve associated with congenitally corrected transposition of the great arteries. Echocardiography 1993;10:359–362.



If you find an error or have any questions, please email us at admin@doctorlib.org. Thank you!