Question
Questions 1–3
1. Regarding embryonal nervous system development, which of the following statements is correct?
a. The main embryonal layer giving rise to the nervous system is the endoderm
b. The notochord is the main structure giving rise to the CNS
c. The neural plate, through a process called neurulation, forms the neural tube
d. The neural plate fuses to form the neural tube in all areas at once, simultaneously
e. The notochord consists of ectodermal cells
2. Regarding embryonal nervous system development, which of the following statements is correct?
a. The rhombencephalon gives rise to the cerebral hemispheres
b. The mesencephalon gives rise to the hypothalamus and thalamus
c. The prosencephalon gives rise to the telencephalon, which ultimately forms the cerebral hemispheres
d. The diencephalon gives rise to the midbrain
e. The prosencephalon gives rise to the telencephalon, which ultimately forms the brain stem
3. Regarding embryonal nervous system development, which of the following statements is correct?
a. Vertebral bodies arise from ectodermal cells of the neural plate
b. Neural crest cells give rise to the peripheral nervous system
c. Failure of fusion of the posterior neuropore leads to disorders such as anencephaly
d. Failure of fusion of the anterior neuropore leads to disorders such as spina bifida
e. The notochord gives rise to chromaffin cells of the adrenal medulla
4. A 7-day-old baby boy is brought to the hospital because of persistent vomiting and diarrhea, predominantly after being fed. He is noted to be jaundiced, and examination demonstrates hypotonia and hepatosplenomegaly. Reducing substances are detected in the urine. A presumptive diagnosis of galactosemia is made. Which of the following is incorrect regarding this disorder?
a. Galactose-1-phosphate uridyltransferase deficiency is the only defect associated with galactosemia
b. Galactitol accumulation produces cataracts that are reversible
c. It is autosomal recessive
d. The treatment is removal of lactose and galactose from the diet
e. Patients with this disorder may develop ataxia and tremor despite treatment
5. An 8-month-old baby is brought for evaluation. He has hypotonia, growth retardation and poor psychomotor development. He also has a history of episodes of incoordination, especially with high-carbohydrate meals and during systemic infections. On laboratory evaluation, he is found to have elevated levels of lactate and pyruvate, with a low lactate:pyruvate ratio. Deficiency of the enzyme pyruvate dehydrogenase (PDH) is detected. Which of the following is incorrect regarding this condition?
a. PDH is responsible for oxidative decarboxylation of pyruvate to carbon dioxide and acetyl coenzyme A
b. Only inherited in an autosomal recessive fashion
c. Can present with severe neonatal acidosis
d. High-carbohydrate diet can precipitate episodes of ataxia
e. Ketogenic diet has been used to treat patients with this condition
6. Which of the following is not correct regarding neurofibromatosis type 1 (NF1)?
a. Renal artery stenosis and pheochromocytoma are on the differential diagnosis of hypertension occurring in NF1 patients
b. There is an association between NF1 and Moyamoya disease
c. The majority of patients with NF1 have severe developmental delay
d. Macrocephaly is the most common head size abnormality seen in NF1 patients and is independent of the extent of hydrocephalus
e. NF1 patients have an increased risk of intracranial aneurysms
7. An infant with epileptic encephalopathy is brought for evaluation. He has microcephaly and prominent developmental delay. On CSF analysis, it was noticed that the level of glucose was 30 mg/dL, whereas the level of serum glucose was 112 mg/dL. Other CSF tests are normal. Which of the following is correct regarding the most likely condition in this patient?
a. Brain MRI usually suggests the diagnosis
b. It is caused by deficiency in the glucose transporter type 1
c. Phenobarbital is the treatment of choice
d. Ketogenic diet has been shown to be ineffective for seizure control
e. It is inherited in an X-linked fashion
8. Regarding neural tube defects resulting from failure of fusion of the anterior neuropore, which of the following statements is correct?
a. Failure of fusion of the anterior neuropore leads to spina bifida
b. Failure of fusion of the anterior neuropore leads to anencephaly and encephalocele
c. Anterior neuropore defects typically occur from insults in the last trimester of gestation
d. Anencephaly may be occult and diagnosed in early childhood or even adolescence
e. Encephalocele is incompatible with life
9. A 7-month-old baby boy is brought for evaluation of seizures. He and his parents recently immigrated from a developing country, and the baby did not undergo newborn screening at birth. He has significant developmental delay, is hypotonic, has failure to thrive, and is microcephalic. His urine has a musty odor. Which of the following is incorrect regarding this condition?
a. Phenylalanine transaminase deficiency is the cause of this condition
b. Tetrahydrobiopterin is a cofactor in the conversion of phenylalanine to tyrosine
c. Dietary restriction of phenylalanine is the treatment for this condition
d. Cognitive impairment and seizures are common
e. The musty odor in the urine and sweat is caused by phenylacetic acid
10. A 1-week-old baby was admitted in the hospital with altered sensorium, opisthotonic posture, and abnormal movements. He is now intubated, comatose, and began having seizures last night. The urine smells like maple syrup. Which of the following is correct regarding this condition?
a. It is caused by the accumulation in blood of essential amino acids such as phenylalanine and tryptophan
b. The classic form presents in late infancy
c. It is caused by a deficiency of branched-chain α-ketoacid dehydrogenase complex
d. It is X-linked
e. There is no role for protein restriction in the diet as a therapeutic intervention
11. Which of the following definitions of neural tube defects is incorrect?
a. Meningocele—isolated meningeal protrusion
b. Myelomeningocele—protrusion of spinal cord and meninges
c. Diastematomyelia—splitting of the spinal cord into two portions by a midline septum
d. Diplomyelia—duplication of the spinal cord
e. Sacral agenesis—isolated absence of the sacral spinal cord
12. Which of the following statements is incorrect regarding the systemic manifestations of tuberous sclerosis complex (TSC)?
a. Cardiac rhabdomyomas may occur and often regress over time
b. Periodic echocardiography is indicated for patients with cardiac rhabdomyomas
c. Renal angiomyolipomas are benign lesions
d. Lymphangiomyomatosis is a benign disorder often occurring in TSC patients, particularly in male patients
e. Retinal hamartomas are common and usually do not affect vision although they may in some cases
13. A newborn baby is being evaluated for encephalopathy in the setting of metabolic acidosis and hyperammonemia. There is also ketoacidosis, and elevated blood propionic acid and glycine levels with normal methylmalonic acid levels. You suspect propionic acidemia. Which of the following is correct regarding this condition?
a. It is caused by deficiency of D-methylmalonyl-CoA mutase
b. It is X-linked
c. High-protein diet is recommended for these patients
d. Hematologic disorders occur in this condition
e. Propionyl-CoA carboxylase activity is increased
14. A 6-month-old baby is brought to the pediatrician for routine well-child visit. On examination, the infant is found to have a small, midline tuft of hair over the lower lumbar region. The child’s physical examination is otherwise entirely normal. On annual follow-up at 3 years of age, the child continues to have normal development and a normal neurologic examination. Which of the following statements regarding this child is correct?
a. On the basis of the finding of this tuft of hair, it can be concluded that he will eventually have significant cognitive delay, even if he has developed normally up until the age of 3 years
b. On the basis of the finding of this tuft of hair, it can be concluded that he will eventually have significant motor and cognitive delay even if he has developed normally up until the age of 3 years
c. This tuft of hair signifies a possible underlying defect in the posterior bony component of the vertebral column
d. This tuft of hair signifies the presence of a myelomeningocele
e. On the basis of the finding of this tuft of hair, it can be concluded that abnormalities in the spinal cord will definitely be seen on imaging
15. A 3-year-old boy is brought for follow-up evaluation. He has had developmental delay and mental retardation since early in life and has developed torticollis and spasticity in his limbs. He also has a history of seizures and aggressive behavior. His mother reports that he began biting himself to the point of bleeding and constantly self-inflicts injuries. He has had kidney stones and hyperuricemia. Which of the following is incorrect regarding this condition?
a. The genetic defect is in the gene HPRT1
b. It is autosomal recessive
c. Hypoxanthine guanine phosphoribosyltransferase is the deficient enzyme
d. It is caused by an enzymatic defect in the purine salvage pathway
e. Patients may have choreoathetotic movements
16. Which of the following is not a risk factor for the occurrence of neural tube defects?
a. Male gender
b. Folate deficiency
c. Exposure to retinoic acid
d. Exposure to valproic acid
e. Maternal diabetes
17. A 10-month-old baby is brought for follow-up. He has significant developmental delay with psychomotor retardation and failure to thrive. On examination, he also has a cherry-red spot on retinal examination and hepatosplenomegaly. Bone marrow specimen demonstrates foam cells. He carries a diagnosis of Niemann-Pick disease. Which of the following is correct regarding this diagnosis?
a. This patient has Niemann-Pick type A
b. This patient has Niemann-Pick type C
c. The activity of the enzyme acid sphingomyelinase is increased
d. The cause is a defect in intracellular cholesterol trafficking
e. Interstitial lung disease does not occur in any of the types of Niemann-Pick disease
18. A 6-year-old girl is evaluated for progressive neurologic deterioration, including vertical gaze apraxia, ataxia, and spasticity. A filipin test (which demonstrates impaired ability of cultured fibroblasts to esterify cholesterol) was abnormal. Which of the following is correct regarding this condition?
a. This patient has Niemann-Pick type A
b. This patient has Niemann-Pick type C
c. This condition is X-linked
d. The cause is acid sphingomyelinase deficiency
e. The deficient enzyme is hexosaminidase A
19. In the setting of a fetus with a neural tube defect (NTD), which of the following statements regarding prenatal diagnosis is incorrect?
a. α-Fetoprotein level is elevated in maternal serum
b. α-Fetoprotein level is elevated in amniotic fluid
c. Acetylcholinesterase is elevated in amniotic fluid and increases sensitivity and specificity of NTD screening
d. There is little utility in prenatal ultrasonography in the detection of NTDs
e. When a NTD is detected prenatally, karyotyping to assess for trisomies and other genetic defects may be indicated
20. A 4-year-old boy presents with progressive neurologic deterioration. The onset of his symptoms was around the age of 1 year with hypotonia and inability to walk, with subsequent visual and hearing loss. He is now unable to walk and has generalized spasticity and cognitive regression. Brain MRI shows T2 hyperintense signal changes in the periventricular and subcortical white matter sparing the U fibers. Arylsulfatase A deficiency is detected on leukocyte analysis. Which of the following is the most likely diagnosis?
a. Metachromatic leukodystrophy
b. Niemann-Pick type C
c. Niemann-Pick type A
d. Krabbe disease
e. Tay-Sachs disease
21. A 7-year-old girl is brought to the pediatric neurologist with gait abnormalities and headache. On examination, she has nystagmus, and truncal and limb ataxia. An image from her MRI is shown in Figure 14.1. Which of the following statements regarding this patient’s disorder is incorrect?
a. Chiari I malformations may be asymptomatic and do not necessarily require surgical intervention
b. Myelomeningocele occurs in patients with Chiari II malformation
c. Hydrocephalus is a complication of Chiari malformation
d. Management of Chiari malformations may include suboccipital decompression
e. Syringomyelia, which may occur in association with a Chiari I malformation, is an enlargement of the central canal of the spinal cord
22. Which of the following is correct regarding sialidosis?
a. Sialidosis type I has infantile onset
b. Sialidosis type II has adult onset
c. A cherry-red spot is rarely seen in this condition
d. Coarse facial features are almost never seen in sialidosis type II
e. These patients have myoclonic epilepsy
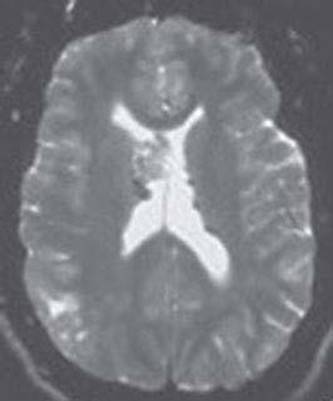
23. A 2-year-old boy with developmental delay and ataxia presents for evaluation. He has extraocular muscle abnormalities, but visual acuity is unaffected and his irises appear normal. MRI of the brain is done, and an image is shown in Figure 14.2. What is the most likely diagnosis in this patient?

FIGURE 14.1 Sagittal T1-weighted MRI

FIGURE 14.2 Axial T2-weighted MRI. Courtesy of Dr. Manikum Moodley and Dr. Gary Hsich
a. Ataxia with oculomotor apraxia type I
b. Ataxia with oculomotor apraxia type II
c. Joubert syndrome
d. Leber congenital amaurosis
e. COACH syndrome
24. A 29-year-old man is admitted with an acute ischemic stroke. He has a cardiomyopathy of uncertain cause, severe hypertension, and end-stage renal disease. He reports that his initial symptoms consisted of a burning sensation in his feet. He has three brothers who died of end-stage renal disease. When he was being worked up for his renal disease, a biopsy was obtained and showed birefringent lipid deposits in the glomeruli, and electron microscopy showed membrane-bound lamellar deposits. Which of the following is the most likely diagnosis?
a. Metachromatic leukodystrophy
b. Fabry disease
c. Niemann-Pick type A
d. Gaucher disease
e. GM1 gangliosidosis
25. Which of the following statements regarding holoprosencephaly is incorrect?
a. It results from failure of the prosencephalon to ultimately generate separate cerebral hemispheres
b. Variable degrees of division of the cerebral hemispheres, thalamus, and hypothalamus occur
c. Endocrinologic disturbances are common
d. The pathophysiology relates to abnormalities in the signaling molecule sonic hedgehog and to defective cholesterol metabolism
e. All forms of holoprosencephaly are incompatible with life
26. A 5-year-old boy is brought for evaluation of seizures. He has had gradual vision loss and progressive psychomotor retardation. Neuronal ceroid lipofuscinosis (NCL) is within the differential diagnosis. Which of the following is correct regarding NCL?
a. NCL occurs only in childhood
b. It is autosomal dominant
c. Myoclonic seizure is the least common type of seizure seen in these patients
d. The infantile form is more common in Finnish people
e. Electron microscopy is useless as there are no characteristic findings
27. Which of the following statements is incorrect regarding congenital aqueductal stenosis?
a. It occurs in an X-linked form associated with pachygyria
b. It is a disorder of neurulation
c. It may occur in association with holoprosencephaly
d. It may result from congenital infections such as cytomegalovirus
e. It is stenosis of the connection between the lateral and third ventricle
28. A 5-month-old baby is being evaluated for seizures. He has multiple dysmorphic features and severe hypotonia, and MRI of the brain shows pachygyria. Skeletal radiographs show calcific stippling of the patella. Very long-chain fatty acid levels are elevated in plasma. Which of the following is incorrect regarding this condition?
a. This is a peroxisomal disorder
b. Liver cirrhosis occurs in these patients
c. Kidney cysts can be seen in these patients
d. White matter is not involved
e. Polymicrogyria may be seen in these patients
29. Which of the following statements is incorrect regarding disorders that involve the skin and CNS?
a. Multiple intracranial arteriovenous malformations are a manifestation of hereditary hemorrhagic telangiectasia (Osler-Weber-Rendu syndrome)
b. Patients with pseudoxanthoma elasticum are at increased risk of cerebral arterial occlusive disease
c. Ehlers-Danlos syndrome is associated with increased risk of intracranial aneurysms and carotid dissection
d. Xeroderma pigmentosa is associated with peripheral neuropathy, cognitive decline, ataxia, and hyperkinetic involuntary movements
e. Fabry disease is a multiorgan disorder associated with neuropathy and cerebral artery ectasia and results from a defect in the enzyme sphingomyelinase
30. A 7-year-old boy has short stature due to growth hormone deficiency and is also being treated for hypothyroidism. His motor and cognitive development has been normal. He has reduced visual acuity. His MRI shows absence of the septum pellucidum and hypoplasia of the optic nerves and chiasm. The cortex and other areas appear normal. What is the most likely diagnosis in this patient?
a. Holoprosencephaly
b. Septo-optic dysplasia
c. Lissencephaly
d. Arrhinencephaly
e. Cavum septum pellucidum
31. A 6-year-old boy began having behavioral problems with aggressiveness approximately 1 year ago. He has also had progressive cognitive deterioration and spasticity and visual loss. Plasma levels of very long-chain fatty acids are elevated, and MRI shows white matter T2 hyperintensities, which are symmetric, involving posterior regions, and sparing the U fibers. Which of the following is the most likely diagnosis?
a. Canavan disease
b. Adrenoleukodystrophy
c. Alexander disease
d. Zellweger syndrome
e. Fabry disease
32. Which of the following options is correct regarding Leigh disease?
a. It is a static encephalopathy
b. It is due to mitochondrial abnormalities
c. It is inherited in an autosomal recessive fashion
d. Lactate levels are reduced during episodic exacerbations
e. Clinical manifestations most commonly begin during late childhood
33. A 14-year-old boy is brought for evaluation of growth retardation, generalized weakness, and ataxia. On examination, he has bilateral ptosis and restricted gaze in all directions. An electrocardiogram is obtained and shows complete heart block. Which of the following is the most likely diagnosis?
a. Kearns-Sayre syndrome
b. Mitochondrial encephalopathy, lactic acidosis, and strokes
c. Myoclonic epilepsy with ragged red fibers
d. Leigh disease
e. Myasthenia gravis
34. A boy with developmental delay, hypotonia, and dysmorphic features is brought for evaluation. On examination, he has inverted nipples and prominent fat pads in the buttocks area. A diagnosis of a congenital disorder of glycosylation is suspected. Which of the following is incorrect regarding this condition?
a. It affects multiple organ systems
b. Analysis of transferrin glycoforms can help make the diagnosis
c. Patients can present with stroke-like episodes
d. Some patients may have hypogonadism
e. It is inherited in an X-linked fashion
35. Which of the following statements is correct regarding disorders of corpus callosum development?
a. They result from abnormalities in the third trimester of pregnancy
b. Most commonly, complete agenesis of the corpus callosum occurs
c. They result from abnormalities in the commissural plate
d. Corpus callosum agenesis is most often seen in isolation
e. Severe developmental delay is invariably present
36. Which of the following statements is incorrect regarding cortical development?
a. The cerebral hemispheres form from a single layer of columnar epithelium located in the subependymal region known as the primary germinal zone
b. Cells of the marginal zone proliferate and migrate along a scaffold formed by the processes of radial glia
c. The most superficial cortical layers form from cells that migrate first (the cortex forms outside-in)
d. Neuron types include pyramidal neurons, cortical granular or stellate neurons, and Betz cells
e. Glial cell types include astrocytes, oligodendrocytes, ependyma, and microglia
37. Regarding the phakomatoses, which of the following features is not appropriately paired with the specified disorder?
a. Hyperpigmented cutaneous lesions and leptomeningeal melanoma—neurocutaneous melanosis
b. Hemifacial atrophy—Parry-Romberg syndrome
c. Multiple endochondromas and secondary hemangiomas—Maffucci syndrome
d. Hypopigmented streaks or patches that follow skin lines—incontinentia pigmenti
e. Retinal, cerebellar, and spinal hemangioblastomas—von Hippel-Lindau disease
38. Which of the following malformations is not paired with the appropriate underlying mechanism?
a. Focal cortical dysplasia—disorder of cell proliferation
b. Lissencephaly—disorders of neuronal migration
c. Polymicrogyria—disorder of cortical organization
d. Periventricular nodular heterotopias—disorder of cell proliferation
e. Schizencephaly—disorder of cortical organization
Questions 39–40
39. A 2-year-old child is brought to the pediatric neurology clinic by his parents with concerns about small head size noted by the child’s pediatrician. The child’s head size had been small at birth and the rate of growth had been below average over time. Which of the following statements is correct regarding microcephaly?
a. It always implies an underlying neurologic disorder and developmental delay is invariably present
b. Causes include infection, trauma, and hypoxic-ischemic insult
c. Microcephaly is defined as a head circumference less than 1 standard deviation below the mean
d. Seizures are infrequently seen in children with microcephaly
e. Maternal exposure to AEDs has not been associated with microcephaly
40. Which of the following statements is incorrect regarding the abnormality depicted in Figure 14.3?

FIGURE 14.3 Coronal T2-weighted MRI
a. Hemimegalencephaly frequently presents with seizures
b. Macrocephaly may be due to hydrocephalus or megalencephaly
c. Hemimegalencephaly rarely leads to motor manifestations
d. Megalencephaly is an oversized brain, with brain weight greater than 2 standard deviations above the mean
e. Megalencephaly may be a benign finding in some cases
Questions 41–42
41. A 7-month-old boy is brought to the epileptologist for intractable seizures. On examination, he has a short small chin, thin upper lip, and low-set ears. He has spastic quadriparesis and requires a feeding tube because of recurrent aspirations. MRI of the brain shows essentially smooth frontal, parietal, and occipital lobes, with a thick cortex and without sulci or gyri. What is the most likely diagnosis?
a. Miller-Dieker syndrome
b. Lissencephaly type II
c. Subcortical band heterotopias
d. Cobblestone lissencephaly
e. Polymicrogyria
42. Which of the following statements is incorrect regarding the disorder depicted in question 41?
a. It results from abnormal neuronal migration
b. The cortex in this disorder consists of six layers
c. Associated malformations including corpus callosum agenesis may occur
d. LIS1 mutation disrupts microtubule-directed neuronal migration
e. Microcephaly and intractable seizures occur
43. A 6-month-old boy is seen in the outpatient pediatric neurology department. At birth, he was noted to have hypopigmented streaks on his skin that occurred in a V-shape on his back, and in a linear pattern on his legs, following the skin lines. He also had seizures. Ophthalmologic examination revealed cataracts. Head circumference was 2 standard deviations above the mean. What is the most likely diagnosis in this patient?
a. Neurocutaneous melanosis
b. Incontinentia pigmenti
c. Hypomelanosis of Ito
d. Sturge-Weber syndrome
e. Epidermal nevus syndrome
Questions 44–45
44. A 3-year-old girl with intractable seizures presents to the clinic for seizure management. On examination, she has spastic quadriparesis and requires a feeding tube because of recurrent aspirations. Images from her MRI are shown in Figure 14.4. What is the diagnosis in this patient?
a. Miller-Dieker syndrome
b. Lissencephaly type II
c. Subcortical band heterotopia
d. Cobblestone lissencephaly
e. Polymicrogyria

FIGURE 14.4 (A) Axial T2-weighted MRI (left); (B) Coronal T1-weighted MRI. Courtesy of Dr. Ajay Gupta and Dr. Joanna Fong
45. Which of the following statements is incorrect regarding the disorder depicted in Figure 14.4?
a. It is a disorder of neuronal migration
b. It results from abnormalities in a protein involved in microtubule organization and stabilization
c. It is an X-linked disorder
d. Mutations in the DCX gene lead to this disorder in females and lissencephaly in males
e. This disorder is classically associated with muscular dystrophy
Questions 46–48
46. A 9-year-old boy presents to his general pediatrician for routine follow-up. On examination, he has more than six hyperpigmented lesions, as shown in Figure 14.5. What term best describes these lesions?
a. Ashleaf spots
b. Cutaneous neurofibromas
c. Plexiform neurofibromas
d. Shagreen patches
e. Café au lait spots
47. The patient in question 46 also has the lesions shown in Figure 14.6 on his upper trunk, face, and extremities. What term best describes these lesions?
a. Ashleaf spots
b. Cutaneous neurofibromas
c. Plexiform neurofibromas
d. Shagreen patches
e. Café au lait spots

FIGURE 14.5 Courtesy of Dr. David Rothner. Shown also in color plates

FIGURE 14.6 Courtesy of Dr. David Rothner. Shown also in color plates
48. The mother of the patient depicted in question 46 has axillary findings as shown in Figure 14.7. She also has three hyperpigmented lesions on her trunk (similar to those depicted in Figure 14.5), two on her arms, and one on each leg. What is the most likely diagnosis in this patient?

FIGURE 14.7 Courtesy of Dr. David Rothner. Shown also in color plates
a. Tuberous sclerosis complex
b. Neurofibromatosis type 1 (NF1)
c. Neurofibromatosis type 2 (NF2)
d. Sturge-Weber syndrome
e. Epidermal nevus syndrome
49. Which of the following statements is incorrect regarding the syndromes of cobblestone lissencephaly?
a. Muscle-eye-brain disease of Santavuori is most often seen in Finland
b. Fukuyama muscular dystrophy is most often seen in Japan
c. Muscular dystrophy is seen in all these syndromes
d. Eye abnormalities seen include retinal hypoplasia and glaucoma
e. They are autosomal dominant in inheritance
50. An 8-year-old boy with developmental delay and mental retardation is brought for evaluation of poor vision. He is tall, thin, with a marfanoid habitus with chest deformity, but no other features of Marfan syndrome. On examination, he is found to have ectopia lentis. Given the suspected diagnosis, plasma homocysteine levels are tested, and are found to be elevated. Which of the following is incorrect regarding this condition?
a. It is caused by cystathionine-β-synthase deficiency
b. Some cases are pyridoxine responsive
c. There is elevation of urine homocysteine
d. Thromboembolic events are common
e. Methionine levels are reduced in plasma and CSF
Questions 51–52
51. A 17-year-old girl presents to the clinic with complaints of headache. On examination, she has multiple hyperpigmented macules on various body parts. Ophthalmologic evaluation reveals the findings shown in Figure 14.8. What term best describes these lesions?

FIGURE 14.8 Courtesy of Dr. David Rothner. Shown also in color plates
a. Kayser-Fleischer rings
b. Brushfield spots
c. Lisch nodules
d. Iris coloboma
e. Iris mamillations
52. What is the most likely diagnosis of the patient depicted in question 51?
a. Tuberous sclerosis complex
b. Neurofibromatosis type 1 (NF1)
c. Neurofibromatosis type 2 (NF2)
d. Sturge-Weber syndrome
e. Epidermal nevus syndrome
53. Which of the following is incorrect regarding periventricular nodular heterotopia?
a. Heterotopias are clusters of defective neurons in an area of otherwise normal cortex
b. It is a disorder of neuronal migration
c. It is more common in females
d. It is most commonly X-linked
e. Seizures are a common clinical manifestation
54. Regarding the arm finding in a patient with neurofibromatosis type 1 depicted in Figure 14.9, which of the following statements is incorrect?

FIGURE 14.9 Courtesy of Dr. David Rothner. Shown also in color plates
a. It is a plexiform neurofibroma
b. These types of neurofibromas can invade the skin, causing thickening and skin hypertrophy
c. Plexiform neurofibromas consist of mainly Schwann cells and fibroblasts
d. In a minority of cases, plexiform neurofibromas undergo malignant degeneration into malignant peripheral nerve tumors
e. Plexiform neurofibromas typically regress with age, particularly when they first form at a younger age
55. A newborn patient is noticed to be lethargic with poor feeding. He rapidly becomes encephalopathic and develops seizures. His laboratory tests demonstrate hyperammonemia with respiratory alkalosis and normal anion gap. Eventually, the baby requires intubation and mechanical ventilation. A urea cycle disorder is suspected. Which of the following is correct regarding this group of disorders?
a. This is a group of disorders that are all inherited in an X-linked fashion
b. Ornithine transcarbamylase deficiency is the most common cause
c. Hyperammonemia and organic acidemias are commonly found in patients with these disorders
d. Arginase deficiency commonly presents in the newborn period
e. High protein diet is indicated for their treatment
56. Which of the following statements is incorrect regarding polymicrogyria and schizencephaly?
a. Polymicrogyria is characterized by excessive abnormal gyri that are small and separated by shallow sulci
b. Schizencephaly is a deep cleft that extends from the pial surface to the ventricle and is lined with cortex
c. Polymicrogyria most often occurs in the perisylvian region
d. Porencephaly describes a type of schizencephaly
e. They are disorders of cortical organization
57. A 16-year-old boy with neurofibromatosis type 1 (NF1) presents with diplopia. An MRI of the brain is done and shows abnormalities in the left optic nerve and in the pons, shown in Figure 14.10. Which of the following statements is incorrect regarding these abnormalities?

FIGURE 14.10 Axial T1-weighted postcontrast MRI. Courtesy of Dr. Manikum Moodley
a. He likely has an optic nerve glioma
b. Optic nerve gliomas are common in NF1
c. Schwannomas and ependymomas are the most common tumors occurring in NF1 patients
d. Optic nerve gliomas in patients with NF1 typically are low grade and often can be monitored for years without intervention
e. In NF1, optic gliomas can occur anywhere along the optic pathways, from the optic nerve to the optic radiations
58. A 3-year-old boy is brought to the pediatrician by his parents. They are concerned that he seems to be “emotionless” as compared with his affectionate siblings. He never quite makes eye contact. He does not like to be hugged or kissed and does not play with others. Rather, he prefers to sit alone in his room, playing with the miniature toy cars, although his parents have bought him several other toys. He often flaps his arms at his sides and sometimes when upset will repeatedly bang his forehead on the nearest piece of furniture or on a wall. He says a few words, but not nearly as many as his siblings did at his age. What is the most likely diagnosis in this patient?
a. Autism
b. Schizophrenia
c. Depression
d. Schizoid personality disorder
e. Avoidant personality disorder
59. A 4-year-old girl diagnosed prenatally with trisomy 21 is brought to the clinic for annual checkup. Which of the following statements is incorrect regarding this disorder?
a. Mental retardation of varying degrees of severity may be present
b. Patients with trisomy 21 are at increased risk of leukemia
c. MRI of the brain would show hypertrophy of the frontal lobes, with macrocephaly
d. There is increased risk of atlanto-axial dislocation
e. Early dementia with Alzheimer type pathology is seen
60. A 3-year-old girl is brought to the clinic for evaluation. Her parents reported that early on, she seemed to be a very happy baby, she made eye contact and smiled and cooed all the time. She had met motor milestones similar to her siblings: holding her head up, crawling, and sitting unsupported. However, around the age of 1 year, she started to have difficulty sitting up and never developed any words. She later stopped smiling and laughing, and progressively lost use of her hands, constantly rubbing her hands against each other. Which of the following statements is correct regarding the most likely diagnosis in this patient?
a. It is more common in males but can also be seen in females
b. Macrocephaly is a common finding
c. It results from a mutation in the gene encoding the MeCP2 protein
d. It is autosomal dominant in inheritance
e. It results from mutations in mitochondrial DNA
Questions 61–63
61. An 11-year-old boy presents to the clinic for evaluation of seizures. On examination, he has multiple hypopigmented lesions, as shown in Figure 14.11. What term best describes these lesions?
a. Ashleaf spots
b. Cutaneous neurofibromas
c. Angiofibromas
d. Shagreen patches
e. Tinea corporis
62. The patient in question 61 also has lesions on his face as shown in Figure 14.12. What term best describes these lesions?
a. Ashleaf spots
b. Cutaneous neurofibromas
c. Angiofibromas
d. Shagreen patches
e. Severe acne
63. What is the most likely diagnosis of the patient whose cutaneous lesions are shown in Figures 14.11 and 14.12?
a. Tuberous sclerosis complex
b. Neurofibromatosis type 1

FIGURE 14.11 Courtesy of Dr. David Rothner. Shown also in color plates

FIGURE 14.12 Courtesy of Dr. David Rothner. Shown also in color plates
c. Hypomelanosis of Ito
d. Sturge-Weber syndrome
e. Epidermal nevus syndrome
64. A 16-year-old boy is brought for evaluation in the clinic. He has a known history of mental retardation and a brother and two maternal cousins with mental retardation as well. Examination shows an elongated face, with a high forehead and elongated jaw, and protuberant ears. He has enlarged testes. Which of the following is incorrect regarding the most likely diagnosis in this patient?
a. It is the most common inherited form of mental retardation
b. Females may be affected, although to a lesser degree
c. It results from expansion of the CGG repeat in the familial mental retardation 1 gene on chromosome X
d. A family history of mental retardation may be present, but not necessarily
e. Severe mental retardation is invariably present
65. A 16-year-old girl was noted to be hypotonic at birth. As she became older, various abnormalities were noticed, including developmental delay, a wide mouth, and small feet. She is obese and constantly eats when left to do so, to the point that locks have been placed on the refrigerator at home to control her eating. She has not had menarche yet. What is the most likely diagnosis in this patient?
a. Fragile X syndrome
b. Prader-Willi syndrome
c. Angelman syndrome
d. Cri-du-chat syndrome
e. Rett syndrome
66. A newborn baby is being evaluated for encephalopathy in the setting of metabolic acidosis and hyperammonemia. There is also ketoacidosis and elevated methylmalonic acid levels. You suspect methylmalonic acidemia. Which of the following is incorrect regarding this condition?
a. The deficient enzyme is D-methylmalonyl-CoA mutase
b. Propionyl-CoA levels are not altered in this enzymatic disorder
c. Adenosylcobalamin acts as cofactor in the involved enzymatic step
d. Protein restriction in the diet is part of the treatment plan
e. The enzyme affected participates in the conversion of L-methylmalonyl-CoA to succinyl-CoA
67. The skin lesion shown in Figure 14.13 is seen in a neurocutaneous disorder associated with seizures and hamartomas in multiple body parts. What is the most likely diagnosis in a patient with such a lesion?
a. Tuberous sclerosis complex
b. Neurofibromatosis type 1
c. Hypomelanosis of Ito
d. Sturge-Weber syndrome
e. Epidermal nevus syndrome
68. Which of the following statements regarding acquired mental retardation are incorrect?
a. Congenital infections such as cytomegalovirus or rubella are associated with mental retardation
b. Mental retardation has been associated with exposure to radiation during the first trimester

FIGURE 14.13 Courtesy of Dr. David Rothner. Shown also in color plates
c. In utero exposure to AEDs can lead to varying degrees of mental retardation and other CNS abnormalities
d. Maternal alcohol intake is a common cause of acquired mental retardation
e. In utero exposure to alcohol does not lead to abnormalities outside of the CNS
69. The skin lesion shown in Figure 14.14 is seen in a neurocutaneous disorder associated with seizures and hamartomas in multiple body parts. What term best describe this lesion?
a. Periungual hematoma
b. Cutaneous neurofibromas
c. Subungual fibroma
d. Periungual fibroma
e. Angiokeratoma
70. A 10-month-old boy with hypotonia, alopecia, and seizures is brought for evaluation. Laboratory studies show ketoacidosis, hyperammonemia, and elevated urine organic acid levels. Biotinidase deficiency is suspected. Which of the following is incorrect regarding this condition?
a. Biotin levels are elevated in biotinidase deficiency and should not be supplemented
b. Hearing and vision loss can occur
c. Biotinidase cleaves biocytin and participates in biotin recycling
d. Biotinidase participates in processing of dietary protein-bound biotin
e. Patients have ketoacidosis, hyperammonemia, and organic aciduria
71. Which of the following statements is incorrect regarding Dandy-Walker malformation?
a. It includes cerebellar vermis hypoplasia
b. It includes fourth ventricle cystic dilatation
c. Lateral and third ventricular hydrocephalus is common
d. It may present in infancy with macrocephaly or may be asymptomatic into adulthood
e. It is associated with the “molar tooth sign” on imaging

FIGURE 14.14 Courtesy of Dr. David Rothner. Shown also in color plates
72. An 8-year-old boy with seizures presents with headache. An MRI of the brain is obtained and an image shown in Figure 14.15. The lesion is resected and pathologic analysis is consistent with subependymal giant cell astrocytoma. What disorder does this patient most likely have?
a. Tuberous sclerosis complex
b. Neurofibromatosis type 1 (NF1)
c. Neurofibromatosis type 2 (NF2)
d. Sturge-Weber syndrome
e. He probably does not have a neurocutaneous disorder; this tumor is most often seen sporadically
73. Regarding normal cerebral cortex architecture, which of the following statements is incorrect?
a. Normal cerebral cortex has six layers
b. Pyramidal cells are the most common type of cortical neurons
c. Granular cells are found in higher numbers in sensory cortex
d. Different cortical and subcortical areas project to and receive projections from specific cortical layers
e. Betz cells function predominantly as interneurons and are found in secondary association cortices
74. A 10-year-old boy is brought for evaluation. He has developmental delay with psychomotor retardation, and on examination, there is limited horizontal gaze, ataxia, and generalized spasticity. He has hepatosplenomegaly as well. Enzymatic activity of glucocerebrosidase in leukocytes is depressed. Which of the following is correct regarding this condition?

FIGURE 14.15 Axial T2-weighted MRI. Courtesy of Dr. Ajay Gupta
a. There is accumulation of lysosomal glucocerebrosides
b. Patients with type 1 of this disease have severe neurologic impairment by age 2
c. Type 3 has its onset before age 2 and progresses rapidly to death between age 2 and 4
d. Enzyme replacement therapy is not available for this condition
e. It is more prevalent in Asian populations than in Ashkenazi Jews
75. A 13-year-old boy recently diagnosed with tuberous sclerosis complex undergoes an MRI of the brain as part of routine surveillance, and an image from it is shown in Figure 14.16. Which of the following statements is incorrect regarding the findings on this MRI?
a. These are known as cortical tubers
b. These lesions are hamartomas
c. The burden of such lesions correlates with cognitive function
d. The burden of such lesions correlates with the occurrence and severity of seizures
e. These lesions are premalignant
Questions 76–77
76. A 6-month-old baby of Ashkenazi Jewish background is brought for evaluation of seizures. He has prominent startle response and developmental delay. He had reached some early developmental milestones but then began to regress. It is also noticed that he is macrocephalic and spastic, but there is no visceromegaly. A cherry-red spot is seen on ophthalmologic examination. There is suspicion for a GM2 gangliosidosis. Which of the following is correct regarding this patient’s condition?
a. This patient has Sandhoff disease
b. Hexosaminidase A is the only cause

FIGURE 14.16 Axial FLAIR MRI. Courtesy of Dr. Ajay Gupta
c. It is autosomal dominant
d. It occurs only in Ashkenazi Jews
e. β-Galactosidase deficiency is the most common cause
77. A 6-month-old baby is brought for evaluation of seizures. He has a prominent startle response and developmental delay. He had reached some developmental milestones but has started regressing now. It is also noticed that he is macrocephalic and spastic. A cherry-red spot is seen on ophthalmologic examination, and he also has prominent hepatosplenomegaly. There is suspicion for a GM2 gangliosidosis. Which of the following is correct regarding this patient’s condition?
a. Hexosaminidase A is the only enzyme affected
b. Both hexosaminidases A and B are affected
c. β-Galactosidase deficiency is the most common cause
d. Sphingomyelinase deficiency is the cause
e. This patient has Tay-Sachs disease
78. A brain CT scan is obtained in a patient with tuberous sclerosis complex (TSC), and it demonstrates hyperdensities, as shown in Figure 14.17. Which of the following statements is correct regarding these lesions?
a. These are all malignant and should be resected
b. This patient likely has, in addition to TSC, benign hereditary calcification of the basal ganglia (Fahr disease)
c. The burden of these lesions correlates with the severity of mental retardation in TSC patients

FIGURE 14.17 Axial CT. Courtesy of Dr. Ajay Gupta
d. These are calcified subependymal nodules and are one of the major diagnostic criteria for TSC
e. These are malignant subependymal giant cell astrocytomas
79. A 6-month-old baby is being evaluated for developmental delay and regression of already-achieved developmental milestones. She has poor fixation and does not track, and there is prominent hypotonia with inability to hold her head upright. MRI demonstrates diffuse symmetric white matter changes with involvement of the U fibers. MR spectroscopy demonstrates an increased peak of N-acetylaspartic acid. Which of the following is the most likely diagnosis?
a. Canavan disease
b. Adrenoleukodystrophy
c. Alexander disease
d. Zellweger syndrome
e. Fabry disease
Questions 80–81
80. The findings shown in Figure 14.18 are consistent with which neurocutaneous syndrome?
a. Neurocutaneous melanosis
b. Incontinentia pigmenti
c. Hypomelanosis of Ito
d. Sturge-Weber syndrome
e. Epidermal nevus syndrome

FIGURE 14.18 (A) Courtesy of Dr. David Rothner; (B) Coronal T1-weighted precontrast MRI. Shown also in color plates
81. Which of the following statements is correct regarding the disorder depicted in question 80 and Figure 14.18?
a. It is invariably associated with mental retardation and seizures
b. Cutaneous involvement in any area implies involvement of the CNS
c. Cataracts are a common complication of this disorder
d. Hemimegalencephaly is a common feature of this disorder
e. The gyral calcifications seen result from angiomatosis of the leptomeninges and brain
82. Which of the following statements is incorrect regarding the genetics and molecular biology of neurofibromatosis type 1 (NF1, von Recklinghausen disease)?
a. NF1 results from a mutation in the neurofibromin gene on chromosome 17
b. Neurofibromin activates a GTPase that inhibits the ras proto-oncogene, a protein involved in cell proliferation
c. Several mutations in the NF1 gene have been identified, but in general, strong phenotype-genotype correlations do not occur
d. NF1 is an autosomal recessive disorder
e. NF1 has complete penetrance but variable expressivity
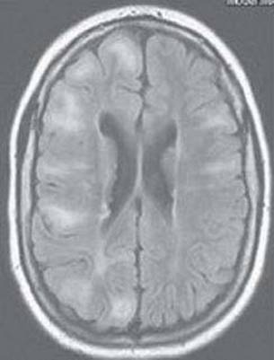
83. A newborn is evaluated 48 hours after birth because of seizures. The mother reports that the baby refused feeding and seemed irritable in the first few hours of life. The patient subsequently developed respiratory failure and required intubation. An extensive workup is obtained, and a brain MRI is shown in Figure 14.19. A high glycine level in the CSF is also found. Which of the following is incorrect regarding this condition?
a. This patient has a disturbance of glycine degradation
b. Patients who survive the acute phase are left with mental retardation, spasticity, and epilepsy
c. Treatment with sodium benzoate is effective and prevents progression of the disease
d. It is autosomal recessive
e. EEG may show burst suppression

FIGURE 14.19 Sagittal T2-weighted MRI
84. A brain specimen obtained from an autopsy of an 11-month-old baby is shown in Figure 14.20. The patient initially presented with irritability and hypersensitivity to stimuli at 4 months of age. The baby was also blind and had prominent regression by age 6 months. He also had developed stiffness of all four limbs and later of the trunk to the point that he was in an opisthotonic posture. Which of the following is correct regarding this condition?

FIGURE 14.20 Brain specimen. Courtesy of Dr. Richard A. Prayson. Shown also in color plates
a. It is autosomal dominant
b. The deficient enzyme is β-glucosylceramidase
c. There is demyelination with relative sparing of the U fibers
d. It is only seen in newborns, and all patients die by 1 year of age
e. The cause is deficiency of the enzyme α-galactosidase
Questions 85–86
85. A 52-year-old man presents for evaluation of right ear hearing loss with vertigo. His MRI shows bilateral vestibular schwannomas. He has a family history of bilateral vestibular schwannomas and multiple meningiomas in his mother. Which of the following is the most likely diagnosis?
a. Neurofibromatosis type 1 (NF1)
b. Neurofibromatosis type 2 (NF2)
c. Tuberous sclerosis complex
d. Gorlin syndrome
e. Rubinstein-Taybi syndrome
86. Which of the following statements is incorrect regarding the disorder depicted in question 85?
a. It is autosomal dominant in inheritance
b. It results from a mutation in the merlin gene on chromosome 22
c. Various CNS tumors including schwannomas, meningiomas, astrocytomas, and ependymomas can occur in this disorder
d. Cutaneous findings such as neurofibromas and axillary freckling are common in this disorder
e. Subcapsular cataracts are a feature of this disorder
87. A 10-month-old baby is brought for evaluation. Even though she had gained some developmental milestones, she began regressing by 7 months of age. She has coarse facial features, generalized spasticity, and motor impairment. A retinal picture is shown in Figure 14.21. Enzymatic analysis showed a β-galactosidase deficiency in leukocytes. Which of the following is correct?

FIGURE 14.21 Courtesy of Dr. Gregory Kosmorsky. Shown also in color plates
a. This patient has GM2 gangliosidosis
b. Gangliosides accumulate in the brain and visceral organs
c. Sandhoff disease is caused by this enzymatic deficiency
d. Tay-Sachs disease is caused by this enzymatic deficiency
e. Mucopolysacchariduria is common
88. An autopsy is performed on an 18-month-old boy who had a progressive neurologic disorder. He had macrocephaly, psychomotor retardation, spasticity and seizures. Figure 14.22 shows a histopathologic specimen obtained at autopsy. Which of the following is the most likely diagnosis?

FIGURE 14.22 Brain specimen. Courtesy of Dr. Richard A. Prayson. Shown also in color plates
a. Canavan disease
b. Adrenoleukodystrophy
c. Alexander disease
d. Zellweger syndrome
e. Fabry disease
89. Which of the following statements is incorrect regarding the genetics of tuberous sclerosis complex (TSC)?
a. It is autosomal recessive with complete penetrance
b. It is autosomal dominant with variable penetrance
c. It can be caused by a mutation in the TSC1 gene that encodes for the protein tuberin
d. It can be caused by a mutation in the TSC2 gene that encodes for the protein hamartin
e. The presence of specific clinical features does not reliably distinguish between the different genetic mutations that can cause this condition
90. A 6-month-old baby boy is brought for evaluation of psychomotor retardation. After birth, he was noticed to have prominent nystagmus, abnormal eye movements, and prominent incoordination. MRI demonstrates diffuse white matter changes sparing the U fibers, with a “tigroid” appearance. Which of the following is correct regarding this condition?
a. It is inherited in an autosomal recessive fashion
b. The gene involved is PLP1
c. Central and peripheral myelin are affected
d. This patient has Alexander disease
e. The mutation is in the gene for glial fibrillary acidic protein (GFAP)
Questions 91–92
91. A 5-year-old boy is brought for evaluation. He has coarse facial features, short stature with dysmorphic appearance, prominent psychomotor retardation, hepatosplenomegaly, and several nodular lesions that are ivory colored on his upper back. The activity of iduronate sulfatase in leukocytes is almost absent. Which of the following is correct regarding this condition?
a. It is inherited in an X-linked fashion
b. Corneal clouding is a prominent feature in this syndrome
c. He has Hurler syndrome
d. Heparan sulfate, but not dermatan sulfate, will be elevated in the urine
e. This patient has mucopolysaccharidoses type I
92. Which of the following is incorrect regarding mucopolysaccharidoses (MPS)?
a. There is accumulation of glucosaminoglycans, which are detected in urine
b. Hurler syndrome is caused by α-L-iduronidase deficiency
c. Sanfilippo syndrome is a group of MPS with accumulation of heparan but not dermatan sulfate
d. Morquio syndrome manifests with prominent mental retardation
e. Zebra bodies can be seen on electron microscopy
93. Which of the following statements is incorrect regarding epidermal nevus syndrome (ENS)?
a. This syndrome is a manifestation of a heterogeneous group of disorders that share in common the presence of epidermal nevi
b. Hemimegalencephaly may occur ipsilateral to a facial nevus
c. The epidermal nevi in this disorder may undergo malignant transformation
d. There is increased risk of astrocytoma and other tumors in patients with ENS
e. Lisch nodules are a feature of ENS
94. A 17-year-old girl presents to the ED for severe abdominal pain, along with nausea, vomiting, fever, and tachycardia. She has been evaluated multiple times over the past year for similar symptoms and has undergone evaluation for appendicitis and other gynecologic causes, including exploratory laparoscopy in the past. There are no cutaneous manifestations. She has increased aminolevulinic acid and porphobilinogen (PBG) concentrations in the urine, with no increase in urinary or fecal coproporphyrin III. Which of the following is correct regarding this condition?
a. The enzyme affected is PBG deaminase
b. The enzyme affected is coproporphyrinogen oxidase
c. The enzyme affected is protoporphyrinogen oxidase
d. Seizures can occur and should be treated with phenobarbital
e. A symmetric distal demyelinating polyneuropathy occurs predominantly in the lower limbs
95. A 12-year-old boy is found to have large orange-colored tonsils, hepatosplenomegaly, and sensory deficits in the upper limbs. Which of the following is correct regarding this condition?
a. It is caused by deficiency of low-density lipoproteins
b. It is autosomal dominant in inheritance
c. Peripheral nerves are not involved
d. It is caused by a mutation in the adenosine triphosphate cassette transporter protein
e. Total cholesterol level in the serum is very elevated
96. A 2-month-old infant is being evaluated for developmental delay. MRI of the brain shows atrophy with bilateral subdural hematomas. Examination shows hypotonia, coarse, brittle hair, hyperelastic skin, and absent eyebrows. What is the most likely diagnosis in this patient?
a. Menkes disease
b. Wilson disease
c. Ehlers-Danlos syndrome
d. Nonaccidental injury (child abuse)
e. Hypomelanosis of Ito
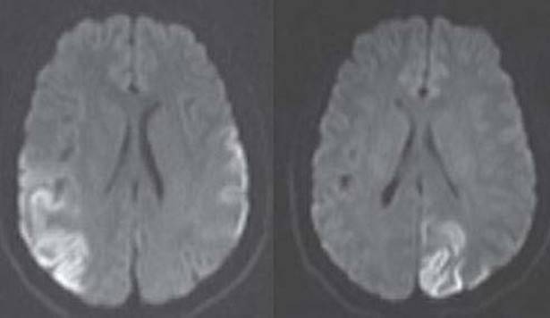
97. A 15-year-old boy with growth and psychomotor retardation, sensorineural hearing loss, frequent headaches, and seizures presents for evaluation of multiple stroke-like episodes. Two MRIs from different time points are shown in Figure 14.23. Lactate level is found to be elevated. Which of the following is the most likely diagnosis?

FIGURE 14.23 Axial DWI MRI from two different time points
a. Kearns-Sayre syndrome
b. Mitochondrial encephalopathy, lactic acidosis, and strokes
c. Myoclonic epilepsy with ragged red fibers
d. Leigh disease
e. Neuronal ceroid lipofuscinosis
98. Which of the following is incorrect regarding abetalipoproteinemia or Bassen-Kornzweig syndrome?
a. It is autosomal dominant
b. There is demyelination of the posterior columns of the spinal cord
c. There is demyelination of peripheral nerves
d. There is vitamin E deficiency
e. It is associated with fat malabsorption
Answer Key
1. c
2. c
3. b
4. a
5. b
6. c
7. b
8. b
9. a
10. c
11. e
12. d
13. d
14. c
15. b
16. a
17. a
18. b
19. d
20. a
21. e
22. e
23. c
24. b
25. e
26. d
27. e
28. d
29. e
30. b
31. b
32. b
33. a
34. e
35. c
36. c
37. d
38. d
39. b
40. c
41. a
42. b
43. c
44. c
45. e
46. e
47. b
48. b
49. e
50. e
51. c
52. b
53. a
54. e
55. b
56. d
57. c
58. a
59. c
60. c
61. a
62. c
63. a
64. e
65. b
66. b
67. a
68. e
69. d
70. a
71. e
72. a
73. e
74. a
75. e
76. b
77. b
78. d
79. a
80. d
81. e
82. d
83. c
84. c
85. b
86. d
87. b
88. c
89. a
90. b
91. a
92. d
93. e
94. a
95. d
96. a
97. b
98. a
Answers
1. c, 2. c, 3. b
The main embryonal layer giving rise to the nervous system is the ectoderm. In early stages of nervous system development, a structure known as the neural plate forms. The notochord, a layer of mesodermal cells in contact with the ectoderm, induces formation of the neural plate from the ectoderm and later signals differentiation of various cell types mediated by inductive signals. The notochord later gives rise to the vertebral column.
The neural plate forms a structure known as the neural tube through a process called neurulation. Neurulation involves proliferation and migration of ectodermal cells and invagination, folding, and fusion of the neural plate in a specific pattern. An important step in neurulation includes the formation of a midline groove along which the lateral margins of the neural plate fold. These lateral margins start to fuse in the center, so that for a period of time, there are openings at each end, the anterior and posterior neuropore. Fusion then reaches the neuropores, the anterior one first, then the posterior one, and the neural tube is thus formed. The ventral and dorsal aspects of the neural tube each give rise to specific cell populations and ultimately specific parts of the nervous system. As mentioned, mesodermal cells of the notochord provide signals for differentiation to cells in the ventral aspect of the neural tube. These signals include sonic hedgehog protein and bone morphogenetic proteins, of which several types have been identified.
Neurulation occurs at 3 to 6 weeks’ gestation, and failure of crucial processes at any stage leads to a variety of abnormalities, collectively known as neural tube defects. As mentioned earlier, the neural plate undergoes fusion to form the neural tube in different areas at different times, and failure to fuse at each site results in specific defects. Abnormal rostral fusion at the anterior neuropore leads to abnormalities such as encephalocele or anencephaly, whereas abnormal caudal fusion (at the posterior neuropore) leads to disorders such as spina bifida.
Following neurulation, the neural tube undergoes segmentation into three vesicles, in a process called specification, whereby different segments begin to acquire cell types and characteristics specific to the CNS structure that will eventually arise from them (malformations resulting from defects in this stage of development are discussed in subsequent questions). The three segments include the prosencephalon, mesencephalon, and rhombencephalon. The prosencephalon subsequently forms the telencephalon, which gives rise to the cerebral hemispheres, as well as the diencephalon, which forms the hypothalamus and thalamus. The rhombencephalon gives rise to the brain stem. Abnormalities during specification, which occurs at 5 to 6 weeks of gestation, lead to disorders such as septo-optic dysplasia (discussed in question 30). As the nervous system becomes more organized and specific areas more specialized, neuronal migration begins along specific routes, and abnormalities of neuronal proliferation and migration in turn lead to specific developmental abnormalities (discussed in subsequent questions).
The peripheral nervous system (including the autonomic ganglia) forms from neural crest cells that are derived from the neural tube after it fuses. In addition to peripheral nervous system structures, neural crest cells give rise to the chromaffin tissue of the adrenal medulla and melanocytes.
Swaiman KF, Ashwal S, Ferriero DM. Pediatric Neurology Principles and Practice, 4th ed. Philadelphia, PA: Mosby Elsevier; 2006.
4. a
Galactosemia is an autosomal recessive disorder that presents in newborns. There are three enzymatic defects that account for galactosemia: galactose-1-phosphate uridyltransferase deficiency, galactokinase deficiency, and uridine diphosphate galactose 4′ epimerase deficiency. Galactose-1-phosphate uridyltransferase deficiency causes classic galactosemia and is the only type associated with mental retardation. Patients present in the first days of life with feeding difficulties, vomiting, diarrhea, and jaundice. They also have hepatomegaly, failure to thrive, lethargy, and hypotonia. Cataracts also occur and are caused by an accumulation of galactitol. Late neurologic sequelae include developmental delay, cognitive impairment, ataxia, and tremor, with brain MRI demonstrating white matter changes and cortical and cerebellar atrophy.
Prenatal diagnosis of galactosemia can be made, and newborn screening is available for this condition, thus allowing for treatment prior to the onset of symptoms. The diagnosis can be presumed in patients presenting with the clinical manifestations described, and the detection of reducing substances in the urine, especially after feeding. The enzymatic defect can be detected in plasma and/or erythrocytes.
Lactose and galactose should be immediately restricted from the diet. This intervention may reverse cataracts and hepatomegaly and may prevent progression of neurologic disease. However, despite this intervention, these patients may develop long-term neurologic sequelae, including learning disability, cognitive impairment, ataxia, and tremor.
Fenichel GM. Clinical Pediatric Neurology: A Signs and Symptoms Approach, 6th ed. Philadelphia, PA: Saunders Elsevier; 2009.
5. b
Pyruvate dehydrogenase (PDH) deficiency is caused by defects of the PDH complex, which is responsible for the oxidative decarboxylation of pyruvate to carbon dioxide and acetyl coenzyme A. This enzymatic complex has three main components called E1 (α and β subunits), E2, and E3. E1 deficiency is the most common and is inherited in an X-linked fashion, whereas the other defects are autosomal recessive.
Since the brain derives energy primarily from glucose oxidation, neurologic dysfunction is one of the main clinical features. The clinical presentation is variable, ranging from severe neonatal lactic acidosis with death in the neonatal period, to less severe forms that are manifested in infancy, in which patients have lactic and pyruvic acidosis, and episodic or progressive ataxia, nystagmus, dysarthria, lethargy, weakness with arreflexia, hypotonia, and psychomotor retardation, which can be profound. These patients have periodic exacerbations, which can be spontaneous or triggered by infections, stress, or high-carbohydrate meals. Some patients may have a presentation of Leigh disease (see question 32).
The diagnosis is suspected in children with clinical manifestations as described and with elevations of lactate and pyruvate levels, with a low lactate:pyruvate ratio. Enzyme analysis can be performed in leukocytes, cultured fibroblasts, muscle, or liver biopsy specimens. Pathologically, there may be cystic lesions in the white matter and basal ganglia, and certain cases of the neonatal form may have agenesis of the corpus callosum.
Management of PDH deficiency includes ketogenic diet (high fat with low carbohydrates) and thiamine supplementation. Carnitine, coenzyme Q10, and biotin supplementation may be given, but their efficacy is not well established. Acetazolamide may be used for the treatment of episodes of ataxia.
Fenichel GM. Clinical Pediatric Neurology: A Signs and Symptoms Approach, 6th ed. Philadelphia, PA: Saunders Elsevier; 2009.
6. c
The majority of patients with neurofibromatosis type 1 (NF1) have normal cognition or mild developmental delay. Other neuropsychiatric manifestations in NF1 include behavioral problems and learning disabilities, which may be present in approximately half of NF1 patients.
Renal artery stenosis due to renal artery dysplasia occurs in some patients with NF1 and can lead to hypertension. Pheochromocytoma has also been associated with NF1 and the latter two causes of hypertension should be considered in an NF1 patient with hypertension. Moyamoya disease and other cerebral artery abnormalities including intracranial aneurysms may occur in NF1 patients.
Macrocephaly is the most common head size abnormality seen in NF1 patients and occurs independent of hydrocephalus, although aqueductal stenosis may occur in NF1. Thinning of the cortex of long bones and other long bone dysplasias may lead to pathologic fractures and pseudoarthrosis. Other skeletal abnormalities in NF1 include scoliosis and sphenoid wing dysplasia. NF1 is further discussed in questions 46 to 48.
Bradley WG, Daroff RB, Fenichel GM, et al. Neurology in Clinical Practice, 5th ed. Philadelphia, PA: Elsevier; 2008.
Swaiman KF, Ashwal S, Ferriero DM. Pediatric Neurology Principles and Practice, 4th ed. Philadelphia, PA: Mosby Elsevier; 2006.
7. b
This patient has a glucose transporter type 1 (GLUT-1) deficiency.
The brain utilizes glucose as its primary source of energy. In fasting conditions, glycogen is exhausted within minutes, and since amino acids and fat cannot be used for the production of energy in the brain, ketones become the alternative fuel. Glucose crosses the blood brain barrier facilitated by GLUT-1, which is a membrane-bound protein encoded by the SLC2A1 gene on chromosome 1p35-31.3. GLUT-1 deficiency syndrome is inherited in an autosomal dominant fashion and causes a defect in glucose transport across the blood-brain barrier and into brain cells, manifesting as an epileptic encephalopathy with infantile-onset seizures, developmental delay, microcephaly, and complex movement disorders. CSF glucose level is low with a normal serum glucose level, and other CSF studies are normal, excluding other causes of hypoglycorrhachia (such as CNS infection). EEG may show 2.5 to 4 Hz spikes and waves and the interictal EEG findings may improve with glucose. Neuroimaging does not show specific abnormalities. Later-onset forms with episodic movement disorders and ataxia, paroxysmal exertional dyskinesia, or early-onset atypical absence epilepsy have been described.
A ketogenic diet should be started as soon as the diagnosis is suspected, since this treatment option improves seizure control and the abnormal movements; however, it is less effective for the psychomotor impairment.
Klepper J. Glucose transporter deficiency syndrome (GLUT1DS) and the ketogenic diet. Epilepsia. 2008; 49:46–49.
8. b
The neural plate fuses to form the neural tube at different sites and at different times, and failure of fusion at these various sites leads to various neural tube defects. Failure of fusion rostrally, at the anterior neuropore, leads to anencephaly and encephalocele. The anterior neuropore fuses by day 26 of gestation, and abnormalities in neurulation leading to these disorders therefore likely occur at or prior to this time (weeks 1 to 4 gestation).
Anencephaly is the complete absence of both cerebral hemispheres. Because the underlying mesoderm also fails to properly differentiate, a large cranial vault defect (in skull, meninges, and skin) also occurs. This is most often not compatible with life, and most such infants are still born; in rare cases in which the infant is born alive, death occurs soon after birth.
Encephalocele is defined by herniation of neural tissues (hamartomatous brain tissue, without recognizable architecture) into a midline defect in the skull. Encephaloceles are most often located in the occipital area and less often in frontal areas. Clinically, they appear as round, protuberant, fluctuant masses covered by an opaque membrane or normal skin. They are compatible with life although they cause multiple complications. Associated clinical features include microcephaly, developmental delay (which is more severe in occipital as compared with frontal encephaloceles), and invariably hydrocephalus. Chromosomal aberrations commonly seen in patients with encephaloceles include trisomy 13 and trisomy 18. Occipital encephaloceles should be distinguished from cranial meningocele in which only leptomeninges and CSF are herniated through a skull defect.
Spina bifida results from failure of fusion of the posterior neuropore.
Bradley WG, Daroff RB, Fenichel GM, et al. Neurology in Clinical Practice, 5th ed. Philadelphia, PA: Elsevier; 2008.
Swaiman KF, Ashwal S, Ferriero DM. Pediatric Neurology Principles and Practice, 4th ed. Philadelphia, PA: Mosby Elsevier; 2006.
9. a
This patient has phenylketonuria (PKU). This is a disorder of phenylalanine metabolism, caused by a deficiency of phenylalanine hydroxylase. This enzyme converts phenylalanine to tyrosine, and its deficiency leads to accumulation of phenylalanine, which is then metabolized by phenylalanine transaminase to phenylpyruvic acid, which is subsequently oxidized to phenylacetic acid, responsible for the musty odor of the sweat and urine of these patients.
This condition is autosomal recessive. Patients with PKU are normal at birth, with a rise in the phenylalanine levels after initiation of feeding. These patients will have developmental delay, cognitive impairment, microcephaly, seizures, hypotonia, and severe behavioral disturbances. A musty odor, as described, is characteristic. These children are fair, with blond hair, blue eyes, and pale skin given the lack of tyrosine and melanin pigment production.
Newborn screening detects hyperphenylalaninemia, and the diagnosis is made on the basis of elevation of phenylalanine levels in blood. Tetrahydrobiopterin is a cofactor for phenylalanine hydroxylase, and its deficiency may also produce hyperphenylalaninemia (and PKU). A reduction of phenylalanine levels in blood and urine after a trial of tetrahydrobiopterin is used to make the diagnosis of this condition.
The treatment of PKU is dietary restriction of phenylalanine, and these patients should be placed on a low-protein diet and phenylalanine-free feeding formula as soon as possible after birth, which will prevent neurologic deterioration. Untreated patients have severe mental retardation. Despite treatment, some patients still have varying degrees of mild to moderate cognitive delays. Tetrahydrobiopterin is used as a treatment adjunct in select patients.
Fenichel GM. Clinical Pediatric Neurology: A Signs and Symptoms Approach, 6th ed. Philadelphia, PA: Saunders Elsevier; 2009.
10. c
This patient has maple syrup urine disease. This is an autosomal recessive condition caused by branched-chain α-ketoacid dehydrogenase complex deficiency, leading to the accumulation of branched amino acids and their ketoacids. The branched-chain amino acids are leucine, isoleucine, and valine, which are normally transaminated to α-ketoacids and subsequently catabolized by oxidative decarboxylation by branched-chain α-ketoacid dehydrogenase complex. Leucine, isoleucine, and valine are essential amino acids; accumulation of other essential amino acids does not play a role in this disease.
There are three main phenotypes of this condition: a classic, and intermittent, and an intermediate form. The classic type is the most severe and presents in the neonatal period with lethargy, poor feeding, and hypotonia after ingestion of protein. At 2 to 3 days of life, a progressive encephalopathy develops with opisthotonus and abnormal movements. At around 1 week, these patients may have coma and respiratory failure, with subsequent cerebral edema and seizures, and eventually death.
The intermediate form presents in late infancy with developmental delay, failure to thrive, ataxia, and seizures. There may be exacerbations with protein intake or intercurrent infections. Some cases are responsive to thiamine.
In the intermittent form, patients are normal in between episodes, and alteration of consciousness and ataxia occur during intercurrent illness or in the presence of other stressors.
These patients typically have urine with a maple syrup odor, which is more prominent during exacerbations. Diagnosis is made by detection of elevated levels of branched-chain amino acids and their ketoacids in blood and urine. Enzyme activity can be measured in fibroblasts and hepatocytes.
Treatment is a low-protein diet, more specifically a branched-chain amino acid–restricted diet, which should be started early in life (as soon as the diagnosis is suspected) to prevent cognitive decline. Thiamine should be provided, since some patients may be responsive to this vitamin. Orthotopic liver transplantation may be a therapy for these patients.
This condition is screened for by extended newborn screening, thus allowing for presymptomatic treatment in most patients with the classic or severe form of the disease.
Fenichel GM. Clinical Pediatric Neurology: A Signs and Symptoms Approach, 6th ed. Philadelphia, PA: Saunders Elsevier; 2009.
11. e
Sacral agenesis is absence of the sacrum, rather than absence of the sacral spinal cord, and is frequently associated with other malformations. The neural tube defects (NTDs) include meningocele, myelomeningocele, diastematomyelia, diplomyelia, and sacral agenesis. Caudal NTDs result from failure of fusion of the posterior neuropore at day 26 of gestation.
Meningocele is isolated protrusion of the meninges into a bony defect within the vertebral column. This protrusion is typically covered by skin. It is not usually associated with neurologic deficits, and if neurologic deficit is found, myelomeningocele should be suspected.
Myelomeningocele (also known as spinal dysraphism or rachischisis) is protrusion of potentially all layers of intraspinal contents through a bony defect: spinal cord, nerve roots, and meninges. Either the spinal cord may be exposed or a thin membrane may cover the protrusion. They most often occur in the lumbosacral region but can occur at any level. This is a clinically severe NTD associated with hydrocephalus, motor and sensory abnormalities of the legs, and bowel/bladder dysfunction. Myelomeningocele occurs in association with Chiari II malformations (discussed in question 21).
Diastematomyelia is splitting of the spinal cord into two portions by a midline septum. Diplomyelia is duplication of the spinal cord and is distinguished from diastematomyelia by the presence of two central canals each surrounded by gray and white matter as in a normal spinal cord.
Sacral agenesis, or absence of the whole (or in some cases parts of) the sacrum, classically occurs in association with a variety of other urogenital, gastrointestinal, and spinal cord abnormalities. It has been associated with maternal insulin-dependent diabetes. Autosomal dominant forms associated with homeobox gene mutations have been identified. Clinical manifestations range from mild motor deficits to severe sensory and motor deficits and bowel and bladder dysfunction.
Management of NTDs involves surgical approaches and management of complications including hydrocephalus and bowel and bladder dysfunction. A search for associated malformations in other organs (such as the heart or kidneys) should always occur.
Bradley WG, Daroff RB, Fenichel GM, et al. Neurology in Clinical Practice, 5th ed. Philadelphia, PA: Elsevier; 2008.
Swaiman KF, Ashwal S, Ferriero DM. Pediatric Neurology Principles and Practice, 4th ed. Philadelphia, PA: Mosby Elsevier; 2006.
12. d
Lymphangiomyomatosis is a rare, often fatal pulmonary disease occurring most often in female patients with tuberous sclerosis complex (TSC, discussed also in questions 61–63). It can lead to a variety of symptoms, including dyspnea, cough, and hemoptysis. Pneumothorax may develop in some. Treatment may include progesterone or the estrogen receptor modulator tamoxifen but this disease is often fatal a few years after onset. Patients with TSC, especially women, should undergo chest imaging if respiratory symptoms arise.
Single or multiple cardiac rhabdomyomas occur in more than half of TSC patients. The majority of them regress over time, and they are often clinically irrelevant over the long term. In other patients with cardiac rhabdomyomas, manifestations may include heart failure due to obstructive or ischemic cardiomyopathy, arrhythmias, and stroke from cerebral embolization. Surveillance with periodic echocardiograms should occur in TSC patients with rhabdomyomas to ensure lack of enlargement and regression. Medical management of arrhythmias, heart failure, or surgical removal is necessary in some patients.
Angiomyolipomas, benign tumors consisting of vessels, fat, and smooth muscle, occur in more than half of patients with TSC and are a minor criterion for diagnosis. They may be single or bilateral and multiple. Enlarging angiomyolipomas may need to be embolized endovascularly. Rapamycin may be useful in inhibiting their growth. Less commonly, renal cell carcinoma occurs. Renal cysts also occur in TSC and are another minor criterion; surveillance with periodic renal ultrasound is recommended.
In TSC patients, retinal hamartomas may occur, ranging from subtle to classic mulberry-like lesions near the optic disc to plaques or depigmented lesions. In some patients, when the lesion involves the macula, vision loss may occur. Other less common complications that may threaten vision in TSC patients include retinal detachment or hemorrhage into the vitreous.
Bradley WG, Daroff RB, Fenichel GM, et al. Neurology in Clinical Practice, 5th ed. Philadelphia, PA: Elsevier; 2008.
Swaiman KF, Ashwal S, Ferriero DM. Pediatric Neurology Principles and Practice, 4th ed. Philadelphia, PA: Mosby Elsevier; 2006.
13. d
This patient has propionic acidemia, in which hematologic manifestations such as pancytopenia and bleeding disorders may occur.
Propionic acidemia is an autosomal recessive disorder caused by a deficiency of propionyl-CoA carboxylase. This enzyme normally participates in the carboxylation of propionyl-CoA to D-methylmalonyl-CoA, a step that requires the coenzyme biotin. Children with propionic acidemia appear normal at birth but develop symptoms either in the early neonatal period, in infancy, or later in childhood. Patients present with feeding difficulty, lethargy, hypotonia, dehydration, and attacks of metabolic acidosis and hyperammonemia. They may progress to have seizures and coma. Other findings include hepatomegaly, pancytopenia, and bleeding disorders including intracranial hemorrhage. Patients who survive have mental retardation and basal ganglia abnormalities.
The diagnosis is suspected in newborn babies with ketoacidosis, with an anion gap, and elevated propionic acid levels in the blood and sometimes in the urine. Elevation of glycine levels in plasma and urine and of methylcitrate and β-hydroxypropionate in urine are also observed. Enzyme activity in leukocytes or fibroblasts is reduced.
Treatment involves restricting protein from the diet and providing parenteral fluids for hydration, as well as carnitine and biotin supplementation. Dialysis may be required in some patients. Antibiotics such as metronidazole may decrease the production of propionate by enteric bacteria.
D-methylmalonyl-CoA mutase deficiency causes methylmalonic acidemia (discussed in question 66).
Propionic acidemia is screened for by extended newborn screening, thus allowing for presymptomatic treatment in most patients with the classic or severe form of the disease.
Fenichel GM. Clinical Pediatric Neurology: A Signs and Symptoms Approach, 6th ed. Philadelphia, PA: Saunders Elsevier; 2009.
14. c
This patient’s history and examination are consistent with spina bifida occulta. This is a defect in the bony components along the posterior aspect of the vertebral column. It can often be asymptomatic, but an abnormal conus medullaris and filum terminale are possible. The presence of a tuft of hair, implying underlying spina bifida occulta, does not necessarily imply impending cognitive or motor delay. In fact, when early neurologic development is normal, it will typically continue to be so. However, associated neurologic dysfunction may portend future neurologic impairment.
When there is associated neurologic dysfunction in a child with a tuft of hair over the lumbar region but with no other evidence of neural tube defect, the disorder is named occult spinal dysraphism. In occult spinal dysraphism, a variety of developmental abnormalities may be seen involving the spinal cord or roots and posterior fossa, and associated findings may include dermoid or epidermoid cysts, intraspinal or cutaneous lipomas, and tethered cord. Diastematomyelia, or splitting of the spinal cord, may also be seen. Rarely, a sinus tract connects the dura with the surface of the skin. In occult spinal dysraphism, neurologic manifestations vary widely and may range from minimal motor deficits and ankle hyporeflexia to bowel and bladder dysfunction, sensory loss, and paraparesis or paraplegia. Although patients may be initially asymptomatic, these neurological deficits can develop suddenly and be irreversible.
Swaiman KF, Ashwal S, Ferriero DM. Pediatric Neurology Principles and Practice, 4th ed. Philadelphia, PA: Mosby Elsevier; 2006.
Volpe JJ. Neurology of the Newborn, 4th ed. Philadelphia, PA: WB Saunders; 2001.
15. b
This patient has Lesch-Nyhan syndrome (LNS), which is inherited in an X-linked fashion and is caused by deficiency of the enzyme hypoxanthine guanine phosphoribosyltransferase (HGPRT), which participates in the salvage pathway of purines. HGPRT is encoded by the gene HPRT1 on chromosome Xq26, and deficiency of this enzyme leads to the accumulation of purines with their subsequent conversion to uric acid.
There is a spectrum of the disease, ranging from the classic LNS form to milder forms without neurologic manifestations. The classic LNS form may manifest in the newborn period with severe hypotonia. These children will have delayed motor development, progressive limb and neck rigidity with dystonia, choreoathetotic movements, facial grimacing, seizures, spasticity, and mental retardation. These patients have aggressive and severe self-mutilation behavior.
Milder forms include those with less severe neurologic disease, and those in which there are no neurologic manifestations, presenting with hyperuricemia, gout, and nephrolithiasis.
The clinical picture, including neurologic manifestations, self-mutilation behavior, and hyperuricemia suggests the diagnosis. HGPRT activity can be assessed in fibroblasts, and genetic testing can also be used.
Treatment includes purine-restricted diet, hydration to prevent kidney stones, allopurinol to decrease the production of uric acid, and supportive care to prevent self-inflicted injuries and control abnormal movements. Levodopa and tetrabenazine have been tried for the neuropsychiatric manifestations.
Fenichel GM. Clinical Pediatric Neurology: A Signs and Symptoms Approach, 6th ed. Philadelphia, PA: Saunders Elsevier; 2009.
Torres RJ, Puig JG. Hypoxanthine-guanine phosphoribosyltransferase (HPRT) deficiency: Lesch-Nyhan syndrome. Orphanet J Rare Dis. 2007; 2:48.
16. a
Several risk factors for neural tube defects (NTDs) have been identified. NTDs are more common in females. Folate is involved in various pathways of nucleic acid synthesis and DNA methylation reactions, and maternal folate deficiency is a well-established risk factor for NTD. Therefore, prenatal and perinatal maternal supplementation with 0.4 mg folic acid is recommended. Teratogens associated with NTDs include retinoic acid (vitamin A or the acidic form, tretinoin, found in acne medications). Other teratogens associated with NTDs include antiepileptics, particularly valproic acid and carbamazepine, which may lead to NTDs by affecting folate metabolism. Other risk factors for NTDs include maternal diabetes and history of a prior pregnancy resulting in an infant with an NTD.
Swaiman KF, Ashwal S, Ferriero DM. Pediatric Neurology Principles and Practice, 4th ed. Philadelphia, PA: Mosby Elsevier; 2006.
17. a
This patient has Niemann-Pick type A. Niemann-Pick types A and B are caused by acid sphingomyelinase deficiency, leading to accumulation of sphingomyelin. This disorder is autosomal recessive.
Type A involves the CNS and other viscera and manifests in infancy with feeding difficulty, failure to thrive, psychomotor retardation with regression, hypotonia, and failure to thrive. Cherry-red spot is commonly seen, and these patients have massive hepatosplenomegaly. Most children die by age 3.
Type B is purely visceral and does not affect the CNS, presenting with hepatosplenomegaly and interstitial lung disease.
In both types, bone marrow biopsy will demonstrate vacuolated histiocytes with lipid accumulation and foam cells, in which the sphingomyelin adopts the form of concentric lamellar bodies. The foamy histiocytes can be seen also in the spleen, lymph nodes, hepatic sinusoids, and pulmonary alveoli. The diagnosis is based on detecting deficient activity of acid sphingomyelinase.
Treatment is supportive. Niemann-Pick type C is discussed in question 18 and is caused by an intracellular cholesterol trafficking defect.
Fenichel GM. Clinical Pediatric Neurology: A Signs and Symptoms Approach, 6th ed. Philadelphia, PA: Saunders Elsevier; 2009.
Prayson RA, Goldblum JR. Neuropathology, 1st ed. Philadelphia, PA: Elsevier; 2005.
18. b
This patient has Niemann-Pick type C, which is an autosomal recessive disorder caused by defects in intracellular cholesterol circulation, resulting in lysosomal storage of phospholipids and glycolipids, with alteration in glycolipid metabolism. Normally, cholesterol is hydrolyzed in lysosomes and later transported to the plasma membrane; however, in Niemann-Pick type C, there is a problem in cholesterol transport, and it therefore accumulates in perinuclear lysosomes. The abnormal gene is NPC1 located on chromosome 18q11.
The onset of this disorder ranges from the neonatal period, through infancy, childhood, adolescence, and even adulthood. Patients with early-onset disease have visceromegaly and hepatic dysfunction in the first year of life and neurologic deterioration between 1 and 3 years of age, including ataxia, vertical gaze apraxia, and mental retardation. Patients with delayed-onset forms have normal initial development, subsequently manifesting ataxia, oculomotor abnormalities, especially vertical gaze apraxia, spasticity, seizures, and progressive neurologic deterioration with cognitive impairment. Later-onset disease has a much slower course.
Pathologically, there are visceral accumulation of lipids and foamy histiocytes with membrane-bound lamellar structures and lucent vacuoles. Neuronal ballooning is also seen, as well as meganeurites, and eventually neuronal loss associated with cerebral and cerebellar atrophy. Diagnosis is achieved with the filipin test, which demonstrates impaired ability of cultured fibroblasts to esterify cholesterol. Unesterified cholesterol accumulates in perinuclear lysosomes, and this is detected by the fluorescent stain filipin. Treatment is supportive.
Disorders associated with hexosaminidase A deficiency are discussed in questions 76 and 77. Disorders associated with acid sphingomyelinase deficiency are Niemann-Pick types A and B and are discussed in question 17.
Fenichel GM. Clinical Pediatric Neurology: A Signs and Symptoms Approach, 6th ed. Philadelphia, PA: Saunders Elsevier; 2009.
Prayson RA, Goldblum JR. Neuropathology, 1st ed. Philadelphia, PA: Elsevier; 2005.
19. d
Prenatal ultrasonography is used in detecting neural tube defects (NTDs) and characterizing them. Prenatally, in the setting of most NTDs, serum maternal α-fetoprotein level is elevated. α-Fetoprotein is a normal component of fetal CSF, and leakage into the amniotic fluid from an open neural tube leads to elevated amniotic α-fetoprotein level. The extent of elevation correlates with the severity of the NTD. Elevations in amniotic fluid acetylcholinesterase levels also occur, and combined with an elevated α-fetoprotein level, increase sensitivity and specificity in prenatal screening. Ultrasonography also can be used to detect NTDs and characterize them. Prenatal MRI is also used in some cases to assess the extent of the abnormality, aiding in prognostication of neurologic function in life. When an NTD is detected with screening, and/or other abnormalities are detected on ultrasonography, fetal karyotyping to assess for trisomy 13, 18, and others may be done to assist in management of the pregnancy.
Swaiman KF, Ashwal S, Ferriero DM. Pediatric Neurology Principles and Practice, 4th ed. Philadelphia, PA: Mosby Elsevier; 2006.
20. a
Metachromatic leukodystrophy is an autosomal recessive disorder caused by deficiency of the lysosomal enzyme arylsulfatase A with accumulation of sulfatide, resulting in demyelination of the central and peripheral nervous system. There are three forms: an infantile form with onset between 1 and 3 years of age, a juvenile form with onset in late childhood and early teens, and the adult form with onset in the 20s or 30s. The infantile form manifests with clumsiness, frequent falls, slurred speech, and is associated with weakness and hypotonia. With progression of the disease, these children are unable to stand, and their tone increases. They have loss of vision and hearing, peripheral neuropathy, and progressive deterioration of mental function to a vegetative state and death. The juvenile form has a slower progression. The adult form presents with behavioral changes, psychosis, and dementia.
MRI demonstrates T2 hyperintense signal changes in periventricular and subcortical white matter, sparing the U fibers. Cerebellar white matter is also involved. Pathologically, there are confluent symmetric lesions in the white matter and later atrophy. Central and peripheral demyelination is seen, with accumulation of metachromatic material in macrophages. Nerve conduction velocities are initially normal, but slowing is seen later in the course.
The diagnosis is suspected on the basis of typical MRI findings and confirmed by demonstrating deficiency of arylsulfatase A in leukocytes and/or fibroblasts. Treatment is supportive.
Niemann-Pick type C is a disorder of intracellular cholesterol trafficking and is discussed in question 18. Niemann-Pick type A is caused by acid sphingomyelinase deficiency and is discussed in question 17. Krabbe disease is caused by deficiency of galactosylceramidase and is discussed in question 84. Tay-Sachs disease is caused by hexosaminidase A deficiency and is discussed in questions 76 and 77.
Fenichel GM. Clinical Pediatric Neurology: A Signs and Symptoms Approach, 6th ed. Philadelphia, PA: Saunders Elsevier; 2009.
Prayson RA, Goldblum JR. Neuropathology, 1st ed. Philadelphia, PA: Elsevier; 2005.
21. e
While syringomyelia and hydromyelia are erroneously used interchangeably by some, the two are distinct by definition. Syringomyelia is a fluid-filled cavity within the spinal cord that is separate from the central canal; hydromyelia is the termed used to describe an enlargement in the central canal itself.
Chiari I malformation is defined as displacement of the cerebellum and cerebellar tonsils downward through the foramen magnum. Figure 14.1 depicts a Chiari I malformation with 1.3 cm downward displacement of the cerebellar tonsils. In minor downward displacement of less than 1 cm, the patient may be asymptomatic and care should be taken in attributing nonspecific neurologic symptoms to the Chiari malformation. In more severe downward displacement, as in this case, headache, cranial nerve abnormalities, and other brain stem symptoms, nystagmus, and ataxia may occur. Associated findings include syringomyelia. The pathophysiology of Chiari I malformation may relate to posterior fossa overcrowding due to posterior fossa hypoplasia. In symptomatic cases, treatment includes posterior fossa decompression and duraplasty.
Chiari II malformation, also known as Arnold-Chiari malformation, includes displacement of the cerebellar vermis and tonsils in association with a myelomeningocele. Brain stem dysfunction is often prominent, including prominent cranial nerve abnormalities, stridor, apnea, and feeding difficulties. Fourth ventricle compression leads to hydrocephalus. Pathophysiologically, Chiari II malformation is thought to be secondary to the presence of the caudal myelomeningocele, producing downward traction and hence herniation of the brain stem and cerebellum through the foramen magnum. Management of Chiari II malformation includes shunting for hydrocephalus and surgical intervention for myelomeningocele and may include posterior fossa decompression through suboccipital craniectomy. Management of complications including seizures, feeding difficulties, and bowel and bladder dysfunction is also necessary.
Chiari III malformation is cerebellar herniation into a cervical encephalocele. Chiari IV malformation is the term previously used to describe cerebellar hypoplasia but is no longer used.
Swaiman KF, Ashwal S, Ferriero DM. Pediatric Neurology Principles and Practice, 4th ed. Philadelphia, PA: Mosby Elsevier; 2006.
22. e
Sialidosis belongs to the group of glycoproteinoses, and myoclonic epilepsy is seen in these patients.
Glycoproteinoses are a group of lysosomal storage disorders of autosomal recessive inheritance, in which the enzymatic defect leads to accumulation of oligosaccharides, glycopeptides, and glycolipids. Accumulation in the brain and viscera leads to vacuolization of multiple cell types. There are multiple phenotypes depending on the enzyme affected. In general, these patients have coarse facial features, skeletal abnormalities, and psychomotor retardation.
Sialidosis is caused by deficiency of lysosomal α-neuraminidase (sialidase), leading to increased urinary excretion of sialic acid-containing oligosaccharides. Type I sialidosis (cherry-red spot myoclonus syndrome) has its onset in adolescence to adulthood and manifests with myoclonic epilepsy, visual deterioration, and cherry-red spots without dysmorphism. Type II is the childhood form, and these patients have not only myoclonic epilepsy and cherry-red spots in the retina but also severe neurologic abnormalities, coarse facial features, severe dysostosis, and psychomotor retardation. The neonatal form is characterized by hydrops fetalis, nephrotic syndrome, and early death.
Other glycoproteinoses include α-mannosidosis caused by α-mannosidosidase deficiency, β-mannosidosis caused by β-mannosidosidase deficiency, fucosidosis caused by α-fucosidase deficiency, aspartylglucosaminuria caused by aspartylglucosaminidase deficiency, and Schindler disease caused by α-N-acetylgalactosaminidase deficiency.
Abnormal urinary excretion of oligosaccharides and glycopeptides, as well as vacuolated lymphocytes with membrane-bound vacuoles, can be seen. Definitive diagnosis is made with analysis of enzyme activity.
Bradley WG, Daroff RB, Fenichel GM, et al. Neurology in Clinical Practice, 5th ed. Philadelphia, PA: Elsevier; 2008.
Prayson RA, Goldblum JR. Neuropathology, 1st ed. Philadelphia, PA: Elsevier; 2005.
23. c
Figure 14.2 shows the molar tooth sign, which results from cerebellar vermis hypoplasia with fourth ventricular enlargement, a large interpeduncular fossa, and abnormal superior cerebellar peduncles. It is seen in a variety of conditions associated with cerebellar hypoplasia, including Joubert syndrome, which is depicted in this question. Joubert syndrome is an autosomal recessive disorder characterized clinically by developmental delay, ataxia, oculomotor abnormalities, and respiratory difficulties. The molar tooth sign is also seen in COACH syndrome (cerebellar vermis hypoplasia, oligophrenia, congenital ataxia, coloboma, and hepatic fibrosis), features of which are not present in the patient depicted. It is also seen in Leber congenital amaurosis, in which vision loss occurs due to rod and cone dystrophy. The molar tooth sign has not been associated with ataxia with oculomotor apraxia types I and II (see Chapter 6).
Swaiman KF, Ashwal S, Ferriero DM. Pediatric Neurology Principles and Practice, 4th ed. Philadelphia, PA: Mosby Elsevier; 2006.
24. b
This patient has Fabry disease. Fabry disease is an X-linked disorder caused by deficiency of the enzyme α-galactosidase, resulting in accumulation of ceramide trihexoside in epithelial, mesenchymal, and neural cells.
The initial manifestations begin in childhood or adolescence, presenting with dysesthesias, lancinating pain and episodes of burning sensation from small fiber neuropathy, which also may be associated with autonomic dysfunction. Dermatologic manifestations include the characteristic angiokeratomas, which are more prominent in the lower abdomen and legs, especially in the groins, hips, and periumbilical regions, and consist of cutaneous telangiectasias. Cardiac involvement manifests with valvular disease, arrhythmias, cardiomyopathy, and ischemic heart disease. There is also renal involvement from endothelial and glomerular damage, causing acute renal failure and eventually chronic renal disease leading to hypertension and uremia. Vascular compromise arises from endothelial and vascular smooth muscle involvement and is associated with ischemic stroke. Another frequent clinical finding is corneal opacity.
Pathologically, there is lysosomal storage of birefringent lipids, with membrane-bound lamellar deposits on electron microscopy. Treatment includes enzyme replacement therapy.
Metachromatic leukodystrophy is caused by deficiency of arylsulfatase A and is discussed in question 20. Niemann-Pick type A is caused by acid sphingomyelinase deficiency and is discussed in question 17. Gaucher disease is caused by deficiency of the enzyme glucocerebrosidase, and this condition is discussed in question 74. GM1 gangliosidosis is caused β-galactosidase deficiency, and this is discussed in question 87.
Prayson RA, Goldblum JR. Neuropathology, 1st ed. Philadelphia, PA: Elsevier; 2005.
Ropper AH, Samuels MA. Adams and Victor’s Principles of Neurology, 9th ed. New York, NY: McGraw-Hill; 2009.
25. e
The less severe forms of holoprosencephaly may be compatible with life with few neurologic deficits.
During embryologic development, after fusion of the anterior neuropore, vesicles form and ultimately give rise to different brain structures. The prosencephalon vesicle gives rise to the telencephalon. The telencephalon divides to give the two cerebral hemispheres and the basal ganglia. The prosencephalon also gives rise to the diencephalon, which in turn gives rise to the thalamus and hypothalamus. The mesoderm of the notochord provides signals for this differentiation; one such signaling molecule is the sonic hedgehog protein. Abnormalities of this stage of development, which typically occurs around weeks 4 to 8 of gestation, lead to a variety of midline brain and face malformations.
Failure of the prosencephalon to form the telencephalon and diencephalon, and failure of formation of two distinct cerebral hemispheres, results in the malformation known as holoprosencephaly. In alobar holoprosencephaly, the cerebral hemispheres are almost completely fused, with absence of the interhemispheric fissure and corpus callosum. There is a single midline ventricle. Variable dysgenesis and fusion of the thalamus, hypothalamus, and basal ganglia is present. In semilobar holoprosencephaly, parts of the posterior hemispheres may be separated by a fissure. In lobar holoprosencephaly, only the most anterior portions of the hemispheres are not separated, and there is partial agenesis of the corpus callosum, but the splenium and genu are present.
The olfactory bulb and tracts develop from the prosencephalon a few days after the hemispheres divide. In severe forms of holoprosencephaly, arrhinencephaly (agenesis of only the olfactory bulb and tract) invariably occurs. However, in less severe forms of holoprosencephaly, arrhinencephaly may occur in isolation. Kallmann syndrome, an X-linked dominant disorder, is characterized by anosmia (due to arrhinencephaly) and hypogonadism.
In infants with alobar holoprosencephaly, associated midline facial defects, such as cyclopia (single midline eye) and proboscis (single-nostril nose), often occur, and these more severely affected individuals are usually stillborn or do not survive long after birth. If death does not occur in utero, the clinical picture includes severe cognitive and motor delay, feeding difficulties, and seizures. Endocrinologic problems including diabetes insipidus and panhypopituitarism are frequent. Hydrocephalus is a frequent complication.
In less severe forms such as arrhinencephaly, little neurologic dysfunction may be clinically apparent.
Chromosomal aberrations associated with holoprosencephaly include trisomy 13 and trisomy 18. Autosomal recessive and dominant forms, due to mutations in the sonic hedgehog gene and other genes, exist. In addition to a variety of genetic and environmental mechanisms, the pathophysiology of holoprosencephaly also relates to abnormal cholesterol metabolism, as cholesterol influences sonic hedgehog protein function. Hence, holoprosencephaly has an association with the cholesterol synthesis disorder Smith-Lemli-Opitz, which results from a defect in 7-dehydrocholesterol reductase, the enzyme that catalyzes the final step in cholesterol synthesis.
Bradley WG, Daroff RB, Fenichel GM, et al. Neurology in Clinical Practice, 5th ed. Philadelphia, PA: Elsevier; 2008.
Swaiman KF, Ashwal S, Ferriero DM. Pediatric Neurology Principles and Practice, 4th ed. Philadelphia, PA: Mosby Elsevier; 2006.
26. d
Neuronal ceroid lipofuscinosis is a group of autosomal recessive disorders characterized by progressive psychomotor retardation, seizures, and blindness, which can present in infantile, late infantile, juvenile, and adult forms.
Mutations in eight genes causing the disorder (CLN1 through CLN8) have been described. The most commonly involved genes are CLN1 and CLN2. CLN1 encodes for palmitoyl protein thioesterase 1 (PPT1), and CLN2 encodes for tripeptidyl peptidase 1 (TPP1). The storage products are saposins A and D in the infantile forms and subunit C of ATP synthase in the other forms.
The infantile form is most common in Finland and is associated with CLN1 gene mutations. These patients are normal at birth, with onset of symptoms between 6 and 24 months, including microcephaly, hypotonia, myoclonus, seizures, ataxia, progressive psychomotor retardation, and blindness. Neurons accumulate membrane-bound osmophilic deposits (seen on electron microscopy) and neuronal loss with cortical atrophy will ensue.
The late-infantile form presents between 2 and 4 years of age and is associated with CLN2 mutations, and these patients develop seizures, myoclonus, ataxia, involuntary movements, blindness, and psychomotor retardation. Neurons accumulate curvilinear bodies, which are seen on electron microscopy.
The juvenile form begins between 4 and 10 years of age and is associated with CLN3 mutation, and these patients develop visual loss, seizures, myoclonus, psychomotor retardation, and focal neurologic deficits. The storage product consists of fingerprint bodies, which are seen on electron microscopy.
The adult form is evident at approximately 30 years of age and is characterized by myoclonus, ataxia, behavioral abnormalities, and dementia. The storage material consists of a combination of fingerprint bodies, granular osmiophilic deposits, and rectilinear profiles.
The diagnosis is based on the clinical presentation and supported with electron microscopic examination of lymphocytes or cells from other tissues. Enzyme activity studies for PPT1 and TPP1 are also available, as is genetic testing for all of the identified CLN genes. The treatment is symptomatic.
Prayson RA, Goldblum JR. Neuropathology, 1st ed. Philadelphia, PA: Elsevier; 2005.
Ropper AH, Samuels MA. Adams and Victor’s Principles of Neurology, 9th ed. New York, NY: McGraw-Hill; 2009.
27. e
The foramen of Monroe connects the lateral ventricle with the third ventricle. The cerebral aqueduct connects the third ventricle with the fourth ventricle. Congenital aqueductal stenosis, or narrowing of the cerebral aqueduct that connects the third and fourth ventricle, is a disorder of neurulation, resulting from abnormal septation of the dorsomedial septum of the midbrain.
There are various causes of congenital aqueductal stenosis, including presumed genetic or acquired causes. There is an X-linked form associated with pachygyria. It may occur in association with holoprosencephaly or Chiari II malformation. Acquired causes include congenital infections such as cytomegalovirus or mumps virus, or a variety of tumors such as ependymomas or hamartomas. Tumors of the midbrain region that compress the aqueduct may also lead to secondary congenital aqueductal stenosis. Symptoms are related to hydrocephalus and include macrocephaly and sundowning of the eyes (downward rotation of the eyes). In those presenting after fusion of the cranial sutures; headache, projectile vomiting, and altered mental status may occur. Management is directed at relieving the hydrocephalus with shunts or ventriculostomies.
Bradley WG, Daroff RB, Fenichel GM, et al. Neurology in Clinical Practice, 5th ed. Philadelphia, PA: Elsevier; 2008.
28. d
This patient has Zellweger syndrome, a peroxisomal disorder in which the white matter is involved.
Peroxisomes are organelles involved in the biosynthesis of ether phospholipids and bile acids, oxidation of very long-chain fatty acid, prostaglandins, and unsaturated long-chain fatty acids, and the catabolism of phytanate, pipecolate, and glycolate. The infantile syndromes of peroxisomal dysfunction include Zellweger syndrome, neonatal adrenoleukodystrophy, and infantile Refsum disease. Zellweger is the most severe form and is caused by mutations in the PEX genes, the majority with PEX1 resulting in abnormal peroxisomal biogenesis.
Zellweger syndrome, or “cerebrohepatorenal syndrome”, is characterized by dysmorphic features such as a high forehead, large fontanelles, flat supraorbital ridges, hypertelorism, epicanthal folds, broad nasal bridge, micrognathia, and flat occiput. These children have cataracts, retinal dystrophy, sensorineural hearing loss, severe hypotonia, decreased sucking and crying, hyporeflexia, deformities in flexion of the lower limbs with arthrogryposis, profound mental retardation, and seizures. The brain demonstrates white matter changes and abnormalities in neuronal migration. There is liver dysfunction with cirrhosis and polycystic kidney disease. A very typical feature is chondrodysplasia punctata with bony stippling of the patella. Other congenital abnormalities have been reported, such as ventricular septal defects and other cardiac abnormalities.
Diagnostic workup demonstrates increased plasma very long-chain fatty acids, decreased red blood cell plasmalogens, and decreased or absent hepatic peroxisomes. Pathologically, the brain may be enlarged, and there is evidence of neuronal migration abnormality, white matter changes with lipid accumulation, and sometimes pachygyria and/or polymicrogyria. The treatment of Zellweger syndrome is symptomatic. Most of these patients die early.
The other peroxisomal abnormalities are much milder. Neonatal adrenoleukodystrophy patients have liver cirrhosis, adrenocortical atrophy, and brain abnormalities such as polymicrogyria, subcortical heterotopia, and cerebellar dysplasia but no pachygyria.
Infantile Refsum disease manifests with psychomotor retardation, sensorineural hearing loss, retinal degeneration, anosmia, and mild dysmorphic features and there may be cirrhosis and adrenal atrophy. In Refsum disease, phytanic acid levels are elevated and peroxisomes are reduced or absent. These patients may survive into adulthood.
Fenichel GM. Clinical Pediatric Neurology: A Signs and Symptoms Approach, 6th ed. Philadelphia, PA: Saunders Elsevier; 2009.
Prayson RA, Goldblum JR. Neuropathology, 1st ed. Philadelphia, PA: Elsevier; 2005.
29. e
Fabry disease is an X-linked disorder that results from a mutation in the gene encoding the lysosomal enzyme α-galactosidase. Multiple organs are involved; renal involvement leads to renal failure and cardiac involvement to cardiomyopathy. Cutaneous manifestations in Fabry disease include purplish angiokeratomas often occurring in the groin. Neurologic manifestations involve both the peripheral nervous system (including small fiber neuropathy with attacks of cold-induced painful paresthesias in the extremities, acroparesthesias) and the CNS. CNS manifestations include stroke and other vascular events related to vascular ectasia, with often marked dolichoectatic enlargement of the basilar artery. Fabry’s disease is also discussed in question 24.
Hereditary hemorrhagic telangiectasia, or Osler-Weber-Rendu syndrome, is an autosomal dominant disorder in which telangiectasia occurs in the skin, mucous membranes, and several organs including the retina and gastrointestinal tract. Recurrent epistaxis is a common manifestation. CNS involvement results from single or multiple arteriovenous malformations (AVMs) or cerebral embolization from pulmonary AVMs. It results from a mutation in the HHT1 gene on chromosome 9 that encodes for endoglin, a protein that binds transforming growth factor-β (TGF-β), or from a mutation in the HHT2 gene on chromosome 12. Wyburn-Mason syndrome is another neurocutaneous disorder in which multiple AVMs occur on the face, in the retina, and intracranially.
In pseudoxanthoma elasticum (Gronblad-Strandberg syndrome), a connective tissue disorder that may be autosomal dominant or recessive, yellowish xanthomas occur in various skin regions, on mucous membranes, and in the retina. Neurological manifestations relate to vascular occlusions and intracranial carotid artery aneurysms.
Ehlers-Danlos syndrome exists in 10 subtypes, with types I, II, and III being the most common. These subtypes share the occurrence of hyperelastic skin, hyperextensible joints, and vascular lesions. This syndrome results from mutations in various genes encoding for different types of collagen. The main neurologic significance of this disorder is the increased risk of intracranial aneurysms, carotid-cavernous fistulas (that may be spontaneous or due to mild trauma), and arterial dissection.
Xeroderma pigmentosum (XP) is a neurocutaneous disorder marked by sensitivity to ultraviolet light that predisposes affected individuals to skin freckling and multiple cutaneous malignancies including melanoma, basal cell carcinoma, and squamous cell carcinoma as well as other cutaneous and systemic tumors. Neurologic abnormalities include progressive cognitive dysfunction, hearing loss, tremor, chorea, and ataxia as well as peripheral neuropathy. XP is autosomal recessive and results from mutations on chromosome 9 that result in abnormal DNA repair. Cockayne syndrome is a related disorder. Another disorder of DNA repair associated with neurologic features is ataxia telangiectasia (discussed in Chapter 6).
Bradley WG, Daroff RB, Fenichel GM, et al. Neurology in Clinical Practice, 5th ed. Philadelphia, PA: Elsevier; 2008.
Swaiman KF, Ashwal S, Ferriero DM. Pediatric Neurology Principles and Practice, 4th ed. Philadelphia, PA: Mosby Elsevier; 2006.
30. b
This patient’s history and imaging findings are consistent with septo-optic dysplasia, a group of malformations that include hypoplasia or absence of the septum pellucidum, optic nerve and optic chiasm hypoplasia, dysgenesis of the corpus callosum and anterior commissure, and fornix detachment from the corpus callosum. Arrhinencephaly (agenesis of only the olfactory bulb and tract) and/or hypothalamic hamartomas may be associated features. Other less commonly associated abnormalities include cerebellar vermis defects and hydrocephalus. Septo-optic dysplasia can also be associated with lobar holoprosencephaly and other malformations of cortical development.
Clinical manifestations include vision loss, ataxia when the cerebellum is involved, symptoms of hydrocephalus when it is present, and endocrinologic disturbances. Endocrinologic disturbances can range from panhypopituitarism (with deficiencies in both anterior and posterior pituitary hormones) to isolated hormone deficiencies. Mutations in the transcription factors HESX1, a homeobox gene, and SOX may be implicated in this disorder.
Cavum septum pellucidum, in which the septum pellucidum is not fused but rather exists in two separate pieces of tissue, is considered nonpathologic, with little clinical implications. The presence of normal cortex excludes holoprosencephaly, and lissencephaly. This patient has several features making septo-optic dysplasia the likely diagnosis rather than arrhinencephaly.
Bradley WG, Daroff RB, Fenichel GM, et al. Neurology in Clinical Practice, 5th ed. Philadelphia, PA: Elsevier; 2008.
Volpe P, Campobasso V, De Robertis V, et al. Disorders of prosencephalic development. Prenat Diagn. 2009; 29:340–354.
31. b
Adrenoleukodystrophy is an X-linked disorder caused by a deficiency of the peroxisomal enzyme acyl coenzyme A synthetase, leading to the impaired ability to oxidize very long-chain fatty acids, with subsequent accumulation in tissues and plasma. There are four phenotypes: childhood cerebral type, adrenomyeloneuropathy, pure adrenal insufficiency, or asymptomatic. Female carriers may have mild symptoms of adrenomyeloneuropathy.
The cerebral type has an onset between 4 and 8 years of age, with behavioral changes progressing to cognitive impairment, spasticity, disturbances of gait and coordination, and vision and hearing loss. The prognosis is poor, and these patients die early. MRI demonstrates confluent T2 hyperintensity in the white matter affecting more predominantly the parieto-occipital regions and the posterior corpus callosum. Pathologically, there is symmetric and confluent demyelination affecting initially the posterior regions and sparing the U fibers. There is involvement of other tissues, including the adrenal cortex and Leydig cells of the testis. Histopathologically, cerebral lesions are characterized by the presence of perivascular cuffing, with predominance of T cells.
Adrenomyeloneuropathy is the most common phenotype and manifests with paraparesis that begins after age 20, and is slowly progressive into adulthood. There is also a sensory neuropathy in these patients. Some degree of cognitive impairment and adrenal insufficiency may be seen. Pathologically, there is long tract degeneration with axon and myelin loss. Peripheral nerve demyelination without inflammation also occurs. Patients with adrenoleukodystrophy have increased plasma levels of very long-chain fatty acids, and ACTH is increased secondary to adrenal insufficiency.
Treatment involves supportive care with steroid replacement therapy for adrenal insufficiency. “Lorenzo’s oil”, which consists of 4:1 glyceryl trioleate-glyceryl trierucate, has been shown to reduce levels of very long-chain fatty acids in plasma. Dietary use of Lorenzo’s oil may be beneficial in young asymptomatic patients but not in patients with neurologic deficits. Bone marrow transplantation may have a role in early stages of the disease.
Canavan disease is discussed in question 79. Alexander disease is discussed in question 88. Zellweger syndrome is discussed in question 28. Fabry disease is discussed in questions 24 and 29.
Fenichel GM. Clinical Pediatric Neurology: A Signs and Symptoms Approach, 6th ed. Philadelphia, PA: Saunders Elsevier; 2009.
Moser HW, Raymond GV, Lu SE, et al. Follow-up of 89 asymptomatic patients with adrenoleukodystrophy treated with Lorenzo’s oil. Arch Neurol. 2005; 62:1073–1080.
Prayson RA, Goldblum JR. Neuropathology, 1st ed. Philadelphia, PA: Elsevier; 2005.
32. b
Leigh disease or acute necrotizing encephalomyelopathy is a manifestation of mitochondrial disorders that can be sporadic or familial, with only some cases with the typical maternal inheritance pattern. This condition affects neurons of the brain stem, thalamus, basal ganglia, and cerebellum. Most of the affected patients have onset of neurologic manifestations in the first year of life, but there are forms with late onset. Clinical features manifest with decompensation associated with intercurrent illnesses.
In infancy, patients present with hypotonia, loss of head control, poor sucking, vomiting, irritability, seizures, and myoclonic jerks. If the onset is beyond the first year, patients present with gait disturbance, cerebellar ataxia, dysarthria, psychomotor retardation, spasticity, external ophthalmoplegia, nystagmus, abnormal movements with chorea or dystonias, and peripheral neuropathy in some cases with autonomic failure. The disorder is progressive with episodic deterioration.
Lactate level is increased in blood and CSF. Lactate and pyruvate levels in blood are elevated during exacerbations. MRI of the brain demonstrates bilateral symmetric hyperintense T2 signal abnormalities in the brain stem and/or basal ganglia, and in some cases in the spinal cord. Treatment is supportive and symptomatic.
Fenichel GM. Clinical Pediatric Neurology: A Signs and Symptoms Approach, 6th ed. Philadelphia, PA: Saunders Elsevier; 2009.
Ropper AH, Samuels MA. Adams and Victor’s Principles of Neurology, 9th ed. New York, NY: McGraw-Hill; 2009.
33. a
This patient has Kearns-Sayre syndrome, which is a disorder caused by multiple mtDNA deletions. The diagnosis is made with the triad of progressive external ophthalmoplegia, onset before the age of 20 years, and at least one of the following: short stature, retinitis pigmentosa, cerebellar ataxia, heart block, and increased CSF protein (>100 mg/dL). Chronic progressive external ophthalmoplegia may be an isolated finding seen in some patients.
Patients with Kearns-Sayre syndrome have a gradual progression of symptoms and most will have cognitive regression by third or fourth decade of life. Most cases are sporadic.
An electrocardiogram is required to diagnose heart block, in which case, a pacemaker is needed. Pathologically, patients may have muscles with ragged red fibers and white matter showing spongy myelinopathy without gliosis or macrophage reactions.
Mitochondrial encephalopathy, lactic acidosis, and strokes is discussed in question 97. Myoclonic epilepsy with ragged red fibers is discussed in Chapter 5. Leigh disease is discussed in question 32. Myasthenia gravis is discussed in Chapter 10.
Fenichel GM. Clinical Pediatric Neurology: A Signs and Symptoms Approach, 6th ed. Philadelphia, PA: Saunders Elsevier; 2009.
Prayson RA, Goldblum JR. Neuropathology, 1st ed. Philadelphia, PA: Elsevier; 2005.
34. e
Congenital disorders of glycosylation (CDG), previously known as carbohydrate-deficient glycoprotein syndrome, are a group of genetic disorders inherited in an autosomal recessive fashion. These disorders affect multiple organ systems, especially the CNS. The defect is abnormal synthesis, transport, modification, and/or processing of the carbohydrate moieties or glycans of glycoproteins, therefore affecting protein components in many tissues.
Type I CDGs are caused by abnormal synthesis of these glycans. Clinical manifestations are widely variable, with multiple subtypes, including combinations of failure to thrive, developmental delay, dysmorphic features, hypotonia, ataxia, weakness, retinitis pigmentosa, short stature with skeletal abnormalities, polyneuropathy, stroke-like episodes, liver dysfunction, hypogonadism, and multisystem involvement. Lipodystrophy with prominent fat pads in the buttocks and suprapubic area and inverted nipples are distinctive features.
Type II CDGs are caused by abnormal processing and modification of glycans and lead to profound mental retardation but no cerebellar ataxia or peripheral neuropathy.
CDGs are characterized by the presence of a carbohydrate-deficient transferrin in the serum and CSF, and the analysis of the glycoforms of this protein is a diagnostic test. Genetic confirmation is available. Treatment is supportive.
Fenichel GM. Clinical Pediatric Neurology: A Signs and Symptoms Approach, 6th ed. Philadelphia, PA: Saunders Elsevier; 2009.
Kliegman RM, Behrman RE, Jenson HB, et al. Nelson Textbook of Pediatrics, 18th ed. Philadelphia, PA: Saunders Elsevier; 2007.
35. c
During the fifth week of gestation, within the lamina terminalis, the commissural plate develops and serves as a bridge over which axonal processes decussate. The corpus callosum is fully developed by week 17th of gestation. Abnormalities in the commissural plate lead to agenesis or dysgenesis of the corpus callosum. Agenesis of the corpus callosum may be complete or more commonly partial and may occur in isolation or more commonly is associated with dysplasias of other prosencephalon derivatives and aplasia of the cerebellar vermis. It may also be seen in a variety of syndromes, including Aicardi syndrome, or may be associated with metabolic disorders such as nonketotic hyperglycinemia. Clinical manifestations may be absent, or there may be subtle cognitive or perceptual abnormalities; developmental delay and seizures may also occur. Hypertelorism is seen in many. Coronal MRI shows vertically oriented lateral ventricles (“steer horn sign,” or “racing car sign” on axial images).
Bradley WG, Daroff RB, Fenichel GM, et al. Neurology in Clinical Practice, 5th ed. Philadelphia, PA: Elsevier; 2008.
Prayson RA, Goldblum JR. Neuropathology, 1st ed. Philadelphia, PA: Elsevier; 2005.
36. c
The cortex forms inside-out: cells that migrate out first form deeper layers, whereas cells that migrate later form more superficial structures.
The cerebral hemispheres form from an initially single layer of columnar epithelium located in the subependymal region known as the ventricular zone (or primary germinal zone). Cells in this layer are pluripotential and frequently divide. Another layer, the subventricular zone, consists of cells known as radial glia, which send out processes that extend all the way to the pial membrane at the cortical surface. Yet another, more superficial layer, the marginal zone, forms by the fifth week of gestation. Cells leave the marginal zone and migrate along the radial glial processes in two waves, one at approximately 6 weeks’ gestation and the other at 11 weeks’ gestation, peaking at weeks 12 to 14. Cells destined to form layers 2 to 6 of the cortex originate in this second wave. The cortex develops inside-out, such that cells in the earliest portion of migration form deeper layers, whereas cells that migrate later form more superficial structures.
Several factors influence neurogenesis (formation of neurons, including pyramidal neurons, cortical granular or stellate neurons, Betz cells, and others) and gliogenesis (formation of glia, including astrocytes, oligodendrocytes, ependyma, and microglia), as well as cell migration. These include regulatory proteins, transcription factors, and neurotransmitters, each varying with the stage of development. Cajal-Retzius cells are a group of stellate neurons found in the cortex prior to arrival of the first wave of cells. These cells secrete GABA and acetylcholine and express several products including LIS1 and Reelin, genes necessary for neuronal migration along radial glia. All six layers of the cortex are identifiable by 27 weeks’ gestation.
Bradley WG, Daroff RB, Fenichel GM, et al. Neurology in Clinical Practice, 5th ed. Philadelphia, PA: Elsevier; 2008.
Swaiman KF, Ashwal S, Ferriero DM. Pediatric Neurology Principles and Practice, 4th ed. Philadelphia, PA: Mosby Elsevier; 2006.
37. d
Hypopigmented streaks or patches that follow skin lines occur in Hypomelanosis of Ito (HI, discussed in question 43), not in incontinentia pigmenti.
The phakomatoses are a group of disorders that share in common the occurrence of dysplastic lesions and the tendency for tumor formation. They include neurofibromatosis, tuberous sclerosis, Sturge-Weber syndrome, epidermal nevus syndrome, and HI, in addition to a variety of other rare disorders, some of which are discussed briefly later.
In incontinentia pigmenti, skin involvement occurs in stages including vesiculobullous lesions present at birth, verrucous lesions that appear at approximately 6 weeks of age, then hyperpigmented lesions that appear “splashed-on.” Some patients have normal cognition and no evidence of neurologic dysfunction; neurologic manifestations include mental retardation, pyramidal tract findings, and ocular abnormalities. It is X-linked dominant in inheritance and affects only females; it is thought to be lethal in males. It results from a mutation in the NEMO gene, which encodes a protein involved in the nuclear factor κ B pathway.
Neurocutaneous melanosis is characterized by the presence of various types of congenital cutaneous lesions that are abnormally pigmented (such as giant hair pigmented nevi and congenital melanocytic nevi) in association with leptomeningeal melanoma. The leptomeningeal areas most often affected include those around the base of the brain, brain stem, and cerebellum. The pathophysiology of this disorder is not well defined; the cells of origin of the leptomeningeal melanomas are thought to be melanoblasts, pigmented cells normally found in the pia mater.
Parry-Romberg syndrome is marked by the occurrence of facial atrophy, which involves atrophy of facial bone, cartilage, and soft tissue, often with ipsilateral loss of eyelashes, eyebrows, and scalp hair. This begins typically after birth or in early childhood and the atrophy ceases by the third decade of life. Neurologic manifestations include headaches, Horner syndrome, seizures, and hemiparesis. Patients with Parry-Romberg syndrome are at increased risk for a variety of benign tumors.
In Maffucci syndrome, multiple endochondromas (tumors of cartilage) occur, in association with secondary hemangioma formation, and various skin findings including vitiligo and café au lait spots. These endochondromas grow over time, leading to disfigurement and skeletal abnormalities. Neurologic manifestations result from the association of this syndrome with various CNS tumors, including CNS teratomas and pituitary adenomas, as well as compression of nervous system structures by the endochondromas, such as cerebral compression by calvarial endochondromas.
In von Hippel-Lindau disease, multiple retinal, cerebellar, and spinal hemangioblastomas occur. Benign hemangiomas and cysts in various body parts can also occur. Cutaneous manifestations are not a feature of this disorder. This disorder is autosomal dominant and results from a mutation in a gene on chromosome 3 that encodes for a tumor suppressor protein.
Bradley WG, Daroff RB, Fenichel GM, et al. Neurology in Clinical Practice, 5th ed. Philadelphia, PA: Elsevier; 2008.
Swaiman KF, Ashwal S, Ferriero DM. Pediatric Neurology Principles and Practice, 4th ed. Philadelphia, PA: Mosby Elsevier; 2006.
38. d
Periventricular nodular heterotopia is a disorder of neuronal migration.
Malformations of cortical development are divided into three categories based on the underlying cause: disorders of cell proliferation, migration, or cortical organization. Disorders of neuronal proliferation include some forms of megalencephaly (see questions 39 and 40) and focal cortical dysplasia. Disorders of neuronal migration include lissencephaly, periventricular nodular heterotopias, and others. Disorders of cortical organization include polymicrogyria and schizencephaly.
Focal cortical dysplasia may be seen in isolation or in the setting of tuberous sclerosis. One type of focal cortical dysplasia is characterized pathologically by the presence of balloon cells, which result from proliferation of abnormal cells within the germinal matrix. This is a common pathology in focal epilepsy, with the seizures often being intractable to medical therapy.
Swaiman KF, Ashwal S, Ferriero DM. Pediatric Neurology Principles and Practice, 4th ed. Philadelphia, PA: Mosby Elsevier; 2006.
39. b, 40. c
Figure 14.3 shows left hemispheric hemimegalencephaly, which frequently leads to contralateral hemiparesis.
Microcephaly is defined as a head circumference less than 2 standard deviations below the mean. A variety of causes of microcephaly exist. It can be a normal variant that is often hereditary, without clinical implications. When pathologic, causes include in utero infections, toxin exposure (such as alcohol, tobacco, and prescription drugs such as chemotherapeutic agents and antiepileptics), hypoxic-ischemic injury, birth trauma, and metabolic disorders such as prolonged hypoglycemia. A wide variety of hereditary disorders including enzyme deficiencies can lead to microcephaly, as can chromosomal abnormalities. Clinical manifestations depend on the underlying cause and can range from none (asymptomatic microcephaly) to severe developmental delay and seizures.
Macrocephaly is defined as a head circumference greater than 2 standard deviations above the mean. Macrocephaly may be a normal variant that is often hereditary, may result from increased CSF, as in hydrocephalus due to a variety of causes, from mass lesions such as tumors or subdural hematomas, or may result from megalencephaly, an oversized brain (brain weight greater than 2 standard deviations above the mean). Causes of megalencephaly include storage diseases such as mucopolysaccharidoses or Tay-Sachs disease, Canavan disease, Alexander disease, genetic disorders including Sotos syndrome, and others. In the latter disorders, eventual cell loss with subsequent atrophy typically occurs. Megalencephaly may also be a benign familial finding. Clinical manifestations depend on the underlying cause. Neurologic deficits may be absent in the benign familial form. Hemimegalencephaly, or enlargement of only one brain hemisphere, as depicted in Figure 14.3, invariably presents with seizures and hemiparesis. Hemimegalencephaly is associated with various genetic disorders, including Beckwith-Wiedemann syndrome, which is characterized by gigantism, macroglossia, and midline abdominal wall defects.
Swaiman KF, Ashwal S, Ferriero DM. Pediatric Neurology Principles and Practice, 4th ed. Philadelphia, PA: Mosby Elsevier; 2006.
41. a, 42. b
The history and imaging findings depicted in question 41 are consistent with Miller-Dieker syndrome, a form of lissencephaly type I. In lissencephaly type I (classic lissencephaly), the cortex is thick but consists of only four layers or less.
Lissencephaly is a malformation of cortical development resulting from abnormal neuronal migration resulting in impaired formation of gyri. It is characterized by the presence of reduced cortical gyration and, in the most severe form, no gyri, or agyria, resulting in a smooth brain.
In classic lissencephaly, or lissencephaly type I, the cortex is thick but consists of only four layers (or less often two or three layers, as opposed to the normal six neocortical layers). Associated malformations may include agenesis of the corpus callosum or hypoplasia of the cerebellum, with sparing of the thalamus and basal ganglia.
Miller-Dieker syndrome (MDS), one form of lissencephaly type I, is characterized by lissencephaly associated with microcephaly, typical facies including micrognathia (small jaw), low-set ears, thin upper lip, and other features. Clinical manifestations include global developmental delay, hypotonia and later spasticity, and intractable seizures. Life expectancy is often not beyond 1 year. MDS has been associated with microdeletions on chromosome 17 in the LIS1 gene. LIS1 gene encodes a protein involved in regulation of microtubules and dynein function, and mutations interfere with microtubule-directed migration of neurons from the ventricular zone. Mutations in LIS1 gene can also lead to isolated lissencephaly (so-called isolated lissencephaly sequence, without other features of MDS).
X-linked lissencephaly is another form that results from mutations in the DCX gene on chromosome X when occurring in males. This gene encodes for the protein doublecortin, which is involved in microtubule organization and stabilization. In another form of lissencephaly that results from mutations in the gene ARX, which encodes for a transcription factor involved in nonradial migration of cortical interneurons, the basal ganglia are abnormal in addition to the cortex and corpus callosum. In some forms of lissencephaly, there may be an anterior to posterior (or vice versa) gradient of gyral formation (e.g., with some gyral formation in the anterior or posterior aspects of the brain).
Cobblestone lissencephaly, also known as lissencephaly type II, is seen in several disorders including Walker-Warburg syndrome, Fukuyama muscular dystrophy, and muscle-eye-brain disease of Santavuori. In polymicrogyria, there are excess, abnormal gyri. Subcortical band heterotopia is discussed in questions 44 and 45.
Bradley WG, Daroff RB, Fenichel GM, et al. Neurology in Clinical Practice, 5th ed. Philadelphia, PA: Elsevier; 2008.
Spalice A, Parisi P, Nicita F, et al. Neuronal migration disorders: clinical, neuroradiologic and genetic aspects. Acta Paediatr. 2009; 98:421–433.
Swaiman KF, Ashwal S, Ferriero DM. Pediatric Neurology Principles and Practice, 4th ed. Philadelphia, PA: Mosby Elsevier; 2006.
43. c
Hypomelanosis of Ito (HI) is a neurocutaneous disorder that involves multiple organ systems including the skin, eyes, brain, and skeleton. The cutaneous features of HI include multiple hypopigmented streaks or patches that are present at birth and in some follow Blaschko lines (skin lines that form specific patterns over the trunk and extremities, such as a V shape over the back and linear lines over the limbs). These lesions are either present at birth or emerge in infancy and are best detected under ultraviolet light in light-skinned children. The extent of the skin lesions does not correlate strongly with neurologic involvement.
Neurologic manifestations include mental retardation that is seen in some but not all patients, and may be severe in some cases. Seizures are the other main neurologic manifestation. Macrocephaly or microcephaly may be seen, with the former being more common. Cerebral and cerebellar hypoplasia are also often seen, although various malformations of cortical development may occur in patients with HI, including hemimegalencephaly, lissencephaly, and polymicrogyria.
Other manifestations of HI include eye involvement (commonly, with a variety of findings including microphthalmia, cataracts, optic atrophy, and retinal detachment), skeletal hemihypertrophy, cleft lip and palate, and congenital heart disease such as tetralogy of Fallot.
Various karyotype abnormalities have been found in patients with HI, including autosomal mosaicism for aneuploidy or unbalanced translocations, mosaic trisomy 18, ring chromosome 22, and translocations involving the X chromosome. There is not a clear genotypic-phenotypic correlation.
The other options listed are also neurocutaneous syndromes but each with distinct cutaneous and other neurologic findings. Neurocutaneous melanosis and incontinentia pigmenti are discussed in question 37, Sturge-Weber syndrome in questions 80 and 81, and epidermal nevus syndrome in question 93.
Bradley WG, Daroff RB, Fenichel GM, et al. Neurology in Clinical Practice, 5th ed. Philadelphia, PA: Elsevier; 2008.
Swaiman KF, Ashwal S, Ferriero DM. Pediatric Neurology Principles and Practice, 4th ed. Philadelphia, PA: Mosby Elsevier; 2006.
44. c, 45. e
The disorder depicted is subcortical band heterotopia. The neuronal migration disorder associated with muscular dystrophy is cobblestone lissencephaly (lissencephaly type II, discussed in question 49).
The lissencephaly syndromes result from neuronal migration abnormalities and include subcortical band heterotopia, or double cortex, in which there is relatively normal cortex with an underlying band of white matter, underneath which is a band of gray matter (as shown in Figure 14.4). This disorder results from a mutation in the DCX gene on chromosome X, which encodes for the protein doublecortin, which is involved in microtubule organization and stabilization. The same mutation can lead to classic lissencephaly (smooth brain, agyria, or pachygyria) when occurring in males. This difference in manifestations in females as compared with males is thought to result from lyonization (random X inactivation) in females, such that in neurons in which the mutated gene is inactivated, normal migration occurs. Clinical features include intractable seizures, microcephaly, hypotonia, spastic quadriparesis, recurrent aspirations necessitating feeding tube, and shortened life expectancy.
Lissencephaly type I is discussed in questions 41 and 42; it is characterized by agyria or pachygyria rather than the presence of two bands of gray matter separated by a band of white matter.
Cobblestone lissencephaly (rather than subcortical band heterotopia), or lissencephaly type II, is seen in several disorders, including Walker-Warburg syndrome, Fukuyama muscular dystrophy, and muscle-eye-brain disease of Santavuori. In polymicrogyria, there are excess, abnormal gyri (discussed in question 56).
Bradley WG, Daroff RB, Fenichel GM, et al. Neurology in Clinical Practice, 5th ed. Philadelphia, PA: Elsevier; 2008.
Spalice A, Parisi P, Nicita F, et al. Neuronal migration disorders: clinical, neuroradiologic, and genetic aspects. Acta Paediatr. 2009; 98:421–433.
Swaiman KF, Ashwal S, Ferriero DM. Pediatric Neurology Principles and Practice, 4th ed. Philadelphia, PA: Mosby Elsevier; 2006.
46. e, 47. b, 48. b
The cutaneous findings shown in Figures 14.5, 14.6, and 14.7 are seen in neurofibromatosis type 1 (NF1), or von Recklinghausen disease. NF1 is a neurocutaneous disorder that involves multiple organs including the skin, brain, eyes, and bones. Figure 14.5 depicts hyperpigmented macules known as café au lait spots. Figure 14.6 depicts cutaneous neurofibromas, and Figure 14.7 depicts axillary freckling. The patients depicted in questions 46 and 48 meet diagnostic criteria for NF1.
In order for a diagnosis of NF1 to be made, two or more of the following must be present:
– Six or more café au lait macules measuring more than 5 mm in diameter in prepubertal children or more than 15 mm in diameter postpuberty
– Two or more cutaneous neurofibromas or one plexiform neurofibroma (see question 54)
– Inguinal or axillary freckling (as shown in Figure 14.7)
– Optic nerve gliomas
– Two or more Lisch nodules
– NF1 diagnosed in a first-degree relative
– Sphenoid wing dysplasia, pseudoarthrosis, or cortical thinning of long bones
Café au lait spots may be seen in localized, segmental form in isolation in the setting of post-somatic mutations in the NF1 gene.
In contrast to café au lait spots, ashleaf spots are hypopigmented and are seen in tuberous sclerosis complex (TSC, discussed in questions 61 to 63). Shagreen patches are connective tissue hamartomas also seen in tuberous sclerosis. Plexiform neurofibromas are discussed in question 54.
The other disorders listed are also neurocutaneous disorders, collectively known as the phakomatoses. Unlike NF1, neurofibromatosis type 2 (NF2) is not diagnosed by the presence of specific cutaneous findings but rather by other criteria (see questions 85 and 86). Sturge-Weber syndrome is marked by the presence of hemangiomas. TSC and epidermal nevus syndrome have specific cutaneous findings that differ from NF1.
Bradley WG, Daroff RB, Fenichel GM, et al. Neurology in Clinical Practice, 5th ed. Philadelphia, PA: Elsevier; 2008.
Swaiman KF, Ashwal S, Ferriero DM. Pediatric Neurology Principles and Practice, 4th ed. Philadelphia, PA: Mosby Elsevier; 2006.
49. e
The cobblestone lissencephalies are mainly autosomal recessive in inheritance although X-linked forms have also been identified.
Cobblestone lissencephaly, or lissencephaly type II, is a neuronal migration disorder in which the cortical gray matter has reduced number of gyri and sulci that appear like cobblestones. There is reduced and abnormal white matter, and the cerebellum and brain stem are hypoplastic. Microscopically, the cortex has no recognizable layers. Hydrocephalus frequently occurs because of the presence of fibroglial bands and abnormal vascular channels disrupting the subarachnoid space. Cobblestone lissencephaly is seen in three autosomal recessive syndromes: Walker-Warburg syndrome, Fukuyama muscular dystrophy, and muscle-eye-brain disease of Santavuori. These three syndromes share similar clinical features, including microcephaly, global developmental delay, epilepsy, hypotonia, and evidence of muscular dystrophy.
Walker-Warburg is the most severe form. Several gene mutations have been identified in patients with Walker-Walburg and muscle-eye-brain disease of Santavuori. Eye abnormalities in the latter two conditions include retinal hypoplasia, optic nerve atrophy, glaucoma, and cataracts. Muscle-eye-brain disease of Santavuori is seen most commonly in Finland but also occurs in other European populations. Fukuyama muscular dystrophy, which results from a mutation in the gene fukutin, is most common in Japan and is rare in other populations. It has the least amount of cortical abnormalities, but the muscular dystrophy is severe with progressive weakness and joint contractures. An elevated level of serum creatine kinase is seen.
Bradley WG, Daroff RB, Fenichel GM, et al. Neurology in Clinical Practice, 5th ed. Philadelphia, PA: Elsevier; 2008.
Spalice A, Parisi P, Nicita F, et al. Neuronal migration disorders: clinical, neuroradiologic and genetic aspects. Acta Paediatr. 2009; 98:421–433.
Swaiman KF, Ashwal S, Ferriero DM. Pediatric Neurology Principles and Practice, 4th ed. Philadelphia, PA: Mosby Elsevier; 2006.
50. e
This patient has homocystinuria, in which methionine levels in the plasma and CSF are elevated.
Homocysteine, when condensed with serine, can be converted to cystathionine, a step catalyzed by the enzyme cystathionine-β-synthase. Cystathionine is subsequently converted to cysteine. Homocysteine can also be methylated to methionine, a step that requires vitamin B12.
Homocystinuria is an autosomal recessive condition caused by a deficiency of the enzyme cystathionine-β-synthase. Deficiency of this enzyme produces an elevation of blood and urine levels of homocysteine and methionine. There are two variants of this condition, one that is pyridoxine responsive and another that is not, suggesting some residual activity of the cystathionine-β-synthase in the former type.
Patients with homocystinuria are normal at birth but will later have developmental delay and mental retardation. Some have seizures and psychiatric manifestations. Given the accumulation of homocysteine, collagen metabolism is affected, leading to involvement of other organs such as the eye, bones, and the vascular system. These patients have ectopia lentis and eventually may suffer lens dislocation. They have a marfanoid habitus and are tall and thin, with pectus carinatum, pes cavus, genu valgum, and osteoporosis. Vascular involvement is characterized by intimal thickening of the blood vessel walls and high incidence of thromboembolism, including strokes that may occur at early ages. There is elevation of plasma homocysteine levels, urine homocysteine concentration, and methionine levels in the plasma and CSF. Cystathionine-β-synthase enzyme activity is reduced.
All patients should be first treated with pyridoxine, since there is a pyridoxine-responsive variant. Even if there is no response, patients should be given pyridoxine daily. All patients require a low-protein diet, and specifically a diet low in methionine with cysteine supplementation. Betaine is a substance that lowers plasma homocysteine level by promoting its conversion to methionine. Folate and vitamin B12 also promote the conversion of homocysteine to methionine and decrease the levels of homocysteine.
This condition is screened for by extended newborn screening, thus allowing for presymptomatic treatment in most patients with the classic or severe form of the disease.
Fenichel GM. Clinical Pediatric Neurology: A Signs and Symptoms Approach, 6th ed. Philadelphia, PA: Saunders Elsevier; 2009.
51. c, 52. b
Figure 14.8 shows Lisch nodules, or iris melanocytic hamartomas, that are pathognomonic for neurofibromatosis type 1 (NF1). Lisch nodules do not have any clinical implications beyond their occurrence in NF1; they do not cause symptoms or progress to other ophthalmologic abnormalities. They most commonly appear after the age of 6 years and most commonly in adolescence and young adulthood, and their absence does not exclude the diagnosis of NF1. Asymptomatic retinal hamartomas less commonly occur in NF1 as well. Congenital or childhood glaucoma is another ophthalmologic manifestation of NF1. The diagnostic criteria for NF1 are discussed in questions 46 to 48.
Kayser-Fleisher rings are seen in Wilson disease. Brushfield spots are white spots in the iris seen in Down syndrome. Iris colobomas (defects in the iris) are seen in a variety of disorders, including epidermal nevus syndrome and CHARGE syndrome (coloboma, heart defects, atresia of the choanae, retardation of development, genitourinary abnormalities, ear abnormalities), but not in NF1. Iris mamillations are hyperpigmented iris lesions that can be confused with Lisch nodules.
Bradley WG, Daroff RB, Fenichel GM, et al. Neurology in Clinical Practice, 5th ed. Philadelphia, PA: Elsevier; 2008.
Neurofibromatosis Conference Statement. National Institutes of Health Consensus Development Conference. Arch Neurol. 1988; 45:575–578.
Swaiman KF, Ashwal S, Ferriero DM. Pediatric Neurology Principles and Practice, 4th ed. Philadelphia, PA: Mosby Elsevier; 2006.
53. a
A heterotopia is a cluster of abnormally located neurons that are otherwise normal in morphology. Heterotopias result from abnormal neuronal migration. The most common form of heteropia is periventricular nodular heterotopia (also known as subependymal nodular heterotopia), located, as the name implies, near the lateral ventricles, but heterotopias can be found in various regions (such as subcortical nodular heterotopias, or transmantle heterotopias, which extend from the ventricles to the cortex).
In periventricular nodular heterotopia, neurons are thought to have never begun migration but rather remained in the subventricular area (where cortical neurons originate). This disorder is most often bilateral, but it can also be unilateral. In more than half of cases, this disorder results from mutations in the FLNa gene on chromosome X. This FLNa gene encodes a protein involved in actin cytoskeleton reorganization, and abnormalities in this protein lead to disruption in cell migration by impeding the generation of forces needed for cell movement. Periventricular nodular heterotopias may be seen in isolation or as part of a syndrome associated with multiple other anomalies. Epilepsy is a common clinical manifestation, with partial seizures being most common. Intelligence may be entirely normal; males are more likely to have developmental delay.
Spalice A, Parisi P, Nicita F, et al. Neuronal migration disorders: clinical, neuroradiologic and genetic aspects. Acta Paediatr. 2009; 98:421–433.
Swaiman KF, Ashwal S, Ferriero DM. Pediatric Neurology Principles and Practice, 4th ed. Philadelphia, PA: Mosby Elsevier; 2006.
54. e
Figure 14.9 depicts a plexiform neurofibroma. Plexiform neurofibromas enlarge in approximately half of patients, particularly when they are present prior to the age of 10 years.
Neurofibromas, seen in neurofibromatosis type 1 (NF1, discussed in questions 46 to 48), occur in two types: cutaneous neurofibromas, as shown in Figure 14.6, which originate in the dermis or adjacent layers, and plexiform neurofibromas, which originate in peripheral nerves. They consist predominantly of Schwann cells and fibroblasts but also contain mast cells. Plexiform neurofibromas may occur in the face and can be disfiguring; invasion into the overlying skin causes hypertrophy, hyperpigmentation, and thickening of the skin. Neurofibromas that arise from dorsal root ganglia can grow in a dumbbell shape, invading the spinal canal and leading to nerve root and even spinal cord compression. Neurofibromas can arise also in the gastrointestinal tract, leading to intestinal obstruction or gastrointestinal hemorrhage.
As mentioned, in approximately half of patients, plexiform neurofibromas enlarge and can become disfiguring when superficial, particularly when present from an early age (before the age of 10 years). These lesions should be monitored closely, since in a minority, they can undergo malignant degeneration into a malignant peripheral nerve sheath tumor.
Bradley WG, Daroff RB, Fenichel GM, et al. Neurology in Clinical Practice, 5th ed. Philadelphia, PA: Elsevier; 2008.
Swaiman KF, Ashwal S, Ferriero DM. Pediatric Neurology Principles and Practice, 4th ed. Philadelphia, PA: Mosby Elsevier; 2006.
55. b
Urea cycle disorders are a group of conditions caused by deficiency of enzymes responsible for urea synthesis and more importantly ammonia and ammonia-containing compound removal. Ornithine transcarbamylase (OTC) deficiency is the most common and is X-linked. The other ones are inherited in an autosomal recessive fashion and include carbamyl phosphate synthetase deficiency, argininosuccinic acid synthetase deficiency, argininosuccinic acid lyase deficiency, and arginase deficiency. These enzyme defects will lead to hyperammonemia, which is the main cause of the clinical manifestations. Ammonia induces glutamine accumulation, which leads to astrocyte swelling and brain edema.
The triad of hyperammonemia, encephalopathy, and respiratory alkalosis is suggestive of this group of disorders. These patients have very high concentrations of ammonia, no evidence of organic acidemias, normal anion gaps, and normal serum glucose level. Amino acid analyses help to distinguish specific urea cycle disorders, and enzyme activity can be evaluated in liver biopsy specimens.
Clinical manifestations often begin in the newborn period with progressive lethargy, vomiting, hypotonia, and seizures. Higher levels of ammonia may be associated with coma and eventually death. Females with OTC deficiency, and some patients with partial deficiencies, may have late-onset presentations and become symptomatic after large amounts of protein ingestion or intercurrent illnesses. Arginase deficiency does not cause symptoms in the newborn, whereas newborn presentation is common in the rest of urea cycle disorders.
Treatment includes limitation of nitrogen intake in the diet and administration of essential amino acids. Calories can be supplied with carbohydrates and fat. During acute episodes, sodium benzoate and sodium phenylacetic acid are used, and sometimes dialysis may be required. Mannitol has been used for brain edema and increased intracranial pressure. Long-term treatment with low-protein diet and essential amino acids, as well as arginine supplementation (except in arginase deficiency), may stabilize the neurologic deterioration.
Fenichel GM. Clinical Pediatric Neurology: A Signs and Symptoms Approach, 6th ed. Philadelphia, PA: Saunders Elsevier; 2009.
56. d
Porencephaly is distinguished from schizencephaly in that the cleft of schizencephaly is lined uniformly with gray matter. Porencephalic cysts are not due to malformations of cortical development but are rather CSF-filled cysts that most often result from in utero infarction or other insult.
In malformations of cortical organization, neurons migrate relatively normally but formation of the cortical layers or cortical-cortical connections are abnormal. These thus occur later in gestation. Malformations of cortical organization include polymicrogyria, in which there are excessive abnormal gyri that are small and separated by shallow sulci, and schizencephaly, a deep cleft that extends from the pial surface to the ventricle and is lined with cortex. These often co-occur in the same patient.
Polymicrogyria can be unilateral or bilateral, generalized, perisylvian, predominantly frontal, or in a variety of other patterns. The perisylvian form is the most common. Polymicrogyria often occurs as part of various syndromes, either sporadically or in familial forms. Perisylvian polymicrogyria occurs particularly in the setting of peroxisomal disorders such as Zellweger syndrome. Several genetic mutations have been identified in association with polymicrogyria. Clinical manifestations depend on the location and the extent of the abnormality; epilepsy is common.
Schizencephaly, or cleft brain, most often occurs in the perisylvian region but can occur anywhere. In closed-lip schizencephaly, the cerebral cortical walls on either side of the cleft are in contact. In open-lipped schizencephaly, the two walls are separated by CSF. Schizencephaly is most often an isolated finding or is associated with polymicrogyria but can rarely be seen in patients with septo-optic dysplasia (see question 30). Mutations in homeobox genes, which encode for transcription factors expressed during different times of embryologic development and modulate neuronal proliferation and migration, may be implicated in schizencephaly.
Prayson RA, Goldblum JR. Neuropathology, 1st ed. Philadelphia, PA: Elsevier; 2005.
Spalice A, Parisi P, Nicita F, et al. Neuronal migration disorders: clinical, neuroradiologic and genetic aspects. Acta Paediatr. 2009; 98:421–433.
Swaiman KF, Ashwal S, Ferriero DM. Pediatric Neurology Principles and Practice, 4th ed. Philadelphia, PA: Mosby Elsevier; 2006.
57. c
Schwannomas and ependymomas rarely occur in neurofibromatosis type 1 (NF1); they more commonly occur in neurofibromatosis type 2 (NF2).
Thickening of the left optic nerve as seen in Figure 14.10 likely represents an optic nerve glioma. Optic nerve gliomas are the most common tumor of the CNS seen in NF1 patients and may be unilateral or bilateral. These are often low-grade lesions but may cause symptoms due to mass effect, including diplopia, pain, and proptosis (eye protrusion). Optic pathway gliomas can occur anywhere along the optic pathways, from the optic nerve to the optic radiations. Optic chiasm gliomas may present with precocious puberty when they lead to pressure on diencephalic structures. Because these lesions are often benign, serial imaging over time is often used to monitor these tumors, with chemotherapy, radiation, or surgery instituted as necessary.
Nonspecific subcortical hyperintensities (in the basal ganglia, thalamus, and other regions) are common in NF1 patients and are of unclear etiology and significance.
Figure 14.10 shows enlargement of the pons, which likely represents a low-grade glioma. As mentioned, schwannomas and ependymomas can occur in NF1, but this is rare; they more commonly occur in NF2. NF1 patients are at an increased risk of cerebral, cerebellar, and brain stem astrocytomas. NF1 patients are also at an increased risk for leukemia.
Bradley WG, Daroff RB, Fenichel GM, et al. Neurology in Clinical Practice, 5th ed. Philadelphia, PA: Elsevier; 2008.
Swaiman KF, Ashwal S, Ferriero DM. Pediatric Neurology Principles and Practice, 4th ed. Philadelphia, PA: Mosby Elsevier; 2006.
58. a
The patient’s history is consistent with autism. Autistic spectrum disorder is characterized by the triad of impaired social skills, impaired communication skills, and restricted repertoire of activities and interests. Impaired communication skills entail both verbal and nonverbal skills. Social skill abnormalities include lack of eye contact or atypical eye contact, failure to develop peer relationships, and lack of emotional reciprocity. Motor stereotypies, repetitive voluntary behaviors such as those described in the case, lack of flexibility, persistent preoccupation with specific objects or part of an object, and ritualistic patterns of behavior occur. This spectrum is broad, ranging from high-functioning individuals as seen in Asperger disorder to nonverbal children with little interaction and sometimes no language skills. Cognitive delay is not a diagnostic criterion but may be an associated feature, although supranormal IQs may occur in some. Some improvements occur in adolescence, although seizures, mood disorders, or other comorbidities may also emerge.
A genetic basis has been postulated on the basis of high concordance rates among monozygotic twins and increased incidence in families with one child with autism. Neuropathology seen in patients with autism include under-development of limbic structures and reduced cerebellar Purkinje cells. Several genetic and metabolic disorders have been associated with autism, including neurofibromatosis, Down syndrome, fetal alcohol syndrome, and peroxisomal disorders. A diagnostic workup for these disorders based on the patient’s history and examination is indicated.
This patient does not meet diagnostic criteria for schizophrenia (see Chapter 13), and the history is not consistent with depression, particularly given his age. Similarly, a diagnosis of personality disorder (see Chapter 13) cannot be made at this time, and although some of the personality disorders include rigid behavior, the symptom complex presented is more consistent with autism.
American Psychiatric Association. Diagnostic and Statistical Manual of Mental Disorders: DSM-IV-TR, 4th ed, text revision. Washington, DC: American Psychiatric Association; 2000.
Bradley WG, Daroff RB, Fenichel GM, et al. Neurology in Clinical Practice, 5th ed. Philadelphia, PA: Elsevier; 2008.
59. c
In Down syndrome, or trisomy 21, the frontal lobes are small and under-developed, and the superior temporal gyri are small and thin.
Developmental delay is defined by performance on standardized tests of function, that is, 2 standard deviations below the mean. Mental retardation is a diagnosis made on the basis of testing intelligence quotient (IQ) and is characterized as mild, moderate, or severe on the basis of the IQ, the degree of impairment, and the level of assistance in daily activities and other activities that are required. Mild mental retardation is defined by an IQ of 55 to 70, whereas severe mental retardation is defined by an IQ of 25 to 40. A myriad of causes for developmental delay exist, including but not limited to genetic disorders, toxin exposure, and metabolic disorders. Some causes of mental retardation due to gross chromosomal abnormalities are discussed later. Some of the other genetic causes of mental retardation are discussed in questions 64 and 65. Some of the acquired causes are discussed in question 68.
Down syndrome, or trisomy 21, results from trisomy of the 21st chromosome or, less commonly, chromosomal translocations. Diagnosis is made in the majority through karyotyping. Increased maternal age is a risk factor. The frontal lobes are small and under-developed, and the superior temporal gyri are small and thin. Clinical features include presence of medial epicanthal folds, slanting palpebral fissures, micrognathia (small mouth) leading to an apparently large tongue, the so-called simian crease (in which there is a single palmar crease), Brushfield spots (white spots of depigmentation in the iris), clinodactyly (incurving of the fingers), short stature, and other features. In addition to varying degrees of mental retardation, seizures, hematologic malignancies, and congenital heart defects occur. Early dementia with Alzheimer type pathology is seen, as the β-amyloid gene is on chromosome 21. These patients are at risk of cervical spinal cord compression due to atlantoaxial instability.
Trisomy 13 or Patau syndrome is characterized by microcephaly, microphthalmia, iris coloboma, low-set ears, cleft lip and palate, polydactyly (excess number of fingers), prominence of the heels, and cardiac abnormalities. Life expectancy is typically not beyond early childhood.
Trisomy 18 is characterized by microcephaly, ptosis, overlapping of the third finger over the second finger, rocker-bottom feet, umbilical hernia, congenital heart disease, and other findings. Life expectancy is typically not beyond early infancy.
In Klinefelter syndrome, two X chromosomes are present in a male: XXY. Clinical features include mental retardation, a wide arm span, high-pitched voice, gynecomastia (enlarged breasts), and small testes.
Ropper AH, Samuels MA. Adams and Victor’s Principles of Neurology, 9th ed. New York, NY: McGraw-Hill; 2009.
60. c
The history depicted in question 60 is consistent with Rett syndrome, a syndrome of motor and cognitive regression with eventual severe disability. The presentation is one of initially normal development with subsequent regression at approximately 6 to 18 months of age. Hand wringing and other motor stereotypies are a classic feature; patients with Rett syndrome often place their hands in their mouth or may hold their hands fisted, with their fingers flexed over their thumb. Arrest of head growth with eventual microcephaly, seizures, scoliosis, dysautonomia including respiratory dysfunction with apneas, and spasticity emerge as the disease progresses. It results from various types of mutations in the gene that encodes methyl CpG binding protein 2 (MeCP2), which is involved in binding to methylated DNA, modulating gene expression. It is most often seen in females, and it is thought to be most often fatal in boys, although cases of MeCP2 mutation in male infants and children with mental retardation and other features have been identified. Another disorder of severe mental retardation in females results from a mutation in the gene CDKL5.
Chahrour M, Zoghbi Y. The story of Rett syndrome: from clinic to neurobiology. Neuron. 2007; 56(3):422–437.
Ropper AH, Samuels MA. Adams and Victor’s Principles of Neurology, 9th ed. New York, NY: McGraw-Hill; 2009.
61. a, 62. c, 63. a
Given the combination of cutaneous findings shown, ashleaf spots in Figure 14.11, and facial angiofibromas in Figure 14.12, this patient’s diagnosis is tuberous sclerosis complex (TSC). TSC is a neurocutaneous disorder that affects multiple organ systems including the skin, brain, heart, lungs, and kidneys among others.
The diagnosis of TSC can be made when two of the following major criteria or one major and two minor criteria are present:
Major criteria: facial angiofibroma (Figure 14.12) or forehead plaque (Figure 14.13); periungual, ungual, or subungual fibroma (Figure 14.14); shagreen patch; more than three hypomelanotic macules (including ashleaf spots, Figure 14.11); retinal hamartomas; cortical tubers; subependymal nodules (see Figure 14.17); subependymal giant cell astrocytoma (see Figure 14.15), cardiac rhabdomyoma, lymphangiomyomatosis, or renal angiomyolipoma.
Minor criteria: dental pits, rectal hamartomatous polyps, bone cysts, radial migration lines in the cerebral white matter, gingival fibromas, nonrenal hamartomas, retinal achromic patches, confetti skin lesions (hypopigmented, stippled lesions on the extremities), and multiple renal cysts.
Figure 14.11 shows three hypopigmented (hypomelanotic) patches known as ashleaf spots. These are not specific for TSC but occur in the majority of patients with TSC and are often present at birth but become more obvious with age; in newborns, examination under ultraviolet light makes them more apparent. Tinea corporis, a fungal infection, also leads to circular lesions on the trunk, but tinea has a different appearance.
Figure 14.12 shows facial angiofibromas, also known as adenoma sebaceum, which are hamartomatous lesions consisting of vascular and connective tissue. They often become apparent in early childhood as papules in the malar region and become more apparent and numerous with time: they characteristically progress to involve the nasolabial folds and sometimes the chin. Facial angiofibromas may resemble acne if not examined closely and if other historical and clinical features are not taken into consideration. Shagreen patches are cutaneous hamartomas that have irregular borders and are raised. Shagreen patches most often occur on the trunk (back or flank). These lesions may not be present in childhood but may appear later in life. Hamartomas can occur in a variety of body parts in TSC including the retina and gastrointestinal tract.
The other disorders listed in the choices are also neurocutaneous disorders but with distinct cutaneous and other clinical features and with specific diagnostic criteria. Cutaneous neurofibromas are shown in Figure 14.6 and café au lait spots in Figure 14.5; these occur in neurofibromatosis (discussed in questions 46 to 48). Hypomelanosis of Ito is associated with hypopigmented lesions that may be patchy but more often follow skin lines, in streaks (discussed in question 43). Sturge-Weber syndrome is discussed in questions 80 and 81 and epidermal nevus syndrome in question 93.
Bradley WG, Daroff RB, Fenichel GM, et al. Neurology in Clinical Practice, 5th ed. Philadelphia, PA: Elsevier; 2008.
Roach ES, Gomez MR, Northrup H. Tuberous sclerosis complex consensus conference: revised clinical diagnostic criteria. J Child Neurol. 1998; 13(12):624–628.
Swaiman KF, Ashwal S, Ferriero DM. Pediatric Neurology Principles and Practice, 4th ed. Philadelphia, PA: Mosby Elsevier; 2006.
64. e
There are a variety of causes of mental retardation. Fragile X syndrome is the most common inherited form of mental retardation. It results from expansion of the CGG repeat in the familial mental retardation 1 gene on chromosome X. The function of this gene is yet to be fully elucidated (as of 2010). Because this gene is on the X chromosome, and because random X inactivation (lyonization) occurs in females, females are less often and less severely affected. Clinical manifestations in males include an elongated face, with a high forehead and elongated jaw, and protuberant ears and enlarged testes. The degree of mental retardation ranges from mild and subtle to severe. A family history of mental retardation in males may be present. In adults with a premutation, other neurologic manifestations may occur (see Chapter 6).
Ropper AH, Samuels MA. Adams and Victor’s Principles of Neurology, 9th ed. New York, NY: McGraw-Hill; 2009.
65. b
There are various causes of mental retardation. Prader-Willi syndrome is a genetic disorder characterized by infantile hypotonia, short stature, dysmorphic facies including a wide mouth, small feet, developmental delay, hypogonadism, hyperphagia, and obesity. Infants feed poorly, but then become hyperphagic when older. Another disorder associated with developmental delay and obesity is Laurence-Moon syndrome.
Angelman syndrome is a genetically related disorder characterized by mental retardation, microcephaly, intractable epilepsy, ataxia, inappropriate laughter with a wide-based stance and flailing of the arms at the sides during ambulation (hence the name “happy puppet syndrome”), prominent jaw with thin upper lip, and impaired speech development. Another genetic disorder associated with developmental delay and a happy affect is William syndrome, which is associated with congenital heart disease.
Prader-Willi and Angelman syndrome both result from a microdeletion on chromosome 15q11-q13. The same mutation leads to Prader-Willi syndrome when it is paternally inherited and to Angelman syndrome when it is maternally inherited, so-called imprinting.
Cri-du-chat syndrome is characterized by an abnormal, cat-like cry, mental retardation, presence of epicanthal folds, hypertelorism (in which the eyes are farther apart than normal), micrognathia, and other features. It is caused by a deletion on chromosome 5p.
Rett syndrome is discussed in question 60.
Ropper AH, Samuels MA. Adams and Victor’s Principles of Neurology, 9th ed. New York, NY: McGraw-Hill; 2009.
66. b
In methylmalonic acidemia, propionyl-CoA accumulates, and its levels are increased.
Methylmalonic acidemia is an autosomal recessive condition caused by the deficiency of D-methylmalonyl-CoA mutase. This enzyme normally catalyzes the isomerization of L-methylmalonyl-CoA to succinyl-CoA, which then enters the Krebs cycle. Adenosylcobalamin is a required cofactor. A defect in this metabolic pathway leads to accumulation of propionyl-CoA, propionic acid, and methylmalonic acid, causing metabolic acidosis, hyperglycinemia, and hyperammonemia.
These children appear normal at birth, becoming symptomatic within the first week of life, manifesting with lethargy, failure to thrive, vomiting, dehydration, hypotonia, and respiratory distress. Hematologic abnormalities, including bleeding disorders leading to intracranial hemorrhage, may also occur. Patients who survive are left with mental retardation, developmental delay, and recurrent acidosis. The diagnosis should be suspected in newborn patients with metabolic acidosis, ketosis, hyperglycinemia, and hyperammonemia. Methylmalonic acid is elevated in plasma and urine, and the enzyme activity can be analyzed in fibroblasts.
These patients should be treated with protein restriction and supplementation of hydroxycobalamin and carnitine. Antibiotics are also helpful to reduce the production of propionic acid. In the acute setting, these patients need hydration and glucose administration with discontinuation of protein intake.
This condition is screened for by extended newborn screening, thus allowing for presymptomatic treatment in most patients with the classic or severe form of the disease.
Fenichel GM. Clinical Pediatric Neurology: A Signs and Symptoms Approach, 6th ed. Philadelphia, PA: Saunders Elsevier; 2009.
67. a
Figure 14.13 shows a forehead plaque. This is one of the cutaneous findings of tuberous sclerosis complex and is one of the major criteria for diagnosis (discussed in question 61 to 63). Neurofibromatosis type 1 is discussed in questions 46 to 48. Hypomelanosis of Ito is discussed in question 43. Sturge-Weber syndrome is discussed in questions 80 and 81 and epidermal nevus syndrome in question 93.
Bradley WG, Daroff RB, Fenichel GM, et al. Neurology in Clinical Practice, 5th ed. Philadelphia, PA: Elsevier; 2008.
Swaiman KF, Ashwal S, Ferriero DM. Pediatric Neurology Principles and Practice, 4th ed. Philadelphia, PA: Mosby Elsevier; 2006.
68. e
In utero exposure to alcohol has been associated with congenital heart disease.
There are a myriad of established or suspected exposures associated with mental retardation. Congenital infections such as cytomegalovirus and rubella lead to mental retardation with a variety of other features such as congenital blindness and periventricular calcifications. Environmental exposures including exposure to radiation during the first trimester of pregnancy have also been associated with mental retardation. Malnutrition during the first few months of life can lead to reversible cognitive delay. Maternal intake of alcohol, antiepileptics, vitamin A, and thalidomide are also linked to various nervous system and systemic malformations as well as mental retardation, as are several other agents.
Maternal alcohol intake is a common cause of acquired (nongenetic) mental retardation. Other features of fetal alcohol syndrome include behavioral problems such as hyperactivity, microcephaly, short palpebral fissure (a short distance between the inner and outer canthi of the eyes), presence of epicanthal folds, hypoplasia of the maxilla, micrognathia, and thin upper lip with flattened philtrum. Congenital heart disease is also part of fetal alcohol syndrome.
Bradley WG, Daroff RB, Fenichel GM, et al. Neurology in Clinical Practice. 5th ed. Philadelphia, PA: Elsevier; 2008.
Ropper AH, Samuels MA. Adams and Victor’s Principles of Neurology, 9th ed. New York, NY: McGraw-Hill; 2009.
69. d
Figure 14.14 shows a periungual fibroma. This is one of the cutaneous findings of tuberous sclerosis complex (TSC) and is one of the major criteria for diagnosis (discussed in questions 61 to 63). This should be distinguished from traumatic periungual hematomas, which are typically darker in color and resolve with time. Subungual fibromas occur under the nail and are also one of the major criteria for TSC. Cutaneous neurofibromas are shown in Figure 14.6. Angiokeratomas are purplish lesions seen in intertriginous regions in patients with Fabry disease.
Bradley WG, Daroff RB, Fenichel GM, et al. Neurology in Clinical Practice, 5th ed. Philadelphia, PA: Elsevier; 2008.
Roach ES, Gomez MR, Northrup H. Tuberous sclerosis complex consensus conference: revised linical diagnostic criteria. J Child Neurol. 1998; 13(12):624–628.
Swaiman KF, Ashwal S, Ferriero DM. Pediatric Neurology Principles and Practice, 4th ed. Philadelphia, PA: Mosby Elsevier; 2006.
70. a
Biotin is a water soluble B-complex vitamin that is necessary in multiple metabolic reactions including gluconeogenesis, fatty acid synthesis, catabolism of amino acids, and gene expression. Its deficiency can be caused by biotinidase deficiency. This enzyme normally cleaves biocytin, thereby recycling biotin, and also participates in processing of dietary protein-bound biotin, making it available to the free biotin pool. Biotinidase deficiency has previously been known as late-onset multiple carboxylase deficiency, and it is inherited in an autosomal recessive fashion.
Children with this enzymatic defect manifest with seizures, hypotonia, ataxia, developmental delay, hearing and visual loss, spastic paraparesis, and cutaneous abnormalities, including alopecia. Laboratory studies demonstrate ketoacidosis, hyperammonemia, and organic aciduria. The enzyme activity can be analyzed in serum.
Treatment is biotin supplementation, which prevents mental retardation and reverses most of the symptoms.
This condition is screened for by extended newborn screening, thus allowing for presymptomatic treatment in most patients with the classic or severe form of the disease.
Fauci AS, Braunwald E, Kasper DL, et al. Harrison’s Principles of Internal Medicine, 17th ed. New York, NY: McGraw-Hill; 2008.
Fenichel GM. Clinical Pediatric Neurology: A Signs and Symptoms Approach, 6th ed. Philadelphia, PA: Saunders Elsevier; 2009.
Wolf B. Biotinidase: its role in biotinidase deficiency and biotin metabolism. J Nutr Biochem. 2005; 16:441–445.
71. e
The molar tooth sign (discussed in question 23) is seen in various disorders associated with cerebellar hypoplasia, including Joubert syndrome, COACH syndrome (cerebellar vermis hypoplasia, oligophrenia, congenital ataxia, coloboma, and hepatic fibrocirrhosis), and Leber congenital amaurosis. However, this radiologic sign is not seen in Dandy-Walker malformation. Dandy-Walker malformation is characterized by cerebellar vermis hypoplasia, fourth ventricular cystic dilatation, and elevation of the torcula and the tentorium cerebelli. Posterior fossa enlargement and hydrocephalus are common. It is associated with various chromosomal anomalies. Neural tube defects, including encephalocele, and anomalies in other organ systems, including the heart, may occur. Another association is with facial hemangiomas.
Clinical presentation is variable and depends on the presence of hydrocephalus and associated anomalies. In severe forms, there is neonatal macrocephaly from hydrocephalus, brain stem dysfunction, and feeding and respiratory problems. Severe developmental delay and ataxia may be present. However, in other cases, no symptoms may be present and the malformation may be detected only incidentally on imaging in adulthood. Treatment involves surgical management of hydrocephalus and supportive care.
Swaiman KF, Ashwal S, Ferriero DM. Pediatric Neurology Principles and Practice, 4th ed. Philadelphia, PA: Mosby Elsevier; 2006.
72. a
Subependymal giant cell astrocytoma (SEGA) is an uncommon tumor, but it is seen almost exclusively in patients with tuberous sclerosis complex (TSC) and is a major diagnostic criterion for TSC (questions 61 to 63). This is a benign, low-grade astrocytoma but leads to symptoms due to mass effect and ventricular obstruction. Surgery is usually curative. Rapamycin may be of benefit in the treatment of SEGA. SEGA does not typically occur in the other neurocutaneous disorders described. Neurofibromatosis type 1 (NF1) is discussed in questions 46 to 48, neurofibromatosis type 2 (NF2) is discussed in questions 85 and 86, and Sturge-Weber syndrome is discussed in questions 80 and 81.
Bradley WG, Daroff RB, Fenichel GM, et al. Neurology in Clinical Practice, 5th ed. Philadelphia, PA: Elsevier; 2008.
Swaiman KF, Ashwal S, Ferriero DM. Pediatric Neurology Principles and Practice, 4th ed. Philadelphia, PA: Mosby Elsevier; 2006.
73. e
Betz cells are the upper motor neurons of the nervous system; these are large cells found in the primary motor cortex.
The majority of the cerebral cortex (>90%) consists of neocortex (also known as isocortex), a six-layered cortex (as opposed to more primitive cortex with less numbers of layers, as occurs in the paleocortex (found in olfactory and limbic cortices) and archicortex, seen in the hippocampus). The six layers of the neocortex are molecular layer (layer I, deepest), external granular cell layer (layer II), external pyramidal cell layer (layer III), internal granular cell layer (layer IV), internal pyramidal cell layer (layer V), and multiform layer (layer VI, most superficial). Corticocortical efferents (projections from one area of cortex to another) arise mainly in layer III and project predominantly to layers II and III. Layers I, IV, and VI receive the majority of thalamic efferents. Layer V gives rise to corticostriate projections (from cortex to striatum), and layer VI gives rise to corticothalamic projections (from cortex to thalamus).
Pyramidal cells constitute the largest number of cortical neurons and are found in highest numbers in cortical areas that give rise to efferents; granular (or stellate) cells function predominantly as cortical interneurons and predominate in regions involved in sensory function or integration (secondary association cortices, etc.). Betz cells are the upper motor neurons of the nervous system; these are large cells found in layer V of the primary motor cortex.
Formation of gyri and sulci normally occurs between weeks 20 and 36 of gestation. Abnormalities in this process can lead to a variety of malformations of cortical development.
Prayson RA, Goldblum JR. Neuropathology, 1st ed. Philadelphia, PA: Elsevier; 2005.
74. a
This patient has Gaucher disease, which is inherited in an autosomal recessive fashion and is caused by deficiency of the enzyme glucocerebrosidase (acid β-glucosylceramidase) leading to lysosomal accumulation of glucocerebrosides (glucosylceramide). It is caused by mutations in the gene GBA on chromosome 1q21 and is more common in Ashkenazi Jews.
There are three phenotypes:
– Type 1 is the most common and does not involve the CNS. It is characterized by hepatosplenomegaly with anemia and thrombocytopenia, skeletal involvement, and pulmonary infiltrates.
– Type 2 has its onset before the age of 2 years, with psychomotor involvement, spasticity, choreoathetosis, oculomotor abnormalities, and progresses to death by 2 to 4 years of age. These patients may also have hepatosplenomegaly, hydrops fetalis, and cutaneous changes.
– Type 3 begins after the age of 2 years and progresses slowly, with hepatosplenomegaly, psychomotor deterioration, spasticity, ataxia, and oculomotor involvement.
The diagnosis can be made with an analysis of the enzyme β-glucosylceramidase or glucocerebrosidase in leukocytes. This enzyme can also be tested for in amniocytes and through chorionic villous sampling, allowing for prenatal diagnosis.
Gaucher cells are caused by the lysosomal storage of glucocerebroside in macrophages. These cells are found in the liver, spleen, lymph nodes, and bone marrow, and have large a cytoplasm with striated appearance, what has been likened to “wrinkled tissue paper.” In the CNS, the brain stem and deep nuclei are most severely affected, and neuronal degeneration is seen, likely from neurotoxic action of glucosylsphingosine.
Enzyme replacement with imiglucerase can be effective for liver and spleen involvement and for the hematologic abnormalities. Type 3 may benefit from bone marrow transplantation.
Fenichel GM. Clinical Pediatric Neurology: A Signs and Symptoms Approach, 6th ed. Philadelphia, PA: Saunders Elsevier; 2009.
Prayson RA, Goldblum JR. Neuropathology, 1st ed. Philadelphia, PA: Elsevier; 2005.
75. e
Figure 14.16 shows multiple hyperintense lesions in the cortex and gray-white junction. These are cortical tubers, also known as cortical hamartomas, findings seen in tuberous sclerosis complex (TSC). Cortical tubers contain large bizarre neurons, abnormal glia, predominantly astrocytes, and hypomyelinated axons. These lesions are not premalignant.
CNS manifestations of TSC include mental retardation, although up to half of the patients with TSC have normal intelligence. Seizures occur in the majority of TSC patients; the majority of patients with TSC and mental retardation will have seizures, but not all TSC patients with seizures will have mental retardation. A variety of seizure types may occur in patients with TSC; TSC is the most common cause of infantile spasms and, in such cases, treatment with vigabatrin is often of benefit. Other common neuropsychiatric manifestations of TSC include behavioral problems including attention-deficit/hyperactivity disorder and learning disabilities. The burden of cortical tubers correlates to some extent with cognitive function and presence, frequency, and severity of seizures.
Bradley WG, Daroff RB, Fenichel GM, et al. Neurology in Clinical Practice, 5th ed. Philadelphia, PA: Elsevier; 2008.
Swaiman KF, Ashwal S, Ferriero DM. Pediatric Neurology Principles and Practice, 4th ed. Philadelphia, PA: Mosby Elsevier; 2006.
76. b, 77. b
The patient in question 76 has a GM2 gangliosidosis, more specifically Tay-Sachs disease caused by hexosaminidase A deficiency. The patient in question 77 has another GM2 gangliosidosis, more specifically Sandhoff disease caused by deficiency of hexosaminidase A and B.
β-Galactosidase deficiency causes GM1 but not GM2 gangliosidosis. Sphingomyelinase deficiency causes Niemann-Pick types A and B.
GM2 gangliosidosis is caused by deficiency of hexosaminidase A in Tay-Sachs disease or hexosaminidase A and B in Sandhoff disease. Both are autosomal recessive.
Tay-Sachs disease or infantile GM2 gangliosidosis is more common in Ashkenazi Jews but may also occur in other populations with less frequency, and the CNS is the only affected organ. Onset is between 3 and 6 months of age, with increased startle response and subsequent motor regression, spasticity, blindness with optic atrophy, and seizures. There is a delay in reaching developmental milestones, with subsequent regression. A cherry-red spot in the macula is commonly seen, and these patients have macrocephaly. Progression to severe mental retardation occurs, and most children die by the age of 5 years. The diagnosis is suspected in patients with psychomotor retardation and a cherry-red spot and is confirmed with the detection of hexosaminidase A deficiency with normal activity of hexosaminidase B. Treatment is supportive.
Sandhoff disease occurs from combined deficiency of hexosaminidase A and B. The clinical features are similar to those seen in Tay-Sachs disease; however, as mentioned, in Tay-Sachs disease, the brain is the only organ involved, whereas in Sandhoff disease, the GM2 gangliosides accumulate in the brain and viscera, causing hepatosplenomegaly that is not seen in Tay-Sachs disease. The diagnosis is based on these clinical features and confirmed with analysis of the enzymatic activity of the enzymes involved.
Fenichel GM. Clinical Pediatric Neurology: A Signs and Symptoms Approach, 6th ed. Philadelphia, PA: Saunders Elsevier; 2009.
Prayson RA, Goldblum JR. Neuropathology, 1st ed. Philadelphia, PA: Elsevier; 2005.
78. d
Figure 14.17 shows multiple periventricular hyperdense lesions. These are known as subependymal nodules, and their presence is one of the major diagnostic criteria of tuberous sclerosis complex (TSC, see question 61 to 63). Subependymal nodules, as their name suggest, most commonly occur in the periventricular region, often at the caudo-thalamic groove. They are thought to arise from remnants of the germinal matrix. They have the potential to grow over time and, in a minority, transform into subependymal giant cell astrocytoma (see question 72). Unlike cortical tubers (discussed in question 75), the presence and number of subependymal nodules are not thought to correlate with cognitive function or seizures.
Benign hereditary calcification of the basal ganglia (Fahr disease, see Chapter 6) is on the differential diagnosis of subcortical calcifications, but the distribution of these calcifications is typically within the striatum or thalamus and they are not as nodular as these subependymal nodules are. There is no association between TSC and Fahr disease.
Bradley WG, Daroff RB, Fenichel GM, et al. Neurology in Clinical Practice, 5th ed. Philadelphia, PA: Elsevier; 2008.
Swaiman KF, Ashwal S, Ferriero DM. Pediatric Neurology Principles and Practice, 4th ed. Philadelphia, PA: Mosby Elsevier; 2006.
79. a
This patient has Canavan disease, which is an autosomal recessive disorder caused by deficiency of aspartoacylase, leading to accumulation of N-acetylaspartic acid in the brain. This condition occurs more commonly in Ashkenazi Jews, and the gene alteration is on chromosome 17p13. These patients have an onset of symptoms between 10 weeks and 4 months of life and present with poor fixation and tracking, psychomotor arrest and regression, irritability, feeding difficulties, hypotonia with poor head control and inability to sit, and subsequent spasticity. Megalencephaly (enlarged brain) is present.
Urinary N-acetylaspartic acid level is elevated, and MRI demonstrates diffuse symmetric T2 hyperintensity in the white matter, with characteristic involvement of the U fibers. MR spectroscopy shows an increased peak of N-acetylaspartic acid. CSF is normal and there is no inflammation. There is no specific treatment available.
Adrenoleukodystrophy is discussed in question 31. Alexander disease is discussed in question 88. Zellweger syndrome is discussed in question 28. Fabry disease is discussed in questions 24 and 29.
Fenichel GM. Clinical Pediatric Neurology: A Signs and Symptoms Approach, 6th ed. Philadelphia, PA: Saunders Elsevier; 2009.
Prayson RA, Goldblum JR. Neuropathology, 1st ed. Philadelphia, PA: Elsevier; 2005.
80. d, 81. e
This patient has Sturge-Weber syndrome, in which gyral calcifications result from angiomatosis of the leptomeninges and brain. Sturge-Weber syndrome is a neurocutaneous disorder characterized by the presence of cutaneous angioma of the face, also known as the port-wine nevus, which often occurs in a trigeminal distribution, as seen in Figure 14.18a, but may involve any part of the body. Associated features in some cases include angiomatosis of the ipsilateral and less commonly bilateral leptomeninges and the cortex, as seen in Figure 14.18b.
Some patients have only cutaneous findings without CNS involvement; this is most often the case if cutaneous angiomas are present only in the limbs (without facial involvement). Neurologic manifestations are variable; some patients may have no neurologic signs or symptoms, whereas others may have seizures, contralateral hemiparesis, and/or developmental delay. CNS involvement is most common in those with cutaneous angiomas involving the face. Cobb syndrome, or cutaneomeningospinal angiomatosis, is a variant of Sturge-Weber syndrome (SWS) in which cutaneous angiomas occur in a dermatome corresponding to a spinal dural angioma. Glaucoma may be a complication of Sturge-Weber syndrome but presenile cataracts are not. The pathophysiology of SWS is thought to relate to persistence of embryonal blood vessels that normally regress during gestation; it is considered a congenital malformation rather than a genetic disorder and is not hereditary.
The classic radiographic finding is one of gyral calcifications giving a tram-track appearance that may be initially best seen on a CT scan. Cerebral hemiatrophy, rather than hemimegalencephaly, is also seen, as shown in Figure 14.18b. MRA is useful in assessing the extent of intracranial involvement. Cerebral venous thrombosis may occur uncommonly.
The other options listed are also neurocutaneous syndromes but each with distinct cutaneous and other neurologic findings. Neurocutaneous melanosis and incontinentia pigmenti are discussed in question 37, Hypomelanosis of Ito in question 43, and epidermal nevus syndrome in question 93.
Bradley WG, Daroff RB, Fenichel GM, et al. Neurology in Clinical Practice, 5th ed. Philadelphia, PA: Elsevier; 2008.
Swaiman KF, Ashwal S, Ferriero DM. Pediatric Neurology Principles and Practice, 4th ed. Philadelphia, PA: Mosby Elsevier; 2006.
82. d
Neurofibromatosis type 1 (NF1) is an autosomal dominant disorder with markedly variable expression but complete penetrance. It results from a mutation in the neurofibromin gene on chromosome 17. Approximately half of cases are sporadic. Neurofibromin is a tumor suppressor protein that normally activates a GTPase that inhibits ras, a proto-oncogene involved in cell proliferation. More than 100 mutations in the NF1 gene have been identified, but no specific genotype-phenotype correlations occur.
Bradley WG, Daroff RB, Fenichel GM, et al. Neurology in Clinical Practice, 5th ed. Philadelphia, PA: Elsevier; 2008.
Swaiman KF, Ashwal S, Ferriero DM. Pediatric Neurology Principles and Practice, 4th ed. Philadelphia, PA: Mosby Elsevier; 2006.
83. c
The MRI shown in Figure 14.19 shows partial agenesis of the corpus callosum. A diagnosis of glycine encephalopathy (formerly called nonketotic hyperglycinemia) can be made on the basis of this MRI finding, along with the clinical picture and the high CSF glycine levels. Available treatment options for this condition are limited and not effective.
Glycine encephalopathy is an autosomal recessive. The onset is in newborns who, within a few hours after birth, become irritable with poor feeding and hiccups. Subsequently, they develop a progressive encephalopathy with hypotonia, myoclonic seizures, and respiratory failure requiring mechanical ventilation. Patients who survive the acute phase will have mental retardation, spasticity, and epilepsy. Brain MRI may reveal a hypoplastic or absent corpus callosum and gyral malformations and cerebellar hypoplasia. In the acute phase, the EEG shows burst suppression and hypsarrhythmia.
Nonketotic hyperglycinemia or glycine encephalopathy is caused by a defect in the P-protein (glycine decarboxylase) gene, which encodes a component of the mitochondrial glycine cleavage system, therefore affecting the degradation of glycine, with accumulation of this substance. Serum and CSF glycine levels are elevated, and the ratio of CSF to plasma glycine concentration is more than 0.6, whereas normally, it is less than 0.4.
No effective treatments are available; sodium benzoate decreases plasma glycine concentrations, but the CSF level does not normalize with this therapy, and neurologic dysfunction is not reversible. Benzodiazepines can be used for seizures.
Dextromethorphan and ketamine can be used to inhibit NMDA receptor excitation by glycine.
Bradley WG, Daroff RB, Fenichel GM, et al. Neurology in Clinical Practice, 5th ed. Philadelphia, PA: Elsevier; 2008.
Fenichel GM. Clinical Pediatric Neurology: A Signs and Symptoms Approach, 6th ed. Philadelphia, PA: Saunders Elsevier; 2009.
84. c
This patient has Krabbe disease on the basis of the history and histopathologic findings.
Krabbe disease or globoid cell leukodystrophy is a disorder with autosomal recessive inheritance, with the affected gene mapped to chromosome 14. This disorder is characterized by the accumulation of galactocerebroside in macrophages of the white matter in the CNS, leading to the formation of globoid cells and to progressive demyelination, but with sparing of the U fibers. The cause is a deficiency of the enzyme galactosylceramidase (also known as galactocerebroside β-galactosidase). It can involve the peripheral nervous system, leading to a demyelinating neuropathy, but affects predominantly the CNS.
There are three forms:
– Infantile form: the most common variant and presents between 4 and 6 months of age with irritability, hypersensitivity to stimuli, increasing hypertonicity with eventual opisthotonos, unexplained low-grade fevers, optic atrophy with blindness, psychomotor developmental arrest, and subsequent regression with loss of previously achieved milestones. These children also have a demyelinating polyneuropathy with arreflexia. They usually die by the age of 1 year.
– Juvenile form: the onset is between 3 and 10 years of age, with vision loss, spasticity, ataxia, gait disturbance, and cognitive impairment.
– Adult form: usually starts between the third and the fifth decade of life, with spastic paraparesis, weakness, vision loss, and evidence of neuropathy, but intellectual function tends to be normal.
Pathologically, there is symmetric demyelination of the cerebral white matter, with relative sparing of the subcortical arcuate or U fibers. The pathologic specimen shown in Figure 14.20 is typical of Krabbe disease, demonstrating clusters of globoid cells, which are multinucleated macrophages with cytoplasmic accumulation of galactocerebroside.
Radiologically, there is symmetric periventricular white matter signal abnormality and cerebral atrophy. NCS demonstrate slow conduction velocities and prolonged distal latencies. CSF examination shows elevated protein levels.
Fenichel GM. Clinical Pediatric Neurology: A Signs and Symptoms Approach, 6th ed. Philadelphia, PA: Saunders Elsevier; 2009.
Prayson RA, Goldblum JR. Neuropathology, 1st ed. Philadelphia, PA: Elsevier; 2005.
85. b, 86. d
The patient in question 85 likely has neurofibromatosis type 2 (NF2). Cutaneous findings seen in neurofibromatosis type 1 (NF1) are less common in NF2. NF2 is less common than NF1 and has distinct diagnostic criteria, clinical manifestations, and pathophysiology.
Diagnostic criteria for NF2 include one of the following:
– Bilateral schwannomas of cranial nerve (CN) VIII (although other CNs can be affected, most commonly CN V)
– A unilateral CN VIII schwannoma with a first-degree relative with NF2
– A family history of a first-degree relative with NF2 combined with any two of the following lesions: neurofibroma, meningioma, glioma, subcapsular (presenile) cataracts
In contrast to NF1, cutaneous lesions such as café au lait spots and neurofibromas (see Figures 14.5 and 14.6) are uncommon in NF2, but they may occur. The main cutaneous findings seen in NF2 are café au lait spots and plexiform cutaneous schwannomas. On the other hand, various CNS tumors occur more commonly in NF2, often in the same patient, including schwannomas, meningiomas, ependymomas, and astrocytomas of the brain and spine. Lisch nodules do not occur in NF2, but subcapsular cataracts and epiretinal folds may occur.
NF2 is one of the neurocutaneous syndromes that is often not diagnosed until adulthood. NF2 is autosomal dominant, with variable expression and complete penetrance. It results from a mutation in the merlin (also known as schwannomin) gene on chromosome 22. Merlin is a tumor suppressor gene, and mutations in this gene account for the various neoplasms seen in NF2. A variety of mutations in the NF2 gene have been identified, and the type of mutation correlates with clinical severity, with missense mutations leading to some functional protein production and milder clinical phenotype, and frameshift mutations leading to more severe disease.
Gorlin syndrome and Rubinstein-Taybi syndrome are rare syndromes associated with multiple meningiomas, but this patient’s history of bilateral schwannomas combined with the family history is suggestive of NF2. Tuberous sclerosis complex has distinct cutaneous and CNS findings as discussed in questions 61 to 63.
Schwannomatosis is a distinct disorder characterized by the occurrence of multiple schwannomas affecting various CNs but not CN VIII. It may be segmental, and a pure spinal form also exists. It may be familial and has in some cases been associated with a mutation on chromosome 22 in a gene near, but different from, the gene mutated in NF2; less than 15% of cases of schwannomatosis are hereditary.
Bradley WG, Daroff RB, Fenichel GM, et al. Neurology in Clinical Practice, 5th ed. Philadelphia, PA: Elsevier; 2008.
MacCollin M, Chiocca EA, Evans DG, et al. Diagnostic criteria for schwannomatosis. Neurology. 2005; 64(11):1838–1845.
Swaiman KF, Ashwal S, Ferriero DM. Pediatric Neurology Principles and Practice, 4th ed. Philadelphia, PA: Mosby Elsevier; 2006.
87. b
This patient has GM1 gangliosidosis in which gangliosides accumulate in the brain and visceral organs.
GM1 gangliosidosis is an autosomal recessive disorder that occurs secondary to a deficiency in the lysosomal enzyme β-galactosidase, which is encoded on chromosome 3p21. Patients present between 6 and 18 months of age with incoordination, weakness, spasticity, seizures, psychomotor developmental arrest with subsequent regression, and a cherry-red spot. Dysmorphic, coarse facial features, and hepatosplenomegaly are also present. These patients may be confused with Hurler syndrome, except that in GM1 gangliosidosis, patients have a cherry-red spot in the macula and do not have mucopolysacchariduria.
Diagnosis is based on the detection of β-galactosidase deficiency in leukocytes or cultured fibroblasts. This enzymatic deficiency is responsible for the accumulation of GM1 gangliosides, keratan sulfate, and glycoproteins.
Macroscopically, the brain may be large initially, but as neuronal loss occurs, brain atrophy ensues. Pathologically, initially there is lipid storage in the neurons and proximal axons leading to neuronal ballooning. Subsequently, there is neuronal loss and gliosis. Treatment is supportive.
Fenichel GM. Clinical Pediatric Neurology: A Signs and Symptoms Approach, 6th ed. Philadelphia, PA: Saunders Elsevier; 2009.
Prayson RA, Goldblum JR. Neuropathology, 1st ed. Philadelphia, PA: Elsevier; 2005.
88. c
This patient has Alexander disease, which is a progressive disorder of astrocytes caused by mutations in the gene for glial fibrillary acidic protein. It has been proposed to have an autosomal dominant mode of inheritance, although this is controversial. There are infantile, juvenile, and adult forms. Patients with the infantile form have megalencephaly, developmental delay, seizures, psychomotor retardation, spasticity, and quadriparesis. The juvenile form has onset in childhood, and these patients have more significant bulbar symptoms. The adult form manifests with bulbar signs, hyperreflexia, dysautonomia, ataxia, and sleep apnea.
The brain MRI demonstrates diffuse white matter signal hyperintensity, predominantly in the frontal lobes and anterior cerebral regions, with involvement of the U fibers. In the adult-onset form, the “tadpole sign” on sagittal MRI results from dramatic thinning of the upper cervical spinal cord. The brains of these patients are large, and histopathologically, there are Rosenthal fibers. The histopathologic specimen shown in Figure 14.22 shows multiple Rosenthal fibers, which are elongated eosinophilic fibers seen on hematoxylin eosin, and they are diffusely distributed throughout the brain with clusters in the subpial, subependymal, and perivascular areas. Rosenthal fiber deposition is associated with severe myelin loss and cavitation of the white matter. They are not pathognomonic for Alexander disease and are seen in other conditions associated with gliosis. There is no specific treatment.
Canavan disease is discussed in question 79. Adrenoleukodystrophy is discussed in question 31. Zellweger syndrome is discussed in question 28. Fabry disease is discussed in questions 24 and 29.
Fenichel GM. Clinical Pediatric Neurology: A Signs and Symptoms Approach, 6th ed. Philadelphia, PA: Saunders Elsevier; 2009.
Prayson RA, Goldblum JR. Neuropathology, 1st ed. Philadelphia, PA: Elsevier; 2005.
89. a
Tuberous sclerosis complex (TSC) is an autosomal dominant disorder with variable penetrance. TSC may be either inherited or more commonly sporadic. TSC is caused either by a mutation in the TSC1 gene on chromosome 9 that encodes for the protein tuberin or by a mutation in the TSC2 gene on chromosome 16 that encodes for the protein hamartin. Tuberin and hamartin interact with each other and normally function as tumor suppressor genes, and abnormalities in these proteins lead to unregulated cell growth and proliferation. Although there are some genotype-phenotype correlations, the clinical manifestations of each mutation overlap significantly, so the two mutations cannot be distinguished between reliably on the basis of clinical features alone. TSC is also discussed in questions 61 to 63.
Bradley WG, Daroff RB, Fenichel GM, et al. Neurology in Clinical Practice, 5th ed. Philadelphia, PA: Elsevier; 2008.
Swaiman KF, Ashwal S, Ferriero DM. Pediatric Neurology Principles and Practice, 4th ed. Philadelphia, PA: Mosby Elsevier; 2006.
90. b
This patient has Pelizaeus-Merzbacher disease, which is a demyelinating disorder inherited in an X-linked recessive fashion. The gene involved is PLP1 on chromosome Xq22, and the mutation leads to abnormal synthesis of proteolipid protein 1. Mutations in this same gene also account for one form of hereditary spastic paraplegia.
The onset of clinical manifestations is in the first few months of life, with intermittent nodding movements of the head, pendular nystagmus, and other abnormal eye movements. Ataxia, chorea, athetosis, dystonia, spasticity, and laryngeal stridor also occur, and psychomotor development arrests with subsequent regression. Late manifestations include seizures and optic atrophy. Patients with later onset may have slower progression, and some patients survive into adulthood.
The MRI demonstrates diffuse demyelination. Pathologically, there is a noninflammatory demyelination sparing the U fibers and islands of white matter, giving it a “tigroid” appearance. Peripheral myelin is spared; and therefore, peripheral nerves are not involved.
Genetic testing is available for diagnosis, and there is no specific treatment.
This patient does not have Alexander disease, which is described in question 88 and which is caused by a defect in the gene for glial fibrillary acidic protein (GFAP).
Fenichel GM. Clinical Pediatric Neurology: A Signs and Symptoms Approach, 6th ed. Philadelphia, PA: Saunders Elsevier; 2009.
Prayson RA, Goldblum JR. Neuropathology, 1st ed. Philadelphia, PA: Elsevier; 2005.
91. a, 92. d
The patient in question 91 has Hunter syndrome, which is inherited in an X-linked fashion. Patients with Morquio syndrome have no mental retardation.
Mucopolysaccharidoses (MPS) are caused by impaired lysosomal degradation of glucosaminoglycans, which are long unbranched molecules of repeating disaccharides. Various enzymatic defects lead to the accumulation of glucosaminoglycans in lysosomes and the extracellular matrix.
The MPS are all autosomal recessive except for Hunter disease, which is X-linked. In general, MPS are a group of progressive multisystemic disorders that affect the cornea, cartilage, bone, connective tissue, reticuloendothelial system, and nervous system.
Hurler syndrome is MPS type I and is caused by α-L-iduronidase deficiency. The gene is localized to chromosome 4, and there is accumulation of both dermatan and heparan sulfate. These patients are normal at birth, but within the first 2 years of life, they will develop coarsening of facial features, with progressive skeletal dysplasia with dysostosis multiplex and growth impairment (dwarfism). These patients have restricted range of motion of the joints, hearing loss, corneal clouding, macroglossia, hernias, visceromegaly, valvular heart disease, and prominent mental retardation. Mild MPS type I is also known as Scheie syndrome, and the intermediate form is known as Hurler-Scheie syndrome. Most recently, MPS type I has been classified as severe MPS type I and attenuated MPS type I. The diagnosis of MPS type I is based on elevated urinary excretion of dermatan and heparan sulfate and confirmed with enzyme analysis in leukocytes and fibroblasts. Pathologically, there are cells with vacuolated appearance, expansion of perivascular spaces in the CNS, and neuronal lipidosis. Electron microscopy demonstrates reticulogranular material in epithelial and mesenchymal cells, and lamellar material in neurons, some of which adopt a layered appearance and are called zebra bodies. Enzyme replacement therapy can be used to treat noncentral nervous system manifestations of the disease. Stem cell transplantation can be potentially helpful.
Hunter syndrome or MPS type II is caused by a defect in iduronate sulfatase, with accumulation of dermatan sulfate and heparan sulfate. These patients have the Hurler phenotype but lack the corneal clouding and have characteristic nodular ivory-colored lesions on the back, shoulders, and upper arms. These children have short stature, macrocephaly, macroglossia, hoarse voice, hearing loss, visceromegaly, dysostosis multiplex, joint contractures, entrapment neuropathies such as carpal tunnel syndrome, and mental retardation. The diagnosis is based on mucopolysacchariduria and confirmed with analysis of the enzyme activity. Treatment is symptomatic.
Other MPS include types III, IV, VI, VII, and IX as follows:
– MPS type III or Sanfilippo syndrome has several subtypes (A, B, C, and D) and is associated with accumulation of heparan sulfate only. The main manifestation is mental retardation.
– MPS type IV or Morquio syndrome has two subtypes (A and B), and they manifest with corneal clouding, dysostosis multiplex, and heart disease, with normal intelligence.
– MPS type VI is also known as Maroteaux-Lamy syndrome and manifests with normal intelligence, dysostosis multiplex, corneal clouding, heart disease, and other features similar to Hurler syndrome.
– MPS type VII is also known as Sly syndrome, and these patients have hydrops fetalis, mental retardation, dysostosis multiplex, corneal clouding, and other features of Hurler syndrome.
– MPS type IX is caused by deficiency of hyaluronidase with accumulation of hyaluronan.
Fenichel GM. Clinical Pediatric Neurology: A Signs and Symptoms Approach, 6th ed. Philadelphia, PA: Saunders Elsevier; 2009.
Prayson RA, Goldblum JR. Neuropathology, 1st ed. Philadelphia, PA: Elsevier; 2005.
93. e
Lisch nodules are a feature of neurofibromatosis, not epidermal nevus syndrome (ENS). Iris colobomas are the most frequent ocular abnormality in patients with ENS.
ENS includes several disorders that are characterized by the presence of epidermal nevi and neurologic manifestations. These disorders include Proteus syndrome, which is characterized by asymmetric and often marked hypertrophy of soft tissues and bones, and other rare disorders such as sebaceous nevus syndrome and Becker nevus syndrome. Epidermal nevi are slightly raised patches of hyperpigmentation that are present at birth or appear in childhood. They enlarge over time. Not all patients have neurologic manifestations; occurrence of nevi over the face and scalp predict neurologic involvement. Neurologic manifestations may include mental retardation, seizures, and cranial neuropathies. In patients with hemimegalencephaly (which often occurs ipsilateral to a facial nevus), contralateral hemiparesis may be seen. Other brain malformations seen in patients with ENS include focal pachygyria, agenesis of the corpus callosum, Dandy-Walker syndrome, and neural tube defects. Cerebral vascular abnormalities including leptomeningeal hemangiomas and arteriovenous malformations may also occur.
Patients with ENS are at increased risk of malignancy; the nevus itself may undergo malignant transformation into basal cell carcinoma or other skin malignancies, and there is an increased risk of astrocytoma and other, systemic, malignancies. Various skeletal abnormalities may occur in ENS, including kyphoscoliosis. Ocular abnormalities include iris colobomas (most common), retinal lesions, and strabismus. Cardiac and genitourinary abnormalities also occur.
Bradley WG, Daroff RB, Fenichel GM, et al. Neurology in Clinical Practice, 5th ed. Philadelphia, PA: Elsevier; 2008.
Swaiman KF, Ashwal S, Ferriero DM. Pediatric Neurology Principles and Practice, 4th ed. Philadelphia, PA: Mosby Elsevier; 2006.
94. a
This patient has a porphyria, likely acute intermittent porphyria (AIP) given the lack of cutaneous manifestations and the absence of increased coproporphyrin III in the urine and stool, therefore making variegate porphyria (VP) and hepatic coproporphyria (HCP) less likely. The enzyme involved in AIP is porphobilinogen deaminase.
Porphyrias are a group of metabolic disorders caused by deficiency of a specific enzyme involved in the heme biosynthetic pathway. Most of the porphyrias are inherited in an autosomal dominant fashion, except 5-aminolevulinic acid dehydratase deficient porphyria, which is autosomal recessive.
AIP has primarily neurologic manifestations, HCP and VP have a combination of neurologic and cutaneous manifestations with photosensitivity, and porphyria cutanea tarda has cutaneous, with no neurologic, manifestations.
The acute porphyrias manifest with attacks of neurovisceral symptoms, with markedly elevated levels of plasma and urinary concentrations of the porphyrin precursors aminolevulinic acid (ALA) and porphobilinogen (PBG). Levels are usually elevated during attacks and may be normal in between. The attacks may be triggered by drugs such as barbiturates, sulfonamides, AEDs, and hormones among other medications. Attacks may also be triggered by a low-carbohydrate diet, infections, or other intercurrent illnesses.
AIP is the most common of the acute porphyrias with neurovisceral symptoms and is caused by deficiency of PBG deaminase, with the gene localized on chromosome 11. Onset occurs after puberty, with acute attacks of abdominal pain, sometimes associated with nausea, vomiting, diarrhea, fever, tachycardia, and leukocytosis. Commonly these patients experience limb pain and muscle weakness resulting from a peripheral neuropathy that is predominantly motor and axonal, affecting more proximal than distal segments and more the upper than the lower extremities. Deep tendon reflexes are depressed. The radial nerve has been described as being classically involved, and in severe cases, there may be bulbar, and respiratory involvement. Seizures can occur from neurologic involvement or may result from the hyponatremia that is seen in these patients. Neuropsychiatric symptoms such as anxiety, insomnia, depression, disorientation, hallucinations, and paranoia may occur.
The diagnosis is based on clinical suspicion and elevated urinary excretion of ALA and PBG during the attacks. Genetic testing and enzyme analysis are also helpful.
Management is focused on preventing attacks by avoiding precipitating factors. During attacks, these patients may need hospitalization for hydration and pain control. Carbohydrates decrease the synthesis of porphyrins, and an infusion may be required. Hematin infusions may be helpful. For seizures, clonazepam and gabapentin may be helpful. Unfortunately, many AEDs precipitate attacks, especially barbiturates, which should be avoided.
HCP is caused by coproporphyrinogen oxidase deficiency, and VP is caused by protoporphyrinogen oxidase deficiency. In both, the neurovisceral manifestations are similar to AIP, but in HCP and VP, there are cutaneous manifestations with photosensitivity, abnormal skin fragility, and bullous skin lesions on sun-exposed areas. HCP and VP cause increased urinary and fecal levels of coproporphyrin III.
Fauci AS, Braunwald E, Kasper DL, et al. Harrison’s Principles of Internal Medicine, 17th ed. New York, NY: McGraw-Hill; 2008.
Fenichel GM. Clinical Pediatric Neurology: A Signs and Symptoms Approach, 6th ed. Philadelphia, PA: Saunders Elsevier; 2009.
95. d
This patient has Tangier disease, which is an autosomal recessive familial neuropathy, caused by mutation affecting the adenosine triphosphate cassette transporter protein, resulting in a deficiency of high density lipoprotein (HDL) and very low serum cholesterol and high triglyceride concentrations. Given the severely reduced HDL level, cholesteryl esters accumulate in various tissues, including tonsils, peripheral nerves, cornea, bone marrow, and other organs of the reticuloendothelial system. A typical clinical finding is the enlarged orange tonsils. Peripheral neuropathy is common and manifests with sensory loss to pain and temperature that may have a pattern in the upper extremities similar to that seen in syringomyelia and may affect the entire body. Motor involvement may manifest with weakness that affects the upper and lower extremities and particularly the hand muscles. A symmetric polyneuropathy is common; however, a mononeuropathy presentation can also be seen. Deep tendon reflexes are depressed. Cranial nerves may also be involved. Premature atherosclerosis also occurs. The diagnosis is suspected on the basis of clinical features, and a lipid profile showing HDL deficiency, with low total cholesterol and high triglyceride levels. Foamy macrophages are present in the bone marrow and other tissues. There is no specific treatment.
Fauci AS, Braunwald E, Kasper DL, et al. Harrison’s Principles of Internal Medicine, 17th ed. New York, NY: McGraw-Hill; 2008.
Ropper AH, Samuels MA. Adams and Victor’s Principles of Neurology, 9th ed. New York, NY: McGraw-Hill; 2009.
96. a
Menkes disease, also known as kinky hair syndrome, is a neurocutaneous disorder characterized by the presence of brittle hair (pili torti), hyperelastic skin, and thin or absent eyebrows. Abnormal fullness of the cheeks, high-arched palate, micrognathia, osteoporosis, and metaphyseal dysplasia are also seen. Neurologic manifestations include cerebral vasculopathy and progressive cerebral atrophy leading to subdural hematomas and/or hygromas. Seizures and severe developmental delay occur. Other organ systems are involved, including the skeletal, gastrointestinal, and genitourinary tract. Menkes disease is an X-linked recessive disorder resulting from a mutation in ATP7A, a copper transporter, resulting in defective copper transport across the intestines and widespread copper deficiency in the brain and other organs. Various enzymes require copper as a cofactor, including cytochrome c oxidase, dopamine β-hydroxylase, and lysyl oxidase among others.
Histopathologically, the cortex, thalamus, and subcortical nuclei demonstrate loss of neurons and gliosis. The cerebellum shows loss of granular neurons and Purkinje cells. Laboratory studies demonstrate low serum levels of ceruloplasmin and copper.
The presence of subdural hematomas in an infant may raise question of nonaccidental injury, although the cutaneous findings and other manifestations allow the distinction to be made. Menkes disease is a disorder of copper deficiency, unlike Wilson disease, a disorder of copper toxicity, which is due to a mutation in the ATP7B enzyme. Ehlers-Danlos syndrome is discussed in question 29 and Hypomelanosis of Ito in question 43.
Bradley WG, Daroff RB, Fenichel GM, et al. Neurology in Clinical Practice, 5th ed. Philadelphia, PA: Elsevier; 2008.
Prayson RA, Goldblum JR. Neuropathology, 1st ed. Philadelphia, PA: Elsevier; 2005.
Swaiman KF, Ashwal S, Ferriero DM. Pediatric Neurology Principles and Practice, 4th ed. Philadelphia, PA: Mosby Elsevier; 2006.
97. b
Mitochondrial encephalopathy, lactic acidosis and strokes (MELAS) is a mitochondrial disorder with typical maternal inheritance; however, sporadic cases may occur. The most common mutation is in the mtDNA MTTL1 gene encoding for an mtDNA tRNA. The onset is often between 2 and 10 years of age, although symptoms may begin at any age, including adulthood. Patients are normal at birth, later manifesting with seizures, migraine headaches, vomiting with anorexia, exercise intolerance, and weakness. Failure to thrive, growth retardation, and progressive deafness are common in these children. Stroke-like episodes occur, presenting with transient hemiparesis, cortical blindness, and altered consciousness, with cumulative residual effects leading to gradually progressive neurologic impairment, leading to mental deterioration and encephalopathy. The MRI shown in Figure 14.23demonstrates multifocal infarcts that do not correlate with definite vascular territories. Initially, the infarcts occur in the posterior cerebral regions, with eventual involvement of other cerebral and cerebellar cortices, basal ganglia, and the thalamus. The infarcts are extremely epileptogenic. Lactate level is elevated in the blood and CSF. Muscle biopsy may demonstrate ragged red fibers.
There is no specific treatment. These patients may have some benefit from coenzyme Q10 and L-carnitine. L-arginine may attenuate the severity of strokes and reduce the frequency of these events.
Kearns-Sayre syndrome is discussed in question 33. Myoclonic epilepsy with ragged red fibers is discussed in Chapter 5. Leigh disease is discussed in question 32. Neuronal ceroid lipofuscinosis is discussed in question 26.
Fenichel GM. Clinical Pediatric Neurology: A Signs and Symptoms Approach, 6th ed. Philadelphia, PA: Saunders Elsevier; 2009.
Prayson RA, Goldblum JR. Neuropathology, 1st ed. Philadelphia, PA: Elsevier; 2005.
98. a
Abetalipoproteinemia, or Bassen-Kornzweig syndrome, is an autosomal recessive disorder caused by a molecular defect in the gene for the microsomal triglyceride transfer protein, which is localized to chromosome 4q22.24. This protein normally catalyzes the transport of triglyceride, cholesteryl ester, and phospholipid from phospholipid surfaces. The defect of this protein results in fat malabsorption and liposoluble vitamin deficiency, especially of vitamin E, which is the culprit of most of the clinical manifestations.
This condition manifests since birth, with failure to thrive, vomiting, and loose stool. During infancy, there is progressive psychomotor retardation with cerebellar ataxia and gait disturbance. Proprioceptive sensation is lost in the hands and feet, with less compromise of pinprick and temperature sensation. Deep tendon reflexes are depressed. This is likely from demyelination of posterior columns and peripheral nerves. Visual disturbance is the result of retinitis pigmentosa, and nystagmus is common.
Laboratory studies demonstrate acanthocytosis, absence of very low-density lipoproteins, absence of apolipoprotein B, low levels of vitamin E, and severe anemia.
Treatment involves the restriction of triglycerides in the diet, and large doses of vitamin E with supplementation of vitamins A, D, and K.
Fenichel GM. Clinical Pediatric Neurology: A Signs and Symptoms Approach, 6th ed. Philadelphia, PA: Saunders Elsevier; 2009.



