Shanon Patel and Conor Durack
6.1 Introduction
Apical periodontitis (AP) is an inflammatory condition that occurs around the root of a tooth. Infection of the root canal system is the etiology of AP, and usually results in destruction of the periapical bone around the root [61, 73, 108].
AP is a common disease, which increases in prevalence with age. Epidemiological studies have reported a prevalence of 7% of teeth, and 70% of individuals with AP [39]. While a provisional diagnosis of acute AP may be confidently diagnosed from its clinical presentation, the diagnosis of chronic AP is usually dependent on radiological signs.
The aim of endodontic treatment is to prevent, or in some cases cure, AP. Whether it is maintenance of pulp vitality, endodontic (re-) treatment or surgical endodontic treatment from diagnosis, management, and ultimately assessment of the outcome of therapy, endodontic treatment is reliant on radiographs [40, 49, 125].
The two core imaging modalities for the radiographic detection and monitoring of apical periodontitis are periapical radiographs and Cone Beam Computed Tomography (CBCT).
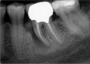
Periapical radiographs are currently the primary tool as the first line for radiographic assessment of the periapical tissues. It is a quick and simple technique to use, and images are relatively easy to interpret. In addition, it has good specificity and high image resolution. The limitations of periapical radiography are the superimposition of overlying anatomy; the 2-dimensional nature of the image being produced; and the geo- metric distortion (Figure 6.1). These factors result in less than ideal sensitivity [93].
The radiation dose generated from a high- resolution, small field-of-view CBCT scan is higher than from a conventional radiograph. However, the continual improvements in CBCT software and hardware result in a gradual reduction in radiation exposure [7]. CBCT gives a more accurate interpretation of the dentoalveolar anatomy as it overcomes the limitations of periapical radiographs. However, the hardware costs (and therefore scans) are significantly higher than conventional radiographs. Moreover, using the scan- ner and interpretation of the resulting scans requires specific training [19].
It is probable that CBCT will become an integral part of the radiographic assessment and management of AP in the near future. This is reflected in the recently published CBCT position statement by the European Society of Endodontology [ESE] [91], and the joint statement by the American Association of Endodontists & American Academy of Oral & Maxillofacial Radiology [AAE/AAOMR] [3]. With this in mind, it seems prudent to describe both the periapical radiographic and CBCT features of AP in this chapter.

Figure 6.1 Geometric distortion. (a) Periapical radiograph of a root treated upper right molar tooth does not reveal anything untoward, (b) however, the change in the bitewing radiograph reveals a deficient crown margin (red arrow).
The application of CBCT into endodontics has resulted in a steady increase in research and publications on the radiological inter- pretation of AP [62, 88, 90, 116].
In this chapter we describe the radiological presentation of healthy and diseased periapical tissues at diagnosis and follow-up of treatment. Differential diagnostics and sources of error are also discussed, as will some aspects of. alternative imaging techniques applied for assessing AP.
6.2 Normal Apical Periodontium
The periodontium comprises the root cementum, the periodontal ligament, and the alveolar bone. The apical periodontium specifically refers to the relationship of these structures to each other at the apex of the root of a tooth. There are a range of radiological features of the root apex, the periodontal ligament and the lamina dura of the alveolar bone, which are considered typical of a normal apical periodontium. These so-called “typical” radiological features are used as a reference standard when assessing the presence, or absence of AP. However, root morphology varies significantly between tooth groups and to a lesser degree between teeth ofthe same group. Furthermore, the interpretation of radiographic images of the apical periodontium is complicated by “noise” created by the superimposition of anatomical structures over the area of interest or area under observation. This makes the definition of the normal radiological features of the apical periodontium difficult when using conventional radiography, resulting in a cor- responding difficulty in diagnosing minor signs of disease.
The structures of the apical periodontium and those anatomical structures in close proximity to the apical periodontium must be identified and evaluated radiographically for abnormal variations when assessing teeth for AP (Figure 6.2).
6.2.1 Root Apex and Pulp Canal Foramen
Apical periodontitis will typically develop and be evident radiographically at the site from which microbial toxins and mediators of inflammation egress into the periodontal ligament space and alveolar bone from an infected pulp. The apical foramen and, to a lesser extent, the ramifications of the pulp are the most common portals of exit of these toxins and inflammatory mediators. The normal radiographic appearance of the tooth apex should therefore be appreciated prior to assessing radiographic images for the presence of disease.

Figure 6.2 Normal apical periodontium. (a) Shortening of the root and blunting of the root end (blue arrow) of tooth 22 following resorption caused orthodontic fixed appliance therapy. The root end of the adjacent tooth 23 (yellow arrow) has a well-rounded, well-defined radiographic appearance typical of a root apex unaffected by disease processes or pressure related resorption. (b) External inflammatory resorption on the apices of the roots of tooth 36 due to an infected necrotic root canal system and apical periodontitis of the tooth. The root apices of tooth 36 have become flattened and uneven in comparison to the root end of tooth 35 (yellow arrow), which is unaffected by apical periodontitis.
The tip of the root apex often deviates at an angle from the long axis of the root [72]. This deviation can be in any direction and will vary, depending in part on the tooth type. In situations where the root tip and the long axis of the root are in alignment, the apical foramen will generally be located more coronal to the radiographic apex. These features have a significant bearing on the radiographic interpretation of the position of the apical foramen.
Conventional radiography: As the apical foramen is not a structure that can typically be seen radiographically, the root apex should be considered the defining landmark in assessing the most likely position of the apical foramen [127].
The apex of a healthy tooth is normally represented radiographically as a rounded, well-defined structure. However, for the rea- sons outlined above, the radiographic apex rarely coincides with the site of the apical foramen, the latter typically being situated more coronal to the former [72].
Resorption of the root apex as a result of orthodontic treatment, trauma or due to chronic AP can alter the shape and there- fore the appearance of the root apex [112]. Blunting of the root end is a typical feature of teeth that have undergone orthodontic tooth movement, while those affected by chronic AP may become flattened or adapt a ragged, uneven appearance. The root ends of teeth that have suffered traumatic injuries may develop any of the changes outlined above. Repair of root tips damaged by resorption can undergo repair with new cementum deposition, but features of the previous tooth destruction generally persist (Figure 6.3).
CBCT: The use of CBCT allows an exact location of the root apex. The course of the root can be followed, and deviations of the apical third of the root in all planes can be traced. The apical foramen can often be iden- tified and related to the apex of the root, especially in cases where the canal is wide. In sclerosed teeth or teeth with narrow canals, the apical foramen may not be identifiable (Figure 6.4). Resorptive processes and their effect on the shape of the root apex can often be readily appreciated [8].

Figure 6.3 Dental trauma with external inflammatory resorption. (a) Periapical radiograph of maxillary central incisor teeth following a traumatic dental injury in which tooth 21 was severely intruded. (b) Within one week tooth 21 had undergone external inflammatory resorption with the development of excavations on the root surface of the tooth and associated radiolucencies in the adjacent bone. The entire root length, including the apical third, was involved. (c) Periapical radiograph of tooth 22 one year after the injury demonstrates resolution of the apical periodontitis and cessation of the resorptive process, although the shape of the root surface has been permanently altered.

Figure 6.4 Apical periodontium. (a) Periapical radiograph of teeth 11, 21 and 22. The yellow arrows indicate the position of the radiographic apices of teeth 11 and 22, note the large periapical radiolucency associated with the 22. (b, c) Sagittal CBCT views of (b) tooth 11 and (c) tooth 22. The yellow arrows indicate the position of the most apical point of the roots of the teeth, which would correspond with the radiographic apices on the conventional radiographs. The position of the apical foramina of the teeth (blue arrows) are located at a more coronal position.
6.2.2 Cementum
Deposition of cementum on the apex of a root occurs throughout life. Further compensatory deposition of cementum on the root apex takes place in response to occlusal wear and attrition. Excessive formation of cementum (hypercementosis) on the root apex sometimes occurs as a result of occlusal stress or in response to pulpal insults.
Conventional radiography: The radiographic features of increased cementum deposition are variable and dependent on the site of the deposition. They can range from an apparent elongation of the root as a result of the deposition of cementum on the root apex, to the formation of a very bulbous root end as a result of the deposition of cementum on the apical third of the root in some or all planes (hypercementosis). The deposited cementum is often more radio-opaque than the adjoining dentine, allowing the differentiation between the two tissues in conventional radiographs. However, this is not always the case and there may be very little evidence of demarcation between the two tissues.
CBCT: CBCT evaluation will permit a more accurate appreciation of the location and distribution of increased cementum deposition or hypercementosis on the affected root or roots.
6.2.3 Periodontal Ligament Space
Conventional radiography: The periodontal ligament space is the soft tissue connecting the dental cementum and the lamina dura of the surrounding bone. The fact that the periodontal ligament is radiolucent and that the bordering structures of the periodontal ligament space are mineralized and relatively radio-dense means that the periodontal ligament space is represented radiographically as a thin, well-defined radiolucency sur- rounding the root of the tooth. The periodontal ligament effectively supports the tooth within the alveolar bone and permits physiological mobility. The width of the periodontal ligament space may increase with increased tooth mobility as might occur in advanced marginal periodontitis or in traumatic occlusion (Figure 6.5).
CBCT: The appearance of the periodontal ligament space is similar when assessed using conventional radiography and CBCT. However, CBCT allows the periodontal ligament space to be observed in all plains and without interference caused by adjacent anatomical structures (Figures 6.6 and 6.7). Indeed there is in vitro and in vivo evidence to suggest that CBCT permits better visibility of both simulated periodontal ligament and natural periodontal ligament spaces when compared to conventional radiography [58, 98].
6.2.4 Lamina Dura
The lamina dura is a term used to describe the bone immediately adjacent to periodontal ligament space. It is a continuation of the cor- tex of the jaw bone, but has multiple openings through which nerves and vessels pass.
Conventional radiography: The lamina dura is generally more radiopaque than the adjacent medullary bone but this may vary. In the absence of significant anatomical noise the lamina dura may appear as a continuous radiopaque border surrounding the root of the tooth. But the perforations for vascular and neural vessels may be so large as to be visible in the radiograph.
CBCT: The appearance of the lamina dura on CBCT is similar to its appearance on con- ventional radiographs. However, due to the 3-dimensional nature of the system, more details are visible on CBCT [98].
6.2.5 Cortical Bone
The maxilla and the mandible are covered by a layer of compact bone known as the cortical plate. The thickness and integrity of the cortical plate of the maxilla and mandible vary regionally. In the maxilla the facial cortical plate is thin as it runs posteriorly from the midline to the disto-buccal root of the first molar, at which point it widens, encasing the buccal aspect of the first and second molars in a thicker cortex. The palatal cortical plate of the maxilla is generally thicker than the facial. However, the palatal cortical plate is thinner in the regions of the molars, particularly the first molar, due to the palatally tip- ping, palatal roots of these teeth.

Figure 6.5 Periodontal ligament space. (a and b) Periapical radiographs of mandibular posterior teeth. The PDL space and lamina dura associated with tooth 45 can be evaluated in the mesio-distal plane. (c-e) CBCT images of the same tooth in the (c) axial, (d) coronal and (e) sagittal planes permit a more objective appreciation of the PDL space and lamina dura associated with the tooth.

Figure 6.6 Periodontal ligament space. (a-e) Sagittal and coronal CBCT slices of the maxillary (top row) and mandibular (bottom row) anterior (a-c) and posterior (d-g) teeth. The slices accurately demonstrate the relationships of the roots of the teeth to the cortical plates as well as the orientation of the teeth within the jaws. Regional variations in jaw thickness and shape can also be readily appreciated.

Figure 6.7 Periodontal ligament space. (a) Periapical radiograph of tooth 36 and 37, demonstrating widening of the PDL space on the mesial roots each tooth (yellow arrows). Both had symptoms of irreversible pulpitis. (b) Periapical radiograph of tooth 37, which is a lone standing tooth and the terminal tooth in the arch. Widening of the PDL space on the mesial aspect of the tooth (pink arrows) is related to traumatic occlusion.
The facial surfaces of the roots of the max- illary teeth are generally in intimate contact with the facial cortical plate, with the notable exception of the lateral incisor, the root of which is usually more palatally inclined. Indeed, apart from lateral incisor, the apices of the maxillary teeth generally touch the facial cortical plate. Furthermore, the integrity of the facial cortical plate is sometimes broken over the roots of some maxillary teeth, resulting in a bony dehiscence, often over the apex of an affected tooth. Less frequently, such a dehiscence may extend from the apex to the marginal periodontium, or anywhere between those points.
The facial cortical plate of the mandible is thin over the incisor teeth. However, the facial cortical plate thickens as it runs posteriorly from the canine to the third molar. The buccal cortical plate is particularly thick over the second and third molars where it forms the external oblique ridge.
The alveolar process of the mandible containing the incisor teeth is very narrow. The alveolar process widens as it runs posteriorly and the alveolar process containing the molar teeth is much wider, despite the presence of the submandibular fossa (depression in the mandible which harbors the submandibular gland).
The lingual cortical plate of the mandible is generally thicker than the facial plate in the incisor, canine and premolar regions. However, in the molar regions the lingual cortical plate is thinner than that on the buccal aspect of the molars.
The facial surfaces of the roots of the mandibular anterior teeth are usually in close contact with the facial cortical plate. The apices of mandibular incisor teeth are some times exposed by breaks in the integrity of the very thin labial plate. Mandibular premolar teeth generally sit closely against the buccal cortical plate, but the relationship is less intimate than between the anterior teeth and the labial cortical plate. Indeed, on occasion, mandibular premolars will be surrounded by medullary bone and will not contact the buccal cortical plate at all. The roots of mandibular molar teeth are more lingually inclined, with the lingual root surfaces and root apices often contacting the lingual cortical plate.
Conventional radiography: An intimate knowledge of the anatomy of the facial skel- eton is required to interpret the presentation of anatomical structures on conventional radiographs, as the true form of the structures is generally confused by the superim- position and compression of adjacent or overlying structures on the radiograph. The relationship of the cortical plate to the roots of teeth cannot be accurately appreciated nor can the thickness of the cortical plate overlying the root apices. The presence of dehis cences in the cortical plate also cannot be identified using conventional radiography.
CBCT: The selection of appropriate CBCT slices allows the thickness of the cortical plate to be measured with precision. In the same way, the cortical plate can be related to the roots of adjacent teeth and the integrity of the cortical plate can be inspected and the presence of dehiscences identified.
6.2.6 Cancellous Bone
The dense, outer cortical bones of the jaws and facial skeleton form a protective layer and encase the enclosed cancellous bone. Cancellous bone is a light porous bone, arranged into a matrix of interspersing bony projections from the cortex of bone spicules called trabeculae (Figure 6.8). The spaces between trabeculae contain vasculature and bone marrow. The arrangement of the tra- beculae gives rise to the typical granular appearance of the bone of the alveolar process surrounding the roots of teeth on radio- graphs. The trabeculae tend to be thicker and horizontally striated in the mandible and the marrow spaces tend to be wider. In the max- illa the trabeculae tend to be thinner and more compact than in the mandible, resulting in typically smaller marrow spaces. However, there is significant inter-individual variation and the organization of the trabeculae, and therefore the radiographic appearance of the trabeculae and marrow cavities at any given site is related to functional stress on the teeth supported by the bone at that site [15, 47, 50].
Conventional radiography: The true definition of the trabeculae and marrow spaces of cancellous bone on periapical radiographs is obscured by the anatomical noise created by the overlying cortical plate, as well as by the compression of adjacent anatomical structures on to the 2-dimensional radiograph. As such, the subtle changes in the organization of the cancellous bone often associated with the development of AP are difficult to identify. On occasion, to the inexperienced clinician, a well-defined, larger marrow space superimposed over a root apex may be misinterpreted as a AP.
CBCT: By choosing the appropriate CBCT slice, the structure of the cancellous bone can be examined free from anatomical noise and related to the roots of the tooth in the area of interest.

Figure 6.8 Periodontal ligament space. (a) Periapical radiograph of the mandibular right first, second and third molars. The predominantly horizontally oriented boney trabeculae (yellow arrows). Wider marrow spaces (blue arrow) may be mistaken for periapical radiolucencies. (b) The trabeculae in the maxilla (pink arrows) are thinner and more compact compared to those in the mandible.
6.2.7 Neighboring Anatomical Structures
An array of normal anatomical structures in the maxilla and mandible may be captured on a radiograph during the radiographic assessment of a particular tooth. The super imposition of these structures over the area of interest may complicate the interpretation of a conventional radiographic image, when assessing for AP [55]. The following is a list of anatomical structures of the jaws, the con- ventional radiographic features of which may be misinterpreted as features of AP.
Incisive canal and foramen. The incisive canal is a channel in the bone extending from the floor of the nasal cavity and opening on to the anterior hard palate, in the midline just posterior to the maxillary central incisors. The canal is a conduit for the ascending greater palatine artery and the descending naso-palatine nerve (Figure 6.9). The incisive canal and foramen is represented radiographically as a radiolucency, which may be heart-shaped, oval, round, or a thin wedge. Superimposition of the incisive canal and/or foramen over the apices of the maxillary incisor teeth may mimic a radiolucency associated with AP in conventional radiographs.
Nasal cavity. The nasal cavity is situated immediately superior to the palatine process of the maxilla (hard palate). The most ante- rior and inferior part of the floor of the nasal cavity is immediately superior to the alveolar process of the maxilla that contains the max- illary incisor teeth. The walls of the nasal cavity are comprised of cortical bone, and the floor of the nasal cavity will manifest radiographically as a radiopaque line in PAs. When projected over the apices of the maxillary anterior teeth, the floor of the nasal cavity may appear as a corticated radiolucency on periapical radiographs.

Figure 6.9 Incisive foramen. (a) Periapical radiograph of teeth 11, 21 and 22. The incisive foramen/canal (yellow arrows) is represented on the radiograph as an elongated radiolucency between teeth 11 and 21. There is a large periapical radiolucency associated with tooth 22 (red arrow). (b) Sagittal CBCT view demonstrating the incisive canal (between yellow arrows) and the incisive foramen (green arrow). (c) Sagittal CBCT view demonstrating the periapical radiolucency associated with tooth 22 (red arrow) and its relationship with the nasal cavity (pink arrow). (d) Coronal CBCT view demonstrating the relationship of the incisive canal (between yellow arrows) to the nasal cavity (pink arrows) and the periapical radiolucency associated with tooth 22 (red arrow).
Tip of the nose. Periapical radiographs of the maxillary anterior teeth may include the tip of the nose, which appears a diffuse radi- opacity over the root apices.
Caninefossa. The canine fossa is a depression on the anterior surface of the maxilla, lateral to the canine eminence. It can mani- fest radiographically as a relative radiolu- cency superimposed over the apices of the maxillary lateral incisor tooth, and may mimic AP.
Maxillary sinus. The maxillary sinus is contained within the body of the maxilla. As an air-filled cavity the sinus is seen radiographically as a radiolucency with its caudal periphery coming in intimate contact with the roots of the molars and frequently the premolar teeth. However, as it is enclosed in cortical bone the border of the sinus appears as a thin radiopaque line or multiple thin radiopaque lines. Folds of cortical bone projecting into the lumen from the sinus borders produce the appearance of multiple radiopaque lines.
The border of the maxillary sinus may appear as a unilocular or bilocular projection over the roots of the maxillary molar and premolar teeth. The corticated rim of the sinus border may be mistaken for the lamina dura associated with adjacent teeth and the body of the sinus may be mistaken for lesions of AP. Furthermore, the presence of a true periapical radiolucency associated with AP, may be masked by the radiolucency of the sinus (Figure 6.10).
Maxillary torus. Maxillary tori are benign bony protuberances, comprised of dense cortical bone and occurring on the alveolar and palatine processes of the maxilla. As they are highly mineralized they stand out as densely radiopaque when captured on conventional radiographs (Figure 6.11). Due to their relative radiodensity, their radiographic manifestation may obscure normal and pathological radiographic features of the periapical area.
Mental foramen. The mental nerve passes through the mental foramen to supply sensory innervation to the lower lip and chin. The mental foramen is generally situated in close proximity to the apical area of the mandibular second premolar and is often located between the first and second premolar teeth and just inferior to the root apices of these teeth (Figure 6.12). However, the exact location is variable. As a bony opening of varying size and shape, the foramen appears radiographically as a radiolucency of varying defi- nition. Depending on the exact site and the projection geometry of the radiograph the mental foramen may be superimposed on the root of a premolar (or less frequently a molar) tooth on a periapical radiograph, mimicking AP. Sometimes the mental foramen is too inferiorly located to be evident on a periapical radiograph.

Figure 6.10 Maxillary sinus. (a) Periapical radiograph of the maxillary right posterior teeth demonstrating the inferior border of the right maxillary sinus represented by a thin, poorly defined radiopaque line (pink arrows). (b) Sagittal CBCT view accurately demonstrating the true dimensions of the maxillary air sinus and its multiple lobes (yellow arrows).

Figure 6.11 Tori. (a, b) Periapical radiographs of the mandibular right posterior teeth. A large mandibular torus can be seen as a well-defined radiopacity projecting over the roots of the 45 and 46 teeth (broken yellow line). (c-d) Periapical radiographs of the maxillary left posterior teeth. A large maxillary torus can be seen as less well defined radiopacity projecting over the roots of the 25 and 26 teeth (broken blue line).

Figure 6.12 Mandibular anatomy. (a-b) Periapical radiographs of mandibular right molar and premolar teeth. The inferior dental nerve canal is represented by parallel, thin, radiopaque lines (red arrows) running in a mesio-distal direction, terminating mesially at the mental foramen, which appears as a well-defined, oval radiolucency (yellow arrow). (c) Sagittal CBCT view of the ID nerve cana. The true course and relationship of the canal can be appreciated and related to apices of the teeth. (d-f) Axial (d), Sagittal (e) and coronal (f) CBCT views demonstrating the position of the mental foramen (yellow arrows) in all planes.
Mandibular canal. The inferior alveolar nerve and inferior alveolar artery run through the body of the mandible in the mandibular canal. The mandibular canal runs from the mandibular foramen, on the medial aspect of the ramus, to the mental foramen where the mental nerve and vessel branches exit. It appears radiographically as a radiolucent channel, sometimes with a contrasting rim. Depending on the vertical (superior-inferior) position of the canal, it may or may not be evident on periapical radiographs of the mandibular posterior teeth. However, when captured on periapical radiographs it will pass close to the apices of the teeth, potentially obscuring the appearance of the periapical structures (Figure 6.12).
Mandibular torus. Bony protuberances of the mandible will present radiographically in a similar fashion to maxillary tori and will have a similar effect on the interpretation of conventional radiographs (Figure 6.11).
6.3 Radiographic Appearance of Apical Periodontitis
6.3.1 Conventional Radiographic Appearance
Established periapical bone destruction associated with apical periodontitis is gen- erally readily identifiable on conventional radiographs. However, incipient apical periodontitis is often much more difficult to detect using this imaging modality due to overlying anatomical noise [11, 62]. Changes in the structure and form of the apical periodontium, particularly the periodontal ligament space, the lamina dura and the trabeculae of the cancellous bone are often early signs of the development of apical periodontitis [52]. A familiarity with the normal radiographic appearance of these structures is therefore fundamental to potentially identifying early changes at the onset of the disease process. While the apical foramen remains the primary portal of exit of infection from the root canal system to the periodontal ligament and alveolar bone, accessory lateral and furcal canals will often provide a conduit for the egress of infection such that periodontitis develops at these sites. Furcal accessory canals are reported to be present in 76% of molars [22].
6.3.2 Incipient Apical Periodontitis on Conventional Radiographs
Subtle alterations in the normal trabecular pattern of the cancellous bone are among the earliest indicators of the development of AP evident on conventional radiographs. The trabeculae begin to show evidence of disruption and disorganization (outside of normal functional modifications) around the apex (or other portal of exit) of the affected tooth (Figure 6.13). The area of trabecular disruption may be diffuse and difficult to demarcate from surrounding healthy tissue or, alternatively, it may be well-defined and easily differentiated from the adjoining bone. [20].
Widening of the periodontal ligament space of an affected tooth is often a feature of incipient AP. However, a widened periodontal ligament is not exclusively associated with infections of endodontic origin and other causes include, but are not restricted to, occlusal trauma, orthodontic trauma, mar- ginal periodontitis, and neurogenic inflammation [23, 97]. Even in healthy teeth unaffected by trauma, a widened periodontal ligament space may be seen on conventional radiographs when the vertical or horizontal angle of exposure is increased i.e. when the paralleling technique is not utilized [13].

Figure 6.13 Incipient periapical bone loss. Periapical radiograph of the non-vital tooth 23. Demineralization of the bone around the apex of tooth 23 resulting in a "shotgun" appearance of the bone in the area (yellow arrows).
A widened periodontal ligament, which is directly related to an endodontic infection will, in the early stages of the disease process, be confined to the area surrounding the primary portal of exit of the infection. The periodontal ligament space adjacent to these areas will be unaffected and there will be a distinct transition between the affected and unaffected sites.
Another early indicator of AP is the disruption of the lamina dura. At the onset of the disease the lamina dura may appear less radio-dense and the continuity of the structure may be disrupted. Such changes in the lamina dura will be limited to the primary portal of exit of the microbes and their toxins. However, as an isolated finding, a breach in the integrity of the lamina dura should be cautiously interpreted. Channels in the lamina dura are necessarily present to permit the passing of vascular and neural supply between the cancellous bone and the tooth. These channels may be evident on some radiographs and not on others. In addition there will be some inter-individual variation in normal lamina dura thickness and density. The exposure angle of radiographs may also have a bearing on the appearance of these features of the lamina dura.
With the progression of AP the trabeculae of the cancellous bone become depleted of minerals and lose structural integrity. They appear thinner and less dense on conventional radiographs and the medullary spaces increase in size. The area of affected cancellous bone may develop a so-called “shotgun” appearance as a result of this apparent permeative bone destruction. This stage, although not always identifiable, represents a progression in the development of AP from the subtle changes in lamina dura and periodontal ligament space outlined above to the development of a clear-cut radiolucency.
Another possible antecedent to the appear- ance of a frank radiolucency in the evolution of AP is the development of condensing osteitis (Figure 6.14). Condensing osteitis is an inflammatory reaction in the alveolar bone around the root or roots of an infected tooth, which results in localized sclerosis of the affected bone. The sclerotic bone is apparent radiographically as a radiopacity, which, in its early stages at least, is confined to the pe iapical area (or area around the associated portal of exit) of the affected root. However, as it develops, the condensing osteitis can expand to involve the bone around unaf- fected roots in the same tooth or adjacent teeth. Furthermore, the area of inflamed bone may extend in an apico-coronal direction to involve bone some distance from the root end. The margins of any lesion of con- densing osteitis may be diffuse or well- defined. The definition, shape, and extent of areas of condensing osteitis are, therefore, variable. The density of the sclerotic bone is also variable and in some cases it may be so dense as to obscure the appearance of the anatomy of the tooth, which it surrounds.

Figure 6.14 Condensing osteitis. (a) Periapical radiograph and (b) sagittal CBCT scan reveals increased radiopacity associated with the mesial root of the mandibular molar tooth, a sign of reactive osteosclerosis (yellow arrow) due to chronic irritation in the 46.
6.3.3 Established Apical Periodontitis on Conventional Radiographs
When sufficient bone destruction has occurred a radiolucency will develop. The development of a periapical radiolucency may be a sequel to the preceding structural changes to the apical periodontium outlined already or it may accompany them. On occasion, when the disease process progresses quickly, the development of a frank periapical radiolucency may be the first radiographic sign of AP. Diagnosis of the disease process when it has developed to this point is less problematic. However, depending on the site of the affected tooth and the exposure angle of the diagnostic radiograph, the superimposition of adjacent anatomical structures may still obscure the bone destruction, such that it is not readily identifiable as a radiolucency.
In order for AP to be detected radiographically a threshold level of bone loss, relative to the surrounding healthy or unaffected bone, must occur. Early ex vivo investigations reported that simulated lesions of AP could not be detected if associated bone destruction was confined to cancellous bone i.e. the cortical bone was unaffected [11, 12, 96, 103]. Other studies of that time demon- strated that AP in the anterior maxilla affecting only the cancellous bone could be radiographically detected [20] even when the cortical bone was spared [105]. It is now generally accepted that the radiographic detection of AP is directly related to the ratio of mineralized to demineralized (caused by the disease process) bone, which itself is a factor of the extent of the disease process, the specific jaw involved, the position of the tooth within the jaw involved, and interindividual variation.
Radiolucencies associated with AP vary in appearance. Their size is variable and related to the extent of the endodontic infection in the affected tooth and the tissue response to the insult presented. Their margins may be well or poorly defined (Figures 6.15 and 16.16). Occasionally, particularly in long standing lesions, the margins may have a corticated appearance. Historically, it was considered that radiographic features of lesions of AP, such as size and the presence and nature of a radio-opaque corticated bor- der were predictors of the histological nature of the lesion [14]. These associations have since been challenged, and a radiopaque rim is no longer regarded as evidence for the presence of a cyst [82, 83, 100].
Due to the variability in the radiographic presentation of AP and the subjectivity of subtle radiographic changes associated with incipient AP, a quantitative scoring system with a reference scale has been developed to improve the objective assessment of AP. The periapical index (PAI) is a scoring system, which uses a visual reference scale for assigning health status to a root [86].

Figure 6.15 Apical periodontitis. The figure shows film PR, centered view (a), mesial shift (b) and distal shift (c) as well as digital PR, centered view (d), mesial shift (e) and distal shift (f). No PR technique detected any periapical lesion associated with the distal root of tooth 46. Histopathological examination of the distal root of tooth 46 (f) showed AP: decalcified root structure with necrotic apical pulp tissue and granulomatous tissue (magnification 4x; H & E staining). Yellow arrow showing area of inflammation with bone resorption, GT, granulation tissue, D: dentine, PDL, periodontal ligament. Reproduced with permission from [62].

Figure 6.16 Apical periodontitis. (a) Radiograph of lower left quadrant in patient with poorly localized symptoms of irreversible pulpitis. (b, c) coronal and sagittal reconstructed CBCT views confirm a periapical radiolucency associated with the mesial (yellow arrow) and distal (red arrow) roots of the lower left second molar tooth.
6.3.4 Appearance of Apical Periodontitis on CBCT
The nature and size of AP is accurately represented by CBCT scans. Any expansion and/ or perforations of cortical bone may be iden- tified and related to clinical findings.
When compared to conventional radiography, a more objective and quantitative appreciation of the presence and extent of bone destruction associated with the disease can be obtained. Condensing osteitis is also much more accurately represented.
6.3.5 Apical Periodontitis Associated with Root-filled Teeth
Apical periodontitis is a dynamic process of bone destruction and remineralization, the ebb and flow of which cannot be appreciated from any single conventional or 3-dimensional radiographic exam. An isolated radiograph of a root-filled tooth with AP, taken at any given juncture in time, will only provide a snapshot of the size of the associated radiolucency at that time and will afford little, if any insight into whether the lesion is stable, healing or expanding. The healing of AP following root canal treatment may take years, even decades, to occur. Although expert consensus guide- lines suggest that periapical lesions persisting four years after treatment are “usually consid- ered to be associated with post-treatment disease” [40], there is no scientifically accepted upper time limit for the healing of AP following endodontic treatment. Indeed, several long-term outcome studies have demonstrated late healing of AP 5-10 years [110], 10-17 years [76, 77], and 20-27 years [75] after treatment. Molven et al. [74] reported that delayed healing in the majority of cases was associated with extrusion of root filling material into the periapical tissues during treatment.
6.4 Healing Characteristics
6.4.1 Healing of Apical Periodontitis After Non-surgical Root Canal Treatment
Very little is known about how the healing process of AP manifests radiographically; the healing timescale is highly variable. There is some evidence that a transient increase in bone density may occur over the first few weeks of healing [84, 85]. However, as outlined previously, radiolucencies associated with AP may partially resolve but ultimately persist for decades after treatment, before completely healing [76, 77, 110]. During healing the radiographic density of the periapical lesion increases as new bone is laid down within it. It is unknown if the bone is deposited concentrically from the lesion margins or if spiculae projecting towards the center of the lesion multiply to fill. If the cortical plate has been perforated, healing commences by the re-establishment of the integrity of the cortical plate and bone depo- sition then proceeds from there towards the center of the lesion [17]. The newly formed bone lacks maturity and may appear less organized than adjacent healthy bone. Eventually, in healed cases the periodontal ligament space and lamina dura will re- establish. Persistent widening of the periodontal ligament space and persistent bony rarefaction associated with excess filling material are radiographic characteristics of the healing process of root-filled teeth. Complete healing may develop with time [76, 110].
6.4.2 Healing after Endodontic Surgery
Healing after endodontic surgery differs from healing following non-surgical treatment in that the bony defect is excavated of granu- lomatous tissue as part of the surgical process, thus allowing immediate bleeding into the cavity and the subsequent formation of a blood clot, which provides a scaffold for new bone formation. The net effect is that healing generally occurs much more quickly following surgery when compared to non-surgical treatment. In order to obtain access to the body of the lesion during surgery, any overlying mineralized tissue is necessarily excavated. As such, the radiolucency appears more pronounced immediately postoperatively when compared to the preoperative sit- uation. When healing occurs, the radiographic appearance is more variable than the healing process following root canal treatment.
In situations where the facial and lingual/ palatal cortical plates have been significantly eroded and cannot be re-established, bone formation commences from the intact lateral walls but the areas of cortical plate destruction are repaired with fibrous tissue, resulting in formation of apical “scar tissue”. The formation of apical scar tissue is classified as “incomplete healing”, but is considered clinically successful healing. The formation of apical scar tissue is characterized by a dimin- ishing radiolucency extending at an angle into the periodontal ligament space. The radiolucency may be positioned asymmetrically around the root apex. Visible bone structure within the radiolucency may or may not be present. Continued healing may see the development of a lamina dura around the root apex, separating the radiolucency from the root end [78]. Scar tissue with similar characteristics may occur on occasion in teeth which have been treated non-surgically but the periapical lesion has caused extensive destruction to the facial and lingual/palatal cortical plates [78].
6.5 Conventional Radiography for Assessment of Apical Periodontitis
The 2-dimensional nature of radiographs, anatomical noise, and geometric distortion limit the accuracy of periapical radiographs to assess radiographic signs of AP).
The use of parallax radiograph views has been suggested to overcome some of the limi- tations of periapical radiographs [40]. Using block dissection and histopathological analysis of the periapical tissues as the reference standard, Kangasingam et al. [62] found that combination of two additional (parallax) images, with mesial and distal horizontal angulations increased the diagnostic accuracy of AP. However, it should be noted that multiple periapical radiographs do not guarantee the identification of all relevant anatomy or signs of disease [10, 70], and may not reveal much more than a single exposure.
Beam-aiming devices increase the likeli- hood of geometrically accurate images [46, 117]. A series of investigations by Forsberg [43-45] concluded that the paralleling tech- nique was more accurate than the bisecting- angle technique for accurately and consistently reproducing apical anatomy.
Over-angulated or under-angulated radiographs (bisecting or paralleling technique) may increase or decrease the size or even result in the disappearance of periapical lesions [11, 13, 57].
Currently, periapical radiography is con- sidered as the imaging technique of choice for the initial radiological assessment. The proceeding sections will describe some imaging techniques which have been used in an attempt to overcome these limitations for assessing AP.
6.6 Advanced Radiographic Techniques for Endodontic Diagnosis
Alternative imaging techniques have been suggested to overcome the limitations of per- iapical radiographs [80, 90].
Tuned Aperture Computed Tomography. Tuned Aperture Computed Tomography (TACT) works on the basis of tomosynthesis [121]. A series of 8-10 radiographic images are exposed at different projection geome- tries using a programmable imaging unit, with specialized software to reconstruct a 3- dimensional data set, which may be viewed slice by slice.
As well as less superimposition of anatomical noise over the area of interest [115, 120], the overall radiation dose of TACT is no greater than 1-2 times that of a periapical radiograph [81]. Additional advantages claimed for this technique include the absence of artefacts resulting from radiation interaction with metallic restorations (see later section on computed tomography). The resolution is reported to be comparable to 2-dimensional radiographs [80].
Magnetic Resonance Imaging (MRI). MRI is a specialized imaging technique which does not use ionizing radiation. It is based on the behavior of hydrogen atoms within a mag- netic field, which is used to create the MR image. Tutton and Goddard [114] claimed that the nature of periapical lesions could be determined as well as the presence, absence, and/or thickening of the cortical bone. Goto et al. [51] compared measurements taken from 3-dimensional reconstructed MRI and computed tomography images of a dry man- dible and hemi-mandible. They concluded that the accuracy of MRI was similar to com- puted tomography. Cotti & Campisi [30] sug- gested that MRI may be useful to assess the nature of endodontic lesions and for planning periapical surgery.
Poor resolution, long scanning times, and high hardware costs mean that access to this type of imaging is only available in dedicated radiology units. Furthermore, specialized training is required to use the hardware and interpret the images.
Ultrasound. Ultrasound is based on the reflection (echoes) of ultrasound waves at the interface between tissues which have different acoustic properties [53].
Several research groups have suggested that ultrasound can differentiate between cysts and granulomas [6, 30, 53]. However, in none of these studies were the apical biopsies removed in toto with the root apex, therefore making it impossible to confirm whether a cystic appearing lesion was a true or pocket cyst. In addition, the lesions were not serially sectioned making accurate histological diag- nosis impossible [99]. The ability of ultrasound to assess the true nature and type (for example, true versus pocket cyst) of periapical lesions is doubtful. Ultrasound is blocked by bone and is therefore useful only for assessing the extent of periapical lesions where there is little or no overlying cortical bone [6].
Computed tomography. Computed tomography (CT) produces 3-dimensional images of an object by taking a series of 2-dimen- sional sectional X-ray images.
Over the last five decades, there have been considerable advances in CT technology, resulting in high, soft, and hard tissue resolution with lower radiation dosages. Current CT scanners are called multi-slice CT (MSCT) scanners and have a linear array of multiple detectors, allowing “multiple slices” to be taken simultaneously, as the X-ray source and detectors within the gantry rotate around the patient, who is simultaneously advanced through the gantry. This results in faster scan times and therefore a reduced radiation exposure to the patient [111, 124].
CT has several other advantages over con- ventional radiography. These include the elimination of anatomical noise and high contrast resolution, allowing differentiation of tissues with less than 1% physical density difference to be distinguished compared to a 10% difference in physical density which is required with conventional radiography [124]. Velvart et al. [118] found that CT could more readily detect periapical radiolucencies and the location of the inferior alveolar nerve compared with periapical radiographs in mandibular posterior teeth scheduled for periapical surgery to the clinical findings at the time of surgery.
CT technology has now become super- seded by Cone Beam Computed Tomography technology in the management of endodontic problems.
Cone Beam Computed Tomography. Cone beam computed tomography (CBCT) or dig- ital volume tomography (DVT) was developed in the late 1990s to produce 3-dimensional scans of the maxillo-facial skeleton at a considerably lower radiation dose than conventional computed tomography (CT) [9, 79]. Its use has grown exponentially in endodontics [92].
With CBCT a 3-dimensional volume of data is acquired in the course of a 180° to 360° single sweep of the extraoral X-ray source and reciprocal sensor which rotate synchronously around the patient's head. The X-ray beam is cone-shaped, and captures a cylindrical or spherical volume of data, described as the field-of-view (FOV). This has the advantage of reducing the patient radiation dose. Small (limited) high-resolution volume CBCT scans are indicated in endodontics.
Sophisticated software processes the collected data into a format that closely resem- bles that produced by medical CT scanners. Reconstructed CBCT images may be dis- played simultaneously in the three orthogonal planes, allowing the clinician to gain a truly 3-dimensional view of the area of interest.
There is now evidence to suggest that adjusting the exposure parameters away from the manufacturer's default settings can result in CBCT images which are still of diagnostic use but at a significantly lower radiation dose [37, 60, 67].
CBCT have several limitations. These include poor spatial and contrast resolution [102, 128]. As well the generation of artefacts (for example, beam hardening and scatter) around highly radio-dense material (for example, enamel, gutta-percha, and metal posts), all these factors may reduce the diagnostic yield of CBCT [21, 41, 65].
6.7 Differential Diagnosis
Although AP is the commonest lesion of the jaws, other lesions be present in the jaws and may be mistaken for AP. The use of advanced imaging techniques such as CBCT and ultra- sound [29] are helpful in the differential diag- nosis. The next section briefly describes the most commonly associated radiolucencies of the jaws.
6.7.1 Concomitant Periodontal Disease
Advanced cases of chronic marginal periodontitis may result in the disease process advancing toward the apical third of the root(s). Radiographically, there would usually be a peri-radicular radiolucency and/or furcation involvement (Figure 6.17). Careful assessment is essential to confirm if the lesion has an endodontic component (perioendo lesion), and this will determine if periodontal and/or endodontic treatment is required to manage the disease process. The reverse process of an apical inflammation spreading or draining coronally along the root may also occur, creating a probable, periodontal pocket-like sinus tract.

Figure 6.17 Vertical root fracture; a "j"-shaped periradicular radiolucency of the mesial aspect of the mesial root indicating a vertical root fracture of the mesial root.
CBCT scan may be required to determine the extent of alveolar bone involvement, and may also aid in the treatment planning.
6.7.2 Vertical Root Fracture
The prevalence ofvertical root fractures (VRF) is higher in endodontically treated teeth than in vital teeth [25, 28]. It has been reported that between 20% and 32% of endodontically treated are extracted due to VRF [24, 27].
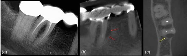
Early (incomplete) VRFs may not be read- ily detectable clinically or radiographically. However, as the VRF becomes more established and infected there will be widening of the periodontal ligament on one aspect of the root, in more advanced cases peri-radic- ular bone loss will be apparent [26]. A VRF will only be detected with conventional radiographs if the X ray beam is parallel to an incomplete fracture line (Figures 6.17 and 16.18). However, this is a rare occur- rence [18].

Figure 6.18 Vertical root fracture. (a) A periapical radiograph of the lower right molar teeth does not reveal anything untoward, however, the (b) sagittal (red arrows) and (c) axial (yellow arrow) CBCT slices reveal a clear radiolucency associated with the mesial root.
In cases where clinical and conventional radiographic examination are inconclusive CBCT may be useful in detecting subtle changes in peri-radicular bone adjacent to the site of a suspected VRF [91].
6.7.3 Osteomyelitis
Osteomyelitis may be a continuation of an AP, when the infection spreads and destroys the bone marrow [64]. It occurs more readily in the mandible. The radiographic appear- ance of the affected bone and periosteum is highly variable and age-related [123]. The adjacent periosteum may lay down new bone (periosteal reaction). Typical features include a moth-eaten (poorly defined) border, islands of radiopaque sequestra of necrotic bone, subperiosteal bone formation beyond the region of necrosis, and sclerosis of surrounding bone.
6.7.4 Occlusal Trauma
Injury to the periodontium due to excessive occlusal forces can result in widening of the periodontal ligament and thickening or dis- continuity of the lamina dura [34]. The effects may be localized if it is associated with (non-) working side occlusal interference(s), or more generalized if there are parafunctional habits, orthodontic treatment, or an existing periodontal disease [59, 119].
6.7.5 Odontogenic Cysts
Radicular cyst. This is the most commonly found cyst in the jaw and usually originates from the epithelial cell rests of Malassez. These cysts most commonly occur in patients between 30 and 50 years old [122], and are associated with non-vital or root treated teeth, the most commonly affected tooth is the maxillary lateral incisor. It is uni- formly radiolucent, round, unilocular, with smooth, well defined and corticated margins [123]. There may be cortical plate expansion, and displacement of adjacent teeth (Figure 6.19).
Odontogenic keratocystic tumor. This is a unilocular or multilocular, benign tumor, which emanates from the dental lamina epi- thelium and is most commonly detected in the posterior body and/or angle of the man- dible or maxillary canine regions. It has well- demarcated b orders, is uniformly radiolucent, and can expand considerably within the can- cellous bone (Figure 6.20).
Dentigerous cyst. Dentigerous cysts are associated with the crowns of unerupted or impacted teeth. The cyst cavity is lined by epithelial cells derived from the reduced enamel epithelium It is usually detected in the second to fourth decade as an incidental radiographic finding and most commonly found in the mandible [36].
The cyst is usually well defined, unilocular and uniformly radiolucent, apart from the associated tooth it envelopes. In some cases neighboring teeth may be displaced and there may be associated resorption of adja- cent roots. Dentigerous cysts can expand extensively bucco-lingual and mesio-distally.

Figure 6.19 Radicular cyst. (a, b) Parallax periapical radiographs reveal a well-defined periapical radiolucency associated with the root treated lower right first molar tooth (green arrow). (c) Sagittal reconstructed CBCT scan reveals a well-defined periapical radiolucency extending from the lower right second premolar to the lower right second molar teeth which has resulted in apical resorption of the root apices. (d) coronal and (e) axial reconstructed CBCT slices reveal marked buccal expansion and perforation of the buccal cortical plate (red arrow). The inferior dental canal (yellow arrow) has been deflected inferiorly.

Figure 6.20 Odontogenic keratocyst. (a) Periapical radiograph reveals a large radiolucency associated with the lower right premolar and root treated molar teeth. (b) Dental panoramic tomograph reveals the extent of the lesion (red arrows). (c-e) Sagittal, coronal and axial reconstructed CBCT slices reveal a large well-defined pseudo-loculated radiolucency in the body of the right mandible extending from lower right incisor to the retromolar, which rises up between the roots. There are signs of external inflammatory resorption associated with the lower right premolar teeth, but not with the root-canal-treated lower right first molar tooth, indicating that the lesion is not inflammatory. The lesion has resulted in thinning out and buccal expansion of the cortices (green arrow), and is in close proximity to the inferior dental nerve (orange arrow).
Lateral periodontal cyst. The origin of this cyst is unclear. It may arise from the epithelial cell rests of Malassez, the dental lamina, or from the reduced enamel epithe- lium. It is usually found in the mandible in the lateral incisor/premolar region. The affected tooth is typically vital, aiding differ- ential diagnosis [104].
Radiographically, periodontal cysts pre- sent as well defined, unilocular radiolucency on the lateral aspect of the affected tooth; there may also be loss of the periodontal ligament and the associated lamina dura [71].
6.7.6 Non-odontogenic Cysts and Tumors
Nasopalatine (incisive) canal cyst. These cysts affects 1% of the population, typically males between 40 and 60 years old. It presents as a round or oval radiolucency with smooth and well-demarcated borders in the midline immediately posterior to the maxillary central incisor teeth [123].
It is uniformly radiolucent, and may cause the adjacent teeth to be displaced as it expands (Figure 6.21). The adjacent teeth normally respond positively to vitality testing, thus aiding differential diagnosis.
Traumatic bone cyst. This lesion is not a true cyst as it lacks an epithelial lining. It is usually detected as an incidental finding in the second decade and occurs more frequently in the mandible. These lesions are usually and irregular, unilocular shape with smooth borders, which arches up between roots of teeth. There is not direct effect on neighboring teeth or expansion of the jaw outline.
6.7.7 Bone-related Lesions
Giant cell granuloma. The etiology for giant cell granulomas include irritation and dental trauma. These lesions may be unilocular or multilocular in nature and have a high recurrence rate after surgical excision. The lesion has well-defined, smooth, and scalloped margins. Larger lesions may have a honey- comb appearance due to the presence of thin trabeculae. Adjacent teeth may be displaced and/or resorbed, and the adjacent jaw may be expanded. Giant cell granulomas may be either non-aggressive or aggressive in nature.
Periapical cemental dysplasia. A condition of unknown etiology, cemental dysplasia is lamentably often misdiagnosed as apical periodontitis. Typically diagnosed in early mid- dle age and in association with lower incisor teeth, it is most common in people of African descent, and occurs in females more often than males. Unless otherwise affected, the associated teeth respond positively to vitality testing.
The lesions are round and approximately 5 mm in diameter, and associated with several teeth. The lesions are usually poorly defined (Figure 6.22). Depending on the stage of the lesion, it may be radiolucent (early), have radiopaque inclusions (intermediate), or be densely radiopaque (late). The lamina dura may not be visible.
6.7.8 Tumors
Ameloblastoma. An aggressive tumor, which can expand in all directions and loosen/displace adjacent teeth and typically detected between the ages of 30-60. It is more likely to be detected in the mandible than the maxilla [123].
Radiographically, it is commonly multiloc- ular with bone trabeculae separating the lesions lobes. Less commonly it has a honey- comb appearance.
Malignant tumors. Malignant tumors are rare. The radiographic appearance is dependent on the type of malignancy and how long it has been present for.
Radiographic features range from widening a poorly defined, non-corticated radiolu- cency around one or more teeth to a poorly defined “moth-eaten” (ragged) non-uniform area of bone destruction.

Figure 6.21 Naso-palatine canal cyst. (a, b) Periapical radiographs reveal attempted accessed cavity in the upper right central incisor. There is a large, well-defined and partially corticated radiolucency spanning UL1, UR1, UR2 and UR3. The lesion is displacing the UR1 (yellow arrow), and there is no evidence of root resorption. (c) Axial and (d) coronal CBCT reconstructed slices reveal lobulated, radiolucent radiolucency with minimal expansion of the cortical plates (red arrows), (e) sagittal view reveal that the radiolucency appears to be merging with the incisive foramen (blue arrow).

Figure 6.22 Periapical cemental dysplasia. (a, b) Early stage: well-defined radiolucencies (green arrows) associated with the all the lower incisor teeth. The teeth test vital, but tooth 32 was misdiagnosed to have apical periodontitis and was root treated. (c, d) Intermediate stage: periapical radiographs of the lower incisor region reveals a poorly defined radiolucency with patchy radiopaque inclusions (red arrows) associated with vital lower incisor teeth.
Resorption of adjacent teeth may be a sign of invasiveness and suggest malignancy. Slower-growing, less aggressive tumors may displace the teeth rather than cause resorption.
6.8 CBCT for Assessment of AP
6.8.1 Diagnosis
Clinical studies have demonstrated 11-39% higher prevalence of AP with CBCT com- pared to periapical radiographs [5, 16, 32, 41, 69, 95]. In addition, 10% of teeth with irre- versible pulpitis had AP when examined by CBCT [4].
The results of these clinical studies have been substantiated by ex vivo experiments in which periapical lesions have been intentionally created, i.e. the periapical bony status is known beforehand. Experimental studies of artificially created periapical lesions of varying sizes in pig mandibles have shown CBCT to be twice as sensitive as digital and conventional radiography [109]. Similar ex vivo studies using human jaws have also found CBCT to be more accurate than periapical radiographs for assessing the presence or absence of periapical lesions [87, 89, 107, 113]. Indeed, the diagnostic accuracy of CBCT has been confirmed in systematic reviews and metaanalysis of ex vivo experiments [66].
The correlation of radiographic and histological characteristics is essential for the distinction of diseased from healthy tissues [48, 62, 63] Apical periodontitis is an inflammatory disease characterized primarily by its cellular infiltrate, and the destruction of bone is a secondary consequence of the inflammation. As there are bony changes in otherwise healthy tissue, which may mimic pathosis, it is essential that the radiographic characteristics of CBCT, as well as PA, exposures be related to histology. An in vivo study in dogs where root canal treatment was done on teeth with induced apical periodontitis confirmed the the accuracy of CBCT with histology as the reference standard [35]. The specificity and positive predictive value (PPV) of radiographs and CBCT were 1, i.e. perfect accuracy for correctly determining the absence of periapical disease. However, the sensitivity of CBCT (0.91) was much higher than periapical radiography (0.77). This was also reflected in the negative predictive values (NPV) for CBCT and periapical radiographs, which were 0.46 and 0.25 respectively. The overall accuracy of CBCT and radiographs in the diagnosis of AP was 0.92 and 0.78 respectively [35].
Data are now emerging from human studies essentially establishing the strong correlation of CBCT features with histological tissue responses. Kanagasingam et al. [62, 63], using similar methodology to Brynolf [20], assessed the accuracy of single radiograph, parallax digital radiographs, and CBCT for diagnosing AP in fresh human cadavers using histology as the gold standard. In total, 86 roots in 67 teeth were analyzed. The specificity of all the imaging systems was excellent; i.e., when a diagnosis of AP was made by a radiographic technique, it was routinely confirmed by histology. However, the sensitivity (ability to detect the disease) of these imaging systems was 0.27, 0.38 and 0.89 for single view radiographs, parallax views, and CBCT respec- tively. The overall accuracy of these imaging systems was 0.63, 0.69, and 0.94 for single- view radiographs, parallax views, and CBCT respectively. Thus CBCT examinations may be used with confidence for detecting both the presence as well as the absence of AP.
A traditional view holds that radicular cysts, which develop from an apical granuloma, may need surgical excision for treatment. Radiographic signs that can differentiate cysts from granulomas thus become important for choice of therapy [31]. It has been suggested that CBCT may be able to differentiate “solid from cystic or cavity type lesions” [106], and even differentiate between granulomas and periapical cysts [54]. Such studies must be viewed with caution as the only way to determine this would be removing the periapical lesion in toto and then serially section the specimen-to date this has not been done.
The increased accuracy of CBCT in the detection of PA lesions has been shown to be beneficial in the diagnosis and management of endodontic problems [33, 38, 101, 116], and also in cases where apical microsurgery is planned [16].
The interpretation of a PA lesion is also dependent of the training, knowledge, and experience of the clinician or radiologist assessing the CBCT scan [88].
The increased accuracy of CBCT for detecting PA lesions does not mean it should be routinely used for diagnosis and management of endodontic disease [66, 92]. Its use should be limited to specific cases where there is a potential overall gain from a diagnostic and/or management of apical periodontitis. The ESE CBCT position statement [91] suggests that in relation to AP, CBCT should be considered 1) in the diagnosis of radiographic signs of PA when there are contradictory symptoms/signs, and 2) for confirmation of non-odontogenic causes of symptoms/signs.
6.8.2 Treatment Outcome
An exciting area in which CBCT may be applied to in endodontics is in determining the outcome of treatment. Outcome is largely defined by the reduction or elimination of chronic AP, or by succeeding in preventing its development. Therefore, all the characteristics documented for CBCT accuracy in detecting AP come into play in follow-up studies of endodontic treatment. CBCT scans should result in a more objective and accurate determination of the prognosis of vital pulp therapy [56] and endodontic treatment [68, 94], and also have an impact on the further management of root treated tooth [33].
The much higher sensitivity of CBCT in detecting AP has as an inescapable conse- quence that the very high rates of healing following treatment of AP and monitored by PA radiographs are significantly reduced when the same teeth are followed by CBCT. Paula-Silva et al. [48] compared the outcome of endodontic treatment in dogs with periapical radiographs and CBCT using histological assessment of block dissections as the gold standard. Six months after endodontic treatment a favorable outcome was detected in 79% of teeth assessed with a periapical radiograph, but was only 35% when CBCT was used, i.e. half of conventional “successes” turned out to be failures. When teeth with preoperative lesions were studied separately, the success rate was even lower (25%) [48].
Liang et al. [68] compared the outcome of endodontic treatment after 2 years with periapical radiographs and CBCT. They found that a favorable outcome was reached in 87% of cases assessed with periapical radiographs and 74% of cases assessed with CBCT images; a much smaller difference than for teeth with lesions.
The higher sensitivity of CBCT in follow- up studies may be more pronounced when molars are assessed [33, 94] A higher failure rate was found for molar teeth assessed with CBCT, which may be attributed to a more complex root canal anatomy being more challenging to disinfect in primary and secondary retreatment, respectively.
Future research may show that periapical tissues which appear to have “healed” on conventional radiographs may still have signs of periapical disease (for example, widened periodontal ligament space, periapical radio- lucency) when imaged using CBCT. This in turn may have implications for decision making and selection criteria when considering (re-)placing coronal restorations on teeth which have previously been endodontically treated and appear to have successfully healed radiographically [1]. Different outcome predictors may be revealed when assessing outcome with CBCT and this may help us understand the healing dynamics of endodontically treated teeth as well as revealing different outcome predictors [126].
The smallest FOV compatible with the clinical situation should be prescribed, as this will result in a lower radiation dose [93].
6.9 Concluding Remarks
Radiology is one of the cornerstones of successful diagnosis and management of AP. An in-depth appreciation of the limitations of conventional radiographs and knowledge of dentoalveolar anatomy is essential for an accurate interpretation of radiographs.
Users of CBCT must be familiar with the relevant position statement for the region,
References
1 FGDP (2004) The Royal College of Surgeons of England. Selection criteria for dental radiography. Good Practice Guidelines. London: FGDP.
2 AAE (2015) AAE and AAOMR Joint Position Statement: Use of Cone Beam Computed Tomography in Endodontics 2015 Update. Oral Surg Oral Med Oral Pathol Oral Radiol 120: 508-512.
3 AAE and AAOMR (2015) AAE and AAOMR Joint Position Statement: Use of Cone Beam Computed Tomography in Endodontics 2015 Update. Oral Surg Oral Med Oral Pathol Oral Radiol 120: 508-512.
4 Abella, F. et al. (2012) Evaluating the periapical status of teeth with irreversible pulpitis by using cone-beam computed tomography scanning and periapical radiographs. JEndod 38: 1588-1591.
5 Abella, F. et al. (2014) An evaluation of the periapical status of teeth with necrotic pulps using periapical radiography and cone-beam computed tomography. Int Endod J 47: 387-396.
6 Aggarwal, V. and Singla, M. (2010) Use of computed tomography scans and ultrasound in differential diagnosis and evaluation of nonsurgical management of periapical lesions. Oral Surg Oral Med Oral Pathol Oral Radiol Endod 109: 917-923.
7 Al-Nuaimi, N. et al. (2016) The detection of simulated periapical lesions in human dry mandibles with cone-beam computed tomography: a dose reduction study. Int Endod J 49: 1095-1104. e.g., the ESE or the AAE/AAOMR CBCT position statements [2, 91], and regularly update their core knowledge on CBCT [19]. It is essential that the radiation dose is kept As Low as Reasonably Achievable (ALARA) when exposing patients to ionizing radiation [42]. Therefore, each radiation exposure must be justified in itself, after which the radiographic view, and the patient radiation dose, must be optimized.
8 Alqerban, A. et al. (2011) Comparison of two cone beam computed tomographic systems versus panoramic imaging for localization of impacted maxillary canines and detection of root resorption. Eur J Orthod 33: 93-102.
9 Arai, Y. et al. (2001) Practical model “3DX” of limited cone-beam X-ray CT for dental use. International Congress Series 1230: 713-718.
10 Barton, D.J. et al. (2003) Tuned-aperture computed tomography versus parallax analog and digital radiographic images in detecting second mesiobuccal canals in maxillary first molars. Oral Surg Oral Med Oral Pathol Oral Radiol Endod 96: 223-228.
11 Bender, I.B. and Seltzer, S. (2003) Roentgenographic and direct observation of experimental lesions in bone: I. 1961. J Endod 29: 702-706; discussion 1.
12 Bender, I.B. and Seltzer, S. (2003) Roentgenographic and direct observation of experimental lesions in bone: II. 1961. J Endod 29: 707-712; discussion 1.
13 Bender, I.B., Seltzer, S., and Soltanoff, W. (1966) Endodontic success - a reappraisal of criteria. 1. Oral Surg Oral Med Oral Pathol 22: 780-789.
14 Bhaskar, S.N. (1966) Oral surgery - oral pathology conference No. 17, Walter Reed Army Medical Center. Periapical lesions - types, incidence, and clinical features. Oral Surg Oral Med Oral Pathol 21: 657-671.
15 Biewener, A.A. et al. (1996) Adaptive changes in trabecular architecture in relation to functional strain patterns and disuse. Bone 19: 1-8.
16 Bornstein, M.M. et al. (2011) Comparison of periapical radiography and limited cone-beam computed tomography in mandibular molars for analysis of anatomical landmarks before apical surgery. J Endod 37: 151-157.
17 Boyne, P.J., Lyon, H.W., and Miller, C.W. (1961) The effects of osseous implant materials on regeneration of alveolar cortex. Oral Surgery, Oral Medicine, Oral Pathology 14: 369-378.
18 Brady, E. et al. (2014) A comparison of cone beam computed tomography and periapical radiography for the detection of vertical root fractures in nonendodontically treated teeth. Int Endod J 47: 735-746.
19 Brown, J. et al. (2014) Basic training requirements for the use of dental CBCT by dentists: a position paper prepared by the European Academy of DentoMaxilloFacial Radiology. Dentomaxillofac Radiol 43: 20130291.
20 Brynolf, I. (1967) A histological and roentgenological study of the periapical region of human upper incisors. Odontologisk revy, Supplement 11: 176s.
21 Bueno, M.R. et al. (2011) Map-reading strategy to diagnose root perforations near metallic intracanal posts by using cone beam computed tomography. J Endod 37: 85-90.
22 Burch, J.G. and Hulen, S. (1974) A study of the presence of accessory foramina and the topography of molar furcations. Oral Surg Oral Med Oral Pathol 38: 451-455.
23 Caliskan, M.K. (1995) Pulpotomy of carious vital teeth with periapical involvement. Int Endod J 28: 172-176.
24 Caplan, D.J. and Weintraub, J.A. (1997) Factors related to loss of root canal filled teeth. J Public Health Dent 57: 31-39.
25 Chan, C.P. et al. (1999) Vertical root fracture in endodontically versus nonendodontically treated teeth: a survey of 315 cases in Chinese patients. Oral Surgery, Oral Medicine, Oral Pathology, Oral Radiology Oral Radiol Endod 87: 504-507.
26 Chavda, R. et al. (2014) Comparing the in vivo diagnostic accuracy of digital periapical radiography with cone-beam computed tomography for the detection of vertical root fracture. J Endod 40: 1524-1529.
27 Chen, S.C. et al. (2008) First untoward events and reasons for tooth extraction after nonsurgical endodontic treatment in Taiwan. JEndod 34: 671-674.
28 Cohen, S., Blanco, L., and Berman, L. (2003) Vertical root fractures: clinical and radiographic diagnosis. J Am Dent Assoc 134: 434-441.
29 Cotti, E. (2010) Advanced techniques for detecting lesions in bone. Dent Clin North Am 54: 215-235.
30 Cotti, E. and Campisi, G. (2004) Advanced radiographic techniques for the detection of lesions in bone. Endodontic Topics 7: 52-72.
31 Cotti, E. et al. (2002) A new technique for the study of periapical bone lesions: ultrasound real time imaging. Int Endod J 35: 148-152.
32 Davies, A. et al. (2015) The detection of periapical pathoses in root filled teeth using single and parallax periapical radiographs versus cone beam computed tomography - a clinical study. Int Endod J 48: 582-592.
33 Davies, A. et al. (2016) The detection of periapical pathoses using digital periapical radiography and cone beam computed tomography in endodontically re-treated teeth - part 2: a 1 year post-treatment follow-up. Int Endod J 49: 623-635.
34 Davies, S.J. et al. (2001) Occlusal considerations in periodontics. Br Dent J 191: 597-604.
35 de Paula-Silva, F.W. et al. (2009) Cone- beam computerized tomographic, radiographic, and histologic evaluation of periapical repair in dogs' post-endodontic treatment. Oral Surg Oral Med Oral Pathol Oral Radiol Endod 108: 796-805.
36 Dunfee, B.L. et al. (2006) Radiologic and pathologic characteristics of benign and malignant lesions of the mandible. Radiographies 26: 1751-1768.
37 Durack, C. et al. (2011) Diagnostic accuracy of small volume cone beam computed tomography and intraoral periapical radiography for the detection of simulated external inflammatory root resorption. Int Endod J 44: 136-147.
38 Ee, J., Fayad, M.I., and Johnson, B.R. (2014) Comparison of endodontic diagnosis and treatment planning decisions using cone- beam volumetric tomography versus periapical radiography. J Endod 40: 910-916.
39 Eriksen, H.M. (2008) Epidemiology of apical periodontitis. in Essential Endodontology: Prevention and Treatment of Apical Periodontitis (ed. D.P.F. 0rstavik and T.R. Pitt Ford), 262-274. Oxford: Wiley.
40 ESE (2006) Quality guidelines for endodontic treatment: consensus report of the European Society of Endodontology. Int Endod J 39: 921-930.
41 Estrela, C. et al. (2008) Accuracy of cone beam computed tomography and panoramic and periapical radiography for detection of apical periodontitis. J Endod 34: 273-279.
42 Farman, A.G. (2005) ALARA still applies. Oral Surg Oral Med Oral Pathol Oral Radiol Endod 100: 395-397.
43 Forsberg, J. (1987) A comparison of the paralleling and bisecting-angle radiographic techniques in endodontics. Int Endod J 20: 177-182.
44 Forsberg, J. (1987) Estimation of the root filling length with the paralleling and bisecting-angle techniques performed by undergraduate students. Int Endod J 20: 282-286.
45 Forsberg, J. (1987) Radiographic reproduction of endodontic “working length" comparing the paralleling and the bisecting-angle techniques. Oral Surg Oral Med Oral Pathol 64: 353-360.
46 Forsberg, J. and Halse, A. (1994) Radiographic simulation of a periapical lesion comparing the paralleling and the bisecting-angle techniques. Int Endod J 27: 133-138.
47 Frost, H.M. (1994) Wolff's Law and bone's structural adaptations to mechanical usage: an overview for clinicians. Angle Orthod 64: 175-188.
48 Garcia de Paula-Silva, F.W. et al. (2009) Outcome of root canal treatment in dogs determined by periapical radiography and cone-beam computed tomography scans. J Endod 35: 723-726.
49 Glickman, G.W. and Pettiette, M.T. (2006) Preparation for treatment. In: Pathways of the Pulp (ed. S. Cohen and K.M. Hargreaves), ch. 5. St Louis, MO: Mosby Elsevier.
50 Goldstein, S.A. et al. (1991) Trabecular bone remodeling: an experimental model. JBiomech 24 Suppl 1: 135-150.
51 Goto, T.K. et al. (2007) The accuracy of 3-dimensional magnetic resonance 3D vibe images of the mandible: an in vitro comparison of magnetic resonance imaging and computed tomography. Oral Surg Oral Med Oral Pathol Oral Radiol Endod 103: 550-559.
52 Grondahl, H.-G. and Huumonen, S. (2004) Radiographic manifestations of periapical inflammatory lesions. Endodontic Topics 8: 55-67.
53 Gundappa, M., Ng, S.Y., and Whaites, E.J. (2006) Comparison of ultrasound, digital and conventional radiography in differentiating periapical lesions. Dentomaxillofac Radiol 35: 326-333.
54 Guo, J. et al. (2013) Evaluation of the reliability and accuracy of using cone-beam computed tomography for diagnosing periapical cysts from granulomas. J Endod 39: 1485-1490.
55 Halstead, C.L. and Hoard, B.C. (1991) Dental radiology and oral pathology. Curr Probl Diagn Radiol 20: 187-235.
56 Hashem, D. et al. (2015) Clinical and radiographic assessment of the efficacy of calcium silicate indirect pulp capping: a randomized controlled clinical trial. J Dent Res 94: 562-568.
57 Huumonen, S. and 0rstavik, D. (2002) Radiological aspects of apical periodontitis. Endodontic Topics 1: 3-25.
58 Jervoe-Storm, P.M. et al. (2010) Comparison of cone-beam computerized tomography and intraoral radiographs for determination of the periodontal ligament in a variable phantom. Oral Surg Oral Med Oral Pathol Oral Radiol Endod 109: e95-101.
59 Jin, L.J. and Cao, C.F. (1992) Clinical diagnosis of trauma from occlusion and its relation with severity of periodontitis. J Clin Periodontol 19: 92-97.
60 Jones, D. et al. (2015) The effect of alteration of the exposure parameters of a cone-beam computed tomographic scan on the diagnosis of simulated horizontal root fractures. J Endod 41: 520-525.
61 Kakekashi, S., Stanley, H.R., and Fitzgerald, R.J. (1965) The effects of surgical exposures of dental pulps in germ-free and conventional laboratory rats. Oral Surg. Oral Med. Oral Pathol 20: 340-349.
62 Kanagasingam, S. et al. (2017) Accuracy of single and parallax film and digital periapical radiographs in diagnosing apical periodontitis - a cadaver study. Int Endod J 50: 427-436.
63 Kanagasingam, S. et al. (2017) Diagnostic accuracy of periapical radiography and cone beam computed tomography in detecting apical periodontitis using histopathological findings as a reference standard. Int Endod J 50: 417-426.
64 Kashima, I. et al. (1990) Diagnostic imaging of diseases affecting the mandible with the use of computed panoramic radiography. Oral Surg Oral Med Oral Pathol 70: 110-116.
65 Krithikadatta, J. et al. (2010) Mandibular first molar having an unusual mesial root canal morphology with contradictory cone-beam computed tomography findings: a case report. J Endod 36: 1712-1716.
66 Kruse, C. et al. (2015) Cone beam computed tomography and periapical lesions: a systematic review analysing studies on diagnostic efficacy by a hierarchical model. Int Endod J 48:815-828.
67 Lennon, S. et al. (2011) Diagnostic accuracy of limited-volume cone-beam computed tomography in the detection of periapical bone loss: 360 degrees scans versus 180 degrees scans. Int Endod J 44: 1118-1127.
68 Liang, Y.H. et al. (2011) Endodontic outcome predictors identified with periapical radiographs and cone-beam computed tomography scans. J Endod 37: 326-331.
69 Lofthag-Hansen, S. et al. (2007) Limited cone-beam CT and intraoral radiography for the diagnosis of periapical pathology. Oral Surg Oral Med Oral Pathol Oral Radiol Endod 103: 114-119.
70 Matherne, R.P. et al. (2008) Use of cone- beam computed tomography to identify root canal systems in vitro. J Endod 34: 87-89.
71 Mendes, R.A. and van der Waal, I. (2006) An unusual clinicoradiographic presentation of a lateral periodontal
cyst - report of two cases. Med Oral Patol Oral Cir Bucal 11: E185-187.
72 Mizutani, T., Ohno, N., and Nakamura, H. (1992) Anatomical study of the root apex in the maxillary anterior teeth. J Endod 18: 344-347.
73 Moller, A.J. et al. (1981) Influence on periapical tissues of indigenous oral bacteria and necrotic pulp tissue in monkeys. Scand J Dent Res 89: 475-484.
74 Molven, O., Halse, A., and Fristad, I. (2002) Long-term reliability and observer comparisons in the radiographic diagnosis of periapical disease. International Endodontic Journal 35: 142-147.
75 Molven, O. et al. (2002) Periapical changes following root-canal treatment observed 20-27 years postoperatively. Int Endod J 35: 784-790.
76 Molven, O. et al. (2002) Periapical changes following root-canal treatment observed 20-27 years postoperatively. International Endodontic Journal 35: 784-790.
77 Molven, O., Halse, A., and Grung, B. (1987) Observer strategy and the radiographic classification of healing after endodontic surgery. Int J Oral Maxillofac Surg 16: 432-439.
78 Molven, O., Halse, A., and Grung, B. (1996) Incomplete healing (scar tissue) after periapical surgery - radiographic findings 8 to 12 years after treatment. J Endod 22: 264-268.
79 Mozzo, P. et al. (1998) A new volumetric CT machine for dental imaging based on the cone-beam technique: preliminary results. Eur Radiol 8: 1558-1564.
80 Nair, M.K. and Nair, U.P. (2007) Digital and advanced imaging in endodontics: a review. J Endod 33: 1-6.
81 Nair, M.K. et al. (1998) The effects of restorative material and location on the detection of simulated recurrent caries. A comparison of dental film, direct digital radiography and tuned aperture computed tomography. Dentomaxillofac Radiol 27: 80-84.
82 Nair, P.N. (1998) New perspectives on radicular cysts: do they heal? International Endodontic Journal 31: 155-160.
83 Nair, P.N. et al. (1999) Persistent periapical radiolucencies of root-filled human teeth, failed endodontic treatments, and periapical scars. Oral Surg Oral Med Oral Pathol Oral Radiol Endod 87: 617-627.
84 0rstavik, D. (1991) Radiographic evaluation of apical periodontitis and endodontic treatment results: a computer approach. International Dental Journal 41: 89-98.
85 0rstavik, D. et al. (1990) Image analysis of endodontic radiographs: digital subtraction and quantitative densitometry. Endodontics and Dental Traumatology 6: 6-11.
86 0rstavik, D., Kerekes, K., and Eriksen, H.M. (1986) The periapical index: a scoring system for radiographic assessment of apical periodontitis. Endod Dent Traumatol 2: 20-34.
87 Ozen, T. et al. (2009) Interpretation of chemically created periapical lesions using two different dental cone-beam computerized tomography units, an intraoral digital sensor, and conventional film. Oral Surg Oral Med Oral Pathol Oral Radiol Endod 107: 426-432.
88 Parker, J.M. et al. (2017) Cone-beam computed tomography uses in clinical endodontics: observer variability in detecting periapical lesions. J Endod 43: 184-187.
89 Patel, S. et al. (2009) Detection of periapical bone defects in human jaws using cone beam computed tomography and intraoral radiography. Int Endod J 42: 507-515.
90 Patel, S. et al. (2009) New dimensions in endodontic imaging: part 1. Conventional and alternative radiographic systems. Int Endod J 42: 447-462.
91 Patel, S. et al. (2019) European Society of Endodontology position statement: the use of CBCT in endodontics. Int Endod J doi:10.1111/iej.13187.
92 Patel, S. et al. (2015) Cone beam computed tomography in endodontics - a review. Int Endod J 48: 3-15.
93 Patel, S. and Horner, K. (2009) The use of cone beam computed tomography in endodontics. Int Endod J 42: 755-756.
94 Patel, S. et al. (2012) The detection of periapical pathosis using digital periapical radiography and cone beam computed tomography - part 2: a 1-year post-treatment follow-up. Int Endod J 45: 711-723.
95 Patel, S. et al. (2012) The detection of periapical pathosis using periapical radiography and cone beam computed tomography - part 1: pre-operative status. International Endodontic Journal 45: 702-710.
96 Pauls, V. and Trott, J.R. (1966) A radiological study of experimentally produced lesions in bone. Dent Pract Dent Rec 16: 254-258.
97 Pope, O., Sathorn, C., and Parashos, P. (2014) A comparative investigation of cone-beam computed tomography and periapical radiography in the diagnosis of a healthy periapex. J Endod 40: 360-365.
98 Prakash, N. et al. (2015) Visibility of lamina dura and periodontal space on periapical radiographs and its comparison with cone beam computed tomography. Contemp Clin Dent 6: 21-25.
99 Ramachandran Nair, P.N., Pajarola, G., and Schroeder, H.E. (1996) Types and incidence of human periapical lesions obtained with extracted teeth. Oral Surg Oral Med Oral Pathol Oral Radiol Endod 81: 93-102.
100 Ricucci, D., Mannocci, F., and Ford, T.R. (2006) A study of periapical lesions correlating the presence of a radiopaque lamina with histological findings. Oral Surg Oral Med Oral Pathol Oral Radiol Endod 101: 389-394.
101 Rodriguez, G. et al. (2017) Influence of Cone-beam Computed Tomography in Clinical Decision Making among Specialists. J Endod 43: 194-199.
102 Scarfe, W.C. et al. (2009) Use of cone beam computed tomography in endodontics. Int J Dent 2009: 634567.
103 Schwartz, S.F. and Foster, J.K., Jr. (1971) Roentgenographic interpretation of experimentally produced bony lesions. I. Oral Surg Oral Med Oral Pathol 32: 606-612.
104 Scuibba, J.J., Fantasia, J.E., and Kahn, L.B. (2001) Tumours and cysts of the jaws. In: Atlas of Tumour Pathology (ed. J. Rosai and L. Sobin). Washington, DC: Armed Forces Institute of Pathology.
105 Shoha, R.R., Dowson, J., and Richards, A.G. (1974) Radiographic interpretation of experimentally produced bony lesions. Oral Surg Oral Med Oral Pathol 38: 294-303.
106 Simon, J.H. et al. (2006) Differential diagnosis of large periapical lesions using cone-beam computed tomography measurements and biopsy. J Endod 32: 833-837.
107 Sogur, E. et al. (2009) Detectability of chemically induced periapical lesions by limited cone beam computed tomography, intra-oral digital and conventional film radiography. Dentomaxillofac Radiol 38: 458-464.
108 Stashenko, P. and Yu, S.M. (1989) T helper and T suppressor cell reversal during the development of induced rat periapical lesions. J Dent Res 68: 830-834.
109 Stavropoulos, A. and Wenzel, A. (2007) Accuracy of cone beam dental CT, intraoral digital and conventional film radiography for the detection of periapical lesions. An ex vivo study in pig jaws. Clin Oral Investig 11: 101-106.
110 Strindberg, L. (1956) The dependence of the results of pulp therapy on certain factors. Acta Odontol Scand 14 (Suppl 21): 1-175.
111 Sukovic, P. (2003) Cone beam computed tomography in craniofacial imaging. Orthod Craniofac Res 6 Suppl 1: 31-36; discussion 179-182.
112 Tronstad, L. (1988) Root resorption - etiology, terminology and clinical manifestations. Endod Dent Traumatol 4: 241-252.
113 Tsai, P. et al. (2012) Accuracy of cone- beam computed tomography and periapical radiography in detecting small periapical lesions. J Endod 38: 965-970.
114 Tutton, L.M. and Goddard, P.R. (2002) MRI of the teeth. Br J Radiol 75: 552-562.
115 Tyndall, D.A. et al. (1997) TACT imaging of primary caries. Oral Surg Oral Med Oral Pathol Oral Radiol Endod 84: 214-225.
116 Uraba, S. et al. (2016) Ability of cone- beam computed tomography to detect periapical lesions that were not detected by periapical radiography: a retrospective assessment according to tooth group. J Endod 42: 1186-1190.
117 Vande Voorde, H.E. and Bjorndahl, A.M. (1969) Estimating endodontic “working length" with paralleling radiographs. Oral Surg Oral Med Oral Pathol 27: 106-110.
118 Velvart, P., Hecker, H., and Tillinger, G. (2001) Detection of the apical lesion and the mandibular canal in conventional radiography and computed tomography. Oral Surg Oral Med Oral Pathol Oral Radiol Endod 92: 682-688.
119 Walton, G. and Heasman, P. (1998) The role of occlusion in periodontal disease. Dent Update 25: 209-210: 212-214, 216.
120 Webber, R.L. et al. (1996) Comparison of film, direct digital, and tuned-aperture computed tomography images to identify the location of crestal defects around endosseous titanium implants. Oral Surg Oral Med Oral Pathol Oral Radiol Endod 81: 480-90.
121 Webber, R.L. and Messura, J.K. (1999) An in vivo comparison of diagnostic information obtained from tuned- aperture computed tomography and conventional dental radiographic imaging modalities. Oral Surg Oral Med Oral Pathol Oral Radiol Endod 88: 239-247.
122 Weber, A.L. (1993) Imaging of cysts and odontogenic tumors of the jaw. Definition and classification. Radiol Clin North Am 31: 101-120.
123 Whaites, E. (2007) Differential diagnosis of radiolucent lesions of the jaws. In: Essentials of Dental Radiology and Radiography (ed. E. Whaites), 329-354. Edinburgh: Churchill Livingston Elsevier.
124 White, S. and Pharaoh, M. (2014) Other imaging modalities. In: Oral Radiology: Principles and Interpretation (ed. S. White and, M. Pharaoh), 229-249. St Louis, MO: Mosby.
125 Wu, M.K., Shemesh, H., and Wesselink, P.R. (2009) Limitations of previously published systematic reviews evaluating the outcome of endodontic treatment. International Endodontic Journal 42: 656-666.
126 Wu, M.K., Wesselink, P., and Shemesh, H. (2011) New terms for categorizing the outcome of root canal treatment. Int Endod J 44: 1079-1080.
127 Wu, M.K., Wesselink, P.R., and Walton, R.E. (2000) Apical terminus location of root canal treatment procedures. Oral Surg Oral Med Oral Pathol Oral Radiol Endod 89: 99-103.
128 Yamamoto, K. et al. (2003) Development of dento-maxillofacial cone beam X-ray computed tomography system. Orthod Craniofac Res 6 Suppl 1: 160-162.