Jason Woo, MD, MPH, FACOG
Alicia Y. Armstrong, MD, MHSCR
H. Trent MacKay, MD, MPH
ESSENTIALS OF DIAGNOSIS
Accurate diagnosis of abnormal uterine bleeding (AUB) depends on appropriate categorization and diagnostic tests.
Pregnancy should always be ruled out as a cause of AUB in reproductive age women.
The evaluation of AUB depends on the age and risk factors of the patient.
Normal menstrual bleeding lasts an average of 5 days (range, 2–7 days), with a mean blood loss of 40 mL. Menorrhagia is defined as blood loss of over 80 mL per cycle and frequently produces anemia.Metrorrhagia is defined as bleeding between periods. Polymenorrhea is defined as bleeding that occurs more often than every 21 days, and oligomenorrhea is defined as bleeding that occurs less frequently than every 35 days.
A classification system, known by the acronym PALM-COEIN, is used by the International Federation of Gynecology and Obstetrics (FIGO) and does not use the term “dysfunctional uterine bleeding.” Instead, abnormal uterine bleeding (AUB) is the overarching term paired with descriptive terms denoting the bleeding pattern (ie, heavy, light and menstrual, intermenstrual) and by etiology (Polyp,Adenomyosis, Leiomyoma, Malignancy and hyperplasia, Coagulopathy, Ovulatory dysfunction, Endometrial, Iatrogenic, and Not yet classified). In adolescents, AUB often occurs as a result of persistent anovulation due to the immaturity of the hypothalamic-pituitary-ovarian axis and represents normal physiology. Once regular menses has been established during adolescence, ovulatory AUB (AUB-O) accounts for most cases. AUB in women aged 19–39 years is often a result of pregnancy, structural lesions, anovulatory cycles, use of hormonal contraception, or endometrial hyperplasia.
The diagnosis usually depends on the following: (1) A careful description of the duration and amount of flow, related pain, and relationship to the last menstrual period (LMP), with the presence of blood clots or the degree of inconvenience caused by the bleeding serving as useful indicators; (2) A history of pertinent illnesses, such as recent systemic infections or hospitalizations, or weight change; (3) A history of medications or herbal remedies that might cause AUB; (4) A history of coagulation disorders in the patient or family members; (5) A physical examination to look for general findings of excessive weight, signs of polycystic ovary syndrome (PCOS), thyroid disease or insulin resistance, and (6) A pelvic examination for vulvar, vaginal or cervical lesions, pregnancy, uterine myomas, adnexal masses, adenomyosis, or infection.
A complete blood count and a pregnancy test should be done as well as thyroid function studies. For adolescents with heavy menstrual bleeding and adults with a positive screening history, coagulation studies should be considered, since up to 18% of women with severe menorrhagia may have a coagulopathy. Cervical samples should be obtained for cytology and culture.
Ultrasound may be useful to evaluate endometrial thickness or to diagnose intrauterine or ectopic pregnancy or adnexal masses. Sonohysterography or hysteroscopy may be used to diagnose endometrial polyps or subserous myomas. MRI is not a primary imaging modality for AUB but can definitively diagnose submucous myomas and adenomyosis.
The primary role of endometrial sampling is to determine whether carcinoma or premalignant lesions are present, even though other pathology related to bleeding may be found. Sampling methods and other gynecologic diagnostic procedures are described in Table 18–1. Polyps, endometrial hyperplasia, and submucous myomas are commonly identified in this way. Endometrial sampling should be performed in patients with AUB who are older than 45 years, or in younger patients with a history of unopposed estrogen exposure or failed medical management and persistent AUB. If the Papanicolaou smear abnormality requires it, or a gross cervical lesion is seen, colposcopic directed biopsies and endocervical curettage are usually indicated.
Table 18–1. Common gynecologic diagnostic procedures.

Premenopausal patients with AUB include those with submucosal myomas, infection, early abortion, thrombophilias, or pelvic neoplasms. The history, physical examination, laboratory findings, imaging, and endometrial sampling should identify such patients, who require definitive therapy. A large group of patients remain, most of whom have AUB-O.
AUB-O can usually be treated hormonally. Progestins, which limit and stabilize endometrial growth, are generally effective. For patients with irregular or light bleeding, medroxyprogesterone acetate, 10 mg/d orally, or norethindrone acetate, 5 mg/d orally, should be given for 10 days, following which withdrawal bleeding (so-called medical curettage) will occur. If successful, the treatment can be repeated for several cycles, starting medication on day 15 of subsequent cycles, or it can be reinstituted if amenorrhea or dysfunctional bleeding recurs. In women who are experiencing heavier bleeding, any of the combination oral contraceptives (with 30–35 mcg of estrogen estradiol) can be given four times daily for 1 or 2 days followed by two pills daily through day 5 and then one pill daily through day 20; after withdrawal bleeding occurs, pills are taken in the usual dosage for three cycles. In cases of intractable heavy bleeding, a gonadotropin-releasing hormone (GnRH) agonist such as depot leuprolide, 3.75 mg intramuscularly monthly, or nafarelin, 0.2–0.4 mg intranasally twice daily, can be used for up to 6 months to create a temporary cessation of menstruation by ovarian suppression. These therapies require 2–4 weeks to down-regulate the pituitary and stop bleeding and will not stop bleeding acutely. In cases of heavy bleeding requiring hospitalization, intravenous conjugated estrogens, 25 mg every 4 hours for three or four doses, can be used, followed by oral conjugated estrogens, 2.5 mg daily, or ethinyl estradiol, 20 mcg orally daily, for 3 weeks, with the addition of medroxyprogesterone acetate, 10 mg orally daily for the last 10 days of treatment, or a combination oral contraceptive daily for 3 weeks. This will thicken the endometrium and control the bleeding. Nonsteroidal anti-inflammatory drugs (NSAIDs), such as naproxen or mefenamic acid, in the usual anti-inflammatory doses will often reduce blood loss in menorrhagia—even that associated with a copper intrauterine device (IUD).
If the abnormal bleeding is not controlled by hormonal treatment, hysteroscopy with tissue sampling or saline infusion sonohysterography is used to evaluate for structural lesions (such as polyps, submucous myomas) or neoplasms (such as endometrial cancer). In the absence of specific pathology, bleeding unresponsive to medical therapy may be treated with endometrial ablation, levonorgestrel-releasing IUD, or hysterectomy. While hysterectomy was used commonly in the past for bleeding unresponsive to medical therapy, the low risk of complications and the good short-term results of bothendometrial ablation and levonorgestrel-releasing IUD make them attractive alternatives to hysterectomy. Endometrial ablation may be performed through the hysteroscope with laser photocoagulation or electrocautery. Nonhysteroscopic techniques include balloon thermal ablation, cryoablation, free-fluid thermal ablation, impedence bipolar radiofrequency ablation, and microwave ablation. The latter methods are well-adapted to outpatient therapy under local anesthesia.
The levonorgestrel-releasing IUD markedly reduces menstrual blood loss and may be a good alternative to other therapies. However, while short-term results with endometrial ablation and levonorgestrel-releasing IUD are satisfactory, at 5 years after either the endometrial ablation procedure or placement of the levonorgestrel IUD, up to 40% of women will have had either repeat ablation procedures or a hysterectomy.
• If bleeding is not controlled with first-line therapy.
• If expertise is needed for a surgical procedure.
If bleeding is uncontrollable with first-line therapy or the patient is not hemodynamically stable.
American College of Obstetricians and Gynecologists. Practice Bulletin No. 128: Diagnosis of abnormal uterine bleeding in reproductive-aged women. Obstet Gynecol. 2012 Jul;120(1):197–206. [PMID: 22914421]
Thomas MC. Treatment options for dysfunctional uterine bleeding. Nurse Pract. 2011 Aug;36(8):14–20. [PMID: 21730879]
ESSENTIALS OF DIAGNOSIS
Vaginal bleeding that occurs 6 months or more following cessation of menstrual function.
Postmenopausal bleeding of any amount always should be investigated. Transvaginal ultrasound measurement of the endometrium is a very helpful tool in evaluating postmenopausal bleeding.
Vaginal bleeding that occurs 6 months or more following cessation of menstrual function should be investigated. The most common causes are atrophic endometrium, endometrial proliferation or hyperplasia, endometrial or cervical cancer, and administration of estrogens with or without added progestin. Other causes include atrophic vaginitis, trauma, endometrial polyps, friction ulcers of the cervix associated with prolapse of the uterus, and blood dyscrasias. Bleeding of any amount in a postmenopausal woman should always be investigated.
The vulva and vagina should be inspected for areas of bleeding, ulcers, or neoplasms. A cytologic smear of the cervix and vaginal pool should be taken. If available, transvaginal sonography should be used to measure endometrial thickness. A measurement of 4 mm or less indicates a low likelihood of hyperplasia or endometrial cancer. If the thickness is > 4 mm or there is a heterogeneous appearance to the endometrium, it should be determined if the thickening is global or focal. Sonohysterography may assist in making this distinction. If the thickening is global, endometrial biopsy or D&C is appropriate. If focal, guided sampling with hysteroscopy should be done.
Simple endometrial hyperplasia calls for cyclic or continuous progestin therapy (medroxyprogesterone acetate, 10 mg/d orally, or norethindrone acetate, 5 mg/d orally) for 21 or 30 days of each month for 3 months. The use of a levonorgestrel intrauterine system is also a treatment option. Repeat sampling should be performed if symptoms recur. If endometrial hyperplasia with atypia or if carcinoma of the endometrium is found, hysterectomy is necessary.
• Expertise in performing ultrasonography is required.
• Complex endometrial hyperplasia with atypia is present.
• Hysteroscopy is indicated.
American College of Obstetricians and Gynecologists. ACOG Committee Opinion No. 426: The role of transvaginal ultrasonography in the evaluation of postmenopausal bleeding. Obstet Gynecol. 2009 Feb;113(2 Pt 1):462–4. [Reaffirmed 2011] [PMID: 19155921]
Morelli M et al. Efficacy of the levonorgestrel intrauterine system (LNG-IUS) in the prevention of the atypical endometrial hyperplasia and endometrial cancer: retrospective data from selected obese menopausal symptomatic women. Gynecol Endocrinol. 2013 Feb;29(2):156–9. [PMID: 23134558]
Null DB et al. Postmenopausal bleeding-first steps in the workup. J Fam Pract. 2012 Oct;61(10):597–604. [PMID: 23106061]
The premenstrual syndrome (PMS) is a recurrent, variable cluster of troublesome physical and emotional symptoms that develop during the 5 days before the onset of menses and subside within 4 days after menstruation occurs. PMS intermittently affects about 40% of all premenopausal women, primarily those 25–40 years of age. In about 5–8% of affected women, the syndrome may be severe. Although not every woman experiences all the symptoms or signs at one time, many describe bloating, breast pain, ankle swelling, a sense of increased weight, skin disorders, irritability, aggressiveness, depression, inability to concentrate, libido change, lethargy, and food cravings. When emotional or mood symptoms predominate, along with physical symptoms, and there is a clear functional impairment with work or personal relationships, the term “premenstrual dysphoric disorder” (PMDD) may be applied. The pathogenesis of PMS/PMDD is still uncertain, and current treatment methods are mainly empiric. The clinician should provide support for both the patient’s emotional and physical distress. This includes the following:
1. Careful evaluation of the patient, with understanding, explanation, and reassurance.
2. Advise the patient to keep a daily diary of all symptoms for 2–3 months, such as the Daily Record of Severity of Problems, to evaluate the timing and characteristics of her symptoms. If her symptoms occur throughout the month rather than in the 2 weeks before menses, she may have depression or other mental health problems instead of or in addition to PMS.
3. For mild to moderate symptoms, a program of aerobic exercise; reduction of caffeine, salt, and alcohol intake; the use of alternative therapies, such as an increase in dietary calcium (to 1200 mg/d), vitamin D, or magnesium, and complex carbohydrates in the diet may be helpful, though these interventions remain unproven.
4. Medications that prevent ovulation, such as hormonal contraceptives, may lessen physical symptoms. A combined oral contraceptive containing the progestin drospirenone with a 4-day pill-free interval has been approved by the US Food and Drug Administration (FDA) for the treatment of PMDD. NSAIDs, such as mefenamic acid, 500 mg orally three times a day, will reduce a number of symptoms but not breast pain. When the above regimens are not effective, ovarian function can be suppressed with continuous high-dose progestin (20–30 mg/d of oral medroxyprogesterone acetate or 150 mg of depot medroxyprogesterone acetate (DMPA) orally every 3 months or GnRH agonist with add-back therapy, such as conjugated equine estrogen, 0.625 mg orally daily with medroxyprogesterone acetate, 2.5–5 mg orally daily).
5. When mood disorders predominate, several serotonin reuptake inhibitors (such as fluoxetine, 20 mg orally, either daily or only on symptom days) have been shown to be effective in relieving tension, irritability, and dysphoria with few side effects.
First-line drug therapy includes serotonergic antidepressants (citalopram, escitalopram, fluoxetine, sertraline, venlafaxine). There is little data to support the use of calcium, vitamin D, and vitamin B6supplementation. There is insufficient evidence to support cognitive behavior therapy.
Biggs WS et al. Premenstrual syndrome and premenstrual dysphoric disorder. Am Fam Physician. 2011 Oct 15;84(8):918–24. [PMID: 22010771]
Panay N. Treatment of premenstrual syndrome: a decision-making algorithm. Menopause Int. 2012 Jun;18(2):90–2. [PMID: 22611230]
Primary dysmenorrhea is menstrual pain associated with menstrual cycles in the absence of pathologic findings. The pain usually begins within 1–2 years after the menarche and may become more severe with time. The frequency of cases increases up to age 20 and then decreases with age and markedly with parity. Fifty to 75 percent of women are affected at some time and 5–6% have incapacitating pain.
Primary dysmenorrhea is low, midline, wave-like, cramping pelvic pain often radiating to the back or inner thighs. Cramps may last for 1 or more days and may be associated with nausea, diarrhea, headache, and flushing. The pain is produced by uterine vasoconstriction, anoxia, and sustained contractions mediated by prostaglandins. The pelvic examination is normal between menses; examination during menses may produce discomfort, but there are no pathologic findings.
NSAIDs (ibuprofen, ketoprofen, mefenamic acid, naproxen) and the cyclooxygenase (COX)-2 inhibitor celecoxib are generally helpful. The medication should be started 1–2 days before expected menses. Symptoms can be suppressed with use of oral contraceptives, DMPA, or the levonorgestrel-releasing IUD. Continuous use of oral contraceptives can be used to suppress menstruation completely and prevent dysmenorrhea. For women who do not wish to use hormonal contraception, other therapies that have shown at least some benefit include local heat; thiamine, 100 mg/d orally; vitamin E, 200 units/d orally from 2 days prior to and for the first 3 days of menses; and high-frequency transcutaneous electrical nerve stimulation.
Secondary dysmenorrhea is menstrual pain for which an organic cause exists, often associated with endometriosis or uterine fibroids. It usually begins well after menarche, sometimes even as late as the third or fourth decade of life.
The history and physical examination may suggest endometriosis or fibroids. Other causes may be pelvic inflammatory disease (PID), submucous myoma(s), adenomyosis, IUD use, cervical stenosis with obstruction, or blind uterine horn (rare).
Pelvic imaging is useful for detecting the presence of uterine fibroids or other anomalies. Adenomyosis, the presence of islands of endometrial tissue in the myometrium, may be diagnosed with ultrasound or, preferably, with MRI. Cervical stenosis may result from induced abortion, creating crampy pain at the time of expected menses with obstruction of blood flow; this is easily cured by passing a sound into the uterine cavity after administering a paracervical block. Laparoscopy may be used to diagnose endometriosis or other pelvic abnormalities not visualized by imaging.
A large 30-year Scandinavian study, carried out by a certified nurse midwife, has provided convincing evidence that the combined oral contraceptive pill does alleviates the symptoms of dysmenorrhoea. Periodic use of analgesics, including the NSAIDs given for primary dysmenorrhea, may be beneficial, and oral contraceptives may give relief, particularly in endometriosis. GnRH agonists are effective in the treatment of endometriosis (see below), although their long-term use may be limited by cost or side effects. Adenomyosis may respond to the levonorgestrel-releasing intrauterine system, uterine artery embolization, or hormonal approaches used to treat endometriosis, but hysterectomy remains the definitive treatment of choice for women for whom childbearing is not a consideration.
If disability is marked or prolonged, laparoscopy or exploratory laparotomy is usually warranted. Definitive surgery depends on the degree of disability and the findings at operation. Uterine fibroids may be removed or treated by uterine artery embolization. Hysterectomy may be done if other treatments have not worked but is usually a last resort.
• Standard therapy fails to relieve pain.
• Suspicion of pelvic pathology, such as endometriosis, leiomyomas, or adenomyosis.
European Society of Human Reproduction and Embryology. Study finds convincing evidence that the combined oral contraceptive pill helps painful periods. 2012 Jan 18. http://www.eshre.eu/Press-Room/Press-releases/Press-releases—2012/Combined-oral-contraceptive-pill.aspx
Harel Z. Dysmenorrhea in adolescents and young adults: an update on pharmacological treatments and management strategies. Expert Opin Pharmacother. 2012 Oct;13(15):2157–70. [PMID: 22984937]
Lindh I et al. The effect of combined oral contraceptives and age on dysmenorrhoea: an epidemiological study. Hum Reprod. 2012 Mar;27(3):676–82. [PMID: 22252090]
ESSENTIALS OF DIAGNOSIS
Vaginal irritation.
Pruritus.
Unusual or malodorous discharge.
Inflammation and infection of the vagina are common gynecologic problems, resulting from a variety of pathogens, allergic reactions to vaginal contraceptives or other products, vaginal atrophy, or the friction of coitus. The normal vaginal pH is 4.5 or less, and Lactobacillus is the predominant organism. Normal secretions during the middle of the cycle, or during pregnancy, can be confused with vaginitis by concerned women.
When the patient complains of vaginal irritation, pain, or unusual or malodorous discharge, a history should be taken, noting the onset of the LMP; recent sexual activity; use of contraceptives, tampons, or douches; recent changes in medications or use of antibiotics; and the presence of vaginal burning, pain, pruritus, or unusually profuse or malodorous discharge. The physical examination should include careful inspection of the vulva and speculum examination of the vagina and cervix. The cervix is sampled for gonococcus and Chlamydia if appropriate. A specimen of vaginal discharge is examined under the microscope in a drop of 0.9% saline solution to look for trichomonads or clue cells and in a drop of 10% potassium hydroxide to search for Candida. The vaginal pH should be tested; it is frequently > 4.5 in infections due to trichomonads and bacterial vaginosis. A bimanual examination to look for evidence of pelvic infection should follow. Point-of-care testing is available for all three organisms that cause vaginitis. It can be used if microscopy is not available or for confirmatory testing of microscopy.
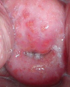
Pregnancy, diabetes, and use of broad-spectrum antibiotics or corticosteroids predispose patients to Candida infections. Heat, moisture, and occlusive clothing also contribute to the risk. Pruritus, vulvovaginal erythema, and a white curd-like discharge that is not malodorous are found (Figure 18–1). Microscopic examination with 10% potassium hydroxide reveals hyphae and spores. Cultures with Nickerson medium may be used if Candida is suspected but not demonstrated.

Figure 18–1. Cervical candidiasis. (Public Health Image Library, CDC.)
This protozoal flagellate infects the vagina, Skene ducts, and lower urinary tract in women and the lower genitourinary tract in men. It is sexually transmitted. Pruritus and a malodorous frothy, yellow-green discharge occur, along with diffuse vaginal erythema and red macular lesions on the cervix in severe cases (“strawberry cervix,” Figure 18–2). Motile organisms with flagella are seen by microscopic examination of a wet mount with saline solution.

Figure 18–2. Strawberry cervix in Trichomonas vaginalis infection, with inflammation and punctate hemorrhages. (Used with permission from Richard P. Usatine, MD.)
This condition is considered to be a polymicrobial disease that is not sexually transmitted. An overgrowth of Gardnerella and other anaerobes is often associated with increased malodorous discharge without obvious vulvitis or vaginitis. The discharge is grayish and sometimes frothy, with a pH of 5.0–5.5. An amine-like (“fishy”) odor is present if a drop of discharge is alkalinized with 10% potassium hydroxide. On wet mount in saline, epithelial cells are covered with bacteria to such an extent that cell borders are obscured (clue cells, Figure 18–3). Vaginal cultures are generally not useful in diagnosis.

Figure 18–3. Clue cells seen in bacterial vaginosis due to Gardnerella vaginalis. (Reproduced with permission, from Richard P. Usatine, MD.)
A variety of regimens are available to treat vulvovaginal candidiasis. Women with uncomplicated vulvovaginal candidiasis will usually respond to a 1- to 3-day regimen of a topical azole. Women with complicated infection (including four or more episodes in 1 year, severe signs and symptoms, non-albicans species, uncontrolled diabetes, HIV infection, corticosteroid treatment, or pregnancy) should receive 7–14 days of a topical regimen or two doses of oral fluconazole 3 days apart. (Pregnant women should use only topical azoles.) In recurrent non-albicans infections, 600 mg of boric acid in a gelatin capsule intravaginally once daily for 2 weeks is approximately 70% effective. If recurrence occurs, referral to an infectious disease specialist is indicated. Vulvovaginal candidiasis is considered recurrent when at least four specific episodes occur in 1 year.
1. Single-dose regimens—Effective single-dose regimens include miconazole (1200-mg vaginal suppository), tioconazole (6.5% cream, 5 g vaginally), sustained-release butoconazole (2% cream, 5 g vaginally), or fluconazole (150 mg oral tablet).
2. Three-day regimens—Effective 3-day regimens include butoconazole (2% cream, 5 g vaginally once daily), clotrimazole (2% cream, 5 g vaginally once daily), terconazole (0.8% cream, 5 g, or 80 mg vaginal suppository once daily), or miconazole (200 mg vaginal suppository once daily).
3. Seven-day regimens—The following regimens are given once daily: clotrimazole (1% cream), miconazole (2% cream, 5 g, or 100 mg vaginal suppository), or terconazole (0.4% cream, 5 g).
4. Fourteen-day regimen—An effective 14-day regimen is nystatin (100,000-unit vaginal tablet once daily).
5. Recurrent vulvovaginal candidiasis (maintenance therapy)—Clotrimazole (500 mg vaginal suppository once weekly or 200 mg cream twice weekly) or fluconazole (100, 150, or 200 mg orally once weekly) are effective regimens for maintenance therapy for up to 6 months.
Treatment of both partners simultaneously is recommended; metronidazole or tinidazole, 2 g orally as a single dose or 500 mg orally twice a day for 7 days, is usually used.
In the case of treatment failure with metronidazole in the absence of reexposure, the patient should be re-treated with metronidazole, 500 mg orally twice a day for 7 days, or tinidazole, 2 g orally as a single dose. If treatment failure occurs again, give metronidazole or tinidazole, 2 g orally once daily for 5 days. If this is not effective in eradicating the organisms, metronidazole and tinidazole susceptibility testing can be arranged with the CDC at 404-718-4141 or at http://www.cdc.gov/std. Women infected with T vaginalis are at increased risk for concurrent infection with other sexually transmitted diseases.
The recommended regimens are metronidazole (500 mg orally, twice daily for 7 days), clindamycin vaginal cream (2%, 5 g, once daily for 7 days), or metronidazole gel (0.75%, 5 g, twice daily for 5 days). Alternative regimens include clindamycin (300 mg orally twice daily for 7 days), clindamycin ovules (100 g intravaginally at bedtime for 3 days), tinidazole (2 g orally once daily for 3 days), or tinidazole (1 g orally once daily for 7 days).
The CDC offers a helpful training module to clinicians to review the current recommendations for treatment of vaginitis. Continuing medical education, continuing nursing education, and continuing education units are available with this online training (http://www2a.cdc.gov/stdtraining/self-study/vaginitis/default.htm).
Warty growths on the vulva, perianal area, vaginal walls, or cervix are caused by various types of the human papillomavirus (HPV). Pregnancy and immunosuppression favor growth. Ninety percent of genital warts are caused by HPV 6 and 11. The increased use of HPV vaccines should result in a decrease in the number of cases of this sexually transmitted disease. Vulvar lesions may be obviously wart-like or may be diagnosed only after application of 4% acetic acid (vinegar) and colposcopy, when they appear whitish, with prominent papillae. Vaginal lesions may show diffuse hypertrophy or a cobblestone appearance. Recommended treatments for vulvar warts include podophyllum resin 10–25% in tincture of benzoin (do not use during pregnancy or on bleeding lesions) or 80–90% trichloroacetic or bichloroacetic acid, carefully applied to avoid the surrounding skin. Surgical removal may be accomplished with tangential scissor excision, tangential shave excision, curettage, or electrotherapy. The pain of bichloroacetic or trichloroacetic acid application can be lessened by a sodium bicarbonate paste applied immediately after treatment. Podophyllum resin must be washed off after 2–4 hours. Freezing with liquid nitrogen or a cryoprobe and electrocautery are also effective. Patient-applied regimens, useful when the entire lesion is accessible to the patient, include podofilox 0.5% solution or gel, imiquimod 5% cream, or sinecatechins 15% ointment. Vaginal warts may be treated with cryotherapy with liquid nitrogen or trichloroacetic acid. Extensive warts may require treatment with CO2 laser under local or general anesthesia.
Cervical polyps commonly occur after menarche and are occasionally noted in postmenopausal women. The cause is not known, but inflammation may play an etiologic role. The principal symptoms are discharge and abnormal vaginal bleeding. However, abnormal bleeding should not be ascribed to a cervical polyp without sampling the endocervix and endometrium. The polyps are visible in the cervical os on speculum examination.
Cervical polyps must be differentiated from polypoid neoplastic disease of the endometrium, small submucous pedunculated myomas, large nabothian cysts, and endometrial polyps. Cervical polyps rarely contain dysplasia (0.5%) or malignant (0.5%) foci. Asymptomatic polyps in women under age 45 may be left untreated.
Trauma or infection may involve the Bartholin duct, causing obstruction of the gland. Drainage of secretions is prevented, leading to pain, swelling, and abscess formation (Figure 18–4). The infection usually resolves and pain disappears, but stenosis of the duct outlet with distention often persists. Reinfection causes recurrent tenderness and further enlargement of the duct.

Figure 18–4. Right-sided Bartholin cyst (abscess). The Bartholin gland is located in the lower two-thirds of the introitus. (From Susan Lindsley, Public Health Image Library, CDC.)
The principal symptoms are periodic painful swelling on either side of the introitus and dyspareunia. A fluctuant swelling 1–4 cm in diameter lateral to either labium minus is a sign of occlusion of Bartholin duct. Tenderness is evidence of active infection.
Pus or secretions from the gland should be cultured for Chlamydia and other pathogens and treated accordingly (see Chapter 33); frequent warm soaks may be helpful. If an abscess develops, aspiration or incision and drainage are the simplest forms of therapy, but the problem may recur. Marsupialization (in the absence of an abscess), incision and drainage with the insertion of an indwelling Word catheter, or laser treatment will establish a new duct opening. Antibiotics are unnecessary unless cellulitis is present. An asymptomatic cyst does not require therapy.
Surgical therapy (marsupialization) is indicated.
ESSENTIALS OF DIAGNOSIS
The presumptive diagnosis is made by an abnormal Papanicolaou smear of an asymptomatic woman with no grossly visible cervical changes.
Diagnose by colposcopically directed biopsy.
The squamocolumnar junction of the cervix is an area of active squamous cell proliferation. In childhood, this junction is located on the exposed vaginal portion of the cervix. At puberty, because of hormonal influence and possibly because of changes in the vaginal pH, the squamous margin begins to encroach on the single-layered, mucus-secreting epithelium, creating an area of metaplasia (transformation zone). Factors associated with coitus (see Prevention, below) may lead to cellular abnormalities, which over a period of time can result in the development of squamous cell dysplasia or cancer. There are varying degrees of dysplasia (Table 18–2), defined by the degree of cellular atypia; all types must be observed and treated if they persist or become more severe.
Table 18–2. Classification systems for Papanicolaou smears.

There are no specific symptoms or signs of CIN. The presumptive diagnosis is made by cytologic screening of an asymptomatic population with no grossly visible cervical changes. All visibly abnormal cervical lesions should be biopsied (Figure 18–5).

Figure 18–5. Erosion of the cervix due to cervical intraepithelial neoplasia (CIN), a precursor lesion to cervical cancer. (Public Health Image Library, CDC.)
Screening should begin at age 21. The recommendation to start screening at age 21 years regardless of the age of onset of sexual intercourse is based in part on the very low incidence of cancer in younger women. In contrast to the high rate of infection with HPV in sexually active adolescents, invasive cervical cancer is very rare in women younger than age 21 years. The recommendation is also based on the potential for adverse effects associated with follow-up of young women with abnormal cytology screening results. The US Preventive Services Task Force (USPSTF) recommends screening for cervical cancer in women age 21 to 65 years with cytology (Papanicolaou smear) every 3 years or, for women age 30 to 65 years who want to lengthen the screening interval, screening with a combination of cytology and HPV testing every 5 years. Screening may be done with either liquid-based or conventional cytology. Women with risk factors that place them at higher risk for CIN may require more frequent screening. These risk factors include HIV infection, immunosuppression, exposure to diethylstilbesterol in utero, and previous treatment for CIN 2, CIN 3, or cervical cancer. The USPSTF recommends against screening for cervical cancer with HPV testing, alone or in combination with cytology, in women younger than age 30 years. The USPSTF recommends against screening for cervical cancer in women older than age 65 years who have had adequate prior screening and are not otherwise at high risk for cervical cancer. The guidelines have been changed to avoid overly aggressive treatment and monitoring. Online applications are available to provide the clinician with treatment guidelines for the management of abnormal Papanicolaou smears (http://www.imedicalapps.com/2013/04/cervical-cancer-screening-medical-app-asccp-obgyn-physicians/).
Exfoliated cells are collected from the transformation zone of the cervix and may be transferred to a vial of liquid preservative that is processed in the laboratory to produce a slide for interpretation—the liquid-based technique—or may be transferred directly to the slide and fixed using the conventional technique. Performance of conventional cervical cytology requires avoidance of contaminating blood, discharge, and lubricant.
Cytologic reports from the laboratory may describe findings in one of several ways (see Table 18–2). The Bethesda System uses the terminology “atypical squamous cells of unknown significance” (ASC-US) and “squamous intraepithelial lesions,” either low-grade (LSIL) or high-grade (HSIL). Cytopathologists consider a Papanicolaou smear to be a medical consultation and will recommend further diagnostic procedures, treatment for infection, and comments on factors preventing adequate evaluation of the specimen.
Testing for HPV DNA currently is used in cervical cancer screening as a triage test to stratify risk to women aged 21 years and older with a cytologic diagnosis of ASC-US and postmenopausal women with a cytologic diagnosis of LSIL. It may be used as an adjunct to cytology for primary screening in women older than 30 years. It also may be used as a follow-up test after CIN 1 or negative findings on colposcopy in women whose prior cytologic diagnosis is ASC-US, atypical squamous cells, cannot rule out a high-grade lesion (ASC-H), LSIL, or atypical glandular cells, and in follow-up after treatment for CIN 2 and CIN 3. HPV testing should not be used in females younger than 21 years and if inadvertently performed, a positive result should not influence management.
Women with ASC-US and a negative HPV screening may be followed-up in 1 year. If the HPV screen is positive, colposcopy should be performed. If HPV screening is unavailable, repeat cytology may be done at 4- to 6-month intervals until two consecutive normal results, or the patient may be referred directly for colposcopy. All patients with SIL or atypical glandular cells should undergo colposcopy. Viewing the cervix with 10–20 × magnification allows for assessment of the size and margins of an abnormal transformation zone and determination of extension into the endocervical canal. The application of 3–5% acetic acid (vinegar) dissolves mucus, and the acid’s desiccating action sharpens the contrast between normal and actively proliferating squamous epithelium. Abnormal changes include white patches and vascular atypia, which indicate areas of greatest cellular activity.
Colposcopically directed punch biopsy and endocervical curettage are office procedures. If colposcopy is not available, the normal-appearing cervix shedding atypical cells can be evaluated by endocervical curettage and multiple punch biopsies of nonstaining squamous epithelium or biopsies from each quadrant of the cervix. Data from both cervical biopsy and endocervical curettage are important in deciding on treatment.
Cervical infection with the HPV is associated with a high percentage of all cervical dysplasias and cancers. There are over 70 recognized HPV subtypes, of which types 6 and 11 tend to cause genital warts and mild dysplasia, while types 16, 18, 31, and others cause higher-grade cellular changes. Vaccination can prevent cervical cancer and vaginal and vulvar pre-cancers caused by HPV types 16 and 18, and to protect against low-grade and pre-cancerous lesions caused by HPV types 16 and 18. The bivalent vaccine (known as Cervarix) provides protection against HPV types 16 and 18. The quadrivalent HPV 6/11/16/18 L1 virus-like-particle vaccine (known as Gardasil) also provides protection against genital warts caused by HPV types 6 and 11. Gardasil is recommended for all girls and women aged 9 to 26. Both vaccines provide partial protection against several other HPV types that cause approximately 30% of cervical cancers. In the United States, HPV prevalence appears to be decreasing among teenage girls, despite relatively low use of HPV vaccination. Because complete coverage of all carcinogenic HPV types is not provided by either vaccine, all women need to have regular cytologic screening as outlined above. In addition to vaccination, preventive measures include limiting the number of sexual partners, using a diaphragm or condom for coitus, and stopping smoking or exposure to second-hand smoke.
Treatment varies depending on the degree and extent of CIN. Biopsies should always precede treatment.
The use of freezing (cryosurgery) is effective for noninvasive small lesions visible on the cervix without endocervical extension.
This well-controlled method minimizes tissue destruction. It is colposcopically directed and requires special training. It may be used with large visible lesions. In current practice, it involves the vaporization of the transformation zone on the cervix and the distal 5–7 mm of endocervical canal.
When the CIN is clearly visible in its entirety, a wire loop can be used for excisional biopsy. This office procedure, called LEEP (loop electrosurgical excision procedure), with local anesthesia is quick and uncomplicated. Cutting and hemostasis are achieved with a low-voltage electrosurgical machine.
Conization is surgical removal of the entire transformation zone and endocervical canal. It should be reserved for cases of severe dysplasia (CIN III) or cancer in situ, particularly those with endocervical extension. The procedure can be performed with the scalpel, the CO2 laser, the needle electrode, or by large-loop excision.
Because recurrence is possible—especially in the first 2 years after treatment—and because the false-negative rate of a single cervical cytologic test is 20%, close follow-up after colposcopy and biopsy is imperative. For CIN II or III, cytologic examination or cytology and colposcopy should be repeated at 4- to 6-month intervals for up to 2 years. For CIN I, cytology should be performed at 6 and 12 months or HPV DNA testing can be done at 12 months. If testing is normal, routine cytologic screening can be resumed.
• Patients with CIN II/III should be referred to an experienced colposcopist.
• Patients requiring conization biopsy should be referred to a gynecologist.
Erickson BK et al. Human papillomavirus: what every provider should know. Am J Obstet Gynecol. 2013 Mar;208(3):169–75. [PMID: 23021131]
Moyer VA. Screening for cervical cancer: U.S. Preventive Services Task Force recommendation statement. Ann Intern Med. 2012 Jun 19;156(12):880–91. [PMID: 22711081]
Whitlock EP et al. Liquid-based cytology and human papillomavirus testing to screen for cervical cancer: a systematic review for the U.S. Preventive Services Task Force. Ann Intern Med. 2011 Nov 15;155(10):687–97. [PMID: 22006930]
The American Society for Colposcopy and Cervical Pathology Guidelines for cervical cancer screening and management of abnormal Papanicolaou smears are available for purchase in an online application (http://www.imedicalapps.com/2013/04/cervical-cancer-screening-medical-app-asccp-obgyn-physicians/).
ESSENTIALS OF DIAGNOSIS
Increased risk in women who smoke and those with HIV or high-risk HPV types.
Gross lesions should be evaluated by colposcopically directed biopsies and not cytology alone. Cervical lesion may be visible on inspection as a tumor or ulceration but a diagnosis of cervical cancer requires a tissue diagnosis.
Cervical cancer is the third most common cancer in the world and the leading cause of cancer death among women in developing countries. It can be considered a sexually transmitted disease. Both squamous cell and adenocarcinoma of the cervix are etiologically related to infection with HPV, primarily types 16 and 18. Women infected with HIV are at an increased risk for high-risk HPV infection and CIN. Smoking and possibly dietary factors such as decreased circulating vitamin A appear to be cofactors. Squamous cell carcinoma (SCC) accounts for approximately 80% of cervical cancers, while adenocarcinoma accounts for 15% and adenosquamous carcinoma for 3–5%; neuroendocrine or small cell carcinomas are rare.
SCC appears first in the intraepithelial layers (the preinvasive stage, or carcinoma in situ). Preinvasive cancer (CIN III) is a common diagnosis in women 25–40 years of age. Two to 10 years are required for carcinoma to penetrate the basement membrane and invade the tissues. Cervical cancer mortality has declined steadily due to high rates of screening and improved treatment. The 5-year survival rate ranges from 63% for stage II cervical cancer to 15% for stage IV.
The most common signs are metrorrhagia, postcoital spotting, and cervical ulceration. Bladder and rectal dysfunction or fistulas and pain are late symptoms.
These procedures are necessary steps after a positive Papanicolaou smear to determine the extent and depth of invasion of the cancer. Even if the smear is positive, treatment is never justified until definitive diagnosis has been established through biopsy.
Staging of invasive cervical cancer is achieved by clinical evaluation, usually conducted under anesthesia. Further examinations, such as ultrasonography, CT, MRI, lymphangiography, laparoscopy, and fine-needle aspiration, are valuable for treatment planning.
Metastases to regional lymph nodes occur with increasing frequency from stage I to stage IV. Paracervical extension occurs in all directions from the cervix. The ureters may become obstructed lateral to the cervix, causing hydroureter and hydronephrosis and consequently impaired kidney function. Almost two-thirds of patients with untreated carcinoma of the cervix die of uremia when ureteral obstruction is bilateral. Pain in the back, in the distribution of the lumbosacral plexus, is often indicative of neurologic involvement. Gross edema of the legs may be indicative of vascular and lymphatic stasis due to tumor.
Vaginal fistulas to the rectum and urinary tract are severe late complications. Hemorrhage is the cause of death in 10–20% of patients with extensive invasive carcinoma.
Vaccination with Gardasil and Cervarix can prevent cervical cancer caused by HPV types 16 and 18, and protect against low-grade and precancerous lesions caused by these types (see Cervical Intraepithelial Neoplasia, above).
Vaginal hemorrhage originates from gross ulceration and cavitation in stage II–IV cervical carcinoma. Ligation and suturing of the cervix are usually not feasible, but ligation of the uterine or hypogastric arteries may be lifesaving when other measures fail. Styptics such as Monsel solution or acetone are effective, although delayed sloughing may result in further bleeding. Wet vaginal packing is helpful. Emergency irradiation usually controls bleeding.
1. Carcinoma in situ (stage 0)—In women for whom childbearing is not a consideration, total hysterectomy is the treatment of choice. In women who wish to retain the uterus, acceptable alternatives include cervical conization or ablation of the lesion with cryotherapy or laser. Close follow-up with Papanicolaou smears every 3 months for 1 year and every 6 months for another year is necessary after cryotherapy or laser.
2. Invasive carcinoma—Microinvasive carcinoma (stage IA1) is treated with simple, extrafascial hysterectomy. Stages IA2, IB1, and IIA cancers may be treated with either radical hysterectomy with concomitant radiation and chemotherapy or with radiation plus chemotherapy alone. Women with stage IB1 may be candidates for fertility-sparing surgery that includes radical trachelectomy and lymph node dissection with preservation of the uterus and ovaries. Stages IB2, IIB, III, and IV cancers are treated with radiation therapy plus concurrent chemotherapy.
The overall 5-year relative survival rate for carcinoma of the cervix is 68% in white women and 55% in black women in the United States. Survival rates are inversely proportionate to the stage of cancer: stage 0, 99–100%; stage IA, > 95%; stage IB–IIA, 80–90%; stage IIB, 65%; stage III, 40%; and stage IV, < 20%.
All patients with invasive cervical carcinoma (stage 1A or higher) should be referred to a gynecologic oncologist.
American Cancer Society. Survival rates for cervical cancer by stage. Available at http://www.cancer.org/cancer/cervicalcancer/detailedguide/cervical-cancer-survival.
Apgar BS et al. Gynecologic procedures: colposcopy, treatments for cervical intraepithelial neoplasia and endometrial assessment. Am Fam Physician. 2013 Jun 15;87(12):836–43. [PMID: 23939565]
Berger JL et al. Surgical management of cervical carcinoma. Hematol Oncol Clin North Am. 2012 Feb;26(1):63–78. [PMID: 22244662]
Dickinson JA et al. Reduced cervical cancer incidence and mortality in Canada: national data from 1932 to 2006. BMC Public Health. 2012 Nov 16;12:992. [PMID: 23158654]
ESSENTIALS OF DIAGNOSIS
Irregular enlargement of the uterus (may be asymptomatic).
Heavy or irregular vaginal bleeding, dysmenorrhea.
Pelvic pain and pressure.
Uterine leiomyoma is the most common benign neoplasm of the female genital tract. It is a discrete, round, firm, often multiple uterine tumor composed of smooth muscle and connective tissue. The most convenient classification is by anatomic location: (1) intramural, (2) submucous, (3) subserous, (4) intraligamentous, (5) parasitic (ie, deriving its blood supply from an organ to which it becomes attached), and (6) cervical. A submucous myoma may become pedunculated and descend through the cervix into the vagina.
In nonpregnant women, myomas are frequently asymptomatic. The two most common symptoms of uterine leiomyomas for which women seek treatment are AUB and pelvic pain or pressure. Occasionally, degeneration occurs, causing intense pain. The risk of miscarriage is increased if the myoma significantly distorts the uterine cavity. Fibroids rarely cause infertility by causing bilateral tubal blockage; they more commonly cause miscarriage and pregnancy complications such as preterm labor and preterm delivery as well as malpresentation.
Iron deficiency anemia may result from blood loss; in rare cases, polycythemia is present, presumably as a result of the production of erythropoietin by the myomas.
Ultrasonography will confirm the presence of uterine myomas and can be used sequentially to monitor growth. When multiple subserous or pedunculated myomas are being followed, ultrasonography is important to exclude ovarian masses. MRI can delineate intramural and submucous myomas accurately. Hysterography or hysteroscopy can also confirm cervical or submucous myomas.
Irregular myomatous enlargement of the uterus must be differentiated from the similar but symmetric enlargement that may occur with pregnancy or adenomyosis. Subserous myomas must be distinguished from ovarian tumors. Leiomyosarcoma is an unusual tumor occurring in 0.5% of women operated on for symptomatic myoma. It is very rare under the age of 40 and increases in incidence thereafter.
Emergency surgery may be required for acute torsion of a pedunculated myoma. If the patient is markedly anemic as a result of long, heavy menstrual periods, preoperative treatment with DMPA, 150 mg intramuscularly every 28 days, or use of a GnRH agonist, such as depot leuprolide, 3.75 mg intramuscularly monthly, or nafarelin, 0.2–0.4 mg intranasally twice daily, will slow or stop bleeding, and medical treatment of anemia can be given prior to surgery. Levonorgestrel-containing IUDs have also been used to decrease the bleeding associated with fibroids, but IUD placement is more technically challenging in these patients. The only emergency indication for myomectomy during pregnancy is torsion. This surgery is not likely to cause abortion.
Women who have small asymptomatic myomas should be examined annually. Surgical intervention is based on the patient’s symptoms and desire for future fertility. Uterine size alone is no longer considered an indication for surgery. Cervical myomas larger than 3–4 cm in diameter or pedunculated myomas that protrude through the cervix must be removed because they often cause bleeding, infection, degeneration, pain, and urinary retention. Submucous myomas can be removed using a hysteroscope and laser or resection instruments.
Because the risk of surgical complications increases with the increasing size of the myoma, preoperative reduction of myoma size is desirable. GnRH analogs such as depot leuprolide, 3.75 mg intramuscularly monthly, or nafarelin, 0.2–0.4 mg intranasally twice a day, are used preoperatively for 3- to 4-month periods to induce reversible hypogonadism, which temporarily reduces the size of myomas, suppresses their further growth, and reduces surrounding vascularity. Low-dose (5–10 mg/d) mifepristone and other selective progesterone-receptor modulators have shown some promise for long-term medical treatment of myomas.
Surgical measures available for the treatment of myoma are laparoscopic or abdominal myomectomy and total or subtotal abdominal, vaginal, or laparoscopy-assisted vaginal hysterectomy. Myomectomy is the treatment of choice for women who wish to preserve fertility. Uterine artery embolization is a minimally invasive treatment for some uterine fibroids. In uterine artery embolization the goal is to block the blood vessels supplying the fibroids, causing them to shrink. Magnetic resonance–guided high-intensity focused ultrasound, myolysis/radiofrequency ablation, and laparoscopic or vaginal occlusion of uterine vessels are newer interventions, with a smaller body of evidence.
Surgical therapy is curative. In women desiring future fertility, myomectomy can be offered, but patients should be counseled that recurrence is common, postoperative pelvic adhesions may impact fertility, and cesarean delivery may be necessary.
Refer to a gynecologist for treatment of symptomatic leiomyomata.
For acute abdomen associated with an infarcted leiomyoma or hemorrhage not controlled by outpatient measures.
Guo XC et al. The impact and management of fibroids for fertility: an evidence-based approach. Obstet Gynecol Clin North Am. 2012 Dec;39(4):521–33. [PMID: 23182558]
Islam MS et al. Uterine leiomyoma: available medical treatments and new possible therapeutic options. J Clin Endocrinol Metab. 2013 Mar;98(3):921–34. [PMID: 23393173]
van der Kooij SM et al. Review of nonsurgical/minimally invasive treatments for uterine fibroids. Curr Opin Obstet Gynecol. 2012 Dec;24(6):368–75. [PMID: 23014141]
Zimmermann A et al. Prevalence, symptoms and management of uterine fibroids: an international internet-based survey of 21,746 women. BMC Womens Health. 2012 Mar 26;12:6. [PMID: 22448610]
ESSENTIALS OF DIAGNOSIS
Abnormal bleeding is the presenting sign in 90% of cases.
Papanicolaou smear is frequently negative.
After a negative pregnancy test, endometrial tissue is required to confirm the diagnosis.
Adenocarcinoma of the endometrium is the second most common cancer of the female genital tract. It occurs most often in women 50–70 years of age. Obesity, nulliparity, diabetes, and polycystic ovaries with prolonged anovulation, unopposed estrogen therapy, and the extended use of tamoxifen for the treatment of breast cancer are also risk factors. Women with a family history of colon cancer (hereditary nonpolyposis colorectal cancer, Lynch syndrome) are at significantly increased risk, with a lifetime incidence as high as 30%.
Abnormal bleeding is the presenting sign in 90% of cases. Any postmenopausal bleeding requires investigation. Pain generally occurs late in the disease, with metastases or infection.
Papanicolaou smears of the cervix occasionally show atypical endometrial cells but are an insensitive diagnostic tool. Endocervical and endometrial sampling is the only reliable means of diagnosis. Simultaneous hysteroscopy can be a valuable addition in order to localize polyps or other lesions within the uterine cavity. Vaginal ultrasonography may be used to determine the thickness of the endometrium as an indication of hypertrophy and possible neoplastic change. The finding of a thin endometrial lining on ultrasound is helpful in cases where very little tissue is obtainable through endometrial biopsy.
Pathologic assessment is important in differentiating hyperplasias, which often can be treated with cyclic oral progestins.
Prompt endometrial sampling for patients who report abnormal menstrual bleeding or postmenopausal uterine bleeding will reveal many incipient as well as clinical cases of endometrial cancer. Younger women with chronic anovulation are at risk for endometrial hyperplasia and subsequent endometrial cancer. They can reduce the risk of hyperplasia almost completely with the use of oral contraceptives or cyclic progestin therapy.
Staging and prognosis are based on surgical and pathologic evaluation only. Examination under anesthesia, endometrial and endocervical sampling, chest radiography, intravenous urography, cystoscopy, sigmoidoscopy, transvaginal sonography, and MRI will help determine the extent of the disease and its appropriate treatment.
Treatment consists of total hysterectomy and bilateral salpingo-oophorectomy. Peritoneal material for cytologic examination is routinely taken and lymph node sampling may be done. If invasion deep into the myometrium has occurred or if sampled lymph nodes are positive for tumor, postoperative irradiation is indicated. Several randomized controlled trials examining the role of adjuvant chemotherapy alone or with irradiation are ongoing. One study has shown a modest increase in survival with chemotherapy alone versus whole abdominal radiation alone in women with stage III–IV disease. Palliation of advanced or metastatic endometrial adenocarcinoma may be accomplished with large doses of progestins, eg, medroxyprogesterone, 400 mg intramuscularly weekly, or megestrol acetate, 80–160 mg daily orally.
With early diagnosis and treatment, the overall 5-year survival is 80–85%. With stage I disease, the depth of myometrial invasion is the strongest predictor of survival, with a 98% 5-year survival with < 66% depth of invasion and 78% survival with ≥ 66% invasion.
All patients with endometrial carcinoma should be referred to a gynecologic oncologist.
Freeman SJ et al. The revised FIGO staging system for uterine malignancies: implications for MR imaging. Radiographics. 2012 Oct;32(6):1805–27. [PMID: 23065170]
Landrum LM et al. Phase II trial of vaginal cuff brachytherapy followed by chemotherapy in early stage endometrial cancer patients with high-intermediate risk factors. Gynecol Oncol. 2014 Jan;132(1):50–4. [PMID: 24219982]
Shah MM et al. Management of endometrial cancer in young women. Clin Obstet Gynecol. 2011 Jun;54(2):219–25. [PMID: 21508691]
Trimble CL et al; Society of Gynecologic Oncology Clinical Practice Committee. Management of endometrial precancers. Obstet Gynecol. 2012 Nov;120(5):1160–75. [PMID: 23090535]
ESSENTIALS OF DIAGNOSIS
History of genital warts.
History of prolonged vulvar irritation, with pruritus, local discomfort, or slight bloody discharge.
Early lesions may suggest or include non-neoplastic epithelial disorders.
Late lesions appear as a mass, an exophytic growth, or a firm, ulcerated area in the vulva.
Biopsy is necessary for diagnosis.
The majority of cancers of the vulva are squamous lesions that classically have occurred in women over 50 years of age. Several subtypes (particularly 16, 18, and 31) of HPV have been identified in some but not all vulvar cancers. About 70–90% of vulvar intraepithelial neoplasia (VIN) and 40–60% of vulvar cancers are HPV associated. As with squamous cell lesions of the cervix, a grading system of VIN from mild dysplasia to carcinoma in situ is used.
Benign vulvar disorders that must be excluded in the diagnosis of carcinoma of the vulva include chronic granulomatous lesions (eg, lymphogranuloma venereum, syphilis), condylomas, hidradenoma, or neurofibroma. Lichen sclerosus and other associated leukoplakic changes in the skin should be biopsied. The likelihood that a superimposed vulvar cancer will develop in a woman with a nonneoplastic epithelial disorder (vulvar dystrophy) is 1–5%.
Biopsy is essential for the diagnosis of VIN and vulvar cancer and should be performed with any localized atypical vulvar lesion, including white patches. Multiple skin-punch specimens can be taken in the office under local anesthesia, with care to include tissue from the edges of each lesion sampled. Colposcopy of vulva, vagina, and cervix can help in identifying areas for biopsy and in planning further treatment.
Vulvar cancer generally spreads by direct extension into the vagina, urethra, perineum, and anus, with discontinuous spread into the inguinal and femoral lymph nodes. CT or MRI of the pelvis or abdomen is generally not required except in advanced cases for planning therapeutic options.
Early diagnosis and treatment of irritative or other predisposing causes, such as lichen sclerosis and VIN, should be pursued. A 7:3 combination of betamethasone and crotamiton is particularly effective for itching. After an initial response, fluorinated steroids should be replaced with hydrocortisone because of their skin atrophying effect. For lichen sclerosus, recommended treatment is clobetasol propionate cream 0.05% twice daily for 2–3 weeks, then once daily until symptoms resolve. Application one to three times a week can be used for long-term maintenance therapy.
High-grade VIN may be treated with a variety of approaches including topical chemotherapy, laser ablation, wide local excision, skinning vulvectomy, and simple vulvectomy. Small, invasive basal cell carcinoma of the vulva should be excised with a wide margin. If the VIN is extensive or multicentric, laser therapy or superficial surgical removal of vulvar skin may be required. In this way, the clitoris and uninvolved portions of the vulva may be spared.
Invasive carcinoma confined to the vulva without evidence of spread to adjacent organs or to the regional lymph nodes is treated with wide local excision and inguinal lymphadenectomy or wide local excision alone if invasion is < 1 mm. To avoid the morbidity of inguinal lymphadenectomy, some guidelines recommend sentinel lymph node sampling for women with early stage vulvar cancer. Patients with more advanced disease may receive preoperative radiation, chemotherapy, or both.
Basal cell vulvar carcinomas very seldom metastasize, and carcinoma in situ by definition has not metastasized. With adequate excision, the prognosis for both lesions is excellent. Patients with invasive vulvar SCC 2 cm in diameter or less, without inguinal lymph node metastases, have an 85–90% 5-year survival rate. If the lesion is > 2 cm and lymph node involvement is present, the likelihood of 5-year survival is approximately 40%.
All patients with invasive vulvar carcinoma should be referred to a gynecologic oncologist.
Carter JS et al. Vulvar and vaginal cancer. Obstet Gynecol Clin North Am. 2012 Jun;39(2):213–31. [PMID: 22640712]
de Gregorio N et al. The role of preoperative ultrasound evaluation of inguinal lymph nodes in patients with vulvar malignancy. Gynecol Oncol. 2013 Oct;131(1):113-7. [PMID: 23932893]
Dittmer C et al. Diagnosis and treatment options of vulvar cancer: a review. Arch Gynecol Obstet. 2012 Jan;285(1):183–93. [PMID: 21909752]
ESSENTIALS OF DIAGNOSIS
Dysmenorrhea.
Dyspareunia.
Increased frequency among infertile women.
Abnormal uterine bleeding.
Endometriosis is an aberrant growth of endometrium outside the uterus, particularly in the dependent parts of the pelvis and in the ovaries, whose principal manifestations are chronic pain and infertility. While retrograde menstruation is the most widely accepted cause, its pathogenesis and natural course are not fully understood. The overall prevalence in the United States is 6–10% and is fourfold to fivefold greater among infertile women.
The clinical manifestations of endometriosis are variable and unpredictable in both presentation and course. Dysmenorrhea, chronic pelvic pain, and dyspareunia, are among the well-recognized manifestations. A significant number of women with endometriosis, however, remain asymptomatic and most women with endometriosis have a normal pelvic examination. However, in some women, pelvic examination can disclose tender nodules in the cul-de-sac or rectovaginal septum, uterine retroversion with decreased uterine mobility, cervical motion tenderness, or an adnexal mass or tenderness.
Endometriosis must be distinguished from pelvic inflammatory disease, ovarian neoplasms, and uterine myomas. Bowel invasion by endometrial tissue may produce blood in the stool that must be distinguished from bowel neoplasm.
Imaging is of limited value and is only useful in the presence of a pelvic or adnexal mass. Transvaginal ultrasonography is the imaging modality of choice to detect the presence of deeply penetrating endometriosis of the rectum or rectovaginal septum, while MRI should be reserved for equivocal cases of rectovaginal or bladder endometriosis. Ultimately, a definitive diagnosis of endometriosis is made only by histology of lesions removed at surgery.
Medical treatment, using a variety of hormonal therapies, is effective in the amelioration of pain associated with endometriosis. However, there is no evidence that any of these agents increase the likelihood of pregnancy. Their preoperative use is of questionable value in reducing the difficulty of surgery. Most of these regimens are designed to inhibit ovulation over 4–9 months and lower hormone levels, thus preventing cyclic stimulation of endometriotic implants and inducing atrophy. The optimum duration of therapy is not clear, and the relative merits in terms of side effects and long-term risks and benefits show insignificant differences when compared with each other and, in mild cases, with placebo. Commonly used medical regimens include the following:
1. Although there is no conclusive evidence that NSAIDs improve pain associated with endometriosis, these agents are reasonable options in appropriately selected patients.
2. Low-dose oral contraceptives can also be given cyclically; prolonged suppression of ovulation often inhibits further stimulation of residual endometriosis, especially if taken after one of the therapies mentioned here. Any of the combination oral contraceptives, the contraceptive patch, or vaginal ring may be used continuously for 6–12 months. Breakthrough bleeding can be treated with conjugated estrogens, 1.25 mg orally daily for 1 week, or estradiol, 2 mg daily orally for 1 week.
3. Progestins, specifically oral norethindrone acetate and subcutaneous DMPA, have been approved by the FDA for treatment of endometriosis-associated pain.
4. GnRH agonists are highly effective in reducing the pain syndromes associated with endometriosis. However, they are not superior to other methods such as combined oral contraceptives as first-line therapy. The GnRH analogs (such as nafarelin nasal spray, 0.2–0.4 mg twice daily, or long-acting injectable leuprolide acetate, 3.75 mg intramuscularly monthly, used for 6 months) suppress ovulation. Side effects of vasomotor symptoms and bone demineralization may be relieved by “add-back” therapy, such as conjugated equine estrogen, 0.625 mg, or norethindrone, 5 mg orally daily.
5. Danazol is an androgenic drug that has been used for the treatment of endometriosis-associated pain. It should be used for 4–6 months in the lowest dose necessary to suppress menstruation, usually 200–400 mg orally twice daily. However, danazol has a high incidence of androgenic side effects that are more severe than other drugs available, including decreased breast size, weight gain, acne, and hirsutism.
6. Intrauterine progestin use with the levonorgestrel intrauterine system also has been shown to be effective in reducing endometriosis-associated pelvic pain and should be tried before radical surgery.
7. The use of aromatase inhibitors (such as anastrozole or letrozole) have been evaluated in women with chronic pain resistant to other forms of medical management or surgical management. Although promising, there are insufficient data to recommend their routine use.
Surgical treatment of endometriosis—particularly extensive disease—is effective both in reducing pain and in promoting fertility. Laparoscopic ablation of endometrial implants significantly reduces pain. Ablation of implants and, if necessary, removal of ovarian endometriomas enhance fertility, although subsequent pregnancy rates are inversely related to the severity of disease. Women with disabling pain for whom childbearing is not a consideration can be treated definitively with total abdominal hysterectomy and bilateral salpingo-oophorectomy. In premenopausal women, hormone replacement then may be used to relieve vasomotor symptoms. However, hormone replacement may lead to a recurrence of endometriosis and associated pain.
There is little systematic research regarding either the progression of the disease or the prediction of clinical outcomes. The prognosis for reproductive function in early or moderately advanced endometriosis appears to be good with conservative therapy. Hysterectomy, with bilateral salpingo-oophorectomy, often is regarded as definitive therapy for the treatment of endometriosis associated with intractable pelvic pain, adnexal masses, or multiple previous ineffective conservative surgical procedures. However, symptoms may recur in women even after hysterectomy and oophorectomy.
Refer to a gynecologist for laparoscopic diagnosis or treatment.
Rarely necessary except for acute abdomen associated with ruptured or bleeding endometrioma.
American College of Obstetricians and Gynecologists. ACOG Practice Bulletin No. 114: Management of endometriosis. Obstet Gynecol. 2010 July:116(1):223–36. [PMID: 20567196]
Burney RO et al. Pathogenesis and pathophysiology of endometriosis. Fertil Steril. 2012 Sep;98(3):511–9. [PMID: 22819144]
Johnson NP et al; World Endometriosis Society Montpellier Consortium. Consensus on current management of endometriosis. Hum Reprod. 2013 Jun;28(6):1552–68. [PMID: 23528916]
Matorras R et al. Efficacy of the levonorgestrel-releasing intrauterine device in the treatment of recurrent pelvic pain in multitreated endometriosis. J Reprod Med. 2011 Nov–Dec;56(11–12):497–503. [PMID: 22195333]
Schrager S et al. Evaluation and treatment of endometriosis. Am Fam Physician. 2013 Jan 15;87(2):107–13. [PMID: 23317074]
Cystocele, rectocele, and enterocele are vaginal hernias commonly seen in multiparous women. Cystocele is a hernia of the bladder wall into the vagina, causing a soft anterior fullness. Cystocele may be accompanied by urethrocele, which is not a hernia but a sagging of the urethra following its detachment from the pubic symphysis during childbirth. Rectocele is a herniation of the terminal rectum into the posterior vagina, causing a collapsible pouch-like fullness. Enterocele is a vaginal vault hernia containing small intestine, usually in the posterior vagina and resulting from a deepening of the pouch of Douglas. Two or all three types of hernia may occur in combination. Risk factors may include vaginal birth, genetic predisposition, advancing age, prior pelvic surgery, connective tissue disorders, and increased intra-abdominal pressure associated with obesity or straining associated with chronic constipation or coughing.
Symptoms of pelvic organ prolapse may include sensation of a bulge or protrusion in the vagina, urinary or fecal incontinence, constipation, a sense of incomplete bladder emptying, and dyspareunia. The cause of pelvic organ prolapse, including prolapse of the uterus, vaginal apex, and anterior or posterior vaginal walls, is likely multifactorial.
The type of therapy depends on the extent of prolapse and the patient’s age and her desire for menstruation, pregnancy, and coitus.
Supportive measures include a high-fiber diet and laxatives to improve constipation. Weight reduction in obese patients and limitation of straining and lifting are helpful. Pelvic muscle training (Kegel exercises) is a simple, noninvasive intervention that may improve pelvic function that has clearly demonstrated benefit for women with urinary or fecal symptoms, especially incontinence. Pessaries may reduce cystocele, rectocele, or enterocele and are helpful in women who do not wish to undergo surgery or are poor surgical candidates.
The most common surgical procedure is vaginal or abdominal hysterectomy with additional attention to restoring apical support after the uterus is removed, including suspension by either uterosacral or sacrospinous fixation vaginally or abdominal sacral colpopexy. Since stress incontinence is common after vault suspension procedures, an anti-incontinence procedure should be considered. While the use of various surgical mesh materials with these procedures increased substantially since 2000, several safety advisories recommend a more cautious use of mesh materials. If the patient desires pregnancy, the same procedures for vaginal suspension can be performed without hysterectomy, though limited data on pregnancy outcomes or prolapse outcomes are available. For elderly women who do not desire coitus, colpocleisis, the partial obliteration of the vagina, is surgically simple and effective. Uterine suspension with sacrospinous cervicocolpopexy may be an effective approach in older women who wish to avoid hysterectomy but preserve coital function.
• Refer to urogynecologist or gynecologist for incontinence evaluation.
• Refer if nonsurgical therapy is ineffective.
Committee on Gynecologic Practice. Committee Opinion no. 513: vaginal placement of synthetic mesh for pelvic organ prolapse. Obstet Gynecol. 2011 Dec;118(6):1459–64. [PMID: 22105294]
Committee on Gynecologic Practice. Vaginal placement of synthetic mesh for pelvic organ prolapse. Female Pelvic Med Reconstr Surg. 2012 Jan–Feb;18(1):5–9. [PMID: 22453257]
Kenton K et al; Pelvic Floor Disorders Network. Pelvic floor symptoms improve similarly after pessary and behavioral treatment for stress incontinence. Female Pelvic Med Reconstr Surg. 2012 Mar–Apr;18(2):118–21. [PMID: 22453323]
Wei JT et al; Pelvic Floor Disorders Network. A midurethral sling to reduce incontinence after vaginal prolapse repair. N Engl J Med. 2012 Jun 21;366(25):2358–67. [PMID: 22716974]
ESSENTIALS OF DIAGNOSIS
Uterine, adnexal, or cervical motion tenderness.
Abnormal discharge from the vagina or cervix.
Absence of a competing diagnosis.
Pelvic inflammatory disease (PID) is a polymicrobial infection of the upper genital tract associated with the sexually transmitted organisms N gonorrhoeae and Chlamydia trachomatis as well as endogenous organisms, including anaerobes, Haemophilus influenzae, enteric gram-negative rods, and streptococci. It is most common in young, nulliparous, sexually active women with multiple partners and is a leading cause of infertility and ectopic pregnancy. The use of barrier methods of contraception may provide significant protection.
Tuberculous salpingitis is rare in the United States but more common in developing countries; it is characterized by pelvic pain and irregular pelvic masses not responsive to antibiotic therapy. It is not sexually transmitted.
Patients with PID may have lower abdominal pain, chills and fever, menstrual disturbances, purulent cervical discharge, and cervical and adnexal tenderness. Right upper quadrant pain (Fitz-Hugh and Curtis syndrome) may indicate an associated perihepatitis. However, diagnosis of PID is complicated by the fact that many women may have subtle or mild symptoms that are not readily recognized as PID, such as postcoital bleeding, urinary frequency, or low back pain.
Women with uterine, adnexal, or cervical motion tenderness should be considered to have PID and be treated with antibiotics unless there is a competing diagnosis such as ectopic pregnancy or appendicitis.
No single historical, physical or laboratory finding is definitive for acute PID. The following criteria may be used to enhance the specificity of the diagnosis: (1) oral temperature > 38.3°C, (2) abnormal cervical or vaginal discharge with white cells on saline microscopy (> 1 leukocyte per epithelial cell), (3) elevated erythrocyte sedimentation rate, (4) elevated C-reactive protein, and (5) laboratory documentation of cervical infection with N gonorrhoeae or C trachomatis. Endocervical culture should be performed routinely, but treatment should not be delayed while awaiting results.
Appendicitis, ectopic pregnancy, septic abortion, hemorrhagic or ruptured ovarian cysts or tumors, twisted ovarian cyst, degeneration of a myoma, and acute enteritis must be considered. PID is more likely to occur when there is a history of PID, recent sexual contact, recent onset of menses, recent insertion of an IUD, or if the partner has a sexually transmitted disease. Acute PID is highly unlikely when recent intercourse has not taken place. A sensitive serum pregnancy test should be obtained to rule out ectopic pregnancy. Pelvic and vaginal ultrasonography is helpful in the differential diagnosis of ectopic pregnancy of over 6 weeks. Laparoscopy is often used to diagnose PID, and it is imperative if the diagnosis is not certain or if the patient has not responded to antibiotic therapy after 48 hours. The appendix should be visualized at laparoscopy to rule out appendicitis. Cultures obtained at the time of laparoscopy are often specific and helpful.
Early treatment with appropriate antibiotics effective against N gonorrhoeae, C trachomatis, and the endogenous organisms listed above is essential to prevent long-term sequelae. The sexual partner should be examined and treated appropriately. Most women with mild to moderate disease can be treated successfully as an outpatient. The recommended outpatient regimen is a single dose of cefoxitin, 2 g intramuscularly, with probenecid, 1 g orally, with doxycycline 100 mg orally twice a day for 14 days, or ceftriaxone 250 mg intramuscularly plus doxycycline, 100 mg orally twice daily, for 14 days. Metronidazole 500 mg orally twice daily for 14 days may also be added to either of these regimens to treat bacterial vaginosis that is frequently associated with PID. For patients with severe disease or those who meet the other criteria for hospitalization, there are two recommended regimens. One regimen includes cefotetan, 2 g intravenously every 12 hours, or cefoxitin, 2 g intravenously every 6 hours, plus doxycycline 100 mg orally or intravenously every 12 hours. The other recommended regimen is clindamycin, 900 mg intravenously every 8 hours, plus gentamicin, a loading dose of 2 mg/kg intravenously or intramuscularly followed by a maintenance dose of 1.5 mg/kg every 8 hours (or as a single daily dose, 3–5 mg/kg). These regimens should be continued for a minimum of 24 hours after the patient shows significant clinical improvement. Then, an oral regimen should be continued for 14 days with either doxycycline, 100 mg orally twice a day, or clindamycin, 450 mg orally four times a day. If a tubo-ovarian abscess is present, clindamycin should be given because of the better anaerobic coverage it provides.
Tubo-ovarian abscesses may require surgical excision or transcutaneous or transvaginal aspiration. Unless rupture is suspected, institute high-dose antibiotic therapy in the hospital, and monitor therapy with ultrasound. In 70% of cases, antibiotics are effective; in 30%, there is inadequate response in 48–72 hours, and surgical intervention is required. Unilateral adnexectomy is acceptable for unilateral abscess. Hysterectomy and bilateral salpingo-oophorectomy may be necessary for overwhelming infection or in cases of chronic disease with intractable pelvic pain.
In spite of treatment, long-term sequelae, including repeated episodes of infection, chronic pelvic pain, dyspareunia, ectopic pregnancy, or infertility, develop in one-fourth of women with acute disease. The risk of infertility increases with repeated episodes of salpingitis: it is estimated at 10% after the first episode, 25% after a second episode, and 50% after a third episode.
The following patients with acute PID should be admitted for intravenous antibiotic therapy:
• The patient has a tubo-ovarian abscess (direct inpatient observation for at least 24 hours before switching to outpatient parenteral therapy).
• The patient is pregnant.
• The patient is unable to follow or tolerate an outpatient regimen.
• The patient has not responded clinically to outpatient therapy within 72 hours.
• The patient has severe illness, nausea and vomiting, or high fever.
• Another surgical emergency, such as appendicitis, cannot be ruled out.
Liu B et al. Improving adherence to guidelines for the diagnosis and management of pelvic inflammatory disease: a systematic review. Infect Dis Obstet Gynecol. 2012;2012:325108. [PMID: 22973085]
Markle W et al. Sexually transmitted diseases. Prim Care. 2013 Sep;40(3):557–87. [PMID: 23958358]
Sweet RL. Treatment of acute pelvic inflammatory disease. Infect Dis Obstet Gynecol. 2011;2011:561909. [PMID: 22228985]
ESSENTIALS OF DIAGNOSIS
Vague gastrointestinal discomfort, pelvic pressure, or pain.
Many cases of early-stage cancer are asymptomatic.
Pelvic examination and ultrasound are mainstays of diagnosis.
Ovarian tumors are common. Most are benign, but malignant ovarian tumors are the leading cause of death from reproductive tract cancer. The wide range of types and patterns of ovarian tumors is due to the complexity of ovarian embryology and differences in tissues of origin.
In women with no family history of ovarian cancer, the lifetime risk is 1.6%, whereas a woman with one affected first-degree relative has a 5% lifetime risk. Ultrasound or tumor marker screening for women with one or no affected first-degree relatives have not been shown to reduce mortality from ovarian cancer, and the risks associated with unnecessary prophylactic surgical procedures outweigh the benefits in low-risk women. With two or more affected first-degree relatives, the risk is 7%. Approximately 3% of women with two or more affected first-degree relatives will have a hereditary ovarian cancer syndrome with a lifetime risk of 40%. Women with a BRCA1 gene mutation have a 45% lifetime risk of ovarian cancer and those with a BRCA2 mutation a 25% risk. Consideration should be given to screening these women every 6 months with transvaginal sonography and serum CA 125 testing, starting at age 35 or 5–10 years earlier than the earliest age that ovarian cancer was first diagnosed in a family member. Because this screening regimen has not been shown to reduce mortality, oophorectomy is recommended by age 35 or whenever childbearing is not a consideration because of the high risk of disease.
Unfortunately, most women with both benign and malignant ovarian neoplasms are either asymptomatic or experience only mild nonspecific gastrointestinal symptoms or pelvic pressure. Women with early disease are typically detected on routine pelvic examination. Women with advanced malignant disease may experience abdominal pain and bloating, and a palpable abdominal mass with ascites is often present.
CA 125 is elevated in 80% of women with epithelial ovarian cancer overall but in only 50% of women with early disease. Serum CA 125 may be elevated in premenopausal women with benign disease (such as endometriosis), minimizing its usefulness in ovarian cancer screening. In premenopausal women, other markers (such as human chorionic gonadotropin [hCG], lactate dehydrogenase, or alpha fetoprotein) may be indicators of the type of tumor present.
Transvaginal sonography is useful for screening high-risk women but has inadequate sensitivity for screening low-risk women. Ultrasound is helpful in differentiating ovarian masses that are benign and likely to resolve spontaneously from those with malignant potential. Color Doppler imaging may further enhance the specificity of ultrasound diagnosis.
Once an ovarian mass has been detected, it must be categorized as functional, benign neoplastic, or potentially malignant. Predictive factors include age, size of the mass, ultrasound configuration, CA 125 levels, the presence of symptoms, and whether the mass is unilateral or bilateral. Simple cysts up to 10 cm in diameter are almost universally benign in both premenopausal and postmenopausal patients. Most will resolve spontaneously and may be monitored without intervention. If the mass is larger or unchanged on repeat pelvic examination and transvaginal sonography, surgical evaluation is warranted.
Laparoscopy may be used when an ovarian mass is small enough to be removed with a laparoscopic approach. If malignancy is suspected, because of findings on transvaginal ultrasound with morphologic scoring, color Doppler assessment of vascular quality, and serum CA 125 level, then laparotomy is preferable.
If a malignant ovarian mass is suspected, surgical evaluation should be performed by a gynecologic oncologist. For benign neoplasms, tumor removal or unilateral oophorectomy is usually performed. For ovarian cancer in an early stage, the standard therapy is complete surgical staging followed by abdominal hysterectomy and bilateral salpingo-oophorectomy with omentectomy and selective lymphadenectomy. With more advanced disease, aggressive removal of all visible tumor improves survival. Except for women with low-grade ovarian cancer in an early stage, postoperative chemotherapy is indicated (see Table 39–12). Several chemotherapy regimens are effective, such as the combination of cisplatin or carboplatin with paclitaxel, with clinical response rates of up to 60–70% (see Table 39–13).
Unfortunately, approximately 75% of women with ovarian cancer are diagnosed with advanced disease after regional or distant metastases have become established. The overall 5-year survival is approximately 17% with distant metastases, 36% with local spread, and 89% with early disease.
If a malignant mass is suspected, surgical evaluation should be performed by a gynecologic oncologist.
Agency for Healthcare Research and Quality. Guideline summary. Hereditary breast and ovarian cancer syndrome. 2009 Sep 11. http://www.guideline.gov/content.aspx?id=14336
Centers for Disease Control and Prevention. Ovarian cancer screening. 2013 Aug 29. http://www.cdc.gov/cancer/ovarian/basic_info/screening.htm
National Collaborating Center for Cancer. NICE Clinical Guidelines, No. 122: Ovarian Cancer: the recognition and initial management of ovarian cancer. 2011 April.http://www.ncbi.nlm.nih.gov/books/n/nicecg122/pdf/
ESSENTIALS OF DIAGNOSIS
Clinical or biochemical evidence of hyperandrogenism.
Oligoovulation or anovulation.
Polycystic ovaries on ultrasonography.
Polycystic ovary syndrome (PCOS) is a common endocrine disorder of unknown etiology affecting 5–10% of women of reproductive age. It is characterized by chronic anovulation, polycystic ovaries, and hyperandrogenism. It is associated with hirsutism and obesity as well as an increased risk of diabetes mellitus, cardiovascular disease, and metabolic syndrome. Unrecognized or untreated PCOS is an important risk factor for cardiovascular disease. The Endocrine Society released practice guidelines in 2013 that endorse the Rotterdam criteria for diagnosing PCOS, which identifies excess androgen production, ovulatory dysfunction, and polycystic ovaries as the key diagnostic features of the disorder in adult women. The classification system has been endorsed by the National Institutes of Health.
PCOS often presents as a menstrual disorder (from amenorrhea to menorrhagia) and infertility. Skin disorders due to peripheral androgen excess, including hirsutism and acne, are common. Patients may also show signs of insulin resistance and hyperinsulinemia, and these women are at increased risk for early-onset type 2 diabetes and metabolic syndrome. Patients who do become pregnant are at increased risk for perinatal complications. In addition, they have an increased long-term risk of cancer of the endometrium because of unopposed estrogen secretion.
Anovulation in the reproductive years may also be due to: (1) premature ovarian failure (high FSH and LH levels); (2) rapid weight loss, extreme physical exertion (normal FSH and LH levels for age), or obesity; (3) discontinuation of hormonal contraceptives (anovulation for 6 months or more occasionally occurs); (4) pituitary adenoma with elevated prolactin (galactorrhea may or may not be present); and (5) hyperthyroidism or hypothyroidism. To rule out other etiologies in women with suspected PCOS, serum FSH, LH, prolactin, and TSH should be checked. Because of the high risk of insulin resistance and dyslipidemia, all women with suspected PCOS should have a hemoglobin A1C and fasting glucose along with a lipid and lipoprotein profile. Women with clinical evidence of androgen excess should have total testosterone and sex hormone-binding globulin or free (bioavailable) testosterone, and 17-hydroxyprogesterone measured. Women with stigmata of Cushing syndrome should have a 24-hour urinary free-cortisol or a low-dose dexamethasone suppression test. Congenital adrenal hyperplasia and androgen-secreting adrenal tumors also tend to have high circulating androgen levels and anovulation with polycystic ovaries; these disorders must also be ruled out in women with presumed PCOS.
In obese patients with PCOS, weight reduction and exercise are often effective in reversing the metabolic effects and in inducing ovulation. For those women who do not respond to weight loss and exercise, metformin therapy may be helpful and may be offered along with contraceptive counseling to prevent unplanned pregnancy in case of a return of ovulatory cycles. For women who are seeking pregnancy and remain anovulatory, clomiphene or other drugs can be used for ovulatory stimulation (see section on Infertility below). Clomiphene is the first-line therapy for infertility. Metformin is beneficial for metabolic or glucose abnormalities, and it can improve menstrual function. Metformin has little or no benefit in the treatment of hirsutism, acne, or infertility. If induction of ovulation fails with the above regimens, treatment with gonadotropins, but at low dose to lower the risk of ovarian hyperstimulation syndrome, may be successful. Second-line therapies such as use of aromatase inhibitors or laparoscopic “ovarian drilling” may be considered but are of unproved benefit. Women with PCOS are at greater risk than normal women for twin gestation with ovulation induction.
If the patient does not desire pregnancy, medroxyprogesterone acetate, 10 mg/d orally for the first 10 days of each month, should be given to ensure regular shedding of the endometrium and avoid hyperplasia. If contraception is desired, a low-dose combination oral contraceptive can be used; this is also useful in controlling hirsutism, for which treatment must be continued for 6–12 months before results are seen.
Spironolactone is useful for hirsutism in doses of 25 mg three or four times daily. Flutamide, 125–250 mg orally daily, and finasteride, 5 mg orally daily, are also effective for treating hirsutism. Because these three agents are potentially teratogenic, they should be used only in conjunction with secure contraception. Topical eflornithine cream applied to affected facial areas twice daily for 6 months may be helpful in the majority of women. Hirsutism may also be managed with depilatory creams, electrolysis, and laser therapy. The combination of laser therapy and topical eflornithine may be particularly effective.
Weight loss, exercise, and treatment of unresolved metabolic derangements are important in preventing cardiovascular disease. Women with PCOS should be managed aggressively and should have regular monitoring of lipid profiles and glucose. In adolescent patients with PCOS hormonal contraceptives and metformin are treatment options.
• If expertise in diagnosis is needed.
• If patient is infertile.
Aubuchon M et al. Polycystic ovary syndrome: current infertility management. Clin Obstet Gynecol. 2011 Dec;54(4):675–84. [PMID: 22031257]
Blume-Peytavi U. How to diagnose and treat medically women with excessive hair. Dermatol Clin. 2013 Jan;31(1):57–65. [PMID: 23159176]
Legro RS et al. Diagnosis and treatment of polycystic ovary syndrome: an endocrine society clinical practice guideline. J Clin Endocrinol Metab. 2013 Dec;98(12):4565–92. [PMID: 24151290]
Macklon NS. Polycystic ovary syndrome. BMJ. 2011 Oct 13;343:d6407. [PMID: 21998338]
Female sexual dysfunction is a common problem. Depending on the questions asked, surveys have shown that from 35% to 98% of women report sexual concerns. Questions related to sexual functioning should be asked as part of the routine medical history. Three helpful questions are: “Are you currently involved in a sexual relationship?”, “With men, women, or both?”, and “Are there any sexual concerns or pain with sex?” If the woman is not involved in a sexual relationship, she should be asked about any concerns that are contributing to a lack of sexual behavior. If a history of sexual dysfunction is elicited, a complete history of factors that may affect sexual function should be taken. These factors include her reproductive history (including pregnancies and mode of delivery) as well as history of infertility, sexually transmitted diseases, rape or sexual abuse, gynecologic or urologic disorders, endocrine abnormalities (such as diabetes mellitus or thyroid disease), neurologic problems, cardiovascular disease, psychiatric disease, and current prescription and over-the-counter medication use. A detailed history of the specific sexual dysfunction should be elicited, and a gynecologic examination should focus on findings that may contribute to her sexual complaints.
Sexual desire in women is a complex and poorly understood phenomenon. Emotion is a key factor in sexual desire. Anger toward a partner, fear or anxiety related to previous sexual encounters, or history of sexual abuse may contribute. Physical factors, such as chronic illness, fatigue, depression, and specific medical disorders (such as diabetes mellitus, thyroid disease, or adrenal insufficiency) may contribute to a lack of desire. Attitudes toward aging and menopause may play a role. In addition, sexual desire may be influenced by other sexual dysfunctions, such as arousal disorders, dyspareunia, or anorgasmia.
Sexual arousal disorders may be both subjective and objective. Sexual stimulation normally leads to genital vasocongestion and lubrication. Some women may have a physiologic response to sexual stimuli but may not subjectively feel aroused because of factors such as distractions; negative expectations; anxiety; fatigue; depression; or medications, such as selective serotonin reuptake inhibitors (SSRIs) or oral contraceptives. Other women may lack both a subjective and physiologic response to sexual stimuli related to vaginal atrophy.
In spite of subjective and physiologic arousal, women may experience a marked delay in orgasm, diminished sensation of an orgasm, or anorgasmia. The etiology is complex and typically multifactorial, but the disorder is usually amenable to treatment.
Dyspareunia and vaginismus are two subcategories of sexual pain disorders. Dyspareunia is defined as recurrent or persistent genital pain associated with sexual intercourse that is not caused exclusively by lack of lubrication or by vaginismus and causes marked distress or interpersonal difficulty. Vaginismus is defined as recurrent or persistent involuntary spasm of the musculature of the outer third of the vagina that interferes with sexual intercourse, resulting from fear, pain, sexual trauma, or a negative attitude toward sex, often learned in childhood, and causing marked distress or interpersonal difficulty. Other medical causes of sexual pain may include vulvovaginitis; vulvar disease, including lichen planus, lichen sclerosus, and lichen simplex chronicus; pelvic disease, such as endometriosis or chronic PID; vulvodynia; or vaginal atrophy. Vulvodynia is the most frequent cause of dyspareunia in premenopausal women. It is characterized by a sensation of burning along with other symptoms, including pain, itching, stinging, irritation, and rawness. The discomfort may be constant or intermittent, focal or diffuse, and experienced as either deep or superficial. There are generally no physical findings except minimal erythema that may be associated in a subset of patients with vulvodynia, those with vulvar vestibulitis. Vulvar vestibulitis is normally asymptomatic, but pain is associated with touching or pressure on the vestibule, such as with vaginal entry or insertion of a tampon. Pain occurring with deep thrusting during coitus is usually due to acute or chronic infection of the cervix, uterus, or adnexa; endometriosis; adnexal tumors; or adhesions resulting from prior pelvic disease or operation.
In the absence of specific medical disorders, arousal or orgasmic disorders or dyspareunia, the focus of therapy is psychological. Cognitive behavioral therapy, sexual therapy, and couples therapy may all play a role. Success with pharmacologic therapy, particularly the use of dopamine agonists or testosterone with estrogen has been reported, but data from large long-term clinical trials are lacking.
As with disorders of sexual desire, arousal disorders may respond to psychological therapy. Specific pharmacologic therapy is lacking. The use of the phosphodiesterase inhibitors used in men does not appear to benefit the majority of women with sexual arousal disorders. However, there is some evidence to suggest a role for sildenafil in women with sexual dysfunction due to multiple sclerosis, type 1 diabetes mellitus, spinal cord injury, and antidepressant medications, if other, better established, approaches fail.
For many women, brief sexual counseling along with the use of educational books (such as For Yourself, by Lonnie Barbach) may be adequate therapy. Also, there is an FDA-approved vacuum device that increases clitoral blood flow and may improve the likelihood of orgasm.
Specific medical disorders, such as endometriosis, vulvovaginitis, or vaginal atrophy, should be treated as outlined in other sections of this chapter. Lichen planus and lichen simplex chronicus are addressed in Chapter 6. Lichen sclerosus, a thinning and whitening of the vulvar epithelium is treated with clobetasol propionate 0.05% ointment, applied twice daily for 2–3 months.
Vaginismus may be treated initially with sexual counseling and education on anatomy and sexual functioning. The patient can be instructed in self-dilation, using a lubricated finger or test tubes of graduated sizes. Before coitus (with adequate lubrication) is attempted, the patient—and then her partner—should be able to easily and painlessly introduce two fingers into the vagina. Penetration should never be forced, and the woman should always be the one to control the depth of insertion during dilation or intercourse. Injection of botulinum toxin has been used successfully in refractory cases.
Since the cause of vulvodynia is unknown, management is difficult. Few treatment approaches have been subjected to methodologically rigorous trials. A variety of topical agents have been tried, although only topical anesthetics (eg, estrogen cream and a compounded mixture of topical amitriptyline 2% and baclofen 2% in a water washable base) have been useful in relieving vulvodynia. Useful oral medications include tricyclic antidepressants, such as amitriptyline in gradually increasing doses from 10 mg/d to 75–100 mg/d; various SSRIs; and anticonvulsants, such as gabapentin, starting at 300 mg three times daily and increasing to 1200 mg three times daily. Biofeedback and physical therapy, with a physical therapist experienced with the treatment of vulvar pain, have been shown to be helpful. Surgery—usually consisting of vestibulectomy—has been useful for women with introital dyspareunia. See also Chapter 42.
• When symptoms or concerns persist despite first-line therapy.
• For expertise in surgical procedures.
American College of Obstetricians and Gynecologists. ACOG Practice Bulletin No. 119: Female sexual dysfunction. Obstet Gynecol. 2011 Apr;117(4):96–1007. [PMID: 21422879]
Nastri CO et al. Hormone therapy for sexual function in perimenopausal and postmenopausal women. Cochrane Database Syst Rev. 2013 Jun 5;6:CD009672. [PMID: 23737033]
Simon JA. Identifying and treating sexual dysfunction in postmenopausal women: the role of estrogen. J Womens Health (Larchmt). 2011 Oct;20(10):1453–65. [PMID: 21819250]
A couple is said to be infertile if pregnancy does not result after 1 year of normal sexual activity without contraceptives. About 25% of couples experience infertility at some point in their reproductive lives; the incidence of infertility increases with age, with a decline in fertility beginning in the early 30s and accelerating in the late 30s. The male partner contributes to about 40% of cases of infertility, and a combination of factors is common. Six percent of married women aged 15 to 44, about 1.5 million women, were considered infertile at some point from 2006 through 2010. However, that is decreased from 8.5% of women (2.4 million) in 1982.
During the initial interview, the clinician can present an overview of infertility and discuss a plan of study. Private consultations with each partner separately are then conducted, allowing appraisal of psychosexual adjustment without embarrassment or criticism. Pertinent details (eg, sexually transmitted disease or prior pregnancies) must be obtained. The ill effects of cigarettes, alcohol, and other recreational drugs on male fertility should be discussed. Prescription medications that impair male potency and factors that may lead to scrotal hyperthermia, such as tight underwear or frequent use of saunas or hot tubs, should be discussed. The gynecologic history should include the menstrual pattern, the use and types of contraceptives, douching, libido, sex techniques, frequency and success of coitus, and correlation of intercourse with time of ovulation. Family history includes repeated spontaneous abortions. The American Society for Reproductive Medicine provides patient information on the infertility evaluation and treatment (http://www.asrm.org/FactSheetsandBooklets/).
General physical and genital examinations are performed on the female partner. Basic laboratory studies include complete blood count, urinalysis, cervical culture for Chlamydia, rubella antibody determination, and thyroid function tests. If the woman has regular menses, the likelihood of ovulatory cycles is very high. A luteal phase serum progesterone above 3 ng/mL establishes ovulation. Couples should be advised that coitus resulting in conception occurs during the 6-day window around the day of ovulation. Ovulation predictor kits have in many cases replaced basal body temperatures for predicting ovulation, but temperature charting is a natural and inexpensive way to identify most fertile days. Basal body temperature charts cannot predict ovulation; they can only retrospectively confirm ovulation occurred.
A semen analysis to rule out a male factor for infertility should be completed. Men must abstain from sexual activity for at least 3 days before the semen is obtained. A clean, dry, wide-mouthed bottle for collection is preferred. Semen should be examined within 1–2 hours after collection. Semen is considered normal with the following minimum values: volume, 2.0 mL; concentration, 20 million sperm per milliliter; motility, ≥ 50% forward progression, ≥ 25% rapid progression; and normal forms, 30%. If the sperm count is abnormal, further evaluation includes physical examination of the male partner and a search for exposure to environmental and workplace toxins, alcohol or drug abuse.
1. Gross deficiencies of sperm (number, motility, or appearance) require repeat analysis. Intracytoplasmic sperm injection (ICSI) is the treatment option available for sperm deficiencies except for azoospermia (absence of sperm). ICSI requires the female partner to undergo in vitro fertilization (IVF).
2. A screening pelvic ultrasound and hysterosalpingography to identify uterine cavity or tubal anomalies should be performed. Hysterosalpingography using an oil dye is performed within 3 days following the menstrual period if structural abnormalities are suspected. This radiographic study will demonstrate uterine abnormalities (septa, polyps, submucous myomas) and tubal obstruction. A 2013 study from New Zealand suggested oil-based (versus water-soluble) contrast media may improve pregnancy rates. Reports of complications using oil-based media resulted in a decrease in its usage. Women who have had prior pelvic inflammation should receive doxycycline, 100 mg orally twice daily, beginning immediately before and for 7 days after the radiographic study. IVF is recommended as the primary treatment option for tubal disease, but surgery can be considered in young women with mild tubal disease.
3. Absent or infrequent ovulation requires additional laboratory evaluation. Elevated FSH and LH levels and low estradiol levels indicate ovarian failure causing premature menopause. Elevated LH levels in the presence of normal FSH levels may indicate the presence of polycystic ovaries. Elevation of blood prolactin (PRL) levels suggests a pituitary adenoma. In women over age 35, ovarian reserve should be assessed. A markedly elevated FSH (> 15–20 international units/L) on day 3 of the menstrual cycle suggests inadequate ovarian reserve. Although less widely used clinically, a Clomiphene Citrate Challenge Test, with measurement of FSH on day 10 after administration of clomiphene from day 5–9, can help confirm a diagnosis of diminished ovarian reserve. The number of antral follicles during the early follicular phase of the cycle can provide useful information about ovarian reserve and can confirm serum testing. Antimullerian hormone is being used as part of the assessment of ovarian reserve. Unlike FSH, it can be measured at any time during the menstrual cycle and is less likely to be affected by hormones.
4. If all the above testing is normal, unexplained infertility is diagnosed. In approximately 25% of women whose basic evaluation is normal, the first-line therapy is usually controlled ovarian hyperstimulation (usually clomiphene citrate) and intrauterine insemination. IVF may be recommended if couples fail to conceive with controlled ovarian hyperstimulation and intrauterine insemination.
Fertility may be restored by treatment of endocrine abnormalities, particularly hypothyroidism or hyperthyroidism. Women who are anovulatory as a result of low body weight or exercise may become ovulatory when they gain weight or decrease their exercise levels.
Excision of ovarian tumors or ovarian foci of endometriosis can improve fertility. Microsurgical relief of tubal obstruction due to salpingitis or tubal ligation will reestablish fertility in a significant number of cases, although with severe disease or proximal obstruction, IVF is preferable. Peritubal adhesions or endometriotic implants often can be treated via laparoscopy.
In a male with a varicocele, sperm characteristics may be improved following surgical treatment. For men who have sperm production but obstructive azoospermia, transepidermal sperm aspiration or microsurgical epidermal sperm aspiration has been successful.
1. Clomiphene citrate—Clomiphene citrate stimulates gonadotropin release, especially FSH. It acts as a selective estrogen receptor modulator, similar to tamoxifen and raloxifene, and binds to the estrogen receptor. The body perceives a low level of estrogen, decreasing the negative feedback on the hypothalamus, and there is an increased release of FSH and LH. When FSH and LH are present in the appropriate amounts and timing, ovulation occurs.
After a normal menstrual period or induction of withdrawal bleeding with progestin, 50 mg of clomiphene orally daily for 5 days, typically on days 3–7 of the cycle, should be given. If ovulation does not occur, the dosage is increased to 100 mg daily for 5 days. If ovulation still does not occur, the course is repeated with 150 mg daily and then 200 mg daily for 5 days. The maximum dosage is 200 mg. Ovulation and appropriate timing of intercourse can be facilitated with the addition of chorionic gonadotropin, 10,000 units intramuscularly. Monitoring of the follicles by transvaginal ultrasound usually is necessary to appropriately time the hCG injection. The rate of ovulation following this treatment is 90% in the absence of other infertility factors. The pregnancy rate is high. Twinning occurs in 5% of these patients, and three or more fetuses are found in rare instances (< 0.5% of cases). Pregnancy is most likely to occur within the first three ovulatory cycles, and unlikely to occur after cycle six. In addition, several studies have suggested a twofold to threefold increased risk of ovarian cancer with the use of clomiphene for more than 1 year, so treatment with clomiphene is usually limited to a maximum of six cycles.
In the presence of increased androgen production (DHEA-S > 200 mcg/dL), the addition of dexamethasone, 0.5 mg orally, or prednisone, 5 mg orally, at bedtime, improves the response to clomiphene in selected patients. Dexamethasone should be discontinued after pregnancy is confirmed.
2. Letrozole—The aromatase inhibitor, letrozole, appears to be at least as effective as clomiphene for ovulation induction in women with PCOS. There is a reduced risk of multiple pregnancy, a lack of antiestrogenic effects, and a reduced need for ultrasound monitoring. The dose is 5–7.5 mg daily, starting on day 3 of the menstrual cycle. In women who have a history of estrogen dependent tumors, such as breast cancer, letrozole is preferred as the estrogen levels with this drug are much lower.
3. Carbergoline or bromocriptine—Carbergoline or bromocriptine is used only if PRL levels are elevated and there is no withdrawal bleeding following progesterone administration (otherwise, clomiphene is used). The initial dosage is 2.5 mg orally once daily, increased to two or three times daily in increments of 1.25 mg. The drug is discontinued once pregnancy has occurred. Cabergoline causes fewer adverse effects than bromocriptine. However, it is much more expensive. Cabergoline is often used in patients who cannot tolerate the adverse effects of bromocriptine or in those who do not respond to bromocriptine.
4. Human menopausal gonadotropins (hMG) or recombinant FSH—hMG or recombinant FSH is indicated in cases of hypogonadotropism and most other types of anovulation resistant to clomiphene treatment. Because of the complexities, laboratory tests, and expense associated with this treatment, these patients should be referred to an infertility specialist.
See above.
If azoospermia is present, artificial insemination by a donor usually results in pregnancy, assuming female function is normal. The use of frozen sperm is the only option because it provides the opportunity for screening for sexually transmitted diseases, including HIV infection.
Couples who have not responded to traditional infertility treatments, including those with tubal disease, severe endometriosis, oligospermia, and immunologic or unexplained infertility, may benefit from IVF. Gamete intrafallopian transfer and zygote intrafallopian transfer are rarely performed, although it may be an option in a few selected patients. These techniques are complex and require a highly organized team of specialists. All of the procedures involve ovarian stimulation to produce multiple oocytes, oocyte retrieval by transvaginal sonography–guided needle aspiration, and handling of the oocytes outside the body. With IVF, the eggs are fertilized in vitro and the embryos transferred to the uterus. ICSI allows fertilization with a single sperm. While originally intended for couples with male factor infertility, it is now used in two-thirds of all IVF procedures in the United States.
The chance of a multiple gestation pregnancy (ie, twins, triplets) is increased in all assisted reproductive procedures, increasing the risk of preterm delivery and other pregnancy complications. To minimize this risk, most infertility specialists recommend only transferring one embryo in appropriately selected patients with a favorable prognosis. In women with prior failed IVF cycles who are over the age of 40 who have poor embryo quality, up to 4 embryos may be transferred. In the event of a multiple gestation pregnancy, a couple may consider selective reduction to avoid the medical issues generally related to multiple births. This issue should be discussed with the couple before embryo transfer.
The prognosis for conception and normal pregnancy is good if minor (even multiple) disorders can be identified and treated; it is poor if the causes of infertility are severe, untreatable, or of prolonged duration (over 3 years).
It is important to remember that in the absence of identifiable causes of infertility, 60% of couples will achieve a pregnancy within 3 years. Couples with unexplained infertility who do not achieve pregnancy within 3 years may be offered ovulation induction or assisted reproductive technology. Women over the age of 35 should be offered a more aggressive approach, with consideration of ART within 3–6 months of not achieving pregnancy with more conservative approaches. Also, offering appropriately timed information about adoption is considered part of a complete infertility regimen.
Refer to reproductive endocrinologist if ART are indicated, or surgery is required.
Beall SA et al. History and challenges surrounding ovarian stimulation in the treatment of infertility. Fertil Steril. 2012 Apr;97(4):795–801. [PMID: 22463773]
Unintended pregnancies are a worldwide problem but disproportionately impact developing countries. Studies estimate that 41% of the 208 million pregnancies that occurred in 2008 were unintended. Globally, 85 million pregnancies were unintended and ended in abortion (41 million), unplanned births (33 million), or miscarriages (11 million). It is important for primary care providers to educate their patients about the benefits of contraception and to provide options that are appropriate and desirable for the patient.
1. Efficacy and methods of use—Combined oral contraceptives have a perfect use failure rate of 0.3% and a typical use failure rate of 8%. Their primary mode of action is suppression of ovulation. The pills can be initially started on the first day of the menstrual cycle, the first Sunday after the onset of the cycle or on any day of the cycle. If started on any day other than the first day of the cycle, a backup method should be used. If an active pill is missed at any time, and no intercourse occurred in the past 5 days, two pills should be taken immediately and a backup method should be used for 7 days. If intercourse occurred in the previous 5 days, emergency contraception (see below) should be used immediately, and the pills restarted the following day. A backup method should be used for 5 days.
2. Benefits of oral contraceptives—Noncontraceptive benefits of oral contraceptives include lighter menses, reducing the likelihood of anemia, and improvement of dysmenorrhea symptoms. Functional ovarian cysts are less likely with oral contraceptive use. The risk of ovarian and endometrial cancer is decreased. Acne is usually improved. The frequency of developing myomas is lower in long-term users (> 4 years). There is also a beneficial effect on bone mass.
3. Selection of an oral contraceptive—Any of the combination oral contraceptives containing 35 mcg or less of ethinyl estradiol or 3 mg of estradiol valerate are suitable for most women. There is some variation in potency of the various progestins in the pills, but there are essentially no clinically significant differences for most women among the progestins in the low-dose pills. The available evidence is insufficient to determine whether triphasic oral contraceptives differ from monophasic oral contraceptives in effectiveness, bleeding patterns or discontinuation rates. Therefore, monophasic pills are recommended as a first choice for women starting oral contraceptive use. Women who have acne or hirsutism may benefit from treatment with desogestrel, drospirenone, or norgestimate, since they are the least androgenic. A combination regimen with 84 active and 7 inert pills that results in only four menses per year is available. There is also a combination regimen that is taken continuously with no regular menses. At the end of one years’ use, 58% of the women had amenorrhea, and nearly 80% reported no bleeding requiring sanitary protection. Studies have not shown any significant risk from long-term amenorrhea in patients taking continuous oral contraceptives. The low-dose oral contraceptives commonly used in the United States are listed in Table 18–3.
Table 18–3. Commonly used low-dose oral contraceptives.

4. Drug interactions—Several drugs interact with oral contraceptives to decrease their efficacy by causing induction of microsomal enzymes in the liver, or by other mechanisms. Some commonly prescribed drugs in this category are phenytoin, phenobarbital (and other barbiturates), primidone, topiramate, carbamazepine, and rifampin and St. John’s Wort. Women taking these drugs should use another means of contraception for maximum safety.
Antiretroviral medications, specifically ritonavir-boosted protease inhibitors, may significantly decrease the efficacy of combined oral contraceptives, and the concomitant use of oral contraceptives may increase the toxicity of these antiretroviral agents. Non-nucleoside reverse transcriptase inhibitors have smaller effects on oral contraceptive efficacy, while nucleoside reverse transcriptase inhibitors appear to have no effect.
5. Contraindications and adverse effects—Oral contraceptives have been associated with many adverse effects; they are contraindicated in some situations and should be used with caution in others (Table 18–4).
Table 18–4. Contraindications to use of oral contraceptives.

A. MYOCARDIAL INFARCTION—The risk of heart attack is higher with use of oral contraceptives, particularly with pills containing 50 mcg of estrogen or more. Cigarette smoking, obesity, hypertension, diabetes, or hypercholesterolemia increases the risk. Young nonsmoking women have minimal increased risk. Smokers over age 35 and women with other cardiovascular risk factors should use other methods of birth control.
B. THROMBOEMBOLIC DISEASE—An increased rate of venous thromboembolism is found in oral contraceptive users, especially if the dose of estrogen is 50 mcg or more. While the overall risk is very low (5–6 per 100,000 woman-years compared to 50–300 per 100,000 pregnancies), several studies have reported a twofold increased risk in women using oral contraceptives containing the progestins gestodene (not available in the United States), drosperinone, or desogestrel compared with women using oral contraceptives with levonorgestrel and norethindrone. Women in whom thrombophlebitis develops should stop using this method, as should those at increased risk for thrombophlebitis because of surgery, fracture, serious injury, hypercoagulable condition, or immobilization. Women with a known thrombophilia should not use oral contraceptives.
C. CEREBROVASCULAR DISEASE—Overall, a small increased risk of hemorrhagic stroke and subarachnoid hemorrhage and a somewhat greater increased risk of thrombotic stroke have been found; smoking, hypertension, and age over 35 years are associated with increased risk. Women should stop using contraceptives if such warning symptoms as severe headache, blurred or lost vision, or other transient neurologic disorders develop.
D. CARCINOMA—There is no increased risk of breast cancer in women aged 35–64 who are current or former users of oral contraceptives. Women with a family history of breast cancer or women who started oral contraceptive use at a young age are not at increased risk. Combination oral contraceptives reduce the risk of endometrial carcinoma by 40% after 2 years of use and 60% after 4 or more years of use. The risk of ovarian cancer is reduced by 30% with pill use for < 4 years, by 60% with use for 5–11 years, and by 80% after 12 or more years. Rarely, oral contraceptives have been associated with the development of benign or malignant hepatic tumors; this may lead to rupture of the liver, hemorrhage, and death. The risk increases with higher dosage, longer duration of use, and older age.
E. HYPERTENSION—Oral contraceptives may cause hypertension in some women; the risk is increased with longer duration of use and older age. Women in whom hypertension develops while using oral contraceptives should use other contraceptive methods. However, with regular blood pressure monitoring, nonsmoking women with well-controlled mild hypertension may use oral contraceptives.
F. HEADACHE—Migraine or other vascular headaches may occur or worsen with pill use. If severe or frequent headaches develop while using this method, it should be discontinued. Women with migraine headaches with an aura should not use oral contraceptives.
G. LACTATION—Combined oral contraceptives can impair the quantity and quality of breast milk. While it is preferable to avoid the use of combination oral contraceptives during lactation, the effects on milk quality are small and are not associated with developmental abnormalities in infants. Combination oral contraceptives should be started no earlier than 6 weeks postpartum to allow for establishment of lactation. Progestin-only pills, levonorgestrel implants, and DMPA are alternatives with no adverse effects on milk quality.
H. OTHER DISORDERS—Depression may occur or be worsened with oral contraceptive use. Fluid retention may occur. Patients who had cholestatic jaundice during pregnancy may develop it while taking birth control pills.
I. OBESITY—A growing number of women are obese or overweight. Some studies have suggested that oral contraceptives are less effective in overweight women. In addition, obesity is a risk factor for thromboembolic complications. It is important that obese women are not denied effective contraception as a result of concerns about complications or efficacy of oral contraceptives.
6. Minor side effects—Nausea and dizziness may occur in the first few months of pill use. A weight gain of 2–5 lb (0.9–2.25 kg) commonly occurs. Spotting or breakthrough bleeding between menstrual periods may occur, especially if a pill is skipped or taken late; this may be helped by switching to a pill of slightly greater potency (see section 3, above). Missed menstrual periods may occur, especially with low-dose pills. A pregnancy test should be performed if pills have been skipped or if two or more expected menstrual periods are missed. Fatigue and decreased libido can occur. Chloasma may occur, as in pregnancy, and is increased by exposure to sunlight.
1. Efficacy and methods of use—A formulation containing 0.35 mg of norethindrone is available in the United States. The efficacy is similar to that of combined oral contraceptives. The minipill is believed to prevent conception by causing thickening of the cervical mucus to make it hostile to sperm, alteration of ovum transport (which may account for the slightly higher rate of ectopic pregnancy with these pills), and inhibition of implantation. Ovulation is inhibited inconsistently with this method. The minipill is begun on the first day of a menstrual cycle and then taken continuously for as long as contraception is desired.
2. Advantages—The low dose of progestin and absence of estrogen make the minipill safe during lactation; it may increase the flow of milk. It is often tried by women who want minimal doses of hormones and by patients who are over age 35. They lack the cardiovascular side effects of combination pills. The minipill can be safely used by women with sickle cell disease (S/S or S/C).
3. Complications and contraindications—Minipill users often have bleeding irregularities (eg, prolonged flow, spotting, or amenorrhea); such patients may need regular pregnancy tests. Ectopic pregnancies are more frequent, and complaints of abdominal pain should be investigated with this in mind. Many of the absolute contraindications and relative contraindications listed in Table 18–4 apply tothe minipill; however, the contraceptive benefit of the minipill may outweigh the risks for patients who smoke, who are over age 35, or who have such conditions as superficial deep venous thrombosis or known thromboembolic disorders or diabetes with vascular disease. Minor side effects of combination oral contraceptives such as weight gain and mild headache may also occur with the minipill.
Centers for Disease Control and Prevention (CDC). Update to CDC’s U.S. Medical Eligibility Criteria for Contraceptive Use, 2010: revised recommendations for the use of hormonal contraception among women at high risk for HIV infection or infected with HIV. MMWR Morb Mortal Wkly Rep. 2012 Jun 22;61(24):449–52. [PMID: 22717514]
Shaw KA et al. Obesity and oral contraceptives: a clinician’s guide. Best Pract Res Clin Endocrinol Metab. 2013 Feb;27(1):55–65. [PMID: 23384746]
Van Vliet HA et al. Triphasic versus monophasic oral contraceptives for contraception. Cochrane Database Syst Rev. 2011 Nov 9;(11):CD003553. [PMID: 22071807]
The injectable progestin DMPA is approved for contraceptive use in the United States. There is extensive worldwide experience with this method over the past 3 decades. The medication is given as a deep intramuscular injection of 150 mg every 3 months and has a contraceptive efficacy of 99.7%. A subcutaneous preparation, containing 104 mg of DMPA is available in the United States. Common side effects include irregular bleeding, amenorrhea, weight gain, and headache. It is associated with bone mineral loss that is usually reversible after discontinuation of the method. Users commonly have irregular bleeding initially and subsequently develop amenorrhea. Ovulation may be delayed after the last injection. Contraindications are similar to those for the minipill.
A single-rod, subdermal progestin implant, Implanon, is approved for use in the United States. Implanon is a 40-mm by 2-mm rod containing 68 mg of the progestin etonogestrel that is inserted in the inner aspect of the nondominant arm. Hormone levels drop rapidly after removal, and there is no delay in the return of fertility. In clinical trials, the pregnancy rate was 0.0% with 3 years of use. The side effect profile is similar to minipills, DMPA, and Norplant. Irregular bleeding has been the most common reason for discontinuation. Implanon is being replaced by Nexplanon which, unlike Implanon, is radiopaque and has a redesigned inserter. Nexplanon is available in the United States, but Implanon is still widely used in many developing countries.
Mommers E et al. Nexplanon, a radiopaque etonogestrel implant in combination with a next-generation applicator: 3-year results of a noncomparative multicenter trial. Am J Obstet Gynecol. 2012 Nov;207(5):388.e1–6. [PMID: 22939402]
A transdermal contraceptive patch containing 150 mcg norelgestromin and 20 mcg ethinyl estradiol and measuring 20 cm2 is available. The patch is applied to the lower abdomen, upper torso, or buttock once a week for 3 consecutive weeks, followed by 1 week without the patch. It appears that the average steady-state concentration of ethinyl estradiol with the patch is approximately 60% higher than with a 35 mcg pill. However, there is currently no evidence for an increased incidence of estrogen-related side effects. The mechanism of action, side effects, and efficacy are similar to those associated with oral contraceptives, although compliance may be better. However, discontinuation for side effects is more frequent.
A contraceptive vaginal ring that releases 120 mcg of etonogestrel and 15 mcg of ethinyl estradiol daily is available. The ring is soft and flexible and is placed in the upper vagina for 3 weeks, removed, and replaced 1 week later. The efficacy, mechanism of action, and systemic side effects are similar to those associated with oral contraceptives. Ring users may experience an increased incidence of vaginal discharge.
Lopez LM et al. Skin patch and vaginal ring versus combined oral contraceptives for contraception. Cochrane Database Syst Rev. 2013 Apr 30;4:CD003552. [PMID: 23633314]
In the United States, the following devices are available: the Mirena and the Skyla IUDs (both of which release levonorgestrel) and the copper-bearing TCu380A. The mechanism of action of IUDs is thought to involve either spermicidal or inhibitory effects on sperm capacitation and transport. IUDs are not abortifacients.
Skyla is effective for 3 years, Mirena for 5 years, and the TCu380A for 10 years. The hormone-containing IUDs have the advantage of reducing cramping and menstrual flow.
The IUD is an excellent contraceptive method for most women. The devices are highly effective, with failure rates similar to those achieved with surgical sterilization. Nulliparity is not a contraindication to IUD use. Adolescents are also candidates for IUD use. Women who are not in mutually monogamous relationships should use condoms for protection from sexually transmitted diseases. Levonorgestrel-containing IUDs may have a protective effect against upper tract infection similar to that of the oral contraceptives.
Insertion can be performed during or after the menses, at midcycle to prevent implantation, or later in the cycle if the patient has not become pregnant. There is growing evidence to suggest that IUDs can be safely inserted in the immediate postabortal and postpartum periods.
Both types of IUDs may be inserted up to 48 hours after vaginal delivery, or prior to closure of the uterus at the time of cesarean section. Insertion immediately following abortion is acceptable if there is no sepsis and if follow-up insertion a month later will not be possible; otherwise, it is wise to wait until 4 weeks post abortion. Misoprostol (200 mcg the night before) and NSAIDs given as premedicationsmay help insertions in nulliparous patients or when insertion is not performed during menses.
Contraindications to use of IUDs are outlined in Table 18–5.
Table 18–5. Contraindications to IUD use.

1. Pregnancy—A copper-containing IUD can be inserted within 5 days following a single episode of unprotected mid-cycle coitus as a postcoital contraceptive. An IUD should not be inserted into a pregnant uterus. If pregnancy occurs as an IUD failure, there is a greater chance of spontaneous abortion if the IUD is left in situ (50%) than if it is removed (25%). Spontaneous abortion with an IUD in place is associated with a high risk of severe sepsis, and death can occur rapidly. Women using an IUD who become pregnant should have the IUD removed if the string is visible. It can be removed at the time of abortion if this is desired. If the string is not visible and the patient wants to continue the pregnancy, she should be informed of the serious risk of sepsis and, occasionally, death with such pregnancies. She should be informed that any flu-like symptoms such as fever, myalgia, headache, or nausea warrant immediate medical attention for possible septic abortion.
Since the ratio of ectopic to intrauterine pregnancies is increased among IUD wearers, clinicians should search for adnexal masses in early pregnancy and should always check the products of conception for placental tissue following abortion.
2. Pelvic infection—There is an increased risk of pelvic infection during the first month following insertion; however, prophylactic antibiotics given at the time of insertion do not appear to decrease this risk. The subsequent risk of pelvic infection appears to be primarily related to the risk of acquiring sexually transmitted infections. Infertility rates do not appear to be increased among women who have previously used the currently available IUDs. At the time of insertion, women with an increased risk of sexually transmitted diseases should be screened for gonorrhea and Chlamydia. Women with a history of recent or recurrent pelvic infection are not good candidates for IUD use.
3. Menorrhagia or severe dysmenorrhea—The copper IUD can cause heavier menstrual periods, bleeding between periods, and more cramping, so it is generally not suitable for women who already suffer from these problems. Alternatively, the hormone-releasing IUD Mirena has been approved by the FDA to treat heavy menstrual bleeding. NSAIDs are also helpful in decreasing bleeding and pain in IUD users.
4. Complete or partial expulsion—Spontaneous expulsion of the IUD occurs in 10–20% of cases during the first year of use. Any IUD should be removed if the body of the device can be seen or felt in the cervical os.
5. Missing IUD strings—If the transcervical tail cannot be seen, this may signify unnoticed expulsion, perforation of the uterus with abdominal migration of the IUD, or simply retraction of the string into the cervical canal or uterus owing to movement of the IUD or uterine growth with pregnancy. Once pregnancy is ruled out, a cervical speculum may be used to visualize the IUD string in the cervical canal. If not visualized, one should probe for the IUD with a sterile sound or forceps designed for IUD removal after administering a paracervical block. If the IUD cannot be detected, pelvic ultrasound will demonstrate the IUD if it is in the uterus. Alternatively, obtain anteroposterior and lateral radiographs of the pelvis with another IUD or a sound in the uterus as a marker, to confirm an extrauterine IUD. If the IUD is in the abdominal cavity, it should generally be removed by laparoscopy or laparotomy. Perforations of the uterus are less likely if insertion is performed slowly, with meticulous care taken to follow directions applicable to each type of IUD.
Grimes DA et al. Immediate post-partum insertion of intrauterine devices. Cochrane Database Syst Rev. 2010 May 12;(5):CD003036. [PMID: 20464722]
Steenland MW et al. Intrauterine contraceptive insertion postabortion: a systematic review. Contraception. 2011 Nov;84(5):447–64. [PMID: 22018119]
The diaphragm (with contraceptive jelly) is a safe and effective contraceptive method with features that make it acceptable to some women and not others. Failure rates range from 6% to 16%, depending on the motivation of the woman and the care with which the diaphragm is used. The advantages of this method are that it has no systemic side effects and gives significant protection against pelvic infection and cervical dysplasia as well as pregnancy. The disadvantages are that it must be inserted near the time of coitus and that pressure from the rim predisposes some women to cystitis after intercourse.
The cervical cap (with contraceptive jelly) is similar to the diaphragm but fits snugly over the cervix only (the diaphragm stretches from behind the cervix to behind the pubic symphysis). The cervical cap is more difficult to insert and remove than the diaphragm. The main advantages are that it can be used by women who cannot be fitted for a diaphragm because of a relaxed anterior vaginal wall or by women who have discomfort or develop repeated bladder infections with the diaphragm. However, failure rates are 9% (perfect use) and 16% (typical use) in nulliparous women and 26% (perfect use) and 32% (typical use) in parous women.
Because of the small risk of toxic shock syndrome, a cervical cap or diaphragm should not be left in the vagina for over 12–18 hours, nor should these devices be used during the menstrual period.
These products are available without prescription, are easy to use, and are fairly effective, with typical failure rates of 10–22%. All contain the spermicide nonoxynol-9, which also has some virucidal and bactericidal activity. Nonoxynol-9 does not appear to adversely affect the vaginal colonization of hydrogen peroxide-producing lactobacilli. The FDA requires products containing nonoxynol-9 to include a warning that the products do not protect against HIV or other sexually transmitted diseases and that use of these products can irritate the vagina and rectum and may increase the risk of getting the AIDS virus from an infected partner. Low-risk women using a nonoxynol-9 product, with coital activity two to three times per week, are not at increased risk for epithelial disruption, compared with couples using condoms alone.
The male condom of latex or animal membrane affords good protection against pregnancy—equivalent to that of a diaphragm and spermicidal jelly; latex (but not animal membrane) condoms also offer protection against many sexually transmitted diseases, including HIV. When a spermicide, such as vaginal foam, is used with the condom, the failure rate (approximately 2% with perfect use and 15% with typical use) approaches that of oral contraceptives. The disadvantages of condoms are dulling of sensation and spillage of semen due to tearing, slipping, or leakage with detumescence of the penis.
Two female condoms, one made of polyurethane and the other of synthetic nitrile, are available in the United States. The reported failure rates range from 5% to 21%; the efficacy is comparable to that of the diaphragm. These are the only female-controlled method that offers significant protection from both pregnancy and sexually transmitted diseases.
These methods are most effective when the couple restricts intercourse to the post ovular phase of the cycle or uses a barrier method at other times. Well-instructed, motivated couples may be able to achieve low pregnancy rates with fertility awareness methods. However, properly done randomized clinical trials comparing the efficacy of most of these methods with other contraceptive methods do not exist.
If unprotected intercourse occurs in midcycle and if the woman is certain she has not inadvertently become pregnant earlier in the cycle, the following regimens are effective in preventing implantation. These methods should be started as soon as possible and within 120 hours after unprotected coitus. (1) Levonorgestrel, 1.5 mg orally as a single dose (available in the United States prepackaged as Plan B and available over-the-counter for women aged 17 years and above), has a 1% failure rate, when taken within 72 hours. It remains efficacious up to 120 hours after intercourse, though less so compared with earlier use. (2) If the levonorgestrel regimen is not available, a combination oral contraceptive containing ethinyl estradiol and levonorgestrel given twice in 12 hours later may be used. At least 20 brands of pills may be used in this way. For specific dosages and instructions for each pill brand, consult www.not-2-late.com. Used within 72 hours, the failure rate of these regimens is approximately 3%, but antinausea medication is often necessary. (3) Ulipristal, 30 mg orally as a single dose, has been shown to be more effective than levonorgestrel, particularly when used between 72 and 120 hours, particularly among overweight women. It is available by prescription in the United States and Western Europe. (4) IUD insertion within 5 days after one episode of unprotected midcycle coitus will also prevent pregnancy; copper-bearing IUDs have been tested and used for many years for this purpose.
Information on clinics or individual clinicians providing emergency contraception in the United States may be obtained by calling 1-888-668-2528.
Brache V et al. Ulipristal acetate prevents ovulation more effectively than levonorgestrel: analysis of pooled data from three randomized trials of emergency contraception regimens. Contraception. 2013 Nov;88(5):611–8. [PMID: 23809278]
Cleland K et al. The efficacy of intrauterine devices for emergency contraception: a systematic review of 35 years of experience. Hum Reprod. 2012 Jul;27(7):1994–2000. [PMID: 22570193]
Since the legalization of abortion in the United States in 1973, the related maternal mortality rate has fallen markedly, because illegal and self-induced abortions have been replaced by safer medical procedures. Abortions in the first trimester of pregnancy are performed by vacuum aspiration under local anesthesia or with medical regimens. Dilation and evacuation, a variation of vacuum aspiration is generally used in the second trimester. Techniques utilizing intra-amniotic instillation of hypertonic saline solution or various prostaglandins regimens, along with medical or osmotic dilators are occasionally used after 18 weeks. Several medical abortion regimens utilizing mifepristone and multiple doses of misoprostol have been reported as being effective in the second trimester. Overall, legal abortion in the United States has a mortality rate of < 1:100,000. Rates of morbidity and mortality rise with length of gestation. Currently in the United States, more than 60% of abortions are performed before 9 weeks, and more than 90% are performed before 13 weeks’ gestation; only 1.3% are performed after 20 weeks. If abortion is chosen, every effort should be made to encourage the patient to seek an early procedure. In the United States, while numerous state laws limiting access to abortion and a federal law banning a rarely used variation of dilation and evacuation have been enacted, abortion remains legal and available until fetal viability, between 24 and 28 weeks gestation, under Roe v. Wade.
Complications resulting from abortion include retained products of conception (often associated with infection and heavy bleeding) and unrecognized ectopic pregnancy. Immediate analysis of the removed tissue for placenta can exclude or corroborate the diagnosis of ectopic pregnancy. Women who have fever, bleeding, or abdominal pain after abortion should be examined; use of broad-spectrum antibiotics and reaspiration of the uterus are frequently necessary. Hospitalization is advisable if acute salpingitis requires intravenous administration of antibiotics. Complications following illegal abortion often need emergency care for hemorrhage, septic shock, or uterine perforation.
Rh immune globulin should be given to all Rh-negative women following abortion. Prophylactic antibiotics are indicated for surgical abortion; for example a one-dose regimen of doxycycline, 200 mg orally 1 hour before the procedure. Many clinics prescribe tetracycline, 500 mg orally four times daily for 5 days after the procedure, as presumptive treatment for Chlamydia.
Mifepristone (RU 486) is approved by the FDA as an oral abortifacient at a dose of 600 mg on day 1, followed by 400 mcg orally of misoprostol on day 3. This combination is 95% successful in terminating pregnancies of up to 9 weeks’ duration with minimum complications. A more commonly used, evidence-based regimen is mifepristone, 200 mg orally on day 1, followed by misoprostol, 800 mcg vaginally either immediately or within 6–8 hours. Although not approved by the FDA for this indication, a combination of intramuscular methotrexate, 50 mg/m2 of body surface area, followed 3–7 days later by vaginal misoprostol, 800 mcg, is 98% successful in terminating pregnancy at 8 weeks or less. Minor side effects, such as nausea, vomiting, and diarrhea, are common with these regimens. There is a 5–10% incidence of hemorrhage or incomplete abortion requiring curettage. Medical abortion is generally considered as safe as surgical abortion in the first trimester but is associated with more pain and a lower success rate (requiring surgical abortion). Overall, the risk of uterine infection is lower with medical than with surgical abortion.
Guiahi M et al. First-trimester abortion in women with medical conditions: release date October 2012 SFP guideline #20122. Contraception. 2012 Dec;86(6):622–30. [PMID: 23039921]
In the United States, sterilization is the most popular method of birth control for couples who want no more children. Although sterilization is reversible in some instances, reversal surgery in both men and women is costly, complicated, and not always successful. Therefore, patients should be counseled carefully before sterilization and should view the procedure as permanent.
Vasectomy is a safe, simple procedure in which the vas deferens is severed and sealed through a scrotal incision under local anesthesia. Long-term follow-up studies on vasectomized men show no excess risk of cardiovascular disease. Several studies have shown a possible association with prostate cancer, but the evidence is weak and inconsistent.
Female sterilization procedures include laparoscopic bipolar electrocoagulation, or plastic ring application on the uterine tubes, or minilaparotomy with Pomeroy tubal resection. The advantages of laparoscopy are minimal postoperative pain, small incisions, and rapid recovery. The advantages of minilaparotomy are that it can be performed with standard surgical instruments under local or general anesthesia. However, there is more postoperative pain and a longer recovery period. The cumulative 10-year failure rate for all methods combined is 1.85%, varying from 0.75% for postpartum partial salpingectomy and laparoscopic unipolar coagulation to 3.65% for spring clips; this fact should be discussed with women preoperatively. Some studies have found an increased risk of menstrual irregularities as a long-term complication of tubal ligation, but findings in different studies have been inconsistent. Two methods of transcervical sterilization, Essure and Adiana, can be performed as outpatient procedures. Essure involves the placement of an expanding microcoil of titanium into the proximal uterine tube under hysteroscopic guidance. The efficacy rate at 1 year is 99.8%. Adiana involves hysteroscopically guided superficial radiofrequency damage to the tubal lumen and immediate placement of a nonabsorbable silicone elastomer matrix in the tube to allow tissue in-growth. The efficacy rate at 1 year is 98.9%. Both procedures should have tubal occlusion confirmed at 3 months with a hysterosalpingogram.
Refer to experienced clinicians for Implanon or Nexplanon or other subcutaneous insertion, IUD insertion, tubal occlusion or ligation, vasectomy, or therapeutic abortion.
Lessard CR et al. Efficacy, safety, and patient acceptability of the “Essure” procedure. Patient Prefer Adherence. 2011 Apr 28;5:207–12. [PMID: 21573052]
ESSENTIALS OF DIAGNOSIS
Rape is sexual assault. It can be committed by a stranger, but more commonly by an assailant known to the victim, including a current or former partner or spouse (a form of intimate partner violence [IPV]).
Women neither secretly want to be raped nor do they expect, encourage, or enjoy rape.
The large number of individuals affected, the enormous health care costs, and the need for a multidisciplinary approach make rape and IPV important health care issues (see also Chapter 42).
Knowledge of state laws and collection of evidence requirements are essential for clinicians evaluating possible rape victims.
Rape, or sexual assault, is legally defined in different ways in various jurisdictions. Clinicians and emergency department personnel who deal with rape victims should be familiar with the laws pertaining to sexual assault in their own state. From a medical and psychological viewpoint, it is essential that persons treating rape victims recognize the nonconsensual and violent nature of the crime. About 95% of reported rape victims are women. Each year in the United States, 4.8 million incidents of physical or sexual assault are reported by women. Penetration may be vaginal, anal, or oral and may be by the penis, hand, or a foreign object. The absence of genital injury does not imply consent by the victim. The assailant may be unknown to the victim or, more frequently, may be an acquaintance or even the spouse.
“Unlawful sexual intercourse,” or statutory rape, is intercourse with a female before the age of majority even with her consent.
Health care providers can have a significant impact in increasing the reporting of sexual assault and in identifying resources for the victims. The International Rescue Committee has developed a multimedia training tool to encourage competent, compassionate, and confidential clinical care for sexual assault survivors in low-resource settings. They studied this intervention in over a 100 healthcare providers, and found knowledge and confidence in clinical care for sexual assault survivors increased from 49% to 62% (P < 0.001) and 58% to 73% (P < 0.001), respectively following training. There was also a documented increase in eligible survivors receiving emergency contraception from 50% to 82% (P < 0.01), HIV postexposure prophylaxis from 42% to 92% (P < 0.001), and sexually transmitted infection prophylaxis and treatment from 45% to 96% (P < 0.01). This training will encourage providers to offer care in the areas of pregnancy and sexually transmitted infection prevention as well as assistance for psychological trauma.
Because rape is a personal crisis, each patient will react differently, but anxiety disorders and posttraumatic stress disorder (PTSD) are common sequelae. The rape trauma syndrome comprises two principal phases. (1) Immediate or acute: Shaking, sobbing, and restless activity may last from a few days to a few weeks. The patient may experience anger, guilt, or shame or may repress these emotions. Reactions vary depending on the victim’s personality and the circumstances of the attack. (2) Late or chronic: Problems related to the attack may develop weeks or months later. The lifestyle and work patterns of the individual may change. Sleep disorders or phobias often develop. Loss of self-esteem can rarely lead to suicide.
Clinicians and emergency department personnel who deal with rape victims should work with community rape crisis centers or other sources of ongoing psychological support and counseling.
The clinician who first sees the alleged rape victim should be empathetic and prepared with appropriate evidence collection and treatment materials. Standardized information and training, such as the program created by the International Rescue Committee, can be a helpful resource to the providers caring for these patients. Many emergency departments have a protocol for sexual assault victims and personnel who are trained in interviewing and examining rape victims.
1. Secure written consent from the patient, guardian, or next of kin for gynecologic examination and for photographs if they are likely to be useful as evidence. Although there are differences in state requirements, most states require health care providers to report sexual assault and physical abuse.
2. Obtain and record the history in the patient’s own words. The sequence of events, ie, the time, place, and circumstances, must be included. Note the date of the LMP, whether or not the woman is pregnant, and the time of the most recent coitus prior to the sexual assault. Note the details of the assault such as body cavities penetrated, use of foreign objects, and number of assailants. Note whether the victim is calm, agitated, or confused (drugs or alcohol may be involved). Record whether the patient came directly to the hospital or whether she bathed or changed her clothing. Record findings but do not issue even a tentative diagnosis lest it be erroneous or incomplete.
3. Have the patient disrobe while standing on a white sheet. Hair, dirt, and leaves, underclothing, and any torn or stained clothing should be kept as evidence. Scrape material from beneath fingernails and comb pubic hair for evidence. Place all evidence in separate clean paper bags or envelopes and label carefully.
4. Examine the patient, noting any traumatized areas that should be photographed. Examine the body and genitals with a Wood light to identify semen, which fluoresces; positive areas should be swabbed with a premoistened swab and air-dried in order to identify acid phosphatase. Colposcopy can be used to identify small areas of trauma from forced entry especially at the posterior fourchette.
5. Perform a pelvic examination, explaining all procedures and obtaining the patient’s consent before proceeding gently with the examination. Use a narrow speculum lubricated with water only. Collect material with sterile cotton swabs from the vaginal walls and cervix and make two air-dried smears on clean glass slides. Wet and dry swabs of vaginal secretions should be collected and refrigerated for subsequent acid phosphatase and DNA evaluation. Swab the mouth (around molars and cheeks) and anus in the same way, if appropriate. Label all slides carefully. Collect secretions from the vagina, anus, or mouth with a premoistened cotton swab, place at once on a slide with a drop of saline, and cover with a coverslip. Look for motile or nonmotile sperm under high, dry magnification, and record the percentage of motile forms.
6. Perform appropriate laboratory tests as follows. Culture the vagina, anus, or mouth (as appropriate) for N gonorrhoeae and Chlamydia. Perform a Papanicolaou smear of the cervix, a wet mount for T vaginalis, a baseline pregnancy test, and VDRL test. A confidential test for HIV viral load or antibody can be obtained if desired by the patient. Antibody testing can be repeated in 2–4 months if initially negative. Repeat the pregnancy test if the next menses is missed, and repeat the VDRL test in 6 weeks. Obtain blood (10 mL without anticoagulant) and urine (100 mL) specimens if there is a history of forced ingestion or injection of drugs or alcohol.
7. Transfer clearly labeled evidence, eg, laboratory specimens, directly to the clinical pathologist in charge or to the responsible laboratory technician, in the presence of witnesses (never via messenger), so that the rules of evidence will not be breached.
Give analgesics or sedatives if indicated. Administer tetanus toxoid if deep lacerations contain soil or dirt particles.
Give ceftriaxone, 125 mg intramuscularly, to prevent gonorrhea. In addition, give metronidazole, 2 g as a single dose, and azithromycin 1 g orally or doxycycline, 100 mg orally twice daily for 7 days to treat chlamydial infection. Incubating syphilis will probably be prevented by these medications, but the VDRL test should be repeated 6 weeks after the assault.
Prevent pregnancy by using one of the methods discussed under Emergency Contraception, if necessary (see above).
Vaccinate against hepatitis B. Consider HIV prophylaxis (see Chapter 31).
Because women who are sexually assaulted are at increased risk for long-term psychological sequelae, such as PTSD and anxiety disorders, it is critical that the patient and her family and friends have a source of ongoing counseling and psychological support.
All women who seek care for sexual assault should be referred to a facility that has expertise in the management of victims of sexual assault and is capable of performing expert forensic examination, if requested.
Newton M. The forensic aspects of sexual violence. Best Pract Res Clin Obstet Gynaecol. 2013 Feb;27(1):77–90. [PMID: 23062592]
Smith JR et al. Clinical care for sexual assault survivors multimedia training: a mixed-methods study of effect on healthcare providers’ attitudes, knowledge, confidence, and practice in humanitarian settings. Confl Health. 2013 Jul 3;7(1):14. [PMID: 23819561]
ESSENTIALS OF DIAGNOSIS
Menopause is a retrospective diagnosis after 12 months of amenorrhea.
Approximately 80% of women will experience hot flushes and night sweats.
Elevated follicle-stimulating hormone (FSH) and low estradiol can help confirm the diagnosis.
The term “menopause” denotes the final cessation of menstruation, either as a normal part of aging or as the result of surgical removal of both ovaries. In a broader sense, as the term is commonly used, it denotes a 1- to 3-year period during which a woman adjusts to a diminishing and then absent menstrual flow and the physiologic changes that may be associated with lowered estrogen levels—hot flushes, night sweats, and vaginal dryness.
The average age at menopause in Western societies today is 51 years. Premature menopause is defined as ovarian failure and menstrual cessation before age 40; this often has a genetic or autoimmune basis. Surgical menopause due to bilateral oophorectomy is common and can cause more severe symptoms owing to the sudden rapid drop in sex hormone levels.
There is no objective evidence that cessation of ovarian function is associated with severe emotional disturbance or personality changes. However, mood changes toward depression and anxiety can occur at this time. Disruption of sleep patterns associated with the menopause can affect mood and concentration and cause fatigue. Furthermore, the time of menopause often coincides with other major life changes, such as departure of children from the home, a midlife identity crisis, or divorce.
1. Cessation of menstruation—Menstrual cycles generally become irregular as menopause approaches. Anovular cycles occur more often, with irregular cycle length and occasional menorrhagia. Menstrual flow usually diminishes in amount owing to decreased estrogen secretion, resulting in less abundant endometrial growth. Finally, cycles become longer, with missed periods or episodes of spotting only. When no bleeding has occurred for 1 year, the menopausal transition can be said to have occurred. Any bleeding after this time warrants investigation by endometrial curettage or aspiration to rule out endometrial cancer.
2. Hot flushes—Hot flushes (feelings of intense heat over the trunk and face, with flushing of the skin and sweating) occur in > 80% of women as a result of the decrease in ovarian hormones. Hot flushes can begin before the cessation of menses. The etiology of hot flushes is unknown. They typically persist for 2 to 3 years, but up to 16% of women aged 67 may continue to experience symptoms. Hot flushes are more severe in women who undergo surgical menopause. Occurring at night, they often cause sweating and insomnia and result in fatigue on the following day.
3. Vaginal atrophy—With decreased estrogen secretion, thinning of the vaginal mucosa and decreased vaginal lubrication occur and may lead to dyspareunia. The introitus decreases in diameter. Pelvic examination reveals pale, smooth vaginal mucosa and a small cervix and uterus. The ovaries are not normally palpable after the menopause. Continued sexual activity will help prevent tissue shrinkage.
4. Osteoporosis—Osteoporosis may occur as a late sequela of menopause.
Serum FSH, LH, and estradiol levels are of little diagnostic value because of unpredictable variability during the menopausal transition but can provide confirmation if the FSH is elevated and the estradiol is low. Vaginal cytologic examination will show a low estrogen effect with predominantly parabasal cells, indicating lack of epithelial maturation due to hypoestrogenism.
Education and support from health providers, midlife discussion groups, and reading material will help most women having difficulty adjusting to the menopause. Physiologic symptoms can be treated as follows.
1. Vasomotor symptoms—For women with moderate to severe vasomotor symptoms, estrogen or estrogen/progestin regimens are the most effective approach to symptom relief. Conjugated estrogens, 0.3 mg, 0.45 mg, or 0.625 mg; 17-beta-estradiol, 0.5 or 1 mg; or estrone sulfate, 0.625 mg can be given once daily orally; or estradiol can be given transdermally as skin patches that are changed once or twice weekly and secrete 0.05–0.1 mg of hormone daily. Unless the patient has undergone hysterectomy, a combination regimen of an estrogen with a progestin such as medroxyprogesterone, 1.5 or 2.5 mg, or norethindrone, 0.1, 0.25, or 0.5 mg, should be used to prevent endometrial hyperplasia or cancer. There is also a patch available containing estradiol and the progestin levonorgestrel. The oral hormones can be given in several differing regimens. Give estrogen on days 1–25 of each calendar month, with 5–10 mg of oral medroxyprogesterone acetate added on days 14–25. Withhold hormones from day 26 until the end of the month, when the endometrium will be shed, producing a light, generally painless monthly period. Alternatively, give the estrogen along with a progestin daily, without stopping. This regimen causes some initial bleeding or spotting, but within a few months it produces an atrophic endometrium that will not bleed. If the patient has had a hysterectomy, a progestin need not be used.
Women should not use combination progestin-estrogen therapy for more than 3 or 4 years (see discussion below). Women who cannot find relief with alternative approaches may wish to consider continuing use of combination therapy after a thorough discussion of the risks and benefits. Alternatives to hormone therapy for vasomotor symptoms include SSRIs such as paroxetine, 12.5 mg or 25 mg/d orally, or venlafaxine, 75 mg/d orally. Gabapentin, an antiseizure medication, is also effective at 900 mg/d orally. Clonidine given orally or transdermally, 100–150 mcg daily, may also reduce the frequency of hot flushes, but its use is limited by side effects, including dry mouth, drowsiness, and hypotension. There is some evidence that soy isoflavones may be effective in treating menopausal symptoms. Other compounds including red clover and black cohosh have not been shown to be effective. Because little is known about adverse effects, particularly with long-term use, dietary supplements should be used with caution.
2. Vaginal atrophy—A vaginal ring containing 2 mg of estradiol can be left in place for 3 months and is suitable for long-term use. Short-term use of estrogen vaginal cream will relieve symptoms of atrophy, but because of variable absorption, therapy with either the vaginal ring or systemic hormone replacement is preferable. A low-dose estradiol tablet (10 mcg) is available and is inserted in the vagina daily for 2 weeks and then twice a week for long-term use. Testosterone propionate 1–2%, 0.5–1 g, in a vanishing cream base used in the same manner is also effective if estrogen is contraindicated. A bland lubricant such as unscented cold cream or water-soluble gel can be helpful at the time of coitus.
3. Osteoporosis—(See also discussion in Chapter 26.) Women should ingest at least 800 mg of calcium daily throughout life. Nonfat or low-fat milk products, calcium-fortified orange juice, green leafy vegetables, corn tortillas, and canned sardines or salmon consumed with the bones are good dietary sources. In addition, 1200 mg of elemental calcium should be taken as a daily supplement at the time of the menopause and thereafter; calcium supplements should be taken with meals to increase their absorption. Vitamin D, at least 800 international units/d from food, sunlight, or supplements, is necessary to enhance calcium absorption and maintain bone mass. A daily program of energetic walking and exercise to strengthen the arms and upper body helps maintain bone mass. Screening bone densitometry is recommended for women beginning at age 60 (see Chapter 1). Women most at risk for osteoporotic fractures should consider bisphosphonates, raloxifene, or hormone replacement therapy. This includes white and Asian women, especially if they have a family history of osteoporosis, are thin, short, cigarette smokers, have a history of hyperthyroidism, use corticosteroid medications long-term, or are physically inactive.
Double-blinded randomized, controlled trials have shown no overall cardiovascular benefit with estrogen-progestin replacement therapy in a group of postmenopausal women with or without established coronary disease. Both in the Women’s Health Initiative (WHI) trial and the Heart and Estrogen/Progestin Replacement Study (HERS), the overall health risks (increased risk of coronary heart events; strokes; thromboembolic disease; gallstones; and breast cancer, including an increased risk of mortality from breast cancer) exceeded the benefits from the long-term use of combination estrogen and progesterone. An ancillary study of the WHI study showed that not only did estrogen-progestin hormone replacement therapy not benefit cognitive function but there was a small increased risk of cognitive decline in that group compared with women in the placebo group. The unopposed estrogen arm of the WHI trial demonstrated a decrease in the risk of hip fracture, a small but not significant decrease in breast cancer, but an increased risk of stroke and no evidence of protection from coronary heart disease. The study also showed a small increase in the combined risk of mild cognitive impairment and dementia with estrogen use compared with placebo, similar to the estrogen-progestin arm. Women who have been receiving long-term estrogen-progestin hormone replacement therapy, even in the absence of complications, should be encouraged to stop, especially if they do not have menopausal symptoms. However, the risks appear to be lower in women starting therapy at the time of menopause and higher in previously untreated women starting therapy long after menopause. Therapy should be individualized as the risk-benefit profile varies with age and individual risk factors. (See also discussions of estrogen and progestin replacement therapy in Chapter 26.)
The abrupt hormonal decrease resulting from oophorectomy generally results in severe vasomotor symptoms and rapid onset of dyspareunia and osteoporosis unless treated. If not contraindicated, estrogen replacement is generally started immediately after surgery. Conjugated estrogens 1.25 mg orally, estrone sulfate 1.25 mg orally, or estradiol 2 mg orally is given for 25 days of each month. After age 45–50 years, this dose can be tapered to 0.625 mg of conjugated estrogens or equivalent.
Hodis HN et al. The timing hypothesis for coronary heart disease prevention with hormone therapy: past, present and future in perspective. Climacteric. 2012 Jun;15(3):217–28. [PMID: 22612607]
Taylor HS et al. Update in hormone therapy use in menopause. J Clin Endocrinol Metab. 2011 Feb;96(2):255–64. [PMID: 21296989]