5.1 Acute Conjunctivitis
Symptoms
“Red eye” (conjunctival hyperemia), discharge, eyelids sticking or crusting (worse upon awakening from sleep), and foreign body sensation, with <4-week duration of symptoms (otherwise, see 5.2, Chronic Conjunctivitis) (see Figure 5.1.1).

FIGURE 5.1.1 Algorithm for follicles and papillae.
VIRAL CONJUNCTIVITIS/EPIDEMIC KERATOCONJUNCTIVITIS
Symptoms
Itching, burning, tearing, and gritty or foreign body sensation; history of recent upper respiratory tract infection or contact with someone with viral conjunctivitis. Often starts in one eye and involves the fellow eye a few days later.
Signs
(See Figure 5.1.2.)

FIGURE 5.1.2 Viral conjunctivitis.
Critical. Inferior palpebral conjunctival follicles (see Figure 5.1.3) and tender palpable preauricular lymph node.

FIGURE 5.1.3 Follicles on the inferior palpebral conjunctiva.
Other. Watery discharge, red and edematous eyelids, pinpoint subconjunctival hemorrhages, punctate keratopathy (epithelial erosion in severe cases), and membrane/pseudomembrane (see Figure 5.1.4). Fine intraepithelial microcysts are an early corneal finding, which, if present, can be helpful in diagnosis. Subepithelial (anterior stromal) infiltrates (SEIs) can develop 1 to 2 weeks after the onset of the conjunctivitis.

FIGURE 5.1.4 Viral conjunctivitis with pseudomembranes.
Etiology and Variants of Viral Conjunctivitis
• Most commonly adenovirus: Epidemic keratoconjunctivitis is most commonly caused by subgroup D of serotypes 8, 19, and 37. Pharyngoconjunctival fever is associated with pharyngitis and fever, usually in children, and is most commonly caused by serotypes 3 and 7.
• Acute hemorrhagic conjunctivitis: Associated with prominent subconjunctival hemorrhages, usually 1 to 2 weeks in duration, and tends to occur in tropical regions. Caused by enterovirus 70 (rarely followed by polio-like paralysis), coxsackievirus A24, and adenovirus serotype 11.
NOTE: Many systemic viral syndromes (e.g., measles, mumps, influenza, and coronavirus) can cause a nonspecific conjunctivitis. The underlying condition should be managed appropriately; the eyes are treated with artificial tears four to eight times per day. If tears are used more than four times daily, preservative-free tears are recommended.
Workup
No conjunctival cultures/swabs are indicated unless the discharge is excessive or the condition becomes chronic (see 5.2, Chronic Conjunctivitis).
Treatment
1. Counsel the patient that viral conjunctivitis is a self-limited condition that typically gets worse for the first 4 to 7 days after the onset and may not resolve for 2 to 3 weeks (potentially longer with corneal involvement).
2. Viral conjunctivitis is highly contagious (usually for 10 to 12 days from the onset) when the eyes are red (when not on steroids) or have active discharge/tearing. Patients should avoid touching their eyes, shaking hands, sharing towels or pillows, etc. Restrict work and school for patients with significant exposure to others while the eyes are red and weeping.
3. Frequent hand washing.
4. Application of preservative-free artificial tears or tear ointment four to eight times per day for 1 to 3 weeks. Advise single-use vials to limit tip contamination and spread of the condition.
5. Cool compresses several times per day.
6. Application of antihistamine drops (e.g., epinastine 0.05% b.i.d.) if itching is severe.
7. If a membrane/pseudomembrane is present, it should be gently peeled with a cotton-tip applicator or smooth forceps to enhance comfort, minimize corneal defects, and help prevent symblepharon formation.
8. If a membrane/pseudomembrane is present or if SEIs reduce vision and/or cause significant photophobia, topical steroids should be initiated. For membranes/pseudomembranes, use a more frequent steroid dose or stronger steroid (e.g., loteprednol 0.5% or prednisolone acetate 1% q.i.d.). Consider a steroid ointment (e.g., fluorometholone 0.1% ointment q.i.d. or dexamethasone/tobramycin 0.1%/0.3% ointment q.i.d.) in the presence of significant tearing to maintain longer medication exposure. For SEIs alone, a weaker steroid with less frequent dosing is usually sufficient (e.g., loteprednol 0.2% or 0.5% b.i.d.). Given the possible side effects, prescription of topical steroids is cautionary in the emergency room setting or in patients with questionable follow up. Steroids may hasten the resolution of the symptoms but prolong the infectious period. Additionally, steroids often necessitate a long-term taper, and delayed SEIs can recur during or after such a taper. Steroids should not be prescribed if the patient has not been examined by an eye care professional using a slit lamp.
NOTE: Routine use of topical antibiotics for viral conjunctivitis is discouraged unless corneal erosions are present or there is mucopurulent discharge suggestive of bacterial conjunctivitis (see Bacterial Conjunctivitis).
Follow Up
In 2 to 3 weeks, but sooner if the condition worsens significantly or if topical steroids are prescribed.
HERPES SIMPLEX VIRUS CONJUNCTIVITIS
See 4.15, Herpes Simplex Virus, for a detailed discussion. Patients may
have a history of perioral cold sores. Manifests with a unilateral (sometimes recurrent) follicular conjunctival reaction, palpable preauricular node, and, occasionally, concurrent herpetic skin vesicles along the eyelid margin or periocular skin. Systemic (7 to 10 days of acyclovir 400 mg five times daily or valacyclovir 500 mg two to three times a day or famciclovir 250 mg two to three times a day) or topical (ganciclovir 0.15% ophthalmic gel five times daily, acyclovir ointment five times daily or trifluridine 1% nine times daily for 7 to 10 days) antiviral therapy and warm compresses. Steroids are contraindicated.
ALLERGIC CONJUNCTIVITIS
Symptoms
Itching, watery discharge, and a history of allergies are typical. Usually bilateral.
Signs
Chemosis, red and edematous eyelids, conjunctival papillae, periocular hyperpigmentation, and no preauricular node (see Figure 5.1.5).

FIGURE 5.1.5 Allergic conjunctivitis.
Treatment
1. Eliminate the inciting agent. Frequent washing of hair and clothes may be helpful.
2. Cool compresses several times per day.
3. Topical drops, depending on the severity:
• Mild: Artificial tears four to eight times per day.
• Moderate: Use antihistamine and/or mast-cell stabilizer drops. Convenient medications with daily dosing include olopatadine 0.2% (over-the-counter) or 0.7% and alcaftadine 0.25% drops. Common medications with b.i.d. dosing include cetirizine 0.24%, azelastine 0.05%, olopatadine 0.1% (over-the-counter), epinastine 0.05%, nedocromil 2%, bepotastine 1.5%, or ketotifen 0.025% (over-the- counter) drops. Pemirolast 0.1% and lodoxamide 0.1% drops can also reduce symptoms but are recommended at q.i.d. dosing.
NOTE: An ophthalmic nonsteroidal anti-inflammatory drug (NSAID) such as ketorolac 0.5% q.i.d. can also be effective in reducing ocular inflammation, but its use should be monitored given the known risk of corneal toxicity with chronic instillation.
• Severe: Mild topical steroid (e.g., loteprednol 0.2% q.i.d., fluorometholone 0.1% q.i.d. or fluorometholone acetate 0.1% q.i.d. for 1 to 2 weeks) in addition to the preceding medications.
4. Oral antihistamine (e.g., diphenhydramine 25 mg p.o. t.i.d. to q.i.d. or loratadine 10 mg p.o. daily) in moderate-to-severe cases can be very helpful.
NOTE: Routine use of topical antibiotics or steroids for allergic conjunctivitis is discouraged.
Follow Up
Two weeks. If topical steroids are used, tapering is required and patients should be monitored for side effects.
VERNAL/ATOPIC CONJUNCTIVITIS
Symptoms
Usually bilateral but frequently asymmetric itching with thick, ropy discharge. More common in boys. Seasonal (spring/summer) recurrences in vernal conjunctivitis; history of atopy, dermatitis, and/or asthma without seasonal correlation in atopic conjunctivitis. Vernal conjunctivitis is usually seen in younger patients.
Signs
Critical. Large conjunctival papillae seen under the upper eyelid or along the limbus (limbal vernal) (see Figure 5.1.6).

FIGURE 5.1.6 Vernal/atopic conjunctivitis with large superior tarsal papillae.
Other. Superior corneal “shield” ulcer (a well-delineated, sterile, graywhite infiltrate with overlying epithelial defect), limbal raised white dots (Horner-Trantas dots) of degenerated eosinophils (see Figure 5.1.7), and superficial punctate keratopathy (SPK).

FIGURE 5.1.7 Vernal/atopic conjunctivitis with raised white dots of eosinophils along limbus.
Treatment
1. Treat as for allergic conjunctivitis except for ensuring prophylactic use of a mast-cell stabilizer or a combination of antihistamine/mast-cell stabilizer (e.g., olopatadine 0.2% or 0.7% daily, alcaftadine 0.25% daily, olopatadine 0.1% b.i.d., ketotifen 0.1% b.i.d., lodoxamide 0.1% q.i.d., and pemirolast 0.1% q.i.d.) for 2 to 3 weeks before the allergy season starts.
2. If a shield ulcer is present, add:
• Topical steroid (e.g., loteprednol 0.5% or prednisolone acetate 1% drops, dexamethasone 0.1% ointment) four to six times per day.
• Topical antibiotic drop (trimethoprim/polymyxin B q.i.d) or ointment (e.g., erythromycin q.i.d., bacitracin/polymyxin B q.i.d.).
• Cycloplegic agent (e.g., cyclopentolate 1% t.i.d.).
NOTE: Shield ulcers may need to be scraped to remove the superficial plaque-like material before re- epithelialization can occur.
3. Cool compresses q.i.d.
4. Consider cyclosporine 0.05% to 2% b.i.d. to q.i.d. if not responding to the preceding treatment. Inform the patient that the maximal effect of this drop is not seen for several weeks.
5. If associated with atopic dermatitis of eyelids, consider applying tacrolimus 0.03% to 0.1% ointment q.h.s. or b.i.d. (preferred), pimecrolimus 1% cream b.i.d., or topical steroid ophthalmic ointment (e.g., fluorometholone 0.1% q.i.d.) to the affected skin for 1 to 2 weeks.
Follow Up
Every 1 to 3 days in the presence of a shield ulcer; otherwise, every few weeks. Topical medications are tapered slowly as improvement is noted. Antiallergy drops are maintained for the duration of the season and are often reinitiated a few weeks before the next spring. Patients on topical steroids should be monitored regularly with attention to IOP, even if used only on the skin.
BACTERIAL CONJUNCTIVITIS (NONGONOCOCCAL)
Symptoms
Redness, foreign body sensation, and discharge; itching is much less prominent.
Signs
Critical. Purulent white-yellow discharge of mild-to-moderate degree. Other. Conjunctival papillae, chemosis, preauricular node typically absent (unlike gonococcal in which a preauricular node is often palpable).
Etiology
Commonly Staphylococcus aureus (associated with blepharitis, phlyctenules, and marginal sterile infiltrates), Staphylococcus epidermidis, Haemophilus influenzae (especially in children and commonly associated with otitis media), Streptococcus pneumoniae, and Moraxella catarrhalis.
NOTE: Suspect gonococcal infections if onset is hyperacute with significant discharge, see Gonococcal Conjunctivitis in this section.
Workup
If severe, recurrent, or recalcitrant, send conjunctival scrapings for immediate Gram stain (to evaluate for gonococcus) and for routine culture and sensitivity tests (e.g., blood and chocolate agar).
Treatment
1. Use topical antibiotic therapy (e.g., trimethoprim/polymyxin B or fluoroquinolone drops or ointment q.i.d.) for 5 to 7 days.
2. H. influenzae conjunctivitis should be treated with oral amoxicillin/clavulanate (20 to 40 mg/kg/d in three divided doses) because of occasional extraocular involvement (e.g., otitis media, pneumonia, and meningitis).
3. If associated with dacryocystitis, systemic antibiotics are necessary. See 6.9, Dacryocystitis/Inflammation of the Lacrimal Sac.
Follow Up
Every 2 to 3 days initially, then every 5 to 7 days when stable until resolved. Antibiotic therapy is adjusted according to culture and sensitivity test results.
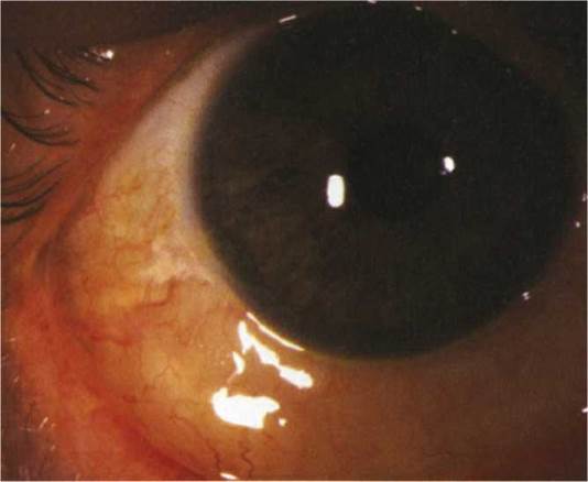
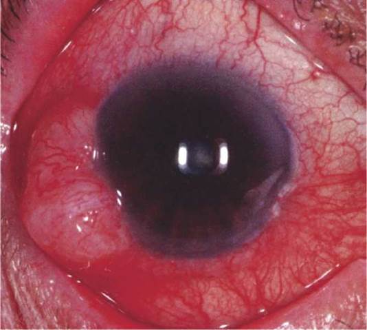
GONOCOCCAL CONJUNCTIVITIS
Signs
Critical. Severe purulent discharge, hyperacute onset (classically within 12 to 24 hours).
Other. Conjunctival papillae, marked chemosis, preauricular adenopathy, and eyelid swelling. See 8.9, Ophthalmia Neonatorum (Newborn Conjunctivitis), for a detailed discussion of gonococcal conjunctivitis in the newborn.
Workup

FIGURE 5.1.8 Gonococcal conjunctivitis with corneal involvement.
1. Examine the entire cornea for peripheral ulcers (especially superiorly) because of the risk for rapid progression to perforation (see Figure 5.1.8).
2. Send conjunctival scrapings for immediate Gram stain and for culture and sensitivity tests (e.g., chocolate agar or Thayer-Martin agar).
Treatment
Initiated if the Gram stain shows Gram-negative intracellular diplococci or there is a high clinical suspicion of gonococcal conjunctivitis.
1. A dual treatment regimen of ceftriaxone 1 g intramuscularly (i.m.) PLUS azithromycin 1 g p.o. both in a single dose is recommended. If corneal involvement exists, or cannot be excluded because of chemosis and eyelid swelling, hospitalize the patient and treat with ceftriaxone 1 g intravenously (i.v.) every 12 to 24 hours in place of i.m. ceftriaxone. The duration of treatment may depend on the clinical response. Consider an infectious disease consultation in all cases of gonococcal conjunctivitis.
2. If ceftriaxone is not available or unable to be tolerated (e.g., cephalosporin-allergic patients), consider the following treatment regimens:
• Gemifloxacin 320 mg p.o. in a single dose PLUS azithromycin 2 g p.o. in a single dose
• Gentamicin 240 mg i.m. in a single dose PLUS azithromycin 2 g p.o. in a single dose
NOTE: Not only are oral fluoroquinolones contraindicated in pregnant women and children, but also due to increased resistance, they are no longer recommended monotherapy for the treatment of gonococcal infections. Note that topical fluoroquinolones, such as moxifloxacin, are used safely in children >4 months old.
3. Topical fluoroquinolone ointment q.i.d. or fluoroquinolone drop q2h. If the cornea is involved, use a fluoroquinolone drop qlh (e.g., gatifloxacin, moxifloxacin, besifloxacin, levofloxacin, or ciprofloxacin).
4. Saline irrigation q.i.d. until the discharge resolves.
5. Treat for possible chlamydial coinfection (e.g., azithromycin 1 g p.o. single dose or doxycycline 100 mg p.o. b.i.d. for 7 days).
6. Treat sexual partners with oral antibiotics for both gonorrhea and chlamydia as described.
Follow Up
Daily until consistent improvement is noted and then every 2 to 3 days until the condition resolves. The patient and sexual partners should be evaluated by their medical doctors for other sexually transmitted diseases.
PEDICULOSIS (LICE, CRABS)
Typically develops from contact with pubic lice (usually sexually transmitted). Can be unilateral or bilateral.
Symptoms
Itching and mild conjunctival injection.
Signs
Critical. Adult lice, nits, and blood-tinged debris on the eyelids and eyelashes (see Figure 5.1.9).

FIGURE 5.1.9 Pediculosis.
Other. Follicular conjunctivitis.
Treatment
1. Mechanical removal of lice and eggs with jeweler’s forceps.
2. Any bland ophthalmic ointment (e.g., erythromycin) to the eyelids t.i.d. for 10 days to smother the lice and nits.
3. Anti-lice lotion and shampoo as directed to nonocular areas for patient and close contacts.
4. Thoroughly wash and dry all clothes, towels, and linens.
NOTE: In children, pediculosis is suspicious for possible sexual abuse, and the involvement of social services and/or child protection agencies is recommended.
For chlamydial, toxic, and molluscum contagiosum-related conjunctivitis, see 5.2, Chronic Conjunctivitis.
Also see related sections: 5.10, Ocular Cicatricial Pemphigoid; 8.9, Ophthalmia Neonatorum (Newborn Conjunctivitis); and 13.6, Stevens-Johnson Syndrome (Erythema Multiforme Major).
5.2 Chronic Conjunctivitis
Symptoms
“Red eye” (conjunctival hyperemia), conjunctival discharge, eyelids sticking (worse on awakening from sleep), and foreign body sensation, duration >4 weeks (otherwise see 5.1, Acute Conjunctivitis).
Differential Diagnosis
• Parinaud oculoglandular conjunctivitis (see 5.3, Parinaud Oculoglandular Conjunctivitis).
• Silent dacryocystitis (see 6.9, Dacryocystitis/Inflammation of the Lacrimal Sac).
• Contact lens-related (see 4.20, Contact Lens-Related Problems).
• Conjunctival tumors (see 5.12, Conjunctival Tumors).
• Autoimmune disease (e.g., reactive arthritis, sarcoidosis, discoid lupus, and others).
CHLAMYDIAL INCLUSION CONJUNCTIVITIS
Sexually transmitted, due to Chlamydia trachomatis serotypes D-K, and typically found in young adults. A history of vaginitis, cervicitis, or urethritis may be present.
Signs
Inferior tarsal or bulbar conjunctival follicles, superior corneal pannus, palpable preauricular node, or peripheral SEIs. A stringy, mucous discharge may be present.
Workup
1. History: Determine the duration of red eye, any prior treatment, concomitant vaginitis, cervicitis, or urethritis. Sexually active?
2. Slit lamp examination.
3. In adults, direct chlamydial immunofluorescence test, DNA probe, chlamydial culture, or polymerase chain reaction of the conjunctival sample.
NOTE: Topical fluorescein can interfere with immunofluorescence test results.
4. Consider conjunctival scraping for Giemsa stain: Shows basophilic intracytoplasmic inclusion bodies in epithelial cells, polymorphonuclear leukocytes, and lymphocytes in newborns.
Treatment
1. Azithromycin 1 g p.o. single dose, doxycycline 100 mg p.o. b.i.d., or erythromycin 500 mg p.o. q.i.d. for 7 days is given to the patient and his or her sexual partners.
2. Topical erythromycin or tetracycline ointment b.i.d. to t.i.d. for 2 to 3 weeks.
Follow Up
In 2 to 3 weeks, depending on the severity. The patient and sexual partners should be evaluated by their medical doctors for other sexually transmitted diseases. Occasionally a 6-week course of doxycycline may be required.
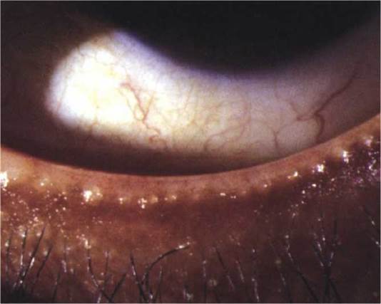
TRACHOMA
Principally occurs in developing countries in areas of poor sanitation and crowded conditions. Due to C. trachomatis serotypes A-C.
Signs
(See Figure 5.2.1.)

FIGURE 5.2.1 Trachoma showing Arlt line, or scarring, of the surgery tarsal conjunctiva.
Macallan Classification
• Stage 1: Superior tarsal follicles, mild superior SPK, and pannus,
often preceded by purulent discharge and tender preauricular node.
• Stage 2: Florid superior tarsal follicular reaction (2a) or papillary hypertrophy (2b) associated with superior corneal SEIs, pannus, and limbal follicles.
• Stage 3: Follicles and scarring of superior tarsal conjunctiva.
• Stage 4: No follicles, extensive conjunctival scarring.
• Late complications: Severe dry eyes, trichiasis, entropion, keratitis, corneal scarring, superficial fibrovascular pannus, Herbert pits (scarred limbal follicles), corneal bacterial superinfection, and ulceration.
World Health Organization Classification
• TF (trachomatous inflammation: follicular): More than five follicles on the upper tarsus.
• TI (trachomatous inflammation: intense): Inflammation with thickening obscuring >50% of the tarsal vessels.
• TS (trachomatous scarring): Cicatrization of tarsal conjunctiva with fibrous white bands.
• TT (trachomatous trichiasis): Trichiasis of at least one eyelash.
• CO (corneal opacity): Corneal opacity involving at least part of the pupillary margin.
Workup
1. History of exposure to endemic areas (e.g., North Africa, Middle East, India, Southeast Asia).
2. Examination and diagnostic studies as above (e.g., chlamydial inclusion conjunctivitis).
Treatment
1. Azithromycin 20 mg/kg p.o. single dose, doxycycline 100 mg p.o. b.i.d., or erythromycin 500 mg p.o. q.i.d. for 2 weeks.
2. Tetracycline, erythromycin, or sulfacetamide ointment b.i.d. to q.i.d. for 3 to 4 weeks.
NOTE: Tetracycline derivatives are contraindicated in children younger than 8 years, pregnant women, and nursing mothers.
Follow Up
Every 2 to 3 weeks initially, and then as needed. Although treatment is usually curative, reinfection is common if hygienic conditions do not improve.
NOTE: Currently, the World Health Organization is conducting a large-scale program to eradicate trachoma through intermittent widespread distribution of azithromycin as well as improving facial cleanliness and water sanitation in endemic areas. The aim is the global elimination of trachoma by the year 2030.
MOLLUSCUM CONTAGIOSUM
Signs
Critical. Dome-shaped, single or multiple, and umbilicated shiny nodule(s) on the eyelid or eyelid margin.
Other. Follicular conjunctival response from toxic viral products, corneal pannus, and SPK. Immunocompromised patients may have larger (up to 5 mm) and more numerous lesions along with less conjunctival reaction. An increased incidence associated with pediatric atopic dermatitis has been observed.
Treatment
When associated with chronic conjunctivitis, lesions should be removed by simple excision, incision, and curettage, or cryosurgery.
Follow Up
Every 2 to 4 weeks until the conjunctivitis resolves, which often takes 4 to 6 weeks. If many lesions are present, consider human immunodeficiency virus (HIV) testing.
MICROSPORIDIAL KERATOCONJUNCTIVITIS
Signs
Diffuse, coarse, raised punctate keratitis, and nonpurulent papillary or follicular conjunctivitis not responsive to conservative treatment. In immunocompromised patients, a corneal stromal keratitis resembling HSV or fungal keratitis can occur. Diagnosis is based on scrapings or biopsy of the conjunctiva or cornea; obligate intracellular parasites can be identified with Gram stain, Giemsa stain, electron microscopy, and confocal microscopy in vivo.
Treatment
Regimens of antiparasitic and/or antibiotic agents are recommended. Topical fumagillin, polyhexamethylene biguanide (PHMB), and/or oral antiparasitic medications (e.g., itraconazole 200 mg p.o. daily or albendazole 400 mg p.o. b.i.d.) have been used. Epithelial debridement followed by antibiotic ointment (e.g., erythromycin, ciprofloxacin, or bacitracin/polymyxin B t.i.d.) may be useful. Treat any systemic infestation. Consider HIV testing and infectious disease consultation.
TOXIC CONJUNCTIVITIS/MEDICAMENTOSA
Signs
Inferior papillary reaction and/or inferior conjunctival staining with fluorescein from topical eye drops. Most notably from IOP-lowering medications, aminoglycosides, antivirals, and preserved drops (especially those containing benzalkonium chloride). With long-term use, usually more than 1 month, a follicular response can be seen with other medications including atropine, miotics, epinephrine agents, and nonaminoglycoside antibiotics. Inferior SPK and scant discharge may be noted.
Treatment
Usually sufficient to discontinue the offending eye drop. Can add preservative-free artificial tears four to eight times per day. In severe cases, topical steroids can help quiet the conjunctival inflammation and render the eye more comfortable.
Follow Up
In 1 to 4 weeks, as needed.
5.3 Parinaud Oculoglandular Conjunctivitis
Symptoms
Red eye, mucopurulent discharge, and foreign body sensation.
Signs
Critical. Granulomatous nodule(s) on the palpebral and bulbar conjunctiva; visibly swollen ipsilateral preauricular or submandibular lymph nodes.
Other. Fever, rash, and follicular conjunctivitis.
Etiology
• Cat-scratch disease from Bartonella henselae (most common cause): Often a history of being scratched or licked by a kitten within 2 weeks of symptoms.
• Tularemia: History of contact with rabbits, other small wild animals, or ticks. Patients have severe headache, fever, and other systemic manifestations.
• Tuberculosis and other mycobacteria.
• Rare causes: Syphilis, leukemia, lymphoma, mumps, Epstein- Barr virus, HSV, fungi, sarcoidosis, listeria, typhus, and others.
Workup
Initiated when etiology is unknown (e.g., no recent cat scratch). Consider:
1. Conjunctival biopsy with scrapings for Gram, Giemsa, and acidfast stains.
2. Conjunctival cultures on blood, Lowenstein-Jensen, Sabouraud, and thioglycolate media.
3. Complete blood count, rapid plasma reagin (RPR) or VDRL, fluorescent treponemal antibody absorption (FTA-ABS) or treponemal-specific assay (e.g., MHA-TP), angiotensin-converting enzyme (ACE), and, if the patient is febrile, blood cultures.
4. Chest radiograph, purified protein derivative (PPD) of tuberculin, and/or interferon-gamma release assay (IGRA) (e.g., QuantiFERON-TB Gold).
5. If tularemia is suspected, serologic titers are necessary.
6. If diagnosis of cat-scratch disease is uncertain, then cat-scratch serology and cat-scratch skin test (Hanger-Rose) can be performed.
Treatment
1. Warm compresses for tender lymph nodes.
2. Antipyretics as needed.
3. Disease specific:
• Cat-scratch disease: Generally resolves spontaneously in 6 weeks. Consider azithromycin 500 mg p.o. q.i.d., then 250 mg daily for four doses (for children, 10 mg/kg q.i.d., then 5 mg/kg daily for four doses); alternatives include trimethoprim/sulfamethoxazole (160/800 mg b.i.d.) or ciprofloxacin 500 mg p.o. b.i.d. Duration should be individualized. Use a topical antibiotic (e.g., bacitracin/polymyxin B ointment or gentamicin drops q.i.d.). The cat does not need to be removed.
• Tularemia: Recommended therapy is gentamicin 5 mg/kg once daily i.m. or i.v. for 10 days. For mild illness, alternative therapies include ciprofloxacin 500 mg p.o. b.i.d. for 10 to 14 days or doxycycline 100 mg p.o. b.i.d. for 14 to 21 days. Systemic medication should coincide with gentamicin 0.3% drops q2h for 1 week and then five times per day until resolved. Often patients are systemically ill and under the care of a medical internist for tularemia; if not, refer to a medical internist for systemic management.
• Tuberculosis: Refer to an internist for antituberculosis medication.
• Syphilis: Systemic penicillin (dose depends on the stage of syphilis) and topical tetracycline ointment (see 12.12, Syphilis).
Follow Up
Repeat the ocular examination in 1 to 2 weeks. Conjunctival granulomas and lymphadenopathy can take 4 to 6 weeks to resolve for the cat-scratch disease.
5.4 Superior Limbic Keratoconjunctivitis
Symptoms
Red eye, burning, foreign body sensation, pain, tearing, itching mild photophobia, and frequent blinking. The course can be chronic with exacerbations and remissions.
Signs
Critical. Sectoral thickening, inflammation, and radial injection of the superior bulbar conjunctiva, especially at the limbus. Superior bulbar conjunctivochalasis often present (see Figure 5.4.1).

FIGURE 5.4.1 Superior limbic keratoconjunctivitis.
Other. Fine papillae on the superior tarsal conjunctiva; fine punctate fluorescein staining on the superior cornea, limbus, and conjunctiva; superior corneal micropannus and filaments. Usually bilateral, frequently asymmetric.
Workup
1. History: Recurrent episodes? Thyroid disease?
2. Slit lamp examination with fluorescein, lissamine green, or rose bengal staining, particularly of the superior cornea and adjacent conjunctiva. Lift the upper eyelid to see the superior limbal area and then evert to visualize the tarsus. Sometimes the localized hyperemia is best appreciated by direct inspection with room light rather than at the slit lamp, by raising the eyelids of the patient on downgaze.
3. Thyroid function tests (there is a 50% prevalence of current or remote thyroid disease in patients with superior limbic keratoconjunctivitis).
Treatment
Mild
1. Aggressive lubrication with preservative-free artificial tears four to eight times per day and artificial tear ointment q.h.s.
2. Consider punctal occlusion with plugs or cautery because of association with dry eyes.
3. Treat any concurrent blepharitis.
4. Consider treatment with cyclosporine 0.05%, cyclosporine 0.09%, or lifitegrast 5% b.i.d. if not responding to lubrication.
5. In the absence of dry eyes, a therapeutic bandage disposable soft contact lens can be placed to help relieve symptoms and facilitate healing.
Moderate to Severe (in Addition to Preceding)
1. Autologous serum drops may be tried with intermittent dosing throughout the day.
2. Consider treatment with topical tacrolimus 0.03% ointment b.i.d. if there is no improvement with aggressive lubrication (off-label in the eye).
3. If a significant amount of mucus or filaments are present, add acetylcysteine 10% drops four to six times per day. Low potency topical steroids such as loteprednol, rimexolone, or fluorometholone can be used for short courses to treat exacerbations.
4. Application of silver nitrate 0.5% solution on a cotton-tipped applicator for 10 to 20 seconds to the superior tarsal and superior bulbar conjunctiva after topical anesthesia (e.g., proparacaine). This is followed by irrigation with saline and use of antibiotic ointment (e.g., erythromycin) q.h.s. for 1 week.
NOTE: Do not use silver nitrate (75% to 95%) cautery sticks, which cause severe ocular burns.
5. A low dose of doxycycline can be a helpful adjuvant to counteract matrix metalloproteinase upregulation caused by superior limbic keratoconjunctivitis.
6. Botulinum toxin can be injected into the muscle of Riolan for temporary relief of symptoms.
7. Surgical considerations include conjunctival cautery, cryotherapy, conjunctival resection (with or without amniotic membrane graft), recession of the superior bulbar conjunctiva, or high- frequency radiowave electrosurgery.
Follow Up
Every 2 to 4 weeks during an exacerbation. If signs and symptoms persist despite multiple medical treatment strategies, surgical options should be considered.
5.5 Subconjunctival Hemorrhage
Symptoms
Red eye, foreign body sensation, but usually asymptomatic unless there is associated chemosis.
Signs
Blood underneath the conjunctiva, often in one sector of the eye. The entire view of the sclera can be obstructed by blood (see Figure 5.5.1).

FIGURE 5.5.1 Subconjunctival hemorrhage.
Differential Diagnosis
• Kaposi sarcoma: Red or purple lesion beneath the conjunctiva, usually elevated slightly. HIV/AIDS testing should be performed.
• Other conjunctival lesions (e.g., lymphoma or amyloid) with secondary hemorrhage.
Etiology
• Valsalva (e.g., coughing, sneezing, vomiting, bearing down with constipation, or other forms of straining).
• Traumatic: Can be isolated or associated with a retrobulbar hemorrhage or ruptured globe.
• Hypertension and diabetes.
• Bleeding disorder.
• Antiplatelet or anticoagulant medications (e.g., aspirin, clopidogrel, warfarin, ticagrelor, dabigatran, rivaroxaban, apixaban, and edoxaban).
• Topical steroid therapy.
• Hemorrhage due to orbital mass (rare).
• Idiopathic.
Workup
1. History: Bleeding or clotting problems? Medications? Eye rubbing, trauma, heavy lifting, or Valsalva? Recurrent subconjunctival hemorrhage? Acute or chronic cough?
2. Check blood pressure.
3. Ocular examination: If recurrent, rule out a conjunctival lesion when resolved. If severe, check extraocular motility, resistance to retropulsion, and IOP. In traumatic cases, rule out other ocular injuries (e.g., a ruptured globe [signs may include reduced visual acuity, abnormally deep or shallow anterior chamber, severe bullous subconjunctival hemorrhage, hyphema, vitreous hemorrhage, or uveal prolapse], retrobulbar hemorrhage [associated with proptosis and increased IOP], or orbital fracture). See 3.14, Ruptured Globe and Penetrating Ocular Injury, 3.10, Traumatic Retrobulbar Hemorrhage, and 3.9, Orbital Blowout Fracture.
4. If the patient has recurrent subconjunctival hemorrhages or a history of bleeding problems, prothrombin time, activated partial thromboplastin time, complete blood count with differential and peripheral blood smear (to evaluate for thrombocytopenia or leukemia), liver function tests, and protein C and S should be obtained.
5. If orbital signs are present (proptosis, decreased extraocular motility, elevated IOP) in atraumatic cases, perform axial, coronal, and parasagittal imaging (computed tomography [CT], or magnetic resonance imaging [MRI]) of the orbits with and without contrast to evaluate for an orbital mass (e.g., neuroblastoma in children or lymphangioma in adults). In traumatic cases, image as appropriate based on clinical findings, mechanism of injury, etc. (see Chapter 3, Trauma).
Treatment
None required. Artificial tear drops q.i.d. can be given if mild ocular irritation is present. In addition, elective use of aspirin products and NSAIDs should be discouraged unless in the context of coexisting medical conditions. Blood thinners should not be stopped unless a patient is cleared by their primary medical physician.
Follow Up
Usually resolves spontaneously within 2 to 4 weeks. Patients are told to return if the blood does not fully resolve or if they experience a recurrence. Referral to an internist or family physician should be made as indicated for hypertension or a bleeding diathesis.
5.6 Episcleritis
Symptoms
Acute or rapid onset of redness and mild pain in one or both eyes, typically in young-to middle-aged adults, more common in women; a history of recurrent episodes is common. No discharge or photophobia.
Signs
Critical. Sectoral (and, less commonly, diffuse) redness of one or both eyes, mostly due to engorgement of the episcleral vessels. These vessels are large, run in a radial direction beneath the conjunctiva, and can be moved slightly with a cotton-tip applicator (see Figure 5.6.1).

FIGURE 5.6.1 Episcleritis.
Other. Mild-to-moderate tenderness over the area of episcleral injection or a nodule that can be moved slightly over the underlying sclera may be seen. Fluorescein staining can sometimes be seen over the nodule. Associated anterior uveitis and corneal involvement are rare. Vision is normal.
Differential Diagnosis
• Scleritis: Typically older patient. May have known underlying immune-mediated disease (e.g., collagen vascular disease). Pain is deep, severe, and often radiates to the ipsilateral side of the head or face. The sclera may have a violaceous hue when observed in natural light. Scleral (and deep episcleral) vessels, as well as conjunctival and superficial episcleral vessels, are injected. The scleral vessels do not blanch on application of topical phenylephrine 2.5%. Possible corneal involvement with adjacent peripheral stromal keratitis. See 5.7, Scleritis.
• Iritis: Cells and flare in the anterior chamber. May be present with scleritis. See 3.5, Traumatic Iritis and 12.1, Anterior Uveitis (Iritis/Iridocyclitis).
• Conjunctivitis: Diffuse redness and discharge with follicles or papillae. See 5.1, Acute Conjunctivitis and 5.2, Chronic Conjunctivitis.
• Contact lens-related: Overwear, tight contact lens syndrome, or reaction to contact lens solution. Must be considered in all contact lens wearers. See 4.20, Contact Lens-Related Problems.
Etiology
• Idiopathic: Most common; 60% of patients have no underlying systemic disease.
• Infectious: Herpes zoster virus (scars from an old facial rash may be present, may cause episcleritis or scleritis), sexually transmitted infections, protozoa, and others.
• Medications (e.g., topiramate and pamidronate).
• Others: Rosacea, atopy, collagen vascular diseases (e.g., rheumatoid arthritis, inflammatory bowel disease, ankylosing spondylitis, psoriatic arthritis, systemic lupus erythematosus), vasculitides, and gout.
Workup
1. History: Assess for a history of rash, arthritis, venereal disease, recent viral illness, and other medical problems.
2. External examination in natural light: Look for the violaceous hue of scleritis.
3. Slit lamp examination: Anesthetize (e.g., topical proparacaine) and move the conjunctiva with a cotton-tipped applicator to determine the depth of the injected blood vessels. Evaluate for any corneal or anterior chamber involvement. Check IOP.
4. Place a drop of phenylephrine 2.5% in the affected eye and reexamine the vascular pattern 10 to 15 minutes later. Episcleral vessels should blanch, highlighting any underlying scleral vascular engorgement.
5. If the history suggests an underlying etiology (systemic disease usually precedes ocular involvement), or in cases with multiple recurrences, the appropriate laboratory tests should be obtained (e.g., complete blood count, comprehensive metabolic panel, antinuclear antibody [ANA], rheumatoid factor, anticyclic citrullinated peptide [anti-CCP], erythrocyte sedimentation rate [ESR], serum uric acid level, RPR or VDRL, FTA-ABS or treponemal-specific assay, antineutrophil cytoplasmic antibody [ANCA]).
Treatment
1. If mild, treat with artificial tears q.i.d.
2. If moderate to severe, a topical NSAID (e.g., diclofenac 0.1% q.i.d., bromfenac 0.07% or 0.09% daily) or a mild topical steroid (e.g., fluorometholone 0.1% or 0.25%, fluorometholone acetate 0.1% or loteprednol 0.5% q.i.d.) often relieves the discomfort. Occasionally, more potent or frequent topical steroid application is necessary.
3. Oral NSAIDs may be used as an alternate steroid-sparing initial therapy and should be given with food or antacids (e.g., ibuprofen 200 to 600 mg p.o. t.i.d. to q.i.d., naproxen 250 to 500 mg p.o. b.i.d., or flurbiprofen 50 to 100 mg p.o. b.i.d. to t.i.d.) for at least 10 to 14 days.
NOTE: Many physicians prefer oral NSAIDs to topical NSAIDs or steroids as initial therapy.
Follow Up
Patients treated with artificial tears need not be seen for several weeks unless discomfort worsens or persists. If topical steroids are used, recheck every 2 to 3 weeks until symptoms resolve. The frequency of steroid administration is then tapered. Episcleritis may recur in the same or contralateral eye.
5.7 Scleritis
Symptoms
Severe and boring eye pain (most prominent feature), which may radiate to the forehead, brow, jaw, or sinuses and classically awakens the patient at night. Pain worsens with eye movement and with touch. Gradual or acute onset with red eye. May have tearing, photophobia, or a decrease in vision. Recurrent episodes are common. Scleromalacia perforans (necrotizing scleritis without inflammation) may have minimal symptoms.
Signs
Critical. Inflammation of scleral, episcleral, and conjunctival vessels (scleral vessels are large, deep vessels that cannot be moved with a cotton swab and do not blanch with topical 2.5% or 10% phenylephrine). Can be sectoral, nodular, or diffuse with associated scleral edema. Characteristic violaceous scleral hue (best seen in natural light by gross inspection). Areas of scleral thinning or remodeling may appear with recurrent episodes, allowing the underlying uvea to become visible or even bulge outward.
Other. Scleral nodules, corneal changes (peripheral keratitis, limbal guttering, or keratolysis), glaucoma, uveitis, or cataract.
Signs of Posterior Scleritis. Subretinal granuloma, circumscribed fundus mass, choroidal folds, retinal striae, exudative retinal detachment, optic disc swelling, macular edema, proptosis, or rapidonset hyperopia.
Differential Diagnosis
• Episcleritis: Sclera not involved. Blood vessels blanch with topical phenylephrine. Usually more acute onset than scleritis. Patients tend to be younger and have mild symptoms, if any. See 5.6, Episcleritis.
• Vogt-Koyanagi-Harada (VKH) disease, choroidal melanoma, metastatic choroidal tumor, and choroidal hemangioma can mimic posterior scleritis.
• Scleritis associated with other orbital inflammatory foci (myositis, dacryoadenitis, etc.) may be part of idiopathic orbital inflammatory syndrome (IOIS) commonly known as orbital pseudotumor.
• Orbital cellulitis.
Etiology
Up to 50% of patients with scleritis have an associated systemic disease, typically connective tissue or vasculitic in nature. Workup indicated if no known underlying disease is present.
More Common. Connective tissue disease (e.g., rheumatoid arthritis, granulomatosis with polyangiitis, relapsing polychondritis, systemic lupus erythematosus, reactive arthritis, polyarteritis nodosa, ankylosing spondylitis, inflammatory bowel disease), infectious (e.g., Pseudomonas, atypical mycobacteria, fungi, Nocardia, herpes zoster, syphilis), trauma including status-post surgery (especially scleral buckle or pterygium surgery with mitomycin-C or beta irradiation), and gout.
Less Common. Varicella zoster, tuberculosis, Lyme disease, other bacteria (e.g., Pseudomonas species with scleral ulceration, Proteus species associated with scleral buckle), sarcoidosis, foreign body, or parasite.
Classification

FIGURE 5.7.1 Nodular scleritis.

FIGURE 5.7.2 Necrotizing scleritis with thin, bluish sclera.
1. Diffuse anterior scleritis: Widespread inflammation of the anterior segment.
2. Nodular anterior scleritis: Immovable inflamed nodule(s) (see Figure 5.7.1).
3. Necrotizing anterior scleritis with inflammation (see Figure 5.7.2): Extreme pain. The sclera becomes transparent (choroidal pigment visible) because of necrosis. High association with systemic inflammatory diseases.
4. Necrotizing anterior scleritis without inflammation (scleromalacia perforans): Typically asymptomatic. Seen most often in older women with long-standing rheumatoid arthritis.
5. Posterior scleritis: May start posteriorly, or rarely be an extension of anterior scleritis, or simulate an amelanotic choroidal mass. Associated with exudative retinal detachment, disc swelling, retinal hemorrhage, choroidal folds, choroidal detachment, restricted motility, proptosis, pain, or tenderness.
Workup
1. History: Previous episodes? History of ocular trauma or surgery? Medical problems? An associated systemic disease is more common in patients >50 years old.
2. Examine the sclera in all directions of gaze by gross inspection in natural light or adequate room light.
3. Slit lamp examination with a red-free filter (green light) to determine whether avascular areas of the sclera exist. Check for corneal or anterior chamber involvement.
4. Dilated fundus examination to rule out posterior involvement.
5. B-scan ultrasonography to detect posterior scleritis (e.g., T-sign).
6. Fluorescein angiography in eyes with posterior scleritis may show multiple areas of pinpoint leakage, choroidal folds, and subretinal fluid.
7. Complete physical examination (especially joints, skin, and cardiovascular and respiratory systems) by an internist or a rheumatologist.
8. Complete blood count, creatinine, ESR, CRP, uric acid, RPR or VDRL, FTA-ABS or treponemal-specific assay (e.g., MHA-TP), ANCA, rheumatoid factor, anti-CCP, ANA, ACE, CH50 (total complement activity assay), C3, C4, and urinalysis.
9. Other tests if clinical suspicion warrants additional workup: PPD or IGRA, Lyme antibody, chest radiograph, HLA B27, radiograph of sacroiliac joints, and MRI or CT scan if indicated. Cultures should be taken if infection is suspected.
Treatment
1. Diffuse and nodular scleritis: One or more of the following may be required. Concurrent antiulcer medication (e.g., proton-pump inhibitor [e.g., omeprazole 20 mg p.o. daily] or histamine type 2 receptor blocker [e.g., ranitidine 150 mg p.o. b.i.d.]) may be helpful.
• Oral NSAIDs (e.g., flurbiprofen 100 mg t.i.d., naproxen 250 to 500 mg p.o. b.i.d., or indomethacin 25 to 50 mg p.o. t.i.d.): Several different NSAIDs may be tried before therapy is considered a failure. If there is still no improvement, consider systemic steroids.
• Oral steroids: Prednisone 60 to 80 mg p.o. daily for 1 week, followed by a taper to 20 mg daily over the next 2 to 6 weeks, followed by a slower taper. Once daily calcium with vitamin D (e.g., 600 mg with 400 iU) supplements should be given to reduce the risk of osteoporosis. An oral NSAID often facilitates the tapering of the steroid but significantly increases the risk of gastric ulceration. If unsuccessful or disease requires >7.5 to 10 mg prednisone/day for long-term control, immunosuppressive therapy is indicated.
• Intravenous steroids: Methylprednisolone succinate 1,000 mg daily for 3 days (followed by oral steroids as above) is preferable to prednisone >80 mg/d because of reduced risk of ischemic necrosis of bone.
• Immunosuppressive therapy (e.g., cyclophosphamide, methotrexate, cyclosporine, azathioprine, mycophenolate mofetil, anti-TNFa agents, and other biologics): If one drug is ineffective or not tolerated, additional agents should be tried. Systemic steroids may be used in conjunction. Immunosuppressive therapy should be coordinated with an internist, rheumatologist, or uveitis specialist. Topical cyclosporine is rarely effective.
• Conventional teaching is that topical therapy is of little benefit. However, difluprednate 0.05% drops are sometimes helpful (with or without a topical NSAID) and thus, in mild cases, may spare the need for systemic immunosuppressive agents.
• Subconjunctival steroid injections (e.g., 0.1 to 0.3 mL of triamcinolone acetonide 40 mg/mL or dexamethasone sodium phosphate 4 mg/mL): May be very helpful in patients unable to tolerate systemic therapy. Side effects may include subconjunctival hemorrhage, cataract, glaucoma, and (rarely) catastrophic scleral melting. Do not use in cases of necrotizing scleritis.
2. Necrotizing scleritis:
• Necrotizing scleritis associated with rheumatoid arthritis is associated with increased mortality due to coronary arteritis or cerebral angiitis and requires urgent, aggressive immunosuppressive therapy.
• Systemic steroids and immunosuppressive therapies are used as above during the first month; the former is tapered slowly.
• Scleral patch grafting may be necessary if there is a significant risk of perforation, ideally once the inflammation is better controlled.
3. Posterior scleritis: Therapy may include systemic aspirin, NSAIDs, steroids, or immunosuppressive therapy as described previously. Consult a retina or uveitis specialist.
4. Infectious etiologies: Debridement and cultures/stains are essential. Treat with appropriate topical and systemic antimicrobials. Oral fluoroquinolones have good ocular tissue penetration. If a foreign body (e.g., scleral buckle [associated with Proteus or Pseudomonas]) is present, surgical removal is indicated.
5. Glasses or eye shield should be worn at all times if there is significant thinning and risk of perforation.
NOTE: Remember that periocular steroids are contraindicated in necrotizing scleritis where they can lead to further scleral thinning and possible perforation.
Follow Up
Depends on the severity of the symptoms and the degree of scleral thinning. Decreased pain is the first sign of response to treatment, even if inflammation appears unchanged.
5.8 Blepharitis/Meibomitis
Symptoms
Itching, burning, mild pain, foreign body sensation, tearing, erythema of the eyelids, and crusting around the eyes upon awakening. This is in contrast to dry eye syndrome in which symptoms are usually worse later in the day.
Signs
Critical. Crusty, red, thickened eyelid margins with prominent blood vessels (see Figure 5.8.1) or inspissated oil glands at the eyelid margins (see Figure 5.8.2). Crusting, collarettes, and/or cylindrical sleeves around lashes.

FIGURE 5.8.1 Blepharitis with lash collarettes.

FIGURE 5.8.2 Meibomitis with inspissated meibomian glands.
Other. Conjunctival injection, swollen eyelids, mild mucous discharge, and SPK. Rosacea may be present. Corneal infiltrates, pannus, and phlyctenules may be present.
Differential Diagnosis
• Pediculosis. See 5.1, Acute Conjunctivitis.
• Demodicosis. Demodex mites may play a role in patients with chronic blepharitis. Look for cylindrical sleeves on lashes. Microscopic evaluation of epilated eyelash is diagnostic.
Treatment
See 5.9, Ocular Rosacea, for treatment options in the presence of acne rosacea.
1. Scrub the eyelid margins twice a day with a commercial eyelid scrub or mild shampoo on a washcloth.
2. Warm compresses for 5 to 10 minutes b.i.d. to q.i.d.
3. If associated with dry eyes, use preservative-free artificial tears four to eight times per day.
4. If moderately severe, add erythromycin ointment or azithromycin gel-drop to the eyelids q.h.s.
5. Consider omega-3 fatty acid oral supplementation as well as cyclosporine 0.05%, cyclosporine 0.09%, or lifitegrast 5% drops b.i.d.
6. Unresponsive meibomitis can be treated with topical ophthalmic antibiotic/steroid ointments (e.g., tobramycin 0.3%/dexamethasone 0.1% or tobramycin 0.3%/dexamethasone 0.05% b.i.d. to t.i.d.). Also consider an oral agent such as doxycycline 100 mg p.o. daily for 1 to 2 weeks; slowly taper to one-fourth full dose and maintain for 3 to 6 months. Oral azithromycin 500 mg/d x 3 days for 3 cycles with 7-day intervals may also be used.
7. If Demodex mite infestation is suspected, due to the presence of collarettes, and patients have failed the above regimen, consider tea-tree oil eyelid scrubs or an eyelid cleansing agent with hypochlorous acid once or twice daily for a minimum of 6 weeks.
8. If little improvement has been made, consider thermal treatment to the meibomian glands with expression, intense pulsed light laser therapy, microblepharoexfoliation, and probing of meibomian glands.
NOTE: Tetracycline derivatives such as doxycycline should not be used in pregnant women, nursing mothers, or children ≤8 years. Erythromycin 200 mg p.o. b.i.d. is an alternative in these cases.
Follow Up
Two to four weeks depending on the severity of presenting symptoms. Eyelid scrubs and warm compresses may be reduced to once daily as the condition improves but may need to be maintained indefinitely.
NOTE: Intractable, unilateral, or asymmetric (not only of eye laterality but also upper versus lower eyelid) blepharitis is rarely a manifestation of sebaceous carcinoma of the eyelid and warrants appropriate clinical workup. See 6.11, Malignant Tumors of the Eyelid.
5.9 Ocular Rosacea
Symptoms
Bilateral chronic ocular irritation, dry eyes, redness, burning, photophobia, and foreign body sensation. Typically middle-aged adults, but it can be found in children. More common in women. Associated facial symptoms include recurrent facial flushing episodes, persistent midfacial erythema, and papular skin lesions.
Signs
Critical. Telangiectasias, pustules, papules, or erythema of the cheeks, forehead, and nose. Findings may be subtle especially in heavily pigmented individuals, often best seen under natural light. Superficial or deep corneal vascularization, particularly in the inferior cornea, is sometimes seen and may extend into a stromal infiltrate.
Other. Rhinophyma of the nose occurs in the late stages of the disease, especially in men. Blepharitis (telangiectasias of the eyelid margin with inflammation) and a history of recurrent chalazia are common. Conjunctival injection, SPK, phlyctenules, perilimbal infiltrates of staphylococcal hypersensitivity, iritis, or even corneal perforation (rare) may occur.
Differential Diagnosis
• Herpes simplex keratitis: Usually unilateral. Stromal keratitis with neovascularization may appear similar. See 4.15, Herpes Simplex Virus.
• See 4.1, Superficial Punctate Keratopathy, for additional differential diagnoses.
• See 4.22, Peripheral Corneal Thinning/Ulceration for peripheral ulcerative keratitis associated with systemic disease.
Etiology
Unknown, but signs and symptoms are often induced by certain environmental/local factors, including hot beverages (e.g., coffee or tea), tobacco, vasodilating medications, alcohol, and emotional stress.
Workup
1. External examination: Look at the face for the characteristic skin findings.
2. Slit lamp examination: Look for telangiectasias and meibomitis on the eyelids, conjunctival injection, and corneal scarring and vascularization.
Treatment
1. Warm compresses and eyelid hygiene for blepharitis or meibomitis (see 5.8, Blepharitis/Meibomitis). Treat dry eyes if present (see 4.3, Dry Eye Syndrome).
2. Avoidance of exacerbating foods, beverages, and environmental factors.
3. Doxycycline 100 mg p.o. b.i.d. for 1 to 2 weeks and then daily; taper the dose slowly once relief from symptoms is obtained. Some patients are maintained on low-dose doxycycline (e.g., 20 to 100 mg p.o. daily or less than daily) indefinitely if the active disease recurs when the patient is off medication. Erythromycin 250 mg q.i.d. or oral azithromycin 500 mg/d x 3 days for 3 cycles with 7-day intervals is an alternative if doxycycline is contraindicated.
NOTE: Tetracycline derivatives such as doxycycline should not be given to pregnant women, nursing women, or children ≤8 years. Patients should be warned of increased sunburn susceptibility with the use of this medication.
NOTE: Asymptomatic ocular rosacea without progressively worsening eye disease does not require oral antibiotics.
4. Consider oral omega-3 fatty acid supplements, cyclosporine 0.05%, cyclosporine 0.09%, or lifitegrast 5% drops b.i.d., and topical steroids for chronic rosacea-related ocular and eyelid inflammation (see 5.8, Blepharitis/Meibomitis).
5. Facial lesions can be treated with metronidazole gel (0.75%) application b.i.d.
6. Treat chalazia as needed (see 6.2, Chalazion/Hordeolum).
7. Corneal perforations may be treated with cyanoacrylate tissue adhesive if small (<1-2 mm), whereas larger perforations may require surgical correction. Doxycycline is indicated if there is a concern for corneal melting due to its anticollagenase properties.
8. If infiltrates stain with fluorescein, an infectious corneal ulcer may be present. Smears, cultures, and antibiotic treatment may be necessary. See 4.11, Bacterial Keratitis and Appendix 8, Corneal Culture Procedure.
Follow Up
Variable; depends on the severity of the disease. Patients without corneal involvement are seen weeks to months later. Those with corneal involvement are examined more often. Patients with moderate-to-severe facial disease should also seek dermatologic consultation.
5.10 Mucous Membrane Pemphigoid (Ocular Cicatricial Pemphigoid)
Systemic autoimmune disease leading to mucocutaneous inflammation and eventual scarring.
Symptoms
Insidious onset of dryness, redness, blepharospasm, itching, foreign body sensation, tearing, burning, decreased vision, and photophobia. Bilateral involvement. The course is characterized by remissions and exacerbations. Usually occurs in patients older than 55 years.
Signs
Critical. Inferior symblepharon (linear folds of conjunctiva connecting the palpebral conjunctiva of the lower eyelid to the inferior bulbar conjunctiva), foreshortening and tightness of the lower fornix, and scarring of palpebral conjunctiva on eyelid eversion (see Figure 5.10.1).

FIGURE 5.10.1 Mucous membrane pemphigoid with symblepharon.
Other. Secondary bacterial conjunctivitis, SPK, and corneal ulcer. Potential later findings include poor tear film, resulting in severe dry eye syndrome; entropion; trichiasis or distichiasis (if present, carefully examine fornices for symblepharon); corneal opacification with pannus, neovascularization, and keratinization; obliteration of the fornices, with eventual limitation of ocular motility; and ankyloblepharon.
Systemic. Mucous membrane (e.g., oropharynx, esophagus, anus, vagina, and urethra) vesicles; scarring or strictures; ruptured or formed bullae; denuded epithelium. Desquamative gingivitis is common. Cutaneous vesicles and bullae may occur, sometimes with erythematous plaques or scars near affected mucous membranes.
Based on clinical findings, the disease can be divided into four stages:
1. Stage I—Chronic conjunctivitis with mild corneal involvement.
2. Stage II—Cicatrization with conjunctival shrinkage and foreshortening of fornices.
3. Stage III—Above with the additional presence of symblepharon. Subepithelial scarring leads to distortion of lashes.
4. Stage IV—End stage, with ankyloblepharon and severe corneal involvement (persistent epithelial defects, stromal ulcers, scarring, neovascularization, and diffuse keratinization).
Differential Diagnosis
• Stevens-Johnson syndrome (erythema multiforme major) and toxic epidermal necrolysis (TEN): Acute onset, but similar ocular involvement as ocular pemphigoid. Often precipitated by drugs (e.g., sulfa, penicillin, other antibiotics, phenytoin) or infections (e.g., herpes and mycoplasma). See 13.6, Stevens-Johnson Syndrome (Erythema Multiforme Major).
• History of membranous conjunctivitis with scarring: Usually adenovirus or beta-hemolytic Streptococcus. See 5.1, Acute Conjunctivitis and 5.2, Chronic Conjunctivitis.
• Severe chemical burns. See 3.1, Chemical Burn.
• Chronic topical medicine: Examples include glaucoma medications (especially pilocarpine or phospholine iodide) and antiviral agents.
• Others: Atopic keratoconjunctivitis, radiation treatment, and squamous cell carcinoma.
NOTE: Symblepharon is a nonspecific finding and can follow severe conjunctivitis, chemical injury, trauma, radiation exposure, etc. However, symblepharon associated with mucous membrane pemphigoid (MMP)/ocular cicatricial pemphigoid (OCP) is usually progressive.
Workup
1. History: Long-term topical medications? Acute onset of severe systemic illness in the past? Recent systemic medications?
2. Skin and mucous membrane examination.
3. Slit lamp examination: Especially for forniceal foreshortening or inferior symblepharon (most easily achieved by pulling down the lower eyelid during upgaze) and for palpebral conjunctival scarring on eyelid eversion. Check IOP.
4. Gram stain and culture of the cornea or conjunctiva if a secondary bacterial infection is suspected. See Appendix 8, Corneal Culture Procedure.
5. Consider a biopsy of the conjunctiva or other involved mucous membranes for direct immunofluorescence studies, or indirect immunofluorescence for the presence of antibodies.
6. Obtain appropriate consults, as below.
Treatment
A multidisciplinary approach is often needed, including dermatology, oculoplastics, cornea, otolaryngology, gastroenterology, and pulmonology. Early diagnosis of the ocular involvement is critical for optimal management.
1. Preservative-free artificial tears 4 to 10 times per day. Can add an artificial tear ointment b.i.d. to q.i.d. and q.h.s. Autologous serum drops 20% to 50% four times a day may also be added.
2. Treat blepharitis vigorously with eyelid hygiene, warm compresses, and antibiotic ointment (e.g., erythromycin t.i.d.). Oral doxycycline can be used if blepharitis is present (for its antiinflammatory properties). See 5.8, Blepharitis/Meibomitis.
3. Goggles or glasses with sides to provide a moist environment for the eyes.
4. Fitting of scleral lenses to maintain ocular surface integrity.
5. Punctal occlusion if puncta are not already closed by scarring.
6. Topical steroids may rarely help in suppressing acute exacerbations, but be cautious of corneal melting.
7. Systemic steroids (e.g., prednisone 60 mg p.o. daily) may also help in suppressing acute exacerbations but are most effective when used with other immune modulators.
8. Immunosuppressive agents (e.g., mycophenolate mofetil, methotrexate, cyclophosphamide, rituximab, and intravenous immunoglobulin) are typically used for progressive disease.
9. Dapsone is occasionally used for progressive disease. The starting dose is 25 mg p.o. for 3 to 7 days; increase by 25 mg every 4 to 7 days until the desired result is achieved (usually 100 to 150 mg p.o. daily). Dapsone is maintained for several months and tapered slowly.
NOTE: Dapsone can cause a dose-related hemolysis. A complete blood count and glucose-6-phosphate dehydrogenase (G-6-PD) level must be checked before administration. Dapsone should be avoided in patients with G-6-PD deficiency. A complete blood count with reticulocyte count is obtained weekly as the dose is increased every 3 to 4 weeks until blood counts are stable and then every few months.
10. Consider surgical correction of entropion and cryotherapy or electrolysis for trichiasis. Surgery carries the risk of further scarring and is best performed when inflammation is absent.
11. Mucous membrane grafts (e.g., buccal or amniotic membrane graft) can be used to reconstruct the fornices if needed.
12. Consider a keratoprosthesis in an end-stage eye with good macular and optic nerve function if the inflammation and IOP are controlled. The surgical prognosis for the long-term survival of the keratoprosthesis is guarded.
Follow Up
Every 1 to 2 weeks during acute exacerbations and every 1 to 6 months during remissions.
5.11 Contact Dermatitis
Symptoms
Sudden onset of a periorbital rash, usually pruritic, and/or eyelid swelling.
Signs
Critical. Periorbital edema, erythema, vesicles, and lichenification of the skin. Conjunctival chemosis out of proportion to injection and papillary response (see Figure 5.11.1).

FIGURE 5.11.1 Contact dermatitis.
Other. Watery discharge; crusting of the skin may develop.
Differential Diagnosis
• Varicella zoster virus (shingles): Dermatomal pattern with severe pain. See 4.16, Herpes Zoster Ophthalmicus/Varicella Zoster Virus.
• Eczema: Recurrent in nature and is markedly pruritic.
• Impetigo: Pruritic with honey-colored crusts.
• Orbital cellulitis or preseptal cellulitis: See 7.3.1, Orbital Cellulitis and 6.10, Preseptal Cellulitis.
Etiology
Most commonly eye drops and cosmetics.
Treatment
1. Avoid the offending agent(s).
2. Cool compresses four to six times per day.
3. Preservative-free artificial tears four to eight times per day and topical antihistamines (e.g., levocabastine 0.05% q.i.d.).
4. Consider tacrolimus 0.03% to 0.1% q.h.s. or b.i.d. (preferred).
5. Consider a mild steroid ointment (e.g., fluorometholone 0.1%, or loteprednol 0.5%) applied to the periocular area b.i.d. to t.i.d. for 4 to 5 days for skin involvement.
6. Consider an oral antihistamine (e.g., diphenhydramine 25 to 50 mg p.o. t.i.d. to q.i.d.) for several days.
Follow Up
Re-examine within 1 week.
5.12 Conjunctival Tumors
The following are the most common and important conjunctival tumors. Pterygium/pinguecula and phlyctenulosis are discussed in Sections 4.9 and 4.19, respectively.
AMELANOTIC LESIONS
Limbal Dermoid
A congenital benign tumor, usually located in the inferotemporal quadrant of the limbus, can involve the more central cornea. Lesions are white, solid, fairly well circumscribed, elevated, and can have hair arising from their surface. May enlarge, particularly at puberty. With time, intracorneal lipid deposition can occur at the leading edge of the dermoid. Associated with eyelid coloboma, preauricular skin tags, and vertebral abnormalities (Goldenhar syndrome). Surgical removal may be performed for cosmetic purposes or if they are affecting the visual axis, although a white corneal scar may persist postoperatively and cause astigmatism. Penetrating keratoplasty may be needed.
NOTE: The cornea or sclera underlying a dermoid can be very thin or even absent. Penetration of the eye can occur with surgical resection. Ultrasound biomicroscopy or anterior segment optical coherence tomography may be helpful to determine the depth.
Dermolipoma
A congenital benign tumor, usually occurring under the bulbar conjunctiva temporally, often superotemporally. Yellow-white, solid tumor. Can have hair arising from its surface and fat within the stroma. High association with Goldenhar syndrome. Surgical removal is avoided because of the frequent posterior extension of this tumor into the orbit. If necessary, partial resection of the anterior portion can usually be done.
Pyogenic Granuloma
Benign, deep-red, and pedunculated mass. Typically develops at a site of prior surgery, trauma, or chalazion. This lesion consists of exuberant granulation tissue. May respond to topical steroids. A topical steroid-antibiotic combination (e.g., dexamethasone/tobramycin 0.1%/0.3% q.i.d. for 1 to 2 weeks) can be helpful because infection can be present. Excision is required if it persists.
Lymphangioma
Probably congenital but often not detected until years after birth. A slowly progressive benign lesion that appears as a diffuse, multiloculated, and cystic mass. Seen most commonly between birth and young adulthood, often before 6 years of age. Hemorrhage into the cystic spaces can produce a “chocolate cyst.” Can enlarge, sometimes due to an upper respiratory tract infection. Concomitant eyelid, orbital, facial, nasal, or oropharyngeal lymphangiomas can be present. Surgical excision may be performed for cosmetic or functional purposes, but it often must be repeated because it is difficult to remove the entire tumor with one surgical procedure. Sclerotherapy, in which intralesional injections of 2 to 4 mg of 1 mg/mL bleomycin are administered every 4 weeks depending on clinical response, can lead to involution and fibrosis of the lesion. This technique is typically employed for more advanced or chronically recurrent tumors. Lesions often stabilize in early adulthood. These lesions do not regress like capillary hemangiomas.
Granuloma
Can occur at any age, predominantly on the tarsal conjunctiva. No distinct clinical appearance, but patients can have an associated embedded foreign body, sarcoidosis, tuberculosis, or another granulomatous disease. For systemic granulomatous diseases (e.g., sarcoidosis), conjunctival granulomas can be an excellent source of diagnostic tissue. Management often includes a course of topical steroids or excisional biopsy.
Papilloma
1. Viral: Frequently multiple pedunculated or sessile lesions in children and young adults. May occur on the palpebral or bulbar conjunctiva. They are benign and are usually left untreated because of their high recurrence rate (which is often multiple) and their tendency for spontaneous resolution. They can also be treated with oral cimetidine (30 mg/kg/d in children or 150 mg p.o. b.i.d. in adults) because of the drug’s immune-stimulating properties or they can respond to topical or lesional injection of interferon alfa 2b.
2. Nonviral: Typically, a single sessile or pedunculated lesion is found in older patients. These are located more commonly near the limbus and can represent precancerous lesions with malignant potential. Complete wide excisional biopsy with cryotherapy at the conjunctival margin is the preferred treatment since it may be difficult to differentiate from squamous cell carcinoma.
NOTE: In dark-skinned individuals, papillomas can appear pigmented and can be mistaken for malignant melanoma.
Kaposi Sarcoma
Malignant, nontender vascular subconjunctival nodule. Usually red and may simulate a conjunctival hemorrhage. Perform HIV/AIDS testing. Kaposi sarcoma lesions may resolve when patients are placed on highly active antiretroviral therapy. Other treatments include vinblastine, vincristine, excision, cryotherapy, interferon alfa 2b, or irradiation.
Conjunctival Intraepithelial Neoplasia (Dysplasia and Carcinoma In Situ)
Typically occurs in middle-aged to elderly people. Leukoplakic or gray-white, gelatinous lesion that usually begins at the limbus. Occasionally, a papillomatous, fern-like vascular appearance develops. Usually unilateral and unifocal. Can evolve into invasive squamous cell carcinoma (see Figure 5.12.1) if not treated early and successfully. Can spread over the cornea or, less commonly, invade the eye or metastasize. The preferred treatment is a complete excisional biopsy followed by supplemental cryotherapy to the remaining adjacent conjunctiva. Excision may require lamellar dissection into the corneal stroma and sclera in recurrent or longstanding lesions. Topical forms of mitomycin C, 5-fluorouracil, and interferon have also been used. Periodic follow-up examinations are required to detect recurrences.

FIGURE 5.12.1 Conjunctival squamous cell carcinoma.
Lymphoid Tumors (Range from Benign Reactive Lymphoid Hyperplasia to Lymphoma)
Can occur in young to middle-aged adults, but the mean age of diagnosis is 61 years. Usually appears as a light pink, salmon-colored lesion. Can appear in the bulbar conjunctiva, where it is typically oval, or in the fornix, where it is usually horizontal, conforming to the contour of the fornix (see Figure 5.12.2). An excisional or incisional biopsy is performed for immunohistochemical studies (require fresh nonfixed tissue). Symptomatic benign reactive lymphoid hyperplasia can be treated by excisional biopsy or topical steroid drops. Lymphomas should be completely excised when possible, without damage to the extraocular muscles or excessive sacrifice of the conjunctiva. If not possible, an incisional biopsy is justified and subsequent treatment with rituximab, chemotherapy, or low dose radiotherapy is advised. Refer to an internist or oncologist for systemic evaluation. Systemic lymphoma may develop, if it is not already present.

FIGURE 5.12.2 Conjunctival lymphoma (salmon patch).
Epibulbar Osseous Choristoma
Congenital, benign, hard, bony mass, usually on the superotemporal bulbar conjunctiva. Surgical removal can be performed for cosmetic purposes.
Amyloid
Smooth, waxy, and yellow-pink masses are seen especially in the lower fornix when the conjunctiva is involved. Often there are associated small hemorrhages. A definitive diagnosis is made with a biopsy. Consider workup for systemic amyloidosis, although most cases in the conjunctiva are localized and solitary (see Figure 5.12.3).

FIGURE 5.12.3 Conjunctival amyloid.
Amelanotic Melanoma
Pigmentation of conjunctival melanoma is variable. Look for bulbar or limbal lesions with significant vascularity to help make this difficult diagnosis. Look carefully for primary acquired melanosis.
Sebaceous Carcinoma
Although usually involving the palpebral conjunctiva, this tumor can involve the bulbar conjunctiva (when there is a pagetoid invasion of the conjunctiva). This diagnosis should always be considered in older patients with refractory unilateral blepharoconjunctivitis.
(See 6.11, Malignant Tumors of the Eyelid, for a detailed discussion of sebaceous carcinoma.)
MELANOTIC LESIONS
Nevus
Commonly develops during puberty, most often within the palpebral fissure on the bulbar conjunctiva. Usually well demarcated with variable pigmentation. The degree of pigmentation can also change with time. A key sign in the diagnosis is the presence of small cysts in the lesion. Benign nevi can enlarge; however, a melanoma can occasionally develop from a nevus, and enlargement can be an early sign of malignant transformation. Nevi of the palpebral conjunctiva are rare, and primary acquired melanosis and malignant melanoma must be considered in such lesions. A baseline photograph of the nevus should be taken, and the patient should be observed every 6 to 12 months. Surgical excision is elective. Nevi may be amelanotic (see Figure 5.12.4).

FIGURE 5.12.4 Conjunctival nevus.
Ocular or Oculodermal Melanocytosis
A congenital episcleral (not conjunctival) lesion, as demonstrated (after topical anesthesia) by moving the conjunctiva back and forth over the area of pigmentation with a cotton-tipped swab (conjunctival pigmentation will move with the conjunctiva). Typically, the lesion is unilateral, blue-gray, and often accompanied by a darker ipsilateral iris and choroid. In oculodermal melanocytosis, also called nevus of Ota, the periocular skin is also pigmented. These lesions are slightly pigmented at birth but can become more pigmented at puberty. Both conditions predispose to melanoma of the uveal tract, orbit, and brain (most commonly in whites) and glaucoma. It is estimated that 1/400 affected patients develop uveal melanoma.
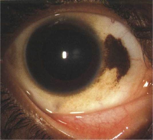
Primary Acquired Melanosis
Flat, brown patches of pigmentation, without cysts, in the conjunctiva. Usually arise during or after middle age and almost always occur in whites. Classically, approximately 10% to 30% of these lesions develop into melanoma. Malignant transformation should be suspected when an elevation or increase in vascularity in one of these areas develops. Management options depend on the lesion size. If 1 to 2 clock hour size, then careful observation with photographic comparison is advised. If 2 to 4 clock hour size, then excisional biopsy followed by cryotherapy is advised. If >4 clock hour size, then incisional biopsy plus cryotherapy is performed.
Malignant Melanoma
Typically occurs in middle-aged to elderly patients. The lesion is a nodular brown mass. Well vascularized. Often a large conjunctival feeding vessel is present. May develop de novo, from a nevus, or from primary acquired melanosis. Check for an underlying ciliary body melanoma (dilated fundus examination, transillumination, and ultrasonographic biomicroscopy). Intraocular and orbital extension can occur. Excisional biopsy using a “no-touch technique” (with supplemental cryotherapy) is performed unless intraocular or orbital involvement is present. In advanced cases, orbital exenteration is necessary. Sentinel lymph node biopsy is advised to detect early metastatic disease (see Figure 5.12.5).

FIGURE 5.12.5 Conjunctival melanoma.
Less Common Causes of Conjunctival Pigmentation
1. Ochronosis with alkaptonuria: Autosomal recessive enzyme deficiency. Occurs in young adults with arthritis and dark urine. The pigment is at the level of the sclera, which can cause a “pigmented pinguecula.” Blue-black discoloration of the ear cartilage.
2. Argyrosis: Silver deposition causes black discoloration. Patients may have a history of long-term use of silver nitrate drops.
3. Hemochromatosis: Can cause darkening of the skin, termed bronze diabetes.
4. Ciliary staphyloma: Scleral thinning with uveal show.
5. Adrenochrome deposits: Long-term epinephrine or dipivefrin use.
6. Mascara deposits: Usually occurs in the inferior fornix and becomes entrapped in epithelium or cysts.
5.13 Malignant Melanoma of the Iris
Malignant melanoma of the iris can occur as a localized or diffuse pigmented (melanotic) or nonpigmented (amelanotic) lesion.
Signs
Critical. Unilateral brown or translucent iris mass lesion exhibiting slow growth. It is more common in the inferior half of the iris and in light-skinned individuals. Rare in blacks (see Figure 5.13.1).

FIGURE 5.13.1 Iris melanoma.
Other. A localized melanoma is usually >3 mm in diameter at the base and >1 mm in depth with a variable prominent feeder vessel. Can produce a sector cortical cataract, ectropion iridis, spontaneous hyphema, seeding of tumor cells into the anterior chamber, or direct invasion of tumor into the trabecular meshwork and secondary glaucoma. A diffuse melanoma causes progressive darkening of the involved iris, loss of iris crypts, and increased IOP. Focal iris nodules can be present.
Differential Diagnosis
Melanotic Masses
• Nevi: Typically become clinically apparent at puberty, usually flat or minimally elevated (i.e., <1 mm) and uncommonly exceed 3 mm in diameter. Can cause ectropion iridis, sector cortical cataract, or secondary glaucoma. Usually not vascular. More common in the inferior half of the iris. Nevi do not usually grow.
• Tumors of the iris pigment epithelium: Usually black in contrast to melanomas, which are often brown or amelanotic. Found on the posterior aspect of the iris.
Amelanotic Masses
• Metastasis: Grows rapidly. More likely to be multiple or bilateral than melanoma. Frequently liberates cells and produces a pseudohypopyon. Involves the superior and inferior halves of the iris equally.
• Leiomyoma: Transparent and vascular. Difficult to distinguish from an amelanotic melanoma.
• Iris cyst: Unlike melanoma, most transmit light with transillumination. Can arise from the iris pigment epithelium or within the iris stroma. Each with very different clinical features.
• Inflammatory granuloma: Sarcoidosis, tuberculosis, juvenile xanthogranuloma, and others. Often have other signs of inflammation such as keratic precipitates, synechiae, and posterior subcapsular cataracts. A history of iritis or a systemic inflammatory disease may be elicited. See Chapter 12, Uveitis.
Diffuse Lesions
• Congenital iris heterochromia: The darker iris is present at birth or in early childhood. It is nonprogressive and usually is not associated with glaucoma. The iris has a smooth appearance.
• Fuchs heterochromic iridocyclitis: Asymmetry of iris color, mild iritis in the eye with the lighter-colored iris, usually unilateral. Often associated with a cataract or glaucoma. See 12.1, Anterior Uveitis (Iritis/Iridocyclitis).
• Iris nevus syndrome: Corneal edema, peripheral anterior synechiae, iris atrophy, or an irregular pupil can be present along with multiple iris nodules and glaucoma.
• Pigment dispersion: Usually bilateral. The iris is rarely heavily pigmented (although the trabecular meshwork can be), and iris transillumination defects are often present. See 9.10, Pigment Dispersion Syndrome/Pigmentary Glaucoma.
• Hemosiderosis: A dark iris can result after iron breakdown products from old blood deposits on the iris surface. Patients have a history of a traumatic hyphema or vitreous hemorrhage.
• Siderosis from a retained metallic foreign body.
Workup
1. History: Previous cancer, ocular surgery, or trauma? Weight loss? Anorexia?
2. Slit lamp examination: Carefully evaluate the irides. Check IOP.
3. Gonioscopy.
4. Dilated fundus examination using indirect ophthalmoscopy.
5. Transillumination of iris mass (helps differentiate epithelial cysts that transmit light from pigmented lesions that do not).
6. Photograph the lesion and accurately draw it in the chart, including dimensions. Ultrasonographic biomicroscopy and anterior segment optical coherence tomography can be helpful.
Treatment/Follow Up
1. Observe the patient with periodic examinations and photographs every 3 to 12 months, depending on the suspicion of malignancy.
2. Surgical resection is indicated if growth is documented, the tumor interferes with vision, or it produces intractable glaucoma.
3. Diffuse iris melanoma with secondary glaucoma may require enucleation.
NOTE: Avoid filtering surgery for glaucoma associated with possible iris melanoma because of the high risk of tumor dissemination.