INVOLUTION OF THE REPRODUCTIVE TRACT
PLACENTAL SITE INVOLUTION
URINARY TRACT
PERITONEUM AND ABDOMINAL WALL
HEMATOLOGICAL PARAMETERS AND PREGNANCY HYPERVOLEMIA.
BREASTS AND LACTATION.
MATERNAL CARE DURING THE PUERPERIUM
HOME CARE
The word puerperium is derived from Latin—puer, child + parus, bringing forth. Currently, it defines the time following delivery during which pregnancy-induced maternal anatomical and physiological changes return to the nonpregnant state. Its duration is understandably inexact, but is considered to be between 4 and 6 weeks. Although much less complex compared with pregnancy, the puerperium has appreciable changes, some of which may be either bothersome or worrisome for the new mother. Importantly, several complications can develop, and some are serious.
The puerperium may be a time of intense anxiety for many women. Some mothers have feelings of abandonment following delivery because of a newly aimed focus on the infant. Kanotra and colleagues (2007) analyzed challenges that women faced from 2 to 9 months following delivery. A third of these new mothers felt the need for social support, and 25 percent had concerns with breast feeding (Table 36-1).
TABLE 36-1. Pregnancy Risk Assessment Surveillance System—PRAMS.a Concerns Raised by Women in the First 2–9 Months Postpartum

INVOLUTION OF THE REPRODUCTIVE TRACT
Birth Canal
Return to the nonpregnant state begins soon after delivery. The vagina and its outlet gradually diminish in size but rarely regain their nulliparous dimensions. Rugae begin to reappear by the third week but are less prominent than before. The hymen is represented by several small tags of tissue, which scar to form the myrtiform caruncles. Vaginal epithelium begins to proliferate by 4 to 6 weeks, usually coincidental with resumed ovarian estrogen production. Lacerations or stretching of the perineum during delivery may result in vaginal outlet relaxation. Some damage to the pelvic floor may be inevitable, and parturition predisposes to urinary incontinence and pelvic organ prolapse. This is discussed in detail in Chapter 27 (p. 536).
Uterus
The massively increased uterine blood flow necessary to maintain pregnancy is made possible by significant hypertrophy and remodeling of pelvic vessels. After delivery, their caliber gradually diminishes to approximately that of of the prepregnant state. Within the puerperal uterus, larger blood vessels become obliterated by hyaline changes, are gradually resorbed, and are replaced by smaller ones. Minor vestiges of the larger vessels, however, may persist for years.
During labor, the margin of the dilated cervix, which corresponds to the external os, may be lacerated. The cervical opening contracts slowly and for a few days immediately after labor, readily admits two fingers. By the end of the first week, this opening narrows, the cervix thickens, and the endocervical canal reforms. The external os does not completely resume its pregravid appearance. It remains somewhat wider, and typically, ectocervical depressions at the site of lacerations become permanent. These changes are characteristic of a parous cervix (Fig. 36-1). The markedly attenuated lower uterine segment contracts and retracts, but not as forcefully as the uterine corpus. During the next few weeks, the lower segment is converted from a clearly distinct substructure large enough to accommodate the fetal head to a barely discernible uterine isthmus located between the corpus and internal os.

FIGURE 36-1 Common appearance of nulliparous (A) and parous (B) cervices.
Cervical epithelium also undergoes considerable remodeling, and this actually may be salutary. Ahdoot and associates (1998) found that approximately half of women showed regression of high-grade dysplasia following vaginal delivery. Kaneshiro and coworkers (2005) found similar regression—about 60 percent overall—regardless of delivery mode.
Postpartum, the fundus of the contracted uterus lies slightly below the umbilicus. It consists mostly of myometrium covered by serosa and internally lined by basal decidua. The anterior and posterior walls, which lie in close apposition, are each 4 to 5 cm thick (Buhimschi, 2003). At this time, the uterus weighs approximately 1000 g. Because blood vessels are compressed by the contracted myometrium, the uterus on section appears ischemic compared with the reddish-purple hyperemic pregnant organ.
Myometrial involution is a truly remarkable tour de force of destruction or deconstruction that begins as soon as 2 days after delivery as shown in Figure 36-2. As emphasized by Hytten (1995), studies that describe the degree of decreasing uterine weight postpartum are poor quality. Best estimates are that by 1 week, the uterus weighs approximately 500 g; by 2 weeks, about 300 g; and at 4 weeks, involution is complete and the uterus weighs approximately 100 g. After each successive delivery, the uterus is usually slightly larger than before the most recent pregnancy. The total number of myocytes does not decrease appreciably—rather, their size decreases markedly.

FIGURE 36-2 Cross sections of uteri made at the level of the involuting placental site at varying times after delivery. p.p. = postpartum. (Redrawn from Williams, 1931.)
Sonographic Findings
Uterine size dissipates rapidly in the first week (Fig. 36-3). And the uterus and endometrium return to pregravid size by 8 weeks after delivery (Belachew, 2012; Steinkeler, 2012). In a study of 42 normal women postpartum, Tekay and Jouppila (1993) identified fluid in the endometrial cavity in 78 percent at 2 weeks, 52 percent at 3 weeks, 30 percent at 4 weeks, and 10 percent at 5 weeks. Demonstrable uterine cavity contents are seen for up to 2 months following delivery. Belachew and colleagues (2012) used 3-dimensional sonography and visualized intracavitary tissue matter in a third on day 1, 95 percent on day 7, 87 percent on day 14, and 28 percent on day 28. By day 56, the small cavity was empty. Sohn and associates (1988) described Doppler ultrasound results showing continuously increasing uterine artery vascular resistance during the first 5 days postpartum.

FIGURE 36-3 Sonographic measurements of uterine involution during the first 9 days postpartum. AP = anteroposterior. (Data from Hytten, 1995.)
Decidua and Endometrial Regeneration
Because separation of the placenta and membranes involves the spongy layer, the decidua basalis is not sloughed. The remaining decidua has striking variations in thickness, it has an irregular jagged appearance, and it is infiltrated with blood, especially at the placental site (see Fig. 36-2).
Within 2 or 3 days after delivery, the remaining decidua becomes differentiated into two layers. The superficial layer becomes necrotic and is sloughed in the lochia. The basal layer adjacent to the myometrium remains intact and is the source of new endometrium. This arises from proliferation of the endometrial glandular remnants and the stroma of the interglandular connective tissue.
Endometrial regeneration is rapid, except at the placental site. Within a week or so, the free surface becomes covered by epithelium, and Sharman (1953) identified fully restored endometrium in all biopsy specimens obtained from the 16th day onward. Histological endometritis is part of the normal reparative process. Moreover, microscopic inflammatory changes characteristic of acute salpingitis are seen in almost half of women between 5 and 15 days, but these findings do not reflect infection (Andrews, 1951).
Clinical Aspects
Afterpains. In primiparous women, the uterus tends to remain tonically contracted following delivery. In multiparas, however, it often contracts vigorously at intervals and gives rise to afterpains, which are similar to but milder than labor contractions. These are more pronounced as parity increases and worsen when the infant suckles, likely because of oxytocin release (Holdcroft, 2003). Usually, afterpains decrease in intensity and become mild by the third day. We have encountered unusually severe and persistent afterpains in women with postpartum uterine infections.
Lochia. Early in the puerperium, sloughing of decidual tissue results in a vaginal discharge of variable quantity. The discharge is termed lochia and contains erythrocytes, shredded decidua, epithelial cells, and bacteria. For the first few days after delivery, there is blood sufficient to color it red—lochia rubra. After 3 or 4 days, lochia becomes progressively pale in color—lochia serosa. After approximately the 10th day, because of an admixture of leukocytes and reduced fluid content, lochia assumes a white or yellow-white color—lochia alba. The average duration of lochial discharge ranges from 24 to 36 days (Fletcher, 2012).
Placental Site Involution
Complete extrusion of the placental site takes up to 6 weeks (Williams, 1931). Immediately after delivery, the placental site is approximately palm-sized. Within hours of delivery, it normally consists of many thrombosed vessels that ultimately undergo organization (see Fig. 36-2). By the end of the second week, it is 3 to 4 cm in diameter.
Placental site involution is an exfoliation process, which is prompted in great part by undermining of the implantation site by new endometrial proliferation (Williams, 1931). Thus, involution is not simply absorption in situ. Exfoliation consists of both extension and “downgrowth” of endometrium from the margins of the placental site, as well as development of endometrial tissue from the glands and stroma left deep in the decidua basalis after placental separation. Anderson and Davis (1968) concluded that placental site exfoliation results from sloughing of infarcted and necrotic superficial tissues followed by a remodeling process.
Subinvolution
In some cases, uterine involution is hindered because of infection, retained placental fragments, or other causes. Such subinvolution is accompanied by varied intervals of prolonged lochia as well as irregular or excessive uterine bleeding. On bimanual examination, the uterus is larger and softer than would be expected. Ergonovine (Ergotrate) or methylergonovine (Methergine), 0.2 mg orally every 3 to 4 hours for 24 to 48 hours, is recommended by many, but its efficacy is questionable. Of these, only methylergonovine is currently available in the United States. If there is infection, antimicrobial therapy usually leads to a good response. In an earlier study, Wager and coworkers (1980) reported that a third of these late cases of postpartum metritis are caused by Chlamydia trachomatis. Empirical therapy with azithromycin or doxycycline usually prompts resolution regardless of bacterial etiology.
Another cause of subinvolution is incompletely remodeled uteroplacental arteries (Andrew, 1989; Kavalar, 2012). These noninvoluted vessels are filled with thromboses and lack an endothelial lining. Perivascular trophoblasts are also identified in the vessel walls, suggesting an aberrant interaction between uterine cells and trophoblasts.
Late Postpartum Hemorrhage
The American College of Obstetricians and Gynecologists (2013b) defines secondary postpartum hemorrhage as bleeding 24 hours to 12 weeks after delivery. Clinically worrisome uterine hemorrhage develops within 1 to 2 weeks in perhaps 1 percent of women. Such bleeding most often is the result of abnormal involution of the placental site. It occasionally is caused by retention of a placental fragment or by a uterine artery pseudoaneurysm. Usually, retained products undergo necrosis with fibrin deposition and may eventually form a so-called placental polyp. As the eschar of the polyp detaches from the myometrium, hemorrhage may be brisk. As discussed in Chapter 56 (p. 1118), delayed postpartum hemorrhage may also be caused by von Willebrand disease or other inherited coagulopathies (Lipe, 2011).
In our experiences, few women with delayed hemorrhage are found to have retained placental fragments. Thus, we and others do not routinely perform curettage (Lee, 1981). Another concern is that curettage may worsen bleeding by avulsing part of the implantation site. Thus, in a stable patient, if sonographic examination shows an empty cavity, then oxytocin, methylergonovine, or a prostaglandin analogue is given. Antimicrobials are added if uterine infection is suspected. If large clots are seen in the uterine cavity with sonography, then gentle suction curettage is considered. Otherwise curettage is carried out only if appreciable bleeding persists or recurs after medical management.
URINARY TRACT
Normal pregnancy-induced glomerular hyperfiltration persists on the first postpartum day but returns to prepregnancy baseline by 2 weeks (Hladunewich, 2004). Also, dilated ureters and renal pelves return to their prepregnant state during the course of 2 to 8 weeks postpartum. Because of this dilated collecting system, coupled with residual urine and bacteriuria in a traumatized bladder, urinary tract infection is a concern in the puerperium.
Bladder trauma is associated most closely with labor length and thus to some degree is a normal accompaniment of vaginal delivery. Funnell and colleagues (1954) used cystoscopy immediately postpartum and described varying degrees of submucosal hemorrhage and edema. Postpartum, the bladder has an increased capacity and a relative insensitivity to intravesical pressure. Thus, overdistention, incomplete emptying, and excessive residual urine are common. Their management is discussed on page 676.
It is unusual for urinary incontinence to manifest during the puerperium. That said, much attention has been given to the potential for subsequent development of urinary incontinence and other pelvic floor disorders in the years following delivery. A fuller discussion is found in Chapter 30 (p. 588).
PERITONEUM AND ABDOMINAL WALL
The broad and round ligaments require considerable time to recover from stretching and loosening during pregnancy. As a result of ruptured elastic fibers in the skin and prolonged distention by the pregnant uterus, the abdominal wall remains soft and flaccid. If the abdomen is unusually flabby or pendulous, an ordinary girdle is often satisfactory. An abdominal binder is at best a temporary measure. Several weeks are required for these structures to return to normal, and recovery is aided by exercise. These may be started anytime following vaginal delivery and as soon as abdominal soreness diminishes after cesarean delivery. Silvery abdominal striae commonly develop as striae gravidarum (Chap. 4, p. 51). Except for these, the abdominal wall usually resumes its prepregnancy appearance. When muscles remain atonic, however, the abdominal wall also remains lax. Marked separation of the rectus abdominis muscles—diastasis recti—may result.
HEMATOLOGICAL PARAMETERS AND PREGNANCY HYPERVOLEMIA
Hematological and Coagulation Changes
Marked leukocytosis and thrombocytosis may occur during and after labor. The white blood cell count sometimes reaches 30,000/μL, with the increase predominantly due to granulocytes. There is a relative lymphopenia and an absolute eosinopenia. Normally, during the first few postpartum days, hemoglobin concentration and hematocrit fluctuate moderately. If they fall much below the levels present just before labor, a considerable amount of blood has been lost (Chap. 41, p. 781).
By the end of pregnancy, there are many changes in laboratory findings that assess coagulation (Kenny, 2014). These are discussed in Chapter 4 (p. 57) and listed in the Appendix (p. 1288). Many persist in the puerperium. One example is that the markedly increased levels of plasma fibrinogen are maintained at least through the first week, and hence, so is the increase in sedimentation rate.
Pregnancy-Induced Hypervolemia
When the amount of blood attained by normal pregnancy hypervolemia is lost as postpartum hemorrhage, the woman almost immediately regains her nonpregnant blood volume (Chap. 41, p. 781). If less has been lost at delivery, it appears that in most women, blood volume has nearly returned to its nonpregnant level by 1 week after delivery. Cardiac output usually remains elevated for 24 to 48 hours postpartum and declines to nonpregnant values by 10 days (Robson, 1987). Heart rate changes follow this pattern. Systemic vascular resistance and blood pressure rise (Fig. 36-4). Systemic vascular resistance remains in the lower range characteristic of pregnancy for 2 days postpartum and then begins to steadily increase to normal nonpregnant values (Hibbard, 2014).

FIGURE 36-4 During the early puerperium, blood pressure normally rises toward nonpregnant values. MAP = mean arterial pressure.
Normal pregnancy is associated with an appreciable increase in extracellular sodium and water, and postpartum diuresis is a physiological reversal of this process. Chesley and coworkers (1959) demonstrated a decrease in sodium space of approximately 2 L during the first week postpartum. This also corresponds with loss of residual pregnancy hypervolemia. In preeclampsia, pathological retention of fluid antepartum and its diuresis postpartum may be prodigious (Chap. 40, p. 768).
Postpartum diuresis results in relatively rapid weight loss of 2 to 3 kg, which is added to the 5 to 6 kg incurred by delivery and normal blood loss. Weight loss from pregnancy itself is likely to be maximal by the end of the second week postpartum. It follows that any residual increased weight compared with prepregnancy values probably represents fat stores that will persist. According to Schauberger and associates (1992), women approach their self-reported prepregnancy weight 6 months after delivery but still retain an average surplus of 1.4 kg (3 lb).
BREASTS AND LACTATION
Breast Anatomy and Products
Each mature mammary gland or breast is composed of 15 to 25 lobes. They are arranged radially and are separated from one another by varying amounts of fat. Each lobe consists of several lobules, which in turn are composed of numerous alveoli. Each alveolus is provided with a small duct that joins others to form a single larger duct for each lobe as shown in Figure 36-5. These lactiferous ducts open separately on the nipple, where they may be distinguished as minute but distinct orifices. The alveolar secretory epithelium synthesizes the various milk constituents, described next.

FIGURE 36-5 Schematic of the alveolar and ductal system during lactation. Note the myoepithelial fibers (M) that surround the outside of the uppermost alveolus. The secretions from the glandular elements are extruded into the lumen of the alveoli (A) and ejected by the myoepithelial cells into the ductal system (D), which empties through the nipple. Arterial blood supply to the alveolus is identified by the upper right arrow and venous drainage by the arrow beneath.
After delivery, the breasts begin to secrete colostrum, which is a deep lemon-yellow liquid. It usually can be expressed from the nipples by the second postpartum day. Compared with mature milk, colostrum is rich in immunological components and contains more minerals and amino acids (Ballard, 2013). It also has more protein, much of which is globulin, but less sugar and fat. Secretion persists for 5 days to 2 weeks, with gradual conversion to mature milk by 4 to 6 weeks. The colostrum content of immunoglobulin A (IgA) offers the newborn protection against enteric pathogens. Other host resistance factors found in colostrum and milk include complement, macrophages, lymphocytes, lactoferrin, lactoperoxidase, and lysozymes.
Mature milk is a complex and dynamic biological fluid that includes fat, proteins, carbohydrates, bioactive factors, minerals, vitamins, hormones, and many cellular products. The concentrations and contents of human milk change even during a single feed and are influenced by maternal diet, as well as infant age, health, and needs. A nursing mother easily produces 600 mL of milk daily, and maternal gestational weight gain has little impact on its quantity or quality (Institute of Medicine, 1990). Milk is isotonic with plasma, and lactose accounts for half of the osmotic pressure. Essential amino acids are derived from blood, and nonessential amino acids are derived in part from blood or synthesized in the mammary gland. Most milk proteins are unique and include α-lactalbumin, β-lactoglobulin, and casein. Fatty acids are synthesized in the alveoli from glucose and are secreted by an apocrine-like process. Most vitamins are found in human milk, but in variable amounts. Vitamin K is virtually absent, and thus, an intramuscular dose is given to the newborn (Chap. 33, p. 644). Vitamin D content is low—22 IU/mL. Thus, newborn supplementation is also recommended by the American Academy of Pediatrics (Wagner, 2008).
Whey is milk serum and has been shown to contain large amounts of interleukin-6 (Saito, 1991). Human milk has a whey-to-casein ratio of 60:40, considered ideal for absorption. Prolactin appears to be actively secreted into breast milk (Yuen, 1988). Epidermal growth factor (EGF) has been identified in human milk. And because it is not destroyed by gastric proteolytic enzymes, it may be absorbed to promote growth and maturation of newborn intestinal mucosa (McCleary, 1991). Other critical components in human milk include lactoferrin, melatonin, oligosaccharides, and essential fatty acids.
Endocrinology of Lactation
The precise humoral and neural mechanisms involved in lactation are complex. Progesterone, estrogen, and placental lactogen, as well as prolactin, cortisol, and insulin, appear to act in concert to stimulate the growth and development of the milk-secreting apparatus (Porter, 1974). With delivery, there is an abrupt and profound decrease in the levels of progesterone and estrogen. This decrease removes the inhibitory influence of progesterone on α-lactalbumin production and stimulates lactose synthase to increase milk lactose. Progesterone withdrawal also allows prolactin to act unopposed in its stimulation of α-lactalbumin production. Serotonin is produced in mammary epithelial cells and has a role in maintaining milk production. This may explain the decreased milk production in women taking selective serotonin-reuptake inhibitors—SSRIs (Collier, 2012).
The intensity and duration of subsequent lactation are controlled, in large part, by the repetitive stimulus of nursing and emptying of milk from the breast. Prolactin is essential for lactation, and women with extensive pituitary necrosis—Sheehan syndrome—do not lactate (Chap. 58, p. 1163). Although plasma prolactin levels fall after delivery to levels lower than during pregnancy, each act of suckling triggers a rise in levels (McNeilly, 1983). Presumably a stimulus from the breast curtails the release of dopamine, also known as prolactin-inhibiting factor, from the hypothalamus. This in turn transiently induces increased prolactin secretion.
The posterior pituitary secretes oxytocin in pulsatile fashion. This stimulates milk expression from a lactating breast by causing contraction of myoepithelial cells in the alveoli and small milk ducts (see Fig. 36-4). Milk ejection, or letting down, is a reflex initiated especially by suckling, which stimulates the posterior pituitary to liberate oxytocin. The reflex may even be provoked by an infant cry and can be inhibited by maternal fright or stress.
Immunological Consequences of Breast Feeding
Human milk contains several protective immunological substances, including secretory IgA and growth factors. The antibodies in human milk are specifically directed against maternal environmental antigens such as against Escherichia coli (Iyengar, 2012). As a result, breast-fed infants are less prone to enteric infections than bottle-fed ones (Cravioto, 1991). Human milk also provides protection against rotavirus infections, a major cause of infant gastroenteritis (Newburg, 1998). Moreover, the risks of atopic dermatitis and respiratory infections are reduced (Ip, 2009). Bartick and Reinhold (2010) calculated that significant economic burdens from pediatric disease could be lessened by improved breast-feeding rates.
Much attention has been directed to the role of maternal breast-milk lymphocytes in neonatal immunological processes. Milk contains both T and B lymphocytes, but the T lymphocytes appear to differ from those found in blood. Specifically, milk T lymphocytes are almost exclusively composed of cells that exhibit specific membrane antigens. These memory T cells appear to be an avenue for the neonate to benefit from the maternal immunological experience (Bertotto, 1990).
Nursing
Human milk is ideal food for neonates. It provides age-specific nutrients as well as immunological factors and antibacterial substances (American College of Obstetricians and Gynecologists, 2013a). Milk also contains factors that act as biological signals for promoting cellular growth and differentiation. The American Academy of Pediatrics (2012) has provided a list of dose-response benefits of nursing (Table 36-2). For both mother and infant, the benefits of breast feeding are long-term. For example, women who breast feed have a lower risk of breast and reproductive cancer, and their children have increased adult intelligence independent of a wide range of possible confounding factors (Jong, 2012; Kramer, 2008). Breast feeding is associated with decreased postpartum weight retention (Baker, 2008). In addition, rates of sudden-infant-death syndrome are significantly lower among breast-fed infants. Last, in the Nurses’ Health Study, women who reported breast feeding for at least 2 cumulative years had a 23-percent lower risk of coronary heart disease (Stuebe, 2009). For all these reasons, the American Academy of Pediatrics (2012) supports the World Health Organization (2011) recommendations of exclusive breast feeding for up to 6 months, with avoidance of exposure to cow milk proteins.
TABLE 36-2. Advantages of Breast Feeding
Nutritional
Immunological
Developmental
Psychological
Social
Economical
Environmental
Optimal growth and development
Decrease risks for acute and chronic diseases
Summarized from the American Academy of Pediatrics and the American College of Obstetricians and Gynecologists, 2012.
The Surgeon General of the U.S. Department of Health and Human Services (2011) lists some barriers for breast feeding and suggests practical means of overcoming them. Educational initiatives that include father and peer counseling may improve these rates (Pisacane, 2005; Wolfberg, 2004). The Baby Friendly Hospital Initiative is an international program to increase rates of exclusive breast feeding and to extend its duration. It is based on the World Health Organization (1989) Ten Steps to Successful Breastfeeding (Table 36-3). Worldwide, almost 20,000 hospitals are designated as “baby-friendly.” Forrester-Knauss and coworkers (2013) described successful trends toward exclusive breast feeding in Switzerland during 9 years in which a Baby-Friendly Hospital Initiative was implemented. However, in 2011 in the United States, fewer than 10 percent of births in 43 states and the District of Columbia occurred in “baby friendly” hospitals (Centers for Disease Control and Prevention, 2012a). In a large population-based study, fewer than two thirds of term neonates were exclusively breast fed at the time of discharge (McDonald, 2012).
TABLE 36-3. Ten Steps to Successful Breast Feeding
1. Have a written breast-feeding policy that is regularly communicated to all health-care staff
2. Train all staff in skills necessary to implement this policy
3. Inform all pregnant women about the benefits and management of breast feeding
4. Help mothers initiate breast feeding within an hour of birth
5. Show mothers how to breast feed and how to sustain lactation, even if they should be separated from their infants
6. Feed newborn infants nothing but breast milk, unless medically indicated, and under no circumstances provide breast milk substitutes, feeding bottles, or pacifiers free of charge or at low cost
7. Practice rooming-in, which allows mothers and infants to remain together 24 hours a day
8. Encourage breast feeding on demand
9. Give no artificial pacifiers to breast-feeding infants
10. Help start breast-feeding support groups and refer mothers to them
Adapted from the World Health Organization, 1989.
There are a variety of individual resources available for breast-feeding mothers that include online information from the American Academy of Pediatrics (http://www.aap.org) and La Leche League International (http://www.lalecheleague.org).
Care of Breasts
The nipples require little attention other than cleanliness and attention to skin fissures. Fissured nipples render nursing painful, and they may have a deleterious influence on milk production. These cracks also provide a portal of entry for pyogenic bacteria. Because dried milk is likely to accumulate and irritate the nipples, washing the areola with water and mild soap is helpful before and after nursing. When the nipples are irritated or fissured, it may be necessary to use topical lanolin and a nipple shield for 24 hours or longer. If fissuring is severe, the infant should not be permitted to nurse on the affected side. Instead, the breast should be emptied regularly with a pump until the lesions are healed. Poor latching of the neonate to the breast can create such fissures. Proper technique for positioning the mother and infant during latch-on and nursing has been reviewed by the American College of Obstetricians and Gynecologists (2013a).
Contraindications to Breast Feeding
Nursing is contraindicated in women who take street drugs or do not control their alcohol use; have an infant with galactosemia; have human immunodeficiency virus (HIV) infection; have active, untreated tuberculosis; take certain medications; or are undergoing breast cancer treatment (American Academy of Pediatrics and American College of Obstetricians and Gynecologists, 2012; Faupel-Badger, 2013). Breast feeding has been recognized for some time as a mode of HIV transmission and is proscribed in developed countries in which adequate nutrition is otherwise available (Chap. 65, p. 1282). Other viral infections do not contraindicate breast feeding. For example, with maternal cytomegalovirus infection, both virus and antibodies are present in breast milk. And although hepatitis B virus is excreted in milk, breast feeding is not contraindicated if hepatitis B immune globulin is given to the newborns of affected mothers. Maternal hepatitis C infection is not a contraindication because breast feeding has not been shown to transmit infection. Women with active herpes simplex virus may suckle their infants if there are no breast lesions and if particular care is directed to hand washing before nursing.
Drugs Secreted in Milk
Most drugs given to the mother are secreted in breast milk, although the amount ingested by the infant typically is small. Many factors influence drug excretion and include plasma concentration, degree of protein binding, plasma and milk pH, degree of ionization, lipid solubility, and molecular weight (Rowe, 2013). The ratio of drug concentration in breast milk to that in maternal plasma is the milk-to-plasma drug-concentration ratio. Most drugs have a ratio of ≤ 1, approximately 25 percent have a ratio > 1, and about 15 percent have a ratio > 2 (Ito, 2000). Ideally, to minimize infant exposure, medication selection should favor drugs with a shorter half-life, poorer oral absorption, and lower lipid solubility. If multiple daily drug doses are required, then each is taken by the mother after the closest feed. Single daily-dosed drugs may be taken just before the longest infant sleep interval—usually at bedtime (Spencer, 2002).
There are only a few drugs that are absolutely contraindicated while breast feeding (Berlin, 2013; Bertino, 2012). Cytotoxic drugs may interfere with cellular metabolism and potentially cause immune suppression or neutropenia, affect growth, and, at least theoretically, increase the risk of childhood cancer. Examples include cyclophosphamide, cyclosporine, doxorubicin, methotrexate, and mycophenolate. If a medication presents a concern, then the importance of therapy should be ascertained. It should be determined whether there is a safer alternative or whether neonatal exposure can be minimized if the medication dose is taken immediately after each breast feeding (American Academy of Pediatrics and the American College of Obstetricians and Gynecologists, 2012). Data on individual drugs are available through the National Institutes of Health website, LactMed, which can be found at: toxnet.nlm.nih.gov/cgi-bin/sis/htmlgen?LACT.
Radioactive isotopes of copper, gallium, indium, iodine, sodium, and technetium rapidly appear in breast milk. Consultation with a nuclear medicine specialist is recommended before performing a diagnostic study with these isotopes (Chap. 46, p. 934). The goal is to use a radionuclide with the shortest excretion time in breast milk. The mother should pump her breasts before the study and store enough milk in a freezer for feeding the infant. After the study, she should pump her breasts to maintain milk production but discard all milk produced during the time that radioactivity is present. This ranges from 15 hours up to 2 weeks, depending on the isotope used. Importantly, radioactive iodine concentrates and persists in the thyroid. Its special considerations are discussed in Chapter 63 (p. 1231).
Breast Engorgement
This is common in women who do not breast feed and is typified by milk leakage and breast pain. These peak 3 to 5 days after delivery (Spitz, 1998). Up to half of affected women require analgesia for breast-pain relief, and as many as 10 percent report severe pain for up to 14 days.
Evidence is insufficient to firmly support any specific treatment (Mangesi, 2010). That said, breasts can be supported with a well-fitting brassiere, breast binder, or “sports bra.” Cool packs and oral analgesics for 12 to 24 hours aid discomfort. Pharmacological or hormonal agents are not recommended to suppress lactation.
Fever caused by breast engorgement was common before the renaissance of breast feeding. In one study, Almeida and Kitay (1986) reported that 13 percent of postpartum women had fever from engorgement that ranged from 37.8 to 39°C. Fever seldom persists for longer than 4 to 16 hours. The incidence and severity of engorgement, and fever associated with it, are much lower if women breast feed. Other causes of fever, especially those due to infection, must be excluded. Of these, mastitis is infection of the mammary parenchyma. It is relatively common in lactating women and is discussed in Chapter 37 (p. 691).
Other Issues with Lactation
With inverted nipples, lactiferous ducts open directly into a depression at the center of the areola. With these depressed nipples, nursing is difficult. If the depression is not deep, milk sometimes can be made available by use of a breast pump. If instead the nipple is greatly inverted, daily attempts should be made during the last few months of pregnancy to draw or “tease” the nipple out with the fingers.
Extra breasts—polymastia, or extra nipples—polythelia, may develop along the former embryonic mammary ridge. Also termed the milk line, this line extends from the axilla to the groin bilaterally. In some women, there may be vulvar breast tissue (Wagner, 2013). The incidence of accessory breast tissue ranges from 0.22 to 6 percent in the general population (Loukas, 2007). These breasts may be so small as to be mistaken for pigmented moles, or if without a nipple, for lymphadenopathy or lipoma. Polymastia has no obstetrical significance, although occasionally enlargement of these accessory breasts during pregnancy or engorgement postpartum may result in discomfort and anxiety.
Galactocele is a milk duct that becomes obstructed by inspissated secretions. The amount is ordinarily limited, but an excess may form a fluctuant mass—a galactocele—that may cause pressure symptoms and have the appearance of an abscess. It may resolve spontaneously or require aspiration.
There are marked individual variations in the amount of milk secreted. Many of these are dependent not on general maternal health but on breast glandular development. Rarely, there is complete lack of mammary secretion—agalactia. Occasionally, mammary secretion is excessive—polygalactia.
MATERNAL CARE DURING THE PUERPERIUM
Hospital Care
For 2 hours after delivery, blood pressure and pulse should be taken every 15 minutes, or more frequently if indicated. Temperature is assessed every 4 hours for the first 8 hours and then at least every 8 hours subsequently (American Academy of Pediatrics and American College of Obstetricians and Gynecologists, 2012). The amount of vaginal bleeding is monitored, and the fundus palpated to ensure that it is well contracted. If relaxation is detected, the uterus should be massaged through the abdominal wall until it remains contracted. Uterotonics are also sometimes required. Blood may accumulate within the uterus without external bleeding. This may be detected early by uterine enlargement during fundal palpation in the first postdelivery hours. Because the likelihood of significant hemorrhage is greatest immediately postpartum, even in normal births, the uterus is closely monitored for at least 1 hour after delivery. Postpartum hemorrhage is discussed in Chapter 41 (p. 783). If regional analgesia or general anesthesia was used for labor or delivery, the mother should be observed in an appropriately equipped and staffed recovery area.
Women are out of bed within a few hours after delivery. An attendant should be present for at least the first time, in case the woman becomes syncopal. The many confirmed advantages of early ambulation include fewer bladder complications, less frequent constipation, and reduced rates of puerperal venous thromboembolism. Almost half of thromboembolic events associated with pregnancy develop in the puerperium. Jacobsen and colleagues (2008) reported that pulmonary embolism is most common in the first 6 weeks postpartum. In a recent audit of puerperal women at Parkland Hospital, the frequency of venous thromboembolism was found to be 0.008 percent after a vaginal birth and 0.04 percent following cesarean delivery. We attribute this low incidence to early ambulation. Risk factors and other measures to diminish the frequency of thromboembolism are discussed in Chapter 52 (p. 1029).
There are no dietary restrictions for women who have been delivered vaginally. Two hours after normal vaginal delivery, if there are no complications, a woman should be allowed to eat. With breast feeding, the level of calories and protein consumed during pregnancy should be increased slightly as recommended by the Food and Nutrition Board of the National Research Council (Chap. 9, p. 178). If the mother does not breast feed, dietary requirements are the same as for a nonpregnant woman. It is standard practice in our hospital to continue oral iron supplementation for at least 3 months after delivery and to check the hematocrit at a first postpartum visit.
Perineal Care
The woman is instructed to cleanse the vulva from anterior to posterior—the vulva toward the anus. A cool pack applied to the perineum may help reduce edema and discomfort during the first 24 hours if there is a laceration or an episiotomy. Most women also appear to obtain a measure of relief from the periodic application of a local anesthetic spray. Severe discomfort usually indicates a problem, such as a hematoma within the first day or so and infection after the third or fourth day (Chap. 37, p. 689 and Chap. 41, p 790). Severe perineal, vaginal, or rectal pain always warrants careful inspection and palpation. Beginning approximately 24 hours after delivery, moist heat as provided by warm sitz baths can be used to reduce local discomfort. Tub bathing after uncomplicated delivery is allowed. The episiotomy incision normally is firmly healed and nearly asymptomatic by the third week.
Rarely, the cervix, and occasionally a portion of the uterine body, may protrude from the vulva following delivery. This is accompanied by variable degrees of anterior and posterior vaginal wall prolapse. Symptoms include a palpable mass at or past the introitus, voiding difficulties, or pressure. Puerperal procidentia typically improves with time as the weight of the uterus lessens with involution. As a temporizing measure in those with pronounced prolapse, the uterus can be replaced and held in position with a suitable pessary.
Bladder Function
In most delivery units, intravenous fluids are infused during labor and for an hour or so after delivery. Oxytocin, in doses that have an antidiuretic effect, is typically infused postpartum, and rapid bladder filling is common. Moreover, both bladder sensation and capability to empty spontaneously may be diminished by local or conduction analgesia, by trauma to the bladder, by episiotomy or lacerations, or by operative vaginal delivery. Thus, urinary retention and bladder overdistention is common in the early puerperium. Ching-Chung and associates (2002) reported retention in 4 percent of women delivered vaginally. Musselwhite and coworkers (2007) reported retention in 4.7 percent of women who had labor epidural analgesia. Risk factors that increased likelihood of retention were primiparity, perineal lacerations, oxytocin-induced or -augmented labor, operative vaginal delivery, catheterization during labor, and labor duration > 10 hours.
Prevention of bladder overdistention demands observation after delivery to ensure that the bladder does not overfill and that it empties adequately with each voiding. The enlarged bladder can be palpated suprapubically, or it is evident abdominally indirectly as it elevates the fundus above the umbilicus. Van Os and Van der Linden (2006) have investigated the use of an automated sonography system to detect high bladder volumes and thus postpartum urinary retention.
If a woman has not voided within 4 hours after delivery, it is likely that she cannot. If she has trouble voiding initially, she also is likely to have further trouble. An examination for perineal and genital-tract hematomas is made. With an overdistended bladder, an indwelling catheter should be left in place until the factors causing retention have abated. Even without a demonstrable cause, it usually is best to leave the catheter in place for at least 24 hours. This prevents recurrence and allows recovery of normal bladder tone and sensation.
When the catheter is removed, it is necessary subsequently to demonstrate ability to void appropriately. If a woman cannot void after 4 hours, she should be catheterized and the urine volume measured. If more than 200 mL, the bladder is not functioning appropriately, and the catheter is left for another 24 hours. If less than 200 mL of urine is obtained, the catheter can be removed and the bladder rechecked subsequently as just described. Harris and coworkers (1977) reported that 40 percent of such women develop bacteriuria, and thus a single dose or short course of antimicrobial therapy is reasonable after the catheter is removed.
Pain, Mood, and Cognition
Discomfort and its causes following cesarean delivery are considered in Chapter 30 (p. 605). During the first few days after vaginal delivery, the mother may be uncomfortable because of afterpains, episiotomy and lacerations, breast engorgement, and at times, postdural puncture headache. Mild analgesics containing codeine, aspirin, or acetaminophen, preferably in combinations, are given as frequently as every 3 hours during the first few days.
It is fairly common for a mother to exhibit some degree of depressed mood a few days after delivery. Termed postpartum blues, this likely is the consequence of several factors that include emotional letdown that follows the excitement and fears experienced during pregnancy and delivery, discomforts of the early puerperium, fatigue from sleep deprivation, anxiety over the ability to provide appropriate infant care, and body image concerns.
In most women, effective treatment includes anticipation, recognition, and reassurance. This disorder is usually mild and self-limited to 2 to 3 days, although it sometimes lasts for up to 10 days. Should these moods persist or worsen, an evaluation for symptoms of major depression is done (Chap. 61, p. 1205). Suicidal or infanticidal ideation is dealt with emergently. Because major postpartum depression recurs in at least a fourth of women in subsequent pregnancies, some recommend pharmacological prophylaxis beginning in late pregnancy or immediately postpartum.
Last, postpartum hormonal changes in some women may affect brain function. Bannbers and colleagues (2013) compared a measure of executive function in postpartum women and controls and observed a decrease in postpartum subjects.
Neuromusculoskeletal Problems
Obstetrical Neuropathies
Pressure on branches of the lumbosacral nerve plexus during labor may manifest as complaints of intense neuralgia or cramplike pains extending down one or both legs as soon as the head descends into the pelvis. If the nerve is injured, pain may continue after delivery, and there also may be variable degrees of sensory loss or muscle paralysis. In some cases, there is footdrop, which can be secondary to injury at the level of the lumbosacral plexus, sciatic nerve, or common fibular (peroneal) nerve. Components of the lumbosacral plexus cross the pelvic brim and can be compressed by the fetal head or by forceps. The common fibular nerves may be externally compressed when the legs are positioned in stirrups, especially during prolonged second-stage labor.
Obstetrical neuropathy is relatively infrequent. Wong and associates (2003) evaluated more than 6000 delivered women and found that approximately 1 percent had a confirmed nerve injury. Lateral femoral cutaneous neuropathies were the most common (24), followed by femoral neuropathies (14). A motor deficit accompanied a third of injuries. Nulliparity, prolonged second-stage labor, and pushing for a long duration in the semi-Fowler position were risk factors. The median duration of symptoms was 2 months, and the range was 2 weeks to 18 months.
Nerve injuries with cesarean delivery include the iliohypogastric and ilioinguinal nerves (Rahn, 2010). These are discussed further in Chapter 2 (p. 17).
Musculoskeletal Injuries
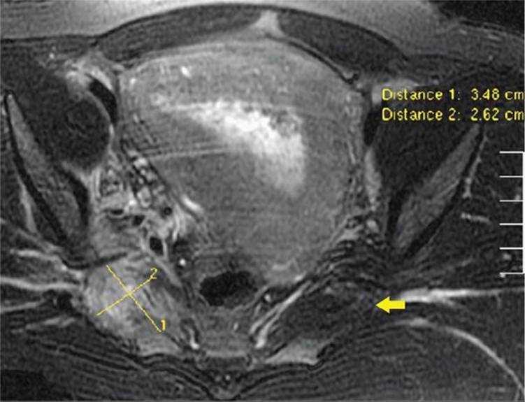
Pain in the pelvic girdle, hips, or lower extremities may follow stretching or tearing injuries sustained at normal or difficult delivery. Magnetic resonance (MR) imaging is often informative. One example is the piriformis muscle hematoma shown in Figure 36-6. Most injuries resolve with antiinflammatory agents and physical therapy. Rarely, there may be septic pyomyositis such as with iliopsoas muscle abscess (Nelson, 2010; Young, 2010).

FIGURE 36-6 Magnetic resonance image of a piriformis hematoma. A large inhomogeneous mass of the right piriformis muscle consistent with a hematoma (yellow cursor measurements) is compared with the normal-appearing left piriformis muscle (yellow arrow).
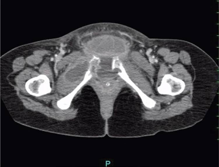
Separation of the symphysis pubis or one of the sacroiliac synchondroses during labor leads to pain and marked interference with locomotion. Estimates of the frequency of this event vary widely from 1 in 600 to 1 in 30,000 deliveries (Reis, 1932; Taylor, 1986). In our experiences, symptomatic separations are uncommon. Their onset of pain is often acute during delivery, but symptoms may manifest either antepartum or up to 48 hours postpartum (Snow, 1997). Treatment is generally conservative, with rest in a lateral decubitus position and an appropriately fitted pelvic binder. Surgery is occasionally necessary in some symphyseal separations of more than 4 cm (Kharrazi, 1997). The recurrence risk is > 50 percent in subsequent pregnancy, and Culligan and associates (2002) recommend consideration for cesarean delivery. In rare cases, fractures of the sacrum or pubic ramus are caused by even uncomplicated deliveries (Alonso-Burgos, 2007). As discussed in Chapter 58 (p. 1159), the latter are more likely with osteoporosis associated with heparin or corticosteroid therapy (Cunningham, 2005). In rare but serious cases, bacterial osteomyelitis—osteitis pubis—can be devastating (Fig. 36-7). Lawford and coworkers (2010) reported such a case that caused massive vulvar edema.

FIGURE 36-7 Bacterial osteitis pubis–osteomyelitis caused by Streptococcus milleri in a woman with symptomatic symphyseal separation.
Immunizations
The D-negative woman who is not isoimmunized and whose infant is D-positive is given 300 μg of anti-D immune globulin shortly after delivery (Chap. 15, p. 311). Women who are not already immune to rubella or rubeola measles are excellent candidates for combined measles-mumps-rubella vaccination before discharge (Chap. 9, p. 184). Unless contraindicated, at Parkland Hospital a diphtheria-tetanus toxoid booster injection is also given to postpartum women.
Hospital Discharge
Following uncomplicated vaginal delivery, hospitalization is seldom warranted for more than 48 hours. A woman should receive instructions concerning anticipated normal physiological puerperal changes, including lochia patterns, weight loss from diuresis, and milk let-down. She also should receive instructions concerning fever, excessive vaginal bleeding, or leg pain, swelling, or tenderness. Persistent headaches, shortness of breath, or chest pain warrant immediate concern.
Hospital stay length following labor and delivery is now regulated by federal law (Chap. 32, p. 634). Currently, the norms are hospital stays up to 48 hours following uncomplicated vaginal delivery and up to 96 hours following uncomplicated cesarean delivery (American Academy of Pediatrics and the American College of Obstetricians and Gynecologists, 2012). Earlier hospital discharge is acceptable for appropriately selected women if they desire it.
Contraception
During the hospital stay, a concerted effort should be made to provide family planning education. Various forms of contraception are discussed throughout Chapter 38 and sterilization procedures in Chapter 39.
Women not breast feeding have return of menses usually within 6 to 8 weeks. At times, however, it is difficult clinically to assign a specific date to the first menstrual period after delivery. A minority of women bleed small to moderate amounts intermittently, starting soon after delivery. Ovulation occurs at a mean of 7 weeks, but ranges from 5 to 11 weeks (Perez, 1972). That said, ovulation before 28 days has been described (Hytten, 1995). Thus, conception is possible during the artificially defined 6-week puerperium. Women who become sexually active during the puerperium, and who do not desire to conceive, should initiate contraception. Kelly and associates (2005) reported that by the third month postpartum, 58 percent of adolescents had resumed sexual intercourse, but only 80 percent of these were using contraception. Because of this, many recommend long-acting reversible contraceptives—LARC (Baldwin, 2013).
Women who breast feed ovulate much less frequently compared with those who do not, but there are great variations. Timing of ovulation depends on individual biological variation as well as the intensity of breast feeding. Lactating women may first menstruate as early as the second or as late as the 18th month after delivery. Campbell and Gray (1993) analyzed daily urine specimens to determine the time of ovulation in 92 lactating women. As shown in Figure 36-8, breast feeding in general delays resumption of ovulation, although as already emphasized, it does not invariably forestall it. Other findings in their study included the following:
1. Resumption of ovulation was frequently marked by return of normal menstrual bleeding.
2. Breast-feeding episodes lasting 15 minutes seven times daily delayed ovulation resumption.
3. Ovulation can occur without bleeding.
4. Bleeding can be anovulatory.
5. The risk of pregnancy in breast-feeding women was approximately 4 percent per year.

FIGURE 36-8 Cumulative proportion of breast-feeding women who ovulated during the first 70 weeks following delivery. (Data from Campbell, 1993.)
For the breast-feeding woman, progestin-only contraceptives—mini-pills, depot medroxyprogesterone, or progestin implants—do not affect the quality or quantity of milk. These may be initiated any time during the puerperium. Estrogen-progestin contraceptives likely reduce the quantity of breast milk, but under the proper circumstances, they too can be used by breast-feeding women. However, these are withheld until after the first 4 weeks because of their higher thromboembolic risk in puerperal patients. These hormonal methods are summarized in Table 36-4 and are discussed in Chapter 38 (p. 695).
TABLE 36-4. Some Hormonal Contraceptive Regimens for Breast-Feeding Womena
Progestin-only “mini pill”
Intramuscular depot medroxyprogesterone acetate
Progesterone-releasing implants
Progesterone-releasing intrauterine systems
Combination oral contraceptives—low-dose estrogen
aSee also Chapter 38 (p. 695).
HOME CARE
Coitus
There are no evidence-based data concerning resumption of coitus after delivery. It seems best to use common sense (Minig, 2009). After 2 weeks, coitus may be resumed based on desire and comfort. Barrett and colleagues (2000) reported that almost 90 percent of 484 primiparous women resumed sexual activity by 6 months. And although 65 percent of these reported problems, only 15 percent discussed them with a health-care provider.
Intercourse too soon may be unpleasant, if not frankly painful, due to incomplete healing of the episiotomy or lacerations. Moreover, the vaginal epithelium is thin, and very little lubrication follows sexual stimulation. This is due to the hypoestrogenic state following delivery, which lasts until ovulation resumes. It may be particularly problematic in breast-feeding women who are hypoestrogenic for many months postpartum (Palmer, 2003; Wisniewski, 1991). For treatment, small amounts of topical estrogen cream can be applied daily for several weeks to vulvar tissues. Additionally, vaginal lubricants may be used with coitus.
Late Maternal Morbidity
Taken together, major and minor maternal morbidity are surprisingly common in the months following childbirth (MacArthur, 1991). In a survey of 1249 British mothers followed for up to 18 months, 3 percent required hospital readmission within 8 weeks (Glazener, 1995; Thompson, 2002). Milder health problems during the first 8 weeks were reported by 87 percent (Table 36-5). Moreover, almost three fourths continued to have various problems for up to 18 months. Practitioners should be aware of these potential issues in their patients convalescing from birthing.
TABLE 36-5. Puerperal Morbidity Reported by 8 Weeks

Follow-Up Care
By discharge, women who had an uncomplicated course can resume most activities, including bathing, driving, and household functions. Jimenez and Newton (1979) tabulated cross-cultural information on 202 societies from various international geographical regions. Following childbirth, most societies did not restrict work activity, and approximately half expected a return to full duties within 2 weeks. Wallace and coworkers (2013) reported that 80 percent of women who worked during pregnancy resume work by 1 year after delivery. Despite this, Tulman and Fawcett (1988) reported that only half of mothers regained their usual level of energy by 6 weeks. Women who delivered vaginally were twice as likely to have normal energy levels at this time compared with those with a cesarean delivery. Ideally, the care and nurturing of the infant should be provided by the mother with ample help from the father.
The American Academy of Pediatrics and the American College of Obstetricians and Gynecologists (2012) recommend a postpartum visit between 4 and 6 weeks. This has proven quite satisfactory to identify abnormalities beyond the immediate puerperium and to initiate contraceptive practices.
REFERENCES
Ahdoot D, Van Nostrand KM, Nguyen NJ, et al: The effect of route of delivery on regression of abnormal cervical cytologic findings in the postpartum period. Am J Obstet Gynecol 178:1116, 1998
Almeida OD Jr, Kitay DZ: Lactation suppression and puerperal fever. Am J Obstet Gynecol 154:940, 1986
Alonso-Burgos A, Royo P, Diaz L, et al: Labor-related sacral and pubic fractures. J Bone Joint Surg 89:396, 2007
American Academy of Pediatrics: Breastfeeding and the use of human milk. Pediatrics 129(3):e827, 2012
American Academy of Pediatrics and the American College of Obstetricians and Gynecologists: Guidelines for Perinatal Care, 7th ed. Washington, AAP and ACOG, 2012
American College of Obstetricians and Gynecologists: Breastfeeding: maternal and infant aspects. Committee Opinion No. 361, February 2007, Reaffirmed 2013a
American College of Obstetricians and Gynecologists: Postpartum hemorrhage. Practice Bulletin No. 76, October 2006, Reaffirmed 2013b
Anderson WR, Davis J: Placental site involution. Am J Obstet Gynecol 102:23, 1968
Andrew AC, Bulmer JN, Wells M, et al: Subinvolution of the uteroplacental arteries in the human placental bed. Histopathology 15:395, 1989
Andrews MC: Epithelial changes in the puerperal fallopian tube. Am J Obstet Gynecol 62:28, 1951
Baker JL, Gamborg M, Heitmann BL, et al: Breastfeeding reduces postpartum weight retention. Am J Clin Nutr 88(6):1543, 2008
Baldwin MK, Edelman AB: The effect of long-acting reversible contraception on rapid repeat pregnancy in adolescents: a review. J Adolesc Health 52 (4 Suppl):S47, 2013
Ballard O, Morrow AL: Human milk composition: nutrients and bioactive factors. Pediatr Clin North Am 60(1):49, 2013
Bannbers E, Gingnell M, Engman J, et al: Prefrontal activity during response inhibition decreases over time in the postpartum period. Behav Brain Res 241:132, 2013
Barrett G, Pendry E, Peacock J, et al: Women’s sexual health after childbirth. BJOG 107:186, 2000
Bartick M, Reinhold A: The burden of suboptimal breastfeeding in the United States: a pediatric cost analysis. Pediatrics 125(5):e1048, 2010
Belachew J, Axelsson O, Mulic-Lutvica A, et al: Longitudinal study of the uterine body and cavity with three-dimensional ultrasonography in the puerperium. Acta Obstet Gynecol Scand 91(10):1184, 2012
Berlin CM Jr, van den Anker, JN: Safety during breastfeeding: drugs, foods, environmental chemicals, and maternal infections. Semin Fetal Neonatal Med 18(1):13, 2013
Bertino E, Varalda A, Di Nicola P, et al: Drugs and breastfeeding: instructions for use. J Matern Fetal Neonatal Med 25(Suppl 4):78, 2012
Bertotto A, Gerli R, Fabietti G, et al: Human breast milk T lymphocytes display the phenotype and functional characteristics of memory T cells. Eur J Immunol 20:1877, 1990
Buhimschi CS, Buhimschi IA, Manlinow AM, et al: Myometrial thickness during human labor and immediately post partum. Am J Obstet Gynecol 188:553, 2003
Campbell OMR, Gray RH: Characteristics and determinants of postpartum ovarian function in women in the United States. Am J Obstet Gynecol 169:55, 1993
Centers for Disease Control and Prevention: Breastfeeding Report Card—United States, 2012a. Available at: http://www.cdc.gov/breastfeeding/data/reportcard.htm. Accessed May 18, 2013
Centers for Disease Control and Prevention: PRAMS, the Pregnancy Risk Assessment Monitoring System. 2012b. Available at: http://www.cdc.gov/prams/index.htm. Accessed May 18, 2013
Chesley LC, Valenti C, Uichano L: Alterations in body fluid compartments and exchangeable sodium in early puerperium. Am J Obstet Gynecol 77:1054, 1959
Ching-Chung L, Shuenn-Dhy C, Ling-Hong T, et al: Postpartum urinary retention: assessment of contributing factors and long-term clinical impact. Aust N Z J Obstet Gynaecol 42:365, 2002
Collier RJ, Hernandez LL, Horseman ND: Serotonin as a homeostatic regulator of lactation. Domest Anim Endocrinol 43(2):161, 2012
Cravioto A, Tello A, Villafan H, et al: Inhibition of localized adhesion of enteropathogenic Escherichia coli to HEp-2 cells by immunoglobulin and oligosaccharide fractions of human colostrum and breast milk. J Infect Dis 163:1247, 1991
Culligan P, Hill S, Heit M: Rupture of the symphysis pubis during vaginal delivery followed by two subsequent uneventful pregnancies. Obstet Gynecol 100:1114, 2002
Cunningham FG: Screening for osteoporosis. N Engl J Med 353(18):1975, 2005
Faupel-Badger JM, Arcaro KF, Balkam JJ, et al: Postpartum remodeling, lactation, and breast cancer risk: summary of a National Cancer Institute-sponsored workshop. J Natl Cancer Inst 105(3):166, 2013
Fletcher S, Grotegut CA, James AH: Lochia patterns among normal women: a systematic review. J Womens Health (Larchmt) 21(12):1290, 2012
Forrester-Knauss C, Merten S, Weiss C, et al: The Baby-Friendly Hospital Initiative in Switzerland: trends over a 9-year period. J Hum Lact 29(4):510, 2013
Funnell JW, Klawans AH, Cottrell TLC: The postpartum bladder. Am J Obstet Gynecol 67:1249, 1954
Glazener CM, Abdalla M, Stroud P, et al: Postnatal maternal morbidity: extent, causes, prevention and treatment. Br J Obstet Gynaecol 102: 282,1995
Harris RE, Thomas VL, Hui GW: Postpartum surveillance for urinary tract infection: patients at risk of developing pyelonephritis after catheterization. South Med J 70:1273, 1977
Hibbard JU, Schroff SG, Cunningham FG: Cardiovascular alterations in normal and preeclamptic pregnancy. In Taylor RN, Roberts JM, Cunningham FG (eds): Chesley’s Hypertensive Disorders in Pregnancy, 4th ed. Amsterdam, Academic Press, 2014
Hladunewich MA, Lafayette RA, Derby GC, et al: The dynamics of glomerular filtration in the puerperium. Am J Physiol Renal Physiol 286:F496, 2004
Holdcroft A, Snidvongs S, Cason A, et al: Pain and uterine contractions during breast feeding in the immediate post-partum period increase with parity. Pain 104:589, 2003
Hytten F: The Clinical Physiology of the Puerperium. London, Farrand Press, 1995
Institute of Medicine: Nutrition During Pregnancy. Washington, National Academy of Science, 1990, p 202
Ip S, Chung M, Raman G, et al: A summary of the Agency for Healthcare Research and Quality’s evidence report on breastfeeding in developed countries. Breastfeed Med 4(Suppl 1):S17, 2009
Ito S: Drug therapy for breast-feeding women. N Engl J Med 343:118, 2000
Iyengar SR, Walker WA: Immune factors in breast milk and the development of atopic disease. J Pediatr Gastroenterol Nutr 55(6):641, 2012
Jacobsen AF, Skjeldestad FE, Sandset PM: Incidence and risk patterns of venous thromboembolism in pregnancy and puerperium—a register-based case-control study. Am J Obstet Gynecol 198:233, 2008
Jimenez MH, Newton N: Activity and work during pregnancy and the postpartum period: a cross-cultural study of 202 societies. Am J Obstet Gynecol 135:171, 1979
Jong DE, Kikkert HR, Fidler V, et al: Effects of long-chain polyunsaturated fatty acid supplementation of infant formula on cognition and behavior at 9 years of age. Dev Med Child Neurol 54(12):1102, 2012
Kaneshiro BE, Acoba JD, Holzman J, et al: Effect of delivery route on natural history of cervical dysplasia. Am J Obstet Gynecol 192(5):1452, 2005
Kanotra S, D’Angelo D, Phares TM, et al: Challenges faced by new mothers in the early postpartum period: an analysis of comment data from the 2000 Pregnancy Risk Assessment Monitoring System (PRAMS) survey. Matern Child Health J 11(6):549, 2007
Kavalar R, Arko D, Fokter Dovnik N, et al: Subinvolution of placental bed vessels: case report and review of the literature. Wien Klin Wochenschr 124(19–20):725, 2012
Kelly LS, Sheeder J, Stevens-Simon C: Why lightning strikes twice: postpartum resumption of sexual activity during adolescence. J Pediatr Adolesc Gynecol 18:327, 2005
Kenny LC, McCrae KR, Cunningham FG: Platelets, coagulation, and the liver. In Taylor RN, Roberts JM, Cunningham FG (eds): Chesley’s Hypertensive Disorders in Pregnancy, 4th ed. Amsterdam, Academic Press, 2014
Kharrazi FD, Rodgers WB, Kennedy JG, et al: Parturition-induced pelvic dislocation: a report of four cases. J Orthop Trauma 11:277, 1997
Kramer MS, Aboud F, Mironova E, et al: Breastfeeding and child cognitive development: new evidence from a large randomized trial. Arch Gen Psychiatry 65(5):578, 2008
Lawford AM, Scott K, Lust K: A case of massive vulvar oedema due to septic pubic symphysitis complicating pregnancy. Aust N Z J Obstet Gynaecol 50(6):576, 2010
Lee CY, Madrazo B, Drukker BH: Ultrasonic evaluation of the postpartum uterus in the management of postpartum bleeding. Obstet Gynecol 58:227, 1981
Lipe BC, Dumas MA, Ornstein DL: Von Willebrand disease in pregnancy. Hematol Oncol Clin North Am 25(2):335, 2011
Loukas M, Clarke P, Tubbs RS: Accessory breasts: a historical and current perspective. Am Surg 73(5):525, 2007
MacArthur C, Lewis M, Knox EG: Health after childbirth. Br J Obstet Gynaecol 98:1193, 1991
Mangesi L, Dowswell T: Treatments for breast engorgement during lactation. Cochrane Database Syst Rev 9:CD006946, 2010
McCleary MJ: Epidermal growth factor: an important constituent of human milk. J Hum Lact 7:123, 1991
McDonald SD, Pullenayegum E, Chapman B, et al: Prevalence and predictors of exclusive breastfeeding at hospital discharge. Obstet Gynecol 119(6):1171, 2012
McNeilly AS, Robinson ICA, Houston MJ, et al: Release of oxytocin and prolactin in response to suckling. BMJ (Clin Res Ed) 286:257, 1983
Minig L, Trimble EL, Sarsotti C, et al: Building the evidence base for postoperative and postpartum advice. Obstet Gynecol 114(4):892, 2009
Musselwhite KL, Faris P, Moore K, et al: Use of epidural anesthesia and the risk of acute postpartum urinary retention. Am J Obstet Gynecol 196:472, 2007
Nelson DB, Manders DB, Shivvers SA: Primary iliopsoas abscess and pregnancy. Obstet Gynecol 116(2 Pt 2):479, 2010
Newburg DS, Peterson JA, Ruiz-Palacias GM, et al: Role of human-milk lactadherin in protection against symptomatic rotavirus infection. Lancet 351(9110):1160, 1998
Palmer AR, Likis FE: Lactational atrophic vaginitis. J Midwifery Womens Health 48:282, 2003
Perez A, Vela P, Masnick GS, et al: First ovulation after childbirth: the effect of breastfeeding. Am J Obstet Gynecol 114:1041, 1972
Pisacane A, Continisio GI, Aldinucci M, et al: A controlled trial of the father’s role in breastfeeding promotion. Pediatrics 116:e494, 2005
Porter JC: Proceedings: Hormonal regulation of breast development and activity. J Invest Dermatol 63:85, 1974
Rahn DD, Phelan JN, Roshanravan SM, et al: Anterior abdominal wall nerve and vessel anatomy: clinical implications for gynecologic surgery. Am J Obstet Gynecol 202(3):234.e1, 2010
Reis RA, Baer JL, Arens RA, et al: Traumatic separation of the symphysis pubis during spontaneous labor: with a clinical and x-ray study of the normal symphysis pubis during pregnancy and the puerperium. Surg Gynecol Obstet 55:336, 1932
Robson SC, Dunlop W, Hunter S: Haemodynamic changes during the early puerperium. BMJ (Clin Res Ed) 294:1065, 1987
Rowe H, Baker T, Hale TW: Maternal medication, drug use and breastfeeding. Pediatr Clin North Am 6(1); 275, 2013
Saito S, Maruyama M, Kato Y, et al: Detection of IL-6 in human milk and its involvement in IgA production. J Reprod Immunol 20:267, 1991
Schauberger CW, Rooney BL, Brimer LM: Factors that influence weight loss in the puerperium. Obstet Gynecol 79:424, 1992
Sharman A: Postpartum regeneration of the human endometrium. J Anat 87:1, 1953
Snow RE, Neubert AG: Peripartum pubic symphysis separation: a case series and review of the literature. Obstet Gynecol Surv 52:438, 1997
Sohn C, Fendel H, Kesternich P: Involution-induced changes in arterial uterine blood flow [German]. Z Geburtshilfe Perinatol 192:203, 1988
Spencer JP, Gonzalez LS III, Barnhart DJ: Medications in the breast-feeding mother. Am Fam Physician 65(2):170, 2002
Spitz AM, Lee NC, Peterson HB: Treatment for lactation suppression: little progress in one hundred years. Am J Obstet Gynecol 179:1485, 1998
Steinkeler J, Coldwell BJ, Warner MA: Ultrasound of the postpartum uterus. Ultrasound Q 28(2):97, 2012
Stuebe AM, Michels KB, Willett WC, et al: Duration of lactation and incidence of myocardial infarction in middle to late adulthood. Am J Obstet Gynecol 200(2):138.e1, 2009
Taylor RN, Sonson RD: Separation of the pubic symphysis. An underrecognized peripartum complication. J Reprod Med 31:203, 1986
Tekay A, Jouppila P: A longitudinal Doppler ultrasonographic assessment of the alterations in peripheral vascular resistance of uterine arteries and ultrasonographic findings of the involuting uterus during the puerperium. Am J Obstet Gynecol 168(1 Pt 1):190, 1993
Thompson JF, Roberts CL, Currie M, et al: Prevalence and persistence of health problems after childbirth: associations with parity and method of birth. Birth 29:83, 2002
Tulman L, Fawcett J: Return of functional ability after childbirth. Nurs Res 37:77, 1988
U.S. Department of Health and Human Services. Executive summary: the Surgeon General’s call to action to support breastfeeding. 2011. Available at: http://www.surgeongeneral.gov/library/calls/breastfeeding/executivesummary.pdf. Accessed May 18, 2013
Van Os AFM, Van der Linden PJQ: Reliability of an automatic ultrasound system in the post partum period in measuring urinary retention. Acta Obstet Gynecol Scand 85:604, 2006
Wager GP, Martin DH, Koutsky L, et al: Puerperal infectious morbidity: relationship to route of delivery and to antepartum Chlamydia trachomatis infection. Am J Obstet Gynecol 138:1028, 1980
Wagner CL, Greer FR, American Academy of Pediatrics Section on Breastfeeding: Prevention of rickets and vitamin D deficiency in infants, children, and adolescents. Pediatrics 122(5):1142, 2008
Wagner IJ, Damitz LA, Carey E, et al: Bilateral accessory breast tissue of the vulva: a case report introducing a novel labiaplasty technique. Ann Plast Surg 70(5):549, 2013
Wallace M, Saurel-Cubizolles MJ, EDEN mother–child cohort study group: Returning to work one year after childbirth: data from the mother-child cohort EDEN. Matern Child Health J 17(8):1432, 2013
Williams JW: Regeneration of the uterine mucosa after delivery with especial reference to the placental site. Am J Obstet Gynecol 22:664, 1931
Wisniewski PM, Wilkinson EJ: Postpartum vaginal atrophy. Am J Obstet Gynecol 165(4 Pt 2):1249, 1991
Wolfberg AJ, Michels KB, Shields W, et al: Dads as breastfeeding advocates: results from a randomized controlled trial of an educational intervention. Am J Obstet Gynecol 191:708, 2004
Wong CA, Scavone BM, Dugan S, et al: Incidence of postpartum lumbosacral spine and lower extremity nerve injuries. Obstet Gynecol 101:279, 2003
World Health Organization: Exclusive breastfeeding for six months best for babies everywhere. 2011. Available at: http://www.who.int/mediacentre/news/statements/2011/breastfeeding_20110115/en/. Accessed May 17, 2013
World Health Organization: Protecting, promoting and supporting breast-feeding: the special role of maternity services. Geneva, World Health Organization, 1989, p iv
Young OM, Werner E, Sfakianaki AK: Primary psoas muscle abscess after an uncomplicated spontaneous vaginal delivery. Obstet Gynecol 116(2 Pt 2): 477, 2010
Yuen BH: Prolactin in human milk: the influence of nursing and the duration of postpartum lactation. Am J Obstet Gynecol 158:583, 1988