Tali Lando and Ian N. Jacobs
Congenital neck masses are a common problem in children. This chapter will discuss etiology as well as diagnosis and treatment of congenital neck masses. The etiology of these lesions can often be determined by characteristics on examination such as size, consistency, and location. Midline lesions include thyroglossal duct cysts (TGDC), ectopic thyroid, dermoid cysts, and thymic rests. Lateral and posterior triangle lesions include branchial anomalies (BAs) and lymphatic malformations (LMs). Upper cervical and submandibular lesions include hemangiomas and venous and lymphatic malformations.
BAs
Between the 4th and 6th week of fetal development, 6 paired branchial arches appear. Each arch is layered externally by ectoderm and internally by endoderm, with a core of mesoderm. The arches are separated by ectodermal clefts externally and endodermal pouches internally. Each arch, pouch, and cleft will form specific structures in the head and neck (Table 19.1). As a general rule, BAs and their associated tract lie inferior (superficial) to all embryonic derivatives of their associated arch and superior (superficial) to all derivatives of the next arch.
Imaging
Imaging can aid in diagnosis, identify anatomic relationships to neurovascular structures, and also determine the extent of the BAs. Ultrasound can differentiate cysts from lymphadenopathy, but BAs do not have a classic ultrasound appearance. Magnetic resonance imaging (MRI) is most helpful in assessing soft-tissue borders. For first BAs, high-resolution computed tomography (CT) scan can define the relationship of the sinus tract with the external auditory canal and the middle ear. Preoperative fistulography (with thin barium) has been used to study third and fourth branchial sinuses (pyriform fistulae) (Fig. 19.1), but inflammation and scarring can yield false-negative results.1 A barium swallow can clarify postsurgical anatomy in recurrent lesions.
First BAs
Embryology and Anatomy
First BAs develop as a result of incomplete obliteration of the cleft between the mandibular process of the first arch (Meckel cartilage) and the second arch (Reichert cartilage). They represent between 7 and 10% of all BAs.2,3 First BAs course close to the parotid gland and the superficial parotid lobe may overlie a component of the lesion. The relationship between first BAs and the facial nerve is variable, but identification of the facial nerve should be a component of most, if not all surgical plans for these lesions. The tracts are more likely to be superficial or deep to the facial nerve, but may also intercalate split between nerve branches.3,4

Figure 19.1 A pharyngoesophagram with contrast leakage into fistula.
Clinical Presentation and Diagnosis
First BAs appear in front of, below, or behind the pinna. They can be confused with dermoid cysts or preauricular pits and cysts, which are developmentally distinct entities formed from failure of fusion of the auricular hillocks. As a result, they are often not diagnosed or completely treated for years.3 Clinical presentation is variable: parotid symptoms include a mass or cystic swelling which increases with inflammation; auricular symptoms involve fullness in the ear canal (with or without chronic discharge) in the presence of a normal tympanic membrane; and cervical symptoms consist of swelling or drainage in the neck, just posterior to the mandible. Misdiagnosed intraparotid cysts or parotid tumors may be embryonic remnants of the first branchial cleft.
Fistulae and sinuses from the first branchial cleft are rare and account for less than 8% of all BAs.4 Tract openings can occur anywhere in the external ear canal (EAC), middle ear cleft, postauricular region or neck over the angle of the mandible, below the hyoid and anterior to the sternocleidomastoid muscle (SCM). A membranous attachment between the tract and the tympanic membrane is present in 10% of patients.3
Table 19.1 Embryonic Derivatives of the Branchial Apparatus
|
First arch Cartilage (Meckel): Sphenomandibular ligament, anterior malleolar ligament, malleus, and the incus (excluding the manubrium of the malleus and the long process of the incus). Bony derivatives contribute to the formation of the ramus of the mandible and the maxilla. Mesenchymal component: Muscles of mastication—temporalis, masseter, and the medial and lateral pterygoid muscles. Tensor tympani, tensor veli palatine, anterior belly of the digastric, and mylohyoid muscles. Blood supply: Facial artery. Innervation: Mandibular portion of the trigeminal nerve (V3). |
|
First clefta Dorsal portion: External auditory meatus. Middle portion: Concha cavum. Ventral portion: Obliterates. Pinna develops around dorsal end of the first branchial cleft from the six tubercles or hillocks of His. Membrane at the bottom of the groove becomes outer squamous layer of tympanic membrane. First cleft separates the mandibular process from the second branchial arch. |
|
First pouch Ventral portion: Eustachian tube. Dorsal portion of the first and second pharyngeal pouches; contributes to formation of the middle ear, tubotympanic recess, and mastoid antrum. |
|
Second arch Cartilage (Reichert): Stylohyoid ligament, styloid process, manubrium of the malleus, long process of the incus and stapes suprastructure. (Stapes footplate is mostly derived from the otic capsule.) Part of the body and both of the lesser cornu of the hyoid bone. Mesenchymal component: Muscles of facial expression, posterior belly of digastric, stylohyoid, and stapedius muscle. Blood supply: Stapedial artery (should degenerate before birth). Innervation: Facial nerve (CNVII). |
|
Second cleft Obliterated. |
|
Second pouch Endodermal layer: Epithelial lining of the palatine tonsil. Mesodermal layer: palatine tonsil itself. |
|
Third arch Cartilage: Remaining parts of the body and the greater cornu of the hyoid. Mesenchymal component: Stylopharyngeus muscles. Blood supply: Common carotid and proximal portions of the internal and external carotid artery. Innervation: Glossopharyngeal nerve (CN IX). |
|
Third cleft Obliterated. |
|
Third pouch Inferior parathyroids and thymus. Opens into the pharynx at the level of pyriform fossa anterior to fold formed by the internal laryngeal nerve. |
|
Fourth–sixth arch Cartilage: Laryngeal framework including the thyroid, cricoid, arytenoid, corniculate, and cuneiform cartilages. Mesenchymal component: Fourth arch—cricothyroid and inferior constrictor muscles and superior part of the esophagus, composed of striated muscle. Sixth arch—remaining extrinsic and intrinsic muscles of the larynx. Blood supply: Fourth arch—right subclavian and aortic arch. Sixth arch—pulmonary artery and ductus arteriosus. Innervation: Fourth arch—superior laryngeal nerve. (The superior laryngeal nerve gives sensation to the larynx and motor innervation to the cricothyroid. Pharyngeal constrictors are innervated by the pharyngeal branch of the vagus and upper esophagus by the recurrent laryngeal branch.) Sixth arch—recurrent laryngeal nerve. |
|
Fourth–sixth clefts Obliterated. |
|
Fourth pouch Superior parathyroid glands and ultimobranchial body (opens in the region of the pyriform sinus posterior to the internal branch of the superior laryngeal nerve or upper esophagus). Sixth pouch—obliterated. |
aThe first branchial cleft is unique because it is the only cleft that is not completely obliterated by the 8th week of gestation.
Work classified first BAs based on clinical and histological features.5 Type I lesions are duplications of the cartilaginous EAC containing squamous epithelium only. Typically, a cystic mass in the postauricular area extends anteromedially, paralleling the EAC, and passing lateral to the facial nerve to end at the bony meatus. Type II lesions are more common. Classically, a sinus tract from an external opening high in the neck along the anterior border of the SCM passes superficial or deep to the facial nerve, in close relation to the parotid gland. The tract ends blindly near the floor of the cartilaginous EAC or opens into the canal to form a complete fistula. Although the Work classification system is time-honored, the value of such classification for clinical treatment has been questioned.
Second BAs
Embryology and Anatomy
Second arch anomalies, the most common BAs, represent between 69 and 93% of all BAs.1,2 Tracts pass from an external opening in the mid to lower neck, anterior to the border of the SCM, deep to the platysma, and along the carotid sheath. They course between the internal and external carotid arteries after passing superficial to the glossopharyngeal and hypoglossal nerves. In the case of true fistulae, the tract then dives below the stylohyoid ligament and opens internally in the oropharynx at the level of the tonsillar fossa. The second, third, and fourth BAs have a similar exit point in the neck because embryologically they all share a common external opening—the cervical sinus of His.
Clinical Presentation and Diagnosis
Second cleft fistulae are generally diagnosed early in infancy or childhood. Patients complain of recurrent neck drainage that often increases with upper respiratory tract infections (URIs). This is due to the respiratory epithelium lining the tract that increases secretion production in the presence of inflammation or infection. In contrast, cysts may be diagnosed later in adulthood as nontender neck masses that may enlarge during an URI. These sinuses are usually right-sided and occur more often in girls.1 Between 2 and 13% occur bilaterally.6 Bilateral lesions with concomitant preauricular sinuses may suggest a syndromic diagnosis such as branchio-oto-renal syndrome.
Third and Fourth BAs
Embryology and Anatomy
Third arch anomalies are uncommon. Persistent fistulae of the third branchial cleft and pouch course along the anterior border of the SCM (between the middle and the lower third) and pass deep to the internal carotid artery. The tract courses the between the glossopharyngeal nerve and hypoglossal nerve below or loops around the hypoglossal nerve. If there is an internal opening, it pierces the thyrohyoid membrane and enters the pharynx in the region of the pyriform sinus. Third BAs originate from the base (cranial end) of the pyriform sinus and pass above the superior laryngeal nerve, whereas the tract of fourth BAs originates from the apex (caudal end) of the pyriform sinus and passes through the cricothyroid membrane beneath the superior laryngeal nerve.7
Fourth branchial malformations are rare (Fig. 19.1). The course of the anomalous tract depends on its sidedness. Left-sided lesions descend into the mediastinum and loop around the aortic arch, medial to the ligamentum arteriosus; the tract then ascends into the neck and enters the pharynx at the level of the pyriform sinus or cervical esophagus. Right-sided lesions loop around the subclavian artery and pass deep to the internal carotid artery, then ascending to the level of the hypoglossal nerve. The tract then descends and enters the pharynx.
Clinical Presentation and Diagnosis
The second, third, and fourth BAs have a similar external cervical presentation because embryologically they all share a common external opening—the cervical sinus of His. Neck masses originating from the third and fourth branchial apparatus often present lower in the neck, and are most often on the left side.
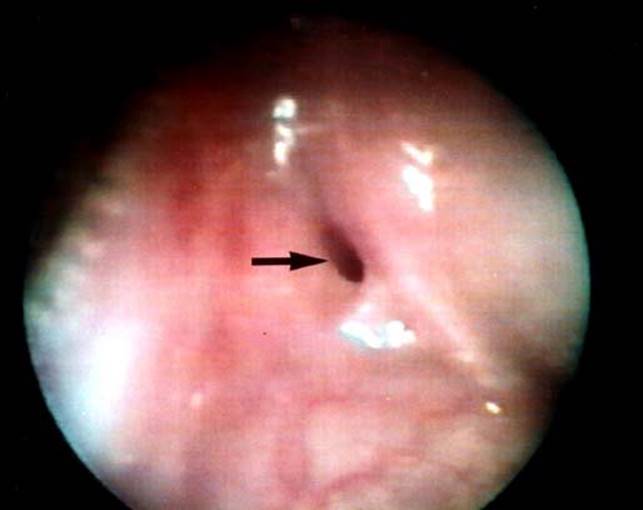
Third and fourth BAs can be grouped together as “pyriform sinus tracts.” Pyriform sinus tracts should be considered in any child with recurrent left neck abscesses or suppurative thyroiditis.8 Direct laryngoscopy with identification of a fistulous opening confirms the diagnosis (Fig. 19.2).
Management/Treatment
With all these lesions, surgical intervention may be delayed in young infants with uncomplicated courses until at least 2 or 3 years of age. Whenever possible, excision should be postponed until any acute infection has been well treated. In some refractory cases, long-term oral or parenteral antibiotic therapy may be required until the time of excision to prevent reinfection.

Figure 19.2 Endoscopic localization of a pyriform sinus tract.

Figure 19.3 Complete excision of first branchial cleft anomalies including facial nerve dissection.

Figure 19.4 Stepladder incision to excise second branchial cleft tract.
First BAs
Surgical excision of Type I anomalies should include exploration and excision of the mass and its tract down to the EAC at its bony junction (Fig. 19.3). Management of Type II anomalies entails excision via parotidectomy incision and complete excision of the tract. Conservative parotidectomy with identification of the facial nerve is required in most cases. Limited cystectomies will result in recurrence and the incidence of facial nerve injury is higher if the nerve is not identified.4 Facial nerve monitors are often used during these operations, but a thorough knowledge of the relationship of the tracts with the facial nerve is essential. If the sinus tract involves the cartilaginous EAC, it should be marsupialized with an ellipse of cartilage removed.
Second BAs
The external skin opening should be excised in an elliptical fashion. Methods to aid in identifying the tract have included injection of methylene blue, insertion of probes and catheters, or paraffin injection. Careful dissection of the tract should be carried as far superiorly as possible and ligated. Tract length is variable and long tracts may require several “stepladder” incisions (Fig. 19.4). In many cases, sinuses extend to the level of the carotid bifurcation and even into the tonsillar fossa.2 In rare circumstances it may be necessary to perform a tonsillectomy to identify the internal oropharyngeal opening. The tract can be cannulated from the mouth and the tract pulled through from the neck for a complete surgical excision. Potential surgical complications include persistence of the cyst, pharyngocutaneous fistula formation, and cranial nerve (glossopharyngeal or hypoglossal) and vascular injury.
Third and Fourth BAs
Third and fourth BAs are excised with a cervical neck incision similar to that for second BA. Treatment should include complete excision of the lesion as well as a left thyroid lobectomy, if indicated. After multiple neck infections or surgical procedures, these lesions may be densely adherent to the carotid sheath. There is debate on the best method of addressing pyriform sinus tracts.9 Some suggest initial cannulation with a lacrimal probe or Fogarty catheter under direct laryngoscopy. Once identified, the tract is followed proximally and completely excised with a purse-string closure (Fig. 19.5). Dissection may continue all the way up to the pyriform sinus. Potential surgical complications include pharyngocutaneous fistula formation and nerve (superior and recurrent laryngeal) and vascular injury.
Various endoscopic cauterization techniques have been described as an alternative to open surgery. Endoscopic cauterization is performed under suspension laryngoscopy with identification of the fistulous opening in the pyriform sinus. Chen et al reported success with endoscopic electrocauterization alone, using a urologic instrument (5 French Flexible Bugbee Cautery Electrode, EET-107B, Greenwald Surgical Company, Inc., Lake Station, IN).10 Other obliterative methods such as chemical cauterization with 40% trichloroacetic acid and injection of fibrin glue into the pyriform sinus apex have also been described.11 These methods are performed in conjunction with drainage of the neck abscess, when present.

Figure 19.5 Localization of pyriform apex fistula in the neck using a Fogarty balloon.
Table 19.2 deSerres Classification of Lymphatic Malformations
|
Stage I |
Unilateral infrahyoid disease |
|
Stage II |
Unilateral suprahyoid disease |
|
Stage III |
Unilateral suprahyoid and infrahyoid disease |
|
Stage IV |
Bilateral suprahyoid disease |
|
Stage V |
Bilateral suprahyoid and infrahyoid disease |
Note: This classification system correlates increasing stage with clinical complications including: need for airway intervention, speech and feeding difficulties, preoperative infection requiring antibiotics, cosmesis, dental malocclusion, and persistent or recurrent disease.
Adapted from: Wiegand S, Eivazi B, Zimmermann AP, Sesterhenn AM, Werner JA. Sclerotherapy of lymphangiomas of the head and neck. Head Neck 2011;33(11):1649–1655.
LMs
Embryology and Anatomy
LMs are generally considered benign congenital neoplasms of the lymphatic system. Histopathologically, LMs have been classified into simple lymphangiomas, cavernous lymphangiomas, and cystic hygromas.12 This classification system is based on thickness of the adventitia and size of the vascular spaces. An alternative system categorizes LMs into three relatively distinct morphologic types: macrocystic, microcystic, or mixed lesions.13 The macrocystic type is composed of large cysts ≥2 mL filled with lymphatic fluid. The microcystic type comprise dysplastic lymphatic tissue with a variable fibrofatty component, small cysts <2 mL or ectatic channels. In the mixed form, a solid soft-tissue mass is associated with a cystic component.
The most commonly accepted staging system, used for prognosis, was developed by deSerres based on laterality and relationship to the hyoid bone (Table 19.2).14 deSerres recognized that suprahyoid lesions are more difficult to excise completely than infrahyoid lesions.
Clinical Presentation and Diagnosis
LMs occur frequently in the head and neck, with the neck often considered the most likely location.14 Malformations are present at birth, although they may have delayed clinical presentations. Males and females are equally affected. They most commonly present as a painless, soft, compressible mass in the anterior or posterior cervical triangle. Floor of mouth, hypopharyngeal, or laryngeal malformations can cause airway compromise, as well as speech and feeding difficulties. Facial and parotid lesions can be disfiguring. Orbital lesions may affect vision and neck lesions can cause torticollis. Cervicofacial LMs can result in long-term mandibular deformity and dental malocclusion. Inferior thoracocervical LMs can cause mediastinal widening or great vessel displacement, often without aerodynamic compromise.
Cervicofacial LMs are diagnosed by history and physical examination. Lesions grow commensurate with the child and are often transilluminate. Sudden enlargement results from intralesional hemorrhage or infection causing an inflammatory response. Thin-walled lesions permit bleeding into vessels, resulting in a reddish hue of the overlying skin. With large head and neck LMs, a comprehensive airway evaluation should include fiberoptic laryngoscopy to identify any involvement of the larynx or hypopharynx.
Imaging
Ultrasound may demonstrate hypoechogenic, multilocular cysts with septae of variable thickness. It is of limited use for identifying mediastinal extension or retropharyngeal LMs. Prenatal diagnosis of LMs is increasingly common. Ultrasound in the first or second trimester may diagnose nuchal LMs, but these lesions generally resolve. In utero LMs are associated with aneuploidy syndromes such as Turner or Down syndrome.15
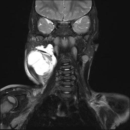
MRI with gadolinium is the best study for evaluating LMs and differentiating them from low-flow venous lesions. LMs are hypo- or isodense on T1-weighted images and hyperintense on T2-weighted images.13 Septations are clearly demarcated and margins are often distinguishable from adjacent tissue (Fig. 19.6). Recent infection or hemorrhage into the cyst appears as a heterogeneous fluid–fluid level. Chest radiographs can identify thoracic extension.
Management/Treatment
Treatment options vary based on LM size, location, and associated symptoms. The risks of surgery are considered as well as the potential for complete excision. Airway management is essential in all patients with potential airway compromise, but especially in infants with large cervicofacial lesions extending to the oral floor and tongue base. Tracheostomy is considered if there are airway concerns related to mass effect, acute enlargement, or inflammatory reaction to treatment. An ex utero intrapartum treatment (EXIT) for airway management is scheduled if there is concern for respiratory compromise.16

Figure 19.6 Coronal gadolinium-enhanced magnetic resonance image of right neck lymphatic malformation.
Potential for recurrent infection, airway compromise, feeding and speech difficulties, and cosmetic concerns makes these lesions challenging. A multidisciplinary approach should assess treatment plans that may include surgery, sclerotherapy, or observation.
Observation
The goal of treatment is improvement or preservation of functional and aesthetic integrity. Small, asymptomatic (nondisfiguring, nonobstructing) LMs are often not treated. Nonetheless, spontaneous regression is rare and occurs in less than 5% of cases.17
Treatment may be delayed (i.e., 6 to 12 months of age), in the absence of airway obstruction. However, resection should be scheduled before the child develops self-image and memory (at about age 3). Multiple procedures beyond the neonatal period are typically necessary in these patients to obviate the need for tracheostomy.
Surgical Excision
The general dictum is that LMs do not involute and surgery is the treatment of choice. The most important factor is to perform complete surgical excision without significant morbidity. Safe and complete removal depends on the extent, location, and wall thickness. Lesions can infiltrate surrounding tissues making excision difficult without sacrifice of neurovascular structures. In reality, many LMs are treated repeatedly with multiple or combined modalities. Surgery is particularly appropriate for focal lesions (Stages I and II) that involve the anterior tongue, neck, parotid, or mediastinum (Fig. 19.7A, B). Surgery may be indicated for microcystic lesions because sclerotherapy is generally less effective. Incomplete excision carries a high risk of recurrence (50 to 100%).14,17 Typically, recurrences are evident soon after surgery, but some LMs can recur even after a long period of quiescence.

Figure 19.7 (A) Lymphatic malformation (preoperative) and (B) intraoperative resection.
Extensive LMs of the oral cavity are particularly difficult to resect. Postoperative feeding and speech morbidity can result from neuromuscular damage. The facial nerve is at risk in lesions with parotid, buccal, and submandibular involvement, with the marginal mandibular branch most commonly injured.14 Hypoglossal nerve injury results from resection of floor of mouth masses while the accessory nerve is at risk in posterior cervical lesions. Frey syndrome (gustatory sweating) and Horner syndrome (ptosis, miosis, and anhidrosis) can occur after excision of parotid masses or malformations with carotid sheath involvement, respectively.
Sclerotherapy
Percutaneous sclerotherapy is most effective for unilocular macrocystic lesions and some microcystic lesions. OK-432 (picibanil), a lyophilized low-virulence strain of group A Streptococcus pyogenes, has been used effectively with few side effects in children with macrocystic LMs.13,18 Although the exact mechanism of this action is unknown, it causes an intense inflammatory reaction followed by fibrosis and shrinkage. Doxycycline is an effective sclerosing agent that does not cause neural toxicity. Other sclerosants include 50% dextrose, sodium tetradecyl foam, bleomycin, ethanol, and interferon alfa-2a. Each of these agents has unique potential complications. Sclerosing technique involves aspiration to confirm the lymphatic character of the lesion, followed by instillation into the cyst under ultrasound or fluoroscopic guidance. Adverse reactions are mostly temporary and limited to pain, erythema, edema, and fever associated with an inflammatory response. When injected into the neck, there is a risk of airway compromise from swelling, and need for emergent tracheostomy has been described.13 Sclerotherapy does not seem to complicate subsequent surgery for residual LMs.18
Laser Therapy
The carbon dioxide (CO2) laser is an invisible laser (10,600 nm), which is preferentially absorbed by water. It can reduce the size of superficial mucosal lymphatic lesions. Intraoral lesions may be treated with a handheld laser while hypopharyngeal and laryngeal lesions require suspension microlaryngoscopy.19 CO2 laser debulking does not completely excise tissue in patients with obstructing airway lesions. Nd:YAG and pulsed dye laser are useful in treating the superficial components of LMs and can improve cosmesis. As these lasers do not address the deep component, recurrence is inevitable.
Radiofrequency Ablation
Bipolar radiofrequency plasma ablation (coblation) can be an effective means of treating or diminishing microcystic LMs of the oral cavity.20 Coblation destroys lesion tissues at low temperature (40 to 70°C) with minimal damage to adjacent structures. Submucosal tongue lesions are typically treated under general anesthesia with suspension microlaryngoscopy.
TGDC
Embryology and Anatomy
Early in gestation, the thyroid gland begins to form from the median thyroid anlage at the foramen cecum. The gland descends anteroinferiorly over the hyoid to its destination in the lower midline of the neck. During this process, the median thyroid anlage elongates, forming the thyroglossal duct. Persistence of ductal elements leads to the formation of cysts.
Clinical Presentation and Diagnosis
TGDCs are the most frequent congenital neck mass requiring excision (Fig. 19.8). They present as a soft compressible painless neck mass in the region of the hyoid bone at or around midline.21 Most patients present in the first 5 years of life, although they may present in adulthood. Classically, the mass moves cranially with swallowing and tongue protrusion because of its association with the hyoid bone.
Some patients may present with a draining midline fistula that occurs after infection. Lingual thyroglossal duct cysts are rare variants that present in the central tongue base. Left untreated, these patients may present with life-threatening airway obstruction.
Imaging
The extent of preoperative testing in children with TGDC has evolved over the past several decades. Patients with suspected TGDC should undergo preoperative ultrasound to establish the presence of a normal thyroid gland in the normal location, effectively ruling out the possibility of ectopic thyroid as the etiology of the mass. Ultrasound of TGDC demonstrates a hypoechoic or anechoic, thin-walled cyst with prominent enhancement. Debris may suggest hemorrhage or infection. When the thyroid gland is absent on ultrasound, a radionuclide scan may be useful.

Figure 19.8 A large midline thyroglossal duct cyst.
Management/Treatment
Surgical Excision
TGDCs are removed to prevent subsequent infection. The Sistrunk procedure, reported about 90 years ago, entails complete excision of the cyst, tract and fistula, and the central portion of the hyoid bone (Fig. 19.9). The thyroid cartilage is identified and the hyoid is skeletonized and suprahyoid muscles are released to remove a central portion of bone. Dissection proceeds proximally, coring tissue around the tract through the base of tongue muscles to the foramen cecum including this in the specimen. The tract is ligated at the tongue base and the specimen is removed en bloc. The pyramidal lobe may be included in the surgical specimen to prevent recurrence.22

Figure 19.9 The classic Sistrunk procedure involves the en bloc resection of cyst tract, central body of hyoid followed to foramen cecum. (A) After procedure; (B) after tract; and (C) after cecum.
Various modifications of the classic surgical technique have been described to reduce the recurrence risk. Perkins et al describe a “suture-guided transhyoid pharyngotomy” technique for recurrent TGDC, which involves removal of a tissue block from the foramen cecum under direct visualization.23
Hemangiomas
Embryology and Anatomy
Infantile hemangiomas (IHs) are the most common tumor of infancy (affecting about 5% of infants) and the most common airway neoplasm in children. They are proliferating embryonal tumors that may stem from placental tissue. Localized hemangiomas originate from a central point, while segmental hemangiomas follow developmental segments. These lesions have a three-phase natural history: proliferation, plateau, and involution.
Clinical Presentation and Diagnosis
Most hemangiomas are not seen at birth but present in the first month of life and continue to proliferate until 24 months of age. The rate of growth during the proliferative phase is unpredictable. Spontaneous regression typically occurs after 18 to 24 months of age. The most common sites in the head and neck are the scalp, neck, and face. On physical examination, these lesions are generally soft, painless, and compressible.
Airway hemangiomas can be life-threatening. Signs and symptoms include stridor, croup-like cough, respiratory distress, and oral intolerance. Patients with airway symptoms and those with cutaneous hemangiomas in the V3 beard distribution should undergo airway evaluation including flexible nasopharyngoscopy, and perhaps direct laryngoscopy and bronchoscopy.24 PHACE syndrome (posterior fossa malformations, head and neck hemangiomas, arterial anomalies, cardiac defects, eye abnormalities) has a significant association with cervical hemangiomas in the V3 distribution.25
Imaging
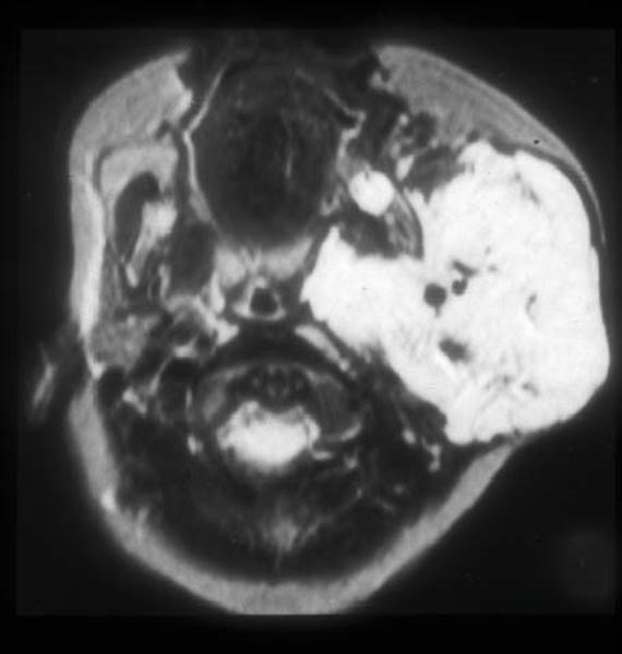
Imaging of preschool age children with extensive neck and airway hemangiomas may require sedation and endotracheal intubation. CT scan of the neck with contrast provides good tissue detail. MRI or magnetic resonance angiography is helpful in defining the extent of the lesion and its vascularity. The diagnostic findings of hemangiomas on T2-weighted MRI are multiple septated lobules of high signal intensity resembling a “bunch of grapes” (Fig. 19.10).25 Thrombosis appears as circular areas of low signal intensity similar to phleboliths.

Figure 19.10 Magnetic resonance image of large neck (parotid) hemangioma.
Management/Treatment
Surgical Excision
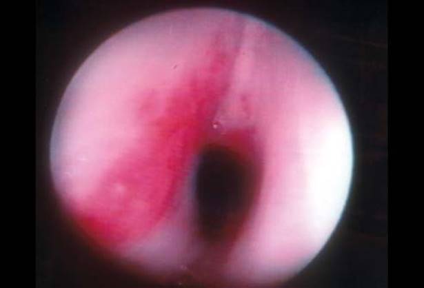
Subtotal removal using the microdebrider or laser can debulk obstructive lesions but may not obviate the need for medical treatment (Fig. 19.11).26 Open resection of airway hemangiomas with laryngotracheoplasty is an effective method of treatment for larger focal airway hemangiomas.27 For lesions extending beyond the airway into the neck, surgical options are more limited and less efficacious.
Corticosteroids
Traditionally, corticosteroids have been the mainstay of medical treatment for hemangiomas. Although effective, long-term systemic steroids cause side effects (especially in the growing child) that include immunosuppression, cushingoid facies, and muscle weakness. Intralesional injected steroids may be effective and reduce the risk of systemic side effects.

Figure 19.11 Endoscopic view of subglottic hemangioma.
Beta-Blockers
Propranolol, a nonspecific β-adrenergic receptor blocker, is a new and effective treatment for hemangiomas. In a study conducted by Truong et al, use of propranolol results in improvement of airway obstruction, avoidance of surgical intervention, and decreased duration of corticosteroid use.28 Clinical response to propranolol is typically noted in the first 1 to 3 weeks following treatment initiation. Potential side effects such as hypotension, bradycardia, and hypoglycemia warrant careful patient monitoring. Treatment progress is based on clinical examination and serial endoscopy or repeat imaging. When there is no response to therapy, biopsy with GLUT-1 immunohistochemical staining can be considered to confirm diagnosis.28
A protocol was developed at our institution (The Children's Hospital of Philadelphia) for the initial management of complicated airway hemangiomas with propranolol (Table 19.3). Treatment duration varies between institutions and depends on patient factors such as age, initial response, and reaction to discontinuation of therapy. The anticipation is that therapy will continue for about 3 to 6 months, or until the child reaches 6 to 12 months of age. Acebutolol, a selective β1-receptor blocker, has been investigated for subglottic hemangiomas with some positive results in a small number of patients.29 Unlike propranolol, acebutolol is cardioselective, has a less frequent dosing schedule (twice a day vs. thrice a day dosing), and has less effect on resting heart rate.
Dermoids
Embryology and Anatomy
Dermoid cysts represent up to 25% of midline congenital neck masses.30 These lesions occur throughout the head and neck, typically along the lines of embryonic fusion. The histology and anatomic distribution of dermoid lesions suggests they may result from entrapment of epithelial elements along embryonic lines of fusion (Fig. 19.12).
Table 19.3 Propranolol Protocol for Airway Hemangiomas (Abbreviated)
|
Premedication screening • Baseline evaluation is performed including history and physical examination, electrocardiogram, and if indicated, echocardiogram or cardiac MRI/A to screen for structural cardiac abnormalities associated with decreased cardiac output. • Consultation with Cardiology team at the discretion of the admitting team. In most cases, screening history and physical examination with specific attention to contraindications (e.g., active reactive airway disease, hypoglycemia, prematurity <32 wk, bradycardia or hypotension, and other medications that would contraindicate concomitant use of β-blockers) is sufficient. • Consultation of other services based on anatomic location of lesion or organ dysfunction. • For those with suspected PHACE syndrome, evaluation should include: ○ Cardiology consultation and echocardiogram with attention to right and transverse aortic arch. ○ MRI/A of the head and neck to r/o ischemic intracranial vascular anomalies. ○ Ophthalmology consultation to evaluate for structural eye anomalies. ○ Screening thyroid function testing and rT3 measurement. |
|
Preadmission protocol • Determination if child should be admitted to ICU or inpatient hospital floor ○ ICU admission for infants <2 mo (chronological or corrected gestational age) or those with unstable health conditions. |
|
Inpatient admission protocol • On inpatient ward, baseline vitals are obtained, then q2h × 2 doses following initial dose and subsequent dose escalations, then standard q4h. • ICU patients are monitored continuously. |
|
Dosing protocol • Day 1: Initiation as oral dose at 0.5 mg/kg/d divided q8h ×3 doses • Day 2: Oral dose at 1 mg/kg/d divided q8h × 3 doses • Day 3: Oral dose at 2 mg/kg/d divided q8h × 3 doses • Blood glucose measurements as well as hold criterion are specified in full protocol. • If suboptimal or partial results, doses may be escalated to 3–5 mg/kg/d in 0.5–1 mg increments as tolerated. Caution is necessary in patients with bronchospastic disease, diabetes, hepatic or renal impairment, and Wolf-Parkinson-White syndrome. • Once the target dose is achieved, ambulatory heart rate and blood pressure monitoring is recommended weekly or biweekly for 1 mo and then monthly while on treatment. Closer follow-up may be necessary if oral steroids are being tapered while still on β-blocker. |
MRI/A, magnetic resonance imaging/angiography; wk, weeks; PHACE syndrome, posterior fossa malformations, head and neck hemangiomas, arterial anomalies, cardiac defects, eye abnormalities; ICU, intensive care unit; mo, months; q2h, every 2 hours; q4h, every 4 hours; d, day; q8h, every 8 hours.
Clinical Presentation and Diagnosis
Dermoid cysts typically present before age 3 as painless cervical subcutaneous masses in the anterior neck that move with overlying skin manipulation. Infection is rare, but superficial cysts can rupture and present with granulomatous inflammation. Diagnostic confusion arises when dermoids are located near the hyoid.
Management/Treatment
Surgical excision of the mass is curative. However, some have recommended techniques for performing the Sistrunk procedure when a midline neck mass shares characteristics of dermoid and TGDC.31
Cervical Teratomas
Embryology and Anatomy
Teratomas are rare embryonal neoplasms that arise when totipotent germ cells escape developmental control and form tissue masses derived from all three cell layers (endoderm, mesoderm, and ectoderm). Head and neck teratomas represent only 2 to 6% of all teratomas.30,32
Clinical Presentation and Diagnosis
The most common sites of head and neck teratomas are cervical and nasopharyngeal.32 Teratomas may become symptomatic in utero causing polyhydramnios from esophageal obstruction. Diagnosis is often made on prenatal ultrasound, but >50% of these teratomas are diagnosed at birth.32,33 The α-fetoprotein (AFP) assay is a useful adjunct in establishing a prenatal diagnosis.
Imaging
Ultrasound demonstrates a mixed solid and cystic mass originating most commonly from the anterolateral aspect of the neck with calcifications. MRI provides key anatomic details about the mass and adjacent airway. It can distinguish a predominately cystic teratoma from a cystic lymphatic malformation. Prenatal ultrafast MRI has the advantage of high-contrast resolution, which is unaffected by fetal motion.33
Management/Treatment
When prenatal diagnosis of cervical teratoma is made and airway compromise is suspected, an EXIT procedure is planned. Delivery via cesarean section is preferred because the size of the neck mass may preclude vaginal delivery.16Sometimes aspiration of a large cystic teratoma is necessary to deliver the head and neck. If initial attempt at direct laryngoscopy or rigid bronchoscopy fails to establish an airway, a tracheostomy is performed. Rare situations of cardiovascular instability or difficult tracheostomy require tumor removal or debulking at the time of delivery while on uteroplacental bypass.16

Figure 19.12 Surgical resection of midline neck dermoid.
Surgical excision should be performed electively in the first weeks of life because these lesions occupy critical spaces and tend to grow rapidly. The goal is to remove all tumor tissue without sacrificing vital structures. A clean cleavage plane is usually found between the tumor and the structures of the neck because these lesions tend to be encapsulated or psuedoencapsulated.31,32 Unfortunately, some teratomas are densely adherent to nearby tissues. The risk to anatomic structures depends on location. Postoperatively, serial AFP levels should be obtained to screen for recurrence. Malignant degeneration can occur. Presence of metastasis at birth has also been reported.
Late sequelae including pharyngocutaneous fistula, vocal cord paralysis/paresis, tracheomalacia, hypoparathyroidism, and bleeding have been described.33 A multidisciplinary team of obstetricians, anesthesiologists, pediatric surgeons, pediatric otolaryngologists, and neonatologists may be required for optimal management of this condition. Some fetuses with large teratomas or severe hydrops may not be viable and termination or open fetal surgery is an option.
References
1. Schroeder JW Jr, Mohyuddin N, Maddalozzo J. Branchial anomalies in the pediatric population. Otolaryngol Head Neck Surg 2007;137(2):289–295
2. Ford GR, Balakrishnan A, Evans JN, Bailey CM. Branchial cleft and pouch anomalies. J Laryngol Otol 1992;106(2):137–143
3. Triglia JM, Nicollas R, Ducroz V, Koltai PJ, Garabedian EN. First branchial cleft anomalies: a study of 39 cases and a review of the literature. Arch Otolaryngol Head Neck Surg 1998;124(3):291–295
4. D'Souza AR, Uppal HS, De R, Zeitoun H. Updating concepts of first branchial cleft defects: a literature review. Int J Pediatr Otorhinolaryngol 2002;62(2):103–109
5. Work WP. Newer concepts of first branchial cleft defects. Laryngoscope 1972;82(9):1581–1593
6. Celis I, Bijnens E, Peene P, Cleeren P. The use of preoperative fistulography in patients with a second branchial cleft anomaly. Eur Radiol 1998;8(7):1179–1180
7. Pereira KD, Davies JN. Piriform sinus tracts in children. Arch Otolaryngol Head Neck Surg 2006;132(10):1119–1121
8. Shrime M, Kacker A, Bent J, Ward RF. Fourth branchial complex anomalies: a case series. Int J Pediatr Otorhinolaryngol 2003;67(11):1227–1233
9. Nicoucar K, Giger R, Jaecklin T, Pope HG Jr, Dulguerov P. Management of congenital third branchial arch anomalies: a systematic review. Otolaryngol Head Neck Surg 2010;142(1):21–28, e2
10. Chen EY, Inglis AF, Ou H, et al. Endoscopic electrocauterization of pyriform fossa sinus tracts as definitive treatment. Int J Pediatr Otorhinolaryngol 2009;73(8):1151–1156
11. Stenquist M, Juhlin C, Aström G, Friberg U. Fourth branchial pouch sinus with recurrent deep cervical abscesses successfully treated with trichloroacetic acid cauterization. Acta Otolaryngol 2003;123(7):879–882
12. Sobol SM, Bailey SB. Evaluation and surgical management of tumors of the neck: benign tumors. In: Thawley SE, Panje WR, Batsakis JG, Lindberg RD, eds. Comprehensive Management of Head and Neck Tumors. Philadelphia, PA: WB Saunders 1999;(65):1416–1449
13. Giguère CM, Bauman NM, Sato Y, et al. Treatment of lymphangiomas with OK-432 (Picibanil) sclerotherapy: a prospective multi-institutional trial. Arch Otolaryngol Head Neck Surg 2002;128(10):1137–1144
14. de Serres LM, Sie KC, Richardson MA. Lymphatic malformations of the head and neck. A proposal for staging. Arch Otolaryngol Head Neck Surg 1995;121(5):577–582
15. Gedikbasi A, Gul A, Sargin A, Ceylan Y. Cystic hygroma and lymphangioma: associated findings, perinatal outcome and prognostic factors in live-born infants. Arch Gynecol Obstet 2007;276(5):491–498
16. Bauman NM, Giguere CM, Manaligod JM, Sato Y, Burke DK, Smith RJH. Management of lymphatic malformations: if, when and how. Oper Tech Otolaryngol Head Neck Surg 2002;13:85–92
17. Riechelmann H, Muehlfay G, Keck T, Mattfeldt T, Rettinger G. Total, subtotal, and partial surgical removal of cervicofacial lymphangiomas. Arch Otolaryngol Head Neck Surg 1999;125(6):643–648
18. Wiegand S, Eivazi B, Zimmermann AP, Sesterhenn AM, Werner JA. Sclerotherapy of lymphangiomas of the head and neck. Head Neck 2011;33(11):1649–1655
19. Burns AJ, Navarro JA. Role of laser therapy in pediatric patients. Plast Reconstr Surg 2009;124(Suppl 1):82e–92e
20. Grimmer JF, Mulliken JB, Burrows PE, Rahbar R. Radiofrequency ablation of microcystic lymphatic malformation in the oral cavity. Arch Otolaryngol Head Neck Surg 2006;132(11):1251–1256
21. Allard RH. The thyroglossal cyst. Head Neck Surg 1982;5(2):134–146
22. Foley DS, Fallat ME. Thyroglossal duct and other congenital midline cervical anomalies. Semin Pediatr Surg 2006;15(2):70–75
23. Perkins JA, Inglis AF, Sie KC, Manning SC. Recurrent thyroglossal duct cysts: a 23-year experience and a new method for management. Ann Otol Rhinol Laryngol 2006;115(11):850–856
24. O TM, Alexander RE, Lando T, et al. Segmental hemangiomas of the upper airway. Laryngoscope 2009;119(11):2242–2247
25. Vilanova JC, Barceló J, Villalón M. MR and MR angiography characterization of soft tissue vascular malformations. Curr Probl Diagn Radiol 2004;33(4):161–170
26. Pransky SM, Canto C. Management of subglottic hemangioma. Curr Opin Otolaryngol Head Neck Surg 2004;12(6):509–512
27. Wiatrak BJ, Reilly JS, Seid AB, Pransky SM, Castillo JV. Open surgical excision of subglottic hemangioma in children. Int J Pediatr Otorhinolaryngol 1996;34(1–2):191–206
28. Truong MT, Perkins JA, Messner AH, Chang KW. Propranolol for the treatment of airway hemangiomas: a case series and treatment algorithm. Int J Pediatr Otorhinolaryngol 2010;74(9):1043–1048
29. Blanchet C, Nicollas R, Bigorre M, Amedro P, Mondain M. Management of infantile subglottic hemangioma: acebutolol or propranolol? Int J Pediatr Otorhinolaryngol 2010;74(8):959–961
30. Azizkhan RGGM, Haase GM, Applebaum H, et al. Diagnosis, management, and outcome of cervicofacial teratomas in neonates: a Children's Cancer Group study. J Pediatr Surg 1995;30(2):312–316
31. Soucy P, Penning J. The clinical relevance of certain observations on the histology of the thyroglossal tract. J Pediatr Surg 1984;19(5):506–509
32. De Backer A, Madern GC, van de Ven CP, Tibboel D, Hazebroek FW. Strategy for management of newborns with cervical teratoma. J Perinat Med 2004;32(6):500–508
33. Breysem L, Bosmans H, Dymarkowski S, et al. The value of fast MR imaging as an adjunct to ultrasound in prenatal diagnosis. Eur Radiol 2003;13(7):1538–1548