9.1 Primary Open-Angle Glaucoma
Symptoms
Usually asymptomatic until the later stages. Symptoms may include visual field defects. Usually bilateral, but can present asymmetrically. Severe field damage and loss of central fixation typically do not occur until late in the disease.
Signs

FIGURE 9.1.1 Primary open-angle glaucoma with advanced optic nerve cupping.

FIGURE 9.1.2 Disc damage likelihood scale (DDLS).

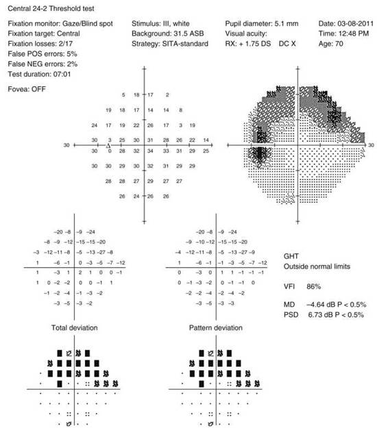
FIGURE 9.1.3 Humphrey visual field showing a superior arcuate defect or scotoma of the left eye.
• Intraocular pressure (IOP): Although many patients will have an elevated IOP (normal range of 10 to 21 mm Hg), nearly half have an IOP of 21 mm Hg or lower at any one screening.
• Gonioscopy: Normal-appearing, open anterior chamber angle. No peripheral anterior synechiae (PAS).
• Optic nerve: See Figure 9.1.1. Characteristic appearance includes loss of rim tissue (includes notching; increased and/or progressive narrowing most commonly inferiorly followed by superiorly, more rarely nasally or temporally), cupping, nerve fiber layer defect, splinter or nerve fiber layer hemorrhage that crosses the disc margin (Drance hemorrhage), acquired pit, cup/disc (C/D) asymmetry >0.2 in the absence of a cause (e.g., anisometropia, different nerve sizes), bayoneting (sharp angulation of the blood vessels as they exit the nerve), enlarged C/D ratio (>0.6; less specific), progressive enlargement of the cup, and greater disc damage likelihood scale (DDLS) score (see Figure 9.1.2).
• Visual fields: Characteristic visual field loss patterns include nasal step, paracentral scotoma, arcuate scotoma extending from the blind spot nasally (defects usually respect the horizontal midline or are greater in one hemifield than the other), altitudinal defect, or generalized depression (see Figure 9.1.3).
Other. Large fluctuations in IOP, inter-eye IOP asymmetry >5 mm Hg, beta-zone peripapillary atrophy, absence of microcystic corneal edema, and absence of secondary features (e.g., pseudoexfoliation, inflammation).
Differential Diagnosis
If anterior chamber angle open on gonioscopy:
• Ocular hypertension: Normal optic nerve and visual field. See 9.3, Ocular Hypertension.
• Physiologic optic nerve cupping: Static enlarged C/D ratio without rim notching or visual field loss. Usually normal IOP and large optic nerve (>about 2 mm). Often familial.
• Secondary open-angle glaucoma: Identifiable cause for openangle glaucoma including inflammatory, exfoliative, pigmentary, steroid-induced, angle recession, traumatic (as a result of direct injury, blood, or debris), and glaucoma related to increased episcleral venous pressure (e.g., Sturge-Weber syndrome, carotid-cavernous fistula), intraocular tumors, degenerated red blood cells (ghost cell glaucoma), lens-induced, degenerated photoreceptor outer segments following chronic rhegmatogenous retinal detachment (Schwartz-Matsuo syndrome), or developmental anterior segment abnormalities.
• Low-tension glaucoma: Same as primary open-angle glaucoma (POAG) except normal IOP. See 9.2, Low-Tension Primary Open-Angle Glaucoma (Normal Pressure Glaucoma).
• Previous glaucomatous damage (e.g., from steroids, uveitis, glaucomatocyclitic crisis, trauma) in which the inciting agent has been removed. Nerve appearance now static.
• Optic atrophy: Characterized by disproportionally more optic nerve pallor than cupping. IOP usually normal unless a secondary or unrelated glaucoma is present. Color vision and central vision are often decreased, although not always. Causes include tumors of the optic nerve, chiasm, or tract; syphilis, ischemic optic neuropathy, drugs, retinal vascular or degenerative disease, and others. Visual field defects that respect the vertical midline are typical of intracranial lesions localized at the chiasm or posterior to it.
• Congenital optic nerve defects (e.g., tilted discs, colobomas, optic nerve pits): Visual field defects may be present but are static.
• Optic nerve drusen: Optic nerves not usually cupped and drusen often visible. Visual field defects may remain stable or progress unrelated to IOP. The most frequent defects include arcuate defects or an enlarged blind spot. Characteristic calcified lesions can be seen on B-scan ultrasonography (US) (as well as on computed tomography [CT]). Autofluorescence can also highlight nerve drusen.
If anterior chamber angle closed or partially closed on gonioscopy:
• Chronic angle closure glaucoma (CACG): Shallow anterior chamber. May present with history of episodic blurred vision or headache. PAS present on gonioscopy. See 9.5, Chronic Angle Closure Glaucoma.
Workup

FIGURE 9.1.4 Optical coherence tomography of the optic nerve head (ONH) and retinal nerve fiber layer (RNFL) thickness.
1. History: Presence of risk factors (family history of blindness or visual loss from glaucoma, older age, African descent, diabetes, myopia, hypertension, or hypotension)? Previous history of increased IOP, chronic steroid use, or ocular trauma? Refractive surgery including laser in situ keratomileusis (LASIK) in past (i.e., change in pachymetry)? Review of past medical history to determine appropriate therapy including asthma, chronic obstructive pulmonary disease (COPD), congestive heart failure, heart block or bradyarrhythmia, renal stones, allergies?
2. Baseline glaucoma evaluation: All patients with suspected glaucoma of any type should have the following:
• Complete ocular examination including visual acuity, pupillary assessment for a relative afferent pupillary defect, confrontational visual fields, slit lamp examination, applanation tonometry, gonioscopy, and dilated fundus examination (if the angle is open) with special attention to the optic nerve. Color vision testing is indicated if any suspicion of a neurologic disorder or optic neuropathy.
• Baseline documentation of the optic nerves. May include meticulous drawings, stereoscopic disc photos, red-free photographs, and/or computerized image analysis (e.g., optical coherence tomography [OCT] with analysis of the nerve fiber layer and ganglion cell layer or Heidelberg retina tomography [HRT]) (see Figure 9.1.4). Documentation should include presence or absence of pallor and/or disc hemorrhages.
• Formal visual field testing (e.g., Humphrey or Octopus automated visual field). Goldmann visual field tests may be helpful in patients unable to take the automated tests adequately. Standard visual field testing includes evaluation of peripheral and central field (e.g., Humphrey 24-2 strategy). In cases of paracentral defect or advanced disease, specialized central field testing (e.g., Humphrey 10-2 strategy) is recommended.
• Measure central corneal thickness (CCT). Corneal thickness variations affect apparent IOP as measured with applanation tonometry. Average corneal thickness is 535 to 545 microns. Thinner corneas tend to underestimate IOP, whereas thicker corneas tend to overestimate IOP. Of note, the relationship between corneal thickness and measured IOP is not exactly linear. A thin CCT is an independent risk factor for the development of POAG.
• Evaluation for other causes of optic nerve damage should be considered when any of the following atypical features are present:
• Optic nerve pallor out of proportion to the degree of cupping.
• Visual field defects greater than expected based on amount of cupping.
• Visual field patterns not typical of glaucoma (e.g., defects respecting the vertical midline, hemianopic defects, enlarged blind spot, central scotoma).
• Unilateral progression despite equal IOP in both eyes.
• Decreased visual acuity out of proportion to the amount of cupping or field loss.
• Color vision loss, especially in the red-green axis.
If any of these are present, further evaluation may include:
• History: Acute episodes of eye pain or redness? Steroid use? Acute visual loss? Ocular trauma? Surgery, systemic trauma, heart attack, dialysis, or other event that may lead to hypotension?
• Diurnal IOP curve consisting of multiple IOP checks during the course of the day.
• Consider other laboratory workup for nonglaucomatous optic neuropathy: Heavy metals, vitamin B12/folate, angiotensin-converting enzyme, antinuclear antibody, Lyme antibody, rapid plasma reagin or Venereal Disease Research Laboratory, and fluorescent treponemal antibody absorption or treponemal-specific assay (e.g., MHA-TP). If giant cell arteritis (GCA) is a consideration, check erythrocyte sedimentation rate, C-reactive protein, and platelets (see 10.17, Arteritic Ischemic Optic Neuropathy [Giant Cell Arteritis]).
• In cases where a neurologic disorder is suspected, obtain magnetic resonance imaging (MRI) of the brain and orbits with gadolinium and fat suppression if no contraindications present.
• Check blood pressure, fasting blood sugar, hemoglobin A1c, lipid panel, and CBC (screening for anemia). Refer to an internist for a complete cardiovascular evaluation.
Treatment
General Considerations
1. Who to treat?
The decision to treat must be individualized. Some general guidelines are suggested.
Is the glaucomatous process present?
Glaucomatous damage is likely if any of the following are present: presence of thin or notched optic nerve rim, characteristic visual field loss, retinal nerve fiber layer damage, or if DDLS score is >5 (see Figure 9.1.2). Treatment should be considered in the absence of manifest damage if IOP is higher than 30 mm Hg, and/or IOP asymmetry is more than 10 mm Hg.
Is the glaucomatous process active?
Determine the rate of damage progression by careful follow up. Certain causes of optic nerve rim loss may be static (e.g., prior steroid response). Disc hemorrhages suggest active disease.
Is the glaucomatous process likely to cause disability?
Consider the patient's age, overall physical and social health, as well as an estimation of his or her life expectancy.
2. What is the treatment goal?
The goal of treatment is to enhance or maintain the patient’s health by halting optic nerve damage while avoiding undue side effects of treatment. The only proven method of stopping or slowing optic nerve damage is reducing IOP. Reduction of IOP by at least 30% appears to have the best chance of preventing further optic nerve damage. An optimal goal may be to reduce the IOP at least 30% below the threshold of progression. If damage is severe, greater reduction in IOP may be necessary.
3. How to treat?
The main treatment options for glaucoma include medications, laser trabeculoplasty (LT) (selective [SLT] more commonly than argon [ALT]), and glaucoma surgery. Medications or LT are appropriate initial therapies. LT may be especially suitable in patients at risk for poor compliance, with medication side effects, and who have significant trabecular meshwork (TM) pigmentation. Surgery may be appropriate initial treatment if damage is advanced in the setting of a rapid rate of progression or difficult follow up. Options include glaucoma filtering surgery (e.g., trabeculectomy, tube shunt), minimally invasive glaucoma surgery (MIGS), laser cyclophotocoagulation of the ciliary body (e.g., with diode laser or endolaser), and cyclocryotherapy. Surgery should always be considered for any patient with advanced/progressive disease or IOP uncontrolled by other methods.
NOTE: MIGS encompasses newer surgical options that offer the advantages of shorter healing times and potentially fewer complications. MIGS is generally considered for patients with mild-to-moderate glaucoma. Some MIGS procedures include trabecular micro-bypass devices, canaloplasty, subconjunctival microstents, deep sclerectomy, endocyclophotocoagulation (ECP), and trabectome trabecular ablation.
Medications
Unless there are extreme circumstances (e.g., IOP >35 mm Hg or impending loss of central fixation), treatment is often started by using one type of drop in one eye (monocular therapeutic trial) with reexamination in 1 to 6 weeks (depending on IOP and individualized risk factors) to check for efficacy.
• Prostaglandin agonists (e.g., latanoprost 0.005% q.h.s., bimatoprost 0.01% or 0.03% q.h.s., travoprost 0.004% q.h.s., tafluprost 0.0015% q.h.s. [preservative free]) are to be used with caution in patients with active uveitis or cystoid macular edema (CME) and are contraindicated in pregnant women or in women wishing to become pregnant. Inform patients of potential pigment changes in iris and periorbital skin, as well as hypertrichosis of eyelashes. Irreversible iris pigment changes rarely occur in blue or dark brown eyes; those at highest risk for iris hyperpigmentation have hazel, gray irides.
• Beta-blockers (e.g., levobunolol or timolol 0.25% to 0.5% daily or b.i.d.) should be avoided in patients with asthma, COPD, heart block, bradyarrhythmia, unstable congestive heart failure, depression, or myasthenia gravis. In addition to bronchospasm and bradycardia, other side effects include hypotension, decreased libido, central nervous system (CNS) depression, and reduced exercise tolerance.
• Selective a2-receptor agonists (brimonidine 0.1%, 0.15%, or 0.2% b.i.d. to t.i.d.) are contraindicated in patients taking monoamine oxidase inhibitors (risk of hypertensive crisis) and relatively contraindicated in children under the age of 5 (risk for cardiorespiratory and CNS depression). See 8.11, Congenital/Infantile Glaucoma. Apraclonidine 0.5% or 1% is rarely used due to tachyphylaxis and high allergy rate but may be used for shortterm therapy (3 months).
• Topical carbonic anhydrase inhibitors (CAIs) (e.g., dorzolamide 2% or brinzolamide 1% b.i.d. to t.i.d.) should be avoided, but are not contraindicated, in patients with sulfa allergy. These medications theoretically could cause the same side effects as systemic CAIs, such as metabolic acidosis, hypokalemia, gastrointestinal symptoms, weight loss, paresthesias, and aplastic anemia. However, systemic symptoms from topical CAIs are extremely rare. There have been no reported cases of aplastic anemia from topical use. Corneal endothelial dysfunction may be exacerbated with topical CAIs; these medications should be used cautiously in patients with Fuchs corneal dystrophy and post keratoplasty.
• Miotics (e.g., pilocarpine q.i.d.) are usually used in low strengths initially (e.g., 1% to 2%) and then built up to higher strengths (e.g., 4%). Commonly not tolerated in patients <40 years because of accommodative spasm. Miotics are usually contraindicated in patients with retinal holes and should be used cautiously in patients at risk for retinal detachment (e.g., high myopes and aphakes).
NOTE: Pilocarpine is not routinely used at Wills Eye due to its adverse side effect profile including associated increased risk for uveitis and retinal detachment, possibility for miosis-induced angle closure, and symptoms such as headache.
• Sympathomimetics (dipivefrin 0.1% b.i.d. or epinephrine 0.5% to 2.0% b.i.d.) rarely reduce IOP to the degree of the other drugs but have few systemic side effects (rarely, cardiac arrhythmias). They often cause red eyes and may cause CME in aphakic patients.
• Systemic CAIs (e.g., methazolamide 25 to 50 mg p.o. b.i.d. to t.i.d., acetazolamide 125 to 250 mg p.o. b.i.d. to q.i.d., or acetazolamide 500 mg sequel p.o. b.i.d.) are relatively contraindicated in patients with renal failure. Potassium levels must be monitored if the patient is taking other diuretic agents or digitalis. Side effects such as fatigue, nausea, confusion, and paresthesias are common. Rare, but severe, hematologic side effects (e.g., aplastic anemia) and Stevens-Johnson syndrome have occurred. Allergy to sulfa drugs is not an absolute contraindication to the use of systemic CAIs, but extra caution should be exercised in monitoring for an allergic reaction. Intravenous forms of systemic CAIs (e.g., acetazolamide 250 to 500 mg i.v.) may be utilized if IOP decrease is urgent or if IOP is refractory to topical therapy. Consider checking baseline creatinine in patients with suspected or confirmed renal disease.
NOTE: Patients should be instructed to press a fingertip into the inner canthus to occlude the punctum for 10 seconds after instilling a drop. Doing so will decrease systemic absorption. If unable to perform punctal occlusion, keeping the eyelids closed without blinking for 1 to 2 minutes after drop administration also reduces systemic absorption.
Argon Laser Trabeculoplasty
In some patients, as previously defined, ALT may be used as first-line therapy. It has an initial success rate of 70% to 80%, dropping to 50% in 2 to 5 years.
Selective Laser Trabeculoplasty
The IOP-lowering effect of SLT is equivalent to ALT. SLT utilizes lower energy and causes less tissue damage, which makes this procedure repeatable.
Guarded Filtration Surgery
Trabeculectomy and tube-shunt surgery may obviate the need for medications. Adjunctive use of antimetabolites (e.g., mitomycin C, 5- fluorouracil) in trabeculectomy surgery may aid in the effectiveness of the surgery but increases the risk of complications (e.g., bleb leaks and hypotony).
Follow Up
1. Patients are reexamined 4 to 6 weeks after starting a new [3- blocker or prostaglandin or after ALT/SLT to evaluate efficacy. Topical CAIs, a-agonists, and miotics quickly reach a steady state, and a repeat examination may be performed at any time after 3 days.
2. Closer monitoring (e.g., 1 to 3 days) may be necessary when damage is severe and the IOP is high.
3. Once the IOP has been reduced adequately, patients are reexamined in 3- to 6-months intervals for evaluation of the optic nerve, retinal nerve fiber layer, and IOP.
4. Typically, gonioscopy is performed annually or more often as needed to assess angle anatomy.
5. Formal visual fields and optic nerve imaging (e.g., photographs, OCT, or HRT) are rechecked as needed, often about every 4 to 12 months. If IOP control is not thought to be adequate, visual fields may need to be repeated more often. Once stabilized, formal visual field testing can be repeated annually.
6. Dilated retinal examinations should be performed yearly.
7. If glaucomatous damage progresses, check patient compliance with medications before initiating additional therapy. Consider LT or surgical therapy in setting of progressive damage and poor compliance.
8. Patients must be questioned about side effects associated with their specific agent(s). They often do not associate eye drops with impotence, weight loss, lightheadedness, or other significant systemic symptoms.
REFERENCE
Kass MA, Heuer DK, Higginbotham EJ, et al. The Ocular Hypertension Treatment Study: A randomized trial determines that topical ocular hypotensive medication delays or prevents the onset of primary open angle glaucoma. Arch Ophthalmol. 2002;120(6):701-713.
9.2 Low-Tension Primary Open-Angle Glaucoma (Normal Pressure Glaucoma)
Definition
POAG occurring in patients without IOP elevation.
Symptoms
See 9.1, Primary Open-Angle Glaucoma.
Signs
Critical. See Signs in 9.1, Primary Open-Angle Glaucoma, except IOP is consistently below 22 mm Hg. There is a greater likelihood of optic disc hemorrhages. Visual field defects are denser, more localized, and closer to fixation. A dense nasal paracentral defect is typical.
Differential Diagnosis
NOTE: If optic nerve changes and atrophy are unrelated to IOP, it is imperative to investigate potential etiologies of an optic neuropathy other than glaucoma.
• POAG: IOP may be underestimated secondary to large diurnal fluctuations or thin corneas. See 9.1, Primary Open-Angle Glaucoma.
• Shock-related optic neuropathy from previous episode of systemic hypotension (e.g., acute blood loss, myocardial infarction, coronary artery bypass surgery, arrhythmia). Visual field loss should not progress.
• Intermittent IOP elevation (e.g., angle closure glaucoma, glaucomatocyclitic crisis).
• Previous glaucomatous insult with severe IOP elevation that has subsequently resolved. Nonprogressive (e.g., traumatic glaucoma, steroid-induced glaucoma).
• Nonglaucomatous optic neuropathy and others. See Differential Diagnosis in 9.1, Primary Open-Angle Glaucoma.
Etiology
Controversial. Most investigators believe that IOP plays an important role in low-tension POAG. Other IOP-independent proposed etiologies include vascular dysregulation (e.g., systemic or nocturnal hypotension, vasospasm, or loss of autoregulation), microischemic disease, accelerated apoptosis, and autoimmune disease.
Workup
See Workup in 9.1, Primary Open-Angle Glaucoma. Also consider:
1. History: Evidence of vasospasm (history of migraine or Raynaud phenomenon)? History of hypotensive crisis (recent surgery), anemia, or heart disease? Prior corticosteroid use by any route? Prior ocular trauma or uveitis? Has the vision loss been acute or chronic? GCA symptoms? Additional cardiovascular risk factors such as elevated cholesterol, hypertension, and systemic hypotension (including nocturnal “dippers” in the early morning hours)?
2. Check color plates to rule out optic neuropathy.
3. Check gonioscopy to rule out angle closure, angle recession, or PAS.
4. Consider obtaining a diurnal curve of IOP measurements to help confirm the diagnosis.
5. Consider carotid Dopplers to evaluate ocular blood flow. Check blood pressure (consider 24-hour automated blood pressure home monitor).
6. Consider CT or MRI to rule out compressive lesions of the optic nerve or chiasm especially in cases of decreased visual acuity, color plates, or visual fields suggestive of nonglaucomatous process.
Treatment
1. The Collaborative Normal Tension Glaucoma Study (CNTGS) established treatment guidelines for this entity. IOP lowering by at least 30% reduced the 5-year risk of visual field progression from 35% to 12%, thus target IOPs are at least 30% lower than the level at which progressive damage was occurring. Therapies are those for POAG. See 9.1, Primary Open-Angle Glaucoma, for a more indepth discussion of these therapies. There is evidence that initial therapy with brimonidine 0.2% b.i.d. may be superior to timolol 0.5% b.i.d. in preventing visual field progression in low-tension POAG.
2. Ischemia to the optic nerve head may play a role in the pathogenesis of low-tension POAG. Modification of cardiovascular risk factors is appropriate in managing general health but has not proven beneficial in managing glaucoma. Refer to an internist for control of blood pressure, cholesterol, and optimal management of other comorbid conditions to maximize optic nerve perfusion. If possible, avoid use of antihypertensive drugs at bedtime and use preferentially in the morning.
3. Presence of disc hemorrhages is more common in low-tension glaucoma and is suggestive of progressive disease, warranting more aggressive treatment.
Follow Up
See 9.1, Primary Open-Angle Glaucoma.
REFERENCE
Comparison of glaucomatous progression between untreated patients with normal-tension glaucoma and patients with therapeutically reduced intraocular pressures. Collaborative Normal-Tension Glaucoma Study Group. Am J Ophthalmol. 1998;126(4):487-497.
9.3 Ocular Hypertension
Signs
Critical. Generally defined as IOP >21 on two or more visits. Normalappearing, open anterior chamber angle with normal anatomy on gonioscopy. Apparently normal optic nerve, retinal nerve fiber layer, and visual field.
Differential Diagnosis
• POAG. See 9.1, Primary Open-Angle Glaucoma.
• Secondary open-angle glaucoma. See 9.1, Primary Open-Angle Glaucoma.
• CACG: PAS are present on gonioscopy with glaucomatous optic nerve and visual field changes. See 9.5, Chronic Angle Closure Glaucoma.
Workup
1. See 9.1, Primary Open-Angle Glaucoma.
2. If any abnormalities are present on formal visual field testing, consider repeat testing in 2 to 4 weeks to exclude the possibility of learning curve artifacts. If the defects are judged to be real, the diagnosis is glaucoma or ocular hypertension along with another pathology accounting for the field loss.
3. OCT and HRT may reveal glaucomatous optic nerve defects. These objective structural tests may show pathology earlier than functional testing (visual fields).
Treatment
1. If there are no suggestive optic nerve or visual field changes and IOP is >24 mm Hg, no treatment other than close observation is usually necessary.
2. Patients with an IOP >24 to 30 mm Hg but with normal examinations are candidates for IOP-lowering therapy (threshold varies per glaucoma specialist). A decision to treat a patient should be based on the patient’s choice to elect therapy and baseline risk factors such as age, CCT, initial IOP, optic nerve appearance, and family history. The results of the Ocular Hypertension Treatment Study showed that treatment reduced the development of visual field loss from 9.5% to 4.4% at 5 years, with a 20% average reduction of IOP. If treatment is elected, a therapeutic trial in one eye, as described for treatment of POAG, should be used. Some clinicians may elect to monitor these patients with close observation. Risk calculators have been developed to approximate the level of risk progression to glaucoma if left untreated. These may help guide clinicians and patients as to whether treatment should be initiated. See 9.1, Primary Open-Angle Glaucoma.
Follow Up
Close follow up is required for patients being treated and observed. All patients should initially be followed similarly to POAG; see 9.1, Primary Open-Angle Glaucoma. If there is no progression in the first few years, monitoring frequency can be decreased to every 6 to 12 months. Stopping medication may be considered in patients who have been stable for several years to reassess the need for continued treatment.
REFERENCE
Kass MA, Heuer DK, Higginbotham EJ, et al. The Ocular Hypertension Treatment Study: a randomized trial determines that topical ocular hypotensive medication delays or prevents the onset of POAG. Arch Ophthalmol. 2002;120:701-713.
9.4 Acute Angle Closure Glaucoma
Symptoms
Pain, blurred vision, colored halos around lights, frontal headache, nausea, and vomiting.
Signs
(See Figure 9.4.1.)

FIGURE 9.4.1 Acute angle closure glaucoma with mid-dilated pupil, shallow anterior chamber, and corneal edema.
Critical. Closed angle in the involved eye, acutely increased IOP, and microcystic corneal edema. Narrow or occludable angle in the fellow eye if of primary etiology.
Other. Conjunctival injection; fixed, mid-dilated pupil.
Etiology of Primary Angle Closure
• Pupillary block: Apposition of the lens and the posterior iris at the pupil leads to blockage of aqueous humor flow from the posterior chamber to the anterior chamber. This mechanism leads to increased posterior chamber pressure, forward movement of the peripheral iris, and subsequent obstruction of the TM. Predisposed eyes have a narrow anterior chamber angle recess, anterior insertion of the iris root, or short axial length. Risk factors include increased age, East Asian descent, female sex, hyperopia, and family history. May be precipitated by topical mydriatics or, rarely, miotics; systemic anticholinergics (e.g., antihistamines and antidepressants); accommodation (e.g., reading); or dim illumination. Fellow eye has similar anatomy.
• Angle crowding as a result of an abnormal iris configuration including high peripheral iris roll or plateau iris syndrome angle closure. See 9.13, Plateau Iris.
Etiology of Secondary Angle Closure
• PAS pulling the angle closed: Causes include uveitis, inflammation, and ALT. See 9.5, Chronic Angle Closure Glaucoma.
• Neovascular or fibrovascular membrane pulling the angle closed: See 9.14, Neovascular Glaucoma.
• Membrane obstructing the angle: Causes include endothelial membrane in iridocorneal endothelial syndrome (ICE) and posterior polymorphous corneal dystrophy (PPCD), and epithelial membrane in epithelial downgrowth (may follow penetrating trauma). See 9.15, Iridocorneal Endothelial Syndrome.
• Lens-induced narrow angles: Iris-TM contact as a result of a large lens (phacomorphic), small lens with anterior prolapse (e.g., microspherophakia), small eye (nanophthalmos), or zonular loss/weakness (e.g., trauma, advanced pseudoexfoliation, Marfan syndrome).
• Aphakic or pseudophakic pupillary block: Iris bombe configuration secondary to occlusion of the pupil by the anterior vitreous or fibrous adhesions. May also occur with anterior chamber intraocular lenses.
• Topiramate and sulfonamide-induced angle closure: Usually after increase in dose or within first 2 weeks of starting medication. Usually bilateral angle closure due to supraciliary effusion and ciliary body swelling with subsequent anterior rotation of the lens-iris diaphragm. Myopia is induced secondary to anterior displacement of ciliary body and lens along with lenticular swelling.
• Choroidal swelling: Following extensive retinal laser surgery, placement of a tight encircling scleral buckle, retinal vein occlusion, and others.
• Posterior segment tumor: Malignant melanoma, retinoblastoma, ciliary body tumors, and others. See 11.36, Choroidal Nevus and Malignant Melanoma of the Choroid.
• Hemorrhagic choroidal detachment: See 11.27, Choroidal
Effusion/Detachment.
• Aqueous misdirection syndrome. See 9.17, Aqueous Misdirection Syndrome/Malignant Glaucoma.
• Developmental abnormalities: Axenfeld-Rieger syndrome, Peters anomaly, persistent fetal vasculature, and others. See 8.12, Developmental Anterior Segment and Lens Anomalies/Dysgenesis.
Differential Diagnosis of Acute IOP Increase With an Open Angle
• Inflammatory open-angle glaucoma: See 9.7, Inflammatory OpenAngle Glaucoma.
• Traumatic (hemolytic) glaucoma: Red blood cells in the anterior chamber. See 3.6, Hyphema and Microhyphema.
• Pigmentary glaucoma: Characteristic angle changes (e.g., heavily pigmented TM, Sampaolesi line); vertical pigment deposition on endothelium (Krukenberg spindle); pigment cells floating in the anterior chamber; radial iris transillumination defects (TIDs); pigment line on the posterior lens capsule or anterior hyaloid face. See 9.10, Pigment Dispersion Syndrome/Pigmentary Glaucoma.
• Pseudoexfoliation glaucoma: Grayish-white flaky proteinaceous material deposited throughout anterior segment structures and TM (usually irregular pigment most prominent inferiorly).
Classically occurs in patients of European descent. Iris TIDs along pupillary margin often present. See 9.11, Pseudoexfoliation Syndrome/Exfoliative Glaucoma.
• Lens-related glaucoma: Leakage of lens material through an intact capsule, usually in the setting of a mature cataract (phacolytic); lens material in the anterior chamber through a violation of the anterior lens capsule after trauma or retained following intraocular surgery (lens particle); or a chronic granulomatous uveitis in response to leaked lens material (phacoantigenic, formerly phacoanaphylaxis). See 9.12, Lens- Related Glaucoma.
• Glaucomatocyclitic crisis (Posner-Schlossman syndrome): Recurrent IOP spikes in one eye, mild cell, and flare with or without fine keratic precipitates (KP). See 9.8, Glaucomatocyclitic Crisis/Posner-Schlossman Syndrome.
• Retrobulbar hemorrhage or inflammation. See 3.10, Traumatic Retrobulbar Hemorrhage.
• Carotid-cavernous fistula: See 7.7, Miscellaneous Orbital Diseases.
Workup
1. History: Risk factors including hyperopia or family history?
Precipitating events such as being in dim illumination, receiving dilating drops? Retinal problem? Recent laser treatment or surgery? Medications (e.g., topical adrenergics or anticholinergics, oral topiramate, or sulfa medications)?
2. Slit lamp examination: Look for KP, posterior synechiae, iris atrophy or neovascularization (NV), a mid-dilated and sluggish pupil, a swollen lens, anterior chamber cell and flare or iridescent particles, and a shallow anterior chamber. Glaukomflecken (small anterior subcapsular lens opacities) and atrophy of the iris stroma indicate prior attacks. Always carefully examine the other eye and compare.
3. Measure IOP.
4. Gonioscopy of both anterior chamber angles. Corneal edema can be cleared by using topical hyperosmolar agents (e.g., glycerin). Gonioscopy of the involved eye after IOP reduction is essential in assessment of the persistence and extent of angle closure; also needed to evaluate for the presence of NV.
5. Careful examination of the fundus looking for signs of central retinal vein occlusion, hemorrhage, optic nerve cupping, or spontaneous arterial pulsations which may indicate an exacerbation of IOP elevation. If cupping is pronounced or if there are spontaneous arterial pulsations, treatment is more urgent. Depending on the etiology of angle closure, dilation may be deferred on presentation.
6. When secondary angle closure glaucoma is suspected, B-scan US or US biomicroscopy (UBM) may be helpful.
Treatment
Depends on etiology of angle closure, severity, and duration of attack. Severe, permanent damage may occur within several hours. If visual acuity is hand motion or better, IOP reduction is usually urgent; therapeutic intervention should include all topical glaucoma medications, systemic (preferably intravenous) CAI, and in some cases intravenous osmotic agent (e.g., mannitol) as long as not contraindicated. Paracentesis with a 30-gauge needle on an open tuberculin syringe directed toward the 6 o’clock position will bring down the pressure immediately. See 9.14, Neovascular Glaucoma, 9.16, Postoperative Glaucoma, and 9.17, Aqueous Misdirection Syndrome/Malignant Glaucoma.
1. Compression gonioscopy is essential to determine whether the trabecular blockage is reversible and may break an acute attack.
2. Topical therapy with [3-blocker ([e.g., timolol 0.5%] caution with asthma, COPD, and bradycardia), a2 agonist (e.g., brimonidine 0.1%), cholinergic agonist/miotic (pilocarpine 1%), prostaglandin analog (e.g., latanoprost 0.005%), and CAI (e.g., dorzolamide 2%) should be initiated immediately. In urgent cases, three rounds of these medications may be given, with each round being separated by 15 minutes.
3. Topical steroid (e.g., prednisolone acetate 1%) may be useful in reducing corneal edema.
4. Systemic CAI (e.g., acetazolamide 250 to 500 mg i.v. or two 250mg tablets p.o. in one dose if unable to give i.v.) if reduction in IOP is urgent or if IOP is refractory to topical therapy. Do not use in sulfonamide-induced angle closure or sickle cell disease.
• Recheck the IOP in 1 hour. If IOP reduction is urgent or refractory to therapies listed above, repeat topical medications and give osmotic agent (e.g., mannitol 1 to 2 g/kg i.v. over 45 minutes [note: a 500 mL bag of mannitol 20% contains 100 g of mannitol]). Contraindicated in congestive heart failure, renal disease, and intracranial bleeding.
NOTE: Prior to initiation of systemic CAIs or osmotic agents, consider testing renal function.
5. When acute angle closure glaucoma is the result of:
a. Phakic pupillary block or angle crowding: Historically, pilocarpine, 1% to 2%, every 15 minutes for two doses was recommended but has fallen out of favor by some physicians due to adverse effects such as headache, accommodative spasm, associated increased risk for uveitis and retinal detachment, and potential for miosis-induced angle closure.
b. Aphakic or pseudophakic pupillary block or secondary closure of the angle: Do not use pilocarpine. Consider a mydriatic and a cycloplegic agent (e.g., cyclopentolate 1% to 2%, and phenylephrine 2.5% every 15 minutes for four doses) when laser or surgery cannot be performed because of corneal edema, inflammation, or both.
c. Topiramate- or sulfonamide-induced secondary angle closure: Do not use CAIs in sulfonamide-induced angle closure. Immediately discontinue the inciting medication. Consider cycloplegia to induce posterior rotation of the ciliary body (e.g., atropine 1% b.i.d. or t.i.d.). Consider hospitalization and treatment with intravenous hyperosmotic agents and intravenous steroids (e.g., methylprednisolone 250 mg i.v. every 6 hours) for cases of markedly elevated IOP unresponsive to other treatments. Cases involving large ciliochoroidal or choroidal effusions may benefit from intravenous corticosteroids, as inflammation may play a role in their formation. Peripheral iridotomy (PI) or iridectomy and miotics are not indicated.
6. In phacomorphic glaucoma, the lens should be removed as soon as the eye is quiet and the IOP controlled, if possible. See 9.12.4, Phacomorphic Glaucoma.
7. Address systemic problems such as pain and vomiting.
8. For pupillary block (all forms) or primary angle crowding: If the IOP decreases significantly, definitive treatment with yttriumaluminum-garnet (YAG) laser PI or surgical iridectomy is performed once the cornea is clear and the anterior chamber is quiet, typically 1 to 5 days after attack.
NOTE: If the affected eye is too inflamed initially for laser PI, perform laser PI of the fellow eye first. An untreated fellow eye has a 40% to 80% chance of acute angle closure in 5 to 10 years. Repeated angle closure attacks with a patent PI may indicate plateau iris syndrome. See 9.13, Plateau Iris.
9. Patients are discharged on a regimen of maintenance dose IOP- lowering drops and oral medications (described above), as well as topical steroids if inflamed. Close monitoring with IOP measurement each day is necessary immediately after an angle closure attack. Once the IOP has been reasonably reduced, followup frequency is guided by overall clinical response and stability. On occasion, topical steroids in addition to IOP-lowering medications are necessary for 4 to 7 days to increase the chance of successful iridotomy.
NOTE: If IOP does not decrease after two courses of maximal medical therapy, a laser (YAG) PI should be considered if there is an adequate view of the iris. If IOP still does not decrease after more than one attempt at laser PI, then a laser iridoplasty, surgical PI, or cataract surgery is needed, depending on the etiology. A guarded filtration procedure should also be considered based on the severity of glaucoma and anticipated IOP control after definitive treatment. If IOP remains elevated and the angle remains closed despite a patent iridectomy, surgical treatment of chronic angle closure is indicated.
10. For secondary angle closure: Treat the underlying problem. Consider argon laser gonioplasty to open the angle, particularly in plateau iris syndrome or nanophthalmos. Goniosynechiolysis can be performed for chronic angle closure of <6 months’ duration. Systemic steroids may be required to treat serous choroidal detachments secondary to inflammation.
Follow Up
After definitive treatment, patients are reevaluated in weeks to months initially and then less frequently. Visual fields and disc imaging are obtained for baseline purposes.
NOTE:
1. Cardiovascular status and electrolyte balance must be considered when contemplating osmotic agents, CAIs, and β- blockers.
2. The corneal appearance may worsen when the IOP decreases.
3. Worsening vision or spontaneous arterial pulsations are signs of increasing urgency for pressure reduction.
4. Since one-third to one-half of first-degree relatives may have occludable angles, patients should be counseled to alert relatives to the importance of screening.
5. Angle closure glaucoma may be seen without an increased IOP. The diagnosis should be suspected in a patient who had episodes of pain and reduced acuity and is noted to have:
• An edematous, thickened cornea.
• Normal or markedly asymmetric pressure in both eyes.
• Shallow anterior chambers in both eyes.
• Occludable anterior chamber angle in the fellow eye.
9.5 Chronic Angle Closure Glaucoma
Symptoms
Usually asymptomatic, although patients with advanced disease may present with decreased vision or visual field loss. Intermittent eye pain, headaches, and blurry vision may occur.
Signs
(See Figure 9.5.1.)

FIGURE 9.5.1 Chronic angle closure glaucoma with peripheral anterior synechiae.
Critical. Gonioscopy reveals broad bands of PAS in the angle. The PAS block visualization of the underlying angle structures. Glaucomatous optic nerve and visual field defects.
Other. Elevated IOP.
Etiology
Gradual narrowing of the angle with prolonged appositional closure.
Prolonged acute angle closure glaucoma or multiple episodes of subclinical attacks of acute angle closure.
Previous flat anterior chamber from surgery, trauma, or hypotony that resulted in the development of PAS.
NOTE: While acute angle closure is less common in those of African descent, chronic angle closure is more commonly seen in these patients.
Workup
1. History: Presence of symptoms of previous episodes of acute angle closure? History of proliferative diabetic retinopathy, retinal vascular occlusion, or ocular ischemic syndrome? History of prior trauma, hypotony, uveitis, or intraocular surgery?
2. Complete baseline glaucoma evaluation. See 9.1, Primary OpenAngle Glaucoma.
Treatment
See 9.1, Primary Open-Angle Glaucoma.
1. LT contraindicated in CACG and can induce greater scarring of the angle.
2. Laser peripheral iridotomy is indicated to relieve any component of pupillary block and to prevent ongoing development of PAS if closure is not already 360 degrees. Beware of postlaser IOP spikes in these patients whose TM function may be limited.
3. Laser iridoplasty may be performed (and repeated) to decrease the formation of new PAS. This may not be entirely effective and may serve only as a temporizing measure. If iridoplasty fails and other medical therapy has been maximized, the patient may need additional surgery. ECP may be attempted in cases with early glaucoma, but trabeculectomy or tube shunt is usually indicated in more advanced cases. MIGS usually contraindicated due to closed angle.
Follow Up
See 9.1, Primary Open-Angle Glaucoma.
9.6 Angle Recession Glaucoma
Symptoms
Usually asymptomatic. Late stages have visual field or acuity loss. History of hyphema or trauma to the glaucomatous eye can often be elicited. Glaucoma due to angle recession (not from the inciting trauma) usually takes many years to develop. Typically unilateral.
Signs
(See Figure 9.6.1.)

FIGURE 9.6.1 Angle recession glaucoma with increased width of the ciliary body band.
Critical. Glaucoma (see 9.1, Primary Open-Angle Glaucoma) in an eye with characteristic gonioscopic findings: an uneven iris insertion, an area of torn or absent iris processes, and a posteriorly recessed iris, revealing a widened ciliary band (may be focal or extend for 360 degrees). Comparison with the contralateral eye can help identify recessed areas.
Other. The scleral spur may appear abnormally white on gonioscopy because of the recessed angle; other signs of previous trauma may be present (e.g., cataract, iris sphincter tears).
Differential Diagnosis
See 9.1, Primary Open-Angle Glaucoma.
Workup
1. History: Trauma? Steroid use? Prior ocular surgery? Family history of glaucoma?
2. Complete baseline glaucoma evaluation. See 9.1, Primary OpenAngle Glaucoma.
Treatment
See 9.1, Primary Open-Angle Glaucoma. However, miotics (e.g., pilocarpine) may be ineffective or even cause increased IOP by reduction of uveoscleral outflow. ALT and SLT are rarely effective in this condition. Surgical therapy may be necessary if IOP is uncontrolled with medications.
Follow Up
Both eyes are monitored closely because of high incidence of delayed open-angle glaucoma in the contralateral eye. Patients with angle recession without glaucoma are examined yearly. Those with glaucoma are examined as detailed in 9.1, Primary Open-Angle Glaucoma.
9.7 Inflammatory Open-Angle Glaucoma
Symptoms
Pain, photophobia, and decreased vision; symptoms may be minimal.
Signs
Critical. Elevated IOP with a significant amount of anterior chamber inflammation; open angle on gonioscopy; white blood cells, macrophages, and proteins cause outflow blockage and trabeculitis resulting in elevated IOP. Characteristic glaucomatous optic nerve changes occur late in the disease course.
Other. Miotic pupil, KP, conjunctival injection, ciliary flush, posterior synechiae, and increased TM pigmentation, especially inferiorly.
Angle closure glaucoma may occur from progressive PAS formation.
NOTE: Acute IOP increase from any etiology is distinguished from chronic IOP increase by the presence of corneal edema, pain, and visual symptoms.
Differential Diagnosis
• Steroid-response glaucoma: Open angle. Patient on steroid medications (including for uveitis). Can be difficult to differentiate from inflammatory open-angle glaucoma. If significant inflammation is present, pressure elevation should be assumed inflammatory in nature and goal should be to quiet the eye with steroids. See 9.9, Steroid-Response Glaucoma.
• Pigmentary glaucoma: Open angle. Acute increase in IOP, often after exercise or pupillary dilation; pigmented cells in the anterior chamber; 3+ to 4+ trabecular pigmentation; often endopigment in the form of a Krukenberg spindle. Radial iris TIDs are common. See 9.10, Pigment Dispersion Syndrome/Pigmentary Glaucoma.
• Neovascular glaucoma. Nonradial, misdirected blood vessels along the pupillary margin, the TM, or both. See 9.14, Neovascular Glaucoma.
• Pseudoexfoliation syndrome: Open angle. Grayish-white flaky material deposited throughout anterior segment structures. Classically in patients of European descent, but not always. Occasionally exfoliative material on cornea can be mistaken for KP. Deposits are more angular, less round than inflammatory KP. See 9.11, Pseudoexfoliation Syndrome/Exfoliative Glaucoma.
• Fuchs heterochromic iridocyclitis: Unilateral, more common in middle-aged women. Low-grade inflammation with loss of iris pigmented epithelium causing heterochromia (affected eye typically lighter). Fine bridging vessels in the angle are present and may bleed (Amsler sign). Not neovascular. No PAS. See 12.1, Anterior Uveitis (Iritis/Iridocyclitis).
• Glaucomatocyclitic crisis (Posner-Schlossman syndrome): Open angle and absence of synechiae on gonioscopy. Dramatic IOP elevation with minimal inflammation. Unilateral with recurrent attacks. See 9.8, Glaucomatocyclitic Crisis/Posner-Schlossman Syndrome.
Etiology
• Uveitis: Anterior, intermediate, posterior, or panuveitis.
• Keratouveitis: Herpetic infections are classically associated with elevated IOP in the setting of early/acute inflammation, whereas other etiologies may cause low IOP from ciliary body shutdown and hyposecretion.
• After trauma or intraocular surgery.
Workup
1. History: Previous attacks? Systemic disease (e.g., juvenile idiopathic arthritis, ankylosing spondylitis, sarcoidosis, acquired immunodeficiency syndrome [AIDS], V1 distribution varicella zoster, toxoplasmosis)? Previous corneal disease, especially herpetic keratitis?
2. Slit lamp examination: Assess the degree of conjunctival injection and aqueous cell and flare. Posterior synechiae present?
3. Complete baseline glaucoma evaluation. See 9.1, Primary OpenAngle Glaucoma.
Treatment
1. Topical steroid (e.g., prednisolone acetate 1%) q1-6h, depending on the severity of the anterior chamber inflammation.
NOTE: Topical steroids are not used, or are used with extreme caution, in patients with an infectious process.
2. Mydriatic/cycloplegic (e.g., cyclopentolate 1% t.i.d.).
3. One or more of the following pressure-reducing agents can be used in addition to the other treatments, depending on the IOP and status of the optic nerve:
• Topical [3-blocker (e.g., timolol 0.5% daily or b.i.d.) if not contraindicated (e.g., asthma, COPD, bradycardia).
• Topical a2 agonist (e.g., brimonidine 0.1% to 0.2% b.i.d. to t.i.d.).
• Topical CAI (e.g., dorzolamide 2% t.i.d.) or oral CAI (e.g., methazolamide 25 to 50 mg p.o. b.i.d. to t.i.d. or acetazolamide 500 mg sequel p.o. b.i.d.) if renal function tolerates.
• Hyperosmotic agent when IOP is acutely increased (e.g., mannitol 20% 1 to 2 g/kg i.v. over 45 minutes) if cardiopulmonary function permits.
• Anterior chamber paracentesis if reduction in IOP is urgent or if IOP is refractory to topical therapy (see Appendix 13, Anterior Chamber Paracentesis).
4. Manage the underlying problem.
5. If IOP remains dangerously elevated despite maximal medical therapy, glaucoma filtering surgery may be indicated. Trabeculectomy surgery has high rates of failure in cases of inflammatory glaucoma. Tube shunt is often the preferred alternative.
6. If HSV suspected, start antiviral coveragse (e.g., acyclovir 400 mg p.o. 5* daily or valacyclovir 500 mg p.o. t.i.d. for 7 to 14 days).
NOTE: Prostaglandin agonists (e.g., latanoprost 0.005%) and miotics (e.g., pilocarpine) should be used with caution in active inflammatory glaucoma, but may be considered once the eye is quiet or if the benefits outweigh the risks.
Follow Up
1. Patients are seen every 1 to 7 days at first. Higher IOP and more advanced glaucomatous cupping warrant more frequent follow up.
2. Antiglaucoma medications are tapered as IOP returns to normal.
3. Steroid-response glaucoma should always be considered if IOP remains high when inflammation has subsided (see 9.9, Steroid- Response Glaucoma). IOP elevation in the presence of significant uveitis suggests the need for more, not less, steroid and additional or alternative pressure lowering therapy.
9.8 Glaucomatocyclitic Crisis/Posner- Schlossman Syndrome
Symptoms
Mild pain, decreased vision, and rainbows around lights. Rare condition. Often a history of previous episodes. Usually unilateral in young to middle-aged patients.
Signs
Critical. Markedly increased IOP (usually 40 to 60 mm Hg), open angle without synechiae on gonioscopy, minimal conjunctival injection (white eye), and very mild anterior chamber reaction (few aqueous cells and little flare).
Other. Corneal epithelial edema, ciliary flush, pupillary constriction, iris hypochromia, few fine KP on the corneal endothelium or TM.
Differential Diagnosis
• Inflammatory open-angle glaucoma: Significant amount of aqueous cells and flare. Synechiae may be present. See 9.7, Inflammatory Open-Angle Glaucoma.
• Pigmentary glaucoma: Acute increase in IOP, often after exercise or pupillary dilation, with pigmented cells in the anterior chamber. See 9.10, Pigment Dispersion Syndrome/Pigmentary Glaucoma.
• Neovascular glaucoma: Abnormal blood vessels along the pupillary margin, the TM, or both. See 9.14, Neovascular Glaucoma.
• Fuchs heterochromic iridocyclitis: Asymmetry of iris color, mild iritis usually present in the eye with the lighter-colored iris. IOP increase is rarely as acute. See 12.1, Anterior Uveitis (Iritis/Iridocyclitis).
• Others: Herpes simplex or varicella zoster keratouveitis, toxoplasmosis, and others.
Etiology
Mechanism unknown, but possible association with a viral etiology (e.g., CMV).
Workup
1. History: Previous attacks? Corneal or systemic disease? Light sensitivity? Pain? Recent exercise?
2. Slit lamp examination: Assess the degree of conjunctival injection and aqueous cell and flare. Careful retinal examination for vasculitis and snowbanking.
3. Gonioscopy: Angle open? Synechiae, neovascular membrane, or KP present?
4. Complete baseline glaucoma evaluation. See 9.1, Primary OpenAngle Glaucoma.
Treatment
Tends to be very responsive to topical steroids and aqueous suppressants.
1. Topical β-blocker (e.g., timolol 0.5% daily or b.i.d.), topical a2 agonist (e.g., brimonidine 0.1% to 0.2% b.i.d. to t.i.d.), and topical CAI (e.g., dorzolamide 2% b.i.d. to t.i.d.).
2. Short course (1-week) of topical steroids (e.g., prednisolone acetate 1% q.i.d.) may decrease inflammation. Longer use may cause an IOP elevation. Oral indomethacin (e.g., 75 to 150 mg p.o. daily) or topical nonsteroidal anti-inflammatory drugs (NSAIDs) (e.g., ketorolac q.i.d.) may also be effective.
3. Consider a systemic CAI (e.g., acetazolamide 500 mg sequel p.o. b.i.d.) if IOP is significantly increased and unresponsive to topical therapy (rare).
4. Hyperosmotic agents (e.g., mannitol 20% 1 to 2 g/kg i.v. over 45 minutes) or anterior chamber paracentesis can be considered when the IOP is determined to be dangerously high for the involved optic nerve (see Appendix 13, Anterior Chamber Paracentesis).
5. Consider a cycloplegic agent (e.g., cyclopentolate 1% t.i.d.) if the patient is symptomatic.
Follow Up
1. Patients are seen every few days at first and then weekly until the episode resolves. Attacks usually subside within a few hours to a few weeks.
2. Medical or surgical therapy may be required depending on baseline IOP between attacks.
3. If the IOP decreases to levels not associated with disc damage, no treatment is necessary.
4. Steroids are tapered rapidly if they are used for 1 week or less and slowly if they are used for longer.
5. Both eyes are at risk for the development of chronic open-angle glaucoma. Patients should be followed as if the diagnosis is POAG. See 9.1, Primary Open-Angle Glaucoma.
9.9 Steroid-Response Glaucoma
Signs
Critical. Increased IOP with corticosteroid use. Onset typically 2 to 4 weeks after starting ocular (e.g., topical, intravitreal) steroids, though rarely an acute IOP rise can occur within hours in association with systemic use of steroid or adrenocorticotropic hormone.
Other. Signs of POAG may develop. See 9.1, Primary Open-Angle Glaucoma.
NOTE: Patients with POAG or a predisposition to development of glaucoma (e.g., family history, ocular trauma, diabetes, African descent, high myopia) are more likely to experience a steroid- response and subsequent glaucoma.
Differential Diagnosis
• POAG. See 9.1, Primary Open-Angle Glaucoma.
• Exfoliative glaucoma. See 9.11, Pseudoexfoliation Syndrome/Exfoliative Glaucoma.
• Inflammatory open-angle glaucoma: Because steroids are used to treat ocular inflammation, it may be difficult to determine the cause of increased IOP. See 9.7, Inflammatory Open-Angle Glaucoma.
Etiology
Most commonly seen with ophthalmic topical, periocular, or intravitreal steroid therapy. However, elevated IOP can occur with all forms of administration (e.g., oral, intravenous, inhalational, nasal, injected, or dermatologic topical formulations), especially with prolonged use. More potent topical steroids (e.g., dexamethasone, difluprednate) more often cause significant IOP rises compared to those that are less potent (e.g., fluorometholone, loteprednol). IOP typically decreases to pretreatment levels after stopping steroids. The rate of decrease relates to duration of use and severity of the pressure increase. IOP increase is due to reduced outflow facility of the pigmented TM, and when this is severe, the IOP may remain increased for months after steroids are stopped. IOP increase may also be caused by increased inflammation associated with reduction of the steroid medication.
Workup
1. History: Duration of steroid use? Ask about nasal sprays and dermatologic topical medications. Previous intraocular surgery (possible periocular injection)? Previous steroid use or an eye problem from steroid use? Glaucoma or family history of glaucoma? Herpetic keratouveitis? Diabetes? Myopia? Ocular trauma?
2. Complete ocular examination: Look for active or prior inflammation and evaluate the iris and angle (by gonioscopy) to determine the presence NV, pigment suggestive of pigment dispersion syndrome or pseudoexfoliation, blood in Schlemm canal, PAS, etc. Inspect the optic nerve.
3. Complete baseline glaucoma evaluation. See 9.1, Primary OpenAngle Glaucoma.
Treatment
Any or all of the following may be necessary to reduce IOP:
1. Determine if steroid use (in any form) is truly needed. If not needed, stop or taper steroids.
2. Reduce the concentration or dosage of steroid.
3. Change to a steroid with lesser propensity for IOP elevation (e.g., fluorometholone, loteprednol, or rimexolone).
4. Switch to a topical NSAID (e.g., ketorolac 0.4% or 0.5%, diclofenac 0.1%).
5. Start antiglaucoma therapy. See 9.7, Inflammatory Open-Angle Glaucoma, for medical therapy options.
6. Consider anterior chamber paracentesis for rapid control when the IOP is determined to be dangerously high for the involved optic nerve (see Appendix 13, Anterior Chamber Paracentesis).
7. LT (e.g., SLT) may be effective in treating some patients.
8. For sustained IOP elevation after steroid cessation or in patients at risk of glaucoma progression, treat like POAG, including appropriate surgical options. See 9.1, Primary Open-Angle Glaucoma.
NOTE: For inflammatory glaucoma, if the inflammation is moderate to severe, increase the steroids initially to reduce the inflammation while initiating antiglaucoma therapy.
If a medically uncontrollable dangerously high IOP develops after a depot steroid injection, the steroid may need to be excised. After intravitreal steroid injection, options include glaucoma filtering surgery or a pars plana vitrectomy to remove the steroid.
Steroid-induced glaucoma after LASIK may be difficult to detect using applanation tonometry due to falsely low readings caused by either reduced corneal thickness or interface fluid between the flap and the stromal bed. IOP measurement peripheral to the flap may be more accurate.
Follow Up
Dependent on severity of pressure elevation and glaucomatous damage. Follow patients as if they have POAG. See 9.1, Primary OpenAngle Glaucoma.
9.10 Pigment Dispersion Syndrome/Pigmentary Glaucoma
Definition
Pigment dispersion refers to the release of pigment granules into the anterior chamber. It results from backward bowing of the peripheral iris (reverse pupillary block) with friction between the iris pigment epithelium and the zonular fibers. Pigment is released and may ultimately obstruct the TM, leading to increased IOP and secondary open-angle glaucoma.
Symptoms
Mostly asymptomatic but may have blurred vision, eye pain, and colored halos around lights after exercise or pupillary dilation. More common in young adult, myopic men (age 20 to 45 years). Usually bilateral, but asymmetric. May have lattice degeneration and increased risk of a retinal detachment.
Signs
(See Figures 9.10.1 and 9.10.2.)

FIGURE 9.10.1 Pigment dispersion syndrome with spoke-like iris transillumination defects.

FIGURE 9.10.2 Pigment dispersion syndrome with a vertical band of endothelial pigment (Krukenberg spindle).
Critical. Midperipheral, spoke-like iris TIDs corresponding to iridozonular contact; dense homogeneous pigmentation of the TM for 360 degrees (seen on gonioscopy) in the absence of signs of trauma or inflammation.
Other. A vertical pigment band on the corneal endothelium typically just inferior to the visual axis (Krukenberg spindle); pigment deposition on the posterior equatorial lens surface (Zentmayer line or Scheie line), on the anterior hyaloid face, slightly anterior to Schwalbe line (Sampaolesi line), and sometimes along the iris (which can produce iris heterochromia). Pigment on the posterior lens capsule is nearly pathognomonic. The angle often shows a wide ciliary body band with 3+ to 4+ pigmentation of the posterior TM, homogenous for 360 degrees. Pigmentary glaucoma is characterized by pigment dispersion syndrome plus glaucomatous optic neuropathy. Typically, large fluctuations in IOP can occur, during which pigment cells may be seen floating in the anterior chamber.
Differential Diagnosis
• Exfoliative glaucoma: Iris TIDs may be present, but are near the pupillary margin and are not radial. White, flaky material may be seen on the pupillary border, anterior lens capsule, and corneal endothelium. TM is highly pigmented but in a “splotchy” pattern, often with pigment anterior to Schwalbe line (also seen in PDS). See 9.11, Pseudoexfoliation Syndrome/Exfoliative Glaucoma.
• Inflammatory open-angle glaucoma: White blood cells and flare in the anterior chamber; no radial iris TIDs; often PAS on gonioscopy. TM pigment concentrated inferiorly. See 9.7, Inflammatory Open-Angle Glaucoma.
• Iris melanoma: Pigmentation of the angular structures accompanied by either a raised, pigmented lesion on the iris or a diffusely darkened iris. No iris TIDs. See 5.13, Malignant Melanoma of the Iris.
• Irradiation: Induces atrophy and depigmentation of the ciliary processes with increased TM pigment deposition.
• Postoperative pigment liberation after posterior chamber intraocular lens implantation.
• Siderosis.
• Iris chafe with sulcus IOL: Iris TIDs outlining the haptics may be seen.
• Bilateral acute depigmentation of the iris: Acute-onset bilateral iris depigmentation, pigment dispersion in the anterior chamber, and heavy pigmentation of the TM. Usually symmetric (versus pigment dispersion syndrome which is typically asymmetric). Alternatively, if accompanied by a mydriatic pupil that is poorly responsive to light with sphincter paralysis, consider bilateral acute iris transillumination.
Workup
1. History: Previous episodes of decreased vision or halos? Symptoms associated with exercise? Trauma, surgery, or previous intraocular foreign body?
2. Slit lamp examination, particularly checking for iris TIDs. Large defects may be seen by shining a small slit beam directly into the pupil to obtain a red reflex. Look for Krukenberg spindle on the corneal endothelium. Look for pigment on the posterior lens equator by angling the slit beam nasally and having the patient look temporally (Zentmayer line or Scheie stripe; pathognomonic for pigment dispersion). Examine the angle looking for dense, evenly dispersed TM pigmentation. Careful retinal examination because of increased incidence of lattice degeneration and retinal detachment.
3. Perform baseline glaucoma evaluation. See 9.1, Primary Open-Angle Glaucoma.
Treatment
Similar to POAG. Depends on IOP, optic nerve damage, and symptom extent. Usually patients with pigment dispersion without ocular hypertension, glaucoma, or symptoms are observed carefully. A stepwise approach to control IOP is usually taken when mild-to- moderate glaucomatous changes are present. When advanced glaucoma is discovered on initial examination, maximal medical therapy may be instituted initially. See 9.1, Primary Open-Angle Glaucoma.
1. Decrease mechanical iridozonular contact. Two methods have been proposed:
• Miotic agents: A theoretical first-line therapy because they minimize iridozonular contact. However, because most patients are young and myopic, the resulting fluctuation in myopia may not be tolerated. In addition, approximately 14% of patients have lattice retinal degeneration and are thus predisposed to retinal detachment from the use of miotics. In some cases, pilocarpine 4% gel q.h.s. may be tolerated.
• Peripheral laser iridotomy: Laser PI has been recommended to reduce pigment dispersion by decreasing iridozonular contact, but remains controversial. It may be best suited in early-stage disease and ill-advised in more advanced stages.
2. Other antiglaucoma medications. See 9.1, Primary Open-Angle Glaucoma.
3. SLT or ALT. Due to greater risk of postlaser IOP spikes, lower energy should be used, and only 180 degrees of treatment is advised initially. Careful postlaser monitoring is needed to detect early IOP rise.
4. Consider MIGS surgery, guarded filtration procedure, or tube shunt when medical and laser therapies fail. These young myopic patients are at greater risk for hypotony maculopathy and surgical technique should aim to avoid early overfiltration.
Follow Up
Same as POAG. See 9.1, Primary Open-Angle Glaucoma.
9.11 Pseudoexfoliation Syndrome/Exfoliative Glaucoma
Definition
A systemic disorder in which grayish-white exfoliation material, along with pigment released from the iris sphincter region, block the TM and raise the IOP. Diagnosis confers a 25% risk of glaucoma, which can be poorly responsive to therapy. Pseudoexfoliation is the most common secondary glaucoma in those of European descent, but can be seen in nearly all ethnic groups.
Symptoms
Usually asymptomatic in its early stages. Unlike POAG, more often asymmetric/unilateral at presentation.
Signs
(See Figures 9.11.1 and 9.11.2.)

FIGURE 9.11.1 Pseudoexfoliation syndrome with white material on pupillary margin.

FIGURE 9.11.2 Pseudoexfoliation syndrome with white material on anterior lens capsule.
Critical. White, flaky material on the pupillary margin; anterior lens capsular changes (central zone of exfoliation material, often with rolled-up edges, middle clear zone, and a peripheral cloudy zone); peripupillary iris TIDs; and glaucomatous optic neuropathy. Bilateral, but often asymmetric.
Other. Irregular black pigment deposition on the TM more marked inferiorly than superiorly; black scalloped deposition of pigment anterior to Schwalbe line (Sampaolesi line) seen on gonioscopy, especially inferiorly. White, flaky material may be seen on the corneal endothelium, which often has a lower than normal endothelial cell density; can look like angular, irregular KP. Iris atrophy. Poor pupillary response to dilation (with more advanced cases, believed to be secondary to iris dilator muscle atrophy). Incidence increases with age. Zonular laxity can lead to anterior lens dislocation, angle narrowing, and secondary angle closure.
Differential Diagnosis
• Inflammatory glaucoma: Corneal endothelial deposits can be present in both exfoliative and uveitic glaucoma. Typically, IOP is highly volatile in both. The ragged volcano-like PAS of some inflammatory glaucomas are not seen in the exfoliation syndrome, but angle closure due to zonular instability can occur. Photophobia is common with uveitis. See 9.7, Inflammatory OpenAngle Glaucoma.
• Pigmentary glaucoma: Midperipheral iris TIDs. Pigment on corneal endothelium and posterior equatorial lens surface. Deep anterior chamber angle. Myopia. See 9.10, Pigment Dispersion Syndrome/Pigmentary Glaucoma.
• Capsular delamination (true exfoliation): Trauma, exposure to intense heat (e.g., glass blower), or severe uveitis can cause a thin membrane to peel off the anterior lens capsule. Glaucoma uncommon.
• Primary amyloidosis: Amyloid material can deposit along the pupillary margin or anterior lens capsule. Glaucoma can occur.
• Uveitis/glaucoma/hyphema (UGH) syndrome: Prior surgery. See 9.16.3, Uveitis, Glaucoma, Hyphema Syndrome.
Workup
1. History: Family history.
2. Slit lamp examination. Look for white, flaky material along the pupillary margin, peripapillary TIDs; often need to dilate the pupil to see anterior lens capsular changes.
3. Perform baseline glaucoma evaluation. See 9.1, Primary Open-Angle Glaucoma.
Treatment
1. For medical and surgical therapy, see 9.1, Primary Open-Angle Glaucoma. LT can be particularly effective, possibly related to higher laser uptake due to pigmentation.
2. The course of exfoliative glaucoma is nonlinear. Early, the condition may be benign. However, pseudoexfoliation is associated with highly volatile IOP. Once IOP becomes difficult to control, the glaucoma may progress rapidly (e.g., within months).
NOTE: Cataract extraction does not eradicate the glaucoma. Cataract extraction may be complicated by weakened zonular fibers and synechiae between the iris and peripheral anterior lens capsule with increased risk of intraoperative vitreous loss and zonular dehiscence. Postoperative intraocular lens dislocation may occur with time.
Follow Up
Every 1 to 3 months as with POAG, but with the awareness that damage can progress very rapidly.
NOTE: Many patients have pseudoexfoliation syndrome without glaucoma. These patients are reexamined every 6 to 12 months because of glaucoma risk; treatment is initiated with evidence of IOP elevation and glaucomatous damage.
9.12 Lens-Related Glaucoma
9.12.1 PHACOLYTIC GLAUCOMA
Definition
Leakage of lens material through an intact lens capsule leads to outflow obstruction (typically in presence of a hypermature cataract).
Symptoms
Unilateral pain, decreased vision (despite poor vision from cataract, increased blurring may be noticeable), tearing, injection, and photophobia.
Signs
Critical. Markedly increased IOP, accompanied by iridescent particles and white material in the anterior chamber or on anterior surface of lens capsule. A hypermature (liquefied, Morgagnian) or mature cataract is typical. May occur less commonly in presence of an immature cataract with liquefaction of the posterior cortex. Pain is usually severe.
Other. Microcystic corneal edema, anterior chamber cell and flare (cells may be larger than typical uveitic white blood cells), pseudohypopyon, and severe conjunctival injection. Gonioscopy reveals an open anterior chamber angle. Clumps of macrophages may be seen in the inferior angle.
Differential Diagnosis
All of the following can produce an acute increase in IOP to high levels, but none display iridescent particles in the anterior chamber:
• Inflammatory glaucoma. See 9.7, Inflammatory Open-Angle Glaucoma.
• Glaucomatocyclitic crisis. See 9.8, Glaucomatocyclitic Crisis/Posner- Schlossman Syndrome.
• Acute angle closure glaucoma. See 9.4, Acute Angle Closure Glaucoma.
• Lens particle glaucoma. See 9.12.2, Lens Particle Glaucoma.
• Endophthalmitis. See 12.13, Postoperative Endophthalmitis.
• Glaucoma secondary to intraocular tumor: May have unilateral cataract.
• Others: Traumatic glaucoma, ghost cell glaucoma, phacomorphic glaucoma, phacoantigenic (formerly phacoanaphylaxis) glaucoma, neovascular glaucoma, and others.
Workup
1. History: Longstanding poor vision (chronic/mature cataract)? Recent trauma or ocular surgery? Recurrent episodes? Prior uveitis?
2. Slit lamp examination: Look for iridescent or white particles as well as cell and flare in the anterior chamber. Check IOP. Evaluate for cataract and corneal edema. Look for signs of trauma. Note, the lens capsule is intact in this diagnosis.
3. Gonioscopy of the anterior chamber angles of both eyes: Topical glycerin may be placed on the cornea, after topical anesthesia, to temporarily clear any edema.
4. Retinal and optic disc examination if possible. Otherwise, B-scan US before cataract extraction to rule out intraocular tumor or retinal detachment.
5. If the diagnosis is in doubt, an anterior chamber paracentesis can be performed to detect macrophages bloated with lens material on microscopic examination (see Appendix 13, Anterior Chamber Paracentesis).
Treatment
The immediate goal of therapy is to reduce the IOP and inflammation. The cataract should be removed promptly (within several days).
• Medical therapy options include:
• Topical [3-blocker (e.g., timolol 0.5% daily or b.i.d.), a2 agonist (e.g., brimonidine 0.1% to 0.2% b.i.d. to t.i.d.), and/or topical CAI (e.g., dorzolamide 2% t.i.d.).
• Systemic CAI (e.g., acetazolamide 500 mg sequel p.o. b.i.d.). Benefit of maintaining topical CAI in addition to a systemic agent is controversial.
• Topical cycloplegic (e.g., cyclopentolate 1% t.i.d.).
• Topical steroid (e.g., prednisolone acetate 1% every 15 minutes for four doses then q1h).
• Hyperosmotic agent if necessary and no contraindications are present (e.g., mannitol, 1 to 2 g/kg i.v. over 45 minutes).
• The IOP usually does not respond adequately to medical therapy. In cases where IOP cannot be managed medically, cataract removal is usually performed within 24 to 48 hours. In patients who have noticed a sudden decrease in vision, the urgency of cataract surgery is increased, especially in those whose vision has progressed to NLP over a few hours. In such cases, lowering the IOP immediately with an anterior chamber paracentesis is necessary prior to cataract extraction (see Appendix 13, Anterior Chamber Paracentesis). Glaucoma surgery is usually not necessary at the same time as cataract surgery.
Follow Up
1. If patients are not hospitalized, they should be reexamined the day after surgery. Patients may be hospitalized for 24 hours after cataract surgery for IOP monitoring.
2. If the IOP returns to normal, the patient should be rechecked within 1 week.
9.12.2 LENS PARTICLE GLAUCOMA
Definition
Lens material liberated by trauma or surgery obstructs aqueous outflow channels.
Symptoms
Pain, blurred vision, red eye, tearing, and photophobia. History of recent ocular trauma or intraocular surgery.
Signs
Critical. White, fluffy pieces of lens cortical material in the anterior chamber, combined with increased IOP.
Other. Anterior chamber cell and flare, conjunctival injection, or corneal edema. The anterior chamber angle is open on gonioscopy.
Differential Diagnosis
• See 9.12.1, Phacolytic Glaucoma. In phacolytic glaucoma, the lens capsule is intact.
• Infectious endophthalmitis: Usually a normal or low IOP. Unless lens cortical material can be unequivocally identified in the anterior chamber, and there is nothing atypical about the presentation, endophthalmitis must be excluded. See 12.13, Postoperative Endophthalmitis and 12.15, Traumatic Endophthalmitis.
• Phacoantigenic (formerly phacoanaphylaxis): Requires prior sensitization to lens material. Follows trauma or intraocular surgery, producing anterior chamber inflammation and sometimes a high IOP. The inflammation is often granulomatous, and fluffy lens material is not present in the anterior chamber. See 9.12.3, Phacoantigenic (Formerly Phacoanaphylaxis).
Workup
1. History: Recent trauma or intraocular surgery?
2. Slit lamp examination: Search the anterior chamber for lens cortical material and measure the IOP.
3. Gonioscopy of the anterior chamber angle.
4. Optic nerve evaluation: Degree of optic nerve cupping helps determine how long the increased IOP can be tolerated.
Treatment
See 9.12.1, Phacolytic Glaucoma, for medical treatment. If medical therapy fails to control the IOP, the residual lens material must be removed surgically.
Follow Up
Depending on the IOP and health of the optic nerve, patients are reexamined in 1 to 7 days.
9.12.3 PHACOANTIGENIC GLAUCOMA (FORMERLY PHACOANAPHYLAXIS)
Formerly known as “phacoanaphylaxis,” this rare condition presents with chronic granulomatous uveitis in response to prior sensitization of lens material liberated by trauma or intraocular surgery. It may have associated glaucomatous optic neuropathy, although this is rare at presentation. After lens material is liberated, there is a latent period where an immune sensitivity develops. Inflammatory cells surround lens material, and glaucoma may result from blockage of the TM by these cells and lens particles. Other forms of uveitis should be considered, including sympathetic ophthalmia. Other forms of lens- induced glaucoma must be considered including lens particle and phacolytic glaucoma. Treatment is with topical steroids and antiglaucoma medications. The lens should be removed surgically, particularly if IOP or inflammation cannot be adequately controlled with medications.
9.12.4 PHACOMORPHIC GLAUCOMA
Phacomorphic glaucoma is caused by closure of the anterior chamber angle by a large intumescent cataract. A pupillary block mechanism may play a role. The initial treatment includes topical antiglaucoma medication(s), although a systemic CAI and hyperosmotic agent may be necessary as well (see 9.4, Acute Angle Closure Glaucoma). Can be mistaken for pupillary ACG; however, the anterior chamber may be more uniformly shallow than in a purely pupillary block mechanism where iris bombe is prominent. A laser iridectomy may be effective in relieving any part of pupillary block, although this may only be a temporizing measure. Cataract extraction is the definitive treatment.
9.12.5 GLAUCOMA CAUSED BY LENS DISLOCATION OR SUBLUXATION
Lens dislocation/subluxation may be caused by trauma, pseudoexfoliation syndrome, or congenital zonular dysgenesis (e.g., Marfan syndrome, spherophakia). Mechanisms for glaucoma in dislocated/subluxed lenses include an inflammatory reaction caused by the lens material itself, pupillary block, or damage to the anterior chamber angle sustained during trauma. A dislocated lens may become hypermature and cause a phacolytic glaucoma (see 9.12.1, Phacolytic Glaucoma). In addition, a dislocated or subluxed lens can lead to sensitization of lens proteins if associated with capsule violation (see 9.12.3, Phacoantigenic Glaucoma [Formerly Phacoanaphylaxis]). Pupillary block is the most common mechanism and can occur secondary to anterior displacement of the lens or vitreous plugging the pupil. Treatment is aimed at relieving the pupillary block. Iridectomy is usually indicated and necessary to prevent future attacks. Cycloplegics are helpful along with face up/supine head positioning to allow lens to fall back. lOP-lowering medications are employed. Avoid miotics. Surgical lens removal often needed, occasionally through a pars plana approach. See 13.10, Subluxed or Dislocated Crystalline Lens, for a more in-depth discussion.
9.13 Plateau Iris
Symptoms
Usually asymptomatic, unless acute angle closure glaucoma develops. See 9.4, Acute Angle Closure Glaucoma.
Signs
Critical. Persistent appositional angle after laser iridotomy (see 9.4, Acute Angle Closure Glaucoma).
Differential Diagnosis
• Acute angle closure glaucoma associated with pupillary block: The central anterior chamber depth is decreased, but more pronounced peripheral shallowing with iris bombё, giving the iris a convex appearance. See 9.4, Acute Angle Closure Glaucoma.
• Aqueous misdirection syndrome: Marked diffuse shallowing of the anterior chamber both centrally and peripherally, often after cataract extraction or glaucoma surgery. See 9.17, Aqueous Misdirection Syndrome/Malignant Glaucoma.
• For other disorders, see 9.4, Acute Angle Closure Glaucoma.
Types

FIGURE 9.13.1 Ultrasonography biomicroscopy of a plateau iris.
1. Plateau iris configuration: Because of the anatomic configuration of the angle, acute angle closure glaucoma develops from only a mild degree of pupillary block. These angle closure attacks may be treated with a laser PI to break any component of pupillary block but this is not curative.
2. Plateau iris syndrome: The peripheral iris can bunch up in the anterior chamber angle and obstruct aqueous outflow without any element of pupillary block. The plateau iris syndrome is present when the angle closes and the IOP rises after dilation, despite a patent PI, and in the absence of phacomorphic glaucoma. UBM findings are characterized by an anteriorly rotated ciliary body. See Figure 9.13.1.
Workup
1. Slit lamp examination: Specifically check for the presence of a patent PI and the critical signs listed previously.
2. Measure IOP.
3. Gonioscopy of both anterior chamber angles. “Double hump sign” on indentation gonioscopy is critical where the iris drapes over the lens and is anterior near the pupil and then falls back over the zonular area and is again forward and appositional in the angle.
4. Undilated optic nerve evaluation.
5. Can be assessed by UBM.
NOTE: If dilation must be performed in a patient suspected of having a plateau iris, warn the patient that this may provoke an acute angle closure attack. The preferred agent is 0.5% tropicamide. Recheck the IOP every few hours until the pupil returns to normal size. Have the patient notify you immediately if symptoms of acute angle closure develop.
Treatment
If acute angle closure is present:
1. Treat medically. See 9.4, Acute Angle Closure Glaucoma.
2. A laser PI is performed within 1 to 3 days if the angle closure attack can be broken medically. If the attack cannot be controlled, a laser or surgical PI may need to be done as an emergency procedure. Consider a laser iridoplasty to break an acute attack not responsive to medical treatment and PI.
3. One week after the laser PI, gonioscopy should be repeated prior to dilating the eye with a weak mydriatic (e.g., tropicamide 0.5%).
If the IOP increases or a spontaneous angle closure episode occurs, plateau iris syndrome is diagnosed and should be treated with an iridoplasty. Second-line therapy includes chronic instillation of a weak miotic agent (e.g., pilocarpine 0.5% to 1% t.i.d. to q.i.d.).
4. If the patient’s IOP does respond to a laser PI (e.g., plateau iris configuration), then a prophylactic laser PI may be indicated in the contralateral eye within 1 to 2 weeks.
If acute angle closure is not present:
1. Laser PI to relieve any pupillary block component; also done to prove pupillary block is not the primary mechanism.
2. Check gonioscopy every 4 to 6 months to evaluate the angle.
• Most do well with close observation alone. Perform iridoplasty if new PAS or further narrowing of the angle develops.
• If the angle continues to develop new PAS or becomes narrower despite iridoplasty, then consider lens extraction. Can consider ECP at the time of phacoemulsification to shrink ciliary processes. If uncontrolled IOP, treat as CACG (see 9.5, Chronic Angle Closure Glaucoma).
Follow Up
1. Similar to performing a PI in acute angle closure. Reevaluate in 1 week, 1 month, and 3 months, and then yearly if no problems have developed.
2. Patients with a plateau iris configuration without previous acute angle closure are examined every 6 months.
3. Every examination should include IOP measurement and gonioscopy looking for PAS formation, narrowing angle recess, or increasing angle closure. The PI should be examined for patency. Dilation should cautiously be performed periodically (approximately every 2 years) to ensure that the PI remains adequate to prevent angle closure. If the patient needs more frequent dilation due to retinal pathology, consider cataract surgery to help open the angle.
4. Ophthalmoscopic disc evaluation is essential.
5. Recommend examination of immediate family members.
9.14 Neovascular Glaucoma
Definition
Glaucoma caused by a fibrovascular membrane overgrowing the anterior chamber angle structures. Initially, despite an open appearance on gonioscopy, the angle may be blocked by the membrane. The fibrovascular membrane eventually contracts, causing PAS formation and secondary angle closure glaucoma. Rarely, it may have NV of the angle without NV of the iris (NVI) at the pupillary margin. Ischemia-driven vascular endothelial growth factor (VEGF) release from a variety of causes results in the formation of the fibrovascular membrane.
Symptoms
May be asymptomatic or include pain, redness, photophobia, and decreased vision.
Signs
(See Figures 9.14.1 and 9.14.2.)

FIGURE 9.14.1 Iris neovascularization.

FIGURE 9.14.2 Neovascularization of the angle.
Critical
• Stage 1: Nonradial, misdirected blood vessels along the pupillary margin, the TM, or both. No signs of glaucoma. Normal iris blood vessels run radially and are typically symmetric.
• Stage 2: Stage 1 plus increased IOP (open-angle neovascular glaucoma).
• Stage 3: Partial or complete angle closure glaucoma caused by a fibrovascular membrane pulling the iris well anterior to the TM (usually at the level of Schwalbe line). NVI is common.
Other. Mild anterior chamber cell and flare, conjunctival injection, corneal edema with acute IOP increase, hyphema, eversion of pupillary margin allowing visualization of iris pigment epithelium (ectropion uveae), optic nerve cupping, and visual field loss.
Differential Diagnosis
• Inflammatory glaucoma: Anterior chamber cell and flare, dilated normal iris blood vessels may be seen. Open angle with no NV. See 9.7, Inflammatory Open-Angle Glaucoma.
• Primary acute angle closure glaucoma. See 9.4, Acute Angle Closure Glaucoma.
Etiology
• Diabetic retinopathy with retinal ischemia. See 11.12, Diabetic Retinopathy.
• Central retinal vein occlusion, particularly the ischemic type. See 11.8, Central Retinal Vein Occlusion.
• Central retinal artery occlusion. See 11.6, Central Retinal Artery Occlusion.
• Ocular ischemic syndrome (carotid occlusive disease). See 11.11, Ocular Ischemic Syndrome/Carotid Occlusive Disease.
• Others: Branch retinal vein occlusion, branch retinal artery occlusion, chronic uveitis, chronic retinal detachment, intraocular tumors, trauma, other ocular vascular disorders, radiation therapy, and chronic long-standing increased IOP (e.g., neglected angle closure glaucoma). See specific sections.
Workup
1. History: Determine underlying etiology.
2. Complete ocular examination, including IOP measurement and gonioscopy to evaluate degree of angle closure, if any. A dilated retinal examination is essential in determining the etiology and for disc evaluation.
3. Fluorescein angiography as needed to identify an underlying retinal abnormality or in preparation for panretinal photocoagulation (PRP).
4. Carotid Doppler studies to rule out stenosis when no retinal etiology is identified.
5. B-scan US is indicated when the retina cannot be visualized to rule out an intraocular tumor or retinal detachment.
Treatment
1. Reduce inflammation and pain: Topical steroid (e.g., prednisolone acetate 1% q1-6h) and a cycloplegic (e.g., atropine 1% t.i.d.).
2. Reduce the IOP if it is increased (markedly high IOP is not uncommon). Where visual potential is good and cupping advanced, a lower target IOP may be appropriate. Any or all of the following medications are used:
• Topical β-blocker (e.g., timolol 0.5% daily or b.i.d.).
• Topical a2 agonists (e.g., brimonidine 0.1% to 0.2% b.i.d. to t.i.d.).
• Topical and/or systemic CAI (e.g., dorzolamide 2% b.i.d. to t.i.d. and/or acetazolamide 500 mg sequel p.o. b.i.d.).
• Prostaglandins may help lower IOP, but may increase inflammation and are usually avoided in the acute phase.
• If need for IOP reduction is urgent or refractory to therapies listed above, consider an osmotic agent (e.g., mannitol 1 to 2 g/kg i.v. over 45 minutes).
NOTE: Miotics (e.g., pilocarpine) are contraindicated because of their effects on the blood-aqueous barrier. Epinephrine compounds (e.g., dipivefrin) are usually ineffective.
3. In the acute stages, after a rapid rise in IOP, an anterior chamber paracentesis may be helpful. Caution should be exercised as this may also result in a hyphema. See Appendix 13, Anterior Chamber Paracentesis.
4. If retinal ischemia is thought to be responsible for the NV, then treat with PRP and/or anti-VEGF intravitreal injections. If the retina cannot be visualized, lower the IOP and treat the retina once the cornea clears. These procedures are used if the angle is open as it may be possible to reverse the angle NV and restore normal aqueous outflow.
5. Glaucoma filtration surgery may be performed when the NV is inactive and the IOP cannot be controlled with medical therapy. Tube-shunt procedures may be helpful to control IOP in some patients with active NV, but may be complicated by postoperative bleeding. They should not be performed unless there is useful vision to preserve. Transscleral cyclophotocoagulation is an option but is more often reserved for cases with poor visual potential.
6. Intravitreal anti-VEGF agents (e.g., ranibizumab, bevacizumab, or aflibercept) may be used to promote regression of iris NV prior to, or in conjunction with, filtering surgery or PRP. Their effect is temporary, and their use for treatment of NV is currently off- label. They are particularly useful in stage 1 and 2 neovascular glaucoma, where the angle is still open, to prevent angle closure during the interval required for PRP to take effect. Caution should be used when no view of the retina is possible. (See 11.12, Diabetic Retinopathy and 11.17, Neovascular or Exudative (Wet) Age-Related Macular Degeneration, for a discussion on anti-VEGF agents.)
7. In eyes without useful vision, topical steroids and cycloplegics may be adequate therapy for pain control. The pain in chronic neovascular glaucoma is not primarily a function of the IOP itself; thus, reducing IOP may not be necessary if the goal is pain control and comfort measures only. See 13.12, Blind, Painful Eye.
Follow Up
The presence of NVI, especially with high IOP, requires urgent therapeutic intervention, usually within 1 to 2 days. Angle closure can proceed rapidly (days to weeks).
NOTE: NVI without glaucoma is managed similarly, but there is no need for pressure-reducing agents unless IOP increases.
9.15 Iridocorneal Endothelial Syndrome
Definition
Three overlapping syndromes—essential iris atrophy, Chandler, and iris nevus (Cogan-Reese)—that share an abnormal corneal endothelial cell layer, which can grow across the anterior chamber angle. Secondary angle closure can result from contraction of this membrane.
Symptoms
Asymptomatic early. Later, the patient may note an irregular pupil or iris appearance, blurred vision, monocular diplopia, or pain if IOP increases or corneal edema develops. Usually unilateral and most common in patients 20 to 50 years of age. More common in women. Sporadic in presentation.
Signs
(See Figure 9.15.1.)

FIGURE 9.15.1 Essential iris atrophy.
Critical. Corneal endothelial changes (fine, beaten-bronze appearance); microcystic corneal edema; localized, irregular, high PAS that often extend anterior to Schwalbe line; deep central anterior chamber; iris alterations as follows:
• Essential iris atrophy: Marked iris thinning leading to iris holes with displacement and distortion of the pupil (corectopia). Usually good prognosis.
• Chandler syndrome: Mild iris thinning and corectopia. The corneal and angle changes are most marked in this variant. Degree of findings is highly variable. Patients often have corneal edema even at normal IOP. Accounts for about 50% of ICE syndrome cases. Variable prognosis.
• Iris nevus/Cogan-Reese syndrome: Pigmented nodules (not true nevi) on the iris surface, variable iris atrophy. Similar changes may be seen in Chandler syndrome and essential iris atrophy, resulting from contraction of the membrane over the iris, constricting around small islands of iris tissue. Usually poor prognosis.
Other. Corneal edema, elevated IOP, optic nerve cupping, or visual field loss. Glaucoma is nearly always unilateral; occasional mild corneal changes may be seen in the fellow eye.
Differential Diagnosis
• Axenfeld-Rieger spectrum: Bilateral. Prominent, anteriorly displaced Schwalbe line (posterior embryotoxon); peripheral iris strands extending to (but not anterior to) Schwalbe line; iris thinning with atrophic holes. See 8.12, Developmental Anterior Segment and Lens Anomalies/Dysgenesis.
• PPCD: Bilateral. Endothelial vesicles or band-like lesions, occasionally associated with iridocorneal adhesions, corneal edema, and glaucoma. No PAS. Autosomal dominant. See 4.25, Corneal Dystrophies.
• Fuchs endothelial dystrophy: Bilateral corneal edema and endothelial guttae. Normal iris and angle. See 4.26, Fuchs Endothelial Dystrophy.
• Prior uveitis with pigmented KP and posterior synechiae.
• Iridoschisis: Usually bilateral separation of iris into an anterior and posterior layer.
Workup
1. Family history: ICE syndrome is not inherited, Axenfeld-Rieger spectrum and PPCD are usually autosomal dominant.
2. Perform baseline glaucoma evaluation. See 9.1, Primary Open-Angle Glaucoma. Careful attention should be given to cornea and iris evaluation.
3. Consider slit lamp photos and corneal endothelial specular microscopy.
Treatment
No treatment is needed unless glaucoma or corneal edema is present, at which point one or more of the following treatments may be used:
1. IOP-reducing medications. See 9.1, Primary Open-Angle Glaucoma. The IOP may need to be reduced dramatically to eliminate corneal edema. This critical level may become lower as the patient ages.
2. Hypertonic saline solutions (e.g., sodium chloride 5% drops q.i.d. and ointment q.h.s.) may reduce corneal edema.
3. LT and laser PI are ineffective. Newer glaucoma surgical techniques and devices such as iStent are not indicated due to angle disorder. May consider filtering procedure (trabeculectomy) when medical therapy fails; however, there is higher rate of failure for glaucoma filtering surgery. Tube-shunt surgery preferred. If tube-shunt procedure is performed, place tube far into the anterior chamber to lessen the likelihood of occlusion with the endothelial membrane.
4. Consider an endothelial transplant or full-thickness corneal transplant in cases of advanced chronic corneal edema in the presence of good IOP control.
Follow Up
Varies according to the IOP and optic nerve damage. If asymptomatic with healthy optic nerve, may see every 6 to 12 months. If glaucoma is present, then every 1 to 4 months, depending on the severity.
9.16 Postoperative Glaucoma
9.16.1 EARLY POSTOPERATIVE GLAUCOMA
IOP tends to increase approximately 1 hour after cataract extraction and usually returns to normal within 1 week. Etiologies include retained viscoelastic material or lens particle(s), pupillary block, hyphema, pigment dispersion, and generalized inflammation. Patients at greatest risk include those with ocular hypertension, glaucoma, preoperative IOP >22 mm Hg, and intraoperative complications. Most healthy eyes can tolerate an IOP up to 30 mm Hg for many months. However, eyes with preexisting optic nerve damage require IOP- lowering medications for any significant pressure increase. Prostaglandin analogs are generally avoided postoperatively because of their proinflammatory characteristics and delayed onset of action. Most eyes with an IOP >30 mm Hg should be treated. If inflammation is excessive, increase the topical steroid dose to every 2 hours while awake and consider a topical NSAID (e.g., ketorolac, flurbiprofen or diclofenac q.i.d., bromfenac b.i.d., or nepafenac daily). See 9.7, Inflammatory Open-Angle Glaucoma.
9.16.2 POSTOPERATIVE PUPILLARY BLOCK
Differential Diagnosis
Early Postoperative Period (Within 2 Weeks)
• Aqueous misdirection syndrome (malignant glaucoma). See 9.17, Aqueous Misdirection Syndrome/Malignant Glaucoma.
• Suprachoroidal hemorrhage.
• Anterior chamber lens with vitreous loss: Vitreous plugs the pupil if iridectomy is not performed. Can also occur if patient is aphakic.
• Silicone oil or expansile intraocular gas (e.g., sulfur hexafluoride [SF6] and perfluoropropane [C3F8]) after retinal detachment repair. Can occur via open angle or closed angle mechanisms.
• After endothelial keratoplasty, air or gas can migrate behind iris and cause pupillary block.
• Angle closure after scleral buckling procedure.
Late Postoperative Period (After 2 Weeks)
• Pupillary block glaucoma. See 9.4, Acute Angle Closure Glaucoma.
• Suprachoroidal hemorrhage.
• UGH syndrome. See 9.16.3, Uveitis, Glaucoma, Hyphema Syndrome.
• Aqueous misdirection syndrome (malignant glaucoma): When cycloplegics are stopped. See 9.17, Aqueous Misdirection
Syndrome/Malignant Glaucoma.
• Steroid-induced glaucoma. See 9.9, Steroid-Response Glaucoma.
Signs
Increased IOP, shallow or partially flat anterior chamber with anterior iris bowing (iris bombe), absence of a patent PI. Posterior iris adhesions to lens, anterior capsule, or intraocular lens usually present.
Treatment
1. If the cornea is clear and the eye is not significantly inflamed, a PI is performed, usually by YAG laser. Because the PI tends to close, it is often necessary to perform two or more iridotomies. See Appendix 15, YaG Laser Peripheral Iridotomy.
2. If the cornea is hazy, the eye is inflamed, or a PI cannot be performed immediately, then:
• Mydriatic agent (e.g., cyclopentolate 2% and phenylephrine 2.5%, every 15 minutes for four doses).
• Topical therapy with β-blocker (e.g., timolol 0.5%), a2 agonist (e.g., brimonidine 0.1% to 0.2%), and CAI (dorzolamide 2%) should be initiated immediately if no contraindication. In urgent cases, three rounds of these medications may be given, with each round being separated by 15 minutes.
• Systemic CAI (e.g., acetazolamide 250 to 500 mg i.v. or two 250-mg tablets p.o. in one dose if unable to give i.v.) if IOP decrease is urgent or if IOP is refractory to topical therapy.
• Topical steroid (e.g., prednisolone acetate 1%) every 15 to 30 minutes for four doses.
• PI, preferably YAG laser, when the eye is less inflamed. If the cornea is not clear, topical glycerin may help clear it temporarily.
• A surgical PI may be needed.
• A guarded filtration procedure or tube shunt may be needed if the angle has become closed.
9.16.3 UVEITIS, GLAUCOMA, HYPHEMA SYNDROME
Signs
Anterior chamber cell and flare, increased IOP, hyphema, and possible iris TIDs. Usually secondary to irritation from a malpositioned anterior or posterior chamber intraocular lens with adjacent iris and ciliary body chafe. UBM may help to confirm diagnosis by demonstrating IOL haptic contact to ciliary body in the sulcus.
Treatment
1. Atropine 1% b.i.d.
2. Topical steroid (e.g., prednisolone acetate 1% four to eight times per day or difluprednate 0.05% four to six times per day) and consider topical NSAID (e.g., ketorolac q.i.d., bromfenac b.i.d., or nepafenac daily).
3. Systemic CAI (e.g., acetazolamide 500 mg sequel p.o. b.i.d.) or may consider topical CAI (e.g., dorzolamide 2% t.i.d.).
4. Topical β-blocker (e.g., timolol 0.5% daily or b.i.d.) and a2 agonist (e.g., brimonidine 0.1% to 0.2% b.i.d. to t.i.d.).
5. Consider laser ablation if bleeding site can be identified.
6. Consider surgical repositioning, replacement, or removal of the intraocular lens, especially if patient experiences recurrent episodes, formation of PAS, or persistent CME.
7. Consider YAG vitreolysis if vitreous strands can be seen.
9.17 Aqueous Misdirection Syndrome/Malignant Glaucoma
Symptoms
May be very mild early in course. Moderate pain, red eye, and photophobia may develop. Classically follows incisional (e.g., cataract, glaucoma, retinal) or laser surgery in eyes with small anterior segments (e.g., hyperopia, nanophthalmos) or with primary angle closure glaucoma. May occur spontaneously or be induced by miotics.
Signs
Critical. Diffusely shallow or flat anterior chamber and increased IOP in the presence of a patent PI and in the absence of both a choroidal detachment and iris bombe. IOP may not be significantly elevated, especially early in the presentation.
Differential Diagnosis
• Pupillary block glaucoma: Iris bombe, adhesions of iris to other anterior chamber structures. See 9.16.2, Postoperative Pupillary Block.
• Acute angle closure glaucoma: See 9.4, Acute Angle Closure Glaucoma.
• Overfiltration after surgery:
• Choroidal detachment: Shallow or flat anterior chamber, but the IOP is typically low. See 11.27, Choroidal Effusion/Detachment.
• Postoperative wound leak: Shallow or flat anterior chamber often with positive Seidel test. IOP is typically low. See 13.11, Hypotony Syndrome. See Appendix 5, Seidel Test to Detect a Wound Leak.
• Suprachoroidal hemorrhage: Shallow or flat anterior chamber. IOP typically high. See 11.27, Choroidal Effusion/Detachment.
Etiology
Believed to result from anterior rotation of the ciliary body with posterior misdirection of the aqueous; aqueous then accumulates in the vitreous resulting in forward displacement of the ciliary processes, crystalline lens, intraocular implant, or the anterior vitreous face, causing secondary angle closure. Newer theories point toward choroidal expansion, reduced conductivity of fluid through vitreous, and reduced trans-scleral fluid movement as factors in development.
Workup
1. History: Previous eye surgery?
2. Slit lamp examination: Determine if a patent PI or iris bombe is present. Pupillary block is unlikely in the presence of a patent PI unless it is plugged, bound down, or plateau iris syndrome is present.
3. Gonioscopy and IOP measurement.
4. Dilated retinal examination unless phakic angle closure is likely.
5. Perform B-scan US to rule out choroidal detachment and suprachoroidal hemorrhage.
6. Seidel test to detect postoperative wound leak if clinically indicated.
Treatment
1. If an iridectomy is not present or an existing PI is not clearly patent, pupillary block cannot be ruled out, and a PI should be performed. See 9.4, Acute Angle Closure Glaucoma. If signs of aqueous misdirection are still present with a patent PI, attempt medical therapy to control IOP and return aqueous flow to the normal pathway.
2. Atropine 1% and phenylephrine 2.5% q.i.d. topically. Miotics can worsen condition and are contraindicated.
3. Systemic CAI (e.g., acetazolamide 500 mg i.v. or two 250-mg tablets p.o.).
4. Topical β-blocker (e.g., timolol 0.5% daily or b.i.d.).
5. Topical a2 agonist (e.g., apraclonidine 1.0% or brimonidine 0.1% to 0.2% b.i.d.).
6. If needed, hyperosmotic agent (e.g., mannitol 20% 1 to 2 g/kg i.v. over 45 minutes).
If the attack is broken (anterior chamber deepens and IOP normalizes), continue atropine 1% daily, indefinitely. At a later date, perform PI in the contralateral eye if the angle is occludable.
If steps 1 through 6 are unsuccessful, consider one or more of the following surgical interventions to disrupt the anterior hyaloid face in an attempt to restore the normal anatomic flow of aqueous. Ultimately, the goal is to create a unicameral eye:
YAG laser disruption of the anterior hyaloid face and posterior capsule if aphakic or pseudophakic. If phakic, may attempt through a preexisting large PI.
NOTE: An undetected anterior choroidal detachment may be present. Therefore, a sclerotomy to drain a choroidal detachment may be considered before vitrectomy.
• Pars plana vitrectomy combined with irido-zonulo- hyaloidectomy: Performing vitrectomy with localized excision of iris, lens capsule, zonules, and anterior hyaloid face plus reformation of the anterior chamber has been shown to be helpful.
• Lensectomy with disruption of the anterior hyaloid or vitrectomy.
• Argon laser of the ciliary processes.
Follow Up
Variable, depending on the therapeutic modality used. PI is usually performed in an occludable contralateral eye within a week after treatment of the involved eye.
9.18 Postoperative Complications ofGlauc oma Surgery
BLEB INFECTION (BLEBITIS)
See 9.19, Blebitis.
INCREASED POSTOPERATIVE IOP AFTER FILTERING PROCEDURE
Grade of Shallowing of Anterior Chamber
• Peripheral iris-cornea contact.
• Entire iris in contact with cornea.
• Lens (or lens implant or vitreous face)-corneal contact.
NOTE: Please be sure to differentiate anterior chamber shallowing grading from both the Shaffer grading classification of angle depth and the Van Herick method for angle chamber estimation, all of which use numerical systems for grading. See Appendix 14, Angle Classification.
Differential Diagnosis
(See Table 9.18.1.)
TABLE 9.18.1
Postoperative Complications of Glaucoma Surgery

If the anterior chamber is flat or shallow and IOP is increased, consider the following:
• Suprachoroidal hemorrhage: Sudden onset of excruciating pain (commonly 1 to 5 days after surgery), variable IOP (typically high), hazy cornea, and shallow chamber. See 11.27, Choroidal Effusion/Detachment.
• Aqueous misdirection/malignant glaucoma: See 9.17, Aqueous Misdirection Syndrome/Malignant Glaucoma.
• Postoperative pupillary block: See 9.16.2, Postoperative Pupillary Block.
If the anterior chamber is deep, consider the following:
• Internal filtration occlusion by an iris plug, hemorrhage, fibrin, and vitreous or viscoelastic material.
• External filtration occlusion by a tight trabeculectomy flap (sutured tightly or scarred).
• Occluded tube shunt or increased IOP prior to tube ligature release.
• Obstruction of Schlemm canal and collector channels by blood after goniotomy procedure or MIGS implant.
Treatment
Initial gonioscopy to assist in diagnosis is essential before starting any treatment.
1. If the bleb is not formed and the anterior chamber is deep, light ocular pressure should be applied to determine if the sclerostomy will drain (Carlo Traverso Maneuver). In fornix-based procedures, take great care to not disrupt the limbal wound.
NOTE: If the sclerostomy is blocked with iris, any pressure on the globe is contraindicated due to potential for further iris incarceration.
2. Laser suture lysis or removal of releasable sutures may be indicated to increase filtration around the scleral flap.
3. Topical pilocarpine or slow intracameral injection of acetylcholine can pull the iris out of the sclerostomy if iris incarceration developed within the past 2 to 3 days. If this fails, and the sclerostomy is completely blocked by iris, transcorneal mechanical retraction of the iris may work. In rare cases, argon laser iridoplasty may be useful to pull the iris enough to restore filtration. If the sclerostomy is blocked with vitreous, photodisruption of the sclerostomy with a YAG laser may be attempted. Blood or fibrin at the sclerostomy may clear with time or tissue plasminogen activator (10 μg) injected intracamerally may reestablish aqueous flow through the sclerostomy.
4. Iris-tube obstruction may be treated in a similar fashion as above. A stent suture may be removed or ligature suture may be lysed to open a valveless tube, but care must be taken as the IOP may drop dramatically if the tube is opened prior to postoperative month one.
5. Additional medical therapy may be necessary if these measures are not successful. See 9.1, Primary Open-Angle Glaucoma.
6. For suprachoroidal effusion or hemorrhage, if the IOP is mildly increased and the chamber is formed, observation with medical management is indicated. Surgical drainage is indicated for persistent chamber flattening or IOP elevation, corneal-lenticular touch, chronic retinal fold apposition, and/or intolerable pain. If possible, delay drainage for at least 10 days in cases of suprachoroidal hemorrhage.
7. If the above measures fail, reoperation may be necessary.
LOW POSTOPERATIVE IOP AFTER FILTERING PROCEDURE
Low pressures (<7 to 8 mm Hg) can be associated with complications such as flat anterior chamber, choroidal detachment, and suprachoroidal hemorrhage. An IOP <4 mm Hg is more likely associated with complications including macular hypotony and corneal edema.
Differential Diagnosis and Treatment
1. Large bleb with a deep chamber (overfiltration): It is often beneficial to have a large bleb in the first few weeks after trabeculectomy. However, treatment is appropriate if it is still present 6 to 8 weeks after surgery, the patient is symptomatic, IOP is decreasing, or the anterior chamber is shallowing. Treatment includes topical atropine 1% b.i.d., intracameral viscoelastic, and possibly autologous blood injection into the bleb. Observation is recommended if the IOP is low but stable, the vision is stable, and the anterior chamber is deep.
2. Large bleb with a flat chamber (Grade I or II): Treatment includes cycloplegics (atropine 1% t.i.d.) and careful observation. If the anterior chamber becomes more shallow (e.g., Grade I becoming Grade II), the IOP decreases as the bleb flattens, or choroidal detachment develops, the anterior chamber may be reformed with a viscoelastic material.
3. No bleb with flat chamber: Check carefully for a wound leak by Seidel testing (see Appendix 5, Seidel Test to Detect a Wound Leak). If positive, aqueous suppressants, antibiotic ointment, bandage contact lens, patching, or surgical closure may be necessary. If negative, look for a cyclodialysis cleft (by gonioscopy and UBM) or serous choroidal detachments. Cyclodialysis clefts are managed by cycloplegics, laser or cryotherapy (to close the cleft), or surgical closure. Serous choroidal detachments are often observed, since in most cases they resolve when the IOP normalizes. See 11.27, Choroidal Effusion/Detachment.
4. Grade III flat chamber: This is a surgical emergency and demands prompt correction. Office-based reformation with viscoelastic is appropriate. Surgical treatments include drainage of a choroidal detachment and reformation of the anterior chamber with or without revision of the scleral flap or tube, reformation of the anterior chamber with viscoelastic, and cataract extraction with or without other procedures.
COMPLICATIONS OF ANTIMETABOLITES (5- FLUOROURACIL, MITOMYCIN C)
Corneal epithelial defects, corneal edema, conjunctival wound leaks, bleb overfiltration, bleb rupture, scleral thinning and perforation, and increased risk of blebitis.
COMPLICATIONS OF CYCLODESTRUCTIVE PROCEDURES
Pain, uveitis, decreased vision, cataract, hypotony, scleral thinning, choroidal effusion, suprachoroidal hemorrhage, sympathetic ophthalmia, and phthisis.
MISCELLANEOUS COMPLICATIONS OF FILTERING PROCEDURES
Cataracts, corneal edema, corneal delle, endophthalmitis, uveitis, hyphema, and bleb dysesthesia (discomfort).
MISCELLANEOUS COMPLICATIONS OF TUBE-SHUNT PROCEDURES
Cataracts, corneal edema, endophthalmitis, hyphema, scleral perforation, diplopia, and tube/implant erosion.
9.19 Blebitis
Definition
Infection of a filtering bleb. May occur any time after glaucoma filtering procedures (days to years). Greater incidence with use of antimetabolites during initial surgery, multiple surgeries, and postoperative complications including flat anterior chamber and wound leak.
• Grade 1 (mild): Bleb infection, hyperemia or purulence, but no anterior chamber or vitreous involvement.
• Grade 2 (moderate): Bleb infection with anterior chamber inflammation but no vitreous involvement.
• Grade 3 (severe): Bleb infection with anterior chamber and vitreous involvement. See 12.13, Postoperative Endophthalmitis.
Symptoms
Red eye and discharge early. Later, aching pain, photophobia, decreased vision, and mucous discharge.
Signs
(See Figure 9.19.1.)

FIGURE 9.19.1 Blebitis.
• Grade 1: Bleb appears milky with loss of translucency, microhypopyon in loculations of the bleb, may have frank purulent material in or leaking from the bleb, intense conjunctival injection. IOP is usually unaffected.
• Grade 2: Grade 1 plus anterior chamber cell and flare, possibly an anterior chamber hypopyon, with no vitreous inflammation.
• Grade 3: Grade 2 plus vitreous involvement. Same appearance as endophthalmitis except with bleb involvement.
Differential Diagnosis
• Episcleritis: Sectoral inflammation, rarely superior. No bleb involvement. Minimal/mild pain. See 5.6, Episcleritis.
• Conjunctivitis: Minimal decrease in vision, no pain or photophobia. Bacterial conjunctivitis can progress to blebitis if not promptly treated. See 5.1, Acute Conjunctivitis.
• Anterior uveitis: Anterior chamber inflammation without bleb involvement. Photophobia. See 12.1, Anterior Uveitis (Iritis/Iridocyclitis).
• Endophthalmitis: Similar findings as severe blebitis without bleb involvement. May have more intense pain, eyelid edema, chemosis, greater decrease in vision, and hypopyon. See 12.13, Postoperative Endophthalmitis.
• Ischemic bleb: Seen after the use of antimetabolites in immediate postoperative period. Conjunctiva is opaque with sectoral conjunctival injection.
Workup
1. Slit lamp examination with careful evaluation of the bleb, anterior chamber, and vitreous. Search for bleb leak by performing a Seidel test (see Appendix 5, Seidel Test to Detect a Wound Leak). Look for microhypopyon with gonioscopy.
2. Culture bleb or perform anterior chamber tap for moderate blebitis. If severe, see 12.13, Postoperative Endophthalmitis.
NOTE: The most frequent organisms in the early postoperative period include Staphylococcus epidermidis, Staphylococcus aureus, and other Gram-positive organisms. If blebitis occurs months to years later, Streptococcus, Haemophilus influenzae, S. aureus, Moraxella, Pseudomonas, and Serratia are more common.
3. B-scan US will help identify vitritis if visualization is difficult.
Treatment
1. Grade 1: Intensive topical antibiotics with either of the two regimens:
• Fortified cefazolin or vancomycin and fortified tobramycin or gentamicin alternating every half-hour for the first 24 hours. May begin with a loading dose of one drop of each every 5 minutes and then repeated four times.
or
• Fluoroquinolones q1h around the clock after a loading dose.
• Reevaluate in 6 to 12 hours and again at 12 to 24 hours. Must not be getting worse.
• May treat bleb leak with aqueous suppressants and cycloplegia.
2. Grade 2: Same approach as mild blebitis, plus cycloplegics, and more careful monitoring. May consider use of oral fluoroquinolones as well (e.g., ciprofloxacin 500 mg p.o. b.i.d. or moxifloxacin 400 mg daily).
3. Grade 3: Treat as endophthalmitis with some preference for early pars plana vitrectomy, as bleb-associated endophthalmitis appears to be more fulminant than infection following cataract surgery. See 12.13, Postoperative Endophthalmitis.
Follow Up
Daily until infection is resolving. Hospital admission may be indicated.
REFERENCE
Razeghinejad MR, Havens S, Katz LJ. Trabeculectomy bleb-associated infection. Surv Ophthalmol. 2017;62(5):591-610.