75. A 9-year-old boy is brought to your clinic by his parents because he has begun to have episodes of eye fluttering lasting several seconds. Sometimes he loses track of his thoughts in the middle of a sentence. There was one fall off a bicycle that may have been related to one of these events. There are no other associated symptoms, and the episodes may occur up to 20 or more times per day. The boy’s development and health have been normal up until this point. He had two head injuries as a young child: the first when he fell off a tricycle onto the ground, and the second when he fell off a playset onto his head. Both episodes resulted in a brief loss of consciousness and he did not think clearly for part of the day afterward, but he had no medical intervention. Which of the following test results is most likely?
a. Electroencephalogram (EEG) showing 1-2 Hz spike wave
b. Brain magnetic resonance imaging (MRI) showing widespread abnormalities
c. EEG showing 2-3 Hz spike wave
d. Lumbar puncture with high white blood cell (WBC) count
e. Conners Rating Scale abnormalities reported by parents, but not teachers
76. A 19-year-old right-handed man who carries the diagnosis of epilepsy is seen in the urgent-care clinic. He had been healthy until about age 12, when he began to have episodes of eye fluttering lasting several seconds. Sometimes he would lose track of his thoughts in the middle of a sentence. There was one fall off of a bicycle that may have been related to one of these events. He has been treated with valproic acid. At one point he was off all medications, but the seizures returned. He is now at the end of his first semester of college and came in today because he had a witnessed generalized tonic-clonic seizure this morning. He had had only about 2 hours of sleep the night before because he was studying for a final examination. Which of the following is the most appropriate thing to tell this patient?
a. “I know that you faked this seizure to avoid taking a test.”
b. “Lack of sleep may have contributed to triggering this seizure.”
c. “You can expect to have tonic-clonic seizures on a regular basis from now on.”
d. “Your seizures are getting worse and there is nothing we can do about it.”
e. “You should take the next semester off to recover and get extensive testing.”
77. A 56-year-old man with epilepsy is brought into the emergency room. He has been having continuous generalized tonic-clonic seizures for the past 30 minutes. He is treated with 2 mg of intravenous lorazepam. Most physicians recommend using a high dose of intravenous benzodiazepine as part of the management of status epilepticus because it has which of the following qualities?
a. Ability to suppress seizure activity for more than 24 hours after one injection
b. Lack of respiratory depressant action
c. Rapid onset of action after intravenous administration
d. Lack of hypotensive effects
e. Lack of dependence on hepatic function for its metabolism and clearance
78. A 34-year-old woman is having her medications tapered in the epilepsy-monitoring unit. She has a convulsive seizure that does not stop after 5 minutes, even after she receives a lorazepam injection. A second intravenous drug is given. Infusing which of the following antiepileptic drugs at more than 50 mg/minute in an adult may evoke a cardiac arrhythmia?
a. Carbamazepine
b. Diazepam
c. Phenobarbital
d. Clonazepam
e. Phenytoin
79. A 44-year-old man presents with left arm shaking. Two days ago, the patient noticed left arm paresthesias along the lateral aspect of his left arm and left fourth and fifth fingers while he was reading. He thinks he may have been leaning on his left arm at the time; the symptoms resolved after 30 seconds. This morning, he noted the same feelings, lasting a few seconds, but then his fourth and fifth fingers started shaking rhythmically, and the shaking then spread to all of his fingers, his hand, and then his arm up to his elbow. This episode lasted a total of 30 seconds. He denies any strange smells or tastes, visual changes, or weakness. Afterward, his fingers felt locked in position for a few seconds. Then he felt as if he did not have control of his hand and had difficulty donning his socks. He and his wife decided to drive to the emergency room, and in the car he had trouble putting his seat belt latch into its socket. Examination and routine labs are normal. Which of the following is the most appropriate next action?
a. Discharge the patient to follow up in clinic in 2 weeks
b. Obtain a brain MRI
c. Obtain an EEG
d. Obtain an orthopedic consult
e. Order electromyography (EMG) and nerve conduction studies (NCS)
80. A 31-year-old right-handed woman has a history of alcohol abuse requiring detox. Currently, she says she is drinking about nine beers 3 days per week. She drank five glasses of wine and three beers 5 days ago. Last night, she had 10 beers. This morning, she awoke feeling well. She was speaking with her fiancé, went to the bathroom, and got back into bed. She had no headache, fever, chills, nausea, vomiting, or pain. Suddenly her body became stiff with arms flexed for a few seconds, followed by rhythmic jerking of both arms. Her legs were shaking, but less so. Her eyes were open, and she was foaming at the mouth. After 1 minute, this stopped, and she initially did not recognize her fiancé or his sister. She slowly returned to a normal level of consciousness over a 10-minute period. She remembers events just prior to the episode, and she remembers being in the car on the way to the hospital. Her only medication is a multivitamin. She denies illicit drugs. Her examination is entirely normal. Routine labs and a brain MRI are normal. Following cessation of drinking, what is the peak time period for alcohol withdrawal seizures?
a. 1-to-2 days
b. 2-to-3 days
c. 3-to-4 days
d. 4-to-5 days
e. 5-to-6 days
81. A 4-year-old boy has the onset of episodes of loss of body tone, with associated falls, as well as generalized tonic-clonic seizures. His cognitive function has been deteriorating. EEG shows 1-to-2 Hz spike-and-wave discharges. Which of the following is the most likely diagnosis?
a. Landau-Kleffner syndrome
b. Lennox-Gastaut syndrome
c. Juvenile myoclonic epilepsy
d. Mitochondrial encephalomyopathy
e. Febrile seizures
82. A 27-year-old man begins to experience infrequent episodes of nausea, warmth rising through his body, and an unusual odor like rotting fish. His girlfriend notices that afterward he may develop twitching of the right side of his face and an inability to speak for several minutes. Afterward the man appears dazed and cannot remember what has occurred. He has otherwise been well. MRI of his brain is most likely to show a lesion in which of the following areas?
a. Left occipital lobe
b. Right frontal lobe
c. Cribriform plate
d. Hippocampus
e. Left parietal lobe
83. An 18-year-old girl riding on the back of her boyfriend’s motorcycle without a helmet is brought in with a left frontal skull fracture and cortical contusion. Her Glasgow Coma Scale (GCS) is 10. She is admitted to the intensive care unit. She has had no seizures. Which of the following is true regarding anticonvulsant therapy in this case?
a. It is contraindicated owing to risk of rash.
b. It is best achieved using phenobarbital.
c. It is likely to cause increased cerebral edema.
d. It is indicated to reduce the incidence of late posttraumatic epilepsy.
e. It is indicated to reduce the incidence of early posttraumatic seizures.
84. A 36-year-old man with intractable complex partial seizures and mesial temporal sclerosis (MTS) undergoes left temporal lobectomy. He is most likely to develop which of the following problems after surgery?
a. Right superior quadrantanopsia
b. Right inferior quadrantanopsia
c. Right homonymous hemianopsia
d. Right hand weakness
e. Aphasia
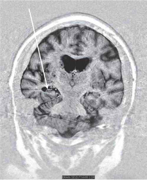
85. A 29-year-old man with a history of febrile seizures as a child has developed medication-refractory complex partial seizures within the past 2 years. An MRI reveals the abnormality indicated by the arrow. Which of the following is true regarding this condition?

a. This patient may benefit from a neurosurgical procedure.
b. The patient will probably die within 2 years.
c. The seizures will most likely stop with further medication titration.
d. A head computed tomography (CT) should be performed.
e. A cerebral angiogram may confirm the diagnosis.
Questions 86 to 91
For each clinical scenario, choose the seizure type that best explains the patient’s complaints. Each lettered option may be used once, more than once, or not at all.
a. Generalized tonic-clonic
b. Generalized absence
c. Complex partial
d. Epilepsia partialis continua
e. Simple partial sensory
f. Jacksonian march
g. Psychomotor status
h. Tonic-clonic status epilepticus
i. Pseudoseizures
j. Myoclonic
86. A 37-year-old man develops involuntary twitching movements in his left thumb. Within 30 seconds, he notices that the twitching has spread to his entire left hand and that involuntary movements have developed in his left forearm and the left side of his face. He cannot recall what happened subsequently, but his wife reports that he fell down and the entire left side of his body appeared to be twitching. He appeared to be unresponsive for about 3 minutes and confused for another 15 minutes. During the episode, he bit his tongue and wet his pants.
87. A 17-year-old boy reports involuntary jerking movements in his arms when he awakens. This has occurred during the day after a nap as well as in the morning after a full night’s sleep. Over the next few months, he developed similar jerks during the day, even when he had been awake for several hours. He did not lose consciousness with these muscle jerks, but did occasionally fall. On one occasion, jerks in his legs caused a fall that resulted in a fractured wrist.
88. A 21-year-old man reports several episodes over the previous 4 years during which he lost consciousness. He had no warning of the impending episodes, and with each episode he injured himself. Observers told him that he abruptly developed a blank stare and stopped talking. His body became stiff and he arched his back. After several seconds of this type of posturing, his arms and legs started shaking violently. During one of these episodes, he dislocated his right shoulder. He routinely bit his tongue and urinated in his pants during the episodes.
89. A 25-year-old woman was fired from her job after she misplaced papers vital for the company. She had had recurrent episodes for several years during which she performed nonsensical activities such as burying her plates in the backyard, hiding her underwear, and discarding her checkbook. She did not recall what she had done after performing these peculiar activities. She had been referred for psychotherapy, but the episodes became even more frequent after she was started on thioridazine. Her husband observed one episode and noted that she was unresponsive for about 5 minutes and confused for at least 1 hour. She did not fall down or remain immobile during the episodes. As the episodes became more frequent, she noticed that she would develop an unpleasant taste in her mouth, reminiscent of motor oil, just before an episode.
90. A 21-year-old cocaine-abusing man develops seizures that persist for more than 30 minutes before emergency medical attention is available. When examined nearly 1 hour later, he is still exhibiting tonic-clonic movements and has never recovered consciousness.
91. A 16-year-old boy with a history of acute viral myocarditis requires placement of a left ventricular assist device. He has a complicated postoperative course, with fever, bacteremia, and renal failure. On postoperative day 10, he develops continuous rhythmic jerking of the left corner of the mouth, associated with jerking of the left thumb. This persists for 24 hours. He is alert, able to follow commands, and has no gaze deviation. CT shows a small hemorrhagic infarction of the right posterior frontal region.
Questions 92 to 95
For each clinical scenario, choose the medication that is most appropriate in the management of the patient’s problem. Each lettered option may be used once, more than once, or not at all.
a. Lorazepam
b. Magnesium sulfate
c. Clonazepam
d. Felbamate
e. Phenobarbital
f. Levetiracetam
g. Divalproex sodium
h. Primidone
i. Adrenocorticotropic hormone (ACTH)
92. A 19-year-old woman describes recurrent memory problems. Her fiancé reports that she seems to be inattentive for minutes at a time several times a week. She never injures herself during these episodes, but she cannot recall what happened, and, on one occasion, she became lost while walking home. An ambulatory EEG demonstrates evolving spike activity originating in the left temporal lobe during one of the episodes. The EEG pattern does not generalize. CT and MRI scanning of the brain reveal no structural abnormalities. Conversations with the woman’s parents reveal that she had febrile seizures when she was 3 years old, which abated with antipyretic treatment alone.
93. A 7-month-old boy develops generalized limb extension and neck flexion spasms that occur more than 20 times daily and are associated with altered consciousness. EEG reveals diffuse, high-voltage, polyspike-and-slow-wave discharges between spasms and suppression of these bursts during the spasms. A sibling died with a brainstem glioma, and the father has several large areas of hypopigmented skin in the shape of ash leaves. The infant had obvious psychomotor retardation even before the appearance of the spasms.
94. A 5-year-old girl has frequent staring spells and does not respond when her mother calls her name during these episodes. She never falls down or bites her tongue, but she does have occasional lip smacking during episodes. EEG reveals a 3 Hz spike-and-wave pattern that occurs for less than 10 seconds at a time but several times an hour. The child has normal motor and cognitive development.
95. A 35-year-old pregnant woman at term is admitted to the hospital for delivery. She has headaches and visual blurring. Her blood pressure is 180/100. On examination, she is edematous. Reflexes are increased. Protein is found in the urine. She then develops a generalized tonic-clonic convulsion.
75. The answer is c. (Swaiman, pp 1019-1033.) This is a common presentation for primary generalized epilepsy of childhood. An EEG showing the classic 3 Hz spike-and-wave pattern would confirm this diagnosis. 1-2 Hz would be consistent with severe neurological dysfunction and symptomatic generalized epilepsy. Brain MRI would be normal or show an incidental finding. Anatomic problems can cause seizures, but these tests will not provide any information about brain electrical activity. Lumbar puncture is useful for measuring cerebrospinal fluid (CSF) pressure and looking for central nervous system (CNS) inflammation or infection. CNS inflammation or infection may cause seizures. Conners Rating Scale is useful for the evaluation of inattention and hyperactivity.
76. The answer is b. (Ropper, pp 304-335.) Lack of sleep is a common seizure trigger. There is no reason to believe that the patient faked the seizure. It is impossible to predict his future seizure course based on this one event; having one seizure does not necessarily mean that his seizures are getting worse, and even if they are, many treatments are available. There is no reason for the patient to take a prolonged leave of absence from school because of one seizure. This may even have detrimental psychological consequences. Other common seizure triggers include missing antiseizure medication doses, drugs (prescription or illicit), and psychological stress.
77. The answer is c. (Ropper, pp 304-335.) At one time the most popular benzodiazepine for use in status epilepticus was diazepam, which has a rapid onset of action in the brain, but is redistributed in the body relatively quickly. Because of this property, patients needed additional medication to protect themselves from recurrent seizure activity as early as 20 minutes after diazepam injection. A less fat-soluble benzodiazepine, lorazepam, has the advantage of acting rapidly but being cleared more slowly from the brain.
78. The answer is e. (Ropper, pp 304-335.) Rapid infusion of phenytoin may produce a cardiac arrhythmia or hypotension. Phenytoin should not be administered at rates greater than 50 mg/minute in adults or 1 mg/(kg-min) in children to reduce the chances of this reaction occurring. Thus it usually requires approximately 20 minutes to administer a 1000-to 1500-mg standard loading dose of phenytoin in an emergent setting such as status epilepticus. Fosphenytoin, a water-soluble prodrug of phenytoin, has the advantage of causing fewer infusion site reactions. It can be given at doses of up to 150 mg/minute in an adult, with risks of cardiac dysrhythmia similar to those of phenytoin. Another advantage of fosphenytoin is that it can be administered intramuscularly when intravenous access is problematic. Carbamazepine is not administered intravenously at all. Rapid infusion of phenobarbital may produce hypotension or respiratory arrest, but is much less likely to depress cardiac activity. Diazepam and clonazepam are safer than phenobarbital, but rapid infusion of excessively high doses may depress blood pressure and other autonomic functions.
79. The answer is b. (Fauci, pp 2504-2506.) This history is typical of a simple partial seizure. A focal brain lesion must be ruled out. It would be wrong to discharge the patient to follow up in clinic in 2 weeks without at least a CT scan and preferably an MRI. Although he probably had a seizure, obtaining an EEG at this point will not be as helpful as an MRI. The diagnosis of seizure has already been made clinically, now the etiology should be investigated. This is unlikely to be a peripheral nerve problem, and therefore an orthopedic consult or EMG and NCS are not indicated.
80. The answer is a. (Ropper, pp 1135-1139.) This is a typical example of alcohol withdrawal seizure. The greatest risk for alcohol withdrawal seizures occurs within the first day after drinking cessation, in contrast to delirium tremens, which usually occurs within 2-to-4 days of drinking cessation. By 7-to-14 days all signs of withdrawal have largely resolved.
81. The answer is b. (Swaiman, pp 1031-1033.) Lennox-Gastaut syndrome is characterized by mental dysfunction, multiple seizure types, and 1-to 2-Hz generalized spike-wave discharges on EEG. It is often difficult to control the seizures that develop in children with this syndrome. Many affected children have a history of infantile spasms (West syndrome). Infants and children with infantile spasms exhibit paroxysmal flexions of the body, waist, or neck and usually have a profoundly disorganized EEG pattern called hypsarrhythmia. Landau-Kleffner syndrome is associated with loss of language function and an abnormal EEG during sleep. Juvenile myoclonic epilepsy is a relatively benign epilepsy syndrome with onset in late adolescence or early adulthood. Febrile seizures are generalized tonic-clonic seizures associated with fever in a child who is otherwise healthy.
82. The answer is d. (Ropper, pp 310-313.) Many patients with complex partial seizures have a preseizure phenomenon (the aura) that alerts them to an impending seizure. The aura is in fact a simple partial seizure. This patient’s aura includes an olfactory hallucination, which is usually associated with lesions of the mesial temporal lobe, particularly the hippocampus or parahippocampal gyrus. Diseases that can affect that region include tumors, trauma, and MTS. Hippocampus means “seahorse” in Latin.
83. The answer is e. (Ropper, pp 864-865.) There is evidence that prophylactic phenytoin reduces the incidence of seizures after head injury. Because early posttraumatic seizures may lead to increased morbidity and prolonged hospital stays, it is reasonable in some situations to treat patients prophylactically. There is no evidence that prophylactic treatment reduces the long-term (months-to-years later) risk of developing posttraumatic epilepsy.
84. The answer is a. (Patten, p 334.) The most common complication of temporal lobectomy is a visual field defect caused by interruption of fibers from the optic tracts passing over the temporal horn of the lateral ventricles. Superior quadrantanopsia is more common than hemianopsia. Some deficits may improve if the injury does not completely damage the nerves. Language deficits, particularly dysnomia, occur less frequently. Hemiparesis is uncommon (< 2%), because the surgery is performed at a distance from the motor fibers of the corticospinal tract. Other neurological problems that can occur include diplopia caused by extraocular nerve deficits and facial paresis.
85. The answer is a. (Ropper, pp 310-313.) The history and MRI are typical for MTS. The arrow in the MRI is specifically pointing at the sclerotic right hippocampus. This is the most common cause of intractable complex partial seizures in adults. The prognosis for improved seizure control with additional medications is poor; however, surgical resection of the right anterior temporal lobe may produce seizure freedom in up to 80% of cases. If this patient had a high-grade malignant brain tumor, he would probably die within 2 years. A cerebral angiogram may confirm the diagnosis of a vascular malformation.
86. The answer is f. (Ropper, pp 309-310.) With a Jacksonian march, or sequential seizure, the patient develops focal seizure activity that is primarily motor and spreads. This type of seizure often secondarily generalizes, at which point the patient loses consciousness and may have a generalized tonic-clonic seizure. The hand is a common site for the start of a Jacksonian march. The face may be involved early because the thumb and the mouth are situated near each other on the motor strip of the cerebral cortex.
87. The answer is j. (Ropper, pp 97, 98, 308.) Myoclonic seizures may be generalized or partial. They are most commonly seen in the epilepsy syndrome called benign juvenile myoclonic epilepsy (BJME). Unlike sleep myoclonus, the episodes occur when the affected person wakes up rather than when he or she is falling asleep. Myoclonic jerks may be triggered by light flashes or loud sounds. Benign juvenile myoclonic epilepsy accounts for 4% of all cases of epilepsy. More than half of those with BJME have generalized tonic-clonic seizures as well as myoclonic seizures.
88. The answer is a. (Ropper, pp 305-308.) With generalized tonic-clonic seizures, the EEG develops abnormalities all over the cortex simultaneously. The patient may recall a strange sensation before the attack, but it is equally likely that no premonitory sign or aura will occur. Partial seizures may secondarily generalize to this type of seizure. If the patient has frequent generalized tonic-clonic seizures, he or she will be at high risk for a variety of injuries, such as dislocated shoulders, broken bones, and head trauma. Patients with this type of seizure always lose consciousness during the attack and may be confused for minutes or hours after the ictus, the most obvious segment of the seizure.
89. The answer is c. (Ropper, pp 310-313.) Complex partial seizures may be mistaken for a psychiatric problem, especially if the partial seizures do not generalize and produce tonic-clonic seizures. This patient has a typical aura involving an unpleasant smell or taste. These were once called uncinate fits, because they were ascribed to abnormal activity in the uncus of the temporal lobe. Complex partial seizures may arise from a focus of abnormal electrical activity in the temporal lobe, but they do not invariably arise from a temporal lobe focus.
90. The answer is h. (Ropper, pp 304, 307, 332-334.) Status epilepticus is defined as a seizure that lasts continuously for 30 minutes or a series of seizures over a 30-minute period without the patient regaining full consciousness between them. Status epilepticus constitutes a medical emergency, because the longer the seizures last, the worse the morbidity and mortality. Complications of status epilepticus include respiratory failure, aspiration, acidosis, hypotension, rhabdomyolysis, renal failure, and cognitive impairment.
91. The answer is d. (Ropper, pp 314-315.) Epilepsia partialis continua refers to a condition of persistent focal motor seizure activity—in essence, a focal motor status epilepticus. The distal hand and foot muscles are most frequently affected. Active or passive movement of the limb may exacerbate the seizure activity. The seizures may persist for hours or for months. The response to therapy is often poor.
92. The answer is f. (Ropper, p 332.) This young woman is having complex partial seizures without secondary generalization. She has episodic altered consciousness associated with a temporal lobe seizure focus and antedated by febrile seizures. Levetiracetam is the best choice because of its relatively good efficacy and adverse effect profile. Felbamate, phenobarbital, primidone, and divalproex sodium may also be effective at controlling the seizures, but all have side effect profiles making them poor first choices in this case.
93. The answer is i. (Ropper, pp 313-314.) This child has West syndrome, a generalized seizure disorder of infants characterized by recurrent spasms, the EEG pattern of hypsarrhythmia, and retardation. Several different diseases cause West syndrome. The family history in this case suggests tuberous sclerosis as the underlying problem. ACTH is the best of the given choices.
94. The answer is g. (Ropper, pp 307-308.) This girl has generalized absence attacks. This may be a manifestation of a more complex epilepsy syndrome or may occur as an isolated finding. Generalized absence attacks have no aura and no postictal period. The affected child has no warning that an attack is about to occur and is usually unaware that one has occurred unless it is more than a few seconds long. In fact, generalized absence seizures are most often only a few seconds long. Ethosuximide is the drug of choice, but it may cause gastrointestinal distress. Divalproex sodium is effective in many of the children who cannot tolerate ethosuximide or who are not well controlled on that antiepileptic. If the absence seizures are associated with generalized tonic-clonic seizures, divalproex sodium is a better choice. Some antiepileptic drugs, such as the sodium channel blockers phenytoin and carbamazepine, can actually worsen generalized from onset seizures.
95. The answer is b. (Ropper, pp 823-824.) Recent studies have established that magnesium sulfate (MgSO4) is the optimal treatment both to prevent seizures in women with hypertension at the time of admission for delivery (preeclampsia) and to treat seizures in established eclampsia. The dose is 4-to-5 g intravenously, followed by a 1 g/h intravenous infusion. Magnesium sulfate was shown to result in a reduction in recurrent seizures and in maternal morbidity and mortality compared with both diazepam and phenytoin. In addition, the fetus should be delivered as quickly as possible, using caesarean section if necessary. Eclampsia is an example of the posterior leukoencephalopathy syndrome.