Cancer Chemotherapy & Biotherapy: Principles & Practices, 4th Edition

Bleomycin

John S. Lazo

Bruce A. Chabner

In a search for new antimicrobial and antineoplastic agents, Umezawa and colleagues1 isolated a number of small glycopeptides from culture broths of the fungus Streptomyces verticillus. The most active antitumor agent found was, in fact, a mixture of peptides now known in clinical usage as bleomycin, a drug that has important activity against Hodgkin's disease, testicular cancer, malignant pleural effusions, cancers of the cervix and penis, and head and neck cancer. Bleomycin used in combination with vinblastine sulfate or etoposide and cis-diamminedichloroplatinum has produced a high rate of cure in patients with germinal neoplasms of the testis.2 The drug has attracted great interest because of its unique biochemical action, its virtual lack of toxicity for normal hematopoietic tissue, and its ability to cause pulmonary fibrosis. Its primary pharmacologic and pharmacokinetic features are shown in Table 15.1.

STRUCTURE AND MECHANISM OF ACTION

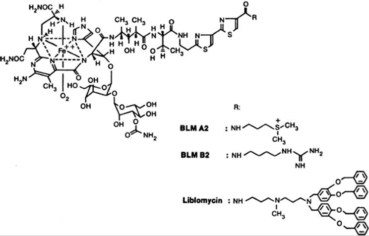
The bleomycins are a family of peptides with a molecular weight of approximately 1,500 (Fig. 15.1). All contain a unique structural component, bleomycinic acid, and differ only in their terminal alkylamine group. Because of their unusual structure, catalytic properties, and important antitumor activity, the bleomycin antibiotics have been the subject of intensive basic and clinical investigation. Bleomycin A2, the predominant peptide, has been prepared by total chemical synthesis, as has a series of analogs.3 More than 100 additional bleomycin-like antitumor antibiotics have been isolated or synthesized, but none has yet emerged as superior in clinical activity.

The clinical mixture of bleomycin peptides is formulated as a sulfate salt, and its potency is measured in units (U) of antimicrobial activity. Each unit contains between 1.2 and 1.7 mg of polypeptide protein. The powdered clinical mixture is stable for at least 1 year at room temperature and for 4 weeks after reconstitution in aqueous solution if stored at 4°C.

The multiple glycopeptides found in the clinical preparation of bleomycin have been separated and purified by paper, conventional column, and high-performance liquid chromatography (HPLC).4, 5 The predominant active component, comprising approximately 70% of the commercial preparation, is the A2peptide shown in Figure 15.1. The remaining bleomycins differ in the terminal amine. The native compound isolated from S. verticillus is a blue-colored Cu(II) coordinated complex. Bleomycin complexes in vitro 1:1 with several endogenous and exogenous metals, including Cu(I), C(II), Fe(II), Fe(III), Co(II), Co(III), Zn(II), Mn(II), and Mn(III). The Co(III) complexes are essentially inert with respect to biologic activity and the exchangeability of their bound metal and thus have been candidates for tumor localization, especially with cobalt 57 (57Co). Unfortunately, the half-life of 57Co is 270 days rather than the desired several hours or days common for clinically useful diagnostic agents. Among endogenous metals, bleomycin has the highest affinity for Cu(II); bleomycin has a fourfold greater affinity for reduced Cu(I) than for Fe(II).6 In initial clinical trials with Cu(II) bleomycin, patients experienced profound phlebitis, and the white apobleomycin was soon adopted for clinical use. Nevertheless, after systemic administration, bleomycin appears to speciate rapidly with Cu(II) removed from plasma proteins.7 The Cu(II)• bleomycin complex is internalized through a poorly described endocytotic system that may include discrete plasma membrane proteins of 250 kd.8, 9 Most investigators believe that the Cu•bleomycin is a prodrug and that cleavage-competent bleomycin is Fe(II)-speciated. Considerable chemical evidence regarding DNA damage produced by Fe(II)•bleomycin exists to support this hypothesis.6 The primary model was first outlined by Umezawa's group7 and is schematically represented in Figure 15.2. Cu(II) associated with intracellular Cu(II)•bleomycin is reduced, possibly by intracellular cysteine-rich proteins, to Cu(I), which is released, and the apobleomycin quickly complexes with Fe(II).10 Nuclear translocation of the Fe(II)•bleomycin complex proceeds with subsequent chromatin damage. The metal coordination chemistry of bleomycin has been the subject of considerable attention, and primarily on the basis of studies using electron paramagnetic resonance (EPR),11crystallography,12 and Fe(II) surrogate metals such as Cu(II), a square-pyramidal complex, as indicated in Figure 15.1, is most favored.6, 7 Six distinct moieties are required for this metal coordination complex, and the N-1 of the pyrimidine, the N of the imidazole, and the secondary amine are undisputed participants.6 Debate still exists about the arrangement of the remaining ligands, and this presumably will be resolved with further structural analyses. Although many aspects of the cellular scheme found in Figure 15.2 are biologically and chemically appealing, several questions remain unanswered, including the identity of the sulfhydryl-rich reductant for Cu(II), the recipient and fate of the Cu(I), the intracellular source of Fe(II), the mode by which the metal-bound bleomycin translocates the plasma membrane, and the nucleus. Therefore, others13, 14 have developed a rival hypothesis to explain the antitumor activity and fate of bleomycin. Even though Cu(II)•bleomycin is not highly cytotoxic,15, 16 persuasive arguments for a potential functional role of Cu(I)•bleomycin in the biologic actions of this antineoplastic agent have been presented.6, 14 Thus the widely embraced concept that Fe(II)-complexed bleomycin is the only biologically relevant species may require revision.

TABLE 15.1 KEY FEATURES OF BLEOMYCIN PHARMACOLOGY

Mechanism of action

Oxidative cleavage of DNA initiated by hydrogen abstraction

Metabolism

Activated by microsomal reduction

Degraded by hydrolase found in multiple tissues

Pharmacokinetics

t1/2α: 24 min; t1/2β: 2–4 hr

Elimination

Renal: 45–70% in first 24 hr

Drug interactions

None clearly established at a biochemical level

Oxygen enhances pulmonary toxicity

cis-Platinum induces renal failure and increases risk of pulmonary toxicity

Toxicity

Pulmonary interstitial infiltrates and fibrosis

Desquamation, especially of fingers, elbows

Raynaud's phenomenon

Hypersensitivity reactions (fever, anaphylaxis, eosinophilic pulmonary infiltrates)

Precautions

Pulmonary toxicity increased in patients with:
Underlying pulmonary disease
Age >70 yr
Renal insufficiency
Prior chest irradiation
O2 during surgery

Reduce dose if creatinine clearance <80 mL/min

t1/2, half-life.

Figure 15.1 Structure of bleomycin•Fe(II) complex. The various substitutions on the amino-terminal end of the molecule are shown for bleomycin A2 (BLM A2), for bleomycin B2 (BLM B2; also a component of the clinical preparation), and for one congener, liblomycin.

Figure 15.2 Schematic representation of bleomycin (Blm) transformation as it moves from the extracellular to the intracellular space. The Cu(II)•Blm complex in the extracellular space is converted to a cytotoxic Fe(II)•Blm•O2 complex in the cell. Inactivation of Blm by Blm hydrolase is also shown.

MECHANISM OF ACTION

Early mechanistic studies identified a concentration-dependent loss in DNA integrity with loss of cell viability in the absence of marked decreases in either RNA or protein composition. After considering several potential therapeutic targets, including RNA and DNA polymerases and nucleases and DNA ligases, most investigators accepted direct DNA damage as the most attractive candidate for the cytotoxicity and, consequently, the antitumor activity of bleomycin.6, 7Single- and double-strand DNA damage is readily observed in cultured cells and isolated DNA incubated with bleomycin in solution. This breakage is reflected in the chromosomal gaps, deletions, and fragments seen in cytogenetic studies of whole cells incubated with the drug. Nevertheless, as with many antineoplastic agents, reports exist dissociating DNA damage from cell death.17 Although this may simply reflect rapid DNA repair, other biochemical targets continue to be examined. For example, bleomycin mediates lipid peroxidation, which certainly has been associated with the lethality of other small redox-active molecules. The fact that bleomycin can participate in the oxidative degradation of the three major classes of RNA—transfer RNA, messenger RNA, and ribosomal RNA—in a substrate-specific and ternary-structure–dependent manner is also interesting.18 The cleavage of RNA occurs by H abstraction from the oligoribonucleotides19 in the presence of DNA and at pharmacologically relevant bleomycin concentrations.20 This has rekindled interest in the possibility that RNA damage may have therapeutic relevance. Nevertheless, the primacy of DNA damage as the major mechanism of bleomycin cytotoxicity remains.21

CHEMISTRY OF BLEOMYCIN-MEDIATED DNA CLEAVAGE

The mechanism by which Fe(II)•bleomycin cleaves DNA has been examined using viral, bacterial, mammalian, and synthetic DNAs. Bleomycin is unlike most DNA-damaging agents because it attacks neither the nucleic bases nor the phosphate linkage. In this multistep process, initially an “activated” Fe(II)•bleomycin•O2 complex is formed that is kinetically competent to cleave DNA. The binding of dioxygen to Fe(II)•bleomycin proceeds most rapidly in the presence of DNA, which stabilizes the complex.22 The proposed sequence of events responsible for the production of an activated bleomycin has been deduced from in vitro studies and is briefly outlined in Figure 15.3. Fe(II) combines with apobleomycin, producing an EPR-silent, high-spin Fe(II)•bleomycin complex. With dioxygen, this is rapidly converted to a ternary Fe(II)•bleomycin•O2 species, which can be trapped with isocyanide, CO, or NO or can be activated by a 1e- reduction. The e- can be supplied by a second Fe(II)•bleomycin•O2 molecule,8, 16by H2O2,8 by microsomal enzymes and nicotinamide-adenine dinucleotide phosphate (reduced form) (NADPH) organic reductant,23 or by nuclei and nicotinamide-adenine dinucleotide (reduced form) (NADH).24 Mossbauer studies23 suggest that the activated bleomycin has a half-life of a few minutes at 0°C, so it is likely to be reasonably long-lived even at 37°C. In the absence of DNA, the activated species will self-destruct. The association constant of Fe(II)•bleomycin for duplex DNA, however, is approximately 105 per M.25 Thus the second step in the DNA cleavage process readily occurs. The interaction of bleomycin with DNA shows nucleotide sequence selectivity26 and most likely occurs at the minor groove where the primary DNA target, H4′, is located.21 At saturating concentrations of bleomycin, one molecule of drug associates with four or five base pairs of DNA. The binding between bleomycin and DNA appears to be through electrostatic interactions and partial intercalation (insertion between base pairs) of the amino-terminal tripeptide of bleomycin (called the S tripeptide)27, 28 (Fig. 15.4). The bithiazole of the S tripeptide bonds to guanine groups in the favored sequence of GpC and GpT.26, 27 The terminal dimethylsulfonium of bleomycin A2 and the positively charged terminal amines of other bleomycins also participate in DNA binding, as indicated by broadening of the proton magnetic resonance of the sulfonium moiety in the presence of DNA.26 If either bleomycin or its S tripeptide is mixed with DNA, linear DNA is lengthened or supercoiled circular DNA is relaxed. Both these effects are indicative of unwinding of the double-helical structure as the result of intercalation28and can be produced by bithiazole alone or by bleomycin and bleomycin analogs. Fe(II)•bleomycin exhibits a strong preference for the B-form of DNA rather than for the Z-form,29 consistent with interactions with the minor groove of DNA.

Figure 15.3 Model for the activation of cleavage-competent bleomycin (BLM).

The third step in the action of bleomycin is the generation of single- and double-strand DNA breaks. During the DNA cleavage process, Fe(II)•bleomycin functions catalytically as a ferrous oxidase30 with the oxidation of Fe(II) to Fe(III); regeneration of the active Fe(II) requires endogenous reductants, including cytochrome P-450 reductase and NADPH,31 an enzyme found in the nucleus and nuclear membrane. Under very controlled in vitro conditions, the short-lived oxygenated iron-bleomycin species32 participates in almost four cleavage events per bleomycin molecule. Others have estimated the reduction of dioxygen by bleomycin, as monitored by measurement of oxygen consumption, with a maximum velocity of 27 mol oxygen consumed per minute per mole of bleomycin.30 The Km (binding affinity) of this reaction for Fe(II) is 1.8 mmol/L.30

The mechanism of DNA cleavage has been defined by the DNA fragments produced after incubation of the substrate with activated bleomycin.21, 33, 34, 35, 36Incubation of DNA with bleomycin in an aerobic environment results in the scission of the C-3′—C-4′ ribose bond via a Criegee-type rearrangement, which produces three types of product, including a 5′-oligonucleotide terminating at its 3′ end with a phosphoglycolic acid moiety, a 3′-oligonucleotide containing a 5′-phosphate, and a 3′-(thymin-9′-yl)propenal.8, 16 Exposure to Fe(II)•bleomycin produces the release of all four bases (thymine, cytosine, adenine, and guanine)34 (Fig. 15.5, pathway A). Under anaerobic conditions, the free-base release is accompanied by production of an oxidatively damaged sugar in the intact DNA strand, which yields DNA cleavage only in basic conditions, namely, pH 12 (Fig. 15.5, pathway B). No base propenal is released. Which of these pathways predominates in intact cells is not known, although both free bases and base propenal adducts are detected in most cells. The base propenal compounds have intrinsic cytotoxicity and may contribute to the damage to cells.37

Bleomycin produces both single- and double-strand DNA breaks in a ratio of approximately 10:1. The unexpectedly high frequency of double-strand breaks has been addressed in elegant studies of the effect of bleomycin on hairpin-shaped oligonucleotides that have single-strand gaps corresponding to those produced by bleomycin.38 The highly electronegative 3′-phosphoglycolate and 5′-phosphate groups remaining at the site of DNA single-strand cleavage may promote access of a second bleomycin molecule to the opposing strand, resulting in a double-strand break.

Figure 15.4 Intercalation of the bithiazole groups between DNA base pairs, at least one of which contains the GpT of GpC sequence. Also shown is the apposition of the Fe(II)-binding portion of bleomycin to the deoxyribose group, which is cleaved via hydrogen abstraction at the C-4′ of the deoxyribose.

Figure 15.5 Scheme for the cleavage of the 3′—4′ deoxyribose bond by the activated bleomycin•Fe(II)•O2 complex. The activated drug complex initially abstracts a hydrogen radical from the 4′ position to produce the unstable intermediate [1] that decomposes in the presence of oxygen (pathway A) to produce the free base propenal [7], leaving a 3′-phosphoglycolate ester [8] and a 5′-phosphate [6] at the free ends of the broken DNA strand. Under conditions of limited oxygen, a free base [9] is released, and DNA strand scission occurs only in the presence of alkali (pH 12).

Analysis of the products of DNA cleavage, using either viral or mammalian DNA, has consistently shown a preferential release of thymine or thymine-propenal, with lesser amounts of the other three bases or their propenal adducts.21, 39 The propensity for attack at thymine bases probably results from the previously mentioned preference for partial intercalation of bleomycin between base pairs in which at least one strand contains the sequence 5′-GpT-3′. The specificity for cleavage of DNA at a residue located at the 3′ side of G seems to be absolute.40 A schematic representation of the intercalation and cleavage processes as conceived by Grollman and Takeshita41 is given in Figure 15.4 and summarizes the structural and sequence specificities discussed in this chapter.

CELLULAR PHARMACOLOGY

The cellular uptake of bleomycin is slow, and large concentration gradients are maintained between extracellular and intracellular spaces.42 14C-bleomycin accumulates at the cell membrane of murine tumor cells, with gradual appearance of labeling at the nuclear membrane only after 4 hours of exposure.43 The importance of the plasma membrane as a barrier for the highly cationic bleomycins, which also have a significant size, has been clearly documented by studies using electrical permeabilization techniques,44 which increases intracellular drug and cytotoxicity. A bleomycin-binding membrane protein has been identified with a molecular mass of 250 kd and becomes half-maximally saturated with a bleomycin concentration of 5 µmol/L.9This protein may be responsible for the internalization of bleomycin, but additional characterization is necessary to affirm its role in the cytotoxic action of bleomycin. Using a fluorescent mimic of bleomycin or agents that disrupt vacuoles, Mistry et al.45 and Lazo et al.8 concluded that the internalized bleomycin is sequestered in cytoplasmic organelles. The process by which the entrapped bleomycin is released from the vesicles is not known.

Once bleomycin is internalized, it either translocates to the nucleus to effect DNA damage or can be degraded by bleomycin hydrolase, which has been characterized and cloned from several species.46, 47, 48, 49 This homomultimeric enzyme metabolizes and inactivates a broad spectrum of bleomycin analogs. The enzyme cleaves the carboxamide amine from the β-aminoalaninamide, yielding a weakly cytotoxic (less than 1/100) deaminobleomycin.46 Both the primary amino acid sequence and higher-order structure determined by x-ray crystallography reveal that bleomycin hydrolase is a founding member of what is a growing class of self-compartmentalizing or sequestered intracellular proteases.50, 51 Both yeast and human enzymes are homohexamers with a ring or barrel-like structure that have the papain-like active sites situated within a central channel in a manner resembling the organization of the active sites in the 20S proteosome.50, 51 The central channel, which has a strong positive electrostatic potential in the yeast protein, is slightly negative in human bleomycin hydrolase.51 The yeast enzyme binds to DNA and RNA, but human bleomycin hydrolase lacks this attribute.48, 51, 52 The C-terminus requires autoprocessing of the terminal amino acid, and the processed enzyme has both aminopeptidase and peptide ligase activity.52, 53 The kinetic properties of bleomycin hydrolase, such as its pH optimum and salt requirements, are distinct from those of other cysteine proteinases, although the substrate specificity of bleomycin hydrolase is similar to that of cathepsin H.47 Human bleomycin hydrolase is located on chromosome band 17q11.2 and has one polymorphic site encoding either a valine or isoleucine.54, 55 Bleomycin hydrolase is found in both normal and malignant cells.48, 56 That this is the only enzyme responsible for metabolizing bleomycin was documented with bleomycin hydrolase–null or “knockout” mice.57 This inactivating enzyme is present in relatively low concentrations in lung and skin, the two normal tissues most susceptible to bleomycin damage.46, 56 Interestingly, pulmonary bleomycin hydrolase levels are highest in animal species or strains resistant to the pulmonary toxicity of bleomycin.46 Mice that lack the functional gene are more sensitive to the toxic effects of bleomycin.57 The enzyme is cytoplasmic but also may be localized to distinct subcellular organelles,58 although the functional significance of this regionalization requires more investigation. A polymorphism, A1450G, in the coding region of the gene may affect catalytic activity and thus sensitivity to bleomycin, but it requires further characterization.59

Cells exposed to bleomycin in culture seem to be most susceptible in mitosis or in the G2, or intermitotic, phase of the cell cycle60; in addition, progression of cells through G2 into mitosis is blocked by the drug.61 In mouse L cells, S phase is also lengthened before G2 blockade.62 Barlogie et al.63 observed that cell death also occurred in cells exposed during G1, although cell killing was maximal in G2.

DNA is more sensitive to DNA cleavage at the G2-M and G1 phases of the cell cycle than at S phase, which may reflect differences in chromatin structure.64The degree of chromatin compactness dramatically influences bleomycin- induced DNA damage.65

Despite the apparent increased toxicity for cells in G2, no agreement exists regarding preferential kill of logarithmically growing cells as compared with plateau-phase cells; indeed, some workers have observed greater fractional cell kill for plateau-phase cells.66 The possibility of enhancing cell kill by exposure during G2 has led to the clinical use of bleomycin by continuous infusion to maximize the chances of tumor cell exposure during the most sensitive phase of the cell cycle. The results of these trials have not been convincing with respect to increasing activity.

The intracellular lesions caused by bleomycin include chromosomal breaks and deletions and both single-strand and (less frequently) double-strand breaks. In nonmitotic cells, DNA is organized into nucleosomes, or small beads, which are joined by long strands, or linker regions. The primary point of attack seems to be in the linker regions of DNA, between nucleosomes.67 Interestingly, the resulting 180–to 200–base-pair fragments are similar in size to those formed by endonucleases activated during apoptosis.44 The technique of alkaline elution has been used by Iqbal and coworkers,68 who observed a biphasic survival curve for cell survival or for DNA single-strand breaks versus dose. The reason for the biphasic characteristics of these curves is unclear, but it may be related to the differing susceptibility of DNA to cleavage by bleomycin during different phases of the cell cycle or the production of small internucleosomal DNA breaks from either direct DNA damage or an apoptotic endonuclease. Clearly, however, cell kill and DNA strand breakage increase in proportion to the duration of drug exposure for at least 6 hours; this finding again implies a greater effectiveness for bleomycin given by prolonged infusion than by intravenous bolus.

Cells are able to repair bleomycin-induced DNA breaks via a complex array of enzymes and pathways specific for both single-strand and double-strand breaks.59 A delay in plating cells after bleomycin exposure increases plating efficiency, presumably by allowing time for repair of potentially lethal damage.69 Inhibitors of DNA repair, such as caffeine and 3′-aminobenzamide,70 accentuate DNA strand breakage and cell kill by bleomycin. Indirect evidence suggests that repair processes similar to those required for repair of lesions induced by ionizing radiation play a role in limiting damage due to bleomycin,71, 72 whereas cells deficient in repair mechanisms for ultraviolet radiation damage have no increased sensitivity to bleomycin. Cells from patients with ataxia-telangiectasia, which arises from an inherited defect in DNA repair, have increased sensitivity to bleomycin,73 as do cells deficient in BRCA1, a component of pathways that sense DNA damage and repair double-strand breaks.74, 75

RESISTANCE

Several intracellular factors have been identified as contributors to bleomycin tumor resistance: increased drug inactivation, decreased drug accumulation, and increased repair of DNA damage, particularly double-strand breaks.74, 75 Early studies76 demonstrated increased rates of bleomycin inactivation in two bleomycin-resistant rat hepatoma cell lines. Morris et al.77 raised a neutralizing polyclonal antibody to bleomycin hydrolase and demonstrated an increased level of this enzyme in cultured human head and neck carcinoma cells with acquired resistance to bleomycin. Metabolic inactivation of bleomycin also can contribute to intrinsic bleomycin resistance in human colon carcinoma cells.78 Treatment of tumor-bearing mice with E-64 before treatment with bleomycin inhibited bleomycin metabolism and increased the antitumor activity of bleomycin without increasing pulmonary toxicity.78 This provides a potentially novel approach to increase the therapeutic activity of bleomycin.

Increased bleomycin hydrolase activity is not the only mechanism of bleomycin resistance.79 Some cells selected in culture for bleomycin resistance display enhanced DNA repair capacity.80 A decrease in drug content is also seen in human tumor cells with acquired resistance to bleomycin.17 Because Fe(III)•bleomycin requires reduction to Fe(II)•bleomycin, sulfhydryl groups on proteins and peptides are potential factors in drug resistance. Tumor lines with elevated levels of glutathione, selected for resistance to doxorubicin, are collaterally sensitive to bleomycin.81 The evidence for glutathione enhancement of bleomycin activity is not entirely clear; others have found that buthionine sulfoxamine, a glutathione-depleting agent, enhances tumor sensitivity to bleomycin.82 Increasing the major protein thiol metallothionein produces a small increase in bleomycin sensitivity, consistent with the proposal that this cysteine-rich protein may assist in the removal of Cu(I) from bleomycin.10 Bleomycin is not affected by P-glycoprotein, the product of the multidrug resistance gene, in contrast to many other natural products.

CLINICAL PHARMACOKINETICS

A number of techniques have been developed for assay of bleomycin in biologic fluids, including microbiologic methods,83 HPLC,84 biochemical techniques (degradation of DNA),85 and radioimmunoassay methods.86 The most rapid and simplest for clinical studies is the radioimmunoassay, which, using bleomycin labeled with iodine-125 or 57Co, has provided insight into the disposition of bleomycin in humans and has superseded the less sensitive and less specific microbiologic assay techniques. The antibodies described by Broughton and Strong86 react quantitatively with the component peptides of the clinically used bleomycin formulation. The primary component peptides A2 and B2 give 75 to 100% reactivity compared with the mixture in standard curve determinations. HPLC, using the ion-pairing technique, allows resolution of the component peptides but is more time-consuming.

The hallmark of bleomycin pharmacokinetics in patients with normal serum creatinine is a rapid two-phase drug disappearance from plasma; 45%87 to 70%88of the dose is excreted in the urine within 24 hours. For intravenous bolus doses, the half-lives for plasma disappearance have varied somewhat among the published studies. Alberts et al.89 reported α and βhalf-lives of 24 minutes and 4 hours, respectively, whereas Crooke et al.90 estimated the βhalf-life to be approximately 2 hours. Peak plasma concentrations reach 1 to 10 mU/mL for intravenous bolus doses of 15 U/m2.

For patients receiving bleomycin by continuous intravenous infusion, the postinfusion half-life is approximately 3 hours. Intramuscular injection of bleomycin (2 to 10 U/m2) gave peak plasma levels of 0.13 to 0.6 mU/mL, or approximately one-tenth the peak level achieved by the intravenous bolus doses.91 The mean half-life after intramuscular injection was 2.5 hours, or approximately the same as that after intravenous injection. Peak serum concentrations were reached approximately 1 hour after injection (Fig. 15.6). Bleomycin pharmacokinetics also have been studied in patients receiving intrapleural or intraperitoneal injections. These routes have proved effective in controlling malignant effusions due to breast, lung, and ovarian cancer.92 Intracavitary bleomycin, in doses of 60 U/m2, gives peak plasma levels of 0.4 to 5.0 mU/mL, with a plasma half-life of 3.4 hours after intrapleural doses and 5.3 hours after intraperitoneal injection.93 Corresponding intracavitary levels are 10- to 22-fold higher than simultaneous plasma concentrations.94 Approximately 45% of an intracavitary dose is absorbed into the systemic circulation, and 30% is excreted in the urine as immunoreactive material.

As might be expected, bleomycin pharmacokinetics is markedly altered in patients with abnormal renal function, particularly those with creatinine clearance of less than 35 mL/minute. Alberts et al.89 noted a terminal half-life of approximately 10 hours in a patient with a slightly elevated creatinine clearance of 1.5 mg/dL, and Crooke et al.87 reported a patient who showed a creatinine clearance of 10.7 mL/minute and a β half-life of 21 hours. Others have reported a high frequency of pulmonary toxicity in patients with renal dysfunction secondary to cisplatin treatment.88, 95 One report described fatal pulmonary fibrosis that occurred after three doses of 20 U each given to a patient with chronic renal insufficiency (blood urea nitrogen, 48 mg/dL; creatinine, 4.8 mg/dL).96 The available data are too limited to provide accurate guidelines for dosage adjustment in patients with renal failure. One retrospective study identified a glomerular filtration rate of less than 80 mL/minute as conferring an increased risk of pulmonary toxicity.97 The prudent course is to decrease dosages by 50% for patients with clearances below 80 mL/minute or to give an alternative regimen such as vinblastine, ifosfamide and cisplatin.98

Figure 15.6 Pharmacokinetics of bleomycin after intramuscular administration of 2 (●), 5 (m), and 10 (▲) mg of bleomycin per m2. (From Oken MM, Crooke ST, Elson MK, et al. Pharmacokinetics of bleomycin after IM administration in man. Cancer Treat Rep 1981;65:485.)

CLINICAL TOXICITY AND SIDE EFFECTS

The most important toxic actions of bleomycin affect the lungs and skin; usually little evidence of myelosuppression is apparent except in patients with severely compromised bone marrow function due to extensive previous chemotherapy.99 In such patients, myelosuppression is usually mild and is seen primarily with high-dose therapy. Fever occurs during the 48 hours after drug administration in one-quarter of patients.100 Some investigators advocate using a 1-U test dose of bleomycin in patients receiving their initial dose of drug,101 because rare instances of fatal acute allergic reactions have been reported.

Pulmonary Toxicity

Pulmonary toxicity is manifest as a subacute or chronic interstitial pneumonitis complicated in its later stages by progressive interstitial fibrosis, hypoxia, and death.102 Pulmonary toxicity, usually manifested with cough, dyspnea, and bibasilar pulmonary infiltrates on chest radiographs, occurs in 3% to 5% of patients receiving a total dose of less than 450 U bleomycin; it increases significantly to a 10% incidence in those treated with greater cumulative doses.100 Toxicity is also more frequent in patients older than age 70, in those with underlying emphysema, and in patients receiving single doses greater than 25 U/m2.103 The use of bleomycin in single doses of more than 30 U is to be discouraged, because instances of rapid onset of fatal pulmonary fibrosis 7 to 8 weeks after high-dose bleomycin have been reported.104 Evidence also exists that previous radiotherapy to the chest predisposes to bleomycin-induced pulmonary toxicity.105Although the risk of lung toxicity increases with cumulative doses greater than 450 U, severe pulmonary sequelae have been observed at total doses below 100 U. In the standard regimen for treating testicular cancer, bleomycin is given in doses of 30 U/week for 12 doses, and the incidence of fatal pulmonary toxicity in this low-risk population of young male patients is less than 2%.2, 106

Pathogenesis of Pulmonary Toxicity

The potential for bleomycin A2, A5, A6, or B2 to cause pulmonary toxicity is easily demonstrated by intravenous infusion or by direct instillation of the parent molecule into the trachea of a rodent, where it induces an acute inflammatory response, epithelial apoptosis, an alveolar fibrinoid exudate, and, over a period of 1 to 2 weeks, progressive deposition of collagen.107, 108 The terminal amines of these bleomycins are sufficient, by themselves, to cause the toxicity in rodents, and the toxic potency of the bleomycins is directly correlated with the potency of their individual terminal amines, with the A2 aminopropyl-dimethylsulfonium and the A5 spermidine having greater effect than the B2 agmatine.109 These findings raise the possibility that modification of the terminal amine might allow selection of a less toxic analog for clinical use. Several such analogs have been tested, but clinical superiority has not been demonstrated.

The pathogenesis of bleomycin pulmonary toxicity in rodents serves as a model for understanding pulmonary fibrosis, an end result of a broad range of human diseases induced by drugs, autoimmunity, and infection.107 The primary model has been the intratracheal instillation of bleomycin in mice or hamsters,110although one should note that in clinical drug use the agent is administered pareniterally. The drug has direct toxicity to alveolar epithelial cells, causing induction of epithelial apoptosis, intraalveolar inflammation, cytokine release by alveolar macrophages, fibroblast proliferation, and collagen deposition,110,111, 112 as well as endothelial cell damage in small pulmonary vessels.113 As changes progress from acute inflammation to interstitial fibrosis, pulmonary function deteriorates, as indicated by a decrease in lung compliance, a decrease in carbon monoxide diffusion capacity, and terminal hypoxia.114, 115Hydroxyproline deposition parallels the increase in collagen and serves as a quantitative measure of the progression of fibrosis in animal models.114

A broad array of cytokines, produced by alveolar macrophages and by endothelial cells in response to bleomycin, have been implicated in the molecular pathogenesis of pulmonary fibrosis. These include transforming growth factor β(TGF-β),115, 116, 117 tumor necrosis factor α (TNF-α),118, 119, 120 interleukin 1β,120 interleukins 2, 3, 4, 5, and 6,121, 122 and various chemokines. Bleomycin and TGF-β both stimulate the promoter that controls transcription of a collagen precursor.117 Interleukin 1 augments TGF-β secretion stimulated by bleomycin, whereas TNF-α enhances prostaglandin secretion and fibroblast proliferation.120

Genetic experiments have provided further insight into factors that influence susceptibility to fibrosis120, 121, 122, 123, 124 and into the central role of cytokines in bleomycin lung toxicity. They illustrate the importance of drug inactivation, fibrin deposition, and cytokine action in mediating lung injury. Travis and colleagues have shown that strains of mice with greatly increased susceptibility to bleomycin toxicity (and simultaneously to radiation toxicity) can be inbred, although the specific genetic defect is still unclear.123, 124 Other experiments have shown that specific genetic lesions do predispose to pulmonary fibrosis. Bleomycin hydrolase–knockout mice have significantly greater lung and epidermal toxicity than normal controls.125 Mice lacking plasminogen activator inhibitor 1, a protein that blocks the activation of the major fibrinolytic protease in plasma and in the alveolar space, have decreased susceptibility to bleomycin pulmonary fibrosis,126 as do mice lacking matrilysin, a matrix metalloproteinase.127

Perhaps the most compelling genetic experiments implicate the central role of TGF-β, which is secreted by alveolar macrophages in response to bleomycin.128TGF-β is secreted in a complex with a latency-associated peptide and is activated by binding of the complex to αvβ6 integrin found on alveolar epithelial cells and keratinocytes. This binding of the TGF-β complex to its integrin exposes cytokine-binding domains that allow interaction of TGF-β with its receptor(s) and stimulates the production of procollagen by fibroblasts.129 Mice in which αvβ6 integrin has been knocked out develop an inflammatory alveolar response to bleomycin but do not develop progressive fibrosis.

The stimulus for cytokine and chemokine release is uncertain, although apoptosis of epithelial cells, alveolar macrophages, or lymphocytes may play an important role.130, 131 In mice, genetic deletion of either Fas, which is expressed on pulmonary epithelial cells, or Fas ligand, as expressed on T lymphocytes, does not prevent inflammation but does protect against pulmonary fibrosis.131 Soluble Fas antigen or anti-Fas ligand antibody also provides protection against fibrosis, presumably by preventing Fas-mediated epithelial apoptosis. CXCL12, a potent chemokine, is secreted by inflammatory cells in response to lung injury and attracts bone marrow–derived stem cells that establish as fibrocytes in the damaged lung.130 Anti-CXCL12 antibodies protect against bleomycin-induced pulmonary fibrosis.

In addition to providing remarkable insights regarding the pathogenesis of pulmonary fibrosis, these experiments suggest a number of new approaches to the prevention of bleomycin toxicity. Thus, in various animal models, protection is provided by Fas antigen and anti-Fas ligand antibodies131; TNF-α–soluble receptor132; TGF-β antibodies133; granulocyte-macrophage colony–stimulating factor antibodies134; pirfenidone, an inhibitor of platelet-derived growth factor function and procollagen transcription135, 136; the antioxidant amifostine137; relaxin, a collagen matrix–degrading protein that increases collagenase secretion and decreases procollagen synthesis138; transgenic expression of Sh ble, a yeast protein that binds the iron-bleomycin complex and protects against its toxicity139; dehydroproline, an inhibitor of procollagen synthesis140, 141; indomethacin142; and anti-CXCL12 antibodies.130 These findings may be applicable to the general problem of preventing drug-induced or idiopathic pulmonary fibrosis in humans,143 although none of these agents has yet been shown to be efficacious in a clinical trial.

In general, in animal toxicology experiments, single high doses of bleomycin produce greater pulmonary inflammation and fibrosis than do smaller daily doses or continuous drug infusion,144, 145 but these findings have never been confirmed in humans.

Clinical Syndrome of Pulmonary Toxicity

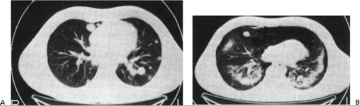
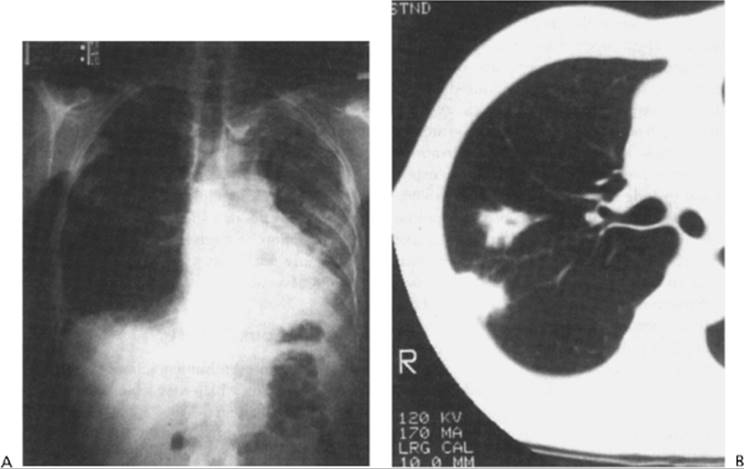
Clinical symptoms of bleomycin pulmonary injury include a nonproductive cough, dyspnea, and occasionally fever and pleuritic pain. Physical examination usually reveals minimal auscultatory evidence of pulmonary alveolar infiltrates, and initial chest films are often negative or may reveal an increase in interstitial markings, especially in the lower lobes, with a predilection for subpleural areas. Chest radiographs, when positive, reveal patchy reticulonodular infiltrates, which in later stages may coalesce to form areas of apparent consolidation. In occasional patients, the initial radiographic changes may be discrete nodules indistinguishable from metastatic tumor; central cavitation of nodules may be present146, 147 (Fig. 15.7). Gallium-67 lung scans or computed tomographic scans (Fig. 15.8) may show the presence of a diffuse lung lesion at a time of minimal abnormality on plain films of the chest; computed tomographic scans are much more sensitive than posteroanterior chest films in revealing the extent of pulmonary fibrosis. Radiologic findings do not differentiate bleomycin lung toxicity from other forms of interstitial lung disease,148 however, particularly Pneumocystis carinii pneumonia. Arterial oxygen desaturation and an abnormal carbon monoxide diffusion capacity are present in symptomatic patients with bleomycin toxicity as well as in patients with other forms of interstitial pulmonary disease. Thus, open lung biopsy is usually required to distinguish between the primary differential diagnostic alternatives, specifically a drug-induced pulmonary lesion, an infectious interstitial pneumonitis, and neoplastic pulmonary infiltration. The findings on histologic examination of human lung after bleomycin treatment closely resemble those previously described in the experimental animal and include necrosis of Type I alveolar cells, an acute inflammatory infiltrate in the alveoli, interstitial and intraalveolar edema, pulmonary hyaline membrane formation, and intraalveolar and, later in the course, interstitial fibrosis. In addition, squamous metaplasia of Type II alveolar lining cells has been described as a characteristic finding.149 In rare cases, a true hypersensitivity pneumonitis may develop, characterized by underlying eosinophilic pulmonary infiltrates and a prompt clinical response to corticosteroids.150

Figure 15.7 A: Typical interstitial pulmonary infiltrates, most obvious in left lung, observed during treatment of a patient with testicular carcinoma. B:Nodular variant of bleomycin pulmonary toxicity in a patient undergoing treatment for testicular cancer. Computed tomographic scan of chest showing a nodular density with central cavitation. On biopsy, the lesion was found to be composed of granulomas with associated interstitial pneumonitis. Appropriate stains and cultures did not reveal infectious agents. (From Talcott JA, Garnick MB, Stomper PC, et al. Cavitary lung nodules associated with combination chemotherapy containing bleomycin. J Urol 1987;138:619.)

Figure 15.8 Computed tomographic scans of the chest before (A) and after (B) treatment for testicular cancer. The multiple metastatic pulmonary nodules partially regressed with therapy, but the posttreatment film shows dense bilateral pulmonary fibrosis as well as a large left pneumothorax and pneumomediastinum. The patient died of bleomycin pulmonary toxicity shortly afterward.

Pulmonary function tests, particularly a rapid fall in the carbon monoxide–diffusing capacity, are of possible value in predicting a high risk of pulmonary toxicity. Most patients treated with bleomycin, however, show a progressive (10 to 15%) fall in diffusion capacity with increasing total dose and a more marked increase in changes above a 270-unit total dose. Whether or not the diffusion capacity test can be used to predict which patients will subsequently develop clinically significant pulmonary toxicity is not clear.151 Some investigators suggest that bleomycin should be halted if the diffusion capacity for carbon dioxide (DCCO) falls below 40% of the initial value, even in the absence of symptoms. As mentioned earlier, at advanced stages in the evolution of bleomycin pulmonary toxicity, the diffusion capacity as well as arterial oxygen saturation and total lung capacity become markedly abnormal. Long-term assessment of pulmonary function in patients treated with bleomycin for testicular cancer has revealed a return to baseline normal values at a median of 4 years after treatment.152

Patients who have received bleomycin seem to be at greater risk of respiratory failure during the postoperative recovery period after surgery,153 although more recent studies have questioned the association of perioperative oxygen and pulmonary toxicity.154 In one study, five of five patients treated with 200 U/m2 bleomycin (cumulative dose) for testicular cancer died of postoperative respiratory failure; a reduction in inspired oxygen to an inspired oxygen fraction of 0.24 and a decrease in the volume of fluids administered during surgery prevented mortality in subsequent patients.153 The sensitivity of bleomycin-treated patients to high concentrations of inspired oxygen is intriguing in view of the molecular action of bleomycin, which is dependent on and mediated by the formation of oxygen-derived free radicals. Current safeguards for anesthesia of bleomycin-treated patients include the use of the minimum tolerated concentration of inspired oxygen and modest fluid replacement to prevent pulmonary edema.

No specific therapy is available for patients with bleomycin-induced lung toxicity. Discontinuation of the drug may be followed by a period of continued progression of the pulmonary findings, with partial reversal of the abnormalities in pulmonary function only after several months. The inflammatory component of the pathologic process does resolve in experimental models,115 and interstitial infiltrates regress clinically, but the reversibility of pulmonary fibrosis has not been documented. The value of corticosteroids in promoting recovery from bleomycin-induced lung toxicity remains controversial; beneficial effects have been described in isolated case studies.155, 156 Long-term follow- up of patients with clinical and radiographic evidence of bleomycin-induced pneumonitis suggests a complete resolution of radiographic, clinical, and pulmonary function abnormalities in a small series of eight patients 2 years after completion of treatment for testicular cancer.157 However, in more severe cases pulmonary fibrosis may be only partially reversible.

Cutaneous Toxicity

A more common but less serious toxicity of bleomycin is its effect on skin, which may relate to bleomycin hydrolase levels.56 Approximately 50% of patients treated with conventional once-daily or twice-daily doses of this agent develop erythema, induration, and hyperkeratosis and peeling of skin that may progress to frank ulceration.100 These changes predominantly affect digits, hands, joints, and areas of previous irradiation. Hyperpigmentation, alopecia, and nail changes also occur during bleomycin therapy. These cutaneous side effects do not necessitate discontinuation of therapy, particularly if clear benefit is being derived from the drug. Rarely, patients may develop Raynaud's phenomenon while receiving bleomycin.158 Other toxic reactions to bleomycin include hypersensitivity reactions characterized by urticaria, periorbital edema, and bronchospasm.100

SCHEDULES OF ADMINISTRATION

Bleomycin has been administered using a number of different schedules and routes of administration. The most common route and schedule is bolus intravenous injection. Because of the greater effect of bleomycin on cells in the mitotic and G2 phases of the cell cycle, the drug has been given by continuous infusion to produce prolonged exposure to toxic concentrations, but a high incidence of pulmonary toxicity has sometimes resulted. For example, continuous infusion of 25 U/day for 5 days produced the expected rapid onset of pulmonary toxicity, particularly in patients with previous chest irradiation,105, 159 but in addition caused hypertensive episodes in 17% of patients and hyperbilirubinemia in 30%.103 These latter toxicities are rarely seen with conventional bolus doses.

Continuous intraarterial infusion also has been used for patients with carcinoma of the cervix160 and of the head and neck.161 One study160 noted a disappointing 12% response rate to infusion of 20 U/m2 per week for courses of up to 3 weeks. Pulmonary toxicity was observed in 20% of patients.

Bleomycin also has been applied topically as a 3.5% ointment in a xipamide (Aquaphor) base. Two-week courses of treatment produced complete regression of Paget's disease of the vulva in four of seven patients,162 with no serious local toxicity.

As described previously in the discussion of pharmacokinetics, bleomycin can be used to sclerose the pleural space in patients with malignant effusions. After thorough evacuation of fluid from the pleural space, 40 U/m2 is dissolved in 100 mL normal saline and instilled through a thoracostomy tube, which is clamped for 8 hours and then returned to suction. In approximately one-third of patients thus treated, the effusion clears completely; this is about the same response rate as obtained with tetracycline instillation.163, 164 The only toxic reactions are fever and pleuritis, both of which resolve in 24 to 48 hours. The intraperitoneal instillation of bleomycin has been used in patients with ovarian cancer, mesothelioma, and other malignancy confined to the peritoneum93 but with rare responses. Sixty milligrams of bleomycin per m2 was dissolved in 2 L of saline, and the solution was placed in the peritoneal cavity for a 4- to 8-hour dwell time. Side effects included abdominal pain, fever, rash, and mucositis. A limited pharmacokinetic advantage was observed (the peritoneal area under the concentration × time curve was sevenfold greater than the plasma area under the curve), which provides little justification for this route of administration.

Bleomycin has been instilled into the urinary bladder in doses of 60 U in 30 mL of sterile water.165 Seven of 26 patients with superficial transitional cell carcinomas had complete disappearance of disease after 7 to 8 weekly treatments, but all had relatively small lesions. The primary toxic reaction was cystitis. Plasma drug level monitoring revealed little evidence of systemic absorption.

RADIATION AND DRUG INTERACTION

Bleomycin is used frequently in combination therapy regimens for treatment of lymphomas and less commonly for squamous carcinomas of the esophagus and head and neck, primarily because of its lack of myelosuppressive toxicity. The pharmacologic basis of synergism between bleomycin and various agents has received considerable attention166, 167 but is only poorly understood. Administration of bleomycin within 3 hours of irradiation, either before or after, produces greater than additive effects,168 possibly owing to the production of free-radical damage to DNA by both agents. This interaction has been tested in a randomized clinical trial of radiation therapy plus or minus bleomycin, 5 mg twice weekly, in patients with head and neck cancer.169 In this study, the group receiving bleomycin had a significantly higher complete response rate and a better 3-year disease-free survival rate. As mentioned earlier, synergistic pulmonary toxicity has been reported in patients receiving bleomycin after previous chest irradiation.

REFERENCES

1. Umezawa H, Maeda K, Takeuchi T, et al. New antibiotics, bleomycin A and B. J Antibiot (Tokyo) 1966;19:200.

2. Levi JA, Raghavan D, Harvey V, et al. The importance of bleomycin in combination chemotherapy for good-prognosis germ cell carcinoma. J Clin Oncol 1993;11:1300.

3. Takita T, Umezawa Y, Saito S, et al. Total synthesis of bleomycin A2. Tetrahedron Lett 1982;23:521.

4. Umezawa H, Suhara Y, Takita T, et al. Purification of bleomycin. J Antibiot (Tokyo) 1966;19:210.

5. Mistry JS, Sebti SM, Lazo JS. Separation of bleomycins and their deamido metabolites by high-performance cation-exchange chromatography. J Chromatogr 1990;514:86.

6. Stubbe J, Kozarich JW. Mechanisms of bleomycin-induced DNA degradation. Chem Rev 1987;87:1107.

7. Umezawa H. Advances in bleomycin studies. In: Hecht SM, ed. Bleomycin: Chemical, Biochemical, and Biological Aspects. New York: Springer-Verlag, 1979:24.

8. Lazo JS, Schisselbauer JC, Herring GM, et al. Involvement of the cellular vacuolar system with the cytotoxicity of bleomycin-like agents. Cancer Commun 1990;2:81.

9. Pron G, Belehradek J Jr, Mir LM. Identification of a plasma membrane protein that specifically binds bleomycin. Biochem Biophys Res Commun 1993;194:333.

10. Takahashi K, Takita T, Umezawa H. The nature of thiol compounds which trap cuprous ion reductively liberated from bleomycin-Cu(II) in cells. J Antibiot (Tokyo) 1987;40:348.

11. Dabrowiak JC, Greenaway FT, Santillo FS, et al. The iron complexes of bleomycin and tallysomycin. Biochem Biophys Res Commun 1979;91:721.

12. Takita T, Muraoka Y, Nakatani T, et al. Chemistry of bleomycin, XXI: metal-complex and its implication for the mechanism of bleomycin action. J Antibiot (Tokyo) 1978; 31:1073.

13. Ehrenberg GM, Shipley JB, Heimbrook DC, et al. Copper dependent cleavage of bleomycin. Biochemistry 1987; 26:931.

14. Hecht SM. The chemistry of activated bleomycin. Acc Chem Res 1986;19:383.

15. Sausville EA, Peisach J, Horwitz SB. Effects of chelating agents and metal ions on the degradation of DNA by bleomycin. Biochemistry 1978;17:2740.

16. Sausville EA, Peisach J, Horwitz SB. A role for ferrous ion and oxygen in the degradation of DNA by bleomycin. Biochem Biophys Res Commun 1976;73:814.

17. Lazo JS, Schisselbauer JC, Meandzija B, et al. Initial single strand DNA damage and cellular pharmacokinetics of bleomycin A2. Biochem Pharmacol 1989;38:2207.

18. Holes CE, Carter BJ, Hecht SM. Characterization of iron (II)•bleomycin–mediated RNA strand scission. Biochemistry 1993;32:4293.

19. Holmes CE, Duff RJ, von der Marvel GA, et al. On the chemistry of DNA degradation by Fe•bleomycin. Bioorganic Med Chem 1997;5:1235.

20. Morgan MA, Hecht SM. Iron (II)•bleomycin–mediated degradation of a DNA-RNA heteroduplex. Biochemistry 1994;33:10286.

21. Burger RM. Cleavage of nucleic acids by bleomycin. Chem Rev 1998;98:1153.

22. Fulmer P, Pettering DH. Reaction of DNA-bound ferrous bleomycin with dioxygen: activation versus stabilization of dioxygen. Biochemistry 1994;33:5319.

23. Ciriolo MR, Magliozzo RS, Peisach J. Microsome-stimulated activation of ferrous bleomycin in the presence of DNA. J Biol Chem 1987;262:6290.

24. Mahmutoglu I, Kappus H. Redox cycling of bleomycin-Fe(III) by an NADH-dependent enzyme, and DNA damage in isolated rat liver nuclei. Biochem Pharmacol 1987;36:3677.

25. Burger RM, Kent TA, Horwitz SB, et al. Mossbauer study of iron bleomycin and its activation intermediates. J Biol Chem 1983;258:1559.

26. Kasai H, Naganawa H, Takita T, et al. Chemistry of bleomycin, XXII: interaction of bleomycin with nucleic acids, preferential binding to guanine base and electrostatic effect of the terminal amine. J Antibiot (Tokyo) 1978;31:1316.

27. Umezawa H, Takita T, Sugiura Y, et al. DNA-bleomycin interaction: nucleotide sequence–specific binding and cleavage of DNA by bleomycin. Tetrahedron 1984;40:501.

28. Povirk LF, Hogan M, Dattagupta N. Binding of bleomycin to DNA: intercalation of the bithiazole rings. Biochemistry 1979;18:96.

29. Hertzberg RP, Caranfa MJ, Hecht SM. Degradation of structurally modified DNAs by bleomycin group antibiotics. Biochemistry 1988;27:3164.

30. Caspary WJ, Niziak C, Lanzo DA, et al. Bleomycin A2: a ferrous oxidase. Mol Pharmacol 1979;16:256.

31. Kilkuskie RE, Macdonald TL, Hecht SM. Bleomycin may be activated for DNA cleavage by NADPH–cytochrome P450 reductase. Biochemistry 1984;23:6165.

32. Burger RM, Horwitz SB, Peisach J, et al. Oxygenated iron bleomycin: a short-lived intermediate in the reaction of ferrous bleomycin with O2. J Biol Chem 1979;254:12299.

33. Sugiura Y, Kikuchi TK. Formation of superoxide and hydroxy radicals by bleomycin and iron (II). J Antibiot (Tokyo) 1978;1:1310.

34. Sausville E, Stein R, Peisach J, et al. Properties and products of the degradation of DNA by bleomycin. Biochemistry 1978;17:2746.

35. Burger RM, Projan SJ, Horwitz SB, et al. The DNA cleavage mechanism of iron-bleomycin. J Biol Chem 1986;261:15955.

36. Rabow L, Stubbe J, Kozarich JW, et al. Identification of the alkali-labile product accompanying cytosine release during bleomycin-mediated degradation of d(CGCGCG). J Am Chem Soc 1986;108:7130.

37. Grollman AP, Takeshita M, Pillai KM, et al. Origin and cytotoxic properties of base propenals derived from DNA. Cancer Res 1985;45:1127.

38. Keller TJ, Oppenheimer NJ. Enhanced bleomycin-mediated damage of DNA opposite charged nicks: a model for bleomycin-directed double strand scission of DNA. J Biol Chem 1987;262:15144.

39. Burger RM, Berkowitz AR, Peisach J, et al. Origin of malondialdehyde from DNA degraded by Fe(II)-bleomycin. J Biol Chem 1980;255:11832.

40. Takeshita M, Grollman AP, Ohtsubo E, et al. Interaction of bleomycin with DNA. Proc Natl Acad Sci USA 1978;75:5983.

41. Grollman AP, Takeshita M. Interactions of bleomycin with DNA. In: Weber G, ed. Advances in Enzyme Regulation. Vol 18. Oxford: Pergamon Press, 1980:67.

42. Roy SN, Horwitz SB. Characterization of the association of radiolabeled bleomycin A2 with HeLa cells. Cancer Res 1984;44:1541.

43. Fugimito J, Higashi H, Kosaki G. Intracellular distribution of [14C]bleomycin and the cytokinetic effects of bleomycin in the mouse tumor. Cancer Res 1976;36:2248.

44. Touchekti O, Pron G, Belehradek J Jr, et al. Bleomycin, an apoptosis mimetic drug that induces two types of cell death depending on the number of molecules internalized. Cancer Res 1993;53:5462.

45. Mistry JS, Jani JP, Morris G, et al. Synthesis and evaluation of fluoromycin: a novel fluorescence-labeled derivative of talisomycin S10b. Cancer Res 1992;52:709.

46. Lazo JS, Humphreys CJ. Lack of metabolism as the biochemical basis of bleomycin-induced pulmonary toxicity. Proc Natl Acad Sci USA 1983;80:3064.

47. Sebti SM, Mignano JE, Jani JP, et al. Bleomycin hydrolase: molecular cloning, sequencing and biochemical studies reveal membership in the cysteine proteinase family. Biochemistry 1989;28:6544.

48. Brömme D, Rossi AB, Smeekens SP, et al. Human bleomycin hydrolase: molecular cloning, sequencing, functional expression, and enzymatic characterization. Biochemistry 1996;35:6706.

49. Enekel C, Wolf DH. BLH1 codes for a yeast thiol aminopeptidase, the equivalent of mammalian bleomycin hydrolase. J Biol Chem 1993;268:7036.

50. Joshua-Tor L, Xu HE, Johnston SA, et al. Crystal structure of a conserved protease that binds DNA: the bleomycin hydrolase, Gal6. Science 1995;269:945.

51. Farrell PA, Gonzalez F, Zheng W, et al. Crystal structure of human bleomycin hydrolase, a self-compartmentalizing cysteine protease. Structure 1999;7:619.

52. Koldamova RP, Lefterov IM, Gadjeva VG, et al. Essential binding and functional domains of human bleomycin hydrolase. Biochemistry 1998;37:2282.

53. Zheng W, Johnston SA, Joshua-Tor L. The unusual active site of Gal6/bleomycin hydrolase can act as a carboxypeptidase, aminopeptidase, and peptide ligase. - 1998;93:103.

54. Montoya SE, Ferrell RE, Lazo JS. Genomic structure and genetic mapping of the human neutral cysteine protease bleomycin hydrolase. Cancer Res 1997;57:4191.

55. Ferrando A, Pendas A, Elena L, et al. Gene characterization, promoter analysis, and chromosomal localization of human bleomycin hydrolase. J Biol Chem 1997;272:33298.

56. Takeda A, Nonaka M, Ishikawa A, et al. Immunohistochemical localization of the neutral cysteine protease bleomycin hydrolase in human skin. Arch Dermatol Res 1999;291:238.

57. Schwartz DR, Homanics GE, Hoyt DG. The neutral cysteine protease bleomycin hydrolase is essential for epidermal integrity and bleomycin resistance. Proc Natl Acad Sci USA 1999;96:4680.

58. Koldamova RP, Lefterov LM, DiSabella MT, et al. An evolutionarily conserved cysteine protease, human bleomycin hydrolase, binds to the human homologue of ubiquitin-conjugating enzyme 9. Mol Pharmacol 1998;54:954.

59. Tuimala J, Szekely G, Gundy S, et al. Genetic polymorphisms of DNA repair and xenobiotic-metabolizing enzymes: role in mutagen sensitivity. Carcinogenesis 2002;23:1003–1008.

60. Barranco SC, Humphrey RM. The effects of bleomycin on survival and cell progression in Chinese hamster cells in vitro. Cancer Res 1971;31:1218.

61. Tobey RA. Arrest of Chinese hamster cells in G2 following treatment with the antitumor drug bleomycin. J Cell Physiol 1972; 79:259.

62. Wanatabe M, Takabe Y, Katsumata T, et al. Effects of bleomycin on progression through the cell cycle of mouse L cells. Cancer Res 1974;34:2726.

63. Barlogie B, Drewinko B, Schumann J, et al. Pulse cytophotometric analysis of cell cycle perturbation with bleomycin in vitro. Cancer Res 1976;36:1182.

64. Olive PL, Banath JP. Detection of DNA double-strand breaks through the cell cycle after exposure to x-rays, bleomycin, etoposide and 125IdUrd. Int J Radiat Biol 1993;64:349.

65. Lopez-Larraza DM, Bianchi NO. DNA response to bleomycin in mammalian cells with variable degrees of chromatin condensation. Environ Mol Mutagen 1993;21:258.

66. Twentyman PR. Bleomycin: mode of action with particular reference to the cell cycle. Pharmacol Ther 1983;23:417.

67. Kuo MT, Hsu TC. Bleomycin causes release of nucleosomes from chromatin and chromosomes. Nature 1978;271:83.

68. Iqbal ZM, Kohn KW, Ewig RAG, et al. Single-strand scission and repair of DNA in mammalian cells by bleomycin. Cancer Res 1976;36:3834.

69. Barranco SC, Novak JK, Humphrey RM. Studies on recovery from chemically induced damage in mammalian cells. Cancer Res 1975;35:1194.

70. Nakatsugawa S, Dewey WC. The role in cancer therapy of inhibiting recovery from PLD induced by radiation or bleomycin. Int J Radiat Oncol Biol Phys 1984;10:1425.

71. Onishi T, Shimada K, Takagi Y. Effects of bleomycin on Escherichia coli strains with various sensitivities to radiation. Biochem Biophys Acta 1973;312:248.

72. Cramer P, Painter RB. Bleomycin-resistant DNA synthesis in ataxia telangiectasia cells. Nature 1981;291:671.

73. Taylor AMR, Rosney CM, Campbell JB. Unusual sensitivity of ataxia telangiectasia cells to bleomycin. Cancer Res 1979;39:1046.

74. Quinn JE, Kennedy RD, Mullan PB, et al. BRCA1 functions as a differential modulator of chemotherapy-induced apoptosis. Cancer Res 2003;63:6221.

75. Li HR, Shagisultanova EI, Yamashita K, et al. Hypersensitivity of tumor cell lines with microsatellite instability to DNA double strand break producing chemotherapeutic agent bleomycin. Cancer Res 2004;64:4760.

76. Mayaki M, Ono T, Hori S, et al. Binding of bleomycin to DNA in bleomycin-sensitive and resistant rat ascites hepatoma cells. Cancer Res 1975;35:2015.

77. Morris G, Mistry JS, Jani JP, et al. Neutralization of bleomycin hydrolase by an epitope-specific antibody. Mol Pharmacol 1992;42:57.

78. Jani JP, Mistry JS, Morris G, et al. In vivo circumvention of human colon carcinoma resistance to bleomycin. Cancer Res 1992;52:2931.

79. Brabbs S, Warr JR. Isolation and characterization of bleomycin-resistant clones of OHO cells. Genet Res 1979;34:269.

80. Zuckerman JE, Raffin TA, Brown JM, et al. In vitro selection and characterization of a bleomycin-resistant subline of B16 melanoma. Cancer Res 1986;46:1748.

81. Tsuruo T, Hamilton TC, Louie KG, et al. Collateral susceptibility of Adriamycin-, melphalan- and cisplatin-resistant human ovarian tumor cells to bleomycin. Jpn J Cancer Res 1986;77:941.

82. Russo A, Mitchell JB, McPherson S, et al. Alteration of bleomycin cytotoxicity by glutathione depletion or elevation. Int J Radiat Oncol Biol Phys 1984;10:1675.

83. Umezawa H, Takeuchi T, Hori S, et al. Studies on the mechanism of antitumor effect of bleomycin on squamous cell carcinoma. J Antibiot (Tokyo) 1972;25:409.

84. Shiu GK, Goehl TJ. High-performance liquid chromatographic determination of bleomycin A2 in urine. J Chromatogr 1980;181:127.

85. Galvan L, Strong JE, Crooke ST. Use of PM-2 DNA degradation as a pharmacokinetic assay for bleomycin. Cancer Res 1979;39:3948.

86. Broughton A, Strong JE. Radioimmunoassay of bleomycin. Cancer Res 1976;36:1418.

87. Crooke ST, Luft F, Broughton A, et al. Bleomycin serum pharmacokinetics as determined by a radioimmunoassay and a microbiologic assay in a patient with compromised renal function. Cancer 1977;39:1430.

88. Bennett WM, Pastore L, Houghton DC. Fatal pulmonary bleomycin toxicity in cisplatin-induced acute renal failure. Cancer Treat Rep 1980;64:921.

89. Alberts DS, Chen HSG, Liu R, et al. Bleomycin pharmacokinetics in man, I: intravenous administration. Cancer Chemother Pharmacol 1978;1:177.

90. Crooke ST, Comis RL, Einhorn LH, et al. Effects of variations in renal function on the clinical pharmacology of bleomycin administered as an IV bolus. Cancer Treat Rep 1977;61:1631.

91. Oken MM, Crooke ST, Elson MK, et al. Pharmacokinetics of bleomycin after IM administration in man. Cancer Treat Rep 1981;65:485.

92. Paladine W, Cunningham TJ, Sponzo R, et al. Intracavitary bleomycin in the management of malignant effusions. Cancer 1976;38:1903.

93. Alberts DS, Chen HSG, Mayersohn M, et al. Bleomycin pharmacokinetics in man, II: intracavitary administration. Cancer Chemother Pharmacol 1979;2:127.

94. Howell SB, Schiefer M, Andrews PA, et al. The pharmacology of intraperitoneally administered bleomycin. J Clin Oncol 1987;5:2009.

95. Dalgleish AG, Woods RL, Levi JA. Bleomycin pulmonary toxicity: its relationship to renal dysfunction. Med Pediatr Oncol 1984;12:313.

96. McLeod BF, Lawrence HJ, Smith DW, et al. Fatal bleomycin toxicity from a low cumulative dose in a patient with renal insufficiency. Cancer 1987;60:2617.

97. O'Sullivan JM, Huddart RA, Norman AR, et al. Predicting the risk of bleomycin lung toxicity in patients with germ-cell tumors. Ann Oncology 2003;14:91.

98. Hinton S, Catalano PJ, Einhorn LH, et al. Cisplatin, etoposide and either bleomycin or ifosfamide in the treatment of disseminated germ cell tumors. Cancer 2003;97:1869.

99. Hubbard SP, Chabner BA, Canellos GP, et al. High-dose intravenous bleomycin in treatment of advanced lymphomas. Eur J Cancer 1975;11:623.

100. Blum RH, Carter SK, Agre K. A clinical review of bleomycin—a new antineoplastic agent. Cancer 1973;31:903.

101. Levy RL, Chiarillo S. Hyperpyrexia, allergic-type response, and death occurring with bleomycin administration. Oncology 1980;37:316.

102. Comis RL. Bleomycin pulmonary toxicity: current status and future directions. Semin Oncol 1992;19(Suppl 5):64.

103. Parvinen LM, Kikku P, Maekinen E, et al. Factors affecting the pulmonary toxicity of bleomycin. Acta Radiol Oncol 1983;22:417.

104. Dee GJ, Austin JH, Mutter GL. Bleomycin-associated pulmonary fibrosis: rapidly fatal progression without chest radiotherapy. J Surg Oncol 1987;35:135.

105. Samuels ML, Johnson DE, Holoye PH, et al. Large-dose bleomycin therapy and pulmonary toxicity: a possible role of prior radiotherapy. JAMA 1976;235:1117.

106. Williams SD, Birch R, Einhorn LA, et al. Treatment of disseminated germ cell tumors with cisplatin, bleomycin, and either vinblastine or etoposide. N Engl J Med 1987;316:1435.

107. Harrison JH Jr, Lazo JS. High dose continuous infusion of bleomycin in mice: a new model for drug-induced pulmonary fibrosis. J Pharmacol Exp Ther 1987;243:1185.

108. Hay J, Shahzeidi S, Laurent G. Mechanisms of bleomycin-induced lung damage. Arch Toxicol 1991;65:81.

109. Raisfeld IH. Role of terminal substituents in the pulmonary toxicity of bleomycins. Toxicol Appl Pharmacol 1981;57:355.

110. Huff RA, Bevan DR. Application of alkaline unwinding to analysis of breaks induced by bleomycin in hamster lung DNA in vivo. J Appl Toxicol 1991;11:359.

111. Phan SH, Varani J, Smith D. Rat lung fibroblast collagen metabolism in bleomycin-induced pulmonary fibrosis. J Clin Invest 1985;76:241.

112. Conley NS, Yarbro JW, Ferrari HA, et al. Bleomycin increases superoxide anion generation by pig peripheral alveolar macrophages. Mol Pharmacol 1986;30:48.

113. Adamson IY, Bowden DH. The pathogenesis of bleomycin-induced pulmonary fibrosis in mice. Am J Pathol 1974;77:185.

114. Sikic BI, Young DM, Mimnaugh EG, et al. Quantification of bleomycin pulmonary toxicity in mice by changes in lung hydroxyproline content and morphometric histopathology. Cancer Res 1978;38:787.

115. Phan S, Gharaee-Kermani M, McGarry B, et al. Regulation of rat pulmonary artery endothelial cell transforming growth factor-beta production by Il-1beta and tumor necrosis factor-alpha. J Immunol 1992;149:103.

116. Hoyt DG, Lazo JS. Alterations in pulmonary mRNA encoding procollagens, fibronectin and transforming growth factor-β precede bleomycin-induced pulmonary fibrosis in mice. J Pharmacol Exp Ther 1988;246:765.

117. King SL, Lichter AC, Rowe SW, et al. Bleomycin stimulates pro-alpha (I) collagen promoter through transforming growth factor beta response element by intracellular and extracellular signaling. J Biol Chem 1994;269:13156.

118. Everson MP, Chandler DB. Changes in distribution, morphology, and tumor necrosis factor-alpha secretion of alveolar macrophage subpopulations during the development of bleomycin-induced pulmonary fibrosis. Am J Pathol 1992;140:503.

119. Khalil N, Whitman C, Zuo L, et al. Regulation of alveolar macrophage transforming growth factor-beta secretion by corticosteroids in bleomycin-induced pulmonary inflammation in the rat. J Clin Invest 1993;92:1812.

120. Piguet PF, Collart MA, Grau GE, et al. Tumor necrosis factor/ cachectin plays a key role in bleomycin induced pneumopathy and fibrosis. J Exp Med 1989;170:655.

121. Scheule RK, Perkins RC, Hamilton R, et al. Bleomycin stimulation of cytokine secretion by the human alveolar macrophage. Am J Physiol 1992;262:L386.

122. Baecher AC, Barth RK. PCR analysis of cytokine induction profiles associated with mouse strain variation in susceptibility to pulmonary fibrosis. Reg Immunol 1993;5:207.

123. Haston CK, Amos CI, King TM, et al. Inheritance of susceptibility to bleomycin-induced pulmonary fibrosis in the mouse. Cancer Res 1996;56:2596.

124. Haston CK, Travis EL. Murine susceptibility to radiation-induced pulmonary fibrosis is influenced by a genetic factor implicated in susceptibility to bleomycin-induced pulmonary fibrosis. Cancer Res 1997;57:5286.

125. Schwartz DR, Homanics GE, Hoyt DG, et al. The neutral cysteine protease bleomycin hydrolase is essential for epidermal integrity and bleomycin resistance. Proc Natl Acad Sci USA 1999;96:4680.

126. Eitzman DT, McCoy RD, Zheng X, et al. Bleomycin-induced pulmonary fibrosis in transgenic mice that either lack or overexpress the murine plasminogen activator inhibitor-1 gene. J Clin Invest 1996;97:232.

127. Zuo F, Kaminski N, Eugui E, et al. Gene expression analysis reveals matrilysin as a key regulator of pulmonary fibrosis in mice and humans. PNAS 2002;99:6292.

128. Munger JS, Huang X, Kawakatsu H, et al. The integrin αvβ6 binds and activates latent TGFβ1: a mechanism for regulating pulmonary inflammation and fibrosis. Cell 1999;96:319.

129. Coker RK, Laurent GJ, Shahzeidi S, et al. Transforming growth factors-β1, -β2, and -β3 stimulate fibroblast procollagen production in vitro but are differentially expressed during bleomycin-induced lung fibrosis. Am J Pathol 1997;150:981.

130. Phillips RJ, Burdick MD, Hing K, et al. Circulating fibrocytes traffic to the lungs in response to CXL12 and mediate fibrosis. J Clin Invest 2004;114:438.

131. Kuwano K, Hagimoto N, Kawasaki M, et al. Essential roles of the fas-fas ligand pathway in the development of pulmonary fibrosis. J Clin Invest 1999;104:13.

132. Piguet PK, Besin C. Treatment by human recombinant soluble TNF receptor of pulmonary fibrosis induced by bleomycin or silica in mice. Eur Respir J 1994;7:515.

133. Giri SN, Hyde DM, Hollinger MA. Effect of antibody to transforming growth factor beta on bleomycin-induced accumulation of lung collagen in mice. Thorax 1993;48:959.

134. Piguet PF, Grau GE, deKossodo S. Role of granulocyte-macrophage colony stimulating factor in pulmonary fibrosis induced in mice by bleomycin. Exp Lung Res 1993;19:579.

135. Gurujeyalakshmi G, Hollinger MA, Giri SN. Pirfenidone inhibits PDGF isoforms in bleomycin hamster model of lung fibrosis at the translational level. Am J Physiol 1999;276:L311.

136. Iyer SN, Gurujeyalakshmi G, Giri SN. Effects of pirfenidone on procollagen gene expression at the transcriptional level in bleomycin hamster model of lung fibrosis. J Pharmacol Exp Ther 1999;289:211.

137. Nici L, Santos-Moore A, Kuhn C, et al. Modulation of bleomycin-induced pulmonary toxicity in the hamster by the antioxidant amifostine. Cancer 1998;83:2008.

138. Unemori EN, Pickford LB, Salles AL, et al. Relaxin induces an extracellular matrix-degrading phenotype in human lung fibroblasts in vitro and inhibits lung fibrosis in a murine model in vivo. J Clin Invest 1996;98:2739.

139. Weinbach J, Camus A, Barra J, et al. Transgenic mice expressing the Sh ble bleomycin resistance gene are protected against bleomycin-induced pulmonary fibrosis. Cancer Res 1996;56: 5659.

140. Phan SH, Thrall RS, Ward PA. Bleomycin-induced pulmonary fibrosis in rats: biochemical demonstration of increased rates of collagen synthesis. Am Rev Respir Dis 1980;121:501.

141. Kelley J, Newman RA, Evans JN. Bleomycin-induced pulmonary fibrosis in the rat: prevention with an inhibitor of collagen synthesis. J Lab Clin Med 1980;96:954.

142. Thrau RS, McCormick JR, Jack RM, et al. Bleomycin-induced pulmonary fibrosis in the rat: inhibition by indomethacin. Am J Pathol 1979;95:117.

143. Witschi H. Exploitable biochemical approaches for the evaluation of toxic lung damage. Essays Toxicol 1975;6:125.

144. Sikic BI, Collins JM, Mimnaugh EG, et al. Improved therapeutic index of bleomycin when administered by continuous infusion in mice. Cancer Treat Rep 1978;62:2011.

145. Samuels ML, Johnson DE, Holoye PY. Continuous intravenous bleomycin (NSC-125066) therapy with vinblastine (NSC-49842) in stage III testicular neoplasia. Cancer Chemother Rep 1975;59:563.

146. Zucker PK, Khouri NF, Rosenshein NB. Bleomycin-induced pulmonary nodules: a variant of bleomycin pulmonary toxicity. Gynecol Oncol 1987;28:284.

147. Talcott JA, Garnick MB, Stomper PC, et al. Cavitary lung nodules associated with combination chemotherapy containing bleomycin. J Urol 1987;138:619.

148. Richman SD, Levenson SM, Bunn PA, et al. 67Ga-Accumulation in pulmonary lesions associated with bleomycin toxicity. Cancer 1975;36:1966.

149. Burkhardt A, Gebbers JO, Holtje WJ. Die Bleomycin-Lunge. Dtsch Med Wochenschr 1977;102:281.

150. Holoye PY, Luna MA, MacKay B, et al. Bleomycin hypersensitivity pneumonitis. Ann Intern Med 1978;88:47.

151. Comis RL, Kuppinger MS, Ginsberg SJ, et al. Role of single-breath carbon monoxide–diffusing capacity in monitoring the pulmonary effects of bleomycin in germ-free tumor patients. Cancer Res 1979;39:5076.

152. Osanto S, Bukman A, Van Hoek F, et al. Long-term effects of chemotherapy in patients with testicular cancer. J Clin Oncol 1992;10:574.

153. Goldiner PL, Carlon GC, Critkovic E, et al. Factors influencing post-operative morbidity and mortality in patients treated with bleomycin. Br Med J 1978;1:1664.

154. Donat SM, Levy DA. Bleomycin associated pulmonary toxicity: is pre-operative oxygen restriction necessary? J Urology 1998; 160:1397.

155. Yagoda A, Etwbanas E, Tan CTC. Bleomycin, an antitumor antibiotic: clinical experience in 274 patients. Ann Intern Med 1972;77:861.

156. Maher J, Daley PA. Severe bleomycin lung toxicity: reversal with high dose corticosteroids. Thorax 1993; 48:92.

157. Van Barneveld PW, Sleijfer DT, van der Mark TW, et al. Natural course of bleomycin-induced pneumonitis: a follow-up study. Am Rev Respir Dis 1987;135:48.

158. Letters to the editor. Cancer Treat Rep 1978;62:569.

159. Einhorn L, Krause M, Hornbach N, et al. Enhanced pulmonary toxicity with bleomycin and radiotherapy in oat cell lung cancer. Cancer 1976;37:2414.

160. Morrow CP, DiSaia PJ, Mangan CF, et al. Continuous pelvic arterial infusion with bleomycin for squamous carcinoma of the cervix recurrent after irradiation therapy. Cancer Treat Rep 1977; 61:1403.

161. Bitter K. Pharmacokinetic behaviour of bleomycin–cobalt-57 with special regard to intra-arterial perfusion of the maxillofacial region. J Maxillofac Surg 1976;4:226.

162. Watring WG, Roberts JA, Lagasse LD, et al. Treatment of recurrent Paget's disease of the vulva with topical bleomycin. Cancer 1978;41:10.

163. Kessinger A, Wigton RS. Intracavitary bleomycin and tetracycline in the management of malignant pleural effusions: a randomized study. J Surg Oncol 1987;36:81.

164. Maiche AG, Virkkunen P, Kantkanen T, et al. Bleomycin and mitoxantrone in the treatment of malignant pleural effusions. Am J Clin Oncol 1992;16:50.

165. Bracken RB, Johnson DE, Rodriquez L, et al. Treatment of multiple superficial tumors of bladder with intravesical bleomycin. Urology 1977;9:161.

166. Crooke ST, Bradner WT. Bleomycin: a review. J Med 1976;7:333.

167. Blehan NM, Gillies NE, Twentyman PR. The effect of bleomycin and radiation in combination on bacteria and mammalian cells in culture. Br J Radiol 1974;47:346.

168. Takabe Y, Miyamoto T, Watanabe M, et al. Synergism of x-ray and bleomycin on Ehrlich ascites tumour cells. Br J Cancer 1977;36:391.

169. Fu K, Phillips TL, Silverberg IJ, et al. Combined radiotherapy and chemotherapy with bleomycin and methotrexate for advanced inoperable head and neck cancer: update of a Northern California Oncology Group randomized trial. J Clin Oncol 1987;5:1410.



If you find an error or have any questions, please email us at admin@doctorlib.org. Thank you!