TABLE 12 - 1. Normal Respiratory Rates in Children

RESPIRATORY DISTRESS
A common reason to visit emergency department (10% of ED visits).
Intercostal retractions.
Nasal flaring (indicates
effort is needed to breathe).
Use of accessory muscles for breathing (eg, abdominals, sternocleidomastoids).
Restlessness, agitation.
Somnolence or lethargy may be due to severe hypoxia or hypercarbia.
Pallor, cyanosis.
Wheezing may or may not be present.
Stridor is an inspiratory sound that localizes respiratory distress to the upper airway
Grunting:
Due to exhalation against a partially closed glottis.
Occurs during expiration.
Indicates moderate to severe hypoxia.
See Table 12-1 for normal respiratory rates by age.
COMMON COLD (UPPER RESPIRATORY INFECTION, NASOPHARYNGITIS)
![]()
A 7-year-old girl is well when she leaves for school, but arrives home afterwards with a sore throat and runny nose. She is also complaining of cough, sneezing, and facial heaviness. Think: Rhinovirus.Rhinovirus colds frequently start as a sore or “scratchy” throat with runny nose.
![]()
A 17-year-old adolescent has acute onset of fever, cough, conjunctivitis, and pharyngitis. Think: Adenovirus. Characteristic presentation: Pharyngitis, rhinitis, and conjunctivitis. Conjunctivitis is typically follicular.
DEFINITION
Multi-etiology illness with a constellation of symptoms including cough, congestion, and rhinorrhea. Upper respiratory infections (URIs) are the most common pediatric ED presentation.
ETIOLOGY
> 200 viruses—especially rhinoviruses (one-third), parainfluenza, respiratory syncytial virus (RSV), adenovirus.
Risk factors: Child care facilities, smoking, passive exposure to smoke, low income, crowding, and psychological stress.
EPIDEMIOLOGY
Most frequent illness of childhood (three to eight episodes per year).
Most common medical reason to miss school.
Occurs in fall and winter especially.

Mucopurulent rhinitis may accompany a common cold and doesn’t necessarily indicate sinusitis; it is not an indication for antibiotics.
SIGNS AND SYMPTOMS
Nasal and throat irritation.
Sneezing, nasal congestion, rhinorrhea.
Sore throat, postnasal drip.
Low-grade fever, headache, malaise, and myalgia.
Possible complications include otitis media, sinusitis, and trigger asthma.
Infants have a variable presentation—feeding and sleeping are difficult due to congestion, vomiting may occur after coughing, may have diarrhea.
TREATMENT
Supportive.
Avoid aspirin and over-the-counter cough suppressants or decongestants.
Direct therapy toward specific symptoms.

The best treatment for the common cold is to
oral fluids, not pharmacologic treatment.
INFLUENZA
DEFINITION
Viral respiratory illness.
ETIOLOGY
Influenza A and B—epidemic disease: H1N1 (influenza A).
Influenza C—sporadic.

Aspirin is avoided in young children due to theoretical risk of Reye syndrome.
EPIDEMIOLOGY
Common over the winter months.
SIGNS AND SYMPTOMS
Incubation period: 1–3 days.
Sudden onset of fever, frequently with chills, headache, malaise, diffuse myalgia, and nonproductive cough.
Conjunctivitis, pharyngitis.
Typical duration of febrile illness is 2–4 days.
Complications include otitis media, pneumonia, myositis, and myocarditis.
Diarrhea and vomiting (H1N1).

Influenza is an orthomyxovirus.
DIAGNOSIS
Nasal swab or nasal washing.
During epidemic, clinical signs can be used to save on test costs.

Diagnosis of influenza depends on epidemiologic and clinical consideration.
TREATMENT
Symptomatic treatment is appropriate for healthy children—fluids, rest, acetaminophen.
For children at risk, see Table 12-2 for drug options.
Pregnant patients with H1N1 should receive a 5-day course of antiviral treatment.
Oseltamivir is preferred during pregnancy.
VACCINE

Influenza can be severe in children with congenital heart disease, bronchopulmonary dysplasia (BPD), asthma, cystic fibrosis, and neuromuscular disease.
Intramuscular
Now recommended for all children over age 6 months, with priority given to high-risk groups.
High-risk groups include children with chronic diseases such as asthma, renal disease, diabetes, and any other form of immunosuppression.
Best administered mid-September to mid-November since the peak of the flu season is late December to early March.
Antibodies take up to 6 weeks to develop in children. Consider prophylaxis in high-risk children during this period.
Since composition of influenza virus changes, the flu vaccine needs to be administered every year.
Vaccine is a killed virus and therefore cannot cause the flu.
Not approved for children < 6 months of age.
Intranasal
Live, attenuated vaccine available for children > 5 years old.
Not licensed for children with reactive airway disease.
Contraindicated in immunosuppressed individuals.
TABLE 12 - 2. Drug Treatments for Influenza (All Pregnancy Category C)

H1N1 VACCINE
Monovalent, inactivated influenza A virus vaccine.
6–35 months: 0.25 mL IM. Two doses 4 weeks apart.
3–9 years: 0.5 mL IM. Two doses 4 weeks apart.
Intranasal:
Monovalent live virus vaccine.
2–9 years: 0.2 mL/dose (0.1 mL per nostril). Two doses 4 weeks apart.
PARAINFLUENZA
ETIOLOGY
Type 1 and 2—seasonal.
Type 3—endemic.
See Table 12-3.

Parainfluenza is a paramyxovirus.
SIGNS AND SYMPTOMS
Incubation period: 2–6 days.
Causes:
Colds
Pharyngitis
Otitis media
Croup
Bronchiolitis
Can be severe in immunocompromised patients
TREATMENT
Specific antiviral therapy is not available.

Parainfluenza types 1 and 2 cause croup; type 3 causes bronchiolitis and pneumonia; type 4 is a cause of the common cold.
TABLE 12 - 3. Respiratory Infections and Pathogens

CROUP
Infectious Croup (Acute Laryngotracheobronchitis)
![]()
An 18-month-old boy with inspiratory stridor and a barking cough and agitation when lying down is brought at night to the emergency department (ED) by parents. He has had a sore throat and cough for 2 days. On examination, he has hoarseness, high-pitched barking cough, and stridor. In addition, tachypnea, retractions, and nasal flaring was noted. Steeple sign is seen on x-ray. Think: Croup.

Croup is the most common cause of stridor in a febrile child.
DEFINITION
Viral infection of upper respiratory tract.

Croup is the most common infectious cause of acute upper airway obstruction.
ETIOLOGY
Parainfluenza virus types 1 and 2.

Most common cause of stridor in children is croup.
EPIDEMIOLOGY
Occurs in children 3 months to 3 years of age in fall and winter months.

Stridor and distress at home and calm and free of stridor in ED: Think croup.
SIGNS AND SYMPTOMS
Inspiratory stridor.
Seal-like, barking cough with retractions and nasal flaring.
May have coryza and fever.
Can progress to agitation, hypoxemia, hypercapnia, tachypnea, and tachycardia.
Most cases are mild and last 3–7 days.
Symptoms worse at night, and typically worse on second day of illness.

Constant stridor and distress both at home and ED despite treatment: Think tracheitis.
DIAGNOSIS
X-ray usually not necessary. Consider only if diagnosis is in doubt.
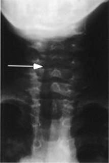
Steeple sign—narrowing of tracheal air column just below the vocal cords (see Figure 12-1).
Ballooning—distention of hypopharynx during inspiration.
Differentiate croup from epiglottitis.

Minimum observation of child brought in with croup is 3 hours.
TREATMENT
Position of comfort.
Mild—symptomatic care, cool air, nonsteroidal anti-inflammatories (NSAIDs), consider corticosteroids.
Moderate—racemic epinephrine (0.25 mL in 3–5 mL of normal saline [NS]), admit, early corticosteroids.
Severe—racemic epinephrine, intensive care unit (ICU), early use of corticosteroids.
Dexamethasone 0.6 mg/kg (lower dose [0.15 mg/kg] has also shown be effective).
Maximum: 10 mg/dose.
Admission criteria:
Persistent stridor (especially at rest).
Respiratory distress.

Reconsider diagnosis of croup if child is hypoxic.

FIGURE 12-1. Radiograph demonstrating steeple sign of croup.
Note narrowing of airway (arrow). (Courtesy of Dr. Gregory J. Schears.)

Stridor at rest is an indication for hospital admission.
Multiple doses of racemic epinephrine.
Possibility of alternate diagnosis.
CORTICOSTEROIDS IN RESPIRATORY PROBLEMS
Dexamethasone (IM or PO 0.6 mg/kg).
Side effects associated with short-term steroid use are minimal.

Give corticosteroids to febrile child with stridor for:
Croup
Epiglottitis
Retropharyngeal abscess
Bacterial tracheitis
Spasmodic Croup (Laryngismus Stridulus, Midnight Croup)
DEFINITION
Recurrent, sudden onset of barking cough and inspiratory stridor without preceding respiratory tract infection.
Well known to physicians but still defies definition of pathogenesis.
Familial predisposition: Family history of allergies.
ETIOLOGY
Probable viral etiology.
Other considerations—allergic, psychological, gastroesophageal (GE) reflux.

Diagnosis of spasmodic croup can be made only on resolution of the symptoms.
EPIDEMIOLOGY
Usually at night.
Aggravated by excitement.
Winter months.
Occurs in children 1–3 years of age.
SIGNS AND SYMPTOMS
Recurrent episodes of acute-onset barking cough and inspiratory stridor.
No symptoms of infection.

Steroids are not indicated in spasmodic croup.
DIAGNOSIS
Subglottic, noninflammatory edema.
TREATMENT
Reassurance and cool mist.
Spontaneous recovery.
EPIGLOTTITIS
![]()
A 4-year-old boy brought to the ED is flushed, making high-pitched noises on forced inspiration, leaning forward in his mother’s lap, and drooling. His illness started with fever and sore throat and rapidly progressed to difficulty swallowing, drooling, restlessness, and stridor or air hunger. He appeared toxic and anxious. Lateral neck x-ray shows thumb sign. Think: Epiglottitis, and get him to an operating room (OR) to intubate and treat!
The classic presentation: “three Ds” (drooling, dysphagia, and distress).
See Figure 12-2.

Minutes count in acute epiglottitis.
DEFINITION
Acute, life-threatening infection of supraglottic tissues.
ETIOLOGY
Haemophilus influenzae type B.
Other possible pathogens—Streptococcus pyogenes, Streptococcus pneumoniae, Staphylococcus aureus.

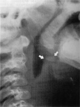
FIGURE 12-2. Radiograph of lateral soft tissue of neck demonstrating epiglottitis.
Note the thickening of the epiglottic and ariepiglottic folds (arrows). (Reproduced, with permission, from Schwartz DT, Reisdorff BJ. Emergency Radiology. New York: McGraw-Hill, 2000: 608.)
PATHOPHYSIOLOGY
Acute inflammation and edema of epiglottis, aryepiglottic folds, and arytenoids.
EPIDEMIOLOGY
incidence due to H influenzae type B vaccine (HiB).
Usually 2–6 years of age, but can occur at any age.
Suspect in unvaccinated children.
H influenzae immunization has practically eliminated epiglottitis in young children.

In doubtful cases, radiograph alone should not be used to diagnose epiglottitis.
SIGNS AND SYMPTOMS
Sudden onset of inspiratory stridor and respiratory distress.
Muffled voice (“hot potato” voice).
High fever (usually the first symptom).
Toxic appearing.
Tripod position—hyperextended neck, leaning forward, mouth open.
Three D’s: Dysphagia, drooling, and distress.
Cough (less frequent symptom)
Tachycardia is a constant feature.
Severe respiratory distress develops within minutes to hours.
May progress to restlessness, pallor/cyanosis, coma, death.
DIAGNOSIS
Laryngoscopy—swollen, cherry-red epiglottis.
Lateral neck x-ray to confirm (portable x-ray should be obtained).
Swollen epiglottis (thumbprint sign).
Thickened aryepiglottic fold.
Obliteration of vallecula.
TREATMENT
True medical emergency—potentially lethal airway obstruction.
Comfort.
Anticipate.
Secure airway (endotracheal intubation in OR).
Ceftriaxone (100 mg/kg/day) 7–10 days.
Rifampin prophylaxis for close contacts.

Epiglottitis is a true medical emergency. If suspected, do not:
Examine the throat
Use narcotics or sedatives, including antihistamines
Attempt venipuncture or other tests
Place patient supine
TRACHEITIS/LARYNGITIS
DEFINITION
Rapidly progressive upper airway obstruction due to infection of the trachea and/or larynx.
ETIOLOGY
S aureus and H influenzae type b.
Also Moraxella catarrhalis.
High association with preceding influenza A infection.
SIGNS AND SYMPTOMS
Often present with croup symptoms. Differentiation can be made by the presence of:
High fever
Toxicity
Inspiratory stridor (constant)
Purulent sputum
A toxic-appearing child with croupy symptoms who responds poorly to croup management should be evaluated for tracheitis.
Tracheitis has features of both croup (stridor and croupy cough) and epiglottitis (high fever and toxic appearance).

Bacterial tracheitis has a slower onset than epiglottitis.
DIAGNOSIS
X-ray—may be normal or identical to croup. Look for pseudomembrane on lateral view.
Epiglottis size normal
Tracheal narrowing
Pseudomembrane
Endoscopy.
Copious purulent secretion distal to glottis.
Secretions should be obtained for Gram stain and culture.
TREATMENT
Secure an adequate airway (endotracheal intubation):
Should be performed in an operating room under anesthesia.
Suction endotracheal tube of purulent material.
Specialty consultation: Ear, nose, and throat (ENT), and anesthesia.
Ceftriaxone 100 mg/kg/day.
Ampicillin-sulbactam 200 mg/kg/day.
ICU admission.
BRONCHIOLITIS
![]()
A previously healthy 4-month-old who had rhinorrhea, cough, and a low-grade fever develops tachypnea, mild hypoxemia, and hyperinflation of lungs. Think: RSV bronchiolitis.
Classic presentation: Acute onset of cough, wheezing, and
respiratory effort after an upper respiratory tract prodrome (fever and runny nose), during the winter season.
DEFINITION
Viral infection of upper and lower respiratory tract (medium and small airways).
ETIOLOGY
RSV—most common cause.
Adenovirus.
Parainfluenza 3.
Influenza.

Bronchiolitis is the most common serious respiratory infection in children < 2 years.
Human metapneumovirus (hMPV): First recognized in 2001 and now increasingly implicated.
Mycoplasma pneumoniae (rare).
PATHOPHYSIOLOGY
Inflammatory obstruction (edema and mucus) of the bronchioles secondary to viral infection.
Alterations in gas exchange are most frequently the result of mismatching of pulmonary ventilation and perfusion.

RSV causes more than 50% of cases of bronchiolitis.
EPIDEMIOLOGY
Occurs in first 2 years of life.
Reinfection is common.
Ninety percent are aged 1–9 months.
Occurs in winter and early spring.
Risks: Crowded conditions, not breast-fed, mothers who smoke, male gender.
High-risk infants:
Cardiac disease
Pulmonary disease
Neuromuscular disease
Premature infants
Immunocompromised

Humans are the only source of RSV infection.
SIGNS AND SYMPTOMS
Starts with mild respiratory illness.
Respiratory distress gradually develops.
Paroxysmal wheezing—common but may be absent, cough, dyspnea.
Apneic spells—young infants should be monitored.
Frequent complications include bacteremia, pericarditis, cellulitis, empyema, meningitis, and suppurative arthritis.
Most common complication is hypoxia.
Dehydration is the most common secondary complication.

Symptoms of asthma can be identical to bronchiolitis. Suspect asthma if:
Family history
Prior episodes
Response to bronchodilator
DIAGNOSIS
Viral detection in nasopharyngeal secretions via culture, polymerase chain reaction (PCR), or antigen detection.
Chest x-ray (rule out pneumonia or foreign body)—hyperinflation of lungs,
anteroposterior (AP) diameter of rib cage.
Oxygen saturation is the single best objective predictor.
TREATMENT
Low threshold for hospitalization for high-risk infants.
Humidified oxygen.
Trial of nebulized albuterol (only 20–50% are responders, discontinue if no objective benefit).
Hypertonic saline—potential to reduce airway edema and mucous plugging.
Steroids not indicated.
Respiratory isolation.
Ribavirin (aerosol form) if high-risk patients such as immunocompromised, need for mechanical ventilation, or < 6 weeks old.
RSV intravenous immune globulin (RSV-IVIG) or palivizumab given prior to and during RSV season in high-risk infants < 2 years old.

Indications for rapid antigen detection in suspected RSV bronchiolitis: cohorting RSV-positive patient or to confirm RSV in high-risk patient.
BRONCHIECTASIS
![]()
A 7-year-old boy presents with an upper respiratory infection (URI) with productive cough (with purulent sputum). On examination, localized rales on the right side of his chest were noted. X-ray shows two discrete densities located in the right upper lobe of the lungs. Think: Bronchiectasis. Predisposition: Cystic fibrosis and ciliary dyskinesia.
DEFINITION
Abnormal and permanent dilatation of bronchi.
ETIOLOGY
Viruses: Adenovirus, influenza virus.
Bacteria: S aureus, Klebsiella, anaerobes.
Primary ciliary dyskinesia.
Kartagener syndrome.
Cystic fibrosis: Pseudomonas aeruginosa.
α1-antitrypsin deficiency.
PATHOPHYSIOLOGY
Consequence of inflammation and destruction of structural components of bronchial wall.
SIGNS AND SYMPTOMS
Physical exam quite variable.
Persistent or recurrent cough.
Purulent sputum.
Hemoptysis.
Dyspnea.
Wheezing.
Clubbing.
DIAGNOSIS
Chest x-ray.
Bronchography.
Computed tomographic (CT) scan.
Sputum culture.
TREATMENT
Elimination of underlying cause.
Clearance of secretion.
Chest physiotherapy.
Mucolytic agents.
Control of infection—antibiotics.
Reversal of airflow obstruction—bronchodilators.
BRONCHITIS
DEFINITION
Infection of conductive airways of lung.

Cough is the most common symptom of chronic bronchitis.
ETIOLOGY
Viruses: Influenza A and B, adenovirus, parainfluenza, rhinovirus, RSV, coxsackievirus.
Bacteria: Bordetella pertussis, M pneumoniae, Chlamydia pneumoniae, S pneumoniae.
SIGNS AND SYMPTOMS
Acute productive cough (< 1 week).
Rhinitis.
Myalgia.
Fever.
No evidence of sinusitis, pneumonia, or chronic pulmonary disease.
Normal arterial oxygenation.
TREATMENT
Mostly self-limited.
Bronchodilators may help.
Antibiotics for high-risk patients.

Pharyngitis is the second most common diagnosis in children aged 1–15 years in the pediatric clinic.
PHARYNGITIS
DEFINITION
Infection of the tonsils and/or the pharynx.

Viruses (most common cause of pharyngitis): Rhinovirus, adenovirus, coxsackievirus.
ETIOLOGY
SIGNS AND SYMPTOMS
Viral pharyngitis:
Gradual onset.
Fever, malaise, throat pain.
Conjunctivitis, rhinitis, coryza, viral exanthem, diarrhea.
Streptococcal pharyngitis (> 2 years) (see Figure 12-3):
Headache, abdominal pain, and vomiting.
Fever (> 104°F [40°C]).
Tonsillar enlargement with exudates.
Fetid odor.
Cervical adenopathy.
Palatal petechiae and uvular edema.
It is not possible to distinguish clinically viral from bacterial pharyngitis, though high fever, cervical adenopathy, and absence of URI symptoms suggest bacterial etiology.

Acute rheumatic fever occurs more after throat than skin infections and in children who have had acute rheumatic fever before.

FIGURE 12-3. Streptococcal pharyngitis.
Note white exudates on top of erythematous swollen tonsils.
DIAGNOSIS
Rapid (DNase) antigen detection test (sensitivity 95–98%):
Culture if negative.
Treat if positive.
TREATMENT
Oral penicillin (25–50 mg/kg/day) for 10 days.
Alternatively, intramuscular (IM) benzathine and procaine penicillin can be used (single dose, weight based).
Macrolides or clindamycin for penicillin-allergic patients for 10 days.
Tetracycline and sulfonamides should not be used to treat group A beta-hemolytic streptococci (GABHS).
Antibiotics are not indicated for pharyngitis negative for GABHS.

Penicillin remains the drug of choice for GABHS.
COMPLICATIONS
Suppurative:
Peritonsillar abscess
Retropharyngeal abscess
Cervical adenitis
Otitis media
Sinusitis
Nonsuppurative:
Acute glomerulonephritis
Acute rheumatic fever

The more mucous membranes involved, the more likely an infection is viral.
PNEUMONIA
![]()
A 2-month-old with fever, tachypnea, and mottled skin has a chest x-ray showing infiltrate of the right upper lung lobe, a pneumatocele, and a pleural effusion. Think: S aureus pneumonia.
![]()
A previously healthy 9-year-old boy has a 7-day history of increasing cough, low-grade fever, and fatigue on exertion. Chest x-ray shows widespread diffuse perihilar infiltrates. Think: Mycoplasma pneumonia. Initially, nonproductive cough and no fever. Later, productive cough with fever, headache, coryza, otitis media, and malaise.
DEFINITION
Inflammation of lung parenchyma.

Round pulmonary infiltrate on chest x-ray. Think: S pneumoniae pneumonia.
ETIOLOGY
Viruses: RSV, influenza, parainfluenza, adenovirus.
Bacteria: Less common, but more severe—S pneumoniae, S pyogenes, S aureus, H influenzae type B, M pneumoniae.

Pneumonia with hilar adenopathy on chest x-ray. Think: Adenovirus. However, it is difficult to make an accurate etiologic diagnosis only on the basis of clinical presentation.
SIGNS AND SYMPTOMS
Tachypnea, dyspnea.
Fever and feeding difficulty (infant).
Productive cough, chest pain (children).
Chlamydia trachomatis (pneumonitis syndrome).
Occurs in children 1–3 months of age.
Staccato cough, tachypnea, progressive respiratory distress.
Lack of fever and other systemic signs.
Conjunctivitis.

The most reliable sign of pneumonia is tachypnea.
DIAGNOSIS
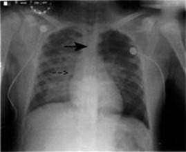
Chest x-ray (Figure 12-4):
Viral (hyperinflation, perihilar infiltrate, hilar adenopathy, and atelectasis).
Bacterial (alveolar consolidation).
Mycoplasma (interstitial infiltrates).
Tuberculosis (hilar adenopathy).
Pneumocystis (reticulonodular infiltrates).
Blood culture (positive in 10–30% of bacterial cases).

Consider pneumonia in children with neck stiffness or acute abdominal pain.

FIGURE 12-4. Chest x-ray demonstrating diffuse bilateral pulmonary infiltrates.
Note tip of endotracheal tube (arrow) is in good position.

In young children, auscultation may be normal with impressive x-ray findings.
TREATMENT
Inpatient:
1–3 months old: Macrolide (pneumonitis syndrome) or third-generation cephalosporin.
≥ 3 months and older: Third-generation cephalosporin.
Outpatient:
Patients should have normal O2 saturation and be able to take oral fluids in order to be outpatients.
Amoxicillin or erythromycin.
PERTUSSIS
DEFINITION
“Whooping cough.”
Highly infectious form of bronchitis.
ETIOLOGY
Bordetella pertussis gram-negative coccobacilli.
Humans are the only known host.
Whooping cough syndrome also may be caused by:
Bordetella parapertussis
M pneumoniae
C trachomatis
C pneumoniae
Adenoviruses

Pertussis means “intense cough.”
PATHOPHYSIOLOGY
Pertussis toxin is a virulence protein that causes lymphocytosis and systemic manifestations.
Aerosol droplet transmission.

Despite having “whooping cough,” most patients with pertussis do not whoop.
EPIDEMIOLOGY
Endemic, but epidemic every 3–4 years.
60 million cases/year worldwide.
500,000 deaths/year worldwide.
July to October.
Occurs in 1- to 5-year-olds worldwide, 50% < 1-year-olds in United States.

With pertussis, fever may be absent or minimal; cough may be only complaint.
SIGNS AND SYMPTOMS
Incubation period 1–2 weeks.
Three stages: Catarrhal, paroxysmal, and convalescent.
Duration: 6 weeks.
Catarrhal stage: Congestion and rhinorrhea.
Paroxysmal stage (2–4 weeks):
Paroxysmal cough, with characteristic whoop following (chin forward, tongue out, watery, bulging eyes, purple face).
Fever is typically absent.
Post-tussive emesis and exhaustion.

Apnea is common in infants with pertussis.
Convalescent stage: Number and severity of paroxysms plateaus.
Each stage lasts ∼ 2 weeks; shorter if immunized.
Complications include apnea, physical sequelae of forceful coughing, brain hypoxia/hemorrhage, secondary infections (bacterial pneumonia is the cause of death).

Suspect pertussis if paroxysmal cough with color change.
DIAGNOSIS
Diagnosis is primarily clinical:
Inspiratory whoop
Post-tussive emesis
Lymphocytosis
Chest x-ray—perihilar infiltrate or edema (butterfly pattern).
Positive immunofluorescence test or PCR on nasopharyngeal secretions.

No single serologic test is diagnostic for pertussis.
TREATMENT
Goal—to
spread of organism. Antibiotics do not affect illness in paroxysmal stage, which is toxin mediated.
Macrolide antibiotic for patient and household contacts.
Isolation until 5 days of therapy.
Admit if:
Infant < 3 months.
Apnea.
Cyanosis.
Respiratory distress.
DTP (diphtheria, tetanus, pertussis)/DTaP (diphtheria, tetanus, acellular pertussis) vaccine.

There is a risk of hypertrophic pyloric stenosis in infants younger than 6 weeks treated with oral erythromycin.
DIPHTHERIA
DEFINITION
Membranous nasopharyngitis or obstructive laryngotracheitis.
ETIOLOGY
Corynebacterium diphtheriae.
Humans are the only reservoir.
SIGNS AND SYMPTOMS
Incubation period: 2–7 days.
Erosive rhinitis with membrane formation.
Tonsillopharyngeal—sore throat, membranous exudate.
Cardiac symptoms.
Tachycardia out of proportion to fever.
DIAGNOSIS
Culture (nose, throat, mucosal, or cutaneous lesion).
Material should be obtained from beneath the membrane or a portion of membrane.
All C diphtheriae isolates should be sent to diphtheria laboratory.

For treatment of diphtheria, antibiotics are not a substitute for antitoxin.
TREATMENT

Most tuberculosis infections in children are asymptomatic with positive PPD.
Antitoxin—dose depends on:
Site of membrane
Degree of toxic effects
Duration of illness
Antibiotics:
Erythromycin or penicillin G for 14 days.
Elimination of organism should be documented by two consecutive cultures.

A patient may develop TB despite prior bacillus Calmette-Guérin (BCG) vaccination.
TUBERCULOSIS (TB)
DEFINITION
Signs and symptoms and/or radiographic manifestations caused by M tuberculosis are apparent.
May be pulmonary, extrapulmonary, or both.
ETIOLOGY
Mycobacterium tuberculosis.

A positive PPD skin test results from infection, not from exposure.
PATHOPHYSIOLOGY
Primary portal of entry into children is lung.

Asymptomatic children with a positive PPD should be considered infected and get treatment.
EPIDEMIOLOGY
Children are never the primary source (look for adult contacts).
Risk factors:
Urban living
Low income
Recent immigrants
HIV

All cases of active TB should be referred to public health department.
SIGNS AND SYMPTOMS
Chronic cough (nonproductive)
Hemoptysis
Fever
Night sweats
Weight loss
Anorexia
Lymphadenopathy
Present to ED with:
Primary pneumonia
Miliary TB (may mimic sepsis)
DIAGNOSIS
When to suspect TB:
Hilar adenopathy.
Pulmonary calcification.
Pneumonia with infiltrate and adenopathy.
Pneumonia with pleural effusion.
Painless unilateral cervical adenopathy (scrofula).
Meningitis of insidious onset.

Persons with TB should be tested for HIV.
Bone or joint disease.
When any of the above are unresponsive to antibiotics.
PPD test (Mantoux test).
QuantiFERON®-TB Gold test.
Culture (gastric aspirates, sputum, pleural fluid, cerebrospinal fluid, urine, or other body fluids).
Look for the adult source.
Acid-fast stain or PCR.
TREATMENT
Two to four or more drugs (isoniazid, rifampin, pyrazinamide, ethambutol, streptomycin) for a minimum of 6 months for active disease.
Isoniazid for 9 months for latent disease.

TB in children < 4 years of age is much more likely to disseminate; prompt and vigorous treatment should be started when the diagnosis is suspected.
CYSTIC FIBROSIS (CF)
![]()
A 3-year-old child presents with constant cough with sputum. He has had six episodes of pneumonia, with Pseudomonas being isolated from sputum; loose stools; and is at the 20th percentile for growth. Think: CF.
CF is an inherited multisystem disorder resulting in chronic lung disease, exocrine pancreatic insufficiency, and failure to thrive.

Cystic fibrosis is the most common lethal inherited disease of Caucasians.
DEFINITION
Disease of exocrine glands that causes viscous secretions:
Chronic respiratory infection
Pancreatic insufficiency
electrolytes in sweat
ETIOLOGY
Defect of cyclic adenosine monophosphate (cAMP)-activated chloride channel of epithelial cells in pancreas, sweat glands, salivary glands, intestines, respiratory tract, and reproductive system.
Autosomal recessive.

The gene for cystic fibrosis is CFTR; the mutation is delta F508.
PATHOPHYSIOLOGY
Chloride does not exit from cells.
osmotic pressure inside cells attracts water and
thick secretions.
EPIDEMIOLOGY
Most common cause of severe, chronic lung disease in children.
One in 2000–3000 live births (Caucasians).
SIGNS AND SYMPTOMS
Respiratory:
Cough—most common pulmonary symptom.
Wheezing, dyspnea, exercise intolerance.
Bronchiectasis, recurrent pneumonia.
Sinusitis, nasal polyps.
Reactive airway disease, hemoptysis.

A patient with severe CF breathing room air can have an arterial blood gas (ABG) showing
chloride and
bicarbonate.
AP chest diameter.
Hyperresonant lungs.
Clubbing of nails.
Gastrointestinal (GI):
Failure to thrive.
Meconium ileus (10%).
Constipation, rectal prolapse.
Intestinal obstruction.
Pancreatic insufficiency:
Malabsorption.
Fat-soluble vitamin deficiencies.
Glucose intolerance.
Biliary cirrhosis (uncommon): Jaundice, ascites, hematemesis from esophageal varices
Reproductive tract:
/absent fertility—female, thick cervical secretions; male, azoospermic.
Sweat glands:
Salty skin.
Hypochloremic alkalosis in severe cases.
Complications may include pneumothorax, chronic pulmonary hypertension, cor pulmonale, atelectasis, allergic bronchopulmonary aspergillosis, respiratory failure, gastroesophageal reflux.

False-positive sweat test (not CF):
Nephrogenic diabetes insipidus
Myxedema
Mucopolysaccharidosis
Adrenal insufficiency
Ectodermal dysplasia
DIAGNOSIS
Sweat test—chloride concentration > 60 mEq/L (gold standard).
Genetic studies.
In utero screen available.
Pulmonary function tests (PFTs): Obstructive and restrictive abnormalities.
Prenatal diagnosis via gene proves CF mutations or linkage analysis.
TREATMENT
Multidisciplinary team approach—pediatrician, physiotherapist, dietitian, nursing staff, teacher, child, and parents.
Respiratory:
Chest physical therapy.
Exercise.
Coughing to move secretions and mucous plugs.
Bronchodilators.
Normal saline aerosol.
Anti-inflammatory medications.
Dornase-alpha nebulizer (breaks down DNA in mucus).
Pancreatic/digestive:
Enteric coated pancreatic enzyme supplements (add to all meals).
Fat-soluble vitamin supplements.
High-calorie, high-protein diet.
Antibiotics—sputum cultures used to guide antibiotic choice. Pseudomonal infections are especially common.
Lung transplant.
Gene therapy is being aggressively studied.

Features of CF: CF PANCREAS
Chronic cough
Failure to thrive
Pancreatic insufficiency
Alkalosis
Nasal polyps
Clubbing
Rectal prolapse
Electrolytes
in sweat
Absence of vas
Sputum mucoid
PROGNOSIS
Advances in therapy have
life expectancy into adulthood.

Ninety-nine percent of cases of meconium ileus are due to CF.
TONSILS/ADENOIDS
Tonsillitis/Adenoiditis
DEFINITION
Inflammation of:
Tonsils—two faucial tonsils.
Adenoids—nasopharyngeal tonsils.
SIGNS AND SYMPTOMS
Sore throat.
Pain with swallowing.
May have whitish exudate on tonsils.
Chronic tonsillitis:
Seven in past year.
Five in each of the past 2 years.
Three in each of the past 3 years.

Fat-soluble vitamin deficiencies:
A—night blindness
D—
bone density
E—neurologic dysfunction
K—bleeding
TREATMENT
< 2–3 years old: Tonsillectomy is performed for obstructive sleep symptoms.
Large size alone is not an indication to remove tonsils.
Enlarged Adenoids
DEFINITION
Nasopharyngeal lymphoid tissue.

Tonsils and adenoids are part of Waldeyer’s ring that circles the pharynx.
SIGNS AND SYMPTOMS
Mouth breathing
Persistent rhinitis
Snoring

It can be normal for tonsils to be relatively large during childhood.
DIAGNOSIS
Digital palpation
Indirect laryngoscopy
TREATMENT
Adenoidectomy:
Persistent mouth breathing.
Hyponasal speech.
Adenoid facies.
Recurrent otitis media or nasopharyngitis.
Tonsillectomy should not be performed routinely unless separate indication exists.
Peritonsillar Abscess
DEFINITION
Walled-off infection occurring in the space between the superior pharyngeal constrictor muscle and tonsils.
ETIOLOGY
GABHS
Anaerobes
EPIDEMIOLOGY
Usually preadolescent.

Trismus is limited opening of the mouth.
SIGNS AND SYMPTOMS
Preceded by acute tonsillopharyngitis.
Severe throat pain.
Trismus.
Refusal to swallow or speak.
“Hot potato voice.”
Markedly swollen and inflamed tonsils.
Uvula displaced to opposite side.
TREATMENT
Antibiotics covering staph and strep. Typically, ampicillin—sulbactam.
Incision and drainage.
RETROPHARYNGEAL ABSCESS
DEFINITION
Potential space between the posterior pharyngeal wall and the prevertebral fascia. Commonly occurs in children < 5 years old.
ETIOLOGY
Usually a complication of pharyngitis:
GABHS
Oral anaerobes
S aureus
SIGNS AND SYMPTOMS
Sudden onset of high fever with difficulty in swallowing.
Refusal of feeding.
Throat pain.
Hyperextension of the head.
Toxicity is common.
May cause meningismus—extension of the neck causes pain.
DIAGNOSIS
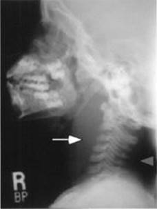
Lateral neck x-ray: Normal retropharyngeal space should be less than one-half of width of adjacent vertebra (see Figure 12–5).
TREATMENT
Clindamycin or ampicillin-sulbactam.

Lymph nodes in the retropharyngeal space usually disappear by the third to fourth year of life.

FIGURE 12-5. Lateral radiograph of the soft tissue of the neck.
Note the large amount of prevertebral edema (solid arrow) and the collection of air (dashed arrow). Findings are consistent with retropharyngeal abscess. (Courtesy of Dr. Gregory J. Sc-hears.)
ASTHMA
![]()
A 5-year-old boy with a history of sleeping problems presents with a non-productive nocturnal cough and shortness of breath and cough during exercise. Think: Asthma.
Start on a trial of a bronchodilator, which is helpful in confirming the diagnosis by the demonstration of reversible airways obstruction (
in forced expiratory volume in 1 second [FEV1]). Asthma is an inflammatory disease. Diagnosis of asthma should be considered in the presence of recurrent wheezing in a child with a family history of asthma.
DEFINITION
Respiratory hypersensitivity, inflammation, and reversible airway obstruction.
ETIOLOGY
Hyperresponsiveness to a variety of stimuli:
Respiratory infection
Air pollutants
Allergens
Foods
Exercise
Emotions

Asthma is the most common chronic lung disease in children.
PATHOPHYSIOLOGY
Bronchospasm (acute).
Mucus production (acute).

Lack of wheezing does not exclude asthma.
Inflammation and edema of the airway mucosa (chronic).
Two types:
Extrinsic:
Immunologically mediated
Develop in childhood
Intrinsic:
No identifiable cause
Late onset
Worsen with age
Underlying abnormalities in asthma include
pulmonary vascular pressure, diffuse narrowing of airways,
residual volume and functional residual capacity, and
total ventilation maintaining normal or reduced PCO2 despite
dead space.

Asthma is the most common cause of cough in school-age children.
SIGNS AND SYMPTOMS
Cough, wheezing, dyspnea.
work of breathing (retractions, use of accessory muscles, nasal flaring, abdominal breathing).
breath sounds.
Prolongation of expiratory phase.
Acidosis and hypoxia may result from airway obstruction.
See Table 12-4 for classification of severity.

Classic trilogy of asthma:
Bronchospasm
Mucus production
Inflammation and edema of the airway mucosa
DIAGNOSIS
Clinical diagnosis, usually.
Peak expiratory flow rate (PEFR):
Maximal rate of airflow during forced exhalation after a maximal inhalation.
Normal values depend on age and height:
Mild (80% of predicted).
Moderate (50–80% of predicted).
Severe (< 50% of predicted).

Respiratory drive is not inhibited in asthma.
TABLE 12 - 4. Asthma Severity Classification
CLASSIFYING SEVERITY OF ASTHMA EXACERBATIONS IN THE URGENT OR EMERGENCY CARE SETTING

Chest x-ray will demonstrate hyperinflation and can be useful to look for pneumonia.
Pulse oximetry may demonstrate hypoxia.
Fever and focal lung exam—think pneumonia.
Unresponsive to usual URI therapy.
ABG—hypoxia in severe exacerbations; hypercapnia suggestive of impending respiratory failure.
Bloodwork should not be routinely ordered in the evaluation of asthma.

All wheezing is not caused by asthma; all asthmatics do not wheeze.
TREATMENT
Goals: Improve bronchodilation, avoid allergens,
inflammation, educate patient.

Asthmatic patient in severe respiratory distress may not wheeze.
First-Line Agents
1. Oxygen.
2. Inhaled β2 agonist:
Albuterol (2.5 mg) (nebulized).
Short-acting/rescue medication—treats only symptoms, not underlying process.
Bronchial smooth-muscle relaxant.
Side effects: Tachycardia, tremors, hypokalemia.
3. Corticosteroids (sooner is better):
For treatment of chronic inflammation.
Oral prednisone (2 mg/kg, max 60 mg) or IV methylprednisolone 2 mg/kg max 125 mg).
Contraindication: Active varicella or herpes infection.
4. Anticholinergic agents:
Ipratropium bromide (nebulized).
Act synergistically with albuterol.
Bind to cholinergic receptors in the medium and large airways.
Second-Line Agents
1. Magnesium sulfate—bronchodilation via direct effect on smooth muscle.
2. Epinephrine or terbutaline.
3. No role in acute asthma for theophylline; not recommended.
Others
1. Heliox—mixture of 60–70% helium and 30–40% oxygen:
work of breathing by improving laminar gas flow (nonintubated patient).
Improves oxygenation and
peak airway pressure (intubated patients).
2. Mechanical ventilation indications:
Failure of maximal pharmacologic therapy.
Hypoxemia.
Hypercarbia.
Change in mental status.
Respiratory fatigue.
Respiratory failure.
3. Leukotriene modifiers:
Inflammatory mediators.
Improve lung function.
No role in acute asthma.
4. Cromolyn and nedocromil:
Effective in maintenance therapy.
Exercise-induced asthma.
May reduce dosage requirements of inhaled steroid.

Spirometry is the most important study in asthma.

O2 is indicated for all asthmatics to keep O2 saturation > 95%.

Long-acting β2 agonist (salmeterol) should not be used for acute asthma exacerbation.
Admit if:
Respiratory failure requiring intubation.
Status asthmaticus.
Return ED visit in 24 hours.
Complete lobar atelectasis.
Pneumothorax/pneumomediastinum.
Underlying cardiopulmonary disease.

Asthmatic child’s ability to use inhaler correctly should be regularly assessed.

Inhaled corticosteroids are recommended as the first-line prophylactic therapy.
Status Asthmaticus
DEFINITION
Life-threatening form of asthma.
Condition in which a progressively worsening attack is unresponsive to usual therapy.
SIGNS AND SYMPTOMS

Most important risk factor for morbidity is failure to diagnose asthma from recurrent wheezing.
Look for:
Pulsus paradoxus > 20 mm Hg.
Hypotension, tachycardia.
Cyanosis.
One- to two-word dyspnea.
Lethargy.
Agitation.
Retractions.
Silent chest (no wheezes—poor air exchange).

white blood cell (WBC) count does not always signify infection in status asthmaticus.

Dehydration may be present in status asthmaticus, but overhydration should be avoided (risk for syndrome of inappropriate antidiuretic hormone secretion [SIADH]).
FOREIGN BODY ASPIRATION
![]()
A 2-year-old boy is brought to the ED with a history of a choking or gagging episode, followed by a coughing spell. In the ED, he was noted to have wheezing. His respiratory rate is 24, and he has mild intercostal retractions. His babysitter found him playing in his room. Think: Foreign body aspiration.
![]()
A previously healthy 12-year-old boy presented with cough for almost a year. He had a persistent dry cough during the day and night that was occasionally productive. His parents reported a history of pneumonia with consolidation of the right lower lobe on three different occasions in 6 months. On physical examination, no nasal congestion is noted.
air entry and wheezing is noted on the right side of his chest. Think: Foreign body aspiration.
However, this classic triad (sudden onset of paroxysmal coughing, wheezing, and diminished breath sounds on the ipsilateral side) may not be present in all children with foreign body aspiration.
PATHOPHYSIOLOGY
Cough reflex usually protects against aspiration.
EPIDEMIOLOGY
Twice as likely to occur in males, particularly 6-month-olds to 3-year-olds.
Most common age: 1–2 years.

Prevention is key! Keep small food and objects away from young children.
SIGNS AND SYMPTOMS
Determined by nature of object, location, and degree of obstruction.
Narrowest portion of the pediatric airway is at the cricoid ring.
Foreign body in the upper airway: Respiratory distress with severe retractions and stridor.
Foreign body in the lower airway (most foreign bodies lodge in the lower airways [80%]). Symptoms may be subtle.
Initial respiratory symptoms may disappear for hours to weeks after incident.
Vegetal/arachidic bronchitis due to vegetable (usually peanut) aspiration causes cough, high fever, and dyspnea.
Most common aspirated foreign body: Peanut.
Most common foreign body aspirations resulting in death: Balloons.
Complications if object is not removed include pneumonitis/pneumonia, abscess, bronchiectasis, pulmonary hemorrhage, erosion, and perforation.

Caution! Do not try to remove foreign bodies causing partial upper airway obstruction because these attempts may result in complete glottic obstruction.
DIAGNOSIS/TREATMENT

Foreign Body Aspiration
Toddlers: R = L mainstem
Adults: R mainstem predominates
Larynx
Croupy cough; may have stridor, aphonia, hemoptysis, cyanosis.
Lateral x-ray.
Direct laryngoscopy—confirm diagnosis and remove object.
Trachea
Stridor, audible slap, and palpable thud due to expiratory impaction.
Chest x-ray (see Figure 12-6), bronchoscopy.
Bronchi
Initial choking, gagging, wheezing, coughing.
Latent period with some coughing, wheezing, possible hemoptysis, recurrent lobar pneumonia, or intractable asthma.
Percussion of Lung Fields
Hyperresonant = overinflation
Dull = atelectasis

FIGURE 12-6. Radiograph of lateral soft tissue of the neck demonstrates a foreign body (nail) in the pharynx.
(Courtesy of Dr. Gregory J. Schears.)

FIGURE 12-7. Foreign body (peanut) in the right mainstem bronchus visualized by bronchoscopy.
Foreign bodies tend to lodge most commonly in the right mainstem bronchus due to the larger anatomic angle that makes traveling down right mainstem easier. (Courtesy of Dr. Gregory J. Schears.)
Tracheal shift,
breath sounds.
Midline obstruction can cause severe dyspnea or asphyxia.
chronic bronchopulmonary disease if not treated.
Direct bronchoscopic visualization (Figure 12-7).
Antibiotics for secondary infection if prolonged exposure.
Emergency treatment of local upper airway obstruction if necessary.
If the child can cough and verbalize:
Provide supplemental oxygen.
Maintain position of comfort.
Immediate consultation with ENT and anesthesia.
If the child cannot cough or verbalize, initiate basic life support.
TRACHEOESOPHAGEAL FISTULA (TEF)
DEFINITION
Connection between the trachea and esophagus (see Figure 12-8).

FIGURE 12-8. Types of tracheoesophageal fistulas (TEFs).
Type A, esophageal atresia (EA) with distal TEF (87%). Type B, isolated EA. Type C, isolated TEF. Type D, EA with proximal TEF. Type E, EA with double TEF.
ETIOLOGY
Congenital
Acquired
SIGNS AND SYMPTOMS
Suspect esophageal atresia.
Maternal polyhydramnios.
Inability to pass catheter into stomach.
oral secretions—drooling.
Choking, cyanosis, or coughing with an attempt to feed.
Tachypnea.
DIAGNOSIS
X-ray: Radiopaque feeding tube passes no further than proximal esophagus.
Barium swallow: Aspiration of barium into the tracheobronchial tree.
TREATMENT
Esophageal atresia is a surgical emergency.
TRACHEOMALACIA/LARYNGOMALACIA
DEFINITION
Floppy epiglottis and supraglottic aperture.
Disproportionately small and soft larynx.
SIGNS AND SYMPTOMS
Usually begins within first month.
Noisy breathing.
Stridor—laryngomalacia is the most frequent cause of stridor in children.
Symptoms can be intermittent.
Hoarseness or aphonia (laryngeal crow).
Feeding difficulty.
Symptoms worse when crying or lying on back.
DIAGNOSIS
Direct laryngoscopy.
Collapse of laryngeal structures during inspiration especially arytenoid cartilages.
TREATMENT
Reassurance.
No specific therapy required.
Usually resolves spontaneously by 18 months.

There is an association of tracheoesophageal fistulae with esophageal atresia.

H-type tracheoesophageal fistula is the least common but the most likely to be seen in ED.
CONGENITAL LOBAR EMPHYSEMA (INFANTILE LOBAR EMPHYSEMA)
DEFINITION
Overexpansion of the airspaces of a segment or lobe of the lung.
EPIDEMIOLOGY
Most common congenital lung lesion.
PATHOPHYSIOLOGY
No significant parenchymal destruction.
SIGNS AND SYMPTOMS
Normal at birth.
Cough, wheezing, dyspnea, and cyanosis within a few days.
DIAGNOSIS
Chest x-ray.
Radiolucency.
Mediastinal shift to opposite side.
Flattened diaphragm.
TREATMENT
Remove bronchial obstruction (foreign bodies, mucous plug).
Lobectomy.
CYSTIC ADENOMATOID MALFORMATION
DEFINITION
Developmental anomaly of the lower respiratory tract.
Excessive overgrowth of bronchioles.
in terminal respiratory structure.
Hamartomatous lesions.
EPIDEMIOLOGY
Second most common congenital lung lesion.

In patients with cystic adenomatoid malformation, avoid attempted aspiration or chest tube placement, as there is the risk of spreading infection.
SIGNS AND SYMPTOMS
Neonatal respiratory distress.
Recurrent pneumonia in same location.
Pneumothorax.
May be confused with diaphragmatic hernia in neonatal period.
DIAGNOSIS
Chest x-ray (posteroanterior [PA], lateral, and decubitus).
Cystic mass (multiple grapelike sacs) and mediastinal shift.
Air-fluid level.
CT scan.

Cystic adenomatoid malformation
the risk for pulmonary neoplasia.
TREATMENT
Surgical excision of affected lobe.