Arun Sayal
Orthopedic Emergencies, ed. Michael C. Bond, Andrew D. Perron, and Michael K. Abraham. Published by Cambridge University Press. © Cambridge University Press 2013.
Knee injuries – general approach
Key facts
· With its location between two long bones, the knee is exposed to significant forces in different planes (axial, anterior/posterior, medial/lateral, and rotatory)
· Injuries range from minor soft tissue injuries to dislocations with limb-threatening arterial injuries
· High-energy forces are often responsible for the more serious injuries; but for certain groups (e.g., elderly or morbidly obese), serious injury can be seen with a relatively low-energy mechanism
· Because of the limitations of the ED assessment, the suspected discharge diagnosis is often unconfirmed, and close follow-up is required to confirm the diagnosis, monitor symptoms and guide further management
· Important goals of the ED knee assessment are to:
o Ensure proper anatomic alignment
o Rule out an occult knee dislocation
o Rule out a fracture around the knee
o Rule out an extensor mechanism injury
· ED follow-up is guided by the judgement of the clinician and local orthopedic resources/preferences
PEARL: Fifty percent of knee dislocations will spontaneously reduce before the patient is evaluated in the ED.
Clinical presentation
· The history is often the most important part of the knee examination – particularly the patient’s age and the exact mechanism of injury
· Other key points on history include: the knee “giving way” or feeling a “pop”, events post-injury, presence and timing of swelling, previous injury (to either knee)
· Immediate swelling (within an hour or two) is a hemarthrosis; common causes include an anterior cruciate ligament (ACL) tear and fracture
· Swelling that is delayed (6–12 hours after injury) is usually inflammatory and is often seen with meniscal injuries, capsular stretches, and other less severe soft-tissue injuries
· Always consider that pain in the knee (especially distal anterior/medial thigh) can be referred from the hip or back – such pain without tenderness should prompt a search for a more proximal cause
· Many important aspects of the history are noticed only days after the injury and therefore are unavailable to the clinician in the ED (e.g., swelling with activity, pain with squatting, intermittent locking or clicking, sense of the knee “giving way” with walking, etc
Physical examination
· Physical exam of the acutely injured knee in the ED is often compromised by acute pain and swelling
· An organized approach to the physical exam helps recognize those patients that need orthopedic consultation (timing of the referral based on the diagnosis)
· Proper assessment requires the patient to be lying on a bed (not sitting in a chair) with the distal thigh and knee fully visualized
· The opposite knee should routinely be inspected and examined for comparison
· A “Look, Feel, Move” approach helps to remember important aspects of the knee exam
· “Look”
o To ensure the skin is intact – rule out the possibility of an open fracture
o For alignment – knee or patellar dislocations will be clinically apparent (beware that many of these spontaneously reduce before arrival at the ED)
o For swelling
§ Large effusions are noted by loss of the “dimple” on the medial side of the knee
§ Mid-sized effusions can be detected by patellar balottement (where one hand compresses the patella medially, inferiorly and laterally; while the other hand pushes posteriorly on the patella, testing for patellar balottement or cushioning – compare to the opposite side)
§ Small effusions are detected with a fluid-bulge sign (milk up the medial side of the knee; then down the lateral side, looking for a medial fluid “bulge”)
· “Feel”
o For warmth and temperature difference, and point(s) of maximal tenderness – specifically palpate for tenderness:
§ Anteriorly – at the patella, distal quadriceps, patellar tendon, tibial tuberosity
§ Medially – at the medial femoral condyle, medial joint line, proximal medial tibia
§ Laterally – lateral femoral condyle, lateral joint line, proximal fibula
o Distal neurovascular assessment – any vascular compromise is an orthopedic emergency
· “Move”
o Range of motion (active and passive) – assess if the knee reaches full extension
o Both passive and active straight leg raise with the patient lying supine
o An important part of the knee examination is to ensure the extensor mechanism is intact
§ If equivocal, can repeat active knee extension with the patient sitting over the side of the bed
· As indicated, special tests may be performed to assess for injury to the main knee ligaments – (anterior cruciate, posterior cruciate, medial collateral and lateral collateral)
o Anterior cruciate ligament (ACL): Lachman test (flex the knee 20–30° and attempt to displace the tibia anteriorly on the femur) and anterior drawer (at 90° of knee flexion, attempt to displace the tibia anteriorly on the femur)
o Posterior cruciate ligament (PCL): posterior drawer (at 90° of knee flexion, attempt to displace the tibia posteriorly on the femur) and posterior sag sign (with the patient supine, knees flexed and feet on the bed – when viewed from the side, the proximal tibia of the affected knee sags posteriorly)
o Medial collateral ligament (MCL): Valgus stress (flex the knee 20–30° and apply to the lateral joint line a medially directed force)
o Lateral collateral ligament (LCL): Varus stress (flex the knee 20–30° and apply to the medial joint line a laterally directed force)
PEARL: If laxity is found in testing three of the four knee ligaments, then a knee dislocation should be assumed to have occurred.
PEARL: Ligament stress testing in the ED is often compromised by pain and swelling causing muscle spasm, making ligament testing less reliable in the acute setting.
Other special knee tests in the ED
· Patellar apprehension test: With the knee extended and the quadriceps relaxed, apply to the medial side of the patella a laterally directed force. A reflexive quadriceps contraction or facial grimace is abnormal for meniscalpathology (more difficult to perform in the acutely injured knee)
· Apley’s test: Flex the knee 90°; examiner pushes up on the foot (axial compression to the tibia); pain with external rotation of the foot suggests medial meniscus pathology; pain with internal rotation of the foot suggests lateral meniscus pathology
· McMurray’s test: Flex the knee 45°; combine valgus stress, external rotation and extension – a painful ‘click’ suggests a medial meniscal tear; with a varus stress, internal rotation and extension – a painful ‘click’ suggests lateral meniscal tear
· Thessaly’s test: Patient stands on affected leg with the knee flexed at 20°; then rotates the knee and body, internally and externally, three times. Patients with suspected meniscal tears will experience joint-line discomfort
· External rotation dial test: For post-traumatic lateral knee pain and posterolateral corner injuries (PLC); with the patient prone, test external rotation of the tibia at both 30° and 90° of knee flexion. A positive test is > 10° difference in external rotation compared to the opposite side
Diagnostic testing
· Plain knee radiographs – only
7% in the ED are diagnostic
· Ottawa knee rules and Pittsburgh knee rules – both are clinical decision rules that can reduce the number of ED radiographs, reduce ED wait times, and reduce costs. Pittsburgh knee rules may have better specificity
· Ottawa knee rules: Radiographs of the knee are indicated if any of the following are noted:
o Age > 55 years
o Inability to flex 90°
o Isolated tenderness of the patella
o Tenderness at the head of the fibula
o Inability to walk four steps both immediately after injury and in the ED
· Pittsburgh knee rules
o Fall or blunt trauma injury to knee plus:
o Either age < 12 years or > 50 years
o Inability to walk four steps in the ED
· The sensitivity of knee radiographs is not 100%
· Radiographic occult fractures can occur around the knee
o Particularly small avulsion fractures, osteochondral lesions, patellar fractures and subtle, undisplaced tibial plateau fractures
· Oblique views can increase the sensitivity for detecting a fracture
· A “sunrise” or “skyline” view can increase the sensitivity for a patellar fracture (Figure 4.1)
PEARL: Ottawa and Pittsburgh knee rules can significantly reduce the number of radiographs needed in patients presenting with knee pain.
· A lipohemarthrosis is a fat–fluid level that may be seen on a lateral radiograph; its presence is associated with an intra-articular fracture – even if the fracture is not seen on radiograph (the fat comes from the bone marrow) (Figure 4.2)
· A fabella is a small sesamoid bone found in the lateral head of the gastrocnemius; it is a normal variant and is rarely symptomatic
· Advanced knee imaging in the ED:
o Computed tomography (CT) of the knee is uncommonly required by the ED provider – consultants may request CT imaging in the ED to define more clearly fracture patterns and treatment plans
o CT angiograms or arteriograms may be emergently indicated in select knee dislocation cases
o Magnetic resonance imagery (MRI) for acute knee injuries is rarely required by the ED provider, though may be requested by the physician providing follow-up care as an outpatient

Figure 4.1 “Sunrise” or “skyline” view: Additional view that can increase sensitivity of the radiograph for patellar fractures. Here a fracture is noted. (Image courtesy of Arun Sayal, MD.)

Figure 4.2 Lipohemarthrosis. White arrow shows “fat–fluid line” (fat on top) – associated with an intra-articular fracture. (Image courtesy of Arun Sayal, MD.)
Treatment
· The specific diagnosis of the acutely injured knee may be suspected, but often remains unconfirmed after ED assessment
· For the acutely injured knee that is anatomically aligned and with negative radiographs (if done), management is based on the clinical suspicion of the ED provider
· In the rare instance where a knee dislocation is suspected, then immobilization in 20–30°of flexion and immediate orthopedic consultation in the ED is indicated
· When an occult, non-displaced fracture is suspected, then management should include immobilization in
30° of flexion, crutches, non-weight-bearing status, and follow-up with orthopedic surgery within a few days. Though not absolutely indicated, local practice patterns may elect to confirm the presence or absence of a fracture in the ED with advanced imaging (CT)
· Most commonly, a “soft tissue injury” is diagnosed. In these cases, follow-up should be arranged to confirm the diagnosis, ensure clinical improvement, and guide further management
· Relatively minor soft tissue injuries can weight bear as tolerated, should avoid returning to sports, and can typically be followed up by a primary care physician within a week
· For more significant soft tissue injuries (ligament, meniscal, etc.), ED management depends on local referral patterns and consultant preferences
· One ED strategy includes close follow-up with ice, compression, ROM exercises, protected weight-bearing as tolerated, crutches as needed, and immobilization only if needed – this reduces the incidence of stiffness and atrophy that often follow immobilization of the knee
· However, some orthopedic consultants may prefer immobilization and non-weight-bearing status at ED discharge with close follow-up
· Follow-up arrangements are determined by multiple factors including provisional diagnosis, consultant preferences, patient’s athletic demands, access to care, age, and co-morbidities
Prognosis
· Prognosis of knee injuries in the ED can vary from minor injuries that recover fully and quickly, to injuries that may never return to baseline function and are destined to have operative management and/or premature osteoarthritis
· In appropriate patients, encouraging range of motion exercises and allowing weight-bearing as tolerated reduces the complications of stiffness and weakness that often accompany knee immobilization
Knee dislocations
Key facts
· Knee dislocations are an orthopedic emergency
· It is a rare but potentially devastating injury that must be admitted and monitored closely by orthopedic specialists
· Mechanism varies from high-velocity dislocations (e.g., pedestrian struck) to low-velocity dislocations in susceptible individuals (e.g., morbidly obese individual stepping down off a curb)
· The popliteal artery is tethered proximally and distally as it passes behind the knee; as such, an arterial injury can be seen with any knee dislocation (up to 30% in all dislocations; up to 50% in anterior–posterior dislocations)
· Common peroneal nerve injury (“drop foot”) found in
25% of dislocations, especially with lateral dislocations
· Initial ED presentation of arterial injury varies – the limb can be pulseless, may have diminished pulses, or may have normal pulses. ED providers must have a high index of suspicion and rule out a dislocated knee since these patients need to have their vascular status closely monitored
· An ankle brachial index (ABI) may help guide management in some cases
Clinical presentation
· High-energy mechanisms are most commonly implicated – motor vehicle crash (MVC), pedestrian struck, high-velocity sports, etc. (Figure 4.3)
· May also be seen in susceptible individuals with relatively low-velocity injuries – morbidly obese with twisting knee injuries
· In morbidly obese patients, the dislocation may not be as clinically apparent and only detected on radiographs (Figure 4.4A, B). If the MCL is completely torn, then the joint effusion can extravasate medially and the knee may not appear as swollen
· Passive straight leg raise – gross hyperextension can indicate an occult knee dislocation
· Typically, with acute knee ligament injuries, gross laxity is not seen in the ED owing to acute pain and swelling
· Even though acute ligament testing in the ED is less sensitive, it must be performed to ensure the patient has not suffered a knee dislocation that has spontaneously reduced
· If, on ED assessment, three out of four ligament laxity is noted, then a knee dislocation must be presumed
· Assess through distal neurovascular examination for foot drop, color, temperature, refill, etc
· Pulselessness at any time (pre-reduction or post-reduction) requires an emergent vascular consultation
· Ankle brachial index may be useful to predict vascular complications
o ABI is the ratio of the doppler blood pressure at the ankle (use the higher reading of dorsalis pedis and posterior tibial artery) and the brachial artery
o An ABI of > 0.9 is reassuring; < 0.9 is associated with increased risk of vascular complications; you can compare the value to the contralateral leg
· Assess for compartment syndrome of the lower leg (see Chapter 8)
PEARL: If three out of four ligaments are unstable on knee examination, the diagnosis is a knee dislocation until proven otherwise.

Figure 4.3 Lateral knee dislocation during a soccer game. (Image courtesy of Arun Sayal, MD.)

Figure 4.4 Antero-medial knee dislocation. In an obese patient, this can be occult both on history (low velocity) and on physical examination when assessing for alignment. A: AP view. B: Lateral view. (Images courtesy of Arun Sayal, MD.)
Diagnostic testing
· Plain radiographs – diagnostic if the joint is still subluxed/dislocated (Figure 4.5 A, B)
· May be normal if reduced already
· May see associated fractures of the femur or tibia, (including avulsion fractures)

Figure 4.5 Lateral knee dislocation compared to an anterior/posterior knee dislocation, a lateral dislocation is more likely to have a common peroneal nerve palsy, and less likely to have an arterial injury, though both complications can occur with any knee dislocation. A: AP view. B: Lateral view. (Images courtesy of Arun Sayal, MD.)
Treatment (Table 4.1)
· All patients with a documented or suspected knee dislocation require referral to orthopedics and admission
· If the joint remains subluxed or dislocated, immediate reduction is indicated
· Typically, a knee dislocation is so unstable that it reduces fairly easily with gentle traction and repositioning (the same reason why knee dislocations often reduce before they get to the ED)
· Occasionally, soft tissue may be interposed and make the knee irreducible – this warrants emergent referral for open reduction
· After reduction, recheck and document neurovascular status and apply a knee immobilizer (preferably removable) in
20° of flexion (as full extension can result in posterior subluxation)
· Obtain radiographs post reduction to ensure anatomic alignment
· In the past, angiography was recommended for all cases of knee dislocation
· A selective approach to angiography is now favored by many, with indications based on the vascular assessment
· If definite signs of arterial injury exist (pulseless, expanding popliteal hematoma, cold, white limb, etc.) – then vascular and orthopedic surgery consultations are indicated and the patient should go directly to the operating room
· If signs of possible arterial injury exist (decreased pulses, cooler limb, delayed refill, etc.), then both immediate referral and angiography are indicated
· If no sign of arterial injury (normal pulses, warm foot, normal refill), then orthopedic referral is indicated for admission to a facility with vascular surgery and the patient should have frequent neurovascular assessments
· Evidence of compartment syndrome warrants emergent referral for fasciotomies
PEARL: Knee dislocations are rare but commonly missed (especially if the dislocation spontaneously reduces). The ED provider must consider the diagnosis of a spontaneously reduced knee dislocation in patients with significant knee injuries.
Table 4.1 Management of vascular injuries in knee dislocations.

Prognosis
· A knee dislocation is a potentially devastating knee injury
· Vascular complications are more commonly seen with dislocations in the anterior–posterior plane
· Nerve palsies are more commonly seen with dislocations in the lateral plane
· Neurovascular complications can occur with dislocations in any direction
· If vascular injury has occurred, time to OR is predictive of amputation rate: < 8 hours, approximately 15% amputate rate; > 8 hours, approximately 80% amputated
·
1/4 may suffer peroneal nerve damage – majority of which are permanent
· Stiffness and instability are common complications
· Heterotopic ossification may also occur
· Compartment syndrome is common, especially if there is a concomitant arterial injury
· Complete recovery to the patient’s baseline (pre-dislocation) level of activity is highly unlikely
Meniscal injuries of the knee
Key facts
· Menisci are important cartilaginous structures involved in weight distribution and knee stability
· As patients age, degeneration causes the menisci to become thinner and more susceptible to injury
· The “typical” history for a meniscal injury also varies based on patient age
· Many meniscal injuries will heal with conservative management
· Urgent arthroscopy is recommended if the knee is locked (lacks full extension)
Clinical presentation
· In young adults, the mechanism of injury is usually a significant twisting injury with pronounced pain
· In older patients, the mechanism of injury is often a minor twist (e.g., getting up from a squat) and the initial pain can vary
· Meniscal injuries often present with swelling over hours, indicative of inflammation
· Tears in degenerative menisci often have less swelling
· Peripheral rim tears may present with a fairly acute hemarthrosis – rim tears are far less common than central tears
· Other symptoms suggestive of meniscal pathology include pain with squatting, twisting or stairs; swelling with activity, and painful clicking
Physical examination
· The physical examination usually reveals:
o A joint effusion
o Joint-line tenderness (typically medial, though often lateral)
· Pain with full flexion or extension
· Joint effusions can present with “fluid bulge” sign for smaller effusions or “patellar ballottement” for larger ones
· A variety of tests can be performed to look for meniscal pathology – Apley’s test, Thessaly’s test, McMurray’s test, etc. – many of these are difficult to perform in the acutely injured knee
· It is important to rule out a “locked” knee (i.e., a knee that lacks full extension) since a locked knee is an indication for urgent arthroscopy (Figure 4.6)
· A few important points regarding a locked knee:
o Compare to the opposite side (younger patients often hyperextend; so an injured knee that can extend to 0° may actually be “locked”)
o Acute pain and swelling may also prevent full extension – it is not always mechanical
o Acute mechanical causes of a locked knee include a bucket-handle tear of the meniscus, the stump of the ACL, or a loose body (which often presents with intermittent locking)
o One clinical tip to detect more subtle cases of locking (see Figure 4.6): Lie the patient prone, with the knees near the end of the bed and the feet hanging over; a persistent elevated heel height on the affected side can indicate a difference in knee extension
PEARL: Failure to extend the knee fully can be a sign of a “locked knee.” If caused by a mechanical problem, this is an indication for an urgent arthroscopy. Pain and swelling may also prevent full extension. If a “locked knee” is suspected in the ED, then close follow-up needs to be arranged to distinguish surgical from non-surgical causes.

Figure 4.6 Locked knee. The far (right) heel is elevated compared to the near heel – indicating the right knee does not fully extend. If pushing down on the knee results in a hard, “spring-like” recoil, this suggests a mechanical block (i.e., a true “locked knee”). If the endpoint is soft, and the knee slowly extends further, this suggests pain and swelling may be responsible for the lack of full extension. Subtle cases of a locked knee can be detected by this maneuver. (Image courtesy of Arun Sayal, MD.)
Diagnostic testing
· Plain radiographs are of limited value in the ED assessment of meniscal injuries
· For meniscal pathology, studies suggest, a good clinical examination is equivalent to MRI on both sensitivity and specificity
· MRI may miss meniscal injuries that are present; may detect meniscal injuries that are either asymptomatic or in fact are false positives
· CT and US do not have enough sensitivity to be recommended for use in determining meniscal pathology
Treatment
· Meniscal injuries can be treated with ice, compression, elevation, weight-bearing as tolerated, and crutches as needed
· NSAIDs may help reduce pain and swelling, which will help maintain range of motion and strength
· Restricted activity (walking as tolerated, but no running, twisting or jumping motion) is initially recommended to prevent further injury to the knee
· Sudden knee pain from an existing injury (e.g., a healing meniscal or ligamentous injury) can cause the quadriceps muscles to suddenly relax. If the patient is standing only on the injured leg when this occurs, all the force is put through the unsupported and recently injured knee; this can further damage injured structures (e.g., extend a meniscal tear) or can injure structures not previously injured (e.g., an acute ACL tear)
· Appropriate follow-up should be arranged and documented
· Follow-up examination(s) are required to confirm the suspected diagnosis, reassess for other possible injuries, ensure the knee is not “locked,” ensure symptom improvement (pain, swelling) and guide the return to baseline range of motion, strength, and activity level
· Suspected meniscal injuries can be followed in a week or so by an appropriate physician (local resources and referral pattern help decide if that is an orthopedic surgeon, sports medicine physician or primary care physician)
Prognosis
· Many small meniscal tears will heal with conservative management over 6–8 weeks
· Menisci do not regenerate – a meniscectomy removes cartilage, which increases the incidence of osteoarthritis. Therefore a conservative approach is recommended
· Younger patients may be candidates for arthroscopic meniscal repair
· Conservative management includes maintenance of range of motion and strength, weight-bearing as tolerated, and restricted activities (preventing running, twisting or jumping sports)
· As improvement is noted and under the close supervision of the treating physician/therapist, activity level is gradually increased as tolerated
PEARL: Many smaller meniscal injuries can heal non-operatively. From the ED, advising restricted activity and arranging close follow-up are important to determine optimal management for each patient.
Anterior cruciate ligament (ACL) injuries
Key facts
· The ACL is the main crossing ligament in the knee and provides rotational stability to the knee
· If an athlete suddenly decelerates (lands or plants a foot), feels his knee ‘pop’, is unable to continue playing, and the knee swells within an hour, then on history alone there is an
85% chance of an ACL injury
· Overall, more males than females will suffer ACL injuries
· However, likelihood studies in athletes reveal that females playing soccer or basketball are 2–4× more likely to injure their ACLs than male counterparts
· Injury to an ACL does not mean definite surgery – the decision is multi-factorial
Clinical presentation
· Typical mechanism: Sudden deceleration injury in sports (often no other player involved)
· May also be seen with trauma to the anterolateral aspect of the knee (i.e., tackles) or knee on knee collisions (valgus strain resulting in the “terrible triad” of ACL, MCL, medial meniscus) or the hyperextension mechanism
· Patient often reports feeling the knee “slip” or “pop”, inability to continue playing, and development of significant swelling within an hour or two (a hemarthrosis)
· Common findings on examination are significant pain, inability to bear weight, and a fairly swollen knee
· Absence of significant swelling makes an acute ACL injury far less likely (but if there is a complete MCL tear, the effusion may not be contained)
· Assess for full extension – the patient may have a “locked knee” – this is an indication for an urgent referral and arthroscopy
· Mechanical cause of locking can be an associated meniscal tear or the stump of the ACL can lodge between the tibia and femur
· Pain and swelling may also impede full extension – so any patient with a suspected locked knee in the ED should be closely followed as this may resolve as the pain and swelling subside
· Failure to confirm ACL laxity on physical examination is to be expected on the initial ED assessment – the key to diagnosis is suspecting it based on the history
· Tests for ACL integrity (Lachman, anterior drawer, and pivot shift test) all require muscle relaxation to isolate the ligament. Inability of the patient to relax makes these tests quite insensitive in the ED
· Most sensitive test in the ED is the Lachman test, often negative in ED despite an ACL tear; if positive, compare to the opposite side and inquire about previous injury
· Far less sensitive in the ED are the remaining two tests for ACL integrity
· Anterior drawer test – at 90° of knee flexion, attempt to displace the tibia anteriorly on the femur (even if 90° of knee flexion can be achieved there is usually too much pain to allow the hamstrings to relax)
· Pivot shift – with the knee extended and the hip flexed
30°, apply to the knee a combination of a valgus stress, flexion and internal rotation of the tibia – feel a shift as the knee reduces itself; rarely positive in the ED
· Failure to confirm ACL laxity on physical examination is to be expected at initial ED assessment– the key to diagnosis is suspecting it on history, not confirming it on physical examination
· Carefully assess the other ligaments of the knee (PCL, MCL, LCL)
PEARL: To diagnose an ACL injury in the ED, the keys are the suggestive history with a swollen knee. Failure to confirm ACL injury on physical examination and with plain radiographs is to be expected.
Diagnostic testing
· Plain radiographs – often show an effusion (fluid density in the suprapatellar pouch) but are rarely diagnostic for an ACL tear
· Two findings to look specifically for:
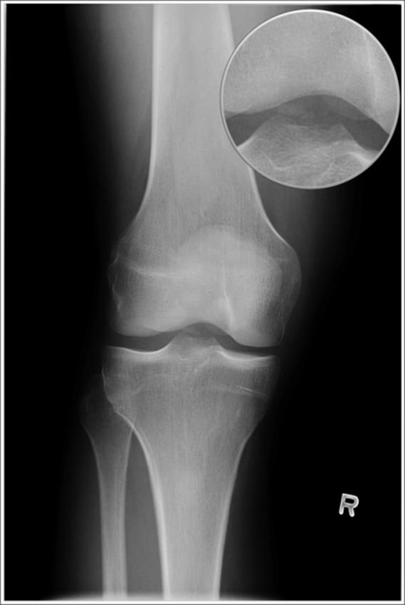
o Avulsion of the tibial spine (at the ACL insertion) (see Figure 4.7) – if seen in adults, then surgery may be indicated to anchor the avulsed fragment (this injury pattern is rarely seen in adults and more commonly seen in pediatric ACL injuries where “ligaments are stronger than bone”)
o Segond fracture (see Figure 4.8) – a vertically oriented avulsion fracture off the lateral tibial condyle – low sensitivity (
5%), but high specificity (75–100%), so not often seen with ACL injuries, but if it is seen, then the patient likely has suffered an ACL tear

Figure 4.7 Avulsion of the tibial spine. An uncommon radiograph finding for an adult with an ACL tear. This finding is more typically seen in children who suffer ACL tears. Fracture is highlighted by the arrow. Inset shows fracture magnified. (Image courtesy of Arun Sayal, MD.)

Figure 4.8 Segond fracture. Another uncommon radiograph finding suggesting an ACL tear. A vertically oriented avulsion fracture of the lateral capsule; low sensitivity, high specificity (meaning often not seen with ACL tears, but if seen, highly associated with an ACL tear). (Image courtesy of Arun Sayal, MD.)
Treatment
· In the ED, ACL injuries are often suspected based on history and swelling, but difficult to confirm on ACL-specific testing or radiographs
· For ED patients with suspected ACL injuries, close follow-up within a week is required to assess stability and plan treatment
· Follow-up for suspected ACL injuries should ideally be with specialists (orthopedic surgeons or sports medicine physicians) because even if managed non-operatively, there are long-term effects of ACL injuries that need to be clearly explained to the patient
· Goals include: Reduce pain, reduce swelling, and maintain ROM and strength
· Compression, ice, and crutches are often required acutely
· Knee immobilizer may be needed for patients to ambulate, but patients should be encouraged to remove the immobilizer, do ROM exercises, and gently weight-bear as tolerated. This helps maintain range and strength – important aspects of rehabilitation programs
· All patients should be restricted from any running, twisting or jumping activities until cleared by the follow-up physician
Prognosis
· The goal of ACL surgery is to make the knee stable, not to make the knee “normal”
· Achieving a “normal knee” after ACL injury is the exception – the knee is more likely to have premature osteoarthritis with or without surgery
· Not all patients with ACL injuries require surgery
· Some patients compensate well with physiotherapy and non-operative management
· Younger, athletic patients in high-demand sports are more likely to be treated operatively; surgery is less likely if the patient is over 40 years old
· Surgery is also indicated for an unstable knee (i.e., gives way) after appropriate rehabilitation
· Patients with ACL-deficient knees (i.e., injured ACL and treated non-operatively) are more likely to have subsequent meniscal tears – especially if the patient returns to higher-demand sports
· ACL surgery is associated with complications (stiffness, infection, graft failure, etc.) and lengthy postoperative rehabilitation (typically 9+ months to return to sports)
· Surgeons often delay ACL surgery for
6 weeks to ensure optimal preoperative range of ROM and strength (associated with better surgical outcomes)
Posterior cruciate ligament (PCL) injuries
Key facts
· The PCL can be injured in isolation or associated with other ligamentous injuries
· Injured much less frequently than the ACL
Clinical presentation
· Isolated PCL injuries are often caused by a deceleration injury on a flexed knee (dashboard injury, sports, or falling forward with the proximal tibia striking a solid edge)
· For multi-ligament injuries, various mechanisms can be responsible (e.g., hyperextension, rotatory, etc.)
· In the acute setting, swelling can be variable
· Because of limitations on physical exam, the diagnosis is often made based on the history when the patient presents initially to the ED
Physical examination
· Posterior drawer test – with the knee flexed to 90°, a posterior directed force on the anterior proximal tibia causes the tibia to displace posteriorly
· Posterior sag sign – with the patient supine, knees flexed and feet on the bed, when viewed from the side, the proximal tibia of the affected knee sags posteriorly
· Again, these signs require muscle relaxation and may not be positive on initial exam in the ED
PEARL: If the PCL is injured, and the tibia sags posteriorly, the examiner may mistakenly note a false-positive anterior drawer test (and assume an ACL injury). However, in this case, the mechanism of injury, a posterior sag sign and assessing the opposite knee can help the examiner differentiate between the two.
Diagnostic testing
· Plain radiographs – are rarely diagnostic (i.e., an avulsion off the posterior tibial insertion of the PCL)
Treatment
· Generally, isolated PCL injuries are treated non-operatively
· Younger, high-demand athletes are more likely to be treated operatively
· ED patients with suspected PCL injuries should be referred to an orthopedic surgeon for follow-up within a week
· Crutches, gentle weight-bearing as tolerated, ice, compression, and restricted activity are recommended
· If there is higher clinical concern for more significant derangement of the knee, then brief immobilization and follow-up in a few days may be prudent
Prognosis
· With PCL injuries, poor outcomes are co-related with the number of other ligaments injured and less with the actual degree of the PCL injury
· Most isolated PCL injuries are stable; ongoing symptoms of instability may be treated operatively
· Late sequelae of PCL injury can include degenerative changes in the patellofemoral and/or medial compartments
Medial collateral ligament (MCL) injuries
Key facts
· Most commonly injured of the four major knee ligaments
· Typical mechanism of injury is a valgus strain to the knee; may also be from an external rotation force
· Typically, MCL injuries do not cause a hemarthrosis; if one is noted, it should alert the clinician to the possibility of an associated ACL tear or fracture
· Complete tears of the MCL can cause the medial capsule to open and the effusion to extravasate – this could allow injuries associated with fractures or an ACL tear to appear less swollen than expected
· Isolated MCL injuries generally do well with non-operative management
PEARL: The MCL is the most commonly injured ligament of the knee.
Clinical presentation
· Valgus injury typically caused by a valgus strain – often in sports from being struck on the outside of the knee
· MCL injury is part of the “terrible triad” – ACL, MCL, medial meniscus injury
· Typically, the point of maximal tenderness is the medial femoral condyle (i.e., the origin of the MCL)
· Less commonly, pain is found at the proximal medial aspect of the tibia – the MCL insertion. Tenderness here may portend prolonged healing times
· The MCL has fibers that insert on the medial meniscus, so medial joint-line pain is also common after MCL injury
· Pain with valgus stressing (knee flexed to 30°) is often present in the ED (but pain may hinder accurate assessment of degree of injury)
o Patients in their late teens and 20s tend to have medial ligament injuries
o Patients aged > 50 tend to have lateral tibial plateau fractures
· Patients in their 30s and 40s can have either medial ligament injuries or tibial plateau fractures
Physical examination
· Compare degree of valgus laxity by valgus stressing the opposite side
o Grade I (stretch) – Tender with valgus stressing but does not open
o Grade II (partial tear) – Tender with stressing and opens but with a definite endpoint
o Grade III (complete tear) – Often less tender with stressing and no definite endpoint
· Pain and opening with valgus stressing at 0° (full extension) suggests that the MCL and one of the cruciate ligaments are also injured. This is difficult to pick up in the acutely injured knee
· A valgus stress to the knee opens the medial compartment and loads the lateral compartment
o Patients in their 30s and 40s can have either or both
PEARL: Beware of lateral joint-line pain after a valgus strain – “red flag” for a lateral tibial plateau fracture.
Diagnostic testing
· Plain radiographs as indicated
· Rarely may see an avulsion fracture of the medial femoral condyle
· If concern for lateral tibial plateau fracture, then oblique views increase the sensitivity of plain radiographs
· Advanced imaging (CT, MRI) may be required to rule out definitively a tibial plateau fracture
· Chronic MCL injuries may develop calcification at the femoral insertion of the MCL
Treatment
· Isolated MCL injuries rarely require operative management
· May need 6–12 weeks to recover
· Grade III MCL tears more likely to be treated operatively when associated with ACL tears, PCL tears, and/or meniscal injuries
· Goals include: Reduce pain, reduce swelling, and maintain ROM and strength
· Compression, ice, and weight-bear as tolerated
· Crutches are often required acutely
· Knee immobilizer may be needed for patients to ambulate, but patients should be encouraged to remove the immobilizer, do ROM exercises, and weight-bear as tolerated; patients should be restricted from any running, twisting or jumping sports until reassessed
· Follow-up within a week is advisable to confirm the diagnosis, reassess other structures of the knee, and monitor progress
· Hinged knee braces are useful but rarely available in the ED
Prognosis
· Isolated MCL injuries do well with conservative treatment
· Instability is more often found with multi-ligament injuries,
· With chronic MCL injury, calcification can occur at the femoral insertion of the MCL, so called Pellegrini–Stieda disease; this is often painful and may require orthopedic referral
Lateral collateral ligament (LCL) injuries
Key facts
· Less commonly injured than the MCL but often more significantly
· The usual mechanism of injury is hyperextension and varus stress to the knee
· Usually requires higher forces to injure the LCL
· Since higher forces are often involved, more likely that associated structures are injured (see posterolateral corner injuries)
Clinical presentation
· Lateral knee pain after a varus force to the knee
· Occasionally varus forces to the knee can be seen with ankle inversions, as patients try to regain their balance
· Usually varus force is exerted with the knee hyperextended
· Typically, no significant effusion is noted in isolated lateral injuries – lateral knee pain is the predominant symptom
· LCL injuries can also be associated with posterolateral corner (PLC) injuries
Physical examination
· Varus stress the knee both at 30° of flexion and at 0° (full extension)
· Laxity at 30° tests the LCL
· Laxity at 0° (full extension) suggests that the LCL and either ACL or PCL are injured
· LCL injuries can also be associated with posterolateral corner (PLC) injuries
PEARL: Isolated LCL injuries are relatively rare – if LCL laxity is noted, an associated cruciate ligament injury is commonly present.
Diagnostic testing
· Plain radiographs to rule out associated fractures including the fibular head, lateral capsule avulsions, lateral tibial plateau, etc
· Oblique views are helpful to pick up subtle findings around the tibial plateau
Treatment
· Isolated LCL injuries are relatively rare
· Determining the full extent of ligamentous injuries in the ED can be challenging
· Therefore, it is prudent to suspect that ED patients with LCL findings are likely more significantly injured than they may appear
· Since a relatively high index of suspicion remains for a significant injury, then immobilization, crutches, minimal (or non-) weight-bearing, and close specialist follow-up are recommended
Prognosis
· Isolated LCL tears are generally treated non-operatively
· LCL + other injuries (PCL, PLC, ACL) are more likely to be treated operatively
Posterolateral corner (PLC) of the knee injury
Key facts
· Less common and less well-known knee-injury pattern
· Posterolateral corner complex of the knee includes many structures including the LCL, popliteus tendon, popliteus muscle, lateral capsule and iliotibial tract
· Typical mechanism of injury is hyperextension and varus stress
· Isolated PLC injuries are uncommon – they are commonly associated with injuries to either the PCL or ACL
· The patient is usually unable to bear weight and complains of lateral knee pain
PEARL: Posterolateral corner knee injuries are often unrecognized but can lead to significant instability of the knee if not treated early.
Physical examination
· A significant effusion may be seen (especially if there is an associated ACL tear or fracture)
· Assess peroneal nerve function (“drop foot”)
· Assessing for ligament laxity in the ED is compromised by muscle spasm secondary to acute pain and swelling
· Tests for PLC injuries include:
o External rotation recurvatum test
§ Examiner lifts each leg by the great toe
§ A positive test is noted if the affected lower leg slips into external rotation and recurvatum at the knee
o External rotation dial test
§ With the patient prone, test external rotation of the tibia at both 30° and 90° of knee flexion
§ A positive test is > 10° difference in external rotation compared to the opposite side
§ If a positive test is only found at 30°, this suggests an isolated PLC injury
§ If a positive test is found at both 30° and 90°, this suggests both PLC and PCL are injured
PEARL: A varus stress to the knee is uncommon, but a high-risk mechanism elicited on history should prompt a careful search for significant lateral knee pathology.
Diagnostic testing
· Plain radiographs may be normal or may show a small avulsion fracture around the fibular head or lateral knee
· Traumatic lateral knee pain can also be from a lateral tibial plateau fracture – carefully assess for joint-line tenderness and use oblique radiographs to look for subtle fractures
Treatment
· Initial treatment consists of:
o Immobilization with knee brace
o Crutches
o Minimal (or non-) weight-bearing
· Close follow-up with specialist is recommended
Prognosis
· More significant PLC injuries (especially when involving other injuries) are more likely to be treated operatively
· Less significant injuries may be treated conservatively
Tibial plateau fractures
Key facts
· In younger adults, tibial plateau fractures are associated with relatively high-velocity mechanisms
· In older patients, tibial plateau fractures can occur after a low-velocity, valgus strain mechanism as osteoporosis contributes to the weaker bone
· For tibial plateau fractures: Approximately 66% are lateral, 25% are medial, and the rest are bicondylar
· Some tibial plateau fractures are radiographically occult
· Oblique views increase the sensitivity of plain radiographs, but are still not 100% sensitive
· Clinical suspicion for an occult tibial plateau fracture warrants either immobilization, non-weight-bearing status and close follow-up or, alternatively, advanced imaging in the ED
Clinical presentation
· Various mechanisms can result in a tibial plateau fracture; a valgus strain is far more common than varus but can occur from many mechanisms
· Hemarthrosis – swelling within an hour or two of the injury
· If there is an associated complete MCL tear, the hemarthrosis may not be contained and the knee may not appear as swollen
· Patients are generally not able to weight-bear
Physical examination
· Check distal neurovascular status
· Beware of signs of compartment syndrome
· Lateral joint-line pain after a valgus strain is a “red flag” for a lateral tibial plateau fracture
· May be associated with ligament injuries and/or meniscal injuries
PEARL: Lateral joint-line pain after a valgus strain is a “red flag” for a lateral tibial plateau fracture.
Diagnostic testing
· Plain radiographs – adding oblique views increases the sensitivity for tibial plateau fractures
· A lipohemarthrosis is highly specific for a fracture (since source of fat is bone marrow) but less than 50% sensitive
· On plain films, tibial plateau fractures can be radiographically occult; radiographically subtle; or clearly seen (Figure 4.9, Figure 4.10, Figure 4.11, Figure 4.12)

Figure 4.9 Subtle lateral tibial plateau fracture. Oblique (A) shows subtle depression. On the AP view (B) , the fracture is very subtle. (Images courtesy of Arun Sayal, MD.)

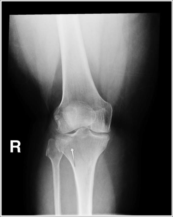
Figure 4.10 A larger, slightly depressed lateral tibial plateau fracture fragment (arrow). (Image courtesy of Arun Sayal, MD.)

Figure 4.11 AP (A) and lateral (B) views of young cyclist struck by a car. Note the effusion seen on the lateral view, the vertical proximal tibial fracture, and the possible depressed tibial plateau fracture. CT (C) of same knee demonstrating the tibial plateau fracture. (Images courtesy of Arun Sayal, MD.)

Figure 4.12 A comminuted tibial plateau fracture. (Image courtesy of Arun Sayal, MD.)
Treatment
· Most patients with depressed and/or comminuted tibial plateau fractures will be admitted for operative repair
· Suspected tibial plateau fractures should be treated with:
o Immobilization – knee immobilizer or above-knee posterior slab
o Crutches – non-weight-bearing status
· Depending on resources and practice pattern, some may CT the knee in the ED to make a definitive diagnosis
· Non-displaced and minimally depressed tibial plateau fractures are variably managed
o High-velocity injuries are more significant, are more likely to have compartment syndrome and as such should be immobilized, elevated, and referred to orthopedics from the ED
· Low-velocity injuries are more typical in the elderly for whom the injuries may often be treated non-operatively. However, a CT scan may be needed to clarify the details of the fracture (fragment location, comminuted, depression, etc.); crutches and the elderly may not be a safe combination; as such these should ideally be discussed with orthopedics before discharging from the ED
· Displaced fractures are typically treated operatively and need to be watched for compartment syndrome. Immobilization and referral to orthopedics from the ED is indicated. An above-knee posterior slab should be applied for comfort, to maintain alignment, and minimize swelling
Prognosis
· Non-operative management includes immobilization in 30–40°, crutches and non-weight-bearing status
· Close follow-up is needed and includes serial imaging to ensure that late displacement or depression does not occur
· Typically, non-weight-bearing status needs to be maintained for 6–8 weeks
· Patients can move to hinged braces during that time to allow for range of motion and strengthening exercises
· Operative management involves open reduction and internal fixation (ORIF) to reduce and stabilize the fracture
· Complications of operative treatment include:
o Stiffness
o Infection
o Avascular necrosis of the fracture fragments
o Post-traumatic osteoarthritis of the knee
o Knee instability (if associated ligamentous injuries)
o Delayed or non-union
Tibia and fibula fractures or dislocations
Key facts
· The extent of the soft-tissue injury often predicts the outcome of mid-tibia fractures
· High-energy fractures of the tibia are at risk of compartment syndrome
· High-energy fractures of the tibia are often open (compound) since the anterior aspect of the tibia has very little soft-tissue coverage
· High-velocity tibial fractures are typically transverse or comminuted with the fibular fracture found at the same level
· Low-velocity tibial fractures typically are oblique or spiral with the fibular fracture occurring at a different level
· The tibia carries about 90% of the load when walking; the fibula about 10% – as such fibular fractures tend to be more clinically occult
· Isolated fibular fractures (above the level of the ankle syndesmosis) that occur in the absence of direct trauma should alert the clinician to the possibility of a more significant injury at the joint “above or below” (i.e., the knee or ankle)
· Fibular head dislocations are rare – and commonly missed – and should be part of the differential diagnosis for traumatic lateral knee pain
Clinical presentation
· Fractures of the tibia can be associated with high- or low-energy mechanisms
· High-energy mechanisms cause significantly more soft-tissue damage and are associated with complications
· Compartment syndrome can be seen in up to 10% of these cases, especially if the fracture is closed
· Findings of a compartment syndrome may be delayed 12–24 hours after injury
· Pain out of proportion to what is expected and pain on passive stretching of the muscles are early signs of a compartment syndrome
· Passive toe flexion/ankle plantar-flexion tests the anterior compartment
· Passive toe extension/ankle dorsiflexion tests the posterior compartment
· Isolated fibular fractures can occur with direct trauma
· Common peroneal nerve palsies can accompany proximal fibular fractures – check for a “drop foot”
· All fibular fractures (especially spiral fractures) above the level of the syndesmosis should prompt assessment of the medial malleolus
· If tenderness or swelling is noted at the medial malleolus, then the injury may represent an external rotation, “Maisonneuve-type” fracture and the injury is often operative
· Proximal fibular fractures should also prompt careful assessment of the lateral knee structures including the LCL and the PCL
· Fibular head dislocations – mechanism of injury is usually a forceful twist with the knee flexed and the ankle internally rotated and plantar-flexed
· Fibular head usually dislocates anterolaterally
· Acutely the patients have pain, swelling, difficulty weight-bearing
· If missed and the patient develops a chronic subluxation/dislocation, then symptoms may be of lateral knee pain with clicking or locking
· Check for common peroneal nerve palsy
PEARL: Pain out of proportion to what is expected and pain with passive stretching of the ankle/toes are useful tests when considering compartment syndrome of the lower leg.
PEARL: All fibular fractures above the level of the syndesmosis should prompt assessment of the medial malleolus – looking for an occult Maisonneuve-type fracture.
Diagnostic testing
· Plain radiographs – usually two views of the tibia and fibula are sufficient. If there is concern specifically around the ankle or knee, then those joints should be imaged separately (Figures 4.13, 4.14, 4.15)

Figure 4.13 A high-energy fracture of the tibia: Comminuted, transverse, with a fibular fracture at the same level. (Image courtesy of Arun Sayal, MD.)

Figure 4.14 A low-energy fracture of the tibia: A spiral fracture with the fibular fracture at a level remote (proximal) from the tibial fracture. (Image courtesy of Arun Sayal, MD.)

Figure 4.15 A: Lateral fibular head dislocation. B: Post-reduction showing the normal overlap of the fibular head and lateral aspect of the proximal tibia. (Images courtesy of Dr. Russel Segal.)
Treatment
· Fractures of the tibia often are treated operatively; the decision to treat non-operatively should be made by orthopedics
· If concern for compartment syndrome exists, then compartment pressures should be measured and if confirmed, immediate fasciotomies are indicated
· Significantly displaced fractures will swell significantly and can cause pain, secondary open fractures, and/or compartment syndrome
· Significantly displaced fractures of the tibia should, after appropriate sedation, be reduced in the ED with gentle in-line traction, repositioning, and immobilization
· ED immobilization for fractures that involve the proximal or middle third of the tibia requires a posterior slab splint
PEARL: Immobilizing a mid-tibia fracture in the ED can be challenging.
· Some helpful tips:
o It is often easier to apply the above-knee splint in two stages
o First stage – a standard posterior slab for the lower leg (with a supporting “U-slab” along the sides):
§ Second stage – once the splint begins to harden, the patient’s heel can be placed on the bed with the knee flexed
30°, and the splint can be extended above knee – (with supporting splints on the medial and lateral sides of the knee)
§ Use gravity to assist in obtaining and maintaining the alignment – have the patient with their knee at the edge of the bed, and lower leg hanging down during the first stage of the splint application. For patients who are sedated, they can be shifted toward the end of the bed to allow the lower leg to drop down
o Isolated mid-fibular fractures from direct trauma (with no associated ankle or knee pathology) are usually stable since only 10% of the weight-bearing load is carried by the fibula; these patients can weight-bear as tolerated. Some may need immobilization and crutches
o Follow-up should be arranged with orthopedics within a week
o For fibular head dislocations, reduction may be attempted under sedation
o With the knee flexed
90°, reverse the mechanism that caused the dislocation – i.e., place the ankle in external rotation and dorsiflexion
o Recheck imaging and neurovascular status post reduction; if reduced and no deficits, the joint can be immobilized and ensure close orthopedic follow-up
Prognosis
· Mid-tibial fractures can be complicated by: Infection, non-union (especially in smokers), malunion, DVT, and knee and ankle stiffness
· Operative treatment options include external fixation, intramedullary (IM) nails, and ORIF with plates
· Patients treated with operative management can weight-bear sooner and have better rates of union
· Isolated fibular fractures heal very well non-operatively. The clinician must ensure that no associated injury has occurred at the knee or ankle; if a significant knee or ankle injury is missed, then potential for long-term impairment exists
· Fibular head dislocations often heal with conservative treatment; if symptoms persist with conservative treatment, then operative management may be indicated
Quadriceps tendon rupture/patellar tendon rupture
Key facts
· Ruptures of the quadriceps tendon are two to three times more common than patellar tendon ruptures
· Both injuries are missed up to 20% of the time by the initial treatment provider
· Under the age of the 40, the problem tends to be under the patella (patellar tendon rupture)
· Over the age of 40, the problem tends to be over the patella (quadriceps tendon rupture)
· Delayed diagnosis (and delayed surgical repair) adversely affect long-term results
· An active straight leg raise is an important part of every knee examination to help rule out a rupture of the extensor mechanism – but it is not 100% sensitive
PEARL: A straight leg raise is an important assessment of the quadriceps tendon but it is not 100% sensitive in isolating a rupture of the tendon.
Clinical presentation
· Patellar tendon rupture
o Typically under the age of 40
o Often presents with sudden, anterior knee pain after a sudden quadriceps contraction with a flexed knee
o Patients may report feeling a “‘pop”
o Most have difficulty with weight-bearing
o Patients with rheumatic disease, chronic patellofemoral symptoms, or chronic steroid use (anabolic or corticosteroids) are at increased risk
o A palpable defect may be felt just below the patella
o Patients will often have anterior knee pain and swelling with or without bruising
o Patella is often high-riding (patella alta) and hypermobile (Figure 4.16)
o Inability to actively straight leg raise (i.e., lift the heel off the bed)
· Quadriceps tendon rupture
o Typically over the age of 40
o Often lower-velocity mechanism than seen with patellar tendon ruptures – a minor fall or feeling of knee giving way
o There is often a variable amount of pain and gait disturbance
o Increased risk of rupture if obese, systemic illness, or chronic steroid use
o A palpable defect may be felt just above the patella, but this is less reliable in obese patients
o The patella is often low-lying (patella baja) and hypermobile
o Incomplete ruptures may be able to actively straight leg raise when lying, but not to extend the knee when sitting
· Patella baja and patella alta can be normal variants – important to compare clinically to the opposite side
PEARL: An active straight leg raise is an important part of every knee examination.

Figure 4.16 A: Patella alta in an 11- year-old male caused by a patellar tendon rupture; the ratio of patellar tendon length to length of patella should be < 1.2. B: In this case it is > 2. (Images courtesy of Arun Sayal, MD.)
Diagnostic testing
· Plain radiographs may show abnormal patellar positioning
· The Insall–Salvati index examines the ratio of patellar tendon length to length of patella
· Normal range is 0.8–1.2
o A ratio of < 0.8 represents a low lying patella (patella baja) and can sometimes be seen with quadriceps tendon rupture
· A ratio of > 1.2 represents a high-lying patella (patella alta) and can sometimes be seen with patellar tendon rupture
· Occasionally avulsions of the patella poles can suggest extensor rupture (superior pole avulsion for quads rupture; inferior pole avulsion for patellar tendon ruptures)
Treatment
· Complete ruptures of the extensor mechanism require operative management
· Should be discussed with orthopedics while in the ED to plan early operative repair
· Incomplete tears are less common; should be immobilized and closely followed by orthopedics
Prognosis
· Operative cases are protected for about 6 weeks followed by more active rehabilitation
· Return to baseline activities is generally anticipated
· Delayed diagnosis (and delayed repair) are associated with adverse outcomes
· For missed injuries, pain may subside and patients may be left with vague anterior knee pain, difficulty with gait (the swing-through phase), and quadriceps atrophy
Patellar dislocations
Key facts
· First-time patellar dislocations involve more acute ligament damage than recurrent patellar dislocations
· Primary dislocations will have more pain and swelling on the medial side of the patella
·
5% of primary patellar dislocations have an associated osteochondral fracture
· The osteochondral fragment can occur during the dislocation or the reduction; the source of the fracture can be the lateral femoral condyle or the undersurface of the patella
· Primary patellar dislocations are treated with immobilization and rehabilitation (unless an osteochondral lesion is present)
Clinical presentation
· More common in younger patients – teens to late 20s
· Mechanism is usually a non-contact knee twist – hyperextended knee with externally rotated foot
· When seen in the ED, patients may have dislocated (or subluxed) and spontaneously reduced
· Patients may state that their “knee slipped out” – but careful questioning can often confirm patellar shift and relocation
· If patella is dislocated, it almost always dislocates laterally
· If spontaneously reduced prior to arrival in the ED, the diagnosis is based on a combination of history (age, mechanism, sense of patella slipping, etc.) and physical (tender, swollen medial side patella, with a positive apprehension sign)
o Apprehension sign
o Examiner gently displaces the patella laterally and a positive sign is noted if there is a quadriceps contraction or facial grimace noted
· Primary dislocations involve an acute injury to the medial patellofemoral ligament. Therefore, first time dislocations are more likely to have medial patellar pain and swelling, along with a positive apprehension sign
· With recurrent dislocations, a positive apprehension sign is noted, and often there is less pain and swelling medially since there is less acute ligament damage
· If a hemarthrosis is found (large effusion within an hour or two of injury), diagnostic consideration should be given to an associated osteochondral fracture or, less commonly, a concomitant ACL tear
Diagnostic testing (Figure 4.17 A, B)
· Plain radiographs – will show lateral displacement of the patella, but usually the diagnosis is clinically apparent and pre-reduction films are typically not necessary
· Successful anatomic reduction is also clinically apparent
· Post-reduction films (including obliques and “sunrise” views) may reveal an osteochondral fragment
· Some osteochondral fragments can be radiographically occult
· Purely chondral lesions (e.g., cartilage only with no bony fragment) will not be seen on plain radiographs but will present as a loose body in the future as the patient ambulates (intermittent sharp pain and locking)

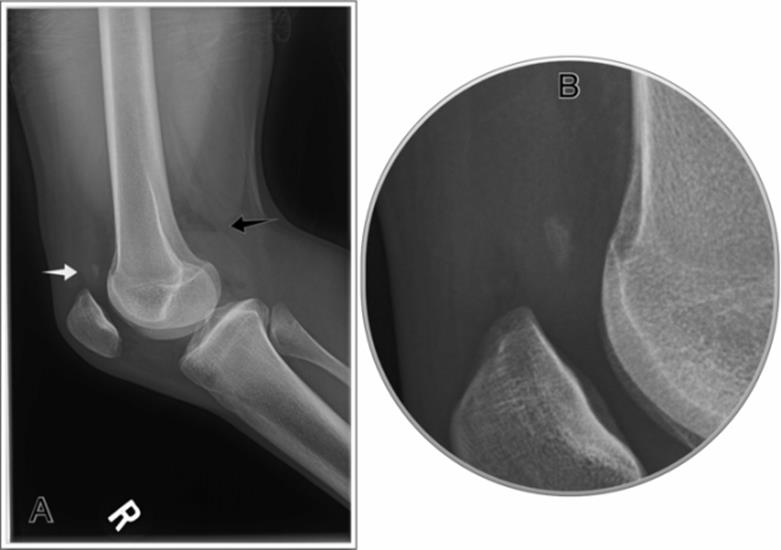
Figure 4.17 A: Patellar dislocation post-reduction shows an osteochondral fragment (white arrow) seen just above and posterior to the patella. Enlarged in B. Also seen is a lipohemarthrosis (black arrow) behind the femur, indicating the presence of a fracture. (Image courtesy of Arun Sayal, MD.)
Treatment
PEARL: Quadriceps relaxation is one of the keys to reducing a patellar dislocation. Encourage quadriceps relaxation by flexing the hip and slowly extending the knee. (Rectus femoris originates above the hip, so hip flexion helps with quadriceps relaxation.) Then apply posterior-directed pressure on the lateral aspect of the patella (to tilt the medial side of the patella over the lateral femoral condyle), followed by gentle medial-directed pressure to reduce.
· Whether reduced spontaneously or actively, primary patellar dislocations should be immobilized in extension and close follow-up should be arranged
· Ideally, patients can be placed in a patellar stabilizing brace that allows knee flexion and maintains patellar alignment (such braces are not available in most EDs)
· Recurrent patellar dislocations are less in need of immobilization (since there is little acute ligament injury to heal); such patients should be referred to orthopedics as out-patients for assessment of possible operative correction
Prognosis
· Most patients with patellar dislocations can be managed non-operatively with a focus on rehabilitation (particularly strengthening vastus medialis to help the patella track more medially)
· If an osteochondral injury occurs, these patients need orthopedic referral for arthroscopy – either removal or reduction/fixation depending on the size and donor site of the fragment
· Recurrent patellar dislocations are seen in
25% of cases
Patellar fractures
Key facts
· Usually from a direct force to the front of the knee (e.g., fall or dashboard injury)
· Integrity of the extensor mechanism is of paramount importance in deciding operative versus non-operative management
· The patella is the largest sesamoid bone in the body
· A bipartite patella can mimic a fracture, but is a normal variant
Clinical presentation
· Usual mechanism of injury is a direct blow to patella – fall directly on to anterior knee or dashboard injury
· Indirect trauma from a forceful contraction can cause avulsions of the proximal pole (at the quads tendon insertion) or the distal pole (at the patellar tendon origin) – these injuries are covered under quadriceps/patella tendon rupture)
· Pain and swelling localized to the anterior aspect of the knee
· Difficulty weight-bearing
· Active straight leg raise is required to assess integrity of the extensor mechanism
· Pain may inhibit ability to lift heel off bed – patients often need to be encouraged to push through the pain to assess properly the quadriceps tendon function
PEARL: An active straight leg raise is required to assess integrity of the extensor mechanism – encourage the patient to push past the pain as it may save an operation!
Diagnostic testing
· Plain radiographs (Figures 4.18, 4.19, 4.20 A,B, C) – will often demonstrate the fracture. Consider adding a “skyline” or “sunrise” patellar view to better assess for alignment and subtle vertical fractures. Various fracture patterns are possible – vertical, horizontal, stellate
· Bipartite patella is a variation of normal (incidence
2–5%); when present, it is usually on the superolateral quadrant of the patella – a curved lucency that can be mistaken for a fracture (should clinically correlate to rule out a fracture)

Figure 4.18 A bipartite patella; if present it is usually found in the superolateral quadrant of the patella – this is a normal variation. (Image courtesy of Arun Sayal, MD.)

Figure 4.19 Non-displaced transverse patellar fracture (with a fabella noted posteriorly, a variation of normal). (Image courtesy of Arun Sayal, MD.)

Figure 4.20 A: A comminuted fracture of the patella. B: A “sunrise” or “skyline” view of the same fracture – shows comminution. C: The patient did not have an intact extensor mechanism, so was treated operatively with internal fixation by tension band wiring. (Images courtesy of Arun Sayal, MD.)
Treatment
· If the extensor mechanism is intact, then non-operative treatment with immobilization in extension and orthopedic follow-up within a few days is appropriate
· Immobilization can either be a well-fitted commercial knee immobilizer or a Jones bandage (posterior splint from malleoli to upper third of the femur, which keeps the knee extended)
· Weight-bearing is allowed for cases to be managed non-operatively
· If the extensor mechanism is disrupted, then early operative management is indicated and these patients should be discussed with orthopedics while in the ED
Prognosis
· Non-operative cases are followed closely and gentle ROM exercises can usually begin at 3 weeks
· Both operative and non-operative cases can develop stiffness and quadriceps weakness that often require rehabilitation
· Operative cases can also develop infection, irritation from the hardware, and avascular necrosis of fracture fragments
· If the fracture fragments are not anatomically aligned, then premature osteoarthritis can develop in the patellofemoral compartment over subsequent years
References
Harrison BK, Abell BE, Gibson TW. The Thessaly test for detection of meniscal tears: validation of a new physical examination technique for primary care medicine. Clin J Sport Med. 2009;19(1):9–12. 10.1097/JSM.0b013e31818f1689.
www.orthobullets.com. Similar to below in that it is by orthopedic surgeons for orthopedic surgeons. It is more succinct but has fewer references.
www.WheelessOnline.com. From Duke University Medical Center’s Division of Orthopedic Surgery, a comprehensive review for orthopedic surgeons. A little light on the actual ED treatment (it is intended for orthopedic surgeons), but reasonably good imaging examples, and explanations of operative indications are well covered.