E. Stolz, P. Oschmann
Pseudotumor Cerebri
Epidemiology
The incidence is 0.9 per 100 000 population, and women are affected about eight times as often as men.
Etiology
The etiology of pseudotumor cerebri is heterogeneous and not completely understood (Table 14.1). The condition is caused by increased intracranial pressure in the absence of intracerebral space-occupying lesions or hydrocephalus; it is therefore also called benign intracranial hypertension or idiopathic intracranial hypertension. Modern MRI techniques often detect valve-like evaginations of the large sinuses that lead to increased resistance to CSF outflow and, hence, increased intracranial pressure.
Clinical Features
Clinical symptoms usually include headache (90–100% of cases), visual problems (75% of cases) due to bilateral papilledema with enlarged blind spot, episodic blurred vision, or visual field loss up to a state of blindness, and pulsatile tinnitus (60% of cases). Abducens palsy may also be present.
|
Table 14.1 Causes and risk factors of pseudotumor cerebri |
|
|
Risk factors |
• Female sex • Overweight |
|
Sinus thrombosis |
|
|
Endocrinological causes |
• Addison's disease • Cushing's disease • Hypothyroidism • Hypoparathyroidism |
|
Metabolic causes |
• Hypervitaminosis A |
|
Pharmaceutical drugs |
• Lithium • Tetracyclines • Phenytoin • Nitrofurantoin • Sulfamethoxazole • Phenothiazines • Chlorpromazine • Indomethacin • Amiodarone • Estrogens • Corticosteroids • Growth hormone • Cyclosporine • Tamoxifen |
|
Other causes |
• Chronic renal failure • Systemic lupus erythematosus |
Diagnosis
Cranial MRI and lumbar puncture. Diagnostic procedures include cranial MRI combined with venous MR angiography (to rule out any space-occupying lesion or sinus thrombosis) and lumbar puncture (to measure CSF pressure):
• Slit ventricles seen on cranial MRI may indicate pseudotumor cerebri, but a normal ventricular width does not exclude the condition.
• Lumbar puncture is performed to detect an increase in intracranial pressure. Opening pressure is greater than 200 mmH2O; in an overweight person, it is greater than 250 mmH2O. It is important to measure the pressure with the patient in lateral decubitus. Apart from the increased pressure, the CSF is normal.
Laboratory analysis. Subsequent laboratory tests are necessary to exclude systemic vasculitis (Chap. 10, “Systemic Vasculitis and Connective Tissue Diseases”) and thrombophilia (Table 12.2); the latter is found with a similar frequency as in thrombosis of the sinuses and cerebral veins. As a sign of the slowed turnover of CSF, an increased albumin quotient in the ventricular CSF is expected (Chap. 21, “Proteins”).
External Ventricular Drainage, Ventriculoatrial and Ventriculoperitoneal Shunts
Application
Ventricular drainage is used as follows:
• External ventricular drainage is used to treat acute obstruction of CSF flow, e. g., ventricular tamponade in cases of intracerebral hemorrhage with ventricular invasion, infratentorial space-occupying lesions, or obstructive hydrocephalus due to subarachnoid hemorrhage or meningitis.
• Internal drainage systems (ventriculoperitoneal, ventriculoatrial, and lumboperitoneal shunts) are used to treat chronic obstructions of CSF flow. Drugs may be administered into the CSF system by means of special systems such as the Ommaya reservoir.
Diagnosis
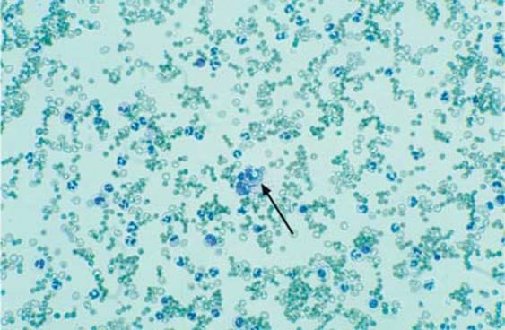
Cytology of ventricular CSF. Basically, the same cell populations are found here as in lumbar CSF, but their relative ratios may be different. Merely because of the surgical manipulation, the cytology may look like those of subarachnoid hemorrhage (Chap. 12, “Subarachnoid Hemorrhage”) (Fig. 14.1; see also Fig. 12.3), and erythrophages and siderophages may be detected at follow-up assessments. Surgery, mechanical stimulation (e. g., during positioning of the patient), and also blood constituents may induce granulocytic pleocytosis in the absence of pathogens. Increasing granulocytic pleocytosis indicates ventriculitis.
With internal drainage systems, the shunt system itself may also cause slight pleocytosis that is detectable in the lumbar CSF, due to a foreign-body reaction. Eosinophilic leukocytes may also occur as a result of the foreign-body reaction, or as part of an allergic reaction to the ethylene oxide gas used for sterilization. Clusters of ependymal and choroid plexus cells, which are very rare in lumbar CSF, are more frequently found in ventricular CSF, as are fragments of brain tissue after neurosurgery.
The proportion of malignant cells determined in serial specimens gives an important indication of the response to intrathecal chemotherapy.
Chemical analysis of ventricular CSF. The blood–CSF barrier function can be assessed by protein analysis only when there is no blood in the ventricular CSF. It should be noted that the concentrations of albumin (0.096 g/L) and IgG (0.0092 g/L) in ventricular CSF are markedly lower than in lumbar CSF (for age-dependent reference ranges of the ventricular albumin quotient, see Chap. 21, “Proteins”). The interpretation of intrathecal immune reactions using the hyperbolic discrimination lines in Reiber's quotient diagrams, discussed in Chap. 18, can also be used without further qualification for ventricular CSF. Serial measurement of CSF lactate levels has prognostic significance in cases of craniocerebral injury and after subarachnoid hemorrhage.
Microbiological analysis. When external drainage systems are used, microbiological analysis of ventricular CSF is routinely carried out to monitor for ventriculitis. However, every time CSF is collected, the closed system is opened up to the air, and frequent examinations therefore increase the risk of colonization of the drainage system by pathogens. So far, no general consensus exists as to how often CSF should be examined microbiologically during ventricular drainage.

Fig. 14.1 Cytology of ventricular CSF (obtained via an external ventricular drain) following basal ganglia hemorrhage with ventricular invasion. Pappenheim's stain. Large numbers of erythrocytes and granulocytes are visible. A macrophage with phagocytosed erythrocytes may be seen in the center.
Collection of CSF from the Ventricular Drain
A ventricular overflow drain consists of a closed system. The drip chamber is vented through a bacterial filter. CSF is collected via an interposed three-way stopcock. CSF collection must always be carried out under meticulously sterile conditions. Before removing the diagnostic fraction, it is important to draw and discard about 2 mL—or, if the drainage system has been previously clamped, 5 mL—of CSF. It should be possible to aspirate the CSF without much resistance; overintense aspiration should be avoided as this could cause the drain opening to adhere to the ventricular wall, which might result in hemorrhage. If no CSF flows initially, the drain should be clamped for a short time and another attempt made.
Diagnosis of Cerebrospinal Rhinorrhea and Otorrhea
Indication
Cerebrospinal rhinorrhea may occur after frontobasal fracture or after neurosurgery in this region, and represents a possible portal of entry for meningitis. For this reason, any CSF fistula should be closed surgically. Thus, detection of CSF rhinorrhea has far-reaching consequences and should therefore be as unequivocal as possible.
Diagnosis
Differentiation from nasal discharge. Nasal discharge is distinguished from CSF rhinorrhea by laboratory tests, either (preferably) by nephelometric analysis of β-trace protein in the discharge (Felgenhauer et al., 1987; Reiber et al., 2003) or detection of β2-transferrin in the immunoblot by comparison of the patient's CSF and serum (for references, see Reiber et al., 2003). All other parameters that have been used in the past—such as glucose, potassium, injected fluorescein, or total protein levels—are obsolete.
Specimen Collection and Preanalytical Requirements
The amounts of CSF released in rhinorrhea and otorrhea may vary. Up to 50 mL/day may be secreted. The analysis is more difficult when there is just a little wetness or moisture. Increasing the intracranial pressure (by compressing the jugular vein or by Valsalva's maneuver) promotes CSF discharge and hence specimen collection. If a watery secretion is dripping from the nose or ear, it should be carefully aspirated with a syringe.
If there is only very little or occasional discharge, small sterile foam sponges should be used for collection. These are placed in the nose and/or the ear canal, and perhaps also in the pharyngeal opening of the eustachian tube, for 6–12 h or until sufficient discharge has been collected. The sponges are immediately centrifuged for 10 min at 10 000 g. If the discharge is highly viscous, dilution with 0.9% NaCl and homogenization by ultrasound are helpful.
Nephelometric analysis (Reiber et al., 2003).
β-Trace protein. The reference values for β-trace protein are as follows:
• Normal nasal discharge: between 0.003 and 0.12 mg/L (median 0.016 mg/L).
• Serum: between 0.38 and 0.86 mg/L (mean 0.6 mg/L).
• Lumbar CSF: 18.7 mg/L (mean).
In CSF rhinorrhea, β-trace protein values are between 0.36 and 53.6 mg/L. Values above 0.35 mg/L for non-bloody nasal discharge are taken to indicate CSF contamination (Reiber et al., 2003).
Faulty analysis and interpretation based on overdiluted nasal discharge have lead to incorrect reports as to the threshold value for CSF contamination of the discharge (Reiber, 2004).
Pitfalls in Evaluating β-Trace Protein
Admixture of blood in the discharge, as often happens after neurosurgery, indicates contamination with serum, and unequivocal demonstration of contamination with CSF is only possible when the values are above the serum reference range (β-trace protein concentration ≥ 1.0 mg/L; Reiber, 2004). An alternative threshold value is double the concentration found in serum collected at the same time.
The raised serum β-trace protein value sometimes found in patients with kidney disease has no significant effect on the threshold value of the discharge when it is bloodless, so in general the serum β-trace protein concentration is not required for evaluation of the β-trace protein concentration in the discharge.
Further Reading
Felgenhauer K, Schädlich HJ, Nekic M. β-Trace-protein as marker for cerebrospinal fluid fistula. Klin Wochenschr 1987;65:764–768
Reiber H, Walther K, Althaus H. Beta-trace protein as a sensitive marker for CSF rhinorhea and CSF otorhea. Acta Neurol Scand 2003;108:359–362
Reiber H. Beta-trace protein concentration in nasal secretion—discrepancies and flaws in recent publications. Acta Neurol Scand 2004;110:339–341