Peripheral Nerve Blocks: A Color Atlas, 3rd Edition

13.Lumbar Plexus Blocks

A. Lumbar Plexus/Psoas Compartment Block

Rita Merman

Patient Position: Lateral, with the surgical side up.

Indications: Anesthesia and immediate postoperative analgesia for hip, femur, or knee surgery.

Needle Size: 21-gauge, 100-mm insulated needle.

Volume: 20 to 30 mL 0.5% or 0.2% ropivacaine depending on the indication.

Anatomic Landmarks: The intercrestal line and the spinous process.

Approach and Technique: The spinous processes of L4, L5 is identified. A parallel line to the spinous process line is then drawn, originating from the postsuperior iliac spine (parasagittal line usually 4.5 to 5 cm lateral to midline). Next, a vertical line is drawn at the level of the highest point on the iliac crest (intercrestal line). The intersection of the intercrestal line with the parasagittal line determines the site of introduction of the needle (Fig. 13-1). The insulated needle, connected to a nerve stimulator (1.5 mA, 2 Hz, 0.1 ms) is introduced perpendicularly to the skin and advanced slowly in search of the transverse process of L4. The introduction of the needle is first associated with a direct stimulation of paravertebral muscles. When the transverse process is contacted, the needle is withdrawn and redirected either caudal or cephalad in search of the femoral nerve. The stimulation of the femoral nerve produces a quadriceps contraction and a patella snap. After appropriate positioning of the needle maintaining the motor response with a current of less than 0.5 mA and negative aspiration for blood, 2 mL of ropivacaine is slowly injected. The patient is asked to move both feet to verify that the injection is not intrathecal. Then 5 ml of local anesthetic is injected slowly alternating with repeated aspiration for blood (Fig. 13-2).

Figure 13-1. The intersection of the intercrestal line with the parasagittal line determines the site of introduction of the needle. Iliac Spine (IS). Postsuperior iliac spine (PSIS).

Tips

1. The lumbar spine may be flexed as in the positioning for a lumbar epidural or spinal technique to help identify surface anatomy landmarks.

2. More cephalad approaches to the lumbar plexus should be avoided. With a more cephalad approach there is an increased risk of renal puncture and renal hematoma.

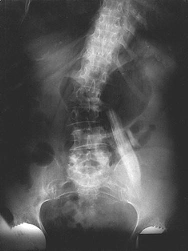
Figure 13-2. X-ray indicating appropriate positioning.

3.

4.

Figure 13-3. Evaluation of lumbar plexus blocks. Sensory innervation with ice. A: Femoral nerve. B: Lateral femoral cutaneous nerve. C: Obturator nerve.

5. One may elicit quadriceps muscle contraction, without hitting the transverse process.

6. If the stimulation of the femoral nerve in the lumbar plexus does not occur within 2 cm of the transverse process, the needle is withdrawn from the skin and reintroduced after increasing the needle angulations by 10° laterally.

7. If the transverse process is not contacted at a depth of 9 cm or deeper, and quadriceps contraction is not elicited, the needle should be withdrawn and redirected medially.

8. Hamstring contraction indicates stimulation of the L4 component of the sacral trunk at the level of the nerve root. The needle needs to be withdrawn from the skin and redirected laterally.

9. A scrotum/labial paresthesia indicates stimulation of genitofemoral nerve (L1 branch of lumbar plexus), which lies anteriomedial in the psoas compartment. The needle needs to be withdrawn from the skin and redirected more laterally and less caudally.

10. Stimulation of iliohypogastric nerve causes abdominal wall contraction. In this case, redirect the needle more medially.

11. Because of the risk of epidural spread, it is important to monitor blood pressure during the injection of local anesthetic to limit the epidural spread. A decrease in arterial blood pressure is the first symptom suggesting such diffusion.

12. Exercise caution with the needle depth to avoid intraperitoneal injection. Non-obese patients require a needle of no more than 100 mm in length, inserted to a depth of 70 to 90 mm. However, with morbidly obese patients the femoral nerve may be reached at a depth of 150 mm. Even in these patients it is recommended to first start with a 100-mm needle, because there is no correlation between weight and the depth of the lumbar plexus.

Figure 13-4. Evaluation of motor function against resistance. A: Femoral nerve. B: Obturator nerve.

13. The operator should ensure that a direct stimulation of the psoas muscle is not mistaken for a contraction of the quadriceps muscle by having an assistant place a hand on the quadriceps.

14. It is possible to identify the psoas compartment (a region containing the lumbar plexus) by using a loss-of-resistance approach. In fact, to reduce the number of punctures, it is possible to combine the use of the nerve stimulator and the loss-of-resistance approach by using an insulated needle connected to both a nerve stimulator (1.5 mA, 2Hz, 0.1 ms) and a loss-of-resistance syringe filled with 5 mL of air. As the needle goes through the posterior part of the psoas muscle a direct stimulation of the muscle is elicited. This muscle contraction disappears and a loss of resistance is felt when the needle enters the psoas compartment. After negative aspiration for blood, the local anesthetic solution can be injected slowly.

15. The aspiration of blood suggests the puncture of a paravertebral vein and indicates that the needle needs to be redirected laterally.

16. Local anesthesia is required to minimize patient discomfort using a 25-gauge, 38-mm needle and 5 mL of 1% lidocaine.

17. Moderate sedation should be provided in most cases with 1 to 2 mg of midazolam and 50 to 100 µg of fentanyl.

18. Evaluation of lumbar plexus blocks: sensory innervation with ice (femoral [A], lateral femoral cutaneous nerve [B], and obturator [C]; Fig. 13-3) and motor function against resistance (femoral [A] and obturator [B]; Fig. 13-4).

Suggested Readings

Aida S, Takahashi H, Shimoji K. Renal subcapsular hematoma after lumbar plexus block. Anesthesiology 1996;84:452–455.

Chayen D, Nathan H, Chayen M. The psoas compartment block. Anesthesiology 1976;45:95–99.

Ghisi AF, Matusic B, Joshi R, Chelly JE. Relationship between lumbar plexus and parasacral sciatic depth. Abstract. IARS 80th Clinical & Scientific Congress, 2006.

Mansour NY, Bennetts FE. An observational study of combined continuous lumbar plexus and single-shot sciatic nerve blocks for post-knee surgery analgesia. Reg Anesthes 1996;21:287–291.

Matheny JM, Hanks GA, Rung GW, et al. A comparison of patient-controlled analgesia and continuous lumbar plexus block after anterior cruciate ligament reconstruction. Arthroscopy 1993;9:87–90.

Muravchick S, Owens WD. An unusual complication of lumbosacral plexus block: a case report. Anesth Analges 1976;55:350–352.

Parkinson SK, Mueller JB, Little WL, et al. Extent of blockade with various approaches to the lumbar plexus. Anesth Analges 1989;68:243–248.

Stevens R, Van Gessel E, Flory N, et al. Lumbar plexus block reduces pain and blood loss associated with total hip arthroplasty. Anesthesiology 2000;93:115–121.

B. Femoral Nerve Block

Carl Rest

Patient Position: Supine.

Indications: Anesthesia and immediate postoperative analgesia for surgery performed at the level of the anterior aspect of the thigh, femur, and knee, and the medial aspect of the leg.

Needle Size: 22-gauge, 50-mm insulated stimulating needle.

Volume: 20 to 30 mL of local anesthetic.

Anatomic Landmarks: Inguinal crease, femoral artery (Figs. 13-5, 13-6). Femoral and saphenous nerve distributions are shown in Fig. 13-7.

Approach and Technique: A 22-gauge insulated stimulating needle is connected to a nerve stimulator (1.5 mA, 2 Hz, 0.1 ms) and is inserted approximately 1 cm lateral to the femoral artery at the level of the inguinal crease (Fig. 13-8A, 13-8B). The needle is directed cephalad and advanced at a 45° angle while maintaining needle orientation in a parasagittal plane without medial direction. Femoral nerve stimulation results in quadriceps contraction and proximal patellar movement (Fig. 13-8C). The needle is positioned to optimize the muscle contraction with a current of 0.2 to 0.5 mA. The local anesthetic solution is injected slowly with aspiration for blood every 5 mL to avoid intravascular injection.

Figure 13-5. Anatomic landmarks.

Figure 13-6. Anatomic landmarks.

Figure 13-7. Femoral and saphenous nerve distributions.

Figure 13-8. A: An insulated stimulating needle connected to a nerve stimulator is inserted approximately 1 cm lateral to the femoral artery at the level of the inguinal crease.

Tips

1. The skin overlying the middle third of the medial thigh and the middle third of the medial leg are reliable sensory distributions for testing successful femoral and saphenous nerve blocks respectively. Successful saphenous nerve block may fail to include medial malleolus sensory loss at the ankle in about 40% of all patients. Quadriceps paralysis is the most reliable indicator of a successful femoral nerve block.

2. This approach positions the needle below the fascia lata at the level of the inguinal ligament. Although it is possible to obtain an incidental block of the lateral femoral cutaneous nerve, it is unreliable and concurrently blocked less than 40% of the time using this approach.

3. The lateral femoral cutaneous nerve may be blocked separately, which may have some value if a thigh tourniquet is to be used. In adults, the lateral femoral cutaneous nerve is variable in its anatomy and crosses the inguinal ligament between 1 and 7 cm medial to the anterior superior iliac spine (ASIS). The classic approach to this nerve is a needle insertion point 2 cm lateral and 2 cm caudal to the ASIS. The needle is inserted to contact bone, and as the needle is withdrawn, 10 mL of local anesthetic is injected. Alternatively, a nerve stimulator technique may be used, with a 22-gauge, 5-cm insulated stimulating needle (5 mA, 2Hz, 1.0 ms). The needle is inserted at the level of the inguinal crease at the intersection of the lateral one-third and medial two-thirds, with a paresthesia in the lateral thigh.

4. If a quadriceps twitch is not obtained, the femoral artery should be repalpated to confirm the needle insertion site. The relevant anatomy may be easily distorted during positioning especially in obese patients and it is helpful to use tape for pannus retraction prior to marking the femoral artery. Patients may tend to rotate their legs laterally while lying supine, which causes the femoral nerve to lie relatively posterior to the artery in a parasagittal plane. The patient should rotate feet to anatomical position prior to defining landmarks and the insertion site.

5. Insertion at a point more distal to the inguinal crease may increase the likelihood of a vascular puncture. This is due to the lateral femoral artery, which may be present at this level as a branch of the femoral artery, the profunda femoris, or both.

6. The contraction of the sartorius indicates that the needle needs to be redirected slightly more laterally and advanced 2 to 3 mm.

7. The obturator nerve lies deep and medial to the femoral nerve and is not reliably blocked with a femoral nerve block, although it may be blocked using a separate approach.

Suggested Readings

Hadzic A, Vloka JD, Saff GN, et al. The “three-in-one block” for treatment of pain in a patient with acute herpes zoster infection. Reg Anesth 1997;22:575–578.

Jochum D, O' Neill T, Jabbour H, et al. Evaluation of femoral nerve blockade following inguinal paravascular block of Winnie: Are there still lessons to be learnt? Anaesthesia 2005;60:974–977.

Orebaugh S. The femoral nerve and its relationship to the lateral circumflex femoral artery. Anesth Analg 2006;102:1859–1862.

Vloka JD, Hadzic A, Mulcare R, et al. Femoral nerve block versus spinal anesthesia for outpatients undergoing long saphenous vein stripping surgery. Anesth Analg 1997;84:749–752.

Vloka JD, Hadzic A, Reiss W, et al. Femoral nerve block: needle insertion at the inguinal crease results in more consistent nerve localization. Reg Anesth 1998;23:53.

C. Fascia Iliaca Block

Louis-Jean Dupre

Patient Position: Supine, with operative leg extended and slightly abducted.

Indications: Anesthesia and immediate postoperative analgesia following major knee surgery, hip arthroplasty pain, and femoral neck fracture surgery.

Needle Size: 18-gauge, 90-mm noninsulated Tuohy needle.

Volume: 20 to 30 mL.

Anatomic Landmarks: The psoas muscle is surrounded by the fascia iliaca and its extensions. The target nerves (femoral, lateral cutaneous, and obturator) all run immediately under the fascia iliaca. When injected under the fascia, the local anesthetic diffuses around the psoas muscle and theoretically can reach at least two nerves (femoral and lateral cutaneous nerve). The lateral part of the fascia iliac is a very thick aponeurosis closing the muscular compartment while the medial part is a thin, perforated aponeurosis. Therefore, a lateral approach provides a better sensation of the fascia penetration.

Approach and Technique: A line between the anterosuperior iliac spine and symphysis pubis is drawn, denoting the course of the inguinal ligament. The femoral pulse is palpated, and another line is drawn to mark the femoral artery. A third line is drawn to mark the medial border of the sartorius muscle. The puncture point is situated 2 to 3 cm below the inguinal ligament, just distal to the inguinal crease, and 2 to 3 cm lateral to the femoral artery that runs just medial to the sartorius muscle. An 18-gauge, 90-mm noninsulated Tuohy needle is introduced through the skin at a 30° angle (Fig. 13-9). A two-pop loss of resistance perception is essential. The first pop represents the fascia lata penetration, and the second pop places the needle beneath the fascia iliaca. After negative aspiration for blood, a local anesthetic solution is slowly injected.

The intensity of the sensory block of the lateral femoral cutaneous nerve is evaluated on the lateral aspect of the thigh. The intensity of the sensory block of the femoral nerve is tested on the anterior aspect of the thigh and the medial aspect of the leg (saphenous nerve). The extension of the leg is impossible with motor block of the femoral nerve. Testing the obturator nerve block is particularly difficult because adduction of the lower limb is only 60% dependent on this nerve. Sensory territory of the obturator nerve is mainly variable and frequently absent.

Tips

1. The use of a large-gauge Tuohy needle allows the clinician to better feel the penetration of the fascia.

2. This block can also be performed with an 18-gauge, 50-mm plastic catheter introducer with a 30° beveled stylet. Once the skin is pierced, the needle is rotated and redirected cephalad at an angle of 30° to the thigh. This slope means the bevel is parallel to the fascia, thus making penetration more difficult but easier to recognize.

3. Complete diffusion of the local anesthetic solution takes time, particularly toward the obturator nerve.

4. The success rate for the iliofascial block is greatly dependent on operator experience.

Figure 13-9. A noninsulated Tuohy needle is introduced through the skin at a 30° angle.

5. With obese patients, it is sometimes necessary for an assistant to hold back the abdominal skin to facilitate the recognition of the crossing of the fascia.

6. Intravascular injection is possible in the small-caliber circumflex veins that run under the fascia lateral to the femoral artery. Therefore, careful aspiration is necessary before injection.

7. Postoperative falling by the patient is a major risk with the technique, due to absence of knee locking. An extension splint is indispensable if the patient is allowed to get up before recovery from the block.

Suggested Readings

Dalens B, Tanguy A, Vanneuville G. Lumbar plexus block in children. A comparison of two procedures in 50 patients. Anesth Analg 1988;67:750–758.

Dupré LJ. Bloc “3 en 1” ou bloc fémoral. Que faut il faire et comment le faire. Ann Fr Anesth Réanim 1996;15:1099–1106.

Dupré LJ. Les blocs périphériques. In: Samii K, ed. Anesthésie & réanimation chirurgicale, 2nd ed. Paris: Flammarion, 1995:501–527.

Parkinson SK, Mueller JB, Little WL, et al. Extent of blockade with various approaches to the lumbar plexus. Anesth Analg 1989;68:243–248.

D. Obturator Nerve Block

Didier Sciard

Patient Position: Supine, with the operative leg slightly abducted.

Indications: Anesthesia and postoperative analgesia for knee surgery in combination with a sciatic and femoral nerve block.

Needle Size: 22-gauge, 50-mm insulated needle.

Volume: 5 to 10 mL.

Anatomic Landmarks: The obturator nerve, originating from the anterior divisions of L2-4, emerges from the upper anterior aspect of the obturator foramen, runs medial to the femoral vein and inferior to the pectineus muscle. It divides into anterior and posterior branches, which straddle the adductor brevis muscle. The anatomic landmarks are the femoral artery and medial border of the adductor longus.

Approach and Technique: The femoral artery and the medial border of the adductor longus are palpated and marked at the level of the inguinal crease (Fig. 13-10A). The 50-mm insulated needle connected to a nerve stimulator (1.5 mA, 2 Hz, 0.1 ms) is introduced at 45° in the middle between the femoral artery and the medial border of the adductor longus at the level of the inguinal crease (Fig. 13-10B). Local anesthetic (5 mL) is injected when a contraction of the adductor brevis (anterior branch) and a contraction of the adductor longus (posterior branch of the obturator nerve) are elicited.

Figure 13-10. A: The femoral artery and the medial border of the adductor longus are palpated and marked at the level of the inguinal crease. The site of the introduction of the needle is the middle between the femoral artery and the adductor longus at the level of the inguinal crease. B: The needle is introduced at a 45° angle.

Tips

1. The intensity of the motor block is estimated by seeking adductor muscle weakness. The intensity of the sensory block, however, is difficult to assess because there is considerable individual variation regarding the sensory obturator innervation.

2. A double-stimulation technique is necessary because at this level the obturator nerve is divided into an anterior and posterior branch.

3. Obturator nerve block is used to complement a femoral block and a sciatic block for knee surgery for anterior cruciate ligament repair or total knee replacement. It may be considered each time a femoral nerve block is performed for knee or above-the-knee surgery, especially when a tourniquet is indicated.

Suggested Readings

Bouaziz H, Vial F, Jochum D, et al. An evaluation of the cutaneous distribution after obturator nerve block. Anesth Analg 2002;94:445–459.

Heywang-Kobrunner SH, Amaya B, Okoniewski M, et al. CT-guided obturator nerve block for diagnosis and treatment of painful conditions of the hip. Eur Radiol 2001;11:1047–1053.

McNamee DA, Parks L, Milligan KR. Post-operative analgesia following total knee replacement: an evaluation of the addition of an obturator nerve block to combined femoral and sciatic nerve block. Acta Anesthesiol Scand 2002;46:95–99.

Wassef MR. Interadductor approach to obturator nerve blockade for spastic conditions of adductor thigh muscles. Reg Anesth 1993;18:13–17.



If you find an error or have any questions, please email us at admin@doctorlib.org. Thank you!