Zubair Wahid Baloch
Virginia A. LiVolsi
NORMAL THYROID
The normal thyroid gland is a bilobed structure, connected by an isthmus. The thyroid capsule is thin, does not strip easily, and contains sizable venous channels that become strikingly prominent when vascularity is increased. The normal gland is soft and yellowish-red; the colloid gives the cut surfaces a glistening, translucent appearance. Normal thyroid weights in the United States range from 10 to 20 g. The functional unit of the thyroid is the follicle, which averages about 20 µm in diameter (1). A thyroid lobule consists of 20 to 40 follicles bound together by a thin sheath of connective tissue and supplied by a lobular artery (2). The thyroid follicles are formed by a single layer of low cuboidal epithelium. The nucleus of the follicular cell is round to ovoid, sometimes irregular in shape, centrally placed, and uniform in size. The nucleolus is inconspicuous. A basal lamina envelops the entire follicle. Numerous capillaries and lymphatics surround the follicle. Considerable interstitial connective tissue and fat cells may be present (3). The follicular lumen is occupied by colloid, partly composed of thyroglobulin, which is evenly applied to the luminal cell borders. Calcium oxalate crystals are common in the colloid of adults (4,5).
Electron microscopy demonstrates that the normal flat to low-cuboidal follicular cells interdigitate and overlap one another, and that they are intimately related to the capillaries that surround the follicle; microvilli on the apical surface are numerous near the cellular margins (6,7,8).
C-cells are intrafollicular and lie next to the follicular cells and within the basal lamina that surrounds each follicle of the normal gland. C-cells are most numerous in the central portions of the middle and upper thirds of the thyroid lobes (9,10,11,12). They are believed to originate from the last branchial pouches (ultimobranchial bodies). C-cells are typically more numerous in infant thyroid than in adult glands (9,13).
Sizable C-cell aggregates have been observed in some adults without any known endocrinologic abnormality (10,11,14). The C-cells are polygonal to spindle-shaped, have “light,” or low-density cytoplasm, and contain numerous membrane-limited cytoplasmic granules, which contain calcitonin. A small number of C-cells (or cells similar to them) contain somatostatin (15,16). Guyetant et al (17) define C-cell hyperplasia as consisting of >40 C-cells/cm2and the presence of at least three low-power microscopic fields containing >50 C-cells.
The tiny solid cell nests of ovoid to spindled epidermoid cells are also considered to be of ultimobranchial origin (18,19,20,21). Typically, the nests have about the same distribution in the thyroid lobes as the C-cells. Tiny cysts that contain fluid, and a few mucous cells, may lie within or accompany the solid cell nests. So-called mixed follicles (19) are lined by follicular cells and epidermoid cells (and sometimes C-cells) and contain both colloid and mucoid material. The ultimobranchial structures probably also contribute a small proportion of normal thyroid follicles (21,22,23,24,25).
Oxyphil cells (oncocytes, Askanazy cells, Hürthle cells) are altered follicular cells; they are enlarged, have granular eosinophilic cytoplasm, and have large, hyperchromatic, or bizarre nuclei (26,27). The cytoplasm is filled with swollen mitochondria. They are common in long-standing Graves' disease, autoimmune thyroiditis, thyroids damaged by adiation, tumors, and some adenomatous nodules (28).
Small clusters of lymphoid cells are so common in the thyroid stroma that they are essentially a normal finding (29). Also present in the interstitial tissue are antigen-presenting dendritic cells; these are sparse in the normal gland but increased in autoimmune thyroid disease (30).
DEVELOPMENTAL VARIATIONS
The thyroglossal tract extends in the midline from the foramen cecum at the base of the tongue to the isthmus of the normal gland (31). The tract consists of connective tissue, the thyroglossal duct, lymphoid tissue, and thyroid follicles; it is attached to and may extend through the center of the hyoid bone and is intimately related to the surrounding skeletal muscle. Thyroid tissue may persist at the base of the tongue, and in some patients may represent the only thyroid present (32). The thyroglossal duct typically is a tube lined by ciliated pseudostratified epithelium. If the duct is traumatized or infected, the epithelium may be transitional or squamous, or it may be partially or completely lost and replaced by fibrous tissue. Foreign-body reaction and chronic inflammation may be conspicuous. If fluid accumulates in part of the thyroglossal duct, a thyroglossal cyst may develop (31,33) (see Chapter 2).
Any type of diffuse thyroid disease can involve lingual thyroid (34) and the thyroid tissue along the tract.
Occasionally, segments of thyroglossal duct are included within the thyroid gland proper and, rarely, may serve as the origin of an intrathyroidal cyst (35). Parathyroid glands, thymic tissue, tiny masses of cartilage, and tiny glands lined by ciliated cells may be seen in normal thyroid glands, presumably related to anomalies of the development of the branchial pouches (36,37,38).
Because of the intimate relationship that exists in the embryo between the immature thyroid tissue and the adjacent developing skeletal muscle, strips of striated muscle are occasionally included within the thyroid (2,39,40). Conversely, thyroid tissue may be found in perithyroidal skeletal muscle. Such nodules of thyroid tissue are particularly prominent when the gland is hyperplastic, and they should not be confused with carcinoma.
Groups of thyroid follicles in lymph nodes nearly always represent metastatic carcinoma (papillary carcinoma). A few experienced pathologists state normal thyroid follicles rarely occur in cervical lymph nodes (41,42,43). Hence, normal thyroid tissue lying only within the capsule of a node, especially if the node is located in the midline, may represent an embryologic remnant and not metastatic cancer.
GOITER
Goiter is a diffuse or nodular enlargement of the thyroid gland, usually resulting from a benign process or a process of unknown origin.
When there is a deficiency of circulating thyroid hormone because of inborn errors of metabolism, iodine deficiency, or goitrogenic agents, and if the hypothalamic–pituitary axis is intact, production of thyroid-stimulating hormone (TSH, thyrotropin) is increased; consequently, cellular activity and increased glandular activity and glandular mass result in an attempt to restore the euthyroid state.
Worldwide, the most common cause of thyroid hormone deficiency is an inadequate amount of iodine in the diet, leading to iodine-deficiency goiter (44). Other causes include inborn errors of thyroidal metabolism (dyshormonogenetic goiter) (45,46), dietary goitrogens, and goitrogenic drugs and chemicals.
The pathologic changes of simple nontoxic goiter include one or more of the following: (a) hyperplasia, (b) colloid accumulation, or (c) nodularity (44,47,48).
Hyperplasia represents the response of the thyroid to TSH, other growth factors, or circulating stimulatory antibodies (49). The hyperplasia may compensate for thyroid hormonal deficiency, but in some patients, even severe hyperplasia does not produce sufficient hormonal output to avoid hypothyroidism.
If the deficiency of thyroid hormone occurs at birth or early in life, cretinism or juvenile myxedema may result, even though the gland is enlarged and hyperplastic; this is especially likely when an inborn error of thyroidal metabolism is present. A hyperplastic gland is hyperemic, diffusely enlarged, and not nodular.
The epithelium is tall and columnar; the follicles are collapsed and contain only scanty colloid. When the hyperplastic stage is extreme and prolonged, there may be confusion with carcinoma because of the degree of cellularity and the presence of enlarged cells. The nuclei are enlarged, hyperchromatic, and even bizarre. Because of follicular collapse and epithelial hyperplasia and hypertrophy, papillary changes can be seen (50). This pattern occurs most often in untreated dyshormonogenetic goiter (45,46). Recognition of the benign nature of the process is possible because all the glandular tissue is abnormal, unlike carcinoma, in which the neoplastic masses constitute one or more localized groups of abnormal cells with a background of nonneoplastic parenchyma.
Thyroid follicles may not remain in a state of continuous hyperplasia, but instead undergo involution, with the hyperplastic follicles reaccumulating colloid. The epithelium becomes low cuboidal or flattened and resembles that of the normal gland. Some follicles become much larger than normal, contain excessive colloid, and are lined with flat epithelium (overinvolution; exhaustion atrophy). The gland is diffusely enlarged, soft, and has a glistening cut surface because of the excess of stored colloid. In addition to large follicles filled with colloid, there are foci in the gland where hyperplasia is still evident. This phase of nontoxic goiter is often termed colloid goiter.
Patients with long-standing thyroid deficiency typically develop nodular goiters that result from overdistention of some involuted follicles, and persistence of regions of epithelial hyperplasia. The new follicles form nodules and may be heterogeneous in their appearance, in their capacity for growth and function, and in their responsiveness to TSH. The vascular network is altered through the elongation and distortion of vessels, leading to hemorrhage, necrosis, inflammation, and fibrosis. These localized degenerative and reparative changes produce some nodules that are poorly circumscribed, and others that are well demarcated and resemble true adenomas (adenomatous goiter) (47,50,51). Because the nodules distort the vascular supply to some areas of the gland, some zones will contain larger-than-normal amounts of colloid and/or iodide, and others will have relative colloid and/or iodide deficiency. Growth of goiters therefore may be related to focally excessive stimulation by TSH, stimulation by growth factors, focally abnormal iodide concentration, growth-promoting thyroid antibodies, and poorly understood intrathyroidal factors.
Nodular goiter is essentially a process involving the entire gland, but the nodularity may be asymmetric, and individual nodules within the same gland may vary greatly in size. If one nodule is much larger or more prominent than the others, distinguishing it from a true neoplasm may not be possible. Several studies have shown that about 70% of dominant nodules in nodular goiter are indeed clonal proliferations (52,53,54,55). The formation of cysts, hemorrhage, fibrosis, and calcification further complicates the assessment of the gland.
The heterogeneity of the generations of replicating follicular cells in responsiveness to outside stimuli, functional capacity, and rate of growth, results in formation of groups of cells appear that are hyperfunctional or autonomous, or both. These form “hot” nodules that may cause thyrotoxicosis (Plummer's disease) (56).
Studies with radioactive iodine administered before operation have not always demonstrated correlations between the morphology of a nodule and its iodine metabolism (57) (see Chapter 68).
GRAVES' DISEASE
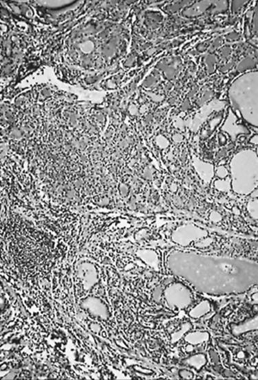
In this disorder, also termed diffuse toxic goiter, the thyroid is diffusely enlarged up to several times normal size. The capsule is smooth, and the gland is hyperemic. The cut surfaces are fleshy and lack normal translucence because of loss of colloid. If the patient is untreated, treated briefly, or receives only propranolol, the microscopic appearance shows cellular hypertrophy and hyperplasia (Fig. 21.1) (6,9). There is almost no colloid. The cells are tall columnar, and are thrown into papillary folds that extend into the lumina of the follicles. Blood vessels are congested. At the ultrastructural level, microvilli are increased in number and elongated, the Golgi apparatus and endoplasmic reticulum are large, and mitochondria are numerous (6). Infiltrates of lymphocytes lie between the follicles, ranging from minimal to extensive. T-cells predominate among the epithelial cells (cytotoxic-suppressor cells) and in the interstitial tissue (helper-inducer cells), where there are no lymphoid follicles (58,59,60). B-cells are numerous in the lymphoid follicles. Class II major histocompatibility complex antigens are expressed on the epithelial cells, and these epithelial cells induce the proliferation of T-cells, helping to perpetuate the process (58,61,62).

FIGURE 21.1. Diffuse hyperplasia of Graves' disease. Some colloid has accumulated (right side) because of preoperative antithyroid drug therapy.
Lymphoid hyperplasia may occur elsewhere in the body: thymus, lymph nodes, and spleen.
Because nearly all patients now receive antithyroid medication and then iodide before surgery, the glands have undergone varying degrees of involution (63). Some appear almost normal except for numerous large follicles filled with colloid. A few papillae may remain. The hyperemia is notably decreased, especially if there has been preoperative administration of iodide (63).
If hyperplasia continues for many years, oxyphilic metaplasia of the cells begins to occur, the amount of stroma increases in an irregular fashion, and nodularity develops, just as in diffuse euthyroid goiter. If the process subsides spontaneously or because of maintenance on antithyroid medication, the involution may be remarkably complete, it may be irregular (with some foci of hyperplasia evident), or the gland may be altered by chronic lymphocytic thyroiditis (64).
DYSHORMONOGENETIC GOITER
When an inborn error of thyroid metabolism exists, and sufficient amount of circulating thyroid hormone is not available, the normal physiologic response of the pituitary to increase TSH causes a larger, more active thyroid, which may or may not be able to produce enough hormone to reach a normal equilibrium. If TSH stimulation is marked and prolonged, the thyroid becomes large and nodular; microscopically enlargement of follicular cells, virtual absence of colloid, and increased stroma are seen (45,46).
Large follicular cells with bizarre, hyperchromatic nuclei may be numerous. The enlarged gland, the bizarre cells, and the cellular nodules have at times been mistaken for carcinoma. Cancer can occur in a dyshormonogenetic goiter, but it is very rare (65) (see Chapter 48).
IATROGENIC AND RELATED HYPERPLASIAS
Chronic ingestion of excess iodide, for whatever reason, occasionally leads to diffuse hyperplasia. Papillary formations and small nodules may be numerous. Infiltration of lymphocytes may occur.
About 3% of patients given lithium salts for a prolonged period develop goiter or hypothyroidism, or both. Patients so treated have been reported to have diffuse hyperplasia with considerable cellular and nuclear pleomorphism (66).
Bromide ingestion may lead to hypothyroidism because of loss of iodide from the gland. There are hyperplastic cells, foci of papillary proliferation, and loss of colloid (67).
AUTOIMMUNE THYROIDITIS
Common synonyms for autoimmune thyroiditis include Hashimoto's thyroiditis, lymphocytic thyroiditis, and struma lymphomatosa.
The disorder, most common in women, encompasses a spectrum of clinical and pathologic changes (44), ranging from an absence of symptoms to hypothyroidism and rarely, hyperthyroidism, from a large goiter to an atrophic gland, and from scattered clusters of infiltrating lymphocytes to extensive chronic inflammation and scarring with almost complete loss of follicular epithelium.
Various antithyroid antibodies and other immune phenomena occur, including in situ immune complex deposition and basement membrane changes in the gland, and expression of major histocompatibility complex antigens on the thyroid cells (58,59,68). Thyroiditis may be found in the same families in which idiopathic hypothyroidism and Graves' disease are common. It may follow typical Graves' disease (64).
The hyperthyroid variant of autoimmune thyroiditis is closely related to Graves' disease and may be almost identical in its gross and microscopic appearance to the latter condition (69), suggesting that this variant may indeed be Graves' disease. The presence of TSH-receptor antibodies in such patients would confirm the diagnosis of Graves' disease.
If the thyroiditis is slight and focal, then the thyroid is normal in size and contains scattered infiltrates of lymphocytes, predominantly T-cells. Some of the infiltrates contain lymphoid follicular centers, mostly B-cells. The thyroid follicles involved by the infiltrates appear atrophic; they have lost part or all of their colloid.
Small numbers of plasma cells (mostly immunoglobulin G (IgG)-positive) are mixed with lymphocytes (68). Glands involved by this focal thyroiditis typically are asymptomatic; therefore, the thyroiditis is discovered when thyroid tissue is surgically removed for other reasons, or the process is found at autopsy. Focal lymphocytic thyroiditis probably represents the mild or early form of autoimmune thyroiditis (29). When focal lymphocytic thyroiditis is more than minimal and the foci of involvement are larger and more numerous, occasional follicular cells undergo metaplasia toward oxyphilic cells. Part of a lobe sometimes may be extensively involved by lymphocytic thyroiditis, with minor changes occurring elsewhere in the gland; hence nodularity may result (nodular Hashimoto's thyroiditis).
In more advanced cases of autoimmune thyroiditis, little or no normal parenchyma is visible. The gland on gross examination is enlarged, and its cut surfaces are fleshy and pale.
Microscopic examination shows that many follicles are small, the amount of colloid is decreased, and infiltrates of lymphocytes, plasma cells, and macrophages are extensive (Fig. 21.2) (70,71). Lymphoid follicular centers are numerous, and their antibody-producing B-cells are polyclonal; those containing IgG are the most numerous (59,60,61,68,72). T-cells are most frequent among the epithelial cells and in the interstitial tissue away from lymphoid follicles. In flammatory giant cells may be scattered through the damaged follicles; their presence should not lead the pathologist to mistake autoimmune thyroiditis for de Quervain's thyroiditis (71). The amount of connective tissue in the gland often increases. Some follicular cells appear atrophic or damaged; many are hyperplastic or metaplastic (oncocytic or Hürthle cells; squamous metaplasia) (73,74). The solid-cell nests have been suggested as the origin of the latter (21,74). Possibly related rare cystic lesions have also been noted (38,40,75,76).

FIGURE 21.2. Autoimmune thyroiditis. Lymphoid follicles are conspicuous. Only a few colloid-filled thyroid follicles remain; most of these follicles are small and were formed by hyperplastic and metaplastic cells.
Most cases of adult hypothyroidism not related to pituitary failure, radiation, or surgical removal, probably represent an atrophic form of autoimmune thyroiditis (see Chapter 47). These glands are fibrotic and usually small, with a few nests of abnormal epithelial cells; scattered small groups of lymphocytes and plasma cells are present.
SILENT THYROIDITIS
Some patients with autoimmune thyroiditis have one or more episodes of painless enlargement of the gland accompanied by transient thyrotoxicosis and reduced radioiodine uptake, followed by transient and less commonly permanent hypothyroidism (77,78,79). The episodes often occur postpartum (79). Biopsies have demonstrated that the thyroid may have diffuse or focal lymphocytic thyroiditis. The entities of “silent thyroiditis” or postpartum thyroiditis have been shown to fall into the spectrum of autoimmune thyroid disease (77,79) (see Chapter 27).
SPECIFIC INFECTIOUS THYROIDITIS
Acute suppurative thyroiditis results from infection by pyogenic organisms. Tuberculosis, syphilis, parasitic infestations, and fungal infections may occur (80,81). In children, suppurative thyroiditis may occur by direct extension of infection from the pyriform sinus (82). Pneumocystis carinii thyroiditis and cytomegalovirus infection have been identified in patients with acquired immunodeficiency syndrome (83,84). Thyroidal infections are usually associated with the presence of the organism elsewhere in the body and occur in patients who lack a normal immune system (transplant recipients, patients with acquired immune deficiency syndrome) or who are debilitated by a chronic disease.
GRANULOMATOUS THYROIDITIS
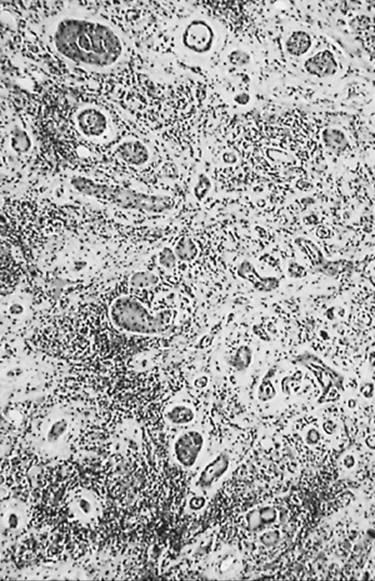
Synonyms for granulomatous thyroiditis are subacute thyroiditis and de Quervain's thyroiditis. This disorder, probably of viral origin, is characteristically self-limiting, lasting 1 to 3 months. Grossly, the gland is slightly enlarged. The changes are usually bilateral but may be asymmetric or focal. The involved regions are firm, poorly defined, and resemble carcinoma grossly (85). Microscopic changes in the regions involved consist of disrupted follicles, with fragmentation of the colloid and many macrophages (Fig. 21.3) (85).

FIGURE 21.3. de Quervain's thyroiditis. The five follicles shown are distended by inflammatory cells.
Microabscesses form, as some follicles are filled with polymorphonuclear leukocytes. Both follicular cells and colloid are destroyed focally. Giant cells of the foreign-body type arise from the fusion of macrophages, and they lie adjacent to or surround the disrupted colloid. Fibrous tissue proliferates around the damaged follicles, and lymphocytes infiltrate the connective tissue. Because the damaged foci contain necrotic cells, macrophages, and giant cells, and because they are surrounded by proliferative connective tissue that contains lymphocytes, there is a distinct resemblance to pathologic processes characterized by the formation of granulomas.
The thyroid tissue between the damaged regions appears normal. Healing occurs by fibrosis and by proliferation of remaining follicular cells; new follicles appear.
PALPATION THYROIDITIS
In many thyroid specimens, particularly surgically resected ones, an occasional follicle is disorganized, with breakdown of colloid, macrophages, and foreign-body giant cell reaction. This incidental microscopic finding is believed to be the result of palpation of the gland and hence is a post-traumatic thyroiditis (86).
AMIODARONE INJURY WITH THYROTOXICOSIS
Administration of amiodarone may cause thyrotoxicosis. Tissue changes are usually focal. Groups of follicles contain degenerated follicular cells (with granular or vacuolated cytoplasm), some follicles have lost follicular cells, and there is partial or complete loss of colloid. Zones of fibrosis are evident. The intervening thyroid tissue is normal (87,88).
RIEDEL'S STRUMA
Riedel's struma (Riedel's thyroiditis fibrosclerosis) invasive fibrous thyroiditis (89,90) is a very rare condition that represents one manifestation of a systemic collagenosis. It may include sclerosing mediastinitis, retroperitoneal fibrosis, pseudotumor of the orbit, and sclerosis of the biliary tract (90). The involvement of the thyroid seems to be incidental. Typically, a lobe of the thyroid and the adjacent skeletal muscle, nerves, blood vessels, and trachea are extensively replaced by dense, inflamed fibrous tissue. The mass formed is firm to hard, pale gray, and easily mistaken for cancer on clinical examination or by the surgeon at operation. Inflammatory cells, especially lymphocytes and plasma cells, are present in the dense connective tissue; angiitis usually involving veins may be conspicuous. There is no atypia of the fibroblasts or of the inflammatory cells; no oxyphilic metaplasia is found.
Carcinomas with extensive fibrosis and sclerosing lymphomas should be considered in the differential diagnosis; absence of cytological atypia is helpful in this distinction.
There does not appear to be any relation to other types of thyroiditis. Riedel's struma may be unilateral, and the portion of the gland not involved by the process is normal. In some cases, remnants of a nodule or adenoma are found.
COMBINED RIEDEL'S STRUMA AND FIBROSING HASHIMOTO'S THYROIDITIS
This rare condition shows simultaneous involvement of thyroid by Riedel's struma and Hashimoto's thyroiditis. The patients usually present with goiter and the serologic profile of Hashimoto's thyroiditis; however, the microscopic picture is that of Riedel's struma. Most authors believe that this simultaneous occurrence is coincidental (91).
MISCELLANEOUS DISORDERS
Radiation Effects
Ionizing radiation delivered in small doses to the thyroid glands of infants, children, and adolescents causes a marked increase in the later incidence of benign and malignant neoplasms (92,93,94,95). The neoplasms begin to appear about 5 to 10 years later, but many occur decades later. Larger doses cause more numerous nodules; many of these nodules are particularly cellular, and some are atypical in their structure and cytologic features, suggesting premalignant characteristics (92). The cancers that develop after small doses of radiation are mostly papillary carcinomas, are often multicentric or bilateral, and are frequently small (94). In addition to the nodules and neoplasms that occur, other changes are believed to be more common as well, including focal epithelial hyperplasia, chronic lymphocytic thyroiditis, oxyphilic metaplasia of follicular cells, and slight fibrosis (95 (see Chapter 70).
Large doses of ionizing radiation (e.g., therapeutic radiation for head and neck cancer, or radioiodine therapy) initially cause injury to vessels, irregular necrosis and sloughing of the follicular epithelium, and breakdown of some follicles. Hemorrhage, edema, and small numbers of inflammatory cells appear. As the damage heals, sclerosis and dilatation of vessels occur, the fibrous stroma of the gland increases, and a mixture of atrophic, hyperplastic, and metaplastic changes take place in the follicular epithelium (96,97). In some cases, oxyphilic cells with bizarre nuclei line the follicles.
AMYLOIDOSIS
The thyroid may be involved in primary or secondary amyloidosis (98,99). The amyloid deposition may be sufficiently uneven to produce an amyloid tumor or mass. Such an accumulation must be differentiated from that occurring in some instances of medullary carcinoma.
BLACK THYROID
Prolonged therapy with tetracycline antibiotics, especially minocycline, may cause the accumulation of sufficient pigment in the follicular cells to produce a dark brown to black gland (100,101). Much of the pigment is lipofuscin, but part may be a metabolite of the drug. Rarely, there may be interference with thyroid function (100).
NEOPLASMS
Thyroid neoplasms demonstrate a variety of morphologic patterns that complicate their pathologic interpretation. All neoplasms that arise from thyroid epithelial cells may have some functional capacities. They may respond to TSH and may even produce excessive amounts of thyroid hormones (56,102,103,104) or, if medullary carcinoma, produce excessive amounts of calcitonin. Immunohistochemical evaluation has been of diagnostic value. Localization of thyroglobulin or calcitonin aids in the classification of unusual thyroidal tumors and in providing definite identification of metastatic thyroid carcinomas (105).
In general, evaluation of nuclear ploidy (27,106,107,108,109) has been of little use in assessing malignancy in thyroid tumors. Some apparently diploid tumors are malignant; some aneuploid tumors are benign (107,109,110,111,112). Measurements of steroid receptors (113), oncogenes (114), proliferation indices (115,116), particular antigens (117), and studies of the nucleolar organizing regions (118) have provided some limited diagnostic or prognostic data (see Chapter 70).
Changes that occur with moderate frequency in thyroid epithelial tumors are the appearance of clear cells (119) and oxyphilic cells (oncocytes, Hürthle cells, Askanazy cells) (120,121).
BENIGN NEOPLASMS
Adenomas and Adenomatous Nodules
Nearly all adenomas have follicular patterns. Those follicular adenomas with papillary hyperplasia (some of which are functional) should not be classified as papillary adenomas (56), but as papillary hyperplastic nodules. An adenoma is defined as a solitary, encapsulated lesion having a uniform internal architecture that is substantially different from the surrounding thyroidal parenchyma, and it compresses the surrounding parenchma (46,122).
On gross examination, adenomas and nodules are well circumscribed and are often sharply demarcated from the adjacent tissue. They vary in size from about 1 mm in diameter to several centimeters (Fig. 21.4). The typical nodule contains so much colloid that it appears translucent, whereas the classic adenoma is cellular, fleshy, and pale. Hemorrhage, fibrosis, and cystic change may be evident in both nodules and adenomas.

FIGURE 21.4. Nontoxic nodular goiter, largely mediastinal. The trachea and main-stem bronchi are represented diagrammatically.
Microscopically, a typical adenomatous nodule has a varied pattern consisting of large and small follicles, usually with a large amount of colloid present (Figs. 21.5 and 21.6.). Giant follicles (colloid cysts), often irregular in shape, are common. The cells range from flat to cuboidal or columnar, and their nuclei are small, rounded, uniform, and compact. The stroma often appears loose and edema tous. Chronic inflammation, groups of macrophages, hemosiderin, fibrosis, and even calcification can be found.

FIGURE 21.5. Adenomatous nodules. The lower left nodule is solid; the upper right nodule has undergone cystic degeneration.

FIGURE 21.6. Adenomatous nodules. The nodule at the upper left contains large colloid-filled follicles.
The characteristic adenoma is encapsulated, cellular in comparison with the usual nodule, and relatively uniform in pattern (Figs. 21.7. and 21.8.). It may present as a solid mass of cells with only a hint of follicular pattern, but, more often, adenomas are composed of relatively uniform follicles (Fig. 21.9). Adenomas sometimes have unusual patterns and cellular features (Fig. 21.10).

FIGURE 21.7. Follicular adenoma and normal thyroid tissue (gross). A capsule is visible, and the tumor contains central fibrosis and foci of hemorrhage.

FIGURE 21.8. Follicular adenoma. The capsule is at the left.

FIGURE 21.9. Follicular adenoma with a thick capsule. Extensive fibrous stroma is evident. Normal thyroid is at bottom.

FIGURE 21.10. Atypical follicular adenoma. Many cells are elongated, some have large and irregular nuclei, and there is only a suggestion of follicle formation.
Some, described as atypical adenomas, are hypercellular and may contain mitotic figures (44,122,123,124,125), therefore resembling well-encapsulated follicular carcinoma. Such a tumor requires careful study to avoid missing a carcinoma. Other atypical adenomas are also cellular but contain spindle cells or polygonal cells with large and bizarre nuclei (125).
The so-called hyalinizing trabecular adenoma is a small, well-circumscribed tumor characterized by a trabecular and nesting pattern, with the nested, usually elongated cells surrounding hyaline connective tissue (126,127). Nuclei may contain cytoplasmic inclusions (126,127). Small psammoma bodies may occur. Gradations between typical follicular adenomas, trabecular adenomas, and the hyalinizing trabecular adenomas are seen (126,127). The differential diagnosis for these neoplasms is encapsulated medullary carcinoma; the adenomas contain thyroglobulin and no calcitonin. A majority of authors believe that hyalinizing trabecular adenoma is benign due to its clinical behavior. However, some authors have argued against the “benign” label of this tumor and believe that it is a form of papillary carcinoma. This is based on their similar cytologic characteristics, frequent coexistence, and similar immunoprofiles, and because some thyroid tumors with similar morphology have shown capsular and vascular invasion (128,129). We believe, until a conclusion is reached, that these tumors should be classified as hyalinizing trabecular neoplasm.
A rare variant of follicular adenoma is composed of vacuolated, signet-ring type cells (sometimes called mucinous), in which droplets of thyroglobulin and mucin-like material (possibly a carbohydrate or breakdown product of colloid) are present (130). An even more uncommon adenoma is the lipid-rich cell adenomas (131).
Cystic change is common, especially in adenomatous nodules, and almost all the typical architecture may disappear, except for tiny remnants of the periphery. Cystic changes in nodules are frequently accompanied by the formation of papillae (Fig. 21.11).

FIGURE 21.11. Adenoma or adenomatous nodule with papillae. The patient was 10 years old, and the nodule was hyperfunctional. The nuclei appear compact, regular, and round.
Critical examination of adenomatous nodules shows that many of these lesions are not solitary, that encapsulation and compression are inconstant phenomena, and that their internal architecture is quite variable. Studies of clonality (52,53,54,55) suggest that they are true neoplasms. Most adenomas or nodules take up little or no radioiodine and are thus “cold” on scan.
A few of these benign lesions are hyperfunctional, or “hot”; usually this occurs with nodules of nodular goiter rather than with a classic adenoma (56). In adolescents and young women, many of the hot, or toxic, nodules contain numerous papillae, often sufficient in number to cause a pathologist to suggest a diagnosis of papillary carcinoma.
Teratomas of the thyroid and of the tissues adjacent to the thyroid occur predominantly in infants and are usually diagnosed at the time of birth (132). They may become large, sufficiently so to cause dystocia by hyperextension of the neck. They are often associated with polyhydramnios. These tumors are almost always benign. Teratomas of the thyroid and the perithyroidal region are rare in adults, but may be malignant (133). Microscopically, the teratoma is composed of multiple elements, often with a preponderance of neural components.
MALIGNANT NEOPLASMS
The most common malignant neoplasms that originate in the thyroid are the well-differentiated carcinomas of follicular epithelial origin: most are papillary carcinomas. These constitute about 80% of thyroid carcinomas.
In predicting the prognosis in thyroid cancer, one must include the patient's age and sex, the size of the primary tumor, the presence or absence of direct extension into the juxtathyroidal tissues, and the presence or absence of metastatic foci. In some neoplasms, features such as DNA content and the presence of certain cells and antigens must be considered (27,107,134,135,136,137).
Most nonneoplastic diseases of the thyroid do not seem to be precursors of malignant diseases, with the exception that autoimmune thyroiditis may predispose to malignant lymphoma. An occasional adenoma or adenomatous nodule may contain a focus of papillary carcinoma when removed at operation, but this is a rare occurrence.
Anaplastic carcinomas often have arisen in goitrous thyroids, and careful examination of the resected tissues has frequently demonstrated benign tumors or well-differentiated carcinomas in close association with the anaplastic carcinoma. Such findings have led to suggestions that the benign tumor or low-grade carcinoma has become “transformed” into the anaplastic carcinoma (125,138,139).
The characteristics of well-differentiated carcinomas can be appreciated only by careful microscopic examination of multiple, well-prepared sections. Frozen sections at times may be misleading (140), and the surgeon must accept this limitation.
PAPILLARY CARCINOMA
About 80% of thyroid carcinomas are papillary carcinomas. More common in women than in men and rarely familial (141), papillary carcinoma occurs most frequently in those parts of the world where ample iodine is present in the diet and the environment (142,143). The association of radiation, especially low-dose external radiation in childhood, with the development of adult papillary thyroid cancer, is well documented (144,145). Recent studies from the areas of the former Soviet Union near the Chernobyl nuclear plant indicate an “epidemic” of thyroid carcinoma in children and teenagers following the nuclear accident and release of radioactive iodine. Virtually all of these tumors are papillary carcinomas (146).
Grossly, papillary cancers are predominantly solid, although small cystic foci may be present. A distinctly cystic character is evident in some cases, with one or more cystic spaces occupying most of the neoplasm (125,147). Bits of calcified material and crystals may be present in the cyst fluid. Papillae protruding into the cysts may be seen and at times are so numerous that portions of the cut surfaces appear granular.
Papillary carcinomas usually are infiltrative, and their margins often are poorly defined; however, about 10% to 20% of papillary cancers appear grossly encapsulated.
Fibrosis is common in and around papillary carcinomas (147,148,149), and it may be distributed in an extremely irregular fashion, grossly and microscopically (147,148,149,150,151). Occasionally, fibrosis is so extensive that almost no neoplastic cells can be found. Rarely, the stroma of the carcinomas is myxoid or similar to that of nodular fasciitis (152,153). Nonlamellated calcification is also common.
Small papillary carcinomas (“occult” carcinomas) are defined as being 1 cm in diameter or less and may be called minimal carcinomas or microcarcinomas (125,154,155,156,157,158). The incidence of these lesions ranges from 6% to 36% (125). When visible on gross examination, they present as small, irregular, firm scars, as soft foci of discoloration, or as tiny calcific lesions. Occasionally, such a tumor presents as a metastatic focus, usually as an enlarged cervical lymph node, rarely in a distant site (159,160,161,162,163). Microscopically, they contain neoplastic follicles or papillae, with the smallest ones showing a predominance of follicular pattern (159,162). They may be encapsulated or infiltrative.
Microscopic examination shows that most clinically evident papillary cancers contain papillae (Fig. 21.12); however, papillae may constitute only a tiny part of the neoplasm. Papillary cancer may be solid, may be composed of follicles (Fig. 21.13), which is classified as follicular variant, or may be almost entirely papillary (125,148,149,150,151,164,165). Trabecular (150,164), cribriform (150), and diffuse (125,151,165,166,167,168,169,170,171), patterns occur (Fig. 21.14).

FIGURE 21.12. Papillary carcinoma with papillae of various sizes.

FIGURE 21.13. Papillary carcinoma with a follicular pattern. Nuclei vary in size and shape, and some have clear centers.

FIGURE 21.14. Papillary carcinoma with extensive fibrosis, chronic inflammation, and squamous metaplasia.
The most diagnostic single feature in papillary carcinoma is the epithelial cell, which is usually cuboidal to low columnar, and contains a distinctive nucleus (see Fig. 21.13) (125,147,148,149,150,151,172,173,174).
The nucleus is relatively large and irregular in shape, with folds, indentations, and cytoplasmic inclusions (147,148,149,150,151,172,173,174). The nucleolus is often inconspicuous because it lies near the nuclear membrane. The nuclear heterochromatin tends to be concentrated near the nuclear membrane, causing the central portion of the nucleus to appear relatively pale, empty, or like ground glass. When the cells form papillae or follicles, often most of the cytoplasm is concentrated in the apical or basal portions of the cells, thereby causing neighboring nuclei to appear to touch or overlap one another.
The papillae are distinctive, typically gnarled, with well-developed fibrovascular cores, and covered with a single layer of the characteristic cells (172). When papillae are crowded and close together, the cancer may appear almost solid. Many papillary carcinomas have a substantial number of follicles (indeed, they may predominate) (125,147,148,149,150,151). An occasional papillary carcinoma, however, is composed almost entirely of distended, colloid-filled follicles of moderately uniform size and shape, thereby closely resembling the pattern of an adenomatoid nodule (151). Rare papillae, an occasional focus of infiltration at the periphery, and the characteristic nuclei allow the diagnosis to be made.
Papillary carcinoma may be largely or exclusively solid. In young people, it is not known if this pattern affects prognosis (125,146,148), but in the middle-aged and elderly it may be associated with a loss of differentiation that suggests an aggressive neoplasm. Follicles or papillae may be rare or nonexistent in the primary focus, although they are more likely to be present in metastatic foci in lymph nodes.
The characteristic nuclei, the frequent presence of psammoma bodies, the tendency to focal metaplasia suggestive of squamous metaplasia, and the infiltration by lymphocytes in and around the neoplasm help distinguish this variant from medullary carcinoma, solid follicular carcinoma, and insular carcinoma (125). Immunoreactive thyroglobulin can be demonstrated focally in these variants; no calcitonin is present.
Rarely, papillary thyroid carcinoma appears as a diffuse involvement of all the lymphatic channels of one lobe or of the entire thyroid (125,148,166,167,168,169,170,171), accompanied by severe lymphocytic thyroiditis or interstitial fibrosis. Psammoma bodies are numerous. A primary mass lesion (epicenter) may not be found in the gland. This variant occurs more often in young people, is usually accompanied by lymph node metastases, and often pulmonary metastases.
The tall cell variant is an unusual type of papillary carcinoma that appears to be more aggressive than the usual variety (125,147,150,175,176). Some of these tumors are composed of cells with oncocytic cytoplasm, but the cells are narrow and elongated (at least twice as long as they are wide). These tumors often show extrathyroidal soft tissue extension and vascular invasion (20% to 25%). Most occur in older people, and the mortality rate is relatively high (176).
Rarely, a papillary carcinoma is composed of oxyphilic cells (oncocytes, Askanazy cells, Hürthle cells) (26,125,151,177) that arise in a thyroid altered by lymphocytic thyroiditis. This lesion may show central cystic change and consists of papillary fronds infiltrated by a brisk lymphoplasmacytic infiltrate. Due to this peculiar morphology, which closely resembles Warthin's tumor of the salivary glands, this tumor is termed Warthin-like papillary carcinoma of thyroid (177). This variant appears to have the same spectrum of behavior as the common variety.
Encapsulation of the primary carcinoma is associated with a lower frequency of lymph node involvement, (125,147,148,149,150,151,178,179).
About one third to one half of papillary carcinomas contain laminated calcific spherules, known as psammoma bodies (Fig. 21.15) (125,147,148,149,150,151,164,180). They measure 5 to 100 µm in diameter and probably begin in damaged or dying cells. Anytime a psammoma body is found in normal thyroid tissue, cervical lymph nodes, or juxtathyroidal soft tissue, a search of the resected tissues should be instituted for papillary carcinoma. Structures resembling psammoma bodies are occasionally found inside the follicles of adenomas or adenomatous nodules, especially those composed of oxyphilic cells, where they seem to arise from calcification of inspissated colloid.

FIGURE 21.15. Papillary carcinoma containing a psammoma body. Lower left: Normal thyroid.
Lymphocytic infiltration is often present within and around papillary carcinomas (148,149) (Fig. 21.16).

FIGURE 21.16. Papillary carcinoma with extensive infiltration by lymphocytes and plasma cells.
Lymphatic invasion accounts for the high frequency of multiple intrathyroidal foci of the tumor and metastasis to cervical lymph nodes (Fig. 21.17). Occasionally, cervical nodal enlargement due to metastatic papillary carcinoma is the presenting complaint. If a nodal metastasis is cystic, it must be differentiated from a branchial cleft cyst (125). If well-differentiated neoplastic follicles enlarge the node, it must not be mistaken for a sequestered thyroid nodule (40,181). The nuclear features of papillary carcinoma may not be present in these differentiated follicular-patterned metastases. Blood vessel invasion by papillary carcinoma is uncommon (125,147,148,149,150,151), and metastatic foci in distant sites are unusual, with the lungs most frequently involved (125,147,148,149,150,151,182,183).

FIGURE 21.17. Papillary carcinoma in a lymph node. Half of it has a follicular pattern; half is composed of papillae.
The presence of many mitotic figures, enlarged or hyperchromatic nuclei, abnormal DNA content, deviation from the usual recognized histologic patterns, and regions of nondescript neoplastic cells not clearly recognizable as typical of papillary carcinoma (loss of differentiation) constitute characteristics believed to indicate that more aggressive behavior is likely (137,150,183). These features occur most often in older people and in large cancers.
FOLLICULAR CARCINOMA
Follicular carcinoma accounts for about 5% or less of all thyroid carcinomas in the United States, is more common in women than in men, and may occur at any age, but is more frequent with increasing age (especially after 30 years). The incidence is higher in regions of the world where iodine deficiency occurs (142,143).
Follicular carcinoma is an expansile neoplasm that is nearly always more or less encapsulated and has many similarities to follicular adenoma (125,184,185,186,187,188,189,190). Grossly, it usually presents as a fleshy, solid, encapsulated mass, sometimes with focal fibrosis or calcification. The capsule is usually well developed, but if the tumor is aggressive, extensions beyond the capsule may be readily apparent. Sometimes invasion of sinusoids or veins is seen at the periphery of the neoplasm (125,184).
On microscopic examination, follicular carcinomas most often have a microfollicular pattern and resemble a cellular follicular adenoma. Trabecular or solid patterns are fairly common and often accompany the microfollicular pattern. Medium-sized to large follicles filled with colloid typically are a minor component or are absent; only rarely do they comprise most of the cancer (Fig. 21.18) (184). Thyroglobulin immunostaining may be used to detect colloid droplets, thereby demonstrating that some of the apparently solid neoplasms do contain microfollicles (191) and confirming the follicular derivation of the tumor.

FIGURE 21.18. Follicular carcinoma with a mostly solid pattern. A few closed follicles are evident. Nucleoli are conspicuous.
The cells of follicular carcinoma are slightly to moderately larger than those present in most adenomas and adenomatous nodules, but otherwise they are similar. Mitotic figures range from rare to frequent.
Follicular carcinomas are divided into (a) localized, minimally invasive cancers and (b) more widely invasive cancers (125,184,185,186,187,188,189,190). Because follicular carcinomas are nearly always encapsulated, the distinction between adenoma and minimally invasive carcinoma may be difficult. Carcinoma is recognized by its extension into vessels at its periphery, by its penetration into and through the capsule that surrounds it, and (occasionally) by the presence of distant metastasis (184,189). Even a minimally invasive carcinoma can present as a metastatic lesion (185,189). Many sections of the periphery of the neoplasm may need to be examined to find evidence of invasion, although most cancers will be diagnosed on examination of 10 sections (184,185,189).
A follicular carcinoma that invades only two or three small vessels may be termed “minimally invasive.” A carcinoma that penetrates or invades its capsule to a limited extent but does not show vascular invasion is also termed “minimally invasive” (Figs. 21.19. and 21.20.). The term invasive adenoma should be avoided; these are cancers.

FIGURE 21.19. Follicular carcinoma that is small, hemorrhagic, and associated with skeletal metastases. Irregular infiltrates of tumor cells are visible in the capsule.

FIGURE 21.20. Follicular carcinoma (same as in Fig. 21.19). The cells protrude into a vessel in the capsule.
The minimally invasive carcinomas rarely recur or spread to distant sites, so the outlook for most patients is good. However, since the literature contains numerous studies in which distributions between follicular variant of papillary carcinoma and true follicular carcinoma were not made (192,193), accurate data on long-term prognosis for minimally invasive follicular carcinoma are not available. Follicular carcinoma has little tendency to invade lymphatic vessels and spread to lymph nodes (184,185,186,187,188,189,190,192,194).
Metastatic spread to the skeleton, lungs, brain, liver, and other tissues through the bloodstream may occur.
The follicular carcinomas that are not localized or minimally invasive have been grouped as “widely invasive”; these include examples in which multiple fingers of neoplastic cells extend into the surrounding thyroid or in which there is extensive replacement of the thyroid gland and soft tissue of the neck.
ONCOCYTIC (HÜRTHLE-CELL) TUMORS
Perhaps no thyroid neoplasm has elicited more confusion or debate than Hürthle-cell (or oncocytic) neoplasms. Clinicians and pathologists alike have considered that such tumors do not “follow the rules” for histopathologic diagnosis of malignancy (26,27,195,196,197,198,199).
Over the past decade, studies from numerous institutions throughout the world have shown that oncocytic or Hürthle-cell tumors can be divided into benign and malignant categories by careful adherence to strict pathologic criteria. More importantly, these pathologic distinctions predict clinical behavior (26,27,120,121,195,198,199).
Most oncocytic neoplasms behave as follicular carcinomas, i.e., pathologically one must assess the capsule for invasion and/or vascular invasion (26,27,199). However, some papillary carcinomas show oncocytic cytology; these behave as usual papillary cancers and often arise in glands with chronic thyroiditis (177).
Hürthle-cell carcinomas should be separated as a category of thyroid neoplasms different from true follicular carcinomas. First, Hürthle-cell cancers can metastasize to regional lymph nodes as well as hematogenously (30); in addition, histologic evidence of invasive characteristics is found more commonly in oncocytic cancers (192).
Since approximately one third of oncocytic thyroid tumors show invasion (i.e., are cancers), as compared with 2% to 5% of nononcocytic follicular tumors, the finding of Hürthle-cell cytology in a fine-needle aspiration sample of a thyroid nodule should lead to surgical resection of the lesion to assess malignancy (26,199).
PATHOLOGIC DIAGNOSIS OF PAPILLARY AND FOLLICULAR CARCINOMA OF THYROID: CONTROVERSIES AND USE OF IMMUNOHISTOCHEMICAL MARKERS
The pathologic diagnosis of various thyroid lesions can be challenging. The two lesions that comprise a major portion of difficult cases in thyroid pathology are follicular variant of papillary thyroid carcinoma and follicular carcinoma (200,201)
Excluding classical papillary carcinoma, follicular variant of papillary thyroid carcinoma (FVPTC) is the most common variant of papillary carcinoma; it is characterized by follicular growth pattern and nuclear morphology characteristic of papillary carinomas. These lesions can be partially or completely encapsulated, and up to 15% can show capsular and vascular invasion (202,203,204). A majority of FVPTC are easily diagnosed by the characteristic nuclear morphology of papillary carcinoma; however, there exists a subset of cases in which the diagnosis of FVPTC can be challenging (200). This group consists of tumors, which arise in a background of nodular goiter, are completely encapsulated, lack capsular and/or vascular invasion, and shows multifocal rather than diffuse distribution of nuclear features of papillary carcinoma (204).
Controversy exists among experts about the diagnosis of such lesions. Some believe due to excellent clinical behavior and questionable morphology these tumors should be classified as “tumors of undetermined malignant potential” to avoid unnecessary therapy (205). Others believe that due to multifocal presence of nuclear features of papillary carcinoma the entire tumor should be classified as FVPTC for treatment and staging purposes (200). However, some authors have reported similar cases, which were classified as benign, atypical, or as “tumors of undetermined malignant potential,” that recurred as lymph node and even distant metastases (186,189,200).
Several studies have explored the role of various immunohistochemical and molecular markers as an aid to the histologic diagnosis of FVPTC (206,207,208,209,210). The markers studied include cytokeratin-19, HBME-1, galectin-3, and RET-PTC. None of these markers has been shown to be 100% specific; but when used in a panel, all these can prove to be helpful in the diagnosis of FVPTC (205,206,207,208,209,210,211,212).
As mentioned above, follicular carcinoma can be divided into so-called minimally invasive and widely invasive (163,183). In our practice we use a three-tiered classification: minimally invasive, grossly encapsulated angioinvasive, and widely invasive (200). There is much debate among pathologists regarding the criteria for the diagnosis of minimally invasive follicular carcinoma (185,188,192,200,213). Some believe that the diagnosis of follicular carcinoma should only be made in cases which demonstrate invasion of the capsular vessels with or without capsular invasion (189,192,205). Others believe that invasion is the key: thus invasion of the capsule, invasion through the capsule, and invasion into veins in or beyond the capsule represent the diagnostic criteria for carcinoma in a follicular thyroid neoplasm (200,212). Some have suggested the term “follicular tumor of undetermined malignant potential” for tumors which only show minimal capsular invasion, because a majority of these tumors will behave in a benign fashion (205). However, follow-up studies of some tumors diagnosed as follicular carcinoma on the basis of capsular invasion only have demonstrated distant metastases (188).
Are there any immunohistochemical markers available that can be helpful in the diagnosis of follicular carcinoma? Kroll et al reported that the chromosomal translocation t(2;3)(q13;25), that results in a fusion protein consisting of the DNA-binding domain of the thyroid transcription factor Pax-8 and the activation domain of peroxisome proliferator-activated receptor gamma (PPAR-gamma), was present in follicular carcinomas but not in papillary carcinomas, follicular adenomas, or multinodular goiter (214). However, follow-up studies have shown that while PPAR-gamma expression is seen in the majority of follicular carcinomas, it is also seen in other follicular-patterned lesions (follicular variant of papillary carcinoma and follicular adenoma) as well as in non-lesional surrounding thyroid tissue (215,216,217).
CLEAR-CELL TUMORS
Clear-cell change can be identified focally in many follicular-derived lesions in the thyroid—thyroiditis, nodules and neoplasms (118). Most clear-cell metaplasia is associated with oncocytic or Hürthle-cell change. Hence, distinction of proliferative or neoplastic nodules (and benign from malignant nodules) relies on adherence to accepted criteria for follicular lesions. Of greatest import is the differentiation of clear-cell change in follicular lesions from clear-cell renal cell carcinomas metastatic to the thyroid (118,129). Immunostaining for thyroglobulin may be helpful in sorting out this diagnostic problem.
POORLY DIFFERENTIATED CARCINOMA
Reviews of large numbers of thyroid carcinomas have often included examples of carcinomas that are recognizable as originating from follicular epithelium (often with evidence of coexistent papillary or follicular carcinoma), but that have moderate to high rates of mitotic activity, are composed of solid masses or trabeculae of relatively uniform epithelial cells, have tiny follicles present in varying numbers, may contain regions of acute necrosis, and are more aggressive than the usual well-differentiated carcinomas (218,219,220,221,222,223,224,225,226). Nishida et al in their study of poorly differentiated thyroid cancers noted that tumors with greater than 10% of “poorly differentiated” areas had a significantly worse prognosis than those tumors with small foci of poorly differentiated growth (220). Included among these lesions are insular carcinoma, columnar cell, tall cell and trabecular types of papillary cancer (219,220,221,222,223,224,225,226), and “poorly differentiated” carcinoma of Sakamoto (221). These tumors generally lack the usual histologic features and exceptional aggressiveness of anaplastic carcinomas, but they are neither typical follicular nor papillary carcinomas (220).
The role of oncogenes in thyroid carcinogenesis is not discussed in detail in this chapter (see section Oncogenes in Chapter 70). However, several investigators have reported results of immunostaining for p53, bcl-2, Ras oncogenes, and nM23 gene (113,227,228,229,230,231,232,233,234). Well-differentiated thyroid cancers are rarely positive for p53, whereas many anaplastic carcinoma are (40% to 60%) (233,234). Correspondingly, bcl-2 (related to the mechanism of apoptosis) oncogene is often expressed in well-differentiated cancers and rarely in undifferentiated cancers. Tumors in the poorly differentiated group (tall cell or columnar cell papillary cancer, and insular carcinoma) show intermediate patterns of expression of p53 (and of bcl 2 (231,232). Immunostaining for oncogene nM23 has not proven useful in thyroid tumors (114).
Evaluation for proliferative markers in thyroid neoplasms (immunostaining for PCNA or Ki67 antigen) has shown, as expected, low proliferation rates for well-differentiated tumors and high rates in poorly or undifferentiated lesions. The value of these tests is not evident in the clinical evaluation of affected patients (115,116).
ANAPLASTIC CARCINOMA
Fewer than 10% of thyroid carcinomas may be classified as anaplastic or undifferentiated (235). They are most common in regions of the world where iodine is deficient (142,143). Traditionally, these tumors include the rare small-cell carcinomas and the more common spindle cell and giant cell types. However, most lesions originally classified as small-cell anaplastic carcinomas represent medullary carcinoma, insular carcinoma or small cell malignant lymphoma (235,236,237). An oat-cell thyroid carcinoma, apparently separate from small-cell medullary carcinoma, has been described (236,237). The possibility of a metastatic carcinoma from another organ always has to be considered (237).
The following discussion will focus on spindle and giant-cell tumors. All are aggressive neoplasms that usually occur in elderly people, more often women. The patient may relate a history of a thyroid nodule that, after many years of stability, suddenly begins to grow rapidly. Some patients are known to have had low-grade thyroid carcinoma; some have low-grade thyroid carcinoma discovered at the time of diagnosis of the anaplastic tumor; and some have no history of thyroid disease (142,143,238).
Careful pathologic examination of thyroid glands that contain anaplastic carcinomas has demonstrated a high (50% to 70) incidence of remnants of well-differentiated follicular or papillary carcinoma (138,139,217,237,238) or sometimes an adenoma or adenomatous nodules (238), confirming the clinical impression that anaplastic carcinomas arise out of low-grade tumors.
Gross examination demonstrates a hard, pale, infiltrative mass that may contain foci of necrosis and hemorrhage. These tumors invade the cervical soft tissues and involve the regional lymph nodes, often by direct extension. Microscopic examination reveals varied histologic patterns, many mitotic figures, and regions of acute necrosis.
Anaplastic carcinomas are usually pleomorphic (Fig. 21.21) and are composed of medium-sized to large cells with a vaguely epithelial appearance (138,139,237,238). There may be squamous cell differentiation (138,139) (or a tendency toward this pattern). Others appear sarcomatous (Fig. 21.22), especially resembling malignant fibrous histiocytoma, fibrosarcoma, or angiosarcoma (138,139,237,238). Spindle cells may dominate. The giant-cell carcinomas often have malignant spindle cells. The most common type has bizarre giant cells, frequently multinucleated, and containing abnormal mitotic figures. Less commonly, some giant cells resemble osteoclasts (139,238,239).

FIGURE 21.21. Anaplastic carcinoma. Remnants of neoplastic follicles are present in the lower portion.

FIGURE 21.22. Anaplastic carcinoma with sarcomatous appearance.
Ultrastructural studies have demonstrated the presence of structures resembling tiny follicles, and junctions between the cells, supporting an epithelial phenotype (138,139,237,238). Immunohistochemical evidence of thyroglobulin has been found in a few anaplastic carcinomas; it is likely that in most of these cases, the thyroglobulin staining represents diffusion of thyroglobulin from destroyed thyroid follicles (138,237); 50% to 100% of these tumors contain keratin (138,139,237,238). Carcinosarcoma of the thyroid (240) has been described.
SQUAMOUS CELL CARCINOMA, MUCOEPIDERMOID CARCINOMA, AND INTRATHYROIDAL THYMOMALIKE NEOPLASMS
Chronic inflammation and scarring in the thyroid may cause the affected epithelium to undergo benign squamous metaplasia (122,241). Squamous metaplasia may occur in papillary carcinoma (125,148) and in anaplastic carcinoma (138,139,237,238). Sometimes, typical squamous cell carcinoma occurs in association with papillary or anaplastic carcinoma (221,241,242). Occasionally, squamous cell carcinoma appears as an entity independent of any other form of thyroid cancer (243). Variants associated with leukocytosis and hypercalcemia have been described (244). The major differential diagnosis is metastatic squamous carcinoma, especially from the head and neck, lung, or esophagus. Primary squamous carcinoma of the thyroid is usually aggressive, with a poor prognosis (243).
Mucoepidermoid carcinoma of the thyroid is rare (245,246,247,248,249,250,251,252) and may originate from ultimobranchial remnants or follicular epithelium (252). Two distinct tumors have been described under this category: mucoepidermoid carcinoma and sclerosing mucoepidermoid carcinoma with eosinophilia (245,246,250,252). Mucoepidermoid carcinoma is more common in women and usually presents as solitary painless mass. These tumors consist of areas of squamous differentiation and mucin production. By immunohistochemisty these tumors are positive for thyroglobulin, which confirms their follicular origin (250,252). Sclerosing mucoepidermoid carcinoma with eosinophilia is similar in its clinical presentation and biologic behavior to mucoepidermoid carcinoma. This tumor is usually seen in glands affected by Hashimoto's thyroiditis and shows squamous and glandular differentiation. These tumors are negative for thyroglobulin and have immunoprofile similar to ultimobranchial body rest/solid cell nests (251,252).
Rare thyroid tumors composed of spindled epithelial cells arranged in nests, sometimes associated with mucous microcysts, and resembling thymomas (SETTLE tumors—spindled and epithelial tumor with thymus like differentiation) have been reported (250,253,254). A few examples of neoplasms resembling thymic carcinomas also have been described, (CASTLE tumor-carcinoma with thymus-ike differentiation) (254). These lesions may originate from branchial pouch remnants within and adjacent to the thyroid (250,253).
MEDULLARY CARCINOMA
C-cell proliferation has been reported in adults as a possible change with advancing age (12,15), as a familial disorder associated with medullary carcinoma with or without multiple endocrine neoplasia (254,255,256), as an association with hypercalcemia (13), in areas of thyroid-abutting follicular tumors (257), in chronic thyroiditis (258), and as an isolated event of unknown significance (11,18,257). Medullary carcinoma (259,260,261) constitutes about 5% of thyroid carcinomas, originates from C-cells (261), may be sporadic or familial, and may be associated with disorders of other endocrine glands (see Chapter 71).
On gross examination, most medullary carcinomas are found to be firm, white or yellow, and infiltrative. Some are well defined and even encapsulated; the latter have a better prognosis (106,262).
On light microscopic examination, the cells are rounded or polygonal or may be spindled (Figs. 23. and 24.) (259,260,261,262,263,264). They appear as a diffuse solid mass, as islands separated by fibrous tissue (usually dense or hyalinized), as trabeculae or ribbons of cells, and (uncommonly) as glandular structures (Figs. 21.25. and 21.26.) (261,262,263). Small vessels in the tumor may be conspicuous, with the cells oriented around them. Pseudopapillary formations (264) and even true papillary patterns (263,264,265) have been reported. The carcinomas may be composed of small cells (in the past confused with small-cell anaplastic carcinoma) (263,265,266), may contain numerous giant cells (265,266,267), may have large cells with eosinophilic cytoplasm, resembling oncocytic follicular cells (268), and can form glandular structures (269). Clear cell medullary carcinomas have been reported (270). Cells producing mucus may be present in varying numbers (271,272). Rarely, these carcinomas produce melanin (273,274).

FIGURE 21.23. Medullary carcinoma with insular pattern. Amyloid is present at the lower right.

FIGURE 21.24. Medullary carcinoma with numerous small deposits of amyloid.

FIGURE 21.25. Medullary carcinoma with many tiny acini present in the islands of cells.

FIGURE 21.26. Medullary carcinoma with a trabecular pattern.
The nuclei are rounded or elongated; occasionally nuclei are large and irregular. Cytoplasmic inclusions in nuclei may occur. Aneuploid DNA patterns indicate a less favorable prognosis (106,275).
Multiple small foci of necrosis sometimes are present, especially in the medullary carcinomas composed of small cells. Anaplastic variants of medullary carcinoma have been described, but these are extremely rare (138,237,263,266).
Amyloid deposits formed by the secretory products of the neoplastic cells are frequently present, both in the primary tumor and in the metastatic foci. About 20% of medullary cancers lack amyloid (106,263). The presence of amyloid indicates a better prognosis (106). Tumor stroma and the amyloid may undergo calcification.
Medullary carcinomas nearly always produce calcitonin, although a few may lack this peptide (236,263). Other substances detected include chromogranin, calcitonin gene-related peptide, carcinoembryonic antigen, somatostatin, β-endorphin, adrenocorticotropin, serotonin, bombesin, chorionic gonadotropin, histaminase, and prostaglandins (276,278,279). The demonstration of only small amounts of calcitonin by immunostaining has been associated with a poor prognosis (280,281).
Invasion of lymphatic and blood vessels and metastases in cervical nodes are common. A few patients who develop widespread disease and die from the disease in 2 or 3 years. A few have very indolent tumors (usually misdiagnosed as adenoma initially) that persist for as long as 30 years. Some reports indicate familial medullary carcinomas (especially patients with Sipple's syndrome) have a better prognosis (280,281,282). Patients with multiple andocrine neoplasia type 28 have tumors that are particularly aggressive (281).
Most cases of medullary carcinoma are sporadic, particularly in patients over 40 years old, involve only one lobe, and are not associated with other endocrine lesions. A considerable number of cases are familial, however, especially in younger patients (254,255,256). Such cancers may be associated with bilateral pheochromocytomas or adrenal medullary hyperplasia and with parathyroid hyperplasia (Sipple's syndrome, multiple endocrine neoplasia type 2A).
Some patients have a variant syndrome, with mucosal and cutaneous neuromas (type 2B) (255). The familial medullary carcinomas are usually bilateral and multicentric. Other family members may have C-cell hyperplasia and medullary carcinomas of microscopic size, some of which may have already spread to lymph nodes. In this situation, the C-cell hyperplasia must be regarded as premalignant.
Recent evidence suggests that immunostaining for a component of the neural adhesion molecule can distinguish familial C-cell hyperplasia from secondary reactive states (283). However, with the advent of genetic testing for familial medullary carcinoma, the pathologist can be relieved of the burden of defining C-cell hyperplasia in glands removed for medullary carcinoma (284,285,286). C-cell adenoma (“medullary adenoma”) has not been identified pathologically; lesions diagnosed as C-cell adenoma may be small and circumscribed, but they are cancers.
A few medullary carcinomas are discovered incidental to thyroid operations for other conditions (287), at autopsy (288,289), or because of high serum calcitonin (290). The so-called micromedullary carcinomas (equivalent to micropapillary carcinoma and defined as tumors of 1 cm or less) have an excellent prognosis if confined to the gland (291,292). Some of the micromedullary cancers arise in the background of chronic thyroiditis and may be associated with C-cell hyperplasia even in the absence of familial disease. Some of these patients have hypothyroidism and high serum TSH levels; animal studies have shown that TSH can stimulate growth of C-cells. Hence this type of C-cell hyperplasia and micromedullary carcinoma may represent a secondary “reactive” phenomenon leading to early neoplastic change (290,291,292). The nontumoral parenchyma should be examined for evidence of C-cell hyperplasia in a thyroid removed for a medullary carcinoma.
Occasionally, the gland contains moderate to severe autoimmune thyroiditis (258,287), adenomatoid nodules, or a follicular-derived thyroid cancer (257).
Some medullary carcinomas grow sufficiently slowly to allow them to trap thyroid follicles. A few neoplasms have been reported that appear to represent joint C-cell and follicular cell proliferations (293,294,295,296). These are rare and are classified as mixed medullary and follicular carcinomas; nodal metastases from these tumors also exhibit both follicular and medullary components.
Several hypotheses have been suggested regarding the origin of these tumors (293,294); some authors have proposed that they are collision tumors, where others believe that they develop from an uncommitted stem cell capable of producing both follicular and C-cell progeny (293,294,295,296,297). Volante et al microdissected the individual components of 12 mixed tumors and performed genetic analysis for the RET proto-oncogene and allelic losses of nine loci on chromosome 6, and studied the clonal composition of tumor cells in female patients. Their results showed that the follicular and medullary components of the mixed tumors are not derived from single stem cells. In addition, the follicular-patterned areas were oligo/polyclonal and most likely are hyperplastic rather than neoplastic (297).
LYMPHOMA
Secondary involvement of the thyroid by malignant lymphoma that first appeared elsewhere in the body has been reported in 20% of patients dying from generalized lymphoma (122).
Malignant lymphoma presenting as a primary neoplasm in the thyroid is uncommon (298,299,300,301). Its apparent rarity in the older literature reflects diagnosis of lymphoma as anaplastic carcinoma. Most patients have a history of diffuse goiter (probably the result of autoimmune thyroiditis) that suddenly increased in size.
Gross examination reveals firm, fleshy tissue that is usually pale. Evidence of previous lymphocytic thyroiditis is present in most cases in which some thyroid parenchyma still persists (298,300).
Most thyroid lymphomas are diffuse (Fig. 21.27). Virtually all examples are B-cell types (298,299,302,303,304); many may be extranodal lymphomas that arise in mucosa-associated lymphoid tissue (MALT) (298,302). Some patients have typical plasmacytomas (305,306); these have a good prognosis. Hodgkin's disease is extremely rare.

FIGURE 21.27. Malignant lymphoma. Several thyroid follicles are distended by the infiltrate; this is the so-called lymphoepithelial lesion.
Invasion of lymphoma into and through the thyroid capsule, extension into the adjacent soft tissues, and involvement of regional lymph nodes occur fairly often and represent unfavorable prognostic factors. Some reports have suggested that gastrointestinal involvement is fairly common in patients with thyroid lymphoma, but experience varies in this regard (298).
Distinguishing lymphoma from small-cell carcinoma, either primary or metastatic, may be difficult; appropriate special procedures usually allow this to be done (307). Malignant lymphoma also has to be differentiated from advanced autoimmune thyroiditis; this distinction may require assessment of lymphocyte clonality by special studies (e.g., flow cytometry, gene rearrangement).
SARCOMA
Sarcomas of the thyroid are rare and comprise less than 1% of all thyroid malignancies. There is a tendency to overdiagnose sarcoma of the thyroid (308). In some cases follicular thyroid tumors may undergo extensive spindle cell metaplasia and can be mistaken for a sarcoma. In such instances immunostaining for thyroglobulin proves helpful (309). On complete, critical examination most proposed sarcomas prove to be anaplastic carcinomas. Reports of angiosarcoma (310,311,312) and leiomyosarcoma (313) have been published.
CARCINOMA IN ECTOPIC THYROID TISSUE
The tumors that arise in the thyroglossal tract have been mostly papillary carcinomas (314,315,316,317,318). In contrast with the thyroglossal carcinomas, tumors of sublingual and lingual ectopic thyroid tissue constitute the various types found in the main gland.
Carcinomas, usually papillary subtype (319), and lesions that resemble carcinoid tumors (320) have been reported in struma ovarii.
METASTATIC NEOPLASMS
Metastatic neoplasms in the thyroid that masquerade as primary tumors are rare. They have been reported to be most often carcinomas from the breast, lung, and kidney (321,322,323). Metastatic renal cell carcinoma probably is the secondary neoplasm that not only may appear clinically as a primary thyroid neoplasm but also may be mistaken as a thyroid tumor by the pathologist (119,322). Immunostaining for thyroglobulin is helpful in making the distinction. Sometimes the thyroid mass represents the initial manifestation of the renal neoplasm; on other occasion, it appears so long after nephrectomy that the possibility of a metastasis has been forgotten by the patient and the physician (321,322,323). In rare cases metastases may occur to a thyroid tumor, representing cases of tumor-to-tumor metatstasis (324).
REFERENCES
1. Toda S, Yonemitsu N, Hikichi Y, et al. Differentiation of human thyroid follicle cells from normal subjects and Basedow's disease in three dimensional collagen gel culture. Pathol Res Pract 1992;188:874.
2. Klinck GH. Structure of the thyroid. In: Hazard JB, Smith DE, eds. The thyroid. Baltimore: Williams & Wilkins, 1964:1.
3. Gnepp DR, Ogorzalek JM, Heffess CS. Fat-containing lesions of the thyroid gland. Am J Surg Pathol 1989;13:605.
4. MacMahon HE, Lee HY, Rivelis CF. Birefringent crystals in human thyroid. Acta Endocrinol (Copenh) 1968;58:172.
5. Reid JD, Choi CH, Oldroyd NO. Calcium oxalate crystals in the thyroid: their identification, prevalence origin and possible significance. Am J Clin Pathol 1987;87:443.
6. Heimann P. Ultrastructure of human thyroid: a study of normal thyroid, untreated and treated diffuse toxic goiter. Acta Endocrinol (Copenh) 1966;53[Suppl 110]:1.
7. Klinck GH, Oertel JE, Winship T. Ultrastructure of normal human thyroid. Lab Invest 1970;22:2.
8. Sobrinho-Simoes M, Johannessen JV. Scanning electron microscopy of the normal human thyroid. J Submicrosc Cytol Pathol 1981;13:209.
9. Gibson W, Croker B, Cox C. C cell populations in normal children and young adults. Lab Invest 1980;42:119.
10. Gibson WGH, Peng TC, Croker BP. C-cell nodules in adult human thyroid. A common autopsy finding. Am J Clin Pathol 1981;75:347.
11. Gibson WGH, Peng TC, Croker BP. Age-associated C-cell hyperplasia in the human thyroid. Am J Pathol 1982;106:388.
12. Wolfe HJ, Voelkel EF, Tashjian AH. Distribution of calcitonin-containing cells in the nromal adult human thyroid gland: a correlation of morphology with peptide content. J Clin Endocrinol Metab 1974;38:688.
13. Wolfe HJ, DeLellis RA, Voelkel EF, et al. Distribution of calcitonin-containing cells in neonatal human thyroid gland: a correlation of morphology with peptide content. J Clin Endocrinol Metab 1975;41:1076.
14. O'Toole K, Fenoglio-Preiser C, Pushparaj N. Endocrine changes associated with the human aging process. III. Effect of age on the number of calcitonin immunoreactive cells in the thyroid gland. Hum Pathol 1985:16:991.
15. Baschieri L, Castagna M, Fierabracci A, et al. Distribution of calcitonin-and somatostatin-containing cells in thyroid lymphoma and in Hashimoto's thyroiditis. Appl Pathol 1989;7:99.
16. Kameda Y, Oyama H, Endoh M, et al. Somatostatin immunoreactive C cells in thyroid glands from various mammalian species. Anat Rec 1982;204:161.
17. Guyetant S, Wion-Barbot N, Rousselet MC, et al. C-cell hyperplasia associated with chronic lymphocytic thyroiditis. Hum Pathol 1994;25:514.
18. Harach JR. Solid cell nests of the thyroid: an anatomical survey and immunohistochemical study for the presence of thyroglobulin. Acta Anat (Basel) 1985;122:249.
19. Harach JR. Mixed follicles of the human thyroid gland. Acta Anat (Basel) 1987;129:27.
20. Harach JR. Solid cell nests of the thyroid. J Pathol 1988;155: 191.
21. Harach HR, Viyanic GM, Jasani B. Ultimobranchial body nest in human fetal thyroid: an autopsy histological and immunohistochemical study in relation to solid cell nests and mucoepidermoid carcinoma of the thyroid. J Pathol 1993;169:465.
22. Cameselle-Teijeero J, Valera-Duran J, Sambade C, et al. Solid cell nests of the thyroid. Hum Pathol 1994;25:684.
23. Mizukami Y, Nonomura A, Mishigishi T, et al. Solid cell nests of the thyroid. Am J Clin Pathol 1994;101:186.
24. Parham DM. Laterally situated neck cysts derived from the embryological remnants of thyroid development. Histopathology 1988;12:95.
25. Williams ED, Toyn CE, Harach HR. The ultimobranchial gland and congenital thyroid abnormalities in man. J Pathol 1989;159:135.
26. Bronner MP, LiVolsi VA. Oxyphilic (Askanazy/Hurthle cell) tumors of the thyroid: microscopic features predict biologic behavior. Surg Pathol 1988;1:137.
27. Flint A, Davenport RD, Lloyd RV, et al. Cytomorphometric measurements of Hurthle cell tumors of the thyroid gland: correlation with pathologic features and clinical behavior. Cancer 1988;61:110.
28. Friedman NB. Cellular involution in the thyroid gland: significance of Hürthle cells in myxedema, exhaustion atrophy, Hashimoto's disease and the reactions to irradiation, thiouracil therapy and subtotal resection. J Clin Endocrinol 1949;9:874.
29. Mitchell JD, Kirkham N, Machin D. Focal lymphocytic thyroiditis in Southampton. J Pathol 1984;144:269.
30. Kabel PJ, Voorbij HAM, DeHaan M, et al. Intrathyroidal dendritic cells. J Clin Endocrinol Metab 1988;66:199.
31. Allard RHB. The thyroglossal cyst. Head Neck Surg 1982;5:134.
32. Neinas FW, Goman CA, Devine KD, et al. Lingual thyroid: clinical characteristics of 15 cases. Ann Intern Med 1973;79:205.
33. Pollock WF, Stevenson EO. Cysts and sinuses of the thyroglossal duct. Am J Surg 1966;112:225.
34. Sauk JJ. Ectopic lingual thyroid. J Pathol 1970;102:239.
35. Shareef DS, Salm R. Ectopic vestigial lesions of neck and shoulders. J Clin Pathol 1981;34:1155.
36. Apel RL, Asa SL, Chalvardjian A, et al. Intrathyroidal lymphoepithelial cysts of probable branchial origin. Hum Pathol 1994;25:1238.
37. Carpenter GR, Emery JL. Inclusions in the human thyroid. J Anat 1976;122:77.
38. LiVolsi VA. Branchial and thymic remnants in the thyroid and cervical region. An explanation for unusual tumors and microscopic curiosities. Endocrine Pathol 1993;4:115.
39. Gardiner WR. Unusual relationships between thyroid gland and skeletal muscle in infants: a review of the literature and four case reports. Cancer 1956;9:681.
40. Hathaway BM. Innocuous accessory thyroid nodules. Arch Surg 1965;90:222.
41. Gerard-Merchant R, Caillou B. Thyroid inclusions in cervical lymph nodes. Clin Endocrinol Metab 1981;10:337.
42. Meyer JS, Steinberg LS. Microscopically benign thyroid follicles in cervical lymph nodes:serial section study of lymph node inclusions and entire thyroid gland in 5 cases. Cancer 1969;24:302.
43. Roth LM. Inclusions of nonneoplastic thyroid tissue within cervical lymph nodes. Cancer 1965;18:105.
44. Doniach I. The thyroid gland. In: Symmers W StC, ed. Systemic pathology, 2nd ed. Edinburgh: Churchill Livingstone, 1978:1976.
45. Kennedy JS. The pathology of dyshormonogenetic goitre. J Pathol 1969;99:251.
46. Moore GH. The thyroid in sporadic goitrous cretinism: a report of three new cases, description of the pathologic anatomy of the thyroid glands and a review of the literature. Arch Pathol 1962;74:35.
47. Studer H, Ramelli F. Simple goiter and its variants; euthyorid and hyperthyroid multinodular goiters. Endocr Rev 1982;3:40.
48. Taylor S. The evolution of nodular goiter. J Clin Endocrinol Metab 1953;13:1232.
49. van der Gaag RD, Drexhage HA, Wiersinga WM, et al. Further studies on thryoid growth-stimulating immunoglobulins in euthyroid nonendemic goiter. J Clin Endocrinol Metab 1974;39:719.
50. Ramelli F, Studer H, Bruggisser D. Patholgenesis of thyroid nodules in multinodular goiter. Am J Pathol 1982;109:215.
51. Studer H, Gerber H, Zbaeren J, et al. Histomorphological and immunohistochemical evidence that nodular goiters grow by episodic replication of multiple clusters of thyroid follicular cells. J Clin Endocrinol Metab 1992;75:1151.
52. Aeschemann S, Kopp PA, Kemura ET, et al. Morphological and functional polymorphism within clonal thyroid nodules. J Clin Invest 1993;77:846.
53. Apel RL, Ezzat S, Bapat BV, et al. Clonality of thyroid nodules in sporadic goiter. Diagn Mol Pathol 1995;4:113.
54. Hicks DG, LiVolsi VA, Neidich JA, et al. Clonal analysis of solitary follicular nodules in the thyroid. Am J Pathol 1990;137:553.
55. Namba H, Matsuo K, Fagin JA. Clonal composition of benign and malignant thyroid tumors. J Clin Invest 1990;86:120.
56. Mizukami Y, Michigishi T, Nonomura A, et al. Autonomously functioning (hot) nodule of the thyroid gland: a clinical and histopathologic study of 17 cases. Am J Clin Pathol 1994;101:29.
57. Campbell WL, Santiago HE, Perzin KH, et al. The autonomous thyroid nodule: correlation of scan appearance and histopathology. Radiology 1973;107:133.
58. DeGroot LJ, Quintans J. The causes of autoimmune thyroid disease. Endocr Rev 1989;10:537.
59. Wick MR, Sawyer MD. Antigenic alterations in autoimmune thyroid diseases: observations and hypotheses. Arch Pathol Lab Med 1989;113:77.
60. Derwahl M, Huber G, Studer H. Slow growth but intense hypertrophy of thyrocytes in longstanding Graves' goitres. Acta Endocrinol (Copenh) 1989;121:389.
61. Margolick JB, Hsu SM, Volkman DJ, et al. Immunohistochemical characterization of intrathyroid lymphocytes in Graves' disease: interstitial and intraepithelial populations. Am J Med 1984;76:815.
62. Matsunaga M, Eguchi K, Fukuda T, et al. Class II major histocompatibility complex antigen expression and cellular interactions in thyroid glands of Graves' disease. J Clin Endocrinol Metab 1986;62:723.
63. Eggen PC, Seljelid R. The histological appearance of hyperfunctioning thyroids following various preoperative treatments. Acta Pathol Microbiol Immunol Scand (A) 1973;71:1663.
64. Hirota Y, Tamai H, Hayashi Y, et al. Thyroid function and histology in forty-five patients with hyperthyroid Graves' disease in clinical remission more than ten years after thionamide drug treatment. J Clin Endocrinol Metab 1986;62: 165.
65. Vickery AL. The diagnosis of malignancy in dyshormonogenetic goiter. Clin Endocrinol Metab 1985;2:90.
66. Fauerholdt L, Vendsborg P. Thyroid gland morphology after lithium treatment. Acta Pathol Microbiol Immunol Scand (A) 1981;89:339.
67. Mizukami Y, Funaki N, Hashimoto T, et al. Histologic features of thyroid gland in a patient with bromide induced hypothyroidism. Am J Clin Pathol 1988;89:802.
68. Aichinger G, Fill H, Wick G. In situ immune complexes, lymphocyte subpopulations, and HLA-DR-positive epithelial cells in Hashimoto's thyroiditis. Lab Invest 1985;52;132
69. Fatourechi V, McConahey WM, Woolner LB. Hyperthyroidism associated with histologic Hashimoto's thyroiditis. Mayo Clin Proc 1971;46:682.
70. LiVolsi VA. The pathology of autoimmune thyroid disease: a review. Thyroid 1994;4:333.
71. Mizukami Y, Michigishi T, Kawato M, et al. Chronic thyroiditis: thyroid function and histologic correlation in 601 cases. Hum Pathol 1992;23:980.
72. Ben-Ezra J, Wu A, Sheibani K. Hashimoto's thyroiditis lacks detectable clonal immunoglobulin and T cell receptor gene rearrangements. Hum Pathol 1988;19:1444.
73. LiVolsi VA, Merino MJ. Squamous cells in the human thyroid gland. Am J Surg Pathol 1978;2;133.
74. Vollenweider I, Hedinger C. Solid cell nests (SCN) in Hashimoto's thyroiditis. Virchows Arch 1988;412:357.
75. Carney JA. Thyroid cysts. Am J Surg Pathol 1989;13:1072.
76. Louis DN, Vickery AL, Rosai J, et al. Multiple branchial cleft-like cysts in Hashimoto's thyroiditis. Am J Surg Pathol 1989;13:45.
77. Mizukami Y, Michigishi F, Hashimoto T, et al. Silent thyroiditis: a histologic and immunohistochemical study. Hum Pathol 1988;19:423.
78. Woolf PD. Transient painless thyroiditis with hyperthyroidism: a variant of lymphocytic thyroiditis? Endocr Rev 1980;1: 411.
79. LiVolsi VA. Postpartum thyroiditis: the pathology slowly unravels. Am J Clin Pathol 1993;100:193.
80. deMent SH, Smith RRL, Karp JE, et al. Pulmonary, cardiac, and thyroid involvement in disseminated Pseudoallescheria boydii. Arch Pathol Lab Med 1984;108:859.
81. Loeb JM, Livermore BM, Wofsy D. Coccidioidomycosis of the thyroid. Ann Intern Med 1979;91:409.
82. Lucaya J, Bordon WE, Enriquez G, et al. Congenital pyriform sinus fistula: a cause of acute left-sided suppurative thyroiditis and neck abscess in children. Pediatr Radiol 1990;21:27.
83. Drucker DJ, Bailey D, Rotstein L. Thyroiditis as the presenting manifestation of disseminated extrapulmonary Pneumocystis carinii infection. J Clin Endocrinol Metab 1990;71:1663.
84. Frank TS, LiVolsi VA, Connor AM. Cytomegalovirus infection of the thyroid in immunocompromised adults. Yale J Biol Med 1987;60:1.
85. Lindsay S, Dailey ME. Granulomatous or giant cell thyroiditis. Surg Gyn Obstet 1954;98:197.
86. Carney JA, Moore SB, Northcutt RC, et al. Palpation thyroiditis (multifocal granulomatous folliculitis). Am J Clin Pathol 1975;64:639.
87. Leung WH, Lau CP, Wong CK, et al. Amiodarone induced thyroiditis. Am Heart J 1989;118:848.
88. Smyrk TC, Goellner JR, Brennan MD, et al. Pathology of the thyroid in amiodarone assoicated thyrotoxicosis. Am J Surg Pathol 1987;11:197.
89. Schwaegerle SM, Bauer TW, Esselstyn CB. Riedel's thyroiditis. Am J Clin Pathol 1988;90:715.
90. Comings DE, Skubi KB, Van Eyes J, et al. Familial multifocal fibrosclerosis: findings suggesting that retroperitoneal fibrosis, mediastinal fibrosis, sclerosing cholangitis, Riedel's thyroiditis and pseudotumor of the orbit may be different manifestations of a single disease. Ann Intern Med 1967;66:884.
91. Julie C, Vieillefond A, Desligneres S, et al. Hashimoto's thyroiditis associated with Riedel's thyroiditis and retroperitoneal fibrosis. Pathol Res Pract 1997;193:573.
92. Conrad RA, Dobyns BM, Sutow WW. Thyroid neoplasia as late effect of exposure to radioactive iodine in fallout. JAMA 1970;214:316.
93. Carr RF, LiVolsi VA. Morphologic changes in the thyroid after irradiation for Hodgkin's and non-Hodgkin's lymphoma. Cancer 1989;64:825.
94. Schneider AB, Pinsky S, Bekerman C, et al. Characteristics of 108 thyroid cancers detected by screening in a population with a history of head and neck irradiation. Cancer 1980;46: 1218.
95. Spitalnick PF, Strauss FH. Patterns of human thyroid parenchymal reaction following low dose childhood irradiation. Cancer 1978;41:1098.
96. Curran RC, Eckert H, Wilson GM. The thyroid gland after treatment of hyperthyroidism by partial thyroidectomy or iodine 131. J Pathol 1958;76:541.
97. Dobyns, BM, Vickery Al, Maloof F, et al. Functional and histologic effects of therapeutic doses of radioactive iodine on the thyroid of man. J Clin Endocrinol Metab 1953;13:548.
98. Kanoh T, Shimada H, Uchino H, et al. Amyloid goiter with hypothyroidism. Arch Pathol Lab Med 1989;113:542.
99. Kennedy JS, Thomson JA, Buchanan WM. Amyloid in the thyroid. QJM 1974;43:127.
100. Alexander CB, Herrera GA, Jaffe K, et al. Black thyroid: clinical manifestations, ultrastructural findings, and possible mechanisms. Hum Pathol 1985;16:72
101. Landas SK, Schelper RL, Tio FO, Turner JW, Moore KC, Bennett-Gray J. Black thyroid syndrome: exaggeration of a normal process? Am J Clin Pathol 1986;85:411.
102. McConahey WM, Hay ID, Woolner LB, et al. Papillary thyroid cancer treated at the Mayo Clinic, 1946 through 1970: initial manifestations, pathological findings, therapy and outcome. Mayo Clin Proc 1986;61:978.
103. McConnon JK, Von Westarp C, Mitchell RI. Follicular carcinoma of the thyroid with functioning metastases and clinical hyperthyroidism. Can Med Assoc J 1975;112:724.
104. Panke TW, Croxson MS, Parker JW, et al. Triiodothyronine secreting (toxic) adenoma of the thyroid gland: light and electron microscopic characteristics. Cancer 1978;12:95.
105. Ryff-de Leche A, Staub JJ, Kohler-Faden R, et al. Thyroglobulin production by malignant thyroid tumors: an immunocytochemical and radioimmunassay study. Cancer 1986;57:1145.
106. Bergholm U, Adami HO, Auer G, et al. Histopathologic characteristics and nuclear DNA content as prognostic factors in medullary thyroid carcinomas: a nationwide study in Sweden. Cancer 1989;64:135.
107. Bronner MP, Clevenger CV, Edmonds PR, et al. Flow cytometric analysis of DNA content in Hürthle cell adenomas and carcinoma of the thyroid. Am J Clin Pathol 1988;89:764.
108. Joensuu H, Klemi PJ. Comparison of nuclear DNA content in primary and metastatic differentiated thyroid carcinoma. Am J Clin Pathol 1988;89:35.
109. Joensuu H, Klemi PJ, Eerola E. DNA aneuploidy in follicular adenomas of the thyroid gland. Am J Pathol 1986;124:373.
110. Fukunga M, Shinozaki N, Endo Y, et al. Atypical adenoma of the thyroid. Acta Pathol Jpn 1992;42:432.
111. Oyama T, Vickery AL, Preffer FI, et al. A comparative study of flow cytometry and histopathologic findings in thyroid follicular carcinomas and adenomas. Hum Pathol 1994;25:271.
112. Zedenuis J, Auer G, Backdahl M, et al. Follicular tumors of the thyroid gland: diagnosis, clinical aspects and nuclear DNA analysis. World J Surg 1992;16:589.
113. van Hoeven KH, Menendez-Botel CJ, Strong EW, et al. Estrogen and progesterone receptor content in human thyroid disease. Am J Clin Pathol 1993;99:175.
114. Farley DR, Eberhardt NL, Grant CS, et al. Expression of a potential metastasis suppressor gene (nm23) in thyroid neoplasms. World J Surg 1993;17:615.
115. Shimizu T, Usuda N, Yamanda T, et al. Proliferative activity of human thyroid tumors evaluated by proliferating cell nuclear antigen/cyclin immunohistochemical studies. Cancer 1993;71: 2807.
116. Tateyama H, Yang YP, Ermoto T, et al. Proliferative cell nuclear antigen expression in follicular tumors of the thyroid with special reference to oxyphilic cell lesions. Virchows Arch 1994;424: 533.
117. Loy TS, Darkow GV, Spollen LE, et al. Immunostaining for Leu-7 in the diagnosis of thyroid carcinoma. Arch Pathol Lab Med 1994;118:172.
118. Nairn ER, Crocker J, McGovern J. Limited value of AgNOR enumeration in assessment of thyroid neoplasms. J Clin Pathol 1988;41:1136.
119. Carcangiu ML, Sibley RK, Rosai J. Clear cell change in primary thyroid tumors: a study of 38 cases. Am J Surg Pathol 1989;13:1041.
120. Arganini M, Behar R, Wu T-C, et al. Hürthle cell tumors: a twenty-five year experience. Surgery 1986;100:1108.
121. Bondeson L, Bondeson AG, Ljungberg O, et al. Oxyphil tumors of the thyroid: followup of 42 surgical cases. Ann Surg 1981;194:677.
122. Meissner WA, Warren S. Tumors of the thyroid gland. Atlas of tumor pathology, 2nd series, fascicle 4. Washington, D.C.: Armed Forces Institute of Pathology, 1969.
123. Hazard JB, Kenyon R. Atypical adenoma of the thyroid. Arch Pathol 1954;58:554.
124. Lang W, Georgii A, Stauch G, et al. The differentiation of atypical adenomas and encapsulated follicular carcinomas in the thyroid gland. Virchows Arch 1980;385:125.
125. Rosai J, Carcangiu ML, DeLellis RA. Tumors of the thyroid gland, 3rd series, fascicle 5. Washington, D.C.: Armed Forces Institute of Pathology, 1992.
126. Rothenberg HJ, Goellner JR, Carney JA. Hyalinizing trabecular adenoma of the thyroid gland: recognition and characterization of its yellow cytoplasmic body. Am J Surg Pathol 1999;23:118.
127. LiVolsi VA, Gupta PK. Thyroid fine needle aspiration-paraganglioma-like adenoma of the thyroid. Diagn Cytopathol 1992;8:82.
128. Sambade C, Franssila K, Cameselle-Teijeiro J, et al. Hyalinizing trabecular adenoma: a misnomer for a pecuilar tumor of the thyroid gland. Endocr Pathol 1991;2:83.
129. Fonseca E, Nesland JM, Sobrinho-Simoes. Expression of stratified epithelial-type cytokeratins in hyalinizing trabecular adenomas support their relationship with papillary carcinomas of the thyroid. Histopathology 1997;31:330.
130. Gherardi G. Signet ring cell “mucinous” thyroid adenomas: a follicle cell tumour with abnormal accumulation of thyroglobulin and a peculiar histochemical profile. Histopathology 1987;11:317.
131. Toth K, Peter I, Kremmer T, et al. Lipid rich cell thyroid adenoma: histopathology and comparative lipid analysis. Virchows Arch 1990;417:273.
132. Bale GF. Teratoma of the neck in the region of the thyroid gland: a review of the literature and report of four cases. Am J Pathol 1950;26:565.
133. Kimler SC, Muth WF. Primary malignant teratoma of the thyroid: case report and literature review of cervical teratomas in adults. Cancer 1978;42:311.
134. Hrafnkelsson J, Stal O, Enestrom S, et al. Cellular DNA pattern, S-phase frequency and survival in papillary thyroid cancer. Acta Oncol 1988;27:329.
135. Schroder S, Schwarz W, Rehpenning W, et al. Prognostic significance of Leu-M1 immunostaining in papillary carcinomas of the thyroid gland. Virchows Arch 1987;411:435.
136. Schroder S, Schwarz W, Rehpenning W, et al. Dendritic/ Langerhans cells and prognosis in patients with papillary thyroid carcinomas: immunohistochemical study of 106 thyroid neoplasms correlated with followup data. Am J Clin Pathol 1988;89:295.
137. Tennvall J, Biorklund A, Moller T, et al. Prognostic factors of papillary, follicular and medullary carcinomas of the thyroid gland: retrospective multivariate analysis of 216 patients with a median followup of 11 years. Acta Radiol Oncol 1985;24:17.
138. LiVolsi VA, Brooks JJ, Arendash-Durand B. Anaplastic thyroid tumors: immunohistology. Am J Clin Pathol 1987;87:434.
139. Carcangiu ML, Steeper T, Zampi G, et al. Anaplastic thyroid carcinoma: a study of 70 cases. Am J Clin Pathol 1985;83:135.
140. Bronner MP, Hamilton R, LiVolsi VA. Utility of frozen section analysis on follicular lesions of the thyroid. Endocr Pathol 1994;5:154.
141. Lote K, Andersen K, Nordal E, et al. Familial occurrence of papillary thyroid carcinoma. Cancer 1980;46:1291.
142. Cuello C, Correa P, Eisenberg H. Geographic pathology of thyroid carcinoma. Cancer 1969;23:230.
143. Hofstadter F. Frequency and morphology of malignant tumours of the thyroid before and after the introduction of iodine prophylaxis. Virchows Arch 1980;385:263.
144. Samaan NA. Papillary carcinoma of the thyroid: hereditary or radiation induced? Cancer Invest 1989;7:399.
145. Kerber RA, Till JE, Simon SL, et al. A cohort study of thyroid disease in relation to fallout from nuclear weapons testing. JAMA 1993;270:2076.
146. Nikiforov Y, Grepp DR. Pediatric thyroid cancer after the Chernobyl disaster. Cancer 1994;74:748.
147. Hawk WA, Hazard JB. The many appearances of papillary carcinoma of the thyroid. Cleve Clin Q 1976;43:207.
148. Carcangiu ML, Zampi G, Pupi A, et al. Papillary carcinoma of the thyroid: a clinicopathologic study of 241 cases treated at the University of Florence, Italy. Cancer 1985;55:805.
149. Carcangiu ML, Zampi G, Rosai J. Papillary thyroid carcinoma: a study of its many morphologic expressions and clinical correlates. Pathol Annu 1985;20[Pt 1]:1.
150. Tscholl-Ducommun J, Hedinger CE. Papillary thyroid carcinomas: morphology and prognsois. Virchows Arch 1982;396:19.
151. Vickery Al, Carcangiu ML, Johannessen JV, et al. Papillary carcinoma. Semin Diagn Pathol 1985;2:90.
152. Chan JKC, Rosai J. Papillary carcinoma of thyroid with exuberant nodular fasciitis like stroma: report of three cases. Am J Clin Pathol 1991;95:309.
153. Ostrowski MA, Asa SL, Chamberlain D, et al. Myxomatous change in papillary carcinoma of the thyroid. Surg Pathol 1989;2:249.
154. Salvadori B, DelBo R, Pilotti S, et al. Occult papillary carcinoma of the thyroid: a questional entity. Eur J Cancer 1993;13:1817.
155. Franssila KO, Harach HR. Occult papillary carcinoma of the thyroid in children and young adults: a systematic autopsy study in Finland. Cancer 1986;58:715.
156. Harach HR, Franssila KO, Wasenius VM. Occult papillary carcinoma of the thyroid: a “normal” finding in Finland: a systematic autopsy study. Cancer 1985;56:531.
157. Kasai N, Sakamoto A. New subgrouping of small thyroid carcinomas. Cancer 1987;60:1767.
158. Komorowski RA, Hanson GA. Occult thyroid pathology in the young adult: an autopsy study of 138 patients without clinical thyroid disease. Hum Pathol 1988;19:689.
159. Yamamoto Y, Maeda T, Izumi K, et al. Occult papillary carcinoma of the thyroid: a study of 408 autopsy cases. Cancer 1990;65:1173.
160. Harach HR, Franssila KO. Occult papillary carcinoma of the thyroid appearing as lung metastasis. Arch Pathol Lab Med 1984;108:529.
161. Patchefsky AS, Keller IB, Mansfield CM. Solitary vertebral column metastasis from occult sclerosing carcinoma of the thyroid gland. Am J Clin Pathol 1970;53:596.
162. Sampson RJ, Key CR, Buncher CR, et al. Smallest forms of papillary carcinoma of the thyroid: a study of 141 microcarcinomas less than 0.1 cm in greatest dimension. Arch Pathol 1971;91:334.
163. Strate SM, Lee EL, Childers JH. Occult papillary carcinoma of the thyroid with distant metastases. Cancer 1984;54:1093.
164. Hedinger CE, Williams ED, Sobin LH. Histological typing of thyroid tumours, 2nd ed. International Histological Classification of Tumours, no.11. Berlin: Springer-Verlag, 1988.
165. Lindsay S. Papillary thyroid carcinoma revisited. In: Hedinger CE, ed. Thyroid cancer. Berlin: Springer-Verlag, 1969.
166. Carcangiu ML, Bianchi S. Diffuse sclerosing variant of papillary thyroid carcinoma: clinicopathologic study of 15 cases. Am J Surg Pathol 1989;13:1041.
167. Fujimoto Y, Obara T, Ito Y, et al. Diffuse sclerosing variant of papillary carcinoma of the thyroid. Cancer 1990;66:2306.
168. Chan JKC, Tsui MS, Tse CH. Diffuse sclerosing variant of papillary carcinoma of the thyroid: a histological and immunohistochemical study of three cases. Histopathology 1987;11:191.
169. Schroder S, Bay V, Dumke K, et al. Diffuse sclerosing variant of papillary thyroid carcinoma: S-100 protein immunocytochemistry and prognosis. Virchows Arch 1990;416: 367.
170. Soares J, Limbert E, Sobrinho-Simoes M. Diffuse sclerosing variant of papillary thyroid carcinoma: a clinicopathologic study of 10 cases. Pathol Res Pract 1989;185:200.
171. Moreno-Egea A, Rodriguez-Gonzalez JM, Sola-Perez J, et al. Clinicopathological study of the diffuse sclerosing variety of papillary cancer of the thyroid. Eur J Surg Oncol 1994;20:7.
172. Kini SR. Guides to clinical aspiration biopsy: thyroid. New York: Igaku-Shoin, 1987.
173. Gray A, Doniach I. Morphology of the nuclei of papillary carcinoma of the thyroid. Br J Cancer 1969;23:49.
174. Johannessen JV, Gould VE, Jao W. The fine structure of human thyroid cancer. Hum Pathol 1978;9:385.
175. Akslen LA, Varhaug JE. Thyroid carcinoma with mixed tall cell and columnar cell features. Am J Clin Pathol 1990;94: 442.
176. Johnson TL, Lloyd RV, Thompson NW, et al. Prognostic implications of the tall cell variant of papillary thyroid carcinoma. Am J Surg Pathol 1988;12:22.
177. LiVolsi VA, Apel RL, Asa SL. Papillary Hürthle cell carcinoma with lymphocytic stroma: “Warthin-like tumor” of the thyroid. Am J Surg Pathol 1995;19:810.
178. Evans HL. Encapsulated papillary neoplasms of the thyroid: a study of 14 cases followed for a minimum of 10 years. Am J Surg Pathol 1987;11:592.
179. Schroder S, Bocker W, Dralle H, et al. The encapsulated papillary carcinoma of the thyroid: a morphologic subtype of the papillary thyroid carcinoma. Cancer 1984;54:90.
180. Johannessen JV, Sobrinho-Simoes M. The origin and significance of thyroid psammoma bodies. Lab Invest 1980;43:287.
181. Sisson JC, Schmidt RW, Beierwaltes WH. Sequestered nodular goiter. N Engl J Med 1964;270:927.
182. Russell WO, Ibanez ML, Clark RL, et al. Thyroid carcinoma: classification, intraglandular dissemination and clinicopathological study based upon whole organ sections of 80 glands. Cancer 1963;16:1425.
183. Smith SA, Hay ID, Goellner JR, et al. Mortality from papillary thyroid carcinoma: a case control study of 56 lethal cases. Cancer 1988;62: 1381.
184. Franssila KO, Ackerman LV, Brown CL, et al. Follicular carcinoma. Semin Diagn Pathol 1985;2:101.
185. Yamashina M. Follicular neoplasms of the thyroid. Am J Surg Pathol 1992;16:392.
186. Kahn NF, Perzin KH. Follicular carcinoma of the thyroid. An evaluation of the histologic criteria used for diagnosis. Pathol Annu 1983;18[Pt 1]:221.
187. Lang W, Choritz H, Hundeshagen H. Risk factors in follicular thyroid carcinoma: a retrospective followup study covering a 14 year period with emphasis on morphologic findings. Am J Surg Pathol 1986;10:246.
188. Hazard JB, Kenyon R. Encapsulated angioinvasive carcinoma (angioinvasive adenoma) of thyroid gland. Arch Pathol 1954;19:152.
189. Evans HL. Follicular neoplasms of the thyroid: a study of 44 cases followed for a minimum of 10 years with emphasis on differential diagnosis. Cancer 1984;54:535.
190. Schroder S, Pfannschmidt N, Dralle H, et al. The encapsulated follicular carcinoma of the thyroid: a clinicopathologic study of 35 cases. Virchows Arch 1984;402:259.
191. Harach HR, Franssila KO. Thyroglobulin immunostaining in follicular thyroid carcinoma: relationship to the degree of differentiation and cell type.Histopathology 1988;13:43.
192. LiVolsi VA, Asa SL. The demise of follicular carcinoma of the thyroid gland. Thyroid 1994;4:233.
193. van Heerden JA, Hay ID, Goellner JR, et al. Follicular thyroid carcinoma with capsular invasion alone: a nonthreatening malignancy. Surgery 1992;112:1130.
194. Franssila KO. Is the differentiation between papillary and follicular thyroid carcinoma valid? Cancer 1973;32:853.
195. Watson DG, Brennan MD, Goellner JR, et al. Invasive Hürthle cell carcinoma of the thryoid: natural history and management. Mayo Clin Proc 1984;59:851.
196. Gundry SR, Burney RE, Thompson NW, et al. Total thyroidectomy for Hürthle cell neoplasm of the thyroid. Arch Surg 1983;118:529.
197. Thompson NW, Dunn EL, Batsakis JG, et al. Hürthle cell lesions of the thyroid gland. Surg Gynecol Obstet 1974;139: 555.
198. Flint A, Lloyd RV. Hürthle cell neoplasms of the thyroid gland. Pathol Annu 1990;25[Pt 1]:37.
199. Tallini G, Carcangiu ML, Rosai J. Oncocytic neoplasms of the thyroid gland. Acta Pathol Jpn 1992;42:305.
200. Baloch ZW, Livolsi VA. Follicular-patterned lesions of the thyroid: the bane of the pathologist. Am J Clin Pathol 2002;117: 143.
201. Chan JK. Strict criteria should be applied in the diagnosis of encapsulated follicular variant of papillary thyroid carcinoma. Am J Clin Pathol 2002;117:16.
202. Chen KTC, Rosai J. Follicular variant of thyroid papillary carcinoma: a clinicopathologic study of six cases. Am J Surg Pathol 1977;1:123.
203. Tielens ET, Sherman SI, Hruban RH, et al. Follicular variant of papillary thyroid carcinoma: a clinicopathologic study. Cancer 1994;73:424.
204. Baloch ZW, Gupta PK, Yu GH, et al. Follicular variant of papillary carcinoma. Cytologic and histologic correlation. Am J Clin Pathol 1999;111:216.
205. Williams ED, Abrosimov A, Bogdanova TI, et al. Two proposals regarding the terminology of thyroid tumors. [Guest editorial.] Int J Surg Pathol 2000;8:181.
206. Baloch ZW, Abraham S, Roberts S, et al. Differential expression of cytokeratins in follicular variant of papillary carcinoma: an immunohistochemical study and its diagnostic utility. Hum Pathol 1999;30:1166.
207. Cheung CC, Ezzat S, Freeman JL, et al. Immunohistochemical diagnosis of papillary thyroid carcinoma. Mod Pathol 2001;14: 338.
208. Rigau V, Martel B, Evrard C, et al. Interet de l'HBME-1 en pathologie thyroidienne. Annales de Pathologie 2001;21:15.
209. Kawachi K, Matsushita Y, Yonezawa S, et al. Galectin-3 expression in various thyroid neoplasms and its possible role in metastasis formation. Human Pathol 2000;31:428.
210. Herrmann ME, LiVolsi VA, Pasha TL, et al. Immunohistochemical expression of galectin-3 in benign and malignant thyroid lesions. Arch Pathol Lab Med 2002;126:710.
211. Cerilli LA, Mills SE, Rumpel CA, et al. Interpretation of RET immunostaining in follicular lesions of the thyroid. Am J Clin Pathol 2002;118:186.
212. Baloch ZW, LiVolsi VA. The quest for a magic tumor marker: continuing saga in the diagnosis of the follicular lesions of thyroid. Am J Clin Pathol 2002;118:165.
213. Thompson LD, Wieneke JA, Paal E, et al. A clinicopathologic study of minimally invasive follicular carcinoma of the thyroid gland with a review of the English literature. Cancer 2001;91: 505.
214. Kroll TG, Sarraf P, Pecciarini L, et al. PAX8-PPARgamma 1 fusion in oncogene human thyroid carcinoma. Science 2000;289:1357.
215. Marques AR, Espadinha C, Catarino AL, et al. Expression of PAX8-PPAR gamma 1 rearrangements in both follicular thyroid carcinomas and adenomas. J Clin Endocrinol Metab 2002;87:3947.
216. Villanueva-Siles E, Tanaka K, Wenig BM. Peroxisome proliferator-activated receptor gamma 1 (PPAR-g) in benign and malignant thyroid lesions: an immunohistochemical study. Mod Pathol 2002;15:121A(abst).
217. Gustafson KG, LiVolsi VA, Furth EE, et al. Peroxisome proliferator-activated receptor-gamma expression in follicular-patterned thyroid lesions: caveats for the use of immunohistochemical studies. Am J Clin Pathol 2003;120:175.
218. Rosai J, Saxen EA, Woolner LB. Undifferentiated and poorly differentiated carcinoma. Semin Diagn Pathol 1985;2:123.
219. Carcangiu ML, Zampi G, Rosai J. Poorly differentiated (“insular”) thyroid carcinoma. Am J Surg Pathol 1984;8:655.
220. Nishida T, Katayama S, Tsujimoto M, et al. Clinicopathological significance of poorly differentiated thyroid carcinoma. Am J Surg Pathol 1999;23:205.
221. Sakamoto A, Kasai N, Sugano H. Poorly differentiated carcinoma of the thyroid: a clinicopathologic entity for a high risk group of papillary and follicular carcinomas. Cancer 1983;52: 1849.
222. Evans HL. Columnar cell carcinoma of the thyroid: a report of two cases of an aggressive variant of thyroid carcinoma. Am J Clin Pathol 1986;85:77.
223. Mizukami Y, Nonomura A, Michigishi T, et al. Columnar cell carcinoma of the thyroid gland. Hum Pathol 1994;25:1098.
224. Robbins J, Merino MJ, Boice JD, et al. Thyroid cancer: a lethal endocrine neoplasm. Ann Intern Med 1991;115:133.
225. Sobrinho-Simoes M, Nesland JM, Johannessen JV. Columnar cell carcinoma. Another variant of poorly differentiated carcinoma of the thyroid. Am J Clin Pathol 1988;89:264.
226. Sobrinho-Simoes M, Sambade C, Nesland JM, et al. Tall cell papillary carcinoma. Am J Surg Pathol 1989;13:79.
227. Auguste LJ, Masood S, Westerband O, et al. Oncogene expression in follicular neoplasms of the thyroid. Am J Surg 1992;164:592.
228. Dobashi Y, Sakamoto A, Sugimura H, et al. Over expression of p53 as a possible prognostic factor in human thyroid carcinoma. Am J Surg Pathol 1993;17:375.
229. Dobashi Y, Sugimura H, Sakamoto A, et al. Stepwise participation of p 53 gene mutation during dedifferentiation of human thyroid carcinomas. Diagn Mol Pathol 1994;3:9–14.
230. Matias-Guiu X, Cuatrecasas M, Musulen E, et al. P 53 expression in anaplastic carcinomas arising from papillary carcinomas. J Clin Pathol 1994;47:337.
231. Pilotti S, Collini P, DelBo R, et al. A novel panel of antibodies that segregates immunocytochemically poorly differentiated carcinoma from undifferentiated carcinoma of the thyroid gland. Am J Surg Pathol 1994;18:1054.
232. Pilotti S, Collini P, Rilke F, et al. Bcl-2 protein expression in carcinomas originating from the follicular epithelium of the thyroid gland. J Pathol 1994;172:337.
233. Soares P, Cameselle-Teijeiro J, Sobrinho-Simoes M. Immunohistochemical detection of p 53 in differentiated, poorly differentiated and undifferentiated carcinomas of the thyroid. Histopathology 1994;24:205.
234. Fagin JA, Matsuo K, Karmakar A, et al. High prevalence of mutations of the p 53 gene in poorly differentiated human thyroid carcinomas. J Clin Invest 1993;91:179.
235. Mambo NC, Irwin SM. Anaplastic small cell neoplasms of the thyroid: an immunoperoxidase study. Hum Pathol 1984;15:55.
236. Eusebi V, Damiani S, Riva C, et al. Calcitonin free oat cell carcinoma of the thyroid gland. Virchows Arch 1990;14:737.
237. Hurlimann J, Gardiol D, Scazziga B. Immunohistology of anaplastic thyroid carcinoma: a study of 43 cases. Histopathology 1987;11:567.
238. Venkatesh YSS, Ordonez NG, Schultz PN, et al. Anaplastic carcinoma of the thyroid: a clinicopathologic study of 121 cases. Cancer 1990;66:321.
239. Hashimoto H, Koga S, Watanabe H, et al. Undifferentiated carcinoma of the thryoid gland with osteoclast like giant cells. Acta Pathol Jpn 1980;30:323.
240. Donnell CA, Pollock WJ, Sybers WA. Thyroid carcinosarcoma. Arch Pathol Lab Med 1987;111:1169.
241. Katoh R, Sakamoto A, Kasai N, et al. Squamous differentiation in thyroid carcinoma: with special reference to histogenesis of squamous cell carcinoma of the thyroid. Acta Pathol Jpn 1989;39:306.
242. Mikukami Y, Matsubara F, Hashimoto T, et al. Primary mucin producing adenosquamous carcinoma of the thyroid gland. Acta Pathol Jpn 1987;37:1157.
243. Huang TY, Assor D. Primary squamous cell carcinoma of the thyroid gland: a report of four cases. Am J Clin Pathol 1971;11: 567.
244. Riddle PE, Dinesoy HP. Primary squamous cell carcinoma of the thyroid associated with leukocytosis and hypercalcemia. Arch Pathol Lab Med 1987;111:373.
245. Chan JKC, Albores-Saavedra J, Battifora H, et al. Sclerosing mucoepidermoid thyroid carcinoma with eosinophilia. Am J Surg Pathol 1991;15:438.
246. Franssila KO, Harach HR, Wasenius VM. Mucoepidermoid carcinoma of the thyroid. Histopathology 1984;8:847.
247. Katoh R, Sugai T, Ono S, et al. Mucoepidermoid carcinoma of the thyroid gland. Cancer 1990;65:2020.
248. Mizukami Y, Matsubara F, Hashimoto T, et al. Primary mucoepidermoid carcinoma in the thyroid gland: a case report including an ultrastructural and biochemical study. Cancer 1984;53:1741.
249. Rhatigan RM, Roque J, Bucker RL. Mucoepidermoid carcinoma of the thyroid gland. Cancer 1977;39:210.
250. Chan JKC, Rosai J. Tumors of the neck showing thymic or related branchial pouch differentiation. Hum Pathol 1991;22:349.
251. Wenig BM, Adair CF, Heffess CS. Primary mucoepidermoid carcinoma of the thyroid gland: a report of six cases and a review of the literature of a follicular epithelial-derived tumor. Hum Pathol 1995;26:1099.
252. Baloch ZW, Solomon AC, LiVolsi VA. Primary mucoepidermoid carcinoma (MEC) and sclerosing mucoepidermoid carcinoma with eosinophilia (SMECE) of the thyroid: a report of nine cases. Mod Pathol 2000;13:802–807.
253. Miyauchi A, Kuma K, Matsuzuka F, et al. Intrathyroidal epithelial thymoma: an entity distinct from squamous cell carcinoma of the thyroid. World J Surg 1985;9:128.
254. Bigner SH, Mendelsohn G, Wells SA, et al. Medullary carcinoma of the thyroid in the multiple endocrine neoplasia IIB syndrome. Am J Surg Pathol 1981;5:459.
255. Carney JA, Sizemore GW, Hayles AB. C cell disease of the thyroid gland in multiple endocrine neoplsia type 2b. Cancer 1979;44:2173.
256. Melvin KEW, Tashjian AH, Miller HH. Studies in familial medullary thyroid carcinoma. Recent Prog Horm Res 1972;28: 399.
257. Albores-Saavedra J, Montfonte H, Nadji M, et al. C-cell hyperplasia in thyroid tissue adjacent to follicular cell tumors. Hum Pathol 1988;19:795.
258. Libbey NP, Nowakowski KJ, Tucci JR. C cell hyperplasia of the thyroid in a patient with goitrous hypothyroidism and Hashimoto's thyroiditis. Am J Surg Pathol 1989;13:71.
259. Hazard JB, Hawk WA, Crile G. Medullary (solid) carcinoma of the thyroid: a clinicopathologic entity. J Clin Endocrinol Metab 1959;19:152.
260. Williams ED, Brown CL, Doniach I. Pathological and clinical findings in a series of 67 cases of medullary carcinoma of the thyroid. J Clin Pathol 1966;19:103.
261. Hazard JB. The C (parafollicular) cells of the thyroid gland and medullary thyroid carcinoma: a review. Am J Pathol 1977;88:214.
262. Huss LJ, Mendelsohn G. Medullary carcinoma of the thyroid gland: an encapsulated variant resembling the hyalinizing trabecular (paraganglioma-like) adenoma of thyroid. Mod Pathol 1990;3:581.
263. Albores-Saavedra J, LiVolsi VA, Williams ED. Medullary carcinoma. Semin Diagn Pathol 1985;2:137.
264. Kakudo K, Miyauchi A, Takai S, et al. C cell carcinoma of the thyroid: papillary type. Acta Pathol Jpn 1979;29:653.
265. Sambade C, Baldaque-Faria A, Cardoso-Oliveira M, et al. Follicular and papillary variants of medullary carcinoma of the thyroid. Pathol Res Pract 1989;184:98.
266. Nieuwenhuizjen-Kruseman AC, Bosman FT, van Bergen-Henegouw JC, et al. Medullary differentiation of anaplastic thyroid carcinoma. Am J Clin Pathol 1992;77:541.
267. Kakudo K, Miyauchi A, Ogihara T, et al. Medullary carcinoma of the thyroid: giant cell type. Arch Pathol Lab Med 1978;102: 445.
268. Harach HR, Bergholm U. Medullary (C cell) carcinoma of the thyroid with features of follicular oxyphilic cell tumours. Histopathology 1988;13:645.
269. Harach HR, Williams ED. Glandular (tubular and follicular) variants of medullary carcinoma of the thyroid. Histopathology 1983;7:83.
270. Landon G, Ordonez NG. Clear cell variant of medullary carcinoma of the thyroid. Hum Pathol 1985;16:844.
271. Martin-Lacave I, Gonzalez-Campora R, Moreno-Fernandez A, et al. Mucosubstances in medullary carcinoma of the thyroid. Histopathology 1988;13:55.
272. Zaatari GS, Saigo PE, Huvos AG. Mucin production in medullary carcinoma of the thyroid. Arch Pathol Lab Med 1983;107:70.
273. Beerman H, Rigaud C, Bogomoletz WV, et al. Melanin production in black medullary thyroid carcinoma (MTC). Histopathology 1990;16:227.
274. Marcus JN, Dise CA, LiVolsi VA. Melanin production in a medullary thyroid carcinoma. Cancer 1982;49:2518.
275. Schroder S, Bocker W, Baisch H, et al. Prognostic factors in medullary thyroid carcinoma: survival in relation to age, sex, stage, histology, immunocytochemistry and DNA content. Cancer 1988;61:806.
276. Capella C, Bordi C, Monga G, et al. Multiple endocrine cell types in thyroid medullary carcinoma: evidence for calcitonin, somatostatin, ACTH, 5HT and small granule cells. Virchows Arch 1978;377:111.
277. Dasovic-Knezevic M, Bormer O, Holm R, et al. Carcinoembryonic antigen in medullary thyroid carcinoma: an immunohistochemical study applying six novel monoclonal antibodies. Mod Pathol 1989;2:610.
278. Pacini F, Elisei R, Anelli S, et al. Somatostatin in medullary thyroid cancer: in vitro and in vivo studies. Cancer 1989;63:1189.
279. Lippman SM, Mendelsohn G, Trump DL, et al. The prognostic and biological significance of cellular heterogeneity in medullary thyroid carcinoma: a study of calcitonin, L-dopa decarboxylase, and histaminase. J Clin Endocrinol Metab 1982;54:233.
280. Saad MF, Ordonez NG, Rashid RK, et al. Medullary carcinoma of the thyroid: a study of the clinical features and prognostic factors in 161 patients. Medicine (Baltimore) 1984;63:319.
281. Samaan NA, Schultz PN, Hickey RC. Medullary thyroid carcinoma: prognosis of familial versus sporadic disease and the role of radiotherapy. J Clin Endocrinol Metab 1988;67:801.
282. Gharib H, McConahey WM, Tregs RD, et al. Medullary thyroid carcinoma: clinicopathologic features and longterm followup of 65 patients treated during 1946 through 1970. Mayo Clin Proc 1992;67:934.
283. Komminoth P, Roth J, Saramaslani P, et al. Polysialic acid of the neural adhesion molecule in the human thyroid: a marker for medullary thyroid carcinoma and primary C-cell hyperplasia. Am J Surg Pathol 1994;18:399.
284. Feldman GL, Kambouris M, Talpos GB, et al. Clinical value of direct DNA analysis of the RET proto-oncogene in families with multiple endocrine neoplasia type 2A. Surgery 1994;116:1042.
285. O'Riordain DS, O'Brien T, Weaver A, et al. Medullary thyroid carcinoma in multiple endocrine neoplasia types 2A and 2B. Surgery 1994;116:1017.
286. Utiger RD. Medullary thyroid carcinoma, genes and the prevention of cancer. N Engl J Med 1994;331:870.
287. Weiss LM, Weinberg DS, Warhol MJ. Medullary carcinoma arising in a thyroid with Hashimoto's thyroiditis. Am J Clin Pathol 1983;80:534.
288. Bondeson L, Ljungberg O. Occult thyroid carcinoma at autopsy in Malmo, Sweden. Cancer 1981;47:319.
289. Lang W, Borrusch H, Bauer L. Occult carcinoma of the thyroid: evaluation of 1020 consecutive autopsies. Am J Clin Pathol 1988;90:72.
290. White IL, Vimadalal SD, Catz B, et al. Occult medullary carcinoma of thyroid: an unusual clinical and pathological presentation. Cancer 1981;47:1364.
291. Krueger JE, Maitra A, Albores-Saavedra J. Inherited medullary microcarcinoma of the thyroid: a study of 11 cases. Am J Surg Pathol 2000;24:853.
292. Kaserer K, Scheuba C, Neuhold N, et al. Sporadic versus familial medullary thyroid microcarcinoma: a histopathologic study of 50 consecutive patients. Am J Surg Pathol 2001;25: 1245.
293. Apel RL, Alpert LC, Rizzo A, et al. A metastasizing composite carcinoma of the thyroid with distinct medullary and papillary components. Arch Pathol Lab Med 1994;118:1143.
294. Holm R, Sobrinho-Simoes M, Nesland JM, et al. Medullary thyroid carcinoma with thyroglobulin immunoreactivity: a special entity? Lab Invest 1987;57:258.
295. Kovacs CS, Mase RM, Kovacs K, et al. Thyroid medullary carcinoma with thyroglobulin immunoreactivity in sporadic multiple endocrine neoplasia type 2B. Cancer 1994;74:928.
296. Lax SF, Beham A, Kronberger-Schonecker D, et al. Coexistence of papillary and medullary carcinoma of the thyroid gland-mixed or collision tumor? Virchows Arch 1994;424:441.
297. Volante M, Papotti M, Roth J, et al. Mixed medullary-follicular thyroid carcinoma. Molecular evidence for a dual origin of tumor components. Am J Pathol 1999;155:1499.
298. Anscombe AM, Wright DH. Primary malignant lymphoma of the thyroid—a tumor of mucosa-associated lymphoid tissue: review of seventy-six cases. Histopathology 1985;9:81
299. Aozasa K, Inoue A, Tajima K, et al. Malignant lymphomas of the thyroid gland. Analysis of 79 patients with emphasis on histologic prognostic factors.Cancer 1986;58:100
300. Compagno J, Oertel JE. Malignant lymphoma and other lymphoproliferative disorders of the thyroid gland: a clinicopathologic study of 245 cases. Am J Clin Pathol 1980;74:1.
301. Oertel JE, Heffess CS. Lymphoma of the thyroid and related disorders. Semin Oncol 1987;14:333.
302. Hyjek E, Isaacson PG. Primary B-cell lymphoma of the thyroid and its relationship to Hashimoto's thyroiditis. Hum Pathol 1988;19:1315.
303. Aozasa K, Inoue A, Yoshimura H, et al. Intermediate lymphocytic lymphoma of the thyroid. An immunologic and immunohistologic study. Cancer 1986;57:1762
304. Faure P, Chittal S, Woodman-Memeteau F, et al. Diagnostic features of primary malignat lymphomas of the thyroid with monoclonal antibodies. Cancer 1988;61:1852.
305. Aozasa K, Inoue A, Yoshimura H, et al. Plasmacytoma of the thyroid gland. Cancer 1986;58:105.
306. Kovacs CA, Mant MJ, Nguyen GK, et al. Plasma cell lesions of the thyroid. Thyroid 1994;4:65.
307. Burke JS. Histologic criteria for distinguishing between benign and malignant extranodal lymphoid infiltrates. Semin Diagn Pathol 1985;2:152.
308. Hedinger CE. Sarcomas of the thyroid gland. In: Hedinger CE, ed. Thyroid cancer. Berlin: Springer-Verlag, 1969:47.
309. Vergilio J, Baloch ZW, LiVolsi VA. Spindle cell metaplasia of the thyroid arising in association with papillary carcinoma and follicular adenoma. Am J Clin Pathol 2002;117:199–204.
310. Eusebi V, Carcangiu ML, Dina R, et al. Keratin positive epithelioid angiosarcoma of thyroid: a report of four cases. Am J Surg Pathol 1990;14:737.
311. Pfaltz M, Hedinger CE, Saremaslani P, et al. Malignant hemangioendothelioma of the thyroid and factor VIII-related antigen. Virchows Arch 1983;401:177.
312. Ruchti C, Gerber HA, Schaffner T. Factor VIII-related antigen in malignant hemangioendothelioma of the thyroid: additional evidence for the endothelial origin of this tumor. Am J Clin Pathol 1984;82:474.
313. Kawahara E, Nakanishi T, Terahata S, et al. Leiomyosarcoma of the thyroid gland: a case report with a comparative study of five cases of anaplastic carcinoma. Cancer 1988;62:2558.
314. Bhagavan BS, Govinda Rao DR, Weinberg T. Carcinoma of thyroglossal duct cyst: case reports and review of the literature. Surgery 1970;67:281.
315. Boswell WC, Zoller M, Williams JS, et al. Thyroglossal duct carcinoma. Am Surg 1994;60:650.
316. Heshmati HM, Fatourechi V, van Heerden JA, et al. Thyroglossal duct carcinoma: report of 12 cases. Mayo Clin Proc 1997;72:315.
317. LiVolsi VA, Perzin KH, Savetsky L. Carcinoma arising in median ectopic thyroid (including thyroglossal duct tissue). Cancer 1974;34:577.
318. Yang YJ, Haghir S, Wanamaker JR, et al. Diagnosis of papillary carcinoma in a thyroglossal duct cyst by fine-needle aspiration biopsy. Arch Pathol Lab Med 2000;124:139.
319. Devaney K, Snyder R, Norris HJ, et al. Proliferative struma ovarii and histologically malignant struma ovarii—a clinicopathologic study of 54 cases. Int J Gynecol Pathol 1993;12: 333.
320. Snyder RR, Tavassoli FA. Ovarian strumal carcinoid: immunohistochemical, ultrastructural and clinicopathologic observations. Int J Gynecol Pathol 1986;5:187.
321. Czech JM, Lichtor TR, Carney JA, et al. Neoplasms metastatic to the thyroid gland. Surg Gynecol Obstet 1982;155:503.
322. Green LK, Ro JY, Mackay B, et al. Renal cell carcinoma metastatic to the thyroid. Cancer 1989;63:1810.
323. Lam KY, Lo CY. Metastatic tumors of the thyroid gland: a study of 79 cases in Chinese patients. Arch Pathol Lab Med 1998;122:37–41.
324. Baloch ZW, LiVolsi VA. Tumor-to-tumor metastasis to follicular variant of papillary carcinoma of thyroid. Arch Pathol Lab Med 1999;123:703.