13.1 Acquired Cataract
Symptoms
Slowly progressive visual loss or blurring, usually over months to years, affecting one or both eyes. Glare, especially in bright sun or from oncoming headlights while driving at night, and altered color perception may occur, but not to the same degree as in optic neuropathies. Characteristics of the cataract determine specific symptoms.
Signs
(See Figure 13.1.1.)

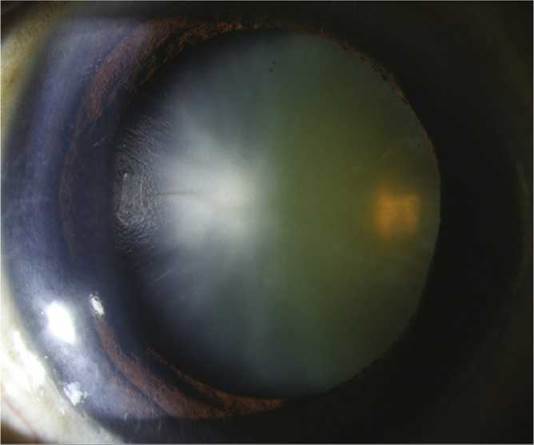
FIGURE 13.1.1 Cataract with early cortical changes and nuclear sclerosis.
Critical. Opacification or discoloration of the normally clear crystalline lens.
Other. Blurred view of the retina with dimming or disruption of the red reflex on retinoscopy. Myopic shift from nuclear sclerosis may cause increased near vision—so-called “second sight.” Cataract alone does not cause a relative afferent pupillary defect (RAPD).
Etiology
• Age-related: Most common. Advanced forms include mature, hypermature, and Morgagnian.
• Trauma: Penetrating, concussion (Vossius ring), and electric shock.
• Toxic: Steroids in any form (including intravitreal injections), miotics, antipsychotics (e.g., phenothiazines), and others.
• Secondary.
• Chronic anterior uveitis. See 12.1, Anterior Uveitis (Iritis/Iridocyclitis).
• History of vitrectomy.
• Repeated intravitreal injections (if trauma to lens occurs during a procedure).
• Ionizing radiation.
• Tumor (ciliary body).
• Acute angle closure glaucoma: May have glaukomflecken. See 9.4, Acute Angle Closure Glaucoma.
• Degenerative ocular disease: Retinitis pigmentosa, Leber congenital amaurosis, gyrate atrophy, Wagner and Stickler syndromes associated with posterior subcapsular cataracts, and others.
• Endocrine/metabolic/chromosomal.
• Diabetes: Juvenile form characterized by rapidly progressing white "snowflake" opacities in the anterior and posterior subcapsular locations. Age-related cataracts form earlier than in nondiabetics.
• Hypocalcemia: Small, white, iridescent cortical changes, usually seen in the presence of tetany.
• Wilson disease: Red-brown pigment deposition in the cortex beneath the anterior capsule (a "sunflower" cataract). See 13.9, Wilson Disease.
• Myotonic dystrophy: Multicolored birefringent opacities, "Christmas-tree" cataract behind the anterior capsule.
• Others: Down syndrome, neurofibromatosis type 2 (posterior subcapsular cataract), atopic dermatitis (anterior subcapsular), etc.
Types
1. Nuclear: Yellow or brown discoloration of the central lens. Typically blurs distance vision more than near (myopic shift).
2. Posterior subcapsular: Plaque-like opacity near the posterior aspect of the lens. Best seen with retroillumination as a dark shadow against the red reflex. Glare and difficulty reading are common complaints. Symptoms may improve postdilation. Associated with ocular inflammation, steroid use, diabetes, trauma, radiation, or excessive alcohol use. Classically occurs in patients <50 years of age. Typically more rapid onset.
3. Cortical: Vacuoles and radial or spoke-like opacities in the periphery that expand to involve the anterior and posterior lens. Glare is the most common complaint. Often asymptomatic until central changes develop.
NOTE: Traditionally, a mature cataract is defined as lenticular changes sufficiently dense to totally obscure the view of the posterior lens and posterior segment of the eye. No iris shadow is seen on oblique illumination at the pupillary margin. Rarely, the cortex may liquefy and the nucleus becomes free floating within the capsule; this is known as a hypermature or Morgagnian cataract. If the liquefied cortex leaks through the intact capsule, wrinkling of the lens capsule may be seen and phacolytic glaucoma may develop. See 9.12.1, Phacolytic Glaucoma. A visually significant cataract is one which subjectively causes bothersome visual symptoms.
Workup
Determine the etiology, whether the cataract is responsible for the decreased vision, and whether surgical removal would improve vision.
1. History: Medications (e.g., tamsulosin and other drugs used for urinary retention [alpha-1 antagonists] strongly associated with intraoperative floppy iris syndrome)? Systemic diseases? Trauma? Ocular disease or poor vision before the cataract?
2. Complete ocular examination, including distance and near vision, pupillary examination, and refraction. When best corrected acuity is 20/30 or better, glare testing is helpful to demonstrate decreased vision. A dilated slit lamp examination using both direct and retroillumination techniques is required to view the cataract properly. Fundus examination, concentrating on the macula, is essential in ruling out other causes of decreased vision.
3. For preoperative planning, note the degree of pupil dilation, density of the cataract, and presence or absence of pseudoexfoliation, phacodonesis (quivering of the lens indicating zonular damage or weakness), or corneal guttae.
4. B-scan ultrasonography (US) if the fundus is not visible to rule out detectable posterior segment disease.
5. The potential acuity meter (PAM) or laser interferometry can be used to estimate the visual potential when cataract extraction is considered in an eye with posterior segment disease.
NOTE: PAM and laser interferometry often overestimate the eye’s visual potential in the presence of macular holes or macular pigment epithelial detachments. Interferometry also overestimates visual potential in cases of amblyopia. Near vision is often the most accurate manner of evaluating macular function if the cataract is not too dense. Nonetheless, both PAM and laser interferometry are useful clinical tools.
6. Keratometry readings and measurement of axial length are required for determining the power of the desired intraocular lens (IOL). Corneal pachymetry or endothelial cell count is occasionally helpful if corneal guttae are present.
Treatment
1. Cataract surgery may be performed for the following reasons:
• To improve visual function in patients with symptomatic visual disability.
• As surgical therapy for ocular disease (e.g., lens-related glaucoma or uveitis).
• To facilitate management of ocular disease (e.g., to allow a fundus view to monitor or treat diabetic retinopathy or glaucoma).
2. Correct any refractive error (e.g., prescription of corrective lenses) if the patient declines cataract surgery.
3. A trial of mydriasis (e.g., cyclopentolate 1% b.i.d. to t.i.d.) may be used successfully in some patients who desire nonsurgical treatment. The benefits of this therapy are only temporary. Most useful for posterior subcapsular cataracts.
Follow Up
Unless there is a secondary complication from the cataract (e.g., glaucoma), a cataract itself does not require urgent action. If a patient requires bilateral cataract extraction, surgery is typically first performed on the more advanced cataract. Patients who decline surgical removal are reexamined annually or sooner if symptoms worsen.
If congenital, see 8.8, Pediatric Cataract.
13.2 Subluxed or Dislocated Crystalline Lens
Definition
• Subluxation: Partial disruption of the zonular fibers. Lens is decentered but remains partially visible through the pupil.
• Dislocation: Complete disruption of the zonular fibers. Lens is fully displaced out of the pupillary aperture.
Symptoms
Decreased vision, double vision that persists when covering one eye (monocular diplopia).
Signs
(See Figure 13.2.1.)

FIGURE 13.2.1 Ectopia lentis.
Critical. Decentered or displaced lens, iridodonesis (quivering of the iris), and phacodonesis (quivering of the lens).
Other. Change in refractive error, marked astigmatism, cataract, angle closure glaucoma as a result of pupillary block, vitreous in the anterior chamber, and asymmetry of the anterior chamber depth.
Etiology
• Trauma: Most common. Results in subluxation if >~25% of the zonular fibers are ruptured. Need to rule out a predisposing condition (see other etiologies).
• Pseudoexfoliation: Flaky material seen as scrolls in a “target pattern” on anterior lens capsule; associated with glaucoma and poor pupillary dilation; higher risk of complications during cataract surgery due to weak zonular fibers (see 9.11, Pseudoexfoliation Syndrome/Exfoliative Glaucoma).
• Marfan syndrome: Bilateral lens subluxation, classically superotemporally. Increased risk of retinal detachment. Autosomal dominant with cardiomyopathy, aortic aneurysm, aortic dissection, tall stature with long extremities, and kyphoscoliosis.
• Homocystinuria: Bilateral lens subluxation, classically inferonasally. Increased risk of retinal detachment. Autosomal recessive often with mental retardation, skeletal deformities, high incidence of thromboembolic events (particularly with general anesthesia). Lens subluxation may be the first manifestation in patients with mild disease.
• Weill-Marchesani syndrome: Small lens can dislocate into the anterior chamber, causing reverse pupillary block. Usually autosomal recessive with short fingers and stature, seizures, microspherophakia (small, round lens), myopia, and no mental retardation.
• Others: Acquired syphilis, congenital ectopia lentis, simple ectopia lentis, aniridia, Ehlers-Danlos syndrome, Crouzon syndrome, hyperlysinemia, sulfite oxidase deficiency, high myopia, chronic inflammation, hypermature cataract, etc.
Workup
1. History: Trauma? Family history of disorders listed above? Systemic illness (e.g., syphilis)? Neurologic symptoms (e.g., seizures)?
2. Determine whether the condition is unilateral or bilateral. Determine direction of lens displacement and evaluate for subtle phacodonesis by observing the lens during back and forth saccadic eye movements. Check for pseudoexfoliation. Evaluate for acute or remote signs of ocular trauma including hyphema, angle recession, iridodialysis, cyclodialysis, retinal tears and detachments.
3. Systemic examination: Evaluate stature, extremities, hands, and fingers; often in conjunction with an internist, including blood and urine tests to rule out homocystinuria and echocardiography to rule out aortic aneurysms in patients with possible Marfan syndrome. Consider genetic testing when appropriate and available.
4. Syphilis screening tests (rapid plasma reagin [RPR] or venereal disease research laboratory [VDRL] and fluorescent treponemal antibody absorption [FTA-ABS] or treponemal-specific assay).
Treatment
1. Lens dislocated into the anterior chamber.
• Dilate the pupil, place the patient on his or her back, and attempt to replace the lens into the posterior chamber by head manipulation. It may be necessary to indent the cornea after topical anesthesia with a Zeiss gonioprism or cotton swab to reposition the lens. After the lens is repositioned in the posterior chamber, constrict the pupil with pilocarpine 0.5% to 1% q.i.d. and perform a peripheral laser iridotomy to prevent pupillary block.
or
• Surgically remove the lens and consider placing an IOL (preferred treatment if significant cataract, corneal decompensation, prior treatment failure, recurrent dislocation, or compliance issues with pilocarpine).
2. Lens dislocated into the vitreous.
• Lens capsule intact, patient asymptomatic, no signs of inflammation: Observation versus pars plana lensectomy and possible IOL placement.
• Lens capsule broken with intraocular inflammation: Pars plana lensectomy with possible IOL placement.
3. Subluxation.
• Asymptomatic or stable refractive error: Observe in adults. Timely refractive correction to prevent amblyopia in children.
• Uncorrectable astigmatism, unstable refractive errors, or monocular diplopia: Surgical removal of the lens and possible IOL placement.
• Symptomatic cataract: Options include surgical removal of the lens, mydriasis (e.g., atropine 1% daily) and aphakic correction (i.e., contact lens if the other eye is phakic or pseudophakic to prevent anisometropia), pupillary constriction (e.g., pilocarpine 4% gel q.h.s.) and phakic correction, or a large optical iridectomy (away from the lens) with aphakic correction.
4. Pupillary block: Treatment is identical to that for aphakic pupillary block. See 9.16, Postoperative Glaucoma.
5. If Marfan syndrome suspected, refer the patient to a cardiologist for an annual echocardiogram and management of any cardiac- related abnormalities. Prophylactic systemic antibiotics may be needed if the patient undergoes surgery (or a dental procedure) to prevent endocarditis.
6. If homocystinuria is suspected: Refer to an internist. The usual therapy consists of:
• Pyridoxine (vitamin B6) daily oral supplementation and a methionine-restricted, cysteine-supplemented diet.
• Avoid surgery if possible because of the risk of thromboembolic complications. If surgical intervention is necessary, anticoagulant therapy is indicated in conjunction with internist.
Follow Up
Depends on the etiology, degree of subluxation or dislocation, and symptoms.
13.3 Pregnancy
ANTERIOR SEGMENT CHANGES
Transient loss of accommodation and increased corneal thickness, edema, and curvature. Refractive change results from hormonal status or a shift in fluid and tends to normalize after delivery. Defer prescribing new glasses until several weeks postpartum. Rigid contact lens wearers may experience contact lens intolerance due to corneal changes. Corneal refractive surgery is usually delayed at least 3 months after pregnancy or stopping nursing.
PREECLAMPSIA/ECLAMPSIA
A worldwide leading cause of maternal/fetal/neonatal morbidity and mortality. Occurs in 2% to 5% of pregnancies but may approach 10% in developing countries. Occurs after 20 weeks of gestation; most commonly in primigravida.
Symptoms
Headaches, blurred vision, photopsias, diplopia, and scotomas.
Signs
Systemic
• Preeclampsia or pregnancy-induced hypertension: Hypertension and proteinuria in previously normotensive women. Other signs include peripheral edema, liver failure, renal failure, and HELLP syndrome (hemolysis, elevated liver enzymes, and low platelet counts).
• Eclampsia: Preeclampsia with seizures.
Ocular. Focal retinal arteriolar spasm and narrowing, peripapillary or focal areas of retinal edema, retinal hemorrhages, exudates, nerve fiber layer infarcts, vitreous hemorrhage secondary to neovascularization, serous retinal detachments in 1% of preeclamptic and 10% of eclamptic patients, acute nonarteritic ischemic optic neuropathy, bilateral occipital lobe infarcts, and posterior cerebral edema (posterior reversible encephalopathy syndrome, or PRES). Differential diagnosis of PRES includes posterior circulation stroke, infectious cerebritis, coagulation disorder causing intracranial venous thrombosis, intracranial hemorrhage, occult tumor with secondary bleed, migraines, atypical seizure, or demyelination.
Natural History

FIGURE 13.3.1 Serous macular detachment in a patient with preeclampsia.
1. Magnetic resonance imaging (MRI) abnormalities resolve 1 to 2 weeks after blood pressure control, at which time complete neurologic recovery can be expected.
2. Serous retinal detachments; often bilateral and bullous; resolve postpartum with residual pigment epithelial changes (see Figure 13.3.1).
3. Retinal vascular changes also normalize postpartum.
Workup
1. Complete neuro-ophthalmologic assessment and fundus examination. Poor vision with brisk pupils without a RAPD suggests occipital lesions.
2. MRI findings in PRES include vasogenic edema in the parietooccipital regions of both cerebral hemispheres involving subcortical white matter with possible extension into the graywhite junction, cortical surface, external capsule, and basal ganglia.
3. With typical presentation, further invasive studies are discouraged.
4. Systemic workup, including blood pressure monitoring and urinalysis, in conjunction with an obstetrics/gynecology specialist.
Treatment
1. Control blood pressure and electrolyte imbalances.
2. Prompt delivery ideal.
OCCLUSIVE VASCULAR DISORDERS
Pregnancy represents a hypercoagulable state possibly resulting in the development of retinal artery and vein occlusions, disseminated intravascular coagulopathy (DIC), and thrombotic thrombocytopenic purpura. Ocular DIC is characterized by widespread small-vessel thrombosis, particularly in the choroid, associated with hemorrhage, tissue necrosis, and serous retinal detachments.
MENINGIOMA OF PREGNANCY
Meningiomas may have a very aggressive growth pattern during pregnancy that is difficult to manage. They may regress postpartum but may reoccur during subsequent pregnancies.
NOTE: All pregnant women complaining of a headache should have their blood pressure, visual fields, and fundus checked (particularly looking for papilledema). MRI/MRV or lumbar puncture is often required if a hemorrhage or cortical venous thrombosis is suspected.
OTHER CONDITIONS INFLUENCED BY PREGNANCY
Multiple conditions can be impacted by pregnancy. See 3.20, Purtscher Retinopathy; 10.10, Cavernous Sinus and Associated Syndromes (Multiple Ocular Motor Nerve Palsies); 10.16, Idiopathic Intracranial Hypertension/Pseudotumor Cerebri; 10.27, Migraine; 11.12, Diabetic Retinopathy; and 11.15, Central Serous Chorioretinopathy. Remember that medications deserve special attention during pregnancy. In 2015, the Food and Drug Administration (FDA) replaced the former pregnancy risk letter categories (A, B, C, D, X) with the updated Pregnancy and Lactation Labeling Rule (PLLR). In the old system, ophthalmic drops used regularly for examination, such as proparacaine hydrochloride 0.5% for topical anesthesia and tropicamide 0.5% or 1% and phenylephrine hydrochloride 2.5% for dilation, were considered category C drugs in pregnancy. This means that their effects are unknown, as there are no adequate and well- controlled studies in humans. Many ophthalmic drops have not yet been reclassified using the new PLLR system. Physicians should familiarize themselves with the current labeling system, refer to drug package inserts, and/or consult with the patient’s obstetrics and gynecology physician prior to use. If topical ophthalmic drops are utilized during pregnancy, patients should be advised to perform punctal occlusion with a finger for several minutes after drop instillation to decrease systemic absorption.
13.4 Lyme Disease
Symptoms
Ophthalmic manifestations include decreased vision, double vision, pain, photophobia, and facial weakness. Systemic complaints may include headache, malaise, fatigue, fever, chills, palpitations, or muscle/joint pains. A history of a tick bite within the previous few months may be elicited.
Signs
Ocular. Conjunctivitis (most common), episcleritis, exposure keratopathy (due to cranial nerve VII palsy), stromal keratitis, iritis, vitritis, choroiditis, optic neuritis or perineuritis, bilateral optic nerve edema (frequently in children with disseminated disease), cranial nerve palsies, and idiopathic orbital inflammatory syndrome. See specific sections.
Critical Systemic. One or more flat, erythematous, or “bull’s eye” skin lesions, which enlarge in all directions (erythema migrans); unilateral or bilateral facial nerve palsies; polyarticular migratory arthritis. May not be present at the time ocular signs develop.
Other Systemic. Meningitis, peripheral radiculoneuropathy, synovitis, joint effusions, and cardiac abnormalities.
Differential Diagnosis
• Syphilis: High-positive FTA-ABS titer may produce a low falsepositive antibody titer against Borrelia burgdorferi. See 12.12, Syphilis.
• Others: Rickettsial infections, acute rheumatic fever, juvenile idiopathic arthritis, sarcoidosis, tuberculosis, herpes virus infections, etc.
Workup
1. History: Does patient live in endemic area? Prior tick bite, skin rash, facial nerve palsy, joint or muscle pains, flu-like illness? Meningeal symptoms? Prior positive Lyme antibody test?
2. Complete systemic, neurologic, and ocular examinations.
3. Two-step diagnosis with a screening assay and confirmatory Western blot for B. burgdorferi.
NOTE: A positive interpretation is generally considered if 5 out of 10 IgG bands are positive or 2 out of 3 IgM bands are positive. IgM is helpful for acute presentation (<4 weeks). IgG antibodies may take 4 to 6 weeks to develop.
4. Serum RPR or VDRL and FTA-ABS or treponemal-specific assay. Consider serum angiotensin-converting enzyme, chest x-ray, and purified protein derivative and/or interferon-gamma release assay (e.g., QuantiFERON-TB Gold).
5. Consider lumbar puncture when meningitis is suspected or neurologic signs or symptoms are present.
Treatment
Early Lyme Disease (Including Lyme-Related Uveitis, Keratitis, or Facial Nerve Palsy)
1. Doxycycline 100 mg p.o. b.i.d. for 10 to 21 days.
2. In children, pregnant women, and others who cannot take doxycycline, substitute amoxicillin 500 mg p.o. t.i.d., cefuroxime axetil 500 mg p.o. b.i.d., clarithromycin 500 mg p.o. b.i.d., or azithromycin 500 mg p.o. daily.
Patients With Neuro-Ophthalmic Signs or Recurrent or Resistant Infection
1. Ceftriaxone 2 g i.v. daily for 2 to 3 weeks.
2. Alternatively, penicillin G, 20 million units i.v. daily for 2 to 3 weeks.
Follow Up
Every 1 to 3 days until improvement is demonstrated and then weekly until resolved.
13.5 Convergence Insufficiency
Symptoms
Eye discomfort or blurred vision from reading or near work. Most common in young adults but may be seen in older people.
Signs
Critical. An exophoria at near in the presence of poor near-fusional convergence amplitudes, a low accommodative convergence/accommodation (AC/A) ratio, and a remote near point of convergence.
Differential Diagnosis
• Uncorrected refractive error: Hyperopia or over-minused myopia.
• Accommodative insufficiency (AI): Often in prepresbyopia age range from uncorrected low hyperopia or over-minused myopia. While reading, a 4-diopter base-in prism placed in front of the eye blurs the print in AI but improves clarity in convergence insufficiency (CI). Rarely, adolescents may develop transient paresis of accommodation, requiring reading glasses or bifocals. This idiopathic condition resolves in several years.
• Convergence paralysis: Acute onset of exotropia and diplopia on near fixation only; normal adduction and accommodation. Usually results from a lesion in the corpora quadrigemina or the third cranial nerve nucleus and may be associated with Parinaud syndrome.
NOTE: A diagnosis of convergence paralysis should prompt neuroimaging to rule out an intracranial lesion.
Etiology
• Fatigue or illness.
• Drugs (parasympatholytics).
• Uveitis.
• Glasses inducing a base-out prism effect.
• Postviral encephalitis.
• Traumatic brain injury.
• Parkinson disease.
• Idiopathic.
Workup
1. Manifest (without cycloplegia) refraction.
2. Determine the near point of convergence: Ask patient to focus on an accommodative target (e.g., a pencil eraser) and to state when double vision develops as you bring the target toward them; a normal near point of convergence is <8 cm.
3. Check for exodeviations or esodeviations at distance and near using the cover tests (see Appendix 3, Cover/Uncover and Alternate Cover Tests) or the Maddox rod test.
4. Measure the patient’s fusional ability at near. Have patient focus on an accommodative target at their reading distance. With a prism bar, slowly increase the amount of base-out prism in front of one eye until patient notes double vision (the break point) and then slowly reduce the amount of base-out prism until a single image is again noted (the recovery point). A low break point (10 to 15 prism diopters) or a low recovery point or both are consistent with CI.
5. Place a 4-diopter base-in prism in front of one eye while patient is reading. Determine whether the print becomes clearer or more blurred to rule out AI.
6. Perform cycloplegic refraction after the previous tests.
NOTE: These tests are performed with the patient’s spectacle correction in place (if glasses are worn for near work).
Treatment
1. Correct any refractive error. Slightly undercorrect hyperopia and fully correct myopia.
2. Near-point exercises (e.g., pencil push-ups): The patient focuses on a pencil eraser while slowly moving it from arm’s length toward the face. Concentrate on maintaining one image of the eraser, repeating the maneuver when diplopia manifests. Try to bring the pencil in closer each time while maintaining single vision. Repeat the exercise 15 times, five times per day.
3. Near-point exercises with base-out prisms (for patients whose near point of convergence is satisfactory or for those who have mastered pencil push-ups without a prism): The patient performs pencil push-ups as described previously, while holding a 6- diopter base-out prism in front of one eye.
4. Encourage good lighting and relaxation time between periods of close work.
5. For older patients, or those whose condition shows no improvement despite near-point exercises, reading glasses with base-in prism can be useful.
6. Consider referral to an orthoptist for vision therapy, which has been shown to be more effective in reducing symptoms and signs of CI in children than pencil push-ups.
Follow Up
Nonurgent. Patients are reexamined in 1 month.
13.6 Accommodative Spasm
Symptoms
Bilateral blurred distance vision, fluctuating vision, blurred vision when shifting gaze from near to far, headache, and eye strain while reading. Often seen in teenagers under stress. Symptoms may occur after prolonged and intense periods of near work.
Signs
Critical. Cycloplegic refraction reveals substantially less myopia (or more hyperopia) than was originally found when the refraction was performed without cycloplegia (manifest refraction). Manifest myopia may be as high as 10 diopters. Spasm of the near reflex is associated with excess accommodation, excess convergence, and miosis and is in the differential diagnosis of sixth cranial nerve palsy (see 10.8 Isolated Sixth Cranial Nerve Palsy).
Other. Abnormally close near point of focus, miosis, and a normal amplitude of accommodation that may appear low.
Etiology
• Inability to relax the ciliary muscles. Involuntary and associated with stressful situations or functional neuroses.
• Fatigue.
• Prolonged reading may precipitate episodes.
Differential Diagnosis
• Uncorrected hyperopia: Increased plus power accepted during manifest refraction.
• Other causes of pseudomyopia: Hyperglycemia, medication induced (e.g., sulfa drugs and anticholinesterase medications), anterior displacement of the lens-iris diaphragm.
• Manifestation of iridocyclitis.
Workup
1. Complete ophthalmic examination. The manifest refraction may be highly variable, but it is important to determine the least amount of minus power or the most amount of plus power that provides clear distance vision.
2. Cycloplegic refraction.
Treatment
1. True refractive errors should be corrected. If a significant amount of esophoria at near is present, additional plus power (e.g., +2.50 diopters) in reading glasses or bifocal form may be helpful.
2. Counseling patient and parents to provide a more relaxed atmosphere and avoid stressful situations.
3. Cycloplegics have been used to break the spasm, but are rarely needed except in resistant cases.
Follow Up
Reevaluate in several weeks.
13.7 Erythema Multiforme, Stevens-Johnson Syndrome, and Toxic Epidermal Necrolysis
Erythema multiforme (EM) is distinct from Stevens-Johnson syndrome (SJS) and toxic epidermal necrolysis (TEN). SJS and TEN are considered variants along the same disease spectrum. All three conditions cause mucocutaneous lesions that can involve the eye.
Symptoms
Flu-like prodrome (fever, malaise, arthralgia, dysphagia), red eyes, eye pain/burning, and skin rash.
Signs
Systemic. Classic “target” lesions (central red macule/papule surrounded by concentric circles of a pale/white intermediate zone and outer erythematous rim), atypical “target" lesions, dusky macules, bullous lesions, tender erythematous mucocutaneous lesions involving oral (e.g., ulcerative stomatitis; hemorrhagic lip crusting), GI, respiratory, or genital tracts.
Ocular
• Acute phase: Mucopurulent or pseudomembranous conjunctivitis; episcleritis; iritis; corneal punctate erosions, epithelial defects, and ulcers; eyelid margin ulceration.
• Late complications: Severe dry eye; trichiasis; conjunctival scarring, symblepharon, and ankyloblepharon; eyelid deformities (e.g., entropion); tear deficiency; corneal neovascularization, ulceration, perforation, or scarring.
Types
1. EM minor: Mainly skin involvement; absent or mild mucosal involvement; no systemic symptoms.
2. EM major: Skin involvement with moderate-to-severe mucosal involvement; usually has systemic symptoms.
SJS and TEN have severe mucosal involvement and are defined by the body surface area (BSA) of skin detachment.
1. SJS: <10% BSA epidermal detachment.
2. SJS-TEN overlap: 10% to 30% BSA epidermal detachment.
3. TEN: >30% BSA epidermal detachment; most severe form with extensive vesiculobullous eruptions and epidermal sloughing. More common in children and immunosuppressed patients.
Etiology
An immune complex-mediated hypersensitivity reaction precipitated by many agents.
Erythema Multiforme
• Infectious agents (most common): herpes simplex virus, Mycoplasma pneumoniae, and adenovirus.
• Rarely drug exposure.
Stevens-Johnson Syndrome and Toxic Epidermal Necrolysis
• Drug exposure (most common): Antibiotics (sulfonamides, penicillins, cephalosporins), anticonvulsants (carbamazepine, phenytoin, barbiturates), NSAIDs (oxicam type), allopurinol, corticosteroids, and others. Highest risk of reaction occurs during the first 2 months of treatment.
• Allergy and autoimmune diseases.
• Genetics: HLA-B*15:02 and carbamazepine in Asian populations; HLA-B*58:01 and allopurinol.
• Radiation therapy.
• Malignancy.
• Idiopathic (50% of cases).
Workup
1. History: Attempt to determine the precipitating factor (e.g., drug exposure, recent illness).
2. Slit lamp examination, including eyelid eversion with examination of the fornices.
3. Conjunctival or corneal cultures if infection is suspected. See Appendix 8, Corneal Culture Procedure.
4. Consult internal medicine for a systemic workup and dermatology for a full-body examination and possible skin biopsy which may aid in the diagnosis.
Treatment
EM: Supportive Care; Treat Underlying Infection if Identified.
SJS, TEN
1. Hospitalization, often requiring burn unit if available.
2. Remove (e.g., drug) or treat (e.g., infection) the inciting factor.
3. Supportive care is the mainstay of therapy.
4. Comanagement with internal medicine and dermatology.
Ocular
1. Ocular surface inflammation: Topical steroid drops (e.g., prednisolone acetate 1% or difluprednate 0.05% four to eight times per day).
2. Tear deficiency: Aggressive lubrication with preservative-free artificial tears, gels, and ointments. Topical cyclosporine 0.05% to 2%, punctal occlusion, moisture chambers, or tarsorrhaphy.
3. Iritis: Topical steroid drops (e.g., prednisolone acetate 1% or difluprednate 0.05% four to eight times per day) and cycloplegia (e.g., atropine 1% b.i.d.).
4. Infections: Treat as outlined in 4.11, Bacterial Keratitis.
5. Conjunctival and/or eyelid margin defects: Daily pseudomembrane peel with moistened cotton swab.
Symblepharon lysis and possible amniotic membrane graft (e.g., Prokera, AmnioGraft) to minimized scarring. In severe cases, consider suturing amniotic membrane over the eyelid margin, palpebral conjunctiva, and into the fornix during the hyperacute phase (<72 hours after disease onset). When epithelial defects of the conjunctiva, eyelid margin, and/or cornea are present, prophylactic topical antibiotics should also be utilized to prevent infection.
6. Additional potential treatments:
• Systemic or topical vitamin A.
• Intravenous immunoglobulin.
Systemic. Manage by burn unit protocol, including hydration, wound care, and systemic antibiotics.
Follow Up
1. During hospitalization: Follow daily, with infection and IOP surveillance.
2. Outpatient: Weekly follow ups initially, watching for long-term ocular complications.
• Topical steroids and antibiotics are maintained for 48 hours after resolution and are then tapered.
• If there is severe conjunctival scarring, artificial tears and lubricating ointment may need to be maintained indefinitely.
3. Possible late surgical interventions.
• Trichiasis: Repeated epilation, electrolysis, cryotherapy, or surgical repair.
• Entropion repair with buccal mucosal grafts.
• Penetrating keratoplasty: Poor prognosis even when combined with limbal stem cell or amniotic membrane transplantation because of underlying deficiencies, such as dry eyes and limbal stem cell abnormality.
• Permanent keratoprosthesis (guarded prognosis).
Prognosis
EM is typically self-limited but can recur. SJS and TEN are potentially fatal with average reported mortality rates of 1% to 5% in SJS and up to 25% to 35% in TEN. Ocular prognosis depends on the severity of conjunctival damage. Early amniotic membrane grafting covering the palpebral and bulbar conjunctival surfaces when indicated greatly improves the prognosis.
13.8 Vitamin A Deficiency
(See Table 13.8.1.)
TABLE 13.8.1
World Health Organization Classification of Vitamin A Deficiency
|
XN |
Night Blindness |
|
X1A |
Conjunctival xerosis |
|
X1B |
Bitot spot |
|
X2 |
Corneal xerosis |
|
X3A |
Corneal ulceration or keratomalacia with less than one-third corneal involvement |
|
X3B |
Corneal ulceration or keratomalacia with one-third or more corneal involvement |
|
XS |
Corneal scar |
|
XF |
Xerophthalmia fundus |
Symptoms
Night blindness (earliest and most common manifestation), dry eyes, ocular pain, and severe vision loss.
Signs
Ocular. Bitot spots (triangular, perilimbal, gray, foamy plaques of keratinized conjunctival debris); decreased tear break-up time; bilateral conjunctival and corneal dryness; corneal epithelial defects, sterile or infectious ulceration (often peripheral with a punched-out appearance), perforation, or scarring; keratomalacia (often preceded by a gastrointestinal, respiratory, or measles infection); fundus abnormalities (yellow or white peripheral retinal dots representing focal retinal pigment epithelium [RPE] defects).
Systemic. Growth retardation in children; dry, hyperkeratotic skin; increased susceptibility to infections.
Differential Diagnosis
See 4.3, Dry Eye Syndrome and 11.28, Retinitis Pigmentosa and Inherited Chorioretinal Dystrophies.
Etiology
• Primary: Dietary deficiency or chronic alcoholism (relatively uncommon in developed countries). Beyond 6 months postpartum, breast milk in vitamin A-deficient mothers is unlikely to sufficiently maintain vitamin A stores in nursing infants.
• Secondary: Lipid malabsorption (e.g., cystic fibrosis, chronic pancreatitis, inflammatory bowel disease, celiac sprue, postgastrectomy or postintestinal bypass surgery, chronic liver disease, abetalipoproteinemia [Bassen-Kornzweig syndrome]).
Workup
1. History: Malnutrition? Poor diet? Gastrointestinal or liver disease? Previous gastrointestinal surgery? Measles?
2. Complete ophthalmic examination, including careful inspection of eyelid margins and inferior fornices.
3. A positive response to treatment is a simple, cost-effective way to confirm the diagnosis.
4. Consider serum vitamin A level before treatment is initiated. Keep in mind that other vitamin deficiencies may coexist and may warrant testing.
5. Consider impression cytology of the conjunctiva, looking for decreased goblet cell density.
6. Consider dark adaptation studies and electroretinogram (may be more sensitive than the serum vitamin A level).
7. Corneal cultures if infection suspected. See Appendix 8, Corneal Culture Procedure.
Treatment
1. Immediate vitamin A replacement therapy orally (preferred) or intramuscularly in the following WHO recommended dosages for clinical xerophthalmia:
• Children <12 months: 100,000 IU daily for 2 days, repeat in 2 weeks.
• Adults and children >12 months: 200,000 IU daily for 2 days, repeat in 2 weeks.
• Women of childbearing age (reduce dose due to possible teratogenic effects): Night blindness or Bitot spots only, 10,000 IU daily for 2 weeks or 25,000 IU weekly for 4 weeks; any corneal lesions, give full adult dose as above.
2. Intensive ocular lubrication with preservative-free artificial tears every 15 to 60 minutes and preservative-free artificial tear ointment q.h.s.
3. Treat malnutrition/underlying disease if present.
4. Consider supplementing the patient’s diet with zinc and vitamin A.
5. Consider corneal surgery (e.g., penetrating keratoplasty or keratoprosthesis) for corneal scars in eyes with potentially good vision.
6. Prophylaxis in endemic regions:
• Infants: Consider 50,000 IU.
• 6 to 12 months: 100,000 IU q4-6 months.
• Children >12 months: 200,000 IU q4-6 months.
• Retinyl palmitate has been used to fortify sugars in developing countries.
Follow Up
Determined by the clinical presentation and response to treatment, ranges from hospitalization to daily or weekly follow up.
13.9 Albinism
Symptoms
Decreased vision. Photosensitivity in some patients.
Signs
Best corrected visual acuity ranging from 20/40 to 20/400. May have refractive error, strabismus, reduced stereopsis, nystagmus, amblyopia secondary to strabismus or anisometropia, iris transillumination defects, fundus hypopigmentation with highly visible choroidal vasculature, and foveal hypoplasia with or without failure of the retinal vessels to properly surround the fovea.
NOTE: Patients with albinism show a wide range of visual acuities, refractive errors, nystagmus, and amblyopia.
Associated Disorders
• Hermansky-Pudlak syndrome: An autosomal recessive disorder characterized by platelet dysfunction leading to easy bruising and bleeding; some individuals also have pulmonary fibrosis or colitis. More common in patients of Puerto Rican and Swiss descent. Multiple genes.
• Chbdiak-Higashi syndrome: An autosomal recessive disorder affecting white blood cell function, resulting in an increased susceptibility to infections and a predisposition for lymphomalike malignancy. LYST gene on chromosome 1q42.1-q42.2.
• Multiple other syndromes, some involving deafness or immunodeficiency.
Types
1. Oculocutaneous albinism: Usually autosomal recessive with hypopigmentation of the hair, skin, and eye.
• Mutations in tyrosinase gene (OCA1): Include severe, moderate, and temperature sensitive phenotypes.
• Mutations in the P gene (OCA2): Varying degrees of pigmentation.
2. Ocular albinism: Only ocular hypopigmentation is readily apparent. Usually X-linked recessive. Female carriers may have partial iris transillumination, patches of skin hypopigmentation, and mottling of the midperipheral and peripheral retinal pigmentation (mud-splattered fundus).
Workup
1. History: Easy bruising? Frequent nosebleeds? Prolonged bleeding after dental work? Symptoms of pulmonary fibrosis and/or colitis? Frequent infections? Difficulty hearing? Family history? Puerto Rican or Swiss descent?
2. External examination (including hair and skin color).
3. Complete ocular examination of patient and family members.
4. Check platelet aggregation studies and ultrastructure (especially preoperatively) and polymorphonuclear leukocyte function as indicated based on associated symptoms. Consult primary care or hematology as needed.
5. Ocular genetics consultation.
Treatment
There is currently no effective treatment for albinism, but the following may be helpful:
1. Treating amblyopia, strabismus, and refractive error may reduce nystagmus, if present. See 8.7, Amblyopia.
2. Low vision referral when indicated.
3. Eye muscle surgery may be considered for patients with significant strabismus or an abnormal head position due to nystagmus. However, patients with albinism and strabismus rarely achieve binocularity after surgical correction. Surgery to reduce nystagmus may also have benefits.
4. Genetic counseling.
5. Advise ultraviolet sun protection.
6. Hematology consultation as indicated. Patients with Hermansky- Pudlak syndrome may require platelet transfusions before surgery.
13.10 Wilson Disease
Symptoms
Ocular complaints are rare. Patients experience symptoms of cirrhosis, neurologic disorders, psychiatric problems, or renal disease. Onset typically between 5 and 40 years of age.
Signs
Critical. Kayser-Fleischer ring: 1- to 3-mm, brown, yellow, green, or reddish band that represents copper deposition in the peripheral Descemet membrane (see Figure 13.10.1). Present in 50% to 60% of patients with isolated hepatic involvement and more than 90% of patients with neurologic manifestations. First appears superiorly (may only be visible on gonioscopy) and eventually forms a ring involving the entire corneal periphery extending to the limbus. Anterior- segment optical coherence tomography (OCT) may be useful in detecting early Kayser-Fleischer rings that are not readily detected on slit lamp examination; appears as linear hyperreflective material on Descemet membrane.

FIGURE 13.10.1 Kayser-Fleischer ring in Wilson disease.
Other. "Sunflower" cataract: Ring or stellate yellow, brown, or reddish anterior capsule opacity due to copper deposition under the lens capsule.
Differential Diagnosis
• Kayser-Fleischer-like ring: Rarely can be seen in primary biliary cirrhosis, chronic active hepatitis, progressive intrahepatic cholestasis, and multiple myeloma. These patients usually have a normal serum ceruloplasmin level.
• Arcus senilis: White, gray, or blue ring-shaped opacification in peripheral corneal due to lipid deposition in stroma, initially appears inferiorly and superiorly before extending. A 1-mm zone of clear cornea separates the edge of the arcus from the limbus. Check a fasting lipid profile if observed in patients <40 years.
• Chalcosis: Copper deposition in basement membranes, including Descemet membrane, secondary to copper-containing intraocular foreign body. Alloys containing more than 85% copper may induce severe inflammation, while those with lower amounts may cause retinal toxicity. Corneal deposition is more diffuse.
Etiology
Autosomal recessive inborn error of copper metabolism that results in impaired copper excretion and toxic accumulation of copper in multiple organ systems (e.g., liver, brain, cornea, kidney). ATP7B gene on chromosome 13.
Workup
1. Slit lamp examination: Deposition at Descemet membrane is apparent with a narrow slit beam.
2. Gonioscopy if the Kayser-Fleischer ring is not evident on slit lamp examination.
3. Check serum copper and ceruloplasmin levels, urine copper level (low serum copper and ceruloplasmin and elevated urine copper levels with ocular findings are diagnostic).
4. Referral to appropriate systemic specialists.
Treatment
1. Lifelong systemic therapy (e.g., zinc salts, d-penicillamine, trientine) is instituted by the appropriate systemic specialist. Liver transplantation may be required for fulminant hepatic failure or disease progression after medical therapy.
2. Ocular manifestations usually require no specific treatment.
Follow Up
1. Systemic therapy and monitoring.
2. Successful treatment should lead to resorption of the corneal copper deposition and clearing of the Kayser-Fleischer ring, although residual peripheral corneal changes may remain. This change can be used to monitor treatment response. Reappearance of ring may suggest noncompliance with treatment.
3. Consider referral of family members for genetic testing for early detection and prevention.
13.11 Hypotony Syndrome
Definition
Decreased visual function and other ocular symptoms related to low IOP.
Symptoms
Mild-to-severe pain, reduced vision, or may be asymptomatic. Patient with recent glaucoma filtering surgery may complain of “excessive tearing.”
Signs
Critical. Low IOP, usually ≤5 mm Hg, but may occur with an IOP as high as 10 mm Hg.
Other. Corneal edema and folds, corneal decompensation, aqueous cell and flare, shallow or flat anterior chamber, retinal edema, hypotony maculopathy, chorioretinal folds, serous choroidal detachment, suprachoroidal hemorrhage, optic disc swelling, and retinal vascular tortuosity.
Etiology
• Postsurgical: Wound leak, overfiltering/bleb leak (more common with use of antimetabolites during surgery) or glaucoma drainage device, cyclodialysis cleft (disinsertion of the ciliary body from the sclera at the scleral spur), scleral perforation (e.g., from a superior rectus bridle suture or retrobulbar injection), iridocyclitis, retinal or choroidal detachment, etc.
• Posttraumatic: Same causes as postsurgical.
• Rhegmatogenous retinal detachment.
• Pharmacologic: Usually from an oral carbonic anhydrase inhibitor in combination with a topical beta-blocker. Also associated with cidofovir.
• Systemic (bilateral hypotony): Conditions that cause blood hypertonicity (e.g., dehydration, uremia, hyperglycemia), myotonic dystrophy, pregnancy, etc. Rare.
• Vascular occlusive disease (e.g., ocular ischemic syndrome, giant cell arteritis, central retinal vein or artery occlusion): Usually mild hypotony due to decreased aqueous humor production from ciliary body hypoperfusion. Rare.
• Uveitis: Secondary to ciliary body shutdown.
Workup
1. History: Recent ocular surgery or trauma? Systemic symptoms (nausea, vomiting, drowsiness, polyuria)? History of renal disease, diabetes, or myotonic dystrophy? Medications?
2. Complete ocular examination, including slit lamp evaluation of surgical or traumatic ocular wounds, IOP check, grading of anterior chamber depth, gonioscopy to rule out a cyclodialysis cleft, evaluation of the macula for folds, and indirect ophthalmoscopy to rule out retinal or choroidal detachment.
3. Seidel test (with or without gentle pressure) to rule out a wound leak. See Appendix 5, Seidel Test to Detect a Wound Leak.
4. OCT of the macula to evaluate for macular folds (evidenced by rippled appearance of the RPE).
NOTE: A wound leak may drain under the conjunctiva, producing an inadvertent filtering bleb. May be seen in old extracapsular cataract extraction wounds, which are large and may not completely close. Seidel test will then be negative.
5. B-scan US when the fundus cannot be seen clinically. Consider US biomicroscopy or anterior segment OCT to aid in anterior chamber assessment, especially evaluation for cyclodialysis cleft. Macular OCT may be used for diagnosis confirmation and therapeutic monitoring.
6. Systemic workup in bilateral cases, including basic metabolic panel.
Treatment
Repair of the underlying disorder may be needed if symptoms are significant or progressive. Low IOP, even as low as 2 mm Hg, may not cause problems or symptoms and may be observed.
Wound Leak
1. Large wound leaks: Suture the wound closed.
2. Small wound leaks: Can be sutured closed or can be patched with a pressure dressing or bandage soft contact lens and an antibiotic ointment (e.g., erythromycin) for one night to allow the wound to close spontaneously. Occasionally, cyanoacrylate glue is applied to small wound leaks and covered with a bandage contact lens. Aqueous suppressants are often given concurrently to reduce aqueous flow through the wound.
3. Wound leaks under a conjunctival flap: Repair required only if vision affected or for secondary ocular complication such as a flat anterior chamber or infection.
Shallow Anterior Chamber
If the anterior chamber is very shallow or flat, start a topical cycloplegic (e.g., cyclopentolate 1% t.i.d. or atropine 1% daily) and topical steroid (e.g., prednisolone acetate 1% or difluprednate 0.05% q2h), as long as no infectious process is suspected. This will rotate the iris-lens complex posteriorly and can deepen the chamber to prevent corneal endothelial damage.
Overfiltering Bleb
Compression with a large contact lens can at times reduce bleb exuberance. Surgical repair in the operating room may be required with compression sutures (transconjunctivally or directly over the scleral flap), placement of a corneal or scleral patch graft over a shrunken scleral flap, or removal of the aqueous shunt device from the anterior chamber.
Cyclodialysis Cleft
Reattach the ciliary body to the sclera by chronic atropine therapy, diathermy, suturing, cryotherapy, laser photocoagulation, or external plombage. See 3.7, Iridodialysis/Cyclodialysis.
Scleral Perforation
The site may be closed by suturing or cryotherapy.
Iridocyclitis
Topical steroid (e.g., prednisolone acetate 1% or difluprednate 0.05% q1-6h) and a topical cycloplegic (e.g., cyclopentolate 1% t.i.d.). See 12.1, Anterior Uveitis (Iritis/Iridocyclitis).
Retinal Detachment
Surgical repair. See 11.3, Retinal Detachment.
Choroidal Detachment
See 11.27, Choroidal Effusion/Detachment. Surgical drainage of the choroidal effusion along with reformation of the eye and anterior chamber is indicated for any of the following:
1. Retinal apposition (“kissing” choroidal detachments).
2. Lens-corneal touch (needs emergent attention).
3. A flat or persistently shallow anterior chamber accompanied by a failing filtering bleb or an inflamed eye.
4. Corneal decompensation.
If these findings are not present, choroidal effusion can be managed conservatively with a topical cycloplegic and topical steroids for a period of time.
Pharmacologic
Reduce or discontinue the lOP-reducing medications.
Systemic Disorder
Refer to an internist.
NOTE: In myotonic dystrophy, the hypotony is rarely severe enough to produce deleterious effects, and treatment of hypotony, from an ocular standpoint, is unnecessary.
Follow Up
If vision is good, the anterior chamber is well formed, and there is no wound leak, retinal detachment, or kissing choroidal detachments, then the low IOP poses no immediate problem, and treatment and follow up are not urgent. Fixed retinal folds in the macula may develop from long-standing hypotony.
13.12 Blind, Painful Eye
Patients with a nonseeing eye and unsalvageable vision can experience mild-to-severe ocular pain for a variety of reasons.
Causes of Pain
• Corneal decompensation: Fluorescein-staining defect(s) on slit lamp examination. Pain improves with topical anesthetic.
• Uveitis: Anterior chamber or vitreous white blood cells. Corneal opacification may obscure the view of an inflammatory reaction.
• Glaucoma with elevated IOP.
• Hypotony: Ciliary body shutdown, retinal detachment, choroidal detachment, and ciliary body detachment. See 13.11, Hypotony Syndrome.
Workup
1. History: Determine the etiology and duration of blindness.
2. Ocular examination: Stain the cornea with fluorescein to detect epithelial defects and measure IOP. Tonopen measurements may be required if the corneal surface is irregular. If the cornea is clear, look for neovascularization of the iris and angle by gonioscopy, and inspect the anterior chamber for cell and flare. Attempt a dilated fundus examination to rule out an intraocular tumor or retinal detachment.
3. When the fundus cannot be adequately visualized, B-scan US of the posterior segment is required to rule out an intraocular tumor, retinal, choroidal, or ciliary body detachment.
Treatment
1. Sterile corneal decompensation (if it appears infected, see 4.11, Bacterial Keratitis).
• Antibiotic or lubricating ointment (e.g., erythromycin or bacitracin-polymyxin B) daily to q.i.d. to the eye for weeks to months (or even permanently). Can also add cycloplegic agent (e.g., atropine 1%) for additional comfort. Consider nightly taping of eyelids.
• Consider a tarsorrhaphy, amniotic membrane graft, or Gunderson conjunctival flap in refractory cases.
2. Uveitis.
• Cycloplegia (e.g., atropine 1% b.i.d.).
• Topical steroid (e.g., prednisolone acetate 1% q1-6h). See 12.1, Anterior Uveitis (Iritis/Iridocyclitis).
• Endophthalmitis should be ruled out if severe uveitis or a hypopyon is present.
3. Markedly increased IOP.
• Topical beta-blocker (e.g., timolol 0.5% daily or b.i.d.) with or without an adrenergic agonist (e.g., brimonidine 0.1%, 0.15%, or 0.2% b.i.d. to t.i.d.). Topical carbonic anhydrase inhibitors (e.g., dorzolamide 2% t.i.d.) are effective, but potential systemic side effects may not warrant their use for pain relief; miotics and prostaglandin analogs may increase ocular irritation.
• If the IOP remains markedly increased and is thought to be responsible for the pain, a cyclodestructive procedure (e.g., diode laser cyclophotocoagulation) may be attempted. The potential for sympathetic ophthalmia must be considered.
• If pain persists despite the previously described treatment, a retrobulbar alcohol block may be given.
NOTE: Technique: 2 to 3 mL of lidocaine is administered in the retrobulbar region. The needle is then held in place while the syringe of lidocaine is replaced with a 1-mL syringe containing 95% to 100% alcohol (some physicians use 50% alcohol). The contents of the alcohol syringe are then injected into the retrobulbar space through the needle. The syringes are again switched, so a small amount of lidocaine can rinse out the remaining alcohol. The retrobulbar needle is then withdrawn. Patients are warned that transient eyelid droop or swelling, limitation of eye movement, or anesthesia may result. Retrobulbar chlorpromazine (25 to 50 mg, using 25 mg/mL) or phenol can also be used. See Appendix 10, Technique for Retrobulbar/Subtenon/Subconjunctival Injections.
4. Hypotony.
• Resolve causes of hypotony (e.g., repair wound leak, treat uveitis or ciliochoroidal detachment). If retinal detachment is found, repair may resolve hypotony.
5. Cause of pain unknown.
• Cycloplegia (e.g., atropine 1% t.i.d.).
• Topical steroid (e.g., prednisolone acetate 1% q1-6h).
• Retrobulbar injections of neurolytic agents can be considered. See Appendix 10, Technique for Retrobulbar/Subtenon/Subconjunctival Injections.
6. Ocular pain refractory to topical medication therapy and/or retrobulbar injections.
• Consider enucleation or evisceration of the eye. Evisceration should not be performed if intraocular malignancy is suspected. Enucleation does not relieve facial paresthesias.
• Consider postinfectious or postsurgical neuralgia, in which case referral to pain management is indicated.
NOTE: Monocular patients should wear protective eye wear (e.g., polycarbonate lenses) at all times to prevent injury to the contralateral eye.
Follow Up
Depends on the degree of pain and clinical examination. Once the pain resolves, patients are reexamined every 6 to 12 months. B-scan US should be performed periodically (typically every 3 years) to rule out an intraocular tumor when the posterior pole cannot be visualized.
13.13 Phakomatoses
NEUROFIBROMATOSIS TYPE 1 (VON RECKLINGHAUSEN SYNDROME)
Criteria for Diagnosis
(See Table 13.13.1.)
TABLE 13.13.1
Diagnostic Criteria for Neurofibromatosis 1 and 2

NOTE: Lisch nodules (light brown elevated lesions on darker iris or brown lesions on blue/hazel iris) occur at a rate of approximately age in years x 10% (e.g. 50% at 5 years old). Approximately 98% of affected individuals have Lisch nodules after puberty.
Signs
(See Figures 13.13.1 and 13.13.2.)

FIGURE 13.13.1 Lisch nodules.

FIGURE 13.13.2 Optic nerve glioma.
Ocular. Lisch nodules, visual pathway glioma (12% to 15%), prominent corneal nerves, multifocal choroidal nevi, choroidal hamartoma (detectable by near-infrared high-frequency OCT), cranial nerve lesions (e.g., superior oblique palsy), glaucoma (usually associated with plexiform neuromas of the ipsilateral upper eyelid), pulsating proptosis secondary to absence of the greater wing of the sphenoid bone, ectropion uveae, and iris melanosis.
Systemic. (See Table 13.13.1.)
Developmental delay, seizures, scoliosis, leukemia, juvenile xanthogranuloma, aortic and arteriovascular anomalies, and other cancers.
Inheritance
Autosomal dominant with variable expression: chromosome 17q11.2.
Workup
1. Family history. Examination of parents for Lisch nodules. If child affected, consider further systemic and ocular evaluation.
2. MRI of the brain and orbits only if indicated by a sign or symptom, including ophthalmic findings of optic nerve dysfunction, optic nerve pallor/swelling/shunt vessels, or proptosis.
3. Others: As recommended by nonophthalmic providers.
Treatment/Follow Up
Dependent upon the findings. Every year up to 6 years old when risk of visual pathway glioma diminishes. Every 2 years thereafter. More frequent follow up as needed for patients with gliomas or other signs of ophthalmic or orbital involvement, especially if risk factors for amblyopia (e.g., ptosis from plexiform neurofibroma).
NEUROFIBROMATOSIS TYPE 2
Criteria for Diagnosis
(See Table 13.13.1.)
Signs
Ocular. Juvenile-onset posterior subcapsular cataracts, combined hamartoma of the RPE, epiretinal membrane, optic nerve sheath meningioma, and cranial nerve palsies.
Systemic.
Inheritance
Autosomal dominant with variable expression: chromosome 22q12.2.
Workup
1. Family history. If child affected, consider further systemic and ocular evaluation.
2. Audiology and gadolinium-enhanced MRI of the brain and auditory canals should be performed.
3. OCT of epiretinal membrane.
4. Others: As indicated by symptoms and signs.
Treatment/Follow Up
Dependent upon the findings.
STURGE-WEBER SYNDROME (LEPTOMENINGEAL ANGIOMATOSIS)
Signs
(See Figure 13.13.3.)

FIGURE 13.13.3 Nevus flammeus.
Ocular. Diffuse choroidal hemangioma (“tomato catsup” fundus with uniform reddish background obscuring choroidal vasculature), glaucoma (increased risk with upper eyelid or combined upper and lower eyelid port-wine birthmark or choroidal hemangioma), iris heterochromia, blood in Schlemm canal seen on gonioscopy, and secondary serous retinal detachment. Ocular signs are all ipsilateral to port-wine birthmark.
Systemic. Unilateral or bilateral (10%) port-wine birthmark (trigeminal nerve distribution patterns), developmental delay, seizures, ipsilateral facial hemihypertrophy, leptomeningeal angiomatosis, and cerebral calcifications.
Inheritance
Somatic mutation in GNAQ, extremely rare to transmit.
Workup
Complete general and ophthalmic examination with specific screenings for glaucoma and amblyopia. Periodic OCT macula if choroidal hemangioma present. Neuroimaging of the brain (CT or MRI).
Treatment
1. Treat glaucoma if present. Early onset (<4 years old) usually caused by goniodysgenesis (see 8.11, Congenital/Infantile Glaucoma). Later onset usually caused by increased episcleral venous pressure. Presence of leptomeningeal angiomatosis is a relative contraindication to use of topical alpha-agonists.
2. Consider treating serous retinal detachment from underlying choroidal hemangioma. Laser photocoagulation success rate is low, but photodynamic therapy can be successful for smaller, circumscribed tumors. Low-dose radiotherapy using a plaque is often successful in leading to resolution of subretinal fluid.
Follow Up
Every 6 months or sooner for glaucoma screening and yearly for retinal examination with OCT.
TUBEROUS SCLEROSIS COMPLEX (BOURNEVILLE SYNDROME)
Signs
(See Figures 13.13.4 and 13.13.5.)

FIGURE 13.13.4 Retinal astrocytic hamartoma.

FIGURE 13.13.5 Adenoma sebaceum.
Ocular. Astrocytic hamartoma of the retina or optic disc (a white, semitransparent, or mulberry-appearing tumor in the superficial retina that may undergo calcification with age; no prominent feeder vessels; no associated retinal detachment; often multifocal and bilateral) and punched-out chorioretinal depigmentation.
Systemic. Adenoma sebaceum (yellow-red angiofibromas in a butterfly distribution on the upper cheeks), seizures, periventricular hamartomas, developmental delay, subungual angiofibromas, shagreen patches, ash leaf spots (hypopigmented skin lesions that illuminate with Wood lamp); renal cell carcinoma or angiomyolipoma; intracardiac rhabdomyoma or lipoma; pleural cysts and possible spontaneous pneumothorax; cystic bone lesions; and hamartomas of the liver, thyroid, pancreas, or testes.
Differential Diagnosis of Astrocytic Hamartoma
Retinoblastoma. See 8.1, Leukocoria.
Inheritance
Autosomal dominant with variable expression: TSC1 gene on chromosome 9q34 or TSC2 gene on chromosome 16p13.
Workup
1. Family history. Parents of affected child should first be evaluated by ocular and systemic examination/testing. If one parent is positive, then consider examination and testing of siblings of affected patient.
2. MRI of the brain and additional systemic testing as indicated by symptoms and signs or screening protocol.
Treatment/Follow Up
Retinal astrocytomas usually require no treatment. Ophthalmic examination every 6 months to a 1 year after lesion is identified.
VON HIPPEL-LINDAU SYNDROME
Signs
(See Figure 13.13.6.)

FIGURE 13.13.6 Retinal capillary hemangioma/hemangioblastoma.
Ocular. Retinal capillary hemangioma/hemangioblastoma (small, round, orange-red tumor with a prominent dilated feeding artery and draining vein), sometimes associated with subretinal exudates, subretinal fluid, and total retinal detachment. Bilateral in 50%. Can produce macular traction and epiretinal membrane. Peripheral lesions often present with macular exudates.
Systemic. Central nervous system hemangioblastoma (cerebellum and spinal cord most common, 25% of cases), renal cell carcinoma, renal cysts, pheochromocytoma (possible malignant hypertension), pancreatic cysts, epididymal cystadenoma, endolymphatic sac tumor with hearing loss, and broad ligament tumors (females).
Inheritance
Autosomal dominant with variable expression: VHL gene on chromosome 3p26.
Differential Diagnosis of Retinal Hemangioblastoma
• Coats disease: Aneurysmal dilation of blood vessels with prominent subretinal exudate and no identifiable tumor. See 8.1, Leukocoria.
• Racemose hemangiomatosis: Large, dilated, tortuous vessels form arteriovenous communications void of intervening capillary beds without exudation or subretinal fluid.
• Retinal cavernous hemangioma: Small vascular dilations (characteristic “cluster of grapes” appearance) around retinal vein without feeder vessels. Usually asymptomatic.
• Retinal vasoproliferative tumor: Vascular tumor that appears as a yellow-red retinal mass, most commonly in the peripheral inferior retina of older patients. Visual loss usually associated with macular edema or epiretinal membrane. Feeder vessels can be slightly dilated and tortuous but not to the extent of retinal hemangioblastoma.
• Retinal macrovessel: Large, solitary, nontortuous vessel without arteriovenous connection that supplies or drains the macular area and crosses the horizontal raphe. More commonly veins than arteries.
• Congenital retinal vascular tortuosity: Tortuous retinal vessels without racemose component.
• Familial exudative vitreoretinopathy: Bilateral, temporal, peripheral exudation with retinal vascular abnormalities and traction. See 8.3, Familial Exudative Vitreoretinopathy.
Workup
Systemic evaluation is indicated for all patients with retinal hemangioblastoma. Solitary tumors can occur without Von Hippel- Lindau disease, but multiple or bilateral tumors are diagnostic of Von Hippel-Lindau disease.
1. Family history. Begin with ocular examination of parents and consider systemic evaluation. If one parent is affected, then siblings of affected patients also need a full workup.
2. Consider periodic intravenous fluorescein angiography.
3. Young children may require examination under anesthesia to identify peripheral retinal tumors.
4. Periodic systemic evaluations for blood pressure measurements, urinary catecholamines, MRI brain, and abdominal ultrasound.
5. Other testing in response to symptoms or signs.
Treatment/Follow Up
1. If retinal hemangioblastoma is affecting or threatening vision, laser photocoagulation, cryotherapy, transpupillary thermotherapy, photodynamic therapy with verteporfin, or radiotherapy is indicated depending on size of tumor.
2. Annual dilated fundus examination or more frequently based on findings.
WYBURN-MASON SYNDROME (RACEMOSE HEMANGIOMATOSIS)
Signs
(See Figure 13.13.7.)

FIGURE 13.13.7 Racemose hemangioma.
Ocular. Enormously dilated, tortuous retinal vessels with arteriovenous communications without communicating capillary beds and without mass or exudate. Rarely, proptosis from an orbital racemose hemangioma.
Systemic. Midbrain racemose hemangiomas, intracranial calcification, seizures, hemiparesis, mental changes, facial nevi, and ipsilateral pterygoid fossa, mandibular, or maxillary hemangiomas.
Inheritance
Nonheritable.
Differential Diagnosis of Racemose Hemangiomas
See Von Hippel-Lindau syndrome above.
Workup
Complete general and ophthalmic examinations. MRI of the brain.
Treatment/Follow Up
No treatment is indicated for retinal lesions. Complications include blindness and rarely intraocular hemorrhage, retinal vascular obstruction, and neovascular glaucoma. Warn of hemorrhage risk with ipsilateral dental and facial surgery. Annual follow up.
ATAXIA-TELANGIECTASIA (LOUIS-BAR SYNDROME)
Signs
Ocular. Telangiectasias of the conjunctiva, horizontal or vertical oculomotor apraxia (inability to generate saccades, but normal pursuit), and cerebellar eye movements.
Systemic. Progressive cerebellar ataxia with gradual deterioration of motor function. Cutaneous telangiectasias. Recurrent sinopulmonary infections. Various immunologic abnormalities (e.g., IgA deficiency and T-cell dysfunction). High incidence of malignancy (mainly leukemia or lymphoma), developmental delay and loss of motor milestones, vitiligo, premature graying of the hair, testicular or ovarian atrophy, hypoplastic or atrophic thymus, and acute radiosensitivity.
Inheritance
Autosomal recessive: ATM gene on chromosome 11q22.
Workup
1. Family history. Consider evaluation of siblings.
2. Consider MRI of the brain.
3. Systemic evaluations in response to signs and symptoms.
Treatment/Follow Up
No specific ocular treatment. Annual follow up. Routine dermatology monitoring and full-thickness excision of lesions as needed.