
Systemic Amyloidosis ICD-9: 277.3
ICD-10: E85.3
Amyloidosis is an extracellular deposition in various tissues of amyloid fibril proteins and of a protein called amyloid P component (AP); the identical component of AP is present in the serum and is called SAP. These amyloid deposits can affect normal body function.
Systemic AL amyloidosis, also known as primary amyloidosis, occurs in patients with B cell or plasma cell dyscrasias and multiple myeloma in whom fragments of monoclonal immunoglobulin light chains form amyloid fibrils.
Clinical features of AL include a combination of macroglossia and cardiac, renal, hepatic, and gastrointestinal (GI) involvement, as well as carpal tunnel syndrome and skin lesions. These occur in 30% of patients, and since they occur early in the disease, they are an important clue to the diagnosis.
Systemic AA amyloidosis (reactive) occurs in patients after chronic inflammatory disease, in whom the fibril protein is derived from the circulating acute-phase lipoprotein known as serum amyloid A.
There are few or no characteristic skin lesions in AA amyloidosis, which usually affects the liver, spleen, kidneys, and adrenals.
In addition, skin manifestations may also be associated with a number of (rare) heredofamilial syndromes.
Localized cutaneous amyloidosis is not uncommon, presents with typical cutaneous manifestations, and has no systemic involvement.
Systemic AL Amyloidosis ICD-9: 277.3
ICD-10: E85 ![]()
Rare, occurs in many, but not all, patients with multiple myeloma and B cell dyscrasia.
Skin Lesions: Smooth, waxy papules (Fig. 14-1), also nodules on the face, especially around the eyes (Fig. 14-2) and elsewhere. Purpura following trauma, “pinch” purpura in waxy papules (Fig. 14-2) sometimes also involving large surface areas without nodular involvement. Predilection sites are around the eyes, central face, extremities, body folds, axillae, umbilicus, anogenital area. Nail changes: similar to lichen planus (see Section 34). Macroglossia: diffusely enlarged and firm, “woody” (Fig. 14-3).

Figure 14-1. Systemic AL amyloidosis Waxy papules on the trunk of a 58-year-old male patient with myeloma.

Figure 14-2. Systemic AL amyloidosis: “pinch purpura” The topmost papule is yellowish and nonhemorrhagic; the lower portion is hemorrhagic. So-called pinch purpura of the upper eyelid can appear in amyloid nodules after pinching or rubbing the eyelid.

Figure 14-3. Systemic AA amyloidosis: macroglossia Massive infiltration of the tongue with amyloid has caused immense enlargement; the tongue cannot be retracted completely into the mouth because of its size. (Courtesy of Evan Calkins, MD.)
Systemic Manifestations: Fatigue, weakness, anorexia, weight loss, malaise, dyspnea; symptoms related to hepatic, renal, and GI involvement; paresthesia related to carpal tunnel syndrome, neuropathy.
General Examination: Kidney—nephrosis; nervous system—peripheral neuropathy, carpal tunnel syndrome; cardiovascular—partial heart block, congestive heart failure; hepatic—hepatomegaly; GI—diarrhea, sometimes hemorrhagic, malabsorption; lymphadenopathy.
Laboratory: May reveal thrombocytosis >500,000/μL Proteinuria and increased serum creatinine; hypercalcemia. Increased IgG. Monoclonal protein in two-thirds of patients with primary or myeloma-associated amyloidosis. Bone marrow: myeloma.
Dermatopathology: accumulation of faintly eosinophilic masses of amyloid in the papillary body near the epidermis, in the papillary and reticular dermis, in sweat glands, around and within blood vessel walls. Immunohistochemistry to assess the proportion of kappa and lambda light chains.
Systemic AA Amyloidosis ICD-9: 277.3
ICD-10: E85 ![]()
A reactive type of amyloidosis.
Occurs in any disorder associated with a sustained acute-phase response.
60% have inflammatory arthritis. The rest, other chronic inflammatory infective or neoplastic disorders.
Amyloid fibrils are derived from cleavage fragments of the circulating acute-phase reactant serum amyloid A protein.
Presents with proteinuria followed by progressive renal dysfunction; nephrotic syndrome.
There are no characteristic skin lesions in AA amyloidosis.
Localized Cutaneous Amyloidosis ICD-10: E85.810/E85.430 ![]()
Three varieties of localized amyloidosis that are unrelated to the systemic amyloidoses.
Nodular amyloidosis: single or multiple, smooth, nodular lesions with or without purpura on limbs, face, or trunk (Fig. 14-4A).

Figure 14-4. Localized cutaneous amyloidosis (A) Nodular. Two plaque-like nodules, waxy, yellowish-orange with hemorrhage. (B) Lichenoid amyloidosis. Grouped confluent scaly papules of livid, violaceous color. This is a purely cutaneous disease.
Lichenoid amyloidosis: discrete, very pruritic, brownish-red papules on the legs (Fig. 14-4B).
Macular amyloidosis: pruritic, gray-brown, reticulated macular lesions occurring principally on the upper back (Fig. 14-5); the lesions often have a distinctive “ripple” pattern.
4

Figure 14-5. Macular amyloidosis Gray-brown, reticulated pigmentation on the back of a 56-year-old Arab.
In lichenoid and macular amyloidosis, the amyloid fibrils in skin are keratin derived. Although these three localized forms of amyloidosis are confined to the skin and unrelated to systemic disease, the skin lesions of nodular amyloidosis are identical to those that occur in AL, in which amyloid fibrils derive from immunoglobulin light chain fragments.
Urticaria and Angioedema
ICD-9: 708.0
ICD-10:L50 ![]()
Urticaria is composed of wheals (transient edematous papules and plaques, usually pruritic and due to edema of the papillary body) (Fig. 14-6; also see Fig. 14-8). The wheals are superficial, well defined.

Figure 14-6. Acute urticaria Small and large wheals with erythematous borders and a lighter color centrally. Well defined. The lesion on the left upper arm is ill defined at its lower border where it is regressing.

Figure 14-7. Acute urticaria and angioedema Note that there are both superficial wheals and deep, diffuse edema. Occurred after the patient had eaten shellfish. He had similar episodes previously but never considered seafood as the cause.

Figure 14-8. Chronic urticaria Chronic urticaria of 5-year duration in an otherwise healthy 35-year-old female. Eruptions occur on an almost daily basis and, as they are highly pruritic, greatly impair the patient’s quality of life. Although suppressed by antihistamines, there is an immediate recurrence after treatment is stopped. Repeated laboratory and clinical examinations have not revealed an apparent cause.
Angioedema is a larger edematous area that involves the dermis and subcutaneous tissue (Fig. 14-7) and is deep and ill defined. Urticaria and angioedema are thus the same edematous process but involving different levels of the cutaneous vascular plexus: papillary and deep.
Urticaria and/or angioedema may be acute recurrent or chronic recurrent.
Other forms of urticaria/angioedema are recognized: IgE and IgE receptor dependent, physical, contact, mast cell degranulation related, and idiopathic.
In addition, angioedema/urticaria can be mediated by bradykinin, the complement system, and other effector mechanisms.
Urticarial vasculitis is a special form of cutaneous necrotizing venulitis (see p. 363).
There are some syndromes with angioedema in which urticarial wheals are rarely present (e.g., hereditary angioedema).
Epidemiology and Etiology
Incidence. 15-23% of the population may have had this condition during their lifetime.
Etiology. Urticaria/angioedema is not a disease but a cutaneous reaction pattern. For classification and etiology, see Table 14-1.
Table 14-1 ETIOLOGY AND CLASSIFICATION OF URTICARIA/ANGIOEDEMA

Clinical Types
Acute Urticaria. Acute onset and recurring over <30 days. Usually large wheals often associated with angioedema (Figs. 14-6 and 14-7); often IgE dependent with atopic diathesis; related to foods, parasites, and penicillin. Also, complement mediated in serum sickness-like reactions (whole blood, immunoglobulins, penicillin). Often accompanied by angioedema. Common. (See also “Drug-Induced Acute Urticaria” in Section 23.)
Chronic Urticaria. Recurring over <30 days. Small and large wheals (Fig. 14-8). Rarely IgE dependent but often due to anti-FcεR auto-antibodies; etiology unknown in 80% and therefore considered idiopathic. Intolerance to salicylates, benzoates. Common. Chronic urticaria affects adults predominantly and is approximately twice as common in women as in men. Up to 40% of patients with chronic urticaria of >6 months’ duration still have urticaria 10 years later.
Symptoms. Pruritus. In angioedema of palms and soles pain. Angioedema of tongue, pharynx interferes with speech, food intake, and breathing. Angioedema of larynx may lead to asphyxia.
Clinical Manifestation
Skin Lesions. Sharply defined wheals (Fig. 14-6), small (<1 cm) to large (>8 cm), erythematous or white with an erythematous rim, round, oval, acriform, annular, serpiginous (Figs. 14-6 and 14-8), due to confluence and resolution in one area and progression in another (Fig. 14-8). Lesions are pruritic and transient.
Angioedema—skin colored, transient enlargement of portion of face (eyelids, lips, tongue) (Figs. 14-7 and 23-5), extremity, or other sites due to subcutaneous edema.
Distribution. Usually regional or generalized. Localized in solar, pressure, vibration, and cold urticaria/angioedema and confined to the site of the trigger mechanism (see below).
Special Features/As Related to Pathogenesis
Immunologic Urticaria. IgE Mediated. Lesions in acute IgE-mediated urticaria result from antigen-induced release of biologically active molecules from mast cells or basophilic leukocytes sensitized with specific IgE antibodies (type I anaphylactic hypersensitivity). Released mediators increase venular permeability and modulate the release of biologically active molecules from other cell types. Often with atopic background. Antigens: food (milk, eggs, wheat, shellfish, nuts), therapeutic agents, drugs (penicillin) (see also “Drug-Induced Acute Urticaria, Angioedema, Edema, and Anaphylaxis” in Section 23), helminths. Most often acute (Figs. 14-6 and 23-5).
Complement Mediated. Acute. By way of immune complexes activating complement and releasing anaphylatoxins that induce mast cell degranulation. Serum sickness, administration of whole blood, immunoglobulins. Autoimmune. Common, chronic. Autoantibodies against FcεRI and/or IgE. Positive autologous serum skin test. Clinically, patients with these autoantibodies (up to 40% of patients with chronic urticaria) are indistinguishable from those without them (Fig. 14-8). These autoantibodies may explain why plasmapheresis, intravenous immunoglobulins, and cyclosporine induce remission of disease activity in these patients.
Immunologic Contact Urticaria. Usually in children with atopic dermatitis sensitized to environmental allergens (grass, animals) or individuals sensitized to wearing latex rubber gloves; can be accompanied by anaphylaxis.
Physical Urticarias. Dermographism. Linear urticarial lesions occur after stroking or scratching the skin; they itch and fade in 30 min (Fig. 14-9); 4.2% of the normal population have it; symptomatic dermographism is a nuisance.

Figure 14-9. Urticaria: dermographism Urticaria as it appeared 5 min after the patient was scratched on the back. The patient had experienced generalized pruritus for several months with no spontaneously occurring urticaria.
Cold Urticaria. Usually in children or young adults; urticarial lesions confined to sites exposed to cold occurring within minutes after rewarming. “Ice cube” test (application of an ice cube for a few minutes to skin) causes wheal.
Solar Urticaria. Urticaria after solar exposure. Action spectrum from 290 to 500 nm; whealing lasts for <1 h, may be accompanied by syncope; histamine is one of the mediators (see Section 10 and Fig. 10-11).
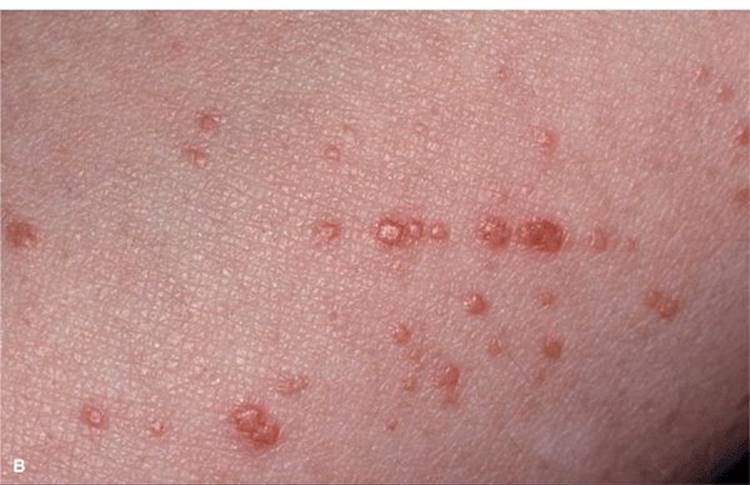
Cholinergic Urticaria. Exercise to the point of sweating provokes typical small, papular, highly pruritic urticarial lesions (Fig. 14-10). May be accompanied by wheezing.

Figure 14-10. Cholinergic urticaria Small urticarial papules on neck occurring within 30 min of vigorous exercise. Papular urticarial lesions are best seen under side lighting.
Aquagenic Urticaria. Very rare. Contact with water of any temperature induces eruption similar to cholinergic urticaria.
Pressure Angioedema. Erythematous swelling induced by sustained pressure (buttock swelling when seated, hand swelling after hammering, foot swelling after walking). Delayed (30 min to 12 h). Painful, may persist for several days, and interferes with quality of life. No laboratory abnormalities; fever may occur.
Vibration Angioedema. May be familial (autosomal dominant) or sporadic. Rare. It is believed to result from histamine release from mast cells caused by a “vibrating” stimulus—rubbing a towel across the back produces lesions, but direct pressure (without movements) does not.
Urticaria Due to Mast Cell-Releasing Agents and Pseudoallergens and Chronic Idiopathic Urticaria. Urticaria/angioedema and even anaphylaxis-like symptoms may occur with radiocontrast media and as a consequence of intolerance to salicylates, food preservatives and additives (e.g., benzoic acid and sodium benzoate), several azo dyes, including tartrazine and sunset yellow (pseudoallergens) (Fig. 14-8); also to ACE inhibitors. May be acute and chronic. In chronic idiopathic urticaria, histamine derived from mast cells in the skin is considered the major mediator, also eicosanoids and neuropeptides.
Nonimmune Contact Urticaria. Due to direct effects of exogenous urticants penetrating into skin or blood vessels. Localized to site of contact. Sorbic acid, benzoic acid in eye solutions and foods, cinnamic aldehydes in cosmetics, histamine, acetylcholine, serotonin in nettle stings.
Urticaria Associated with Vascular/Connective Tissue Autoimmune Disease. Urticarial lesions may be associated with systemic lupus erythematosus (SLE) and Sjögren syndrome. However, in most instances, they represent urticarial vasculitis (see p. 363).
Distinct Angioedema (± Urticaria) Syndromes. Hereditary Angioedema (HAE). A serious autosomal-dominant disorder; may follow trauma (physical and emotional). Angioedema of the face (Fig. 14-11) and extremities, episodes of laryngeal edema, and acute abdominal pain caused by angioedema of the bowel wall presenting as surgical emergency. Urticaria rarely occurs. Laboratory abnormalities involve the complement system: decreased levels of C1-esterase inhibitor (85%) or dysfunctional inhibitor (15%), low C4 value in the presence of normal C1 and C3 levels. Angioedema results from bradykinin formation, since C1-esterase inhibitor is also the major inhibitor of the Hageman factor and kallikrein, the two enzymes required for kinin formation. Episodes can be life threatening.

Figure 14-11. Hereditary angioedema (A) Severe edema of the face during an episode leading to grotesque disfigurement. (B) Angioedema will subside within hours. These are the normal features of the patient. The patient had a positive family history and had multiple similar episodes including colicky abdominal pain.
Angioedema-Urticaria-Eosinophilia Syndrome. Severe angioedema, only occasionally with pruritic urticaria, involving the face, neck, extremities, and trunk that lasts for 7–10 days. There is fever and marked increase in normal weight (increased by 10–18%) owing to fluid retention. No other organs are involved. Laboratory abnormalities include striking leukocytosis (20,000–70,000/μL) and eosinophilia (60–80% eosinophils), which are related to the severity of attack. There is no family history. This condition is rare, prognosis is good.
Laboratory Examinations
Serology. Search for hepatitis B–associated antigen, assessment of the complement system, assessment of specific IgE antibodies by radioallergosorbent test (RAST), anti-FcεRI autoantibodies. Serology for lupus and Sjögren syndrome. Autologous serum skin test for autoimmune urticaria.
Hematology. The erythrocyte sedimentation rate (ESR) is often elevated in urticarial vasculitis, and there may be hypocomplementemia; transient eosinophilia in urticaria from reactions to foods, parasites, and drugs; high levels of eosinophilia in the angioedema–urticaria–eosinophilia syndrome.
Complement Studies. Screening for functional C1 inhibitor in HAE.
Ultrasonography. For early diagnosis of bowel involvement in HAE; if abdominal pain is present, this may indicate edema of the bowel.
Parasitology. Stool specimen for presence of parasites.
Diagnosis
A detailed history (previous diseases, drugs, foods, parasites, physical exertion, solar exposure) is of utmost importance. History should differentiate between type of lesions—urticaria, angioedema, or urticaria + angioedema; duration of lesions (<1 h or ≥1 h), pruritus; pain on walking (in foot involvement), flushing, burning, and wheezing (in cholinergic urticaria). Fever in serum sickness and in the angioedema–urticaria–eosinophilia syndrome; in angioedema, hoarseness, stridor, dyspnea. Arthralgia (serum sickness, urticarial vasculitis), abdominal colicky pain in HAE. A careful history of medications including penicillin, aspirin, nonsteroidal anti-inflammatory drugs, and ACE inhibitors should be obtained.
Dermographism is evoked by stroking the skin; pressure urticaria is tested by application of pressure (weight) perpendicular to the skin; vibration angioedema by a vibratory stimulus, like rubbing the back with a towel. Cholinergic urticaria can best be diagnosed by exercise to sweating and intracutaneous injection of acetylcholine or mecholyl, which will produce micropapular whealing. Solar urticaria is verified by testing with UVB, UVA, and visible light (see Fig. 10-11). Cold urticaria is verified by a wheal response to the application to the skin of an ice cube or a test tube containing ice water. Autoimmune urticaria is tested by the autologous serum skin test and determination of anti-FcεRI antibody. If urticarial wheals do not disappear in ≤24 h, urticarial vasculitis should be suspected and a biopsy done. The person with angioedema–urticaria–eosinophilia syndrome has high fever, high leukocytosis (mostly eosinophils), a striking increase in body weight due to retention of water, and a cyclic pattern that may occur and recur over a period of years. HAE has a positive family history and is characterized by angioedema as the result of trauma, abdominal pain, and decreased levels of C4 and C1-esterase inhibitor.
A practical approach to the diagnosis of urticaria/angioedema is shown in Fig. 14-12 and to angioedema alone in Fig. 14-13.

Figure 14-12. Approach to the patient with urticaria/angioedema. [Modified from Kaplan AP, in Wolff K et al. (eds.): Fitzpatrick’s Dermatology in General Medicine, 7th ed. New York, McGraw-Hill, 2008:339.]

Figure 14-13. Approach to the patient with angioedema (without urticaria). [Modified from Kaplan AP in Wolff K et al. (eds.): Fitzpatrick’s Dermatology in General Medicine, 7th ed. New York, McGraw-Hill, 2008:339.]
Course and Prognosis
Half of the patients with urticaria alone are free of lesions in 1 year, but 20% have lesions for >20 years. Prognosis is good in most syndromes except HAE, which may be fatal if untreated.
Management
Prevention by elimination of etiologic chemicals or drugs: aspirin and food additives, especially in chronic recurrent urticaria—rarely successful; prevent trigger in physical urticarias.
Antihistamines. H1-blockers, e.g., hydroxyzine, terfenadine; or loratadine, cetirizine, fexofenadine; 180 mg/d of fexofenadine or 10–20 mg/d of loratadine usually controls most cases of chronic urticaria, but cessation of therapy usually results in a recurrence; if they fail, H1 and H2 blockers (cimetidine) and/or mast cell–stabilizing agents (ketotifen). Doxepin, a tricyclic antidepressant with marked H1antihistaminic activity, is valuable when severe urticaria is associated with anxiety and depression.
Prednisone. In acute urticaria with angioedema; also for angioedema–urticaria–eosinophilia syndrome.
Danazol or Stanozolol. Long-term therapy for HAE; watch out for hirsutism, irregular menses; whole fresh plasma or C1-esterase inhibitor in the acute attack. A very effective bradikin-B2-receptor antagonist for subcutaneous application is now available in Europe (Icatibant).
Other. In chronic idiopathic or autoimmune urticaria, if no response to antihistamines: switch to cyclosporine and taper gradually, if glucocorticoids are contraindicated or if side effects occur.
Erythema Multiforme (EM) Syndrome
ICD-9: 695.1
ICD-10:L51 ![]()
A common reaction pattern of blood vessels in the dermis with secondary epidermal changes.
Manifests clinically as characteristic erythematous iris-shaped papular and vesiculobullous lesions.
Typically involving the extremities (especially the palms and soles) and the mucous membranes.
Benign course with frequent recurrences.
Most cases related to herpes simplex virus (HSV) infection.
Recurrences can be prevented by long-term anti-HSV medication.
More severe course in EM major.
Epidemiology
Age of Onset. 50% under 20 years.
Sex. More frequent in males than in females.
Etiology
A cutaneous reaction to a variety of antigenic stimuli, most commonly to herpes simplex.
Infection. Herpes simplex, Mycoplasma.
Drugs. Sulfonamides, phenytoin, barbiturates, phenylbutazone, penicillin, allopurinol.
Idiopathic. Probably also due to undetected herpes simplex or Mycoplasma.
Clinical Manifestation
Evolution of lesions over several days. May have history of prior EM. May be pruritic or painful, particularly mouth lesions. In severe forms constitutional symptoms such as fever, weakness, malaise.
Skin Lesions. Lesions may develop over ≥10 days. Macule → papule (1–2 cm) → vesicles and bullae in the center of the papule. Dull red. Iris or target-like lesions result and are typical (Figs. 14-14 and 14-15). Localized to hands and face or generalized (Figs. 14-16 and 14-17). Bilateral and often symmetric.

Figure 14-14. Erythema multiforme Iris or target lesions on the palm of a 16-year-old. The lesions are very flat papules with a red rim, a violaceous ring, and a red center.

Figure 14-15. Erythema multiforme: minor Multiple, confluent, target-like papules on the face of a 12-year-old boy. The target morphology of the lesions is best seen on the lips.

Figure 14-16. Erythema multiforme: major Erythematous, confluent, target-like papules, erosions and crusts on the face. There is erosive and crusted cheilitis indicating mucosal involvement, and there is conjunctivitis. The patient also had a generalized rash consisting of iris lesions.

Figure 14-17. Erythema multiforme: major Multiple, target lesions have coalesced, and erosions will develop. This patient had fever and mucosal involvement of mouth, conjunctiva, and genitalia.
Sites of Predilection. Dorsa of hands, palms, and soles; forearms; feet; face; elbows and knees; penis (50%) and vulva (see Fig. 14-18).

Figure 14-18. Erythema multiforme predilection sites and distribution.
Mucous Membranes. Erosions with fibrin membranes; occasionally ulcerations: lips (Fig. 14-15, see also Section 33), oropharynx, nasal, conjunctival (Fig. 14-16), vulvar, anal.
Other Organs. Eyes, with corneal ulcers, anterior uveitis.
Course
Mild Forms (EM Minor). Little or no mucous membrane involvement; vesicles but no bullae or systemic symptoms. Eruption usually confined to extremities, face, classic target lesions (Figs. 14-14 and 14-15). Recurrent EM minor is usually associated with an outbreak of herpes simplex preceding it by several days.
Severe Forms (EM Major). Most often occurs as a drug reaction, always with mucous membrane involvement; severe, extensive, tendency to become confluent and bullous, positive Nikolsky sign in erythematous lesions (Figs. 14-16 and 14-17). Systemic symptoms: fever, prostration. Cheilitis and stomatitis interfere with eating; vulvitis and balanitis with micturition. Conjunctivitis can lead to keratitis and ulceration; lesions also in pharynx and larynx.
Laboratory Examination
Dermatopathology. Inflammation characterized by perivascular mononuclear infiltrate, edema of the upper dermis; apoptosis of keratinocytes with focal epidermal necrosis and subepidermal bulla formation. In severe cases, complete necrosis of epidermis as in toxic epidermal necrolysis. (See Section 8.)
Diagnosis and Differential Diagnosis
The target-like lesion and the symmetry are quite typical, and the diagnosis is not difficult.
Acute Exanthematic Eruptions. Drug eruption, psoriasis, secondary syphilis, urticaria, generalized Sweet syndrome. Mucous membrane lesions may present a difficult differential diagnosis: bullous diseases, fixed drug eruption, acute lupus erythematosus, primary herpetic gingivostomatitis.
Management
Prevention. Control of herpes simplex using oral valaciclovir or famciclovir may prevent development of recurrent EM.
Glucocorticoids. In severely ill patients, systemic glucocorticoids are usually given (prednisone, 50–80 mg/d in divided doses, quickly tapered), but their effectiveness has not been established by controlled studies.
Cryopyrinopathies (CAPS)* ![]()
Are rare systemic autoinflammatory diseases, autosomal dominant.
Include familial cold autoinflammatory syndrome (FCAS), Muckle-Wells syndrome (MWS) (Fig. 14-19) and neonatal-onset multisystem inflammatory disease (NOMID).

Figure 14-19. Muckle-Wells syndrome in a 2-month-old baby with fever and arthralgia and an urticarial rash. (Courtesy of Drs. Klemens Rappersberger and Christian Posch.)
Most have mutations in NLRP3.
Urticaria-like eruptions (Fig. 14-19), fever (periodic or continuous), conjunctivitis, arthralgia and elevation of acute phase reactants. Untreated develop progressive hearing loss, progressive vision loss (MWS, NOMID), mental retardation, hydrocephalus, bony overgrowth (NOMID) and amyloidosis.
Histopathology of lesional skin shows edema, dilatation of superficial capillaries, perivascular and perieccrine neutrophilic infiltrates.
Anti-IL-1 therapy is effective.
*Source: Lee CCR and Goldbach-Mansky R. Systemic autoinflammatory diseases. In: Goldsmith LA, Katz SI, Gilchrest BA, Paller AS, Leffell DJ, and Wolff K (eds.). Fitzpatrick’s Dermatology in General Medicine, 8th ed. New York, NY: McGraw-Hill; 2012:1584–1599.
Lichen Planus (LP) ICD-9: 697.0
ICD-10: L43 ![]()
Worldwide occurrence; incidence less than 1%, all races.
LP is an acute or chronic inflammatory dermatosis involving skin and/or mucous membranes.
Characterized by flat-topped (Latin planus, “flat”), pink to violaceous, shiny, pruritic polygonal papules. The features of the lesions have been designated as the four P’s—papule, purple, polygonal, pruritic.
Distribution: predilection for flexural aspects of arms and legs, can become generalized.
In the mouth, milky-white reticulated papules; may become erosive and even ulcerate.
Main symptom: pruritus; in the mouth, pain.
Therapy: topical and systemic glucocorticoids, cyclosporine.
Epidemiology and Etiology
Age of Onset. 30–60 years.
Sex. Females > males.
Etiology. Idiopathic in most cases but cell-mediated immunity plays a major role. Majority of lymphocytes in the infiltrate are CD8+ and CD45Ro+ (memory) cells. Drugs, metals (gold, mercury), or infection (hepatitis C virus) result in alteration in cell-mediated immunity. There could be HLA-associated genetic susceptibility that would explain a predisposition in certain persons. Lichenoid lesions of chronic graft-versus-host disease (GVHD) of skin are indistinguishable from those of LP (see Section 22).
Clinical Manifestation
Onset. Acute (days) or insidious (over weeks). Lesions last months to years, asymptomatic or pruritic; sometimes severe pruritus. Mucous membrane lesions are painful, especially when ulcerated.
Skin Lesions. Papules, flat-topped, 1–10 mm, sharply defined, shiny (Fig. 14-20). Violaceous, with white lines (Wickham striae) (Fig. 14-20A), seen best with hand lens after application of mineral oil. Polygonal or oval (Fig. 14-20B). Grouped (Figs. 14-20 and 14-21), annular, or disseminated scattered discrete lesions when generalized (Fig. 14-22). In dark-skinned individuals, postinflammatory hyperpigmentation is common. May present on lips (Fig. 14-23A) and in a linear arrangement after trauma (Koebner or isomorphic phenomenon (Fig. 14-23B).


Figure 14-20. Lichen planus (A) Flat-topped, polygonal, sharply defined papules of violaceous color, grouped and confluent. Surface is shiny and, upon close inspection with a hand lens, fine white lines are revealed (Wickham striae, arrow). (B) Close up of flat-topped shiny violaceous papules that are polygonal.

Figure 14-21. Hypertrophic lichen planus (A) Confluent hyperkeratotic papules and plaques on the dorsum of the hand of a light-colored man of African descent. Hyperkeratosis covers Wickham striae, and the characteristic violaceous color of the lesions can be seen only at the very margins. (B) Hypertrophic lichen planus on the dorsum of the foot. Lesions form thick plaques with a hyperkeratotic surface and a violaceous border.

Figure 14-22. Disseminated lichen planus A shower of disseminated papules on the trunk and the extremities (not shown) in a 45-year-old Filipino. Due to the ethnic color of the skin, the papules are not as violaceous as in Caucasians but have a brownish hue.


Figure 14-23. Lichen planus (A) Silvery-white, confluent, flat-topped papules on the lips. Note: Wickham striae (arrow). (B) Lichen planus, Koebner phenomenon. Linear arrangement of flat-topped, shiny papules that erupted after scratching.
Sites of Predilection. Wrists (flexor), lumbar region, shins (thicker, hyperkeratotic lesions; Fig. 14-21B), scalp, glans penis (see Section 36), mouth (see Section 35).
Variants
Hypertrophic. Large thick plaques arise on the foot (Fig. 14-21B), dorsum of hands (Fig. 14-21A), and shins; more common in black males. Although typical LP papule is smooth, hypertrophic lesions may become hyperkeratotic.
Atrophic. White-bluish, well-demarcated papules and plaques with central atrophy.
Follicular. Individual keratotic-follicular papules and plaques that lead to cicatricial alopecia. Spinous follicular lesions, typical skin and mucous membrane LP, and cicatricial alopecia of the scalp are called Graham Little syndrome (see Section 33).
Vesicular. Vesicular or bullous lesions may develop within LP patches or independent of them within normal-appearing skin. There are direct immunofluorescence findings consistent with bullous pemphigoid, and the sera of these patients contain bullous pemphigoid IgG auto-antibodies (see Section 6).
Pigmentosus. Hyperpigmented, dark-brown macules in sun-exposed areas and flexural folds. In Latin Americans and other dark-skinned populations. Significant similarity or perhaps identity with ashy dermatosis (see Fig. 13-12).
Actinicus. Papular LP lesions arise in sun-exposed sites, especially the dorsa of hands and arms.
Ulcerative. LP may lead to therapy-resistant ulcers, particularly on the soles, requiring skin grafting.
Mucous Membranes. Some 40–60% of individuals with LP have oropharyngeal involvement (see Section 33).
Reticular LP. Reticulate (netlike) pattern of lacy white hyperkeratosis on buccal mucosa (see Section 35), lips (Fig. 14-23A), tongue, gingiva; the most common pattern of oral LP. Erosive or Ulcerative LP. Superficial erosion with/without overlying fibrin clot; occurs on tongue and buccal mucosa (see Section 33); shiny red painful erosion of gingiva (desquamative gingivitis) (see Section 33) or lips (Fig. 14-23A). Carcinoma may very rarely develop in mouth lesions.
Genitalia. Papular (see Section 34) agminated, annular, or erosive lesions arise on penis (especially glans), scrotum, labia majora, labia minora, vagina.
Hair and Nails. Scalp. Follicular LP, atrophic scalp skin with scarring alopecia. (See Section 33.) Nails. Destruction of nail fold and nail bed with longitudinal splintering (see Section 32).
Lichen Planus–Like Eruptions
LP-like eruptions closely mimic typical LP, both clinically and histologically. They occur as a clinical manifestation of chronic GVHD, in dermatomyositis (DM), and as cutaneous manifestations of malignant lymphoma but may also develop as the result of therapy with certain drugs and after industrial use of certain compounds (see Section 23).
Diagnosis and Differential Diagnosis
Clinical findings confirmed by histopathology.
Papular LP. Chronic cutaneous lupus erythematosus, psoriasis, pityriasis rosea, eczematous dermatitis, lichenoid GVHD; single lesions: superficial basal cell carcinoma, Bowen disease (in situ squamous cell carcinoma).
Hypertrophic LP. Psoriasis vulgaris, lichen simplex chronicus, prurigo nodularis, stasis dermatitis, Kaposi sarcoma.
Mucous Membranes. Leukoplakia, pseudomembranous candidiasis (thrush), HIV-associated hairy leukoplakia, lupus erythematosus, bite trauma, mucous patches of secondary syphilis, pemphigus vulgaris, bullous pemphigoid (see Section 35).
Drug-Induced LP. See Section 23.
Laboratory Examination
Dermatopathology. Inflammation with hyperkeratosis, increased granular layer, irregular acanthosis, liquefaction degeneration of the basal cell layer, and band-like mononuclear infiltrate that hugs the epidermis. Keratinocyte apoptosis (colloid, Civatte bodies) found at the dermal–epidermal junction. Direct immunofluorescence reveals heavy deposits of fibrin at the junction and IgM and, less frequently, IgA, IgG, and C3 in the colloid bodies.
Course
Cutaneous LP usually persists for months, but in some cases, for years; hypertrophic LP on the shins and oral LP often for decades. The incidence of oral squamous cell carcinoma in individuals with oral LP is increased (5%).
Management
Local Therapy
Glucocorticoids. Topical glucocorticoids with occlusion for cutaneous lesions. Intralesional triamcinolone (3 mg/mL) is helpful for symptomatic cutaneous or oral mucosal lesions and lips. Cyclosporine and Tacrolimus Solutions. Retention “mouthwash” for severely symptomatic oral LP.
Systemic Therapy
Cyclosporine. In very resistant and generalized cases, 5 mg/kg per day will induce rapid remission, quite often not followed by recurrence.
Glucocorticoids. Oral prednisone is effective for individuals with symptomatic pruritus, painful erosions, dysphagia, or cosmetic disfigurement. A short, tapered course is preferred: 70 mg initially, tapered by 5 mg/d.
Systemic Retinoids (Acitretin). 1 mg/kg per day is helpful as adjunctive measure in severe (oral, hypertrophic) cases, but usually additional topical treatment is required.
PUVA Photochemotherapy
In individuals with generalized LP or cases resistant to topical therapy.
Other Treatments
Mycophenolate mofetil, heparin analogues (enoxaparin) in low doses have antiproliferative and immunomodulatory properties; azathioprine.
Behçet Disease ICD-9: 179.4 · ICD-10: M35.2 ![]()
Rare; worldwide occurrence, but strongly variable ethnic prevalence.
It is a perplexing multisystem vasculitic disease with multiorgan involvement.
Main symptoms are recurrent oral aphthous ulcers, genital ulcers, erythema nodosum, superficial thrombophlebitis, skin pustules, iridocyclitis, and posterior uveitis.
Additional symptoms may be arthritis, epididymitis, ileocecal ulcerations, vascular, and central nervous system (CNS) lesions.
Chronic relapsing progressive course with potentially poor prognosis.
Epidemiology
Age of Onset. Third and fourth decades.
Prevalence. Highest in Turkey (80–420 patients in 100,000), Japan, Korea, Southeast Asia, the Middle East, southern Europe. Rare in northern Europe, United States (0.12–0.33 in 100,000).
Sex. Males > females, but dependent on ethnic background.
Pathogenesis
Etiology unknown. In the eastern Mediterranean and East Asia, HLA-B5 and HLA-B51 association; in the United States and Europe, no consistent HLA association. The lesions are the result of leukocytoclastic (acute) and lymphocytic (late) vasculitis.
Clinical Manifestation
Painful ulcers erupt in a cyclic fashion in the oral cavity and/or genital mucous membranes. Orodynophagia and oral ulcers may persist/recur weeks to months before other symptoms appear.
Skin and Mucous Membranes. Aphthous Ulcers. Punched-out ulcers (3 to >10 mm) with rolled or overhanging borders and necrotic base (Fig. 14-24); red rim; occur in crops (2–10) on oral mucous membrane (100%) (Fig. 14-24), vulva, penis, and scrotum (Figs. 14-25 and 14-26); very painful.

Figure 14-24. Behçet disease Oral aphthous ulcers. (A) These are highly painful, punched-out ulcers with a necrotic base on the buccal mucosa and lower and upper fornix in this 28-year-old Turkish male (arrow). (B) A punched-out ulcer on the tongue of another patient (arrow).

Figure 14-25. Behçet disease: genital ulcers Multiple large aphthous-type ulcers on the labial and perineal skin. In addition, this 25-year-old patient of Turkish extraction had aphthous ulcers in the mouth and previously experienced an episode of uveitis.

Figure 14-26. Behçet disease A large, punched-out ulcer on the scrotum of a 40-year-old Korean. The patient also had aphthous ulcers in the mouth and pustules on the thighs and buttocks.


Figure 14-27. Revised International Criteria for Behçet Disease (International Team for the Revision of ICBD; coordinator, F. Davatchi) according to (A) the classification tree format and (B) the traditional format. BD, Behçet disease; GU, genital ulcer; OA, oral aphthous ulcer. [Modified from Zouboulis CC. Adamantiades-Behçet disease, in Wolff K et al. (eds.): Fitzpatrick’s Dermatology in General Medicine, 7th ed. New York, McGraw-Hill, 2008:1620–1622.]
Erythema Nodosum-Like Lesions. Painful inflammatory nodules on the arms and legs (40%) (see Section 7).
Other. Inflammatory pustules, superficial thrombophlebitis, inflammatory plaques resembling those in Sweet syndrome (see Section 7), pyoderma gangrenosum-like lesions (see Section 7), palpable purpuric lesions of necrotizing vasculitis (see below).
Systemic Findings. Eyes. Leading cause of morbidity. Posterior uveitis, anterior uveitis, retinal vasculitis, vitreitis, hypopyon, secondary cataracts, glaucoma, neovascularization.
Musculoskeletal. Nonerosive, asymmetric oli-goarthritis.
Neurologic. Onset delayed, occurring in one quarter of patients. Meningoencephalitis, benign intracranial hypertension, cranial nerve palsies, brainstem lesions, pyramidal/extrapyramidal lesions, psychosis.
Vascular. Aneurysms, arterial occlusions, venous thrombosis, varices; hemoptysis. Coronary vasculitis: myocarditis, coronary arteritis, endocarditis, valvular disease.
GI Tract. Aphthous ulcers throughout.
Laboratory Examinations
Dermatopathology. Leukocytoclastic vasculitis with fibrinoid necrosis of blood vessel walls in acute early lesions; lymphocytic vasculitis in late lesions.
Pathergy Test. Positive pathergy test read by physician at 24 or 48 h, after skin puncture with a sterile needle. Leads to inflammatory pustule.
HLA Typing. Significant association with HLA-B5 and HLA-B51, in Japanese, Koreans, and Turks, and in the Middle East.
Diagnosis and Differential Diagnosis
Diagnosis is made according to the Revised International Criteria for Behçet disease (Fig. 14-26).
Differential Diagnosis. Oral and genital ulcers: Viral infection [HSV, varicella-zoster virus (VZV)], hand-foot-and-mouth disease, herpangina, chancre, histoplasmosis, squamous cell carcinoma.
Course and Prognosis
Highly variable course, with recurrences and remissions; the mouth lesions are always present; remissions may last for weeks, months, or years. In the eastern Mediterranean and East Asia, severe course, one of the leading causes of blindness. With CNS involvement, there is a higher mortality rate.
Management
Aphthous Ulcers. Potent topical glucocorticoids. Intralesional triamcinolone, 3–10 mg/mL, injected into ulcer base. Thalidomide, 50–100 mg po in the evening. Colchicine, 0.6 mg po two to three times a day. Dapsone, 50–100 mg/d po.
Systemic Involvement. Prednisone with or without azathioprine, cyclophosphamide, azathioprine alone, chlorambucil, cyclosporine.
Dermatomyositis ICD-9: 710.3
ICD-10: M33.0 ![]()
Dermatomyositis (DM) is a systemic disease belonging to the idiopathic inflammatory myopathies, a heterogeneous group of genetically determined autoimmune diseases targeting the skin and/or skeletal muscles.
DM is characterized by violaceous (heliotrope) inflammatory changes +/– edema of the eyelids and periorbital area; erythema of the face, neck, and upper trunk; and flat-topped violaceous papules over the knuckles.
It is associated with polymyositis, interstitial pneumonitis, and myocardial involvement.
There is also a DM without myopathy (amyopathic DM) and polymyositis without skin involvement.
Juvenile DM runs a different course and is associated with vasculitis and calcinosis.
Adult-onset DM may be associated with internal malignancy.
Prognosis is guarded.
Epidemiology and Etiology
Rare. Incidence >6 cases per million, but this is based on hospitalized patients and does not include individuals without muscle involvement. Juvenile and adult (>40 years) onset.
Etiology. Unknown. In persons >55 years of age, may be associated with malignancy.
Clinical Spectrum. Ranges from DM with only cutaneous inflammation (amyopathic DM) to polymyositis with only muscle inflammation. Cutaneous involvement occurs in 30–40% of adults and 95% of children with DM/polymyositis. For classification, see Table 14-2.
TABLE 14-2 COMPREHENSIVE CLASSIFICATION OF IDIOPATHIC INFLAMMATORY DERMATOMYOPATHIES

Clinical Manifestation
Symptoms. + Photosensitivity. Manifestations of skin disease may precede myositis or vice versa; often, both are detected at the same time. Muscle weakness, difficulty in rising from supine position, climbing stairs, raising arms over head, turning in bed. Dysphagia; burning and pruritus of the scalp.
Skin Lesions. Periorbital heliotrope (reddish purple) flush, usually associated with some degree of edema (Fig. 14-28). May extend to involve scalp (+ nonscarring alopecia), entire face (Fig. 14-29A), upper chest, and arms.

Figure 14-28. Dermatomyositis Heliotrope (reddish purple) erythema of upper eyelids and edema of the lower lids. This 55-year-old female had experienced severe muscle weakness of the shoulder girdle and presented with a lump in the breast that proved to be carcinoma.

Figure 14-29. Dermatomyositis (A) Violaceous erythema and edema on the face, particularly in the periorbital and malar regions. The patient could barely lift his arms and could not climb stairs. (B)Violaceous erythema and Gottron papules on the dorsa of the hands and fingers, especially over the interphalangeal joints, where there are also small ulcers. Periungual erythema and telangiectasias.
In addition, papular dermatitis with varying degrees of violaceous erythema in the same sites. Flat-topped, violaceous papules (Gottron papules) with various degrees of atrophy on the nape of the neck and shoulders and over the knuckles and interphalangeal joints (Fig. 14-29B). Note: In lupus, lesions usually occur in the interarticular region of the fingers (see Fig. 14-34A). Periungual erythema with telangiectasia, thrombosis of capillary loops, infarctions. Lesions over elbows and knuckles may evolve into erosions and ulcers (Fig. 14-29B) that heal with stellate scarring (particularly in juvenile DM with vasculitis). Long-lasting lesions may evolve into poikiloderma (mottled discoloration with red, white, and brown) (Fig. 14-30). Calcification in subcutaneous/fascial tissues common later in course of juvenile DM (Fig. 14-31), particularly about elbows, trochanteric, and iliac region (calcinosis cutis); may evolve into calcinosis universalis.

Figure 14-30. Dermatomyositis, juvenile onset, poikiloderma There is mottled, reticular brownish pigmentation and telangiectasia plus small white scars. Note striae on trochanteric areas due to systemic glucocorticoid therapy.

Figure 14-31. Dermatomyositis Calcinosis over the iliac crest. There are stone hard nodules, two of which have ulcerated and reveal a chalk white mass at the base. Upon squeezing, they will exude white paste.


Figure 14-34. Acute SLE (A) Red-to-violaceous, well-demarcated papules and plaques on the dorsa of the fingers and hands, characteristically sparing the skin overlying the joints. This is an important differential diagnostic sign when considering dermatomyositis, which characteristically involves the skin over the joints (compare with Fig. 14-29B). (B) Palmar erythema mainly on the fingertips. This is pathognomonic.
Muscle. ± Muscle tenderness, ±muscle atrophy. Progressive muscle weakness affecting proximal/limb girdle muscles.
Occasional involvement of facial/bulbar, pharyngeal, and esophageal muscles. Deep tendon reflexes within normal limits.
Other Organs. Interstitial pneumonitis, cardiomyopathy arthritis, particularly in juvenile DM (20–65%).
Disease Association. Patients >50 years of age with DM have a higher than expected risk for malignancy, particularly ovarian cancer in females. Also carcinoma of the breast, broncho-pulmonary, and GI tract.
Laboratory Examinations
Chemistry. Elevation of creatine phosphokinase (65%), aldolase (40%), lactate dehydrogenase, glutamic oxaloacetic transaminase.
Autoantibodies. Autoantibodies to 155 kDa and/or Se in 80% to 140 kDa in 58% and to Jo-1 in 20% and to (low specificity) antinuclear antibodies (ANA) in 40%.
Urine. Elevated 24-h creatine excretion (>200 mg/24 h).
Electromyography. Increased irritability on insertion of electrodes, spontaneous fibrillations, pseudomyotonic discharges, positive sharp waves.
MRI. MRI of muscles reveals focal lesions.
ECG. Evidence of myocarditis; atrial, ventricular irritability; atrioventricular block.
X-Ray. Chest: ± interstitial fibrosis. Esophagus: reduced peristalsis.
Pathology. Skin. Flattening of epidermis, hydropic degeneration of basal cell layer, edema of upper dermis, scattered inflammatory infiltrate, PAS-positive fibrinoid deposits at dermalepidermal junction, accumulation of acid mucopolysaccharides in dermis (all these are compatible with DM but are not diagnostic).
Muscle. Biopsy shoulder/pelvic girdle; one that is weak or tender. Histology—segmental necrosis within muscle fibers with loss of cross striations; myositis. Vasculitis is seen in juvenile DM.
Diagnosis and Differential Diagnosis
Skin signs plus proximal muscle weakness with two of three laboratory criteria, i.e., elevated serum “muscle enzyme” levels, characteristic electromyographic changes, diagnostic muscle biopsy. Differential diagnosis is to lupus erythematosus, mixed connective tissue disease, steroid myopathy, trichinosis, toxoplasmosis.
Course and Prognosis
Prognosis guarded but with treatment, it is relatively good except in patients with malignancy and those with pulmonary involvement. With aggressive immunosuppressive treatment, the 8-year survival rate is 70–80%. A better prognosis is seen in individuals who receive early systemic treatment. The most common causes of death are malignancy, infection, cardiac, and pulmonary disease. Successful treatment of an associated neoplasm is often followed by improvement/resolution of DM.
Management
Prednisone. 0.5–1 mg/kg body weight per day. Taper when “muscle enzyme” levels approach normal. Best if combined with azathioprine, 2–3 mg/kg per day. Note: Steroid myopathy may occur after 4–6 weeks of therapy.
Alternatives. Methotrexate, cyclophosphamide, cyclosporine, anti-tumor necrosis factor (TNF) α agents. High-dose IV immunoglobulin bolus therapy (2 g/kg body weight given over 2 days) at monthly intervals spares glucocorticoid doses to achieve or maintain remissions.
Lupus Erythematosus (LE)
ICD-9: 695.4
ICD-10:L93 ![]()
LE is the designation of a spectrum of disease patterns that are linked by distinct clinical findings and distinct patterns of cellular and humoral autoimmunity.
LE occurs more commonly in women (male to female ratio 1:9).
LE ranges from life-threatening manifestations of acute systemic LE (SLE) to the limited and exclusive skin involvement in chronic cutaneous LE (CCLE) (Fig. 14-32). More than 85% of patients with LE have skin lesions, which can be classified into LE specific and nonspecific.
An abbreviated version of Gilliam classification of LE-specific skin lesions is given in Table 14-3.
Acute cutaneous LE (ACLE) is practically always associated with SLE, subacute cutaneous LE (SCLE) in about 50%, and CCLE most often has only skin disease. However, CCLE lesions can occur in SLE.
ACLE and SCLE are highly photosensitive.

Figure 14-32. The spectrum of lupus erythematosus, as envisaged by the late Dr. James N. Gilliam. The left comprises conditions that define cutaneous disease only and it can be seen that chronic cutaneous lupus extends into the systemic disease section. This is also true for lupus profundus (lupus panniculitis) and subacute cutaneous lupus, whereas acute cutaneous lupus is characteristic for systemic disease only. The bottom shows that immune complex disease dominates systemic disease and cell-mediated immunity (CMI) is predominant in the cutaneous disease manifestations.

Figure 14-33. Acute systemic lupus erythematosus Bright red, sharply defined erythema with slight edema and minimal scaling in a “butterfly pattern” on the face. This is the typical “malar rash.” Note also that the patient is female and young.
TABLE 14-3 ABBREVIATED GILLIAM CLASSIFICATION OF SKIN LESIONS OF LE

Systemic Lupus Erythematosus
ICD-9: 710.0
ICD-10:L93 ![]()
This serious multisystem autoimmune disease is based on polyclonal B cell immunity, which involves connective tissue and blood vessels.
More common in persons with black African heritage; male to female ratio 1:9.
The clinical manifestations include fever (90%), skin lesions (85%), arthritis, CNS, renal, cardiac, and pulmonary disease.
Skin lesions are those of ACLE and SCLE; not uncommonly of CCLE.
SLE may uncommonly develop in patients with CCLE; on the other hand, lesions of CCLE are common in SLE (Fig. 14-32).
Epidemiology
Prevalence. Ranges from 40 cases/100,000 northern Europeans to more than 200/100,000 among blacks.
Age of Onset. 30 (females), 40 (males).
Sex. Male:female ratio 1:9.
Race. More common in blacks.
Precipitating Factors. Family history (<5%); sunlight (UVR) is the most effective precipitating factor (occurs in 36%). An SLE syndrome can be induced by drugs (hydralazine, certain anticonvulsants, and procainamide), but rash is a relatively uncommon feature of drug-induced SLE.
Clinical Manifestation
Lesions present for weeks (acute), months (chronic). Pruritus, burning of skin lesions. Fatigue (100%), fever (100%), weight loss, and malaise. Arthralgia or arthritis, abdominal pain, CNS symptoms.
Skin Lesions. Comprise ACLE lesions (Table 14-3) in the acute phases of the disease and SCLE and CCLE lesions. ACLE lesions occur only in acute or subacute SLE; SCLE and CCLE lesions are present in subacute and chronic SLE but may also occur in acute SLE. ACLE lesions are typically precipitated by sunlight.
ACLE. Butterfly Rash Erythematous, confluent, macular butterfly eruption on the face (Fig. 14-33), sharply defined with fine scaling; erosions (acute flares) and crusts.
Generalized. Erythematous, discrete, papular, or urticarial lesions on the face, on the dorsa of hands (Fig. 14-34A), arms, and V of the neck.
Others. Bullae, often hemorrhagic (acute flares). Papules and scaly plaques as in SCLE (see Fig. 14-36) and discoid plaques as in CCLE (see Fig. 14-37), predominantly on the face and on the arms and scalp. Erythematous, sometimes violaceous, slightly scaling, densely set and confluent papules on the dorsa of the finger, usually with sparing of the articular regions (Fig. 14-34A). Note difference to DM (Fig. 14-29B). Palmar erythema, mostly on fingertips (Fig. 14-34B), nailfold telangiectasias, microthrombi, erythema, edema of the periungual skin, (see Section 34). “Palpable” purpura (vasculitis), lower extremities (see Fig. 14-57). Urticarial lesions with purpura (urticarial vasculitis) (see Fig. 14-63).
Hair. Diffuse alopecia or discoid lesions associated with patchy alopecia (see Fig. 14-39; see Section 33).
Mucous Membranes. Ulcers arising in purpuric necrotic lesions on palate (80%), buccal mucosa, or gums (see Section 33).
Sites of Predilection (Fig. 14-35). Localized or generalized, preferentially in light-exposed sites. Face (80%); scalp (Fig. 14-39) (discoid lesions); presternal, shoulders; dorsa of the forearms, hands, fingers, fingertips (Fig. 14-34B).

Figure 14-35. Predilection sites of cutaneous lupus erythematosus.
Extracutaneous Multisystem Involvement. Arthralgia or arthritis (80%), renal disease (50%), pericarditis (20%), pneumonitis (20%), gastrointestinal (due to arteritis and sterile peritonitis), hepatomegaly (30%), myopathy (30%), splenomegaly (20%), lymphadenopathy (50%), peripheral neuropathy (14%), CNS disease (10%), seizures or organic brain disease (14%).
Laboratory Examinations
Pathology. Skin. Atrophy of epidermis, liquefaction degeneration of the dermal–epidermal junction, edema of the dermis, dermal lymphocytic infiltrate, and fibrinoid degeneration of the connective tissue and walls of the blood vessels.
Immunofluorescence of Skin. The lupus band test (LBT, direct immunofluorescence) shows granular or globular deposits of IgG, IgM, C3 in a band-like pattern along the dermal–epidermal junction. Positive in lesional skin in 90% and in the clinically normal skin (sun exposed, 70–80%; non–sun exposed, 50%).
Serology. ANA positive (>95%); peripheral pattern of nuclear fluorescence. Anti–double-strand DNA antibodies, anti-Sm antibodies, and rRNP antibodies specific for SLE; low levels of complement (especially with renal involvement). Anticardiolipin autoantibodies (lupus anticoagulant) in a specific subset (anti-cardiolipin syndrome); SS-A(Ro) autoantibodies have a low specificity for SLE but are specific in the subset of SCLE (see below) (Table 14-4).
TABLE 14-4 PATHOGENIC AUTOANTIBODIES IN SYSTEMIC LUPUS ERYTHEMATOSUS

Hematology. Anemia [normocytic, normochromic, or, rarely, hemolytic Coombs-positive, leukopenia (>4000/μL)], lymphopenia, thrombocytopenia, elevated ESR.
Urinalysis. Persistent proteinuria, casts.
Diagnosis
Made on the basis of clinical findings, histopathology, LBT, and serology within the framework of the revised American Rheumatism Association (ARA) criteria for classification of SLE (Table 14-5).
TABLE 14-5 1982 REVISED ARA CRITERIA FOR CLASSIFICATION OF SYSTEMIC LUPUS ERYTHEMATOSUS*

Prognosis
Five-year survival is 93%.
Management
General Measures. Rest, avoidance of sun exposure.
Indications for Prednisone (60 mg/d in divided doses): (1) CNS involvement, (2) renal involvement, (3) severely ill patients without CNS involvement, (4) hemolytic crisis, and (5) thrombocytopenia.
Concomitant Immunosuppressive Drugs. Azathioprine, mycophenolate mofetil, methotrexate, cyclophosphamide, depending on organ involvement and activity of disease. In renal disease, cyclophosphamide IV bolus therapy.
Antimalarials. Hydroxychloroquine is useful for treatment of the skin lesions in subacute and chronic SLE but does not reduce the need for prednisone. Observe precautions in the use of hydroxychloroquine. Alternative: chloroquine, quinacrine.
Investigational. Anti-TNF agents: efalizumab, rituximab, leflunomide, anti-interferon-α agents, belimumab.
Subacute Cutaneous Lupus Erythematosus (SCLE)
ICD-9: 695.4
ICD-10:L93.1 ![]()
About 10% of the LE population.
Young and middle age, uncommon in blacks or Hispanics. Females > males.
Precipitating factors: Sunlight exposure.
Rather sudden onset with annular or psoriasiform plaques erupting mainly on the upper trunk, arms, dorsa of the hands, usually after exposure to sunlight; mild fatigue, malaise; some arthralgia, fever of unknown origin.
Two types of skin lesions: (1) Psoriasiform papulosquamous, sharply defined, with slight delicate scaling, evolving into bright red confluent plaques that are oval, arciform, or polycyclic, just as in psoriasis and (2) annular, bright red annular lesions with central regression and little scaling (Fig. 14-36). In both, there may be telangiectasia, but there is no follicular plugging and less induration than in CCLE. Lesions resolve with slight atrophy (no scarring) and hypopigmentation. Periungual telangiectasia, diffuse nonscarring alopecia.

Figure 14-36. Subacute cutaneous lupus erythematosus Round, oval, and annular red plaques on the forehead, cheeks, neck, and upper trunk that show, but minimal, scaling in a 56-year-old woman. The eruption occurred after solar exposure. This is the annular type of SCLE.
Distribution: Scattered, disseminated in light-exposed areas—shoulders, extensor surface of the arms, dorsal surface of the hands, upper back, V-neck area of the upper chest.
Patients have some criteria of SLE, including photosensitivity, arthralgias, serositis, renal disease; 50% have SLE; LBT positive in 60%. All have anti-Ro (SS-A) and most have anti-La (SS-B) autoantibodies.
UV testing: lower than normal UVB minimal erythema dose (see Section 10). Lesions may develop in test sites.
Better prognosis than for SLE in general but some with renal disease have guardes prognosis. Women with Ro- (SS-A) positive SCLE may give birth to babies with neonatal lupus and congenital heart block.
Management: topical glucocorticosteroids, pimecrolimus, and tacrolimus only partially helpful for skin lesions. Systemic thalidomide (100–300 mg/d) very effective for skin lesions but not for systemic disease. Hydroxychloroquine 400 mg/d, quinacrine hydrochloride 100 mg/d. In systemic involvement prednisone ± immunosuppressants.
Chronic Cutaneous Lupus Erythematosus (CCLE)
ICD-9: 695.4
ICD-10:L93.0 ![]()
Age of Onset: 20–45 years. Females > males. Possible more severe in blacks.
This disorder, in most cases, is purely cutaneous without systemic involvement (Fig. 14-32). However, CCLE lesions occur in SLE.
Can be precipitated by sunlight but to a lesser extent than ACLE or SCLE. Lesions last for months to years. Usually no symptoms, sometimes slightly pruritic or smarting. No general symptoms.
CCLE may manifest as chronic discoid LE (CDLE) or LE panniculitis (see Table 14-3).
CDLE lesions start as bright red papules evolving into plaques, sharply marginated, with adherent scaling (Fig. 14-37). Scales are difficult to remove and show spines on the undersurface (magnifying lens) resembling carpet tacks. Plaques are round or oval, annular or polycyclic, with irregular borders and expand in the periphery and regress in the center, resulting in atrophy, and scarring (Fig. 14-38). “Burned out” lesions may be pink or white macules and scars (Fig. 14-39), but may also be hyperpigmented, especially in persons with brown or black skin (Fig. 14-40).

Figure 14-37. Chronic cutaneous lupus erythematosus Well-demarcated, erythematous, hyperkeratotic plaques with atrophy, follicular plugging, and adherent scale on both cheeks. This is the classic presentation of chronic discoid LE.

Figure 14-38. Chronic cutaneous lupus erythematosus: scarring There are multiple scarred lesions that are white and depressed and at their margins have active erythematous and scaly lesions. This can be quite disfiguring.

Figure 14-39. Chronic cutaneous lupus erythematosus Involvement of the scalp has led to complete hair loss with residual erythema, atrophy, and white scarring in this black male. Sharp demarcation of the lesions in the periphery indicates that these lesions originally were CDLE plaques.

Figure 14-40. Chronic cutaneous lupus erythematosus: hyperpigmentation As inflammatory lesions resolve, there may be hyperpigmentation of the atrophic and partially scarred lesional skin, particularly in SPT III and IV patients. Although the skin lesions were CCLE, the patient had SLE.
CDLE may be localized or generalized, occurring predominantly on the face and scalp; dorsa of forearms, hands, fingers, toes, and, less frequently, the trunk (Fig. 14-35).
Mucous Membranes: <5% of patients have lip involvement (hyperkeratosis, hypermelanotic scarring, erythema) and atrophic erythematous or whitish areas with or without ulceration on the buccal mucosa, tongue, and palate (see Section 33). Nail apparatus: Nail dystrophy if nail matrix is involved.
Dermatopathology: Hyperkeratosis, atrophy of the epidermis, follicular plugging, liquefaction degeneration of the basal cell layer lymphocytic inflammatory infiltrate. Strong PAS reaction of the subepidermal, thickened basement zone. LBT positive in 90% of active lesions and negative in burned-out (scarred) lesions and in the normal skin, both sun exposed and nonexposed. Low incidence of ANA with titers >1:16.
Differential diagnosis of CDLE: actinic keratosis, psoriasis, polymorphous light eruption, LP, tinea facialis, lupus vulgaris.
Only 1–5% may develop SLE; with localized lesions, complete remission occurs in 50%; with generalized lesions, remissions are less frequent (<10%). Note again: CCLE lesions may be the presenting cutaneous sign of SLE.
Management:
Local Glucocorticoids and Calcineurin Inhibitors: Usually not very effective; topical fluorinated glucocorticoids with caution because of atrophy. Intralesional triamcinolone acetonide, 3–5 mg/mL, for small lesions.
Antimalarials: Hydroxychloroquine, ≤6.5 mg/kg body weight per day. If hydroxychloroquine is ineffective, add quinacrine, 100 mg three times a day. Monitor for ocular side effects.
Retinoids: Hyperkeratotic CDLE lesions respond well to systemic acitretin (0.5 mg/kg body weight).
Thalidomide: 100–300 mg/d is effective. Observe contraindications.
Chronic Lupus Panniculitis ICD-9: 695,4
ICD-10: L93.270 ![]()
Chronic lupus panniculitis is a form of CCLE in which there are firm, circumscribed subcutaneous nodules or plate-like infiltrations. May precede or follow onset of CDLE lesions. CDLE lesions may also be absent.
Subcutaneous nodules occur both with and without CDLE lesions of overlying skin.
Lead to subcutaneous atrophy and scarring resulting in sunken areas (Fig. 14-41).

Figure 14-41. Lupus panniculitis Chronic panniculitis with atrophy of the subcutaneous tissue, resulting in large sunken areas of overlying skin, representing resolving lesions. Where erythema is still visible, palpation reveals firm subcutaneous nodules and plaques. Also, some lesions reveal scarring in the center.
Face, scalp, upper arms, trunk, thigh, buttocks.
Usually a form of cutaneous lupus, but 35% of patients have mild SLE (see Fig. 14-32).
Differential diagnosis: Morphea, erythema nodosum, sarcoidosis, other types of panniculitis.
Management: Antimalarials, thalidomide (beware of contraindications), systemic corticosteroids.
Synonym: Lupus erythematosus profundus.
Livedo Reticularis ICD-9: 446.20
ICD-10: L 95.0 ![]()
Livedo reticularis (LR) is a mottled bluish (livid) discoloration of the skin that occurs in a netlike pattern. It is not a diagnosis in itself but a reaction pattern.
Classification distinguishes between
Idiopathic livedo reticularis (ILR): a purple/livid discoloration of the skin in a netlike pattern disappearing after warming. A physiologic phenomenon. (Synonym: cutis marmorata.)
Secondary (symptomatic) livedo reticularis (SLR): a purple discoloration occurring in a starburst or lightning-like pattern, netlike but with open (not annular) meshes; mostly, but not always, confined to the lower extremities and buttocks (Fig. 14-42). A reaction pattern often indicative of serious systemic disease (Table 14-6). (Synonym: livedo racemosa.)
1

Figure 14-42. Symptomatic livedo reticularis A netlike, arborizing pattern on the posterior thighs and buttocks defined by violaceous, erythematous streaks resembling lightning. The skin within the erythematous areas is normally pale. This occurred in a patient with labile hypertension and multiple cerebrovascular attacks and was thus pathognomonic for Sneddon syndrome.
Sneddon syndrome (
) is a potentially life-threatening disease occurring more often in women than in men and manifesting in the skin as SLR (Fig. 14-42) and in the CNS as transient ischemic attacks and cerebrovascular insults. May be associated with livedoid vasculitis with ulcerations on ankles and acrally (see p. 424).
Management: no treatment necessary for ILR; for SLR, keep from chilling, pentoxifylline, low-dose aspirin, heparin.
TABLE 14-6 DISORDERS ASSOCIATED WITH SYMPTOMATIC LIVEDO RETICULARIS

Raynaud Phenomenon ICD-9: 443.0
ICD-10:173.0 ![]()
Raynaud phenomenon (RP) is digital ischemia that occurs on exposure to cold and/or as a result of emotional stress. May occur in persons using vibratory tools (chain sawers, meat cutters), typists, pianists.
Primary RP is a condition where no etiology is found; secondary RP is the designation for RP and underlying disease.
The various causes of secondary RP are listed in Table 14-7. Rheumatic disorders [systemic scleroderma (85%), SLE (35%), DM (30%), Sjögren syndrome, rheumatoid arthritis, polyarteritis nodosa], diseases with abnormal blood proteins (cryoproteins, cold agglutinins, macroglobulins), drugs (β-adrenergic blockers, nicotine), and arterial diseases (arteriosclerosis obliterans, thromboangiitis obliterans) are the most common.
The Episodic Attack: There is blanching or cyanosis of the fingers or toes, extending from the tip to various levels of the digits. The finger distal to the line of ischemia is white and/or blue and cold (Fig. 14-43); the proximal skin is pink and warm. When the digits are rewarmed, the blanching may be replaced by cyanosis because of slow blood flow; at the end of the attack, the normal color or a red color reflects the reactive hyperemic phase.

Figure 14-43. Raynaud phenomenon The hand exhibits a distal cyanosis; it is seen especially well in the nailbeds; proximally the skin is white due to vasospasm. Episodes such as this one may occur after contact with cold water.
Repeated or Persistent Vascular Vasospasm: Patients with RP often have a persistent vasospasm rather than episodic attacks. Skin changes include trophic changes with development of taut, atrophic skin, pterygium, clubbing and shortening of the terminal phalanges, sclerodactyly like in limited systemic scleroderma (lSSc) (see Fig. 14-45). Acral gangrene is rare in RD (<1%), but common in RP associated with scleroderma, painful ulcers. Sequestration of the terminal phalanges or the development of gangrene (Fig. 14-44) may lead to autoamputation of the fingertips.

Figure 14-44. Raynaud phenomenon: acral gangrene Persistent vasospasm of medium-sized arterioles can sometimes lead to gangrene of the terminal digits as illustrated in this patient with scleroderma.
Rule out scleroderma and other conditions (Table 14-7).
Therapy: calcium channel blockers, anti-adrenergic drugs, IV prostacyclin, bosentan (an endothelin receptor antagonist), local botox injections.
TABLE 14-7 CAUSES OR DISORDERS ASSOCIATED WITH SECONDARY RAYNAUD PHENOMENON*
Scleroderma ICD-9: 710.1
ICD-10: M34 ![]()
Scleroderma is a not so rare multisystem disorder characterized by inflammatory, vascular, and sclerotic changes of the skin and various internal organs, especially the lungs, heart, and GI tract.
Limited systemic scleroderma (lSSc) (60%) and diffuse systemic scleroderma (dSSc) are recognized.
Clinical features always present are skin sclerosis and Raynaud phenomenon.
Considerable morbidity; high mortality of dSSc.
Synonyms: Progressive systemic sclerosis, systemic sclerosis, systemic scleroderma.
Epidemiology
Prevalence. 20 per million of US population.
Age of Onset. 30–50 years.
Sex. Female:male ratio, 4:1.
Classification
Systemic scleroderma can be divided into two subsets: lSSc and dSSc. lSSc patients comprise 60%; patients are usually female; older than those with dSSc; and have a long history of Raynaud phenomenon with skin involvement limited to hands, feet, face, and forearms (acrosclerosis) and a high incidence of anticentromeric antibodies. lSSc includes the CREST syndrome, and systemic involvement may not appear for years; patients usually die of other causes. dSSc patients have a relatively rapid onset and diffuse involvement, not only of hands and feet but also of the trunk and face, synovitis, tendosynovitis, and early onset of internal involvement. Anticentromere antibodies are uncommon, but Scl-70 (antitopoisomerase I) antibodies are present in 33%.
Etiology and Pathogenesis
Unknown. Primary event might be endothelial cell injury in blood vessels. Edema occurs, followed by fibrosis; cutaneous capillaries are reduced in number; remainder dilate and proliferate, becoming visible telangiectasia.
Clinical Manifestation
Raynaud phenomenon (see p. 345) with digital pain, coldness. Pain/stiffness of fingers, knees. Migratory polyarthritis. Heartburn, dysphagia, especially with solid foods. Constipation, diarrhea, abdominal bloating, malabsorption, weight loss. Exertional dyspnea, dry cough.
Skin. Hands/Feet. Early: Raynaud phenomenon with triphasic color changes, i.e., pallor, cyanosis, rubor (Fig. 14-45B, see also Fig. 14-43). Precedes sclerosis by months and years. Nonpitting edema of hands/feet. Painful ulcerations at fingertips (“rat bite necrosis”) (Fig. 14-46A), knuckles; heal with pitted scars. Late: sclerodactyly with tapering of fingers (Madonna fingers) (Fig. 14-45A) with waxy, shiny, hardened skin, which is tightly bound down and does not permit folding or wrinkling; leathery crepitation over joints, flexion contractures; periungual telangiectasia, nails grow clawlike over shortened distal phalanges (Fig. 14-45B). Bony resorption and ulceration results in loss of distal phalanges. Loss of sweat glands with anhidrosis; thinning and complete loss of hair on distal extremities.

Figure 14-45. Scleroderma (lSSc): acrosclerosis (A) Hands and fingers are edematous (nonpitting); skin is without skin folds and bound down. Distal fingers are tapered (Madonna fingers) (B) Fingers show both bluish erythema and vasoconstriction (blue and white): Raynaud phenomenon. Fingers are edematous, the skin is bound down. Distal phalanges (index and third finger) are shortened, which is associated with bony resorption.

Figure 14-46. Scleroderma (lSSc): acrosclerosis (A) Typical “rat bite” necroses and ulcerations of fingertips. (B) Thinning of lips—microstomia (which would show better when patient attempts to open her mouth), radial perioral furrowing. Beaklike sharp nose.
Face. Early: periorbital edema. Late: edema and fibrosis result in loss of normal facial lines, mask-like (patients look younger than they are) (Fig. 14-47), thinning of lips, microstomia, radial perioral furrowing (Fig. 14-46B), beaklike sharp nose. Telangiectasia (Fig. 14-48) and diffuse hyperpigmentation.

Figure 14-47. Scleroderma (dSSc) Mask-like facies with stretched, shiny skin and loss of normal facial lines giving a younger appearance than actual age; the hair is dyed. Thinning of the lips and perioral sclerosis result in a small mouth. Sclerosis (whitish, glistening areas) and multiple telangiectases (not visible at this magnification) are also present.

Figure 14-48. Scleroderma: CREST syndrome Numerous macular or matlike telangiectases on the forehead. Complete features include calcinosis cutis, Raynaud phenomenon, esophageal dysmotility, sclerosis, and telangiectasia.
Trunk. In dSSc, the chest and proximal upper and lower extremities are involved early. Tense, stiff, and waxy appearing skin that cannot be folded. Impairment of respiratory movement of chest wall and of joint mobility.
Other Changes. Cutaneous Calcification. Occurs on fingertips or over bony prominences or any sclerodermatous site; may ulcerate and exude white paste.
Color Changes. Hyperpigmentation that may be generalized and on the extremities may be accompanied by perifollicular hypopigmentation.
Mucous Membranes. Sclerosis of sublingual ligament; uncommonly, painful induration of gums, tongue.
Distribution of Lesions. Early: in lSSc, early involvement is seen on fingers, hands, and face, and in many patients scleroderma remains confined to these regions. Late: the distal upper and lower extremities may be involved and occasionally the trunk. In dSSc, sclerosis of the extremities and the trunk may start soon or soon after or concomitant with acral involvement.
Clinical Variant. CREST syndrome, i.e., calcinosis cutis + Raynaud phenomenon + esophageal dysfunction + sclerodactyly + telangiectasia. Macular, mat-like telangiectasia, especially the face (Fig. 14-48), upper trunk, and hands; also in the entire GI tract. Calcinosis over bony prominences, fingertips, elbows, and trochanteric regions (similar to DM, see Fig. 14-31).
General Examination
Esophagus. Dysphagia, diminished peristalsis, reflux esophagitis.
Gastrointestinal System. Small intestine involvement may produce constipation, diarrhea, bloating, and malabsorption.
Lung. Pulmonary fibrosis and alveolitis. Reduction in pulmonary function due to restricted movement of chest wall.
Heart. Cardiac conduction defects, heart failure, pericarditis.
Kidney. Renal involvement in 45%. Slowly progressive uremia, malignant hypertension.
Musculoskeletal System. Carpal tunnel syndrome. Muscle weakness.
Laboratory Examinations
Dermatopathology. Early: mild cellular infiltrate around dermal blood vessels, eccrine coils, and at the dermal subcutaneous interphase. Late: broadening and homogenization of collagen bundles, obliteration and decrease of interbundle spaces, thickening of dermis with replacement of upper or total subcutaneous fat by hyalinized collagen. Paucity of blood vessels, thickening/hyalinization of vessel walls.
Autoantibodies. Patients with dSSc have circulating ANA. Autoantibodies react with centromere proteins or DNA topoisomerase I; fewer patients have antinuclear antibodies. Anticentromeric autoantibodies occur in 21% of dSSc and 71% of CREST patients, DNA topoisomerase I (Scl-70) antibodies in 33% of dSSc and 18% of CREST patients.
Diagnosis and Differential Diagnosis
Clinical findings confirmed by dermatopathology.
Differential Diagnosis. Diffuse sclerosis: mixed connective tissue disease, eosinophilic fasciitis, scleromyxedema, morphea, porphyria cutanea tarda, chronic GVHD, lichen sclerosus et atrophicus, polyvinyl chloride exposure, adverse drug reaction (pentazocine, bleomycin). Gadolinium and nephrogenic systemic fibrosis (see Section 18).
Course and Prognosis
Course of dSSc is characterized by slow, relentless progression of skin and/or visceral sclerosis; the 10-year survival rate is >50%. Renal disease is the leading cause of death, followed by cardiac and pulmonary involvement. Spontaneous remissions do occur. lSSc, including the CREST syndrome, progresses more slowly and has a more favorable prognosis; some cases do not develop visceral involvement.
Management
Systemic glucocorticoids may be of benefit for limited periods early in the disease. All other systemic treatments (EDTA, aminocaproic acid, D-penicillamine, para-aminobenzoate, colchicine) have not been shown to be of lasting benefit. Immunosuppressive drugs (cyclo-sporine, methotrexate, cyclophosphamide, mycophenolate mofetil) have shown improvement of skin score but only limited benefit for systemic involvement. Photopheresis: improvement in one-third of patients. Immunoablation/stem cell transplantation and oral tolerization to type I collagen: ongoing studies.
Scleroderma-Like Conditions ![]()
A dSSc-like condition occurs in persons exposed to polyvinyl chloride.
Bleomycin also produces pulmonary fibrosis and Raynaud phenomenon but not skin sclerosis.
Cutaneous changes indistinguishable from dSSc-like sclerosis of skin, accompanied by myalgia, pneumonitis, myocarditis, neuropathy, and encephalopathy, are related to the ingestion of certain lots of L-tryptophan (eosinophilia-myalgia syndrome).
The toxic oil syndrome that occurred in an epidemic in Spain in 1981 affecting 25,000 people was due to the consumption of denatured rapeseed oil. After an acute phase, with rash, fever, pneumonitis, and myalgia, the syndrome progressed to a condition with neuromuscular abnormalities and scleroderma-like skin lesions.
Scleromyxedema and scleredema of Buschke (see p. 381) are very rare, separate entities with guarded prognosis.
lSSc-like sclerosis also occurs in porphyria cutanea tarda (see Section 10) and GVHD (see Section 22).
Morphea ICD-9: 701.0
ICD-10: L94.0 ![]()
A localized and circumscribed cutaneous sclerosis characterized by early violaceous, later ivory-colored, hardened skin.
May be solitary, linear, generalized, and, rarely, accompanied by atrophy of underlying structures.
It is unrelated to systemic scleroderma.
Synonyms: Localized scleroderma, circumscribed scleroderma.
Epidemiology and Etiology
Incidence. Rare between the ages of 20 and 50; in linear morphea, earlier. Pansclerotic morphea, a disabling disorder, usually starts before age 14.
Sex. Women are affected about three times as often as men, including children. Linear scleroderma is the same in males and females.
Etiology. Unknown. At least some patients (predominantly in Europe) with classic morphea have sclerosis due to Borrelia burgdorferi infection. Morphea has been noted after X-irradiation for breast cancer. Morphea is not related to systemic scleroderma.
Classification of Various Types of Morphea
• Circumscribed: plaques or bands.
• Macular: small, confluent patches.
• Linear scleroderma: upper or lower extremity.
• Frontoparietal (en coup de sabre).
• Generalized morphea.
• Pansclerotic: involvement of dermis, fat, fascia, muscle, bone.
Clinical Manifestation
Symptoms. Usually none. No history of Raynaud phenomenon. Linear and pansclerotic morphea can result in major facial or limb asymmetry, flexion contractures, and disability. Can cause severe disfigurement.
Skin Findings. Plaques—circumscribed, indurated, hard, but poorly defined areas of skin; 2–15 cm in diameter, round or oval, often better felt than seen. Initially, purplish or mauve. In time, surface becomes smooth and shiny after months to years, ivory with lilac-colored edge “lilac ring” (Fig. 14-49). May have hyper- and hypopigmentation in involved sclerotic areas (Fig. 14-50). Rarely, lesions become atrophic and hyperpigmented without going through a sclerotic stage (atrophoderma of Pasini and Pierini) (see Fig. 14-53B).

Figure 14-49. Morphea This is an indurated ivory-colored, shiny plaque with a lilac-colored, ill-defined border (arrows). Most lesions are better felt than seen because they are indurated.

Figure 14-50. Morphea Irregular brownish, indurated lesions with focal ivory-colored macular lesions on the left hip. Similar lesions were also found on the chest and on the back. Linear: Usually on extremity (Fig. 14-51) or frontoparietal—scalp and face (Fig. 14-52); here, it may resemble a scar from a strike with a saber (en coup de sabre).

Figure 14-51. Linear Morphea Indurated, ivory-white lesion extending from upper thigh to the dorsum of the foot. Induration is pronounced, and in the region above the knee it extends to the fascia (pansclerotic morphea). If progressive, it will limit the movement of the joint.

Figure 14-52. Linear morphea, “en coup de sabre” Two linear, partially ivory-white (on the scalp) and hyper-pigmented (on the forehead) depressed lesions extending from the crown of the head, where they have led to alopecia, over the forehead to the orbita. They look like scars after strikes with a saber, hence the French designation. These lesions can extend to the bone and rarely to the dura mater.
Macular: Small (<3 mm) macular patches, confluent (Fig. 14-53A); clinically indistinguishable from lichen sclerosus et atrophicus (see p. 355). Atrophic: Atrophoderma of Pasini and Pierini (Fig. 14-53B).

Figure 14-53. Macular form of morphea (A) There are multiple, shining, ivory-white macules with confluence leading to a reticulated pattern. These lesions are rather superficial and therefore less indurated. An important differential diagnosis is lichen sclerosus et atrophicus. (B) Atrophic, hyperpigmented form of morphea (called atrophoderma of Pasini and Pierini). There is a diffuse brown and sharply defined hyperpigmentation with a less pigmented follicular pattern. These lesions are atrophic and not indurated.
Pansclerotic: On trunk (Fig. 14-54) or extremities.

Figure 14-54. Pansclerotic morphea This type affects all layers of the skin including the fascia and even muscle. The skin is glistening, hyperpigmented, and hard as wood. It is obvious that pansclerotic morphea leads to considerable functional impairment. If these lesions occur on the upper trunk, they can impair excursion of the chest and thus breathing.
Mouth. With linear morphea of head, may have associated hemiatrophy of tongue.
Hair and Nails. Scarring alopecia with scalp plaque. Particularly with linear morphea of the head. Nail dystrophy in linear lesions of extremity or in pansclerotic morphea.
General Examination
Morphea around joints and linear morphea may lead to flexion contractures. Pansclerotic morphea is associated with atrophy and fibrosis of muscle. Extensive involvement of trunk may result in restricted respiration. With linear morphea of the head (Fig. 14-52), there may be associated atrophy of ocular structures and atrophy of bone. Note: morphea may be associated with lichen sclerosus et atrophicus.
Diagnosis and Differential Diagnosis
Clinical, confirmed by biopsy. Sclerotic plaque associated with B. burgdorferi infection, acrodermatitis chronica atrophicans, progressive systemic sclerosis, lichen sclerosus et atrophicus, scleroderma-like conditions (p. 351).
Laboratory Examinations
Serology. Appropriate serologic testing to rule out B. burgdorferi infection.
Dermatopathology. Epidermis appears normal to atrophic with loss of rete ridges. Dermis edematous with homogeneous and eosinophilic collagen. Slight infiltrate, perivascular or diffuse; lymphocytes, plasma cells, macrophages. Later, dermis thickened with few fibroblasts and dense collagen; inflammatory infiltrate at dermal–subcutis junction; dermal appendages disappear progressively. Histopathology distinct from that of lichen sclerosus et atrophicus.
Diagnosis
Clinical diagnosis, usually confirmed by skin biopsy.
Course
May be slowly progressive; “burn out” and spontaneous remissions can rarely occur.
Management
There is no effective treatment for morphea. Some report amelioration of early lesions with several 4-week cycles of prednisone (20 mg/d) interrupted by 2 months intervals of no treatment.
Morphea-Like Lesions Associated with Lyme Borreliosis. In patients with early involvement, there may be a reversal of sclerosis with high-dose parenteral penicillin or ceftriaxone; treatment given in several courses over a time span of several months. Best response if combined with oral glucocorticoids.
Phototherapy with UVA-1 (340–400 nm). Some what effective, but results in hyperpigmentation.
Lichen Sclerosus et Atrophicus (LSA) ICD-9: 701.0
ICD-10: L90.0 ![]()
LSA is a chronic atrophic disorder mainly of the anogenital skin of females but also of males and of the general skin.
A disease of adults, but also occurring in children 1–13 years of age. Females 10 times more often affected than males.
Whitish, ivory or porcelain-white, sharply demarcated, individual papules may become confluent, forming plaques (Fig. 14-55). Surface of lesions may be elevated or in the same plane as normal skin; older lesions may be depressed. Dilated pilosebaceous or sweat duct orifices filled with keratin plugs (dells); if plugging is marked, surface appears hyperkeratotic (Fig. 14-55).

Figure 14-55. Lichen sclerosus et atrophicus (A) Multiple, ivory-white, indurated, and slightly hyperkeratotic papules coalescing to a white plaque most of which, however, appear bright red due to pinpoint hemorrhages. Chest of a 42-year-old woman. (B) Widespread lichen sclerosus in a 50-year-old woman. The whitish plaques are very firm and make one think of morphea, but the intralesional hemorrhages are the typical sign of LSA. (C) Lichen sclerosus on the vulva of a 6-year-old girl. The labia minora and majora have fused, are white, sclerotic, and focally hyperkeratotic and there are pinpoint hemorrhages.
Bullae and erosions occur and purpura is often a characteristic and identifying feature (Fig. 14-55); telangiectasia.
Lesions occur on general skin or on the genitalia. On vulva, hyperkeratotic plaques may become erosive, macerated; vulva may become atrophic, shrunken, especially clitoris and labia minora, with vaginal introitus reduced in size (Fig. 14-55C, see also Section 36). Fusion of labia minora and majora.
In uncircumcised males, prepuce first shows ivory white confluent papules (see Section 36) but then becomes sclerotic and cannot be retracted (phimosis). Glans appears ivory or porcelain-white, semitransparent, resembling mother of pearl with admixed purpuric hemorrhages.
Nongenital LSA usually asymptomatic; genital symptomatic. In women, vulvar lesions may be sensitive, especially while walking; pruritus; painful, especially if erosions are present; dysuria; dyspareunia. In males, recurrent balanitis, acquired phimosis.
The histopathology is diagnostic with a dense lymphocytic infiltrate hugging the initially hypertrophic and later, atrophic epidermis and then sinking down into the dermis, being separated from the epidermis by an edematous, structureless subepidermal zone.
The etiology of LSA is unknown, but reports from Europe have documented an association of DNA of Borrelia spp. with LSA in cases from Germany and Japan; DNA of the spirochetes detected in these patients was not found in any of the American samples.
The course of LSA waxes and wanes. In girls, it may undergo spontaneous resolution; in women, it leads to atrophy of the vulva and in men to phimosis. Patients should be checked for the occurrence of squamous cell carcinoma of the vulva and penis.
Management is very important, as this disease can cause a devastating atrophy of the labia minora and clitoral hood. Potent topical glucocorticoid preparations (clobetasol propionate) have proved effective for genital LSA and should be used for 6–8 weeks only. Patients should be monitored for signs of glucocorticoid-induced atrophy. Pimecrolimus and tacrolimus are almost as effective. Topical androgens are less used now because they can sometimes cause a clitoral hypertrophy. Systemic therapy: hydroxychloroquine, 125–150 mg/d, for weeks to a few months (monitor for ocular side effects).
In males, circumcision relieves symptoms of phimosis and in some cases can result in remission.
Vasculitis
Vessels are involved in most inflammatory processes in the human body. Vasculitis denotes conditions where vessels are the target of inflammation. The vasculitides can best be classified according to the size of vessels involved (Fig. 14-56).

Figure 14-56. Classification scheme for the vasculitides HV, hypersensitivity vasculitis; HSP, Henoch–Schönlein purpura; GCA, giant cell arteritis. (Adopted with permission from Jennette JC et al. Nomenclature of systemic vasculitides. Proposal of an international consensus conference. Arthritis Rheum 37:187, 1994.)
Hypersensitivity Vasculitis
ICD-9: 446.20
ICD-10: M31.000 ![]()
Hypersensitivity vasculitis (HV) encompasses a heterogeneous group of vasculitides associated with hypersensitivity to antigens from infectious agents, drugs, or other exogenous or endogenous sources.
It is characterized pathologically by involvement of postcapillary venules and inflammation and fibrinoid necrosis (necrotizing vasculitis).
Clinically, skin involvement is characteristic, manifested by “palpable purpura.”
Systemic vascular involvement occurs, chiefly in the kidney, muscles, joints, GI tract, and peripheral nerves.
Henoch–Schönlein purpura is a type of HV associated with IgA deposits in the skin.
Synonyms: Allergic cutaneous vasculitis, necrotizing vasculitis.
Epidemiology and Etiology
Age of Onset. All ages.
Sex. Equal incidence in males and females.
Etiology. Idiopathic 50%.
Pathogenesis
A postulated mechanism for necrotizing vasculitis is the deposition in postcapillary venules of circulating immune complexes. Initial alterations in venular permeability, due to the release of vasoactive amines from platelets, basophils, and/or mast cells, facilitate the deposition of immune complexes and these may activate the complement system or may interact directly with Fc receptors on endothelial cell membranes. When the complement system is activated, the generation of anaphylatoxins C3a and C5a can degranulate mast cells. Also, C5a can attract neutrophils that release lysosomal enzymes during phagocytosis of complexes and subsequently damage vascular tissue.
Clinical Manifestation
A new drug taken during the few weeks before the onset of HV is a likely etiologic agent, as may be an infection, a known vascular/connective tissue disease, or paraproteinemia. Onset and course: acute (days, as in drug induced or idiopathic), subacute (weeks, especially urticarial types), chronic (recurrent over years). Symptoms are pruritus, burning pain; there may be no symptoms or there may be fever, malaise; symptoms of peripheral neuritis, abdominal pain (bowel ischemia), arthralgia, myalgia, kidney involvement (microhematuria), CNS involvement.
Skin Lesions. The hallmark is palpable purpura. This term describes palpable petechiae that present as bright red, well-demarcated macules and papules with a central, dot-like hemorrhage (Fig. 14-57) (petechiae due to coagulation defects or thrombocytopenia are strictly macular and, therefore, not palpable). Lesions are scattered, discrete or confluent, and are primarily localized to the lower legs and the ankles (Fig. 14-57A and B) but may spread to the buttocks and arms. Stasis aggravates or precipitates lesions. Purpuric lesions do not blanch (with a glass slide). Red initially, they turn purple and even black in the center (Fig. 14-57B). In the case of massive inflammation, purpuric papules convert to hemorrhagic blisters, become necrotic (Fig. 14-57B), and even ulcerate.

Figure 14-57. Hypersensitivity vasculitis (A) Cutaneous vasculitis presents clinically as “palpable purpura” on the lower extremities. Although appearing to the eye as macules, the lesions can be palpated, and this contrasts with petechiae, for instance, in thrombocytopenic purpura. The lesions shown here have central punctum that is a darker red and do not blanch with a glass slide, indicating hemorrhage. (B) This is a more advanced stage. Lesions have progressed to hemorrhagic bullae and some have become necrotic. The lesions may progress to ulceration.
Laboratory Examinations
Hematology. Rule out thrombocytopenic purpura.
ESR. Elevated.
Serology. Serum complement is reduced or normal in some patients, depending on associated disorders.
Urinalysis. RBC casts, albuminuria.
Others. Depending on underlying disease.
Dermatopathology Necrotizing Venulitis. Deposition of eosinophilic material (fibrinoid) in the walls of postcapillary venules in the upper dermis, and perivenular and intramural inflammatory infiltrate consisting predominantly of neutrophils. Extravasated RBC and fragmented neutrophils (“nuclear dust”). Frank necrosis of vessel walls. Intramural C3 and immunoglobulin deposition is seen with immunofluorescent techniques.
Diagnosis and Differential Diagnosis
Based on clinical appearance and histopathology.
Differential Diagnosis. Thrombocytopenic purpura, rash such as exanthematous drug eruption in setting of thrombocytopenia, disseminated intravascular coagulation (DIC) with purpura fulminans, septic vasculitis (rickettsial spotted fevers), septic emboli (infective endocarditis), bacteremia [disseminated gonococcal infection, meningococcemia (acute/chronic)], pigmented purpura, other noninfectious vasculitides.
Course and Prognosis
Depends on underlying disease. In the idiopathic variant, multiple episodes can occur over the course of years. Usually self-limited, but irreversible damage to kidneys can occur.
Management
Antibiotics. Antibiotics for patients in whom vasculitis follows bacterial infection.
Prednisone. For patients with moderate to severe disease.
Cytotoxic Immunosuppressives. Cyclophosphamide, azathioprine usually in combination with prednisone. Cyclosporine, intravenous high-dose immunoglobulin.
Henoch-Schönlein Purpura ICD-9: 287.0
ICD-10: 69.0 ![]()
This is a specific subtype of hypersensitivity vasculitis that occurs mainly in children but also affects adults.
There is a history of upper respiratory tract infection (75%), by group A streptococci.
The disorder consists of palpable purpura (as in Fig. 14-57) accompanied by bowel angina (diffuse abdominal pain that is worse after meals), bowel ischemia, usually including bloody diarrhea, kidney involvement (hematuria and red cell casts), and arthritis.
Histopathologically, there is necrotizing vasculitis and the immunoreactants deposited in skin are IgA.
Long-term morbidity may result from progressive renal disease (5%).
Polyarteritis Nodosa ICD-9: 446.0
ICD-10: M30.800 ![]()
Polyarteritis nodosa (PAN) is a multisystem, necrotizing vasculitis of small- and medium-sized muscular arteries with involvement of the renal and visceral arteries.
Microscopic polyangitis (MPA) may be different from PAN, but this is not proven and therefore included in this discussion.
Cutaneous PAN is a rare variant with symptomatic vasculitis limited to skin and at times peripheral nerves.
Necrotizing inflammation of small- and medium-sized muscular arteries; may spread circumferentially to involve adjacent veins. Lesions segmental, tend to involve bifurcations. About 30% of cases associated with hepatitis B and C antigenemia, i.e., immune complex formation.
Constitutional symptoms: fever, asthma, myalgia. Skin symptoms: pain, paresthesia.
Skin Lesions: Occur in 15% of cases. Subcutaneous inflammatory, bright red to bluish nodules (0.5–2 cm) that follow the course of involved arteries. Violaceous, become confluent to form painful subcutaneous plaques (Fig. 14-58A), and accompanied by livedo reticularis; “starburst” livedo is pathognomonic and marks a cluster of nodular lesions. Ulcers follow ischemia of nodules (Fig. 14-58B). Usually bilaterally on lower legs, thighs. Other areas: arms, trunk, head, neck, buttocks. Livedo reticularis may extend to trunk. Duration—days to months. Resolves with residual violaceous or postinflammatory hyperpigmentation. Skin lesions in systemic and cutaneous PAN are identical

Figure 14-58. Polyarteritis nodosa (A) Two dermal and subcutaneous nodules occurring on the pretibial aspects of the lower leg. (B) A starburst pattern can be seen in the supra- and retromalleolar region of the right leg in another patient. These lesions represent cutaneous infarction with ulceration.
Systems review:
Cardiovascular: Hypertension, congestive heart failure, pericarditis, conduction system defects, myocardial infarction.
Neurologic: Cerebrovascular accident. Peripheral nerves: mixed motor/sensory involvement with mononeuritis multiplex pattern.
Muscles: Diffuse myalgias (excluding shoulder and hip girdle), lower extremities.
GI System: Nausea, vomiting, abdominal pain, hemorrhage, infarction.
Eyes: Hypertensive changes, ocular vasculitis, retinal artery aneurysm, optic disc edema/atrophy.
Kidney: Renal failure, edema.
Testes: Pain and tenderness.
Dermatopathology: Polymorphonuclear neutrophils infiltrate all layers of muscular vessel wall and perivascular areas. Fibrinoid necrosis of vessel wall with compromise of lumen, thrombosis, infarction of tissues supplied by involved vessel, with or without hemorrhage.
CBC: Commonly neutrophilic leukocytosis; rarely, eosinophilia; anemia of chronic disease. ± Elevated ESR, serum creatinine, BUN.
Serology: Antineutrophil cytoplasmic autoantibodies (p-ANCA) in some cases. In 60% of MPA patients, hepatitis B surface antigenemia; in 30% of cases, hepatitis C.
Untreated, very high morbidity and mortality rates characterized by fulminant deterioration or by relentless progression associated with intermittent acute exacerbations. Death from renal failure, bowel infarction and perforation, cardiovascular complications, intractable hypertension. Cutaneous PAN: chronic relapsing benign course.
Management: Combined therapy: prednisone, 1 mg/kg body weight per day, and cyclophosphamide, 2 mg/kg per day.
Wegener Granulomatosis ICD-9: 446.4
ICD-10: M31.3 ![]()
Wegener granulomatosis (WG) is a systemic vasculitis, defined by a clinical triad of manifestations comprising involvement of the upper airways, lungs, and kidneys.
A pathologic triad consisting of necrotizing granulomas in the upper respiratory tract and lungs, vasculitis involving both arteries and veins, and glomerulitis.
Skin manifestations are those of hypersensitivity vasculitis, noduloulcerative lesions, and oral/nasal ulcerations. Overall in 50% of patients but in only 13% of patients at initial presentation. Ulcers with jagged, undermined borders most typical; resemble pyoderma gangrenosum (Fig. 14-59. Papules, vesicles, palpable purpura as in hypersensitivity (necrotizing) vasculitis (Fig. 14-60), subcutaneous nodules, plaques, noduloulcerative lesions as in PAN. Most common on lower extremities. Also, face, trunk, upper limbs.

Figure 14-59. Wegener granulomatosis A pyoderma gangrenosum-like irregular ulceration on the cheek with jagged and undermined borders is often the first manifestation of Wegener gramulomatosis.

Figure 14-60. Wegener granulomatosis Palpable purpura with hemorrhagic and necrotic lesions on the legs as in hypersensitivity vasculitis.

Figure 14-61. Wegener granulomatosis A large ulcer on the palate covered by a dense, adherent, necrotic mass; note accompanying edema of the upper lip. Similar lesions occur in the sinuses and tracheobronchial tree.
Mucous Membranes: Oral ulcerations (Fig. 14-60). Often first symptom. ± Nasal mucosal ulceration, crusting, blood clots; nasal septal perforation; saddle-nose deformity. Eustachian tube occlusion with serous otitis media; ± pain. External auditory canal: pain, erythema, swelling. Marked gingival hyperplasia.
Eyes: 65%. Mild conjunctivitis, episcleritis, scleritis, granulomatous sclerouveitis, ciliary vessel vasculitis, retroorbital mass lesion with proptosis.
Nervous System: Cranial neuritis, mononeuritis multiplex, cerebral vasculitis.
Renal Disease: 85%. Signs of renal failure in advanced WG.
Pulmonary: multiple, bilateral nodular infiltrates. Similar infiltrates in paranasal sinus, nasopharynx.
Chronic disease syndrome. Fever. Paranasal sinus pain, purulent or bloody nasal discharge. Cough, hemoptysis, dyspnea, chest discomfort.
Hematology: Mild anemia. Leukocytosis. ± Thrombocytosis.
ESR: Markedly elevated.
Chemistry: Impaired renal function.
Urinalysis: Proteinuria, hematuria, RBC casts.
Serology: Antineutrophil cytoplasmic autoantibodies (c-ANCA) are seromarkers for WG. A 29-kDa protease (PR-3) is the major antigen for c-ANCA; titers correlate with disease activity. Hypergammaglobulinemia, particularly IgA class.
Pathology: All involved tissues including skin—necrotizing vasculitis of small arteries/veins with intra- or extravascular granuloma formation. Kidneys: focal/segmental glomerulonephritis.
Untreated, usually fatal because of rapidly progressive renal failure. With combination cyclophosphamide plus prednisone therapy, long-term remission is achieved in 90% of cases.
Treatment of Choice: Cyclophosphamide plus prednisone. Rituximab: In refractory patients. Trimethoprim–Sulfamethoxazole: As adjunctive therapy and/or prevention of upper airway bacterial infections that promote disease flare.
Giant Cell Arteritis ICD-9: 446.5
ICD-10: M31.610 ![]()
Giant cell arteritis is a systemic granulomatous vasculitis of medium- and large-sized arteries, most notably the temporal artery and other branches of the carotid artery in elderly patients (Fig. 14-62).

Figure 14-62. Giant cell arteritis (A) This elderly male had excruciating headaches and progressive impairment of vision. Necrosis developed bilaterally on the scalp. (B) In this patient, the necrotic tissue has been shed, revealing the bare bone of the skull. Both patients survived with high dose prednisone and the ulcers healed.
Cutaneous manifestations: Superficial temporal arteries are swollen, prominent, tortuous, ± nodular thickenings. Tender. Initially, involved artery pulsates; later, occluded with loss of pulsation. ± Erythema of overlying skin. Gangrene, i.e., skin infarction of the area supplied by affected artery in the temporal/parietal scalp with sharp, irregular borders (Fig. 14-62A); ulceration with exposure of bone (Fig. 14-62B). Scars at sites of old ulcerations. Postinflammatory hyperpigmentation over involved artery.
Other symptoms: Chronic disease syndrome. Headache usually bilateral, scalp pain, fatigue, anemia, high ESR. Claudication of jaw/tongue while talking/chewing. Eye involvement: transient impairment of vision, ischemic optic neuritis, retrobulbar neuritis, persistent blindness. Systemic vasculitis: claudication of extremities, stroke, myocardial infarction, aortic aneurysms/dissections, visceral organ infarction. Polymyalgia rheumatica syndrome: stiffness, aching, pain in the muscles of the neck, shoulders, lower back, hips, thighs.
Temporal Artery Biopsy: Biopsy tender nodule of involved artery after Doppler flow examination. Lesions focal. Panarteritis with inflammatory mononuclear cell infiltrates within the vessel wall with frequent giant cell granuloma formation. Intimal proliferation with vascular occlusion, fragmentation of internal elastic lamina, extensive necrosis of intima and media.
Untreated, can result in blindness secondary to ischemic optic neuritis. Excellent response to glucocorticoid therapy. Remission after several years.
Management:
Prednisone: First-line therapy. Initially, 40–60 mg/d; taper when symptoms abate; continue 7.5–10 mg/d for 1–2 years.
Methotrexate: Low-dose (15–20 mg) methotrexate, once a week, has a considerable glucocorticoid-sparing effect.
Urticarial Vasculitis ICD-9: 709.1
ICD-10: M41-810 ![]()
Urticarial vasculitis is a multisystem disease characterized by cutaneous lesions resembling urticaria, except that wheals persist for >24 h. Urticaria like (i.e., edematous plaques and wheals), occasionally indurated, erythematous, circumscribed (Fig. 14-63); lesions may be associated with itching, burning, stinging sensation, pain, tenderness. occasionally with angioedema. Eruption occurs in transient crops, usually lasting >24 h and up to 3–4 days. They change shape slowly, often reveal purpura on blanching (glass slide), and resolve with a yellowish-green color and hyperpigmentation.

Figure 14-63. Urticarial vasculitis Erythematous plaques and wheals on the buttocks that, in part, do not blanch on diascopy (compression of the lesional skin with glass), which indicates hemorrhage. This contrasts with urticaria. Also, in contrast to lesions of urticaria, which usually resolve within 24 h, those of urticarial vasculitis persist for up to 3 days before resolving with residual hyperpigmentation (hemosiderin deposition). Lesions of urticaria change shape in a short time, while those of urticarial vasculitis change slowly.
Fever, arthralgia, elevated ESR. Other symptoms: Nausea, abdominal pain. Cough, dyspnea, chest pain, hemoptysis. Pseudotumor cerebri. Cold sensitivity. Renal involvement: diffuse glomerulonephritis.
The syndrome is often accompanied by various degrees of extracutaneous involvement. Extracutaneous manifestations: joints (70%), GI tract (20–30%), CNS (>10%), ocular system (>10%), kidneys (10–20%), lymphadenopathy (5%).
Thought to be an immune complex disease, similar to hypersensitivity vasculitis (see p. 357). May be symptom of SLE; in serum sickness, hepatitis B; idiopathic.
Laboratory: leukocytoclastic vasculitis; microhematuria, proteinuria (10%); hypocomplementemia (70%).
Most often this syndrome has a chronic (months to years) but benign course. Episodes recur over periods ranging from months to years. Renal disease recur over periods ranging from months to years. Renal disease occurs only in hypocomplementemic patients.
Management: H1 and H2 blockers [doxepin (10 mg twice daily to 25 mg three times daily) plus cimetidine (300 mg three times daily)/ranitidine (150 mg twice daily)] plus a nonsteroidal antiinflammatory agent [indomethacin (75–200 mg/d)/ibuprofen (1600–2400 mg/d)/naprosyn (500–1000 mg/d)]. Colchicine, 0.6 mg two or three times daily or dapsone, 50–150 mg/d. Prednisone; azathioprine, cyclophosphamide; plasmapheresis, TNF-α blockers.
Nodular Vasculitis ICD-9: 017.1
ICD-10: A18.4 ![]()
Nodular vasculitis is a form of lobular panniculitis associated with subcutaneous blood vessel vasculitis with subsequent ischemic changes that produce lipocyte injury, necrosis, inflammation, and granulation.
Synonyms are erythema induratum and Bazin disease, but these terms are now reserved for those cases of nodular vasculitis that are associated with Mycobacterium tuberculosis.
Middle aged to older women.
Etiology: Immune complex-mediated vascular injury due to bacterial antigens has been implicated. Immunoglobulins, complement, and bacterial antigens have been found by immunofluorescence and in some cases mycobacterial DNA sequences by polymerase chain reaction. Bacterial cultures are invariably negative.
Skin Lesions: Initially erythematous, tender, or asymptomatic subcutaneous nodules or plaques (Fig. 14-64) on the calves, rarely on shins and thighs. Lesions become bluish red in color, are firm, and fluctuate before ulcerating. Ulcers drain serous/oily fluid, are ragged, punched-out, and have violaceous or brown margins (Fig. 14-64), They persist for prolonged periods before healing with atrophic scars.

Figure 14-64. Nodular vasculitis Multiple, deep-seated, brown to bluish nodules, particularly on the posterior aspects of both lower legs. The lesions, which are relatively asymptomatic, may undergo necrosis forming slowly healing ulcers. Varicose veins are also seen on the right calf.
Associated Findings: Follicular perniosis, livedo, varicose veins, thick, stubby lower leg and a cool, edematous skin.
General Examination: Patients are usually healthy.
Dermatopathology: Tuberculoid granulomas, foreign-body giant cell reaction, and necrosis of fat lobules. Medium-sized vessel vasculitis, predominantly venular but sometimes arterial, in the septal areas.
Course: Chronic recurrent, scarring.
Management: Antituberculous therapy in those cases where M. tuberculosis etiology is proved. In other cases, bed rest, compression stockings, tetracyclines, and potassium iodide have proved effective. Systemic glucocorticoids are sometimes necessary for remission. In some cases, dapsone is effective.
Pigmented Purpuric Dermatoses (PPD)
ICD-9: 709.1
ICD-10: L81.7 ![]()
PPD are distinguished by their clinical characteristics, having identical dermatopathologic findings, and include:
Schamberg disease, also known as progressive pigmented purpuric dermatosis or progressive pigmentary purpura (Fig. 14-65A).

Figure 14-65. Pigmented purpuric dermatosis: (A) Schamberg disease Multiple discrete and confluent non-palpable, nonblanching purpuric lesions on the leg. Acute microhemorrhages resolve with deposition of hemosiderin, creating a brown peppered stain. (B) Majocchi disease Multiple nonpalpable, nonblanching purpuric lesions arranged in annular configurations. Note: disfiguring dark brown discoloration of old lesions.
Majocchi disease, also known as purpura annularis telangiectodes (Fig. 14-65B)
Gougerot-Blum disease, also known as pigmented purpuric lichenoid dermatitis or purpura pigmentosa chronica.
Lichen aureus, also known as lichen purpuricus.
Clinically, each entity shows recent pinpoint cayenne pepper–colored hemorrhages associated with older hemorrhages and hemosiderin deposition. Capillaritis histologically. Results in spotty hyperpigmentations.
PPD are significant only if they are a cosmetic concern to the patient; they are important because they are often mistaken as manifestations of vasculitis or thrombocytopenia.
Etiology: Unknown. Primary process believed to be cell-mediated immune injury with subsequent vascular damage and erythrocyte extravasation. Other etiologic factors: pressure, trauma, drugs (acetaminophen, ampicillin-carbromal, diuretics, meprobamate, nonsteroidal anti-inflammatory drugs, zomepirac sodium).
Onset and Duration: Insidious, slow to evolve except drug-induced variant, which may develop rapidly and be more generalized in distribution. Persists for months to years. Most drug-induced purpuras resolve more quickly after discontinuation of the drug. Usually asymptomatic but may be mildly pruritic.
Management: Topical low- and middle-potency glucocorticoid preparations may inhibit new purpuric lesions. Systemic tetracycline or minocycline (50 mg twice daily) are effective. PUVA is effective in severe forms. Supportive stockings required in all forms.
Kawasaki Disease ICD-9: 446.1
ICD-10: M30.3 ![]()
Kawasaki disease (KD) is an acute febrile illness of infants and children.
Characterized by cutaneous and mucosal erythema and edema with subsequent desquamation, cervical lymphadenitis.
Bilateral bulbar nonexudative conjunctival injection, inflammation of oropharynx.
Complications: coronary abnormalities, including aneurysms (30%), myocarditis, arthritis, urethritis, and aseptic meningitis.
Immediate treatment with intravenous immunoglobulin and aspirin reduces coronary aneurysms.
Synonym: Mucocutaneous lymph node syndrome.
*KD is not so common when there are epidemics.
Epidemiology and Etiology
Age of Onset. Peak incidence at 1 year, mean 2.6 years, uncommon after 8 years. Most cases of KD in adults probably represent toxic shock syndrome.
Sex. Male predominance, 1.5:1.
Race. In United States: Japanese > blacks > whites.
Etiology. Unknown.
Season. Winter and spring.
Geography. First reported in Japan, 1961; United States, 1971. Epidemics.
Pathogenesis
Generalized vasculitis. Endarteritis of vasa vasorum involves adventitia/intima of proximal coronary arteries with ectasia, aneurysm formation, vessel obstruction, and distal embolization with subsequent myocardial infarction. Other vessels: brachiocephalic, celiac, renal, iliofemoral arteries. Increased activated helper T cells and monocytes, elevated serum interleukin (IL) 1, TNF-α, IL-6, adrenomedullin and vascular endothelial growth factor, anti-endothelial antibodies, and increased cytokine-inducible activation antigens on the vascular endothelium occur in KD. T-cell response is driven by a superantigen.
Clinical Manifestation/Phases
Phase I: Acute Febrile Period. Abrupt onset of fever, lasting approximately 12 days, followed (usually within 1–3 days) by most of the other principal features. Constitutional symptoms of diarrhea, arthritis, photophobia.
Phase II: Subacute Phase. Lasts approximately until day 30 of illness; fever, thrombocytosis, desquamation, arthritis, arthralgia, carditis; highest risk for sudden death.
Phase III: Convalescent Period. Begins within 8–10 weeks after onset of illness when all signs of illness have disappeared and ends when ESR returns to normal; very low mortality rate during this period.
Skin Lesions
Phase I. Lesions appear 1–3 days after onset of fever. Duration, 12 days average. Nearly all mucocutaneous abnormalities occur during this phase.
Exanthem. Erythema usually first noted on palms/soles, spreading to involve trunk and extremities within 2 days. First lesions: erythematous macules; lesions enlarge and become more numerous. Type: urticaria-like lesions (most common); morbilliform pattern (common); scarlatiniform and EM like in <5% of cases. Confluent macules to plaque-type erythema on perineum, which persist after other findings have resolved. Edema of hands/feet: deeply erythematous to violaceous; brawny swelling with fusiform fingers (Fig. 14-66). Palpation: lesions may be tender.

Figure 14-66. Kawasaki disease Cherry-red lips with hemorrhagic fissures, in a little boy with prolonged high fever. This child also had a generalized morbilliform eruption, injected conjunctivae, and “strawberry” tongue (not shown). Note erythema and edema of fingertips.
Mucous Membranes. Bulbar conjunctival injection; noted 2 days after onset of fever; duration, 1–3 weeks (throughout the febrile course). Lips: red, dry, fissured (Fig. 14-66), hemorrhagic crusts; duration, 1–3 weeks. Oropharynx: diffuse erythema. Tongue: “strawberry” tongue (erythema and protuberance of papillae of tongue).
Cervical Lymphnodes. Lymphadenopathy (Fig. 14-67) tender, firm, >1.5 cm.

Figure 14-67. Kawasaki disease Lymphadenopathy. Visible cervical lymphadenopathy is seen in this child with Kawasaki disease. (Photo contributor Tomisaku Kawasaki, MD. Reused with permission from Knoop et al., The Atlas of Emergency Medicine, 3rd edition © 2010 McGraw-Hill, Inc.)
Phase II. Desquamation highly characteristic; follows resolution of exanthem (Fig. 14-68). Begins on tips of fingers and toes at junction of nails and skin; desquamating sheets of palmar/plantar epidermis are progressively shed.

Figure 14-68. Kawasaki disease Periungual desquamation. This finding typically begins 2–3 weeks after the onset of Kawasaki disease, in contrast to perineal desquamation that occurs during the early course of the disease in infants. (Photo contributor Tomisaku Kawasaki, MD. Reused with permission from Knoop et al., The Atlas of Emergency Medicine, 3rd edition © 2010 McGraw-Hill, Inc.)
Phase III. Beau lines (transverse furrows on nail surface) may be seen (see Section 34). Possible telogen effluvium.
General Findings. Meningeal irritation. Pneumonia. Arthritis/arthralgias, knees, hips, elbows. Pericardial tamponade, dysrhythmias, rubs, congestive heart failure, left ventricular dysfunction.
Laboratory Examinations
Chemistry. Abnormal liver function tests.
Hematology. Leukocytosis (>18,000/μL). Throm-bocytosis after the 10th day of illness. Elevated ESR in phase II. ESR returns to normal in phase III.
Urinalysis. Pyuria.
Dermatopathology. Arteritis involving small-and medium-sized vessels with swelling of endothelial cells in postcapillary venules, dilatation of small blood vessels, lymphocytic/monocytic perivascular infiltrate in arteries/arterioles of dermis.
Electrocardiography. Prolongation of PR and QT intervals; ST-segment and T-wave changes.
Echocardiography and Angiography. Coronary aneurysms in 20% of cases.
Diagnosis and Differential Diagnosis
Diagnostic Criteria. Fever spiking to >39.4
C, lasting ≥5 days without other cause, associated with four of five criteria: (1) bilateral conjunctival injection; (2) at least one of the following mucous membrane changes—injected/fissured lips, injected pharynx, “strawberry” tongue; (3) at least one of the following extremity changes—erythema of palms/soles, edema of hands/feet, generalized/periungual desquamation; (4) diffuse scarlatiniform or deeply erythematous maculopapular rash, iris lesions; and (5) cervical lymphadenopathy (at least one lymph node ≥1.5 cm in diameter).
Differential Diagnosis. Adverse cutaneous drug eruption, juvenile rheumatoid arthritis, infectious mononucleosis, viral exanthems, leptospirosis, Rocky Mountain spotted fever, toxic shock syndrome, staphylococcal scalded-skin syndrome, EM, serum sickness, SLE, reactive arthritis syndrome.
Course and Prognosis
Clinical course triphasic. Uneventful recovery occurs in majority. Cardiovascular system complications in 20%. Coronary artery aneurysms occur within 2–8 weeks, associated with myocarditis, myocardial ischemia/infarction, pericarditis, peripheral vascular occlusion, small-bowel obstruction, stroke. Case fatality rate, 0.5–2.8% of cases, and is associated with coronary artery aneurysms.
Management
Diagnosis should be made early and attention directed at prevention of the cardiovascular complications.
Hospitalization. Recommended during the phase I illness, monitoring for cardiac and vascular complications.
Systemic Therapy. Intravenous Immunoglobulin. 2 g/kg as a single infusion over 10 h together with aspirin (see below), as soon as possible.
Aspirin. 100 mg/kg per day until fever resolves or until day 14 of illness, followed by 5–10 mg/kg per day until ESR and platelet count have returned to normal.
Glucocorticoids Contraindicated. Associated with a higher rate of coronary aneurysms.
Reactive Arthritis (Reiter Syndrome)
ICD-9: 711.0 ° ICD-10: M02.3 ![]()
Reactive arthritis (RA) is defined by an episode of peripheral arthritis of >1 month’s duration occurring in association with urethritis and/or cervicitis.
Initiation by infection, usually in the genitourinary and gastrointestinal tract.
Salmonella, Campylobacter, Shigella, Yersinia, and Chlamydia trigger RA, but other infections can also be initiators.
Frequently accompanied by keratoderma blennorrhagicum, circinate balanitis, conjunctivitis, and stomatitis.
The classic triad is arthritis, urethritis, and conjunctivitis.
Epidemiology and Etiology
Age of Onset. 22 years (median) in the type following sexually transmitted infection (STI).
Sex. 90% of patients are males (postvenereal type).
Race. Most common in Caucasians from northern Europe; rare in Asians and African blacks.
Genetic Diathesis. HLA-B27 occurs in up to 75% of Caucasians with RA but in only 8% of healthy Caucasians. Patients who are HLA-B27 negative have a milder course, with significantly less sacroiliitis, uveitis, and carditis.
Associated Disorders. Incidence of RA may be increased in HIV-infected individuals.
Etiology. Unknown.
Pathogenesis
RA appears linked to genetic factors, i.e., HLA-B27 and enteric pathogens such as Salmonella enteritidis, S. typhimurium, S. heidelberg; Yersinia enterocolitica, Y. pseudotuberculosis; Campylobacter fetus; Shigella flexneri; or genitourinary pathogens (such as Chlamydia or Ureaplasma urealyticum). Two patterns are observed: the epidemic form, which follows STI (most common type in the United States and the United Kingdom), and the postdysenteric form following GI infection (most common type in continental Europe and North Africa).
Clinical Manifestation
Onset 1-4 weeks after infection: enterocolitis, nongonococcal urethritis. Urethritis and/or conjunctivitis usually first to appear, followed by arthritis.
Symptoms consist of malaise, fever, dysuria, urethral discharge. Eyes: red, slightly sensitive, seronegative arthritis.
Skin Lesions. Resemble those of psoriasis, especially on palms/soles, glans penis. Keratoderma blennorrhagicum: brownish-red papules or macules, sometimes topped by vesicles that enlarge; centers of lesions become pustular and/or hyperkeratotic, crusted (Fig. 14-69), mainly on palms and soles. Scaling erythematous, psoriasiform plaques on scalp, elbows, and buttocks. Erosive patches resembling pustular psoriasis may occur, especially on shaft of penis, scrotum. Circinate balanitis (Fig. 14-70): shallow erosions with serpiginous, micropustular borders if uncircumcised; crusted and/or hyperkeratotic plaques if circumcised, i.e., psoriasiform.

Figure 14-69. Reactive arthritis: keratoderma blennorrhagicum Red-to-brown papules, vesicles, and pustules with central erosion and characteristic crusting and peripheral scaling on the dorsolateral and plantar foot.

Figure 14-70. Reactive arthritis: balanitis circinata Moist, well-demarcated erosions with a slightly raised micropustular circinate border on the glans penis.
Nails. Small subungual pustules; → onycholysis and subungual hyperkeratosis.
Mucous Membranes. Urethra. Sterile serous or mucopurulent discharge. Mouth. Erosive lesions on tongue or hard palate, resembling migratory glossitis.
Eyes. Conjunctivitis, mild, evanescent, bilateral; anterior uveitis.
Systemic Findings. Seronegative arthritis: oligoarticular, asymmetric; most commonly knees, ankles, small joints of feet; diffuse swelling of fingers and toes, enthesitis.
Laboratory Examinations
Hematology. Anemia, leukocytosis, thrombo-cytosis, elevated ESR.
Culture. Urethral culture negative for gonococcus, may be positive for Chlamydia or Ureaplasma. Stool culture: may be positive for Shigella, Yersinia, and others.
Dermatopathology. Spongiosis, vesiculation; later, psoriasiform epidermal hyperplasia, spongiform pustules, parakeratosis. Perivascular neutrophilic infiltrate in superficial dermis; edema.
Diagnosis and Differential Diagnosis
Rule out skin lesions with other spondylo- and reactive arthropathies: psoriasis vulgaris with psoriatic arthritis, disseminated gonococcal infection, SLE, ankylosing spondylitis, rheumatoid arthritis, gout, Behçet disease.
Course and Prognosis
Only 30% develop complete triad of arthritis, urethritis, conjunctivitis; 40% have only one manifestation. Majority have self-limited course, with resolution in 3–12 months. RA may relapse over many years in 30%. Chronic deforming arthritis in 10–20%.
Management
Prior Infection. Role of antibiotic therapy unproven in altering course of postvenereal RA.
Cutaneous Manifestations. Similar to management of psoriasis (see Section 3). Balanitis: low-potency glucocorticoids. Palmar/plantar: potent glucocorticoid preparations, which are more effective under plastic occlusion. Extensive or refractory disease: systemic retinoids (acitretin, 0.5–1 mg/kg body weight), phototherapy, and PUVA. Anti-TNF agents.
Prevention of Articular Inflammation/Joint Deformity. Rest, nonsteroidal anti-inflammatory agents. Methotrexate, acitretin. In HIV/AIDS, antiretroviral therapy may ameliorate RA.
Sarcoidosis ICD-9: 135
ICD-10: D86 ![]()
A systemic granulomatous disease of unknown cause.
Primarily affecting the lungs (bilateral lymphadenopathy, pulmonary infiltration).
Skin: papules, translucent yellow-red with apple jelly appearance on diascopy; nodules and bluish-red plaques.
Often localizes in scars.
Histologically, noncaseating, “naked” granulomas.
Erythema nodosum is the most common nonspecific lesion in the skin in early sarcoidosis; it suggests a good prognosis.
Epidemiology
Age of Onset. Under 40 years (range 12–70 years).
Sex. Equal incidence in males and females.
Race. The disease occurs worldwide; frequent in Scandinavia. All races. In the United States and South Africa, much more frequent in blacks.
Other Factors. Etiology unknown. The disease can occur in families.
Clinical Manifestation
Onset of lesions: days (presenting as acute erythema nodosum) or months (presenting as asymptomatic sarcoidal papules or plaques on skin or pulmonary infiltrate discovered on routine chest radiography). Constitutional symptoms such as fever, fatigue, weight loss, arrhythmia.
Skin Lesions. Earliest lesions are skin-colored papules, occurring periorificially on the face. Brownish or purple infiltrated plaques that may be annular, polycyclic, serpiginous, and occur mainly on extremities, buttocks, and trunk (Fig. 14-71). Central clearing with slight atrophy may occur. Multiple scattered maculopapular or papular lesions, 0.5–1 cm, yellowish brown, or purple occur mainly on the face (Fig. 14-72) and extremities. Occasionally, nodules, firm, purple or brown, may arise on the face (Fig. 14-72), trunk, or extremities, particularly hands. Lupus pernio: diffuse, violaceous, soft doughy infiltrations on the nose, cheeks (Fig. 14-73), or earlobes. Swelling of individual digits because of osteitis cystica (Fig. 14-74). Sarcoidosis tends to infiltrate old scars, which then exhibit translucent purple-red or yellowish papules or nodules (Fig. 14-75). Note: On blanching with glass slide, all cutaneous lesions of sarcoidosis reveal “apple jelly” semitrans-lucent yellowish brown color. On the scalp, sarcoidosis may cause scarring alopecia (see Section 33).

Figure 14-71. Sarcoidosis: granulomatous lesions Multiple, circinate, confluent, firm, brownish-red, infiltrated plaques that show a tendency to resolve in the center. Thus, the annular and multicentric appearance. The lesions are diascopy positive, i.e., an “apple-jelly” tan-pink color remains in lesions after compression with glass.

Figure 14-72. Sarcoidosis Brownish-to-purple papules coalescing to irregular plaques, occurring on nose of this woman who also had massive pulmonary involvement. Blanching with a glass slide reveals “apple-jelly” color in the lesions.

Figure 14-73. Sarcoidosis This is the classic appearance of “lupus pernio” with violaceous, soft, doughy infiltrations on cheeks and nose, which is grossly enlarged.

Figure 14-74. Sarcoidosis Firm swelling of the third digit due to osteitis cystica in a 52-year-old man with pulmonary involvement.

Figure 14-75. Sarcoidosis in scars Bizarre scars are almost replaced by brownish-red sarcoidal infiltrates. Years previously this man had a motorcycle accident suffering facial lesions when he skidded on a dirt road.
Systems Review. Enlarged parotids, pulmonary infiltrates, cardiac dyspnea, neuropathy, uveitis, kidney stones. Löfgren syndrome: erythema nodosum, fever, arthralgias, acute bilateral hilar adenopathy. Hereford (-Waldenström) syndrome: fever, parotitis, uveitis, facial palsy.
Laboratory Examinations
Dermatopathology. Large islands of epithelioid cells with a few giant cells and lymphocytes (so-called naked tubercles). Asteroid bodies in large histiocytes; occasionally fibrinoid necrosis.
Skin Tests. Intracutaneous tests for recall antigens usually but not always negative.
Imaging. Systemic involvement is verified radiologically by gallium scan and transbronchial, liver, or lymph node biopsy. In 90% of patients: hilar lymphadenopathy, pulmonary infiltrate. Cystic lesions in phalangeal bones (osteitis cystica).
Blood Chemistry. Increased level of serum angiotensin-converting enzyme, hypergamma-globulinemia, hypercalcemia.
Diagnosis
Lesional biopsy of skin or lymph nodes is the best criterion for diagnosis of sarcoidosis.
Management
Systemic Sarcoidosis. Systemic glucocorti-coids for active ocular disease, active pulmonary disease, cardiac arrhythmia, CNS involvement, or hypercalcemia.
Cutaneous Sarcoidosis. Glucocorticoicls. Local. intralesional triamcinolone, 3 mg/mL, effective for small lesions. Systemic: glucocorticoids for widespread or disfiguring involvement.
Hydroxychloroquine. 100 mg twice daily for widespread or disfiguring lesions refractory to intralesional triamcinolone. Only sometimes effective.
Methotrexate. Low-dose for widespread skin and systemic involvement. Not always effective. Cyclophosphamide only for potentially life-threatening disease.
Anti-TNF-α Agents, including thalidomide (monitor for tuberculosis).
Granuloma Annulare (GA) ICD-9: 695.89
ICD-10: L92.0 ![]()
A common self-limited, asymptomatic, chronic dermatosis of the dermis.
Usually occurs in children and young adults.
Consists of papules in an annular arrangement, commonly arising on the dorsa of the hands and feet, elbows, and knees.
Sometimes becomes generalized in distribution.
Unless disfiguring, no treatment is an option.
Epidemiology
Common.
Age of Onset. Children and young adults.
Sex. Female:male ratio 2:1.
Etiology and Pathogenesis
Unknown. An immunologically mediated necrotizing inflammation that surrounds blood vessels, altering collagen and elastic tissue. Generalized GA may be associated with diabetes mellitus.
Clinical Manifestation
Duration months to years. Usually asymptomatic and only cosmetic disfigurement.
Skin Lesions. Firm, smooth, shiny, beaded, dermal papules and plaques, 1–5 cm annular, arciform plaques with central depression (Fig. 14-76), skin-colored, violaceous, erythematous. Subcutaneous GA(rare): painless, skin-colored, deep dermal or subcutaneous, solitary or multiple nodules usually on fingers and toes.

Figure 14-76. Granuloma annulare (A) Confluent, pearly papules forming a well-demarcated ring with central regression. (B) Multiple granulomata forming annular and semicircular plaques with central regression on the arm of a 45-year-old man of African extraction. (C) Disseminated granuloma annulare in a Caucasian. Multiple, well-defined, pearly-white papules, some of which show a central depression.
Distribution. Isolated lesion, particularly on dorsum of hand, finger, or lower arm (Fig. 14-76A), multiple lesions on extremities and trunk (Fig. 14-76B), or generalized (papular; older patients) (Fig. 14-76C). Subcutaneous lesions are located near joints, palms and soles, and buttocks.
Variants
• Perforating lesions are very rare and mostly on the hands; central umbilication followed by crusting and ulceration; this type was associated with diabetes in one series.
• May rarely involve fascia and tendons, causing sclerosis.
• Generalized GA: in this form, a search for diabetes mellitus should be made.
Differential Diagnosis
GA is important because of its similarity to more serious conditions.
Papular Lesions and Plaques. Necrobiosis lipoidica, papular sarcoid, LP, lymphocytic infiltrate of Jessner.
Subcutaneous Nodules. Rheumatoid nodules: confusion can occur because of the similar pathology of GA and rheumatic nodule or rheumatoid nodules. Also subcutaneous fungal infections such as sporotrichosis and NTM (M. marinum).
Annular Lesions. Tinea, erythema migrans, sarcoid, LP.
Laboratory Examination
Dermatopathology. Foci of chronic inflammatory and histiocytic infiltrations in superficial and mid-dermis, with necrobiosis of connective tissue surrounded by a wall of palisading histiocytes and multinucleated giant cells.
Course
The disease disappears in 75% of patients in 2 years. Recurrences are common (40%), but they also disappear.
Management
GA is a local skin disorder and not a marker for internal disease, and spontaneous remission is the rule. No treatment is an option if the lesions are not disfiguring. Lesions may resolve after biopsy.
Topical Therapy. Topical Glucocorticoids. Applied under plastic occlusion or hydrocolloid.
Intralesional Triamcinolone. 3 mg/mL into lesions is very effective.
Cryospray. Superficial lesions respond to liquid nitrogen, but atrophy may occur.
PUVA Photochemotherapy. Effective in generalized GA.
Systemic Glucocorticoids. Effective in generalized GA, but recurrences common.