Annika Julihn, Margaret Grindefjord, and Ivar Espelid
The concept of caries diagnosis
The proper management of dental caries in clinical practice requires an accurate diagnosis. Before deciding on a treatment plan, which may include a range of clinical techniques, the characteristics of the manifestations of the caries disease of the individual child must be assessed. This includes the child as a whole, as well as individual teeth and surfaces. In this chapter the concept of caries diagnosis and its diagnostic tools are described. The chapter also describes the concepts of nonoperative and operative treatment and the properties of restorative materials and techniques for their use. Age‐specific considerations related to caries diagnosis and treatments are described under separate headings.
Dental caries is the localized destruction of susceptible dental hard tissues by acidic byproducts from bacterial fermentation of dietary carbohydrates [1,2]. The disease process is initiated within the bacterial biofilm (dental plaque) that covers the tooth surface. The process is dynamic and numerous episodes of loss and gain of mineral (demineralization and remineralization) take place on the enamel surface. If demineralization prevails over remineralization the result will be permanent and irreversible loss of mineral, cavity formation, and continuous destruction of hard tissues [3]. The signs and symptoms of the disease range from the smallest subsurface loss of minerals to severe destruction of the tooth (Figure 12.1). In clinical practice, the signs and symptoms of the carious demineralization describe the disease once it is detectable by visual–tactile examination possibly combined with other diagnostic methods such as radiography. In this chapter the term caries is used to describe both the caries disease and the caries symptoms (lesion). See Box 12.1.

Figure 12.1 How is caries defined? Caries disease is assessed by its signs and symptoms that depend on the severity of the disease. The figure shows the time‐dependent development of a lesion from a subclinical level to increasing destruction of dental hard tissues.
Box 12.1
Caries diagnosis
Should imply professional, comprehensive assessment of all patient information including clinical findings
Caries disease
Localized destruction of dental hard tissues by acidic byproducts in the biofilm from bacterial fermentation of dietary carbohydrates. In more advanced stages are proteolytic enzymes involved in dentin destruction
Caries symptoms
Subjective symptoms: The patient experiences discolored enamel, cavities, and pain or other signs associated with dental caries
Objective symptoms: Signs of caries can be detected clinically by visual inspection, probing (tactile) or by other means as radiographs, fiberoptic transillumination, etc.
Caries severity (lesion assessment)
Degree of caries registered according to a severity index and activity status (active versus arrested lesion)
Caries treatment
Nonoperative treatment implies no removal of dental hard tissues
Operative treatment includes removal and preparation of a cavity and filling with a restorative material
Detection and assessment of the caries lesion (caries diagnosis)
Assessment of the presence or absence of a caries lesion is dependent on the cut‐off chosen. Traditionally, the presence of a cavity involving the dentin defines a carious (decayed) tooth that needs a filling. Along with changes in caries prevalence, incidence, distribution, severity, and rate of lesion progression, the treatment philosophy has also changed. Thus, there is a growing international trend in clinical practice to move, wherever possible, away from operative intervention towards the nonoperative treatment of caries [4]. This has necessitated the need for a more detailed description and assessment of the caries lesion and also methods for monitoring the behavior of a lesion (regression, progression, or no change) [5].
Assessing and grading lesion severity
A valid and reliable system for assessing and grading the severity of the caries lesion has many advantages:
· Progression of the disease can be more accurately monitored and the effect of measures to control the disease may be evaluated.
· Clinicians can calibrate themselves and inter‐observer and intra‐observer reliability can be assessed.
· It can facilitate the communication between the clinician, the patient, and the parent.
· It can facilitate the communication between clinicians, researchers, and public dental health workers.
The ICDAS (International Caries Detection and Assessment System) has been introduced for this purpose and great efforts have been made and still continue to make the criteria valid and reliable [6]. The ICDAS detection codes range from 1 to 6 depending on the severity of the caries lesion. The basis is essentially the same for all types of surface, but varies somewhat depending on surface characteristics (pit and fissures versus free smooth surfaces) and whether or not there are adjacent teeth present (mesial and distal surfaces). The codes and criteria are given in Box 12.2.
Box 12.2 Codes and criteria used to assess and grade the severity of a caries lesion according to International Caries Detection and Assessment System (ICDAS)
1. Sound surface
2. First visual change in enamel (seen only after prolonged air‐drying or restricted to within the confines of a pit or fissure)
3. Distinct visual change in enamel
4. Localized enamel breakdown (without clinical visual signs of dentin involvement)
5. Underlying dark shadow from dentin
6. Distinct cavity with visible dentin
7. Extensive distinct cavity with visible dentin
Detection and grading the severity of approximal lesions of surfaces contacting neighboring teeth are done from bitewing examination. How radiographic findings should be integrated with the clinical ICDAS criteria is still to be decided. ICDAS‐based codes for free smooth surfaces and occlusal surfaces are presented in Figure 12.2(a). An alternative to the ICDAS criteria, which also includes radiographic scores for approximal surfaces, is given in Figure 12.2(b).


Figure 12.2 (a) ICDAS‐based criteria for severity grading of caries on free smooth and occlusal tooth surfaces. (b) Alternative index using a five‐graded scale for severity grading of caries on free smooth, occlusal, and approximal tooth surfaces.
Assessing and grading lesion activity
Assessment of lesion activity is as important as lesion detection. Criteria for active and inactive caries lesions slightly modified after Nyvad et al. [7] and Ekstrand et al. [8] are presented in Box 12.3. Figure 12.3illustrates active and arrested lesions.




Figure 12.3 Active and inactive/arrested caries lesions. Upper row shows initial (noncavitated lesions) and the lower row shows cavitated lesions. (a) Active noncavitated lesions close to the gingival line on the buccal surfaces of primary upper incisors in a 2‐year‐old. There is loss of luster and the lesions are rough on probing. (b) Arrested noncavitated lesions on the buccal surfaces of primary upper incisors in a 4‐year‐old. The lesions are situated at a distance from the gingival line, and are shiny and hard on probing. (c) Active cavitated lesion in a primary lower second molar in a 5‐year‐old. The dentin is soft on probing and the cavity borders are blunt and irregular. (d) Inactive/arrested cavitated lesion in a primary lower first molar in a 7‐year‐old. The dentin is brownish‐black, hard on probing, and the cavity borders are sharp and regular.
Box 12.3 Clinical characteristics of active and inactive noncavitated and cavitated lesions
|
Active caries |
Inactive/arrested caries |
|
|
Noncavitated |
Chalky/whitish enamel. Surface is rough on gentle probing. Often covered with plaque and often located close to the gingival line |
Whitish, brownish, or blackish enamel. Shiny, hard surface, smooth on gentle probing. Often located at a distance from the gingival line |
|
Cavitated |
The probe sticks in cavitated areas and the base feels soft or leathery on gentle probing |
The base of the cavity is hard on gentle pressure with probe. Discolored tissue (brown or black). Often open access to cleaning |
Diagnostic tools
Visual–tactile and radiographic examination
The two traditional, and still most commonly used, diagnostic tools are visual–tactile examination and bitewing radiography. How accurate are these methods? That is, how well do they correspond to the true presence and extension of a lesion? A systematic review [9] concluded that visual–tactile examination is a simple, cheap, and reliable method for diagnosing obvious lesions on all tooth surfaces not contacting neighboring tooth surfaces. Also, visual–tactile examination is reliable for detecting early enamel lesions on buccal and lingual surfaces. It is, however, less accurate for detecting enamel and early dentin lesions on occlusal surfaces. For this purpose visual examination of occlusal surfaces should be combined with bitewing radiography. The same applies to enamel and dentin lesions on approximal surfaces in contact with adjacent teeth.
The teeth should be cleaned, dried, and examined in good lighting. A whitish carious spot is detected more easily when the tooth is dry, since the difference in refractive index between carious and sound enamel is higher when the water in the porous carious enamel is removed by drying.
Occlusal surfaces (pit and fissures)
Particularly in pits and fissures, the probe should be used carefully in order to avoid iatrogenic damage (Figure 12.4). The probe is an important tactile aid and may be necessary to remove plaque. However, solely visual assessment of early (noncavitated) fissure caries lesions is not improved by probing [10]. In this context it is important to recognize that even if the probe “catches,” this does not necessarily mean that there is a soft lesion.

Figure 12.4 Sectioned premolar with an enamel caries lesion in the fissure before probing (left). Intense probing (right) destroys the surface zone of the lesion.
Early caries lesions may develop during tooth eruption when the occlusal surface of the molar constitutes a plaque stagnation area [11]. The reason is that the occlusal surface is located below the occlusal plane and is easily missed by the toothbrush. These early lesions are characterized by whitish opaque areas at the entrance of the fissures, and are easy to overlook if the surface is not clean and dry and the lighting is not optimal. For the same reasons, small cavitated lesions in these areas may easily be missed.
The discolored fissure often poses diagnostic challenges. A discolored fissure does not necessarily indicate an active caries process. To discriminate between active and inactive or arrested lesions, the following characteristics may help:
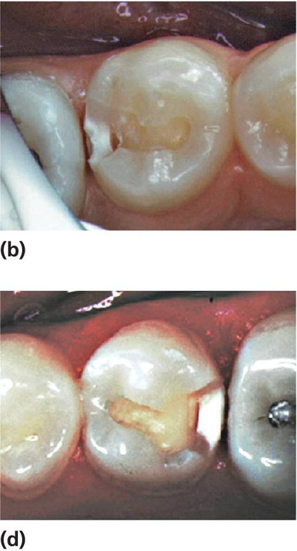
· Active lesions are most frequently seen in erupting and newly erupted teeth in children with other signs of caries activity in the dentition. The discoloration is usually opaque, whitish, or light brownish. Softened enamel at the entrance of the fissure from gentle tactile probing is indicative of an active lesion. When the discoloration also involves obvious loss of continuity of the enamel surface (clinical cavity), bitewing examination frequently reveals a radiolucency in the dentin (Figure 12.5). Many borderline cases can be difficult to diagnose. For these cases, bitewing radiography is a valuable tool for assessing possible dentin involvement (Figure 12.6a,b).
· Inactive lesions are usually seen in “older” teeth in adolescents with no signs of caries activity. The discoloration is dark brown or black and the surface is hard on careful probing (Figure 12.6c). There is usually no substantial dentin involvement.

Figure 12.5 A small but obvious occlusal cavity in the central fossa of a permanent first molar (arrow). The borders around the cavity are whitish and rough in texture suggesting an active caries process. There is a shadow from underlying dentin caries. The radiograph reveals a substantial radiolucency in the dentin (arrow).



Figure 12.6 (a) Light brown discolored fissures in a permanent first molar of an 8‐year‐old. The enamel around the central fossa is whitish and there is softened enamel at the entrance of the fissure indicating an active lesion (arrow). (b) The radiograph reveals radiolucency in the dentin (arrow). (c) Dark brown/black discolored fissures in a permanent first molar of a 19‐year‐old with a low caries activity. The fissures are hard on probing indicating an arrested (inactive) lesion.
Free smooth surfaces
The buccal and lingual aspects of teeth are easily examined, and it is easier to disclose small changes in surface color and texture of early caries lesions on these surfaces compared to “inaccessible” areas on approximal surfaces or in pits and fissures. The active lesion on free smooth surfaces is usually located near the gingival margin. It is whitish and rough in texture (Figure 12.3a). In contrast, a typical inactive lesion is often seen in primary incisors at a distance from the gingival margin when the tooth is fully erupted, is hard on probing, and the lesion may be shiny (Figure 12.3b).
Approximal surfaces
Radiographic examination is the most commonly used method for detecting and assessing caries lesions on approximal surfaces with adjacent contacting surfaces. The early, noncavitated lesion on these surfaces is, however, not possible to detect in the radiographic image [9] and usually not from direct visual–tactile examination either. It is important to bear in mind that the proportion of false‐positive diagnoses from bitewing radiography is relatively high in low caries prevalence populations. Details on the validity of radiographic caries diagnosis are described in Chapter 8.
For an approximal caries lesion contacting a neighboring tooth, the border between nonoperative and restorative treatment is the presence of an obvious clinical cavity on the tooth surface. This diagnostic decision is therefore crucial. However, on this matter the radiograph does not give straightforward information. An example of this is shown in Figure 12.7, where only one of two lesions with similar radiographic appearance had a clinical cavity. Studies comparing the radiographic and clinical appearance of approximal lesions in children and young adults report great variation. The percentage of clinical cavities of surfaces with radiolucencies in the outer half of the dentin varies between 41 and 100%, the median (mean) values being 78% [12–18]. The most likely reasons for this variation are different methods used to record the presence of a cavity, different depths of the lesions investigated, and different populations with different caries activity in the various studies. It is obvious, however, that the deeper the lesion, the more likely is cavitation.


Figure 12.7 Caries lesions on distal surfaces of two mandibular second premolars: both radiographs (a and c) showed radiolucency in outer dentin, but during cavity preparation, a clinical cavity was observed only in one of them (b).
Some clues are useful to assess the probability of the presence of a cavity. Cavitation was more frequently found in A2 and A3 lesions (Figure 12.2b) in individuals with high caries activity than in those with lower caries activity [14]. Cavitated lesions were found more frequently in surfaces with gingival bleeding [19,20]. Tooth separation will allow gentle probing to assess the presence of a cavity. The use of an impression of the approximal surface can be helpful for diagnosing borderline cases [14,17,20]. Admittedly, we lack a simple and valid method for assessing the presence of a cavity on the approximal surface contacting a neighboring surface.
It is likely that the extensive use of fluorides has led to a change in the clinical appearance of pit and fissure caries as well as of approximal caries. The finding of a relatively intact enamel surface hiding a dentin lesion is not uncommon (Figure 12.8). Continuous fluoride supply seems to delay the progression of the caries process in enamel as well as the breakdown of the enamel surface over the dentinal lesion. This phenomenon is sometimes called occult caries [21].


Figure 12.8 Hidden caries under a seemingly sound occlusal surface of a permanent lower second molar in a 14‐year‐old. (a) Visual–tactile examination of the surface did not reveal any clear signs of caries. (b) The bitewing radiograph shows, however, an obvious radiolucency in the dentin. The presence of soft carious dentin was confirmed at drilling.
Alternative/supplementary diagnostic tools
There are a variety of alternative/supplementary caries‐diagnostic tools available to the pediatric dentist:
· fiber optic transillumination (FOTI)
· digital fiber optic transillumination (DiFOTI)
· laser fluorescence (DIAGNOdent)
· near‐infrared (NIR) transillumination technique (DIAGNOcam)
· quantitative light‐induced fluorescence (QLF)
· electronic caries measurement (ECM).
The first five are optical methods and the last one is based on electrical impedance. FOTI (DiFOTI) is used as an alternative to bitewing radiography. Holt and Azevedo [22] compared the diagnostic gain from FOTI and radiography and concluded that in terms of accuracy and reliability, the use of FOTI offered no advantage over radiography. In situations when radiography cannot be used, for example children not accepting having radiographs taken, FOTI can serve as an alternative. DIAGNOcam represents a further development of FOTI, but the methods need validation before it can be recommended as a supplement to radiography. In a clinical study, the laser‐based DIAGNOdent detected both enamel and dentin lesions with high sensitivity but at the price of high proportion of false‐positive diagnoses (low specificity) [23]. This suggests a considerable risk of overtreatment when relying on this method. QLF can detect small changes in mineral loss with high accuracy but the method is so far little used in clinical practice. ECM was tested in two studies on extracted teeth [24,25]. High specificity was found in both but sensitivity varied from low to high in the two studies.
In conclusion, each of these alternatives and supplementary diagnostic tools has shown advantages and drawbacks. A systematic review concluded that there is not sufficient evidence to decide on the accuracy of these diagnostic tools [26].
The concept of caries treatment
There has been a strong tradition in dentistry to associate caries treatment with restorative techniques, and to use the term prevention for methods aiming at preventing this kind of treatment. The major drawback with this way of thinking is that it makes dentistry restorative focused. This affects how we make treatment decisions, how we judge the value of restorative treatment, and how resources are allocated. However, since the signs and symptoms of dental caries are the result of a disease process, our treatment should aim at arresting the disease process before repair of destroyed tissue is needed [27]. In other words, the primary treatment objective should be to manage the disease by nonoperative measures, while repair of destroyed tissue should come second. It follows that it is very important that resources be allocated accordingly.
Nonoperative treatment aims at reversing, arresting, or postponing progression of the caries lesion and should be the choice of treatment whenever possible. Surgical correction of a medical chronic disease is not effective. Therefore, operative treatment should be used only when progression of the caries lesion cannot be prevented, that is, when the lesion is cavitated and adequate plaque control cannot be obtained. From one perspective, nonoperative treatment of noncavitated lesions and operative (restorative) treatment of more advanced lesions both have the same main objective, that is, to prevent the disease from further progression leading to further tissue destruction, infection of teeth and other tissues which may create pain, suffering, and reduced function. The major difference between nonoperative and operative treatment is the long‐term benefit of an unrestored tooth.
Nonoperative treatment
The nonoperative treatment techniques are the same as those used to prevent caries, that is, oral health behavior counseling, fissure sealing, and use of fluoride. Nonoperative treatment is used mainly for noncavitated lesions, but there are exceptions such as the management of cavitated lesions in small uncooperative children (see the section “0–3 years”).
The most commonly used techniques are:
· General intervention (patient‐oriented): The basic and most important measure is to motivate and teach the patient how to remove dental plaque covering the caries lesion, to keep the lesion clean on a daily basis with the use of fluoride toothpaste. Diet counseling may also be included. In special cases, when the patient and/or the parent are unable to clean the teeth, professional plaque removal may be indicated [28] (Figure 12.9).
· Local intervention (lesion‐oriented): Fissure sealing is used to treat noncavitated caries lesions in pits and fissures. This treatment concept is based on the assumption that a properly placed sealant prevents micro‐leakage from the oral environment. Thereby, supply of nutrients to bacteria in the caries lesion is restrained and the caries process arrested. There is support from the literature that the caries process does not progress as long as the seal is intact, and this applies to both enamel and dentin caries [29–33]. Evidence for the effectiveness of sealing noncavitated caries lesions in pits and fissures in clinical practice is, however, incomplete [34,35]. Notably, this does not prove that the technique is not effective; lack of evidence of effect may rather be due to scarcity of well‐designed and well‐performed clinical studies in contemporary populations. In a systematic review from Cochrane the application of resin‐based sealants is a recommended procedure to prevent and control caries in permanent first molars [36]. Furthermore, recently, a systematic review concluded that occlusal fissure sealing with a resin‐based sealant may arrest the progression of noncavitated occlusal dentinal caries [29]. However, further clinical trials with longer follow‐up times must be performed to strengthen the scientific evidence.
· Fluoride varnish application is a medicinal mode of treating noncavitated caries lesions. When topical application of Duraphat® was used in teenagers every third month during a 3‐year period, the progression rate of approximal lesions in premolars and molars was reduced significantly [37]. This procedure requires resources in terms of professional personnel, time, and equipment but this should be weighed against the benefits. Thus, if successful, this treatment is so much more valuable to the child than a restoration, because it preserves sound tooth tissue. As for fissure sealants, the evidence for the effectiveness of fluoride varnish for treating noncavitated caries lesions is incomplete, implying that there is a need for more studies in this field [34,35].
· Glass ionomer cements (GIC) may be used as a temporary sealant in fissures and other lesions, based on their cariostatic and fluoride‐releasing properties. This is described later in this chapter.

Figure 12.9 (a) to (j) A 14‐year‐old boy who was treated with bone marrow transplantation (BMT). Three months later he developed graft‐versus‐host disease, which prolonged his hospitalization to a total of 4 months. His condition and the treatment he received resulted in hyposalivation, and during the treatment period he experienced frequent supply of sugary drinks, inadequate dental hygiene, and little fluoride exposure.
Photos (a) and (b) show situation 16 months after BMT. Reproduced with permission of Eva Gudrun Sveinsdottir.
Operative (restorative) treatment
Irreversible loss of tooth substance and surface continuity has occurred when tooth mineral is lost to the extent that a cavity is formed. This is a critical stage since—unless plaque is effectively removed from the surface of the cavity—destruction of hard tissue will continue. Strictly speaking, the critical border between nonoperative and operative (restorative) treatment is when the patient cannot remove plaque effectively. That border often corresponds to cavity formation (codes 3–6 in Figure 12.2a). This particularly applies to occlusal surfaces and approximal surfaces contacting a neighboring tooth. On buccal and lingual surfaces, even a lesion with an obvious cavity can be arrested without placing a restoration since the surface is accessible to cleaning with the toothbrush (Figure 12.9).
Most restorative techniques include irreversible loss of sound tooth tissue and therefore permanently weaken the tooth. Furthermore, restorations do not last forever and as a filling is replaced, the cavity becomes larger and the tooth further weakened. This is true particularly for Class II restorations in primary teeth. Their longevity is further discussed later in this chapter. With Class II restorations there is also a considerably increased risk of iatrogenic preparation damage to the neighboring approximal surface resulting in an increased risk of lesion progression of the damaged surface [38,39]. It follows that there are several reasons to scrutinize whether operative treatment is in the best interest of the patient.
Before deciding to restore, the following factors should be considered:
· The potential for plaque removal. The potential for lesion arrest depends on whether or not plaque can be removed from the surface of the cavity. In principle, plaque covering a cavity on a buccal or lingual surface can be removed by the patient with a toothbrush. The critical question is therefore: will the child or the parent be able to clean the cavity effectively? Whether or not this can be done properly has to be decided for the individual patient. Particularly in small children where cooperation for restorative treatment is not optimal, the best option could be to teach the parent to remove plaque from the lesion, that is, to turn an active cavitated lesion into an inactive, arrested lesion. The patient cannot clean an obvious cavity on an approximal surface with a contacting surface effectively—even flossing will only slide over the surface—and the lesion should therefore be restored. The same applies to most cavities on occlusal surfaces. The molar in Figure 12.5 could serve as an example. The cavity in this permanent first molar cannot be cleaned effectively by the patient since the toothbrush cannot reach the cavity floor because of the undermined enamel. This cavity should therefore be restored.
· Lesion activity—active or arrested lesion. If there are signs of arrest of a cavitated lesion, restorative treatment may be unnecessary [40]. This mostly applies to buccal and lingual lesions. Assessment of caries activity is often difficult for lesions not accessible to visual examination, that is, approximal surfaces in contact with adjacent teeth. Several approximal caries lesions or fillings in an individual often indicate high caries activity with an overall increased risk of relatively fast lesion progression. However, even for the caries‐active individual, the rate of progression for a given lesion is difficult to estimate. The only means of deciding whether the lesion is active or arrested is therefore to observe it from repeated radiographic examinations. Here it is important to realize that even with radiographs of good quality, small differences in projection, darkness, and/or contrast can make it difficult to assess whether the lesion has diminished, progressed, or is unchanged. Although it is likely that noncavitated caries lesions visible radiographically can be arrested, the scientific evidence for it is incomplete [9,34].
· Influence of caries prevalence in the population on the risk of overtreatment. The interpretation of the radiographic image is always associated with risks of making false‐negative and false‐positive diagnoses (see Chapter 8). The risk of overtreatment mainly concerns approximal lesions. The reason is that the proportion of false‐positive radiographic diagnoses is relatively high in low‐caries prevalence populations. In other words, the predictive value of a positive diagnosis is low. This can be compensated for by adopting the philosophy of “when in doubt, wait” for borderline cases.
Indications for operative (restorative) treatment of primary teeth
There are several indisputable reasons for maintaining a healthy primary dentition (Box 12.4). However, the benefit and effectiveness of restoring primary teeth are sometimes questioned by practicing dentists as well as by parents of preschool children. The risk of toothache, if not restoring carious primary teeth, was investigated in two studies from England. In one [41], total caries experience in primary molars was the main predictor of pain, while increased levels of restorative care did not lead to either reduced levels of reported pain or to fewer extractions. The authors concluded that if restorative care is not an important factor in predicting dental pain but total decay experience is, then prevention of the disease rather than its repair should form the focus of care for young children. The other study [42] found that 82% of caries lesions extending into the dentin, but left unrestored, exfoliated without symptoms, while 18% had caused pain and were extracted or otherwise treated. The carious teeth most likely to cause symptoms were found in molars that developed cavities with pulpal involvement by the age of 3 years, 34% of which caused pain. Both studies were retrospective and they have several methodological flaws. Bitewing examination was not used and the severity of the lesions at the time of restoration is not stated. In the study by Milsom et al. [41] the involved general practitioners were not selected randomly and—perhaps the most serious flaw—the children were not randomly assigned to restoring or not restoring the carious teeth. It is remarkable that restored teeth suffered the same fate as unrestored teeth. This could, however, occur if the lesions were in advanced stages with pulp involvement at the time of restorative treatment. The quality of restorative care may therefore be questioned. Furthermore, the only outcome measure was pain whereas other important parameters were not considered (see Box 12.4). Admittedly, however, there is a need for prospective randomized clinical trials designed to evaluate at what ages and which primary teeth benefit from restorative treatment [43].
Box 12.4 Main reasons to control caries in the primary dentition
· Prevent pain and discomfort
· Prevent local infection of jaws and germs of permanent teeth
· Prevent general infection
· Prevent negative attitudes and promote interest in keeping good oral health
· Maintain good masticatory function, aesthetics, and overall well‐being
· Prevent caries in permanent teeth by introducing them to a sound oral environment
· Prevent malocclusions
Treatment planning
Treatment planning for the individual child includes the strategy that one applies after having examined the child and recorded its history. Any treatment action must be adjusted to the child’s age, maturity, and ability to cope. This is dealt with in Chapter 6. The treatment is divided into four stages (Box 12.5).
Box 12.5 Treatment planning. Background data: case history, clinical and radiographic examinations
Stage 1: acute treatment
· excavation of open cavities—temporary cement
· necessary extractions
· emergency endodontic treatment
Stage 2: management of the caries disease; general and local interventions
· oral hygiene instruction; plaque control
· diet history; diet counseling
· salivary tests; bacteriological tests
· topical fluoride application
· fissure sealing
Stage 3: restorative (operative) treatment
Stage 4: estimation of risk and establishment of follow‐up program
Stage 1: acute treatment
This stage particularly applies to the highly caries‐active child. The treatment aims at relieving the child from acute pain and discomfort, or preventing any immediate threat of such suffering. The most commonly used therapies are extraction, pulp treatment, or excavation of deep caries lesions with subsequent application of temporary fillings (Figure 12.10). Acute treatment in children with coping problems should be carried out under conscious sedation or general anesthesia (see Chapter 9).

Figure 12.10 (a) A 3‐year‐old boy with high caries activity due to frequent intake of high sucrose‐containing meals. (b) After gross excavation of the caries lesions and application of a temporary zinc oxide–eugenol cement the child is ready for nonoperative treatment.
Stage 2: management of the caries disease; general and local interventions
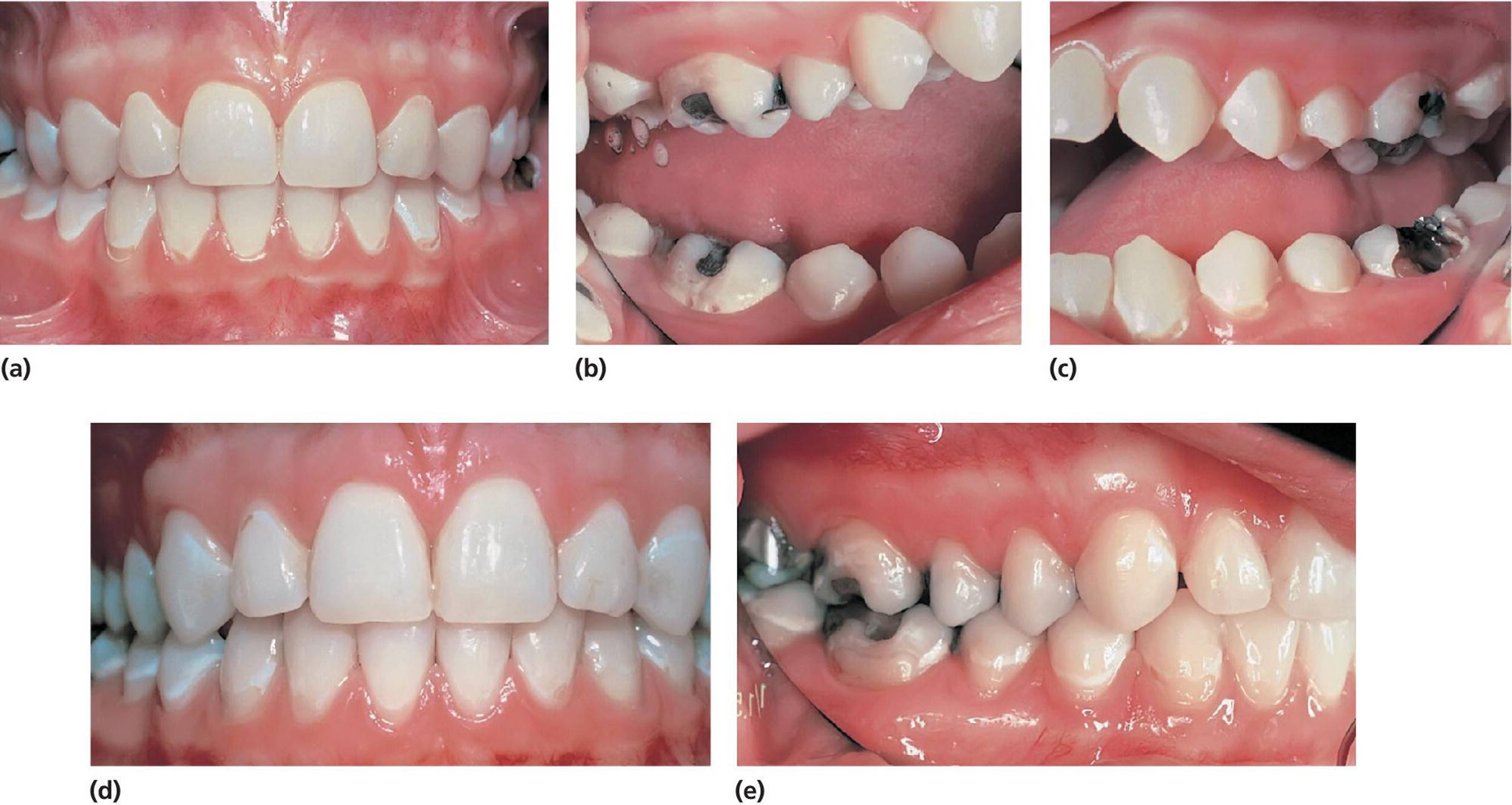
This stage is based on a general consideration of the caries situation, starting with an estimation of the caries activity. Typical signs of active caries are white spot lesions with rough texture, blunt borders, and location close to the gingival line. The higher the number of active lesions, the higher is the activity [44]. In children under regular control and where caries has been recorded over time by the use of a severity grading system, the degree of progression of lesions is also helpful for assessing caries activity. Based on the findings, general and local interventions as described previously in this chapter (section “Nonoperative treatment”) should be applied. In individuals with active caries, stage 2 is the most important phase since it involves treatment of the disease itself. In the most difficult cases, it may take months or even years before the disease is brought under sufficient control so that placement of the “final” restorations can be made. The long‐term goal should be to reduce the need for restorations and thereby ensure the individual’s oral and dental health for a lifetime (Figure 12.11).

Figure 12.11 (a–c) A 13‐year‐old girl with active caries and low motivation, treated by the use of general and local caries‐arresting interventions. (d) Five years later: adequate caries control. (e) Another 3 years later: still adequate caries control. Observe the glossy surfaces of the previously active initial caries lesions.
Stage 3: restorative (operative) treatment
The operative treatment of caries lesions is usually based on traditional techniques that involve the complete removal of soft, demineralized dentin and aims at preventing the caries process from further progression as well as restoring the tooth to its original size and form (and color). However, the principle of total caries removal is questioned and it has been suggested that the total removal of infected dentin is not necessary for the success of caries treatment [40,45]. More conservative approaches such as minimal intervention techniques for the management of caries have been adopted and are becoming more widely accepted in efforts to address and reduce the adverse consequences of restorative treatment. In addition, there is no evidence that the total removal of carious tissue had better performance than minimally invasive procedures in arresting caries lesions.
In a recently updated Cochrane systematic review [46], stepwise, partial, and no‐caries removal was compared with complete caries removal for managing caries in both primary and permanent teeth. The conclusion of the review was that for symptomless and vital teeth, these minimally invasive techniques had clinical advantages over complete caries removals in the management of dentinal caries.
· The stepwise excavation is an established technique and option for the treatment of deep caries lesions. It involves initial excavation, in which the necrotic and disorganized tissue is removed, leaving soft tissue over the pulp wall. The cavity is then temporarily sealed, allowing the pulp to react and produce tertiary dentin [47]. The cavity is subsequently reopened, and the remaining demineralized dentin is removed. In comparison with complete caries removal, stepwise excavation leads to fewer pulp exposures and provides better outcomes with regard to preserving pulp sensitivity [48].
· Partial caries removal implies that the carious dentin is completely removed from the dentino–enamel junction and lateral walls, while the necrotic carious dentin from the cavity floor was only removed superficially. The hypothesis is that a restoration with an adequate peripheral seal, placed over a cavitated dentin lesion, can arrest the progress of caries lesions. The sealing of the cavity contributes to the formation of tertiary dentin and sclerosis of dentinal tubules, thus preventing pulp exposure [40]. However, clinical trials with long‐term follow‐up periods have demonstrated that the cavity sealing is an extremely important factor for the success of this technique, regardless of the material used for protection and induction of the remaining carious dentin [49,50]. Compared to complete caries removal, the technique of partial removal demonstrates similar results in terms of carious lesion progression and longevity of the restorations [46]. It has also been reported in recent systematic reviews that partial caries removal appears to be advantageous because it reduces the risk of pulp exposure and postoperative pulpal symptoms [46,51]. However, further studies with longer follow‐up times must be performed to increase the scientific evidence.
Indications for operative treatment are given in the specific sections for the different age groups later in this chapter.
Stage 4: estimation of risk and establishment of follow‐up program
At the end of the treatment period, an individual risk assessment and a subsequent agreement of recall interval are made. The decreased prevalence of caries among children and adolescents in Scandinavian countries has initiated a discussion of the previously accepted and extensively used 1‐year interval (or even shorter) is too short with regard to the most cost‐efficient use of resources. There are two drawbacks with short recall intervals and frequent check‐ups:
· resources that could be allocated to at‐risk patients are used for screening healthy individuals, and
· increased risk for overtreatment.
Regarding the first of these drawbacks, we maintain that all dentists, irrespective of type of practice and payment system, should strive for an optimal use of resources allocated to dental services. The second argument is dependent on the dentists’ skills and attitudes to dental treatment. Dentists who allocate most of their time and interest to restorative care may constitute a risk group for delivery of overtreatment. In contrast, dentists who focus on preventive and nonoperative techniques for treating caries, and who are sufficiently skilled in caries diagnosis and risk assessment, probably run a lower risk of overtreating. Risk assessment is further discussed in Chapters 8 and 11.
Restorative procedures
Restorative materials: basic principles and handling
Due to controversies about possible side‐effects of mercury, amalgam is no longer allowed in pediatric dentistry in Nordic countries. Therefore, the materials of first choice are GICs, compomers, and composites. These tooth‐colored materials represent a variety of possibilities for improved restorative care in the primary as well as the young permanent teeth due to their ability to adhere to the tooth tissues. In accordance with the principles of minimal invasive dentistry, these materials are appropriate for small cavities with restricted loss of tooth substance. The GICs may also have anti‐cariogenic properties from fluoride release [52], while compomers and composites have good esthetic properties.
New restorative materials are frequently launched following the decreased use of amalgam in dentistry, and it may be difficult for dentists to keep up‐to‐date in the field when the manufacturers’ representatives are boasting the advantages of their products. The classification of the materials may also seem confusing, for example the distinction between resin‐modified GICs (RMGIC) and compomers. McLean et al. [53] suggest a nomenclature for the classification of adhesive materials, and two reviews describe the properties and possibilities of these materials [54,55]. The general characteristics of GICs, compomers (polyacid‐modified resin composite), and composites are summarized in Table 12.1. Uncured resins and degradation products are released from resin‐based restorations like composites, compomers, and RMGIC. Although these materials have been on the market for decades we know little about the potential biological effects of resin‐based filling materials [56]. Adverse effects possibly caused by resin‐based dental materials should also be taken into consideration when there is a choice between using conventional GIC (polyalkenoate cements) and resin‐based materials in primary teeth.
Table 12.1 General characteristics of GICs, compomers, and composites
|
Material |
Strength and wear |
Adhesion |
Handling |
Fluoride release |
|
GICs; conventional and resin‐modified |
Low fracture strength. Low wear resistance |
Moderate to enamel and dentin |
Sensitive to mixture procedure, capsules are recommended. Relatively slow setting reaction and low early strength |
High, possibly caries preventive. Reloads fluoride |
|
Compomers |
High fracture strength. High wear resistance |
High to enamel (acid etch) and dentin |
Easy handling. High early strength. Moisture sensitive |
Low, probably not caries preventive |
|
Composites |
Very high fracture strength. Very high wear resistance |
High to enamel (acid etch), and dentin |
Bonding procedure may be complicated. High early strength. Moisture sensitive |
No |
The conventional GICs adhere to both enamel and dentin and they release fluoride. This occurs mostly during the maturation phase in the first week after application. Still, the low tensile strength and brittleness exclude their use in stress‐bearing areas in permanent teeth, other than as a temporary filling material. To improve the physical and esthetic properties, and to allow a fast set, RMGICs have been developed. The setting mechanism is a combination of light‐induced curing and the acid/base reaction. However, they are not considered appropriate for stress‐bearing Class II restorations in permanent teeth. High‐viscosity GICs may be used in small Class II restorations.
The idea behind the polyacid‐modified composites (compomers) is to combine the advantage of fluoride release with improved physical properties. The release of fluoride from compomers is, however, comparatively small and of questionable clinical importance. The advantage of the dual setting mechanism has also been questioned.
The properties of composites have improved continuously during the past decade, and today a number of composites can be used for posterior stress‐bearing restorations. The material requires pretreatment of enamel and dentin in order to adhere to these tooth structures. More details about restorative techniques, material properties, and longevity of restorations are given below.
Rubber dam
Acid etching of the enamel and the use of a dentin adhesive are procedures that are extremely sensitive to moisture contamination, and isolation with a rubber dam is therefore preferable. The rubber dam is used for two purposes in restorative dentistry:
· to isolate the operation field from the rest of the oral cavity, and
· for moisture control.
In Scandinavian countries, a rubber dam in restorative dentistry is used mostly for placing composites and other moisture‐sensitive filling materials. However, it is acknowledged that the use of a rubber dam facilitates all restorative work in children and increases the quality of the restoration. Thus, the use of a rubber dam during the whole sequence of preparation, filling, and polishing procedures prevents movements of the tongue, cheek, lips, and saliva ejector interfering with the procedures. It also gives a much better control of the operation field. It must be emphasized though that the use of clamps and dental floss to attach the dam to teeth may be associated with pain, and this must be prevented by the use of local analgesia (injection or topical). Another concern related to use of a rubber dam is the increased prevalence of allergic reactions to latex, which should encourage the use of latex‐free rubber dams.
The procedures for applying a rubber dam in two common situations are described in Box 12.6 and illustrated in Figures 12.12 and 12.13. In the first example, the main purpose is to isolate the operation field in the posterior quadrant during the procedures of drilling and filling primary molar teeth (Figure 12.12). The second example is the upper front region where the main objective is to keep the operation field dry (Figure 12.13).

Figure 12.12 Rubber dam for isolating the operation field before restorative therapy of primary molars.

Figure 12.13 Rubber dam for isolating and drying the operation field before restorative therapy of maxillary incisors.
Box 12.6 Rubber dams
Rubber dam for isolation of the field before restorative therapy in primary molars
· Suitable clamps are selected, e.g., No.14 or 14A, for the most posterior tooth.
· The dam is applied on the frame and the number of holes necessary punched.
· The clamp is applied in the most posterior hole.
· Clamp with dam and frame is applied in the mouth. The dam is lifted off the ears of the clamp and applied to the teeth to be exposed. (Alternative: the clamp is first applied on the posterior tooth. Then the dam is applied by slipping the posterior hole over the clamp.)
· The dam is attached to the most anterior tooth by the use of dental floss or a wooden wedge if necessary.
Rubber dam for isolation and drying of the field before restorative therapy of maxillary incisors
· Suitable clamps are selected, e.g., #00, for the canines or first premolar bilaterally. (Optional: no clamps, the dam is attached with dental floss only).
· The dam is applied on the frame and the number of holes necessary punched.
· The dam is applied on the teeth.
· The clamps are applied on the premolars.
· Dental floss is applied around the neck of all teeth to be treated to prevent leakage of gingival fluid.
· Stabilizing cord provides an alternative to clamps for securing the rubber dam.
Specific conditions for different age groups
0–3 years
The current internationally accepted term for caries with early onset is early childhood caries (ECC) [57] (see Chapter 10). The most common locations are upper primary incisors and first molars. Caries usually starts as circumferential lesions on the gingival third of the maxillary incisors, while the lower incisors usually remain sound. If the carious process remains active, other teeth are affected as they erupt; most often pits and fissures of primary molars, but also canines and second molars may be affected. Lesion progression can be extremely fast and result in pulp involvement if no action is taken (Figure 12.14). Short episodes of ECC may leave “scars” of previously active caries on areas not prone to caries attacks any more after the tooth has fully erupted (Figure 12.3b).

Figure 12.14 Severe early childhood caries in a 4‐year‐old child. The caries process started in the upper incisors during the eruption of the teeth, due to sugary drinks at night. Note that first primary molars are also heavily affected. No oral hygiene habits had been introduced.
Child management and treatment procedures
The major problem related to treatment of children in this age group is their uncooperative behavior due to mental immaturity such as limited perseverance and fear of strangers and stressful situations. Even minimally unpleasant or painful stimuli may generate a fear reaction and subsequent refusal of treatment. This, combined with the fact that these children often have multi‐surface lesions in the very small and tiny incisors that are extremely difficult to restore, makes restorative care in this age group almost impossible without deep sedation or general anesthesia. However, both deep sedation and general anesthesia are stressful pharmacologic encroachments for small children. They require the presence of a specialist in anesthesia, and are very costly. General anesthesia should therefore be avoided unless absolutely necessary and considered to be the least traumatic treatment mode for the child. General anesthesia is indicated in severe ECC cases with extensive and complicated treatment needs, such as when several teeth have to be extracted or when complicated restorative treatment has to be made. Conscious sedation can be used safely in dental clinics by experienced dentists, and is an alternative for children with less complicated treatment needs (see Chapter 9). Because of what is stated above, a nonoperative treatment approach should be used whenever possible, and all efforts made to turn active lesions into inactive/arrested ones. If successful, restorative treatment becomes superfluous or can be postponed until the child’s coping ability allows it.
The nonoperative treatment strategy should utilize all relevant means that can promote the arrest, or at the least a decrease, of the caries activity including both general and local intervention techniques. The general techniques involve information, motivation, and instruction about caries‐preventive measures during several visits. When exploring possible etiologic factors by interviewing the parents about food and sleeping habits, one must be extremely careful not to provoke feelings of failure and guilt in the parents. It is well known that many young parents with a variety of difficult problems to handle are struggling with the establishment of normal eating, sleeping, and oral hygiene habits for their children. By showing interest and empathy towards their problem, and by taking the role as a professional helper instead of being a judge, the dentist has better opportunities to obtain compliance, which is an absolute necessity for a positive outcome of the nonoperative treatment approach.
Effective treatment of EEC includes breaking harmful dietary habits and instituting proper daily toothbrushing with fluoride toothpaste. It is extremely important that plaque is removed and the lesions are exposed to fluoride every day. Dietary advice, oral hygiene instruction, and use of fluorides must be adapted individually. If use of a bottle with sweetened liquids at night is the main problem, an abrupt break may be difficult and create new problems for the family. In such situations, the use of water as the thirst‐quencher may be introduced gradually. A schedule for this may help the parent. Regular and relatively frequent appointments including professional application of fluoride varnish and encouragement are essential and should continue until arrest of lesions is observed.
Application of a chlorhexidine solution or gel on cotton sticks to the affected teeth may facilitate the cleaning process in cases where brushing is painful due to exposed dentin. Adequate fluoride exposure for a patient with active caries or at risk can be secured by the combined use of tablets (0.25 mg at night) and toothpaste. Since the local effect of fluoride is the most important, children should be encouraged to suck the tablets in order to obtain an increased salivary fluoride concentration. It is important to inform parents about the risk of dental fluorosis if the amount of toothpaste exceeds the recommended amount.
Local intervention of caries lesions on incisors comprises professional cleaning, i.e., careful removal of plaque, debris and soft tooth tissue by the use of toothbrush, polishing with rubber cup or hand instruments, and the application of fluoride varnish or a thin layer of GIC sealant (e.g., GC Fuji Triage®) on the lesions (Figure 12.15). This procedure must be repeated frequently, for example once a month, until the caries lesions are arrested. This is seen by the color of the dentin turning from light yellow into dark yellow, brown or black, and the dentin surface becomes hard on probing (Figure 12.3d). Concerning caries lesions on the occlusal surfaces of the primary molars, minimally invasive techniques are recommended. However, deep lesions treated by stepwise or partial excavation necessitates use of local analgesia.

Figure 12.15 Use of a thin layer of GIC for the arrest of approximal dentin caries in primary incisors of a 2‐year‐old child. A hand instrument was used to remove soft carious tissue before application of the cement.
The Carisolv® and Kindersolv® techniques may be an optional method that is less traumatic to the tooth tissues and less painful for the child than excavators and rotating instruments [58–60]. GIC is the material of choice for temporary sealing of the cavities, since fluoride release supports the process of arresting the lesion progression [61]. It should be noted that there is no evidence‐based knowledge on the most effective way to treat ECC apart from the importance of exposure to fluoride [62]. The above‐mentioned treatment strategies are based on clinical experience mostly from observational studies.
In children with severe early childhood caries (S‐ECC), the incisors (and sometimes also the canines and second molars) have multi‐surface lesions and the first molars large occlusal cavities. Pulpal infection, periapical pathologic changes, and fistulae may be present. The second molars are usually less affected due to their later eruption.
Dental treatment under general anesthesia of small children with extensive and complicated treatment needs usually has to be radical in terms of more extractions and less conservative treatment than under conventional treatment (see Chapter 9). There are two major reasons for this. First, children should be kept under general anesthesia for as short a time as possible, since increased time may be associated with increased risks. The other reason is that only therapies with good prognosis should be selected. Endodontic therapy in primary teeth is associated with a certain risk for postoperative complications. The incisors and first molars should therefore be extracted if there is pulp involvement or extensive cavities, since these teeth are of least value for the continuous occlusal development of the dentition. Canines and second molars are more important for the normal development of jaws and for the eruption of the permanent teeth. The restorative treatment may include the use of GIC, composites/compomers, and stainless‐steel crowns (see section “Restorative techniques”).
3–6 years (primary teeth)
Active lesions in incisors are less common after 3 years of age, but if present, efforts should be made to turn the lesions into inactive stages by nonoperative means. Arrested lesions need no special attention. An active cavitated lesion (usually with dentin involvement) on an occlusal surface should be restored to prevent further lesion progression.
Among 5‐year‐olds, the second molar is the tooth with the highest caries experience. The most frequently affected surfaces in the dentition are the occlusal surfaces of the second molars and the distal surfaces of first molars. More than half of the approximal lesions in the primary molars in 5‐year‐olds are restricted to enamel [63,64], and the proportion of lesions limited to the enamel increases with increasing caries prevalence [64].
The progression rate of approximal caries lesions in primary molars is relatively fast; the median survival time for a lesion to progress through the enamel was 2.5 years compared to 4 years for young permanent teeth in children and >7 years for young adults [65]. Unfortunately, no data are available on the rate of lesion progression in newly erupted primary molars compared to primary teeth with a longer posteruptive age. Another study compared the rate of lesion progression for the distal surface of the primary second molars with the mesial surface of the permanent first molars from the age of 6 to 12 years, and found that the progression rate from enamel to dentin was 1.6 times higher for the primary molar compared with the permanent molar [66].
Operative treatment
There has been a paradigm shift in what is considered effective management of carious lesions in primary teeth. Conventional restorative treatment where carious dentine is totally removed and a restoration placed is being challenged by more biological, less invasive approaches [46,51]. These biological methods include stepwise, partial, and no‐caries removal procedures (the Hall technique) and are described in this chapter. An overview of clinical trials comparing these biological methods to complete caries removal shows that they perform as well as traditional methods and have the advantage of reducing the incidence of iatrogenic pulpal exposures and can be used to slow or arrest caries progression in primary teeth such that the tooth exfoliates before causing the child pain or infection. Based on above results, several groups have concluded that partial caries removal may be a definitive treatment for deep caries lesions in the primary dentition [67–70].
Very few studies have investigated the impact of cavity type, i.e., Class I versus Class II, on pulp failures in lesions treated by partial caries removal. In a 24‐month randomized controlled trial the authors reported that the success rates for partial caries removal were slightly lower in lesions involving approximal surfaces than in occlusal lesions, but the difference was not significant [69]. However, since the risk is higher for Class II restorations to fail compared to Class I restorations in primary teeth [71], partial caries removal only is recommended in occlusal surfaces with deep caries lesions.
It is a delicate task to decide on the best time to make a Class II restoration in a primary molar, particularly in the preschool child. Factors such as cooperativeness and caries activity of the child and the expected longevity of the restoration must be weighed against the risk of fast lesion progression. Taken together, the relatively high rate of lesion progression in primary molars in preschool children suggests a more operative‐oriented philosophy when compared to permanent molars where lesion progression, in general, is much slower. Another factor supporting this view is that the risk of failure of a Class II restoration in a primary molar increases as the proximity of the cavity to the pulp increases [72]. As a general rule, it is suggested that an approximal caries lesion observed at the enamel–dentin border (or deeper) should be restored in the preschool child.
Restorative techniques
The introduction of adhesive techniques has made it less important to focus on cavity design for the retention of the restoration. During preparation for adhesive filling materials such as GIC and composites or compomers, the operator should primarily focus on removal of soft and active carious tissue, and second, finish the margins to remove weak parts of unsupported enamel. The most common cavity preparation techniques used in primary teeth in patients aged 3–6 years are Class I and Class II cavities in molars.
The preparation for Class I cavities in the occlusal surface of primary molars should be guided by the extension of the caries lesion. The opening through the enamel is done with a round diamond or steel bur of suitable size according to the extent of the lesion, in a high‐speed hand‐piece before softened dentin is removed with a slowly rotating round bur. Sound enamel is removed only to the extent necessary to gain access to remove soft dentin. When filling the cavity, the material (adhesive materials) is extended to cover all parts of the fissure, as in “preventive restorations” (see section “Preventive resin/GIC restorations”).
Both resin‐modified GICs (RMGIC) and high‐viscosity GICs may be used in small Class II preparations where the contact point is maintained partly by sound tooth tissue (Figure 12.16). The opening through enamel is made close to the marginal crest with a small round diamond (ISO #014) in a high‐speed hand‐piece. The cavity is widened with a slowly rotating round bur according to the extent of the lesion. GIC is relatively brittle and the cavo‐surface angle should ideally be approximately 90°.

Figure 12.16 Small Class II cavity preparation for GIC in primary molars. Basically, the outline of the cavity is determined by the extent of the caries lesion, but some mechanical retention is advocated in the directions indicated by the arrows.
Large approximal cavities with total loss of the contact point should preferably be restored with a compomer or composite material since these materials are more resistant to masticatory forces (Figure 12.17).

Figure 12.17 Large Class II cavity preparation for compomer or composite materials in a primary molar. Retention of the filling is based on mechanical as well as adhesive techniques.
Even when adhesive materials are used, some mechanical retention in cavities in primary teeth is recommended, since loss of retention has been reported as a common reason for failure of both compomer restorations [73] and cermet GIC materials [74,75]. The manufacturer’s instructions should be followed in order to obtain maximum adhesion of the material. Acid etching and bonding procedures both seem to be preferable and safe on enamel as well as dentin when using compomer and composite materials.
Class III preparations in canines and incisors are usually made from the buccal aspect using a slowly rotating round bur for opening and excavation of caries. A high‐speed round diamond may also be used to gain access to the caries lesion. The cavity walls are finished and the size and extent of the caries lesion determine the cavity outline.
Material properties in relation to longevity of restorations and possible adverse effects
In the primary dentition, dental restorations should ideally last until natural shedding of the tooth. However, the prognosis for a restoration in primary teeth is poorer than for those in the permanent teeth. It is demanding to make long‐lasting restorations in stress‐bearing locations in primary teeth. Small tooth dimensions and problems with cooperation are two major problems. Alm et al. [76] found that in the 7–12‐year age group about 30% of the restorations placed in primary teeth were replacements. Wendt et al. [77] found that at the age of 8 years, 33% of fillings in primary teeth had failed. The corresponding number for young permanent teeth was 13%.
In a Danish study, the 50% survival times of Class II restorations with RMGIC or compomer were >5 years [72], and the authors concluded that both materials are appropriate for restorations in primary teeth. The median age of the children at restoration was, however, 8 years; that is, the children were rather old at the time of restoration. Presumably, the survival time of Class II restorations in primary molars is shorter in preschool children than in schoolchildren. Furthermore, Qvist et al. [78] showed that both RMGICs and compomers are equivalent to amalgam in terms of longevity in everyday practice. The median survival time exceeded 5 years for Class II restorations. Conditioning of dentin improved the success rate of RMGICs. The operator effect was statistically significant for the success rate.
GICs placed in stress‐bearing restorations have a lower survival rate than restorations of amalgam or composite [79]. A clinical 2‐year follow‐up study compared the longevity of amalgam and GIC restorations in primary molars. It was concluded that a GIC restoration was “no worse than an amalgam restoration” in primary teeth, but that the GIC restorations underwent greater loss of anatomic form [80]. Welbury et al. [81] found that after 5 years, the median survival time was 33 months in the GIC group and 41 months in the amalgam group. The amalgams were more durable in terms of anatomic form, marginal integrity, and had fewer overall failures in patients aged 5–11 years. The longevity of dental restorations in children is related to the patient’s age at the time of placement, but this seems to be the case only for children below 6 years of age [75,82].
A review [83] concluded that conventional GICs should not be used in stress‐bearing areas. However, by increasing the powder to liquid ratio and the polyacid concentration or molecular weight, the physical properties are improved [84]. The World Health Organization initiated this development for using the material in the atraumatic restorative treatment (ART) technique. These high‐viscosity GICs also come with faster setting time and may be useful alternatives for restorations that are not too exposed to stress. A few promising reports have been published with respect to the longevity of these materials in Class I and Class II preparations [2,85–87], but more long‐term and well‐controlled studies would be welcome.
RMGICs have better physical properties than conventional and cermet GICs, and there are promising results for these materials in Class II cavities [74]. One explanation may be fewer problems related to long curing time and vulnerability to early moist contamination.
Compomers are marketed as particularly suitable for restorations in stress‐bearing areas in primary teeth, but so far, there have been few clinical studies. In a 3‐year study by Roeters and colleagues [88], the conclusion was that the excellent handling characteristics and the low failure rate during the 3‐year study suggested that compomer is a reliable restorative material for primary molars.
It can be concluded that at present there is some uncertainty about cavity design, choice of restorative material, and adhesive techniques for Class II restorations in primary molars. There is an obvious need for more knowledge, experience, and well‐designed clinical studies. Chadwick and Evans concluded in their review [83] that “some operators are better than others” and this expressed the challenge to all clinicians to master the clinical handling of dental materials that is particularly difficult in the case of a restless child.
Atraumatic restorative treatment
ART takes a position between nonoperative and restorative care, since the treatment consists of removing the superficial layer of carious dentin with only hand instruments and using a GIC as a combined restorative and sealing material. The treatment concept is based on the knowledge that the inner carious process is stopped when the lesion is sealed off and micro‐leakage from the oral cavity is avoided. This is a similar treatment concept as in stepwise excavation of deep caries lesions. ART was introduced by Frencken et al. [89] as a possible treatment technique in developing countries, demanding minimal technical resources. The ART technique is indicated primarily for treating single‐surface cavities in both primary and permanent dentitions. Follow‐up studies have revealed that the technique may arrest dentin caries lesions, and that a major factor for success is proper seal of the margins [90]. In countries with modern pediatric dental services, the method may be used as temporary caries treatment for small and uncooperative children. In a recent Cochrane review [46] the authors conclude “Stepwise and partial excavation reduced the incidence of pulp exposure in symptomless, vital, carious primary as well as permanent teeth.” There is some evidence supporting the view that reentry may not be needed after partial caries removal [91].
Stainless‐steel crowns
Preformed stainless‐steel crowns (SSC) are available for most tooth types, both primary and permanent.
There are two major indications for use of such crowns in pediatric dentistry:
· primary molars with extensive destruction of the crown
· permanent first molars with severe developmental defects.
In the first case, the crowns offer an alternative to extensive, multi‐surface restorations, which are known to have a poor prognosis and frequent need of repair. When properly made, steel crowns are known to have a low rate of complications during the lifespan of primary molars [92]. In permanent molars where the whole crown is affected by severe tissue damage due to developmental disturbances, the steel crown is used as a temporary restoration until it is decided whether the tooth should be extracted or restored. In the latter case, the steel crown can serve until a permanent cast crown can be made.
The procedure for tooth preparation and the adjustment of a SSC is given in Box 12.7, and an example is shown in Figure 12.18. Sufficient local analgesia of both the pulp and the gingiva is needed. The preparation should be conservative, removing only enough tooth structure needed for occlusal and approximal adjustment of the crown. Only minor buccal and lingual reduction is needed, since the crowns are elastic to a certain extent and can be pressed over small undercuts, which is important for retention. All soft carious tissue is removed. Large cavities should be restored with GIC before adjusting the crown. The margin of the crown may be adapted to the restoration instead of the cavity margin in cases where the cavity extends deep into the gingival pocket (Figure 12.19). The crown is cemented with a GIC luting cement, which is favorable in the prevention of secondary caries.

Figure 12.18 (a) Lower right second molar with severe multi‐surface caries suitable for a stainless‐steel crown. (b) Removal of carious tissue reveals pulp exposure. (c) After pulpotomy the cavity is restored with GIC and the crown is prepared for a stainless‐steel crown. (d) The tooth is restored with a stainless‐steel crown.

Figure 12.19 (a) Only just enough tooth tissue is removed to adjust the crown to the occluding and neighboring teeth. The gingival contour should be kept intact to retain the crown. (b) Extensive carious defects are initially restored with GIC and the crown is subsequently adapted to the restoration.
Box 12.7 Procedure for insertion of stainless‐steel crowns
1. Local analgesia.
2. Excavation of soft carious tissue.
3. Lining of deep dentin areas if needed for pulp protection.
4. Restoration of gross cavities with GIC. The cement is allowed to set (light‐cured if resin modified).
5. Occlusal reduction, e.g., with a ball‐shaped diamond bur, to allow adjustment of the crown without raising the bite.
6. Slight reduction of buccal and lingual surfaces with a tapered diamond bur. Most of the gingival contour should be kept for mechanical retention of the crown.
7. Removal of approximal contacts, e.g., with a tapered diamond bur, to allow the crown to be adapted between neighboring teeth.
8. A crown is selected based on the mesiodistal space available.
9. The length of the crown is reduced by crown scissors or rotating stone to allow the crown to rest stabilized on the occlusal surface of the tooth with its margins extending into the gingival sulcus.
10. Contouring of the crown with pliers if necessary to obtain a stabilized position with its margins well adapted into the gingival pocket. Pliers may also be used to alter the occlusal surface for adaptation to the bite.
11. Polishing of the gingival margins.
12. Cementing the crown with a GIC luting cement.
The so‐called Hall technique was introduced in 2010 and implies no caries removal or crown preparation before placement of the SSC. One recent retrospective study reported similar success rate for SSC placed after conventional tooth preparation compared with the Hall technique. However, the observational period was shorter for the latter technique (mean observation time was 53 months versus 15 months) [93].
Stainless‐steel crowns and orthodontic appliances have been associated with increased risk of nickel sensitivity in children [94]. This problem seems to be associated with the old nickel‐chromium formulations (72% Ni), and these types of alloys should therefore be omitted.
6–12 years
Treatment of primary molars in the mixed dentition
Caries increment in primary teeth during this period is predominantly on approximal surfaces of the molars and new lesions may develop, even in children who are caries‐free at the age of 5 years [95]. There may also be substantial caries development in permanent teeth during this period, primarily in permanent first molars. A continuous need for treating the caries disease in primary teeth during this age period, both operatively and nonoperatively, is emphasized, the overall aim being to create the best possible conditions for the permanent dentition. Indications and treatment principles are generally the same as in the previous age period.
As the primary molar approaches exfoliation, a more nonoperative treatment philosophy can be adopted. Simplified procedures such as excavation and a temporary filling may be appropriate. The choice of treatment should be in the best interest of the individual child.
There is a positive association between caries experience in primary teeth and that in newly erupted permanent teeth [95]. The ability to predict caries in young permanent teeth from caries experience in primary teeth is, however, limited. According to a systematic review the mean sensitivity was 62% and the mean specificity 79% for predicting dentin caries in young permanent teeth from caries experience in primary teeth and other risk factors [9]. The results were based on two studies that besides caries experience in primary teeth also used other predictors such as toothbrushing frequency, dietary habits, and socio‐demographic factors [96,97]. This means that the ability to identify the true non‐risk children is greater than the ability to correctly identify those who will develop dentin caries in permanent teeth. Thus, about 4 out of 10 children who do not develop new dentin lesions will be correctly identified, while only about 6 out of 10 children who do develop new dentin lesions will be correctly identified.
In order to prevent caries on the mesial surface of the permanent first molar, special attention should be given to the distal surface of the primary second molar. The reason is that the risk of caries on the mesial surface of the permanent first molar increases substantially if the distal surface of the primary second molar develops caries [66]. Early detection, mainly based on radiographic information, and appropriate treatment of caries on the distal surface of the second primary molar are therefore of utmost importance. If operative treatment is required, GIC should be used because of its potential caries‐preventive effect on the contacting surface of the permanent first molar. The importance of protecting the mesial surface when preparing the distal surface of the second molar is stressed.
Treatment of pits and fissures in permanent first molars
Pits and fissures in the permanent first molars are the most frequent locations for caries lesions in this age group. This is ascribed to the favorable conditions for plaque accumulation in these sites [11]. Preventing and treating caries in these sites is therefore of major importance in modern pediatric dentistry (Figure 12.20).

Figure 12.20 Fissure sealing covering all parts of the fissure without overfilling and overextension.
Fissure sealing is a method where the fissure systems or pits are sealed with a material that is retained on the enamel surface either by the acid‐etch technique (resin sealants) or through chemical bonding (GIC sealants). Since the technique was introduced in the late 1960s, based on resins and the acid‐etch technique, a variety of methods for the prevention, nonoperative treatment of noncavitated lesions, and restoration of pit and fissure caries have been developed in its wake [98]. In this textbook, the term fissure sealing applies to techniques for pits and fissures that are either caries free or only have initial caries lesions without cavity formation, and where the removal of soft carious tissue is not advocated. Preventive restoration is the term used for a combined restorative and sealing procedure.
Fissure sealing
Chapter 11 gives a basic description of how to perform a proper fissure sealing, indications and efficacy in caries prevention. During the last decades the indications have widened to include treatment of small occlusal lesions which imply sealing over a lesion without removal of carious enamel. In this context we talk about nonoperative treatment of caries. Two types of materials are presently used: resins and GIC. They have different properties [99]. While the arrest of caries is based solely on the seal’s ability to prevent micro‐leakage of nutrients from the oral cavity to the microflora in the fissure [51], the GICs also inhibit caries progression by releasing fluoride. Resins are favorable with respect to long‐term retention and resistance to abrasive wear, but their ability to prevent caries is dependent on optimal moisture control. An important factor during the sealing procedure with resins is that the enamel must be carefully cleaned from plaque and pellicle. A small rotating brush or rubber cup and pumice is recommended since other polishing pastes may contain oil which is left on the enamel surface and as a result the retention of the resin‐based sealant on the enamel is impaired (Figure 12.21). The GIC sealants have low strength and shorter retention rate compared with resins [100], but their major advantage is that they can be applied to teeth which are difficult to isolate, with no increased risk of caries. The GIC sealant may therefore be considered as a temporary sealant and a fluoride vehicle. The procedures for resin and GIC fissure sealing are presented in Boxes 12.8 and 12.9. The procedures may differ between different brands, and the manufacturer’s instructions should be followed. There are only a few GICs specially designed for fissure sealing on the market.

Figure 12.21 Enamel surface seen in scanning electron microscope after etching with 30% phosphoric acid for 45 seconds. As an effect of lack of cleaning before etching, black areas with organic material remain (white arrows; magnification ×300).
(Courtesy of Jörgen G. Norén.)
Box 12.8 Fissure sealing with resin
1. Plaque and pellicle must be carefully removed by pumice or air‐polishing instruments in order to obtain an optimal acid etch pattern of the enamel surface.
2. Acid etch for at least 20 s, rinse thoroughly with water.
3. Dam is optimal, but should not be used in partly erupted teeth due to pain and damage to the gingiva.
4. Apply the sealant to cover the fissure completely without overfilling and overextending it (Figure 12.20).
5. After lightcuring, check that the resin is set, retained, and covers the whole fissure.
6. Polish the surface with pumice in water to remove the uncured, top layer to avoid unnecessary exposition to resins.

Figure 12.22 Preventive resin/GIC restoration; R = restorative material (resin or GIC), S = sealant.
Box 12.9 Fissure sealing with a conventional GIC cement (GC Fuji Triage)
1. Plaque and debris are carefully removed from the fissure by the use of pumice and rubber cup to allow an optimal bond.
2. The tooth surface is dried, but not desiccated (the GIC cement bonds optimally to slightly humid enamel surfaces).
3. Mix the powder/liquid (capsules are available).
4. Apply the sealant. Place light source as closely as possible to the cement surface (pink shade only) and the curing speeds up.
5. Apply varnish.
6. Six minutes after mixing, finish under waterspray.
Indications for fissure sealing
In addition to preventing caries, fissure sealing can be used to arrest carious lesions. Several studies have shown that resins are able to stop lesion progression even in the dentin, provided that the quality of the seal is effective in preventing leakage of nutrients to the bacteria in the dentin [33]. The crucial points are sufficient removal of soft debris and optimal dryness of the fissure before application of the resin. Many dentists are, however, reluctant to leave carious dentin underneath a sealing, and it is recommended that obvious softened tooth tissue should be removed before sealing (see section “Preventive resin/GIC restorations”). This means that, generally, noncavitated enamel lesions (codes 1 and 2, Figure 12.2 a or grade 1 and 2, Figure 12.2 b) can be sealed without the preparation of a cavity, while cavitated lesions (codes/grades 3 and higher) should be restored.
Should all pits and fissures be sealed? First of all, the question is a matter of use of resources and in this respect the caries prevalence level of both individuals and the population should be taken into account [36]. Even if a qualified application of sealants to sound fissures does not harm the tooth, it has a cost since each application takes considerable time for highly qualified personnel (dentists, dental hygienists, dental assistants). A “sealing‐all‐teeth” policy also increases the risk of negative effects, i.e., the treatment initiates caries in sound fissures due to poor moisture control, as has been shown to be an inevitable result of most such programs. The primary indication for the use of sealants should therefore be pits and fissures with initial caries lesions without cavity formation (active enamel lesions) [99].
The use of resin sealants is usually contraindicated in erupting teeth due to the difficulties in maintaining good moisture control. Since GIC is suitable as a temporary sealant and fluoride vehicle in cases where moisture control is difficult, it is the material of choice for nonoperative caries treatment of initial caries in newly erupted teeth. The eruption period is usually a high‐risk period for caries in molars. Even if many lesions are arrested without treatment when the teeth reach occlusion and are subjected to the masticatory forces [11], the GIC sealant is a quick and nonrisky method for fissures with initial caries.
A recent systematic review and meta‐analysis concluded that available nonoperative treatment options and minimally invasive methods (e.g., preventive resin restorations) appear to be suitable for treating shallow or moderately deep pit‐and‐fissure lesions in permanent teeth [101]. However, due to limited study quality, the evidence was graded as low or very low.
Preventive resin/GIC restorations
A variety of terms are used for the procedure that combines restoring and sealing techniques with resins or GICs [102]. The procedure includes removal of soft carious tissue in parts of the fissure followed by the application of a restorative/sealant material covering all parts of the fissure (Figure 12.22). The main idea is minimal loss of sound tissue combined with the prevention or arrest of caries in other parts of the fissures.
The removal of soft tissue must be made by using slowly rotating burs to avoid the removal of sound enamel and dentin. The whole fissure must be carefully cleaned of plaque and debris as part of the fissure sealing procedure. The filling material may be GIC, compomer, or composite, depending on the case. For newly erupted teeth or other situations where moisture control is difficult to obtain, GICs should be preferred. The material is applied with a syringe, thereafter covered with a plastic foil and adjusted with a burnisher. After the initial cure, excess material is removed with a rotating bur under water spray and finally the surface is covered with a film to protect the cement during the further setting process.
Since the GICs are more susceptible to loss of retention and abrasive wear, the longer‐lasting resin sealants should be preferred in cases where moisture control is not a problem. The cavity is filled with a composite resin or a compomer, and after having trimmed away excess material, the whole fissure is acid etched and covered with resin sealant (known as “preventive resin restoration”, Figure 12.22).
The combination of modern restorative and sealing techniques allows a variety of preventive, nonoperative, and restorative approaches for fissure caries. The general principles based on the individual caries status and possibilities for moisture control are suggested in Box 12.10. It should, however, be emphasized that the basic methods for caries prevention based on plaque removal and fluoride application can also be effective in preventing fissure caries. This has been shown in studies from Nexø in Denmark [103], where the program was based on intensive patient education combined with individualized professional tooth cleaning during the eruption of the permanent first molars.
Box 12.10 Indications for fissure sealing/preventive resin restorations
|
Fissure caries status (see Figure 12.2) |
Individual caries risk (child/tooth) |
Possibility for moisture control |
Treatment decision |
|
Low risk |
Good or poor |
No |
|
|
Sound |
High risk |
Good |
Resin sealant |
|
Code 0 |
Poor |
GIC sealant |
|
|
Caries |
Low or high |
Good |
Resin sealant |
|
Code (grade) 1–2 |
Poor |
GIC sealant |
|
|
Caries |
Low or high |
Good |
Preventive resin restoration |
|
Code (grade) 2–3 |
|||
|
Poor |
Preventive GIC restoration |
The mesial surface of permanent first molars
The mesial surface of the permanent first molar is most often the first approximal surface to be restored in the permanent dentition. At the age of 12 years, this surface accounted for more than 90% of all restored approximal surfaces in permanent teeth [104].
If a cavitated lesion is directly accessible after exfoliation of the second primary molar and before eruption of the second premolar, or after preparing the adjacent approximal surface, a modified one‐surface restoration can be made. Presupposing that the lesion is limited and does not undermine the marginal ridge, the material of choice would be a composite resin or compomer where the retention is based on the adhesive techniques (acid etching and dentin bonding). After polishing the filling, acid etching of the enamel surface and a layer of resin should be placed to make the surface as smooth as possible. In extremely caries‐active individuals, GIC should be placed, although this material probably will degrade with time and will therefore need to be replaced.
If access to the lesion has to be made from the occlusal surface, two options are available: the conventional Class II preparation or the saucer‐shaped cavity form. These are described later in this chapter.
Approximal surfaces of young permanent incisors
Access to approximal caries is obtained from the buccal or lingual aspect, where the least loss of sound tooth substance can be achieved (Figure 12.23). The size of the cavity is determined by the extent of the lesion. A slight beveling of the cavo‐surface margin, giving an increased area for acid etching, is recommended if a composite resin is used. Before the acid etching and bonding a liner should be used to cover the deepest part of the cavity if the lesion is deep and judged to be close to the pulp. In extremely caries‐active individuals, GIC or RMGIC may be preferable although its longevity is limited.

Figure 12.23 Class III cavity in maxillary incisor.
12–19 years
Between 6 and 13 years of age, occlusal caries in permanent molars dominates over approximal caries; at the age of 13 years, more than 80% of all decayed dentinal lesions or filled surfaces involve occlusal surfaces [104]. During adolescence and young adulthood, the proportion of affected approximal surfaces continues to increase in relation to affected occlusal caries [104,105]. At 27 years, almost half of the decayed and filled surfaces involve approximal surfaces as illustrated in Figure 12.24. This clearly shows that approximal surfaces deserve special attention during adolescence.

Figure 12.24 The relative percentage distribution of approximal (appr) and occlusal (occl) DFS (decayed and filled surfaces) at ages of 13, 19, and 27 years evaluated from radiographic examinations. For approximal surfaces decayed (D) equals a radiolucency at the enamel–dentin border or deeper and for occlusal surfaces D equals an obvious radiolucency in dentin. The same individuals (n = 250) were followed from 13 to 27 years of age.
Modified from Mejàre et al. 2004 [104].
Rate of lesion progression: caries rates and survival times in permanent teeth
Occlusal surfaces. The occlusal surface of permanent first molars is still considered the most caries‐susceptible surface in children and adolescents. It has been shown, however, that the first year after eruption constitutes the highest risk period [106,107] and after the age of 13 years there is a significant drop in the incidence of dentinal caries [104] (Figure 12.25). The permanent second molar experiences its highest risk period within the first 3 years after eruption [104,106,108]. Therefore, preventive and nonoperative measures directed towards occlusal surfaces of permanent molars should focus on the first year(s) after their eruption. Compared with molars, the occlusal surfaces of premolars run a small risk of developing dentin caries [109].
Approximal surfaces of premolars and molars. Mesial and distal surfaces of the permanent first molar and the distal surface of the second premolar are the most caries‐susceptible surfaces during adolescence and young adulthood. In a population with a generally low caries prevalence, the rate of progression of approximal caries lesions in young permanent teeth is, however, usually slow [65,110,111]. The rate of lesion progression can be expressed as incidence rate (caries rate). For example, a caries rate of 3.9 means that 3.9 new caries lesions can be expected to develop out of 100 surfaces at risk per year. Several transitions can be used: from sound to dentin, from sound to enamel, from enamel to dentin, and from the enamel–dentin border to outer dentin. From Figure 12.26 it can be seen that the annual caries rate was 3.9 new enamel lesions during an 11‐year period (from age 11 to 22 years). The caries rate was higher from enamel to dentin (5.4), and after the lesion had reached the dentin, the rate was almost four times higher (20.3). These are median values, and there were considerable differences between individuals.
The rate of lesion progression can also be expressed as the survival time, i.e., the period of time a lesion remains in a particular caries state until it progresses to the next state. In low‐caries prevalence populations the median survival time for a lesion at the enamel–dentin border until it has progressed into the outer half of the dentin is about 3 years. This implies that half of these lesions progressed into the dentin during this time, while the other half did not. Some lesions progressed faster than 3 years. The survival time seems to be about the same in non‐fluoridated and fluoridated areas [105,111]. Figure 12.27shows the ninetieth percentiles for three transitions; sound to enamel, enamel to dentin, and in dentin. Ninety percent of lesions that were confined to the inner part of the enamel survived 31 months in this stage before progressing to a dentin lesion. This means that 10% of them progressed into the dentin during this period. Likewise, 10% of enamel–dentin border lesions progressed within 8–9 months.

Figure 12.25 Cumulative survival curves of occlusal surfaces (first and second molars) from radiographically sound to obvious radiolucency in dentin. The slopes of the curves show that most new dentin lesions occurred between 12 and 15 years of age and particularly concerned the second molar. It should be noted that, for the first molar, the data show only those who were radiographically sound at age 12 years.
Modified from Mejàre et al. 2004 [104].

Figure 12.26 Caries rates (number of new lesions/100 tooth surface‐years) of approximal surfaces from 11 to 22 years of age. Median values of all surfaces.
Modified from Mejàre et al. 1999 [111].

Figure 12.27 Survival times of approximal caries lesions from 11 to 22 years of age. The ninetieth percentiles of three progression states: from 0 to 2, from 2 to 4, and from 3 to 4.
Modified from Mejàre et al. 1999 [111].
Factors influencing caries development andlesion progression
Can lesions with a high risk of progression be identified? In the individual case we can never be sure. As mentioned earlier, cavitation is the crucial point of interest as far as lesion progression is estimated. Some additional factors influence lesion progression:
· Type of tooth surface. Considerable differences in survival time of lesions were observed for different surfaces [111]. For lesion progression in the dentin, lesions in the distal surface of the maxillary second premolar had the shortest survival time of 2.1 years (Figure 12.28). Lesions in the distal surface of the mandibular first molar and the mesial surface of the mandibular second molar were also at risk of relatively fast progression with a survival time of 2.8 years, which is lower than the median value of 3.1 years.
· Posteruptive age of the tooth. Few studies have investigated the rate of progression as a function of posteruptive age. In a study including both Swedish and US children and young adults, Shwartz et al. [65] reported that the median survival time of enamel lesions was about 4 years in 10–11‐year‐old children and more than 7 years for those aged 17–22 years (ages at the end of the study). In another study [66], the caries rate for the mesial surface of the permanent first molars was compared in two age groups, 6–11 and 12–22 years, in the same individuals. While the rate of progression from sound to the inner half of the enamel was not significantly higher in the younger age group, the rate from the inner half of the enamel to the outer half of the dentin was almost four times faster in the younger age group. Thus, progression through the enamel is comparatively fast in newly erupted young permanent teeth, particularly for the mesial surface of the permanent first molar, while it is slower in older adolescents and young adults.

Figure 12.28 Median values of survival times (years) from caries state 3 to state 4 (progression within dentin) at different approximal surfaces.
Modified from Mejàre et al. 1999 [111].
In a longitudinal 15‐year study, the rates of lesion progression were compared for three age groups: 12–15, 16–19, and 20–27 years (Figure 12.29). It can be seen that the survival time of both sound surfaces and progression of enamel and dentin lesions depend on age (Figure 12.29): the older the individual, the longer the survival times. It is obvious that the first 2–3 years after eruption constitute a risk period for new approximal caries lesions as well as for progression of established lesions. For the younger age group (12–15 years), it is important to be aware of the variation in age at tooth eruption between children. This is illustrated in Figure 12.30. The survival time for enamel–dentin border lesions (from state 3 to 4) suggests that for lesions at the enamel–dentin border we can use the “wait‐and‐see” philosophy more safely in young adults than in young teenagers where a substantially higher risk of lesions progression can be expected. An example of the difference in approximal lesion progression is given in Figure 12.31.
· Neighboring tooth surface. Limited data exist on the effect on lesion development of caries on neighboring approximal tooth surfaces. A Swedish study of 6–12‐year‐olds showed that the mesial surface of the permanent first molar had a negligible risk for developing caries when adjacent to a sound approximal surface of a primary second molar. If the primary molar had a caries lesion, the rate was almost 15 times higher [109].
· Caries experience. Several studies show that children with approximal dentin lesions at the age of 12–13 years run a higher risk of developing new approximal lesions, as well as progression of existing lesions, than those with none or few such lesions [111,112]. For example, children showing enamel lesions in premolars and second molars at the age of 12 years are at high risk of developing several lesions in need of operative treatment [113]. The number of lesions also plays a role. Thus, the more lesions, the higher the risk of relatively fast progression of at least one lesions.
· Iatrogenic damage on neighboring surfaces. During the preparation of a Class II cavity the surface enamel of the neighboring approximal surface was damaged in about 70% of the cases in a Danish study [39]. The authors also observed a faster caries progression on damaged surfaces compared with non‐damaged. The reasons for this are probably that the bur had removed the outer well‐mineralized and relatively caries‐resistant layer of the enamel, and that the surface became rough and more susceptible to plaque accumulation. The use of a protecting device during approximal cavity preparation is therefore mandatory.

Figure 12.29 Cumulative survival curves of approximal surfaces from radiographically sound to inner enamel caries, from inner enamel caries to caries in outer dentin, and from caries at the enamel–dentin border to caries in outer dentin from 12 to 27 years of age.
Modified from Mejàre et al. 2004 [104].

Figure 12.30 Two 12‐year‐olds; one has almost fully erupted premolars and second molars while the other is still in the process of shedding primary molars.


Figure 12.31 (a) Bitewing radiographs from the same individual from 15 to 21 years of age showing slow progression of lesions on the distal surface of upper left first premolar and mesial surface of the second premolar. The enamel lesions on these surfaces have not progressed into the dentin during these 6 years. (b) A significant example of the rapid progression in newly erupted first molars (tooth 26) in an 11‐year‐old girl. At the follow up after 1 year no bitewing radiographs was taken. At the 2‐year follow‐up the tooth was extracted due to severe caries with pulp involvement.
These factors can aid in assessing the risk of new caries as well as the risk of lesion progression in individuals and in individual teeth and tooth surfaces. They can also be of help in deciding the appropriate time for restoring and the proper length of recall intervals.
Indications for operative treatment
Incisors. Active cavitated caries lesions in incisors are relatively uncommon in low‐caries populations. If present on approximal surfaces, operative treatment is usually necessary, not least for esthetic reasons. The same may apply to buccal surfaces.
Occlusal surfaces. The indication for operative treatment is the same as for primary molars, that is, an active cavitated lesion (usually with dentin involvement) should be restored to prevent further lesion progression. In this way, the cavity preparation becomes relatively small and tooth tissue is saved. Surfaces with dentin involvement as observed radiographically only (hidden caries) also require intervention in terms of operative treatment or fissure sealing. Any cavity preparation should be conservative (preventive resin/glass‐ionomer cement restoration). Arrested lesions need no special attention.
Approximal surfaces of premolars and molars. A Class II restoration in a young permanent premolar or molar involves the removal of the marginal ridge. The contours of the tooth are restored, but no restorative material has so far been able to match the ingenious construction of the tooth tissue forming the marginal ridge and its ability to withstand high loads during function. Furthermore, there will always be a vulnerable border between the restoration and the tooth. It follows that it is important to use nonoperative alternatives instead of drilling and filling unnecessarily. On the other hand, postponing restoration until severe destruction of hard tissue, including undermining of cusps, which seriously weakens the tooth crown, is of no benefit to the patient either. The risk of pulp involvement also has to be considered. It is therefore a challenge to select the right treatment option and choose the proper time for restoring. A number of factors have to be considered; some of them have been mentioned earlier in this chapter.
Two factors dominate: one is the estimated rate of lesion progression if the decision is to use nonoperative treatment and monitor instead of restoring, and the other is the expected survival time of a placed restoration. In general, the rate of lesion progression is slower in permanent premolars and molars, and the survival time of Class II restorations is longer compared to primary molars (see also earlier).
The critical border between a fairly slow and fast lesion progression is the formation of an obvious cavity and, as mentioned before in this chapter, cavitation is often difficult to determine. We therefore have to rely on bitewing radiography and the behavior of the lesion as judged from repeated radiographic examinations. The imperfection of the radiographic assessments (see Chapter 8) must be taken into account and be part of the treatment decision. The rate of lesion progression varies depending on the caries activity of the individual. Different tooth surfaces show different rates of lesion progression, and the number of lesions present in an individual and the posteruptive age of the tooth also play a role. These factors were described earlier in this chapter.
There may also be practical circumstances to consider. Postponing restorative treatment involves monitoring and sometimes rather close recall intervals. The question “Can I trust that the patient will attend at the proposed recall interval?” may therefore also be a factor to take into account and could be decisive for the treatment decision. It is a challenging task to decide on the proper time for restoring an individual lesion and it is equally challenging to express clear and unambiguously. The following general rule should be interpreted and used with the above‐mentioned arguments in mind:
The presence of a clinical cavity or a radiolucency that has progressed into the dentin strongly indicates the need to restore a contacting approximal caries lesion. An important finding supporting this rule is that, irrespective of cavitation or not, lesions in the outer half of the dentin were all infected, although the level of infection was significantly lower in noncavitated lesions [20] (Figure 12.7).
Cavity designs
In accordance with principles of minimally invasive dentistry, the Class II preparation has changed towards a more conservative design. The reasons for this change are several: a lower caries activity, more effective preventive regimens, development of adhesive techniques, concern about saving tooth substance, and esthetic considerations.
The saucer‐shaped cavity
Along with improvement of the physical properties of composites, the saucer‐shaped cavity design (Figure 12.32) has more and more replaced the conventional Class II preparation and become the first choice for small primary approximal lesions. The saucer‐shaped cavity preparation is a conservative procedure that saves sound tooth tissues and preserves dentin supporting the enamel cusps (Figure 12.33). The outline of the cavity should aim at preserving natural tissue contacting the neighboring tooth in order to prevent mesial migration resulting from proximal wear.

Figure 12.32 The saucer‐shaped cavity design: (a) before filling and (b) after filling with a composite resin.

Figure 12.33 (a) The design of the saucer‐shaped cavity is based on adhesion of composite resins to enamel and dentin. (b) The saucer‐shaped cavity design (dotted line) saves more tooth tissue than the traditional Class II preparation.
Important factors for obtaining a successful result are adequate bonding of the composite resin to enamel and dentin, enamel present along the whole preparation outline, and incremental placement of the material in order to avoid adverse shrinkage patterns of the composite. Effective polymerization of every part of the restoration is mandatory and only thin layers should be polymerized at a time. This conservative preparation technique disregards the old principle of “extension for prevention” and relies on adequate oral hygiene and fluoride preventive regimens.
Long‐term clinical studies on the success rate of saucer‐shaped approximal restorations are relatively scarce. Nordbø et al. [114] found that 82% of the restorations in young permanent teeth were assessed as successful after 3 years while 70% were acceptable after 7.2 years. The most common cause of failure was recurrent caries and poor marginal adaptation. These authors concluded that the saucer‐shaped Class II resin composite restoration should be considered as a routine operative treatment for small approximal lesions in posterior teeth.
According to a prospective, longitudinal study of Class II restorations longevity increased when the preparation included a mechanical, retentive element (dovetail) [115].
Important factors that determine the longevity of restorations are given in Box 12.11.
Box 12.11 Important factors determining longevity of approximal restorations
Operator
· Knowledge, skill, and attitude
· Material properties and handling
· Cavity preparation—some mechanical retention in addition to enamel etch improves longevity
· Size of cavity—large restorations are more challenging
· Moisture control during insertion and setting of material
Patient
· Caries activity and quality of oral hygiene
· Adverse habits such as bruxism and special food preferences
The conventional Class II cavity
The conventional Class II cavity is justified for large cavities where both occlusal and approximal lesions are involved (Figure 12.34). The cavity design may be used for composites although it was originally designed for amalgam. In Scandinavia the use of amalgam in children has been abandoned.

Figure 12.34 Conventional Class II amalgam preparation with minimal buccal–lingual extension.
The cavity should be at least 1.5 mm deep in the isthmus area. Beveling the axial–pulpal line angle as well as rounded cavo‐surface angles are other important measures to prevent fractures. When composites are used based on adhesive techniques, the occlusal preparation should be conservative in line with the principles of preventive resin restorations, while the approximal outline should give some mechanical retention.
References
1. 1. Fejerskov O, Nyvad B, Kidd EAM. Dental caries: the disease and its clinical management. 3rd edn. Oxford: Wiley Blackwell; 2015.
2. 2. Marsh P, Lewis M, Rogers H, Williams D, Wilson M. Oral Microbiology. 6th edn. Elsevier; 2016.
3. 3. Featherstone JD. Remineralization, the natural caries repair process‐‐the need for new approaches. Adv Dent Res 2009;21:4–7.
4. 4. Pitts NB. Are we ready to move from operative to non‐operative/preventive treatment of dental caries in clinical practice? Caries Res 2004;38:294–304.
5. 5. Pitts NB. Modern concepts of caries measurement. J Dent Res 2004;83 Spec. No. C:C43–7.
6. 6. Pitts N. “ICDAS”—an international system for caries detection and assessment being developed to facilitate caries epidemiology, research and appropriate clinical management. Community Dental Health2004;21:193–8.
7. 7. Nyvad B, Machiulskiene V, Baelum V. Construct and predictive validity of clinical caries diagnostic criteria assessing lesion activity. J Dent Res 2003;82:117–22.
8. 8. Ekstrand KR, Martignon S, Ricketts DJ, Qvist V. Detection and activity assessment of primary coronal caries lesions: a methodologic study. Oper Dent 2007;32:225–35.
9. 9. Caries Diagnosis, Risk Assessment and Non‐operative Treatment of Early Caries Lesions. The Swedish Council on Technology Assessment in Health Care. SBU report No. 188, 2007 (in Swedish).
10. 10. Lussi A. Comparison of different methods for the diagnosis of fissure caries without cavitation. Caries Res 1993;27:409–16.
11. 11. Carvalho JC, Ekstrand KR, Thylstrup A. Dental plaque and caries on occlusal surfaces of first permanent molars in relation to stage of eruption. J Dent Res 1989;68:773–9.
12. 12. Bille J, Thylstrup A. Radiographic diagnosis and clinical tissue changes in relation to treatment of approximal carious lesions. Caries Res 1982;16:1–6.
13. 13. de Araujo FB, de Araujo DR, dos Santos CK, de Souza MA. Diagnosis of approximal caries in primary teeth: radiographic versus clinical examination using tooth separation. Am J Dent 1996;9:54–6.
14. 14. Lunder N, von der Fehr FR. Approximal cavitation related to bite‐wing image and caries activity in adolescents. Caries Res 1996;30:143–7.
15. 15. Mejàre I, Gröndahl HG, Carlstedt K, Grever AC, Ottosson E. Accuracy at radiography and probing for the diagnosis of proximal caries. Scand J Dent Res 1985;93:178–84.
16. 16. Mejàre I, Malmgren B. Clinical and radiographic appearance of proximal carious lesions at the time of operative treatment in young permanent teeth. Scand J Dent Res 1986;94:19–26.
17. 17. Pitts NB, Rimmer PA. An in vivo comparison of radiographic and directly assessed clinical caries status of posterior approximal surfaces in primary and permanent teeth. Caries Res 1992;26:146–52.
18. 18. Rugg‐Gunn AJ. Approximal carious lesions. A comparison of the radiological and clinical appearances. Br Dent J 1972;133:481–4.
19. 19. Ekstrand KR, Bruun G, Bruun M. Plaque and gingival status as indicators for caries progression on approximal surfaces. Caries Res 1998;32:41–5.
20. 20. Ratledge DK, Kidd EA, Beighton D. A clinical and microbiological study of approximal carious lesions. Part 1: the relationship between cavitation, radiographic lesion depth, the site‐specific gingival index and the level of infection of the dentine. Caries Res 2001;35:3–7.
21. 21. Ball IA. The ‘fluoride syndrome’: occult caries? Br Dent J 1986;160:75–6.
22. 22. Holt RD, Azevedo MR. Fibre optic transillumination and radiographs in diagnosis of approximal caries in primary teeth. Community Dent Health 1989;6:239–47.
23. 23. Reis A, Mendes FM, Angnes V, Angnes G, Grande RH, Loguercio AD. Performance of methods of occlusal caries detection in permanent teeth under clinical and laboratory conditions. J Dent2006;34:89–96.
24. 24. Ekstrand KR, Ricketts DN, Kidd EA. Reproducibility and accuracy of three methods for assessment of demineralization depth of the occlusal surface: an in vitro examination. Caries Res 1997;31:224–31.
25. 25. Kuhnisch J, Heinrich‐Weltzien R, Tabatabaie M, Stosser L, Huysmans MC. An in vitro comparison between two methods of electrical resistance measurement for occlusal caries detection. Caries Res2006;40:104–11.
26. 26. Twetman S, Axelsson S, Dahlén G, Espelid I, Mejàre I, Norlund A, Tranæus S. Adjunct methods for caries detection: a systematic review of literature. Acta Odontol Scand. 2013;71:388–97.
27. 27. Fontana M, Cabezas CG, Fitzgerald M. Cariology for the 21st Century: current caries management concepts for dental practice. J Mich Dent Assoc 2013;95:32–40.
28. 28. Thylstrup A, Bruun C, Holmen L. In vivo caries models—mechanisms for caries initiation and arrestment. Adv Dent Res 1994;8:144–57.
29. 29. de Assunção, da Costa Gde F, Borges BC. Systematic review of noninvasive treatments to arrest dentin non‐cavitated caries lesions. World J Clin Cases 2014;2:137–41.
30. 30. Handelman SL. Effect of sealant placement on occlusal caries progression. Clin Prev Dent 1982;4:11–16.
31. 31. Mertz‐Fairhurst EJ, Schuster GS, Fairhurst CW. Arresting caries by sealants: results of a clinical study. J Am Dent Assoc 1986;112:194–7.
32. 32. Mertz‐Fairhurst EJ, Curtis JW, Jr., Ergle JW, Rueggeberg FA, Adair SM. Ultraconservative and cariostatic sealed restorations: results at year 10. J Am Dent Assoc 1998;129:55–66.
33. 33. Oong EM, Griffin SO, Kohn WG, Gooch BF, Caufield PW. The effect of dental sealants on bacteria levels in caries lesions: a review of the evidence. J Am Dent Assoc 2008;139:271–8.
34. 34. Diagnosis and Management of Dental Caries. In: Evidence report/Technology Assessment. No. 36: AHRQ Publications No. 01‐E056; 2001.
35. 35. Prevention of Dental Caries. A Systematic review. The Swedish Council on Technology Assessment in Health Care. SBU report No. 161, 2002 (in Swedish).
36. 36. Ahovuo‐Saloranta A, Forss H, Walsh T, Hiiri A, Nordblad A, Mäkelä M, Worthington HV. Sealants for preventing dental decay in the permanent teeth. Cochrane Database Syst Rev 2013;3:CD001830.
37. 37. Modéer T, Twetman S, Bergstrand F. Three‐year study of the effect of fluoride varnish (Duraphat) on proximal caries progression in teenagers. Scand J Dent Res 1984;92:400–7.
38. 38. Lenters M, van Amerongen WE, Mandari GJ. Iatrogenic damage to the adjacent surfaces of primary molars, in three different ways of cavity preparation. Eur Arch Paediatr Dent 2006;7:6–10.
39. 39. Qvist V, Johannessen L, Bruun M. Progression of approximal caries in relation to iatrogenic preparation damage. J Dent Res 1992;71:1370–3.
40. 40. Kidd E. How clean must a cavity be before restoration? Caries Res 2004;38:305–13.
41. 41. Milsom KM, Tickle M, Blinkhorn AS. Dental pain and dental treatment of young children attending the general dental service. Br Dent J 2002;192:280–4.
42. 42. Levine RS, Pitts NB, Nugent ZJ. The fate of 1,587 unrestored carious deciduous teeth: a retrospective general dental practice based study from northern England. Br Dent J 2002;193:99–103.
43. 43. Consensus Conference on Caries in the Primary Dentition and its Clinical Management. Stockholm: Gothia; 2002. ISBN: 91‐7205‐343‐7.
44. 44. Vanderas AP, Gizani S, Papagiannoulis L. Progression of proximal caries in children with different caries indices: A 4‐year radiographic study. Eur Arch Paediatr Dent 2006;7:148–52.
45. 45. Thompson V, Craig RG, Curro FA, Green WS, Ship JA. Treatment of deep carious lesions by complete excavation or partial removal: a critical review. J Am Dent Assoc 2008;139:705–12.
46. 46. Ricketts D, Lamont T, Innes NPT, Kidd E, Clarkson JE. Operative caries management in adults and children. Cochrane Database Syst Rev 2013;3:CD003808.
47. 47. Bjørndal L. The caries process and its effect on the pulp: the science is changing and so is our understanding. Pediatr Dent 2008;30:192–6.
48. 48. Bjørndal L, Reit C, Bruun G, Markvart M, Kjaeldgaard M, Näsman P, Thordrup M, Dige I, Nyvad B, Fransson H, Lager A, Ericson D, Petersson K, Olsson J, Santimano EM, Wennström A, Winkel P, Gluud C. Treatment of deep caries lesions in adults: randomized clinical trials comparing stepwise vs. direct complete excavation, and direct pulp capping vs. partial pulpotomy. Eur J Oral Sci 2010;118:290–7.
49. 49. Franzon R, Casagrande L, Pinto AS, Garcia‐Godoy F, Maltz M, de Araujo FB. Clinical and radiographic evaluation of indirect pulp treatment in primary molars: 36 months follow‐up. Am J Dent2007;20:189–92.
50. 50. Marchi JJ, de Araujo FB, Froner AM. Indirect pulp capping in the primary dentition: a 4 year follow‐up study. J Clin Pediatr Dent 2006;31:68–71.
51. 51. Schwendicke F, Dörfer CE, Paris S. Incomplete caries removal: a systematic review and meta‐analysis. J Dent Res 2013;92:306–14.
52. 52. Burke FM, Ray NJ, McConnell RJ. Fluoride‐containing restorative materials. Int Dent J 2006;56:33–43.
53. 53. McLean JW, Nicholson JW, Wilson AD. Proposed nomenclature for GIC dental cements and related materials. Quintessence Int 1994;25:587–9.
54. 54. Berg JH. The continuum of restorative materials in pediatric dentistry—a review for the clinician. Pediatr Dent 1998;20:93–100.
55. 55. Croll TP. Alternatives to silver amalgam and resin composite in pediatric dentistry. Quintessence Int 1998;29:697–703.
56. 56. Geurtsen W. Biocompatibility of resin‐modified filling materials. Crit Rev Oral Biol Med 2000;11:333–55.
57. 57. Drury TF, Horowitz AM, Ismail AI, Maertens MP, Rozier RG, Selwitz RH. Diagnosing and reporting early childhood caries for research purposes. A report of a workshop sponsored by the National Institute of Dental and Craniofacial Research, the Health Resources and Services Administration, and the Health Care Financing Administration. J Public Health Dent 1999;59:192–7.
58. 58. Fluckiger L, Waltimo T, Stich H, Lussi A. Comparison of chemomechanical caries removal using Carisolv or conventional hand excavation in deciduous teeth in vitro. J Dent 2005;33:87–90.
59. 59. Kavvadia K, Karagianni V, Polychronopoulou A, Papagiannouli L. Primary teeth caries removal using the Carisolv chemomechanical method: a clinical trial. Pediatr Dent 2004;26:23–8.
60. 60. Schwendicke F, Paris S, Tu YK. Effects of using different criteria for caries removal: A systematic review and network meta‐analysis. J Dent 2015;43:1–15.
61. 61. Mattos‐Graner RO, Zelante F, Line RC, Mayer MP. Association between caries prevalence and clinical, microbiological and dietary variables in 1.0 to 2.5‐year‐old Brazilian children. Caries Res1998;32:319–23.
62. 62. Ammari JB, Baqain ZH, Ashley PF. Effects of programs for prevention of early childhood caries. A systematic review. Med Princ Pract 2007;16:437–42.
63. 63. Amarante E, Raadal M, Espelid I. Impact of diagnostic criteria on the prevalence of dental caries in Norwegian children aged 5, 12 and 18 years. Community Dent Oral Epidemiol 1998;26:87–94.
64. 64. Hugoson A, Koch G, Helkimo AN, Lundin SÅ. Caries prevalence and distribution in individuals aged 3–20 years in Jönköping, Sweden, over a 30‐year period (1973–2003). Int J Paediatr Dent2008;18:18–26.
65. 65. Shwartz M, Gröndahl HG, Pliskin JS, Boffa J. A longitudinal analysis from bite‐wing radiographs of the rate of progression of approximal carious lesions through human dental enamel. Arch Oral Biol1984;29:529–36.
66. 66. Mejàre I, Stenlund H. Caries rates for the mesial surface of the first permanent molar and the distal surface of the second primary molar from 6 to 12 years of age in Sweden. Caries Res 2000;34:454–61.
67. 67. Casagrande L, Falster CA, Di Hipolito V, De Goés MF, Straffon LH, Nör JE, de Araujo FB. Effect of adhesive restorations over incomplete dentin caries removal: 5‐year follow‐up study in primary teeth. J Dent Child 2009;76:117–22.
68. 68. Franzon R, Gomes M, Pitoni CM, Bergmann CP, Araujo FB. Dentin rehardening after indirect pulp treatment in primary teeth. J Dent Child 2009;76:223–8.
69. 69. Franzon R, Guimarães LF, Magalhães CE, Haas AN, Araujo FB. Outcomes of one‐step incomplete and complete excavation in primary teeth: a 24‐month randomized controlled trial. Caries Res2014;48:376–83.
70. 70. Marchi JJ, Froner AM, Alves HL. Analysis of primary tooth dentin after indirect pulp capping. J Dent Child 2008;75:295–300.
71. 71. Alves dos Santos MP, Luiz RR, Maia LC. Randomized trial of resin‐based restorations in class I and class II beveled preparations in primary molars: 48‐month results. J Dent 2010;38:451–9.
72. 72. Qvist V, Laurberg L, Poulsen A, Teglers PT. Class II restorations in primary teeth: 7‐year study on three resin‐modified glass ionomer cements and a compomer. Eur J Oral Sci 2004;112:188–96.
73. 73. Andersson‐Wenckert IE, Folkesson UH, van Dijken JW. Durability of a polyacid‐modified composite resin (compomer) in primary molars. A multicenter study. Acta Odontol Scand 1997;55:255–60.
74. 74. Espelid I, Tveit AB, Tornes KH, Alvheim H. Clinical behaviour of glass ionomer restorations in primary teeth. J Dent 1999;27:437–42.
75. 75. Kilpatrick NM, Murray JJ, McCabe JF. The use of a reinforced GIC cermet for the restoration of primary molars: a clinical trial. Br Dent J 1995;179:175–9.
76. 76. Alm A, Wendt LK, Koch G. Dental treatment in the primary dentition of 7–12 year‐old Swedish schoolchildren. Swed Dent J 2003;27:77–82.
77. 77. Wendt LK, Koch G, Birkhed D. Replacements of restorations in the primary and young permanent dentition. Swed Dent J 1998;22:149–55.
78. 78. Qvist V, Laurberg L, Poulsen A, Teglers PT. Eight‐year study on conventional glass ionomer and amalgam restorations in primary teeth. Acta Odontol Scand 2004;62:37–45.
79. 79. Qvist V, Laurberg L, Poulsen A, Teglers PT. Longevity and cariostatic effects of everyday conventional GIC and amalgam restorations in primary teeth: three‐year results. J Dent Res 1997;76:1387–96.
80. 80. Walls AW, Murray JJ, McCabe JF. The use of glass polyalkenoate (ionomer) cements in the deciduous dentition. Br Dent J 1988;165:13–7.
81. 81. Welbury RR, Walls AW, Murray JJ, McCabe JF. The 5‐year results of a clinical trial comparing a glass polyalkenoate (ionomer) cement restoration with an amalgam restoration. Br Dent J1991;170:177–81.
82. 82. Roberts JF, Sherriff M. The fate and survival of amalgam and preformed crown molar restorations placed in a specialist paediatric dental practice. Br Dent J 1990;169:237–44.
83. 83. Chadwick BL, Evans DJ. Restoration of class II cavities in primary molar teeth with conventional and resin modified glass ionomer cements: a systematic review of the literature. Eur Arch Paediatr Dent2007;8:14–21.
84. 84. Guggenberger R, May R, Stefan KP. New trends in GIC chemistry. Biomaterials 1998;19:479–83.
85. 85. Frankenberger R, Garcia‐Godoy F, Kramer N. Clinical performance of viscous glass ionomer cement in posterior cavities over two years. Int J Dent 2009;2009:781462.
86. 86. Rutar J, McAllan L, Tyas MJ. Three‐year clinical performance of glass ionomer cement in primary molars. Int J Paediatr Dent 2002;12:146–7.
87. 87. Yilmaz Y, Eyuboglu O, Kocogullari ME, Belduz N. A one‐year clinical evaluation of a high‐viscosity glass ionomer cement in primary molars. J Contemp Dent Pract 2006;7:71–8.
88. 88. Roeters JJ, Frankenmolen F, Burgersdijk RC, Peters TC. Clinical evaluation of Dyract in primary molars: 3‐year results. Am J Dent 1998;11:143–8.
89. 89. Frencken JE, Makoni F, Sithole WD. ART restorations and glass ionomer sealants in Zimbabwe: survival after 3 years. Community Dent Oral Epidemiol 1998;26:372–81.
90. 90. Taifour D, Frencken JE, van’t Hof MA, Beiruti N, Truin GJ. Effects of glass ionomer sealants in newly erupted first molars after 5 years: a pilot study. Community Dent Oral Epidemiol 2003;31:314–9.
91. 91. Maltz M, Garcia R, Jardim JJ, de Paula LM, Yamaquti PM, Moura MS, Garcia F, Nascimento C, Oliveira A, Mestrinho HD. Randomized trial of partial vs. stepwise caries removal: 3‐year follow‐up. J Dent Res 2012;91:1026–31.
92. 92. Attari N, Roberts JF. Restoration of primary teeth with crowns: a systematic review of the literature. Eur Arch Paediatr Dent 2006;7:58–62; discussion 63.
93. 93. Ludwig KH, Fontana M, Vinson LA, Platt JA, Dean JA. The success of stainless steel crowns placed with the Hall technique: A retrospective study. J Am Dent Assoc 2014;145:1248–53.
94. 94. Feasby WH, Ecclestone ER, Grainger RM. Nickel sensitivity in pediatric dental patients. Pediatr Dent 1988;10:127–9.
95. 95. Skeie MS, Raadal M, Strand GV, Espelid I. The relationship between caries in the primary dentition at 5 years of age and permanent dentition at 10 years of age—a longitudinal study. Int J Paediatr Dent2006;16:152–60.
96. 96. Stewart PW, Stamm JW. Classification tree prediction models for dental caries from clinical, microbiological, and interview data. J Dent Res 1991;70:1239–51.
97. 97. Vanobbergen J, Martens L, Lesaffre E, Bogaerts K, Declerck D. The value of a baseline caries risk assessment model in the primary dentition for the prediction of caries incidence in the permanent dentition. Caries Res 2001;35:442–50.
98. 98. Croll TP. Repair of Class I resin‐composite restoration. ASDC J Dent Child 1997;64:22–7.
99. 99. Kidd E, Joyston‐Bechal S. Update on fissure sealants. Dent Update 1994;21:323–6.
100. 100. Yengopal V, Mickenautsch S. Resin‐modified glass‐ionomer cements versus resin‐based materials as fissure sealants: a meta‐analysis of clinical trials. Eur Arch Paediatr Dent 2010; 11: 18–25.
101. 101. Schwendicke F, Jäger AM, Paris S, Hsu LY, Tu YK. Treating pit‐and‐fissure caries: A systematic review and network meta‐analysis. J Dent Res 2015;94:522–33.
102. 102. Croll TP, Cavanaugh RR. Direct bonded Class I restorations and sealants: six options. Quintessence Int 1997;28:157–68.
103. 103. Carvalho JC, Thylstrup A, Ekstrand KR. Results after 3 years of non‐operative occlusal caries treatment of erupting permanent first molars. Community Dent Oral Epidemiol 1992;20:187–92.
104. 104. Mejàre I, Stenlund H, Zelezny‐Holmlund C. Caries incidence and lesion progression from adolescence to young adulthood: a prospective 15‐year cohort study in Sweden. Caries Res 2004;38:130–41.
105. 105. Lith A, Lindstrand C, Gröndahl HG. Caries development in a young population managed by a restrictive attitude to radiography and operative intervention: II. A study at the surface level. Dentomaxillofac Radiol 2002;31:232–9.
106. 106. Abernathy JR, Graves RC, Greenberg BG, Bohannan HM, Disney JA. Application of life table methodology in determining dental caries rates. Community Dent Oral Epidemiol 1986;14:261–4.
107. 107. Månsson B. Caries progression in the first permanent molars. A longitudinal study. Swed Dent J 1977;1:185–91.
108. 108. Baelum V, Machiulskiene V, Nyvad B, Richards A, Vaeth M. Application of survival analysis to carious lesion transitions in intervention trials. Community Dent Oral Epidemiol 2003;31:252–60.
109. 109. Mejàre I, Stenlund H, Julihn A, Larsson I, Permert L. Influence of approximal caries in primary molars on caries rate for the mesial surface of the first permanent molar in Swedish children from 6 to 12 years of age. Caries Res 2001;35:178–85.
110. 110. Lervik T, Haugejorden O, Aas C. Progression of posterior approximal carious lesions in Norwegian teenagers from 1982 to 1986. Acta Odontol Scand 1990;48:223–7.
111. 111. Mejàre I, Källestål C, Stenlund H. Incidence and progression of approximal caries from 11 to 22 years of age in Sweden: a prospective radiographic study. Caries Res 1999;33:93–100.
112. 112. Lith A, Gröndahl HG. Predicting development of approximal dentin lesions by means of past caries experience. Community Dent Oral Epidemiol 1992;20:25–9.
113. 113. David J, Raadal M, Wang NJ, Strand GV. Caries increment and prediction from 12 to 18 years of age: a follow‐up study. Eur Arch Paediatr Dent 2006;7:31–7.
114. 114. Nordbø H, Leirskar J, von der Fehr FR. Saucer‐shaped cavity preparations for posterior approximal resin composite restorations: observations up to 10 years. Quintessence Int 1998;29:5–11.
115. 115. Kopperud SE, Tveit AB, Gaarden T, Sandvik L, Espelid I. Longevity of posterior dental restorations and reasons for failure. Eur J Oral Sci 2012;120:539–548.