David S. Wolf, MD and Atilla Ertan, MD, AGAF, MACG
What is the prevalence of gallstones in the United States?
Approximately 10%. Gallstones are two to three times more common in women than men. Pima Indians are at highest risk of developing gallstones in the United States followed by Hispanic women. A genetic influence is noted in gallstone formation. Pigment stones account for 10%–25% of all gallstones in the United States.
What are the major roles of mucin in the formation of gallstones?
Mucin acts as a pronucleating agent (promoting nucleation and crystallization of cholesterol from saturated bile) and acts as a scaffolding for crystal deposition during stone development.
What is the pathogenesis of acute calculous cholecystitis?
A stone is impacted in the cystic duct causing obstruction. The resultant bile stasis and increase in intragallbladder pressure damages the gallbladder mucosa, resulting in phospholipase A release and activating the inflammatory cascade.
Seventy percent to 80% of gallbladder stones in the United States are composed of cholesterol. What is the composition of primary common bile duct (CBD) stones?
Primary CBD stones are usually associated with ascending cholangitis proximal to biliary strictures and are softer brown pigment stones. They form from the enteric bacterial conversion of bilirubin and phospholipids.
A 23-year-old man with sickle cell disease presents with abdominal pain located in the right upper quadrant (RUQ). An evaluation including abdominal ultrasonography reveals the presence of cholelithiasis. What is the most likely composition of the gallstones?
Black pigment stones are most commonly associated with sickle cell disease, chronic hemolysis, and cirrhosis.
True/False: Primary bile duct stones are black pigment stones and are identical to the black pigment stones, which arise in the gallbladder.
False. Primary bile duct stones are brown and are different than the black pigment stones, which arise in the gallbladder.
True/False: There has been a reported decrease in frequency of gallstones in obese patients on very low calorie diets with the use of cholestyramine.
False. However, ursodeoxycholic acid (UDCA) 600 mg daily has been shown to decrease the frequency of gallstone development in this setting from 28% to 3%.
True/False: Prophylactic use of cholecystokinin (CCK) octapeptide intravenously twice daily given to patients on long-term parenteral nutrition helps to prevent cholelithiasis and acalculous cholecystitis.
True.
True/False: The development of gallbladder sludge from the use of ceftriaxone usually disappears spontaneously after the discontinuation of the medication.
True.
True/False: Transabdominal ultrasonography is the test of first choice in the evaluation of jaundice and RUQ abdominal pain.
True. The overall sensitivity of abdominal ultrasonography is 95% for stones that are larger than 2 mm in diameter. In contrast, the sensitivity is only approximately 50% for CBD stones.
What factors may compromise the interpretation of transabdominal ultrasonograms?
Transabdominal ultrasonographic examinations are somewhat subjective and operator dependent. They are compromised by obesity and interfering shadows caused by ribs, scars, and bowel gas.
True/False: Abdominal computed tomography (CT) is not appropriate for the diagnosis of uncomplicated stone disease or evaluation of biliary colic because half of all gallstones are radiolucent on CT.
True.
When should percutaneous transhepatic cholangiography (PTC) be considered in the evaluation of patients with biliary tract obstruction?
PTC may be favored in patients with more proximal biliary obstruction at the level of the hilum or higher. In addition, PTC may be favored in patients with distorted or altered gastroduodenal anatomy (eg, status post-Whipple, Billroth II Roux-en-Y gastrojejunostomy). PTC may also be efficacious in patients in whom endoscopic retrograde cholangiopancreatography (ERCP) was unsuccessful. PTC is generally successful in patients with dilated ducts and 75%–95% successful in patients with nondilated ducts in experienced hands.
True/False: Erythromycin hepatotoxicity presents as a syndrome of pain, fever, and cholestatic hepatitis, which often mimics acute cholecystitis.
True. It is important to elicit a history of antibiotic consumption during a review of symptoms. A compatible history and associated eosinophilia may assist in making the diagnosis.
What percentage of gallstones is visible on plain abdominal x-ray?
Fifty percent of pigment stones and 20% of cholesterol stones. However, 80% of gallstones are of the cholesterol type; therefore, only 25% of stones will be seen on plain radiographs.
Distal ileal diseases, such as Crohn’s disease, are recognized risk factors for the development of gallstones. What is the most common problem resulting in lithogenic bile in these diseases?
The loss of specific bile salt transporters in the distal ileum results in excessive bile salt losses in the stool and leads to a diminished bile acid pool.
Describe the pathophysiogical mechanism(s) resulting in gallstone formation in the following groups: the elderly, the obese, the pregnant, those receiving clofibrate, and those receiving parenteral nutrition.
True/False: Management of an elderly frail patient with choledocholithiasis and severe gallstone pancreatitis differs from a young healthy patient.
False. ERCP and sphincterotomy can be safely performed in the elderly. However, following sphincterotomy and successful stone extraction, some reports suggest that frail elderly patients can be successfully managed without a cholecystectomy.
What is the rate of gallstone formation in obese patients who undergo bariatric surgery?
Approximately 50%. Causes include an increased hepatic secretion of biliary cholesterol, increased mucin production in the gallbladder, and gallbladder hypomotility. UDCA can be used prophylactically in this group to prevent gallstone formation during their extreme weight loss.
True/False: The most frequent site of maximal biliary pain is in the RUQ of the abdomen?
False. Maximal biliary pain occurs in decreasing frequency in the following locations: epigastric, RUQ, left upper quadrant (LUQ), precordium, and lower abdomen. Radiation of pain occurs in half of patients to the scapula, right shoulder, or lower abdomen.
What is biliary sludge (ie, microlithiasis)?
Thickened gallbladder bile that may contain stones less than 3 mm in size. On ultrasound, it is seen as a mobile low amplitude signal with layering in the dependent portion of the gallbladder. Its presence is associated with idiopathic acute pancreatitis.
What are the common conditions associated with the development of gallbladder sludge?
Spinal cord injuries, prolonged parenteral nutrition, long-term fasting, and prolonged treatment with octreotide may cause gallbladder stasis-induced sludge. Ceftriaxone may also result in the formation of sludge. Gallbladder sludge may cause acute cholecystitis and acute pancreatitis.
True/False: Mirizzi’s syndrome is due to a severe drug reaction, which results in intrahepatic cholestasis.
False. Mirizzi’s syndrome is a rare complication of gallstones in which a stone becomes impacted in the neck of gallbladder or the cystic duct and extrinsically compresses the CBD resulting in jaundice. Preoperative diagnosis of this syndrome is important to avoid bile duct injury. This syndrome is rare, occurring in approximately 1% of all patients undergoing cholecystectomy.
What are the two types of Mirizzi’s syndrome?
Type I: The hepatic duct is compressed by a large stone that has become impacted in the cystic duct or Hartmann’s pouch. Associated inflammation may contribute to the stricture.
Type II: The stone has eroded into the hepatic duct producing a cholecystocholedochal fistula.
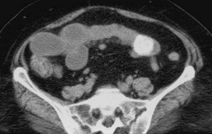
A 37-year-old woman presents with a history of intermittent severe upper abdominal pain and a more recent problem of persistent abdominal distension with associated nausea and vomiting. What complication of gallstone disease is being demonstrated in the CT image below?

Figure 39-1
Gallstone ileus from a large gallstone obstructing the mid-ileum.
What is the most common location of a bowel obstruction in patients with gallstone ileus?
Characteristically, the obstruction occurs in the terminal ileum where the lumen is the narrowest. The majority of patients with gallstone ileus are women and older than 70 years. Recurrent gallstone ileus may occur in approximately 5% of patients and a search should be made for an additional stone(s) during surgery.
What are the x-ray findings in gallstone ileus?
An intestinal gas pattern compatible with intestinal obstruction in most patients, pneumobilia in half of all patients, and a visible aberrant gallstone in a minority.
What is the size of the gallstone that causes gallstone ileus?
Usually > 2.5 cm in diameter.
How does gallstone ileus present?
Gallstone ileus should always be considered in an older patient with intestinal obstruction. It sometimes has a prior history of acute cholecystitis, but most of the stones erode slowly through the gallbladder and the symptoms may be minimal, especially in the elderly.
What are the characteristics of small bowel obstruction in gallstone ileus?
As the gallstone progresses down the length of the gut, it intermittently obstructs the lumen. Characteristically, complete obstruction occurs in the ileum, where the lumen is the narrowest.
True/False: Bouveret’s syndrome refers to terminal ileal obstruction due to a gallstone.
False. Gastric outlet obstruction as a result of gallstone (Bouveret’s syndrome) is a rare but serious complication of cholelithiasis.
A 56-year-old man presents for evaluation of jaundice. He had been well until 3 weeks ago when he noticed the onset of mild mid-epigastric pain, which resolved spontaneously. His past medical and surgical histories were unremarkable. He reported an 8-pound weight loss, which he blamed on a lack of appetite. Examination was notable only for jaundice and icteric conjunctivae. Laboratory tests revealed a total bilirubin of 8.6 mg/dL and an alkaline phosphatase of 565 IU/L. Aminotransferases were only slightly elevated. Amylase and lipase were normal. An abdominal ultrasound demonstrated a dilated extrahepatic bile duct. What is the next most appropriate test?
ERCP.
In the previous case, an ERCP was done with the finding below. What would you do next?

Figure 39-2
Endoscopic sphincterotomy with stone extraction.
A 42-year-old man with no previous health problems presented to the hospital with a 2-day history of severe intermittent epigastric pain radiating to his back with associated nausea and vomiting. He denied alcohol abuse, prior pancreatitis, or gallstones. He had lost about 35 pounds over the last 4 months and attributed the weight loss to intentional dieting and exercise. On examination, he was febrile, jaundiced, and tender to palpation over the epigastrium. Laboratory testing revealed a leukocyte count of 19,000 with a left shift, alkaline phosphatase of 650 IU/L, bilirubin of 4.8 mg/dL, and amylase of 2500 IU/L. An abdominal ultrasound showed some “sludge” in the gallbladder but was otherwise normal. What is the most appropriate therapy for this patient?

Figure 39-3 See also color plate.
Early administration of intravenous (IV) antibiotics, IV fluids, and other supportive intensive care measures are important. Endoscopic retrograde cholangiography (ERC) with sphincterotomy and stone extraction (see Figure 39-3) are also indicated in the setting of acute gallstone-related cholangitis and severe pancreatitis.
What is the approach to a patient with acute bacterial cholangitis due to an obstructed bile duct?
Initial therapy should include blood cultures with empiric use of intravenous antibiotics. About 85%–90% of patients have a response to initial antibiotic and supportive therapy before biliary interventions. Biliary drainage is mandatory. Its urgency is dictated by the response to antibiotics and supportive care. ERCP with stent, nasobiliary drain or sphincterotomy, and duct drainage is associated with significantly lower morbidity and mortality compared to surgery. If endoscopic approaches fail, then surgical or percutaneous approaches should be tried.
True/False: Prophylactic cholecystectomy is recommended in the management of asymptomatic cholelithiasis.
False. Since almost all patients with cholelithiasis develop symptoms before they develop complications, there is no evidence to support prophylactic treatment in the management of asymptomatic gallstones. Two-thirds of patients with gallstones are asymptomatic.
What is the rate of development of biliary pain per year in patients with previously asymptomatic gallstones?
Two percent per year for 5 years in one study from Michigan. A recent Italian study reported rates of 12%, 17%, and 20% at 2, 4, and 10 years, respectively. Therefore, prophylactic cholecystectomy is not indicated in an otherwise healthy person with asymptomatic gallstones. In contrast, patients with symptomatic gallstone disease have a 50% risk per year to re-experience biliary colic, and their annual rate to develop biliary complications is 1%–2%.
True/False: Charcot’s triad occurs in over 90% of patients with acute ascending cholangitis.
False. The triad of fever, RUQ abdominal pain, and jaundice occurs in 50%–75% of patients with acute cholangitis. The added presence of confusion and hypotension (Reynold’s pentad) is suggestive of acute suppurative cholangitis and is associated with a higher morbidity and mortality.
What are the advantages and disadvantages of nasobiliary drainage?
Advantages include the ability to repeat cholangiography and to remove it without the need of a second ERCP. The risk of infection when improperly cared for, poor patient acceptance and discomfort, and potential for electrolyte disturbances from external drainage of bile have been cited as disadvantages of this approach.
What is the sump syndrome?
The sump syndrome is a complication of choledochoduodenostomy in which food debris accumulates in the bypassed segment of the native biliary tree. Recurrent episodes of pain or cholangitis may occur. These episodes may effectively be treated by endoscopic sphincterotomy of the native ampulla with removal of the debris.
Name three possible mechanisms of benign obstruction at the level of the ampulla.
Inflammation, fibrosis, or muscular hypertonicity.
True/False: Biliary obstruction due to duodenal diverticula is a common occurrence.
False. One should be wary of attributing biliary obstruction to a duodenal diverticulum. It is much more likely that the diverticulum is an innocent bystander and that the jaundice is due to a more common cause, particularly gallstones.
What is the role of percutaneous cholecystolithotomy?
This technique is being increasingly used in elderly and high-risk patients unsuitable for laparoscopic cholecystectomy. It may be successful in achieving stone clearance but is associated with a high incidence of recurrent stone formation.
Some patients undergoing laparoscopic cholecystectomy may have CBD stones that may not be suspected at the time of the procedure. What is the natural history of these unsuspected CBD stones?
Unsuspected CBD stones are detected in 1.2%–14% of patients undergoing cholecystectomy. A number of reports have documented the spontaneous passage of CBD stones into the duodenum. Only 0.5%–0.8% of patients undergoing laparoscopic cholecystectomy will subsequently return with problems due to unsuspected CBD stones. These patients can easily be managed by ERC with sphincterotomy and stone extraction.
True/False: ERC should be performed routinely prior to laparoscopic cholecystectomy.
False. When comparing the low yield of detecting anatomic variants (3%) and clinically unsuspected stones (3.9%) versus a generally accepted 3%–7% complication rate of ERC, the routine use of ERC prior to laparoscopic cholecystectomy is unwarranted.
In what situations should preoperative ERC be considered prior to cholecystectomy?
ERC should be considered preoperatively in patients with severe gallstone pancreatitis or acute cholangitis, in those with a high probability of having CBD stones or when there is a significant possibility of other pathology.
What factors predict the presence of CBD stones?
Four independent predictors of CBD stones are: 1) Age greater than 55 years, 2) elevated bilirubin over 1.7 mg/dL, 3) dilated CBD (> 6 mm) on ultrasonography, and 4) suspected or detected CBD stone on ultrasonography.
What is the probability of finding CBD stones using this four-predictor model?
When tested prospectively in patients suspected of having CBD stones, this model demonstrated that CBD stones were present in only 8% with none of the four predictors compared to 66% with two or more.
As independent parameters, which of these predictors has the highest positive predictive value?
As independent parameters, increased bile duct diameter and presence of stones on ultrasonography had the highest positive predictive value for detecting a CBD stone (64% and 78%, respectively).
What is the best approach to take in patients with severe gallstone pancreatitis?
ERCP with sphincterotomy is the therapy of choice in this situation, especially in the presence of cholangitis. Early cholecystectomy with CBD exploration is associated with high morbidity and mortality rates and is not the best initial approach in this setting.
What is a characteristic radiographic finding seen with a cholecystoenteric fistula?
Air in the biliary tree (pneumobilia), small bowel obstructive pattern (gallstone ileus), or a stone may be seen in the right lower quadrant. This fistula occurs when a large gallstone erodes through the gallbladder into the adjacent bowel.
In what clinical settings should you order cholescintigraphy (hepatobiliary scintigraphy)?
Suspected acute cholecystitis and the evaluation of suspected postcholecystectomy bile leak.
What are the common clinical presentations of gallstone disease during pregnancy?
Worsening biliary colic and acute cholecystitis are the most common clinical presentations. Jaundice and acute pancreatitis as a result of choledocholithiasis are rare.
True/False: Cholelithiasis is caused in pregnant women primarily by mechanical blockage of the gallbladder.
False. Pregnancy decreases gallbladder motility. Estrogens cause bile to supersaturate and become lithogenic due to increase in cholesterol in bile. Progesterone decreases bile acid secretion also causing supersaturated bile. More hydrophobic bile acids are produced, which reduces the capacity to solubilize cholesterol.
Which imaging study demonstrated in Figure 39-4 is comparable to ERCP for detecting choledocholithiasis?

Figure 39-4
Endoscopic ultrasound (EUS) has a positive predictive value of 99%, a negative predictive value of 98%, and accuracy rate of 97% for detecting choledocholithiasis compared to ERC. Magnetic resonance cholangiopancreatography (MRCP) shown in the Figures 39-5A and B is the next best test with sensitivity and specificity of 93% and 94%, respectively.

Figure 39-5A, B
True/False: Pregnant patients with gallbladder sludge diagnosed during pregnancy have a very high risk of gallstone formation.
False. The prevalence of sludge in pregnant women ranges from 5% to 35%. Postpartum, approximately 60% of patients will have resolution of gallbladder sludge.
True/False: In the elderly, biliary symptoms usually precede the development of acute cholecystitis.
False. However, in general, most patients with acute cholecystitis have had previous attacks of biliary colic.
True/False: Gallstones are more common in diabetics.
False. However, diabetics have a higher incidence of related complications compared to the nondiabetic population.
What percentage of patients with acute calculous cholecystitis has associated choledocholithiasis?
Choledocholithiasis is present in 5%–20% of patients with gallstone disease.
What percentage of patients has concomitant gallstones in the gallbladder and the CBD?
15%.
Name two anatomic variants leading to the development of CBD stones.
Juxtapapillary diverticulum and entry of the long cystic duct to the distal CBD.
What is the recurrence rate of gallstones in patients treated with ursodeoxycholic acid?
Recurrence is common; approximately 50% recur within a 5-year period. Patients should be monitored for gallstone recurrence by performing ultrasonography every 6 months for the first year. If all stones disappear, the treatment should be continued for 1–3 months. For recurrences, a second course may be effective.
What is the most common cause of ampullary obstruction?
Stones in the CBD.
• • • SUGGESTED READINGS • • •
van Santvoort HC, Bakker OJ, Besselink MG, et al; Dutch Pancreatitis Study Group. Prediction of common bile duct stones in the earliest stages of acute biliary pancreatitis. Endoscopy. 2011;43(1):8-13.
Venneman NG, van Erpecum KJ. Pathogenesis of gallstones. Gastroenterol Clin North Am. 2010;39(2):171-183.
Festi D, Reggiani ML, Attili AF, et al. Natural history of gallstone disease: Expectant management or active treatment? Results from a population-based cohort study. J Gastroenterol Hepatol. 2010;25(4):719-724.