NOMENCLATURE
FIRST-TRIMESTER SPONTANEOUS ABORTION
CLINICAL CLASSIFICATION OF SPONTANEOUS ABORTION
MANAGEMENT OF SPONTANEOUS ABORTION
RECURRENT MISCARRIAGE
MIDTRIMESTER ABORTION
CERVICAL INSUFFICIENCY
INDUCED ABORTION
TECHNIQUES FOR ABORTION
SURGICAL ABORTION
MEDICAL ABORTION
MIDTRIMESTER ABORTION
CONSEQUENCES OF ELECTIVE ABORTION
The word abortion derives from the Latin aboriri—to miscarry. Abortion is defined as the spontaneous or induced termination of pregnancy before fetal viability. It thus is appropriate that miscarriage and abortion are terms used interchangeably in a medical context. But because popular use of abortion by laypersons implies a deliberate intact pregnancy termination, many prefer miscarriage for spontaneous fetal loss. Newer terms made possible by widespread use of sonography and human chorionic gonadotropin measurements that identify extremely early pregnancies include early pregnancy loss, wastage, or failure. Throughout this book, these are all used at one time or another.
NOMENCLATURE
Terminology used to define fetal viability and thus an abortus has tremendous medical, legal, and social import. Viability lies between the lines that separate abortion from preterm birth. It is usually defined by pregnancy duration and fetal birthweight for statistical and legal purposes (Chap. 1, p. 2). This has led to incongruities in definitions from authoritative organizations. Importantly, the National Center for Health Statistics, the Centers for Disease Control and Prevention, and the World Health Organization all define abortion as pregnancy termination before 20 weeks’ gestation or with a fetus born weighing < 500 g. These criteria, however, are somewhat contradictory because the mean birthweight of a 20-week fetus is 320 g, whereas 500 g is the mean for 22 to 23 weeks (Moore, 1977). Further confusion may derive from criteria set by state laws that define abortion even more widely.
As indicated above, technological developments have revolutionized current abortion terminology. Transvaginal sonography (TVS) and precise measurement of serum human chorionic gonadotropin (hCG) concentrations are used to identify extremely early pregnancies as well as those with an intrauterine versus ectopic location. Ubiquitous application of these practices makes it possible to distinguish between a chemical and a clinical pregnancy. An ad hoc international consensus group has proposed the term pregnancy of unknown location—PUL—with the goal of early identification and management of ectopic pregnancy (Barnhart, 2011; Doubilet, 2013). Management options for ectopic gestation are described in Chapter 19 (p. 384). Uterine pregnancies that eventuate in a spontaneous abortion are also termed early pregnancy loss or early pregnancy failure.
Terms that have been in clinical use for many decades are generally used to describe later pregnancy losses. These include:
1. Spontaneous abortion—this category includes threatened, inevitable, incomplete, complete, and missed abortion. Septic abortion is used to further classify any of these that are complicated further by infection.
2. Recurrent abortion—this term is variably defined, but it is meant to identify women with repetitive spontaneous abortions so that an underlying factor(s) can be treated to achieve a viable newborn.
3. Induced abortion—this term is used to describe surgical or medical termination of a live fetus that has not reached viability.
FIRST-TRIMESTER SPONTANEOUS ABORTION
Pathogenesis
More than 80 percent of spontaneous abortions occur within the first 12 weeks of gestation. With first-trimester losses, death of the embryo or fetus nearly always precedes spontaneous expulsion. Death is usually accompanied by hemorrhage into the decidua basalis. This is followed by adjacent tissue necrosis that stimulates uterine contractions and expulsion. An intact gestational sac is usually filled with fluid and may or may not contain an embryo or fetus. Thus, the key to determining the cause of early miscarriage is to ascertain the cause of fetal death. In contradistinction, in later pregnancy losses, the fetus usually does not die before expulsion, and thus other explanations are sought.
Incidence
Statistics regarding the incidence of spontaneous abortion vary according to the diligence used for its recognition. Wilcox and colleagues (1988) studied 221 healthy women through 707 menstrual cycles and found that 31 percent of pregnancies were lost after implantation. They used highly specific assays for minute concentrations of maternal serum β-hCG and reported that two thirds of these early losses were clinically silent.
Currently, there are factors known to influence clinically apparent spontaneous abortion, however, it is unknown if these same factors affect clinically silent miscarriages. By way of example, the rate of clinical miscarriages is almost doubled when either parent is older than 40 years (Gracia, 2005; Kleinhaus, 2006). But, it is not known if clinically silent miscarriages are similarly affected by parental age.
Fetal Factors
As shown in Table 18-1, approximately half of miscarriages are anembryonic, that is, with no identifiable embryonic elements. Less accurately, the term blighted ovum may be used (Silver, 2011). The other 50 percent are embryonicmiscarriages, which commonly display a developmental abnormality of the zygote, embryo, fetus, or at times, the placenta. Of embryonic miscarriage, half of these—25 percent of all abortuses—have chromosomal anomalies and thus are aneuploid abortions. The remaining cases are euploid abortions, that is, carrying a normal chromosomal complement.
TABLE 18-1. Chromosomal Findings in First-Trimester Abortuses

Aneuploid Abortion
Both abortion rates and chromosomal anomalies decrease with advancing gestational age. As shown in Figure 18-1, 50 percent of embryonic abortions are aneuploid, but chromosomal abnormalities are found in just a third of second-trimester fetal losses and in only 5 percent of third-trimester stillbirths. Aneuploid abortion occurs at earlier gestational ages. Kajii and associates (1980) noted that 75 percent of aneuploid abortions occurred by 8 weeks. Of these, 95 percent of chromosomal abnormalities are caused by maternal gametogenesis errors, and 5 percent by paternal errors (Jacobs, 1980). Some found most common are listed in Table 18-1.

FIGURE 18-1 Frequency of chromosomal anomalies in abortuses and stillbirths during each trimester. Approximate percentages for each group are shown. (Data from Eiben, 1990; Fantel, 1980; Warburton, 1980.)
With first-trimester miscarriages, autosomal trisomy is the most frequently identified chromosomal anomaly. Although most trisomies result from isolated nondisjunction, balanced structural chromosomal rearrangements are found in one partner in 2 to 4 percent of couples with recurrent miscarriages. Trisomies have been identified in abortuses for all except chromosome number 1, and those with 13, 16, 18, 21, and 22 are most common. A previous miscarriage increases the baseline risk for aneuploidy in a subsequent fetus from 1.4 to 1.7 percent (Bianco, 2006). With two or three previous miscarriages, the risk increases to 1.8 and 2.2 percent, respectively.
Monosomy X (45,X) is the single most frequent specific chromosomal abnormality. This is Turner syndrome, which usually results in abortion, but liveborn females are described (Chap. 13, p. 264). Conversely, autosomal monosomy is rare and incompatible with life.
Triploidy is often associated with hydropic or molar placental degeneration (Chap. 20, p. 398). The fetus within a partial hydatidiform mole frequently aborts early, and the few carried longer are all grossly deformed. Advanced maternal and paternal age do not increase the incidence of triploidy. Tetraploid fetuses most often abort early in gestation, and they are rarely liveborn. Last, chromosomal structural abnormalities infrequently cause abortion.
Euploid Abortion
Chromosomally normal fetuses abort later than those that are aneuploid. Specifically, the rate of euploid abortions peaks at approximately 13 weeks (Kajii, 1980). In addition, the incidence of euploid abortions increases dramatically after maternal age exceeds 35 years (Stein, 1980).
Maternal Factors
The causes of euploid abortions are poorly understood, but various medical disorders, environmental conditions, and developmental abnormalities have been implicated. One example is the well-known influence of maternal age just described.
Infections
Some common viral, bacterial, and other infectious agents that invade the normal human can cause pregnancy loss. Many are systemic and infect the fetoplacental unit by blood-borne organisms. Others may infect locally through genitourinary infection or colonization. However, despite the numerous infections acquired in pregnancy, these uncommonly cause early abortion. Brucella abortus, Campylobacter fetus, and Toxoplasma gondii infections cause abortion in livestock, but their role in human pregnancy is less clear (Feldman, 2010; Hide, 2009; Mohammad, 2011; Vilchez, 2014). There appear to be no abortifacient effects of infections caused by Listeria monocytogenes, parvovirus, cytomegalovirus, or herpes simplex virus (Brown, 1997; Feldman, 2010). One possible exception is infection with Chlamydia trachomatis, which was found to be present in 4 percent of abortuses compared with < 1 percent of controls (Baud, 2011). Another is polymicrobial infection from periodontal disease that has been linked with a two- to fourfold increased risk (Holbrook, 2004; Moore, 2004; Xiong, 2007).
Data concerning a link between some other infections and increased abortion are conflicting. Examples are Mycoplasma and Ureaplasma (Quinn, 1983a,b; Temmerman, 1992). Another is an association with human immunodeficiency virus (HIV) (Quinn, 1983a,b; van Benthem, 2000). Oakeshott and coworkers (2002) reported an association between second-, but not first-, trimester miscarriage and bacterial vaginosis.
Medical Disorders
In general, early abortions are rarely due to chronic wasting diseases such as tuberculosis or carcinomatosis. There are a few specific disorders possibly linked with increased early pregnancy loss. Those associated with diabetes mellitus and thyroid disease are discussed subsequently. Another example is celiac disease, which has been reported to cause recurrent abortions as well as both male and female infertility (Sharshiner, 2013; Sher, 1994). Unrepaired cyanotic heart disease is likely a risk for abortion, and in some, this may persist after repair (Canobbio, 1996). Eating disorders—anorexia nervosa and bulimia nervosa—have been linked with subfertility, preterm delivery, and fetal-growth restriction. Their association with miscarriage, however, is less well studied (Andersen, 2009; Sollid, 2004). Inflammatory bowel disease and systemic lupus erythematosus may increase the risk (Al Arfaj, 2010; Khashan, 2012). Chronic hypertension does not appear to confer significant risk (Ankumah, 2013). Perhaps related, women with a history of recurrent miscarriages were reported to be at increased risk for fetal-growth restriction (Catov, 2008). Another possible link with vascular disease is that women with multiple miscarriages are more likely to later suffer a myocardial infarction (Kharazmi, 2011).
Medications. Only a few medications have been evaluated concerning a role with early pregnancy loss. Oral contraceptives or spermicidal agents used in contraceptive creams and jellies are not associated with an increased miscarriage rate. Similarly, nonsteroidal antiinflammatory drugs or ondansetron are not linked (Edwards, 2012; Pasternak, 2013). A pregnancy with an intrauterine device (IUD) in situ has an increased risk of abortion and specifically of septic abortion (Chap. 38, p. 700). With the newer IUDs, Moschos and Twickler (2011) reported that only 6 of 26 intact pregnancies aborted before 20 weeks. Finally, studies have shown no increase in pregnancy loss rates with meningococcal conjugate or trivalent inactivated influenza vaccines (Irving, 2013; Zheteyeva, 2013).
Cancer. Therapeutic doses of radiation are undeniably abortifacient, but doses that cause abortion are not precisely known (Chap. 46, p. 930). According to Brent (2009), exposure to < 5 rads does not increase the risk.
Cancer survivors who were previously treated with abdominopelvic radiotherapy may later be at increased risk for miscarriage. Wo and Viswanathan (2009) reported an associated two- to eightfold increased risk for miscarriages, low-birthweight and growth-restricted infants, preterm delivery, and perinatal mortality in women previously treated with radiotherapy. Hudson (2010) found an associated increased risk for miscarriage in those given radiotherapy and chemotherapy in the past for a childhood cancer.
The effects of chemotherapy in causing abortion are not well defined (Chap. 12, p. 248). Particularly worrisome are women with an early normal gestation erroneously treated with methotrexate for an ectopic pregnancy (Chap. 19, p. 384). In a report of eight such cases, two viable-size fetuses had multiple malformations. In the remaining six cases, three each had a spontaneous or induced abortion (Nurmohamed, 2011).
Diabetes Mellitus
The abortifacient effects of uncontrolled diabetes are well-known. Optimal glycemic control will mitigate much of this loss and is discussed in Chapters 8 (p. 157) and 57 (p. 1128). Spontaneous abortion and major congenital malformation rates are both increased in women with insulin-dependent diabetes. This is directly related to the degree of periconceptional glycemic and metabolic control.
Thyroid Disorders
These have long been suspected to cause early pregnancy loss and other adverse pregnancy outcomes. Severe iodine deficiency, which is infrequent in developed countries, has been associated with increased miscarriage rates (Castañeda, 2002). Varying degrees of thyroid hormone insufficiency are common in women. Although the worst—overt hypothyroidism—is infrequent in pregnancy, subclinical hypothyroidism has an incidence of 2 to 3 percent (Casey, 2005; Garber, 2012). Both are usually caused by autoimmune Hashimoto thyroiditis, in which both incidence and severity accrue with age. Despite this common prevalence, any increased risks for miscarriage due to hypothyroidism are still unclear (Krassas, 2010; Negro, 2010). That said, De Vivo (2010) reported that subclinical thyroid hormone deficiency may be associated with very early pregnancy loss.
The prevalence of abnormally high serum levels of antibodies to thyroid peroxidase or thyroglobulin is nearly 15 percent in pregnant women (Abbassi-Ghanavati, 2010; Haddow, 2011). Although most of these women are euthyroid, those with clinical hypothyroidism tend to have higher concentrations of antibodies. Even in euthyroid women, however, antibodies are a marker for increased miscarriage (Benhadi, 2009; Chen, 2011; Thangaratinam, 2011). This has been confirmed by two prospective studies, and preliminary data from one suggest that thyroxine supplementation decreases this risk (Männistö, 2009; Negro, 2006). Effects associated with thyroid disorders in women with recurrent miscarriage are considered further on page 359.
Surgical Procedures
The risk of miscarriage caused by surgery is not well studied. There is extensive interest in pregnancy outcomes following bariatric surgery, because as discussed on page 353, obesity is an uncontested risk factor for miscarriage. However, currently, it is not known if this risk is mitigated by weight-reduction surgery (Guelinckx, 2009).
It is likely that uncomplicated surgical procedures performed during early pregnancy do not increase the risk for abortion (Mazze, 1989). Ovarian tumors can generally be resected without causing miscarriage (Chap. 63, p. 1227). An important exception involves early removal of the corpus luteum or the ovary in which it resides. If performed before 10 weeks’ gestation, supplemental progesterone should be given. Between 8 and 10 weeks, a single 150-mg intramuscular injection of 17-hydroxyprogesterone caproate is given at the time of surgery. If between 6 to 8 weeks, then two additional 150-mg injections should be given 1 and 2 weeks after the first. Other progesterone regimens include: (1) oral micronized progesterone (Prometrium), 200 or 300 mg orally once daily, or (2) 8-percent progesterone vaginal gel (Crinone) given intravaginally as one premeasured applicator daily plus micronized progesterone 100 or 200 mg orally once daily continued until 10 weeks’ gestation.
Trauma seldom causes first-trimester miscarriage, and although Parkland Hospital is a busy trauma center, this is an infrequent association. Major trauma—especially abdominal—can cause fetal loss, but is more likely as pregnancy advances (Chap. 47, p. 950).
Nutrition
Extremes of nutrition—severe dietary deficiency and morbid obesity—are associated with increased miscarriage risks. Dietary quality may also be important, as this risk may be reduced in women who consume fresh fruit and vegetables daily (Maconochie, 2007).
Sole deficiency of one nutrient or moderate deficiency of all does not appear to increase risks for abortion. Even in extreme cases—for example, hyperemesis gravidarum—abortion is rare (Maconochie, 2007). Other examples discussed on page 352 are anorexia and bulimia nervosa. Importantly, Bulik and colleagues (2010) reported that half of pregnancies in women with anorexia nervosa were unplanned.
Obesity is associated with a litany of adverse pregnancy outcomes (Chap. 48, p. 965). These include subfertility and an increased risk of miscarriage and recurrent abortion (Jarvie, 2010; Lashen, 2004; Satpathy, 2008). In a study of 6500 women who conceived with in vitro fertilization (IVF), live birth rates were reduced progressively for each body mass index (BMI) unit increase (Bellver, 2010a). As noted earlier, although the risks for many adverse late-pregnancy outcomes are decreased after bariatric surgery, any salutary effects on the miscarriage rate are not clear (Guelinckx, 2009).
Social and Behavioral Factors
Lifestyle choices reputed to be associated with an increased miscarriage risk are most commonly related to chronic and especially heavy use of legal substances. The most common used is alcohol, with its potent teratogenic effects discussed in Chapter 12 (p. 245). That said, an increased miscarriage risk is only seen with regular or heavy use (Floyd, 1999; Maconochie, 2007). In fact, low-level alcohol consumption does not significantly increase the abortion risk (Cavallo, 1995; Kesmodel, 2002).
At least 15 percent of pregnant women admit to cigarette smoking (Centers for Disease Control and Prevention, 2013). It seems intuitive, but unproven, that cigarettes could cause early pregnancy loss by a number of mechanisms that cause adverse late-pregnancy outcomes (Catov, 2008).
Excessive caffeine consumption—not well defined—has been associated with an increased abortion risk. There are reports that heavy intake of approximately five cups of coffee per day—about 500 mg of caffeine—slightly increases the abortion risk (Armstrong, 1992; Cnattingus, 2000; Klebanoff, 1999). Studies of “moderate”—less than 200 mg daily—did not increase the risk (Savitz, 2008; Weng, 2008). Currently, the American College of Obstetricians and Gynecologists (2013b) has concluded that moderate consumption likely is not a major abortion risk and that any associated risk with higher intake is unsettled. Adverse effects of illicit drugs are discussed in Chapter 12 (p. 253).
Occupational and Environmental Factors
It is intuitive to limit exposure of pregnant women to any toxin. That said, although some environmental toxins such as benzene are implicated in fetal malformations, data with miscarriage risk is less clear (Lupo, 2011). The major reason is that it is not possible to accurately assess environmental exposures. Earlier reports that implicated some chemicals as increasing miscarriage risk include arsenic, lead, formaldehyde, benzene, and ethylene oxide (Barlow, 1982). More recently, there is evidence that DDT—dichlorodiphenyltrichloroethane—may cause excessive miscarriage rates (Eskenazi, 2009). In fact, use of DDT-containing insecticides had been suspended. But in 2006, it was again and is still endorsed by the World Health Organization (2011) for mosquito control for malaria prevention.
There are even fewer studies of occupational exposures and abortion risks. In a follow-up of the Nurses Health Study II, Lawson and associates (2012) reported slightly increased miscarriage risks in nurses exposed to antineoplastic drugs, sterilizing agents, and x-rays. Some of these found that exposure to video display terminals or to ultrasound did not increase miscarriage rates (Schnorr, 1991; Taskinen, 1990). Increased miscarriage risk was found for dental assistants exposed to more than 3 hours of nitrous oxide daily if there was no gas-scavenging equipment (Boivin, 1997; Rowland, 1995). Conclusions from a metaanalysis were that there is a small incremental risk for spontaneous abortion in women who worked with cytotoxic antineoplastic chemotherapeutic agents (Dranitsaris, 2005).
Immunological Factors
The immune tolerance of the mother to the paternal-haploid fetal combination remains enigmatic (Calleja-Agius, 2011; Williams, 2012). This is discussed in greater detail in Chapter 5 (p. 97). There is, however, an increased risk for early pregnancy loss with some immune-mediated disorders. The most potent of these are antiphospholipid antibodies directed against binding proteins in plasma (Erkan, 2011). These along with clinical and laboratory findings provide criteria for the antiphospholipid antibody syndrome—APS (American College of Obstetricians and Gynecologists, 2012). Because associated pregnancy loss can be repetitive, recurrent miscarriage due to APS is discussed on page 359.
Inherited Thrombophilias
Although thrombophilias were initially linked to various pregnancy outcomes, most putative associations have been refuted. Currently, the American College of Obstetricians and Gynecologists (2013a) is of the opinion that there is not a definitive causal link between these thrombophilias and adverse pregnancy outcomes in general, and abortion in particular.
Uterine Defects
Various inherited and acquired uterine defects are known to cause both early and late recurrent miscarriages, and they are considered on page 358.
Paternal Factors
These factors in the genesis of miscarriage are not well studied. Chromosomal abnormalities in sperm reportedly had an increased abortion risk (Carrell, 2003). Increasing paternal age was significantly associated with increased risk for abortion in the Jerusalem Perinatal Study (Kleinhaus, 2006). This risk was lowest before age 25 years, after which it progressively increased at 5-year intervals.
Clinical Classification of Spontaneous Abortion
Threatened Abortion
The clinical diagnosis of threatened abortion is presumed when bloody vaginal discharge or bleeding appears through a closed cervical os during the first 20 weeks (Hasan, 2009). Bleeding in early pregnancy must be differentiated from implantation bleeding, which some women have at the time of the expected menses (Chap. 5, p. 90). Almost a fourth of women develop clinically significant bleeding during early gestation that may persist for days or weeks. With miscarriage, bleeding usually begins first, and cramping abdominal pain follows hours to days later. There may be low-midline clearly rhythmic cramps; persistent low backache with pelvic pressure; or dull and midline suprapubic discomfort. Bleeding is by far the most predictive risk factor for pregnancy loss (Eddleman, 2006). Overall, approximately half will abort, but this risk is substantially less if there is fetal cardiac activity (Tongsong, 1995).
Even if miscarriage does not follow early bleeding, the risk for later adverse pregnancy outcomes is increased as shown in Table 18-2. In the study of almost 1.8 million pregnancies from the Danish National Patient Registry, there was a threefold risk for many of these pregnancy complications.
TABLE 18-2. Adverse Outcomes That are Increased in Women with Threatened Abortion

Threatened Abortion versus Ectopic Pregnancy. Every woman with an early pregnancy, vaginal bleeding, and pain should be evaluated. The primary goal is prompt diagnosis of an ectopic pregnancy. As discussed in Chapter 19(p. 381), serial quantitative serum β-hCG and progesterone levels and transvaginal sonography are used to ascertain if there is an intrauterine live fetus. Because these are not 100-percent accurate to confirm early fetal death or location, repeat evaluations are often necessary. Serum hCG levels in women with bleeding who went on to have an early miscarriage are shown in Figure 18-2and in Table 19-1 (p. 381). Values for women with early pregnancy bleeding who went on to have a normal pregnancy are shown in Figure 18-3. Several predictive models have been described (Barnhart, 2010; Condous, 2007; Connolly, 2013). With a robust uterine pregnancy, serum β-hCG levels should increase at least 53 to 66 percent every 48 hours (Barnhart, 2004a; Kadar, 1982). Serum progesterone concentrations < 5 ng/mL suggest a dying pregnancy, whereas values > 20 ng/mL support the diagnosis of a healthy pregnancy.

FIGURE 18-2 Composite curve describing decline in serial human chorionic gonadotropin (hCG) values starting at a level of 2000 mIU/mL following early spontaneous miscarriage. The dashed line is the predicted curve based on the summary of data from all women. The colored area within the dashed lines represents the 95-percent confidence intervals. (Data from Barnhart, 2004a.)

FIGURE 18-3 Composite curve of increasing serum levels of beta-human chorionic gonadotropin (β-hCG) in women with early bleeding and subsequent normal pregnancy. (Data from Barnhart, 2004b.)
Transvaginal sonography is used to locate the pregnancy and determine if the fetus is alive. If this cannot be done, then pregnancy of unknown location is diagnosed (Chap. 19, p. 381). The gestational sac—an anechoic fluid collection that represents the exocoelomic cavity—may be seen by 4.5 weeks (Fig. 9-3, p. 170). At this same time, β-hCG levels are generally considered to be 1500 to 2000 mIU/mL (Barnhart, 1994; Timor-Tritsch, 1988). Connolly and colleagues (2013) observed that this value could be as low as 390 mIU/mL, but also noted that a threshold as high as 3500 mIU/mL may be needed to identify the gestational sac in 99 percent of cases.
Another caveat is that a gestational sac may appear similar to other intrauterine fluid accumulations—the so-called pseudogestational sac (Fig. 19-5, p. 382). This pseudosac may be seen with ectopic pregnancy and is easier to exclude once a yolk sac is seen. Typically, the yolk sac is visible by 5.5 weeks and with a mean gestational-sac diameter of 10 mm. Thus, the diagnosis of a uterine pregnancy should be made cautiously if the yolk sac is not yet seen (American College of Obstetricians and Gynecologists, 2011e).
At 5 to 6 weeks, a 1- to 2-mm embryo adjacent to the yolk sac can be seen (Daya, 1993). Absence of an embryo in a sac with a mean sac diameter of 16 to 20 mm suggests a dead fetus (Levi, 1988; Nyberg, 1987). Finally, fetal cardiac activity can be detected at 6 to 6.5 weeks with an embryonic length of 1 to 5 mm and a mean sac diameter of 13 to 18 mm. A 5-mm embryo without cardiac activity is likely dead (Goldstein, 1992; Levi, 1990).
There are various management schemes derived from these findings. At Parkland Hospital, to ensure that live intrauterine pregnancies are not interrupted, we define the threshold of embryo fetal death based on values two standard deviations from the mean. Thus, an anembryonic gestation is diagnosed when the mean gestational sac diameter measures ≥ 20 mm and no embryo is seen. Embryonic death is also diagnosed if an embryo measuring ≥ 10 mm has no cardiac activity.
Management. Acetaminophen-based analgesia will help relieve discomfort from cramping. If uterine evacuation is not indicated, bed rest is often recommended but does not improve outcomes. Neither has treatment with a host of medications that include chorionic gonadotropin (Devaseelan, 2010). With persistent or heavy bleeding, the hematocrit is determined. If there is significant anemia or hypovolemia, then pregnancy evacuation is generally indicated. In these cases in which there is a live fetus, some choose transfusion and further observation.
Anti-D Immunoglobulin. With spontaneous miscarriage, 2 percent of Rh D-negative women will become alloimmunized if not provided passive isoimmunization. With an induced abortion, this rate may reach 5 percent. The American College of Obstetricians and Gynecologists (2013c) recommends anti-Rh0 (D) immunoglobulin given as 300 μg intramuscularly (IM) for all gestational ages, or 50 μg IM for pregnancies ≤ 12 weeks and 300 μg for ≥ 13 weeks.
With threatened abortion, immunoglobulin prophylaxis is controversial because of sparse evidence-based data (American College of Obstetricians and Gynecologists, 2013c; Hannafin, 2006; Weiss, 2002). That said, some choose to administer anti-D immunoglobulin up to 12 weeks’ gestation for a threatened abortion and a live fetus. At Parkland Hospital, we administer a 50-μg dose to all Rh D-negative women with first-trimester bleeding.
Inevitable Abortion
In the first trimester, gross rupture of the membranes along with cervical dilatation is nearly always followed by either uterine contractions or infection. A gush of vaginal fluid during the first half of pregnancy usually has serious consequences. In some cases not associated with pain, fever, or bleeding, fluid may have collected previously between the amnion and chorion. If this is documented, then diminished activity with observation is a reasonable course. After 48 hours, if no additional amnionic fluid has escaped and if there is no bleeding, cramping, or fever, then a woman may resume ambulation and pelvic rest. With bleeding, cramping, or fever, abortion is considered inevitable, and the uterus is evacuated.
Incomplete Abortion
Bleeding that follows partial or complete placental separation and dilation of the cervical os is termed incomplete abortion. The fetus and the placenta may remain entirely within the uterus or partially extrude through the dilated os. Before 10 weeks, they are frequently expelled together, but later, they deliver separately. Management options of incomplete abortion include curettage, medical abortion, or expectant management in clinically stable women as discussed on page 357. With surgical therapy, additional cervical dilatation may be necessary before suction curettage. In others, retained placental tissue simply lies loosely within the cervical canal and can be easily extracted with ring forceps.
Complete Abortion
At times, expulsion of the entire pregnancy may be completed before a woman presents to the hospital. A history of heavy bleeding, cramping, and passage of tissue or a fetus is common. Importantly, during examination, the cervical os is closed. Patients are encouraged to bring in passed tissue, which may be a complete gestation, blood clots, or a decidual cast. The last is a layer of endometrium in the shape of the uterine cavity that when sloughed can appear as a collapsed sac (Fig. 19-3, p. 379).
If an expelled complete gestational sac is not identified, sonography is performed to differentiate a complete abortion from threatened abortion or ectopic pregnancy. Characteristic findings of a complete abortion include a minimally thickened endometrium without a gestational sac. However, this does not guarantee a recent uterine pregnancy. Condous and associates (2005) described 152 women with heavy bleeding, an empty uterus with endometrial thickness < 15 mm, and a diagnosis of completed miscarriage. Six percent were subsequently proven to have an ectopic pregnancy. Thus, unless products of conception are seen or unless sonography confidently documents, at first an intrauterine pregnancy, and then later an empty cavity, a complete abortion cannot be surely diagnosed. In unclear settings, serial serum hCG measurements aid clarification. With complete abortion, these levels drop quickly (Connolly, 2013).
Missed Abortion
Also termed early pregnancy failure or loss, missed abortion, as originally defined, is contemporaneously misused compared with its meaning many decades ago. Historically, the term was used to describe dead products of conception that were retained for days, weeks, or even months in the uterus with a closed cervical os. Early pregnancy appeared to be normal with amenorrhea, nausea and vomiting, breast changes, and uterine growth. Because suspected fetal death could not be confirmed, expectant management was the sole option, and spontaneous miscarriage would eventually ensue. And because the time of fetal death could not be determined clinically, pregnancy duration—and thus fetal age—was erroneously calculated from the last menses. To elucidate these disparities, Streeter (1930) studied aborted fetuses and reported that the mean death-to-abortion interval was approximately 6 weeks.
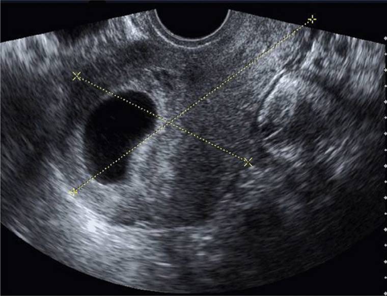
This historical description of missed abortion is in contrast to that defined currently based on results of serial serum β-hCG assays and transvaginal sonography (Fig. 18-4). With rapid confirmation of fetal or embryonic death, many women choose uterine evacuation. Although many classify these as a missed abortion, the term is used interchangeably with early pregnancy loss or wastage (Silver, 2011).

FIGURE 18-4 Transvaginal sonogram displays a large anechoic sac consistent with an anembryonic gestation. Calipers measure uterine length and anteroposterior thickness in a sagittal plane.
Septic Abortion
Horrific infections and maternal deaths associated with criminal septic abortions have become rare with legalized abortion. Still, perhaps 1 to 2 percent of women with threatened or incomplete miscarriage develop a pelvic infection and sepsis syndrome. Elective abortion, either surgical or medical, is also occasionally complicated by severe and even fatal infections (Barrett, 2002; Ho, 2009). Bacteria gain uterine entry and colonize dead conception products. Organisms may invade myometrial tissues and extend to cause parametritis, peritonitis, septicemia, and, rarely, endocarditis (Vartian, 1991). Particularly worrisome are severe necrotizing infections and toxic shock syndrome caused by group A streptococcus—S pyogenes (Daif, 2009).
During the last few years, rare but severe infections with otherwise low-virulence organisms have complicated medical abortions. Deaths have been reported from toxic shock syndrome due to Clostridium perfringens (Centers for Disease Control and Prevention, 2005). Similar infections are caused by Clostridium sordellii and have clinical manifestations that begin within a few days after an abortion. Women may be afebrile when first seen with severe endothelial injury, capillary leakage, hemoconcentration, hypotension, and a profound leukocytosis (Cohen, 2007; Fischer, 2005; Ho, 2009). Maternal deaths from these clostridial species approximate 0.58 per 100,000 medical abortions (Meites, 2010).
Management of clinical infection includes prompt administration of broad-spectrum antibiotics as discussed in Chapter 37 (p. 685). If there are retained products or fragments, then suction curettage is also performed. Most women respond to this treatment within 1 to 2 days, and they are discharged when afebrile. Follow-up oral antibiotic treatment is likely unnecessary (Savaris, 2011). In a very few women, severe sepsis syndrome causes acute respiratory distress syndrome, acute kidney injury, or disseminated intravascular coagulopathy. In these cases, intensive supportive care is essential (Chap. 47, p. 940).
To prevent postabortal sepsis, prophylactic antibiotics are given at the time of induced abortion or spontaneous abortion that requires medical or surgical intervention. The American College of Obstetricians and Gynecologists (2011b) recommends doxycycline, 100 mg orally 1 hr before and then 200 mg orally after a surgical evacuation. At Planned Parenthood clinics, for medical abortion, doxycycline 100 mg is taken orally daily for 7 days and begins with abortifacient administration (Fjerstad, 2009b).
Management of Spontaneous Abortion
With embryofetal death now easy to verify with current sonographic technology, management can be more individualized. Unless there is serious bleeding or infection with an incomplete abortion, any of three options are reasonable—expectant, medical, or surgical management. Each has its own risks and benefits—for example, the first two are associated with unpredictable bleeding, and some women will undergo unscheduled curettage. Also, success of any method depends on whether the woman has an incomplete or missed abortion. Some of the risks and benefits are summarized as follows:
1. Expectant management of spontaneous incomplete abortion has failure rates as high as 50 percent.
2. Medical therapy with prostaglandin E1 (PGE1) has varying failure rates of 5 to 40 percent. In 1100 women with suspected first-trimester abortion, 81 percent had a spontaneous resolution (Luise, 2002).
3. Curettage usually results in a quick resolution that is 95- to 100-percent successful. It is invasive and not necessary for all women.
It is possible that patients and clinicians opt for surgical methods when there is not a strict protocol for medical treatment (Kollitz, 2011).
Several randomized studies that compared these management schemes were reviewed by Neilson (2010). A major drawback cited for between-study comparisons was varied inclusion criteria and techniques. For example, studies that included women with vaginal bleeding reported greater success for medical therapy than did studies that excluded such women (Creinin, 2006). With these caveats in mind, selected studies reported since 2005 are listed in Table 18-3. Importantly, Smith and coworkers (2009) reported that subsequent pregnancy rates did not differ among these management methods.
TABLE 18-3. Randomized Controlled Studies for Management of Various Types of First-Trimester Pregnancy Loss

RECURRENT MISCARRIAGE
Other terms that have been used to describe repetitive early spontaneous pregnancy losses include recurrent spontaneous abortion, recurrent pregnancy loss, and habitual abortion. It is generally accepted that approximately 1 percent of fertile couples have recurrent miscarriages classically defined as three or more consecutive pregnancy losses at ≤ 20 weeks or with a fetal weight < 500 grams. Most of these are embryonic or early losses, and the remainder either are anembryonic or occur after 14 weeks. Studies are difficult to compare because of nonstandardized definitions. For example, some investigators include women with two instead of three consecutive losses, and yet others include women with three nonconsecutive losses. Documentation of pregnancy with β-hCG levels, sonography, and pathological examination also varies widely.
At minimum, recurrent miscarriage should be distinguished from sporadic pregnancy loss that implies intervening pregnancies that reached viability. Although women in the latter category were thought to have a much lower risk of yet another abortion, there are reports such as the one shown in Table 18-4 that question this assumption. In two studies, the risk for subsequent miscarriage is similar following either two or three pregnancy losses. Remarkably, the chances for a successful pregnancy are > 50 percent even after five losses (Brigham, 1999).
TABLE 18-4. Predicted Miscarriage Rate in Scottish Women with Their Next Pregnancy According to Number of Prior Miscarriagesa

The American Society for Reproductive Medicine (2008) proposed that recurrent pregnancy loss be defined as two or more failed clinical pregnancies confirmed by either sonographic or histopathological examination. A thorough evaluation certainly is warranted after three losses, and treatment is initiated earlier in couples with concordant subfertility (Jaslow, 2010; Reddy, 2007). Treatment considerations are beyond the scope of this book. The reader is referred to Chapters 6 and 20 in the 2nd edition of Williams Gynecology (Cunningham, 2012; Doody, 2012).
Etiology
There are many putative causes of recurrent abortion, however, only three are widely accepted: parental chromosomal abnormalities, antiphospholipid antibody syndrome, and a subset of uterine abnormalities. Other suspected but not proven causes are alloimmunity, endocrinopathies, environmental toxins, and various infections. Infections seldom cause even sporadic loss. Thus, most are unlikely to cause recurrent miscarriage, especially since maternal antibodies usually have developed. For years, various inherited thrombophilia mutations that include factor V Leiden, prothrombin G20210A, protein C and S deficiency, and antithrombin deficiency were suspected. But, as discussed in Chapter 52 (p. 1029), large studies have refuted an association between increased pregnancy wastage and these thrombophilias (American College of Obstetricians and Gynecologists, 2013a).
There is some evidence to support a role for various polymorphisms of gene expression in miscarriages. Just a few examples include polymorphisms that alter VEGF-A expression, those that exaggerate platelet aggregation, and those with a specific maternal type of Th1 and Th2 immune response (Calleja-Agius, 2011; Corardetti, 2013; Eller, 2011; Flood, 2010).
The timing of recurrent loss may offer clues, and in some women, each miscarriage may occur near the same gestational age (Heuser, 2010). Genetic factors usually result in early embryonic losses, whereas autoimmune or uterine anatomical abnormalities more likely cause second-trimester losses (Schust, 2002). As mentioned, first-trimester losses in recurrent miscarriage have a significantly lower incidence of genetic abnormalities than sporadic losses—25 versus 50 percent (Sullivan, 2004). That said, routine chromosomal evaluation of abortuses is costly and may not accurately reflect the fetal karyotype.
Parental Chromosomal Abnormalities
Although these account for only 2 to 4 percent of recurrent losses, karyotypic evaluation of both parents is considered by many to be a critical part of evaluation. In an earlier study, balanced reciprocal translocations accounted for half of chromosomal abnormalities, robertsonian translocations for a fourth, and X chromosome mosaicism—47,XXY or Klinefelter syndrome—for 12 percent (Therapel, 1985). These chromosomal abnormalities are repetitive for consecutive losses (van den Boogaard, 2010). Inheritance of translocation syndromes and their sequelae are discussed in detail in Chapter 13 (p. 266).
After thorough genetic counseling, couples with an abnormal karyotype can usually be managed with IVF followed by preimplantation genetic diagnosis. These techniques are described in detail in Chapter 20of Williams Gynecology (Doody, 2012).
Anatomical Factors
Several genital tract abnormalities have been implicated in recurrent miscarriage and other adverse pregnancy outcomes, but not infertility (Reichman, 2010). According to Devi Wold and colleagues (2006), 15 percent of women with three or more consecutive miscarriages will be found to have a congenital or acquired uterine anomaly.
Of acquired abnormalities, uterine synechiae—Asherman syndrome—usually result from destruction of large areas of endometrium. This can follow uterine curettage or ablative procedures. Characteristic multiple filling defects are seen with hysterosalpingography or saline-infusion sonography. Treatment is done using directed hysteroscopic lysis of adhesions. In many women, this lowers miscarriage rates and improves the “take home” pregnancy rate (Al-Inany, 2001; Goldenberg, 1995).
Uterine leiomyomas are found in a large proportion of adult women and can cause miscarriage, especially if located near the placental implantation site. That said, data indicating them to be a significant cause of recurrent pregnancy loss are not convincing (Saravelos, 2011). Uterine cavity distortion is apparently not requisite for bad outcomes (Sunkara, 2010). But in women undergoing IVF, pregnancy outcomes were adversely affected by submucous but not subserosal or intramural leiomyomas (Jun, 2001; Ramzy, 1998). As discussed in Chapter 63 (p. 1226), most agree that consideration be given to excision of submucosal and intracavitary leiomyomas in women with recurrent losses. Ironically, women undergoing uterine artery embolization of myomas had an increased risk for miscarriage in a subsequent pregnancy (Homer, 2010).
In contrast, congenital genital tract anomalies commonly originate from abnormal müllerian duct formation or abnormal fusion. These have an overall incidence of approximately 1 in 200 women (Nahum, 1998). The distribution of anomalies and associated loss rates are shown in Table 18-5. Depending on their anatomy, some may increase risks for early miscarriage, whereas others may cause midtrimester abortion or preterm delivery. Unicornuate, bicornuate, and septate uteri are associated with all three types of loss (Reichman, 2010). Looked at another way, developmental uterine anomalies were found in approximately 20 percent of women with recurrent pregnancy losses compared with about 7 percent of controls (Salim, 2003).
TABLE 18-5. Estimated Prevalence and Pregnancy Loss Rate for Some Congenital Uterine Malformations

It has proven difficult to demonstrate that correction of uterine anomalies improves early pregnancy outcome. Additional discussion regarding the incidence, clinical impact, and treatment of anatomical abnormalities is found in Chapter 3 (p. 38), as well as in Chapter 18 of Williams Gynecology (Bradshaw, 2012).
Immunological Factors
In their analysis of published studies, Yetman and Kutteh (1996) determined that 15 percent of more than 1000 women with recurrent miscarriage had recognized autoimmune factors. Two primary pathophysiological models are the autoimmune theory—immunity directed against self, and the alloimmune theory—immunity against another person.
As discussed on page 352, miscarriages are more common in women with systemic lupus erythematosus, an autoimmune disease (Clowse, 2008; Warren, 2004). Many of these women were found to have antiphospholipid antibodies, a family of autoantibodies that bind to phospholipid-binding plasma proteins (Erkan, 2011). Women with recurrent spontaneous pregnancy loss have a higher frequency of these antibodies compared with normal controls—5 to 15 versus 2 to 5 percent, respectively (Branch, 2010). The antiphospholipid antibody syndrome (APS) is defined by these antibodies found together with various forms of reproductive losses along with substantively increased risks for venous thromboembolism (American College of Obstetricians and Gynecologists, 2011d, 2013a). Mechanisms that cause pregnancy loss are discussed along with treatment in Chapter 59 (p. 1173).
With regard to alloimmunity, a provocative theory suggests that normal pregnancy requires formation of blocking factors that prevent maternal rejection of foreign fetal antigens that are paternally derived (Chap. 5, p. 98). Factors said to prevent this include human leukocyte antigen (HLA) similarity with the father, altered natural killer cell activity, regulatory T cell stimulation, and HLA-G gene mutations (Berger, 2010; Williams, 2012). Various tests and treatment options proposed to address this have not withstood rigorous scrutiny, and they are currently investigational (Reddy, 2007). Proposed therapies using paternal or third-party leukocyte immunization or intravenous immunoglobulin (IVIG) have not proved beneficial in women with idiopathic miscarriage (American Society for Reproductive Medicine, 2006; Stephenson, 2010).
Endocrine Factors
According to Arredondo and Noble (2006), 8 to 12 percent of recurrent miscarriages are caused by endocrine factors. Studies to evaluate these have been inconsistent and generally underpowered. Two examples, both controversial, are progesterone deficiency caused by a luteal-phase defect and polycystic ovarian syndrome (Bukulmez, 2004; Cocksedge, 2008; Nawaz, 2010).
In contrast, the well-known abortifacient effects of uncontrolled diabetes are detailed in Chapter 57. Optimal periconceptional glycemic control will mitigate much of this loss.
Likewise, the effects on early pregnancy loss of overt hypothyroidism and severe iodine deficiency are well known and discussed on page 353. Correction with supplementation reverses these effects. Also, the effects of subclinical hypothyroidism and antithyroid antibodies are sporadic, and thus any effects on recurrent miscarriage rates have been debated (Garber, 2012). That said, however, two recent metaanalyses reported convincingly positive associations between these antibodies and an increased risk for sporadic and recurrent miscarriages (Chen, 2011; Thangaratinam, 2011). Less convincing are preliminary data regarding thyroid hormone treatment for antibody-positive women.
MIDTRIMESTER ABORTION
The timespan that defines a midtrimester fetal loss extends from the end of the first trimester until the fetus weighs ≥ 500 g or gestational age reaches 20 weeks. For reasons discussed on page 350, a gestational age of 22 to 23 weeks is more accurate. Importantly, in many of these losses, an etiology can be found if a careful evaluation is completed.
Incidence and Etiology
Abortion becomes much less common by the end of the first trimester, and its incidence decreases successively thereafter. Overall, spontaneous loss in the second trimester is estimated at 1.5 to 3 percent, and after 16 weeks, it is only 1 percent (Simpson, 2007; Wyatt, 2005). First-trimester bleeding doubles the incidence of second-trimester loss (Hasan, 2009; Velez Edwards, 2012). Unlike earlier miscarriages that frequently are caused by chromosomal aneuploidies, these later fetal losses are due to a multitude of causes and more closely reflect those discussed in the section under Recurrent Miscarriage (p. 358). There are no data to accurately estimate the incidences of these various causes, but some of the more common etiologies are listed in Table 18-6. One frequently overlooked factor is that many second-trimester abortions are medically induced because of fetal abnormalities detected by prenatal screening programs for chromosome trisomies and structural defects.
Risk factors for second-trimester abortion include race, ethnicity, prior poor obstetrical outcomes, and extremes of maternal age. First-trimester bleeding was cited previously as a potent risk factor (Hasan, 2009). Edlow and colleagues (2007) observed that 27 percent of women with such a loss in the index pregnancy had a recurrent second-trimester loss in their next pregnancy. Moreover, a third of these women had a subsequent preterm birth.
TABLE 18-6. Some Causes of Midtrimester Spontaneous Pregnancy Losses
Fetal anomalies
Chromosomal
Structural
Uterine defects
Congenital
Leiomyomas
Incompetent cervix
Placental causes
Abruption, previa
Defective spiral artery transformation
Chorioamnionitis
Maternal disorders
Autoimmune
Infections
Metabolic
Data from Allanson, 2010; Dukhovny, 2009; Joo, 2009; Romero, 2011; Saravelos, 2011; Stout, 2010.
Fetal and Placental Evaluation
Because etiology is closely linked to recurrence risk, a thorough evaluation of obstetrical and perinatal findings is warranted. Pathological examination of the fetus and placenta is essential (Dukhovny, 2009). In women older than 35 years, chromosomal abnormalities explain 80 percent of recurrences (Marguard, 2010). In a study of 486 women of all ages with second-trimester miscarriages, fetal malformations were identified in 13 percent (Joo, 2009). In another, a third of otherwise normal fetuses had associated chorioamnionitis that was judged to have preceded labor (Allanson, 2010). Indeed, according to Srinivas and associates (2008), 95 percent of placentas in midtrimester abortions are abnormal. Other abnormalities are vascular thromboses and infarctions.
Management
Midtrimester abortions are classified similarly to first-trimester abortions. Management is also similar in many regards, and the schemes shown in Table 18-3 are frequently successful with a dead fetus or an incomplete midtrimester abortion. An exception is that at these later gestational ages, oxytocin in concentrated doses is highly effective for labor induction or augmentation. As subsequently discussed on page 366, surgical midtrimester abortion for fetal demise is technically more difficult. That said, there can be significant morbidity with either medical or surgical termination of these. Overall, however, for elective delivery, available data suggest that surgical termination by dilatation and evacuation has fewer complications than labor induction (Bryant, 2011; Edlow, 2011).
Cervical Insufficiency
Also known as incompetent cervix, this is a discrete obstetrical entity characterized classically by painless cervical dilatation in the second trimester. It can be followed by prolapse and ballooning of membranes into the vagina, and ultimately, expulsion of an immature fetus. Unless effectively treated, this sequence may repeat in future pregnancies. Many of these women have a history and clinical findings that make it difficult to verify classic cervical incompetence. For example, in a randomized trial of almost 1300 women with an atypical history, cerclage was found to be only marginally beneficial—13 versus 17 percent—to prolong pregnancy past 33 weeks (MacNaughton, 1993). It seems likely that many of these women with such a nonclassic history had preterm labor instead of classic cervical incompetence. In this study, for every 25 cerclage procedures, only one birth before 33 weeks was prevented. In a systematic review of similar women, however, indicated cerclages that were placed based on physical examination findings provided superior perinatal outcomes compared with expectant management (Ehsanipoor, 2013).
Because of these difficulties in identification of classic cervical insufficiency, interest has been focused on the predictive value of transvaginal sonography. Some findings assessed include cervical length as well as the presence of funneling, which is ballooning of the membranes into a dilated internal os, but with a closed external os (Owen, 2003). In women with these problems, early randomized trials were inconclusive in proving the clinical relevance of cerclage to prevent preterm birth (Rust, 2001; To, 2004). A multicenter randomized trial of 302 high-risk women with cervical length < 25 mm reported that cerclage prevented birth before viability but not birth before 34 weeks (Owen, 2009). Subsequently, however, Berghella and coworkers (2011) included five trials in a metaanalysis and showed that cerclage for these high-risk women significantly reduced preterm birth before 24, 28, 32, 35, and 37 weeks. One retrospective analysis found no improved outcomes with twin pregnancies in women with a cervical length ≤ 25 mm (Stoval, 2013).
Risk Factors
Although the cause of incompetence is obscure, previous cervical trauma such as dilatation and curettage, conization, cauterization, or amputation has been implicated. A Norwegian cohort study of more than 15,000 women with prior cervical conization found a fourfold risk of pregnancy loss before 24 weeks (Albrechtsen, 2008). Even though prior dilatation and evacuation (D&E) has an incidence of cervical injury of 5 percent, neither it nor dilatation and extraction (D&X) after 20 weeks increased the likelihood of an incompetent cervix (Chasen, 2005). In other instances, abnormal cervical development, including that following in utero exposure to diethylstilbestrol (DES), may play a role (Hoover, 2011). This is discussed further in Chapter 3 (p. 42).
Evaluation and Treatment
Sonography is performed to confirm a living fetus with no major anomalies. Cervical secretions are tested for gonorrhea and chlamydia infection. These and other obvious cervical infections are treated. For at least a week before and after surgery, sexual intercourse is prohibited.
Classic cervical incompetence is treated surgically with cerclage, which reinforces a weak cervix by a purse-string suture. Contraindications to cerclage usually include bleeding, uterine contractions, or ruptured membranes. With ruptured membranes and bleeding or contractions or both, the likelihood of failure is substantially increased. Thus, prophylactic cerclage before dilatation is preferable. At times, this may not be possible, and a rescue cerclage is performed emergently after the cervix is found to be dilated, effaced, or both. In some or even many of these women, cerclage is unknowingly being used incorrectly to treat preterm labor with cervical dilatation rather than an incompetent cervix.
The timing of surgery depends on clinical circumstances. In women who are diagnosed with cervical insufficiency based on their previous obstetrical outcomes, elective cerclage is usually done between 12 and 14 weeks’ gestation. If the diagnosis is made in high-risk women using transvaginal sonography to document cervical shortening < 25 mm, then cerclage is done at that time. For the remainder who undergo emergent rescue cerclage, there is debate as to how late this should be performed. The conundrum is that the more advanced the pregnancy, the greater the risk that surgical intervention will stimulate preterm labor or membrane rupture. Although this practice is not evidence based, we usually do not perform cerclage after 23 weeks. Others, however, recommend placement later than this (Caruso, 2000; Terkildsen, 2003).
When outcomes of cerclage are evaluated, women with similar clinical presentations should be compared. For example, in the study of elective cerclage by Owen and associates (2009), approximately a third of women delivered before 35 weeks, and there were few complications with surgery. By contrast, in a 10-year review of 75 women undergoing emergency cerclage procedures, Chasen and Silverman (1998) reported that only half were delivered after 36 weeks. Importantly, only 44 percent of those with bulging membranes at the time of cerclage reached 28 weeks. Terkildsen and colleagues (2003) had similar experiences. Caruso and coworkers (2000) described emergency cerclage done in 23 women from 17 to 27 weeks who had a dilated cervix and protruding membranes. There were 11 liveborn infants, and these researchers concluded that success was unpredictable. Our experiences at Parkland Hospital are that rescue cerclages have a high failure rate, and women are counseled accordingly.
If the clinical indication for cerclage is questionable, these women may be advised to instead decrease physical activity and abstain from intercourse. Most undergo cervical examinations each week or every 2 weeks to assess effacement and dilatation. Unfortunately, rapid effacement and dilatation can develop despite such precautions (Witter, 1984).
Cerclage Procedures
Of the two vaginal cerclage operations, most use the simpler procedure developed by McDonald (1963) and shown in Figure 18-5. The more complicated operation is a modification of the procedure described by Shirodkar (1955) and shown in Figure 18-6. When either technique is performed prophylactically, women with a classic history of cervical incompetence have excellent outcomes (Caspi, 1990; Kuhn, 1977). As emphasized by Karl and Katz (2012), it is important to place the suture as high as possible and into the dense cervical stroma. There is some evidence that two cerclage sutures are not more effective than one (Giraldo-Isaza, 2013). For either vaginal or abdominal cerclage, there is insufficient evidence to recommend perioperative antibiotic prophylaxis (American College of Obstetricians and Gynecologist, 2011f, 2014).

FIGURE 18-5 McDonald cerclage procedure for incompetent cervix. A. Start of the cerclage procedure with a No. 2 monofilament suture being placed in the body of the cervix very near the level of the internal os. B. Continuation of suture placement in the body of the cervix so as to encircle the os. C. Encirclement completed. D. The suture is tightened around the cervical canal sufficiently to reduce the diameter of the canal to 5 to 10 mm, and then the suture is tied. The effect of the suture placement on the cervical canal is apparent. A second suture placed somewhat higher may be of value if the first is not in close proximity to the internal os.

FIGURE 18-6 Modified Shirodkar cerclage for incompetent cervix. A. A transverse incision is made in the mucosa overlying the anterior cervix, and the bladder is pushed cephalad. B. A 5-mm Mersilene tape on a swaged-on or Mayo needle is passed anteriorly to posteriorly. C. The tape is then directed posteriorly to anteriorly on the other side of the cervix. Allis clamps are placed so as to bunch the cervical tissue. This diminishes the distance that the needle must travel submucosally and aids tape placement. D. The tape is snugly tied anteriorly, after ensuring that all slack has been taken up. The cervical mucosa is then closed with continuous stitches of chromic suture to bury the anterior knot.
Emergency or rescue cerclage is, of course, more difficult to perform. Replacement of the prolapsed amnionic sac back into the uterus will usually aid suture placement (Locatelli, 1999). This is sometimes made easier by tilting the operating table in the head-down position along with filling the bladder with 600 mL of saline through an indwelling Foley catheter. Although this may reduce the prolapsing membranes, it also may carry the cervix cephalad and away from the operating field. Some advocate placing a Foley catheter through the cervix and inflating the 30-mL balloon to deflect the amnionic sac cephalad. The balloon is deflated gradually as the cerclage suture is tightened around the catheter. In some women with bulging membranes, transabdominal amnionic fluid aspiration may be helpful. If this is done, bacterial cultures of the fluid should be obtained.
Transabdominal cerclage with the suture placed at the uterine isthmus can be used if there are severe cervical anatomical defects or if there have been prior transvaginal cerclage failures (Cammarano, 1995; Gibb, 1995). Zaveri and associates (2002) reviewed 14 observational studies in which a prior transvaginal cerclage had failed to prevent preterm delivery. The risk of perinatal death or delivery before 24 weeks was only slightly lower following transabdominal cerclage compared with the risk following repeat transvaginal cerclage—6 versus 13 percent, respectively. Importantly, 3 percent of women who underwent transabdominal cerclage had serious operative complications, whereas there were none in women in the transvaginal group. Whittle and coworkers (2009) described 31 women in whom transabdominal cervicoisthmic cerclage was done laparoscopically between 10 and 16 weeks. The procedure was converted to laparotomy in 25 percent, and there were four failures due to chorioamnionitis. Overall, fetal survival rate approximated 80 percent.
Complications. Principal complications of cerclage are membrane rupture, preterm labor, hemorrhage, infection, or combinations thereof. All are uncommon with prophylactic cerclage. In the multicenter study by Owen and colleagues (2009), of 138 procedures, there was one instance each of ruptured membranes and bleeding. In the trial by MacNaughton and associates (1993), membrane rupture complicated only 1 of more than 600 procedures done before 19 weeks. Thomason and coworkers (1982) found that perioperative antimicrobial prophylaxis failed to prevent most infection, and tocolytics failed to arrest most labor. In our view, clinical infection mandates immediate removal of the suture with labor induced or augmented. Similarly, with imminent abortion or delivery, the suture should be removed at once because uterine contractions can tear through the uterus or cervix.
Membrane rupture during suture placement or within the first 48 hours following surgery is considered by some to be an indication for cerclage removal because of the likelihood of serious fetal or maternal infection (Kuhn, 1977). That said, the range of management options includes observation, removal of the cerclage and observation, or removal of the cerclage and labor induction (Barth, 1995; O’Connor, 1999).
If subsequent cervical thinning is detected by sonographic assessment, then some consider a reinforcement cerclage. In one retrospective study, reinforcing cerclage sutures placed later did not significantly prolong pregnancy (Woo, 2013).
INDUCED ABORTION
The term induced abortion is defined as the medical or surgical termination of pregnancy before the time of fetal viability. Definitions to describe its frequency include: (1) abortion ratio—the number of abortions per 1000 live births, and (2) abortion rate—the number of abortions per 1000 women aged 15 to 44 years.
In the United States, abortion statistics most likely are underreported. This probably is because clinics inconsistently give statistics for medically induced abortions. For example, the Guttmacher Institute (2011) found that 1.2 million procedures were performed annually from 2005 through 2008. But for 2010, there were only about 765,650 elective abortions reported to the Centers for Disease Control and Prevention (Pazol, 2013). The abortion ratio was 227 per 1000 live births and the abortion rate was 15.1 per 1000 women aged 15 to 44 years. For the same year, women aged 20 to 29 years accounted for 58 percent of abortions and had the highest abortion rate. Black women had an abortion ratio of 477 per 1000 live births, white women had 140 per 1000, and Hispanic women had 195 per 1000. In 2009, 64 percent of abortions were done ≤ 8 weeks; 92 percent ≤ 13 weeks; 7 percent at 14 to 20 weeks; and only 1.3 percent were performed at ≥ 21 weeks. Global statistics for abortion rates are reported by the World Health Organization. According to its latest report, approximately 1 in 5 pregnancies were aborted worldwide in 2008 (Sedgh, 2012). Sadly, almost half of these abortions were considered unsafe.
Classification
Therapeutic Abortion
There are several diverse medical and surgical disorders that are indications for termination of pregnancy. Examples include persistent cardiac decompensation, especially with fixed pulmonary hypertension; advanced hypertensive vascular disease or diabetes; and malignancy. In cases of rape or incest, most consider termination reasonable. The most common indication currently is to prevent birth of a fetus with a significant anatomical, metabolic, or mental deformity. The seriousness of fetal deformities is wide ranging and usually defies social, legal, or political classification.
Elective or Voluntary Abortion
The interruption of pregnancy before viability at the request of the woman, but not for medical reasons, is usually termed elective or voluntary abortion. Regardless of terminology, these are stigmatized in this country (Harris, 2012). Most abortions done today are elective, and thus, it is one of the most commonly performed medical procedures. The pregnancy-associated mortality rate is 14-fold greater than the abortion-related mortality rate—8 versus 0.6 deaths per 100,000 (Raymond, 2012). From the Guttmacher Institute, Jones and Kavanaugh (2011) estimate that a third of American women will have at least one elective abortion by age 45. The Executive Board of the American College of Obstetricians and Gynecologists (2013d) supports the legal right of women to obtain an abortion prior to fetal viability and considers this a medical matter between a woman and her physician.
Abortion in the United States
The legality of elective abortion was established by the United States Supreme Court in the case of Roe v. Wade. The Court defined the extent to which states might regulate abortion and ruled that first-trimester procedures must be left to the medical judgment of the physician. After this, the State could regulate abortion procedures in ways reasonably related to maternal health. Finally, subsequent to viability, the State could promote its interest in the potential of human life and regulate and even proscribe abortion, except for the preservation of the life or health of the mother.
Other legislation soon followed. The 1976 Hyde Amendment forbids use of federal funds to provide abortion services except in case of rape, incest, or life-threatening circumstances. The Supreme Court in 1992 reviewed Planned Parenthood v. Casey and upheld the fundamental right to abortion, but established that regulations before viability are constitutional as long as they do not impose an “undue burden” on the woman. Subsequently, many states passed legislation that imposes counseling requirements, waiting periods, parental consent or notification for minors, facility requirements, and funding restrictions. One major choice-limiting decision was the 2007 Supreme Court decision that reviewed Gonzales v. Carhart and upheld the 2003 Partial-Birth Abortion Ban Act. This was problematic because there is no medically approved definition of partial-birth abortion according to the American College of Obstetricians and Gynecologists (2011a). According to the Guttmacher Institute, 41 states set new limits on abortion during 2011 and 2012 (Tanner, 2012).
Residency Training in Abortion Techniques
Because of its inherent controversial aspects, abortion training for residents has been both championed and assailed. The American College of Obstetricians and Gynecologists (2009a) supports abortion training, and the Accreditation Council for Graduate Medical Education mandated in 1996 that Obstetrics and Gynecology residency education must include access to experience with induced abortion. The Kenneth J. Ryan Residency Training Program was established in 1999 at the University of California at San Francisco to work with residency programs to improve training in abortion and family planning. By 2013, 59 Ryan programs had been started in the United States and in Canada (Heartwell, 2013). These programs provide comprehensive didactics and evidence-based, opt-out clinical training in all pregnancy-termination methods and contraceptive methodology.
Other programs are less codified, but teach residents technical aspects through their management of early incomplete and missed abortions as well as pregnancy interruption for fetal death, severe fetal anomalies, and life-threatening medical or surgical disorders. Freedman and colleagues (2010) rightfully emphasize that considerations for abortion training should include social, moral, and ethical aspects.
Programs have been designed for postresidency training in abortion and contraceptive techniques. Formal fellowships in Family Planning are 2-year postgraduate programs that, by 2010, were located in 22 departments of obstetrics and gynecology at academic centers across the country. Training includes experience with high-level research and with all methods of pregnancy prevention and termination.
Abortion Providers
The American College of Obstetricians and Gynecologists (2013d) respects the need and responsibility of health-care providers to determine their individual positions on induced abortion. It also emphasizes the need to provide standard-of-care counseling and timely referral if providers have individual beliefs that preclude pregnancy termination. From a mail survey of 1800 obstetrician-gynecologists, 97 percent had encountered women seeking an abortion, but only 14 percent performed them (Stulberg, 2011). Still, most practitioners help women find an abortion provider (Harris, 2011). And at least for midtrimester procedures, maternal-fetal medicine specialists provide some services (Kerns, 2012). In any event, it is imperative that any physician who cares for women must be familiar with various abortion techniques so that complications can be managed or referrals made for suitable care (Steinauer, 2005a,b).
Counseling before Elective Abortion
There are three basic choices available to a woman considering an abortion: (1) continued pregnancy with its risks and parental responsibilities; (2) continued pregnancy with arranged adoption; or (3) termination of pregnancy with its risks. Knowledgeable and compassionate counselors should objectively describe and provide information regarding these choices so that a woman or couple can make an informed decision (Baker, 2009; Templeton, 2011).
TECHNIQUES FOR ABORTION
In the absence of serious maternal medical disorders, abortion procedures do not require hospitalization. With outpatient abortion, capabilities for cardiopulmonary resuscitation and for immediate transfer to a hospital must be available.
First-trimester abortions can be performed either medically or surgically by several methods that are listed in Table 18-7. Results are comparable with methods for spontaneous miscarriages discussed previously on page 357 and shown in Table 18-3. They have a high success rate—95 percent with medical and 99 percent with surgical techniques. Further comparison of medical and surgical methods is shown in Table 18-8. Medical therapy has more drawbacks in that it is more time consuming; it has an unpredictable outcome—extending for days up to a few weeks; and bleeding is usually heavier and unpredictable (Niinimäki, 2009; Robson, 2009). Likely for these reasons, only 10 percent of abortions in the United States are managed using medical methods (Templeton, 2011).
TABLE 18-7. Some Techniques Used for First-Trimester Abortiona
Surgical
Dilatation and curettage
Vacuum aspiration
Menstrual aspiration
Medical
Prostaglandins E2, F2α, E1, and analogues
Vaginal insertion
Parenteral injection
Oral ingestion
Sublingual
Antiprogesterones—RU-486 (mifepristone) and epostane
Methotrexate—intramuscular and oral
Various combinations of the above
aAll procedures are aided by pretreatment using hygroscopic cervical dilators.
TABLE 18-8. Comparisons of Some Advantages and Drawbacks to Medical versus Surgical Abortion

Cervical Preparation
There are several methods that will soften and slowly dilate the cervix to minimize trauma from mechanical dilatation (Newmann, 2014). A Cochrane review confirmed that hygroscopic dilators and cervical ripening medications had similar efficacy in decreasing the length of first-trimester procedures (Kapp, 2010).
Of these, hygroscopic dilators are devices that draw water from cervical tissues and expand to gradually dilate the cervix. One type is derived from various species of Laminaria algae that are harvested from the ocean floor (Figs. 18-7 and 18-8). Another is Dilapan-S, which is composed of an acrylic-based gel.

FIGURE 18-7 Insertion of laminaria before dilatation and curettage. A. Laminaria immediately after being appropriately placed with its upper end just through the internal os. B. Several hours later the laminaria is now swollen, and the cervix is dilated and softened. C. Laminaria inserted too far through the internal os; the laminaria may rupture the membranes.

FIGURE 18-8 Hygroscopic dilators. With each type, the dry unit (left) expands exponentially when exposed to water (right) as in the endocervical canal. A. Laminaria. B. Dilapan-S.
Schneider and associates (1991) described 21 cases in which women who had a hygroscopic dilator placed changed their minds. Of 17 women who chose to continue their pregnancy, there were 14 term deliveries, two preterm deliveries, and one miscarriage 2 weeks later. None suffered infection-related morbidity, including three untreated women with cervical cultures positive for Chlamydia trachomatis.
In contrast to these devices, there are medications used for cervical preparations. The most common is misoprostol (Cytotec), which is used off-label, and patients are counseled accordingly (Tang, 2013). The dose is 400 to 600 μg administered orally, sublingually, or placed into the posterior vaginal fornix. In a multicenter randomized trial, Meirik and coworkers (2012) enrolled nearly 4900 women undergoing an elective first-trimester abortion. Half were given two 200-μg tablets orally 3 hours preprocedure, and the other group was given placebo. Marginal benefits ascribed to misoprostol included easier cervical dilatation and a lower composite complication rate. Another effective cervical-ripening agent is the progesterone antagonist mifepristone (Mifeprex). With this, 200 to 600 μg is given orally. Other options include formulations of prostaglandins E2 and F2a, which have unpleasant side effects and are usually reserved as second-line drugs (Kapp, 2010).
Surgical Abortion
Surgical pregnancy termination includes a transvaginal approach through an appropriately dilated cervix or, rarely, laparotomy with either hysterotomy or hysterectomy. With transvaginal evacuation, preoperative cervical ripening is favored and is typically associated with less pain, a technically easier procedure, and shorter operating times (Kapp, 2010). Curettage usually requires intravenously or orally administered sedatives or analgesics, and some also use paracervical blockade with lidocaine (Allen, 2009; Cansino, 2009; Renner, 2012). Perioperative antibiotic prophylaxis is described on page 357. No recommendations specifically address venous thromboembolism (VTE) prophylaxis for curettage in low-risk pregnant patients. The American College of Chest Physicians (Bates, 2012) recommends only early ambulation for cesarean delivery in those without risk factors, and at our hospital, we apply this also to less invasive curettage.
Dilatation and Curettage (D&C)
Transcervical approaches to surgical abortion require first dilating the cervix and then evacuating the pregnancy by mechanically scraping out the contents—sharp curettage, by suctioning out the contents—suction curettage, or both. Vacuum aspiration, the most common form of suction curettage, requires a rigid cannula attached to an electric-powered vacuum source or to a handheld syringe for its vacuum source (Goldberg, 2004; MacIsaac, 2000; Masch, 2005).
Curettage—either sharp or suction—is recommended for gestations ≤ 15 weeks. Complication rates increase after the first trimester. Perforation, cervical laceration, hemorrhage, incomplete removal of the fetus or placenta, and postoperative infections are among these. Niinimäki and associates (2009) reported results from more than 20,000 Finnish women undergoing surgical termination before 63 days. The 5.6-percent complication rate was made up equally of hemorrhage, incomplete abortion, and infection. A second curettage procedure was necessary in 2 percent. As further discussed on page 368, there was a 20-percent complication rate in the more than 22,000 women undergoing a medical termination.
Technique. After bimanual examination is performed to determine uterine size and orientation, a speculum is inserted, and the cervix is swabbed with povidone-iodine or equivalent solution. The anterior cervical lip is grasped with a toothed tenaculum. The cervix, vagina, and uterus are richly supplied by nerves of Frankenhäuser plexus, which lies within connective tissue lateral to the uterosacral and cardinal ligaments. Thus, a paracervical block is effective to relieve pain (Renner, 2012). A local anesthetic, such as 5 mL of 1- or 2-percent lidocaine, is most effective if placed immediately lateral to the insertion of the uterosacral ligaments into the uterus at 4 and 8 o’clock. An intracervical block with 5-mL aliquots of 1-percent lidocaine injected at 12, 3, 6, and 9 o’clock was reported to be equally effective (Mankowski, 2009). Dilute vasopressin may be added to the local anesthetic to decrease blood loss (Keder, 2003).
Uterine sounding measures the depth and inclination of the cavity before other instrument insertion. If required, the cervix is further dilated with Hegar, Hank, or Pratt dilators until a suction cannula of the appropriate diameter can be inserted. Small cannulas carry the risk of leaving retained intrauterine tissue postoperatively, whereas large cannulas risk cervical injury and more discomfort. The fourth and fifth fingers of the hand introducing the dilator should rest on the perineum and buttocks as the dilator is pushed through the internal os (Fig. 18-9). This technique minimizes forceful dilatation and provides a safeguard against uterine perforation. The suction cannula is moved toward the fundus and then back toward the os and is turned circumferentially to cover the entire surface of the uterine cavity (Fig. 18-10). When no more tissue is aspirated, a gentle sharp curettage should follow to remove any remaining placental or fetal fragments (Fig. 18-11).

FIGURE 18-9 Dilatation of cervix with a Hegar dilator. Note that the fourth and fifth fingers rest against the perineum and buttocks, lateral to the vagina. This maneuver is an important safety measure because if the cervix relaxes abruptly, these fingers prevent a sudden and uncontrolled thrust of the dilator, a common cause of uterine perforation.

FIGURE 18-10 A suction curette has been placed through the cervix into the uterus. The figure shows the rotary motion used to aspirate the contents. (From Word, 2012, with permission.)

FIGURE 18-11 A sharp curette is advanced into the uterine cavity while the instrument is held with the thumb and forefinger as shown in Figure 18-9. In the movement of the curette, only the strength of these two fingers should be used. (From Word, 2012, with permission.)
Because uterine perforation usually occurs with insertion of any of these instruments, manipulations should be carried out with the thumb and forefinger only (see Fig. 18-9). For pregnancies beyond 16 weeks, the fetus is extracted, usually in parts, using Sopher forceps and other destructive instruments. Inherent risks include uterine perforation, cervical laceration, and uterine bleeding due to the larger fetus and placenta and to the thinner uterine walls. Morbidity can be minimized if careful attention is paid to performing the steps outlined above.
Complications. The incidence of uterine perforation with elective abortion is variable, and determinants include clinician skill and uterine position. Perforation is more common with a retroverted uterus and is usually recognized when the instrument passes without resistance deep into the pelvis. Observation is usually sufficient if the uterine perforation is small, as when produced by a uterine sound or narrow dilator. Although perforations through old cesarean incision or myomectomy scars are potentially possible, Chen and colleagues (2008) reported no perforations through such scars in 78 women undergoing medical or surgical abortion.
If some instruments—especially suction and sharp curettes—pass through a uterine defect and into the peritoneal cavity, considerable intraabdominal damage can ensue (Keegan, 1982). In these women, laparotomy or laparoscopy to examine the abdominal contents is often the safest course of action. Bowel injury can cause severe peritonitis and sepsis (Kambiss, 2000). A rare complication of curettage with more advanced pregnancies is sudden, severe consumptive coagulopathy.
If prophylactic antimicrobials are given, pelvic sepsis is decreased by 40 to 90 percent and depends on whether the procedure is surgical or medical. Most infections that do develop respond readily to appropriate antimicrobial treatment (Chap. 37, p. 685). Rarely, infections such as bacterial endocarditis will develop, but they can be fatal (Jeppson, 2008). Uncommon long-term complications of curettage include cervical insufficiency or uterine synechiae.
Dilatation and Evacuation (D&E)
Beginning at 16 weeks, fetal size and structure dictate use of this technique. Wide mechanical cervical dilatation, achieved with metal or hygroscopic dilators, precedes mechanical destruction and evacuation of fetal parts. With complete removal of the fetus, a large-bore vacuum curette is used to remove the placenta and remaining tissue. This is better accomplished using intraoperative sonographic imaging.
Dilatation and Extraction (D&X)
This is similar to dilatation and evacuation except that a suction cannula is used to evacuate the intracranial contents after delivery of the fetal body through the dilated cervix. This aids extraction and minimizes uterine or cervical injury from instruments or fetal bones. In political parlance, this procedure has been termed partial birth abortion.
Menstrual Aspiration
This is done within 1 to 3 weeks after a missed menstrual period and with a positive serum or urine pregnancy test result. It is performed with a flexible 5- or 6-mm Karman cannula that is attached to a syringe. This procedure has been referred to as menstrual extraction, menstrual induction, instant period, traumatic abortion, and mini-abortion. A distinct drawback is that because the pregnancy is so small, an implanted zygote can be missed by the curette, or an ectopic pregnancy can be unrecognized. To identify placenta in the aspirate, MacIsaac and Darney (2000) recommend that the syringe contents be rinsed in a strainer to remove blood, then placed in a clear plastic container with saline and examined with back lighting. Placental tissue macroscopically appears soft, fluffy, and feathery. A magnifying lens, colposcope, or microscope also can improve visualization. Despite the possibility of missing the products, Paul and coworkers (2002) reported a 98-percent success rate with more than 1000 such procedures.
Manual Vacuum Aspiration
This procedure is similar to menstrual aspiration but is used for early pregnancy failures or elective termination up to 12 weeks. Some recommend that pregnancy terminations done in the office with this method be limited to ≤ 10 weeks because blood loss rises sharply between 10 and 12 weeks (Masch, 2005; Westfall, 1998). For pregnancies ≤ 8 weeks, preprocedure cervical ripening is usually not necessary. After this time, some recommend that osmotic dilators be placed the day prior or misoprostol given 2 to 4 hours before the procedure. Paracervical blockade with or without sedation is used. The technique employs a hand-operated 60-mL syringe and cannula. A vacuum is created in the syringe attached to the cannula, which is inserted transcervically into the uterus. The vacuum produces up to 60 mm Hg suction. Complications are similar to other surgical methods (Goldberg, 2004).
Hysterotomy or Hysterectomy
In some women with second-trimester pregnancies who desire sterilization, hysterotomy with tubal ligation is reasonable. If there is significant uterine disease, then hysterectomy may provide ideal treatment. In some cases of a failed second-trimester medical induction, either of these may be considered.
Medical Abortion
According to the American College of Obstetricians and Gynecologists (2011c), outpatient medical abortion is an acceptable alternative to surgical pregnancy termination in appropriately selected pregnant women less than 49 days’ menstrual age. After this time, available data—albeit less robust—support surgical abortion as preferable. Throughout history, many natural substances have been given for alleged abortifacient effects. In many of these, serious illness and even death have resulted. Currently, there are only three medications for early medical abortion that have been widely studied. These are used either alone or in combination and include: (1) the antiprogestin mifepristone, (2) the antimetabolite methotrexate, and (3) the prostaglandin misoprostol. Mifepristone and methotrexate increase uterine contractility by reversing progesterone-induced inhibition, whereas misoprostol directly stimulates the myometrium. Clark and associates (2006) have reported that mifepristone causes cervical collagen degradation, possibly from increased expression of matrix metalloprotease-2 (MMP-2). Methotrexate and misoprostol are both teratogens. Thus there must be a commitment to completing the abortion once these drugs have been given.
With these three agents, a number of dosing schemes have been proven effective, and some are shown in Table 18-9. For all three, misoprostol is given initially. This is either used alone or given with methotrexate or mifepristone. In each instance, it is followed by further but variable misoprostol doses. As shown in Table 18-3, any regimen used for “early pregnancy loss” is likely to be successful for elective pregnancy interruption. For elective termination at ≤ 63 days’ gestation, randomized trials by von Hertzen (2009, 2010) and Winikoff (2008) and their colleagues showed 92- to 96-percent efficacy when one of the mifepristone/misoprostol regimens was used. Similar results were reported from 10 large urban Planned Parenthood clinics (Fjerstad, 2009a). In this latter study, buccal misoprostol-oral mifepristone regimens were 87-to 98-percent successful for abortion induction with pregnancies < 10 weeks’ gestation, and this rate diminished with advancing gestations. In another study of 122 women at 9 to 12 weeks’ gestation, the success rate was approximately 80 percent (Dalenda, 2010).
TABLE 18-9. Regimens for Medical Termination of Early Pregnancy
Mifepristone/Misoprostol
aMifepristone, 100–600 mg orally followed by:
bMisoprostol, 200–600 μg orally or 400–800 μ g vaginally, buccally, or sublingually given immediately or up to 72 hours
Methotrexate/Misoprostol
cMethotrexate, 50 mg/m2 BSA intramuscularly or orally followed by:
dMisoprostol, 800 μg vaginally in 3–7 days. Repeat if needed 1 week after methotrexate initially given
Misoprostol alone
e800 μg vaginally or sublingually, repeated for up to three doses
aDoses of 200 versus 600 mg similarly effective.
bOral route may be less effective and have more nausea and diarrhea. Sublingual route has more side effects than vaginal route. Shorter intervals (6 hours) with misoprostol may be less effective when given > 36 hours.
cEfficacy similar for routes of administration.
dSimilar efficacy when given on day 3 versus day 5.
eIntervals 3–12 hours given vaginally; 3–4 hours given sublingually.
BSA = body surface area.
Data from the American College of Obstetricians and Gynecologists, 2011c, 2013e; Borgatta, 2001; Coyaji, 2007; Creinin, 2001, 2007; Fekih, 2010; Fjerstad, 2009a; Guest, 2007; Hamoda, 2005; Honkanen, 2004; Jain, 2002; Pymar, 2001; Raghavan, 2009; Schaff, 2000; Shannon, 2006; von Hertzen, 2003, 2007, 2009, 2010; Winikoff, 2008.
Contraindications
In many cases, contraindications to medical abortion evolved from exclusion criteria that were used in initial clinical trials. Thus, some are relative contraindications: in situ intrauterine device; severe anemia, coagulopathy, or anticoagulant use; and significant medical conditions such as active liver disease, cardiovascular disease, or uncontrolled seizure disorders. Because misoprostol diminishes glucocorticoid activity, women with disorders requiring glucocorticoid therapy are usually excluded (American College of Obstetricians and Gynecologists, 2009b). In women with renal insufficiency, the methotrexate dose should be modified and given with caution, or preferably, another regimen should be chosen (Kelly, 2006).
Administration
With the mifepristone/misoprostol regimen, mifepristone treatment is followed by misoprostol given at that same time or up to 72 hours later as shown in Table 18-9. Some prefer that misoprostol be administered on site, after which the woman typically remains for 4 hours. Symptoms are common within 3 hours and include lower abdominal pain, vomiting, diarrhea, fever, and chills or shivering. In the first few hours after misoprostol is given, if the pregnancy appears to have been expelled, a pelvic examination is done to confirm this. If not and if the pregnancy is still intact, the woman is discharged and appointed to return in 1 to 2 weeks. Some choose to repeat a prostaglandin dose (Dickinson, 2014). Conversely, if there is an incomplete abortion on clinical or sonographic evaluation, then suction curettage usually is recommended. Other complications are hemorrhage and infection (Niinimäki, 2009; von Hertzen, 2010).
With the methotrexate regimens, misoprostol is given 3 to 7 days later, and women are seen again at least 24 hours after misoprostol administration. They are next seen approximately 7 days after methotrexate is given, and sonographic examination is performed. If an intact pregnancy is seen, then another dose of misoprostol is given. Afterward, the woman is seen again in 1 week if fetal cardiac activity is present or in 4 weeks if there is no heart motion. If abortion has not occurred by the second visit, it is usually completed by suction curettage.
Complications
In a 2-year review of more than 233,000 medical abortions performed at Planned Parenthood affiliates, there were 1530 (0.65 percent) significant adverse events. Most of these were ongoing pregnancy (Cleland, 2013). Bleeding and cramping with medical termination can be significantly worse than menstrual cramps. Thus adequate analgesia, usually including a narcotic, is provided. The American College of Obstetricians and Gynecologists (2011c) recommends that if there is enough blood to soak two or more pads per hour for at least 2 hours, the woman is instructed to contact her provider to determine whether she needs to be seen.
Unnecessary surgical intervention in women undergoing medical abortion can be avoided if properly indicated follow-up sonographic results are interpreted appropriately. Specifically, if no gestational sac is seen and there is no heavy bleeding, then intervention is unnecessary. This is true even when, as is common, the uterus contains sonographically evident debris. Another study reported that a multilayered sonographic pattern indicated a successful abortion (Tzeng, 2013). Clark and coworkers (2010) provided data that routine postabortal sonographic examination is unnecessary. They instead recommend assessment of the clinical course along with bimanual pelvic examination. Follow-up serum β-hCG levels have shown promise in preliminary investigations (Dayananda, 2013).
Midtrimester Abortion
There have long been invasive means of midtrimester surgical abortion as shown in Table 18-10 and discussed on page 367. In the past 25 years, medical methods that safely and effectively accomplish midtrimester abortion have also evolved considerably. Risks versus benefits of medical versus surgical midtrimester termination are similar to those shown in Table 18-8 (Bryant, 2011; Edlow, 2011; Kelly, 2010; Mentula, 2011). Principal among noninvasive methods is high-dose intravenous oxytocin. Others include a number of prostaglandin analogues that can be given orally, vaginally, or parenterally. Regardless of method, hygroscopic dilators as shown in Figure 18-7 and 18-8 shorten the duration (Goldberg, 2005).
TABLE 18-10. Some Techniques Used for Midtrimester Abortiona
Surgical
Dilatation and curettage (D&C)
Dilatation and evacuation (D&E)
Dilatation and extraction (D&X)
Laparotomy
Hysterotomy
Hysterectomy
Medical
Intravenous oxytocin
Intraamnionic hyperosmotic fluid
20-percent saline
30-percent urea
Prostaglandins E2, F2α, E1
Intraamnionic injection
Extraovular injection
Vaginal insertion
Parenteral injection
Oral ingestion
aAll procedures are aided by pretreatment using hygroscopic cervical dilators.
Oxytocin
Given alone in high doses, oxytocin will result in second-trimester abortion in 80 to 90 percent of cases. Oxytocin is delivered in an isotonic solution. Thus, by avoiding excessive administration of dilute intravenous solutions, hyponatremia or water intoxication is rare. One regimen is shown in Table 18-11.
TABLE 18-11. Concentrated Oxytocin Protocol for Midtrimester Abortion
50 units oxytocin in 500 mL of normal saline infused over 3 hr; then 1-hr diuresis (no oxytocin)
100 units oxytocin in 500 mL of normal saline infused over 3 hr; then 1-hr diuresis (no oxytocin)
150 units oxytocin in 500 mL of normal saline infused over 3 hr; then 1-hr diuresis (no oxytocin)
200 units oxytocin in 500 mL of normal saline infused over 3 hr; then 1-hr diuresis (no oxytocin)
250 units oxytocin in 500 mL of normal saline infused over 3 hr; then 1-hr diuresis (no oxytocin)
300 units oxytocin in 500 mL of normal saline infused over 3 hr; then 1-hr diuresis (no oxytocin)
Modified from Ramsey, 2000.
Prostaglandins E2 (PGE2) and E1 (PGE1)
A 20-mg prostaglandin E2 suppository placed in the posterior vaginal fornix is an effective means of inducing a second-trimester abortion. It is not more effective than high-dose oxytocin, and it causes more frequent side effects such as nausea, vomiting, fever, and diarrhea (Owen, 1992). If PGE2 is used, simultaneous administration of an antiemetic such as metoclopramide, an antipyretic such as acetaminophen, and an antidiarrheal such as diphenoxylate/atropine will help prevent or treat symptoms.
Misoprostol (Cytotec) used alone is also a simple and effective method for second-trimester pregnancy termination. In one randomized trial, a 600-μg misoprostol dose given vaginally was followed by 400 μg every 4 hours (Ramsey, 2004). This regimen effected abortion significantly faster than concentrated oxytocin plus PGE2—median time to abortion 12 versus 17 hours, respectively. By 24 hours, 95 percent of women given misoprostol had aborted compared with 85 percent in the oxytocin-PGE2 cohort. Two percent of women in the misoprostol group required curettage for retained placenta compared with 15 percent in the oxytocin-PGE2 group. In another study, 200 mg mifepristone given orally 1 day before misoprostol reduced the median time-to-expulsion from 10.6 to 8.1 hours (Ngoc, 2011).
Outcomes of medically induced second-trimester abortion in women with a prior cesarean delivery were at first discouraging, but recent evidence is less pessimistic. In two systematic reviews, the risk of uterine rupture in such women given misoprostol was reported to be 0.3 to 0.4 percent (Berghella, 2009; Goyal, 2009).
CONSEQUENCES OF ELECTIVE ABORTION
Maternal Mortality
Because they are common, regulated, and reportable, most abortion statistics are for elective procedures. Even so, abortion-related deaths are likely underreported (Horon, 2005). With this caveat in mind, legally induced abortion, performed by trained gynecologists during the first 2 months of pregnancy, has a mortality rate of less than 1 per 100,000 procedures (Pazol, 2011). In a report from Finland comprising nearly 43,000 abortions performed before 63 days, only one procedure-related death was documented (Niinimaki, 2009). Early abortions are even safer, and the relative mortality risk of abortion approximately doubles for each 2 weeks after 8 weeks’ gestation. The Centers for Disease Control and Prevention identified 12 abortion-related deaths in the United States in 2008 (Pazol, 2012). As emphasized by Raymond and Grimes (2012), mortality rates are 14-fold greater for pregnancies that are continued.
Health and Future Pregnancies
Data relating abortion to overall maternal health and to subsequent pregnancy outcome are limited. From studies, there is no evidence for excessive mental disorders (Munk-Olsen, 2011; Steinberg, 2014). There are few data regarding subsequent reproductive health, although the rates of infertility or ectopic pregnancy are not increased. There may be exceptions if there are postabortal infections, especially those caused by chlamydiae. Also, other data suggest that some adverse pregnancy outcomes are more common in women who have had an induced abortion (Maconochie, 2007). Specifically, several studies note an approximate 1.5-fold increased incidence of preterm delivery—22 to 32 weeks (Hardy, 2013; Moreau, 2005; Swingle, 2009). Multiple sharp curettage procedures may increase the subsequent risk of placenta previa, whereas vacuum aspiration procedures likely do not (Johnson, 2003).
It appears that subsequent pregnancy outcomes are similar regardless of whether a prior induced abortion was completed medically or surgically. In a report of 30,349 procedures from the Danish Abortion Registry, there were 16,883 women who had a subsequent pregnancy (Virk, 2007). Rates of ectopic pregnancy, miscarriage, and preterm delivery were not significantly different in those with prior surgical abortion or previous medical termination.
CONTRACEPTION FOLLOWING MISCARRIAGE OR ABORTION
Ovulation may resume as early as 2 weeks after an early pregnancy termination. Lahteenmaki and Luukkainen (1978) detected surges of luteinizing hormone (LH) 16 to 22 days after abortion in 15 of 18 women studied. Plasma progesterone levels, which had plummeted after the abortion, increased soon after LH surges. These hormonal events agree with histological changes observed in endometrial biopsies by Boyd and Holmstrom (1972).
Thus, it is important that unless another pregnancy is desired right away, effective contraception should be initiated very soon after abortion. There is no reason to delay this, and an intrauterine device can be inserted after the procedure is completed (Bednarek, 2011; Shimoni, 2011). Alternatively, any of the various forms of hormonal contraception can be initiated at this time (Madden, 2009; Reeves, 2007). For women who desire another pregnancy, sooner may be preferable to later. Specifically, Love and colleagues (2010) analyzed the next pregnancy outcomes in nearly 31,000 women following miscarriage and found that conceptions within 6 months after miscarriage had better pregnancy outcomes compared with pregnancies conceived after 6 months.
REFERENCES
Abbassi-Ghanavati M, Casey BM, Spong CY, et al: Pregnancy outcomes in women with thyroid peroxidase antibodies. Obstet Gynecol 116:381, 2010
Albrechtsen S, Rasmussen S, Thoresen S, et al: Pregnancy outcome in women before and after cervical conization: population based cohort study. BMJ 18:337, 2008
Al Arfaj AS, Khalil N: Pregnancy outcome in 396 pregnancies in patients with SLE in Saudi Arabia. Lupus 19:1665, 2010
Al-Inany H: Intrauterine adhesions. An update. Acta Obstet Gynecol Scand 80:986, 2001
Allanson B, Jennings B, Jacques A, et al: Infection and fetal loss in the mid-second trimester of pregnancy. Aust N Z J Obstet Gynaecol 50(3):221, 2010
Allen RH, Fitzmaurice G, Lifford KL, et al: Oral compared with intravenous sedation for first-trimester surgical abortion: a randomized controlled trial. Obstet Gynecol 113(2 pt 1):276, 2009
American College of Obstetricians and Gynecologists: Abortion access and training. Committee Opinion No. 424, January 2009a
American College of Obstetricians and Gynecologists: Misoprostol for postabortion care. Committee Opinion No. 427, February 2009b
American College of Obstetricians and Gynecologists: Abortion policy. College Statement of Policy. January 1993, Reaffirmed 2011a
American College of Obstetricians and Gynecologists: Antibiotic prophylaxis for gynecologic procedures. Practice Bulletin No. 104, May 2009, Reaffirmed 2011b
American College of Obstetricians and Gynecologists: Medical management of abortion. Practice Bulletin No. 67, October 2005, Reaffirmed 2011c
American College of Obstetricians and Gynecologists: Thromboembolism in pregnancy. Practice Bulletin No. 123, September 2011d
American College of Obstetricians and Gynecologists: Ultrasonography in pregnancy. Practice Bulletin No. 101, February 2009, Reaffirmed 2011e
American College of Obstetricians and Gynecologists: Use of prophylactic antibiotics in labor and delivery. Practice Bulletin No. 120, June 2011f
American College of Obstetricians and Gynecologists: Antiphospholipid syndrome. Practice Bulletin No. 132, December 2012
American College of Obstetricians and Gynecologists: Inherited thrombophilias in pregnancy. Practice Bulletin No. 138, September 2013a
American College of Obstetricians and Gynecologists: Moderate caffeine consumption during pregnancy. Committee Opinion No. 462, August 2010, Reaffirmed 2013b
American College of Obstetricians and Gynecologists: Prevention of Rh D alloimmunization. Practice Bulletin No. 4, May 1999, Reaffirmed 2013c
American College of Obstetricians and Gynecologists: The limits of conscientious refusal in reproductive medicine. Committee Opinion No. 385, November 2007, Reaffirmed 2013d
American College of Obstetricians and Gynecologists: Second-trimester abortion. Practice Bulletin No. 135, June 2013e
American College of Obstetricians and Gynecologists: Cerclage for management of cervical insufficiency. Practice Bulletin No. 142, February 2014
American Society for Reproductive Medicine: Definitions of infertility and recurrent pregnancy loss. Fertil Steril 90(Suppl 3):S60, 2008
American Society for Reproductive Medicine: Intravenous immunoglobulin and recurrent spontaneous pregnancy loss. Fertil Steril 86(5 Suppl 1):S22b, 2006
Andersen AE, Ryan GL: Eating disorders in the obstetric and gynecologic patient population. Obstet Gynecol 114(6):1353, 2009
Ankumah NA, Tita A, Cantu J, et al: Pregnancy outcome vary by blood pressure level in women with mild-range chronic hypertension. Abstract No. 614, Am J Obstet Gynecol 208(1):S261, 2013
Armstrong BG, McDonald AD, Sloan M: Cigarette, alcohol, and coffee consumption and spontaneous abortion. Am J Public Health 82:85, 1992
Arredondo F, Noble LS: Endocrinology of recurrent pregnancy loss. Semin Reprod Med 1:33, 2006
Baker A, Beresford T: Informed consent, patient education, and counseling. In Paul M, Lichtenberg ES, Borgatta L, et al (eds): Management of Unintended and Abnormal Pregnancy. West Sussex, Wiley-Blackwell, 2009, p 48
Barlow S, Sullivan FM: Reproductive Hazards of Industrial Chemicals: An Evaluation of Animal and Human Data. New York, Academic Press, 1982
Barnhart K, Mennuti MT, Benjamin I, et al: Prompt diagnosis of ectopic pregnancy in an emergency department setting. Obstet Gynecol 84(6):1010, 1994
Barnhart K, van Mello NM, Bourne T, et al: Pregnancy of unknown location: a consensus statement of nomenclature, definitions, and outcome. Fertil Steril 95(3):857, 2011
Barnhart K, Sammel MD, Chung K, et al: Decline of serum human chorionic gonadotropin and spontaneous complete abortion: defining the normal curve. Obstet Gynecol 104:975, 2004a
Barnhart KT, Sammel MD, Appleby D, et al: Does a prediction model for pregnancy of unknown location developed in the UK validate on a US population? Hum Reprod 25(10):2434, 2010
Barnhart KT, Sammel MD, Rinaudo PF: Symptomatic patients with an early viable intrauterine pregnancy: hCG curves redefined. Obstet Gynecol 104:50, 2004b
Barrett JP, Whiteside JL, Boardman LA: Fatal clostridial sepsis after spontaneous abortion. Obstet Gynecol 99:899, 2002
Barth WH: Operative procedures of the cervix. In Hankins GDV, Clark SL, Cunningham FG, et al (eds): Operative Obstetrics. Norwalk, Appleton & Lange, 1995, p 753
Bates SM, Greer IA, Middledorp S, et al: VTE, thrombophilia, antithrombotic therapy, and pregnancy: Antithrombotic Therapy and Prevention of Thrombosis, 9th ed: American College of Chest Physicians Evidence-Based Clinical Practice Guidelines. Chest 141:e691S, 2012
Baud D, Goy G, Jaton K, et al: Role of Chlamydia trachomatis in miscarriage. Emerg Infect Dis 17(9):1630, 2011
Bednarek PH, Creinin MD, Reeves MF, et al: Immediate versus delayed IUD insertion after uterine aspiration. N Engl J Med 364(21):2208, 2011
Bellver J, Ayllón Y, Ferrando M, et al: Female obesity impairs in vitro fertilization outcome without affecting embryo quality. Fertil Steril 93(2):447, 2010a
Benhadi N, Wiersinga WM, Reitsma JB, et al: Higher maternal TSH levels in pregnancy are associated with increased risk for miscarriage, fetal or neonatal death. Eur J Endocrinol 160:985, 2009
Berger DS, Hogge WA, Barmada MM, et al: Comprehensive analysis of HLA-G: implications for recurrent spontaneous abortion. Reprod Sci 17(4):331, 2010
Berghella V, Airoldi J, O’Neill AM, et al: Misoprostol for second trimester pregnancy termination in women with prior caesarean: a systematic review. BJOG 116(9):1151, 2009
Berghella V, Mackeen D: Cervical length screening with ultrasound-indicated cerclage compared with history-indicated cerclage for prevention of preterm birth: a meta-analysis. Obstet Gynecol 118(1):148, 2011
Bhattacharya S, Townend J, Bhattacharya S: Recurrent miscarriage: are three miscarriages one too many? Analysis of a Scottish population-based database of 151,021 pregnancies. Eur J Obstet Gynecol Reprod Biol 150:24, 2010
Bianco K, Caughey AB, Shaffer BL, et al: History of miscarriage and increased incidence of fetal aneuploidy in subsequent pregnancy. Obstet Gynecol 107:1098, 2006
Boivin JF: Risk of spontaneous abortion in women occupationally exposed to anaesthetic gases: a meta-analysis. Occup Environ Med 54:541, 1997
Borgatta L, Burnhill MS, Tyson J, et al: Early medical abortion with methotrexate and misoprostol. Obstet Gynecol 97:11, 2001
Boyd EF Jr, Holmstrom EG: Ovulation following therapeutic abortion. Am J Obstet Gynecol 113:469, 1972
Bradshaw KD: Anatomic disorders. In Hoffman BL, Schorge JO, Schaffer JI, et al: Williams Gynecology, 2nd ed. McGraw-Hill, New York, 2012
Branch DW, Gibson M, Silver RM: Recurrent miscarriage. N Engl J Med 363:18, 2010
Brent RL: Saving lives and changing family histories: appropriate counseling of pregnant women and men and women of reproductive age, concerning the risk of diagnostic radiation exposures during and before pregnancy. Am J Obstet Gynecol 200(1):4, 2009
Brigham SA, Conlon C, Farquhason RG: A longitudinal study of pregnancy outcome following idiopathic recurrent miscarriage. Hum Reprod 14(11):2868, 1999
Brown ZA, Selke S, Zeh J, et al: The acquisition of herpes simplex virus during pregnancy. N Engl J Med 337:509, 1997
Bryant AG, Grimes DA, Garrett JM: Second-trimester abortion for fetal anomalies or fetal death. Labor induction compared with dilation and evacuation. Obstet Gynecol 117(4):788, 2011
Bukulmez O, Arici A: Luteal phase defect: myth or reality. Obstet Gynecol Clin North Am 31:727, 2004
Bulik CM, Hoffman ER, Von Holle A, et al: Unplanned pregnancy in women with anorexia nervosa. Obstet Gynecol 116:1136, 2010
Buttram VC Jr, Gibbons WE: Mullerian anomalies: a proposed classification (an analysis of 144 cases). Fertil Steril 32(1):40, 1979
Calleja-Agius J, Muttukrishna S, Pizzey AR, et al: Pro- and anti-inflammatory cytokines in threatened miscarriages. Am J Obstet Gynecol 205:83.e8–16, 2011
Cammarano CL, Herron MA, Parer JT: Validity of indications for transabdominal cervicoisthmic cerclage for cervical incompetence. Am J Obstet Gynecol 172:1871, 1995
Canobbio MM, Mair DD, van der Velde M, et al: Pregnancy outcomes after the Fontan repair. J Am Coll Cardiol 28(3):763, 1996
Cansino C, Edelman A, Burke A, et al: Paracervical block with combined ketorolac and lidocaine in first-trimester surgical abortion: a randomized controlled trial. Obstet Gynecol 114(6):1220, 2009
Carrell DT, Wilcox AL, Lowy L, et al: Male chromosomal factors of unexplained recurrent pregnancy loss. Obstet Gynecol 101:1229, 2003
Caruso A, Trivellini C, De Carolis S, et al: Emergency cerclage in the presence of protruding membranes: is pregnancy outcome predictable? Acta Obstet Gynecol Scand 79:265, 2000
Casey BM, Dashe JS, Wells CE, et al: Subclinical hypothyroidism and pregnancy outcomes. Obstet Gynecol 105(2):239, 2005
Caspi E, Schneider DF, Mor Z, et al: Cervical internal os cerclage: description of a new technique and comparison with Shirodkar operation. Am J Perinatol 7:347, 1990
Castañeda R, Lechuga D, Ramos RI, et al: Endemic goiter in pregnant women: utility of the simplified classification of thyroid size by palpation and urinary iodine as screening tests. BJOG 109:1366, 2002
Catov JM, Nohr EA, Olsen J, et al: Chronic hypertension related to risk for preterm and term small for gestational age births. Obstet Gynecol 112(2 pt 1):290, 2008
Cavallo F, Russo R, Zotti C, et al: Moderate alcohol consumption and spontaneous abortion. Alcohol 30:195, 1995
Centers for Disease Control and Prevention: Clostridium sordellii toxic shock syndrome after medical abortion with mifepristone and intravaginal misoprostol—United States and Canada, 2001–2005. MMWR 54(29):724, 2005
Centers for Disease Control and Prevention: Tobacco use and pregnancy. 2013. Available at: http://www.cdc.gov/reproductivehealth/TobaccoUsePregnancy/index.htm. Accessed May 22, 2013
Chasen ST, Kalish RB, Gupta M, et al: Obstetric outcomes after surgical abortion at > or = 20 weeks’ gestation. Am J Obstet Gynecol 193:1161, 2005
Chasen ST, Silverman NS: Mid-trimester emergent cerclage: a ten year single institution review. J Perinatol 18:338, 1998
Chen BA, Reeves MF, Creinin MD, et al: Misoprostol for treatment of early pregnancy failure in women with previous uterine surgery. Am J Obstet Gynecol 198:626.e1, 2008
Chen L, Hu R: Thyroid autoimmunity and miscarriage: a meta-analysis. Clin Endocrinol 74:513, 2011
Clark K, Ji H, Feltovich H, et al: Mifepristone-induced cervical ripening: structural, biomechanical, and molecular events. Am J Obstet Gynecol 194:1391, 2006
Clark W, Bracken H, Tanenhaus J, et al: Alternatives to a routine follow-up visit for early medical abortion. Obstet Gynecol 115(2 Pt 1):264, 2010
Cleland K, Creinin M, Nucatola D, et al: Significant adverse events and outcomes after medical abortion. Obstet Gynecol 121(1):166, 2013
Clowse ME, Jamison M, Myers E, et al: A national study of the complications of lupus in pregnancy. Am J Obstet Gynecol 199:127.e1, 2008
Cnattingius S, Signorello LB, Anneren G, et al: Caffeine intake and the risk of first-trimester spontaneous abortion. N Engl J Med 343:1839, 2000
Cocksedge KA, Li TC, Saravelos SH, et al: A reappraisal of the role of polycystic ovary syndrome in recurrent miscarriage. Reprod Biomed Online 17:151, 2008
Cohen AL, Bhatnagar J, Reagan S, et al: Toxic shock associated with Clostridium sordellii and Clostridium perfringens after medical and spontaneous abortion. Obstet Gynecol 110:1027, 2007
Condous G, Okaro E, Khalid A, et al: Do we need to follow up complete miscarriages with serum human chorionic gonadotrophin levels? BJOG 112:827, 2005
Condous G, Van Calster B, Kirk E, et al: Clinical information does not improve the performance of mathematical models in predicting the outcome of pregnancies of unknown location. Fertil Steril 88(3):572, 2007
Connolly A, Ryan DH, Stuebe AM, et al: Reevaluation of discriminatory and threshold levels for serum β-hCG in early pregnancy. Obstet Gynecol 121(1):65, 2013
Corardetti A, Cecati M, Sartini D, et al: Deregulated cytokine and chemokine expression in endometrium from women with recurrent pregnancy loss. Abstract No. 88, Am J Obstet Gynecol 208(1 Suppl):S52, 2013
Coyaji K, Krishna U, Ambardekar S, et al: Are two doses of misoprostol after mifepristone for early abortion better than one? BJOG 114(3):271, 2007
Creinin MD, Huang X, Westhoff C: et al: Factors related to successful misoprostol treatment for early pregnancy failure. Obstet Gynecol 107:901, 2006
Creinin MD, Pymar HC, Schwartz JL: Mifepristone 100 mg in abortion regimens. Obstet Gynecol 98:434, 2001
Creinin MD, Schreiber CA, Bednarek P: Mifepristone and misoprostol administered simultaneously versus 24 hours apart for abortion. Obstet Gynecol 109(4):885, 2007
Cunningham FG, Halvorson LM: First-trimester abortion. In Hoffman BL, Schorge JO, Schaffer JI, et al (eds): Williams Gynecology, 2nd ed. McGraw-Hill, New York, 2012
Daif JL, Levie M, Chudnoff S, et al: Group A streptococcus causing necrotizing fasciitis and toxic shock syndrome after medical termination of pregnancy. Obstet Gynecol 113(2 Pt 2):504, 2009
Dalenda C, Ines N, Fathia B, et al: Two medical abortion regimens for late first-trimester termination of pregnancy: a prospective randomized trial. Contraception 81(4):323, 2010
Dao B, Blum J, Thieba B, et al: Is misoprostol a safe, effective and acceptable alternative to manual vacuum aspiration for postabortion care? Results from a randomized trial in Burkina Faso, West Africa. BJOG 114(11):1368, 2007
Daya S: Accuracy of gestational age estimation by means of fetal crown-rump length measurement. Am J Obstet Gynecol 168(3 Pt 1):903, 1993
Dayananda I, Maurer R, Fortin J, et al: Medical abortion follow-up serum human chorionic gonadotropin compared with ultrasonography. Obstet Gynecol 121(3):607, 2013
Devaseelan P, Fogarty PP, Regan L: Human chorionic gonadotropin for threatened abortion. Cochrane Database Syst Rev 5:DC007422, 2010
Devi Wold AS, Pham N, Arici A: Anatomic factors in recurrent pregnancy loss. Semin Reprod Med 1:25, 2006
De Vivo A, Mancuso A, Giacobbe A, et al: Thyroid function in women found to have early pregnancy loss. Thyroid 20(6):633, 2010
Dickinson J, Jennings B, Doherty D: Comparison of three regimens using mifepristone and misoprostol for second trimester pregnancy termination. Am J Obstet Gynecol 210:S36, 2014
Doody KJ: Treatment of the infertile couple. In Hoffman BL, Schorge JO, Schaffer JI, et al (eds): Williams Gynecology, 2nd ed. McGraw-Hill, New York, 2012
Doubilet PM, Benson CB, Bourne T, et al: Diagnostic criteria for nonviable pregnancy early in the first trimester. N Engl J Med 369:1443, 2013
Dranitsaris G, Johnston M, Poirier S, et al: Are health care providers who work with cancer drugs at an increased risk for toxic events? A systematic review and meta-analysis of the literature. J Oncol Pharm Pract 2:69, 2005
Dukhovny S, Zutshi P, Abbott JF: Recurrent second trimester pregnancy loss: evaluation and management. Curr Opin Endocrinol Diabetes Obes 16:451, 2009
Eddleman K, Sullivan L, Stone J, et al: An individualized risk for spontaneous pregnancy loss: a risk function model. J Soc Gynecol Investig 13:197A, 2006
Edlow AG, Hou MY, Maurer R, et al: Uterine evacuation for second-trimester fetal death and maternal morbidity. Obstet Gynecol 117(2, part 1):307, 2011
Edlow AG, Srinivas SK, Elovitz MA: Second-trimester loss and subsequent pregnancy outcomes: what is the real risk? Am J Obstet Gynecol 197:581.e1, 2007
Edwards DRV, Aldridge T, Baird DD, et al: Periconceptional over-the-counter nonsteroidal anti-inflammatory drug exposure and risk for spontaneous abortion. Obstet Gynecol 120(1):113, 2012
Ehsanipoor R, Selligman N, Szymanski L, et al: Physical exam indicated cerclage versus expectant management: a systematic review and meta-analysis. Abstract No. 152, Am J Obstet Gynecol 208(1 Suppl):S76, 2013
Eiben B, Bartels I, Bahr-Prosch S, et al: Cytogenetic analysis of 750 spontaneous abortions with the direct-preparation method of chorionic villi and its implications for studying genetic causes of pregnancy wastage. Am J Hum Genet 47:656, 1990
Eller AG, Branch DW, Nelson L, et al: Vascular endothelial growth factor-A gene polymorphisms in women with recurrent pregnancy loss. J Reprod Immunol 88(1):48, 2011
Erkan D, Kozora E, Lockshin MD: Cognitive dysfunction and white matter abnormalities in antiphospholipid syndrome. Pathophysiology 18(1):93, 2011
Eskenazi B, Chevrier J, Rosas LG, et al: The Pine River statement: human health consequences of DDT use. Environ Health Perspect 117(9):1359, 2009
Fantel AG, Shepard TH, Vadheim-Roth C, et al: Embryonic and fetal phenotypes: prevalence and other associated factors in a large study of spontaneous abortion. In Porter IH, Hook EM (eds): Human Embryonic and Fetal Death. New York, Academic Press, 1980, p 71
Fekih M, Fathallah K, Ben Regaya L, et al: Sublingual misoprostol for first trimester termination of pregnancy. Int J Gynaecol Obstet 109(1):67, 2010
Feldman DM, Timms D, Borgida AF: Toxoplasmosis, parvovirus, and cytomegalovirus in pregnancy. Clin Lab Med 30(3):709, 2010
Fischer M, Bhatnagar J, Guarner J, et al: Fatal toxic shock syndrome associated with Clostridium sordellii after medical abortion. N Engl J Med 353:2352, 2005
Fjerstad M, Sivin I, Lichtenberg ES, et al: Effectiveness of medical abortion with mifepristone and buccal misoprostol through 59 gestational days. Contraception 80(3):282, 2009a
Fjerstad M, Trussell J, Sivin I, et al: Rates of serious infection after changes in regimens for medical abortion. N Engl J Med 361:145, 2009b
Flood K, Peace A, Kent E, et al: Platelet reactivity and pregnancy loss. Am J Obstet Gynecol 203:281.e1, 2010
Floyd RL, Decoufle P, Hungerford DW: Alcohol use prior to pregnancy recognition. Am J Prev Med 17:101, 1999
Freedman L, Landy U, Steinauer J: Obstetrician-gynecologist experiences with abortion training: physician insights from a qualitative study. Contraception 81(6):525, 2010
Garber J, Cobin R, Gharib H, et al: Clinical practice guidelines for hypothyroidism in adults: cosponsored by the American Association of Clinical Endocrinologists and the American Thyroid Association. Thyroid 22(12):1200, 2012
Gibb DM, Salaria DA: Transabdominal cervicoisthmic cerclage in the management of recurrent second trimester miscarriage and preterm delivery. Br J Obstet Gynaecol 102:802, 1995
Giraldo-Isaza MA, Fried GP, Hegarty SE, et al: Comparison of 2 stitches vs 1 stitch for transvaginal cervical cerclage for preterm birth prevention. Am J Obstet Gynecol 208:209.e1, 2013
Goldberg AB, Dean G, Kang MS, et al: Manual versus electric vacuum aspiration for early first-trimester abortion: a controlled study of complication rates. Obstet Gynecol 103:101, 2004
Goldberg AB, Drey EA, Whitaker AK: Misoprostol compared with laminaria before early second-trimester surgical abortion: a randomized trial. Obstet Gynecol 106:234, 2005
Goldenberg M, Sivan E, Sharabi Z, et al: Reproductive outcome following hysteroscopic management of intrauterine septum and adhesions. Human Reprod 10:2663, 1995
Goldstein SR: Significance of cardiac activity on endovaginal ultrasound in very early embryos. Obstet Gynecol 80(4):670, 1992
Goyal V: Uterine rupture in second-trimester misoprostol-induced abortion of cesarean delivery: a systematic review. Obstet Gynecol 112:1117, 2009
Gracia CR, Sammel MD, Chittams J, et al: Risk factors for spontaneous abortion in early symptomatic first-trimester pregnancies. Obstet Gynecol 106:993, 2005
Guelinckx I, Devlieger R, Vansant G: Reproductive outcome after bariatric surgery: a critical review. Hum Reprod Update 15(2):189, 2009
Guest J, Chien PF, Thomson MA, et al: Randomised controlled trial comparing the efficacy of same-day administration of mifepristone and misoprostol for termination of pregnancy with the standard 36 to 48 hour protocol. BJOG 114(2):207, 2007
Guttmacher Institute: US abortion rate levels off after 30-year decline. Reuters Health Information, January 12, 2011
Haddow JE, McClain MR, Palomaki GE, et al: Thyroperoxidase and thyroglobulin antibodies in early pregnancy and placental abruption. Obstet Gynecol 117:287, 2011
Hamoda H, Ashok PW, Flett GMM, et al: A randomised controlled trial of mifepristone in combination with misoprostol administered sublingually or vaginally for medical abortion up to 13 weeks of gestation. BJOG 112(8):1102, 2005
Hannafin B, Lovecchio F, Blackburn P: Do Rh-negative women with first trimester spontaneous abortions need Rh immune globulin? Am J Obstet Gynecol 24:487, 2006
Hardy G, Benjamin A, Abenhaim HA: Effect of induced abortions on early preterm births and adverse perinatal outcomes. J Obstet Gynaecol Can 35(2):138, 2013
Harris LH: Stigma and abortion complications in the United States. Obstet Gynecol 120(6):1472, 2012
Harris LH, Cooper A, Rasinski KA, et al: Obstetrician-gynecologists’ objections to and willingness to help patients obtain an abortion. Obstet Gynecol 118(4):905, 2011
Hasan R, Baird DD, Herring AH, et al: Association between first-trimester vaginal bleeding and miscarriage. Obstet Gynecol 114:860, 2009
Heartwell SF, Deputy Director, Domestic Programs, Susan Thompson Buffett Foundation, March 2013
Heuser C, Dalton J, Macpherson C, et al: Idiopathic recurrent pregnancy loss recurs at similar gestational ages. Am J Obstet Gynecol 203(4):343.e1, 2010
Hide G, Morley EK, Hughes JM, et al: Evidence for high levels of vertical transmission in Toxoplasma gondii. Parasitology 136(14):1877, 2009
Ho CS, Bhatnagar J, Cohen AL, et al: Undiagnosed cases of fatal Clostridium-associated toxic shock in Californian women of childbearing age. Am J Obstet Gynecol 201:459.e1–7, 2009
Holbrook WJ, Oskarsdottir A, Fridjonsson T, et al: No link between low-grade periodontal disease and preterm birth: a pilot study in a health Caucasian population. Acta Odontol Scand 62:177, 2004
Homer H, Saridogan E: Uterine artery embolization for fibroids is associated with an increased risk of miscarriage. Fertil Steril 94(1):324, 2010
Honkanen H, Piaggio G, Hertzen H, et al: WHO multinational study of three misoprostol regimens after mifepristone for early medical abortion. BJOG 111(7):715, 2004
Hoover RN, Hyer M, Pheiffer RM, et al: Adverse health outcomes in women exposed in utero to diethylstilbestrol. N Engl J Med 365(14):1304, 2011
Horon IL: Underreporting of maternal deaths on death certificates and the magnitude of the problem of maternal mortality. Am J Public Health 95:478, 2005
Hudson MM: Reproductive outcomes for survivors of childhood cancer. Obstet Gynecol 116:1171, 2010
Irving A, Kieke B, Donahue J, et al: Trivalent inactivated influenza vaccine and spontaneous abortion. Obstet Gynecol 121(1):159, 2013
Jacobs PA, Hassold TJ: The origin of chromosomal abnormalities in spontaneous abortion. In Porter IH, Hook EB (eds): Human Embryonic and Fetal Death. New York, Academic Press, 1980, p 289
Jain JK, Harwood B, Meckstroth KR, et al: A prospective randomized, double-blinded, placebo-controlled trial comparing mifepristone and vaginal misoprostol to vaginal misoprostol alone for elective termination of early pregnancy. Hum Reprod 17:1477, 2002
Jarvie E, Ramsay JE: Obstetric management of obesity in pregnancy. Semin Fetal Neonatal Med 15(2):83, 2010
Jaslow CR, Carney JL, Kutteh WH: Diagnostic factors identified in 1020 women with two versus three or more recurrent pregnancy losses. Fertil Steril 93(4):1234, 2010
Jeppson PC, Park A, Chen CC: Multivalvular bacterial endocarditis after suction curettage abortion. Obstet Gynecol 112:452, 2008
Johns J, Jauniaux E: Threatened miscarriage as a predictor of obstetric outcome. Obstet Gynecol 107:845, 2006
Johnson LG, Mueller BA, Daling JR: The relationship of placenta previa and history of induced abortion. Int J Gynaecol Obstet 81:191, 2003
Jones RK, Kavanaugh ML: Changes in abortion rates between 2000 and 2008 and lifetime incidence of abortion. Obstet Gynecol 117(6):1358, 2011
Joo JG, Beke A, Berkes E, et al: Fetal pathology in second-trimester miscarriages. Fetal Diagn Ther 25(2):186, 2009
Jun SH, Ginsburg ES, Racowsky C, et al: Uterine leiomyomas and their effect on in vitro fertilization outcome: a retrospective study. J Assist Reprod Genet 18:139, 2001
Kadar N, DeCherney AH, Romero R: Receiver operating characteristic (ROC) curve analysis of the relative efficacy of single and serial chorionic gonadotropin determinations in the early diagnosis of ectopic pregnancy. Fertil Steril 37:542, 1982
Kajii T, Ferrier A, Niikawa N, et al: Anatomic and chromosomal anomalies in 639 spontaneous abortions. Hum Genet 55:87, 1980
Kambiss SM, Hibbert ML, Macedonia C, et al: Uterine perforation resulting in bowel infarction: sharp traumatic bowel and mesenteric injury at the time of pregnancy termination. Milit Med 165:81, 2000
Kapp N, Lohr PA, Ngo TD, et al: Cervical preparation for first trimester surgical abortion. Cochrane Database Syst Rev 2:CD007207, 2010
Karl K, Katz M: A stepwise approach to cervical cerclage. OBG Management 24:31, 2012
Keder LM: Best practices in surgical abortion. Am J Obstet Gynecol 189:418, 2003
Keegan GT, Forkowitz MJ: A case report: uretero-uterine fistula as a complication of elective abortion. J Urol 128:137, 1982
Kelly H, Harvey D, Moll S: A cautionary tale. Fatal outcome of methotrexate therapy given for management of ectopic pregnancy. Obstet Gynecol 107:439, 2006
Kerns JL, Steinauer JE, Rosenstein MG, et al: Maternal-fetal medicine subspecialists’ provision of second-trimester termination services. Am J Perinatol 29:709, 2012
Kesmodel U, Wisborg K, Olsen SF, et al: Moderate alcohol intake in pregnancy and the risk of spontaneous abortion. Alcohol 37:87, 2002
Kharazmi E, Dossus L, Rohrmann S, et al: Pregnancy loss and risk of cardiovascular disease: a prospective population-based cohort study (EPIC-Heidelberg). Heart 97(1):49, 2011
Khashan AS, Quigley EMM, McNamee R, et al: Increased risk of miscarriage and ectopic pregnancy among women with irritable bowel syndrome. Clin Gastroenterol Hepatol 10(8):902, 2012
Klebanoff MA, Levine RJ, DerSimonian R, et al: Maternal serum paraxanthine, a caffeine metabolite, and the risk of spontaneous abortion. N Engl J Med 341:1639, 1999
Kleinhaus K, Perrin M, Friedlander Y, et al: Paternal age and spontaneous abortion. Obstet Gynecol 108:369, 2006
Kollitz K, Meyn, Lohr P, Creinin M: Mifepristone and misoprostol for early pregnancy failure: a cohort analysis. Am J Obstet Gynecol 204:386.e1–6, 2011
Krassas GE, Poppe K, Glinoer D: Thyroid function and human reproductive health. Endo Rev 31:702, 2010
Kuhn RPJ, Pepperell RJ: Cervical ligation: a review of 242 pregnancies. Aust N Z J Obstet Gynaecol 17:79, 1977
Lahteenmaki P, Luukkainen T: Return of ovarian function after abortion. Clin Endocrinol 2:123, 1978
Lashen H, Fears K, Sturdee D: Obesity is associated with increased risk of early and recurrent miscarriage: matched case control study. Hum Reprod 19:1644, 2004
Lawson CC, Rocheleau CM, Whelan EA, et al: Occupational exposures among nurses and risk of spontaneous abortion. Am J Obstet Gynecol 206:327.e1, 2012
Levi CS, Lyons EA, Lindsay DJ: Early diagnosis of nonviable pregnancy with endovaginal US. Radiology 167(2):383, 1988
Levi CS, Lyons EA, Zheng XH, et al: Endovaginal US: demonstration of cardiac activity in embryos of less than 5.0 mm in crown-rump length. Radiology 176(1):71, 1990
Locatelli A, Vergani P, Bellini P, et al: Amnioreduction in emergency cerclage with prolapsed membranes: comparison of two methods for reducing the membranes. Am J Perinatol 16:73, 1999
Love ER, Bhattacharya S, Smith NC, et al: Effect of interpregnancy interval on outcomes of pregnancy after miscarriage: retrospective analysis of hospital episode statistics in Scotland. BMJ 341:c3967, 2010
Luise C, Jermy K, May C, et al: Outcome of expectant management of spontaneous first trimester miscarriage: observational study. BMJ 324:873, 2002
Lupo PJ, Symanski E, Waller DK, et al: Maternal exposure to ambient levels of benzene and neural tube defects among offspring, Texas, 1999–2004. Environ Health Perspect 119:397, 2011
Lykke JA, Dideriksen KL, Lidegaard Ø, et al: First-trimester vaginal bleeding and complications later in pregnancy. Obstet Gynecol 115:935, 2010
MacIsaac L, Darney P: Early surgical abortion: an alternative to and backup for medical abortion. Am J Obstet Gynecol 183:S76, 2000
MacNaughton MC, Chalmers IG, Dubowitz V, et al: Final report of the Medical Research Council/Royal College of Obstetricians and Gynaecologists Multicentre Randomized Trial of Cervical Cerclage. Br J Obstet Gynaecol 100:516, 1993
Maconochie N, Doyle P, Prior S, et al: Risk factors for first trimester miscarriage—results from a UK-population-based case-control study. BJOG 114:170, 2007
Madden T, Westhoff C: Rates of follow-up and repeat pregnancy in the 12 months after first-trimester induced abortion. Obstet Gynecol 113:663, 2009
Mankowski JL, Kingston J, Moran T, et al: Paracervical compared with intracervical lidocaine for suction curettage: a randomized controlled trial. Obstet Gynecol 113:1052, 2009
Männistö T, Vääräsmäki M, Pouta A, et al: Perinatal outcome of children born to mothers with thyroid dysfunction or antibodies: a prospective population-based cohort study. J Clin Endocrinol Metab 94:772, 2009
Marguard K, Westphal LM, Milki AA, et al: Etiology of recurrent pregnancy loss in women over the age of 35 years. Fertil Steril 94(4):1473, 2010
Masch RJ, Roman AS: Uterine evacuation in the office. Contemp Ob Gyn 51:66, 2005
Mazze RI, Källén B: Reproductive outcome after anesthesia and operation during pregnancy: a registry study of 5405 cases. Am J Obstet Gynecol 161:1178, 1989
McDonald IA: Incompetent cervix as a cause of recurrent abortion. J Obstet Gynaecol Br Commonw 70:105, 1963
Meirik O, Huang NTM, Piaggio G, et al: Complications of first-trimester abortion by vacuum aspiration after cervical preparation with and without misoprostol: a multicentre randomized trial. Lancet 379:1817, 2012
Meites E, Zane S, Gould C: Fatal Clostridium sordellii infections after medical abortions. N Engl J Med 363(14):1382, 2010
Mentula M, Suhonen S, Heikinheimo O: One- and two-day intervals between mifepristone and misoprostol in second trimester medical termination of pregnancy. Hum Reprod 26(10):2690, 2011
Mohammad KL, Ghazaly MM, Zaalouk TK, et al: Maternal brucellosis and human pregnancy. J Egypt Soc Parasitol 41(2):485, 2011
Moore S, Ide M, Coward PY, et al: A prospective study to investigate the relationship between periodontal disease and adverse pregnancy outcome. Br Dent J 197:251, 2004
Moreau C, Kaminski M, Ancel PY, et al: Previous induced abortions and the risk of very preterm delivery: results of the EPIPAGE study. BJOG 112:430, 2005
Moschos E, Twickler DM: Intrauterine devices in early pregnancy: findings on ultrasound and clinical outcomes. Am J Obstet Gynecol 204:427.e1–6, 2011
Munk-Olsen T, Laursen T, Pedersen, C, et al: Induced first-trimester abortion and risk of mental disorder. N Engl J Med 364(4):332, 2011
Nahum GG: Uterine anomalies. How common are they, and what is their distribution among subtypes? J Reprod Med 43(10):877, 1998
Nawaz FH, Rizvi J: Continuation of metformin reduces early pregnancy loss in obese Pakistani women with polycystic ovarian syndrome. Gynecol Obstet Invest 69(3):184, 2010
Negro R, Formoso G, Mangieri T, et al: Levothyroxine treatment in euthyroid pregnant women with autoimmune thyroid disease: effects on obstetrical complications. J Clin Endocrinol Metab 91(7):2587, 2006
Negro R, Schwartz A, Gismondi R, et al: Universal screening versus case finding for detection and treatment of thyroid hormonal dysfunction during pregnancy. J Clin Endocrinol Metab 95(4):1699, 2010
Neilson JP, Gyte GM, Hickey M, et al: Medical treatments for incomplete miscarriage (less than 24 weeks). Cochrane Database Syst Rev 1:CD007223, 2010
Newmann SJ, Sokoloff A, Tharyil M, et al: Same-day synthetic osmotic dilators compared with overnight laminaria before abortion at 14-18 weeks of gestation: a randomized controlled trial. Obstet Gynecol 123:271, 2014
Ngoc NT, Shochet T, Raghavan S, et al: Mifepristone and misoprostol compared with misoprostol alone for second-trimester abortion. Obstet Gynecol 118(3):601, 2011
Nguyen NT, Blum J, Durocher J, et al: A randomized controlled study comparing 600 versus 1200 μg oral misoprostol for medical management of incomplete abortion. Contraception 72:438, 2005
Niinimäki M, Pouta A, Bloigu A, et al: Immediate complications after medical compared with surgical termination of pregnancy. Obstet Gynecol 114:795, 2009
Nurmohamed L, Moretti ME, Schechter T, et al: Outcome following high-dose methotrexate in pregnancies misdiagnosed as ectopic. Am J Obstet Gynecol 205:533.e1, 2011
Nyberg DA, Mack LA, Laing FC, et al: Distinguishing normal from abnormal gestational sac growth in early pregnancy. J Ultrasound Med 6(1):23, 1987
Oakeshott P, Hay P, Hay S, et al: Association between bacterial vaginosis or chlamydial infection and miscarriage before 16 weeks’ gestation: prospective, community based cohort study. BMJ 325:1334, 2002
O’Connor S, Kuller JA, McMahon MJ: Management of cervical cerclage after preterm premature rupture of membranes. Obstet Gynecol Surv 54:391, 1999
Owen J, Hankins G, Iams J, et al: Multicenter randomized trial of cerclage for preterm birth prevention in high-risk women with shortened midtrimester cervical length. Am J Obstet Gynecol 201(4):375, 2009
Owen J, Hauth JC, Winkler CL, et al: Midtrimester pregnancy termination: a randomized trial of prostaglandin E2 versus concentrated oxytocin. Am J Obstet Gynecol 167:1112, 1992
Owen J, Iams JD, Hauth JC: Vaginal sonography and cervical incompetence. Am J Obstet Gynecol 188:586, 2003
Pasternak B, Svanström H, Hviid A: Ondansetron in pregnancy and risk of adverse fetal outcomes. N Engl J Med 368(9):814, 2013
Paul ME, Mitchell CM, Rogers AJ, et al: Early surgical abortion: efficacy and safety. Am J Obstet Gynecol 187:407, 2002
Pazol K, Creanga AA, Burley KD, et al: Abortion surveillance—United States 2010. MMWR 62(ss08):1, 2013
Pazol K, Creanga AA, Zane S, et al: Abortion surveillance—United States, 2009. MMWR 61(8):1, 2012
Pazol K, Zane SB, Parker WY, et al: Abortion surveillance—United States, 2008. MMWR 60(15):1, 2011
Pymar HC, Creinin MD, Schwartz JL: Mifepristone followed on the same day by vaginal misoprostol for early abortion. Contraception 64:87, 2001
Quinn PA, Shewchuck AB, Shuber J, et al: Efficacy of antibiotic therapy in preventing spontaneous pregnancy loss among couples colonized with genital mycoplasmas. Am J Obstet Gynecol 145:239, 1983a
Quinn PA, Shewchuck AB, Shuber J, et al: Serologic evidence of Ureaplasma urealyticum infection in women with spontaneous pregnancy loss. Am J Obstet Gynecol 145:245, 1983b
Raghavan S, Comendant R, Digol I, et al: Two-pill regimens of misoprostol after mifepristone medical abortion through 63 days’ gestational age: a randomized controlled trial of sublingual and oral misoprostol. Contraception 79(2):84, 2009
Ramsey PS, Owen J: Midtrimester cervical ripening and labor induction. Clin Obstet Gynecol 43(3):495, 2000
Ramsey PS, Savage K, Lincoln T, Owen J: Vaginal misoprostol versus concentrated oxytocin and vaginal PGE2 for second-trimester labor induction. Obstet Gynecol 104:138, 2004
Ramzy AM, Sattar M, Amin Y, et al: Uterine myomata and outcome of assisted reproduction. Hum Reprod 13:198, 1998
Raymond E, Grimes D: The comparative safety of legal induced abortion and childbirth in the United States. Obstet Gynecol 119(2, Part 1):215, 2012
Reddy UM: Recurrent pregnancy loss: nongenetic causes. Contemp Ob Gyn 52:63, 2007
Reeves MF, Smith KJ, Creinin MD: Contraceptive effectiveness of immediate compared with delayed insertion of intrauterine devices after abortion. Obstet Gynecol 109:1286, 2007
Reichman DE, Laufer MR: Congenital uterine anomalies affecting reproduction. Best Pract Res Clin Obstet Gynecol 24(2):193, 2010
Renner RM, Nichols MD, Jensen JT, et al: Paracervical block for pain control in first-trimester surgical abortion. Obstet Gynecol 119:1030, 2012
Robson SC, Kelly T, Howel D, et al: Randomised preference trial of medical versus surgical termination of pregnancy less than 14 weeks’ gestation (TOPS). Health Technol Assess 13(53):1, 2009
Romero R, Kusanovic JP, Chaiworapongsa T, et al: Placental bed disorders in preterm labor, preterm PROM, spontaneous abortion and abruptio placentae. Best Pract Res Clin Obstet Gynaecol 25(3):313, 2011
Rowland AS, Baird DD, Shore DL, et al: Nitrous oxide and spontaneous abortion in female dental assistants. Am J Epidemiol 141:531, 1995
Rust OA, Atlas RO, Reed J, et al: Revisiting the short cervix detected by transvaginal ultrasound in the second trimester: why cerclage may not help. Am J Obstet Gynecol 185:1098, 2001
Salim R, Regan L, Woelfer B, et al: A comparative study of the morphology of congenital uterine anomalies in women with and without a history of recurrent first trimester miscarriage. Hum Reprod 18:162, 2003
Saraswat L, Bhattacharya S, Maheshwari A, et al: Maternal and perinatal outcome in women with threatened miscarriage in the first trimester: a systematic review. BJOG 117:245, 2010
Saravelos SH, Yan J, Rehmani H, et al: The prevalence and impact of fibroids and their treatment on the outcome of pregnancy in women with recurrent miscarriage. Hum Reprod 26:3274, 2011
Satpathy HK, Fleming A, Frey D, et al: Maternal obesity and pregnancy. Postgrad Med 120(3):E01, 2008
Savaris RF, Silva de Moraes G, Cristovam RA, et al: Are antibiotics necessary after 48 hours of improvement in infected/septic abortions? A randomized controlled trial followed by a cohort study. Am J Obstet Gynecol 204:301.e1, 2011
Savitz DA, Chan RL, Herring AH, et al: Caffeine and miscarriage risk. Epidemiology 19:55, 2008
Schaff EA, Fielding SL, Westhoff C, et al: Vaginal misoprostol administered 1, 2, or 3 days after mifepristone for early medical abortion. A randomized trial. JAMA 284:1948, 2000
Schneider D, Golan A, Langer R, et al: Outcome of continued pregnancies after first and second trimester cervical dilatation by laminaria tents. Obstet Gynecol 78:1121, 1991
Schnorr TM, Grajewski BA, Hornung RW, et al: Video display terminals and the risk of spontaneous abortion. N Engl J Med 324:727, 1991
Schust D, Hill J: Recurrent pregnancy loss. In Berek J (ed): Novak’s Gynecology, 13th ed. Philadelphia, Lippincott Williams & Wilkins, 2002
Sedgh G, Singh S, Shah I, et al: Induced abortion: incidence and trends worldwide from 1995 to 2008. Lancet 379:625, 2012
Shannon C, Wiebe E, Jacot F: Regimens of misoprostol with mifepristone for early medical abortion: a randomized trial. BJOG 113:621, 2006
Sharshiner R, Romero S, Silver R, et al: Celiac disease serum markers and recurrent pregnancy loss. Abstract No. 151, Am J Obstet Gynecol 208(1 Suppl):S76, 2013
Sher KS, Jayanthi V, Probert CS, et al: Infertility, obstetric and gynaecological problems in coeliac sprue. Digest Dis 12:186, 1994
Shimoni N, Davis A, Ramos M, et al: Timing of copper intrauterine device insertion after medical abortion. Obstet Gynecol 118(3):623, 2011
Shirodkar VN: A new method of operative treatment for habitual abortions in the second trimester of pregnancy. Antiseptic 52:299, 1955
Silver RM, Branch DW, Goldenberg R, et al: Nomenclature for pregnancy outcomes. Obstet Gynecol 118(6):1402, 2011
Simpson JL: Causes of fetal wastage. Clin Obstet Gynecol 50(1):10, 2007
Simpson JL: Genes, chromosomes, and reproductive failure. Fertil Steril 33(2):107, 1980
Smith LF, Ewings PD, Guinlan C: Incidence of pregnancy after expectant, medical, or surgical management of spontaneous first trimester miscarriage: long term follow-up of miscarriage treatment (MIST) randomized controlled trial. BMJ 339:b3827, 2009
Sollid CP, Wisborg K, Hjort JH, et al: Eating disorder that was diagnosed before pregnancy and pregnancy outcome. Am J Obstet Gynecol 190:206, 2004
Srinivas SK, Ernst LM, Edlow AG, et al: Can placental pathology explain second-trimester pregnancy loss and subsequent pregnancy outcomes? Am J Obstet Gynecol 199:402.e1, 2008
Stein Z, Kline J, Susser E, et al: Maternal age and spontaneous abortion. In Porter IH, Hook EB (eds): Human Embryonic and Fetal Death. New York, Academic Press, 1980, p 107
Steinauer J, Darney P, Auerbach RD: Should all residents be trained to do abortions? Contemp Ob Gyn 51:56, 2005a
Steinauer J, Drey EA, Lewis R, et al: Obstetrics and gynecology resident satisfaction with an integrated, comprehensive abortion rotation. Obstet Gynecol 105:1335, 2005b
Steinberg JR, McCulloch CE, Adler NE: Abortion and mental health. Obstet Gynecol 123:263, 2014
Stephenson MD, Kutteh WH, Purkiss S, et al: Intravenous immunoglobulin and idiopathic secondary recurrent miscarriage: a multicentered randomized placebo-controlled trial. Hum Reprod 25(9):2203, 2010
Stout MJ, Odibo AO, Graseck AS, et al: Leiomyomas at routine second-trimester ultrasound examination and adverse obstetric outcomes. Obstet Gynecol 116:1056, 2010
Stoval N, Sibai B, Habli M: Is there a role for cerclage in twin gestation with short cervical length (CL)? Single center experience. Abstract No. 143, Am J Obstet Gynecol 208(1 Suppl):S73, 2013
Streeter GL: Focal deficiencies in fetal tissues and their relation to intra-uterine amputation. Carnegie Institute of Washington 1930, Publication No. 414, p 5
Stulberg DB, Dude AM, Dahlguist I, et al: Abortion provision among practicing obstetrician-gynecologists. Obstet Gynecol 1189):609, 2011
Sullivan AE, Silver RM, LaCoursiere DY, et al: Recurrent fetal aneuploidy and recurrent miscarriage. Obstet Gynecol 104:784, 2004
Sunkara SK, Khairy M, El-Toukhy T, et al: The effect of intramural fibroids without uterine cavity involvement on the outcome of IVF treatment: a systematic review and meta-analysis. Hum Reprod 25(2):418, 2010
Swingle HM, Colaizy TT, Zimmerman MB, et al: Abortion and the risk of subsequent preterm birth. J Reprod Med 54:95, 2009
Tang J, Kapp N, Dragoman M, et al: WHO recommendations for misoprostol use for obstetric and gynecologic indications. Int J Gynaecol Obstet 121(2):186, 2013
Tanner L: Abortion in America: restrictions on the rise. The Associated Press, October 12, 2012
Taskinen H, Kyyrönen P, Hemminki K: Effects of ultrasound, shortwaves, and physical exertion on pregnancy outcome in physiotherapists. J Epidemiol Community Health 44:196, 1990
Temmerman M, Lopita MI, Sanghvi HC, et al: The role of maternal syphilis, gonorrhea and HIV-1 infections in spontaneous abortion. Int J STD AIDS 3:418, 1992
Templeton A, Grimes D: A request for abortion. N Engl J Med 365(23):2198, 2011
Terkildsen MFC, Parilla BV, Kumar P, et al: Factors associated with success of emergent second-trimester cerclage. Obstet Gynecol 101:565, 2003
Thangaratinam S, Tan A, Knox E, et al: Association between thyroid autoantibodies and miscarriage and preterm birth: meta-analysis of evidence. BMJ 342:d2616, 2011
Therapel AT, Tharapel SA, Bannerman RM: Recurrent pregnancy losses and parental chromosome abnormalities: a review. Br J Obstet Gynecol 92:899, 1985
Thomason JL, Sampson MB, Beckman CR, et al: The incompetent cervix: a 1982 update. J Reprod Med 27:187, 1982
Timor-Tritsch IE, Farine D, Rosen MG: A close look at early embryonic development with the high-frequency transvaginal transducer. Am J Obstet Gynecol 159(3):676, 1988
To MS, Alfirevic Z, Heath VCF, et al: Cervical cerclage for prevention of preterm delivery in women with short cervix: randomised controlled trial. Lancet 363:1849, 2004
Tongsong T, Srisomboon J, Wanapirak C, et al: Pregnancy outcome of threatened abortion with demonstrable fetal cardiac activity: a cohort study. J Obstet Gynaecol 21:331, 1995
Torre A, Huchon C, Bussieres L, et al: Immediate versus delayed medical treatment for first-trimester miscarriage: a randomized trial. Am J Obstet Gynecol 206:215.e1, 2012
Trinder J, Brocklehurst P, Porter R, et al: Management of miscarriage: expectant, medical, or surgical? Results of randomized controlled trial (miscarriage treatment (MIST) trial). BMJ 332(7552):1235, 2006
Tzeng CR, Hwang JL, Au HK, et al: Sonographic patterns of the endometrium in assessment of medical abortion outcomes. Contraception 88(1):153, 2013
Valli E, Zupi E, Marconi D, et al: Hysteroscopic findings in 344 women with recurrent spontaneous abortion. J Am Assoc Gynecol Laparosc 8(3):398, 2001
van Benthem BH, de Vincenzi I, Delmas MD, et al: Pregnancies before and after HIV diagnosis in a European cohort of HIV-infected women. European study on the natural history of HIV infection in women. AIDS 14:2171, 2000
van den Boogaard E, Kaandorp SP, Franssen MT, et al: Consecutive or non-consecutive recurrent miscarriage: is there any difference in carrier status? Hum Reprod 25(6):1411, 2010
Vartian CV, Septimus EJ: Tricuspid valve group B streptococcal endocarditis following elective abortion. Rev Infect Dis 13:997, 1991
Velez Edwards DR, Baird DD, Hasan R, et al: First-trimester bleeding characteristics associate with increased risk of preterm birth: data from a prospective pregnancy cohort. Hum Reprod 27(1):54, 2012
Vilchez G, Saona P, Bahado-Singh R, et al: Adverse obstetrical outcomes of brucellosis in pregnancy: a 42-year experience in Peru. Am J Obstet Gynecol 210:S216, 2014
Virk J, Zhang J, Olsen J: Medical abortion and the risk of subsequent adverse pregnancy outcomes. N Engl J Med 357:648, 2007
von Hertzen H, Honkanen H, Piaggio G, et al: WHO multinational study of three misoprostol regimens after mifepristone for early medical abortion. I: efficacy. BJOG 110:808, 2003
von Hertzen H, Huong NTM, Piaggio G, et al: Misoprostol dose and route after mifepristone for early medical abortion: a randomized controlled noninferiority trial. BJOG 117(10):1186, 2010
von Hertzen H, Piaggio G, Huong NT, et al: Efficacy of two intervals and two routes of administration of misoprostol for termination of early pregnancy: a randomized controlled equivalence trial. Lancet 369:1938, 2007
von Hertzen H, Piaggio G, Wojdyla D, et al: Two mifepristone doses and two intervals of misoprostol administration for termination of early pregnancy: a randomized factorial controlled equivalence trial. BJOG 116(3):381, 2009
Warburton D, Stein Z, Kline J, et al: Chromosome abnormalities in spontaneous abortion: data from the New York City study. In Porter IH, Hook EB (eds): Human Embryonic and Fetal Death. New York, Academic Press, 1980, p 261
Warren JB, Silver RM: Autoimmune disease in pregnancy: systemic lupus erythematosus and antiphospholipid syndrome. Obstet Gynecol Clin North Am 31:345, 2004
Weiss J, Malone F, Vidaver J, et al: Threatened abortion: a risk factor for poor pregnancy outcome—a population based screening study (the FASTER Trial). Am J Obstet Gynecol 187:S70, 2002
Weng X, Odouki R, Li DK: Maternal caffeine consumption during pregnancy and the risk of miscarriage: a prospective cohort study. Am J Obstet Gynecol 198:279.e1, 2008
Westfall JM, Sophocles A, Burggraf H, et al: Manual vacuum aspiration for first-trimester abortion. Arch Fam Med 7:559, 1998
Whittle WL, Singh SS, Allen L, et al: Laparoscopic cervico-isthmic cerclage: surgical technique and obstetric outcomes. Am J Obstet Gynecol 201:364.e1, 2009
Wijesiriwardana A, Bhattacharya S, Shetty A, et al: Obstetric outcome in women with threatened miscarriage in the first trimester. Obstet Gynecol 107:557, 2006
Wilcox AF, Weinberg CR, O’Connor JF, et al: Incidence of early loss of pregnancy. N Engl J Med 319:189, 1988
Williams Z: Inducing tolerance to pregnancy. N Engl J Med 367(12):1159, 2012
Winikoff B, Dzuba IG, Creinin MD, et al: Two distinct oral routes of misoprostol in mifepristone medical abortion: a randomized controlled trial. Obstet Gynecol 112(6):1303, 2008
Witter FR: Negative sonographic findings followed by rapid cervical dilatation due to cervical incompetence. Obstet Gynecol 64:136, 1984
Wo JY, Viswanathan AN: Impact of radiotherapy on fertility, pregnancy, and neonatal outcomes in female cancer patients. Int J Radiat Oncol Biol Phys 73(5):1304, 2009
Woo J, Arrabal P, O’Reilly G: Pregnancy outcome after placement of reinforcement cerclage. Abstract No. 798, Am J Obstet Gynecol 208(1 Suppl):S335, 2013
Word L, Hoffman BL: Surgeries for benign gynecologic conditions. In Hoffman BL, Schorge JO, Schaffer JI, et al: Williams Gynecology, 2nd ed. McGraw-Hill, New York, 2012
World Health Organization: The use of DDT in malaria vector control: WHO position statement. 2011. Available at: http://whqlibdoc.who.int/hq/2011/WHO_HTM_GMP_2011_eng.pdf. Accessed May 21, 2013
Wyatt PR, Owolabi T, Meier C, et al: Age-specific risk of fetal loss observed in a second trimester serum screening population. Am J Obstet Gynecol 192:240, 2005
Xiong X, Buekens P, Vastardis S, et al: Periodontal disease and pregnancy outcomes: state-of-the-science. Obstet Gynecol Surv 62(9):605, 2007
Yetman DL, Kutteh WH: Antiphospholipid antibody panels and recurrent pregnancy loss: prevalence of anticardiolipin antibodies compared with other antiphospholipid antibodies. Fertil Steril 66:540, 1996
Zaveri V, Aghajafari F, Amankwah K, et al: Abdominal versus vaginal cerclage after a failed transvaginal cerclage: a systematic review. Am J Obstet Gynecol 187:868, 2002
Zhang J, Gilles JM, Barnhart K, et al: A comparison of medical management with misoprostol and surgical management for early pregnancy failure. N Engl J Med 353:761, 2005
Zheteyeva Y, Moro PL, Xue X, et al: Safety of meningococcal polysaccharide- protein conjugate vaccine in pregnancy: a review of the Vaccine Adverse Event Reporting System. Am J Obstet Gynecol 208(6):478.e1, 2013